Abstract
Background
An opportunistic oral pathogen, Treponema denticola (Td), has been linked to orodigestive carcinogenesis, but its role in oropharyngeal squamous cell carcinoma (OPSCC) has remained open. We evaluated the presence of Td chymotrypsin-like protease (Td-CTLP) in a series of 201 unselected consecutive OPSCC patients, and the relation of the Td-CTLP to human papillomavirus (HPV) status, to expression of toll-like receptors (TLR) 5, 7, and 9, and to clinical parameters and patient outcome.
Methods
Clinicopathological data came from hospital registries. The expression of cell surface-bound Td-CTLP was evaluated by immunohistochemistry. Immunoexpression of TLRs 5, 7, and 9, and HPV status we studied earlier in this patient series.
Results
We detected Td-CTLP in 81% of the OPSCC, and especially in HPV-negative tumours (48% of all OPSCCs). Among the HPV-positive tumours (52% of all OPSCCs), low Td-CTLP expression associated with low TLR 5 and high TLR 7 expression. Among those HPV-negative, higher TLR 5 and lower TLR 7 expression associated with high Td-CTLP expression. Strong Td-CTLP expression associated with poor disease-specific survival, but no similar association among HPV-positive and HPV-negative subgroups emerged.
Conclusions
Td-CTLP was highly expressed in OPSCC and was associated with the HPV status of tumour tissue.
Subject terms: Oral cancer, Tumour virus infections, Cancer microenvironment
INTRODUCTION
The incidence of oropharyngeal squamous cell carcinoma (OPSCC) associated with human papillomavirus (HPV) has increased,1–6 whereas the number of HPV-negative OPSCC cases has remained stable or has declined.3,4 The prognosis of patients carrying a HPV-positive tumour is better than the prognosis of patients with HPV-negative disease.1,2 Differences between these two OPSCC subgroups according to HPV have been studied widely, and in the latest WHO classification of head and neck tumours, these malignancies are classified as distinct entities.7 For the development of effective prevention and treatment strategies for both HPV-positive and HPV-negative OPSCC, a more detailed understanding of the cellular mechanisms and underlying causalities is essential.
Besides the known association of HPV with OPSCC, the role of several oral pathogens in oral and gastrointestinal tract cancers is evident. Epidemiological studies have shown an association between elevated periodontal pathogen Porphyromonas gingivalis serum IgG levels and increased risk of mortality from orodigestive cancer,8 as well as a correlation between elevated P. gingivalis plasma levels and increased incidence of pancreatic cancer.9 According to Narikiyo et al.,10 the oral pathogens Streptococcus mitis, Streptococcus anginosus, and Treponema denticola are frequent in oesophageal cancer tissue. Recently, Td has been evident also in oral and gastrointestinal tumour samples.11 Furthermore, Fusobacterium nucleatum has been associated with colorectal cancer and shown to promote colorectal carcinogenesis.12 Oral carcinogenesis, on the other hand, was promoted by F. nucleatum and P. gingivalis based on in vitro and in vivo studies via interaction with oral epithelial cells through toll-like receptors (TLR).13 The prevalence and role of oral pathogens in various OPSCC HPV subgroups calls for investigation.
During the last decades periodontitis has been associated with several systemic diseases, e.g., cardiovascular diseases,14–17 and with the development of diabetes mellitus type I and II complications.18 The mechanisms explaining the associations involve chronic low-grade systemic inflammation and oral microorganisms entering the bloodstream.19–21 Td is an invasive opportunistic pathogen belonging to a red complex group of oral pathogens identified in severe forms of periodontitis.22 Although Td, as well as other oral anaerobic spirochetes, may be present in the normal oral flora, its proportion increases significantly in periodontal infection.22,23 Td occurs in oesophageal cancer tissue10 and in squamous cell carcinomas (SCC) of the tongue, tonsils, and oesophagus, as well as in adenocarcinomas of the stomach, pancreas, and colon.10,11 Td possesses several virulence factors including an ability to adhere to epithelial cells and extracellular matrix components,24–26 to produce degrading enzymes,27–30 to secrete cytotoxic substances,31 to activate host-derived tissue-destructive matrix metalloproteinases,11 and to suppress local immune responses.32 One of its key virulence factors, a chymotrypsin-like protease (Td-CTLP), degrades a number of basement membrane components, thus enabling Td to invade epithelial tissue.28 The role of Td in the carcinogenesis of OPSCC is thus far unknown. However, the host’s systemic inflammatory response to chronic exposure to Td and its toxins,33 in combination with the proteolytic and immunomodulatory activities triggered by the bacteria, may be of significance.11
Our aim was to determine the prevalence of a cell surface-bound chymotrypsin-like proteinase (Td-CTLP), a key virulence factor of the oral pathogen Td, in 201 unselected consecutive OPSCC patients, and this factor’s relationship to HPV status, TLR 5, 7, and 9 expression, clinical parameters, and patient outcome.
