Abstract
Background
Systemic arterial air embolism following a percutaneous transthoracic lung biopsy is a rare but known complication, with current literature reporting an incidence of 0.01–0.45%. A prompt diagnosis of arterial air embolism is important as complications resulting from migration of air to the systemic circulation with correspondent complications.
Case report
A 60-year-old female who presented for an elective percutaneous lung biopsy of an incidentally found pulmonary nodule. The procedure was performed, following the completion of the procedure the patient experiment syncopal symptoms and was diagnosed by CT scan with Left ventricular air embolism, subsequently transferred to Intensive care unit for medical attention, she was placed on right lateral decubitus Trendelenburg for 24 hours and administer 100% oxygen via a nonrebreather mask. Repeat chest CT the following day revealed complete resolution of her intracardiac free air.
Conclusion
Although systemic arterial air embolism remains a rare complication of percutaneous lung biopsies, recognition prevents potential mortality which can develop due to neurological and cardiac complications. Close vigilance in the intensive care unit is recommended and hyperbaric chamber when appropriate.
1. Background
Systemic arterial air embolism following a percutaneous transthoracic lung biopsy is a rare but known complication, with current literature reporting an incidence of 0.01–0.45% [1], [2], [5]. Although the radiological incidence of air embolism in the venous or arterial vasculature has been suggested to be as high as 3.8% [1], most studies of systemic arterial air embolism are limited to case reports/series or small case-control studies. Nevertheless, a prompt diagnosis of arterial air embolism is important as complications resulting from migration of air to the cerebral and cardiac vascularization can lead to arrhythmias, myocardial ischemia, ischemic strokes, and subsequent death.
2. Case presentation
A 60-year-old female presented for an elective CT guided percutaneous lung biopsy of an incidentally found pulmonary nodule. The procedure was performed under moderate sedation with the patient in the prone position for biopsy planning and lesion selection, as the patient had multiple bilateral lower lobe masses. Three core biopsies were obtained from a left lower lobe lesion using a 19g introducer needle and a 20g biopsy gun. Following completion of the proceedings, the patient experienced a syncopal episode with decreased responsiveness despite sternal rub. The patient remained hemodynamically stable, with unchanged oxygen saturation remaining at 100% on 2L nasal cannula. A repeat chest CT was performed for concern over an iatrogenic pneumothorax. Instead, free air was demonstrated within the left ventricle and only a small pneumothorax in the vicinity of the biopsy site. A stat echo was performed at the bedside to assess for large PFO to determine etiology of air embolus and presence of residual intracardiac air. No PFO was identified to suggest right to left shunt as etiology for air embolism and no intracardiac air was seen (see Fig. 1, Fig. 2, Fig. 3).
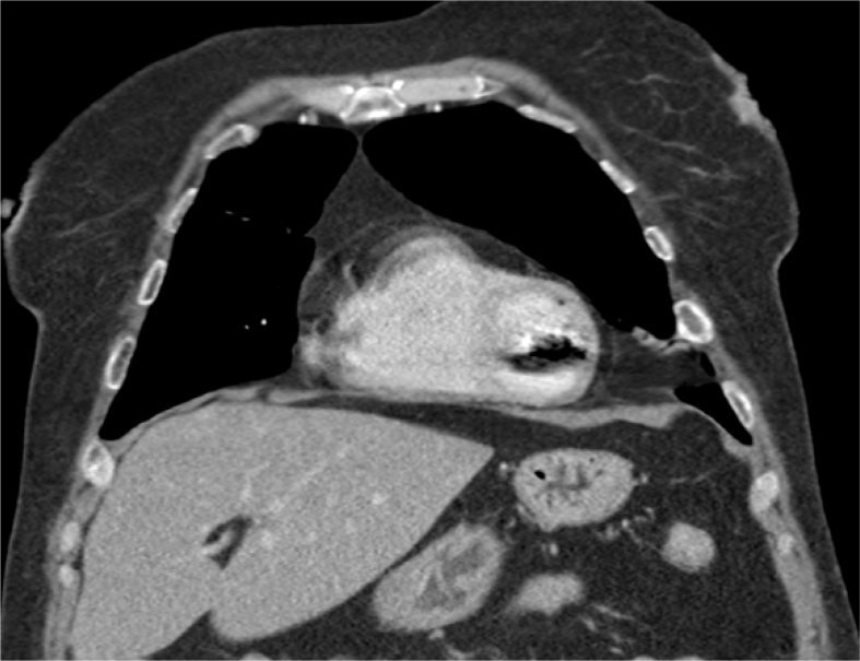
Fig. 1.
