Abstract
The Quichua porcupine (Coendou quichua) is a neotropical rodent with uncertain taxonomic and conservation status. Two Quichua porcupines with severe hyperkeratosis and alopecia were found in the Magdalena River Basin of Colombia. Sarcoptes scabiei, the mite causing mange, a disease carried mainly by domestic animals, was confirmed via parasitological and molecular methods. This is the first report of mange in neotropical porcupines to date. The population-level impact of mange in Coendou spp., related mammals and predators in Colombia might represent a threat and needs further investigation.
Keywords: Alopecia, Andes, Colombia, Rodentia, Sarcoptes scabiei, PCR
Graphical abstract

Highlights
-
•
Pathological characterisation of sarcoptic mange in cryptic Coendou quichua is carried out.
-
•
The impact of sarcoptic mange on Coendou quichua is currently unknown.
-
•
New data on Sarcoptes hosts carries significance for the economy and conservation.
-
•
Sarcoptic mange is of low priority in Colombia, affecting the understanding of the disease.
Mites from the genus Sarcoptes (species scabiei) cause sarcoptic mange, a highly-contagious disease detected in various hosts ranging from humans, to domestic animals and wildlife (Bornstein et al., 2001). Mange can cause negative economic impacts (Bornstein et al., 2001), particularly in countries lacking effective surveillance systems leading to underreporting of animal cases (Cediel et al., 2013). Sarcoptes scabiei appears to be one highly diverse species according to microsatellite analyses (Arlian and Morgan, 2017). Consequently, it is thought that cases of wildlife mange are the result of an infection by a single highly variable species displaying physiological specificity across many hosts (Pence et al., 1975). The main morphologic features of S. scabiei include tooth-like denticles and club-like setae on the mid-dorsal and posterior idiosoma, respectively (Pence and Ueckermann, 2002). Currently, molecular markers can be used to detect and genetically evaluate the presence of S. scabiei in domestic animals, wildlife and humans (Alasaad et al., 2014; Angelone-Alasaad et al., 2015). Clinical manifestations are dictated by the type and magnitude of innate, humoral and cellular responses to mite proteins (Arlian and Morgan, 2017). Two main forms of the disease are recognized depending on the host response, ordinary (protective) and severe crusted mange (pathological). Pathogen 'spillover' to naive hosts can induce marked pathological host responses manifesting in the severe crusted mange form.
Mange is rated as a low priority, emerging zoonosis in Colombia (Rentería, 2008). Because of this, compilation of data regarding prevalence of sarcoptic mange or any other mite infection in the country in human and domestic animals is challenging. Domestic animal cases are not required to be reported to veterinary authorities, leading to scant availability of official animal health data. Only a few wildlife cases are publicly available, the most recent on a cervid (Mazama sp.; ICA., 2012). However, parasitological surveys in Colombia have produced a plethora of mite species records, compiled in a recent systematic literature review (Gonzalez-Astudillo et al., 2016), but primarily restricted to other vertebrate species. From the 11 mammalian taxonomic orders analysed in the report (data not shown), 31 mite species were documented in chiropterans - the most extensively sampled order, and one in primates. In contrast, rodents - the second most extensively sampled order, reported no mite records.
Coendou quichua is a medium-sized porcupine, distributed in western Colombia, Panama and Ecuador, from sea level to 3300 m (Voss, 2015, Ramírez-Chaves et al., 2016). C. quichua is classified as Data Deficient according to the International Union for the Conservation of Nature (Delgado, 2016). Although little is known about its natural history in Colombia, C. quichua is mostly arboreal but may use natural burrows, is solitary and nocturnal, with a diet mainly of leaves and fruits (Voss, 2015).
A mature male Quichua porcupine was live-trapped in 09/2014 in San Vicente de Chucurí, Eastern Cordillera range (N 6°47′33.27″, W 73°28′48.23″, 1250m), an area with mixed crops and forest patches. The porcupine was humanely euthanized in the field due to an extremely poor prognosis. The second case involved a mature female trapped in the city of Bucaramanga (N 7°08′, W 73°00′, 959 m) which died under veterinary care and was submitted to the local School of Biology on 06/2016.
