Abstract
Progression of α-synuclein inclusion pathology may occur through cycles of release and uptake of α-synuclein aggregates, which induce additional intracellular α-synuclein inclusion pathology. This process may explain i) the presence of α-synuclein inclusion pathology in grafted cells in human brains, and ii) the slowly progressive nature of most human α-synucleinopathies. It also provides a rationale for therapeutic targeting of extracellular aggregates to limit pathology spread. We investigated the cellular mechanisms underlying intra-neuronal α-synuclein aggregation following exposure to exogenous preformed α-synuclein amyloid fibrils. Exogenous α-synuclein fibrils efficiently attached to cell membranes and were subsequently internalized and degraded within the endosomal/lysosomal system. However, internalized α-synuclein amyloid fibrils can apparently overwhelm the endosomal/lysosomal machinery leading to the induction of intraneuronal α-synuclein inclusions comprised of endogenous α-synuclein. Furthermore, the efficiency of inclusion formation was relatively low in these studies compared to studies using primary neuronal-glial cultures overexpressing α-synuclein. Our study indicates that under physiologic conditions endosomal/lysosomal function acts as an endogenous barrier to the induction of α-synuclein inclusion pathology, but when compromised it may lower the threshold for pathology induction/transmission.
Keywords: α-synuclein, degradation, endocytosis, inclusions, lysosome, Parkinson’s disease
Graphical Abstract
α-synuclein (αS) cytoplasmic inclusions can present in a spectrum of neurodegenerative disorders. Exogenous αS fibrils efficiently attach to the plasma membrane. They can subsequently internalize and are degraded within the endosomal/lysosomal system. However, internalized αS amyloid fibrils may also overwhelm the endosomal/lysosomal machinery leading to the induction of cytoplasmic inclusions comprised of endogenous αS.

Introduction
α-synuclein (αS) neuronal inclusions, also known as Lewy bodies and Lewy neurites can present in a spectrum of neurodegenerative disorders, termed synucleinopathies, such as Parkinson’s disease (Waxman & Giasson 2008a; Goedert 2001; Goedert et al. 2013). Neuropathology studies have shown that the presentation of αS pathology can appear to follow a temporal neuroanatomical sequence associated with disease severity (Braak et al. 2006a) and that αS pathology may even start in the peripheral nervous system (Braak et al. 2006b; Wakabayashi et al. 1988). Indeed, the appearance of Lewy bodies in fetal dopaminergic neurons that were transplanted in the striatum of PD patients (Kordower et al. 2008; Li et al. 2008; Li et al. 2010) supports the notion that αS pathology may be transmitted between neurons. In addition, several studies have demonstrated that αS can be imported or exported across cell membranes (Ahn et al. 2006; Desplats et al. 2009; Emmanouilidou et al. 2010; Lee et al. 2008a) consistent with the observed inter-cellular exchange of αS in cellular animal graft studies (Desplats et al. 2009; Kordower et al. 2011; Reyes et al. 2013). Indeed, application of exogenous αS amyloid or biological samples containing aggregated αS can in mice induce the progressive spread of intra-neuronal αS inclusion pathology (Betemps et al. 2014; Luk et al. 2012a; Luk et al. 2012b; Masuda-Suzukake et al. 2013; Watts et al. 2013; Mougenot et al. 2012; Sacino et al. 2013a; Sacino et al. 2014a; Sacino et al. 2014b; Sacino et al. 2014c). Despite the growing body of data supporting a prion-like mechanism for pathology induction, not all of the results obtained from these studies are consistent with pathology induction solely via conformational templating. Other additional disease modifying factors such as direct cellular toxicity, proteostasis impairments, or endosomal dysfunction need to be considered as additional mechanisms (Brundin et al. 2008; Golde et al. 2013; Sacino & Giasson 2012; Uchihara & Giasson 2015).
Several non-mutually exclusive mechanisms including release by exocytosis (Lee et al. 2005; Liu et al. 2009) or cell death, uptake by various endocytosis mechanisms (Ahn et al. 2006; Lee et al. 2008a; Lee et al. 2010; Sung et al. 2001), release/uptake of exosomes (Danzer et al. 2012; Emmanouilidou et al. 2010), and even conceivable nanotube tunneling (Gousset et al. 2009) could be involved in the intercellular transmission of αS aggregates. A previous study reported that the simple addition of extracellular αS fibrils to primary neurons could induce the formation of intracellular αS inclusions in primary neuronal cultures (Volpicelli-Daley et al. 2011), but we demonstrated that some of the critical data could be confounded by the lack of specificity of a key reagent, antibody pSer129/81A, which also recognizes phosphorylated neurofilament low-molecular mass subunit (NFL) (Sacino et al. 2014c).
Using recombinant adeno-associated virus-mediated αS overexpression in mouse primary neuronal-glial cultures, we previously showed that exposure to exogenous αS amyloid seeds efficiently induced intracellular αS inclusion pathology in cells overexpressing αS, and that this inclusion formation occurred in a fashion that was consistent with conformational templating (Sacino et al. 2013b). However, in contrast to another published report (Volpicelli-Daley et al. 2011) we did not detect inclusion pathology formation in the absence of αS overexpression in neuronal-glial cultures. Here, we revisited studies in non-αS overexpressing primarily neuronal-glial cultures. Using a pSer129 αS antibody that has demonstrated a high degree of specificity; we show that exogenous αS amyloid fibrils can induce the intra-neuronal aggregation of endogenous αS in naïve primary cultures under defined conditions. However, this process shows limited efficiency with only a subset of neurons developing inclusion pathology following exposure to αS fibrils. We further establish the dual role of endocytosis and endosomal/lysosomal function in fibril uptake that can lead to pathology induction endo-lysosomal degradation of αS representing a significant physiological barrier to pathology spread.
Methods
Antibodies
See Table 1 for complete list of αS antibodies. Anti-phospho-Ser129 αS rabbit monoclonal antibodies EP1536Y and MJF-R13 (8–8) were obtained from Abcam (Cambridge, MA). A rabbit polyclonal antibody against NFL was generously provided by Dr. Gerry Shaw (Encor Biotechnology Inc.) and an anti-NFL rabbit monoclonal antibody C28E10 was purchased from Cell Signaling Technology. Mouse anti-NFL antibody NR4 was obtained from Sigma-Aldrich (St. Louis, MO). Mouse anti-actin (clone C4) monoclonal antibody reacts with all forms of vertebrate actin (Millipore, Billerica, MA). A polyclonal rabbit anti-glial fibrillary acidic protein antibody was purchased from Dako (Carpinteria, CA). Anti-vimentin (C20) rabbit antibody was from Santa Cruz Biotechnology Inc (Dallas, TX). Neuronal specific mouse monoclonal anti-βIII tubulin antibody TuJ-1 was purchased from Fisher Scientific (Hanover Park, IL), while neuronal specific rabbit anti-βIII tubulin antibody (T2200) was obtained from Sigma-Aldrich (St. Louis, MO). Rabbit anti-LC3A monoclonal antibody D50G8 was obtained from Cell Signaling Technology (Danvers, MA).
Table 1.
List of αS antibodies used. * Antibody pSer129/81A only reacts with αS when phosphorylated at Ser129, but it also cross-reacts with NFL phosphorylated at Ser473 (Sacino et al. 2014c).
| Antibody name | Host | Species specificity | Epitope (residues) | References |
|---|---|---|---|---|
| D37A6 | rabbit | murine αS only | around Glu 106 | Cell Signaling |
| SNL4 | rabbit | human and murine αS | 1–12 | (Giasson et al. 2000) |
| SNL1 | rabbit | human and murine αS | 104–119 | (Giasson et al. 2000) |
| Syn 506 | mouse | human and murine αS | 1–12 | (Duda et al. 2002; Waxman et al. 2008) |
| Syn 211 | mouse | human αS only | 120–125 | (Giasson et al. 2000) |
| Syn 204 | mouse | human αS only | 102–110 | (Giasson et al. 2000) |
| pSer129/81A | mouse | human and murine αS | Phosphorylated Ser 129* | (Waxman & Giasson 2008b) |
| pSer129/MJF-R13 (8–8) | rabbit | human αS | Phosphorylated Ser 129 | |
| pSer129/EP1536Y | rabbit | human and murine αS | Phosphorylated Ser 129 |
Reagents
Dynasore was purchased from Sigma-Aldrich (St. Louis, MO) and bafilomycin A was from EMD Millipore (Billerica, MA).
