Abstract
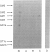
Gangliosides were extracted from purified human and porcine thyrotropin (TSH) receptors (TSH-R) and were detected by probing with an 125I-labeled sialic acid-specific lectin, Limax flavus agglutinin. Gangliosides copurified with human and porcine TSH-R migrated between monosialoganglioside GM1 and disialoganglioside GD1a. Ceramide glycanase digestion of the purified human TSH-R-associated glycolipid confirmed its ganglioside nature. It was resistant to Vibrio cholerae sialidase, which digests all gangliosides except GM1, but was sensitive to Arthrobacter ureafaciens sialidase, which digests all gangliosides including GM1. These findings indicate that the human TSH-R contains ganglioside that belongs to the galactosyl(beta 1----3)-N-acetylgalactosaminyl (beta 1----4)-[N-acetylneuraminyl(alpha 2----3)]galactosyl(beta 1----4) glucosyl(beta 1----1)ceramide (GM1) family. Its intimate association with receptor protein implies a key role for ganglioside in the structure and function of the TSH-R.
Full text
PDF




Images in this article
Selected References
These references are in PubMed. This may not be the complete list of references from this article.
- Bartalena L., Fenzi G., Vitti P., Tombaccini D., Antonelli A., Macchia E., Chiovato L., Kohn L. D., Pinchera A. Interaction of the thyrotropin receptor on rat FRTL-5 thyroid cells with thyrotropin and a thyrotropin-stimulating autoantibody from Graves' patients. Biochem Biophys Res Commun. 1987 Feb 27;143(1):266–272. doi: 10.1016/0006-291x(87)90660-7. [DOI] [PubMed] [Google Scholar]
- Bradford M. M. A rapid and sensitive method for the quantitation of microgram quantities of protein utilizing the principle of protein-dye binding. Anal Biochem. 1976 May 7;72:248–254. doi: 10.1016/0003-2697(76)90527-3. [DOI] [PubMed] [Google Scholar]
- Bremer E. G., Hakomori S., Bowen-Pope D. F., Raines E., Ross R. Ganglioside-mediated modulation of cell growth, growth factor binding, and receptor phosphorylation. J Biol Chem. 1984 Jun 10;259(11):6818–6825. [PubMed] [Google Scholar]
- Cheresh D. A., Pytela R., Pierschbacher M. D., Klier F. G., Ruoslahti E., Reisfeld R. A. An Arg-Gly-Asp-directed receptor on the surface of human melanoma cells exists in an divalent cation-dependent functional complex with the disialoganglioside GD2. J Cell Biol. 1987 Sep;105(3):1163–1173. doi: 10.1083/jcb.105.3.1163. [DOI] [PMC free article] [PubMed] [Google Scholar]
- Etienne-Decerf J., Gosselin-Rey C., Gosselin L., Winand R. Effects of thyrotropin and thyroid stimulating immunoglobulins on gangliosides labelling of human thyroid cultured pathological cells. J Endocrinol Invest. 1986 Feb;9(1):57–63. doi: 10.1007/BF03348065. [DOI] [PubMed] [Google Scholar]
- Gardas A., Nauman J. Presence of gangliosides in the structure of membrane receptor for thyrotrophin. Acta Endocrinol (Copenh) 1981 Dec;98(4):549–555. doi: 10.1530/acta.0.0980549. [DOI] [PubMed] [Google Scholar]
- Gross S. K., Williams M. A., McCluer R. H. Alkali-labile, sodium borohydride-reducible ganglioside sialic acid residues in brain. J Neurochem. 1980 Jun;34(6):1351–1361. doi: 10.1111/j.1471-4159.1980.tb11215.x. [DOI] [PubMed] [Google Scholar]
- Hayashi K., Katagiri A. Studies on the interaction between gangliosides, protein and divalent cations. Biochim Biophys Acta. 1974 Jan 23;337(1):107–117. [PubMed] [Google Scholar]