In both specimens, gross lesions corresponded to hyperkeratosis, and extended ventrally from the cervical region and caudally towards the proximal portion of the tail and above the tarsal and carpal regions; the skin presented regionally extensive alopecia with broken quills. The alopecic area appeared thickened, wrinkled, and with multifocal white to straw-coloured encrustations. The skin covering articulated regions presented cracks exposing the dermis (Fig. 1a–b). Skin sections and scrapings were submitted to the Universidad Nacional de Colombia (Bogotá) and to Universidad del Valle (Cali) for histopathological assessment and parasitological identification. In the first porcupine, severe changes resembled a moderately lymphoplasmacytic dermatitis with severe hyperkeratosis and pustules. The epidermis was moderately hyperplastic with orthokeratotic and parakeratotic hyperkeratosis. Epidermal crusting with intralesional bacterial erosion and sloughing with intra- and subcorneal epidermal pustules were also observed. Dermal lesions were mild and corresponded to hydropic change, spongiosis, lymphoplasmacytic and mast cell infiltrate and lymphatic dilation. The histopathological findings of the second porcupine paralleled the description of the first individual, but were more severe, and included a marked epidermal necrosis and epidermolysis with embedded quill and keratin fragments. In both porcupines, evidence of multiple intralesional mite structures were found, characterised by a cuticle with peripheral and dorsal horns, hatched egg fragments and intraepidermal coalescing tunnels (Fig. 2a–b). Secondary infection by cocci is considered common in severe mange (Verdugo et al., 2016), likely incited by the excessive epidermal sloughing and other disturbances caused by the mite invasion which can also debilitate the host. Mites were identified as S. scabiei using amplification and sequencing of fragments of mitochondrial 16S rDNA, using universal primers for the amplification of S. scabiei with an estimated size of 135 bp (Angelone-Alasaad et al., 2015). Both samples were individually submitted for DNA extraction, using the DNeasy Blood and Tissue kit (Qiagen), following the manufacturer's protocol. Extracted DNA samples were tested by PCR, using the forward primer SSUDF (5′-GGGTCTTTTTGTCTTGGAATAAA-3′) and reverse primer SSUDR (5′-CTAAGGTAGCGAAATCATTAGC-3′). PCR products were purified with the QIAquick PCR purification kit (Qiagen) and sent to the Universidad de Los Andes (Bogotá, Colombia) for DNA sequencing. GenBank nucleotide sequence accession numbers for the partial sequences generated in the present study are MG645006 (San Vicente) and MG645007 (Bucaramanga). The sequences were analyzed using Basic Local Alignment Search Tool (BLAST; Altschul et al., 1990) to determine the closest similarities with other mite species.
Fig. 1.
a-b. Macroscopic lesions of severe sarcoptic mange in two Quichua porcupines (Coendou quichua) from central Colombia with a microphotograph of Sarcoptes scabiei (inset). a) Mature male with extensive alopecia affecting ventral, inguinal region, and limbs. b) Mature female with severe hyperkeratosis and alopecia covering 80% of the body.
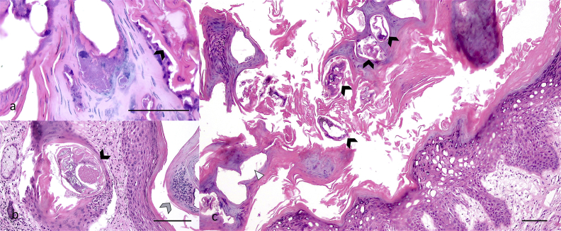
Fig. 2.
a-c. Microphotograph of skin section of a mature female Coendou quichua with severe sarcoptic mange. a) Intralesional cocci observed surrounding parasitic tunnels, with mite (arrow head 20X). b) Intralesional mite (black arrow head) and pustule (grey arrow head 10X), and c) several tunnels with (black arrow heads) and without (white triangle) mites in the stratum corneum (4X). All bars = 100 μm. Haematoxylin and Eosin stain.
