Abstract
Background
3-Hydroxy-3-methylglutaryl-coenzyme A (HMG-CoA) lyase deficiency is a rare inborn error of metabolism characterized by recurrent metabolic crises caused by fasting, intercurrent illness and excessive physical exercise. Non ketotic hypoglycemia is normally the cause of primary symptoms but without an immediate treatment the illness can evolve into a worsening metabolic state resembling the Reye’s syndrome that may cause the patient’s death. We report a case with some clinical and therapeutic features not previously described.
Case presentation
Patient with HMG-CoA lyase deficiency whom after diagnosis at 2 years of age was re-admitted 12 years later, after severe metabolic decompensation following consumption of alcohol. Despite a quick correction of hypoglycemia, within the following few hours, the patient fell into a coma. Suspecting intracranial hypertension (ICH), the patient required mechanical ventilation. Although liver cytolysis was minimal, hyperamoniemia reached 1394 μmol/L, returning to normal, a few hours after administering sodium phenylacetate and sodium benzoate, whose use has not been reported in these patients. Brain edema was evidenced in the computed tomography and by the magnetic resonance imaging that determined that the edema was cytotoxic, as quantified with the restriction of diffusion in the apparent diffusion coefficient map. During the recovery of the ICH, we belatedly, detected vasospasm moderate-severe that was treated with nimodipine. Currently, the patient maintains clinical normality.
Conclusions
The alcohol consumption must be avoided in patients with HMG-CoA lyase deficiency. In our patient hyperamoniemia was effectively treated with sodium phenylacetate and sodium benzoate. Magnetic resonance imaging showed and quantified the cytotoxic brain edema. Belatedly, a cerebral vasospasm was an additional mechanism of cerebral injury. None of these observations has been previously reported.
Keywords: HMG-CoA lyase deficiency, Reye-like syndrome, Alcohol consumption, Hyperamoniemia, Sodium phenylacetate and sodium benzoate, Cytotoxic brain edema, Cerebral vasospasm
Background
3-Hydroxy-3-methylglutaryl-coenzyme A (HMG-CoA) lyase deficiency is a recessive autosomal hereditary disease described for the first time by Faull et al. [1]. This mitochondrial enzyme catalyzes the cleavage of HMG-CoA to form acetyl-CoA and acetoacetate, which is the common final step of ketogenesis and leucine degradation [2]. The illness is characterized by recurrent metabolic crises which generally start in the early neonatal period (30%) or in the first year of life (60%) [3]. These crises are caused by fasting, intercurrent illness and excessive physical exercise [2].
The non ketotic hypoglycemia is normally the cause of primary symtoms. But the illness can evolve into a worsening metabolic state resembling the Reye’s syndrome [3]. Such crises can cause death in 20% of cases and serious long term health predicaments such as psychomotor retardation, epilepsy, hepatic steatosis, pancreatitis or dilated cardiomyopathy [2].
Patients with HMG-CoA lyase deficiency show a diagnostic urinary organic acids pattern [1, 4]. Confirmation diagnosis requires determining the enzyme activity or a genetic study. The altered gene is the HMGCL, located on chromosome 1p36.1 and 48 mutations have been identified [5, 6]. The most common in Mediterranean countries and the second most common in the world is the E37X [7, 8].
We report a new case of HMG-CoA lyase deficiency whom after the diagnosis at 2 years of age was once again re-admitted 12 years later, after severe metabolic decompensation following consumption of alcohol.
Case presentation
Following 12 h of food rejection and vomiting, due to a cold, our 2 years old Spanish child was admitted into the Pediatric Intensive Care Unit (PICU) with clinical symptoms of hypoactivity, hypotonia, vomiting and transient loss of consciousness. The patient had no previous illness of interest. The patient’s parents were Moroccan, consanguineous and without any illness of note.
