Abstract
We sought to create new cellulose-binding RNA aptamers for use as modular components in the engineering of complex functional nucleic acids. We designed our in vitro selection strategy to incorporate self-sustained sequence replication (3SR), which is an isothermal nucleic acid amplification protocol that allows for the rapid amplification of RNAs with little manipulation. The best performing aptamer representative was chosen for reselection and further optimization. The aptamer exhibits robust affinity for cellulose in both the powdered and paper form, but did not show any significant affinity for closely related polysaccharides. The minimal cellulose-binding RNA aptamer also can be grafted onto other RNAs to permit the isolation of RNAs from complex biochemical mixtures via cellulose affinity chromatography. This was demonstrated by fusing the aptamer to a glmS ribozyme sequence, and selectively eluting ribozyme cleavage products from cellulose using the glucosamine 6-phosphate to activate glmS ribozyme function.
RNA aptamers show great promise for biotechnology applications ranging from therapeutics[1–4] to molecular sensing[5–9]. The exquisite specificity of aptamers coupled with the available methods for their engineering and development makes them good candidates for many applications that require affinity reagents. Moreover, aptamers and other functional nucleic acids frequently exhibit modular character[10,11], such that two or more distinct functional domains can be combined to create constructs that exhibit more sophisticated biochemical characteristics. For example, aptamers can be tethered to ribozymes[12,13] or deoxyribozymes[14–15] to create allosteric nucleic acids whose catalytic activities are controlled by ligand binding[16–18]. Even natural aptamers are found to be coupled in riboswitches[19,20] that exhibit more complex gene control functions[21–23].
The creation of additional types of functional nucleic acid modules would expand the available options for nucleic acid engineers seeking to generate additional types of conjoined RNA and DNA constructs. Recently[24], we used in vitro selection to isolate a series of DNA aptamers that selectively bind cellulose. We chose to develop aptamers to cellulose because it is a ubiquitous and inexpensive biopolymer with applications ranging from coatings and laminates to foodstuffs, pharmaceuticals, and sorption media[25]. One construct was optimized by subjecting the parent construct to additional rounds of mutation and selective-amplification for cellulose binding, and the resulting minimized construct robustly binds cellulose during paper chromatography. Furthermore, the cellulose-binding activity of the aptamer could be made responsive to ATP by grafting a previously-identified ATP aptamer[26,27] to a functionally sensitive part of the cellulose-binding architecture.
In the current study, we sought to develop and characterize cellulose-binding RNA aptamers that are analogous in function to the DNA aptamers we have reported[24]. To minimize the manipulations required for in vitro selection, we chose to use self-sustained sequence replication (3SR)[28,29] to amplify RNAs that are isolated during each round of selection. 3SR is an isothermal amplification technique that utilizes two enzymes to exponentially amplify both DNA and RNA in a single reaction mixture. Researchers reported[30] using a similar isothermal amplification technique, called nucleic acid sequence-based amplification (NASBA)[31], when generating RNA aptamers that selectively bind to a protein target. We further reduced the number of required manipulations for each round of in vitro selection by removing all gel electrophoresis purification steps that are routinely used to separate RNA or DNA products based on size.
A variant of one aptamer class, termed 4–15 exhibits robust binding to a cellulose matrix during column or paper chromatography. Additionally, we demonstrate that this aptamer is modular and can be appended onto other RNAs as an affinity tag for the isolation of RNAs from complex mixtures. Specifically, we prepared a chimeric construct that carries a glmS ribozyme[32,33] and a minimized 4–15 cellulose-binding RNA aptamer. This construct can be used to selectively retain RNAs from a complex mixture on cellulose, and then release a glmS ribozyme cleavage fragment on addition of its cofactor, glucosamine 6-phosphate (GlcN6P).
MATERIALS AND METHODS
In vitro selection
Oligonucleotides were purchased from the Howard Hughes Medical Institute Keck Foundation Biotechnology Resource Center at Yale University. Template DNAs for preparation of the initial (G0) RNA population conformed to the sequence 5′-CGACGTCGCTCGAATGC-N70-CGCCGAGCTAGAGGTCCTTC, where N represents an equal mixture of A, G, C, and T. Two primers were synthesized for 3SR amplification. Primer 1 (5′-CGACGTCGCTCGAATGC) is complementary to the 3′ end of the RNA population, and primer 2 (5′-TAATACGACTCACTATAGGAAGGACCTCTAGCTCGGCG) contains the T7 RNA polymerase promoter sequence (underlined) as well as a region that is complementary to the 5′ end of the template DNA strand. Double-stranded G0 DNA template was produced by extension of 300 pmole of the template DNA with 320 pmole of primer 1 using Superscript II reverse transcriptase (Invitrogen) in a 150 μL reaction following the protocol supplied by the manufacturer. G0 RNA was prepared by in vitro transcription by incubating the double stranded DNA template for 1 hour in a total of 200 μL containing 15 mM MgCl2, 2 mM spermidine, 50 mM Tris-HCl (pH 7.5 at 25°C), 5 mM dithiothreitol (DTT), 2 mM of each rNTP and 25 U/μL of T7 RNA polymerase. T7 RNA polymerase was prepared by overexpression in E. coli BL21(DE3) cells harboring a plasmid (gift of T. Shrader) expressing a (His)6-tagged enzyme, followed by purification using standard Ni-affinity chromatography.
The G0 RNAs were applied to a 2 mL Spin-X Centrifuge Tube Filter (Corning) that was packed with approximately 15 mg of cellulose and was pre-equilibrated with binding buffer (100 mM NaCl, 1.25 mM MgCl2, 20 mM Tris-HCl [pH 7.5 at 23°C], 0.01% w/v sodium dodecyl sulfate [SDS]) at room temperature. The RNA population was exposed to the column matrix for 10 minutes, and subsequently was centrifuged for 1 min at 9000 g to remove unbound RNAs. The cellulose column was washed with four 200 μL aliquots of binding buffer and the cellulose-bound RNAs were eluted by incubating the column matrix for 5 min with elution buffer (7 M urea, 5 mM EDTA, 20 mM Tris-HCl [pH 7.5 at 25°C]. 40 pmole each of primer 1 and 2 were added to the eluent and the nucleic acids in the resulting mixture were precipitated by adding 2.5 volumes of cold ethanol and centrifuging at 18500 g for 20 min.
