Abstract
Case summary
A 10-month-old female spayed domestic shorthair cat was presented for urinary incontinence. The cat was azotaemic, and ultrasound examination identified hydroureter and hydronephrosis. Subsequent computed tomography (CT) contrast pyelography allowed a diagnosis of urinary bladder torsion. Surgical findings and treatment are described. Postoperatively, incontinence and azotaemia resolved, and marked improvements were documented with ultrasound and CT in urinary tract structural abnormalities.
Relevance and novel information
To our knowledge, urinary bladder torsion has not been previously reported in the cat. This case most probably occurred as a complication of ovariohysterectomy, as has been reported in the dog; however, the presenting sign of chronic urinary incontinence is unique. Response to surgical correction was favourable.
Case description
A 10-month-old female spayed domestic shorthair cat was referred for urinary incontinence of 3 months’ duration. The cat was dribbling urine, and damp bedding was noticed following sleep. The cat had been spayed 122 days prior with no complications reported. Sixty-four days after ovariohysterectomy (OHE), pollakiuria with stranguria and haematuria was observed over a 2 day period. Treatment was provided with oral amoxicillin–clavulanic acid (Clavulox; Pfizer) 12.5 mg/kg PO q12h for 1 week. Haematuria had resolved at a recheck 3 weeks later but pollakiuria remained. At 1 week prior to referral serum biochemical analysis revealed azotaemia (Table 1), urine specific gravity was 1.028 and urine dipstick findings included 2+ red blood cells and a pH of 6.5. No crystals were identified on microscopy and culture was not performed. Oral marbofloxacin (Zeniquin; Pfizer) 3.3 mg/kg q24h was prescribed for 14 days and proprietary renal diet initiated (k/d, Hill’s Pet Nutrition).
Table 1.
Serum renal parameters before and after correction of urinary bladder torsion at time intervals from the possible instigating event of ovariohysterectomy (OHE)
| Days post-OHE | Urea mmol/l (RI 5.7–12.9) | Creatinine µmol/l (RI 71–212) | Phosphate mmol/l (RI 1.00–2.42) |
|---|---|---|---|
| 116 | 24.0 | 310 | 2.50 |
| 122 | 17.9 | 229 | 2.35 |
| 245 | 23.2 | 281 | |
| 298 | 19.3 | 314 | 1.59 |
| 315* | 18.4 | 338 | 1.68 |
| 317 | 11.2 | 272 | |
| 325 | 12.2 | 334 | 1.81 |
| 449 | 14.5 | 241 | 1.70 |
| 469 | 14.0 | 190 | |
| 603 | 10.3 | 168 | 1.09 |
Surgery
RI = reference interval
At presentation the cat had lost 0.66 kg, down from 3.94 kg 2 months earlier. No abnormalities were identified on physical examination. Abnormal laboratory findings included a packed cell volume of 28% (reference interval [RI] 30–45%) and azotaemia (Table 1). Abdominal ultrasound showed bilateral hydronephrosis and hydroureter (Table 2). The urinary bladder appeared normal. The urethral lumen was variably distended measuring between 4.5 mm and 6.0 mm along its length. Computer tomographic (CT) contrast pyelography was recommended to investigate the cause of urinary tract distension, with ureteral ectopia the primary differential; however, this was declined by the owner. Urine culture was not performed owing to antibiotic use. The cat was discharged with advice to continue antibiotic therapy for possible associated pyelonephritis.
Table 2.
Ultrasound measurements of upper urinary tract structures before and after surgical correction of urinary bladder torsion
| Anatomy assessed | 8 months presurgery | 73 days postsurgery |
|---|---|---|
| Renal pelvis (RI 0.8–3.2) | ||
| Left (mm) | 15.4 | 3.7 |
| Right (mm) | 17.7 | 3.7 |
| Ureter (not visible unless dilated) | ||
| Left (mm) | 2.6 | Not visible |
| Right (mm) | 4.3 | Not visible |
RI = reference interval
At 245 days post-spay the cat represented to the original referring practice with pollakiuria and stranguria. A large bladder was palpated. Clinical signs resolved after 2 days on oral diazepam (Valium; Roche) 0.25 mg/kg q12h and prazosin (Minipress; Pfizer) 0.125 mg/kg q12h.
The cat was presented for further investigation at 18 months of age, 298 days post-spay. Voluntary urination appeared normal; however, there were episodes of apparent incontinence immediately after urinating and occasional stranguria. Diazepam and prazosin were ongoing. Blood testing was performed (Table 1).
