Abstract
Pancreatic tumors are known to be resistant to immunotherapy due to the extensive immune suppressive tumor microenvironment (TME). We hypothesized that CXCL12 and PD-L1 are two key molecules controlling the immunosuppressive TME. Fusion proteins, called traps, designed to bind with these two molecules with high affinity (Kd = 4.1 and 0.22 nM, respectively) were manufactured and tested for specific binding with the targets. Plasmid DNA encoding for each trap was formulated in nanoparticles and intravenously injected to mice bearing orthotopic pancreatic cancer. Expression of traps was mainly seen in the tumor, and secondarily, accumulations were primarily in the liver. Combination trap therapy shrunk the tumor and significantly prolonged the host survival. Either trap alone only brought in a partial therapeutic effect. We also found that CXCL12 trap allowed T-cell penetration into the tumor, and PD-L1 trap allowed the infiltrated T-cells to kill the tumor cells. Combo trap therapy also significantly reduced metastasis of the tumor cells to other organs. We conclude that the trap therapy significantly modified the immunosuppressive TME to allow the host immune system to kill the tumor cells. This can be an effective therapy in clinical settings.
Keywords: pancreatic ductal adenocarcinoma, allograft model, PD-L1, CXCL12, trap protein
Graphical Abstract

Pancreatic ductal adenocarcinoma (PDAC) is a lethal malignancy with the lowest 5 year patient survival rate of any tumor type routinely tracked (~6%).1 PDAC and its precursor lesion, pancreatic intraepithelial neoplasia (PanIN), are distinguished by a dense desmoplastic stroma, rich in fibroblasts and extracellular matrix.2,3 Leukocytic infiltration was developed during PanIN and constituted featured immune defects of PDAC.3 The infiltrated leukocytes primarily belong to immunosuppressive subsets, including immunosuppressive tumor-associated macrophages (TAM), myeloid-derived suppressor cells (MDSC), and regulatory T-cells (Tregs).4 Although combination-based chemotherapy treatments are showing increased efficacy against PDAC,1,5,6 tumor response rates remain low and treatment durability is short. The limitations in treatment are primarily due to limited perfusion of anticancer agents and the cancers’ innate resistance to chemotherapy.7,8
Activating the immune system against cancer has advantages over other therapies, including greater specificity, stronger potency, and longer term efficacy.9 Progress made in recent years has mainly focused on overcoming T-cell immunological checkpoints. This has been attempted with monoclonal antibodies to cytotoxic T-lymphocyte-associated protein-4 (CTLA-4) and the programmed cell death 1/programmed cell death 1 ligand 1 (PD-1/PD-L1).10 The observation that PD-L1 is expressed in pancreatic cancer cells11 and that T-cell immunity exists within mice bearing pancreatic tumors12 led to the possibility of exploiting the PD-1/PD-L1 therapeutically. However, whereas PD-1/PD-L1 antibody therapy has shown beneficial responses in other cancer types,13,14 it is by itself not effective in pancreatic cancer.10 Furthermore, a special spectrum of side effects, termed immune-related adverse events (irAEs), occurs when delivering the PD-1/PD-L1 antibodies systemically, limiting their therapeutic applications in the clinical trials.15
T-cells are key mediators of antitumor immunity and regulate the outcome of tumor immune surveillance.16 Limited T-cell infiltration due to suppressive tumor microenvironment would be one crucial reason for the failure of checkpoint inhibitor therapy.4,10,17–19 Modification of the suppressive TME has been proposed to improve the efficacy of checkpoint inhibitors. Recent work by Feig et al. suggests the CXCL12 as a key chemokine inhibiting T-cell infiltration. Though the mechanism of the interaction is not fully understood, inhibiting of CXCL12/CXCR4 axis19 has become a promising combinatory TME-modulating strategy that improves the checkpoint inhibitor efficacy.10 Both small molecule inhibitor targeting CXCR4 (AMD3100)10 and monoclonal antibody20 targeting CXCL12/CXCR4 have been applied for interrupting this interaction; however, the therapeutic outcome of the treatment is limited by the systemic toxicities of both regimens. Furthermore, the rapid clearance of AMD3100 and the poor tissue penetration of monoclonal antibodies further limit the efficacy of the treatment. Our previous research showed that stroma cells that neighbor blood vessels within the desmoplastic cancers (e.g., PDAC) are the major site trapping most of the macromolecules and nanoparticles (NPs).21 While perivascular cells are major barriers for the penetration of nanoparticles, their barrier-like properites are not all detrimental toward therapy. Rather, perivascular cells which take up nanoparticles can function as an in situ reservoir, producing therapeutic agents delivered by the NPs. For example, plasmid encoding secretable TNF-related apoptosis-inducing ligand (TRAIL) were delivered to fibroblasts and express the TRAIL protein in situ. Compared with systemically delivered, large-size monoclonal antibodies (~150 kDa, ~8 nm), this small apoptotic protein (~35 kDa, ~4 nm) has already bypassed the fibroblast-associated stroma barrier. As a result, the protein is more deeply diffused within hypovascular pancreatic cancers.22–26 The advantages of NP-mediated, in situ expression of small proteins stretch far beyond simply enhancing transport in the tumor interstitium. PEGylated steric NP delivery vectors can also decrease systemic toxicity and improve the pharmacokinetic profiles of the encapsulated therapeutic agents.27,28
Therefore, in the current study, we proposed to utilize local perivascular delivery of NP-loaded plasmids encoding small trapping proteins targeting CXCL12 and PD-L1 to treat pancreatic cancer. The small trapping proteins for CXCL12 (CXCL12 trap) were designed based on known anti-CXCL12 antibody sequences, by fusing a VH and a VL domain as we recently reported.29 The CXCL12 trap was ~28.6 kDa and found to have a strong binding affinity (Kd of ~4.1 nM) with CXCL12. We also developed a robust technology platform that allows for facile conversion of the extracellular PD-L1-binding domain from endogenous PD-1 into its trivalent form by genetically fusing with a trimerization domain (PD-L1 trap). The resulting trivalent trap protein (~136 kDa) bound mouse PD-L1 with ~219 pM affinity, which is more than 1000 times higher than that between endogenous PD-1 and PD-L1. A genetically modified mouse model containing both Kras and p53 mutations (KPC) was commonly used as a model for PDAC.8,10,30 For the ease of study, we established an allograft orthotopic model using the primary cell line of the KPC mice, which closely resembles human PDAC and mice KPC. In our present works, the plasmids encoding PD-L1 and CXCL12 trap were encapsulated into liposome–protamine–DNA (LPD) NPs previously developed in our lab.31 Local and transient delivery of NP-based plasmids diminishes systemic toxicity, allowing for accumulation in perivascular cells. Combined therapy of PD-L1 and CXCL12 traps indeed showed significant antitumor efficacy and prolonged survival. The changing of infiltrating suppressive leukocytes and T-cells was monitored after combination therapy. Cytokine modulations in the local tumor microenvironment were also studied to verify our hypothesis.
RESULTS AND DISCUSSION
Development and Characterization of Trap Proteins
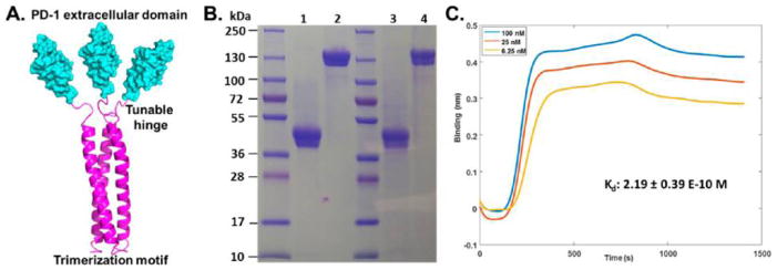
PD-1 plays a pivotal role in tumor immune escape. The interaction between PD-1 on the surface of T-cells and its ligand PD-L1 on the surface of numerous cancer cells inhibits the proliferation, survival, and effector functions of T-cells. Although the binding affinity between soluble monomeric PD-1 and PD-L1 is relatively weak and in the range of micromolars (Figure S1),32 the endogenous PD-1/PD-L1 signaling occurs on the cell surface with a significant avidity effect, making it difficult to disrupt this multivalent interaction. To efficiently compete with endogenous T-cells and trap PD-L1 on the cancer cell surface, we developed a trimeric trap that binds to mouse PD-L1 with a Kd at medium pM, a binding affinity that is more than 1000 times higher than that between monomeric PD-1 and PD-L1 (Figure S1). Specifically, we designed a trimeric trap by genetically fusing the extracellular domain of PD-1 with a robust trimerization domain from cartilage matrix protein that is very abundant in mouse and human cartilage. The strong hydrophobic and ionic interactions among this trimerization domain result in a parallel, disulfide-linked, and rod-shaped trimeric structure with high stability.33 Typically, trivalent traps that bind to a target of interest with low nM to pM binding affinities can be efficiently generated from monomeric domains that are 1000 times weaker.34 The mouse sequence of this trimerization domain is highly homologous to that of human CMP1, making it easy to switch to the human version if translational application is desired. As the trimeric trap is formed through self-assembly of three identical monomers (Figure 1A), it only requires a relatively small gene that codes for the monomeric trap, making the gene to be delivered much shorter and easier to encapsulate (Figure S2).
Figure 1.
Structure and binding affinity of PD-L1 trap protein. (A) Schematic of self-assembled trimeric PD-L1 trap from a fusion protein between the PD-1 extracellular domain and the trimerization domain of CMP1. (B) SDS-PAGE of two batches of the expressed monomeric trap and the self-assembled trimeric trap in the presence (lanes 1 and 3) and absence (lanes 2 and 4) of reducing agent DTT. (C) Binding of trimeric ligand at different concentrations (blue 100 nM; red 25 nM; yellow 6.25 nM) to immobilized PD-L1 with an estimated Kd at ~219 pM.
The extracellular PD-L1 binding region of PD-1 is composed of an IgV domain that contains nine β-strands stabilized by a conserved disulfide bond.35,36 It is challenging to assemble three identical IgV domains in very close proximity without disrupting their folding and ligand-binding features. We found that the hinge region is critical to maintain the function of PD-1 domain and the formation of a soluble and stable trimeric trap. Therefore, a hinge linker with optimized length and sequence was used to construct the trimeric trap. To avoid incorrect disulfide bond formation, the unpaired Cys93 in PD-1 was mutated to Ser when the human version was used. The optimized coding sequence for the monomeric trap was cloned into the expression vector pcDNA3.1, driven by a CMV promoter. To facilitate trap secretion after expression, a strong signaling peptide from human serum albumin preproprotein was incorporated at the N-terminus, whereas an E and His(6x) tags were introduced at the C-terminus to facilitate protein purification and in vivo expression analysis. The recombinant PD-L1 trap was expressed in and purified from 293 T-cells. The theoretic MW of the monomeric trap is 22.95 kDa, as observed when the protein was expressed in Escherichia coli. When the expression was performed in 293 T-cells, the observed MW of the monomeric trap is around 45.3 kDa with little heterogeneity, presumably due to post-translational modifications as frequently occur in many recombinant proteins from mammalian expression systems. As shown in Figure 1B, a vast majority of the trap was present as a trimeric form under oxidizing conditions, whereas it collapsed into a monomer in the presence of reducing agent DTT. To examine the target-binding feature of the trimeric trap, the extracellular domain of mouse PD-L1 immobilized on a biosensor was incubated with different concentrations of trimeric PD-L1 trap, and the interaction was measured by using biolayer interferometry. As shown in Figure 1C, a Kd around 219 pM was found for the best trimeric PD-L1 trap that was used for in vivo animal studies. Unlike molecular traps for chemokines that are present as secreted proteins, a successful PD-L1 trap should abolish the PD-1/PD-L1 interaction on the cell–cell interface. To investigate whether the trimeric trap can disrupt the preformed interaction between endogenous PD-1 and PD-L1, PD-L1 immobilized on the biosensor was first saturated with PD-1. The complex was then incubated with a mixture of PD-1 in the presence (blue) or absence (red) of the trimeric PD-L1 trap. As shown in Figure S3, the trimeric trap still bound well to PD-L1 that was saturated by PD-1, indicating its efficient disruption of the preformed interaction between PD-1 and PD-L1 and thus great potential to serve as a trap to decouple the interaction between endogenous PD-1 on T-cells and PD-L1 on cancer cells.