Primary neuronal-glial cultures
All procedures were performed according to the NIH Guide for the Care and Use of Experimental Animals and were approved by the University of Florida Institutional Animal Care and Use Committee. SNCA (αS) null mice (Abeliovich et al. 2000) were obtained from The Jackson Laboratory (Bar Harbor, MA). Primary cultures (embryonic) were prepared from E16–E18 C3HBL/6 mouse brains (Harlan Labs). Cerebral cortices were dissected from E16–E18 mouse brains and were dissociated in 2mg/mL papain (Worthington) and 50 μg/mL DNAase I (Sigma) in sterile Hank’s Balanced Salt Solution (Life Technologies) at 37°C for 20 minutes. They were washed three times in sterile Hank’s Balanced Salt Solution to inactivate the papain and switched to 1% fetal bovine serum (FBS; HyClone) in Neurobasal-A growth media (Gibco), which includes 1% GlutaMax Supplement (Life Technologies), B-27 supplement, 100 units/mL penicillin and 100 ug/ml streptomycin. The tissue mixture was triturated three times using a 5 mL pipette followed by a Pasteur pipette, and strained through a 70 μm nylon cell strainer. The cell mixture was then centrifuged at 1300 g for 3 minutes, and re-suspended in fresh Neurobasal-A media. They were then plated on Nunc Lab-Tek II CC2 chamber slides or onto poly-D lysine coated cell culture dishes (Life Technologies) at around 100,000–200,000 cells/cm2. Cells were maintained in the Neurobasal-A growth media without FBS at 37°C in a humidified 5% CO2 chamber. These cultures are comprised of approximately 20% neurons and 80% glial cells based on the percentage of total cells stained for βIII-tubulin (neuronal marker) versus vimentin (glial cell marker).
CHO cells
CHO cells were cultured in Dulbecco’s modified Eagle medium high glucose (4.5gm/L) supplemented with 10 % FBS, 100U/ml penicillin, 100U/ml streptomycin, and 2 mM L-glutamine.
Preparation of recombinant αS fibrils
Recombinant 21–140 human and full length human or mouse wild-type αS proteins were expressed and purified as described previously (Giasson et al. 2001; Greenbaum et al. 2005; Waxman & Giasson 2010; Waxman & Giasson 2011). For amyloid assembly, αS proteins (5 mg/mL) were incubated in sterile phosphate-buffered saline (PBS; Life Technologies, Carlsbad, CA, USA) at 37°C with continuous shaking at 1050 rpm (Thermomixer R, Eppendorf, Westbury, NY, USA) and fibril formation was monitored by turbidity and K114 fluorometry (Waxman & Giasson 2010). Fibrils were diluted to 2 mg/mL in sterile PBS and sonicated for 1 hours, which results in fragmentation into smaller fibrils of varying lengths (Waxman & Giasson 2010; Sacino et al. 2014c)(Supplemental Figure 1). Cultures were treated with 10 or 20 μg/ml of αS fibril mix at 6 DIV and maintained thereafter as indicated for each experiment.
Negative Staining Electron Microscopy
αS filaments were absorbed to 300 mesh carbon coated copper grids and stained with 1% uranyl acetate as described previously (Giasson et al. 1999). Images were captured with a JEOL 1010 transmission electron microscope (Peabody, MA) mounted with a Hamamatsu digital camera (Bridgewater, MA) using AMT software (Danvers, MA).
Biochemical Cellular Fractionation
For total cell lysates, cells were washed with PBS and directly lysed in 2% SDS, 50 mM Tris pH 6.8 and heated to 100°C for 10 minutes. Protein concentrations were determined by bicinchoninic acid assay (Pierce) using bovine serum albumin as standard.
For trypsin degradation of extracellular αS fibrils, cells were washed with PBS and treated with 0.25% trypsin for 10 minutes. Trypsin was inactivated with 20% FBS/PBS. Cells were washed with PBS and directly lysed in 2% SDS, 50 mM Tris pH 6.8 and heated to 100°C for 10 minutes.
For biochemical fraction, cultures were washed with PBS and lysed in CSK buffer (50 mM Tris, pH 7.4, 150 mM NaCl, 20 mM NaF, 2 mM EDTA, 1% Triton X-100) with protease inhibitors and placed on ice for 10 min. Lysates were then centrifuged at 100,000 g for 30 min at 4°C. Supernatants were saved as the Triton-soluble fraction; and the pellet was washed with the CSK buffer and re-centrifuged. The pellet was then resuspended in 2% SDS, sonicated and heated to 100°C for 10 minutes. 2% SDS was added to the Triton-soluble fraction that was heated to 100°C.
Western Blotting Analysis
Equal amounts of cellular protein lysates or volumes of cell culture media were resolved by SDS-PAGE on 13% polyacrylamide gels, followed by electrophoretic transfer onto nitrocellulose membranes. Membranes were blocked in Tris buffered saline (TBS) containing 5% dry milk, and incubated overnight with primary antibodies in TBS/5% dry milk, except pSer129/81A and D37A6 antibodies that were probed overnight in TBS/5% bovine serum albumin (BSA). A total anti-actin antibody (clone C4) (Millipore, Billerica, MA) was used as a loading control. Probing with primary antibodies was followed by goat anti-mouse conjugated horseradish peroxidase (HRP) (Amersham Biosciences, Piscataway, NJ) or goat anti-rabbit HRP (Cell Signaling Technology, Danvers, MA). Protein bands were detected using chemiluminescent reagent (NEN, Boston, MA) and a FluorChem Imager (Protein Simple, San Jose, California).
Immunofluorescence Microscopy Analysis
For double immunofluorescence analysis, cells were washed with PBS and fixed with 4% paraformaldehyde/PBS. Following PBS washes, cells were blocked with 5% FBS/PBS/0.1% Triton X-100 for 30 minutes. Cultures were incubated in primary antibodies followed by Alexa-fluor 488 and 594 conjugated secondary antibodies (Invitrogen, Carlsbad, CA). Nuclei were counterstained with 4′,6-diamidino-2-phenylindole (DAPI; Invitrogen, Carlsbad, CA), and coverslips were mounted using Fluoromount-G (Southern Biotech, Birmingham, AL). For standard immunofluorescence, images were captured with a Olympus BX51 fluorescence microscope mounted with a DP71 digital camera (Olympus, Center Valley, PA).
For confocal immunofluorescence analyses of the association of exogenous human αS fibrils with the surface plasma membrane, cells were extensively washed with PBS, fixed with 4% paraformaldehyde, washed and immunostained with cholera toxin subunit B conjugated to Alexa 647 (Invitrogen, Carlsbad, CA) without cell permeabilization. Cholera toxin subunit B binds to the cell surface ganglioside GM1; therefore, it reliably identifies surface membrane. Again without permeabilization, cells were incubated with anti-human αS antibody Syn 204 followed by anti-mouse antibody conjugated to Alexa-fluor 488. Images were captured using an inverted Nikon TE2000-UCI laser scanning confocal microscope (Nikon, Melville, NY) with 60× 1.49NA Plan-Apo objective (Nikon) and Nikon NIS-Elements software.
Results
Exogenous αS fibrils extensively associate with cell membrane
Addition of preformed αS fibrils to primary neuronal-glial cultures that overexpress αS results in the robust induction of intracellular amyloidogenic αS inclusions; however, in non-αS overexpressing cultures this was not observed (Sacino et al. 2013b). We conducted numerous additional studies to evaluate aggregation of endogenous αS in naïve neuronal-glial cultures following exposure to exogenous αS fibrils. Using anti-αS antibodies that recognized epitopes that are present only in the exogenously added human αS fibrils, we found that exogenous αS aggregates efficiently adhere to cell membranes (Fig. 1; Supplemental Figure 2). For example, staining with amino-terminal specific αS antibody Syn 506 or carboxy-terminal specific human αS antibodies Syn 204 or Syn 211 in cultures treated with full-length human fibrillar αS result in the widespread staining of cell even after extensive washing with PBS prior to fixation (Fig. 1B; Supplemental Figure 2). This close association between exogenous αS aggregates and the outside of cell membranes was confirmed by staining without permeabilizing cells with detergent and confocal microscopy (Supplemental Figure 3). In comparison, the staining of exogenous αS aggregates is not observed with antibody Syn 506 if the fibrils are comprised of amino-terminal truncated 21–140 human αS (Fig. 1C) indicating that the staining is largely due to exogenously added αS fibrils adhering to cells.
Figure 1. Exogenous human αS fibrils attach to cells in primary neuronal-glial cultures.
(A) Schematic representation of the αS protein with the locations of the epitopes for the various αS antibodies used in the studies. The black boxes represent the 6 KTKEGV degenerate repeats in αS. Neuronal-glial cultures were maintained for 6 days and (B) recombinant full-length human αS fibrils (10 ug/ml) or (C) recombinant 21–140 human αS fibrils (10 ug/ml) were added and cultured for an additional 3 days. Cells were extensively washed with PBS, fixed, and immunostained with anti-amino-terminal αS specific antibody Syn 506 (red), anti-human αS specific antibody Syn 204 (red), or anti-human αS specific antibody Syn 211 (red) and anti-GFAP antibody (green). Cultures were stained with GFAP to visualize astrocytes in the culture. Merged images are shown. Higher magnification merged images are shown on the far right. Bar = 100 um and 250 um for the higher magnification images on the right.
