Abstract
Capitellar osteochondritis dissecans (OCD) is one of the most common causes of elbow pain and dysfunction in adolescent athletes. It typically occurs in gymnasts and overhead throwers and presents along a wide spectrum of severity. Stable lesions can typically be treated with conservative therapy; however, those presenting with instability, fragmentation, or loose bodies generally require surgical intervention. Although there are a number of described surgical options used to treat capitellar OCD lesions, microfracture is one of the most commonly performed and well studied. Patients who are candidates for microfracture generally have favorable outcomes with high rates of return to athletic activity after postoperative rehabilitation. In this work, we present our preferred arthroscopic technique for microfracture of OCD lesions of the capitellum. This technique is most suitable for patients with unstable or fragmented OCD lesions that are less than 1 cm in diameter and do not violate the lateral-most articular margin of the capitellum.
Osteochondritis dissecans (OCD) of the capitellum most commonly occurs in the dominant elbow of adolescent athletes, particularly those involved in overhead weight-bearing activities such as throwing or gymnastics.1, 2, 3, 4 Although the exact cause of OCD remains unclear, a number of possible contributing causes have been theorized, such as repetitive trauma, vascular insult, inflammatory processes, and genetic predisposition.3, 4, 5 Regardless of the predisposing factors, capitellar OCD typically occurs in the setting of repetitive loading of the immature capitellar chondral surface, which is supported by relatively poorly vascularized subchondral bone.3, 4 This process leads to weakening, fissuring, and fragmentation of the overlying cartilage. Although cartilage may initially remain stable and intact (stage I), with continued injury synovial fluid can egress into the base of the lesion, resulting in fragment delamination, instability, and eventual subchondral bone collapse (stage II) (Fig 1).4 Continued loading can result in complete fragment detachment (loose body) and even radial head injury (stage III).4 If recognized early enough, most stage I OCD lesions in skeletally immature patients can be treated conservatively; however, those continuing to have pain, mechanical symptoms, loss of motion, or decreased athletic performance may be considered surgical candidates.
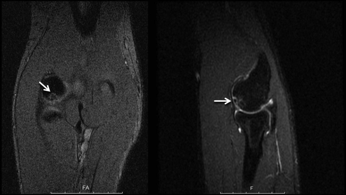
Fig 1.
Coronal and sagittal magnetic resonance imaging of an osteochondritis dissecans lesion of the capitellum (arrows) in a right elbow. In this instance, high signal intensity behind the osteochondritis dissecans lesion is suggestive of partial or complete delamination of the fragment. It is critical that stability of the fragment is assessed at the time of surgery.
Current surgical options for stage I lesions include simple debridement or drilling, whereas stage II and III lesions are generally treated with debridement, microfracture, fragment fixation, osteochondral autograft transfer, osteochondral allograft transplantation, or synthetic grafting.1, 5, 6, 7, 8 Although the prognosis is much better for patients with stable, stage I lesions, those undergoing debridement, microfracture, or drilling for stage II lesions have shown decreased pain and improved range of motion (ROM) after surgery.1, 2, 3, 5, 6, 7, 8 The vast majority of these patients are able to return to sport; however, many patients may elect to change positions or activity levels to accommodate any continued symptoms. The purpose of this work was to provide a detailed description and video demonstration (Video 1) on how to treat OCD lesions of the capitellum using an arthroscopic microfracture technique. This technique is typically indicated for patients with unstable (stage II or III) lesions that are unsuitable for fragment fixation, measure less than 1 cm in diameter, and do not violate the lateral buttress of the capitellum (Fig 1).
Surgical Technique
Patient Positioning and Anesthesia
The patient is positioned supine on the operating table, and an axillary regional blockade is administered. Alternatively, general anesthesia can be used. The arm is prepared and draped in the usual fashion and is secured across the body in an arm holder (Spider II Limb Positioner; Smith & Nephew, Andover, MA). It is critical that the extremity be positioned high above the patient's body with the humerus perpendicular to the floor. We prefer this positioning because it permits adequate flexion and extension of the elbow, allowing access to both the anterior and posterior compartments of the joint. Once the patient is appropriately positioned, important bony landmarks are marked and used to guide portal placement (Fig 2). Capitellar lesions often occur directly across from the radial head in the anterolateral aspect of the capitellum, making access to the lesion difficult. Although the radial head may be cleared from the lesion by fully extending the elbow, this tightens the anterior capsule, reducing the available working space. Accordingly, these lesions are often easier to access through a posterior approach with the elbow flexed.
