Abstract
Congenitally unguarded tricuspid valve (TV) orifice, a variant of TV dysplasia, is a rare malformation with protean manifestations. This report describes a symptomatic adult male with gross right heart failure and atrial fibrillation, who was found to have an unguarded TV orifice with isolation of the trabecular apical cavity of the right ventricle (RV) and muscular ridges separating outflow tract (forme-fruste of the double-chambered RV). The right ventricular outflow tract remained patent.
Keywords: Congenitally unguarded tricuspid orifice, Right ventricular apical isolation, Right heart failure
1. Introduction
Unguarded tricuspid valve (TV) with well-developed right ventricle (RV) and the patent outflow tract constitute a rare congenital anomaly with a few antemortem case reports.1, 2, 3, 4, 5, 6, 7, 8, 9, 10, 11 It is a variety of TV dysplasia, in which there is partial or complete agenesis of the TV tissue.12 The leaflets are normally inserted on the ring and there is variable dysplasia of chordae tendinae and papillary muscles. Unguarded TV orifice with patent right ventricular outflow tract and dilated RV in adults is very uncommon and needs to be differentiated from the more common entity – Ebstein anomaly of the TV. The hallmarks of poor prognosis, regardless of the valvar displacement are lung hypoplasia, right atrial dilatation, and the relative hypoplasia of the pulmonary trunk. There are two types of non-Ebstein TV dysplasia: one is a more frequent type having dysplasia of TV with a small annulus, underdeveloped RV with a hypoplastic cavity and a hypertrophic wall; the other type has severe dysplasia of TV and dilatation of RV, right atrium (RA), and right atrioventricular junction with thinning of the RV wall. The latter type is associated with patent outflow tract. RV in TV dysplasia can be underdeveloped, normally developed or dilated and hypokinetic. The last variety is associated with congenitally unguarded TV orifice. The difference between the Ebstein anomaly and the unguarded TV orifice is best demonstrated by examining the mural leaflet of the valve, which is absent or markedly underdeveloped, when the orifice is unguarded but displaced in association with Ebstein's malformation. Ebstein's anomaly is confidently ruled out with comprehensive echocardiography by establishing (1) absence of significant apical displacement of the septal TV leaflet (≥8 mm/m2) and (2) lack of a redundant, elongated, anterior TV leaflet. The clinical presentation is usually in early childhood with cyanosis and/or congestive heart failure. There are a few patients, who decompensate during adult life with right ventricular failure and tricuspid regurgitation.8, 9, 10 The advent of echocardiography has resulted in a significant number of such patients being diagnosed. Some of these patients may present with atrial fibrillation.8, 9 This report describes a symptomatic young man presenting with gross right heart failure and atrial fibrillation who on echocardiography was detected to have unguarded but large TV orifice, hugely dilated RA and the RV with isolation of the apical trabeculated part of the right ventricular cavity with a fibromuscular ridge.
2. Case report
A 32-year-old gentleman presented with exertional dyspnea, fatigue, and pre-syncope of three years’ duration. Physical examination revealed a thin-built young man with supine blood pressure 102/82 mmHg, pulse rate 102/min; the rhythm was irregular, and jugular venous pressure was markedly elevated with prominent V waves and neck nodding associated with bilateral jugular vein distension with each heart beat. There was significant non-tender pulsatile hepatomegaly. Precordial examination revealed quiet precordium on palpation, faint heart sounds with wide variably split second sound, and a 2/6 systolic murmur. Hematological parameters and plasma biochemistry were normal. A 12-lead electrocardiogram revealed right axis deviation, atrial fibrillation with an average ventricular rate of 102/min, complete right bundle branch block and non-specific ST-T changes (Fig. 1). A plain chest skiagram showed cardiomegaly (cardiothoracic ratio −70%) and oligemic lung fields (Fig. 1).
Fig. 1.
