Introduction
Golden-Har Syndrome (Oculo-auriculo/vertebral dysplasia) is a rare syndrome of complex structures developing from first and second branchial arches during blastogensis.
The occurrence of Golden-Har syndrome is sporadic and no mode of inheritance has been established. However, Tsai and Tsai [1] have reported this syndrome in three consecutive generations of a family. There have been no reports about any incriminating drugs or environmental factors. We herein present a classical case of this syndrome.
Case Report
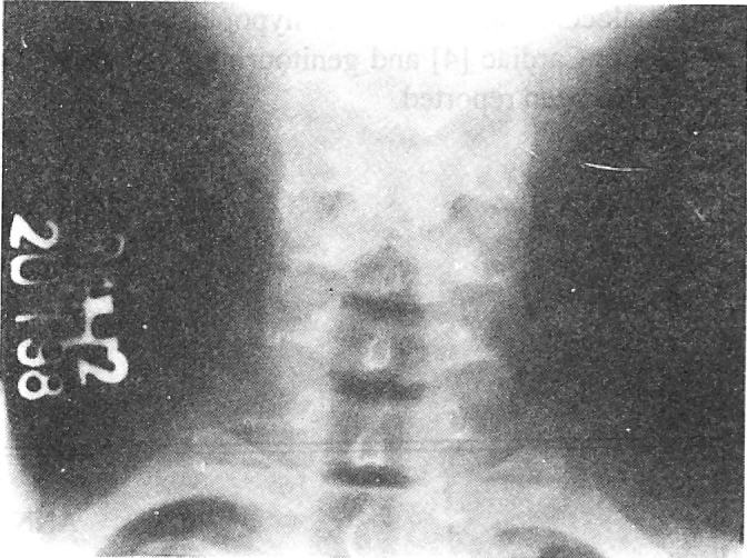
An 18-year-old boy presented to the OPD of this hospital with mass in left eye and skin tags in front of left ear since birth. The condition was constant since birth. No family history of similar defects was present. Clinical examination revealed an Epibulbar Dermoid in left eye and two preauricular appendages in front of left ear (Fig-1). The eyeballs and ears were normal in all other respects. X-Ray of cervical spine revealed spina bifida of C-5 & C-6 vertebrae. There was no neurological deficit. (Fig-2). Excision of epibulbar dermoid and preauricular appendages was done under local anaesthesia in a combined effort by the Eye and ENT specialists. Histopathology report confirmed the clinical diagnosis (Fig-3).
Fig. 1.

Pre-operative photograph of Golden-Har Syndrome showing left sided epibulbar dermoid and accessory preauricular skin tag.
Fig. 2.

Radiogram of cervical spine showing bifid C-5 vertebra.
Fig. 3.

Post operative photograph after successful excision of ocular dermoid and pre-auricular skin tags
Discussion
Golden-Har syndrome consists of ocular, auricular and skeletal anomalies.
Amongst ocular features, epibulbar dermoids are the commonest. These are present in 75% of the cases and may be bilateral. They are classically located in inferio-temporal quadrant. These are choriostomas i.e. nest of normal tissue in abnormal places. Lipoder-moids are present in less than 50% of cases. Dacryocystitis has also been reported. The other rarer ocular afflictions are upper lid coloboma, microphthalmos, cataract, iris, anomalies, tilted disc, anophthalmos optic nerve hypoplasia and squint.
Amongst auricular afflictions, preauricular skin tags and accessory auricles are common. Anotia is rare and has been reported by Jaison and Batra [2].
Involvement of axial skeleton (vertebrae and ribs) has been observed in 24% of the patients in the largest series reported by Rollnic et al [3]. Spina bifida is the commonest and least severe of all anomalies. Hemivertebra, loss of vertebral arch and fusion of posterior elements of cervical vertebrae have also been reported.
Facio-dental anomalies include hypoplasia of malar bones, mandible and zygomatic arch, macrostomia, micrognathia, high vaulted cleft palate, bifid tongue and malocclusion. Hemifacial hypoplasia is a rare occurrence. Cardiac [4] and genitourinary [5] anomalies have also been reported.
Thus, this syndrome encompasses a very wide variety of disorders and anomalies, ranging from mild and inconspicuous to severe and debilitating. Mild varieties such as our case often go undetected till late adolescence and adulthood. Awareness of this condition will help in diagnosing more of such cases.
REFERENCES
- 1.Tsai FJ, Tsai CH. Autosomal dominant inherited Oculo-auriculo-vertebral spectrum report of one family. Acta Paediatr Sin. 1993;34:27–31. [PubMed] [Google Scholar]
- 2.Jaison SG, Batra N. Goldenhar Syndrome with multiple additional anomalies. Indian J Ophthalmol. 1996;44:42–44. [PubMed] [Google Scholar]
- 3.Rollnick BR, Kaye CI, Nagotoshi K. Oculo-auriculo-vertebral dysplasia and variant:Phenotypic characteristics of 294 patients. Am J Med Genet. 1987;26:361–375. doi: 10.1002/ajmg.1320260215. [DOI] [PubMed] [Google Scholar]
- 4.Mowison PJ, Mulholland HC, Craig BG. Cardio Vascular abnormalities in the oculo-auriculo-vertebral spectrum (Golden-Har syndrome) Am J Med Genet. 1992;44:425–428. doi: 10.1002/ajmg.1320440407. [DOI] [PubMed] [Google Scholar]
- 5.Ritchey ML, Huang Narbeekj. Urologic manifestations of Golden-Har Syndrome. Urology. 1994;43:88–91. doi: 10.1016/s0090-4295(94)80273-4. [DOI] [PubMed] [Google Scholar]