Materials and methods
Patients and clinicopathological data
This patient cohort was previously described.34 To summarise, the cohort comprised 331 consecutive patients with oropharyngeal cancer diagnosed at the Helsinki University Hospital between 2000 and 2009. Inclusion of patients was restricted to the following ICD-10 codes: C01, C02.4, C05.1, C05.2, C05.8, C05.9, C09.0, C09.1, C09.8, C09.9, C10.0, C10.2, C10.3, C10.8, and C10.9. SCC and subtypes of SCC were included. Excluded from analysis were those patients with palliative intention of treatment (n = 44), concurrent head and neck squamous cell carcinoma (HNSCC) (n = 5), earlier treated HNSCC (n = 11), histology other than SCC (n = 18), or tumour tissue unavailability (n = 52).
Clinicopathological data from hospital registries, based on the earlier investigation on this same patient group, comprised patient age, sex, tumour histology, grade, UICC 7th edition TNM stage35; primary treatment, i.e., surgery (Sx), radiotherapy (RT), and chemotherapy (CRT); tumour recurrence, treatment of recurrent disease, and status at the last follow-up.34 Follow-up of all patients was at minimum 3 years or until death. Data on dates and causes of death came from Statistics Finland. The study received institutional permission and the approval of The Research Ethics Board at the Hospital District of Helsinki and Uusimaa.
In the group of 201 patients, 130 underwent primary surgery. Among these 130 patients 116 received also either RT or CRT as adjuvant oncological treatment. Five patients received no postoperative oncological therapy because of having Stage I–II disease and nine had none for case-related reasons. Definitive CRT or RT was delivered to 71 patients, and among them 11 underwent salvage surgery in the primary treatment phase (primary site, 1, neck only, 7, primary site and neck, 3). Tissue samples were collected before RT/CRT with the exception of two patients with only post-treatment samples available for immunohistochemistry.
HPV status and the expression of TLRs 5, 7, and 9 (TLR 5, TLR 7, TLR 9) had undergone analysis earlier by our research group.34 Briefly, HPV status was defined by Ventana Inform HPV in situ hybridisation (ISH) assay using a high-risk HPV probe and iVIEW Blue detection kit in Benchmark XT series stainer (Ventana Medical Systems, Inc., Tuscon, AZ, USA). This assay has affinity to these high-risk HPV subtypes: 16, 18, 31, 33, 35, 39, 45, 51, 56, 58, and 66. As a pretreatment, 5-μm thick sample sections were incubated with an extended Ventana cell-conditioning solution including ISH protease 3 (Ventana) for 32 min. HPV status was regarded as positive if any spot in ISH assay was positive. TLR status was studied by immunohistochemical staining by monoclonal mouse anti-human TLR 5 (1:200, IMG-664A, Imgenex, Port Coquitlam, BC, Canada), monoclonal rabbit anti-human TLR 7 (1:300, IMG-581A, Imgenex), and polyclonal rabbit anti-human TLR 9 (1:100, sc-25468, Santa Cruz Biotechnology, Inc., Dallas, TX, USA) as described.14
Antibody preparation
Td-CTLP antibody was prepared according to the method of Grenier et al.28 The IgG fraction of the CTLP antibody was purified and washed on a Protein A-Sepharose® CL-4B column (GE17-0780-01, Sigma-Aldrich Chemical Co LLC, St. Louis, MO, USA). The resulting anti-CTLP IgG fraction was tested for its specificity to Treponema denticola in immunofluorescence and ELISA assays with a closely related oral spirochete Treponema vincentii as a reference by a method described by Nieminen et al.11
Immunohistochemistry for Td-CTLP
Preparation of the tissue microarray (TMA) blocks and immunohistochemical sample staining were performed as described by Nieminen et al.11 Polyclonal anti-CTLP IgG (1:1500 dilution) served as the antibody against Td-CTLP. Negative-control staining involved a non-immune species-specific Rabbit IgG (Vector Laboratories, Burlingame, CA, USA) and by omitting the primary antibody.
Immunoscore
The decoded TMA blocks immunostained with Td-CTLP antibody were scored by two researchers (J.H. and A.K.K.) separately. Any discordance in scoring was solved by reassessment to achieve consensus. Td-CTLP scoring was based on intensity of the positivity in tumour tissue: none (0), mild (1), moderate (2), or strong (3). When several tumour spots were available for analysis, the choice was the highest positivity value for Td-CTLP. The positivity in Td-CTLP staining was localised in the cytoplasm of the carcinoma cells. In addition, immunopositivity was detectable in non-cancerous epithelial cells, secretory cells, and mononuclear inflammatory cells of some tissue samples, but these were not included in scoring evaluation.
Statistical analysis
Statistical analysis utilised SPSS version 20.0 (IBM SPSS Statistics, IBM Corporation, New York, NY, USA). Statistical differences between categorical variables were evaluated based on Chi-square testing using an asymptotic or an exact P-value, whichever appropriate. The 5-year disease-specific survival (DSS) rates were calculated by Kaplan–Meier (KM) estimation. A log-rank test served in evaluation of statistical significance in the KM analysis. The follow-up time in the DSS evaluation was defined as the period between the last treatment day and the last day of follow-up or date of death from the disease. To minimise the bias in follow-up, the maximum follow-up period for the analysis was 5 years.