Patient examination on admission showed a Glasgow Coma Scale (GCS) of 13–14, tiredness, hypotonia and mild hepatomegaly. Vital signs were all normal. Blood analysis highlighted severe hypoglycemia (29 mg/dL) without ketosis, moderate metabolic acidosis and hyperlactatemia (10.3 mmol/L). The ammonium level was slightly elevated (86.7 μmol/L). Following the intravenous administration of glucose there was an immediate and sustained stabilization of blood glucose. The following 12 h also saw the normalization of metabolic acidosis, hyperlactatemia and consciousness. An electroencephalogram (EEG) showed no significant pathological alterations and the magnetic resonance imaging (MRI) indicated small hyperintensity in FLAIR and T2 sequences in the frontal subcortical white matter suggestive of demyelination areas. The metabolic study showed increased urinary metabolites of leucine, suspecting HMG-CoA lyase deficiency. The diagnostic confirmation was done via a genetic study: the patient was homozygous for the E37X mutation. The patient received treatment with L-carnitine and outpatient control until 3 years of age when he cut short his attendance.
At 14 years of age, he returned to our Pediatric Emergency Department due to a loss of consciousness following vomiting brought on by alcohol consumption a few hours before (3 vodkas with coke). The family made no reference to previous illnesses or admissions, excepting some infant resolved episodes of hypoglycemia. On examination the patient was unconscious, with ocular revulsion, generalized tremors and hypertonia, suggestive of generalized tonic seizure. All other vital signs were as normal. A blood analysis highlighted severe hypoglycemia (8 mg/dL) without ketosis, metabolic acidosis (pH 7.28, pC02 32.4 mmHg, HC03 − 14.9 mEq/L, base excess −10.4 mEq/L) and hyperlactatemia (5.6 mmol/L). The biochemical blood evolution is shown in Table 1. A quick correction of hypoglycemia was performed with intravenous administration of glucose, which led to an initial recovery of the patient’s awareness (GCS 13–14).
Table 1.
Blood biochemistry evolution. N-Carbamil glutamate (100 mg/kg through nasogastric tube) was administered at 2 h after PICU admission, and Sodium phenylacetate and sodium benzoate (Ammonul® 55 mL/m2) was administered after 8 h. A rapid increase in hyperammonemia may be observed, peaking at 7 h after admission to the PICU and a subsequent rapid decline to normalization between 14 and 19 h. The liver and Kidney function improved from 24 h of hospital admission. AST, aspartate aminotransferase; ALT, alanine aminotransferase; PT, Prothrombin Time; QI, Quick index; APTT (sec) activated partial thromboplastin time; CK, creatine phosphokinase; CRP, C-reactive protein
| PICU Admission | 6 h | 7 h | 11 h | 14 h | 19 h | |
| Ammonium (μmol/L) | 669 | 1075 | 1394 | 522 | 70,6 | 24,4 |
| Hospital Admission | 12 h | 24 h | 48 h | 72 h | 5° day | |
| Urea (mg/dL) | 39 | 48 | 102 | 69 | 53 | 35 |
| Creatinine (mg/dL) | 0.92 | 1.25 | 1.31 | 0.94 | 0.59 | 0.41 |
| Uric acid (mg/dL) | - | - | - | 13.4 | 11.1 | 5.9 |
| AST/ALT (U/L) | 74/42 | 172/92 | 157/104 | 82/82 | 42/58 | 38/54 |
| Total Bilirubin (mg/dL) | 1.83 | 2.2 | 0.86 | 0.83 | 0.65 | 0.37 |
| PT (sec) / QI (%) | 19.8/51 | 25.8/35 | 26.7/32 | 16.3/65 | 11.1/100 | - |
| APTT (sec) | 30.2 | 31 | 37.5 | 37.3 | 30 | - |
| Factor VII (%) | - | - | 16.8 | 45.2 | - | - |
| D-dimer (ng/mL) | - | 161 | - | 410 | 457 | - |
| CK (U/L) | 285 | - | 718 | 257 | 132 | - |
| CRP (mg/L) | 2.4 | 2.4 | 2.2 | 65.7 | 121.4 | 16 |
Despite maintaining normal glucose levels, the following 4 h witnessed further neurological deterioration, alternating between phases of agitation and progressive lethargy. Suspecting intracranial hypertension (ICH), the patient was admitted to the PICU. Treatment was initiated with anti-edema measures (mannitol, furosemide and postural treatment), and intravenous administration of L-carnitine (100 mg/kg). After the first measurement of ammonium, carglumic acid was administered through a nasogastric tube. An urgent cranial computed tomography (CT) scan was performed, which detected chronic defects in white matter but without signs of cerebral edema. In the 8 h after PICU admission there was a continued deterioration to GCS < 9. The patient required invasive mechanical ventilation. In order to treat the hyperammonaemia sodium phenylacetate and sodium benzoate was administered intravenously and although continuous venovenous haemodiafiltration was prepared, it was not used due to a rapid decline in hyperammonaemia until complete normalization within a few hours (Table 1).
