Abstract
A 56-year-old woman with a 10-year history of bilateral silicone breast implants presented to the ear, nose and throat outpatient clinic with a 2-month history of a right-sided neck lump. She was found to have a 1.3cm supraclavicular lymph node that gave the clinical impression of being reactive. Ultrasonography guided fine needle aspiration was inconclusive and initial review of subsequent computed tomography failed to identify a cause. This was followed by excisional biopsy of the lymph node, which revealed a silicone granuloma that was linked to a ruptured right-sided breast implant placed ten years previously. This case highlights the importance for otolaryngologists to consider silicone granuloma among the differential diagnoses of cervical lymphadenopathy in patients with a history of silicone breast implants. Recognising this differential diagnosis could avoid undue anxiety for patient and clinician regarding more serious pathology.
Keywords: Otolaryngology, Cervical lymphadenopathy, Silicone granuloma, Breast implants
Persistent cervical lymphadenopathy is a common reason for referral to otolaryngologists, both on a routine and urgent basis. Furthermore, isolated cervical lymphadenopathy in elderly patients needs to be investigated to rule out more serious pathology, thereby creating anxiety for both patient and clinician until definitive diagnosis is reached.1 Silicone granuloma is a recognised complication of ruptured silicone breast implants. However, most cases manifest as mediastinal or axillary pathology. To our knowledge, there are very few reported cases of silicone cervical lymphadenopathy in the UK.2 This report adds to the limited pool of evidence and highlights the importance for otolaryngologists to consider silicone lymphadenopathy among the differential diagnoses of neck lumps in patients with a history of silicone breast implants.
Case history
A 56-year-old woman presented to our ear, nose and throat (ENT) outpatient clinic with a 2-month history of persistent right-sided neck swelling. It was a painless mass, with no size fluctuations or discharge. At the time of discovery of the mass, she had not suffered any recent illnesses, dental work was up to date and there were no swallowing problems or weight loss. She was otherwise asymptomatic. She did not have any other swellings around her body.
The patient’s medical history included systemic lupus erythematosus and psoriatic arthritis, which were both well controlled. She was on regular prednisolone, aspirin, omeprazole and risedronate. Her surgical history included bilateral Poly Implant Prothése (PIP) silicone breast implants placed ten years previously, and open reduction and internal fixation of a left distal radial fracture three years previously.
On examination, there was a 1.5cm firm, smooth, mildly tender mass in the right supraclavicular fossa. Transmitted carotid pulsations were felt. Flexible nasoendoscopy performed at clinic was entirely normal with no masses detected. The clinical impression was that of a reactive lymph node.
Management
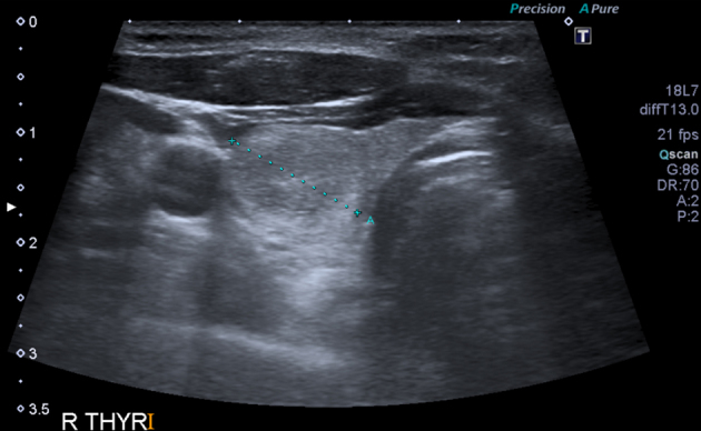
The patient underwent ultrasonography guided biopsy of the right neck because of the proximity of the lymph node to the neck vessels. The ultrasonography (Fig 1) showed a 1.3cm lesion with acoustic shadowing giving the impression of possible calcinosis but the nature of the lesion could not be discerned fully. Fine needle aspiration was equally inconclusive, showing multinucleated giant cells with foamy cytoplasm, and it could not rule out malignancy. The patient then underwent computed tomography (CT) of the neck and chest (Fig 2), which revealed an enlarged supraclavicular node that looked benign. Bilateral breast implants were also noted.
Figure 1.

Ultrasonography showing 1.3cm lymph node with acoustic shadowing
Figure 2.

Axial computed tomography of the neck showing enlarged right-sided supraclavicular lymph node (arrow), benign in appearance
Subsequent excisional biopsy of the lymph node revealed replacement of the majority of the node architecture with granulomatous reaction, which was strongly suggestive of a silicone granuloma. As a result, the CT was revisited (Fig 3), and there was evidence of rupture and discontinuity of the breast implant capsule at the inferolateral wall on the right side. The patient was therefore diagnosed with silicone granuloma cervical lymphadenopathy secondary to silicone breast implant rupture.
Figure 3.