Multivariate survival analysis used the Cox proportional hazards model. The analysis included clinically relevant variables with a P-value less than 0.1. The proportional hazard assumptions were tested with KM curves. A two-sided P-value less than 0.05 was considered statistically significant.
Results
Td-CTLP and its association with patient and tumour characteristics in OPSCC
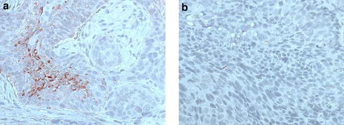
Td-CTLP immunoexpression in the 201 samples occurred as follows: 19% had none (n = 39), 31% mild (n = 63), 31% moderate (n = 63), and 18% strong (n = 36) expression. Td-CTLP was expressed in the cytoplasm of carcinoma cells in granular and diffuse forms (Fig. 1). It showed a significant association with tumour site of origin, stage, grade of differentiation, presence of regional metastasis (N), and patient smoking habit, but not with primary tumour size (T), gender, or excess alcohol use (Table 1).
Fig. 1.
Immunohistochemical staining of oropharyngeal squamous cell carcinoma (OPSCC) samples with Treponema denticola chymotrypsin-like protease (Td-CTLP) antibody. a OPSCC with positive expression of Td-CTLP. b OPSCC negative for Td-CTLP
Table 1.
Treponema denticola chymotrypsin-like protease (Td-CTLP) immunoexpression in relation to patient and tumour characteristics; patient sex, smoking and alcohol consumption, tumour site of origin, grade of differentiation, T class (primary tumour size), N class (presence of regional lymph node metastasis), tumour stage, and human papillomavirus (HPV) status
| Total | None (0) | Mild (1) | Moderate (2) | Strong (3) | P -value | |||||
|---|---|---|---|---|---|---|---|---|---|---|
| n | % | n | % | n | % | n | % | |||
| Sex | 0.050 | |||||||||
| Male | 149 | 32 | 21 | 50 | 34 | 43 | 29 | 24 | 16 | |
| Female | 52 | 7 | 13 | 13 | 25 | 20 | 38 | 12 | 23 | |
| Smoking | 0.037 | |||||||||
| None | 26 | 4 | 15 | 16 | 62 | 4 | 15 | 2 | 8 | |
| Finished | 49 | 9 | 18 | 17 | 35 | 12 | 24 | 11 | 22 | |
| Current | 96 | 16 | 17 | 25 | 26 | 33 | 34 | 22 | 23 | |
| Excess alcohol consumption | 0.421 | |||||||||
| None | 61 | 11 | 18 | 28 | 46 | 13 | 21 | 9 | 15 | |
| Finished | 24 | 4 | 17 | 3 | 13 | 10 | 42 | 7 | 29 | |
| Current | 38 | 8 | 21 | 9 | 24 | 17 | 45 | 4 | 11 | |
| Tumour site | 0.023 | |||||||||
| Anterior wall | 61 | 12 | 20 | 17 | 28 | 25 | 41 | 7 | 11 | |
| Lateral wall | 116 | 24 | 21 | 44 | 38 | 28 | 24 | 20 | 17 | |
| Posteroir wall | 3 | 1 | 33 | 0 | 0 | 0 | 0 | 2 | 67 | |
| Superior wall | 21 | 2 | 10 | 2 | 10 | 10 | 48 | 7 | 33 | |
| Tumour grade | 0.001 | |||||||||
| Grade 1 | 18 | 1 | 6 | 3 | 17 | 8 | 44 | 6 | 33 | |
| Grade 2 | 78 | 13 | 17 | 23 | 29 | 24 | 31 | 18 | 23 | |
| Grade 3 | 105 | 25 | 24 | 37 | 35 | 31 | 30 | 12 | 11 | |
| T class | 0.837 | |||||||||
| T1-2 | 114 | 22 | 19 | 37 | 32 | 35 | 31 | 20 | 18 | |
| T1-3 | 87 | 17 | 20 | 26 | 30 | 28 | 32 | 16 | 18 | |
| N class | 0.001 | |||||||||
| N0 | 39 | 2 | 5 | 7 | 18 | 20 | 51 | 10 | 26 | |
| N+ | 162 | 37 | 23 | 56 | 35 | 43 | 27 | 26 | 16 | |
| Tumour stage | 0.007 | |||||||||
| I–II | 30 | 2 | 7 | 6 | 20 | 14 | 47 | 8 | 27 | |
| III–IV | 171 | 37 | 22 | 57 | 33 | 49 | 29 | 28 | 16 | |
| HPV status | <0.001 | |||||||||
| HPV negative | 96 | 12 | 13 | 22 | 23 | 36 | 38 | 26 | 27 | |
| HPV positive | 105 | 27 | 26 | 41 | 39 | 27 | 26 | 10 | 10 |
Statistically significant P-values (< 0,05) are in bold
More than half of patients (58%) had a tumour arising from the lateral wall of the oropharynx, followed in prevalence by the anterior (30%), superior (10%), and posterior wall (1%). In anterior and lateral-wall carcinomas, none to moderate immunoexpression (score, 0–2) of Td-CTLP dominated, whereas in posterior and superior wall carcinomas the major proportion of the tumours had strong Td-CTLP immunoexpression (score, 3). Td-CTLP staining was more prominent in Grade-1 tumours than in Grade-3 tumours. High Td-CTLP immunopositivity was associated with class-N0 disease. Stage I–II disease had higher Td-CTLP immunoexpression than did Stage III–IV disease. Expression of Td-CTLP was higher among smokers and ex-smokers than among non-smokers (Table 1).