A CT study was performed to evaluate the urinary tract. The cat was imaged in sternal recumbency and a survey scan in a soft tissue algorithm (WL 30 and WW 350) with 2.00 mm slice thickness was performed. Iodinated contrast agent (Omnipaque 240 mg/ml; GE Healthcare Australia Pty) was administered intravenously at a reduced dose of 240 mg/kg. A second scan was obtained after a delay of 3 mins with a soft tissue algorithm (WL 30 and WW 350) and a slice thickness of 1.50 mm.
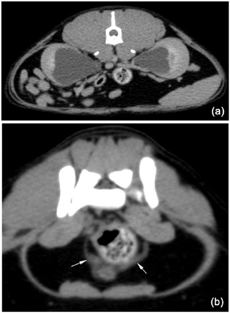
This examination identified moderate bilateral hydronephrosis and diffuse mild-to-moderate hydroureter (Table 3; Figure 1a,b). On the postcontrast images there was a normal parenchymal phase; however, the excretory phase was delayed.
Table 3.
Computed tomographic measurements of upper urinary tract structures before and after surgical correction of urinary bladder torsion
| 2 weeks presurgery | 73 days postsurgery | |
|---|---|---|
| Left renal pelvis (mm) | 24 × 18 × 15 | 15 × 10 × 5 |
| Right renal pelvis (mm) | 36 × 25 × 25 | 20 × 9 × 5 |
| Left ureter (mm) | 2.2–4.0 | 1–2 |
| Right ureter (mm) | 2.8–4.1 | 1–2 |
Reference intervals for computed tomographic intravenous pyelography have not been established in the cat but renal pelvis and ureter are generally considered dilated when >3 mm in diameter
Figure 1.
(a) Transverse computed tomographic (CT) images showing bilateral hydronephrosis in a cat with urinary tract obstruction due to bladder torsion. (b) Transverse CT images showing bilateral hydroureter (arrows) in a cat with urinary tract obstruction due to bladder torsion
The apex of the urinary bladder had a moderately distended lumen apically; however, it tapered sharply just prior to the trigone region and was clearly torsed at this level (Figure 2a–c). In the region of the trigone the lumen became distended again before tapering towards the urethral sphincter at the level of the pelvic brim (Figure 3). The distal ureters could be observed extending to the level of the trigone but their terminations could not be determined.
Figure 2.
(a) Transverse plane computed tomographic (CT) image of a torsed urinary bladder (arrows mark torsion). (b) Dorsal plane CT image of a torsed urinary bladder. Arrow marks the site of torsion. (c) Sagittal CT image of a torsed urinary bladder (arrow marks the site of torsion)
Figure 3.
Postintravenous contrast sagittal computed tomographic image of a torsed urinary bladder showing contrast pooling (arrowhead) caudal to the site of torsion (arrow)
Aerobic urine culture was performed with no bacteria isolated after 48 h. The reversibility of renal compromise was unknown; however, surgery was advised to document and correct the suspect bladder torsion.
At 315 days postspay midline laparotomy was performed and marked adhesions of the greater omentum to the bladder apex were identified (Figure 4a). Dissection allowed identification of torsion of the bladder neck of approximately 150º such that the left ureter passed over the dorsal surface of the bladder neck to insert on the right side, and the right ureter inserted on the ventral bladder neck (Figure 4b). The bladder was de-rotated; however, the omental adhesions caused the bladder to return to a torsed state so the adhesions were broken down. A right paramedian incisional cystopexy was performed with 4-0 glyconate (Monosyn; B Braun). The abdomen was closed routinely.
Figure 4.

(a) Intraoperative image of a torsed urinary bladder (UB) showing marked omental adhesions. (b) Intraoperative photographs of torsed urinary bladder showing abnormal, ventral insertion of the right ureter into the bladder (arrow)
Postoperative analgesia was provided with 0.02 mg/kg buprenorphine q8h (Temgesic; Reckitt Benckiser) sublingually. The cat was maintained on intravenous compound sodium lactate solution (Hartman’s solution; Baxter) at 2.5 ml/kg/h. In hospital, urination was regularly observed in the litter tray but not on bedding. Azotaemia improved through the period of hospitalisation (Table 1).
Ten days postoperatively all clinical signs were reported to have resolved. Ten weeks postoperatively (449 days after spay) the cat was reported to be active and eating well, although still polydipsic. Laboratory findings were recorded (Table 1). Urine dipstick was negative for proteinuria and testing of systolic blood pressure revealed normotension on repeated assessments. During ultrasound examination both kidneys exhibited much reduced pylectasia and the ureters could not be identified (Table 2). The urinary bladder appeared within normal limits.
