Abstract
SDS-PAGE densitometric method for analysis of papain in pharmaceutical formulations was developed and validated for the first time. Standard and samples were mixed with SDS sample buffer and denatured at 95 °C for 5 min and the gel was run at 20 mA and 200 V for 30–40 min in SDS-PAGE buffer. Gels were stained in Coomassie blue solution and distained by 5% methanol and 10% acetic acid. Destained gels were imaged and analyzed using the ChemiDoc™ XRS+ System. Bands of papain appeared at Rf value 0.78 ± 0.03 corresponding to molecular weight 23406 Da between proteins with molecular weight 31,000 and 21,500 Da of the broad range protein standard. The generated calibration curve was used for quantitative estimation of papain in pharmaceutical formulations. The developed method was validated for precision, accuracy, specificity and robustness as described by the ICH guidelines. The proposed method gives an alternative approach for enzymes and protein analysis.
Keywords: Papain, SDS-PAGE, ICH guidelines, Quantitative
1. Introduction
Gel electrophoresis is a method widely used for separation and analysis of macromolecules such as proteins, enzymes, DNA and RNA. In electrophoresis charged molecules move in a buffer solution by applying an electric field. Mobility is based on the charge, shape and size of the molecules. The concentration and pH of the buffer, the temperature and field strength all influence the molecular movement (Westermeier, 2005). The speed of flow is determined by the molecular weight where smaller molecules migrate faster than larger ones (Sambrook and Russel, 2001). The gel matrix acts as a molecular sieve to aid in the separation of molecules on the basis of size (Dolnik, 1997). The most commonly used materials for the separation of nucleic acids and proteins are agarose and polyacrylamide (Reddy and Raju, 2012). Polyacrylamide gel electrophoresis (PAGE) chemically cross-linked gels formed by the polymerization of acrylamide with a cross-linking agent. They have a greater resolving power and can accommodate larger quantities of samples without decrease in resolution (Guilliatt, 2002). Proteins are heated with sodium dodecyl sulfate (SDS) before electrophoresis so that the charge-density of all proteins is made roughly equal. Consequently, when these samples are electrophoresed, proteins separate according to mass alone, with very little effect from compositional differences (Laemmli, 1970, Day and Humphries, 1994).
Papain is a proteolytic enzyme present in Carica papaya latex of the unripe fruits and used as digestive aid, meat tenderization and production of protein hydrolysates (Burdock, 1996). X-ray study revealed that papain is single polypeptide chain of 211 residues folded into two distinct parts which are divided by a cleft containing the cysteine and histidine active site (Drenth et al., 1968).
Usually the assay of enzymes is based on the measurement of the change of the concentration of substrate or product by time (Duggleby, 2001). The hemoglobin method method for the estimation of proteinase including papain is based on measurement of products released after hemoglobin digestion colorimetry (Anson, 1938). A titrimetric determination of the acid produced during the hydrolysis of benzoyl-L-arginine ethyl ester (BAEE) by papain was also developed (www.worthington-biochem).
The present study describes for the first time the quantitative analysis of papain in pharmaceutical formulations using planar SDS-PAGE. Selected formulations represented all dosage forms containing papain in the Egyptian market. Tablets, capsules and syrup prescribed as digestive aid were examined for their papain contents. The developed method was validated according to the guidelines of the International Conference on Harmonization (ICH, 1996). The developed method enables the simultaneous quantitative estimation of the enzyme in many multi component samples.
2. Materials and methods
2.1. Standards and chemicals
Standard papain was purchased from Sigma–Aldrich, St. Louis, MO, USA. Mini-PROTEAN® TGX™ gels, sample and running buffers, broad range protein standard were purchased from Biorad, California, USA.
2.2. Sample preparation
Tablets and capsules were labeled to contain either 50 or 100 mg papain. Ten tablets were weighed and grounded while contents of ten capsules were mixed and weight equivalent to two tablets or capsules was suspended in 25 mL distilled water for formulations labeled to contain 50 mg papain or 50 mL distilled water for formulations labeled to contain 100 mg papain using volumetric flasks to obtain solutions containing 4 mg/mL of papain. The obtained suspensions were filtered to separate papain and other water soluble components from the water insoluble contents. The obtained clear solutions were kept at −4 °C till time of analysis. Liquid formulation labeled to contain 80 mg of papain per 5 mL. From this solution 25 mL was diluted to 100 mL with distilled water in volumetric flask and was kept at −4 °C till time of analysis.