The partial sequences of 16S were 100% and 98% (San Vicente de Chucurí and Bucaramanga, respectively) identical to the corresponding sequences available for S. scabiei in GenBank isolated from the domestic dog (Canis lupus familiaris; KJ781373.1), the Argentine Gray fox (Lycalopex griseus; KT223563.1), the European rabbit (Oryctolagus cuniculus; AB779577.1), and the buffalo (Bubalus bubalis; AB779569.1). Of these, L. griseus is not present in Colombia and it is restricted to Patagonia (Hunter, 2011) whereas the others are domestic and/or feral species in the country (Ramírez-Chaves et al., 2011). In particular, domestic dogs are distributed throughout Colombia (Baptiste et al., 2010), where they overlap with C. quichua habitat. Dogs have high urban and rural densities (Hughes-David and Macdonald, 2013), and are currently recognized nationally as wildlife predators, disease carriers and competitors (Manjarres-Rodriguez, 2013). Despite the wide host range of Sarcoptes, there are no records of mange in neotropical porcupines, likely due to underreporting (Gonzalez-Astudillo et al., 2016, Verdugo et al., 2016). Other arachnids have been reported in Colombian porcupines; specifically, Amblyomma longirostre in Coendou spp. and C. prehensilis (Osorno-Mesa, 1940, Wells et al., 1981), A. longirostre, and A. goaeji in Coendou spp. (CIAT, 1973). The only records available in the literature of mange in porcupines are from a nearctic species, namely Erethizon dorsatum, by S. scabiei (Payne and O'Meara, 1958) and Notoedres douglasi (Snyder et al., 1991). Lesions in these reports did not have such an extensive alopecia, and were mostly ventral-inguinal and facial. Chronic mange induces intense pruritus and alopecia, demanding energy for thermoregulation and activating an immune response, eventually causing a progressive loss of condition (Newman et al., 2002) from high parasitic demands.
Colombian animal health authorities would benefit from developing a wildlife disease surveillance program (Peñuela-Gómez et al., 2012, Gonzalez-Astudillo et al., 2016), establish functional reporting networks and promote research that assesses the impact of domestic animal diseases in wildlife. Considering the epizootiology of the disease and the distribution of the host, the authors suggest the likely cross-species transmission from the domestic dog due to overlapping habitats. Demodectic mange by Demodex spp. (demodicosis) is the most prevalent dog mite infection in Colombia and in the metropolitan area where these porcupines were captured (unpublished data) with only sporadic demodectic ‘spillovers’ to the crab-eating fox Cerdocyon thous (pers. comm. Dr. J.F. Chica-Galeano). It is suggested that the unknown immunological status of the porcupines, low receptivity to Demodex spp. (Singh and Dimri, 2014), wide range of hosts infected with S. scabiei, or a possible environmental contamination of burrows with S. scabiei shared asynchronously with infected hosts (Skerratt, 1998), contributed to the infection and manifestation of sarcoptic over demodectic mange in these cases. The mange cases presented here could be the result of a few endemic events in a species not much is known of, represent a recent ‘spillover’ from a domestic host, or an ongoing epizootic. During a mange epizootic in naïve populations, the number of cases appear to be devastating (Leon-Vizcaino et al., 1999, Martin et al., 2018); however, most wildlife populations will recover in the long-term. Although mange is currently considered as one of the ten most devastating wildlife diseases (Tompkins et al., 2015), only in a few instances, have entire populations become extinct (Pence and Ueckermann, 2002). To the best of our knowledge, these are the first reports of mange in any neotropical porcupine species. The limited information available for C. quichua and of mite infections in Colombia hinders further discussion of the plausible impacts of sarcoptic mange in the long-term conservation of the species.
Declaration of interest
None.
Acknowledgements
We thank the veterinarians involved in the care of the porcupines in this case report. We are grateful with the Australian Society for Parasitology and their Publisher for their support, and with A. Martin, Dr. E. Jones, and Dr. L.A. Perry and the reviewers for their valuable comments. HERC acknowledges the support received by a Rufford Small Grant # 23710-1.
Footnotes
Supplementary data related to this article can be found at https://doi.org/10.1016/j.ijppaw.2018.02.002.
