Predicting and preventing preterm labour and choosing the safest method of delivery are important challenges in reducing the number of preterm births and improving outcomes for mother and baby. This article covers the predictive tests, methods of prevention, maternal and fetal indications for preterm birth, and various approaches to delivery.
Figure 1.
Length of the endocervix can be measured using transvaginal sonography
Prediction
Most preterm deliveries follow spontaneous onset of preterm labour or preterm prelabour rupture of the amniotic membranes (pPROM). Much work has been done (with limited success) to find diagnostic tests that predict accurately if a woman who is at risk of preterm delivery will go on to deliver preterm. For these women, who may have a history of preterm birth or clinical signs of preterm labour, such tests would allow early and targeted use of antenatal interventions. These interventions, especially antenatal corticosteroids, improve neonatal and long term outcomes for preterm infants.
Table 1.
Antenatal corticosteroids
| • Reduce perinatal mortality, respiratory distress syndrome, and intraventricular haemorrhage |
| • Have maximum benefit when delivery occurs 24 hours to seven days after treatment |
| • When fetus remains undelivered repeated courses have uncertain benefit |
The most common clinical tests used to determine the risk of preterm labour are transvaginal sonography (to measure the length of the endocervix) and the cervicovaginal fetal fibronectin test. These tests have high negative predictive values—that is, if results are negative then the women probably will not progress to preterm delivery. Although there does not seem to be a role for routine use of the fibronectin test or transvaginal sonography to screen women for preterm birth, women thought to be at high risk can be reassured by negative results. This may help women to avoid unnecessary interventions such as antenatal transfer to a distant perinatal unit.
Table 2.
Cervicovaginal fetal fibronectin test
| Fibronectin is: |
| • Glycoprotein in amniotic fluid or placental tissue |
| • Released because of damage to membrane of placenta |
| • Measured from cervical or vaginal swabs |
Prevention
Current medical approaches to preventing preterm labour include the use of tocolytic drugs, antibiotic treatment, and cervical cerclage.
Tocolytic drugs
Tocolytic drugs can delay the progress of preterm labour in the short term but maternal side effects include hypotension, tachycardia, and fluid overload. No evidence exists to show that tocolysis improves perinatal outcomes; however, the delay in delivery may allow enough time to give the woman antenatal steroids or to arrange her transfer to a perinatal centre with neonatal intensive care facilities if needed.
Table 3.
Tocolytic drugs
| • β2 agonists |
| • Calcium channel blockers |
| • Prostaglandin synthetase inhibitors |
| • Magnesium sulphate |
| • Oxytocin antagonists |
Antibiotic treatment
The recent ORACLE II trial concluded that antibiotics should not be prescribed routinely for women in preterm labour who have intact fetal membranes and no evidence of clinical infection.
A systematic review of randomised controlled trials (including the large ORACLE I trial) indicated that antibiotics for preterm prelabour membrane rupture prolong pregnancy and reduce the incidence of neonatal infection. Antibiotic prophylaxis, however, is not associated with a substantial reduction in perinatal mortality. Long term follow up data from ORACLE I will show if antibiotic prophylaxis affects neurodevelopmental impairment in preterm infants born after prelabour membrane rupture.
When fetal membranes are intact, with no signs of clinical infection, antibiotics do not seem to prolong pregnancy or improve neonatal health
Cervical cerclage
Reports conflict over the value of prophylactic, therapeutic, or rescue cervical cerclage for women at risk of preterm labour because of cervical incompetence. A systematic review indicates that this invasive procedure should be considered only for women at very high risk of miscarriage in the second trimester or extremely preterm labour. Identifying these women is not easy. Further large randomised controlled trials are needed.
Figure 2.

Abdominal circumference shown on ultrasonography is used to assess fetal growth
Screening for bacterial vaginosis
Bacterial vaginosis is overgrowth of anaerobic bacteria in the vagina. It can predispose women to preterm delivery. Current evidence does not support screening and treating asymptomatic pregnant women for bacterial vaginosis. For women with a history of preterm birth, detecting and treating bacterial vaginosis early in pregnancy may prevent a proportion of these women having a further preterm birth.
Figure 3.
Effect of use of antibiotic for bacterial vaginosis on preterm birth compared with placebo. Adapted from Macdonald H et al. Cochrane Database Syst Rev 2003;2: CD000262.
