Abstract
A 68 year old lady presented to urology department suffering from acute urinary retention. The U/S revealed hydronephrosis in left kidney and a mass at the left side of the small pelvis which pushed forward the uterus and the bladder. The CT scan confirmed a mixed (solid and cystic) mass, with diameter of 12 cm with interpretation of the left ovary. The patient underwent laparotomy and the mass was excised after a difficult dissection due to severe adhesion with the bowel. The well-capsulated mass was a retained surgical sponge. The patient had undergone cesarean procedure 29 years ago.
Keywords: Gossypiboma, Retained surgical sponge, Urinary retention
Introduction
Retained surgical foreign body is a serious medical error. The most common retained foreign body is the surgical sponge. Nowadays there is an established practice for the nurses to measure very carefully all the surgical sponges which have been used during an operation procedure. Additionally the radiopaque marker strips inside the sponges are wide spread all over world.1 Although all previous statements, the reports of this technical oversight present only the top of an iceberg as retained surgical sponges are seldom reported due to medicolegal implications.2 Intestinal obstruction is the most common late complication of this condition but other symptoms have been reported such as abdominal palpable mass, pain, nausea and vomiting, rectal bleeding, or diarrhea.1 General symptoms may be present such as fever and weight loss. Coughing and dyspnea can be present if there is exogenous compression on the respiratory system. Dysuria has also been reported as the result of urinary tract compression. On the other hand most of the reported cases presenting symptoms in a late postoperative period but symptomatic turnover are rare reported after 25 years. Herein, we report a case of urinary retention, as the only symptom, due to gossypiboma, 29 years after cesarean procedure. To our knowledge this the first time that urinary retention is the only symptom of this condition.
Case presentation
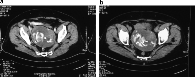
A 68 year old, Caucasian lady presented to urology department suffering from acute urinary retention. There were no LUTS (Low Urinary Track Symptoms) in her history and she did not mention recurrent Urinary Tract Infections (UTI's). The patient underwent intermittent catheterization and 530 mL of urine were evacuated. The drop strip test was negative for nitrates and leukocytes and all the other parameters were in the normal area. Patient got the recommendation to evaluate the urinary tract by U/S. Eight hours later she had a recurrent retention. The U/S revealed a medium degree of hydronephrosis in left kidney and a mass at the left side of the small pelvis which pushed forward the uterus and the bladder. An ovarian or intestinal tumor was suspected and patient evaluated further with CT scan, tumor markers measurement and colonoscopy. CT scan revealed a mixed (solid and cystic) mass (Fig. 1a and b), with diameter of 12 cm with interpretation of the left ovary. All tumor markers were negative. Colonoscopy was normal, as well. The patient underwent laparotomy and the mass was excised after a difficult dissection due to severe adhesion between the mass and the bowel. No enterectomy was required. The well-capsulated mass was a retained surgical sponge. The patient had undergone cesarean procedure 29 years ago.
Figure 1.
(a and b) CT scan revealed a mixed (solid and cystic) mass, with diameter of 12 cm.
Discussion
Signs and symptoms of gossypiboma are variable and depend on the location of the sponge and the type of tissue reaction to foreign body. The sponges are inert in human tissue and do not undergo decomposition. There are 2 types of foreign body reaction in pathology3, 4: The first type consist an exudates reaction leading to relative early postoperative complications such as abscess formation or chronic internal or external fistula formation. The second type of reaction is defining as an aseptic fibrinous reaction resulting in adhesion, encapsulation, and eventual formation of granuloma of various sizes. After this type of reaction gossypibomas usually remain asymptomatic or present with pseudotumor syndrome, as in this case. We demonstrate the pathology pictures of our case (Figure 2, Figure 3).
Figure 2.

Fibrous capsule with bleeding and chronic inflammation (magnification ×40).
Figure 3.

Multinuclear giant cells around foreign body (magnification ×200).
Conclusion
Retained surgical sponges may lead to aseptic fibrinous response that creates adhesions and encapsulation, resulting in eventual formation of granuloma. They usually remain asymptomatic or present with pseudotumor syndrome causing intestinal obstruction most of the times. To our knowledge this the first time that urinary retention is the only symptom of this condition.
Conflict of interest
None. This research did not receive any specific grant from funding agencies in the public, commercial, or not-for-profit sectors.
Consent
Retained and available by author.
Acknowledgements
None.
References
- 1.Wan W., Le T., Riskin L., Macario A. Improving safety in the operating room: a systematic literature review of retained surgical sponges. Curr Opin Anaesthesiol. 2009 Apr;22(2):207–214. doi: 10.1097/ACO.0b013e328324f82d. [DOI] [PubMed] [Google Scholar]
- 2.Irabor D.O. Under-reporting of gossypiboma in a third-world country. A sociocultural view. Niger J Med. 2013 Oct–Dec;22(4):365–367. [PubMed] [Google Scholar]
- 3.Sun H.S., Chen S.L., Kuo C.C. Gossypiboma-retained surgical sponge. J Chin Med Assoc. 2007 Nov;70(11):511–513. doi: 10.1016/S1726-4901(08)70051-0. [DOI] [PubMed] [Google Scholar]
- 4.Gibbs V.C., Coakley F.D., Reines H.D. Preventable errors in the operating room: retained foreign bodies after surgery. Curr Probl Surg. 2007;44:281–337. doi: 10.1067/j.cpsurg.2007.03.002. [DOI] [PubMed] [Google Scholar]