The pellet was resuspended by the sequential addition of 33 μL deionize H2O, 5 μl of a 10X 3SR buffer (500 mM HEPES [pH 7.5 at 25°C], 500 mM NaCl, 150 mM MgCl2, 50 mM DTT, 20 mM spermidine), and 10 μL of a 5X dNTP/NTP mix (10 μM of each dNTP and 100 μM of each rNTP). To this mixture, 1 μL each of Maloney-murine leukemia virus reverse transcriptase (M-MLV RT; 100 units) (New England Biolabs) and T7 RNA polymerase (400 units) were added to initiate the amplification reaction. The reaction mixture was incubated for 30 minutes at 37°C, which typically is sufficient time to yield inorganic pyrophosphate (as a byproduct of DNA and RNA synthesis) concentrations high enough to form visible amounts of Mg2+-associated precipitate. This indicates that an amount of RNA has been produced by the reaction that is near maximal. 50 μL binding buffer was added, and the resulting mixture (100 μL) was applied to a freshly prepared cellulose-packed column as described above. The DNAs (and non-functional RNAs) that pass through the column are archived at each round of in vitro selection for later analysis. Subsequent rounds of selection were performed by repeating the steps described above.
Cloning and sequencing
A 1 μL aliquot of the G14 3SR reaction was used as template for a PCR containing 40 pmole each of primers 1 and 2, 2.5 mM each of the four dNTPs, and 1 U/μL Taq DNA polymerase in PCR buffer (1.5 mM MgCl2, 20 mM NaCl, 10 mM Tris-HCl [pH 8.3 at 25°C], 0.01% gelatin). The population was thermally cycled to yield near-full amplification as estimated by separation of products by agarose gel electrophoresis followed by staining with ethidium bromide. The resulting DNA was then cloned using a TOPO TA cloning kit with the TOPO 2.1 vector (Invitrogen) using the protocol supplied by the manufacturer. Selected Escherichia coli colonies were grown in liquid culture with LB medium overnight, and plasmid DNAs were recovered from each culture using a QIApre kit (QIAGEN). Plasmid DNAs were sequenced at the DNA Analysis Facility on Science Hill at Yale University using an Applied Biosystems 3730 DNA analyzer.
Aptamer reselection
Clone 4 from the G14 population was chosen for mutagenesis and reselection. The template for the reselection was synthesized with degeneracy[34] of 0.12 per position in the region underlined (5′-GAAGGACCTCTAGCTCGGCGAAGAGACGGAACAGAAGCCACACCACCACTTGAGCGAATTCACCCTTTGAAGATGTCATTTACCGGATAAGCATTCGAG). A total of 100 pmole of randomized template was used for reselection. This produced a population with an average of seven mutations per molecule and all molecules with seven mutations or fewer have a high probability of being represented at least once in the population. The mutagenized population was amplified by 3SR using Primer 1, and primer 3 (5′-CTCGAATGCTTATCCGGT) which extends the defined sequence nine nucleotides into the region that was initially randomized to reduce the chance of contamination by other RNAs from the initial selection. 10% of the 3SR reaction mixture, without purification, was applied to the cellulose column during reselection. The RNAs were subjected to six rounds of reselection and then cloned and sequenced as described above.
Polysaccharide binding assays
Internally 32P-labeled RNAs were prepared by transcribing double-stranded DNA with [α-32P]UTP or [α-32P]ATP (GE Healthcare). The DNA template was incubated in the transcription buffer (15 mM MgCl2, 2 mM spermidine, 50 mM Tris-HCl [pH 7.5 at 23°C], 5 mM DTT, 2 mM each of the four rNTPs, and 25 U/μL T7 RNA polymerase) for 1 hour. The resulting RNAs were isolated by denaturing (8 M urea) polyacrylamide gel electrophoresis (PAGE). The desired RNAs were recovered from the gel by excising the appropriate region identified by autoradiography, and then crushing the gel pieces and incubating for 15 min at room temperature with agitation in a solution containing 200 mM NaCl, 10 mM Tris-HCl (pH 7.5 at 23°C), and 1 mM EDTA. The eluted RNAs were precipitated by adding 2.5 volumes of cold ethanol and centrifuging at 18500 g for 20 min.
The RNA pellet was suspended in binding buffer and was applied to a cellulose-packed column as described for in vitro selection. The columns were processed by centrifuging at 9000 g for 1 min at each step. The column was washed four times with 200 μL aliquots of binding buffer to remove any unbound RNAs. Subsequently, the bound RNAs were eluted by incubating for 5 min in elution buffer. The solutions were collected at each step, and the radioactive RNA was quantified using a Tricarb 2900TR liquid scintillation counter (Packard). This protocol was also used to screen additional polysaccharides by replacing the cellulose with starch, sephadex, sepharose, or sephacryl, which were all purchased from Sigma-Aldrich.
Paper chromatography
Radiolabeled RNAs were manually spotted (0.5 to 1 μL, ~3 pmole) to 100% cotton fiber blotting paper #703 (VWR Scientific). The blotting paper was then placed on edge in a reservoir filled with binding buffer and with the spots arranged horizontally slightly above the liquid level. The buffer was allowed to travel approximately 6–8 cm before imaging using a Storm PhosphorImager (GE Healthcare).
Aptamer truncation experiments
A series of successive 10 nucleotide deletions were made to the clone 4–15 RNA template using appropriately designed PCR primers. Internally 32P-labeled RNAs were produced by in vitro transcription of the resulting double-stranded DNAs in the presence of [α-32P]ATP. The radiolabeled RNAs were analyzed using paper chromatography and cellulose-packed column assays as described above.
