Abstract
Primary and localized amyloidosis of the urinary tract is considered to be a rare clinical entity with approximately 160 cases documented in the literature. Here we present a case of a 77 year old gentleman with painless visible hematuria. Flexible cystoscopy revealed abnormal and polypoidal bladder mucosa. Transurethral resection of these lesions revealed histology with congo-red staining and positive green-apple birefringence, these findings are consistent with amyloidosis. There has so far been no sign of recurrence in this gentleman, with routine cystoscopic surveillance. Here we present a literature review on the presentation, diagnosis and management of this rare condition.
Keywords: Bladder, Amyloidosis, Bladder neck, Hematuria, Primary
Introduction
Amyloidosis is characterized by extracellular deposition of amyloid protein within visceral tissues, which may result in tissue and organ dysfunction. Bladder amyloidosis is considered to be a rare occurrence with the first case of primary bladder amyloidosis being described by Solomin in 1897.1
Amyloidosis is categorized into two forms:
-
•
Primary amyloidosis – The process in which plasma cells overproduce protein rich portions of antibodies known as light chains (AL), these proteins are then deposited within the viscera. This is a primary condition requiring no secondary influencing condition.
-
•
Secondary amyloidosis (AA) – is most commonly associated with chronic inflammatory conditions such as rheumatoid arthritis, chronic osteomyelitis, or malignancies. Here, we see widespread systemic deposition of amyloid proteins.
The most common among the two sub-types is secondary amyloidosis. Bladder amyloidosis is more commonly reported among people in the age group of 40–80 years, and affects both genders equally.2 Evidence suggests that the majority of reported cases of primary urinary bladder amyloidosis manifest as solitary, localized polypoidal lesions.2, 3 However some studies have shown these amyloid lesions may become disseminated and progress even leading to upper urinary tract obstruction.4 This warrants long-term follow-up, typically in the form of flexible cystoscopic surveillance in cases with primary bladder amyloidosis.
Case presentation
The following article documents a case involving a 77 year old gentleman presenting to the Urology department with visible hematuria. This gentleman's medical history included; Impaired glucose tolerance, left bundle branch block, first degree heart block, moderate left ventricular dysfunction and previous pulmonary embolus in 1997. He was otherwise well, independent and mobile, with no known drug allergies.
This gentleman initially presented to the Accident & Emergency department with a several month history of worsening visible hematuria with occasional passage of clots and intermittent urinary stream. There were no irritative signs to suggest urinary tract infection or bothersome lower urinary tract symptoms. Initial mid stream urine, did not reveal any evidence of infection, ultrasound scan of the kidneys and bladder revealed no obvious upper tract abnormality. Subsequent flexible cystoscopy revealed a distorted prostatic cavity with abnormal mucosa at the bladder neck and trigone. Of note, this gentleman's abdominal examination was unremarkable, digital rectal examination revealed a firm but benign feeling prostate gland. Prostate specific antigen was 1.3 ng/ml and urea and electrolytes were entirely normal. Subsequently this gentleman had a transurethral resection of the abnormal mucosa at the bladder neck.
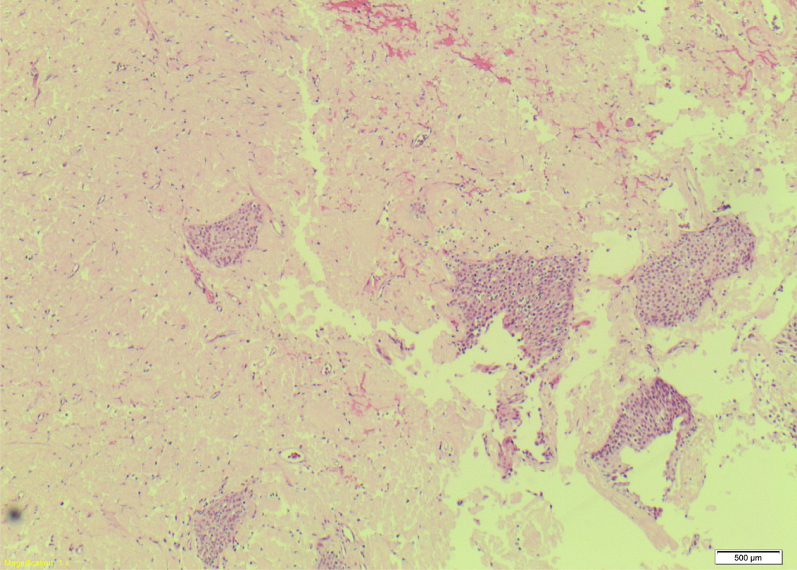
Histology revealed transitional epithelium with extensive areas of amorphous eosinophillic material with foci of embedded transitional epithelium (Fig. 1). Congo-red staining was brightly organeophillic with green-apple birefringence; these findings were consistent with amyloid deposits (Fig. 2). Of note, there was no other evidence of dysplasia or malignancy.
Figure 1.
Bladder biopsy section. Haematoxyline & Eosin section illustrates dense amphorous pink acellular material with the presence of an edge of benign uroithelium.
Figure 2.