At this visit a recheck CT examination was performed in sternal recumbency with a plain survey study followed by sequential postcontrast studies acquired 3, 5 and 11 mins postadministration of iodinated contrast agent (240 mg/kg). There was evidence of reduced hydronephrosis and the kidneys had reduced in size (Table 3). The cortical margins were undulating, giving the kidneys a slightly lobulated structure. In the postcontrast series there was a homogeneous parenchymal phase and normal progression to the excretory phase. The ureters had a reduction in diameter and demonstrated evidence of peristalsis (Table 3). There was normal ureteral insertion into the trigone. There was some residual narrowing of the trigonal lumen at the site of the previous torsion. The cat was assessed as having near complete resolution of structural urinary tract changes as a result of surgery so no subsequent deterioration in renal function due to obstruction was anticipated. The cat was deemed to have stage 2 chronic kidney disease according to the IRIS guidelines, and was discharged with advice to feed a proprietary renal diet and seek repeat assessment of renal parameters every 3 months.
At day 469 after OHE serum creatinine was within the RI and urine specific gravity was measured at 1.034 (Table 1).
At day 603 after OHE (8 months postcorrective surgery) all serum biochemical parameters were within the RI (Table 1). The cat was receiving a renal diet and no clinical concerns were noted.
Discussion
In this case report the presenting clinical problem was urinary incontinence, which, in juvenile cats, is most commonly caused by ureteral ectopia or congenital urethral sphincter mechanism incompetence.1 In one study, within a cohort of 19 feline cases presenting for urinary incontinence, 10 had ureteral ectopia and nine congenital urethral sphincter mechanism incompetence.2 Isolated reports of other congenital abnormalities of the urinary system exist but are considered rare.3 The most common acquired form of urinary incontinence in the cat is trauma-induced neurogenic incontinence.1 Acquired incontinence has also been described secondarily to caesarean section and OHE in the cat, and is associated with iatrogenic ureterovaginal fistulation due to suture entrapment.4,5
Urinary bladder torsion has been reported in dogs and in one human patient. Urinary bladder torsion occurred after caudal abdominal surgery in both published canine cases with one case following surgery for pelvic trauma and the other following OHE.6,7 Despite an apparently similar degree of torsion and associated adhesions to the cat in this case, both dogs had marked necrosis of the urinary bladder wall and the onset of signs was acute and severe, with anuria and marked abdominal pain.6,7 Bladder necrosis in the post-OHE dog was attributed to strangulation of the vesicular arteries and veins due to the torsion.7 We did not observe cystic necrosis in the cat, possibly because of preservation of the cranial vesicular vasculature. The lateral ligaments of the bladder were observed to be torn, and considered to be the cause of bladder torsion after OHE in the dog.7 These ligaments house the small umbilical vessels that supply the cranial vesicular vasculature and appeared to be intact at surgery in this cat. This may have facilitated ongoing bladder vascularisation; however, the chronic course could have altered the anatomic appearance by the time of surgery. In humans, urinary bladder torsion is also extremely rare with only one isolated case described. In that case there was a chronic course and torsion was associated with scrotal herniation of the bladder apex.8
In the case presented here, ventral midline OHE had been performed 10 weeks prior to the first reported clinical signs. No surgical complications were reported; however, this remains the most probable causative event given the close proximity of the uterine stump and urinary bladder. It has been hypothesised that omental adhesion to the bladder after trauma caused bladder torsion as a result of movement of the omentum within the abdomen in a dog.7 A similar aetiology appears probable in this case. Adhesions to the site of proposed bladder trauma would occur rapidly; however, the resultant torsion could progress slowly or with a sporadic course due to the relatively mobile mass of the omentum in the abdomen.
We performed incisional cystopexy to maintain the bladder in an anatomically correct position after surgical correction. Cystopexy has been performed and recommended after reduction of bladder herniation in conjunction with perineal and inguinal herniorrhaphy in the cat,9,10 and after reduction of a necrotic torsed canine bladder.7 The procedure was reported as being well tolerated.9,10
Inulin clearance is considered the gold standard for quantification of glomerular filtration rate (GFR) and is therefore the preferred method of assessing renal function; however, complexity in performing this technique largely limits its use to the research environment. Quantitative scintigraphy has been validated for assessment of GFR in cats and, more recently, a methodology has been established for plasma iohexol and creatinine clearance testing in cats;11–13 however, GFR was not assessed here. In this cat, however, serum renal biochemical parameters were normal 8 months after surgical correction of the bladder torsion and partial ureteral obstruction. In a previous report, which followed renal function after correction of near total unilateral ureteral obstruction of 2 weeks’ duration, azotaemia remained, with creatinine at 202.4 µmol/l (RI 61.6–158.4 µmol/l) and a urea of 15.35 mmol/l (RI 5.35–11.78 mmol/l); however, 8 months after correction contralateral renal disease was suspected.5 Experimental canine studies of ureteral ligation have documented similar partial return of renal function when obstruction was relieved at 14 days.14 The degree of ureteral obstruction was likely partial and variable in our case due to dynamic torsion of the bladder trigone so direct comparisons are not possible.