Additionally, partial alkaline digestion of either 5′ or 3′ 32P-labeled RNA was performed and the products were used to determine the boundaries of the minimal aptamer. Full-length clone 4–15 RNAs were dephosphorylated using calf intestinal phosphatase (Roche) and subsequently 5′ 32P-labeled using T4 polynucleotide kinase and [γ-32P]ATP (GE Healthcare) following the protocol supplied by the enzyme manufacturer (New England Biolabs). Alternatively, RNAs were 3′ end labeled using T4 RNA ligase and [32P]pCp (GE Healthcare) using the protocol supplied by the enzyme manufacturer (Ambion). The radiolabeled RNAs were purified by denaturing PAGE and recovered as described above. The labeled RNAs were partially digested by suspending in 50 mM Na2CO3 (pH 9.0 at 25°C), 10 mM EDTA and incubating for 4 min at 95°C so that on average each molecule undergoes approximately one cleavage event. An equal volume of urea loading buffer (10 M urea, 1.5 mM EDTA) was added to the reaction and the RNA was placed on ice until analysis. Products from partial digestion by RNase T1 were used for mapping RNA fragment size. 5′ or 3′ 32P-labeled RNAs were incubated at 55°C for 15 minutes in 250 mM sodium citrate (pH 5.0 at 25°C) with 0.1 U/μL of RNase T1. An equal volume of the urea loading buffer was added to the sample before analysis by denaturing PAGE. The resulting gels were analyzed using a Storm PhosphorImager (GE Healthcare).
RNA structure probing
The secondary structure model for the minimized 4–15 RNA was assessed by using in-line probing[34,35]. A synthetic DNA was prepared that functions as a template for T7 RNA polymerase to produce a truncated 4–15 RNA aptamer encompassing nucleotides 17 through 53. RNA transcripts were purified by denaturing PAGE and 5′ 32P-labeled using the protocols described above. Approximately 0.5 pmole (10 kcpm) of the RNAs were incubated in a 20 μL reaction at 25°C either free in solution or on a cellulose-packed column for 48 hours in buffer containing 50 mM Tris-HCl (pH 8.3 at 25°C), 20 mM MgCl2, and 100 mM KCl. RNAs bound to cellulose after incubation were eluted using elution buffer. The resulting RNA fragments were separated by denaturing 10% PAGE and imaged using a Storm PhosphorImager. The images were quantified using the ImageQuant software package.
Cellulose affinity purification of RNA
A DNA template was synthesized that carries a minimal glmS ribozyme sequence derived from Bacillus cereus[36] in a position 5′ relative to the minimal sequence for the clone 4–15 cellulose aptamer. Double-stranded DNA templates were prepared by extension of four mutually-priming synthetic DNAs by extension of Oligo 2 and Oligo 3 using reverse transcriptase and by amplification of the final desired product by PCR using the Oligo2-Oligo3 extension products as template and Oligo1 and Oligo4 as primers. The oligonucleotide sequences used were 5′-CCAAGTAATACGACTCACTATAGAGGCGAAGAGACGGAACAGAAGCCACACCGCCTTTGTAAATTATAGAAGCGC (Oligo1); 5′-GTAAATTATAGAAGCGCCAGAACTACAAGTAGTGTAGTTGACGAGGTGGGGTTTATCGAGATTTCGGCGGATGGC (Oligo2); 5′-CACCTTAATGATTTAAGTAAAAGCTTGCGGTTGTGATGAACAACCGGGAGCCATCCGCCGAAATCGCCATCCGCCGAAATCTCG (Oligo3); 5′-ATCCGTGCCTCTTCTCTCATCACACTTTCACCTTTGTCCACTAAGTCACCTTAATGATTTAAG (Oligo4). The RNAs were prepared by transcription from the resulting double-stranded DNA templates using T7 RNA polymerase and buffer conditions described previously[36]. The RNA was 5′ 32P-labeled and ~50 pmole was applied to a cellulose-packed Spin-X Centrifuge Tube Filter and centrifuged at 1000 g for 1 min. The column was washed with five 200 μL aliquots of wash buffer. The elution buffer (0.2 mM GlcN6P, 10 mM MgCl2, 200 mM KCl, 50 mM HEPES) was applied to the column and incubated for 2 min at 23°C to elute the 5′ fragment of the RNA. The RNA remaining on the column was eluted by incubating with 200 μL of urea elution buffer for 15 minutes. 15 μL aliquots of the transcription reaction, column flow-through material, individual washes, and individual elutions were analyzed by denaturing PAGE followed by autoradiography.
RESULTS AND DISCUSSION
In vitro selection of cellulose-binding RNAs
Cellulose-binding RNA aptamers were isolated from a G0 population of approximately 1014 random-sequence RNAs using an in vitro selection process involving cellulose column chromatography (Fig. 1A). The G0 RNAs were applied to a cellulose-packed spin column, the non-binding RNAs were discarded by repeated washing of the column, and the bound RNAs were eluted using an elution buffer containing urea. The eluted RNAs were recovered by precipitation, and amplified using 3SR[28,29] (Fig. 1B). The incorporation of an isothermal amplification technique simplifies the selective-amplification cycle, which reduces costs and time associated with most in vitro selection methods.
FIGURE 1.

