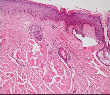
A 40-year-old male presented with a 6-month history of a gradually progressing, painless, firm, 10 × 8 mm erythematous nodule on his nose [Figure 1]. Skin biopsy showed nodular deposition of eosinophilic, acellular, amyloid material in the entire dermis, which was surrounded by focal plasma cell infiltrate [Figure 2]. This material was congophilic [Figure 3] and demonstrated kappa light chain restriction on immunohistochemistry [Figure 4]. Systemic amyloidosis was ruled out by laboratory investigations, and thus, a diagnosis of primary nodular cutaneous amyloidosis, immunoglobulin light chain (AL) type was made.
Figure 1.

Firm, erythematous-yellow, 10 × 8 mm nodule on the nose
Figure 2.

Skin biopsy showing deposition of pale, pink, eosinophilic amyloid material in the dermis (H and E, ×200)
Figure 3.

The amyloid material shows congophilia (Congo red, ×200)
Figure 4.

The amyloid shows kappa light chain positivity (immunohistochemistry, ×200)
Cutaneous amyloidosis comprises three varieties – macular, lichenoid, or the rare nodular form. The amyloid protein in the nodular form is of AL type, which consists of monoclonal immunoglobulin light chain.[1,2] It is thought that AL amyloid in the cutaneous nodular form is produced by local plasma cells infiltrating the dermis. Some authors have reported a 7–50% risk of progression from localized nodular cutaneous amyloidosis to systemic forms on long-term follow-up.[3,4] This patient did not reveal any clinical or laboratory manifestation of multiple myeloma during a 2-year follow-up. Consequently, it is important to exclude underlying systemic disease at presentation in such patients and long-term follow up is recommended.
Declaration of patient consent
The authors certify that they have obtained all appropriate patient consent forms. In the form the patient(s) has/have given his/her/their consent for his/her/their images and other clinical information to be reported in the journal. The patients understand that their names and initials will not be published and due efforts will be made to conceal their identity, but anonymity cannot be guaranteed.
Financial support and sponsorship
Nil.
Conflicts of interest
There are no conflicts of interest.
References
- 1.Rosado CN, Cruz R, Manuela L. Nodular primary localised cutaneous amyloidosis: Presentation of 2 case reports and literature review. Galicia Clinica. 2015;74:171–2. [Google Scholar]
- 2.Ritchie SA, Beachkofsky T, Schreml S, Gaspari A, Hivnor CM. Primary localized cutaneous nodular amyloidosis of the feet: A case report and review of the literature. Cutis. 2014;93:89–94. [PubMed] [Google Scholar]
- 3.Woollons A, Black MM. Nodular localized primary cutaneous amyloidosis: A long-term follow-up study. Br J Dermatol. 2001;145:105–9. doi: 10.1046/j.1365-2133.2001.04291.x. [DOI] [PubMed] [Google Scholar]
- 4.Moon AO, Calamia KT, Walsh JS. Nodular amyloidosis: Review and long-term follow-up of 16 cases. Arch Dermatol. 2003;139:1157–9. doi: 10.1001/archderm.139.9.1157. [DOI] [PubMed] [Google Scholar]
