Abstract
We examined interactions between base excision repair (BER) DNA intermediates and purified human BER enzymes, DNA polymerase β (pol β), apurinic/apyrimidinic endonuclease (APE1) and poly(ADP-ribose) polymerase-1 (PARP-1). Studies under steady-state conditions with purified BER enzymes and BER substrates have already demonstrated interplay between these BER enzymes that is sensitive to the respective concentrations of each enzyme. Therefore, in this study, using conditions of enzyme excess over substrate DNA, we further examine the question of interplay between BER enzymes on BER intermediates. The results reveal several important differences compared with data obtained using steady-state assays. Excess PARP-1 antagonizes the action of pol β, producing a complete block of long patch BER strand-displacement DNA synthesis. Surprisingly, an excess of APE1 stimulates strand-displacement DNA synthesis by pol β, but this effect is blocked by PARP-1. The APE1 exonuclease function appears to be modulated by the other BER proteins. Excess APE1 over pol β may allow APE1 to perform both exonuclease function and stimulation of strand-displacement DNA synthesis by pol β. This enables pol β to mediate long patch sub-pathway. These results indicate that differences in the stoichiometry of BER enzymes may regulate BER.
INTRODUCTION
Base excision repair (BER) is an important DNA repair pathway protecting mammalian cells against single-base DNA damage caused by methylating and oxidizing agents and spontaneously arising AP sites (1,2). Mammalian BER is performed by two general sub-pathways termed short patch (SP) and long patch (LP) BER, respectively. These sub-pathways differ from each other in the length of the repair patch and in the enzymes involved (3–5). For both sub-pathways, initiation of BER involves removal of altered bases by DNA glycosylases or spontaneous hydrolysis of the N-glycosylic bond, forming an AP site (6). Repair of an AP site is initiated by APE1, which cleaves the phosphodiester bond 5′ to the abasic site sugar, generating a nick with 5′ sugar phosphate (dRP) and 3′ hydroxyl group (7). Following this incision of DNA, the subsequent steps in SP-BER or single-nucleotide (SN), i.e. addition of a nucleotide in the gap and removal of the 5′-dRP group, are catalyzed by DNA polymerase β (pol β) (8–10). The dRP lyase activity of pol β is sensitive to some chemical modifications of the dRP group. Thus, such modifications will block downstream steps in SN-BER; for instance, many oxidized or reduced dRP sugars are resistant to dRP lyase removal; repair of such blocked intermediates may proceed by the LP-BER sub-pathway. DNA synthesis in LP-BER is performed by pol β, pol δ/ɛ, or other DNA polymerases, and the pathway requires several DNA replication factors, including flap endonuclease (FEN1) and PCNA (5,11); the final nicked DNA product is sealed by DNA ligase I or the XRCC1/DNA ligase III complex (12,13).
According to the ‘Passing-the-Baton’ model of BER (14), BER intermediates are processed and then sequentially handed-off from one protein to the next in each of the sub-pathways of BER, i.e. the damaged site is transferred from a DNA glycosylase to APE1, from APE1 to pol β, and then from pol β to DNA ligase I or III in SN-BER. The BER enzymes may have an active role in the proposed hand-off mechanism. For example, APE1 has been found to facilitate loading of pol β onto the incised AP site and to stimulate removal of the dRP group by pol β (15). APE1 also has been shown to interact with FEN1 and DNA ligase I and to stimulate their activities in LP-BER (16). Therefore, APE1 appears to be actively involved in coordinating steps in BER, and there are similar examples for several other BER partners. APE1 also has 3′-exonuclease activity (17), and this activity is known to remove some 3′ mismatches 10–20 times more efficiently than 3′ matched nucleotides (18). Thus, APE1 may have a proofreading role in BER, removing mismatched nucleotides arising from BER polymerases such as pol β (19).
The functions of APE1 in BER may be modulated by other proteins involved in the BER process, among them PARP-1 (20). PARP-1 binds to DNA strand breaks generated directly by irradiation or indirectly in the course of repair (21). When bound to DNA, PARP-1 catalyzes poly(ADP-ribose) synthesis resulting in covalent modification of itself and many other nuclear proteins (22). In addition, PARP-1 and poly(ADP-ribosyl)ation are known to contribute to other cellular processes, including programmed cell death (23). PARP-1 appears to have a direct role in BER. A PARP-1 null mouse fibroblast line was found to be hypersensitive to DNA alkylating agents (24) and others observed that PARP-1 inhibitors render cells more sensitive to such agents. In addition, the observation of physical interactions between PARP-1 and BER proteins, such as pol β and XRCC1, points to a role of PARP-1 in the BER process (25,26). PARP-1 was shown to interact with photoreactive BER intermediates, which were formed in crude cell extracts of mouse fibroblasts in the presence of a photoreactive dCTP analog (27). PARP-1 was also shown to be a co-factor in LP-BER ‘strand-displacement’ DNA synthesis mediated by pol β in combination with FEN1 (28). Subsequently, it was found that PARP-1 and APE1 can interact with the same LP-BER intermediate (29) and that competition between these two BER enzymes may modulate the functions of each other. The expression level and coordination of activities of these two enzymes in BER are, therefore, of great interest. In view of the strong recruitment of the BER machinery at nuclear foci with DNA damage (30), the biologically relevant concentrations of BER enzymes and co-factors appears to be higher than the general nucleoplasmic level and also higher than that typically used in enzymatic assays under steady-state conditions where substrate DNA is in excess over enzyme.
The present study was undertaken to further examine the interplay between three BER enzymes, namely, PARP-1, pol β and APE1, on model BER intermediates in vitro. Previous results on the question of interplay between BER enzymes have generally been obtained under the steady-state condition of DNA substrate excess over enzyme. These conditions, although very useful, leave open the question of the effect of enzyme excess, which may be more reflective of in vivo conditions in the case of abundant nuclear enzymes such as PARP-1 and APE1. It is known that BER enzymes are recruited to sites of DNA damage and may be in excess over or stoichiometric with the DNA substrate. Here, we used substrates that mimic BER intermediates and analyzed the influence of excess APE1 on strand-displacement DNA synthesis by pol β. Strand-displacement synthesis was also examined as a function of excess PARP-1. In addition, we examined the exonuclease activity of APE1 in the presence of excess PARP-1 and pol β. The results are discussed in the context of regulation of BER.