The CXCL12 trap protein has been previously developed by our laboratories and reported by Goodwin et al.29 The trap protein was designed based on known anti-CXCL12 antibody sequences. The CXCL12 trap gene was cloned into the same vector as described above with the same signaling peptide at the N-terminus to facilitate secretion. The engineered CXCL12 trap was found to have a dissociation constant (Kd) of 4.1 nM.
Transient and Local Distribution and Expression of pDNA (Trap or GFP) within Tumor Microenvironment Post-pDNA LPD Administration
LPD preferentially delivers macromolecules, including plasmid DNA, siRNA, and mRNA to tumors for anticancer therapy.31,37 To prepare LPD, plasmid DNA (pDNA) was condensed with cationic protamine to form a slightly anionic complex core. The core was further coated with the preformulated cationic liposomes (DOTAP, cholesterol, and DSPE-PEG). TEM images confirm the size of LPD (~70 nm) and indicate its spherical shape and homogeneous distribution (Figure 2A). Approximately 0.1% of DiI was incorporated into the lipid membrane of LPD as an in vivo tracker for evaluating the biodistribution of DiI-labeled LPD.
Figure 2.
Transient and local expression of trap within KPC tumor microenvironment. (A) TEM image of LPD NP (vector for encapsulating plasmid). (B) Biodistribution of DiI-labeled LPD NPs (24 h postinjection) in mice bearing KPC orthotopic tumor. (C) Fluorescence images of DiI distribution in liver and tumor (red numbers indicate % cells taking up DiI in the organ). Two daily doses of GFP LPD NPs were intravenous injected into mice bearing tumors. The GFP expression in liver and tumor are shown (green numbers). Phalloidin-labeled cellular actin. Results suggest that though liver is the major organ taking up NPs, plasmid expression is mainly in the tumor (n = 3). (D) GFP expression in different cell populations within the tumor. The % of GFP-positive cells in each cell population was quantified (white numbers). αSMA-positive fibroblasts and RFP-positive tumor cells are major GFP producing cells within the tumor microenvironment. (E) Transient expression of His-tag-labeled trap plasmid was quantified by His-tag ELISA. The expression of trap was transient within 1 week. Again, tumor is the major organ that produces trap proteins. Compared to trap protein, the plasmid delivery prolonged trap expression in the tumor (n = 4).
Desmoplastic KPC pancreatic tumor model was generated from orthotopic injection of the primary KPC98027 cells into the tail of the pancreas. This allograft KPC pancreatic model, with a dense stroma structure, resembles the clinically relevant genetically engineered mouse (Figure S4). DiI-labeled LPD NPs were intravenously administered. Twenty-four hours later, accumulation in major organs was analyzed. Consistent with other NPs of similar sizes, liver was the major organ taking up LPD NPs (Figure 2B).38 Besides liver, tumor is another major NP accumulation site (Figure 2B), most likely due to the enhanced permeation and retention effect.39 Tissue cyrosection data suggest the scattered distribution of DiI-labeled NPs over all the liver tissues, with more than 40% of liver cells labeled (Figure 2C). In contrast, less than 25% of cells within the tumor took up DiI NPs, and the distribution of NPs within tumors was heterogeneous and uneven, mostly due to the high interstitial fluidic pressure (IFP) and thick extracellular matrix.8 The distribution of GFP protein in liver and tumor was further compared as an indication of the transfection efficiency of the LPD delivered plasmid (pGFP). Despite the higher accumulation of NPs in the liver, the expression of GFP is extremely low in comparison to that in tumors (Figure 2C). This can be attributed to the Kupffer cells, which localized in the vicinity of blood vessels, that nonspecifically phagocytosed the LPD NPs. The transfection efficiency of plasmid in Kupffer cells is relatively low. Therefore, our results demonstrate that LPD encapsulating plasmid can be locally delivered and expressed within the KPC pancreatic cancer.
Immunofluorescence staining was performed to determine the LPD accumulation in various cell populations within the bulk tumor mass (Figure 2D and Figure S5). Stable transgene expression of RFP and fluorophore-conjugated antibody against mouse αSMA, CD45, and CD31 defined tumor cells, fibroblasts, leukocytes, and endothelial populations. Results show that tumor cells are one of the major cell populations that take up NPs; more than 20% of the tumor cells expressed GFP. In addition, ~20% of fibroblasts take up LPD 2 days postintravenous injection of LPD pGFP. The GFP-positive cells localized near leucocytes and endothelial cells, but the expression of GFP in these cells is negligible (Figure 2D and Figure S5), confirming that perivascular tumor cells and fibroblasts are the major sites for NP distribution and plasmid expression. Due to the adjacent distribution of fibroblasts to tumor cells, fibroblasts’ expression of the secreted trap would benefit their neighboring effect to tumor cells rather than as an off-targeting site that diminishes the therapeutic concentration of drugs approaching tumor cells.
Subsequently, distribution and expression of the trap protein (against either PD-L1 or CXCL12) was assessed through ELISA via the targetable His-tag incorporated into the C-terminus of the trap (Figure 2E). The pure trap protein (CXCL12 trap) was also injected and compared. After two daily doses of the trap plasmid NP and trap protein, the mice were sacrificed on days 2, 4, and 6, demonstrating transient plasmid transfection and expression in the tumor (Figure 2E) rather than other organs. In contrast, the protein trap was cleared rapidly, with significantly lower concentration in all the organs at the time monitored.
These results are a testament that the LPD vector permits preferential expression of trap plasmids within tumors, particularly in perivascular fibroblasts and tumor cells. Minimal expression in other organs was found. We report that the tumor expression holds transient properties in which expression is found to last up to 6 days post-trap-plasmid injection.
Combined Therapy of LPD NP Encapsulating pCXCL12 Trap DNA and LPD NP Encapsulating pPD-L1 Trap DNA Improved Antitumor Response against KPC Allografts and Suppressed Metastasis
Previous study by Feig et al. suggested that inhibiting the interaction of CXCL12 with CXCR4 uncovered the antitumor activity of anti-PD-L1.10 Due to the local and transient expression feature of plasmid delivered by the LPD vector, plasmid encoding PD-L1 trap and CXCL12 trap were encapsulated into the LPD vector, separately, and administered as the combined regimens for KPC pancreatic cancer treatment. KPC98027 RFP/Luc was orthotopically inoculated into the tail of the pancreas. The dosing schedule of LPD NPs is presented in Figure 3A. PBS, LPD NP encapsulating pcDNA3.1 backbone empty plasmid (pCtrl NPs), and free combo trap proteins were set as controls. Tumor volume correlated from the number of photons emitted from the tumor were assessed (Figure 3B and Figure S6) and quantified (Figure 3C). Results demonstrate that both pCXCL12 trap NP and pPD-L1 trap NP monotherapy showed minimal antitumor efficacy at low doses (Figure 3E). Antitumor efficacy for the monotherapy increased slightly, but only partial efficacy was achieved while increasing the dose of the monotherapy (Figure 3F). On the contrary, the combo trap NP group significantly inhibited the tumor growth (P < 0.01) compared to the PBS group. Tumor weight of the combo group decreased dramatically both at low and high doses (Figure 3E,F). Meanwhile, the free combo trap proteins only showed slight, but insignificant, anticancer effect, suggesting the advantages of using local and transient delivery of trap plasmids rather than systemic delivery of trap proteins (Figure 3B,C). Further, in an overall survival analysis after the final day of treatment, median survival was enhanced in the pCombo trap NP therapy (63.5 days) as compared to other treatment groups (Figure 3D), conveying not only a potent therapeutic effect but also a long-lasting overall response. This is consistent with the observation by Feig et al., who used a combination of a small molecule CXCR4 antagonist and anti-PD-L1 antibody to inhibit the KPC tumor growth.10 Data in Figure 3 suggested that the combination of pCXCL12 trap NPs with pPD-L1 trap NPs indeed exhibited superior antitumor efficacy in the desmoplastic KPC tumor-bearing mouse model.
Figure 3.
Tumor growth inhibition and host survival. (A) Dosing schedule of different treatments on mice bearing KPC-RFP/luc allograft. (B) IVIS images of KPC-RFP/luc tumor before and after different treatments (n = 3, 50 μg/mice of each ptrap plasmid). (C) Tumor inhibition curve of KPC-RFP/luc (n = 6–10) using the high dose plasmid treatment (50 μg/mice of each ptrap plasmid, 4 times). (D) Survival proportions of the treated groups (using the same high dose treatment strategy). Data show mean ± SD, n = 5–8. (E,F) End time point tumor weight of mice bearing KPC with low dose plasmid treatment (30 μg/mice, 4 times, E) and high dose plasmid treatment (50 μg/mice, 4 times, F); n = 3–4; *p < 0.05, **p < 0.01, ***p < 0.001. The statistical analyses were calculated by comparison with the control group if not specifically mentioned.
Further, metastasis of tumors in major organs was monitored one month after the inoculation of KPC allografts. Consistent with the patients bearing PDAC, liver and lung are the major metastatic sites for orthotopic KPC models (Figure 4A,B).40,41 Tumors were also observed in spleen and kidney due to invasion of the peritoneal cavity.42 Histology shows large nodules of metastasis in the lung, spleen, and liver of the control group (Figure 4C). Monotherapy slightly suppressed tumor metastasis. Only the combo therapy was able to significantly inhibit or even abrogate metastasis. Thus, it was apparent that the pCombo trap NP strategy was capable of extensively reducing tumor metastasis.
Figure 4.
Long-term metastasis study. (A) Metastasis of KPC cells in major organs 1 month after different treatments (n = 4–5, high dose treatment strategy, 4 times). Liver, lung, and spleen are major organs for KPC metastasis. (B) Quantification of the IVIS metastasis data. (C) H&E staining show the histology of tumor metastasis in the major organs of the PBS control group. Metastasis was significantly inhibited when mice were treated with pCombo trap NPs. Blue dotted lines and arrows indicate metastatic tumor growth in lung, spleen, and liver. Bars in B represent 100 μm.
