Highlights
-
•
Endometriosis causing acute small bowel obstruction is rare.
-
•
Maintain clinical suspicion for pre-menopausal females with obstructive symptoms.
-
•
Early laparoscopy in such cases is diagnostic and therapeutic.
Keywords: Endometriosis, Small bowel obstruction, Laparoscopy, Case report
Abstract
Introduction
Endometriosis is a common and benign condition that causes significant morbidity to women of childbearing age. It uncommonly affects the gastrointestinal tract and rarely manifests as an acute small bowel obstruction.
Presentation of case
A 46-year old female presented to the emergency department with signs and symptoms consistent with an acute small bowel obstruction. She had a paucity of background surgical history, having only had a laparoscopic cholecystectomy. Her CT demonstrated small bowel obstruction with a transition point in the distal ileum. Given the site of obstruction was remote from previous surgery, a high index of suspicion was maintained and early laparoscopy performed the same day. Operative findings were consistent with an endometrial stricture of the distal ileum and a formal resection was performed.
Discussion
Endometriosis that affects the gastrointestinal tract often presents with non-specific symptoms. This is a rare case of an acute small bowel obstruction as the index symptom of endometriosis in a peri-menopausal patient. This is the first case in the literature to describe same day laparoscopy and small bowel resection of such a case and a prolonged preoperative period and misdiagnoses previously described were avoided due to clinical suspicion.
Conclusion
Endometriosis as a differential should be considered with a high index of suspicion in pre-menopausal women, particularly in patients with negligible previous surgical history. There should be a low threshold for early laparoscopy and resection of affected bowel in these patients.
1. Introduction
Endometriosis is the presence of endometrial glands and stroma outside the endometrial cavity [1]. It is a common and benign condition that affects about 10% of women of childbearing age and can present with dysmenorrhoa, dyspareuania and dyschezia [2]. Endometriosis can affect the small bowel but symptomatic involvement is uncommon and it rarely manifests as an acute small bowel obstruction [3]. We present a case report of an acute small bowel obstruction as the index symptom of endometriosis in a peri-menopausal patient.
This case has been reported in line with the SCARE criteria [4].
2. Case report
A 46-year-old female who had a two day history of vomiting, abdominal distention and absolute constipation presented to the emergency department. She previously had a laparoscopic cholecystectomy. Her presentation was consistent with an acute small bowel obstruction.
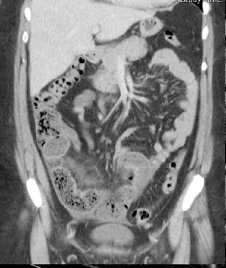
She had no previous history of lower abdominal pain or bowel obstruction. Her vital sign observations, urinalysis and full blood count were unremarkable. Her physical examination demonstrated a soft but distended abdomen with lower abdominal tenderness, maximally over the right-lower quadrant. CT abdomen demonstrated a distal small bowel obstruction with faecalisation and transition point close to the terminal ileum, without any discrete mass, Fig. 1.
Fig. 1.
Coronal CT image demonstrating acute small bowel obstruction with a transition point and faecalisation within the distal ileum.
Given this site was remote to her prior surgery, an early diagnostic laparoscopy was performed on the day of admission. The provisional diagnosis was a congenital band adhesion or endometrial deposit, given the deficiency of previous surgical history. Laparoscopy confirmed a small bowel stricture approximately 20 cm from the caecum, macroscopically to consist of endometrial deposits, Fig. 2, Fig. 3. The strictured small bowel segment was resected with a stapled functional end-to-end anastomosis. Histology confirmed extensive endometriosis of the small bowel involving the serosa and muscularis propria. The patient made an uneventful post-operative recovery. Following discharge, she was referred to gynaecology for ongoing management of endometriosis.
Fig. 2.
Intraoperative image at laparoscopy demonstrating an endometrial stricture of the distal ileum.
Fig. 3.
Intraoperative image at laparoscopy demonstrating pelvic endometriosis.
3. Discussion
Endometriosis is defined as the presence of endometrial tissue in an ectopic location outside of the uterus, and can be prevalent in around 10–15% of all menstruating women [1]. The most common site for endometriosis are the ovaries and uterosacral ligaments. Although the aetiology is unknown, the Sampson’s retrograde menstruation theory of endometrial tissue reflux through the fallopian tubes and intra-abdominal visceral implantation and growth, is the most widely accepted [5].
This oestrogen-dependent disorder can result in significant morbidity with chronic pelvic pain, multiple operations and infertility [1], [2]. Those affected are also at a higher than population-risk of developing ovarian cancer and potentially breast and other cancers. Endometriosis usually becomes more apparent during the patient’s reproductive years.
Up to 37% of patients have the condition affecting their gastrointestinal tract [6]. These patients may be asymptomatic or present with symptoms that are non-specific which include abdominal pain, abdominal distension, altered bowel habits (diarrhoea, constipation), vomiting, dyspareunia and haemotochezia. The symptoms described often related to the segment of bowel affected [6], [7].
Ultrasound is the most common modality for initial imaging for endometriosis in the subacute setting. In the acute setting in symptomatic patients, CT imaging can aid clinical management [8]. Endometrial masses can appear as cystic, solid or mixed on CT imaging. Endometriomas can be identified but their appearances are not specific and may be radiologically indistinguishable from any other pelvic masses.