Td-CTLP and its association with treatment of OPSCC
No difference in the Td-CTLP immunoexpression existed between patients receiving primary surgery and RT/CRT as adjuvant treatment (n = 130) and those treated with definitive RT/CRT (n = 71). Furthermore, no difference in the 5-year DSS was observed between the treatment groups.
Td-CTLP and its association with HPV status
Td-CTLP immunoexpression showed a significant association with HPV status. Strong expression was associated with HPV negativity and mild expression with HPV positivity (Table 1 and Fig. 2).
Fig. 2.

The percentages of Treponema denticola chymotrypsin-like protease (Td-CTLP) immunoscore values among 201 oropharyngeal squamous cell carcinoma (OPSCC) patients in human papillomavirus (HPV)-positive and HPV-negative subgroups
Td-CTLP and its association with TLR 5, 7, and 9
The association of TLR 5, 7, or 9 and Td-CTLP were calculated separately for the HPV-positive and HPV-negative subgroups (Table 2). In the HPV-positive subgroup, among tumours with low TLR 5 expression, Td-CTLP expression was low. Consequently, in the HPV-negative subgroup, among tumours with strong expression of TLR 5, Td-CTLP expression was high. In the HPV-positive subgroup, high immunoexpression of TLR 7 was associated with lower Td-CTLP immunoexpression, whereas in the HPV-negative subgroup, mild immunoexpression of TLR 7 was associated with higher Td-CTLP expression. No association existed between TLR 9 and Td-CTLP expression.
Table 2.
Treponema denticola chymotrypsin-like protease (Td-CTLP) immunoexpression in relation to toll-like receptor (TLR) 5, 7, and 9 expression of 201 oropharyngeal squamous cell carcinoma (OPSCC) patients grouped according to human papillomavirus (HPV) status
| Total | None (0) | Mild (1) | Moderate (2) | Strong (3) | P -value | |||||
|---|---|---|---|---|---|---|---|---|---|---|
| n | % | n | % | n | % | n | % | |||
| HPV-positive OPSCC | ||||||||||
| TLR 5 | 0.013 | |||||||||
| 0 | 47 | 13 | 28 | 24 | 51 | 8 | 17 | 2 | 4 | |
| 1 | 27 | 8 | 30 | 7 | 26 | 9 | 33 | 3 | 11 | |
| 2 | 23 | 5 | 22 | 7 | 30 | 8 | 35 | 3 | 13 | |
| 3 | 8 | 1 | 13 | 3 | 38 | 2 | 25 | 2 | 25 | |
| HPV-negative OPSCC | ||||||||||
| TLR 5 | 0.008 | |||||||||
| 0 | 12 | 1 | 8 | 6 | 50 | 3 | 25 | 2 | 17 | |
| 1 | 10 | 2 | 20 | 3 | 30 | 3 | 30 | 2 | 20 | |
| 2 | 52 | 9 | 17 | 10 | 19 | 21 | 40 | 12 | 23 | |
| 3 | 22 | 0 | 0 | 3 | 14 | 9 | 41 | 10 | 45 | |
| HPV-positive OPSCC | ||||||||||
| TLR 7 | 0.013 | |||||||||
| 1 | 6 | 1 | 17 | 1 | 17 | 4 | 67 | 0 | 0 | |
| 2 | 44 | 7 | 16 | 19 | 43 | 10 | 23 | 8 | 18 | |
| 3 | 55 | 19 | 35 | 21 | 38 | 13 | 24 | 2 | 4 | |
| HPV-negative OPSCC | ||||||||||
| TLR 7 | 0.006 | |||||||||
| 1 | 40 | 3 | 8 | 7 | 18 | 16 | 40 | 14 | 35 | |
| 2 | 42 | 6 | 14 | 8 | 19 | 17 | 40 | 11 | 26 | |
| 3 | 14 | 3 | 21 | 7 | 50 | 3 | 21 | 1 | 7 | |
| HPV-positive OPSCC | ||||||||||
| TLR 9 | 0.715 | |||||||||
| 0 | 7 | 3 | 43 | 3 | 43 | 1 | 14 | 0 | 0 | |
| 1 | 23 | 6 | 26 | 9 | 39 | 7 | 30 | 1 | 4 | |
| 2 | 53 | 7 | 13 | 22 | 42 | 12 | 23 | 9 | 17 | |
| 3 | 22 | 8 | 36 | 7 | 32 | 7 | 32 | 0 | 0 | |
| HPV-negative OPSCC | ||||||||||
| TLR 9 | 0.291 | |||||||||
| 0 | 2 | 1 | 50 | 0 | 0 | 1 | 50 | 0 | 0 | |
| 1 | 6 | 2 | 33 | 2 | 33 | 1 | 17 | 1 | 17 | |
| 2 | 39 | 2 | 5.1 | 9 | 23 | 18 | 46 | 10 | 26 | |
| 3 | 49 | 7 | 14 | 11 | 22 | 16 | 33 | 15 | 31 | |
Statistically significant P-values (< 0,05) are in bold
Td-CTLP and its association with survival
In survival analysis, no difference in the 5-year DSS was observed when the patient groups stained with none to mild (0–1) and moderate to strong (2–3) Td-CTLP were compared. However, patients with Td-CTLP score 0–2 had a significantly better 5-year DSS (79%) than did patients with strong Td-CTLP immunoexpression (61%) (P = 0.013) (Fig. 3). In HPV-positive patients, Td-CTLP had no association with DSS (P = 0.671). Among patients with HPV-negative OPSCC, the 5-year DSS was 73% among patients with Td-CTLP score 0–2 and was 54% among those with strong Td-CTLP expression, but this difference was not significant (P = 0.089). In multivariate analysis, Td-CTLP was never an independent prognostic factor (P = 0.115).