Enhanced T-Cell Infiltration into Tumor Microenvironment Explains the Superior Antitumor Effect of the Combo Trap NPs
A cancer-cell-specific T-cell response has been previously reported in the KPC model.10 The previous finding was further confirmed herein by the production of interferon gamma (IFN-γ) detected using an ELISPOT assay. Figure S7 shows the ELISPOT assay data using splenocytes from tumor-bearing animals. Results suggest that KPC cell lysates could stimulate the splenocytes to secrete IFN-γ but not the normal splenocyte cell lysates, confirming the existence of tumor-specific T-cell response within KPC tumor-bearing mice. It was then found that the frequency of T-cells secreting IFN-γ remained unchanged when the splenocytes were challenged with KPC cell lysates or KPC (RFP/Luc) cell lysates. Therefore, the immune response elicited in tumor-bearing mice was not attributed to luciferase or the red fluorescence protein probe. Rather, the finding was attributed to the unidentified tumor-associated antigens shared by different PDA tumors (Figure S7A). In addition, the absence of any significant increase in IFN-γ-secreting T-cells from the spleens of pPD-L1 trap NPs and pCXCL12 trap NPs (either mono- or combo therapy) treated mice indicates that the antitumor effect of trap NPs was not accomplished by enhanced systemic priming and activating of the cancer-specific T-cells (Figure S7B).
To determine if the immunotherapeutic effect was caused by enhanced T-cell accumulation among cancer cells, the distribution of T-cells (CD3+) in the pancreas was shown by immunofluorescence (Figure 5A). As expected, T-cells were mostly located in the border between tumor and normal pancreas tissue in the PBS control. Small amounts of T-cells were found in the tumor region, but they were located in the stroma area. The pancreas from animals treated with pPD-L1 trap NPs showed some penetration of T-cells into the tumor region, but the ones treated with CXCL12 trap NPs (with or without the pPD-L1 trap NPs) showed extensive T-cell infiltration into the tumor region. The localization of T-cells in the tumor region is quantified as illustrated in Figure 5B. The tumors were further collected and dispersed into single cells. CD3+CD8+ cells were analyzed with flow cytometry (Figure 5C). Results, again, confirm that the CD8+ T-cells were significantly increased in tumors of the pCombo trap NP treated mice. Thus, we conclude that CXCL12 trap, rather than PD-L1 trap, was the major treatment to enhance T-cell infiltration. Further, the role of CD8+ T-cells in the pCombo trap NP therapy was evaluated by depleting CD8+ T-cells using antibody against CD8 (Figure 5D,E). As expected, pCombo trap NPs significantly slowed tumor growth but not when CD8+ T-cells were removed. The blocking study was also performed with an antibody against CD4, and similar results were obtained. Results therefore suggest that the infiltration of CD4+ T-cells also contributed to the antitumor efficacy of the combo trap (Figure S8). Collectively, enhanced T-cell infiltration into the tumor microenvironment is a major cause of the superior antitumor efficacy of the pCombo trap NPs.
Figure 5.
pCombo trap NPs facilitate T-cell infiltration into tumor microenvironment. (A) Tissue sections from KPC allografts with different treatments (high dose) were stained for CD3 (green), p53 (red), and DAPI (blue) and then analyzed by IF microscopy. Adjacent H&E stainings show the stroma architecture of the regions. Yellow dotted lines demonstrate the edge of tumor cells’ invasion into normal pancreas. Orange rectangle areas are zoomed in for better visualization. Tumor regions are also presented in lower magnification. Scale bars indicate 400 μm. (B) Percentage of CD3+ cells within tumor regions were quantified with ImageJ of five representative images from each treatment. (C) Single-cell suspensions of KPC allograft tumors (within the tumor regions) after different treatments (n = 5) were stained with antibodies for CD3 and CD8. The percentage of CD3+CD8 cells are quantified by flow cytometry; *p < 0.05, **p < 0.01. (D,E) Mice bearing KPC98027 tumors were pretreated with 3 daily injections of anti-CD8 antibody (300 μg/mice) to deplete the CD8+ T-cells in the mice. Isotype IgG was used as control. The efficacy of pCombo trap NP in mice with or without CD8 depletion was compared by imaging (D) and quantified (E).
Changes of Tumor-Infiltrating Immune Cells and Cytokine Levels in Tumor Microenvironment
To further elucidate why the pCombo trap NP strategy could efficiently improve T-cell infiltration, we evaluated the changes of the related myeloid subsets and cytokines in the tumor microenvironment after different trap NP treatments, which partake in a complicated interplay network to mask CD8+ T-cell antitumor activity.4,43
As immunosuppressive subsets, such as Tregs, MDSCs, and TAMs, are the dominating myeloid infiltrates within the desmoplastic PDAC models, we examine the accumulation of these immune suppressive cells within the tumor microenvironments by both flow cytometry and immunostaining of tumor sections. MDSCs were checked as the first regulatory subset. As shown in Figure 6, the percentages of MDSCs in the trap monotherapy group and combo therapy group were much lower than those in the control groups. Because MDSCs can establish immune tolerance by induction of Treg cell development, the blockage of MDSCs may lead to inhibition of Treg cells. We therefore measured the percentage of Treg cells in tumor tissues. Consistent with the trends of MDSCs, the pCXCL12 trap NP treated group and combo group exhibited fewer Treg cells than the control groups. However, treatment with pPD-L1 trap NPs slightly increased Treg cell infiltration, which was also observed by Feig et al. using a PD-L1 checkpoint inhibitor.10 This is most likely because PD-L1/PD-1 interaction negatively regulates Treg proliferation and activation by controlling STAT-5 phosphorylation.44 Macrophage is another important component of the suppressive tumor immune microenvironment. As shown in Figure 6A, both pPD-L1 monotherapy and combo therapy could significantly decrease the accumulated macrophages and efficiently turned the macrophages favorable to the M1 state, but not M2 state which actively promotes tumor growth (Figure 6B). Thus, there was a significant remodeling of the immunosuppressive TME by the traps in favor of therapy.
Figure 6.
Changes of tumor-infiltrating immune cells in tumor microenvironment. The KPC tumor-bearing mice were divided into four groups and treated with either PBS, pCXCL12 trap/Ctrl NP, pPDL1 trap/Ctrl NP, or pCombo trap NP (high dose). At the end of treatment, mice were euthanized and tumor tissues were collected for (A) immunostaining evaluation and (B) flow cytometry assay: the first panel shows the MDSCs (yellow); the second panel shows the Treg cells (yellow), and the third panel shows the macrophages (red). Numbers in white indicate the average % of each cell type in the tumor. Bars in A represent 200 μm; *p < 0.05; **p < 0.01. The statistical analyses were calculated by comparison with the untreated group if not specifically mentioned.
To correlate the observation of immune suppressive subsets with the level of CXCL12 and PD-L1, we next test the neutralizing efficiency of the intravenously delivered trap NPs (Figure 7). As expected, pCXCL12 trap NPs, but not pPD-L1 trap NPs, can efficiently neutralize the intratumoral secreted CXCL12, leading to a substantial decrease of the chemokine detected by an anti-CXCL12 primary antibody and subsequently inhibiting MDSC and Treg cell infiltration through CXCL12/CXCR4-mediated interaction.45 The overall PD-L1 level was not only diminished by applying pPD-L1 trap NPs but also partially affected by pCXCL12 trap treatment. This is likely due to the fact that myeloid cells can induce the expression of PD-L1 in tumor cells in an epidermal growth factor receptor (EGFR)/mitogen-activated protein kinases (MAPK)-dependent manner.4 Therefore, reduced recruitment of myeloid cells by CXCL12 blockage decreased the level of PD-L1.
Figure 7.
Changing of CXCL12 and PD-L1 coverage after trap plasmid treatment. Both fluorescence image (A) and quantification (B) are presented (n = 5). Bars in A represent 200 μm. The statistical analyses were calculated by comparison with the control group if not specifically mentioned. All data show mean ± SEM (n = 4); *p < 0.05; **p < 0.01, ***p < 0.001.
We then monitored the cytokine levels in the local tumor tissue to determine whether the pCombo trap group could reverse the suppressive microenvironment as shown by cytokine levels (Figure 8). IL-4 and IL-10 are known as Th-2 cytokines, which are critical for immunosuppression to promote cancer metastasis.46 Meanwhile, IFN-γ, IL-12α, and TNF-α (considered as Th-1 cytokines) are the cytokines secreted by cytotoxic T-cells that facilitate T-cell killing and fight against tumor progression.47–49 In the pCXCL12 trap NP monotherapy group, though IL-12α and IFN-γ increased and IL-4 decreased substantially, IL-10 still increased, suggesting a slightly suppressive microenvironment. Similarly, in the pPD-L1 trap NP group, despite the increased level of the overall Th1 cytokines, suppressive cytokines remain consistently high. However, in the combo group, both IL-4 and IL-10 were significantly decreased. Meanwhile, IL-12α, TNF-α, and IFN-γ were dramatically increased, indicating a Th-2 to Th-1 phenotype switch50–52 to an immunostimulatory microenvironment. 53,54 This would consequently activate the recruitment of lymphocytes to act as scavengers, facilitate tumor antigen presentation, and result in an intensified cytotoxic T-cell-mediated, tumor-specific killing.
Figure 8.
Changes of cytokines in tumor microenvironment. Cytokine levels were detected using quantitative RT-PCR. The statistical analyses were calculated by comparison with the control group if not specifically mentioned. All data show mean ± SEM (n = 4); *p < 0.05, **p < 0.01, ***p < 0.001.
Changes of the Tumor Vessels and Tumor-Associated Fibroblasts
Tumor-associated fibroblasts (TAFs) and angiogenesis impede the infiltration of cytotoxic T-lymphocytes to the tumor tissue.55–57 The effect of trap NPs on TAFs was investigated by staining for αSMA, a marker of TAFs, and CD31, a marker for the vasculature. The density and mean fluorescence were detected by fluorescence microscopy. As shown in Figure 9A, the density of CD31 in both mono- and combo therapy groups was lower than that of the control group. The combo group, in particular, demonstrates a substantial blood vessel normalization (Figure 9B). The decompression of blood vessels subsequently permitted increased NP perfusion and allowed homogeneous distribution of therapeutic effect after multiple combo trap treatments (Figure S9). The normalized blood vessel is presumably a result of released IFP, which is mostly due to decreased stroma and cell density. Trap treatment, alone or in combo, did not change the relative location of the tumor vessels.
Figure 9.
Tumor microenvironment changes after various treatments. (A) KPC-tumor-bearing mice were divided into four groups and treated with either PBS, pCXCL12 trap/Ctrl NPs, pPD-L1 trap/Ctrl NPs, or pCombo trap NPs. At the end of treatment, mice were euthanized and tumor tissues were harvested for double fluorescence staining of CD31 (shown as green) and αSMA (fibroblast staining, shown as red). Representative locations (yellow dotted square) are zoomed in (yellow square). Blood vessels were decompressed and normalized after pCXCL12 trap or pCombo trap treatment. Yellow arrow indicates the normalized blood vessels. Lower panel images are enlarged from the boxed areas in the corresponding upper panel images. Bars in upper and lower panels represent 500 and 100 μm, respectively. (B) Percent of αSMA coverage, CD31 density, and normalized blood vessels were quantified using ImageJ from five representative images of each group. The statistical analyses were calculated by comparison with the control group if not specifically mentioned. All data show mean ± SD (n = 5), **p < 0.01, ***p < 0.001.