- Heyma P., Harrison L. C. Precipitation of the thyrotropin receptor and identification of thyroid autoantigens using Graves' disease immunoglobulins. J Clin Invest. 1984 Sep;74(3):1090–1097. doi: 10.1172/JCI111476. [DOI] [PMC free article] [PubMed] [Google Scholar]
- Iwamori M., Sawada K., Hara Y., Nishio M., Fujisawa T., Imura H., Nagai Y. Neutral glycosphingolipids and gangliosides of bovine thyroid. J Biochem. 1982 Jun;91(6):1875–1887. [PubMed] [Google Scholar]
- Kosugi S., Mori T., Iwamori M., Nagai Y., Imura H. Islet cell-activating protein reverses anti-fucosyl GM1 ganglioside antibody-induced inhibition of adenosine 3',5'-monophosphate production in FRTL-5 rat thyroid cells. Endocrinology. 1989 Mar;124(3):1230–1234. doi: 10.1210/endo-124-3-1230. [DOI] [PubMed] [Google Scholar]
- Laccetti P., Grollman E. F., Aloj S. M., Kohn L. D. Ganglioside dependent return of TSH receptor function in a rat thyroid tumor with a TSH receptor defect. Biochem Biophys Res Commun. 1983 Feb 10;110(3):772–778. doi: 10.1016/0006-291x(83)91028-8. [DOI] [PubMed] [Google Scholar]
- Lee G., Aloj S. M., Brady R. O., Kohn L. D. The structure and function of glycoprotein hormone receptors: ganglioside interactions with human chorionic gonadotropin. Biochem Biophys Res Commun. 1976 Nov 22;73(2):370–377. doi: 10.1016/0006-291x(76)90717-8. [DOI] [PubMed] [Google Scholar]
- Lee G., Aloj S. M., Kohn L. D. The structure and function of glycoprotein hormone receptors: ganglioside interactions with luteinizing hormone. Biochem Biophys Res Commun. 1977 Jul 11;77(1):434–441. doi: 10.1016/s0006-291x(77)80216-7. [DOI] [PubMed] [Google Scholar]
- Leedman P. J., Newman J. D., Harrison L. C. Human thyrotropin receptor subunits characterized by thyrotropin affinity purification and western blotting. J Clin Endocrinol Metab. 1989 Jul;69(1):134–141. doi: 10.1210/jcem-69-1-134. [DOI] [PubMed] [Google Scholar]
- Li S. C., DeGasperi R., Muldrey J. E., Li Y. T. A unique glycosphingolipid-splitting enzyme (ceramide-glycanase from leech) cleaves the linkage between the oligosaccharide and the ceramide. Biochem Biophys Res Commun. 1986 Nov 26;141(1):346–352. doi: 10.1016/s0006-291x(86)80375-8. [DOI] [PubMed] [Google Scholar]
- Loosfelt H., Misrahi M., Atger M., Salesse R., Vu Hai-Luu Thi M. T., Jolivet A., Guiochon-Mantel A., Sar S., Jallal B., Garnier J. Cloning and sequencing of porcine LH-hCG receptor cDNA: variants lacking transmembrane domain. Science. 1989 Aug 4;245(4917):525–528. doi: 10.1126/science.2502844. [DOI] [PubMed] [Google Scholar]
- Markwell M. A., Fox C. F. Surface-specific iodination of membrane proteins of viruses and eucaryotic cells using 1,3,4,6-tetrachloro-3alpha,6alpha-diphenylglycoluril. Biochemistry. 1978 Oct 31;17(22):4807–4817. doi: 10.1021/bi00615a031. [DOI] [PubMed] [Google Scholar]
- McFarland K. C., Sprengel R., Phillips H. S., Köhler M., Rosemblit N., Nikolics K., Segaloff D. L., Seeburg P. H. Lutropin-choriogonadotropin receptor: an unusual member of the G protein-coupled receptor family. Science. 1989 Aug 4;245(4917):494–499. doi: 10.1126/science.2502842. [DOI] [PubMed] [Google Scholar]
- Meldolesi M. F., Fishman P. H., Aloj S. M., Ledley F. D., Lee G., Bradley R. M., Bradley R. M., Brady R. O., Kohn L. D. Separation of the glycoprotein and ganglioside components of thyrotropin receptor activity in plasma membranes. Biochem Biophys Res Commun. 1977 Apr 11;75(3):581–588. doi: 10.1016/0006-291x(77)91512-1. [DOI] [PubMed] [Google Scholar]