In vitro selection of cellulose binding RNA aptamers. (A) In vitro selection scheme used to enrich a random-sequence RNA population with cellulose binding RNAs. The G0 population is loaded onto a cellulose-packed spin column and washed with binding buffer to remove unbound RNAs. Bound molecules are recovered by eluting with an elution buffer (contaning urea) followed by precipitation with ethanol. The selected RNAs are then amplified using 3SR (Fig. 1B), which amplifies cDNAs and produces G1 RNAs in the same reaction mixture. A portion of the 3SR mixture is directly loaded onto the cellulose column to initiate the next round of in vitro selection. Additionally, the 3SR products are archived and used for cloning and sequencing. (B) Scheme for self-sustained sequence replication (3SR) of nucleic acids. The presence of DNA primers (primer 1) complementary to the 3′ end of the target RNAs (wavy lines) allows reverse transcriptase (M-MLV) to generate cDNA and to degrade the RNA template (dashed line). The presence of DNA primers complementary to the 3′ end of the cDNAs allows the formation of double stranded DNAs carrying a promoter for T7 RNA polymerase. Multiple RNA copies are transcribed from each DNA, and each RNA can reenter the amplification cycle until all DNA primers or (d)NTPs are exhausted. All steps are performed in a single reaction mixture incubated at 37°C. (C) Representative RNA sequences recovered from the RNA population at G14. Primer binding sequences remained unchanged during the in vitro selection process and are not depicted. Clone numbers are indicated on the left followed by the total number of times each sequence was represented in the collection of G14 RNAs sequenced. Clone numbers not depicted did not yield readable sequences.
One other distinction between our method for in vitro selection and those more commonly used was the composition of buffers applied at all stages of aptamer isolation and analysis. Previously[24], we reported that extensive non-specific interactions occur between DNA and cellulose, and that this binding could be disrupted by the addition of 0.01% SDS to the aqueous solvents used for in vitro selection and chromatography. We also find that RNA binds non-specifically to cellulose using our buffers prepared without SDS, albeit to a much lesser extent. The use of 0.01% SDS similarly eliminates non-specific binding of RNA to cellulose, and therefore this detergent was added to all buffers used in the current study.
Since both DNA and RNA are produced by 3SR amplification reactions, there are opportunities for both polymer types to participate in the selection process. However, most of the DNA produced by the reaction should be double stranded, and the amount of RNA present should be much larger than the amount of DNA templates. Therefore, we expected that RNA aptamers for cellulose should be more likely to emerge and dominate the population. A greater concern for us was the possibility that RNA or DNA templates might emerge that do not exhibit affinity to cellulose, but that are particularly well suited to amplify more rapidly in the 3SR reaction compared to cellulose aptamers. Reactions based on 3SR or related isothermal amplification processes permit mutations to accumulate in amplicons and can produce biases in the population that favor fast-replicating amplicons. Such effects have been observed with previous uses of 3SR for in vitro selection studies[37–39].
A total of 14 rounds of in vitro selection were performed, requiring 55 min for each round to be completed. Approximately 40% of the RNA from G14 was retained by a cellulose-packed column (data not shown). PCR amplification (using primers 1 and 2) of the DNAs resulting from the G14 3SR reaction produced a single dominant DNA product band on analysis by agarose gel electrophoresis. PCR products were cloned and the sequences of 15 individual clones were determined (Fig. 1C). Multiple representatives of two sequence classes were identified, whereas all other sequences were only represented once among the sequenced clones. Individual clones were chosen for affinity analysis using cellulose-packed columns. Clone 4 exhibited the highest level of cellulose column binding, with approximately 20% of a 3 pmole sample of RNA binding to the column (data not shown). All other clones exhibited less than 10% binding.
Based on the relative cellulose binding activities, we chose to subject clone 4 to further mutagenesis and reselection for improved cellulose binding activity. An RNA population based on the parental sequence was prepared such that each variant has an average of seven mutations per molecule. RNA transcripts from a total of 100 pmoles of double stranded DNA template were subjected to six additional rounds of selection and members of the final population were cloned and sequenced (Fig. 2A). Four clones (4–2, 4–4, 4–6 and 4–15) from the reselection population were screened for cellulose binding activity. All clones performed similarly with approximately 20 to 30% of the input RNA remaining bound to the column after extensive washing (data not shown).
FIGURE 2.

Sequence variants of clone 4 recovered by reselection and a proposed secondary structure for a cellulose-binding RNA. (A) Sequences of 20 clones recovered after reselection using a mutagenized clone 4 population are depicted without the primer-binding sites. A dot indicates the same sequence as the parent (top line), a dash represents a deleted nucleotide, and nucleotide changes are indicated by the base identity presented. (B) Secondary structure model of the 4–15 variant RNA.
An alignment of 20 sequences from the RNA population (Fig. 2A) reveals that a diverse set of clone 4 variants were recovered. Most mutations carried by these variants reside in the 3′ half of the original random-sequence domain, suggesting that the 5′ region carries nucleotides that cannot be mutated without loss of cellulose-binding function. Further analysis of the sequence changes in these variants provided clues about the secondary structure that the RNAs adopt. For example, a common mutation acquired by variants is a G residue in place of an A residue at position 45. This mutation would permit the formation of a stem composed of four base pairs (Fig. 2B; stem P1). Similarly, two variants (4–1 and 4–3) carry mutations that would extend by an extra base pair a stem predicted to be formed by two G-C base pairs (Fig. 2B; stem P2). The internal bulge between P1 and P2, and the loop closing P2 are highly conserved amongst the variants examined, suggesting that these regions might be involved in forming a tertiary structure that is important for aptamer function. In contrast, there is no evidence of covariation between nucleotides within the 3′ half of the RNAs despite the extensive accumulation of mutations in this region.
Minimization and structure analysis clone 4–15 aptamers
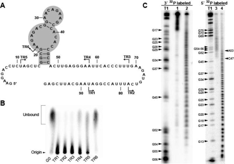
A series of successive 10 nucleotide deletions were made by PCR on DNA templates of clone 4–15 to generate deletions of the resulting RNA transcription products (Fig. 3A). Internally radiolabeled RNAs were tested for cellulose-binding function using a paper chromatography assay that was previously used to examine the function of cellulose-binding DNA aptamers[24]. Truncated RNAs TR1 through TR5 predominantly remained bound at the origin while the control RNA and TR6 moved near the solvent front (Fig. 3B). This data is consistent with our predicted structure model (Fig. 2B) in which the truncation experienced by TR6 disrupts P1 formation, whereas the other deletions do not interfere with the most conserved portions of the construct. However, truncations reflected by TR4 and TR5 do experience some loss of binding, which might be due to misfolding of the aptamer core caused by the interference of flanking nucleotides. If true, the mechanism of this effect might be similar to that observed for some metabolite-sensing riboswitch aptamers[40,41].