Fig 2.
The patient is placed in the supine position with the right arm in an arm holder across the chest. (A) Key bony landmarks are used to help localize the necessary portals on the lateral aspect of the elbow. To fully access the osteochondritis dissecans defect, the elbow is flexed and a 70° arthroscope is inserted through the posterolateral portal (PLP). (B) The direct posterolateral portal (DPLP) is centered over the lesion and is used as a working portal. (LE, lateral epicondyle; Olec, olecranon; PALP, proximal anterolateral portal; RH, radial head.)
Diagnostic Arthroscopy
The procedure begins with a diagnostic assessment of the anterior compartment with the elbow in a neutral position (90° of flexion and neutral rotation). The proximal anterolateral portal is created 1 to 2 cm proximal to the lateral epicondyle and just anterior to the humerus (Fig 2A). The camera is inserted, and the radiocapitellar joint and OCD lesion are identified (Fig 3A). In most cases the lesion is not fully visible from this perspective. If there are any loose bodies or concomitant pathologies in the anterior aspect of the joint, they should be addressed at this time. Afterward, the arthroscope is removed and the posterior compartment is accessed through a posterolateral portal located 1 cm proximal to the midpoint of a line connecting the olecranon and lateral epicondyle. The posterior compartment, medial gutter, and lateral gutter are all assessed for loose bodies or other injuries. If needed, a direct posterior working portal can be created just proximal to the tip of the olecranon through the triceps, proximal to the musculotendinous junction.
Fig 3.
(A) With the patient in the supine position and the right arm across the chest, the radiocapitellar joint can easily be identified when viewing anteriorly from the proximal anterolateral portal. In this position, however, it is difficult to view the lesion in its entirety. (B) Flexing the elbow and placing the camera in the posterolateral portal allow better visualization of the osteochondritis dissecans (OCD) lesion, especially if a 70° arthroscope is used. (C) In this case the lateral shoulder of the capitellum remains intact after debridement. (D) Accordingly, arthroscopic microfracture can be performed. (RH, radial head.)
Visualization of OCD Lesion
Once concomitant pathologies have been addressed, the radiocapitellar joint is visualized and the OCD lesion should be identified. Here, it is often helpful to switch to a 70° arthroscope and flex the elbow as needed to clear the radial head from the lesion (Fig 2B). It is critical that the lesion be visualized in its entirety before proceeding with any debridement (Fig 3B). This is generally accomplished by directing the camera distally, level with the forearm through the posterolateral portal, and aiming the bevel of the arthroscope proximally toward the capitellum (Fig 2B). To assess and treat the lesion, an additional working portal is created using needle localization. This direct posterolateral portal (DPLP) should be created in such a manner that it provides full access to the defect (Fig 2). It can safely be moved as distally as needed within the soft spot of the elbow.
Assessment of Lesion and Preparation of Defect
Once access to the lesion is obtained, a probe is used to assess the stability and integrity of the chondral fragment through the DPLP. For lesions that are unstable or fragmented, removal and debridement are recommended. This can be accomplished using a probe, shaver, or curette. Once the fragment has been cleared, fibrous tissue is gently debrided from the lesion using an arthroscopic shaver and curettes. This is continued until a stable base of subchondral bone is obtained (Fig 3C). Great care should be taken to ensure the base is circumferentially surrounded by a rim of stable cartilage. For small (<1 cm in diameter) lesions with a stable lateral “shoulder” (Fig 3C), microfracture can be considered. If the defect is too large or uncontained laterally, consideration should be given to advanced chondral restoration techniques such as osteochondral autograft transfer or allograft transplantation.