Appendix A. Supplementary data
The following is the supplementary data related to this article:
References
- Alasaad S., Sarasa M., Heukelbach J., Mijele D., Soriguer R.C., Rossi L. Advances in studies of disease-navigating webs: Sarcoptes scabiei as a case study. Parasites Vectors. 2014;7:e16. doi: 10.1186/1756-3305-7-16. [DOI] [PMC free article] [PubMed] [Google Scholar]
- Altschul S.F., Gish W., Miller W., Myers E.W., Lipman D.J. Basic local alignment search tool. J. Mol. Biol. 1990;215:403–410. doi: 10.1016/S0022-2836(05)80360-2. [DOI] [PubMed] [Google Scholar]
- Angelone-Alasaad S., Molinar-Min A., Pasquetti M., Alagaili A.N., D'Amelio S., Berrilli F., Obanda V., Gebely M.A., Soriguer R.C., Rossi L. Universal conventional and real-time PCR diagnosis tools for Sarcoptes scabiei. Parasites Vectors. 2015;8:587. doi: 10.1186/s13071-015-1204-8. [DOI] [PMC free article] [PubMed] [Google Scholar]
- Arlian L.G., Morgan M.S. A review of Sarcoptes scabiei: past, present and future. Parasites Vectors. 2017;10:297. doi: 10.1186/s13071-017-2234-1. [DOI] [PMC free article] [PubMed] [Google Scholar]
- Baptiste M., Castaño N., Cárdenas D., Gutiérrez F., Gil D., Lasso D. Instituto de Investigación de Recursos Biológicos Alexander von Humboldt; Bogota D.C: 2010. Análisis de riesgo y propuesta de categorización de especies introducidas para Colombia. 200 pp. [Google Scholar]
- Bornstein S., Morner T., Samuel W.M. Sarcoptes scabiei and sarcoptic mange. In: Samuel W.M., Pybus M.J., Kocan A.A., editors. Parasitic Diseases of Wild Mammals. Iowa State University Press; Ames: 2001. pp. 107–119. [Google Scholar]
- Cediel N., Villamil L.C., Romero J., Renteria L., De Meneghi D. Setting priorities for surveillance, prevention, and control of zoonoses in Bogota, Colombia. Rev. Panam. Salud Públic. 2013;33:316–324. doi: 10.1590/s1020-49892013000500002. [DOI] [PubMed] [Google Scholar]
- CIAT . 1973. Centro Internacional de Agricultura Tropical. Annual report. Cali, Colombia. 253 pp. [Google Scholar]
- Delgado C. 2016. Coendou quichua. The IUCN Red List of Threatened Species 2016. e.T136702A22214415. Downloaded on 14 September 2016. [DOI] [Google Scholar]
- Gonzalez-Astudillo V., Ramirez-Chaves H.E., Henning J., Gillespie T.R. Current knowledge of studies of pathogens in colombian mammals. MANTER: J. Parasite Biodiversity. 2016;4:1–13. [Google Scholar]
- Hughes-David J., Macdonald D.W. A review of the interactions between free-roaming domestic dogs and wildlife. Biol. Conserv. 2013;157:341–351. [Google Scholar]
- Hunter L. Princeton University Press; Princeton and Oxford: 2011. Carnivores of the World. [Google Scholar]
- ICA . Situación epidemiológica en Colombia en cuanto a las enfermedades de la lista de la Organización Mundial de Sanidad Animal (OIE) Instituto Colombiano Agropecuario (ICA); Bogota: 2012. 152 pp. [Google Scholar]
- Leon-Vizcaino L., Ruiz De Ybanez M.R., Cubero M.J., Ortiz J.M., Espinosa J., Perez L., Simon M.A., Alonso F. Sarcoptic mange in Spanish ibex from Spain. J. Wildl. Dis. 1999;35:647–659. doi: 10.7589/0090-3558-35.4.647. [DOI] [PubMed] [Google Scholar]
- Manjarres-Rodriguez T.S. Pontificia Universidad Javeriana; Bogotá D.C: 2013. Distribución y uso de hábitat del perro (Canis familiaris) en la cuenca alta del río Otún (Risaralda-Colombia) [Google Scholar]
- Martin A.M., Burridge C.P., Ingram J., Fraser T.A., Carver S. Invasive pathogen drives host population collapse: effects of a travelling wave of sarcoptic mange on bare-nosed wombats. J. Appl. Ecol. 2018;55:331–341. [Google Scholar]