FIGURE 3.

Minimization of clone 4–15 cellulose-binding RNA. (A) Locations of a series of successive 10 nucleotide truncations (TR1 through TR6) used to assess the minimal length of the clone 4–15 aptamer that retains function. Shaded nucleotides reflect the minimal functional RNA derived from the data depicted in Fig. 3C. (B) Paper chromatogram assessing the cellulose-binding functions of various 32P-labeled RNA constructs. Random-sequence G0 RNAs are used as a control. (C) Single-nucleotide-resolution mapping of boundaries of the cellulose-binding RNA aptamer 4–15. RNAs were labeled on 5′ or 3′ termini using [γ-32P]ATP or [32P]pCp, respectively. Radiolabeled RNAs were subjected to partial digestion with alkali and then were applied to cellulose-packed columns. RNA fragments retained by the cellulose matrix were recovered using elution buffer (lanes 1 and 3). RNAs that were unable to bind to cellulose were also collected (lanes 2 and 4).
Clone 4–15 RNA was subsequently radiolabeled and partially digested under alkaline conditions to more specifically determine the boundary of the aptamer. RNAs were 3′ labeled by ligation to [32P]pCp or 5′ labeled by phosphorylation with [γ-32P]ATP. The radiolabeled RNAs were incubated under conditions such that an average of one spontaneous cleavage event occurred per molecule. The RNA fragments were then applied to a cellulose-packed column and processed in the same manner as for selection. The identification of cleavage products that retained the ability to bind cellulose was achieved by examining the radiolabeled products present in column flow-through versus those released from the column when urea elution buffer is applied. RNA products from these isolates were separated by denaturing PAGE (Fig. 3C).
The use of 3′ 32P-labeled RNAs reveals that deletions of 4–15 RNA near the 5′ terminus are tolerated until nucleotide G17 is removed. Thus, RNAs that carry deletions that are predicted to erode the stability of P1 lose the ability to bind cellulose (Fig. 3C, lane 1 of left panel). Similarly, the use of 5′ 32P-labeled RNAs reveals that 4–15 RNAs retain full cellulose-binding function until nucleotide A53 is deleted (Fig. 3C, lane 1 of right panel). However, nucleotides from A53 through A48 can be deleted without causing a complete loss of cellulose binding activity. It is possible that RNAs truncated in this region retain nucleotides that permit alternate conformations of the RNA to form. This is consistent with predictions of alternative RNA secondary structure for these construct using the mfold web server[42], which indicates that multiple structures are possible for RNAs truncated within this region, while only one dominant structure is predicted to form for 4–15 RNAs carrying nucleotide 53 and beyond (data not shown). Finally, constructs that are missing nucleotide C47 do not exhibit any affinity for cellulose, again suggesting that deletions that weaken the predicted P1 stem are not compatible with aptamer function.
We used in-line probing (Fig. 4A) to further examine the secondary structure model of a truncated 4–15 aptamer (Fig. 4B) spanning nucleotides 17 through 53 of the parental 4–15 aptamer (Fig. 3A). In-line probing can be used to map structured and unstructured regions of RNAs based on the differences in the levels of spontaneous RNA transesterification these regions experience[34,35]. 5′ 32P-labeled RNAs were incubated for 48 hours either in the absence of cellulose or while bound to a cellulose column. The resulting RNA fragments were analyzed after separation by denaturing PAGE and compared to products generated by partial digestion by alkali or RNase T1 (Fig. 4A).
FIGURE 4.

Validation of the secondary structure model for the minimized 4–15 cellulose-binding RNA aptamer. (A) In-line probing assay of the minimized 4–15 RNA aptamer. 5′ 32P-labeled 4–15 RNA was incubated in the absence of cellulose (−), or while bound to a cellulose column (+). The resulting spontaneous cleavage products were examined after separation by denaturing PAGE, and compared to cleavage products generated after partial digestion with either alkali (−OH) or RNase T1 (T1). Bands corresponding to uncleaved 4–15 RNA (Pre) or bands corresponding to cleavage after specific G residues are labeled. Regions of product band modulation are indicated by the vertical bars. (B) Structure model of the minimized 4–15 RNA. Nucleotides exhibiting a substantial reduction in the rate of spontaneous cleavage in the presence of cellulose are indicated with filled circles. Nucleotides displaying near constant scission in the presence and absence of cellulose are indicated with open circles. No significant cleavage was observed in the regions predicted to be sequestered in stem structures. Disruptive (M1) and compensatory (M2) mutations used to assess the importance of P1 are depicted. (C) Analysis of binding to cellulose-packed columns of the parent (P), disruptive mutant (M1), and restorative mutant (M2) sequences of 4–15 RNA.
Three regions corresponding to the bulge between stems P1 and P2, and the loop of P2, exhibit reduced scission in the presence of cellulose. This suggests that the nucleotides in these highly-conserved bulge and loop regions are unstructured in the absence of cellulose, but become highly structured when the aptamer is bound to its ligand. Furthermore, no substantive cleavage was observed in the regions predicted to be sequestered in stem structures. Additionally, the last 6 nucleotides on the 3′ end of the RNA construct undergo similar spontaneous cleavage both with and without cellulose, suggesting that these nucleotides are not involved in stable structural interactions that are essential for aptamer function.
