Abstract
Dermatofibroma, also known as benign fibrous histiocytoma, is a soft-tissue tumour that usually occurs in the mid-adult life and shows a slight female predominance. Giant dermatofibroma, a very rare clinical variant, is characterised by its unusually large size, benign biological behaviour despite its large size and same histopathological characteristics as conventional dermatofibroma. We report a 63-year-old woman who presented with a large tumour on the scapular region which showed histopathological features of benign dermatofibroma.
Keywords: Dermatofibroma, giant dermatofibroma, fibrous histiocytoma, immunohistochemistry
INTRODUCTION
Dermatofibroma is a benign tumour that is seen in the middle ages and shows slight female preponderance. Giant dermatofibroma is a rare variant which though clinically may raise suspicion of malignancy, is in fact a benign variant.
CASE REPORT
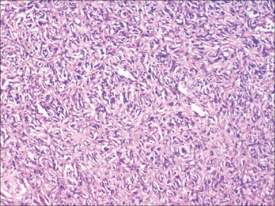
A 63-year-old woman, a known diabetic, presented to the dermatology department with a slowly progressive lesion on the back since 26 years. The lesion was initially asymptomatic, but she had recently developed pain and pruritus over it. There was no preceding episode of trauma. Examination revealed a huge, nodulo-ulcerative plaque on the left side of the back of approximately 15 cm × 20 cm size, extending to the nape of the neck superiorly, acromial process laterally and medially crossing the midline up to medial border of the right scapula [Figure 1]. An incisional biopsy was obtained from one of the nodules and sent for histopathologic examination. Microscopically, there was an infiltrating lesion located in the deep dermis and subcutaneous tissue, composed of spindle cells arranged in a storiform pattern [Figures 2 and 3]. The cells showed elongated nuclei, fine chromatin and moderate amount of eosinophilic cytoplasm. Many foreign body giant cells with occasional bizarre cells were also seen. Immunohistochemical staining with CD34 markers was negative while there was positivity for CD68 [Figures 4 and 5]. These findings were consistent with the diagnosis of benign fibrous histiocytoma, probably cellular type. The patient was referred to plastic surgery, where she underwent wide local excision with skin grafting. She came for follow-up after 6 months, and there was no tendency for recurrence [Figure 6].
Figure 1.

A large noduloulcerative lesion on the left scapular region
Figure 2.

Epidermis is free with neoplasm in the dermis (H and E, ×100)
Figure 3.

Neoplasm in lower dermis (H and E, ×100)
Figure 4.

Spindle cells some showing storiform pattern (H and E, ×400)
Figure 5.

Immunohistochemistry showing CD68 positivity
Figure 6.