Biochemical fractionation studies of neuronal-glial cultures treated with exogenous full-length human αS fibrils showed that the exogenous fibrils attaching to cells were predominantly fractionated in the Triton-insoluble fraction (Fig. 2). When detected with antibodies such as SNL1 that reacts with both human and mouse αS, there appears to be the generation of Triton-insoluble αS species (Fig. 2A), but when a mouse αS specific antibody is used it is clear the vast majority of endogenous mouse αS was found in the Triton-soluble fraction (Fig. 2B). We also observed an αS cleavage product (indicated by asterisks) derived from the exogenous human αS fibrils as this band was detected by the anti-αS human antibody Syn 204 (Fig. 2D). This protein fragment results from cleavage between amino acid residues 110 and 120, as it was detected by antibodies Syn 204 and SNL1, but not Syn 211 (Fig. 2).
Figure 2. Analysis of endogenous murine αS and exogenous human αS fibrils in primary neuronal-glial cultures.
Neuronal-glial cultures were maintained for 6 days and not treated (−) or treated (+) with recombinant full-length human αS fibrils (10 ug/ml) and cultured for an additional for 4 days. Cultures are shown in triplicate. The cultures were extensively rinsed with PBS and fractionated with CSK buffer as described in “Material and Methods” to generate Triton-soluble (S) fractions and Triton-insoluble (P) fractions. Cell lysates were resolved onto 13%-polyacrylamide gels and analyzed by immunoblotting with (A) antibody SNL-1 that reacts equally with murine and human αS, (B) antibody D37A6 that specifically reactions with murine αS, or antibodies (C) Syn 211and (D) Syn 204 that specifically reacts with human αS. The asterisk (*) indicates a major breakdown product of exogenous αS that forms when associated with cells. A separate lane on the left on each blot is shown to demonstrate the migration pattern of intact exogenous αS fibrils that was used to treat the cultures. The mobilities of the molecular mass markers are shown on the right.
To evaluate whether fibrillar αS bound to cells remained predominantly extracellular, fibrillar αS exposed to primary neuronal-glial cells were treated with trypsin. Trypsin treatment almost completely eliminated intact human αS fibrils and the cleaved fragment associated with the cells, but also generated a new band migrating slightly below 15 kDa (Fig. 3A). Trypsin treatment may have eliminated the human αS fibrils associated with the cells by either direct degradation of human αS or by allowing it to be released from cell surface proteins that it is tethered to. Nevertheless, these studies show that the majority of the human αS fibrils associated with cells are extracellular. The residual trypsin-resistant human αS fragments could represent either internalized αS or trypsin resistant species; however, in the absence of cells, trypsin is capable of completely degrading human αS fibrils (Fig. 3B). Furthermore, we find that incubation of cells with soluble, non-aggregated, human αS results in minimal association with the cell membrane, or if it does bind cells it is very rapidly cleared (Fig. 3A).
Figure 3. Aggregated αS associates with cells and is predominantly extracellular.

(A) Neuronal-glial cultures were maintained for 6 days and treated with soluble (S) or fibrillar (F) recombinant full-length human αS (10 ug/ml) for 2 days. Cells were washed with PBS and directly lysed or treated with trypsin (+) prior to lysis. Cell lysates were resolved onto 13%-polyacrylamide gels and analyzed by immunoblotting with antibody Syn 204. The immunoblot was also probed with an actin antibody for a loading control and to show that the cells were still intact following trypsin treatment. (B) To show that trypsin could completely degrade fibrillar αS, similar to the cell studies, fibrillar αS (10 ug/ml) in PBS was untreated or treated (+) with trypsin at 37°C for 10 minutes and the reaction was stopped by adding SDS sample buffer and heating at 100°C. Samples were analyzed by immunoblotting with antibody Syn 204. The mobilities of the molecular mass markers are shown on the right.
Cell-associated exogenous αS fibrils are degraded in neuronal-glial cultures
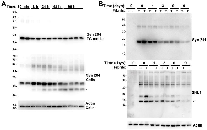
To further investigate how exogenous human αS fibril is processed following attachment to cells and the generation of the αS cleavage products, we performed time course studies (Fig. 4A). The total αS in the cell culture media was relatively stable up to 96 hours following addition to the cultures (Fig. 4A). Exogenous αS rapidly associated with cells (within 10 minutes of application), reached maximal levels by 24 hours, and then decreased over a 48-hour period. Notably, as the levels of full-length exogenous αS associated with the cells decreased there was a concomitant increase in the cleaved C-terminal fragment in the cells (Fig. 4A).
Figure 4. Degradation of exogenous human αS fibrils in primary neuronal-glial cultures.
(A) Neuronal-glial cultures were maintained for 6 days and treated with recombinant full-length human αS fibrils (10 ug/ml) for the times indicated in minutes (min) or hours (h). The cell culture media (TC media) or total cell lysates, harvested after extensive washes with PBS, were analyzed by immunoblotting with anti-human αS antibody Syn 204. (B) Neuronal-glial cultures were maintained for 6 days and untreated (−) or treated (+) with recombinant full-length human αS fibrils (10 ug/ml) for 4 days. The cell culture media was replaced with fresh media without exogenous αS. At the times indicated, cells were extensively washed with PBS and total cell lysates were analyzed by immunoblotting with antibodies Syn 211 and SNL-1 to determine the turnover of exogenous αS attached to cells. The asterisk (*) indicates the major breakdown products of exogenous αS that forms when associated with cells. The immunoblot was also probed with an actin antibody for a loading control. The mobilities of the molecular mass markers are shown on the right.
The amount of exogenous αS associated with the neuron-glial cells in the constant presence of exogenous fibrillar αS represents a combination of αS that is de novo attaching to the cells, already bound to the cell surface, and that has been internalized. To monitor the specific turnover of only the αS that is already associated with the cells, after allowing exogenous αS to bind to the cells for 8 hours, the media was replaced with new media that did not contain exogenous αS (Fig. 4B). Both full-length and the C-terminal truncated αS product of fibrillar αS initially present were progressively degraded with a half-life estimated at 3–5 days. We found no evidence that exogenous αS fibrils associated with the cells were secreted or released back in the cell culture media (Supplemental Figure 4).
Endosomal/lysosomal degradation of exogenous αS fibrils
To determine if αS fibrils can absorb to and be degraded by non-neuronal/glial cells, similar studies were performed with Chinese hamster ovary (CHO) cells. Human αS fibrils readily adhered to CHO cells, but CHO cells displayed even more robust degradation of αS fibrils (Fig. 5A). To assess whether the protease activity involved in degrading αS was secreted, human αS fibrils were incubated in naïve or conditioned media, and no significant degradation was observed (Fig. 5B). These data suggested that a cellular protease activity was involved in the degradation of exogenous αS fibrils. To characterize this cellular activity, we first treated cells with, ammonium chloride or chloroquine, compounds that inhibit lysosomal function by neutralizing the acidic organelles. Treatment with either agent significantly blocked the degradation of fibrillar αS associated with CHO cells (Fig. 5C). To further characterize this cellular process, we treated cells with bafilomycin A, a drug that prevents lysosomal function by inhibiting vacuolar proton ATPase but also blocks fusion between autophagosomes and lysosome (Bowman et al. 1988; Yamamoto et al. 1998). To confirm that chloroquine and bafilomycin A were effective at the concentrations used, we assessed the levels of LC3A-I and the phosphatidyethanolamine modified form of this protein LC3A-II (Supplemental Figure 5), established markers of autophagosome/lysosome activities (Tanida et al. 2008). In addition, we treated cells with dynasore, an inhibitor of dynamin GTPase activity which is required for coated vesicle endocytosis (Macia et al. 2006). Both bafilomycin A and dynasore reduced the degradation of exogenous fibrillar αS (Fig. 5D).
Figure 5. Cellular mechanisms involved in exogenous fibrillar αS degradation in CHO cells and primary neuronal-glial cultures.