MATERIALS AND METHODS
Materials
Synthetic oligonucleotides were obtained from Oligos Etc. Inc. (Wilsonville, OR). [γ-32P]ATP (5000 Ci/mmol) and T4 polynucleotide kinase were from Biosan (Novosibirsk).
Proteins
The plasmid bearing a human PARP-1 cDNA was kindly provided by Dr M Satoh (Laval University, Canada). The recombinant proteins pol β, APE1 and PARP-1 were overexpressed and purified as described previously (31–33).
Oligonucleotides
The designations and sequences of oligonucleotides were as follows:
upstream primers: U1—5′-[32P]-CTGCAGCTGATGCGCC-3′ and U2—5′-[32P]-CTGCAGCTGATGCGCT-3′;
downstream primers: D1—5′-pGTACGGATCCCCGGGTAC-3′ and D2—5′-FGTACGGATCCCCGGGTAC-3′, (p = phosphate, F = 3-hydroxy-2-hydroxymethyltetrahydrofuran with 5′-phosphate, THF), and template T—3′-GACGTCGACTACGCGGCATGCCTAGGGGCCCATG-5′.
Preparations of DNA substrates for strand-displacement DNA synthesis and exonuclease assays
Oligodeoxyribonucleotides were 5′-32P-phosphorylated with T4 polynucleotide kinase as described and purified by 20% polyacrylamide 7.0 M urea gel electrophoresis (34) followed by electro-elution and ethanol precipitation. Precipitated oligodeoxyribonucleotides were dissolved in 10 mM Tris–HCl (pH 8.0) and 1 mM EDTA. The purified 32P-upstream primers (16 nt) containing a C (U1) or a T (U2) residue at the 3′ end and the 18mer downstream oligonucleotide bearing phosphate (D1) or THF (D2) at the 5′ end, and 34 nt template (T) were mixed in equimolar ratios, heated at 90°C for 5 min, and then slowly cooled down to room temperature, to form the nicked double-stranded DNA substrates. The resulting duplex DNA substrates DNAF or DNAP are summarized in Table 1.
Table 1.
DNA substrates for strand-displacement, DNA synthesis and exonuclease assays
| Match C–G | Mismatch T–G | |
|---|---|---|
| DNAF | U1 + D2 + T | U2 + D2 + T |
| DNAP | U1 + D1 + T | U2 + D1 + T |
DNA synthesis by pol β
Standard reaction mixtures (10 μl) for DNA synthesis by pol β containing 50 mM Tris–HCl (pH 8.0), 50 mM NaCl, 10 mM MgCl2, 7 mM β-mercaptoethanol, 50 nM 5′-[32P] (DNAF or DNAP) and 50 nM pol β were assembled on ice. The reaction was initiated by adding the mixture of four dNTPs to a final concentration of 10 μM each. APE1 (0.1–2.5 μM), PARP-1 (0.1–0.6 μM), and NAD+ (0.5 mM) were added as indicated in the figure legends. The reaction mixtures were incubated at 37°C for 30 min. Aliquots (2 μl) were taken and mixed with 5-fold volume of 90% formamide, 10 mM EDTA, 0.1% bromophenol blue and 0.1% xylene cyanol. The mixtures were heated at 90°C for 3 min and the products were separated by denaturing electrophoresis in 20% polyacrylamide gel (34). The gels were dried and subjected to autoradiography and/or phosphoimaging for quantification using Molecular Imager (Bio-Rad) and software (Quantity One).
APE1 exonuclease assay
The exonuclease activity assay of APE1 was performed under reaction conditions similar to those described above. The final concentrations of APE1 in the reaction mixture were 0.1–2.5 μM. To determine the influence of PARP-1 and pol β on the exonuclease activity of APE1, the standard reaction mixtures were supplemented with PARP-1 (0.1–0.6 μM), pol β (0.1–1.0 μM) and NAD+ (0.5 mM) as indicated in the figure legends. The influence of APE1 on the strand-displacement DNA synthesis by pol β on matched and mismatched DNAs was evaluated in the presence of all four dNTPs (10 μM each) or a mixture of all four dNTP containing dATP, dGTP, dTTP (10 μM each), dCTP (1 μM) and ddCTP (9 μM). The reactions were initiated by the addition of DNA-substrates, and the incubation was at 37°C for 30 min.
RESULTS
PARP-1 and APE1 modulate strand-displacement DNA synthesis of pol β
Involvement of PARP-1 and APE1 as coordinating factors in LP-BER had been suggested (28,35,36); however, the influence of these proteins on their respective activities and those of other BER participants is not well understood. Such an influence may depend not only on the concentration of the each enzyme, but also on the ratios of the enzymes at the site of the BER reaction in the nucleus. The effective concentration of each BER enzyme at a repair site is unknown, but it is clear that the cellular content of the BER enzymes varies over a wide range. For example, the amount of PARP-1 is estimated as ∼2 × 106 molecules per cell, the amount of APE1 as ∼7 × 106 molecules per cell, whereas pol β is at a level of ∼0.05 × 106 molecules per cell (23,37,38). Another important factor is that BER enzymes are recruited to sites of BER in the nucleus (30), and it is likely that the local concentration of each enzyme at the repair site is at least equal to the concentration of the DNA intermediate under repair. We tested the activity of a particular enzyme, e.g. pol β, on a nicked DNA substrate in the presence of different, ‘enzyme-excess’ concentrations of the other two BER enzyme(s). Preliminary analysis revealed that such variation in concentration caused a change in the enzyme activities, compared with those under steady-state conditions. For the following experiments, we used enzyme concentrations at which this difference was most pronounced.