We next evaluate the density of fibroblasts. As expected, the pCombo trap NP group exhibited the lowest density of αSMA. Interestingly, we found that only the treatment with pCXCL12 trap, but not with pPD-L1 trap, results in the decreasing of αSMA in both the monotherapy and combo therapy (Figure 9A,B). Consistently, we noted that collagen, one of the major extracellular matrices secreted by fibroblasts, was decreased dramatically in both pCXCL12 trap NP and combo trap NP groups (Figure S10). Therefore, we conclude that pCXCL12 trap NPs not only increased T-cell infiltration but also uncovered the antitumor efficacy of pPD-L1 trap by depleting fibroblasts and collagen content. Because fibroblasts are considered as a major source of CXCL12 in KPC tumor microenvironment, a CXCR4-mediated autocrine loop may explain the decrease of fibroblasts and remodeling of the stroma.58
Toxicity Evaluation for the Different Treatments and Blood Chemistry Analysis
The results of the toxicological pathology evaluation (H&E staining) demonstrated that there were no any noticeable morphological changes in the heart, liver, spleen, lungs, and kidneys of monotrap NPs and pCombo trap NP treated tumor-bearing mice (Figure 10). However, cellular vacuolization, desquamated degenerative cells, and focal necrosis were detected in liver and renal tissues of tumor-bearing mice in PBS and pCtrl NP groups, suggesting liver and kidney damage,59 which was most likely due to the burden of tumors in these organs. Consistently, the serum biochemical value analysis demonstrated severe liver (AST and ALT) or slight kidney (creatinine and BUN) toxicity caused by tumor progression in these two groups but not in the pCombo trap NP treated healthy mice or tumor-bearing mice (Tables S1 and S3). In addition, the whole blood cell counts (Tables S2 and S4) remain constant within normal ranges for all the groups (in healthy or tumor-bearing mice), suggesting no systemic anemia or inflammation occurred after trap treatments.
Figure 10.
H&E morphology evaluation. The KPC-tumor-bearing mice were divided into five groups and treated with four doses of PBS, pCtrl NPs, pCXCL12 trap/Ctrl NPs, pPD-L1 trap/Ctrl NPs, and pCombo trap NPs every 2 days (high dose). At the end of the treatments, mice were euthanized and the major organs were harvested for H&E pathology staining. Blue rectangle highlights the liver and kidney of PBS and pCtrl NP groups, indicating severe liver and kidney toxicities. Cellular vacuolization, desquamated degenerative cells, and focal necrosis (yellow arrows) were observed in these organs.
CONCLUSIONS
We recently proposed that stroma cells that align with the endothelium could function as a reservoir for transient production of pro-apoptotic small proteins in the hypovascular, stroma-rich carcinomas.26 The current study utilized the above-mentioned local delivery concept to generate trap protein against PD-L1 and CXCL12 in situ to tumor cells and fibroblasts and identified that the transient tuning of suppressive immune microenvironment along with checkpoint inhibitor would efficiently enhance the active T-cell infiltration. This strategy showed as a promising therapeutic avenue in a preclinical allograft pancreatic cancer model, which resembles the KPC transgenic mice as well as human PDAC in both the pathophysiological and molecular features, such as the dysregulated blood vessels, the leukocytic infiltration, and the high fibrotic content. The results derived using this allograft models are therefore clinically relevant and translatable.
Whereas the KPC model was unresponsive to PD-L1 monoclonal antibodies,10 results herein show a partial effect elicited by PD-L1 trap. The partial efficacy was attributed to facile acquisition of trap protein by malignant cells over-expressing PD-L1. The production of trap by neighboring reservoir cells combined with the small molecular weight of trap protein facilitated greater penetration. In addition, the trimeric trap based on the extracellular ligand-binding domain of PD-1 should also bind to PD-L2. Although the constitutive basal expression of PD-L2 is low compared to PD-L1, cancer-induced suppression was still elusive.60 Yet, the binding and neutralization of PD-L2 using PDL1 trap may also produce a therapeutic outcome.61,62
However, the therapeutic effect is still limited by T-cell infiltration, as indicated in Figure 5, as most of the CD3+ T-cells were accumulated on the edge of the intrusive tumors, seldom distributing within the tumor mass. Previous studies suggested that the suppression of CD3+ T effector cells is mediated either directly or indirectly by induction and recruitment of Tregs cells and MDSCs to the tumor microenvironment.1,12,63 In line with previous studies, our current work suggests that there are high levels of Treg cells and MDSCs in the naïve microenvironment (Figure 5). Though the MDSCs decreased upon PD-L1 trap treatment, Treg cells remained constantly high. As CXCL12/CXCR4 axis is required for MDSCs and Treg recruitment,19 CXCL12 trap that directly neutralizes CXCL12 was applied to improve the potency of PD-L1 trap. CXCL12 was reported to specifically secreted by FAP-positive fibroblasts, which constitute a large portion of perivascular cells.10 Therefore, the secretion of CXCL12 trap protein from perivascular cells facilitated efficient trapping of the CXCL12 chemokine. In accordance to our hypothesis, we confirmed a marked reduction of both Treg cells and MDSCs after application of CXCL12 trap in the allograft model (Figure 6). Consequently, the infiltration of CD3+ T-cells into tumor mass increased dramatically. The mechanism of the CXCL12-mediated CD3+ T-cells’ presence in the tumor mass is still under investigation, but two hypotheses can be drawn. The first hypothesis was proposed by Feign et al., termed as T-cell “repulsion”.10 In their hypothesis, the binding of CXCL12 with metabolically stressed tumor cells over-expressing the high mobility group box 1 (HMGB1) repulses T-cells from approaching tumor cells.10,64 Depletion of CXCL12 could uncover the protective shell of tumor cells allowing for efficient T-cell attack. Another proposed mechanism is infiltrating myeloid cells, including MDSCs and Treg, that are the drivers of PD-L1 expression in tumor cells. They work mainly through activation of EGFR/MAPK signaling, leading to the “exhaustion” of infiltrated T-cells, consequently resulting in T-cell apoptosis.4 In this hypothesis, CXCL12 trap not only directly decreased the infiltration of MDSCs and Treg cells through CXCL12/CXCR4(CCR7) axis19,65 but also regulated the MAPK pathway,66 suppressing PD-L1 expression, demonstrating a synergy of the PD-L1 and CXCL12 trap combination therapy. The validity of this hypothesis can be confirmed by the downregulation of PD-L1 protein after mono-pCXCL12 trap NP treatment (Figure 7A). With either mechanism working, the results point to restoring of CD3+ T-cell-mediated immune responses after combination therapy.
TAM is another crucial player in the TME. In particular, macrophages account for a majority of the stroma cells within PDAC.67 Depleting TAM using colony-stimulating factor-1 receptor (CSF-1R), granulocyte macrophage colony-stimulating factor (GM-CSF), and clodronate in preclinical models of melanoma, prostatic carcinoma, etc. has been shown to increase intratumoral T-cells and control tumor growth, especially when combined with anti-CTLA-4 or anti-PD-1/PD-L1.67,68 Interestingly, we found that PD-L1 trap directly downregulated the macrophage infiltration. Furthermore, the combination of PD-L1 trap with CXCL12 trap reverted TAMs into a M1 subtype and again facilitated T-cell infiltration.
CD8+ T-cell-mediated immunity was one crucial mechanism for the enhanced antitumor immunity. This could be evident by the upregulation of CD8+-related cytokines, such as IFN-γ and TNF-α (Figure 8). Consistently, blockage of CD8+ T-cells in vivo by systemic administration of anti-CD8 antibody resulted in a compromising anticancer effect, supporting the role of CD8+-mediated effect (Figure 5D). However, the partial tumor response suggests that other mechanisms may account for the success of combination therapy. First, CD4+ T-cells also participate in tumor inhibition through the tuning of Th1 and Th2 cytokines after combination therapy (Figure 7). This is supported by the fact that a Th1 favored microenvironment occurred after combination therapy and was also confirmed by the compromised antitumor effect after CD4+ T-cell depletion (Figure S8).10,69 Second, antiangiogenesis effect was observed in both the mono- and the combo therapy. CXCR4 and CXCR7 are also expressed highly by endothelial cells, localizing near the cells that produce trap proteins. Upon binding with CXCR4/7, CXCL12 was reported to induce angiogenesis by regulating mTORC2.70 Thus, neutralizing CXCL12 consequently led to inhibition of angiogenesis. The antiangiogenesis was also observed in pPD-L1 trap NP treated group, likely due to the decreasing of TAMs. Numerous reports in various cancer models suggest that TAMs affect angiogenesis.67 Therefore, the direct effect of CXCL12 on endothelial cells and the indirect effect of TAMs underline another potential synergistic mechanism of the combination therapy. Moreover, CXCL12, also termed as stroma cell-derived factor-1 (SDF-1), could affect the activation of TAFs in an autocrine manner, generating extensive ECM proteins.58 Our results suggested that CXCL12 trap treatment induced the reduction of αSMA and collagen content (Figure 9 and Figure S10). The ultrastructural changes in TME ultimately resulted in the re-expansion of tumor vasculature, affecting intratumoral diffusion and convection. Interestingly, the perfusion of NPs was expanded after multiple trap treatment (Figure S10). The specificity of this fact suggests the utility of this strategy adjunct to delivery for polymeric drugs, monoclonal antibodies, and albumin conjugates.
Another strength of the combination trap therapy is that local enhancement of T-cell infiltration facilitates the activation of immune response, resulting in long-term sustained effect, improving the overall survival. On the other hand, limited accumulation within the tumor region and fast clearance of trap protein in blood and spleen, diminishing the checkpoint-inhibitor- induced autoimmune or cytokine-boost-induced whole body inflammation. This is another potential advantage of local delivery of trap plasmids over the systemic delivery of checkpoint inhibitor antibodies.71
Conclusively, local and transient delivery of plasmid encoding small trapping proteins efficiently tunes the immunosuppressive TME and facilitates T-cell infiltration, providing a promising platform for the treatment of low-T-cell infiltrated desmoplastic PDAC. In the future, T-cell response would be further intensified by combining trap strategy with specific anticancer vaccines, leading to an enhanced efficacy. In addition, the modified TME after combination therapy allows for second-wave monoantibody or chemotherapeutic nanotherapy, providing a promising strategy of combining immune therapy with chemotherapy. Moreover, trap proteins are not only limited to CXCL12 and PD-L1, as the trap can be designed to target numerous other immune-modulating proteins or resistant-related targets. Bispecific traps with synergistic chemo/cytokine trapping effects could also be designed to fulfill the multiple functions and tasks.
METHODS
Materials
1,2-Distearoryl-sn-glycero-3-phosphoethanolamine-N-[methoxy(polyethylene glycol-2000)] ammonium salt (DSPE-PEG) was purchased from NOF (Ebisu Shibuya-ku, Tokyo). Dioleoyl phosphatidic acid (DOPA) and 1,2-dioleoyl-3-trimethylammonium propane chloride salt (DOTAP) were purchased from Avanti Polar Lipids (Alabaster, AL, USA). Cholesterol and protamine were purchased from Sigma-Aldrich (St. Louis, MO, USA). All other chemicals were purchased from Sigma-Aldrich if not specifically mentioned (St. Louis, MO, USA).