(A) CHO cells were untreated (−) or treated (+) with recombinant full-length human αS fibrils (10 ug/ml) for the times indicated. Cells were extensively washed with PBS and total cell lysates were analyzed by immunoblotting. The asterisk (*) indicates the major breakdown products of exogenous αS that forms when associated with cells. (B) Recombinant full-length human αS fibrils (10 ug/ml) were not incubated (started) or incubated for 3 days in PBS, CHO cells culture media (M), or CHO cells conditioned media (from confluent cells; CM) and were analyzed by immunoblotting. (C) CHO cells were untreated (−) or treated (+) with recombinant full-length human αS fibrils (10 ug/ml) for the times indicated. As indicated some cells were also concurrently challenged with 100 uM chloroquine or 25 mM ammonium chloride. Cells were extensively washed with PBS and total cell lysates were analyzed by immunoblotting. (D) CHO cells were untreated (−) or treated (+) with recombinant full-length human αS fibrils (10 ug/ml) for the times indicated. As indicated some cells were also concurrently challenged with 1 nM bafilomycin A or 60 uM dynasore. Cells were extensively washed with PBS and total cell lysates were analyzed by immunoblotting. (E) Neuronal-glial cultures were maintained for 6 days and treated with recombinant full-length human αS fibrils (10 ug/ml) for 2 days in the presence of 100 uM chloroquine or 25 mM ammonium chloride as indicated. The treatment with chloroquine or ammonium chloride resulted in a greater than 2 fold accumulation of cellular-associated αS fibrils. Cells were extensively washed with PBS and total cell lysates analyzed by immunoblotting with antibody Syn 204 as well as with an actin antibody for a loading control. The mobilities of the molecular mass markers are shown on the right.
To determine if a similar mechanism was involved in the degradation of fibrillar αS by neuronal-glial cultured cells, we assessed the effect of lysosomal inhibitors in these cells. Treatment of cells with ammonium chloride or chloroquine resulted in the stabilization of exogenous human αS fibrils attached to cells (Fig. 5E). These results suggest that lysosomal impairment could lead to the accumulation of exogenous αS fibrils within vesicles. We further investigated this possibility using dual immunofluorescence assays. Primary neuronal-glial cultures with treated with αS fibrils and chloroquine for 2 days; staining with pSer129/81A antibody staining showed robust accumulation of intracellular phosphorylated αS staining that was not seen in cultures treated with αS fibrils or chloroquine alone or in naïve cultures (Fig. 6D-arrow heads). This labeling was clearly distinct from labeling of neuronal process by pSer129/81A that is due to cross-reactivity with phosphorylated NFL (Fig. 6A-arrows). This data indicated that lysosomal inhibition may result in the intracellular accumulation of internalized human αS fibrils that become phosphorylated, as the same findings were obtained from cultures from αS null mice indicating that these pSer129/81A immuno-positive structures were not due to accumulation of endogenous mouse αS (Fig. 6E). To further demonstrate that it was the exogenous human αS fibrils that were internalized and accumulating after becoming phosphorylated, we show that that pSer129/81A-positive puncta did not appear in primary neuronal-glial cultures from αS null mice were treated with Ser129Ala αS fibrils in the presence of chloroquine (Fig. 6F). Cultures were double labeled with vimentin, a non-neuronal cell marker, to demonstrate that intracellular accumulation of phosphorylated exogenous human αS fibrils occurred in various cell types and not just neurons. However, we also show that intracellular accumulation of phosphorylated exogenous human αS fibrils in the presence of chloroquine can occur in neurons (Supplemental Figure 6).
Figure 6. Inhibition of lysosomal proteolysis with chloroquine results in the intracellular accumulation of phosphorylated exogenous αS fibrils in primary neuronal-glial cultures.
Double immunofluorescence analysis with pSer129/81A αS antibody (green) and a vimentin antibody (red). Neuronal-glial cultures from wild-type (WT) mice were maintained for 6 days and either left untreated (A), treated with recombinant 21–140 human αS fibrils (10 ug/ml) for 2 days (B), treated with 100 uM chloroquine for 2 days (C), or treated with both 21–140 human αS fibrils (10 ug/ml) and 100 uM chloroquine for 2 days (D). Neuronal-glial cultures from αS null mice were maintained for 6 days and treated with both 21–140 human αS fibrils (10 ug/ml) and 100 uM chloroquine for 2 days (E). Neuronal-glial cultures from αS null mice were maintained for 6 days and treated with both Ser129Ala 21–140 human αS fibrils (10 ug/ml) and 100 uM chloroquine for 2 days (F). Merged images are shown. Higher magnification merged images are shown on the far right. Arrowheads indicate the intracellular accumulation of phosphorylated human αS fibrils puncta. Arrows depict labeling of NFL-positive neuronal neurites due to cross-reactivity of antibody pSer129/81A αS with phosphorylated NFL (Sacino et al., 2014c). Bar = 100 um and 250 um for the higher magnification images on the right.
Induction of intra-neuronal αS aggregation with exogenous αS fibrils
We speculated that if exogenous αS fibrils are targeted to the endo-lysosomal pathway following internalization, then saturating the cells with excess αS fibrils can overwhelm the cells’ intrinsic degradation machinery leading to additional pathologies, including recruitment of endogenous αS. In many studies where we had treated cultures with 10 μg/ml 21–140 human, full-length human, or mouse αS fibrils for 2–10 days we failed to detect any reproducible and significant biochemical or immune-staining evidence for endogenous αS induction formation in our neuronal-glial cultures. In contrast, in studies where we increased the concentration of exogenous αS fibrils to 20 μg/ml, we were able to reproducibly observe the formation of pSer129/81A stained aggregates that did not co-localize with NFL suggesting that these are indeed intracellular αS aggregates induced by exogenous αS fibrils (Fig. 7A–B, arrows). Hyper-phosphorylation of αS at Ser129 is one of the best indicators of pathological αS inclusion formation (Anderson et al. 2006; Fujiwara et al. 2002; Waxman & Giasson 2008b; Waxman & Giasson 2010), but many anti-pSer129 αS antibodies lack specificity; in particular the pSer129/81A antibody can strongly cross-react with NFL phosphorylated at Ser129 (Sacino et al. 2014c). Therefore, as a further proof that the intracellular aggregates were composed of endogenous αS, we used the amino-terminal αS antibody Syn 506, an epitope absent in the exogenous 21–140 human αS fibrils. Indeed, we observed Syn506 positive intracellular aggregates (Fig. 7D) that were not present in untreated cultures (Fig. 7C), although the overall amount was less than detected with pSer129/81A on the same cultures (Fig. 7A). Thus, pSer129 immunoreactivity was clearly a more robust marker of aggregate formation, but staining with the pSer129/81A antibody did not always provide clear-cut data since in many cultures that were maintained for 8–12 days the staining due to phospho-NFL cross-reactivity often resembles αS aggregates due to neuronal chromatolysis.
Figure 7. Induction of αS aggregates in primary neuronal-glial cultures by exogenous treatment with αS fibrils.
Neuronal-glial cultures were maintained for 6 days, incubated with 21–140 human αS fibrils (20 ug/ml) for 10 days (A, B, D) or maintained untreated for an additional 10 days (C), and analyzed by immunofluorescence. Cultures were labeled with antibodies (A) pSer129/81A (green) and polyclonal NFL (red), (B) pSer129/81A (green) and rabbit monoclonal C28E10-NFL, or (C, D) Syn 506 and βIII-tubulin. Arrows depict pSer129/81A staining that does not co-localize with NFL. Merged images are shown. Bar = 100 um and 250 um for the higher magnification images on the right.
To try to identify other pSer129 αS antibodies that would not have the issue of cross-reactivity with NFL we recently screened several anti-pSer129 αS antibodies for their ability to detect aggregated phosphorylated αS without cross-reaction with phosphorylated NFL (Uchihara & Giasson 2015). We found that antibodies pSer129/EP1536Y and pSer129/MJF-R13 (8–8) could react with αS phosphorylated at Ser129 without cross-reacting with phosphorylated NFL (Uchihara & Giasson 2015). However, we found that the pSer129/MJF-R13 (8–8) antibody strongly labeled neurons even in naïve cultures from αS null mice; indeed, in some cultures the staining pattern of the neuritic processes recognized a beaded structure resembling frank αS aggregates in seeded cultures (Supplemental Figure 7). This finding is consistent with the pSer129/MJF-R13 (8–8) antibody reacting with non-αS proteins as observed by immunoblotting using mouse brain lysates (Uchihara & Giasson 2015). Conversely, the pSer129/EP1536Y antibody demonstrated very low non-specific staining except for some weak nuclear staining.