Histology section from bladder biopsy illustrates amorphorous material present following congo-red staining, consistent with amyloid deposits.
Discussion
Hematuria is the most common symptom associated with amyloidosis of the urinary tract.1, 2, 4 However from review of the literature it appears that patients may also present with irritative lower urinary tract symptoms.4 Symptoms associated with amyloidosis may resemble that of transitional cell carcinoma, including hematuria and irritative voiding symptoms. Thus, bladder amyloidosis should be considered as differential diagnosis in suspected bladder malignancies, particularly if they are associated with underlying inflammatory diseases. In a study conducted by Biewend et al, none of the twenty patients with primary localized amyloidosis developed systemic disease during the follow-up of 7.6 years.2 This suggests that in primary bladder amyloidosis, there is a low risk of progression to additional sites.
There is a paucity of evidence reporting on bladder amyloidosis having a malignant change or being associated with transitional cell or squamous cell carcinoma.3, 4 However, in 2012, a 64-year man with primary bladder amyloidosis was presented with high-grade urothelial cancer with bone metaplasia and sarcomatoid change of bladder.2
More than 50% of the cases of bladder amyloidosis are initially diagnosed as bladder tumors.2 Computed tomography (CT) images of primary bladder amyloidosis are seen as bladder wall thickening, mass lesion or as a filling defect in the urinary bladder, making it difficult to distinguish from invasive bladder tumor or inflammatory lesion.5 Amyloid deposits often show hypo-intensity on T2-weighted images in Magnetic resonance Imaging (MRI), similar to that of transitional cell carcinoma.5 With this in mind, CT and MR may not be always useful in differentiating amyloidosis from other pathological conditions. Cystoscopically, amyloid deposits within the bladder are most often described as nodular or polypoidal lesions. This may mimic the appearance of primary urothelial carcinomas. Resultantly, bladder biopsy is the gold-standard in diagnostic tests for bladder amyloidosis. Amyloid type is identified by immunohistochemical studies.
Histological examination of the affected tissue using Congo-red stain shows a characteristic apple-green birefringence, which helps to differentiate the accumulation of amyloid material.1, 3 Rectal fat biopsy, urinary Bence Jones proteins, abdominal fat biopsy, serum electrophoresis, and serum amyloid P component (SAP) scintigraphy help to differentiate secondary amyloidosis from primary amyloidosis.4, 5 These techniques indicate the amyloid uptake in other organs.
Localized amyloidosis may not require any systemic treatment.3 Transurethral resection would be considered the mainstay for management of amyloid lesions. Partial cystectomy, or even robotic assisted laparoscopic cystectomy have been suggested for larger amyloid lesions, some studies have suggested the use of fulguration or laser therapy with periodic cystoscopic follow-up for the treatment of primary amyloid in urinary bladder.3, 5 Intravesical dimethyl sulfoxide installation and oral medications such as colchicine have also been recommended in the treatment of smaller lesions.1, 5
Long-term cystoscopic surveillance with close follow-up is recommended in cases of recurrent bladder amyloidosis.3 Transurethral re-resections are suggested as the treatment of choice in recurrent bladder amyloidosis. Cystectomy, simple or partial may also be considered as a second line in recurrent disease. The overall risk of progression to a significant urothelial malignancy is low.4
Conclusion
In summary, primary amyloidosis of the bladder is a rare clinical condition. It may present in a similar fashion to interstitial cystitis, carcinoma in situ, or even invasive urothelial malignancy. It is best diagnosed via cystoscopy and biopsy with subsequent histological analysis. Transurethral resection is the most common management strategy with recurrence rates being in the order of 30%–50%. Therefore these patients will require long-term cystoscopic surveillance.
Conflict of interest
The authors whose names are listed certify that they have NO affiliations with or involvement in any organisation or entity with any conflict of interest.
References
- 1.Auge B.K., Haluszka M.M. Primary amyloidosis of the bladder. J Urol. 2000;163:1867–1868. [PubMed] [Google Scholar]
- 2.Biewend M.L., Menke D.M., Calamia K.T. The spectrum of localized amyloidosis: A case series of 20 patients and review of the literature. Amyloid. 2006;13(3):135–142. doi: 10.1080/13506120600876773. [DOI] [PubMed] [Google Scholar]
- 3.Chan E.S., Ng C.-F., Chui K.-L. Primary bladder amyloidosis – case report of a patient with delayed upper urinary tract obstruction 3 years after the diagnosis. Amyloid. 2010 May;17(1):36–38. doi: 10.3109/13506121003619377. [DOI] [PubMed] [Google Scholar]
- 4.Gupta P., Hanamshetti S., Kulkarni J.N. Primary amyloidosis with high grade transitional cell carcinoma of bladder: A rare case report. J Cancer Res Ther. 2012;8(2):297–299. doi: 10.4103/0973-1482.98994. [DOI] [PubMed] [Google Scholar]
- 5.Kawashima A., Alleman W.G., Takahashi N. Imaging evaluation of amyloidosis of the urinary tract and retroperitoneum. Radiographics. 2011;31(6):1569–1582. doi: 10.1148/rg.316115519. [DOI] [PubMed] [Google Scholar]