Axial computed tomography of the chest showing discontinuity of breast implant capsule (arrow)
Outcome and follow-up review
The lymph node was completely excised and after discussion at our multidisciplinary team meeting, the patient was referred back to her breast surgeon, who removed the breast implants. She has since been re-referred with a recurrence of the right-sided cervical lymphadenopathy. However, it self-resolved and was presumed to be secondary to upper respiratory tract infection. She has been discharged and remains asymptomatic.
Discussion
Persistent cervical lymphadenopathy is a common reason for referral to an ENT outpatient clinic. The majority of cases are benign. Nevertheless, isolated cervical lymphadenopathy can be a presentation of a more serious condition (eg chronic infection or malignancy). Furthermore, patients over the age of 40 years are more likely to have a neoplastic cause. Consequently, if any doubt exists, patients should be thoroughly assessed and investigated to rule out serious pathology.1
Isolated lymphadenopathy is normally due to local disease (infection/malignancy) within its field of drainage. The lymph nodes in the lower part of the posterior triangle of the neck (level V) – including the supraclavicular nodes – drain the chest and abdomen, and can be a site of metastases for pathologies in those areas. Over a third (37.5%) of chest pathology can metastasise to the cervical lymph nodes.3
Breast augmentation is the most common cosmetic surgery procedure, with 11,135 procedures performed in the UK in 2013.4 Silicone breast implants have been used since the mid-20th century for breast augmentation procedures. PIP implants were withdrawn from the market in 2010 because of the use of industrial grade silicone that was reported to have up to 30 times the rate of rupture of other implants.5 Implant rupture is a recognised complication of all silicone implants, with a rate of about 1%. In fact, data from prospective work by Berry and Stanek showed that the rupture rate of PIP silicone implants to be between 18% and 31%.6
When ruptured, the leaked silicone filler gel can migrate elsewhere in the body. Most complications manifest as granulomas and axillary lymphadenopathy. The lateral cervical lymph nodes (including the supraclavicular nodes) are the principal cephalic lymphatic efferent as well as being the principal efferent retrograde from the thorax. There is therefore potential for axillary and nodal granulomatous reaction to cause supraclavicular adenopathies.2
In our patient, undue anxiety over diagnostic uncertainty arose from the fact that she had persistent isolated cervical lymphadenopathy with no obvious cause in the head and neck. Furthermore, she was not complaining of any chest disease. The integrity of the breast implants was not assessed on CT until after the excisional biopsy of the lymph node. Awareness of this diagnostic entity could have guided the otolaryngologists and informed multidisciplinary discussions, leading to earlier diagnosis.
Conclusions
Given the prevalence of breast augmentation procedures with silicone implants, it is prudent for otolaryngologists to ask for a history of such procedures in patients presenting with supraclavicular lymphadenopathy, especially when no other causes are identified. If histology is suggestive of a silicone granuloma, imaging of the breast implant should be performed to look for any rupture. Otolaryngologists should consider this pathology in cases of diagnostic uncertainty regarding isolated lymphadenopathy in the neck.
Acknowledgement
The authors are grateful to the ENT department at Antrim Area Hospital for facilitating case note retrieval and acquisition of figures.
References
- 1.Rosenberg TL, Brown JJ, Jefferson GD. Evaluating the adult patient with a neck mass. Med Clin North Am 2010; : 1,017–1,029. [DOI] [PubMed] [Google Scholar]
- 2.Omakobia E, Porter G, Armstrong S, Denton K. Silicone lymphadenopathy: an unexpected cause of neck lumps. J Laryngol Otol 2012; : 970–973. [DOI] [PubMed] [Google Scholar]
- 3.van Overhagen H, Brakel K, Heijenbrok MW et al. Metastases in supraclavicular lymph nodes in lung cancer: assessment with palpation, US, and CT. Radiology 2004; : 75–80. [DOI] [PubMed] [Google Scholar]
- 4.Annual Audit: Britain Sucks British Association of Aesthetic Plastic Surgeons. http://www.baaps.org.uk/about-us/audit/1856-britain-sucks (cited May 2016).
- 5.Department of Health Poly Implant Prothése (PIP) Breast Implants: Final Report of the Expert Group Leeds: DH; 2012. [Google Scholar]
- 6.Berry MG, Stanek JJ. The PIP mammary prosthesis: a product recall study. J Plast Reconstr Aesthet Surg 2012; : 697–704. [DOI] [PubMed] [Google Scholar]