Using the pSer129/EP1536Y antibody that is not confounded with cross-reactivity to phosphorylated NFL, we then demonstrated that the addition of exogenous αS fibrils at 20 μg/ml resulted in progressively increasing (2 to 10 days) hyperphosphorylated αS aggregates in neuronal-glial cultures (Fig. 8). These aggregates could be similarly induced with the addition of exogenous fibrils comprised of 21–140 human αS (Fig. 8B–D), full-length mouse αS (Fig. 8E, H), or full-length human αS (Fig. 8F) and was not induced in cultures from αS null mice (Fig. 8G). To further investigate the formation of αS intracellular aggregates by exogenous αS fibrils in these cultures, we performed biochemical fractionation followed by immunoblot analysis (Fig. 9). The treatment with exogenous fibrils over 10 days resulted in the accumulation of Triton X-100 insoluble αS aggregates, which were also resistant to SDS and heating as they remained at the top of the resolving gels. These αS aggregates were detected with pSer129 αS antibodies 81A, MJF-R13 (8–8) and EP1536Y and anti-mouse αS specific antibody D37A6 indicating that they are comprised of endogenous pSer129 phosphorylated αS. These aggregated forms of exogenous αS were also resistant to urea/SDS treatment (Fig. 9B). Interestingly, probing with a human αS specific antibody Syn 204 revealed that the residual exogenous human αS migrated as a protein smear indicating that it was being extensively modified over time.
Figure 8. Induction of endogenous αS aggregates with exogenous αS fibrils in primary neuronal-glial cultures.
Primary neuronal-glial cultures from WT mice (A-F, H) or αS null mice (G) were cultured for 6 days and either (A) maintained without other treatment for 4 days, (B) treated with 21–140 human αS fibrils (20 ug/ml) for 2 days, (C) treated with 21–140 human αS fibrils (20 ug/ml) for 4 days, (D) treated with 21–140 human αS fibrils (20 ug/ml) for 10 days, (E) treated with full-length mouse αS fibrils (20 ug/ml) for 4 days, or (F) treated with full-length human αS fibrils (20 ug/ml) for 4 days. (G) Primary neuronal-glial cultures from αS null mice or (H) WT mice were cultured for 6 days and treated with full-length mouse αS fibrils (20 ug/ml) for 10 days. Double immunofluorescence analysis with antibodies pSer129/EP1536Y (red) and specific neuronal marker βIII-tubulin (green) was performed. Merged images are shown. Higher magnification merged images are shown on the far right. Arrows depict induced pSer129/EP1536Y labeled αS aggregates. Bar = 100 um and 250 um for the higher magnification images on the right.
Figure 9. Biochemical studies of endogenous αS aggregation induced by exogenous αS fibrils.

Primary neuronal-glial cultures were cultured for 6 days and untreated (−) or treated (+) with 21–140 human αS fibrils (20 ug/ml) for 10 days. (A) The cultures were washed with PBS and fractionated with CSK buffer as described in “Material and Methods” to generate Triton-soluble (S) fractions and Triton-insoluble (P) fractions. The insoluble fractions were sonicated with a hand probe for 30 seconds to try to breakdown aggregates. Cells lysates were resolved onto 13%-polyacrylamide gels and analyzed by immunoblotting with antibody D37A6 that specifically reacts with murine αS, or antibodies Syn 204 that specifically reactions with human αS and pSer129 αS antibodies 81A, EP1536Y, or MJF-R13 (8–8). (B) The samples were further treated with 4M urea/2%SDS for 30 minutes to try to break protein aggregates. The mobilities of the molecular mass markers are shown on the right. The asterisk (*) indicates a major breakdown product of exogenous αS that forms when associated with cells.
Discussion
The progressive formation of αS inclusion pathology in patients with neurodegenerative diseases may occur, at least in part, through recurring cycles of release and uptake of αS aggregates capable of inducing additional intracellular αS inclusion pathology. Here we have focused on elucidating the cellular mechanisms that regulate the uptake of αS fibrils and subsequent induction of αS inclusion pathology. We find that in the absence of cellular overexpression of αS, the recruitment of endogenous αS into inclusions in primary neuronal-glial cultures is relatively inefficient and requires the application of relatively high concentrations of exogenous fibrils. Mechanistically, we show i) that exogenous αS aggregates rapidly bind the extracellular plasma membranes of both neurons and glia, a finding consistent with other studies using different methods (Reyes et al. 2013), and ii) that the bound fibrils are internalized and degraded within the endosomal/lysosomal system. Internalization involves dynamin-mediated endocytosis but micropinocytosis may also contribute to this process (Doherty & McMahon 2009; Holmes et al. 2013; Lim & Gleeson 2011; Mulcahy et al. 2014). Interestingly, the major mechanisms involved in the cytoplasmic degradation of endogenous αS, macroautophagy, and chaperon-mediate autophagy, also involve lysosome activity (Cuervo et al. 2004; Mak et al. 2010; Lee et al. 2004; Paxinou et al. 2001; Vogiatzi et al. 2008; Webb et al. 2003). Therefore, these findings suggest that the major mechanisms for the degradation of both exogenous αS fibrils and endogenous cytoplasmic αS converge on lysosomal activity.
These and other recent data provide an important framework to help understand cell-to-cell spread of αS inclusion pathology. This framework is highly consistent with hypothetical mechanistic constraints for amyloid formation of proteins through a nucleation and concentration dependent conformational templating mechanism and the normal cellular proteostatic machinery that is designed to clear protein aggregates from the cell. Indeed, efficiency of seeding is enhanced by i) increased levels of αS overexpression, which likely promotes rapid fibril elongation in the presence of an exogenous αS seed, and ii) increased concentrations of fibrils applied to the cells, which then would be expected to increase the likelihood for nucleation of amyloid formation. In the latter case, increasing amounts of fibrils applied to the cells might not only result in more uptake of the fibrils, but also less efficient degradation as there is a precedence for amyloid fibrils within the lysosomes to perturb lysosomal function (Dehay et al. 2013; Tofaris 2012). Further, our data would suggest that under more physiologic settings (e.g., endogenous levels of αS expression, low levels of extracellular αS aggregates) cellular homeostatic mechanisms are able to handle the potential proteotoxic stressors. Efficient degradation of exogenous αS fibrils following uptake within the endosomal/lysosomal system likely limits the ability of these fibrils to nucleate new inclusions, and even if occasional nucleation events occurred, it is possible that the proteostatic mechanism could rapidly clear these from the cell. As there is both i) genetic evidence that compromised lysosomal function may be associated with risk for PD (Dehay et al. 2013; Tofaris 2012), and ii) evidence that aging may result in impaired lysosomal and autophagic functions (Damme et al. 2015; Wong & Holzbaur 2015), our current data thus provides tantalizing links between cell-to-cell spread of pathological αS and risk factors for PD.
Although our previous data from αS overexpressing primary neuronal-glial cultures is consistent with a prion–like conformational templating mechanism, as seeding by A53T or E46K fibrils produces different inclusion morphologies (Sacino et al. 2013b), our current data do not definitely show that the induction of endogenous αS aggregates in naive neurons is attributable to this mechanism. We speculate that exogenous αS fibrils might disrupt normal proteostatic mechanisms and endosomal/lysosomal functions resulting in inefficient degradation of endogenous αS and its subsequent aggregation. At the present time, we have no direct insight into how αS seeds might escape the endosomal membrane bound organelles. One possibility is that late endosome/lysosomes may simply be overwhelmed by the αS aggregates. This possibility is supported by the finding that chloroquine treatment results in the robust accumulation of cellular phosphorylated aggregates comprised of the exogenous αS indicting damage to endosome/lysosomal compartments resulting in leakage of the imported exogenous αS to the cytoplasm. Internalization and degradation of exogenous αS fibrils is associated the generation of specific αS carboxy-terminal truncated fragments. Similar fragments are characteristic of αS pathological inclusions observed in human brains and transgenic mouse models (Li et al. 2005; Liu et al. 2005). Such findings are consistent with endogenous αS aggregates overwhelming lysosomal function and locally acting as a nidus for cytoplasmic αS aggregate formation. Exogenous αS aggregates that enter cells by endocytosis may also lead to lysosome impairment and inhibition of endocytosis over time, thus increasing the time that endogenous αS interacts with the plasma membrane and allowing for direct permeabilization into the cytosol since αS can perturb membrane stability and structure (Auluck et al. 2010; Volles et al. 2001). Alternatively, accumulation of exogenous αS fibrils in late endosomal/lysosomal compartments could also lead to reduced degradation of normally occurring misfolded endogenous αS species that consequently coalesce to form cytosolic inclusions without direct interaction with exogenous αS.
Our current data also demonstrate that the manner in which these experiments are conducted can easily lead to a false positive result in which the results appear to show induction of αS inclusion pathology. First, the rapid and fairly stable attachment of exogenous fibrils to the neuronal-glial cultures essentially “paints” the cells with the exogenous αS; unless care is taken to distinguish the exogenous fibrils from endogenous αS, this will give the impression of robust inclusion pathology. Further, as we show under conditions of chemical disruption of lysosomal degradation, exogenous αS fibrils can be internalized and phosphorylated at serine 129. Thus, these exogenous αS aggregates acquire a marker that is commonly used to track αS inclusion pathology and are present inside cells. Although variables such as the method of preparing the αS seeds may contribute to differences in the reported efficiency of seeding by different groups, our method of fibril preparation results in very efficient seeding in primary neuronal-glial cultures overexpressing αS (Sacino et al. 2013b); thus, we do not think that strain-like differences in αS seeds readily explain the differences in efficiency that we observed in non-αS overexpressing primary cultures.