Systemic air found within the left ventricle.
Fig. 2.
Air embolism in left ventricle.
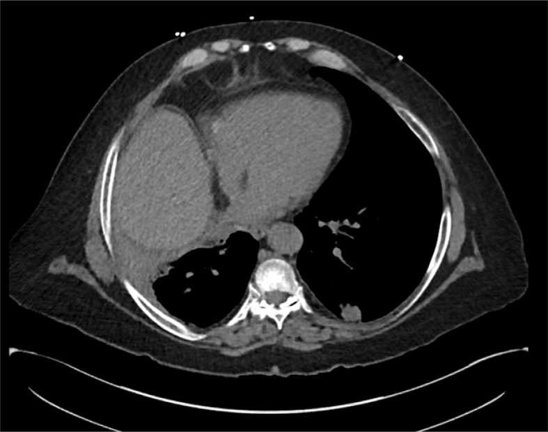
Fig. 3.
Resolution of intracardiac free air.
The patient was admitted to the medical ICU where management via hyperbaric oxygen was considered. This therapy, however, was deemed unsuitable given the presence of the post-procedural pneumothorax. Instead, she was treated with a conservative approach which included positioning in a right lateral decubitus and Trendelenburg position to reduce the risk of embolization into the systemic vasculature. She was also administered 100% oxygen via a nonrebreather mask on which she remained for approximately 24 hours. A repeat chest CT the following day revealed complete resolution of her intracardiac free air, and MRI brain concurrently performed demonstrated no residual abnormalities from presumed transient ischemic attack related to microscopic air emboli. She was monitored without further intervention before being discharge home the next day.
3. Discussion
Although CT guided lung biopsy is a safe and commonly practiced procedure, among the more common complications are pneumothorax (27–49%), pulmonary hemorrhage (11%) and hemoptysis (3%) [6], [7]. Systemic arterial air embolism, while rare, is an event that can be associated with potentially fatal complications resulting from migration of air into the cerebral and cardiac vascularization leading to arrhythmias, myocardial ischemia, and ischemic strokes. The proposed mechanism for developing a systemic arterial air embolism during a percutaneous chest procedure is the direct introduction of air into the pulmonary vein through a hollow biopsy needle or the formation of a tract between the airway and pulmonary vein [1], [4], [5]. Several studies have analyzed risk factors associated with the development of systemic arterial air embolism, and common factors include prone positioning, needle biopsy technique, and location of lesions (mainly lower lobe lesions) among relevant factors [1], [4], [5]. In this case, although prone positioning was chosen for lesion selection, this position may have predisposed the patient to air entry through an iatrogenic bronchopulmonary venous fistula as a result of pressure conditions that occur as a result of positioning the lesion above the level of the left atrium, where the pulmonary arterial pressure and alveolar pressures are greater than then pulmonary venous pressure [9]. Therefore, placing the patient in an ipsilateral-dependent position during the biopsy with the lesion as low as possible (below the left atrium) could help prevent systemic air embolism by preventing air entry due to the greater likelihood that the pulmonary arterial (and therefore pulmonary venous) pressures are greater than the alveolar pressure [9]. Treatment options include immediate resuscitation, administration of 100% high-flow oxygen and placement of the patient in the Trendelenburg and lateral decubitus position. Positioning, in particular, is important as it allows air to remain in the superior dependent portion of the left ventricle and thus avoiding migration into the systemic vasculature [3]. Following stabilization, the use of hyperbaric oxygen has been successful in reducing the size of systemic air bubbles [8]. In the case presented here, complete resolution of free air is demonstrated through conservative measures for a single day without the development of any deleterious sequelae.
