THE COMB SIGN IN CROHN’S ILEOCOLITIS
A 43-year-old man presented with one day of crampy, diffuse abdominal pain associated with non-bilious, non-bloody vomiting. He reported similar episodes in the past that resolved spontaneously. Physical exam revealed epigastric tenderness. Initial white blood cell count was 13,700/mm3 and the serum C reactive protein was 1.76 mg/dL. Computed tomography (CT) of the abdomen showed a partial small bowel obstruction, ileitis, and the “comb sign” (Fig. 1). Colonoscopy revealed terminal ileal ulcers with luminal narrowing and stricture of the ileocecal valve (Fig. 2); pathology was consistent with Crohn’s ileocolitis.
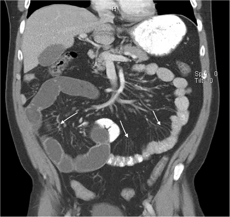
Fig. 1.
CT abdomen with contrast depicting the “comb sign,” characterized by hypervascularity of the mesentery with vascular dilation, tortuosity, and wide spacing of the vasa recta
Fig. 2.
Endoscopic view of terminal ileal ulcers with luminal narrowing and stricture of the ileocecal valve, all consistent with Crohn’s ileocolitis
Crohn’s disease is characterized by transmural inflammation of the bowel wall, most often involving the terminal ileum and proximal colon. Active disease has been associated with hypervascularity of the mesentery, including vascular dilatation, tortuosity, and wide spacing of the vasa recta that resemble the teeth of a comb.1 The comb sign is not pathognomonic for Crohn’s disease, and may be seen in vasculitis, mesenteric thromboembolism, and bowel strangulation.2 However, the presence of the comb sign may help identify acute inflammation in the patient with known Crohn’s disease and differentiate active Crohn’s from hypovascular diseases such as lymphoma.1 The patient’s symptoms resolved with steroid administration.
Acknowledgements
There are no additional acknowledgements.
Compliance with Ethical Standards
Conflict of Interest
The authors declare that they do not have a conflict of interest.
References
- 1.Hill NS, DiSantis DJ. The comb sign. Abdom Imaging. 2015;40:1010. doi: 10.1007/s00261-014-0285-8. [DOI] [PubMed] [Google Scholar]
- 2.Madureira AJ. The comb sign. Radiology. 2004;230:783–784. doi: 10.1148/radiol.2303020645. [DOI] [PubMed] [Google Scholar]