For patients where endometriosis is an incidental finding and patient has no symptoms of obstruction, hormonal therapy can be trailed [9]. However, surgical intervention is recommended in symptomatic patients with intestinal endometriosis as demonstrated in our case. Studies have shown that there is significant improvement in patient symptoms. This case study demonstrated the value in early laparoscopic management and resection when a high index of suspicion is maintained in pre-menopausal patients, with a paucity of previous surgical history presenting with obstructive symptoms. In almost all other cases described in the literature, the pre-operative diagnosis and delay to surgical intervention was some weeks to months [7], [8], [10]. Early laparoscopy was both diagnostic and therapeutic.
Endometriosis uncommonly affects the gastrointestinal tract and is a rare cause of small bowel obstruction. This differential should be considered with a high index of suspicion in pre-menopausal women, particularly in patients with negligible previous surgical history. There should be a low threshold for early laparoscopy and resection of affects bowel in these patients.
Conflicts of interest
None.
Funding
None.
Ethical approval
N/A.
Consent
A fully informed written consent has been obtained and documented in paper for the patient that is the subject of this case report.
Author contribution
Dr Daniel L Chan MBBS – concept and design of the case report; acquisition of data, assistant surgeon to operation, interpretation of data; drafting manuscript; final approval of submitted version.
Dr Dorothy Chua MBBS – acquisition of data; drafting the manuscript; final approval of the version to be submitted.
Dr Praveen Ravindran BSc (Hons) MBBS MS – concept and design of the study; analysis and interpretation of data; revising manuscript; final approval of submitted version.
Dr Marisol Perez Cerdeira PhD FRACS – analysis and interpretation of data; primary surgeon for operation; revising manuscript for critically important intellectual content; final approval of the submitted version.
Dr Isabella Mor MBBS FRACS – concept of the study; acquisition of data; supervising surgeon for operation; revising manuscript for critically important intellectual content; final approval of the submitted version.
Registration of research studies
researchregistry3006.
Guarantor
Dr Daniel L Chan, corresponding author.
Footnotes
This paper is based on a poster presentation at the 40th International College of Surgeons World Congress, Kyoto, Japan (2016).
References
- 1.Guidice L.C., Kao L.C. Endometriosis. Lancet. 2004;364:1789–1799. doi: 10.1016/S0140-6736(04)17403-5. [DOI] [PubMed] [Google Scholar]
- 2.Missmer S.A., Hankinson S.E., Spiegelman D., Barbieri R.L., Marsall L.M., Hunter D.J. Incidence of laparoscopically confirmed endometriosis by demographic, anthropometric, and lifestyle factors. Am. J. Epidemiol. 2004;160:784–796. doi: 10.1093/aje/kwh275. [DOI] [PubMed] [Google Scholar]
- 3.Foster N.M., McGory M.L., Zingmond D.S., Ko C.Y. Small bowel obstruction: a population-based appraisal. J. Am. Coll. Surg. 2006;203:170–176. doi: 10.1016/j.jamcollsurg.2006.04.020. [DOI] [PubMed] [Google Scholar]
- 4.Agha R.A., Fowler A.J., Saeta A., Barai I., Rajmohan S., Orgill D.P., SCARE Group The SCARE statement: consensus-based surgical case report guidelines. Int. J. Surg. 2016;34:180–186. doi: 10.1016/j.ijsu.2016.08.014. [DOI] [PubMed] [Google Scholar]
- 5.Ca Witz. Current concepts in the pathogenesis of endometriosis. Clin. Obstet. Gynecol. 1999;42:566–585. doi: 10.1097/00003081-199909000-00013. [DOI] [PubMed] [Google Scholar]
- 6.Croom R.D., Donovan M.L., Schwesinger W.H. Intestinal endometriosis. Am. J. Surg. 1984;148:660–667. doi: 10.1016/0002-9610(84)90347-7. [DOI] [PubMed] [Google Scholar]
- 7.De Ceglie A., Bilardi C., Blanch S., Picasso M., Di Muzio M., Trimarchi A., Conio M. Acute small bowel obstruction caused by endometriosis: a case report and a review of the literature. World J. Gastroenterol. 2008;14:3430–3434. doi: 10.3748/wjg.14.3430. [DOI] [PMC free article] [PubMed] [Google Scholar]
- 8.Hwang B.J., Jafferjee N., Paniz-Mondolifi A., Baer J., Cooke K., Frager D. Non-gynaecological endometriosis presenting as an acute abdomen. Emerg. Radiol. 2012;19:463–471. doi: 10.1007/s10140-012-1048-x. [DOI] [PubMed] [Google Scholar]
- 9.Olive D.L., Schwartz L.B. Endometriosis. N. Engl. J. Med. 1993;328:1759–1769. doi: 10.1056/NEJM199306173282407. [DOI] [PubMed] [Google Scholar]
- 10.Khawaja S.A., Zakaria R., Carneiro H.A., Khawaja H.A. Endometriosis: a rare cause of small bowel obstruction. BMJ Case Rep. 2012 doi: 10.1136/bcr.03.2012.5988. (bcr0320125988) [DOI] [PMC free article] [PubMed] [Google Scholar]