2.3. Running the gel
Enzyme samples previously prepared from standard papain and pharmaceutical formulations were added to 10 μL 2x SDS sample buffer (62.5 mM Tris–HCl, pH 6.8, 2% SDS, 25% (v/v) glycerol, 0.01% bromophenol blue, 5% β-mercaptoethanol or 100 mM DTT) and denatured at 95 °C for 5 min. The comb was carefully removed from the gel, wells were rinsed with deionized water and the gel mounted in the SDS-PAGE apparatus. The SDS-PAGE buffer (25 mM Tris, 186 mM Glycine, 0.1% SDS) was added to the bottom and the top reservoirs. The wells have been washed with the buffer before loading the samples to exclude any trapped air bubbles. Samples were loaded to the bottom of the wells using an equipped pipette. The electrodes were connected to a power supply. The run was carried out at 20 mA and 200V for 30–40 min until the bromophenol blue has reached the lower edges of the gel.
2.4. Staining the gel with Coomassie blue
Gels were stained in a solution containing a final concentration of 0.25% Coomassie blue, 50% methanol, and 10% acetic acid, and distained by diffusion in a solution of 5% methanol and 10% acetic acid. Distaining was prolonged for 4–8 h.
2.5. Gel imaging and analysis
Distained gels were imaged and analyzed using the ChemiDoc™ XRS + System (Biorad, California, USA).
2.6. Calibration curve by SDS-PAGE-densitometric method
Accurately weighed 10 mg standard papain was dissolved in 2 mL distilled water in a volumetric flask to give 50 μg/10 μL. Dilutions from this solution were made to obtain 40, 30, 25, 20, 15, 10, 5, 2.5 μg/10 μL. Solutions were kept at −4 °C till time of analysis. From different dilutions 10 μL was applied to the wells of the gel in triplicate. The calibration curve was plotted in the range of 5–50 μg/spot, using data of peak areas against the corresponding amount per spot.
2.7. Method validation
The proposed SDS-PAGE method was validated according to the guidelines of International Conference on Harmonization (ICH). The linearity of the method for papain was checked between 5 and 50 μg/spot and concentrations were plotted against peak areas.
2.7.1. Accuracy
Accuracy, as recovery, was determined by the standard addition method. Pre-analyzed samples of papain (10 μg/spot) were spiked with extra papain standard (0, 50, 100, and 150%) and the mixtures were reanalyzed. Percentage recovery and relative standard deviation (RSD, %) were calculated for each concentration level.
2.7.2. Precision
Method repeatability was obtained from RSD value by repeating the assay six times in same day for intra-day precision. Intermediate precision was assured by the assay of two sets on different days (inter-day precision). The intra-day and inter-day variation was carried out at three different concentration levels 10, 20, 30 μg/spot.
2.7.3. Robustness of the method
Robustness of the proposed SDS-PAGE densitometric method was determined by testing influence of small deliberate changes in the chromatographic conditions during determination of papain. Robustness was determined by changing the heating of sample from 95 °C for 5 min to 70 °C for 10 min and changing the run conditions from 200 V to 100 V at 15–20 mA.
2.7.4. Limit of detection and quantification
Limit of detection (LOD) was determined experimentally by using several dilution of the standard papain. Limit of quantification (LOQ) was determined by standard deviation (SD) method. They were determined from the slope of the calibration (S) curve and SD of the blank sample using following equations:
2.7.5. Specificity
Specificity of the proposed method was confirmed by the Rf of the bands corresponding to papain based on its molecular weight (23406 Da).
2.8. Quantification of papain in pharmaceutical formulations
The test samples were extracted with distilled water and filtered to remove insoluble additives. The obtained solutions were applied to the gel and chromatograms were obtained under the same conditions as for analysis of standard papain. The absorbance of the peaks corresponding to the Rf value of papain standards was recorded and the amount present was calculated from the regression equation obtained from the calibration plot.