The 12-lead ECG in the left panel shows atrial fibrillation, right axis deviation, right bundle branch block and non-specific ST-T changes. Right panel shows chest skiagram in the antero-posterior view. Note globular cardiomegaly with pulmonary oligemia.
Two-dimensional echocardiography showed small left atrium and the left ventricle, markedly dilated right heart chambers, paradoxical ventricular septal motion, interatrial septum curved to the left, dilated inferior vena cava and hepatic veins, enlarged tricuspid annulus (48 mm), rudimentary septal and anterior tricuspid leaflet with a nodular mass attached to the vestigial anterior leaflet (Fig. 2). Septal leaflet of the TV was rudimentary but normally inserted. Posterior tricuspid leaflet and the papillary muscles were not visible. The right ventricular outflow tract was dilated with normal pulmonary arteries. Doppler interrogation of the right ventricular inflow and outflow showed low-velocity to-and-fro flow with a peak velocity of <1 m/s (Fig. 3).
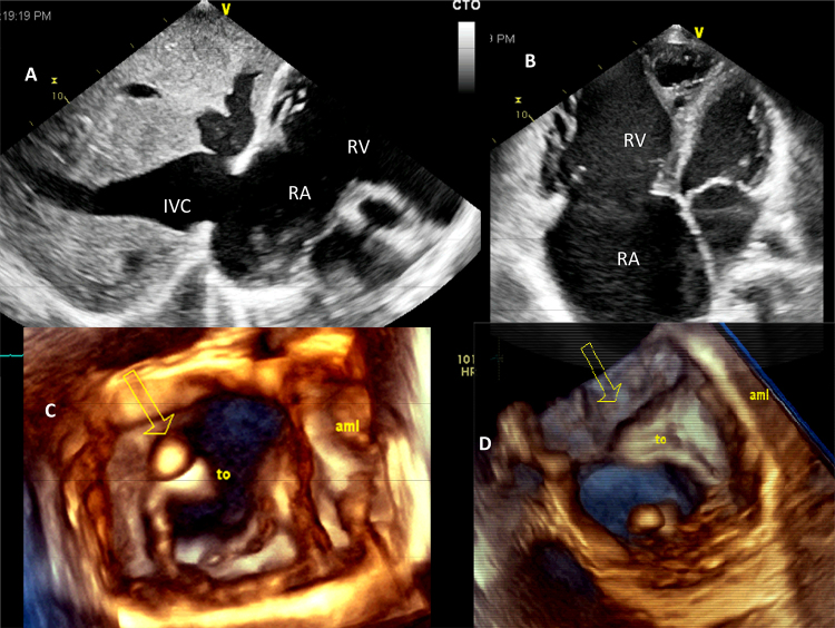
Fig. 2.
(A) Dilated inferior vena cava, hepatic veins and unguarded tricuspid orifice in subcostal view. (B) Rudimentary anterior and septal leaflets during systole with markedly dilated right atrium and the right ventricle in apical 4-chamber view. (C) 3D-echocardiographic image in diastole with a nodule attached to rudimentary posterior leaflet. (D, seen from the right atrium) Unguarded tricuspid orifice during systole with rudimentary anterior leaflet.
Fig. 3.
The left panel shows to-and-fro flow across the tricuspid orifice with a peak velocity of approximately 100 cm/s. The right panel shows severe low pressure (laminar) tricuspid regurgitation in apical 4-chamber view.
In the right ventricular cavity, a fibromuscular ridge separated distal apical portion of the cavity from the right ventricular inflow. The apical portion was highly trabeculated and on color flow interrogation showed no communication with the proximal cavity (Fig. 4). Well-defined septal and parietal muscle bundles separated the right ventricular outflow tract. This segment showed dynamic systolic narrowing without any pressure gradients (Fig. 5).
Fig. 4.
