Full text
PDF



































Images in this article
Selected References
These references are in PubMed. This may not be the complete list of references from this article.
- ASH J. E. Epibulbar tumors. Am J Ophthalmol. 1950 Aug;33(8):1203–1219. doi: 10.1016/0002-9394(50)90990-1. [DOI] [PubMed] [Google Scholar]
- BECKER S. W. Critical evaluation of the so-called junction nevus. J Invest Dermatol. 1954 Mar;22(3):217–223. doi: 10.1038/jid.1954.27. [DOI] [PubMed] [Google Scholar]
- BECKER S. W. Critical evaluation of the so-called junction nevus. J Invest Dermatol. 1954 Mar;22(3):217–223. doi: 10.1038/jid.1954.27. [DOI] [PubMed] [Google Scholar]
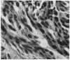
- COUPERUS M., RUCKER R. C. Histopathological diagnosis of malignant melanoma. AMA Arch Derm Syphilol. 1954 Aug;70(2):199–216. doi: 10.1001/archderm.1954.01540200059005. [DOI] [PubMed] [Google Scholar]
- DORSEY C. S., MONTGOMERY H. Blue nevus and its distinction from Mongolian spot and the nevus of Ota. J Invest Dermatol. 1954 Mar;22(3):225–236. doi: 10.1038/jid.1954.28. [DOI] [PubMed] [Google Scholar]
- FREEMAN R. G., KNOX J. M. Epidermal cysts associated with pigmented nevi. A combination which may simulate malignant melanoma. Arch Dermatol. 1962 May;85:590–594. doi: 10.1001/archderm.1962.01590050020004. [DOI] [PubMed] [Google Scholar]
- GEORGE P. A., FORTNER J. G., PACK G. T. Melanoma with pregnancy. A report of 115 cases. Cancer. 1960 Jul-Aug;13:854–859. doi: 10.1002/1097-0142(196007/08)13:4<854::aid-cncr2820130431>3.0.co;2-v. [DOI] [PubMed] [Google Scholar]
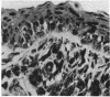
- GREER C. H. Precancerous melanosis. Proc R Soc Med. 1954 Sep;47(9):730–734. doi: 10.1177/003591575404700903. [DOI] [PMC free article] [PubMed] [Google Scholar]
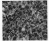
- LUND H. Z., STOBBE G. D. The natural history of the pigmented nevus; factors of age and anatomic location. Am J Pathol. 1949 Nov;25(6):1117-55, incl 4 pl. [PMC free article] [PubMed] [Google Scholar]
- MISHIMA Y. Melanosis circumscripta praecancerosa (Dubreuilh), a non-nevoid premelanoma distinct from junction nevus. J Invest Dermatol. 1960 Jun;34:361–375. [PubMed] [Google Scholar]
- RAVEN R. W. The properties and surgical problems of malignant melanoma. Ann R Coll Surg Engl. 1950 Jan;6(1):28-55, illust. [PMC free article] [PubMed] [Google Scholar]


