Fig. 3.
The 5-year disease-specific survival (DSS) rates calculated by Kaplan–Meier (KM) estimation for the entire sample (a) and for the human papillomavirus (HPV)-positive (b) and the HPV-negative (c) subgroups. Samples are grouped according to Treponema denticola chymotrypsin-like protease (Td-CTLP) immunoexpression to categories none to moderate (score = 0–2) and strong (score = 3)
Discussion
We found Td-CTLP in the majority (87%) of all HPV-negative OPSCCs. According to the literature, the same common risk factors: smoking and poor oral hygiene, are associated with development of HPV-negative OPSCC36 and periodontitis.37–39 Our results are in line with these findings, as we found an association between regular smoking and high Td-CTLP immunoexpression. In addition, we detected Td-CTLP immunopositivity also among 74% of HPV-positive OPSCC samples. Its expression levels were, however, significantly lower than for the HPV-negative subgroup. Interestingly, some studies suggest that chronic periodontitis is a risk factor for HPV-positive base-of-tongue and head-and-neck cancers,40,41 and findings support the hypothesis of the periodontal pocket as a reservoir for latent HPV.42 Our investigation provides no information as to whether HPV infection is followed by Td infection or vice versa in the subgroup of HPV-positive and Td-CTLP-positive cancers. Thus, the role of Td in HPV-positive OPSCC remains open and requires further examination.
Low Td-CTLP immunoexpression was associated with tumours arising from the anterior and the lateral wall of the oropharynx. In addition, low Td-CTLP immunopositivity was more prominent in poorly differentiated tumours. These findings are consistent with Goldberg et al.,43 who showed HPV-positive tumours as being more likely to have higher differentiation grade and to arise predominantly from the palatine or lingual tonsils. The present finding of an association between lymph node metastasis and low Td-CTLP immunoexpression is in line with the results linking HPV-positive OPSCC and higher N class.43,44 Further, we detected an association between lower Td-CTLP immunoexpression and stage III–IV tumours, which probably is explained by the fact that HPV-positive OPSCC is typically diagnosed at an advanced stage.5
TLRs and their role in carcinogenesis have been widely studied. TLRs participate in innate immune response cascades through recognition of pathogen-associated molecular patterns of bacteria, viruses, fungi, and parasites, and non-infectious structures, for example from dead or dying cells associated with tissue damage. That low Td-CTLP immunoexpression in the HPV-positive subgroup was associated with low TLR 5 expression and high TLR 7 expression is in line with our earlier results. Those showed HPV-related OPSCC having typically low TLR 5 and high TLR 7 immunoexpression. In addition, earlier we proposed that a high TLR 5 and low TLR 7 expression in HPV-positive OPSCC is associated with poor DSS.34 Unfortunately, in the present study, the number of HPV-positive, strong Td-CTLP immunoscore samples with high TLR 5 and/or low TLR 7 expression was too small (n = 2) for survival evaluation. Nevertheless, our current finding of an association of strong Td-CTLP immunoexpression with high TLR 5 expression and low TLR 7 expression in the HPV-negative subgroup suggests that differences exist in the immunological responses between HPV-positive and HPV-negative OPSCC subgroups with Td infection, and that these may be linked to the presence of Td.