Microfracture Technique
To perform microfracture of the OCD base, an arthroscopic microfracture awl (Arthrex, Naples, FL) is inserted through the DPLP. Microfracture begins at the periphery of the lesion and slowly works toward the center. For each microfracture site, the awl is impacted below the level of the subchondral bone. The awl should be advanced to the minimal depth that allows marrow elements to egress into the lesion. If adequate influx of marrow elements is not observed when the awl is removed, the fluid inflow can temporarily be reduced to decrease pressure in the joint. If marrow extravasation is still not evident, the depth of the microfracture may need to be increased. This process is repeated along the periphery of the lesion, spacing microfracture sites by at least 2 to 3 mm to prevent tunnel coalescence or bony collapse. Once the peripheral microfracture is completed, 1 to 2 microfracture sites can be placed in the center of the lesion as space permits (Fig 3D). Influx of marrow elements is once again confirmed, and the arthroscopic equipment is removed from the elbow. The incisions are closed with nylon sutures, and a soft, bulky dressing is applied with the elbow in the neutral position (75° to 90° of flexion and neutral rotation).
Postoperative Rehabilitation
The patient is provided with a soft, supportive sling postoperatively. The dressing is changed on postoperative day 2, and a lighter dressing is applied. Passive and gentle active ROM is initiated within the first week, as soon as the patient is able to tolerate motion. This is slowly advanced with the goal of achieving full ROM by 6 weeks postoperatively. The sling is discarded as soon as the patient is able. Gentle shoulder, scapular, wrist, and hand strengthening is initiated during weeks 2 to 6. Light elbow resistance training is initiated at week 6 and gradually progressed as able. Patients are not allowed to return to contact sports or throwing for a minimum of 6 months after surgery.
Discussion
OCD of the capitellum is one of the most common elbow injuries occurring in adolescent athletes involved in gymnastics or overhead sports.2, 3, 4 If identified early enough, most capitellar OCD lesions can be treated conservatively with favorable outcomes. Unfortunately, a large percentage of these injuries may not present until the lesions have developed instability or fragmentation. These patients typically have pain, decreased motion, and mechanical symptoms that may significantly affect athletic performance and activities of daily living. When conservative measures fail, these patients are generally considered surgical candidates, and microfracture is one of the most commonly used surgical treatment options.1, 5, 7, 8 Microfracture is indicated for stage II or III lesions that are less than 1 cm in diameter and show an intact lateral buttress of capitellar cartilage.4 In multiple studies this technique has resulted in high rates of patient satisfaction and return to preinjury activity levels.2, 5, 7, 8
One major advantage of this technique is that it is performed as an outpatient, arthroscopic procedure allowing full diagnostic assessment of the elbow with reduced postoperative pain and morbidity compared with open techniques (Table 1). Potential limitations of capitellar microfracture include the need for an intact lateral buttress and reliance on fibrocartilage (primarily type I collagen) to fill the defect rather than hyaline cartilage (primarily type II collagen) (Table 1). Keys for performing this technique include proper patient positioning, full visualization of the lesion, thorough debridement to a solid base of subchondral bone and stable peripheral rim of cartilage, and proper positioning and depth of microfracture sites (Table 2). This procedure can be performed with minimal specialized equipment (Table 3). When precise surgical steps are followed, patients can anticipate favorable outcomes with high rates of return to athletic activities.
Table 1.
Advantages, Limitations, and Potential Pitfalls of the Technique
| Advantages |
| The pneumatic arm holder allows stable, static flexion. |
| The procedure is performed as an outpatient procedure. |
| Morbidity and postoperative pain are reduced compared with open surgery. |
| The arthroscopic component allows diagnostic assessment of the entire elbow joint. |
| Limitations and potential pitfalls |
| Exposure can be difficult in this hard-to-reach area of the anterior capitellum. |
| An intact lateral buttress is required to stabilize the fibrocartilage analogue. |
| Microfracture sites should be created perpendicular to the defect, which often requires precisely angled awls. |
| Defects are filled with fibrocartilage (type I collagen) rather than hyaline cartilage (type II collagen). |
Table 2.