3. Results and discussion
An increasing number of enzymes are recently introduced into pharmaceutical industry for their therapeutic potentials (Vellard, 2003, Mane and Tale, 2015). This fact increases the demand for reliable quantification tools for such products. SDS-PAGE is widely used for proteins separation according to their mass (Laemmli, 1970, Day and Humphries, 1994) but literature lacks any application for its use in quantitative analyses of proteins or enzymes. The proposed method describes the first application of SDS-PAGE for quantification of papain. Standard solutions of different concentrations of papain were prepared, mixed with SDS sample buffer and denatured at 95 °C for 5 min prior to application to the gel. Broad range protein standard was applied with standard papain to ensure the molecular weight range. The chromatogram run was carried out at 20 mA and 200 V. The gel was stained in Coomassie blue and distained in 5% methanol and 10% acetic acid. Distained gels were imaged and analyzed using the ChemiDoc™ XRS + System (Biorad, California, USA). Bands corresponding to papain were sharp, symmetrical, and well resolved at Rf value 0.78 ± 0.03 corresponding to molecular weight 23406 Da (Figure 1, Figure 2). Calibration plot was obtained between absorbance of the bands and concentrations and was linear in the range 5–50 μg/spot (Fig. 3). Linear regression data for the plot confirmed the good linear relationship (Table 1). The correlation coefficient (R2) was 0.9909 which was highly significant (P < 0.001). The linear regression equation was Y = 6.555X + 139.4 where Y is absorbance and X is concentrations of papain.
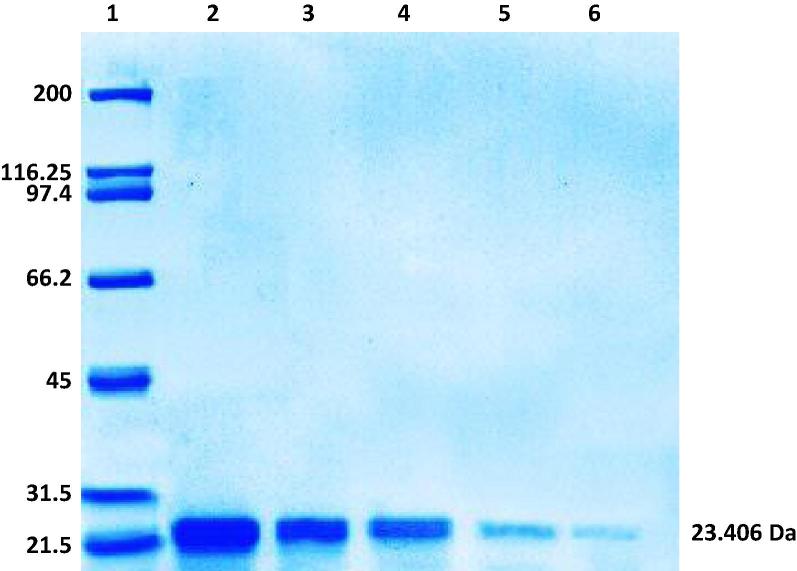
Figure 1.
Chromatograms of different concentrations of standard Papain (23.406 Da, Lanes 2–6) on SDS-PAGE electrophoresis along with broad range molecular weight marker proteins (Biorad, USA) (Lane 1).
Figure 2.
Densitometric SDS-PAGE electrophoresis chromatogram of standard papain (Rf 0.78).
Figure 3.
Linearity graph of standard papain.
Table 1.
Linear regression data for the calibration curve of papain (n = 6).
| Parameters | Values |
|---|---|
| Linearity range (μg/spot) | 5–50 |
| Regression equation | Y = 6.555X + 139.4 |
| Correlation coefficient | 0.9909 |
| Slope ± SD | 6.56 ± 0.12365 |
| Intercept ± SD | 139.47 ± 6.85 |
| Standard error of slope | 0.300856505 |
| Standard error of intercept | 9.129561568 |
| Standard error of regression | 11.73276081 |
| 95% confidence interval of slope | 6.03–6.98 |
| 95% confidence interval of intercept | 103.31–154.38 |
| P value | <0.001 |
The method was found to be accurate from the % recovery study (Table 2). Accuracy was 98.9–100.5% with RSD values in the range 0.43–0.89. Results from repeatability and intermediate precision studies expressed as SD (%) are shown in Table 3. RSD of repeatability was in the range 0.84–1.41 and 0.89–1.12 for intermediate precision. The obtained low values indicated that the method is precise. Robustness of the method was explored by changing the denatured conditions from 95 °C for 5 min to conditions to 70 °C for 10 min, 80 °C for 10 min and running the gel from 200 V at 15–20 mA to 100 V at 15–20 mA. Low values of% RSD (0.78–0.89) were obtained (Table 4) indicating that the method is robust. LOD was obtained experimentally and was 3 μg/spot. LOQ of the proposed method was found to be 8.5 μg/spot. These values are relatively higher than those obtained in HPTLC studies where values are in the ng ranges (Abdel-Kader et al., 2016, Alam et al., 2016). The less sensitivity of the gel resulted from the high molecular weight of the enzymes comparing with the small molecules quantified on HPTLC. Another factor is the gel thickness (1 mm) compared to analytical TLC plates (150 μm). The specific peaks for papain are purified on the gel based on molecular weight. The absorption spectrum after staining and distaining cannot be specific for any protein as all will have the same blue color.