- Misrahi M., Loosfelt H., Atger M., Sar S., Guiochon-Mantel A., Milgrom E. Cloning, sequencing and expression of human TSH receptor. Biochem Biophys Res Commun. 1990 Jan 15;166(1):394–403. doi: 10.1016/0006-291x(90)91958-u. [DOI] [PubMed] [Google Scholar]
- Mullin B. R., Aloj S. M., Fishman P. H., Lee G., Kohn L. D., Brady R. O. Cholera toxin interactions with thyrotropin receptors on thyroid plasma membranes. Proc Natl Acad Sci U S A. 1976 May;73(5):1679–1683. doi: 10.1073/pnas.73.5.1679. [DOI] [PMC free article] [PubMed] [Google Scholar]
- Mullin B. R., Fishman P. H., Lee G., Aloj S. M., Ledley F. D., Winand R. J., Kohn L. D., Brady R. O. Thyrotropin-ganglioside interactions and their relationship to the structure and function of thyrotropin receptors. Proc Natl Acad Sci U S A. 1976 Mar;73(3):842–846. doi: 10.1073/pnas.73.3.842. [DOI] [PMC free article] [PubMed] [Google Scholar]
- Mullin B. R., Pacuszka T., Lee G., Kohn L. D., Brady R. O., Fishman P. H. Thyroid gangliosides with high affinity for thyrotropin: potential role in thyroid regulation. Science. 1978 Jan 6;199(4324):77–79. doi: 10.1126/science.199.4324.77. [DOI] [PubMed] [Google Scholar]
- Nagayama Y., Kaufman K. D., Seto P., Rapoport B. Molecular cloning, sequence and functional expression of the cDNA for the human thyrotropin receptor. Biochem Biophys Res Commun. 1989 Dec 29;165(3):1184–1190. doi: 10.1016/0006-291x(89)92727-7. [DOI] [PubMed] [Google Scholar]
- Nores G. A., Dohi T., Taniguchi M., Hakomori S. Density-dependent recognition of cell surface GM3 by a certain anti-melanoma antibody, and GM3 lactone as a possible immunogen: requirements for tumor-associated antigen and immunogen. J Immunol. 1987 Nov 1;139(9):3171–3176. [PubMed] [Google Scholar]
- Parmentier M., Libert F., Maenhaut C., Lefort A., Gérard C., Perret J., Van Sande J., Dumont J. E., Vassart G. Molecular cloning of the thyrotropin receptor. Science. 1989 Dec 22;246(4937):1620–1622. doi: 10.1126/science.2556796. [DOI] [PubMed] [Google Scholar]
- Quiocho F. A. Carbohydrate-binding proteins: tertiary structures and protein-sugar interactions. Annu Rev Biochem. 1986;55:287–315. doi: 10.1146/annurev.bi.55.070186.001443. [DOI] [PubMed] [Google Scholar]
- Riboni L., Sonnino S., Acquotti D., Malesci A., Ghidoni R., Egge H., Mingrino S., Tettamanti G. Natural occurrence of ganglioside lactones. Isolation and characterization of GD1b inner ester from adult human brain. J Biol Chem. 1986 Jun 25;261(18):8514–8519. [PubMed] [Google Scholar]
- SVENNERHOLM L. Quantitative estimation of sialic acids. II. A colorimetric resorcinol-hydrochloric acid method. Biochim Biophys Acta. 1957 Jun;24(3):604–611. doi: 10.1016/0006-3002(57)90254-8. [DOI] [PubMed] [Google Scholar]
- Schauer R. Chemistry, metabolism, and biological functions of sialic acids. Adv Carbohydr Chem Biochem. 1982;40:131–234. doi: 10.1016/s0065-2318(08)60109-2. [DOI] [PubMed] [Google Scholar]
- Spiegel S., Fishman P. H. Gangliosides as bimodal regulators of cell growth. Proc Natl Acad Sci U S A. 1987 Jan;84(1):141–145. doi: 10.1073/pnas.84.1.141. [DOI] [PMC free article] [PubMed] [Google Scholar]
- Strynadka N. C., James M. N. Crystal structures of the helix-loop-helix calcium-binding proteins. Annu Rev Biochem. 1989;58:951–998. doi: 10.1146/annurev.bi.58.070189.004511. [DOI] [PubMed] [Google Scholar]
- Svennerholm L. Gangliosides of human thyroid gland. Biochim Biophys Acta. 1985 Jul 9;835(2):231–235. doi: 10.1016/0005-2760(85)90277-2. [DOI] [PubMed] [Google Scholar]