Construction of CXCL12 and PD-L1 Trap Genes
The construction of pCXCL12 trap was described in our recently published work. To construct the PD-L1 trap plasmid (pPD-L1 trap), the coding sequences of the PD-1 extracellular domain (human PD-1 residues 34–150 with C93S mutation or mouse PD-1 residues 21–150) and the C-terminal trimerization domain of cartilage matrix protein (human CMP1 residues 454–496 or mouse CMP1 residues 458–500) were used for assembly of the trap gene. A flexible hinge region with optimized length was introduced between the PD-L1-binding domain and the trimerization domain. The final sequence for the monomeric PD-L1 trap codes for a secretion signaling peptide, PD-1 extracellular domain, hinge peptide, trimerization domain, E or FLAG tag, and His(6x) tag. The complete cDNA was cloned into pcDNA3.1 between Nhe I and Xho I sites, and the accuracy was confirmed by DNA sequencing. The pPD-L1 trap map and the DNA sequence are available in Figure S2.
Expression and Purification of Recombinant Trap Proteins
The 293 T-cells were cultured until 70–80% confluence. To transfect the cells, 24 μg of pTrap (or pcDNA3.1 negative control) and 40 μL of lipofectamine were added to each 10 cm plate. The serum concentration was reduced after transfection. The 293 T-cells were monitored each day to ascertain their survival. Ten milliliters of supernatant was harvested after 24, 48, and 72 h and kept at 4 °C for further purification. The supernatants were concentrated with 10 kDa MWCO spin filters to 200 μL and subjected to His-Mag-Ni-Sepharose beads to purify His(6x)-tagged CXCL12 or PD-L1 trap protein. The purified proteins were analyzed on 10% SDS-PAGE gel with silver stain.
Binding Kinetics
Biolayer interferometry analyses of the interaction between recombinant PD-L1 trap and PD-L1 or PD-L2 were performed on a fortéBIO Octet RED96 system. Assays were run at 30 °C on Greiner Bio One black 96-well microplates. To measure the interaction between PD-L1 with the trimeric trap, AHC or SAX biosensors (Pall fortéBIO Corp.) were used to immobilize PD-L1 tagged with Fc or biotin. Purified trimeric PD-L1 trap was prepared in an assay buffer (1× PBS, 0.002% Tween 20, pH 7.4) and applied to a 96-well microplate in column arrangement. Various concentrations of trap (0–500 nM) were used to test the binding. To study the disruption of preformed PD-1/PD-L1 complex, PD-L1 immobilized on the SAX biosensor was first saturated with 200 nM of PD-1, followed by incubation with a mixture of 200 nM PD-1 with or without trimeric PD-L1 trap. Assays were run in triplicate, and all data were acquired and analyzed with fortéBIO Data Acquisition 6.4 software. Data processing was performed by averaging the reference biosensors, applying Savitzky-Golay filtering, and fitting binding curves.
Cell Lines
Primary tumor cell line KPC98027 derived KPC pancreatic ductal adenocarcinoma mouse model (LSL-KrasG12D/+; LSL-Trp53R172H/+; Pdx-1-Cre, on C57Bl/6 background) were provided by Dr. Serguei Kozlov (National Cancer Institute, Center for Advanced Preclinical Research) and cultivated in Dulbecco’s modified Eagle medium: nutrient mixture F-12 (DMEM/F12) supplemented with 10% fetal bovine serum (Gibco) and 1% penicillin/streptomycin at 37 °C and 5% CO2 in a humidified atmosphere. Lentivirus transfection of cell lines was performed in which KPC98027 cells were stably transfected with the vector carrying the mCherry red fluorescent protein (RFP), firefly luciferase (Luc), and the puromycin resistance gene. Stably transfected KPC98027 cells (KPC98027 RFP/Luc) were selected in the presence of puromycin.
Orthotopic Allografting KPC Model in Mice
Subconfluent KPC98207 (with or without RFP/Luc) cells were harvested and washed in phosphate buffered saline (PBS) just prior to implantation. Orthotopic allografting KPC model was established by orthotopic injection of 1 × 106 cells into the tail of the pancreas. In brief, 8 week old C57Bl/6 mice were anesthetized by IP injection of ketamine/ xylazine solution and placed in supine position. A midline incision was made to exteriorize the spleen and pancreas. Using an insulin-gage syringe, 1 × 106 cells in 40 μL were injected into the tail of the pancreas. The abdominal wall and skin were closed with 6–0 polyglycolic acid sutures. The injection site was sealed with a tissue adhesive (3M, St. Paul, MN) and sterilized with 70% alcohol to kill cancer cells that may have leaked out.
Antibodies
Primary antibodies, fluorescent conjugated primary and secondary antibodies used for immunostainings (IF) and flow cytometry (flow cytr), are listed in Table S5.
Preparation and Characterization of LPD
LPD NPs were prepared through a stepwise self-assembly process based on a well-established protocol.37 Briefly, DOTAP and cholesterol (1:1, mol/ mol) were dissolved in chloroform, and the solvent was removed. The lipid film was then hydrated with distilled water to make the final concentration of 10 mmol/L cholesterol and DOTAP. Then, the liposome was sequentially extruded through 200 and 100 nm polycarbonate membranes (Millipore, MA) to form 70–100 nm unilamellar liposomes. The LPD polyplex cores were formulated by mixing 140 μL of 36 μg protamine in 5% glucose with equal volume of 50 μg plasmid (either pcDNA 3.1 as a control plasmid, or plasmids encoding CXCL12 or PD-L1 trap) in 5% glucose. The mixture was incubated at room temperature for 10 min, and then 60 μL of cholesterol/DOTAP liposomes (10 mmol/L each) was added. Postinsertion of 15% DSPE-PEG was further performed at 60 °C for 15 min. The size and surface charge of the NPs were determined by a Malvern ZetaSizer Nano series (Westborough, MA). TEM images were acquired where NPs were negatively stained using a JEOL 100 CX II TEM (JEOL, Japan).
Biodistribution and Cellular Distribution of LPD NPs
Approximately 0.1% of hydrophobic dye DiI was incorporated into DOTAP liposomes to formulate the DiI-labeled LPD NPs. Twenty-four hours after intravenous injection of the DiI-labeled LPD NPs, mice were euthanized and major organs and tumors were collected. The distribution of LPD NPs in major organs was quantitatively visualized with an IVIS Kinetics Optical System (PerkinElmer, CA). The excitation wavelength was set at 520 nm, and the emission wavelength was set at 560 nm. Livers and tumors were further sectioned by a cryostat (H/I Hacker Instruments & Industries, Winnsboro, SC) to quantify the distribution of LPD NPs within the tissues. Accumulation and distribution of NPs before or after combo trap LPD NPs treatment in tumors were further compared and quantified (n = 4).
Transient, Local, And Intratumoral Cellular Distribution of Trap Protein
Formulations of LPD NP encapsulated pCXCL12 trap DNA and pPD-L1 trap DNA were injected (50 μg plasmid/mice) intravenously into mice bearing KPC98027 RFP/Luc allografts (daily injection, twice in total). Both pCXCL12 trap DNA and pPD-L1 trap DNA contain His-tag at the C-terminal end, which can be used as a tracker for the expression of the trap protein. At days 1, 3, and 5 after the final injection, mice were sacrificed and major organs and tumors were collected and homogenized in RIPA buffer. Total protein concentration in the lysate was determined through a bicinchoninic acid protein assay kit (BCA protein assay kit, Pierce, Rockford, IL). The transfection and expression efficiency of His-tag protein in organs and tumors of different time points were quantified using ELISA (Cell Biolabs, Inc., n = 4). CXCL12 trap protein was also directly intravenously injected into mice and compared with the plasmid counterpart in biodistribution and accumulation level at the time points monitored. Mice bearing KPC98027 RFP/Luc were also given two doses of a daily injection of LPD NP encapsulating pGFP DNA. Three days after the final injection, tumor tissues were cyro-sectioned and processed with staining of fibroblast marker αSMA, leucocyte marker CD45, and the endothelial marker CD31. Tumor cells were pretransfected with RFP. GFP protein expression in different cell populations within the tumor tissues was observed using a Nikon light microscope (Nikon Corp., Tokyo). The % of GFP-positive cells in each cell populations was quantified using ImageJ from five representative images from each type of staining. Here’s an example of the calculation:
Tumor Growth Inhibition, Metastasis Suppression, and Survival Analysis
Mice bearing KPC98027 RFP/Luc allografts were established as mentioned above. Treatments were initiated on day 13. Mice were then randomized into six groups (n = 5–7) as follows: untreated group (PBS), Ctrl LPD NP (encapsulated with pcDNA3.1 backbone), CXCL12 trap/Ctrl NPs, PD-L1 trap/Ctrl NP, Combo trap NP, and free combo trap protein. Intravenous injections were performed every 2 days for a total of 4 doses of 50 μg per plasmid/mice. Tumor growth was monitored using an IVIS Kinetics optical system (PerkinElmer, CA) every 5 days. The increases of tumor volumes were calculated as the radiance of the intensities and standardized with the initial tumor volume (Vt/V0). Long-term survival was also monitored on mice bearing the KPC98027 RFP/ Luc allografts with different treatments (n = 7, in each treatment groups). Mice were monitored for over 2 months. Kaplan–Meier curves and median survival were quantified and calculated using ImageJ. For the study of metastasis, mice bearing tumors were treated with PBS (n = 5), pCXCL12 trap NPs (n = 4), pPD-L1 trap NPs (n = 4), and combo traps (n = 5). One month after inoculation, mice were injected with 10 mg/mL luciferin and sacrificed. Major organs and tumors were then extracted and placed in solution of luciferin (5 mg/ mL) and imaged for bioluminescence. Major organs were then fixed and processed with H&E staining to observe the pathology of tumor metastasis in each organ.
ELISPOT Assay for IFN-γ Production
Restimulation of spleen cells for mice bearing KPC98027 or KPC98027 RFP/Luc allografts was performed as described previously.10,46,72,73 In brief, 13 days after tumor inoculation, spleens in healthy mice, mice bearing KPC98027, KPC98027 RFP/Luc, or KPC98027 RFP/Luc with different trap LPD treatments were harvested and separated into single cell suspensions in a sterile condition. Following the BD ELISPOT assay instructions, cells were seeded at 2 × 105 per well in a capture antibody coated 96-well plate. The single cell suspensions were then cocultured with either inactivated KPC98027, KPC98027 RFP/Luc cell lysates, or healthy mice spleen cell lysates at 37 °C for 40 h. At the due time, cells were removed by several washing steps. The production of INF-γ was measured by detection antibody addition followed by enzyme conjugate magnification. Red dots signals were developed with a BD ELISPOT substrate set and calculated manually.
Quantitative Real-Time PCR (qPCR) Assay
Total RNA was extracted from the tumor tissues using an RNeasy kit (Qiagen, Valencia, CA). cDNA was reverse-transcribed using the first-strand synthesis system for RT-PCR (Invitrogen, Grand Island, NY). One hundred nanograms of cDNA was amplified with the Taqman Universal Probes Supermix system (Biorad, Hercules, CA). All the mouse-specific primers for RT-PCR reactions are listed in Table S6 (Life Technologies, Grand Island, NY). GAPDH was used as the endogenous control. Reactions were conducted using the 7500 real-time PCR system, and the data were analyzed with the 7500 software.