Using bispectral index monitoring (BIS), electrical brain activity registered values between 25–40. At 24 h the EEG showed severe and generalised signs of slowdown in cerebral bioelectrical activity, transcranial Doppler (TCD) a diffuse slight-moderate increase of the pulsatility index (1.1–1.3), compatible with mild ICH, and CT scan showed a diffuse worsening in the cortical-subcortical differentiation and a decreased size of ventricles and subarachnoid space. All consistent with cerebral edema.
At 48 h, the EEG detected a presence of slow waves but with remarkable bioelectrical improvement, by which sedation was withdrawn. The TCD showed an increase in average speeds (180–190 cm/s) in all the territories with predominance in the left hemisphere, compatible with moderate-severe vasospasm. Thus treatment was started with intravenous nimodipine. The patient maintained BIS values <50 in the following 12 h, later waking up and being subsequently extubated after 72 h of PICU admission (GCS 13–14). The subsequent MRI showed hyperintensity white matter signals in FLAIR and T2 sequences, in relation to base metabolic leucoencephalopathy (Fig. 1a), but also indicated new sources which in the diffusion-weighted imaging, showed a reduced apparent diffusion coefficient (ADC) indicative of cytotoxic edema (Fig. 2a).
Fig. 1.

Axial section MRI T2-weighted sequences at 72 h. Image a indicates an increased intensity in white matter of diffuse bilateral distribution. Image b taken after 8 months; indicates resolution of the previous diffuse affectation, however the appearance of specific areas with increased signal in the periventricular brain parenchyma predominantly of the left side, indicative of definitive residual injury
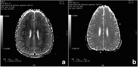
Fig. 2.

Diffusion-Weighted Imaging in MRI, comparing the ADC map, at 72 h (Image a) and after 8 months (Image b). It may be observed that the circular region of interest to determine the ADC value in both images: with values of: 0,4 × 10−3 mm2/s at 72 h (restricted diffusion), whilst after eight months the value was 0.7 × 10−3 mm2/s (normal ADC map value)
On the 8th day neurological examination was normal as that of EEG and TCD testing, withdrawing treatment with nimodipine. Once again, when the patient was discharged we recommended continued treatment with L-carnitine. The MRI performed at 8 months indicated a normalization of ADC, but with the presence of specific areas with increased signal in T2 and FLAIR sequences indicative of definitive residual injury in the periventricular brain parenchyma as well as those areas of previous demyelination (Figs. 1b and 2b). Currently, the patient maintains clinical normality.
Discussion
In patients with HMG-CoA lyase deficiency the main mechanism that produces fasting hypoglycemia is an excess of glucose use by the peripheral tissues, since these cannot have ketones nor free fatty acids for oxidation, due to the shortfall of secondary carnitine. This deficit is the result of the excess of acyl-CoA, which after esterification to acyl-carnitine, is lost in the urine [2, 4, 6]. For these reasons, these patients should maintain dietary supplementation with L-carnitine (75–100 mg/kg/day) [9]. Our patient did not follow this recommendation at the age of 14, probably because the patient remained asymptomatic for several years and the family lost consciousness of the chronic nature of this illness. It is possible that this deficit facilitates the development of Reye’s syndrome, as has been described in other enzymatic defects of fatty acid oxidation. In addition, in this episode the consumption of alcohol could aggravate the metabolic crisis by blocking the neoglucogenesis from pyruvate.
As mentioned, the illness may evolve to a Reye syndrome and has been reported to cause severe cytolysis. However, in our patient only a minimum elevation of transaminases occurred. Therefore, the absence of hepatic cytolysis does not preclude the existence of a serious hepatic encephalopathy. For these reasons, the blood levels of ammonium must be determined in any decompensation. In our patient intravenous benzoate and sodium phenyl acetate has been a very effective treatment of hyperammonaemia. It has been suggested that this treatment could be useful in these patients [10] but has not been reported previously. The evolution of Quick index and Factor VII suggest that the liver synthesis function was also affected. The normal values of D-dimer support this hypothesis. The minimal cytolysis could also explain the rapid normalization of liver function and the recovery of the patient with detox and supportive treatment in PICU.