Our studies also showed that both neurons and glial cells in our primary cultures were able to endocytose αS fibrils. It has also been demonstrated that other cell types including macrophages are able to endocytose and degrade exogenous αS (Lee et al. 2008b). These findings indicate that this process by cells that do not normally express αS such as astrocytes constitute a biological barrier against inter-neuronal transmission of αS inclusion pathology if indeed secretion of αS amyloid seeds is required.
The process of intracellular αS aggregate formation and spread of αS inclusion pathology involves multiple complex mechanisms that are not mutually exclusive. Indeed, endocytosis and degradation of αS fibrils by cells that do not endogenously express αS likely constitutes an important biological barrier against intercellular transmission requiring secretion followed by internalization of αS amyloid seeds. However, under certain conditions this mechanism can be overwhelmed or not sufficiently efficient to prevent pathological transmission. Paradoxically, this naturally protective mechanism can also be involved in importing αS amyloid seeds in neurons and when not completely effective, may contribute to the transmission of inclusion pathology. Further studies will be needed to better assess the relative contributions of these various cellular processes in mitigating and contributing to the spread of disease driven by aberrant αS aggregation.
Supplementary Material
Acknowledgments
This work was supported by grants from the NINDS (NS089622 and NS071122), the NIH (OD020026) and the National Parkinson Foundation (NPF-UN203).
Abbreviations
- αS
α-synuclein
- CHO
Chinese hamster ovary
- NFL
neurofilament low-molecular mass subunit
- FBS
fetal bovine serum
- PBS
phosphate buffered saline
- WT
wild-type
Footnotes
Conflict of Interest
The authors have no conflict of interest.
References
- Abeliovich A, Schmitz Y, Farinas I, et al. Mice lacking alpha-synuclein display functional deficits in the nigrostriatal dopamine system. Neuron. 2000;25:239–252. doi: 10.1016/s0896-6273(00)80886-7. [DOI] [PubMed] [Google Scholar]
- Ahn KJ, Paik SR, Chung KC, Kim J. Amino acid sequence motifs and mechanistic features of the membrane translocation of alpha-synuclein. J Neurochem. 2006;97:265–279. doi: 10.1111/j.1471-4159.2006.03731.x. [DOI] [PubMed] [Google Scholar]
- Anderson JP, Walker DE, Goldstein JM, et al. Phosphorylation of Ser-129 is the dominant pathological modification of alpha-synuclein in familial and sporadic Lewy body disease. J Biol Chem. 2006;281:29739–29752. doi: 10.1074/jbc.M600933200. [DOI] [PubMed] [Google Scholar]
- Auluck PK, Caraveo G, Lindquist S. alpha-Synuclein: membrane interactions and toxicity in Parkinson’s disease. Annu Rev Cell Dev Biol. 2010;26:211–233. doi: 10.1146/annurev.cellbio.042308.113313. [DOI] [PubMed] [Google Scholar]
- Betemps D, Verchere J, Brot S, Morignat E, Bousset L, Gaillard D, Lakhdar L, Melki R, Baron T. Alpha-synuclein spreading in M83 mice brain revealed by detection of pathological alpha-synuclein by enhanced ELISA. Acta Neuropathol Commun. 2014;2:29. doi: 10.1186/2051-5960-2-29. [DOI] [PMC free article] [PubMed] [Google Scholar]
- Bowman EJ, Siebers A, Altendorf K. Bafilomycins: a class of inhibitors of membrane ATPases from microorganisms, animal cells, and plant cells. Proc Natl Acad Sci U S A. 1988;85:7972–7976. doi: 10.1073/pnas.85.21.7972. [DOI] [PMC free article] [PubMed] [Google Scholar]
- Braak H, Bohl JR, Muller CM, Rub U, de Vos RA, Del TK. Stanley Fahn Lecture 2005: The staging procedure for the inclusion body pathology associated with sporadic Parkinson’s disease reconsidered. Mov Disord. 2006a;21:2042–2051. doi: 10.1002/mds.21065. [DOI] [PubMed] [Google Scholar]
- Braak H, de Vos RA, Bohl J, Del TK. Gastric alpha-synuclein immunoreactive inclusions in Meissner’s and Auerbach’s plexuses in cases staged for Parkinson’s disease-related brain pathology. Neurosci Lett. 2006b;396:67–72. doi: 10.1016/j.neulet.2005.11.012. [DOI] [PubMed] [Google Scholar]
- Brundin P, Li JY, Holton JL, Lindvall O, Revesz T. Research in motion: the enigma of Parkinson’s disease pathology spread. Nat Rev Neurosci. 2008;9:741–745. doi: 10.1038/nrn2477. [DOI] [PubMed] [Google Scholar]
- Cuervo AM, Stefanis L, Fredenburg R, Lansbury PT, Sulzer D. Impaired degradation of mutant alpha-synuclein by chaperone-mediated autophagy. Science. 2004;305:1292–1295. doi: 10.1126/science.1101738. [DOI] [PubMed] [Google Scholar]
- Damme M, Suntio T, Saftig P, Eskelinen EL. Autophagy in neuronal cells: general principles and physiological and pathological functions. Acta Neuropathol. 2015;129:337–362. doi: 10.1007/s00401-014-1361-4. [DOI] [PubMed] [Google Scholar]
- Danzer KM, Kranich LR, Ruf WP, Cagsal-Getkin O, Winslow AR, Zhu L, Vanderburg CR, McLean PJ. Exosomal cell-to-cell transmission of alpha synuclein oligomers. Mol Neurodegener. 2012;7:42. doi: 10.1186/1750-1326-7-42. [DOI] [PMC free article] [PubMed] [Google Scholar]
- Dehay B, Martinez-Vicente M, Caldwell GA, Caldwell KA, Yue Z, Cookson MR, Klein C, Vila M, Bezard E. Lysosomal impairment in Parkinson’s disease. Mov Disord. 2013;28:725–732. doi: 10.1002/mds.25462. [DOI] [PMC free article] [PubMed] [Google Scholar]
- Desplats P, Lee HJ, Bae EJ, Patrick C, Rockenstein E, Crews L, Spencer B, Masliah E, Lee SJ. Inclusion formation and neuronal cell death through neuron-to-neuron transmission of alpha-synuclein. Proc Natl Acad Sci USA. 2009;106:13010–13015. doi: 10.1073/pnas.0903691106. [DOI] [PMC free article] [PubMed] [Google Scholar]
- Doherty GJ, McMahon HT. Mechanisms of endocytosis. Annu Rev Biochem. 2009;78:857–902. doi: 10.1146/annurev.biochem.78.081307.110540. [DOI] [PubMed] [Google Scholar]
- Duda JE, Giasson BI, Mabon ME, Lee VM-Y, Trojanoswki JQ. Novel antibodies to oxidized α-synuclein reveal abundant neuritic pathology in Lewy body disease. Ann Neurol. 2002;52:205–210. doi: 10.1002/ana.10279. [DOI] [PubMed] [Google Scholar]
- Emmanouilidou E, Melachroinou K, Roumeliotis T, Garbis SD, Ntzouni M, Margaritis LH, Stefanis L, Vekrellis K. Cell-produced alpha-synuclein is secreted in a calcium-dependent manner by exosomes and impacts neuronal survival. J Neurosci. 2010;30:6838–6851. doi: 10.1523/JNEUROSCI.5699-09.2010. [DOI] [PMC free article] [PubMed] [Google Scholar]
- Fujiwara H, Hasegawa M, Dohmae N, Kawashima A, Masliah E, Goldberg MS, Shen J, Takio K, Iwatsubo T. α-synuclein is phosphorylated in synucleinopathy lesions. Nat Cell Biol. 2002;4:160–164. doi: 10.1038/ncb748. [DOI] [PubMed] [Google Scholar]
- Giasson BI, Jakes R, Goedert M, Duda JE, Leight S, Trojanowski JQ, Lee VM-Y. A panel of epitope-specific antibodies detects protein domains distributed throughout human alpha-synuclein in Lewy bodies of Parkinson’s disease. J Neurosci Res. 2000;59:528–533. doi: 10.1002/(SICI)1097-4547(20000215)59:4<528::AID-JNR8>3.0.CO;2-0. [DOI] [PubMed] [Google Scholar]