Flow Cytometry Assay
Tumor-infiltrating immune lymphocytes were analyzed by flow cytometry. In brief, tissues were harvested and digested with collagenase A and DNAase at 37 °C for 40–50 min. After red blood cell lysis, cells were dispersed with 1 mL of PBS. For intracellular cytokine staining, the cells from the tissues were penetrated with penetration buffer (BD) following the manufacturer’s instructions. Different immune lymphocytes (5 × 106/mL) were stained with the fluorescein-conjugated antibodies mentioned in the previous section.
Immunofluorescence Staining
After the deparaffinizing step, antigen retrieval, and permeabilization, tissue sections were blocked in 1% bovine serum albumin at room temperature for 1 h. Primary antibodies conjugated with fluorophores (BD, Franklin Lakes, NJ) were incubated overnight at 4 °C, and nuclei were counterstained with DAPI containing mounting medium (Vector Laboratories Inc., Burlingame, CA). All antibodies were diluted according to the manufacturer’s manual. Images were taken using fluorescence microscopy (Nikon, Tokyo, Japan). Three randomly selected microscopic fields were quantitatively analyzed using ImageJ software.
TUNEL Assay
TUNEL assays were carried out using a DeadEnd Fluorometric TUNEL system (Promega, Madison, WI) per the manufacturer’s instructions. Cell nuclei that were fluorescently stained with FITC (green) were defined as TUNEL-positive nuclei. Slides were coverslipped with 4,6-diaminidino-2-phenylindole (DAPI) Vectashield (Vector Laboratories, Burlingame, CA). TUNEL-positive nuclei were monitored using fluorescence microscopy (Nikon, Tokyo, Japan). Five randomly selected microscopic fields were quantitatively analyzed using ImageJ.
H&E Morphology Evaluation and Blood Chemistry Analysis
Four days after the final treatment of the tumor inhibition study, tumor-bearing mice with different treatments were all subjected to a toxicity assay. Both whole blood and serum were collected. Whole blood cellular components were counted and compared. Creatinine, blood urea nitrogen (BUN), serum aspartate aminotransferase (AST), and alanine aminotransferase (ALT) in the serum were assayed as indicators of renal and liver function. Organs including the heart, liver, spleen, lungs, and kidneys were collected and fixed for H&E staining by the UNC histology facility to evaluate the organ-specific toxicity.
Statistical Analysis
A two-tailed Student’s t test or a one-way analysis of variance (ANOVA) was performed when comparing two groups or larger than two groups, respectively. Statistical analysis was performed using Prism 5.0 software. Differences were considered to be statistically significant if the p value was less than 0.05.
Supplementary Material
Acknowledgments
The work was supported by NIH Grants CA149387, CA198999, CA151652, and DK100664 (to L.H.) and CA157738 and CA151652 (to R.L.). It was also supported by a grant from Eshelman Institute for Innovation (to L.H. and R.L.). We appreciate Dr. Serguei Kozlov from NCI/NIH for providing the allograft primary PDAC cell line 98027 and also for providing the histology staining images for KPC tumors from a genetically engineered mouse model.
Footnotes
Author Contributions
L.M., R.L., and L.H. designed the project and wrote the paper; J.L., R.F., and O.D. designed the trap vectors, generated trap proteins, and performed the protein purification and binding affinity studies; L.M. and Q.L. prepared the nanoparticles and performed the survival surgery experiments; L.M., T.J.G., C.M.L., and M.D. performed other in vitro experiments and analyzed the data. All authors discussed the results and commented on the manuscript.
Notes
The authors declare no competing financial interest.
The Supporting Information is available free of charge on the ACS Publications website at DOI: 10.1021/acsnano.7b01786.
Toxicity analysis of nanoparticles in healthy and tumor-bearing mice, binding affinity and competition assays of monomeric and trimeric PD-L1 trap proteins, histology of PDAC tumors, IFN-ELISPOT assay, CD4+ T-cell depletion assay, Masson trichome collagen staining, and other related experimental data (PDF)
References
- 1.Winograd R, Byrne KT, Evans RA, Odorizzi PM, Meyer AR, Bajor DL, Clendenin C, Stanger BZ, Furth EE, Wherry EJ, Vonderheide RH. Induction of T-Cell Immunity Overcomes Complete Resistance to Pd-1 and Ctla-4 Blockade and Improves Survival in Pancreatic Carcinoma. Cancer Immunol Res. 2015;3:399–411. doi: 10.1158/2326-6066.CIR-14-0215. [DOI] [PMC free article] [PubMed] [Google Scholar]
- 2.Rishi A, Goggins M, Wood LD, Hruban RH. Pathological and Molecular Evaluation of Pancreatic Neoplasms. Semin Oncol. 2015;42:28–39. doi: 10.1053/j.seminoncol.2014.12.004. [DOI] [PMC free article] [PubMed] [Google Scholar]
- 3.Neesse A, Algul H, Tuveson DA, Gress TM. Stromal Biology and Therapy in Pancreatic Cancer: A Changing Paradigm. Gut. 2015;64:1476–1484. doi: 10.1136/gutjnl-2015-309304. [DOI] [PubMed] [Google Scholar]
- 4.Zhang Y, Velez-Delgado A, Mathew E, Li D, Mendez FM, Flannagan K, Rhim AD, Simeone DM, Beatty GL, Pasca di Magliano M. Myeloid Cells Are Required for Pd-1/Pd-L1 Checkpoint Activation and the Establishment of an Immunosuppressive Environment in Pancreatic Cancer. Gut. 2017;66:124–136. doi: 10.1136/gutjnl-2016-312078. [DOI] [PMC free article] [PubMed] [Google Scholar]
- 5.Conroy T, Desseigne F, Ychou M, Bouche O, Guimbaud R, Becouarn Y, Adenis A, Raoul JL, Gourgou-Bourgade S, de la Fouchardiere C, Bennouna J, Bachet JB, Khemissa-Akouz F, Pere-Verge D, Delbaldo C, Assenat E, Chauffert B, Michel P, Montoto-Grillot C, Ducreux M. Groupe Tumeurs Digestives of, U., Intergroup, P. Folfirinox Versus Gemcitabine for Metastatic Pancreatic Cancer. N Engl J Med. 2011;364:1817–1825. doi: 10.1056/NEJMoa1011923. [DOI] [PubMed] [Google Scholar]
- 6.Von Hoff DD, Ervin T, Arena FP, Chiorean EG, Infante J, Moore M, Seay T, Tjulandin SA, Ma WW, Saleh MN, Harris M, Reni M, Dowden S, Laheru D, Bahary N, Ramanathan RK, Tabernero J, Hidalgo M, Goldstein D, Van Cutsem E, Wei X, Iglesias J, Renschler MF. Increased Survival in Pancreatic Cancer with Nab-Paclitaxel Plus Gemcitabine. N Engl J Med. 2013;369:1691–1703. doi: 10.1056/NEJMoa1304369. [DOI] [PMC free article] [PubMed] [Google Scholar]
- 7.Wang Z, Li Y, Ahmad A, Banerjee S, Azmi AS, Kong D, Sarkar FH. Pancreatic Cancer: Understanding and Overcoming Chemoresistance. Nat Rev Gastroenterol Hepatol. 2011;8:27–33. doi: 10.1038/nrgastro.2010.188. [DOI] [PubMed] [Google Scholar]
- 8.Jacobetz MA, Chan DS, Neesse A, Bapiro TE, Cook N, Frese KK, Feig C, Nakagawa T, Caldwell ME, Zecchini HI, Lolkema MP, Jiang P, Kultti A, Thompson CB, Maneval DC, Jodrell DI, Frost GI, Shepard HM, Skepper JN, Tuveson DA. Hyaluronan Impairs Vascular Function and Drug Delivery in a Mouse Model of Pancreatic Cancer. Gut. 2013;62:112–120. doi: 10.1136/gutjnl-2012-302529. [DOI] [PMC free article] [PubMed] [Google Scholar]
- 9.Morse MA, Hall JR, Plate JM. Countering Tumor-Induced Immunosuppression During Immunotherapy for Pancreatic Cancer. Expert Opin Biol Ther. 2009;9:331–339. doi: 10.1517/14712590802715756. [DOI] [PubMed] [Google Scholar]
- 10.Feig C, Jones JO, Kraman M, Wells RJ, Deonarine A, Chan DS, Connell CM, Roberts EW, Zhao Q, Caballero OL, Teichmann SA, Janowitz T, Jodrell DI, Tuveson DA, Fearon DT. Targeting Cxcl12 from Fap-Expressing Carcinoma- Associated Fibroblasts Synergizes with Anti-Pd-L1 Immunotherapy in Pancreatic Cancer. Proc Natl Acad Sci U S A. 2013;110:20212–20217. doi: 10.1073/pnas.1320318110. [DOI] [PMC free article] [PubMed] [Google Scholar]
- 11.Keir ME, Liang SC, Guleria I, Latchman YE, Qipo A, Albacker LA, Koulmanda M, Freeman GJ, Sayegh MH, Sharpe AH. Tissue Expression of Pd-L1Mediates Peripheral T Cell Tolerance. J Exp Med. 2006;203:883–895. doi: 10.1084/jem.20051776. [DOI] [PMC free article] [PubMed] [Google Scholar]
- 12.Kraman M, Bambrough PJ, Arnold JN, Roberts EW, Magiera L, Jones JO, Gopinathan A, Tuveson DA, Fearon DT. Suppression of Antitumor Immunity by Stromal Cells Expressing Fibroblast Activation Protein-Alpha. Science. 2010;330:827–830. doi: 10.1126/science.1195300. [DOI] [PubMed] [Google Scholar]
- 13.Powles T, Eder JP, Fine GD, Braiteh FS, Loriot Y, Cruz C, Bellmunt J, Burris HA, Petrylak DP, Teng SL, Shen X, Boyd Z, Hegde PS, Chen DS, Vogelzang NJ. Mpdl3280a (Anti-Pd-L1) Treatment Leads to Clinical Activity in Metastatic Bladder Cancer. Nature. 2014;515:558–562. doi: 10.1038/nature13904. [DOI] [PubMed] [Google Scholar]