Characteristically, the neuroimaging studies carried out on these patients show diffuse cerebral white matter hypodensity on CT scan and hyperintensity on T2 weighted MRI studies [3, 5]. However, there is less information on the findings of the neuroimaging tests during an acute episode. In the MRI, we detected that the cerebral edema was of the cytotoxic type with the restriction of diffusion in the ADC map. In it, the swelling cell produces a decrease in the extracellular space and a decrease in the molecular diffusion that is quantified and that in our patient was diminished in the initial study, normalizing in the test carried out 8 months later. This finding has not been previously described.
Cerebral infarction in these patients has been related with biochemical mechanism and not with loss of blood supply [11]. However, in addition to the ICH, in our patient the TCD performed at 48 h detected another vascular mechanism of brain injury not previously described. As such the vasospasm could have belatedly aggravated cerebral ischemic damage after the improvement of the ICH. Perhaps this mechanism could explain the ischemic cerebral infarction with vascular distribution described by Huemer et al. that occurred 4 days after metabolic decompensation [12]. Despite the apparent full clinical recovery of our patient, it should be noted that the MRI performed after 8 months detected residual injuries in the periventricular area of cerebral parenchyma of left dominance, where the vasoespasm detected by TCD was greater. For this reasons we think that TCD monitoring must be used in this patients.
It has been reported by several authors that with age there is an increased tolerance to fasting [2, 10]. However, we want to point out that this genetic disease does not heal. Thus, in our patient the most serious metabolic crisis occurred 12 years after diagnosis, when the family had already lost conscientious awareness of the disease. For these reasons, the family must be made aware of the chronic nature of the disease.
Conclusions
The alcohol consumption must be avoided in patients with HMG-CoA lyase deficiency because it can precipitate and exacerbate the Reye-like syndrome episodes. The absence of hepatic cytolysis does not preclude the existence of a serious hepatic encephalopathy. In our patient hyperamoniemia was effectively treated with sodium phenylacetate and sodium benzoate. In the acute episode MRI showed and quantified the cytotoxic brain edema. Belatedly, a cerebral vasospasm was an additional mechanism of cerebral injury. Finally this patients must avoid fasting and maintain L-carnitine supplementation.
Acknowledgements
Grateful thanks to all the staff of the PICU for their undivided dedication to the care of children and their families. Dra. Adela Meseguer and Dra. Rosario Gil for her continuous support. And James Peters for his assistance in language translation.
Funding
The authors do not have funding for this study.
Availability of data and materials
All data here presented are collected in the medical record of the patient, which can be consulted with the appropriate authorizations.
Authors’ contributions
JIMB Pediatrician responsible for patient care in PICU, clinical case analysis, literature review and drafting the article. MCOS clinical case analysis, literature review and drafting the article. JLL evaluation of RM images, revising the intellectual content of the article. All authors read and approved the final manuscript.
Competing interests
The authors declare that they have no competing interests.
Consent for publication
Informed consent from parents was obtained.
Ethics approval and consent to participate
The Ethics Committee of the Hospital Clínico Universitario of Valencia (Spain) approved the publication of this case report.
Abbreviations
- ADC
Apparent diffusion coefficient
- BIS
Bispectral index
- CT
Computed tomography
- EEG
Electroencephalogram
- FLAIR
Fluid-attenuated inversion recovery
- GCS
Glasgow coma scale
- HMG-CoA
3-Hydroxy-3-methylglutaryl-coenzyme A
- ICH
Intracranial hypertension
- MRI
Magnetic resonance imaging
- PICU
Pediatric intensive care unit
- TCD
Transcranial doppler
Contributor Information
Juan Ignacio Muñoz-Bonet, Email: munoz_jua@gva.es.
María del Carmen Ortega-Sánchez, Email: ortegasanchez.mc@gmail.com.
José Luis León Guijarro, Email: jleon@eresa.com.