Two mutant RNA constructs (Fig. 4B) based on the truncated 4–15 sequence were prepared to test the importance of the sequence and structural integrity of the P1 stem. Mutant M1 was designed to disrupt base pairing in P1 while mutant M2 provides the compensatory mutations that are predicted to restore base pairing but yielding an altered sequence for the P1 stem. The mutations in M1 disrupt RNA binding to a cellulose-packed column, while the P1-restoring mutations in M2 also restore cellulose binding (Fig. 4C). These observations suggests that the P1 stem is required for aptamer function, whereas the sequence identity of this structure is less important. In addition, we screened the minimal aptamer for binding to starch, sephadex, sepharose, and sephacryl. The truncated 4–15 aptamer did not exhibit any substantive binding to these polysaccharides (data not shown).
Affinity isolation of RNAs using a glmS-cellulose aptamer construct
Recently[43], a method for the purification of specific RNAs has been reported that can be used to selectively separate RNAs from a complex mixture, and release RNA fragments in purified form. This method involves the immobilization of RNA constructs carrying a glmS ribozyme and a protein-binding domain that are captured by corresponding protein receptors that are immobilized on a Ni-affinity matrix. Once the RNA construct has been captured by the matrix, the fragment of interest can be isolated by treating the matrix with GlcN6P, which is the effector that induces ribozyme self-cleavage. The 5′ cleavage fragment is released from the matrix without treatments that otherwise might denature or chemically damage the RNA. Maintaining structural and chemical integrity of RNAs is particularly desirable for crystallography studies and biochemical assays in which alternate-folded RNAs or chemical lesions are problematic.
The glmS ribozyme is useful for this application because the cleavage site resides in the 5′ portion of the RNA and has little sequence constraint upstream of the labile phosphodiester bond[32]. However, we sought to simplify the portion of the RNA that is used to selectively immobilize the construct, and to eliminate the use of expensive reagents or proteins. The 4–15 RNA aptamer spanning nucleotides 17 to 47 was fused to the 3′ side of a glmS ribozyme (Fig. 5A) to create a dual-domain RNA that can selectively bind to cellulose and can cleave its 5′ end upon the addition of GlcN6P.
FIGURE 5.

Isolation of glmS ribozyme cleavage products using a construct wherein a glmS ribozyme was fused with the minimal 4–15 cellulose-binding RNA aptamer. (A) Schematic representation of the glmS ribozyme and cellulose aptamer fusion construct. The cleavage site is indicated by the arrowhead. (B) Affinity purification of RNAs using the hybrid ribozyme-aptamer construct. Lanes were loaded with samples of the unpurified transcription (T), the unbound RNA that flowed through the column (U), five successive washes (W1 through W5), and two successive 2-minute elutions with GlcN6P (E1 and E2).
To confirm the function of this construct, we loaded ~6 pmoles of 5′ 32P-labeled RNA in binding buffer on a cellulose-packed column and repeatedly washed the matrix to remove any unbound species. The column was then eluted with binding buffer containing GlcN6P to selectively release 5′ ribozyme cleavage fragments. Analysis of the radiolabeled RNAs recovered at each step revealed that 56% of the RNA was retained by the column after washing and that the 5′ cleavage fragment could be selectively recovered on the addition of GlcN6P (Fig. 5B). The 5′ cleavage fragment recovered with two 2-minute elutions corresponded to 27% of the RNA retained by the matrix.
Conclusions
We used a simplified in vitro selection procedure to isolate and reselect cellulose-binding RNA aptamers. This procedure makes use of 3SR to amplify the selected RNAs and their double stranded DNA templates without thermocycling and without the need for size-specific purification. This allowed us to substantially reduce the number of manipulations required for each round of selection, which resulted in considerable savings in time and reagents. Presumably, this procedure would be easier to adapt for automation compared to in vitro selection protocols that require additional steps.
Given that isothermal amplification reactions can produce alternative templates that have little resemblance to the architectures or functions of the amplicons of interest[37–39], we were concerned that the selection process might fail before cellulose-binding aptamers were recovered. However, the design of the population (e.g. primer sequences and construct size) must have permitted the amplicons of interest to replicate with a speed that was sufficient to prevent alternative, faster-replicating, amplicons from emerging, or those rogue amplicons were unable to persist through the cellulose affinity step in sufficient numbers to overtake the selection.
The aptamers identified in this study exhibit modest binding efficiency to cellulose when presented as a column matrix (Fig. 4C, Fig. 5B). In contrast, essentially 100% of the molecules carrying the 4–15 aptamer domain bind during paper chromatography (Fig. 3B). The mechanism causing this difference in behavior between the two chromatographic systems has not been determined. However the structural differences between granular cellulose medium used for column chromatography and the fibrous cellulose paper might be the source of this difference in binding efficiency. Additionally, the column chromatography medium was wetted and equilibrated with binding buffer before the RNA was applied, whereas RNA was applied to dry paper. Another possible factor affecting the percentage of the aptamers that bind could be the difference in the fluid dynamics resulting from centrifugation of the columns versus the laminar flow produced by capillary action in the paper. Regardless, improvements in any process that uses cellulose-binding RNA aptamers for cellulose column chromatography could be achieved by increasing the extent of aptamer binding via changes in the chromatography protocol or by isolating an aptamer with improved binding efficiency.
The cellulose-binding aptamer presented here was combined with a naturally occurring ribozyme sequence to generate a modular construct allowing for the purification of RNAs from a complex mixture. This modular approach to engineering functional nucleic acids with more complex activities can be adapted by researchers in the implementation of complex sensing systems for gene control as well as for biotechnology applications of functional nucleic acids. One such application would be the use of the cellulose-binding aptamer to tether an RNA population to a surface to facilitate the in vitro selection of allosteric RNAs. Such an approach to in vitro selection combined with 3SR for nucleic acid amplification should yield a selection protocol that is easily adapted to automated aptamer generation.
Acknowledgments
We thank members of the Breaker Lab for helpful discussion. This work was supported by NIH grants DK070270 and HV28186. Research in the Breaker laboratory is also supported by the Howard Hughes Medical Institute.