To examine the influence of PARP-1 and APE1 on strand-displacement DNA synthesis of pol β, we used two types of nicked DNA substrates where the 5′ side of the nick was either phosphate or the THF group, and these DNA substrates were referred to as DNAP or DNAF, respectively. DNAF may be considered as a LP-BER intermediate where one nucleotide has been introduced but the sugar phosphate residue is still intact, while DNAP is the penultimate product of the SN-BER pathway, i.e. the intermediate prior to the ligation step. At the concentration used, pol β displayed modest strand-displacement DNA synthesis on both of these DNA substrates (Figure 1, lanes 2 and 13). APE1 stimulated strand-displacement DNA synthesis by pol β on both DNA substrates in a concentration-dependent manner (Figure 1, lanes 3–5, 14–16), and displayed a stronger stimulatory effect with DNAF than DNAP (Figure 1, compare lane 5 with lane 16). To our surprise, however, PARP-1 showed an inhibitory effect on strand-displacement DNA synthesis of pol β with both DNA substrates. The inhibition of strand-displacement synthesis of pol β by PARP-1 was also concentration dependent (Figure 1, lanes 6–8, 17–19), and this inhibition was not reversed by addition of a higher concentration of APE1 (2.5 μM) (Figure 1, lanes 9–11, 20–22). Poly(ADP-ribosyl)ation of PARP-1 is thought to bring about its dissociation from DNA (39). Indeed, the inhibitory effect of PARP-1 on pol β strand-displacement was almost completely reversed for DNAP when the reaction mixtures were supplemented with the PARP-1 substrate NAD+. This effect was less in the case of DNAF. However, addition of NAD+ did not bring back the APE1-mediated stimulation, as synthesis was only at the basal level of strand-displacement seen with pol β alone (data not shown). These results indicate that APE1 and PARP-1 and its poly(ADP-ribosyl)ated form can regulate the strand-displacement DNA synthesis of pol β.
Figure 1.
Influence of APE1 on the strand-displacement DNA synthesis catalyzed by pol β in the presence or absence of PARP-1. The reaction conditions are described under Materials and Methods. The reaction mixtures containing 32P-labeled DNAF (A) or DNAP (B) (50 nM) and 4 dNTP (10 μM each) were incubated with (+) or without (−) APE1, PARP-1 and pol β as indicated, at 37°C for 30 min. Schematic representations of the DNA substrates are shown at the top of the gel.
Influence of PARP-1 and pol β on the exonuclease activity of APE1
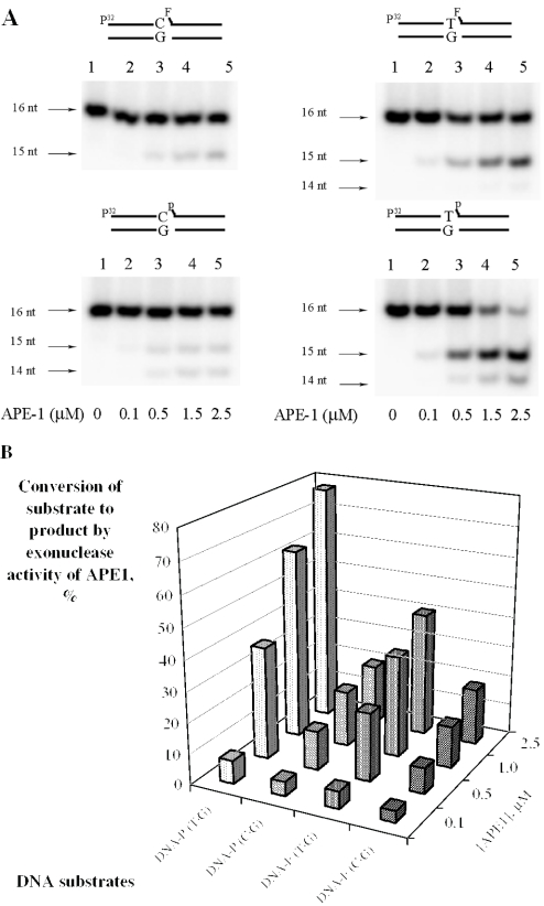
We examined APE1's 3′-exonuclease activity in the presence of PARP-1 and pol β. The assay for exonuclease activity was performed using the same nicked DNA substrates (DNAP or DNAF) as described above, except that the 3′ side at the nick contained a mismatched base (Figure 2A). 3′-Exonuclease activity was measured by conversion of the 16 nt substrate molecules to shorter product molecules (15 and 14 nt) (Figure 2B). The results revealed that the exonuclease activity was higher on DNAP than on DNAF (Figure 2B), in agreement with earlier findings (29,32). It should be emphasized that the APE1 exonuclease activity was detectable at an enzyme concentration of 0.1 μM, whereas the APE1 endonuclease activity was strong even at a concentration of 5 nM under the same reaction conditions (data not shown). PARP-1 strongly inhibited the 3′-exonuclease activity of APE1 with both substrates (Figure 3A and B, lanes 3–5 and 13–15, respectively). To examine the influence of poly(ADP-ribosyl)ation of PARP-1, the reaction mixtures were supplemented with NAD+. There was a reversal of the PARP-1 inhibition (Figure 3A and B, lanes 6 and 16), consistent with the idea that poly(ADP-ribosyl)ated PARP-1 no longer interacted with the DNA substrate. Yet, the inhibition by PARP-1 was not completely reversed by poly(ADP-ribosyl)ation (Figure 3A and B, compare lanes 2 and 6; 12 and 16).
Figure 2.