References
- 1.Faull K, Bolton P, Halpern B, et al. Patient with defect in leucine catabolism. N Engl J Med. 1976;294:1013–1015. doi: 10.1056/nejm197604292941823. [DOI] [PubMed] [Google Scholar]
- 2.Santarelli F, Cassanello M, Enea A, et al. A neonatal case of 3-hydroxy-3-methylglutaric-coenzyme A lyase deficiency. Ital J Pediatr. 2013;39:33. doi: 10.1186/1824-7288-39-33. [DOI] [PMC free article] [PubMed] [Google Scholar]
- 3.Zafeiriou DI, Vargiami E, Mayapetek E, Augoustidou-Savvopoulou P, Mitchell GA. 3-Hydroxy-3-methylglutaryl coenzyme A lyase deficiency with reversible white matter changes after treatment. Pediatr Neurol. 2007;37:47–50. doi: 10.1016/j.pediatrneurol.2007.02.007. [DOI] [PubMed] [Google Scholar]
- 4.Dos Santos MM, Ribas GS, Wayhs CA, et al. Increased oxidative stress in patients with 3-hydroxy-3-methylglutaric aciduria. Mol Cell Biochem. 2015;402(1–2):149–155. doi: 10.1007/s11010-014-2322-x. [DOI] [PubMed] [Google Scholar]
- 5.Reimao S, Morgado C, Almeida IT, Silva M, Real HC, Campos J. 3-Hydroxy-3-methylglutaryl-coenzyme A lyase deficiency: Initial presentation in a young adult. J Inherit Metab Dis. 2009;32(Suppl 1):S49–S52. doi: 10.1007/s10545-009-1048-5. [DOI] [PubMed] [Google Scholar]
- 6.Leipnitz G, Regla Vargas C, Wajener M. Disturbance of redox homeostasis as a contributing underlying pathomechanism of brain and liver alterations in 3-hydroxy-3-methylglutaryl-CoA lyase deficiency. J Inherit Metab Dis. 2015;38:1021–1028. doi: 10.1007/s10545-015-9863-3. [DOI] [PubMed] [Google Scholar]
- 7.Pié J, Casals N, Casale CH, et al. A nonsense mutation in the 3-hydroxy-3-methylglutaryl-CoA lyase gene produces exon skipping in two patients of different origin with 3-hidroxy-3-methylglutaryl-CoA lyase deficiency. Biochem J. 1997;323:329–335. doi: 10.1042/bj3230329. [DOI] [PMC free article] [PubMed] [Google Scholar]
- 8.Mir C, Lopez-Viñas E, Aledo R, et al. A single-residue mutation, G203E, causes 3-hydroxy-3-methylglutaric aciduria by occluding the substrate channel in the 3D structural model of HMG-CoA lyase. J Inherit Metab Dis. 2006;29:64–70. doi: 10.1007/s10545-006-0138-x. [DOI] [PubMed] [Google Scholar]
- 9.Pierron S, Giudicelli H, Moreigne M, et al. Déficit en 3-HMG-CoA lyase à révélation tardive: savoir reconnaitre une maladie rare mais traitable. Arch Pediatr. 2010;17:10–13. doi: 10.1016/j.arcped.2009.09.022. [DOI] [PubMed] [Google Scholar]
- 10.Gibson KM, Breuer J, Nyhan WL. 3-Hydroxy-3-methylglutaryl-coenzyme A lyase deficiency: review of 18 reported patients. Eur J Pediatr. 1988;148:180–186. doi: 10.1007/BF00441397. [DOI] [PubMed] [Google Scholar]
- 11.Muroi J, Yorifuji JT, Uematsu A, Nakajata T. Cerebral infarction and pancreatitis: possible complications of patients with 3-hydroxy-3-methylglutaryl-CoA lyase deficiency. J Inherit Metab Dis. 2000;23:636–637. doi: 10.1023/A:1005642316174. [DOI] [PubMed] [Google Scholar]
- 12.Huemer M, Muehl A, Wandl-Vergesslich K, Strobl W, Wanders RJ, Stoeckler-Ipsiroglu S. Stroke-like encephalopathy in an infant with 3-hydroxy-3-methylglutaryl-coenzyme A lyase deficiency. Eur J Pediatr. 1998;157:743–746. doi: 10.1007/s004310050927. [DOI] [PubMed] [Google Scholar]
Associated Data
This section collects any data citations, data availability statements, or supplementary materials included in this article.
Data Availability Statement
All data here presented are collected in the medical record of the patient, which can be consulted with the appropriate authorizations.
