Description
A 30-year-old male with type 1 diabetes mellitus presented with diabetic ketoacidosis, acute kidney injury, and respiratory failure requiring emergent venous access and intubation. A left femoral triple lumen catheter (TLC) was inserted by an internal medicine resident with attending supervision. There were no reported complications. Fourteen days later, interventional radiology retrieved an “extra wire” via the right internal jugular vein at the time of hemodialysis catheter insertion. This was determined to be the guidewire from the prior femoral TLC placement. On retrospective review of imaging, the guidewire can be seen on an echocardiogram (Fig. 1, online video) and multiple chest radiographs (Fig. 2) obtained between TLC insertion and guidewire retrieval. This “inattentional blindness,” in which an unexpected visual finding is overlooked when focusing on a different task, was a substantial contributor to this medical error.1 The patient did not suffer any complications from the retained guidewire, and the error was disclosed to the patient. While more than 5 million central venous catheters are placed in the United States yearly,2 intravascular loss of complete guidewires represents a rare and serious complication that is preventable with standardized insertion technique and adequate trainee supervision.3
Figure 1.
Transthoracic echocardiogram, demonstrating the guidewire ( thick arrows ) in the inferior vena cava ( thin arrow ) and right atrium ( asterisk ).
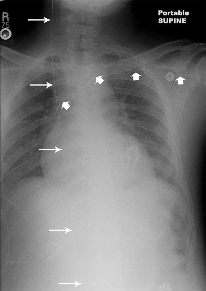
Figure 2.
Chest X-ray, with the retained guidewire in the inferior and superior vena cava ( thin arrows ) and left subclavian intravascular catheter ( thick arrows ).
Electronic supplementary material
Below is the link to the electronic supplementary material.
Transthoracic echocardiogram, with the retained guidewire traversing through the inferior vena cava into the right atrium, moving with each cardiac cycle. (MOV 922 kb)
Compliance with Ethical Standards
Conflict of Interest
The authors declare that they do not have a conflict of interest.
Footnotes
Electronic supplementary material
The online version of this article (doi:10.1007/s11606-016-3798-8) contains supplementary material, which is available to authorized users.
Contributor Information
Allen F. Shih, Phone: (973)9601056, Email: allen.shih@yale.edu.
Christopher Sankey, Phone: (203)645-1881, Email: christopher.sankey@yale.edu.
REFERENCES
- 1.Drew T, Vo ML-H, Wolfe JM. The invisible gorilla strikes again: sustained inattentional blindness in expert observers. Psychol Sci. 2013;24(9):1848–1853. doi: 10.1177/0956797613479386. [DOI] [PMC free article] [PubMed] [Google Scholar]
- 2.McGee DC, Gould MK. Preventing complications of central venous catheterization. N Engl J Med. 2003;348(12):1123–1133. doi: 10.1056/NEJMra011883. [DOI] [PubMed] [Google Scholar]
- 3.Schummer W. Loss of the guide wire: mishap or blunder? Br J Anaesth. 2002;88(1):144–146. doi: 10.1093/bja/88.1.144. [DOI] [PubMed] [Google Scholar]
Associated Data
This section collects any data citations, data availability statements, or supplementary materials included in this article.
Supplementary Materials
Transthoracic echocardiogram, with the retained guidewire traversing through the inferior vena cava into the right atrium, moving with each cardiac cycle. (MOV 922 kb)