Concentration dependence of APE1 exonuclease activity on different BER intermediates. (A) APE1 (0.1–2.5 μM) was incubated with nicked DNAF or DNAP (50 nM) with a matched or mismatched 3′ terminus at 37°C for 30 min. The reaction conditions were as described under Materials and Methods. Positions of the initial 16-nt substrate and the 15- and 14-nt products are indicated by arrows. Schematic representations of the DNA substrates are shown at the top of the gel. (B) The efficiency (%) of exonucleolytic removal of a matched or mismatched nucleotide at the 3′ end in nicked DNA with THF or phosphate group at the 5′-margin of the nick is plotted. The exonuclease product (15-nt + 14-nt) formation by APE1 was determined as a function of APE1 concentration (μM). The data for the graph were taken from a representative experiment in (A).
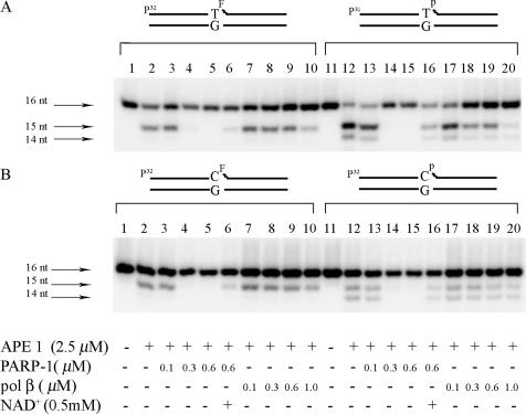
Figure 3.
Influence of pol β, PARP-1 and NAD+ on the exonuclease activity of APE1 on mismatched (A) and matched (B) DNA structures. APE1 (2.5 μM) was incubated at 37°C for 30 min with a 3′-matched or mismatched nicked DNAF or DNAP (50 nM) in the presence (+) or absence (−) of PARP-1 (0.1–0.6 μM), NAD+ (0.5 mM), or pol β (0.1–1 μM), as indicated. The reaction conditions are described under Materials and Methods. The positions of substrates and products are indicated.
The influence of pol β on the 3′-exonuclease activity of APE1 was also examined (Figure 3). Suppression of the exonuclease activity by pol β was observed on both DNA substrates (Figure 3A and B, lanes 7–10 and 17–20). Yet, the inhibition was greater for DNAP than for DNAF containing the 3′-mismatched (T·G) base pair, the activity was almost completely inhibited at 1.0 μM pol β (Figure 3A, lane 20). It should be emphasized that pol β only weakly inhibited the exonuclease activity of APE1 in the case of the matched base pairs on both DNAF and DNAP (Figure 3B, lanes 7–10, 17–20). Thus, it appears that both PARP-1 and pol β could modulate the 3′-exonuclease activity of APE1.
Pol β significantly inhibited APE1 exonuclease activity when the concentrations of APE1 and pol β were comparable (Figure 3). However, when APE1 was in large excess over pol β the exonuclease activity of APE1 was efficient. Therefore, we analyzed whether APE1 can function as a 3′-exonuclease during the strand-displacement DNA synthesis reaction catalyzed by pol β. To this end, we compared the strand-displacement synthesis both on matched and mismatched DNA duplexes in the presence of natural dNTPs and when 90% of the dCTP was replaced by ddCTP. Pol β is known to efficiently incorporate ddNTPs (40). Pol β did not elongate the primer with mismatched 3′ end nucleotide either on DNAP or DNAF (Figure 4, lanes 18 and 25), and this was expected from earlier studies (41). But, APE1 stimulated the strand-displacement synthesis in the case of both the 3′ end matched and mismatched primers (Figure 4, compare lanes 4, 11, 18 and 25 with lanes 5, 12, 19 and 26). The question arose as to whether this effective strand-displacement synthesis in the presence of APE1 resulted from mere stimulation of pol β activity or there was a contribution of the APE1 exonuclease activity, which could have removed the 3′ end mispaired nucleotide. In the reaction mixtures containing ddCTP, a stimulation of activity should result in the accumulation of the products terminated by ddCMP. According to the sequence of the DNA template, these would be 20mer oligonucleotides. Such products were observed for 3′ end matched primers (Figure 4, lanes 7 and 14), as expected. But, if the mismatch were removed by the APE1 exonuclease, the expected product of the subsequent primer elongation with ddCMP would be 16 nt long, resulting from insertion of ddCMP opposite the template G. These products, indeed, were observed (Figure 4, lanes 21 and 28). Therefore, the 3′-exonuclease activity of APE1, along with its effect of stimulating pol β activity, might be important in initiating strand-displacement DNA synthesis activity in LP-BER in the case of a mismatch at the primer terminus.
Figure 4.
Influence of APE1 on the strand-displacement DNA synthesis by pol β on matched and mismatched DNAs. The reaction conditions are described under Materials and Methods. The reaction mixtures containing 32P-labeled DNAF or DNAP (50 nM) with matched or mismatched 3′-base pair, all four dNTPs (10 μM each) or a mixture of dATP, dGTP, dTTP (10 μM) each), dCTP (1 μM) and ddCTP (9 μM), were incubated at 37°C for 30 min with (+) or without (−) APE1 and pol β, as indicated. Schematic representations of the DNA substrates are shown at the top of the gel. The positions of the initial primer and the products of DNA synthesis and the APE1 exonuclease reaction are indicated.
DISCUSSION
Base excision repair protects mammalian cells against single-base DNA damage. The main enzymes and sub-pathways of BER have been extensively studied (1). Nevertheless, many questions concerning BER mechanisms are still under investigation and several were examined here. First, there is the question of how the fidelity displayed by the BER process as a whole is achieved, in spite of the inaccuracy of DNA polymerase β, the main BER polymerase. A second question involves mechanisms of BER sub-pathway choice, and finally there are questions about mechanisms of coordination for the various sequential steps in BER that are mediated by different enzymes.