2D echocardiographic 4-chamber views in diastole (left panel) and systole (right panel). Note the dilated right atrium and the right ventricle, unguarded tricuspid orifice with rudimentary tricuspid valve leaflets, a nodule attached to the posterior leaflet (white arrow). Both views show an apical trabecular cavity distinct from the rest of the left ventricle (yellow arrows).
Fig. 5.
2D-echocardiographic subcostal (left panel) and parasternal (right panel) short axis views showing a parietal ridge (arrow) and the septal ridge (right panel) like a forme-fruste of the double-chambered right ventricle. Normal pulmonary valve can be appreciated.
The patient is awaiting total cavo-pulmonary anastomosis.
3. Discussion
Congenitally unguarded tricuspid orifice with patent right ventricular outflow tract is a rare anomaly with <50 cases reported in the literature with antemortem diagnosis.1, 2, 3, 4, 5, 6, 7, 8, 9, 10, 11 Isolated unguarded tricuspid orifice with no other congenital abnormality has been reported in a few patients so far.1, 8, 9, 10 Some asymptomatic patients surviving till adulthood have been reported.10 The unique features of this adult patient with unguarded TV orifice, atrial fibrillation and heart failure are isolation of the trabecular apical portion of the RV and a forme-fruste of the double-chambered RV. Double-chambered RV in presence of unguarded tricuspid orifice has been reported in a child previously.6 Atrial fibrillation has been reported in two of seven adult patients in a previous series reported by us.8
Partial or complete absence of tricuspid valvar tissue diagnosed on fetal echocardiography was labeled as unguarded TV orifice by Kanjuh and coworkers in 1964.12 The condition needs to be differentiated from Ebstein's malformation, tricuspid dysplasia in association with pulmonary atresia and intact ventricular septum, and Uhl's anomaly. Dysplasia of the leaflets along with displacement of the septal leaflet is an integral part of Ebstein malformation. However the mural leaflet is always present unlike in unguarded tricuspid orifice wherein it may be completely absent. Pulmonary atresia with intact interventricular septum may be associated with variable degree of TV dysplasia but needs to be differentiated from the Ebstein malformation or the unguarded tricuspid orifice only when the RV is dilated. The TV is structurally normal in Uhl's anomaly.
Dysplasia of the TV is probably the most common cause of isolated tricuspid regurgitation and the unguarded tricuspid orifice is its most extreme form. Because of the poor right ventricular contractile function, the pulmonary circulation is maintained by the pumping action of the RA or the outflow tract. The RA can assume enormous proportions.8, 9 Right-to-left shunting can occur through patent foramen ovale. In some of these cases, functional pulmonary atresia can occur resulting from a combination of a severely abnormal TV and markedly depressed right ventricular contractility. Unrecognized infective endocarditis is unlikely the cause of unguarded TV as such an extensive destruction is very difficult to remain subclinical and absence of vegetations goes against this diagnosis.
Natural history of this entity is very variable. Several patients with mild degree of right ventricular dysfunction survive to adulthood and even reach old age.7 Such patients tolerate tricuspid regurgitation well and only when significant right ventricular dysfunction sets in with or without atrial fibrillation that they become symptomatic. This makes surgical treatment a difficult option, since the natural history is variable and surgical results are not too encouraging.4
Some reports have described success of the Fontan operation or the total cavo-pulmonary anastomosis in such cases.13, 14 Our patient has been recommended total cavo-pulmonary anastomosis.
Conflicts of interest
The authors have none to declare.