Maternal and fetal indications
About 15% to 25% of preterm births are caused by obstetric or medical complications of pregnancy. Obstetric complications such as pre-eclampsia may result in maternal morbidity or mortality and perinatal death if the infant is not delivered. Maternal risks of pre-eclampsia include eclamptic seizures, cerebral haemorrhage, HELLP (haemolysis, elevated liver enzymes, low platelets) syndrome, and maternal death.
Women with diabetes, renal disease, autoimmune disease, and congenital heart disease need intensive surveillance. Preterm delivery may be indicated because of deterioration of maternal or fetal health, and obstetric complications may occur.
Figure 4.
Many factors must be taken into account when deciding the timing and type of delivery
When planning the timing and mode of delivery of preterm infants in these circumstances, it is necessary to weigh the risks to the mother and fetus of continuing the pregnancy against the risks of preterm birth and delivery. With the potentially compromised very preterm fetus, the aim is to allow the pregnancy to continue to a point before damage occurs without taking unnecessary risks that may harm the mother.
Several tests of fetal wellbeing are available. In high risk pregnancies, fetal growth is usually monitored using serial ultrasonography to measure circumference of the head and abdominal girth. A fall in the growth velocity of the abdominal circumference indicates intrauterine growth restriction.
Figure 5.
Growth charts are used to plot the circumference of the head and abdomen over time (menstrual weeks). This chart shows the progress of a fetus with intrauterine growth restriction
Cervical cerclage is circumferential suturing around the cervical os
Cardiotocography and fetal biophysical profiling are two tools often used to determine the physiological status of the potentially compromised fetus. Unfortunately these tools have no benefit in predicting and preventing poor outcomes in high risk pregnancies. Some evidence shows, however, that computerised cardiotocography is more accurate in predicting poor outcome than subjective clinical assessment alone. The biophysical profile takes into account the tone, movement, breathing, heart rate pattern of the fetus, and liquor volume.
Figure 6.
Monitoring the fetal heart rate can help determine the physiological wellbeing of the fetus. This cardiotocogram shows fetal tachycardia with reduced variability and decelerations
Doppler
Doppler measurement of fetoplacental blood velocity may be a more useful test of fetal wellbeing than cardiocotography or biophysical profiling. Umbilical arterial blood flow becomes abnormal when there is placental insufficiency—for example, secondary to pre-eclampsia. A recent systematic review of randomised controlled trials did not indicate that Doppler measurement of fetoplacental blood velocity is associated with a substantial reduction in perinatal mortality. Additionally, there is uncertainty over the ideal frequency of examination and the optimum threshold for intervention. Umbilical artery Doppler ultrasonography to detect fetal compromise is part of routine obstetric practice for high risk pregnancies in many countries, so there may not be further randomised controlled trials in high risk populations.
Recent studies have investigated the use of middle cerebral artery and ductus venosus Doppler waveforms in evaluating cardiovascular adaptations to placental insufficiency. Results are promising, although the effect on important outcomes when used as part of clinical practice has yet to be evaluated.
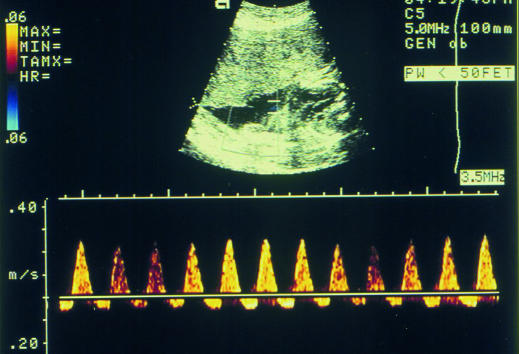
Figure 7.
Doppler measurement of umbilical arterial flow is used to test fetal wellbeing. This recording shows reversed end diastolic velocity waveform
Preventing pre-eclampsia
Women who have had pre-eclampsia can be given low doses of aspirin in a future pregnancy. In a systematic review of randomised trials that involved over 30 000 women, prophylactic antiplatelet treatment that was started in the first trimester reduced the risk of recurrent pre-eclampsia and stillbirth and neonatal death by about 15%.
Calcium supplements in the diet can reduce the risk of hypertension and pre-eclampsia associated with pregnancy for women at high risk, and in communities with a low intake of dietary calcium.
Figure 8.