Recently, it was proposed that APE1 functions as a ‘proofreader’ for DNA polymerase β in BER (18,19). Among other points, chemical modification at the 3′ and 5′ margins of a BER intermediate were shown to influence the exonuclease activity of APE1 (29,32,42–44). Another aspect of interest regarding APE1 concerns its regulatory role in BER, since APE1 is considered to be a coordinator of several stages in BER (15,16,36). However, experiments pointing to this role were performed in the absence of PARP-1. An active role of PARP-1 in BER has been demonstrated in numerous studies both in vivo and in vitro, but the mechanisms of PARP-1 action remain under investigation (21,35,45–49). Our earlier studies had demonstrated an interaction of PARP-1 with a LP-BER intermediate in a cellular extract (27), and we also found a stimulation of pol β strand-displacement DNA synthesis by the mutual action of PARP-1 and FEN-1 (28). In another study, we demonstrated interactions of PARP-1 and APE1 with the same BER intermediate (29), suggesting that these enzymes could antagonize one another during steps in BER.
We focused here on the interplay of three BER enzymes, pol β, APE1 and PARP-1 in LP-BER DNA synthesis and on the exonuclease function of APE1. Enzyme concentrations were chosen to approach higher enzyme/DNA ratios that may be found under physiological condition in the cell. To our surprise, under the reaction conditions used here, we observed that APE1 stimulated strand-displacement DNA synthesis catalyzed by pol β. Although the stimulation of pol β DNA synthesis is novel, this was not the first observation of an APE1 stimulation of a BER enzymatic activity. Cistulli et al. (29) showed that APE1 bound preferably to a photoreactive BER intermediate containing THF at the 5′ margin of a nick, and a stimulatory effect of APE1 was demonstrated in a reconstituted BER system with a regular abasic site (16). However, a direct influence of APE1 on DNA synthesis by pol β was not addressed, and the stimulation of BER might have been mediated through stimulation of another enzyme. Indeed, it was found that APE1 was capable of stimulating the activities of DNA ligase I and FEN1 (16). Furthermore, APE1 was shown to stimulate the dRP activity of pol β (15), and this could influence the formation of repair products, since removal of the dRP group is considered to be a rate-limiting step in short patch BER and is required for ligation of the BER intermediate after gap-filling by a polymerase (50).
We found here that PARP-1 strongly inhibited pol β DNA synthesis using both BER DNA intermediates, with a stronger effect observed on DNAF. Recent studies of BER in PARP-1-deficient cellular extracts showed that addition of purified of PARP-1 into these extracts inhibited, rather than stimulated, DNA repair (47,48). On the other hand, the stimulation of the strand-displacement DNA synthesis by pol β under the mutual action of PARP-1 and FEN-1 was shown in a reconstituted BER system (28). The auto-modification of PARP-1 in the presence of NAD+ decreases its inhibitory action; in agreement with the proposed effect of poly(ADP-ribosyl)ation on the enzyme's binding to DNA (22). It should be pointed out that auto-modification of PARP-1 in our experiments did not lead to a complete recovery of DNA synthesis. Such an effect suggests a lower affinity of auto-modified PARP-1 for DNA, rather than a total inability of poly(ADP-ribosyl)ated PARP-1 to bind DNA. APE1, when added to the DNA synthesis reaction mixtures containing PARP-1, did not display its stimulatory effect even in the presence of NAD+. Therefore, the efficiency of strand-displacement DNA synthesis could be modulated in the cell by interplay between pol β, APE1 and PARP-1, including its poly(ADP-ribosyl)ated form.
APE1 is a multifunctional enzyme that contributes several activities in BER (7). The relatively low fidelity of pol β, combined with a frequency of AP site formation in the cell of ∼20 000 per cell per day, can potentially result in several mutations per day per genome (1); this would represent an unacceptable mutational load. Therefore, a search for proofreading mechanisms involved in BER is an important issue. Recently, the exonuclease activity of human APE1 was analyzed on 3′ mismatched DNA structures compared to matched ones. It was shown that the efficiency of the 3′ exonuclease activity is in inverse proportion to the gap size (18), and the activity was influenced by the presence of either a sugar-phosphate or phosphate group at the 5′ side of the gapped or nicked DNA substrate (29,32,42). The 3′-exonuclease activity of APE1, according to the results of site-directed mutagenesis, is part of the endonuclease function, but pH optima and the optimal concentration of Mg2+ are different for the catalytic efficiencies of these two enzymatic functions of APE1 (43). We found that the exonuclease activity of APE1 weakly discriminates between matched and mismatched base pairs at the 3′ end of the upstream primer in DNAF, i.e. in the case of LP BER intermediates. The influence of PARP-1 and pol β on the 3′-exonuclease activity of APE1 also was studied. PARP-1 was shown to inhibit the exonuclease activity of APE1. Even in the presence of NAD+, only 50 percent recovery of this activity was observed on nicked DNA with a 5′-THF-phosphate group. PARP-1 appeared to compete with APE1 for binding to matched and mismatched nicked DNA substrates, and the inhibitory effect of PARP-1 was stronger in the case of the LP-BER intermediate (i.e. with a THF-phosphate at the 5′ margin of the nick). Interestingly, at a low enzyme concentration, the opposite effect of PARP-1 on the exonuclease activity of APE1 was observed: PARP-1 was shown to activate the APE1 exonuclease activity on DNAF (29). This effect was explained by PARP-1 competition with APE1 for binding to the APE1 product; as a result, more APE1 is released to participate in another round of the 3′-exonuclease activity (29). The inhibition of the APE1 exonuclease activity by PARP-1 observed under the conditions used here was more pronounced on DNAF than on DNAP. This may have reflected the efficiency of PARP-1's interaction with this DNA, as revealed by photoaffinity labeling in mouse fibroblast cell extracts (27). The probes used in our earlier study were similar to DNAF and DNAP; however, dCMP at the 3′ side of the nick was replaced by its photoreactive analog (27). It is worth noting that pol β only weakly affected the exonuclease action of APE1 on 3′-matched base pairs on both DNAP and DNAF, but it decreased removal of 3′-mismatched nucleotides, displaying a stronger effect in the case of DNAP. This effect was observed only at a higher concentration of pol β. An excess of APE1 may allow it to perform both an exonuclease function and stimulation of DNA synthesis by pol β, in the case of 3′-mismatched base pairs. Therefore, pol β can mediate long patch sub-pathway under these conditions.