- 14.Herbst RS, Soria JC, Kowanetz M, Fine GD, Hamid O, Gordon MS, Sosman JA, McDermott DF, Powderly JD, Gettinger SN, Kohrt HE, Horn L, Lawrence DP, Rost S, Leabman M, Xiao Y, Mokatrin A, Koeppen H, Hegde PS, Mellman I, Chen DS, Hodi FS. Predictive Correlates of Response to the Anti-Pd-L1 Antibody Mpdl3280a in Cancer Patients. Nature. 2014;515:563–567. doi: 10.1038/nature14011. [DOI] [PMC free article] [PubMed] [Google Scholar]
- 15.Michot JM, Bigenwald C, Champiat S, Collins M, Carbonnel F, Postel-Vinay S, Berdelou A, Varga A, Bahleda R, Hollebecque A, Massard C, Fuerea A, Ribrag V, Gazzah A, Armand JP, Amellal N, Angevin E, Noel N, Boutros C, Mateus C, Robert C, Soria JC, Marabelle A, Lambotte O. Immune-Related Adverse Events with Immune Checkpoint Blockade: A Comprehensive Review. Eur J Cancer. 2016;54:139–148. doi: 10.1016/j.ejca.2015.11.016. [DOI] [PubMed] [Google Scholar]
- 16.Le DT, Jaffee EM. Harnessing Immune Responses in the Tumor Microenvironment: All Signals Needed. Clin Cancer Res. 2013;19:6061–6063. doi: 10.1158/1078-0432.CCR-13-2424. [DOI] [PMC free article] [PubMed] [Google Scholar]
- 17.Niccolai E, Prisco D, D’Elios MM, Amedei A. What Is Recent in Pancreatic Cancer Immunotherapy? BioMed Res Int. 2013:492372. doi: 10.1155/2013/492372. [DOI] [PMC free article] [PubMed] [Google Scholar]
- 18.Seton-Rogers S. Dodging Immunosuppression. Nat Rev Cancer. 2016;16:480–481. doi: 10.1038/nrc.2016.80. [DOI] [PubMed] [Google Scholar]
- 19.Guo F, Wang Y, Liu J, Mok SC, Xue F, Zhang W. Cxcl12/Cxcr4: A Symbiotic Bridge Linking Cancer Cells and Their Stromal Neighbors in Oncogenic Communication Networks. Oncogene. 2016;35:816–826. doi: 10.1038/onc.2015.139. [DOI] [PubMed] [Google Scholar]
- 20.Zhong C, Wang J, Li B, Xiang H, Ultsch M, Coons M, Wong T, Chiang NY, Clark S, Clark R, Quintana L, Gribling P, Suto E, Barck K, Corpuz R, Yao J, Takkar R, Lee WP, Damico-Beyer LA, Carano RD, Adams C, Kelley RF, Wang W, Ferrara N. Development and Preclinical Characterization of a Humanized Antibody Targeting Cxcl12. Clin Cancer Res. 2013;19:4433–4445. doi: 10.1158/1078-0432.CCR-13-0943. [DOI] [PubMed] [Google Scholar]
- 21.Miao L, Newby JM, Lin CM, Zhang L, Xu F, Kim WY, Forest MG, Lai SK, Milowsky MI, Wobker SE, Huang L. The Binding Site Barrier Elicited by Tumor-Associated Fibroblasts Interferes Disposition of Nanoparticles in Stroma-Vessel Type Tumors. ACS Nano. 2016;10:9243. doi: 10.1021/acsnano.6b02776. [DOI] [PMC free article] [PubMed] [Google Scholar]
- 22.Jain RK. Transport of Molecules in the Tumor Interstitium: A Review. Cancer Res. 1987;47:3039–3051. [PubMed] [Google Scholar]
- 23.Dreher MR, Liu W, Michelich CR, Dewhirst MW, Yuan F, Chilkoti A. Tumor Vascular Permeability, Accumulation, and Penetration of Macromolecular Drug Carriers. J Natl Cancer Inst. 2006;98:335–344. doi: 10.1093/jnci/djj070. [DOI] [PubMed] [Google Scholar]
- 24.Erickson HP. Size and Shape of Protein Molecules at the Nanometer Level Determined by Sedimentation, Gel Filtration, and Electron Microscopy. Biol Proced Online. 2009;11:32–51. doi: 10.1007/s12575-009-9008-x. [DOI] [PMC free article] [PubMed] [Google Scholar]
- 25.Tan S, Zhang CWH, Gao GF. Seeing Is Believing: Anti-Pd-1/Pd-L1Monoclonal Antibodies in Action for Checkpoint Blockade Tumor Immunotherapy. Signal Transduction and Targeted Therapy. 2016;1:16029. doi: 10.1038/sigtrans.2016.29. [DOI] [PMC free article] [PubMed] [Google Scholar]
- 26.Miao L, Liu Q, Lin CM, Luo C, Wang Y, Liu L, Yin W, Hu S, Kim WY, Huang L. Targeting Tumor-Associated Fibroblasts for Therapeutic Delivery in Desmoplastic Tumors. Cancer Res. 2017;77:719. doi: 10.1158/0008-5472.CAN-16-0866. [DOI] [PMC free article] [PubMed] [Google Scholar]
- 27.Miao L, Guo S, Zhang J, Kim WY, Huang L. Nanoparticles with Precise Ratiometric Co-Loading and Co-Delivery of Gemcitabine Monophosphate and Cisplatin for Treatment of Bladder Cancer. Adv Funct Mater. 2014;24:6601–6611. doi: 10.1002/adfm.201401076. [DOI] [PMC free article] [PubMed] [Google Scholar]
- 28.Zhang Y, Kim WY, Huang L. Systemic Delivery of Gemcitabine Triphosphate Via Lcp Nanoparticles for Nsclc and Pancreatic Cancer Therapy. Biomaterials. 2013;34:3447–3458. doi: 10.1016/j.biomaterials.2013.01.063. [DOI] [PMC free article] [PubMed] [Google Scholar]
- 29.Goodwin TJ, Zhou Y, Musetti SN, Liu R, Huang L. Local and Transient Gene Expression Primes the Liver to Resist Cancer Metastasis. Sci Transl Med. 2016;8:364ra153. doi: 10.1126/scitranslmed.aag2306. [DOI] [PMC free article] [PubMed] [Google Scholar]
- 30.Olive KP, Jacobetz MA, Davidson CJ, Gopinathan A, McIntyre D, Honess D, Madhu B, Goldgraben MA, Caldwell ME, Allard D, Frese KK, Denicola G, Feig C, Combs C, Winter SP, Ireland-Zecchini H, Reichelt S, Howat WJ, Chang A, Dhara M, Wang L, Ruckert F, Grutzmann R, Pilarsky C, Izeradjene K, Hingorani SR, Huang P, Davies SE, Plunkett W, Egorin M, Hruban RH, Whitebread N, McGovern K, Adams J, Iacobuzio-Donahue C, Griffiths J, Tuveson DA. Inhibition of Hedgehog Signaling Enhances Delivery of Chemotherapy in a Mouse Model of Pancreatic Cancer. Science. 2009;324:1457–1461. doi: 10.1126/science.1171362. [DOI] [PMC free article] [PubMed] [Google Scholar]
- 31.Miao L, Wang Y, Lin CM, Xiong Y, Chen N, Zhang L, Kim WY, Huang L. Nanoparticle Modulation of the Tumor Microenvironment Enhances Therapeutic Efficacy of Cisplatin. J Controlled Release. 2015;217:27–41. doi: 10.1016/j.jconrel.2015.08.027. [DOI] [PMC free article] [PubMed] [Google Scholar]
- 32.Cheng X, Veverka V, Radhakrishnan A, Waters LC, Muskett FW, Morgan SH, Huo J, Yu C, Evans EJ, Leslie AJ, Griffiths M, Stubberfield C, Griffin R, Henry AJ, Jansson A, Ladbury JE, Ikemizu S, Carr MD, Davis SJ. Structure and Interactions of the Human Programmed Cell Death 1 Receptor. J Biol Chem. 2013;288:11771–11785. doi: 10.1074/jbc.M112.448126. [DOI] [PMC free article] [PubMed] [Google Scholar]
- 33.Dames SA, Kammerer RA, Wiltscheck R, Engel J, Alexandrescu AT. Nmr Structure of a Parallel Homotrimeric Coiled Coil. Nat Struct Mol Biol. 1998;5:687–691. doi: 10.1038/90444. [DOI] [PubMed] [Google Scholar]
- 34.Kim D, Kim SK, Valencia CA, Liu R. Tribody: Robust Self-Assembled Trimeric Targeting Ligands with High Stability and Significantly Improved Target-Binding Strength. Biochemistry. 2013;52:7283–7294. doi: 10.1021/bi400716w. [DOI] [PMC free article] [PubMed] [Google Scholar]
- 35.Zhang X, Schwartz JC, Guo X, Bhatia S, Cao E, Chen L, Zhang ZY, Edidin MA, Nathenson SG, Almo SC. Structural and Functional Analysis of the Costimulatory Receptor Programmed Death-1. Immunity. 2004;20:337–347. doi: 10.1016/s1074-7613(04)00051-2. [DOI] [PubMed] [Google Scholar]
- 36.Lazar-Molnar E, Yan Q, Cao E, Ramagopal U, Nathenson SG, Almo SC. Crystal Structure of the Complex between Programmed Death-1 (Pd-1) and Its Ligand Pd-L2. Proc Natl Acad Sci U S A. 2008;105:10483–10488. doi: 10.1073/pnas.0804453105. [DOI] [PMC free article] [PubMed] [Google Scholar]
- 37.Wang Y, Xu Z, Guo S, Zhang L, Sharma A, Robertson GP, Huang L. Intravenous Delivery of Sirna Targeting Cd47 Effectively Inhibits Melanoma Tumor Growth and Lung Metastasis. Mol Ther. 2013;21:1919–1929. doi: 10.1038/mt.2013.135. [DOI] [PMC free article] [PubMed] [Google Scholar]
- 38.Kauffman KJ, Dorkin JR, Yang JH, Heartlein MW, DeRosa F, Mir FF, Fenton OS, Anderson DG. Optimization of Lipid Nanoparticle Formulations for Mrna Delivery in Vivo with Fractional Factorial and Definitive Screening Designs. Nano Lett. 2015;15:7300–7306. doi: 10.1021/acs.nanolett.5b02497. [DOI] [PubMed] [Google Scholar]
- 39.Torchilin V. Tumor Delivery of Macromolecular Drugs Based on the Epr Effect. Adv Drug Delivery Rev. 2011;63:131–135. doi: 10.1016/j.addr.2010.03.011. [DOI] [PubMed] [Google Scholar]
- 40.Costa-Silva B, Aiello NM, Ocean AJ, Singh S, Zhang H, Thakur BK, Becker A, Hoshino A, Mark MT, Molina H, Xiang J, Zhang T, Theilen TM, Garcia-Santos G, Williams C, Ararso Y, Huang Y, Rodrigues G, Shen TL, Labori KJ, Lothe IM, Kure EH, Hernandez J, Doussot A, Ebbesen SH, Grandgenett PM, Hollingsworth MA, Jain M, Mallya K, Batra SK, Jarnagin WR, Schwartz RE, Matei I, Peinado H, Stanger BZ, Bromberg J, Lyden D. Pancreatic Cancer Exosomes Initiate Pre-Metastatic Niche Formation in the Liver. Nat Cell Biol. 2015;17:816–826. doi: 10.1038/ncb3169. [DOI] [PMC free article] [PubMed] [Google Scholar]
- 41.Yamashita K, Miyamoto A, Hama N, Asaoka T, Maeda S, Omiya H, Takami K, Doki Y, Mori M, Nakamori S. Survival Impact of Pulmonary Metastasis as Recurrence of Pancreatic Ductal Adenocarcinoma. Dig Surg. 2015;32:464–471. doi: 10.1159/000439545. [DOI] [PubMed] [Google Scholar]