Table 2.
Accuracy of the proposed method (n = 6).
| Excess drug added to analyte (%) | Theoretical content (μg) | Conc. found (μg) ± SD | % Recovery | % RSD |
|---|---|---|---|---|
| 0 | 10 | 9.89 ± 0.033 | 98.9 | 0.69 |
| 50 | 15 | 14.98 ± 0.041 | 99.9 | 0.54 |
| 100 | 20 | 20.01 ± 0.043 | 100.5 | 0.43 |
| 150 | 25 | 24.96 ± 0.049 | 99.8 | 0.89 |
Table 3.
Precision of the proposed method of papain.
| Conc. (μg/spot) | Repeatability (intraday precision) |
Intermediate precision (interday) |
||||
|---|---|---|---|---|---|---|
| Area ± SD (n = 6) | Standard error | % RSD | Area ± SD (n = 6) | Standard error | % RSD | |
| 30 | 1868.59 ± 97.78 | 29.18 | 1.06 | 1856.99 ± 105.38 | 29.78 | 1.12 |
| 25 | 1584.52 ± 84.99 | 21.76 | 1.41 | 1581.32 ± 89.89 | 22.46 | 0.93 |
| 15 | 1077.08 ± 75.43 | 25.58 | 0.84 | 1068.94 ± 76.97 | 26.77 | 0.89 |
Table 4.
Robustness of the proposed method of papain.
| Conc. (μg/spot) | Original | Used | Area ± SD (n = 3) | % RSD |
|---|---|---|---|---|
| 95 °C for 5 min | 70 °C for 10 min | 1589.76 ± 84.99 | 0.89 | |
| 25 | 95 °C for 5 min | 80 °C for 10 min | 1577.09 ± 84.99 | 0.86 |
| 200 V at 15–20 mA | 100 V at 15–20 mA | 1594.65 ± 84.99 | 0.78 |
Quantities of papain in different formulations are presented in Table 5. The gel was able to purify papain from other components present in the formulation (Fig. 4). Formulation C was found to have much less enzyme than the labeled amount. Formulation B contains 64.98% of the labeled amount of papain. Formulation D was the best as the papain contents were 97.46% of the labeled amount.
Table 5.
Estimated and labeled amounts (%w/w) of papain in pharmaceutical formulations.
| Samples | Estimated | Labeled |
|---|---|---|
| A (tablets) | 43.74 mg | 50 mg/tablet |
| B (tablets) | 64.98 mg | 100 mg/tablet |
| C (capsules) | 13.73 mg | 50 mg/capsule |
| D (syrup) | 77.97 mg | 80 mg/5 mL |
Figure 4.
Densitometric SDS-PAGE electrophoresis chromatogram of sample B.
4. Conclusion
SDS-PAGE was used for quantification of papain in Pharmaceutical formulations. The method developed was validated according to the ICH guidelines and found to be accurate, reproducible and is applicable to the analysis of papain-containing products. The proposed method for quantification of papain is the first validated SDS-PAGE method to the best of our knowledge. The method offers a new alternative for enzyme and protein analysis with the advantage of running more than one sample simultaneously. Separation offered by the gel according to molecular weight is a good specific tool for checking enzymes integrity. Comparing with routine HPTLC analysis the SDS-PAGE is more time consuming and relatively less sensitive. However, routine HPTLC is not suitable for the analysis of such large molecules.
Acknowledgment
This project was supported by Grant No. 2014/03/4720, Deanship of Scientific Research, Prince Sattam Bin Abdulaziz University, Al-kharj, KSA.