Doppler measurement of middle cerebral arterial flow. Abnormal waveforms can show cardiovascular adaptations to placental insufficiency
Mode of delivery
Vaginal delivery of the preterm infant is associated with lower maternal morbidity than delivery by caesarean section. It is important, however, to consider the following points:
Obstetric history
Likely interval between induction and delivery in the context of deterioration of maternal health
Probability of achieving a vaginal delivery versus risk of emergency caesarean section
Presentation and prelabour condition of the fetus.
Breech delivery
In developed countries with good antenatal services most term breech pregnancies are managed by elective caesarean section, as are many multiple pregnancies. The increase in caesarean sections has caused a loss of obstetric skill in vaginal delivery of breech and multiple pregnancies. Most planned preterm breech and twin pregnancies are delivered by elective caesarean section even though there is no clear evidence of benefit.
Induction of labour is most likely to be successful in a woman with a favourable cervix (as assessed by the Bishop score) who has had no caesarean sections and has a history of vaginal delivery
Extremely preterm birth
When planning preterm delivery before 26 weeks' gestation, it is important to consider the overall reproductive outcome for the mother. The choice of the most appropriate mode of delivery for extremely preterm infants is affected by the difficulty in carrying out a lower segment caesarean section at such early gestations and the potential for substantial fetal trauma. Classic (vertical incision) caesarean section presents major risks for the mother. After classic caesarean section, elective caesarean section for subsequent pregnancies is mandatory because there is an increased risk of uterine rupture and perinatal death. These issues are difficult for prospective parents and any discussion is limited by a lack of robust evidence to guide practice.
Conclusion
Predicting and preventing preterm labour remain elusive goals. Greater numbers of preterm deliveries are planned because of early recognition of obstetric complications, an increase in women who plan pregnancies in the context of medical disorders, and a lowering in the threshold for viability. The aim in these circumstances is to achieve a timely delivery by the safest route possible. Advances in neonatal care have improved perinatal outcome considerably, but the falling threshold of viability has created a new set of dilemmas for parents and carers.
Deirdre J Murphy is professor of obstetrics and gynaecology, Maternal and Child Health Services, Ninewells Hospital and Medical School, Dundee.
The photograph of transvaginal sonography measuring cervical length is courtesy of the Fetal Medicine Foundation, London, and the remaining images are courtesy of Professor Phillipa Kyle.
The ABC of preterm birth is edited by William McGuire, senior lecturer in neonatal medicine, Tayside Institute of Child Health, Ninewells Hospital and Medical School, University of Dundee; and Peter W Fowlie, consultant paediatrician, Perth Royal Infirmary and Ninewells Hospital and Medical School, Dundee. The series will be published as a book in spring 2005.
Competing interests: DJM has provided expert opinion on preterm birth in medicolegal cases. For WMcG's competing interests see first article in the series.
References
- • Crowley P. Prophylactic corticosteroids for preterm birth. Cochrane Database Syst Rev 2003;(4): CD000065. [DOI] [PubMed]
- • Honest H, Bachmann LM, Gupta JK, Kleijnen J, Khan KS. Accuracy of cervicovaginal fetal fibronectin test in predicting spontaneous preterm birth: systematic review. BMJ 2002;325: 301-4 [DOI] [PMC free article] [PubMed] [Google Scholar]
- • King J, Flenady V. Prophylactic antibiotics for inhibiting preterm labour with intact membranes. Cochrane Database Syst Rev 2003;(4): CD000246. [DOI] [PubMed]
- • Kenyon S, Boulvain M, Neilson J. Antibiotics for preterm rupture of membranes. Cochrane Database Syst Rev 2003;(4): CD001058. [DOI] [PubMed]
- • Knight M, Duley L, Henderson-Smart DJ, King JF. Antiplatelet agents for preventing and treating pre-eclampsia. Cochrane Database Syst Rev 2003;(4): CD000492. [DOI] [PubMed]
- • Hofmeyr GJ, Atallah AN, Duley L. Calcium supplementation during pregnancy for preventing hypertensive disorders and related problems. Cochrane Database Syst Rev 2003;(4): CD001059. [DOI] [PubMed]
- • Neilson JP, Alfirevic Z. Doppler ultrasound for fetal assessment in high risk pregnancies. Cochrane Database Syst Rev 2003;(4): CD000073. [DOI] [PubMed]