- 42.Malkoc E, Aktas Z, Kara K, Haholu A. Renal Metastasis from Pancreatic Adenocarcinoma: A Rare Case Along with Literature Review. Turk J Urol. 2015;41:93–95. doi: 10.5152/tud.2015.54280. [DOI] [PMC free article] [PubMed] [Google Scholar]
- 43.Pan PY, Ozao J, Zhou Z, Chen SH. Advancements in Immune Tolerance. Adv Drug Delivery Rev. 2008;60:91–105. doi: 10.1016/j.addr.2007.08.025. [DOI] [PMC free article] [PubMed] [Google Scholar]
- 44.Franceschini D, Paroli M, Francavilla V, Videtta M, Morrone S, Labbadia G, Cerino A, Mondelli MU, Barnaba V. Pd-L1 Negatively Regulates Cd4+Cd25+Foxp3+ Tregs by Limiting Stat-5 Phosphorylation in Patients Chronically Infected with Hcv. J Clin Invest. 2009;119:551–564. doi: 10.1172/JCI36604. [DOI] [PMC free article] [PubMed] [Google Scholar]
- 45.Muthuswamy R, Corman JM, Dahl K, Chatta GS, Kalinski P. Functional Reprogramming of Human Prostate Cancer to Promote Local Attraction of Effector Cd8(+) T Cells. Prostate. 2016;76:1095–1105. doi: 10.1002/pros.23194. [DOI] [PubMed] [Google Scholar]
- 46.Lu Y, Wang Y, Miao L, Haynes M, Xiang G, Huang L. Exploiting in Situ Antigen Generation and Immune Modulation to Enhance Chemotherapy Response in Advanced Melanoma: A Combination Nanomedicine Approach. Cancer Lett. 2016;379:32–38. doi: 10.1016/j.canlet.2016.05.025. [DOI] [PubMed] [Google Scholar]
- 47.Vasievich EA, Ramishetti S, Zhang Y, Huang L. Trp2 Peptide Vaccine Adjuvanted with (R)-Dotap Inhibits Tumor Growth in an Advanced Melanoma Model. Mol Pharmaceutics. 2012;9:261–268. doi: 10.1021/mp200350n. [DOI] [PMC free article] [PubMed] [Google Scholar]
- 48.Molavi O, Ma Z, Hamdy S, Lai R, Lavasanifar A, Samuel J. Synergistic Antitumor Effects of Cpg Oligodeoxynucleotide and Stat3 Inhibitory Agent Jsi-124 in a Mouse Melanoma Tumor Model. Immunol Cell Biol. 2008;86:506–514. doi: 10.1038/icb.2008.27. [DOI] [PubMed] [Google Scholar]
- 49.Yu H, Pardoll D, Jove R. Stats in Cancer Inflammation and Immunity: A Leading Role for Stat3. Nat Rev Cancer. 2009;9:798–809. doi: 10.1038/nrc2734. [DOI] [PMC free article] [PubMed] [Google Scholar]
- 50.Mantovani A, Sica A, Locati M. Macrophage Polarization Comes of Age. Immunity. 2005;23:344–346. doi: 10.1016/j.immuni.2005.10.001. [DOI] [PubMed] [Google Scholar]
- 51.Schwartz Y, Svistelnik AV. Functional Phenotypes of Macrophages and the M1-M2 Polarization Concept. Part I. Proinflammatory Phenotype. Biochemistry. 2012;77:246–260. doi: 10.1134/S0006297912030030. [DOI] [PubMed] [Google Scholar]
- 52.Davis MJ, Tsang TM, Qiu Y, Dayrit JK, Freij JB, Huffnagle GB, Olszewski MA. Macrophage M1/M2 Polarization Dynamically Adapts to Changes in Cytokine Microenvironments in Cryptococcus Neoformans Infection. mBio. 2013;4:e00264–13. doi: 10.1128/mBio.00264-13. [DOI] [PMC free article] [PubMed] [Google Scholar]
- 53.Whiteside TL. The Tumor Microenvironment and Its Role in Promoting Tumor Growth. Oncogene. 2008;27:5904–5912. doi: 10.1038/onc.2008.271. [DOI] [PMC free article] [PubMed] [Google Scholar]
- 54.Chang YF, Chuang HY, Hsu CH, Liu RS, Gambhir SS, Hwang JJ. Immunomodulation of Curcumin on Adoptive Therapy with T Cell Functional Imaging in Mice. Cancer Prev Res. 2012;5:444–452. doi: 10.1158/1940-6207.CAPR-11-0308. [DOI] [PubMed] [Google Scholar]
- 55.Kamran MZ, Patil P, Gude RP. Role of Stat3 in Cancer Metastasis and Translational Advances. BioMed Res Int. 2013;2013:421821. doi: 10.1155/2013/421821. [DOI] [PMC free article] [PubMed] [Google Scholar]
- 56.Fan Y, Mao R, Yang J. Nf-Kappab and Stat3 Signaling Pathways Collaboratively Link Inflammation to Cancer. Protein Cell. 2013;4:176–185. doi: 10.1007/s13238-013-2084-3. [DOI] [PMC free article] [PubMed] [Google Scholar]
- 57.Wilken R, Veena MS, Wang MB, Srivatsan ES. Curcumin: A Review of Anti-Cancer Properties and Therapeutic Activity in Head and Neck Squamous Cell Carcinoma. Mol Cancer. 2011;10:12. doi: 10.1186/1476-4598-10-12. [DOI] [PMC free article] [PubMed] [Google Scholar]
- 58.Kojima Y, Acar A, Eaton EN, Mellody KT, Scheel C, Ben-Porath I, Onder TT, Wang ZC, Richardson AL, Weinberg RA, Orimo A, et al. Autocrine Tgf-Beta and Stromal Cell-Derived Factor-1 (Sdf-1) Signaling Drives the Evolution of Tumor-Promoting Mammary Stromal Myofibroblasts. Proc Natl Acad Sci U S A. 2010;107:20009–20014. doi: 10.1073/pnas.1013805107. [DOI] [PMC free article] [PubMed] [Google Scholar]
- 59.Erboga M, Kanter M, Aktas C, Sener U, Fidanol Erboga Z, Bozdemir Donmez Y, Gurel A. Thymoquinone Ameliorates Cadmium-Induced Nephrotoxicity, Apoptosis, and Oxidative Stress in Rats Is Based on Its Anti-Apoptotic and Anti-Oxidant Properties. Biol Trace Elem Res. 2016;170:165–172. doi: 10.1007/s12011-015-0453-x. [DOI] [PubMed] [Google Scholar]
- 60.Rozali EN, Hato SV, Robinson BW, Lake RA, Lesterhuis WJ. Programmed Death Ligand 2 in Cancer-Induced Immune Suppression. Clin Dev Immunol. 2012;2012:656340. doi: 10.1155/2012/656340. [DOI] [PMC free article] [PubMed] [Google Scholar]
- 61.Shin SP, Seo HH, Shin JH, Park HB, Lim DP, Eom HS, Bae YS, Kim IH, Choi K, Lee SJ. Adenovirus Expressing Both Thymidine Kinase and Soluble Pd1 Enhances Antitumor Immunity by Strengthening Cd8 T-Cell Response. Mol Ther. 2013;21:688–695. doi: 10.1038/mt.2012.252. [DOI] [PMC free article] [PubMed] [Google Scholar]
- 62.Xiao H, Huang B, Yuan Y, Li D, Han LF, Liu Y, Gong W, Wu FH, Zhang GM, Feng ZH. Soluble Pd-1 Facilitates 4–1bbl-Triggered Antitumor Immunity against Murine H22 Hepatocarcinoma in Vivo. Clin Cancer Res. 2007;13:1823–1830. doi: 10.1158/1078-0432.CCR-06-2154. [DOI] [PubMed] [Google Scholar]
- 63.Laheru D, Jaffee EM. Immunotherapy for Pancreatic Cancer - Science Driving Clinical Progress. Nat Rev Cancer. 2005;5:459–467. doi: 10.1038/nrc1630. [DOI] [PubMed] [Google Scholar]
- 64.Tang D, Kang R, Cheh CW, Livesey KM, Liang X, Schapiro NE, Benschop R, Sparvero LJ, Amoscato AA, Tracey KJ, Zeh HJ, Lotze MT. Hmgb1 Release and Redox Regulates Autophagy and Apoptosis in Cancer Cells. Oncogene. 2010;29:5299–5310. doi: 10.1038/onc.2010.261. [DOI] [PMC free article] [PubMed] [Google Scholar]
- 65.Yamada K, Maishi N, Akiyama K, Towfik Alam M, Ohga N, Kawamoto T, Shindoh M, Takahashi N, Kamiyama T, Hida Y, Taketomi A, Hida K. Cxcl12-Cxcr7 Axis Is Important for Tumor Endothelial Cell Angiogenic Property. Int J Cancer. 2015;137:2825–2836. doi: 10.1002/ijc.29655. [DOI] [PubMed] [Google Scholar]
- 66.Doring Y, Pawig L, Weber C, Noels H. The Cxcl12/Cxcr4 Chemokine Ligand/Receptor Axis in Cardiovascular Disease. Front Physiol. 2014;5:212. doi: 10.3389/fphys.2014.00212. [DOI] [PMC free article] [PubMed] [Google Scholar]
- 67.Griesmann H, Drexel C, Milosevic N, Sipos B, Rosendahl J, Gress TM, Michl P. Pharmacological Macrophage Inhibition Decreases Metastasis Formation in a Genetic Model of Pancreatic Cancer. Gut. 2017;66:1278–1285. doi: 10.1136/gutjnl-2015-310049. [DOI] [PubMed] [Google Scholar]
- 68.Chanmee T, Ontong P, Konno K, Itano N. Tumor-Associated Macrophages as Major Players in the Tumor Microenvironment. Cancers. 2014;6:1670–1690. doi: 10.3390/cancers6031670. [DOI] [PMC free article] [PubMed] [Google Scholar]
- 69.Yu P, Lee Y, Liu W, Krausz T, Chong A, Schreiber H, Fu YX. Intratumor Depletion of Cd4+ Cells Unmasks Tumor Immunogenicity Leading to the Rejection of Late-Stage Tumors. J Exp Med. 2005;201:779–791. doi: 10.1084/jem.20041684. [DOI] [PMC free article] [PubMed] [Google Scholar]
- 70.Ziegler ME, Hatch MM, Wu N, Muawad SA, Hughes CC. Mtorc2Mediates Cxcl12-Induced Angiogenesis. Angiogenesis. 2016;19:359–371. doi: 10.1007/s10456-016-9509-6. [DOI] [PMC free article] [PubMed] [Google Scholar]
- 71.Howell M, Lee R, Bowyer S, Fusi A, Lorigan P. Optimal Management of Immune-Related Toxicities Associated with Checkpoint Inhibitors in Lung Cancer. Lung Cancer. 2015;88:117–123. doi: 10.1016/j.lungcan.2015.02.007. [DOI] [PubMed] [Google Scholar]
- 72.Xu Z, Wang Y, Zhang L, Huang L. Nanoparticle-Delivered Transforming Growth Factor-Beta Sirna Enhances Vaccination against Advanced Melanoma by Modifying Tumor Microenvironment. ACS Nano. 2014;8:3636–3645. doi: 10.1021/nn500216y. [DOI] [PMC free article] [PubMed] [Google Scholar]
- 73.Cole GA. Interferon-Gamma Elispot Assay for the Quantitative Measurement of Antigen-Specific Murine Cd8+ T-Cells. Methods Mol Biol (N Y) 2005;302:191–204. doi: 10.1385/1-59259-903-6:191. [DOI] [PubMed] [Google Scholar]
Associated Data
This section collects any data citations, data availability statements, or supplementary materials included in this article.