- Giasson BI, Murray IV, Trojanowski JQ, Lee VM-Y. A hydrophobic stretch of 12 amino acid residues in the middle of alpha- synuclein is essential for filament assembly. J Biol Chem. 2001;276:2380–2386. doi: 10.1074/jbc.M008919200. [DOI] [PubMed] [Google Scholar]
- Giasson BI, Uryu K, Trojanowski JQ, Lee VM-Y. Mutant and wild type human alpha-synucleins assemble into elongated filaments with distinct morphologies in vitro. J Biol Chem. 1999;274:7619–7622. doi: 10.1074/jbc.274.12.7619. [DOI] [PubMed] [Google Scholar]
- Goedert M. Alpha-synuclein and neurodegenerative diseases. Nat Rev Neurosci. 2001;2:492–501. doi: 10.1038/35081564. [DOI] [PubMed] [Google Scholar]
- Goedert M, Spillantini MG, Del TK, Braak H. 100 years of Lewy pathology. Nat Rev Neurol. 2013;9:13–24. doi: 10.1038/nrneurol.2012.242. [DOI] [PubMed] [Google Scholar]
- Golde TE, Borchelt DR, Giasson BI, Lewis J. Thinking laterally about neurodegenerative proteinopathies. J Clin Invest. 2013;123:1847–1855. doi: 10.1172/JCI66029. [DOI] [PMC free article] [PubMed] [Google Scholar]
- Gousset K, Schiff E, Langevin C, et al. Prions hijack tunnelling nanotubes for intercellular spread. Nat Cell Biol. 2009;11:328–336. doi: 10.1038/ncb1841. [DOI] [PubMed] [Google Scholar]
- Greenbaum EA, Graves CL, Mishizen-Eberz AJ, Lupoli MA, Lynch DR, Englander SW, Axelsen PH, Giasson BI. The E46K mutation in alpha -synuclein increases amyloid fibril formation. J Biol Chem. 2005;280:7800–7807. doi: 10.1074/jbc.M411638200. [DOI] [PubMed] [Google Scholar]
- Holmes BB, DeVos SL, Kfoury N, et al. Heparan sulfate proteoglycans mediate internalization and propagation of specific proteopathic seeds. Proc Natl Acad Sci USA. 2013;110:E3138–E3147. doi: 10.1073/pnas.1301440110. [DOI] [PMC free article] [PubMed] [Google Scholar]
- Kordower JH, Chu Y, Hauser RA, Freeman TB, Olanow CW. Lewy body-like pathology in long-term embryonic nigral transplants in Parkinson’s disease. Nat Med. 2008;14:504–506. doi: 10.1038/nm1747. [DOI] [PubMed] [Google Scholar]
- Kordower JH, Dodiya HB, Kordower AM, Terpstra B, Paumier K, Madhavan L, Sortwell C, Steece-Collier K, Collier TJ. Transfer of host-derived alpha synuclein to grafted dopaminergic neurons in rat. Neurobiol Di. 2011;43:552–557. doi: 10.1016/j.nbd.2011.05.001. [DOI] [PMC free article] [PubMed] [Google Scholar]
- Lee HJ, Khoshaghideh F, Patel S, Lee SJ. Clearance of alpha-synuclein oligomeric intermediates via the lysosomal degradation pathway. J Neurosci. 2004;24:1888–1896. doi: 10.1523/JNEUROSCI.3809-03.2004. [DOI] [PMC free article] [PubMed] [Google Scholar]
- Lee HJ, Patel S, Lee SJ. Intravesicular localization and exocytosis of alpha-synuclein and its aggregates. J Neurosci. 2005;25:6016–6024. doi: 10.1523/JNEUROSCI.0692-05.2005. [DOI] [PMC free article] [PubMed] [Google Scholar]
- Lee HJ, Suk JE, Bae EJ, Lee JH, Paik SR, Lee SJ. Assembly-dependent endocytosis and clearance of extracellular alpha-synuclein. Int J Biochem Cell Biol. 2008a;40:1835–1849. doi: 10.1016/j.biocel.2008.01.017. [DOI] [PubMed] [Google Scholar]
- Lee HJ, Suk JE, Bae EJ, Lee SJ. Clearance and deposition of extracellular alpha-synuclein aggregates in microglia. Biochem Biophys Res Commun. 2008b;372:423–428. doi: 10.1016/j.bbrc.2008.05.045. [DOI] [PubMed] [Google Scholar]
- Lee HJ, Suk JE, Patrick C, Bae EJ, Cho JH, Rho S, Hwang D, Masliah E, Lee SJ. Direct transfer of alpha-synuclein from neuron to astroglia causes inflammatory responses in synucleinopathies. J Biol Chem. 2010;285:9262–9272. doi: 10.1074/jbc.M109.081125. [DOI] [PMC free article] [PubMed] [Google Scholar]
- Li JY, Englund E, Holton JL, et al. Lewy bodies in grafted neurons in subjects with Parkinson’s disease suggest host-to-graft disease propagation. Nat Med. 2008;14:501–503. doi: 10.1038/nm1746. [DOI] [PubMed] [Google Scholar]
- Li JY, Englund E, Widner H, Rehncrona S, Bjorklund A, Lindvall O, Brundin P. Characterization of Lewy body pathology in 12- and 16-year-old intrastriatal mesencephalic grafts surviving in a patient with Parkinson’s disease. Mov Disord. 2010;25:1091–1096. doi: 10.1002/mds.23012. [DOI] [PubMed] [Google Scholar]
- Li W, West N, Colla E, et al. Aggregation promoting C-terminal truncation of alpha-synuclein is a normal cellular process and is enhanced by the familial Parkinson’s disease-linked mutations. Proc Natl Acad Sci USA. 2005;102:2162–2167. doi: 10.1073/pnas.0406976102. [DOI] [PMC free article] [PubMed] [Google Scholar]
- Lim JP, Gleeson PA. Macropinocytosis: an endocytic pathway for internalising large gulps. Immunol Cell Biol. 2011;89:836–843. doi: 10.1038/icb.2011.20. [DOI] [PubMed] [Google Scholar]
- Liu CW, Giasson BI, Lewis KA, Lee VM, Demartino GN, Thomas PJ. A precipitating role for truncated alpha-synuclein and the proteasome in alpha-synuclein aggregation: implications for pathogenesis of Parkinson disease. J Biol Chem. 2005;280:22670–22678. doi: 10.1074/jbc.M501508200. [DOI] [PubMed] [Google Scholar]
- Liu J, Zhang JP, Shi M, Quinn T, Bradner J, Beyer R, Chen S, Zhang J. Rab11a and HSP90 regulate recycling of extracellular alpha-synuclein. J Neurosci. 2009;29:1480–1485. doi: 10.1523/JNEUROSCI.6202-08.2009. [DOI] [PMC free article] [PubMed] [Google Scholar]
- Luk KC, Kehm V, Carroll J, Zhang B, O’Brien P, Trojanowski JQ, Lee VM. Pathological alpha-synuclein transmission initiates Parkinson-like neurodegeneration in nontransgenic mice. Science. 2012a;338:949–953. doi: 10.1126/science.1227157. [DOI] [PMC free article] [PubMed] [Google Scholar]
- Luk KC, Kehm VM, Zhang B, O’Brien P, Trojanowski JQ, Lee VM. Intracerebral inoculation of pathological alpha-synuclein initiates a rapidly progressive neurodegenerative alpha-synucleinopathy in mice. J Exp Med. 2012b;209:975–986. doi: 10.1084/jem.20112457. [DOI] [PMC free article] [PubMed] [Google Scholar]
- Macia E, Ehrlich M, Massol R, Boucrot E, Brunner C, Kirchhausen T. Dynasore, a cell-permeable inhibitor of dynamin. Dev Cell. 2006;10:839–850. doi: 10.1016/j.devcel.2006.04.002. [DOI] [PubMed] [Google Scholar]
- Mak SK, McCormack AL, Manning-Bog AB, Cuervo AM, Di Monte DA. Lysosomal degradation of alpha-synuclein in vivo. J Biol Chem. 2010;285:13621–13629. doi: 10.1074/jbc.M109.074617. [DOI] [PMC free article] [PubMed] [Google Scholar]
- Masuda-Suzukake M, Nonaka T, Hosokawa M, Oikawa T, Arai T, Akiyama H, Mann DM, Hasegawa M. Prion-like spreading of pathological alpha-synuclein in brain. Brain. 2013;136:1128–1138. doi: 10.1093/brain/awt037. [DOI] [PMC free article] [PubMed] [Google Scholar]
- Mougenot AL, Nicot S, Bencsik A, Morignat E, Verchere J, Lakhdar L, Legastelois S, Baron T. Prion-like acceleration of a synucleinopathy in a transgenic mouse model. Neurobiol Aging. 2012;33:2225–2228. doi: 10.1016/j.neurobiolaging.2011.06.022. [DOI] [PubMed] [Google Scholar]