Contributor Information
B. J. Boese, Department of Chemical Engineering, Yale University, New Haven, Connecticut 06520-8103, USA
K. Corbino, Department of Molecular, Cellular and Developmental Biology, Yale University, New Haven, Connecticut 06520-8103, USA
R. R. Breaker, Department of Molecular, Cellular and Developmental Biology, Department of Molecular Biophysics and Biochemistry, Howard Hughes Medical Institute, Yale University, New Haven, Connecticut 06520-8103, USA
References
- 1.Proske D, Blank M, Buhmann R, Resch A. Aptamers - basic research, drug development, and clinical applications. Appl Microbiol Biotechnol. 2005;69:367–374. doi: 10.1007/s00253-005-0193-5. [DOI] [PubMed] [Google Scholar]
- 2.Nimjee SM, Rusconi CP, Sullenger BA. Aptamers: An emerging class of therapeutics. Annu Rev Med. 2005;56:555–583. doi: 10.1146/annurev.med.56.062904.144915. [DOI] [PubMed] [Google Scholar]
- 3.Ng EWM, Adamis AP. Anti-VEGF aptamer (pegaptanib) therapy for ocular vascular diseases. Oligonucleotide Therapeutics. 2006;1082:151–171. doi: 10.1196/annals.1348.062. [DOI] [PubMed] [Google Scholar]
- 4.Fichou Y, Ferec C. The potential of oligonucleotides for therapeutic applications. Trends Biotechnol. 2006;24:563–570. doi: 10.1016/j.tibtech.2006.10.003. [DOI] [PubMed] [Google Scholar]
- 5.Breaker RR. Natural and engineered nucleic acids as tools to explore biology. Nature. 2004;432:838–845. doi: 10.1038/nature03195. [DOI] [PubMed] [Google Scholar]
- 6.Tombelli S, Minunni A, Mascini A. Analytical applications of aptamers. Biosens Bioelectron. 2005;20:2424–2434. doi: 10.1016/j.bios.2004.11.006. [DOI] [PubMed] [Google Scholar]
- 7.Hamula CLA, Guthrie JW, Zhang HQ, Li XF, Le XC. Selection and analytical applications of aptamers. Trends Anal Chem. 2006;25:681–691. [Google Scholar]
- 8.Navani NK, Li YF. Nucleic acid aptamers and enzymes as sensors. Curr Opin Chem Biol. 2006;10:272–281. doi: 10.1016/j.cbpa.2006.04.003. [DOI] [PubMed] [Google Scholar]
- 9.Tombelli S, Minunni M, Mascini M. Aptamers-based assays for diagnostics, environmental and food analysis. Biomol Eng. 2007;24:191–200. doi: 10.1016/j.bioeng.2007.03.003. [DOI] [PubMed] [Google Scholar]
- 10.Jaeger L, Chworos A. The architectonics of programmable RNA and DNA nanostructures. Curr Opin Struct Biol. 2006;16:531–543. doi: 10.1016/j.sbi.2006.07.001. [DOI] [PubMed] [Google Scholar]
- 11.Westof E, Masquida B, Jaeger L. RNA tectonics: towards RNA design. Fold Des. 1996;1:R78–R88. doi: 10.1016/S1359-0278(96)00037-5. [DOI] [PubMed] [Google Scholar]
- 12.Tang J, Breaker RR. Rational design of allosteric ribozymes. Chem Biol. 1997;4:453–459. doi: 10.1016/s1074-5521(97)90197-6. [DOI] [PubMed] [Google Scholar]
- 13.Soukup GA, Breaker RR. Engineering precision RNA molecular switches. Proc Natl Acad Sci USA. 1999;96:3584–3589. doi: 10.1073/pnas.96.7.3584. [DOI] [PMC free article] [PubMed] [Google Scholar]
- 14.Levy M, Ellington AD. ATP-dependent allosteric DNA enzymes. Chem Biol. 2002;9:417–426. doi: 10.1016/s1074-5521(02)00123-0. [DOI] [PubMed] [Google Scholar]
- 15.Wang DY, Lai BH, Sen D. A general strategy for effector-mediated control of RNA-cleaving ribozymes and DNA enzymes. J Mol Biol. 2002;318:33–43. doi: 10.1016/S0022-2836(02)00046-3. [DOI] [PubMed] [Google Scholar]
- 16.Breaker RR. Engineered allosteric ribozymes as biosensor components. Curr Opin Biotechnol. 2002;13:31–39. doi: 10.1016/s0958-1669(02)00281-1. [DOI] [PubMed] [Google Scholar]
- 17.Silverman SK. Rube Goldberg goes (ribo)nuclear? Molecular switches and sensors made from RNA. RNA. 2003;9:377–383. doi: 10.1261/rna.2200903. [DOI] [PMC free article] [PubMed] [Google Scholar]
- 18.Famulok M. Allosteric aptamers and aptazymes a sprobes for screening approaches. Curr Opin Mol Ther. 2005;7:137–143. [PubMed] [Google Scholar]
- 19.Mandal M, Breaker RR. Gene regulation by riboswitches. Nat Rev Mol Cell Biol. 2004;5:451–463. doi: 10.1038/nrm1403. [DOI] [PubMed] [Google Scholar]
- 20.Winkler WC, Breaker RR. Regulation of bacterial gene expression by riboswitches. Annu Rev Microbiol. 2005;59:487–517. doi: 10.1146/annurev.micro.59.030804.121336. [DOI] [PubMed] [Google Scholar]
- 21.Mandal M, Lee M, Barrick JE, Weinberg Z, Emilsson GM, Ruzzo WL, Breaker RR. A glycine-dependent riboswitch that uses cooperative binding to control gene expression. Science. 2004;306:275–279. doi: 10.1126/science.1100829. [DOI] [PubMed] [Google Scholar]
- 22.Sudarsan N, Hammond MC, Block KF, Welz R, Barrick JE, Roth A, Breaker RR. Tandem riboswitch architectures exhibit complex gene control functions. Science. 2006;314:300–304. doi: 10.1126/science.1130716. [DOI] [PubMed] [Google Scholar]