Intravenous use of iodinated contrast agents is known to cause alterations in heart rate and systolic blood pressure that could have undesirable renal outcomes in azotaemic cats.15 On this basis a reduced dose rate of iohexol was used (240 mg/kg), which is markedly less than that reported as being used for iohexol tolerance testing (647 mg/kg) in similarly azotaemic cats.13
Conclusions
To our knowledge, this is the first reported case of bladder torsion as a cause of urinary incontinence in the cat. This case is suspected to have occurred secondarily to OHE and should be considered as a rare complication of caudal abdominal surgery in both cats and dogs. In this case, surgical correction resulted in resolution of the azotaemia and incontinence; however, the prolonged period of obstruction means residual renal damage is likely to be present.
Acknowledgments
We would like to thank Dr Michael Sames, who referred and assisted in management of this case.
Footnotes
Conflict of interest: The authors declared no potential conflicts of interest with respect to the research, authorship, and/or publication of this article.
Funding: The authors received no financial support for the research, authorship, and/or publication of this article.
References
- 1. Holt PE. Urinary incontinence in dogs and cats. Vet Rec 1990; 127: 347–350. [PubMed] [Google Scholar]
- 2. Holt PE, Gibbs C. Congenital urinary incontinence in cats: a review of 19 cases. Vet Rec 1992; 130: 437–442. [DOI] [PubMed] [Google Scholar]
- 3. Jones AK. Unusual case of feline incontinence. Vet Rec 1983; 112: 555. [DOI] [PubMed] [Google Scholar]
- 4. Allen WE, Webbon PM. Two cases of urinary incontinence in cats associated with acquired vagino-ureteral fistula. J Small Anim Pract 1980; 21: 367–371. [DOI] [PubMed] [Google Scholar]
- 5. Day DG, Bailey MQ, Evans KL, et al. Postoperative evaluation of renal function after surgical correction of a ureterovaginal fistula in a cat. J Am Vet Med Assoc 1993; 202: 104–106. [PubMed] [Google Scholar]
- 6. Thieman KM, Pozzi A. Torsion of the urinary bladder after pelvic trauma and surgical fixation. Vet Comp Orthop Traumatol 2010; 23: 259–261. [DOI] [PubMed] [Google Scholar]
- 7. Pozzi A, Smeak DD, Aper R. Colonic seromuscular augmentation cystoplasty following subtotal cystectomy for treatment of bladder necrosis caused by bladder torsion in a dog. J Am Vet Med Assoc 2006; 229: 235–239. [DOI] [PubMed] [Google Scholar]
- 8. Markewitz M, Badlani G. Massive scrotal herniation of bladder with torsion of trigone. Urology 1983; 22: 441–443. [DOI] [PubMed] [Google Scholar]
- 9. Risselada M, Kramer M, Van de, Velde B, et al. Retroflexion of the urinary bladder associated with a perineal hernia in a female cat. J Small Anim Pract 2003; 44: 508–510. [DOI] [PubMed] [Google Scholar]
- 10. Zulauf D, Voss K, Reichler IM. Herniation of the urinary bladder through a congenitally enlarged inguinal canal in a cat. Schweizer Archiv fur Tierheilkunde 2007; 149: 559–562. [DOI] [PubMed] [Google Scholar]
- 11. Uribe D, Krawiec DR, Twardock AR. Quantitative renal scintigraphic determination of the glomerular filtration rate in cats with normal and abnormal kidney function, using 99mTc-diethylenetriaminepentaacetic acid. Am J Vet Res 1992; 53: 1101–1117. [PubMed] [Google Scholar]
- 12. Heiene R, Reynolds BS, Bexfield NH, et al. Estimation of glomerular filtration rate via 2- and 4-sample plasma clearance of iohexol and creatinine in clinically normal cats. Am J Vet Res 2009; 70: 176–185. [DOI] [PubMed] [Google Scholar]
- 13. Finch NC, Heiene R, Elliott J, et al. A single sample method for estimating glomerular filtration rate in cats. J Vet Intern Med 2013; 27: 782–790. [DOI] [PubMed] [Google Scholar]
- 14. Kerr WS., Jr. Effects of complete ureteral obstruction in dogs on kidney function. Am J Physiol 1956; 184: 521–526. [DOI] [PubMed] [Google Scholar]
- 15. Pollard RE, Puchalski SM, Pascoe PJ. Hemodynamic and serum biochemical alterations associated with intravenous administration of three types of contrast media in anesthetized cats. Am J Vet Res 2008; 69: 1274–1278. [DOI] [PubMed] [Google Scholar]