References
- 1.Mohan J.C., Tatke M., Arora R. Rudimentary dysplastic valvar tissue guarding the tricuspid orifice with dilatation of the right ventricle and a patent outflow tract. Int J Cardiol. 1989;25:136–139. doi: 10.1016/0167-5273(89)90177-0. [DOI] [PubMed] [Google Scholar]
- 2.Mohan J.C., Tomar D., Shekhar C. Congenitally unguarded tricuspid valve orifice with multiple other defects in a child with refractory heart failure. Indian Heart J. 2009;61:89–92. [PubMed] [Google Scholar]
- 3.Ozkutlu S., Gunal S., Caglar M., Alehan D., Gungor C. Unguarded tricuspid orifice: a rare malformation of tricuspid valve diagnosed by echocardiography. Report of two cases and review of the literature. Int J Cardiol. 1996;56:125–129. doi: 10.1016/0167-5273(96)02747-7. [DOI] [PubMed] [Google Scholar]
- 4.Magotra R.A., Agrawal N.B., Mall S.P., Parikh S.J. Severe dysplasia of the tricuspid valve (unguarded tricuspid annulus): clinical presentation and surgical treatment. J Thorac Cardiovasc Surg. 1990;99:174–175. [PubMed] [Google Scholar]
- 5.Munoz Castellanos L., Salinas C.H., Kuri Nivon M., Garcia Arenal F. Absence of the tricuspid valve. A case report. Arch Inst Cardiol Mex. 1992;62:61–67. [PubMed] [Google Scholar]
- 6.Gussenhoven E.J., Essed C.E., Bos E. Unguarded tricuspid orifice with two-chambered right ventricle. Pediatr Cardiol. 1986;7:175–177. doi: 10.1007/BF02424994. [DOI] [PubMed] [Google Scholar]
- 7.Lagarde O., Garabedian V., Coignard A., Duret J.C., Piwnica A., Droniou J. Congenital tricuspid insufficiency due to valvular dysplasia. Review of the literature in light of a case in a 40-year old adult. Arch Mal Coeur Vaiss. 1980;73:387–396. [PubMed] [Google Scholar]
- 8.Mohan J.C., Passey R., Arora R. Echocardiographic spectrum of congenitally unguarded tricuspid valve orifice and patent right ventricular outflow tract. Int J Cardiol. 2000;74:153–157. doi: 10.1016/s0167-5273(00)00263-1. [DOI] [PubMed] [Google Scholar]
- 9.Mohan J.C., Passey R., Arora R. Congenitally unguarded tricuspid valve orifice with patent right ventricular outflow tract presenting with severe right heart failure of long standing in an adult. Int J Cardiol. 1998;66:85–87. doi: 10.1016/s0167-5273(98)00150-8. [DOI] [PubMed] [Google Scholar]
- 10.Mohan J.C., Sengupta P.P., Arora R. Congenitally unguarded tricuspid valve orifice with a giant right atrium and a massive clot in an asymptomatic adult. Indian Heart J. 2001;53:503–504. [PubMed] [Google Scholar]
- 11.Morais H., Cáceres-Lóriga F.M., Martins T., Cunha R. Isolated unguarded tricuspid valve: a rare cause of syncope and new-onset right cardiac failure in adult. Int J Cardiol. 2009;131:e127–e130. doi: 10.1016/j.ijcard.2007.07.081. [DOI] [PubMed] [Google Scholar]
- 12.Kanjuh V.I., Stevenson J.E., Amplatz K., Edwards J.E. Congenitally unguarded tricuspid orifice with coexistent pulmonary atresia. Circulation. 1964;30:911–917. doi: 10.1161/01.cir.30.6.911. [DOI] [PubMed] [Google Scholar]
- 13.Kariya T., Imai Y., Murakami A. Surgical repair for unguarded tricuspid orifice: our successful experience using the Fontan procedure with total right ventricular exclusion. Eur J Cardiothorac Surg. 2009;36:603–605. doi: 10.1016/j.ejcts.2009.06.009. [DOI] [PubMed] [Google Scholar]
- 14.Kariya T., Imai Y., Murakami A. Images in cardiovascular medicine. Markedly dilated right heart 17 years after initial treatment repaired by total right ventricular exclusion and total cavopulmonary connection. Circulation. 2008;118:e133–e135. doi: 10.1161/CIRCULATIONAHA.107.760561. [DOI] [PubMed] [Google Scholar]





