Ibrutinib, an inhibitor of Bruton tyrosine kinase, is used in the treatment of lymphoid leukemias. Ibrutinib-induced panniculitis has been described as a rare cutaneous side effect. We describe a case of a septolobular, mixed inflammatory panniculitis with small-vessel vasculitis secondary to ibrutinib therapy.
Case report
A 75-year-old man presented with a 3-month history of several migratory ecchymotic 2- to 3-cm nodules on his lower extremities, mainly the thighs, without associated symptoms. Lesions lasted approximately 2 weeks before resolving with new lesions then arising in different areas. He denied any recent illnesses or new medications.
The patient's history was significant for chronic lymphocytic leukemia, refractory to prior chemotherapy, for which he was being treated with ibrutinib, 420 mg daily, which was started 1 year before presentation. Notably, his course of leukemia was complicated 6 months before the start of ibrutinib by miliary tuberculosis, for which he completed rifampin, isoniazid, pyrazinamide, ethambutol, and levofloxacin antibiotic therapy. The patient denied pulmonary symptoms at presentation.
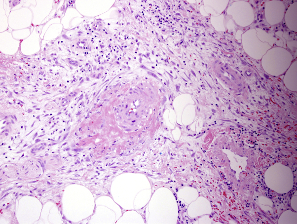
On physical examination, multiple subcutaneous, 1- to 2-cm nodules with overlying ecchymosis were found on the thighs (Fig 1). Erythema and warmth were absent. A deep punch biopsy of a right leg nodule was performed. Pathology showed a brisk, mixed acute and chronic inflammatory infiltrate in lobules of adipose tissue with concomitant involvement of the septa. Within the panniculus, fibrinoid necrosis of vascular endothelium with associated neutrophils and erythrocyte extravasation were observed (Fig 2). Chest radiographs were negative for granulomatous disease.
Fig 1.
Three-centimeter right lower extremity nodule.
Fig 2.
Septal and lobular panniculitis with associated vasculitis. (Hematoxylin-eosin stain; original magnification: ×40.)
Interferon-γ release assay tuberculosis testing was not performed because of expected positivity in the setting of prior infection. Sterile punch biopsies of a left thigh lesion were sent for acid-fast bacilli culture and for Mycobacterium tuberculosis polymerase chain reaction testing and were negative. The patient's review of systems remained negative for pulmonary and constitutional symptoms.
After consultation with the patient's infectious disease physician and oncologist, ibrutinib was held for 4 weeks. The patient's lesions completely resolved over this period without development of new lesions. Upon restarting ibrutinib, 420 mg daily, he developed identical new lesions within a week.
Discussion
Panniculitis arising in patients treated with ibrutinib, currently the only drug in its class, with septal and lobular inflammation has recently been reported.1, 2 Lesions were described as painful erythematous nodules primarily involving the lower extremities occurring within 1 to 90 days of starting ibrutinib. Histopathologic evaluation found a lobular and septal panniculitis with mixed inflammatory infiltrate with variable leukocytoclasis. Most patients improved with low-dose prednisone. In contrast, a case series of several patients with neutrophilic panniculitis in the setting of myeloid disorders has also been reported. These cases showed predominantly lobular infiltrate, typically were associated with fevers, and were felt to represent subcutaneous Sweet syndrome.3
Our case is unique in its presentation of migratory ecchymotic nodules on the lower extremities developing 1 year after initiation of ibrutinib. Pathology findings showed a mixed lobular and septal panniculitis with small-vessel vasculitis. Our case highlights a diagnostic dilemma in which an immunosuppressed patient with a history of miliary tuberculosis presents with lesions for which the clinicohistopathologic differential diagnosis includes erythema induratum. Because erythema induratum is thought to be a reactive state to M tuberculosis antigens,4 detection of the causative organism may prove difficult.
In the case of our patient, cessation of ibrutinib was used as an alternative diagnostic and therapeutic intervention given the patient's history of tuberculosis and reluctance to recommend prednisone as a treatment option. Discontinuation of ibrutinib resulted in rapid resolution of existing lesions and cessation of new lesions. This case report serves to convey an interesting diagnostic challenge and to illustrate the presentation of a new dermatologic condition.
Footnotes
Funding sources: None.
Conflicts of interest: None declared.
References
- 1.Fabbro S.K., Smith S.M., Dubovsky J.A., Gru A.A., Jones J.A. Panniculitis in patients undergoing treatment with the bruton tyrosine kinase inhibitor ibrutinib for lymphoid leukemias. JAMA Oncol. 2015;1(5):684–686. doi: 10.1001/jamaoncol.2015.0457. [DOI] [PubMed] [Google Scholar]
- 2.Mulvey J.J., Nuovo G.J., Magro C.M. Cutaneous, purpuric painful nodules upon addition of ibrutinib to RCVP therapy in a CLL patient: a distinctive reaction pattern reflecting iatrogenic Th2 to Th1 milieu reversal. Am J Dermatopathol. 2016;38(7):492–498. doi: 10.1097/DAD.0000000000000441. [DOI] [PubMed] [Google Scholar]
- 3.Chan M.P., Duncan L.M., Nazarian R.M. Subcutaneous Sweet syndrome in the setting of myeloid disorders: a case series and review of the literature. J Am Acad Dermatol. 2013;68(6):1006–1015. doi: 10.1016/j.jaad.2012.12.954. [DOI] [PubMed] [Google Scholar]
- 4.MacGregor R.R. Cutaneous tuberculosis. Clin Dermatol. 1995;13(3):245–255. doi: 10.1016/0738-081x(95)00019-c. [DOI] [PubMed] [Google Scholar]