- 23.Welz R, Breaker RR. Ligand binding and gene control characteristics of riboswitches in Bacillus anthracis. RNA. 2007;13:573–582. doi: 10.1261/rna.407707. [DOI] [PMC free article] [PubMed] [Google Scholar]
- 24.Boese B, Breaker RR. In vitro selection and characterization of cellulose-binding DNA aptamers. Nucleic Acids Res. 2007 doi: 10.1093/nar/gkm708. (in press) [DOI] [PMC free article] [PubMed] [Google Scholar]
- 25.Klemm D, Heublein B, Fink HP, Bohn A. Cellulose: Fascinating biopolymer and sustainable raw material. Angew Chem Int Ed Engl. 2005;44:3358–3393. doi: 10.1002/anie.200460587. [DOI] [PubMed] [Google Scholar]
- 26.Huizenga DE, Szostak JW. A DNA aptamer that binds adenosine and ATP. Biochemistry. 1995;34:656–665. doi: 10.1021/bi00002a033. [DOI] [PubMed] [Google Scholar]
- 27.Lin CH, Patel DJ. Structural basis of DNA folding and recognition in an AMP-DNA aptamer complex: distinct architectures but common recognition motifs for DNA and RNA aptamers complexed to AMP. Chem Biol. 1997;4:817–832. doi: 10.1016/s1074-5521(97)90115-0. [DOI] [PubMed] [Google Scholar]
- 28.Guatelli JC, Whitfield KM, Kwoh DY, Barringer KJ, Richman DD, Gingeras TR. Isothermal, in vitro amplification of nucleic acids by a multienzyme reaction modeled after retroviral replication. Proc Natl Acad Sci USA. 1990;87:1874–1878. doi: 10.1073/pnas.87.5.1874. [DOI] [PMC free article] [PubMed] [Google Scholar]
- 29.Fahy E, Kwoh DY, Gingeras TR. Self-sustained sequence replication (3SR): an isothermal transcription-based amplification system alternative to PCR. PCR Methods Appl. 1991;1:25–33. doi: 10.1101/gr.1.1.25. [DOI] [PubMed] [Google Scholar]
- 30.Tanaka Y, Akagi K, Nakamura Y, Kozu T. RNA aptamers targeting the carboxyl terminus of KRAS oncoprotein generated by an improved SELEX with isothermal RNA amplification. Oligonucleotides. 2007;17:12–21. doi: 10.1089/oli.2006.0035R1. [DOI] [PubMed] [Google Scholar]
- 31.Compton J. Nucleic acid sequence-based amplification. Nature. 1991;350:91–92. doi: 10.1038/350091a0. [DOI] [PubMed] [Google Scholar]
- 32.Winkler WC, Nahvi A, Roth A, Collins JA, Breaker RR. Control of gene expression by a natural metabolite-responsive ribozyme. Nature. 2004;428:281–286. doi: 10.1038/nature02362. [DOI] [PubMed] [Google Scholar]
- 33.Cochrane JC, Lipchock SV, Strobel SA. Structural investigation of the GlmS ribozyme bound to its catalytic cofactor. Chem Biol. 2007;14:97–105. doi: 10.1016/j.chembiol.2006.12.005. [DOI] [PMC free article] [PubMed] [Google Scholar]
- 34.Soukup GA, Breaker RR. Relationship between internucleotide linkage geometry and the stability of RNA. RNA. 1999;5:1308–1325. doi: 10.1017/s1355838299990891. [DOI] [PMC free article] [PubMed] [Google Scholar]
- 35.Soukup GA, DeRose EC, Koizumi M, Breaker RR. Generating new ligand-biding RNAs by affinity maturation and disintegration of allosteric ribozymes. RNA. 2001;7:524–536. doi: 10.1017/s1355838201002175. [DOI] [PMC free article] [PubMed] [Google Scholar]
- 36.Roth A, Nahvi A, Lee M, Jona I, Breaker RR. Characteristics of the glmS ribozyme suggest only structural roles for divalent metal ions. RNA. 2006;12:607–619. doi: 10.1261/rna.2266506. [DOI] [PMC free article] [PubMed] [Google Scholar]
- 37.Breaker RR, Joyce GF. Emergence of a replicating species from an in vitro RNA evolution reaction. Proc Natl Acad Sci USA. 1004;91:6093–6097. doi: 10.1073/pnas.91.13.6093. [DOI] [PMC free article] [PubMed] [Google Scholar]
- 38.Breaker RR, Banerji A, Joyce GF. Continuous in vitro evolution of bacteriophage RNA polymerase promoters. Biochemistry. 1994;33:11980–11986. doi: 10.1021/bi00205a037. [DOI] [PubMed] [Google Scholar]
- 39.Wright MC, Joyce GF. Continuous in vitro evolution of catalytic function. Science. 1009;276:614–617. doi: 10.1126/science.276.5312.614. [DOI] [PubMed] [Google Scholar]
- 40.Winkler W, Nahvi A, Breaker RR. Thiamine derivatives bind messenger RNAs directly to regulate bacterial gene expression. Nature. 2002;419:952–956. doi: 10.1038/nature01145. [DOI] [PubMed] [Google Scholar]
- 41.Wickiser JK, Winkler WC, Breaker RR, Crothers DM. The speed of RNA transcription and metabolite binding kinetics operate an FMN riboswitch. Mol Cell. 2005;18:49–60. doi: 10.1016/j.molcel.2005.02.032. [DOI] [PubMed] [Google Scholar]
- 42.Zuker M. Mfold web server for nucleic acid folding and hybridization prediction. Nucleic Acids Res. 2003;31:3406–3415. doi: 10.1093/nar/gkg595. [DOI] [PMC free article] [PubMed] [Google Scholar]
- 43.Batey RT, Kieft JS. Improved native affinity purification of RNA. RNA. 2007;13:1384–1389. doi: 10.1261/rna.528007. [DOI] [PMC free article] [PubMed] [Google Scholar]