- Newman T.J., Baker P.J., Harris S. Nutritional condition and survival of red foxes with sarcoptic mange. Can. J. Zool. 2002;80:154–161. [Google Scholar]
- Osorno-Mesa E. Las garrapatas de la Republica de Colombia. Rev. Acad. Colomb. Cienc. Exact. Fis. Nat. 1940;4:6–24. [Google Scholar]
- Payne D.D., O'Meara D.C. Sarcoptes scabiei infestation of a porcupine. J. Wildl. Manag. 1958;22:321–322. [Google Scholar]
- Pence D., Ueckermann E. vol. 21. 2002. Sarcoptic mange in wildlife; pp. 385–398. (Scientific and Technical Review of the Office International des Epizooties (Paris)). [PubMed] [Google Scholar]
- Pence D.B., Casto S.D., Samuel W.M. Variation in the chaetotaxy and denticulation of Sarcoptes scabiei (Acarina: sarcoptidae) from wild canids. Acarologia. 1975;17:160–165. [PubMed] [Google Scholar]
- Peñuela-Gómez S.M., Pérez-Tobar J.M., Soler-Tovar D., Varela-Arias N. Asociación de Veterinarios de Vida Silvestre (VVS) & Wildlife Conservation Society (WCS); Bogota: 2012. Conocimiento y Gestión de las Enfermedades de los Animales Silvestres en Colombia. 220 pp. [Google Scholar]
- Ramírez-Chaves H.E., Ortega-Rincón M., Pérez W.A., Marín D. Historia de las especies de mamíferos exóticos en Colombia. Bol. Cient. Mus. Hist. Nat. 2011;15:139–156. [Google Scholar]
- Ramírez-Chaves H.E., Suárez-Castro A.F., Morales-Martínez D.M., Vallejo-Pareja M.C. Richness and distribution of porcupines (Erethizontidae: Coendou) from Colombia. Mammalia. 2016;80:181–191. [Google Scholar]
- Rentería L. Proceedings: Memorias de Jornada Nacional de Zoonosis y Enfermedades Emergentes y Re-emergentes. Zoonosis problema común, soluciones interdisciplinarias. Consejo Profesional de Medicina. Veterinaria y de Zootecnia de Colombia; 2008. Zoonosis y enfermedades emergentes y reemergentes, panorama mundial y nacional. [Google Scholar]
- Singh S.K., Dimri U. The immuno-pathological conversions of canine demodicosis. Vet. Parasitol. 2014;203:1–5. doi: 10.1016/j.vetpar.2014.03.008. [DOI] [PubMed] [Google Scholar]
- Skerratt L.F. Diseases and parasites of the common wombat Vombatus ursinus in the healesville area of victoria. In: Wells R.T., Pridmore P.A., editors. Wombats. Surrey Beatty & Sons; Chipping Norton, New South Wales: 1998. pp. 317–328. [Google Scholar]
- Snyder D.E., Hamir A.N., Hanlon C.A., Rupprecht C.E. Notoedric acariasis in the porcupine (Erethizon dorsatum) J. Wildl. Dis. 1991;27:723–726. doi: 10.7589/0090-3558-27.4.723. [DOI] [PubMed] [Google Scholar]
- Tompkins D.M., Carver S., Jones M.E., Krkosek M., Skerratt L.F. Emerging infectious diseases of wildlife: a critical perspective. Trends Parasitol. 2015;31:149–159. doi: 10.1016/j.pt.2015.01.007. [DOI] [PubMed] [Google Scholar]
- Verdugo C., Espinoza A., Moroni M., Valderrama R., Hernandez C. Sarcoptic mange in a south American gray fox (chilla fox; Lycalopex griseus) Chile. J. Wildl. Dis. 2016;52:738–741. doi: 10.7589/2015-07-177. [DOI] [PubMed] [Google Scholar]
- Voss R.S. In: Superfamily Erethizontoidea Bonaparte, 1845. Patton J.L., Pardiñas U.F.J., D’Elía G., editors. Mammals of South America The University of Chicago Press; Chicago: 2015. pp. 786–805. [Google Scholar]
- Wells E.A., D'Alessandro A., Morales G.A., Angel D. Mammalian wildlife diseases as hazards to man and livestock in an area of the Llanos Orientales of Colombia. J. Wildl. Dis. 1981;17:153–162. doi: 10.7589/0090-3558-17.1.153. [DOI] [PubMed] [Google Scholar]
Associated Data
This section collects any data citations, data availability statements, or supplementary materials included in this article.