In summary, the APE1 exonuclease function in BER appears to be modulated by the other BER participants, including the DNA intermediates and some of the proteins. Taking into account the considerable abundance of APE1 in many mammalian cells, it is important to consider the exonuclease and accessory protein roles of APE1 in the BER process, i.e. at stages other than incision of the AP site. Similarly, our results illustrate the importance of expression balance and repair site recruitment in modulation of the reactions in BER. The ratio of BER proteins at the site of repair can have a large influence on short patch versus long patch sub-pathway choice and on accuracy of the gap-filling step in BER.
Acknowledgments
We thank Dr Richard d'Ari for a critical reading of the manuscript. This work was supported in part by Collaborative Linkage grant from NATO Ref. 978233 and by the grant 04-04-48525 from the Russian Foundation for Basic Research. The Open Access publication charges for this article were waived by Oxford University Press.
REFERENCES
- 1.Lindahl T. Suppression of spontaneous mutagenesis in human cells by DNA base excision-repair. Mutat. Res. 2000;462:129–135. doi: 10.1016/s1383-5742(00)00024-7. [DOI] [PubMed] [Google Scholar]
- 2.Wilson D.M., III, Tomson L.T. Life without DNA repair. Proc. Natl Acad. Sci. USA. 1997;94:12754–12757. doi: 10.1073/pnas.94.24.12754. [DOI] [PMC free article] [PubMed] [Google Scholar]
- 3.Frosina G., Fortini P., Rossit O., Raspaglion G., Cox L.S., Lane D.P., Abbondanolo A., Dogliotti E. Two pathways for base excision repair in mammalian cells. J. Biol. Chem. 1996;271:9573–9578. doi: 10.1074/jbc.271.16.9573. [DOI] [PubMed] [Google Scholar]
- 4.Kubota Y., Nash R.A., Klungland A., Schar P., Barnes D.E., Lindahl T. Reconstitution of DNA base excision-repair with purified human proteins: interaction between DNA polymerase β and XRCC1 protein. EMBO J. 1996;15:6662–6670. [PMC free article] [PubMed] [Google Scholar]
- 5.Klungland A., Lindahl T. Second pathway for completion of human DNA base excision-repair: reconstitution with purified proteins and requirement for DNAse IV (FEN1) EMBO J. 1997;16:3341–3348. doi: 10.1093/emboj/16.11.3341. [DOI] [PMC free article] [PubMed] [Google Scholar]
- 6.Krokan H.E., Standal R., Slupphaug G. DNA glycosylases in the base excision repair of DNA. Biochem. J. 1997;325:1–16. doi: 10.1042/bj3250001. [DOI] [PMC free article] [PubMed] [Google Scholar]
- 7.Wilson D.M., III, Barsky D. The major human abasic endonuclease: formation, consequences and repair of abasic lesions in DNA. Mutat. Res. 2001;485:283–307. doi: 10.1016/s0921-8777(01)00063-5. [DOI] [PubMed] [Google Scholar]
- 8.Matsumoto Y., Kim K. Excision of deoxyribose phosphate residues by DNA polymerase β during DNA repair. Science. 1995;269:699–702. doi: 10.1126/science.7624801. [DOI] [PubMed] [Google Scholar]
- 9.Sobol R.W., Horton J.K., Kuhn R., Gu H., Singhal R.K., Prasad R., Rajewsky K., Wilson S.H. Requirement of mammalian DNA polymerase-beta in base-excision repair. Nature. 1996;379:183–186. doi: 10.1038/379183a0. [DOI] [PubMed] [Google Scholar]
- 10.Singhal R.K., Prasad R., Wilson S.H. DNA polymerase β conducts the gap-filling step in uracil-initiated base excision repair in a bovine testis nuclear extract. J. Biol. Chem. 1995;270:949–957. doi: 10.1074/jbc.270.2.949. [DOI] [PubMed] [Google Scholar]
- 11.Matsumoto Y., Kim K., Bogenhagen D.F. Proliferating cell nuclear antigen-dependent abasic site repair in Xenopus laevis oocytes: an alternative pathway of base excision DNA repair. Mol. Cell. Biol. 1994;14:6187–6197. doi: 10.1128/mcb.14.9.6187. [DOI] [PMC free article] [PubMed] [Google Scholar]
- 12.Prasad R., Singhal R.K., Srivastava R.K., Molina J.T., Tomkinson A.E., Wilson S.H. Specific interaction of DNA polymerase β and DNA ligase I in multiprotein base excision repair complex from bovine testis. J. Biol. Chem. 1996;271:16000–16007. doi: 10.1074/jbc.271.27.16000. [DOI] [PubMed] [Google Scholar]
- 13.Cappelli E., Taylor R., Cevasco M., Abbondandolo A., Caldecott K., Frosina G. Involvement of XRCC1 and ligase III gene products in base excision repair. J. Biol. Chem. 1997;272:23970–23975. doi: 10.1074/jbc.272.38.23970. [DOI] [PubMed] [Google Scholar]
- 14.Wilson S.H., Kunkel T.A. Passing the baton in base excision repair. Nature Struct. Biol. 2000;7:176–178. doi: 10.1038/73260. [DOI] [PubMed] [Google Scholar]
- 15.Bennett R.A., Wilson D.M., III, Wong D., Demple B. Interaction of human apurinic endonuclease and DNA polymerase beta in the base excision repair pathway. Proc. Natl Acad. Sci. USA. 1997;94:7166–7169. doi: 10.1073/pnas.94.14.7166. [DOI] [PMC free article] [PubMed] [Google Scholar]