We showed that patients with weaker Td-CTLP immunoexpression had significantly better 5-year DSS (79%) than did patients with strong Td-CTLP expression (61%). A similar trend, although not statistically significant, was apparent for DSS in HPV-negative OPSCC. The number of patients with strong Td-CTLP expression in HPV-positive OPSCC was too small for us to estimate the effect of strong Td-CTLP on survival in this subgroup. These findings, however, evoke further questions on the role of Td infection on survival of patients with HPV-positive as well as HPV-negative OPSCC, and need to be studied in larger patient series.
Conclusions
Td-CTLP was highly expressed in OPSCC, and was associated with the HPV status of the tumour tissue. High immunoexpression of Td-CTLP in HPV-negative OPSCC may be a result of common risk factors for HPV-negative OPSCC and Td infection and periodontitis. The role of Td-CTLP in immunological responses, carcinogenesis, and clinical outcome needs further investigation both in HPV-negative and HPV-positive OPSCC.
Acknowledgements
We thank Päivi Peltokangas and Olli Sirviö for technical assistance.
Author contributions
Design of the study: J.H., T.S., M.T.N., T.A., C.H., S.M.R., A.M., L.J., and A.K.K.; acquiring and analysis of the data: A.K.K., L.J., D.L., and H.M.; interpretation of the results, drafting and revision of the manuscript, and decision to submit: all authors.
Competing interests
The authors declare no competing interests.
Ethical approval
The study received institutional permission and the approval of The Research Ethics Board at the Hospital District of Helsinki and Uusimaa, Finland.
Funding
This work was supported by the Finnish Dentist Association Apollonia, Helsinki Finland; the Helsinki University Hospital Research Foundation, Helsinki Finland [grant numbers TYH 2512016, TYH 2512017, TYH 2292018]; and the Karolinska Institutet, Stockholm Sweden [grant number 1149SUL32].
References
- 1.Gillison ML, et al. Evidence for a causal association between human papillomavirus and a subset of head and neck cancers. J. Natl Cancer Inst. 2000;92:709–720. doi: 10.1093/jnci/92.9.709. [DOI] [PubMed] [Google Scholar]
- 2.Ang KK, et al. Human papillomavirus and survival of patients with oropharyngeal cancer. N. Engl. J. Med. 2010;363:24–35. doi: 10.1056/NEJMoa0912217. [DOI] [PMC free article] [PubMed] [Google Scholar]
- 3.Chaturvedi AK, et al. Human papillomavirus and rising oropharyngeal cancer incidence in the United States. J. Clin. Oncol. 2011;29:4294–4301. doi: 10.1200/JCO.2011.36.4596. [DOI] [PMC free article] [PubMed] [Google Scholar]
- 4.Nasman A, et al. Incidence of human papillomavirus (HPV) positive tonsillar carcinoma in Stockholm, Sweden: an epidemic of viral-induced carcinoma? Int. J. Cancer. 2009;125:362–366. doi: 10.1002/ijc.24339. [DOI] [PubMed] [Google Scholar]
- 5.Nichols AC, et al. The epidemic of human papillomavirus and oropharyngeal cancer in a Canadian population. Curr. Oncol. 2013;20:212–219. doi: 10.3747/co.20.1375. [DOI] [PMC free article] [PubMed] [Google Scholar]
- 6.Rietbergen MM, et al. Increasing prevalence rates of HPV attributable oropharyngeal squamous cell carcinomas in the Netherlands as assessed by a validated test algorithm. Int. J. Cancer. 2013;132:1565–1571. doi: 10.1002/ijc.27821. [DOI] [PubMed] [Google Scholar]
- 7.El-Naggar, A. K., Chan, J., Takata, T., Grandis, J. & Slootweg, P. The 4th edition of the head and neck WHO blue book: editor’s perspectives. Hum. Pathol.66, 10–12 (2017) [DOI] [PubMed]
- 8.Ahn J, Segers S, Hayes RB. Periodontal disease, Porphyromonas gingivalis serum antibody levels and orodigestive cancer mortality. Carcinogenesis. 2012;33:1055–1058. doi: 10.1093/carcin/bgs112. [DOI] [PMC free article] [PubMed] [Google Scholar]
- 9.Michaud DS, et al. Plasma antibodies to oral bacteria and risk of pancreatic cancer in a large European prospective cohort study. Gut. 2013;62:1764–1770. doi: 10.1136/gutjnl-2012-303006. [DOI] [PMC free article] [PubMed] [Google Scholar]