Key Points and Pearls for Using Microfracture to Treat Osteochondritis Dissecans Lesions of Capitellum
| Positioning the patient supine with the arm across the chest allows flexion of the elbow and optimal viewing of the radiocapitellar joint from a posterolateral portal. |
| Use of a 70° arthroscope can improve visualization of the lesion. |
| A thorough assessment of lesion stability is critical to determine the optimal treatment strategy. |
| Before microfracture, the lesion should be debrided to a solid bony base and stable chondral rim. |
| An intact lateral buttress of cartilage is a prerequisite for performing microfracture. |
| Microfracture sites should be created to the minimal depth that results in influx of marrow elements. |
Table 3.
Equipment Required
| Spider II Limb Positioner (Smith & Nephew) |
| 30° and 70° arthroscopes (Stryker) |
| Arthroscopic shaver (Smith & Nephew) |
| Small arthroscopic curettes (Arthrex) |
| Microfracture awls (Arthrex) |
Footnotes
The authors report the following potential conflict of interest or source of funding: J.S.D. receives support from Arthrex, ConMed Linvatec, Ossur, Biomet, and Wolters Kluwer Health.
Supplementary Data
Our preferred technique for performing microfracture of osteochondritis dissecans lesions of the capitellum in the right elbow of a patient in the supine position with the arm suspended across the chest. Special attention is given to patient positioning, portal placement, stability assessment, debridement, and microfracture.
References
- 1.Kida Y., Morihara T., Kotoura Y. Prevalence and clinical characteristics of osteochondritis dissecans of the humeral capitellum among adolescent baseball players. Am J Sports Med. 2014;42:1963–1971. doi: 10.1177/0363546514536843. [DOI] [PubMed] [Google Scholar]
- 2.De Graaff F., Krijnen M.R., Poolman R.W., Willems W.J. Arthroscopic surgery in athletes with osteochondritis dissecans of the elbow. Arthroscopy. 2011;27:986–993. doi: 10.1016/j.arthro.2011.01.002. [DOI] [PubMed] [Google Scholar]
- 3.Van den Ende K.I.M., McIntosh A.L., Adams J.E., Steinmann S.P. Osteochondritis dissecans of the capitellum: A review of the literature and a distal ulnar portal. Arthroscopy. 2011;27:122–128. doi: 10.1016/j.arthro.2010.08.008. [DOI] [PubMed] [Google Scholar]
- 4.Ahmad C.S., Vitale M.A., ElAttrache N.S. Elbow arthroscopy: Capitellar osteochondritis dissecans and radiocapitellar plica. Instr Course Lect. 2011;60:181–190. [PubMed] [Google Scholar]
- 5.Schoch B., Wolf B.R. Osteochondritis dissecans of the capitellum: Minimum 1-year follow-up after arthroscopic debridement. Arthroscopy. 2010;26:1469–1473. doi: 10.1016/j.arthro.2010.03.008. [DOI] [PubMed] [Google Scholar]
- 6.Smith M.V., Bedi A., Chen N.C. Surgical treatment for osteochondritis dissecans of the capitellum. Sports Health. 2012;4:425–432. doi: 10.1177/1941738112444707. [DOI] [PMC free article] [PubMed] [Google Scholar]
- 7.Tis J.E., Edmonds E.W., Bastrom T., Chambers H.G. Short-term results of arthroscopic treatment of osteochondritis dissecans in skeletally immature patients. J Pediatr Orthop. 2012;32:226–231. doi: 10.1097/BPO.0b013e31824afeb8. [DOI] [PubMed] [Google Scholar]
- 8.Lewine EB, Miller PE, Micheli LJ, Waters PM, Bae DS. Early results of drilling and/or microfracture for grade IV osteochondritis dissecans of the capitellum [published online June 17, 2015]. J Pediatr Orthop. doi:10.1097/BPO.0000000000000575. [DOI] [PubMed]
Associated Data
This section collects any data citations, data availability statements, or supplementary materials included in this article.
Supplementary Materials
Our preferred technique for performing microfracture of osteochondritis dissecans lesions of the capitellum in the right elbow of a patient in the supine position with the arm suspended across the chest. Special attention is given to patient positioning, portal placement, stability assessment, debridement, and microfracture.