- Mulcahy LA, Pink RC, Carter DR. Routes and mechanisms of extracellular vesicle uptake. J Extracell Vesicles. 2014;3 doi: 10.3402/jev.v3.24641. [DOI] [PMC free article] [PubMed] [Google Scholar]
- Paxinou E, Chen Q, Weisse M, Giasson BI, Norris EH, Rueter SM, Trojanowski JQ, Lee VM-Y, Ischiropoulos H. Induction of alpha-synuclein aggregation by intracellular nitrative insult. J Neurosci. 2001;21:8053–8061. doi: 10.1523/JNEUROSCI.21-20-08053.2001. [DOI] [PMC free article] [PubMed] [Google Scholar]
- Reyes JF, Rey NL, Bousset L, Melki R, Brundin P, Angot E. Alpha-synuclein transfers from neurons to oligodendrocytes. Glia. 2013;62:387–398. doi: 10.1002/glia.22611. [DOI] [PubMed] [Google Scholar]
- Sacino AN, Brooks M, McGarvey NH, McKinney AB, Thomas MA, Levites Y, Ran Y, Golde TE, Giasson BI. Induction of CNS alpha-synuclein pathology by fibrillar and non-amyloidogenic recombinant alpha-synuclein. Acta Neuropathol Commun. 2013a;1:38. doi: 10.1186/2051-5960-1-38. [DOI] [PMC free article] [PubMed] [Google Scholar]
- Sacino AN, Brooks M, McKinney AB, Thomas MA, Shaw G, Golde TE, Giasson BI. Brain Injection of alpha-Synuclein Induces Multiple Proteinopathies, Gliosis, and a Neuronal Injury Marker. J Neurosci. 2014a;34:12368–12378. doi: 10.1523/JNEUROSCI.2102-14.2014. [DOI] [PMC free article] [PubMed] [Google Scholar]
- Sacino AN, Brooks M, Thomas MA, et al. Intramuscular injection of alpha-synuclein induces CNS alpha-synuclein pathology and a rapid-onset motor phenotype in transgenic mice. Proc Natl Acad Sci USA. 2014b;111:10732–10737. doi: 10.1073/pnas.1321785111. [DOI] [PMC free article] [PubMed] [Google Scholar]
- Sacino AN, Brooks M, Thomas MA, et al. Amyloidogenic alpha-synuclein seeds do not invariably induce rapid, widespread pathology in mice. Acta Neuropathol. 2014c;127:645–665. doi: 10.1007/s00401-014-1268-0. [DOI] [PMC free article] [PubMed] [Google Scholar]
- Sacino AN, Giasson BI. Does a prion-like mechanism play a major role in the apparent spread of alpha-synuclein pathology? Alzheimers Res Ther. 2012;4:48. doi: 10.1186/alzrt151. [DOI] [PMC free article] [PubMed] [Google Scholar]
- Sacino AN, Thomas MA, Ceballos-Diaz C, Cruz PE, Rosario AM, Lewis J, Giasson BI, Golde TE. Conformational templating of alpha-synuclein aggregates in neuronal-glial cultures. Mol Neurodegener. 2013b;8:17. doi: 10.1186/1750-1326-8-17. [DOI] [PMC free article] [PubMed] [Google Scholar]
- Sung JY, Kim J, Paik SR, Park JH, Ahn YS, Chung KC. Induction of neuronal cell death by Rab5A-dependent endocytosis of alpha-synuclein. J Biol Chem. 2001;276:27441–27448. doi: 10.1074/jbc.M101318200. [DOI] [PubMed] [Google Scholar]
- Tanida I, Ueno T, Kominami E. LC3 and Autophagy. Methods Mol Biol. 2008;445:77–88. doi: 10.1007/978-1-59745-157-4_4. [DOI] [PubMed] [Google Scholar]
- Tofaris GK. Lysosome-dependent pathways as a unifying theme in Parkinson’s disease. Mov Disord. 2012;27:1364–1369. doi: 10.1002/mds.25136. [DOI] [PubMed] [Google Scholar]
- Uchihara T, Giasson BI. Propagation of alpha-synuclein pathology: hypotheses, discoveries, and yet unresolved questions from experimental and human brain studies. Acta Neuropathol. 2015;131:49–73. doi: 10.1007/s00401-015-1485-1. [DOI] [PMC free article] [PubMed] [Google Scholar]
- Vogiatzi T, Xilouri M, Vekrellis K, Stefanis L. Wild type alpha-synuclein is degraded by chaperone-mediated autophagy and macroautophagy in neuronal cells. J Biol Chem. 2008;283:23542–23556. doi: 10.1074/jbc.M801992200. [DOI] [PMC free article] [PubMed] [Google Scholar]
- Volles MJ, Lee SJ, Rochet JC, Shtilerman MD, Ding TT, Kessler JC, Lansbury PT. Vesicle permeabilization by protofibrillar α-synuclein: implications for the pathogenesis and treatment of Parkinson’s disease. Biochemistry. 2001;40:7812–7819. doi: 10.1021/bi0102398. [DOI] [PubMed] [Google Scholar]
- Volpicelli-Daley LA, Luk KC, Patel TP, Tanik SA, Riddle DM, Stieber A, Meaney DF, Trojanowski JQ, Lee VM. Exogenous alpha-synuclein fibrils induce Lewy body pathology leading to synaptic dysfunction and neuron death. Neuron. 2011;72:57–71. doi: 10.1016/j.neuron.2011.08.033. [DOI] [PMC free article] [PubMed] [Google Scholar]
- Wakabayashi K, Takahashi H, Takeda S, Ohama E, Ikuta F. Parkinson’s disease: the presence of Lewy bodies in Auerbach’s and Meissner’s plexuses. Acta Neuropathol. 1988;76:217–221. doi: 10.1007/BF00687767. [DOI] [PubMed] [Google Scholar]
- Watts JC, Giles K, Oehler A, Middleton L, Dexter DT, Gentleman SM, DeArmond SJ, Prusiner SB. Transmission of multiple system atrophy prions to transgenic mice. Proc Natl Acad Sci USA. 2013;110:19555–19560. doi: 10.1073/pnas.1318268110. [DOI] [PMC free article] [PubMed] [Google Scholar]
- Waxman EA, Duda JE, Giasson BI. Characterization of antibodies that selectively detect alpha-synuclein in pathological inclusions. Acta Neuropathol. 2008;116:37–46. doi: 10.1007/s00401-008-0375-1. [DOI] [PMC free article] [PubMed] [Google Scholar]
- Waxman EA, Giasson BI. Molecular mechanisms of alpha-synuclein neurodegeneration. Biochim Biophys Acta. 2008a;1792:616–624. doi: 10.1016/j.bbadis.2008.09.013. [DOI] [PMC free article] [PubMed] [Google Scholar]
- Waxman EA, Giasson BI. Specificity and regulation of casein kinase-mediated phosphorylation of alpha-synuclein. J Neuropathol Exp Neurol. 2008b;67:402–416. doi: 10.1097/NEN.0b013e3186fc995. [DOI] [PMC free article] [PubMed] [Google Scholar]
- Waxman EA, Giasson BI. A novel, high-efficiency cellular model of fibrillar alpha-synuclein inclusions and the examination of mutations that inhibit amyloid formation. J Neurochem. 2010;113:374–388. doi: 10.1111/j.1471-4159.2010.06592.x. [DOI] [PMC free article] [PubMed] [Google Scholar]
- Waxman EA, Giasson BI. Induction of intracellular tau aggregation is promoted by alpha-synuclein seeds and provides novel insights into the hyperphosphorylation of tau. J Neurosci. 2011;31:7604–7618. doi: 10.1523/JNEUROSCI.0297-11.2011. [DOI] [PMC free article] [PubMed] [Google Scholar]
- Webb JL, Ravikumar B, Atkins J, Skepper JN, Rubinsztein DC. Alpha-Synuclein is degraded by both autophagy and the proteasome. J Biol Chem. 2003;278:25009–25013. doi: 10.1074/jbc.M300227200. [DOI] [PubMed] [Google Scholar]
- Wong YC, Holzbaur EL. Autophagosome dynamics in neurodegeneration at a glance. J Cell Sci. 2015;128:1259–1267. doi: 10.1242/jcs.161216. [DOI] [PMC free article] [PubMed] [Google Scholar]
- Yamamoto A, Tagawa Y, Yoshimori T, Moriyama Y, Masaki R, Tashiro Y. Bafilomycin A1 prevents maturation of autophagic vacuoles by inhibiting fusion between autophagosomes and lysosomes in rat hepatoma cell line, H-4-II-E cells. Cell Struct Funct. 1998;23:33–42. doi: 10.1247/csf.23.33. [DOI] [PubMed] [Google Scholar]
Associated Data
This section collects any data citations, data availability statements, or supplementary materials included in this article.