- 16.Ranalli T.A., Tom S., Bambara R.A. AP endonuclease 1 coordinates flap endonuclease 1 and DNA ligase I activity in long patch base excision repair. J. Biol. Chem. 2002;277:41715–41724. doi: 10.1074/jbc.M207207200. [DOI] [PubMed] [Google Scholar]
- 17.Demple B., Herman T., Chen D.S. Cloning and expression of APE, the cDNA encoding the major human apurinic endonuclease: definition of a family of DNA repair enzymes. Proc. Natl Acad. Sci. USA. 1991;88:11450–11454. doi: 10.1073/pnas.88.24.11450. [DOI] [PMC free article] [PubMed] [Google Scholar]
- 18.Chou K.M., Cheng Y.C. An exonucleolytic activity of human apurinic/apyrimidinic endonuclease on 3′ mispaired DNA. Nature. 2002;415:655–659. doi: 10.1038/415655a. [DOI] [PubMed] [Google Scholar]
- 19.Jiricny J. An APE that proofreads. Nature. 2002;415:593–594. doi: 10.1038/415593a. [DOI] [PubMed] [Google Scholar]
- 20.Althaus F.R., Richter C. ADP-ribosylation of proteins. Enzymology and biological significance. Mol. Biol. Biochem. Biophys. 1987;37:1–125. [PubMed] [Google Scholar]
- 21.Shall S., de Murcia G. Poly (ADP-ribose) polymerase-1: what have we learned from the deficient mouse model? Mutat. Res. 2000;460:1–15. doi: 10.1016/s0921-8777(00)00016-1. [DOI] [PubMed] [Google Scholar]
- 22.Lindahl T., Satoh M.S., Poirier G.G., Klungland A. Post-translational modification of poly (ADP-ribose) polymerase induced by DNA strand breaks. Trends Biochem. Sci. 1995;20:405–411. doi: 10.1016/s0968-0004(00)89089-1. [DOI] [PubMed] [Google Scholar]
- 23.D'Amours D., Desnoyers S., D'Silva I., Poirier G.G. Poly (ADP-ribosyl)ation reactions in the regulation of nuclear functions. Biochem. J. 1999;342:249–268. [PMC free article] [PubMed] [Google Scholar]
- 24.de Murcia J.M., Niedergang C., Trucco C., Ricoul M., Dutrillaux B., Mark M., Oliver J.F., Masson M., Dierich A.E., Lemeur M., Walztinger C., Chambon P., de Murcia G. Requirement of poly(ADP-ribose) polymerase in recovery from DNA damage in mice and in cells. Proc. Natl Acad. Sci. USA. 1997;94:7303–7307. doi: 10.1073/pnas.94.14.7303. [DOI] [PMC free article] [PubMed] [Google Scholar]
- 25.Caldecott K.W., Aoufouchi S., Johnson P., Shall S. XRCC1 polypeptide interacts with DNA polymerase β and possibly poly(ADP-ribose) polymerase, and DNA ligase III is novel molecular ‘nick-sensor’ in vitro. Nucleic Acids Res. 1996;24:4387–4394. doi: 10.1093/nar/24.22.4387. [DOI] [PMC free article] [PubMed] [Google Scholar]
- 26.Masson M., Niedergang C., Schreiber V., Muller S., de Murcia J.M., de Murcia G. XRCC1 is specifically associated with poly(ADP-ribose) polymerase and negatively regulates its activity following DNA damage. Mol. Cell. Biol. 1998;18:3563–3571. doi: 10.1128/mcb.18.6.3563. [DOI] [PMC free article] [PubMed] [Google Scholar]
- 27.Lavrik O.I., Prasad R., Sobol R.W., Horton J.K., Ackerman E.J., Wilson S.H. Photoaffinity labeling of mouse fibroblast enzymes by a base excision repair intermediate. J. Biol. Chem. 2001;276:25541–25548. doi: 10.1074/jbc.M102125200. [DOI] [PubMed] [Google Scholar]
- 28.Prasad R., Lavrik O.I., Kim S.J., Kedar P., Yang X.P., Berg B.J.V., Wilson S.H. DNA polymerase β-mediated long-patch base excision repair: poly(ADP-ribose) polymerase-1 stimulates strand displacement DNA synthesis. J. Biol. Chem. 2001;276:32411–32414. doi: 10.1074/jbc.C100292200. [DOI] [PubMed] [Google Scholar]
- 29.Cistulli C., Lavrik O.I., Prasad R., Hou E., Wilson S.H. AP endonuclease and poly(ADP-ribose) polymerase-1 interact with the same base excision repair intermediate. DNA Repair. 2004;3:581–591. doi: 10.1016/j.dnarep.2003.09.012. [DOI] [PubMed] [Google Scholar]
- 30.Lan L., Nakajima S., Oohata Y., Takao M., Okano S., Masutani M., Wilson S.H., Yasui A. In situ analysis of repair processes for oxidative DNA damage in mammalian cells. Proc. Natl Acad. Sci. USA. 2004;101:13738–13743. doi: 10.1073/pnas.0406048101. [DOI] [PMC free article] [PubMed] [Google Scholar]
- 31.Drachkova I.A., Petruseva I.O., Safronov I.V., Zakharenko A.I., Shishkin G.V., Lavrik O.I., Khodyreva S.N. Reagents for modification of protein–nucleic acids complexes with primers elongated by the dCTP exo-N-substituted arylazido derivatives. Bioorg. Chem. Moscow. 2001;27:197–204. doi: 10.1023/a:1011329220632. [DOI] [PubMed] [Google Scholar]
- 32.Lebedeva N.A., Khodyreva S.N., Favre A., Lavrik O.I. AP endonuclease 1 has no biologically significant 3′→5′ exonuclease activity. Biochem. Biophys. Res. Commun. 2003;300:182–187. doi: 10.1016/s0006-291x(02)02808-5. [DOI] [PubMed] [Google Scholar]