- 10.Narikiyo M, et al. Frequent and preferential infection of Treponema denticola, Streptococcus mitis, and Streptococcus anginosus in esophageal cancers. Cancer Sci. 2004;95:569–574. doi: 10.1111/j.1349-7006.2004.tb02488.x. [DOI] [PMC free article] [PubMed] [Google Scholar]
- 11.Nieminen MT, et al. Treponema denticola chymotrypsin-like proteinase may contribute to orodigestive carcinogenesis through immunomodulation. Br. J. Cancer. 2017;118:428–434. doi: 10.1038/bjc.2017.409. [DOI] [PMC free article] [PubMed] [Google Scholar]
- 12.Rubinstein MR, et al. Fusobacterium nucleatum promotes colorectal carcinogenesis by modulating E-cadherin/β-catenin signaling via its FadA adhesin. Cell Host Microbe. 2013;14:195–206. doi: 10.1016/j.chom.2013.07.012. [DOI] [PMC free article] [PubMed] [Google Scholar]
- 13.Gallimidi A, et al. Periodontal pathogens Porphyromonas gingivalis and Fusobacterium nucleatum promote tumour progression in an oral-specific chemical carcinogenesis model. Oncotarget. 2015;6:22613–22623. doi: 10.18632/oncotarget.4209. [DOI] [PMC free article] [PubMed] [Google Scholar]
- 14.Soder B, Meurman JH, Soder PO. Gingival inflammation associates with stroke—a role for oral health personnel in prevention: a database study. PLoS ONE. 2015;10:e0137142. doi: 10.1371/journal.pone.0137142. [DOI] [PMC free article] [PubMed] [Google Scholar]
- 15.Tonetti MS, Van Dyke TE, Working Group 1 of the Joint EFP/AAP Workshop. Periodontitis and atherosclerotic cardiovascular disease: consensus report of the Joint EFP/AAP Workshop on Periodontitis and Systemic Diseases. J. Periodontol. 2013;84:S24–S29. doi: 10.1902/jop.2013.1340019. [DOI] [PubMed] [Google Scholar]
- 16.Dietrich T, Sharma P, Walter C, Weston P, Beck J. The epidemiological evidence behind the association between periodontitis and incident atherosclerotic cardiovascular disease. J. Periodontol. 2013;84:S70–S84. doi: 10.1902/jop.2013.134008. [DOI] [PubMed] [Google Scholar]
- 17.Lockhart PB, et al. Periodontal disease and atherosclerotic vascular disease: does the evidence support an independent association? A scientific statement from the American Heart Association. Circulation. 2012;125:2520–2544. doi: 10.1161/CIR.0b013e31825719f3. [DOI] [PubMed] [Google Scholar]
- 18.Lalla E, Papapanou PN. Diabetes mellitus and periodontitis: a tale of two common interrelated diseases. Nat. Rev. Endocrinol. 2011;7:738–748. doi: 10.1038/nrendo.2011.106. [DOI] [PubMed] [Google Scholar]
- 19.Loos BG. Systemic markers of inflammation in periodontitis. J. Periodontol. 2005;76:2106–2115. doi: 10.1902/jop.2005.76.11-S.2106. [DOI] [PubMed] [Google Scholar]
- 20.Lockhart PB, et al. Bacteremia associated with toothbrushing and dental extraction. Circulation. 2008;117:3118–3125. doi: 10.1161/CIRCULATIONAHA.107.758524. [DOI] [PMC free article] [PubMed] [Google Scholar]
- 21.Bahrani-Mougeot FK, et al. Systemic host immuno-inflammatory response to dental extractions and periodontitis. Oral Surg. Oral Med. Oral Pathol. Oral Radiol. Endod. 2008;106:534–541. doi: 10.1016/j.tripleo.2008.02.011. [DOI] [PubMed] [Google Scholar]
- 22.Socransky SS, et al. Microbial complexes in subgingival plaque. J. Clin. Periodontol. 1998;25:134–144. doi: 10.1111/j.1600-051X.1998.tb02419.x. [DOI] [PubMed] [Google Scholar]
- 23.Socransky SS, Haffajee AD. Periodontal microbial ecology. Periodontol. 2000. 2005;38:135–187. doi: 10.1111/j.1600-0757.2005.00107.x. [DOI] [PubMed] [Google Scholar]
- 24.Olsen I. Attachment of Treponema denticola to cultured human epithelial cells. Scand. J. Dent. Res. 1984;92:55–63. doi: 10.1111/j.1600-0722.1984.tb00860.x. [DOI] [PubMed] [Google Scholar]
- 25.Reijntjens FM, Mikx FH, Wolters-Lutgerhorst JM, Maltha JC. Adherence of oral treponemes and their effect on morphological damage and detachment of epithelial cells in vitro. Infect. Immun. 1986;51:642–647. doi: 10.1128/iai.51.2.642-647.1986. [DOI] [PMC free article] [PubMed] [Google Scholar]
- 26.Haapasalo M, Singh U, McBride BC, Uitto VJ. Sulfhydryl-dependent attachment of Treponema denticola to laminin and other proteins. Infect. Immun. 1991;59:4230–4237. doi: 10.1128/iai.59.11.4230-4237.1991. [DOI] [PMC free article] [PubMed] [Google Scholar]