Footnotes
Peer review under responsibility of King Saud University.
References
- Abdel-Kader M.S., Alam P., Alqasoumi S.I. Densitometric HPTLC method for qualitative, quantitative analysis and stability study of coenzyme Q10 in pharmaceutical formulations utilizing normal and reversed-phase silica gel plates. Pak. J. Pharm. Sci. 2016;29(2):477–484. [PubMed] [Google Scholar]
- Alam P., Alqasoumi S.I., Abdel-Kader M.S. Simultaneous determination of menthol and eucalyptol by the densitometric HPTLC method in some external analgesic formulations. J. Chromatogr. Sci. 2016;54(1):58–63. doi: 10.1093/chromsci/bmv075. [DOI] [PubMed] [Google Scholar]
- Anson M.L. The estimation of pepsin, trypsin, papain, and cathepsin with hemoglobin. J. Gen. Physiol. 1938;22(1):79–89. doi: 10.1085/jgp.22.1.79. [DOI] [PMC free article] [PubMed] [Google Scholar]
- Burdock G.A. CRC Press; Boca Raton, New York, London, Tokyo: 1996. Encyclopedia of Food and Color Additives; pp. 2087–2089. [Google Scholar]
- Day I.N., Humphries S.E. Electrophoresis for genotyping: microtiter array diagonal gel electrophoresis on horizontal polyacrylamide gels, hydrolink, or agarose. Anal. Biochem. 1994;222:389–395. doi: 10.1006/abio.1994.1507. [DOI] [PubMed] [Google Scholar]
- Dolnik V. Capillary zone electrophoresis of proteins. Electrophoresis. 1997;18(12–13):2353–2361. doi: 10.1002/elps.1150181226. [DOI] [PubMed] [Google Scholar]
- Drenth J., Jansonius J.N., Koekoek R., Swen H.M., Wolthers B.G. Structure of papain. Nature. 1968;218:929–932. doi: 10.1038/218929a0. [DOI] [PubMed] [Google Scholar]
- Duggleby R.G. Quantitative analysis of the time courses of enzyme-catalyzed reactions. Methods. 2001;24:168–174. doi: 10.1006/meth.2001.1177. [DOI] [PubMed] [Google Scholar]
- Guilliatt A.M. Agarose and polyacrylamide gel electrophoresis. In: Theophilus B.D.M., Rapley R., editors. Methods in Molecular Biology: PCR Mutation Detection Protocols. Humana Press Inc.; Totowa, NJ: 2002. http://www.worthington-biochem.com/pcyp/assay.html (Accessed 23.07.2016) [Google Scholar]
- International Conference on Harmonisation (ICH) of Technical Requirements for Registration of Pharmaceuticals for Human Use: Harmonised Triplicate Guideline on Validation of Analytical Procedures: Methodology. Recommended for Adoption at Step 4 of the ICH Process on November 1996 by the ICH Steering Committee, IFPMA, Switzerland.
- Laemmli U.K. Cleavage of structural proteins during the assembly of the head of bacteriophage T4. Nature (London) 1970;227:680–685. doi: 10.1038/227680a0. [DOI] [PubMed] [Google Scholar]
- Mane P., Tale V. Overview of microbial therapeutic enzymes. Int. J. Curr. Microbiol. Appl. Sci. 2015;4(4):17–26. [Google Scholar]
- Reddy P.R., Raju N. Gel-electrophoresis and its applications. In: Magdeldin S, editor. InTech; Rijeka, Croatia: 2012. p. 16. (Gel Electrophoresis - Principles and Basics). [Google Scholar]
- Sambrook J., Russel D.W. third ed. Cold Spring Harbor Laboratory Press; Cold Spring Harbor, NY: 2001. Molecular Cloning: A Laboratory Manual. [Google Scholar]
- Vellard M. The enzyme as drug: application of enzymes as pharmaceuticals. Curr. Opin. Biotechnol. 2003;14:444–450. doi: 10.1016/s0958-1669(03)00092-2. [DOI] [PubMed] [Google Scholar]
- Westermeier R. fourth ed. Wiley-VCH Verlag GmbH & Co. KGaA; Weinheim: 2005. Electrophoresis in Practice: A Guide to Methods and Applications of DNA and Protein Separations. [Google Scholar]