- 33.Sukhanova M.V., Khodyreva S.N., Lavrik O.I. Poly(ADP-ribose) polymerase–1 inhibits strand-displacement DNA synthesis catalysed by DNA polymerase β. Biochemistry (Mosc.) 2004;69:686–698. doi: 10.1023/b:biry.0000029855.68502.fa. [DOI] [PubMed] [Google Scholar]
- 34.Sambrook J., Fritsch E.F., Maniatis T. Molecular Cloning: A Laboratory Manual, 2nd edn. Cold Spring Harbor, NY: Cold Spring Harbor Laboratory Press; 1989. [Google Scholar]
- 35.Dantzer F., de la Rubia G., de Murcia J.M., Hostomsky Z., de Murcia G., Schreiber V. Base excision repair is impaired in mammalian cells lacking poly(ADP-ribose) polymerase-1. Biochemistry. 2000;39:7559–7569. doi: 10.1021/bi0003442. [DOI] [PubMed] [Google Scholar]
- 36.Tom S., Ranalli T.A., Podust V.N., Bambara R.A. Regulatory roles of p21 and apurinic/apyrimidinic endonuclease 1 in base excision repair. J. Biol. Chem. 2001;276:48781–48789. doi: 10.1074/jbc.M109626200. [DOI] [PubMed] [Google Scholar]
- 37.Mol C.D., Hosfield D.J., Tainer J.A. Abasic site recognition by two apurinic/apyrimidinic endonuclease families in DNA base excision repair: the 3′ ends justify the means. Mutat. Res. 2000;460:211–229. doi: 10.1016/s0921-8777(00)00028-8. [DOI] [PubMed] [Google Scholar]
- 38.Horton J.K., Srivastava D.K., Zmudzka B.Z., Wilson S.H. Strategic down-regulation of DNA polymerase beta by antisense RNA sensitizes mammalian cells to specific DNA damaging agents. Nucleic Acids Res. 1995;23:3810–3815. doi: 10.1093/nar/23.19.3810. [DOI] [PMC free article] [PubMed] [Google Scholar]
- 39.Satoh M.S., Lindahl T. Role of poly(ADP-ribose) formation in DNA repair. Nature. 1992;356:356–358. doi: 10.1038/356356a0. [DOI] [PubMed] [Google Scholar]
- 40.Copeland W.C., Chen M.S., Wang T.S. Human DNA polymerases α and β are able to incorporate anti-HIV deoxynucleotides into DNA. J. Biol. Chem. 1992;267:21459–21464. [PubMed] [Google Scholar]
- 41.Beard W.A., Shock D.D., Wilson S.H. Influence of DNA structure on DNA polymerase β active site function: Extension of mutagenic DNA intermediates. J. Biol. Chem. 2004;279:31921–31929. doi: 10.1074/jbc.M404016200. [DOI] [PubMed] [Google Scholar]
- 42.Wong D., DeMott M.S., Demple B. Modulation of the 3′→5′ exonuclease activity of human apurinic endonuclease (Ape1) by its 5′ incised abasic DNA product. J. Biol. Chem. 2003;278:36242–36249. doi: 10.1074/jbc.M306065200. [DOI] [PubMed] [Google Scholar]
- 43.Chou K.M., Cheng Y.C. The exonuclease activity of human apurinic/apyrimidinic endonuclease (APE1): biochemical properties and inhibition by a natural dinucleotide P1, P4-di(guanosine-5′) tetraphosphate (Gp4G) J. Biol. Chem. 2003;278:18289–18296. doi: 10.1074/jbc.M212143200. [DOI] [PubMed] [Google Scholar]
- 44.Wilson D.M., III Properties of and substrate determinants for the exonuclease activity of human apurinic/apyrimidinic endonuclease Ape1. J. Mol. Biol. 2003;330:1027–1037. doi: 10.1016/s0022-2836(03)00712-5. [DOI] [PubMed] [Google Scholar]
- 45.Vodenicharov M.D., Sallmann F.R., Satoh M.S., Poirier G.G. Base excision repair is efficient in cells lacking poly(ADP-ribose) polymerase 1. Nucleic Acids Res. 2000;28:3887–3896. doi: 10.1093/nar/28.20.3887. [DOI] [PMC free article] [PubMed] [Google Scholar]
- 46.Trucco C., Oliver F.J., de Murcia G., de Murcia J.M. DNA repair defect in poly(ADP-ribose) polymerase-deficient cell lines. Nucleic Acids Res. 1998;26:2644–2649. doi: 10.1093/nar/26.11.2644. [DOI] [PMC free article] [PubMed] [Google Scholar]
- 47.Sanderson R.J., Lindahl T. Down-regulation of DNA repair synthesis at DNA single-strand interruptions in poly (ADP-ribose) polymerase-1 deficient murine cell extracts. DNA Repair. 2002;1:547–558. doi: 10.1016/s1568-7864(02)00054-x. [DOI] [PubMed] [Google Scholar]
- 48.Allinson S.L., Dianova I.I., Dianov G.L. Poly(ADP-ribose) polymerase in base excision repair: always engaged, but not essential for DNA damage processing. Acta Biochim. Polonica. 2003;50:169–179. [PubMed] [Google Scholar]
- 49.Le Page F., Schreiber V., Dherin C., De Murcia G., Boiteux S. Poly(ADP-ribose) polymerase-1 (PARP-1) is required in murine cell lines for base excision repair of oxidative DNA damage in the absence of DNA polymerase beta. J. Biol. Chem. 2003;278:18471–18477. doi: 10.1074/jbc.M212905200. [DOI] [PubMed] [Google Scholar]
- 50.Srivastava D.K., Berg B.J.V., Prasad R., Molina J.T., Beard W.A., Tomkinson A.E., Wilson S.H. Mammalian abasic site base excision repair. J. Biol. Chem. 1998;273:21203–21209. doi: 10.1074/jbc.273.33.21203. [DOI] [PubMed] [Google Scholar]