- 27.Egli C, Leung WK, Muller KH, Hancock RE, McBride BC. Pore-forming properties of the major 53-kilodalton surface antigen from the outer sheath of Treponema denticola. Infect. Immun. 1993;61:1694–1699. doi: 10.1128/iai.61.5.1694-1699.1993. [DOI] [PMC free article] [PubMed] [Google Scholar]
- 28.Grenier D, Uitto VJ, McBride BC. Cellular location of a Treponema denticola chymotrypsinlike protease and importance of the protease in migration through the basement membrane. Infect. Immun. 1990;58:347–351. doi: 10.1128/iai.58.2.347-351.1990. [DOI] [PMC free article] [PubMed] [Google Scholar]
- 29.Siboo R, al-Joburi W, Gornitsky M, Chan EC. Synthesis and secretion of phospholipase C by oral spirochetes. J. Clin. Microbiol. 1989;27:568–570. doi: 10.1128/jcm.27.3.568-570.1989. [DOI] [PMC free article] [PubMed] [Google Scholar]
- 30.Uitto VJ, Grenier D, Chan EC, McBride BC. Isolation of a chymotrypsinlike enzyme from Treponema denticola. Infect. Immun. 1988;56:2717–2722. doi: 10.1128/iai.56.10.2717-2722.1988. [DOI] [PMC free article] [PubMed] [Google Scholar]
- 31.Grenier D, Uitto VJ. Cytotoxic effect of peptidoglycan from Treponema denticola. Microb. Pathog. 1993;15:389–397. doi: 10.1006/mpat.1993.1088. [DOI] [PubMed] [Google Scholar]
- 32.Shenker BJ, Listgarten MA, Taichman NS. Suppression of human lymphocyte responses by oral spirochetes: a monocyte-dependent phenomenon. J. Immunol. 1984;132:2039–2045. [PubMed] [Google Scholar]
- 33.Ahn J, Chen CY, Hayes RB. Oral microbiome and oral and gastrointestinal cancer risk. Cancer Causes Control. 2012;23:399–404. doi: 10.1007/s10552-011-9892-7. [DOI] [PMC free article] [PubMed] [Google Scholar]
- 34.Jouhi L, et al. Toll-like receptor 5 and 7 expression may impact prognosis of HPV-positive oropharyngeal squamous cell carcinoma patients. Cancer Immunol. Immunother. 2017;66:1619–1629. doi: 10.1007/s00262-017-2054-3. [DOI] [PMC free article] [PubMed] [Google Scholar]
- 35.Sobin LH, Gospodarowicz MK, Wittekind C, editors. TNM Classification of Malignant Tumours. 7th ed. Hoboken, NJ: Wiley-Blackwell; 2010. [Google Scholar]
- 36.Gillison ML, et al. Distinct risk factor profiles for human papillomavirus type 16-positive and human papillomavirus type 16-negative head and neck cancers. J. Natl Cancer Inst. 2008;100:407–420. doi: 10.1093/jnci/djn025. [DOI] [PubMed] [Google Scholar]
- 37.Pindborg JJ. Tobacco and gingivitis: statistical examination of the significance of tobacco in the development of ulceromembranous gingivitis and in the formation of calculus. J. Dent. Res. 1947;26:261–264. doi: 10.1177/00220345470260030901. [DOI] [PubMed] [Google Scholar]
- 38.Borrell LN, Papapanou PN. Analytical epidemiology of periodontitis. J. Clin. Periodontol. 2005;32:132–158. doi: 10.1111/j.1600-051X.2005.00799.x. [DOI] [PubMed] [Google Scholar]
- 39.Tezal M, Scannapieco FA, Wactawski-Wende J, Grossi SG, Genco RJ. Supragingival plaque may modify the effects of subgingival bacteria on attachment loss. J. Periodontol. 2006;77:808–813. doi: 10.1902/jop.2006.050332. [DOI] [PubMed] [Google Scholar]
- 40.Tezal M, et al. Chronic periodontitis-human papillomavirus synergy in base of tongue cancers. Arch. Otolaryngol. Head Neck Surg. 2009;135:391–396. doi: 10.1001/archoto.2009.6. [DOI] [PubMed] [Google Scholar]
- 41.Tezal M, et al. Chronic periodontitis and the incidence of head and neck squamous cell carcinoma. Cancer Epidemiol. Biomark. Prev. 2009;18:2406–2412. doi: 10.1158/1055-9965.EPI-09-0334. [DOI] [PubMed] [Google Scholar]
- 42.Hormia M, Willberg J, Ruokonen H, Syrjanen S. Marginal periodontium as a potential reservoir of human papillomavirus in oral mucosa. J. Periodontol. 2005;76:358–363. doi: 10.1902/jop.2005.76.3.358. [DOI] [PubMed] [Google Scholar]
- 43.Goldenberg D, et al. Cystic lymph node metastasis in patients with head and neck cancer: an HPV-associated phenomenon. Head Neck. 2008;30:898–903. doi: 10.1002/hed.20796. [DOI] [PubMed] [Google Scholar]
- 44.Gillison ML. Human papillomavirus and oropharyngeal cancer stage. J. Clin. Oncol. 2016;34:1833–1835. doi: 10.1200/JCO.2016.66.6081. [DOI] [PubMed] [Google Scholar]