Following surgical excision
DISCUSSION
Dermatofibroma is a common, usually benign, soft-tissue tumour often found on the lower limbs.[1] The most common presentation is as a red-brown or yellow-brown papule on the leg measuring usually >3 cm in diameter, which is mostly asymptomatic. It almost invariably exhibits benign biologic behaviour. Clinically, it moves freely over the deeper layers on palpation, and if the overlying epidermis is inwardly compressed, it exhibits the 'dimple sign,' indicating tethering of the overlying epidermis to the underlying lesion.[2] Several clinical variants have been described, of which the unusual ones include atypical polypoid, atrophic and giant dermatofibroma.[3,4] The latter variant is not uncommon, and the correct diagnosis is usually not suspected because of its large size. The most striking feature of giant dermatofibroma is its large size which may lead to suspicion of malignancy.
Cellular dermatofibroma is a rare pathological subtype representing <5% of all fibrous histiocytomas.[5] This pathological variant while still favouring the lower limbs, is more common in males and most are <2 cm in diameter. When very large, the lesions may present clinically as a giant dermatofibroma. The features widely accepted as defining a giant dermatofibroma were first described by Requena et al.[6] in their 1994 series of eight cases of dermatofibroma: (a) size ≥5 cm; (b) pedunculated; (c) benign biological behaviour despite its size and (d) the same histopathological characteristics as conventional dermatofibroma.
In the same series, none of the lesions excised recurred at an average of 35 months follow-up, suggesting that surgical management represents a satisfactory management strategy in giant dermatofibroma.
Histological findings in dermatofibroma typically include a degree of epidermal hyperplasia of the overlying epidermis. Sometimes, the basaloid proliferation simulates a basal cell carcinoma, and the pathologist must be cautious of confusing these different entities. The dermis displays a poorly circumscribed proliferation of spindle cells associated with varying numbers of mononuclear cells. At the periphery, the spindle cells characteristically wrap around normal collagen bundles, which is a key feature of dermatofibroma. The line of differentiation of these spindle-shaped cells remains uncertain. These lesions are therefore classified as 'fibrohistiocytic tumours' because of their appearance and the histopathological findings of a variable mixture of fibrocytes and macrophages. Foamy macrophages are commonly seen in varying numbers.[1]
The differential diagnosis of dermatofibroma must include dermatofibrosarcoma protuberans. Immunohistochemical staining for CD34 is usually negative in benign lesions (positive in 85% of dermatofibrosarcoma protuberans) and may be the only distinguishing characteristic. However, it should be noted that cellular dermatofibroma may focally stain positive for CD34 though this is predominantly seen at the periphery of the tumour. Another distinguishing feature is staining with factor XII a which will be positive in dermatofibroma.
This case highlights an uncommon variant of dermatofibroma-plaque type giant dermatofibroma. Although clinically, it may raise suspicion of malignancy, it is important to recognise this rare, benign variant with good response to surgical excision and little tendency for recurrence. Immunohistochemistry is essential for confirming the benign nature of the condition. About 23 adult cases of large dermatofibroma, designated giant dermatofibroma, have been reported till 2011,[3] and only two have shown a plaque-like appearance, the remainder being pedunculated.[7] We would like to emphasise that plaque-like dermatofibroma is a variety of giant dermatofibroma distinct to pedunculated giant dermatofibroma.
Financial support and sponsorship
Nil.
Conflicts of interest
There are no conflicts of interest.
REFERENCES
- 1.Calonje E. Soft tissue tumours and tumour-like conditions. In: Burns T, Breathnach S, Cox N, Griffiths C, editors. Rook's Textbook of Dermatology. 8th ed. West Sussex UK: Wiley Blackwell Ltd; 2010. pp. 56.16–18. [Google Scholar]
 - 2.Rapini RP. Fibrohistiocytic proliferations and neoplasms. In: Rapini RP, editor. Practical Dermatopathology. Mosby: Elsevier; 2005. pp. 341–356. [Google Scholar]
 - 3.Pusztaszeri M, Jaquet PY, Williamson C. Giant hemosiderotic dermatofibroma: A case report and review of the literature. Case Rep Dermatol. 2011;3:32–6. doi: 10.1159/000324721. [DOI] [PMC free article] [PubMed] [Google Scholar]
 - 4.Bedi TR, Pandhi RK, Bhutani LK. Multiple palmoplantar histiocytomas. Arch Dermatol. 1976;112:1001–3. [PubMed] [Google Scholar]
 - 5.Lang KJ, Lidder S, Hofer M, Graham C, Taylor A. Rapidly evolving giant dermatofibroma. Case Rep Med. 2010;2010:620910. doi: 10.1155/2010/620910. [DOI] [PMC free article] [PubMed] [Google Scholar]
 - 6.Requena L, Fariña MC, Fuente C, Piqué E, Olivares M, Martín L, et al. Giant dermatofibroma. A little-known clinical variant of dermatofibroma. J Am Acad Dermatol. 1994;30(5 Pt 1):714–8. [PubMed] [Google Scholar]
 - 7.Leow LJ, Sinclair PA, Horton JJ. Plaque-like dermatofibroma: A distinct and rare benign neoplasm? Australas J Dermatol. 2008;49:106–8. doi: 10.1111/j.1440-0960.2008.00436.x. [DOI] [PubMed] [Google Scholar]
 