4. Summary
Although systemic arterial air embolism remains a rare complication of percutaneous lung biopsies, recognition prevents potential mortality which can develop due to neurological and cardiac complications. We recommend cl Close vigilance in the medical intensive care unit is recommended until the air embolism has resolved. Consideration should be given to therapy with hyperbaric oxygen when appropriate.
Consent
Informed consent was obtained from this patient for publication and use of imaging. A copy of the written consent is available for review.
References
- 1.Freund M.C., Petersen J., Goder K.C., Bunse T., Wiedermann F., Glodny B. Systemic air embolism during percutaneous core needle biopsy of the lung: frequency and risk factors. BMC Pulm. Med. 2012;12:2. doi: 10.1186/1471-2466-12-2. [DOI] [PMC free article] [PubMed] [Google Scholar]
- 2.Hare S.S., Gupta A., Goncalves A.T., Souza C.A., Matzinger F., Seely J.M. Systemic arterial air embolism after percutaneous lung biopsy. Clin. Radiol. 2011;66:589–596. doi: 10.1016/j.crad.2011.03.005. [DOI] [PubMed] [Google Scholar]
- 3.Hong K.K., Leong S., Salati U., Torreggiani W., Govender P. Left atrial and systemic air embolism after lung biopsy: importance of positioning. JVIR. 2013;24:10. doi: 10.1016/j.jvir.2013.07.007. [DOI] [PubMed] [Google Scholar]
- 4.Rehwald R., Loizides A., Wiedermann F.J., Grams A.E., Djurjevic T., Glodny B. Systemic air embolism causing acute stroke and myocardial infarction after percutaneous transthoracic lung biopsy- a case report. J. Cardiothorac. Surg. 2016;11:80. doi: 10.1186/s13019-016-0478-z. [DOI] [PMC free article] [PubMed] [Google Scholar]
- 5.Ishii H., Hiraki T., Gobara H., Fujiwara H., Mimura H., Yasui K., Doke T., Mukai T., Kurokawa H., Ando Y., Hase S., Iguchi Yabuki T., Omae K., Tajiri N., Mitsuhashi T., Kanazawa S. Risk factors for systemic air embolism as a complication of percutaneous CT-guided lung biopsy: multicenter case control study. Cardiovasc Interv. Radiol. 2014;37(5):1312–1320. doi: 10.1007/s00270-013-0808-7. [DOI] [PubMed] [Google Scholar]
- 6.Sandoval A.P., Prota M.A.A., Clemente M.G., Prieto A., Vazquez D.F., Casan P. Air embolism: a complication of computed tomography-guided transthoracic needle biopsy. APSR Respir. care Rep. 2015;3(2):48–50. doi: 10.1002/rcr2.97. [DOI] [PMC free article] [PubMed] [Google Scholar]
- 7.Arnold B.W., Zwiebel W.J. Percutaneous transthoracic needle biopsy complicated by air embolism. AJR Am. J. Roentgenol. 2002;178:1400–1402. doi: 10.2214/ajr.178.6.1781400. [DOI] [PubMed] [Google Scholar]
- 8.Ashizawa K., Watanabe H., Morooka H., Hayashi K. Hyperbaric oxygen therapy for air embolism complicating CT-guided needle biopsy of lung. Am. J. Roentgenol. 2004;182:1606–1607. doi: 10.2214/ajr.182.6.1821606. [DOI] [PubMed] [Google Scholar]
- 9.Glodny B., Schönherr E., Freund M.C., Haslauer M., Petersen J., Loizides A., Rehwald R. Measures to prevent air embolism in transthoracic biopsy of the lung. Am. J. Roentgenol. 2017;208(5) doi: 10.2214/AJR.16.16048. [DOI] [PubMed] [Google Scholar]



