Abstract
Purpose
The use of transesophageal echocardiography (TEE) has evolved to include patients undergoing high-risk non-cardiac procedures and patients with significant cardiac disease undergoing non-cardiac surgery. Implementation of basic TEE education in training programs has increased across a broad spectrum of procedures in the perioperative arena. This paper describes the use of perioperative TEE in non-cardiac surgery and provides an overview of the basic TEE examination.
Principal findings
Perioperative TEE is used to monitor hemodynamic parameters in non-cardiac procedures where there is a high risk of hemodynamic instability. Its use extends to include moderate-risk procedures for patients with significant cardiac diseases such as low ejection fraction, hypertrophic cardiomyopathy, severe valve lesions, or congenital heart disease. Vascular procedures involving the aorta, blunt trauma, and liver transplantation are all examples of procedures that may benefit from TEE. Transesophageal echocardiography examination allows assessment of volume status, ventricular function, diagnosis of gross valvular pathology and pericardial tamponade, as well as close monitoring of cardiac output, response to therapy, and the impact of ongoing surgical manipulation. In patients with unexplained and unexpected hemodynamic instability, ‘‘rescue TEE’’ can be used to help identify the underlying cause.
Conclusions
Perioperative TEE is emerging as a preferred tool to manage hemodynamics in high-risk procedures and in high-risk patients undergoing non-cardiac surgery. A rescue TEE examination protocol is a helpful approach for early identification of the etiology of hemodynamic instability.
Abstract
Objectif
L’ utilisation de l’échocardiographie transœsophagienne (ETO) a évolué et est aujourd’hui utilisee aupres de patients subissant des interventions non cardiaques á risque élevé ainsi que de patients souffrant de cardiopathie grave subissant une chirurgie non cardiaque. Dans les programmes d’éducation, la mise en œuvre d’une formation de base en ETO a augmenté et permet son utilisation dans plusieurs types d’interventions réalisees en période perioperatoire. Cet article décrit l’utilisation d’ETO perioperatoire en chirurgie non cardiaque et propose un apercu de l’examen d’ETO de base.
Constatations principals
L’ETO périopératoire est utilisée pour monitorer les paramétres hémodynamiques lors d’interventions non cardiaques lorsque le risque d’instabilité hémodynamique est eleve. Son utilisation s’étend pour inclure les interventions á risque modéré pour les patients souffrant d’importantes cardiopathies telles qu’une faible fraction d’éjection, une cardiomyopathie hypertrophique, des lesions valvulaires graves, ou encore une cardiopathie congenitale. Les interventions vasculaires au niveau de I’aorte, les traumatismes contondants et les greffes hépatiques sont quelques exemples d’interventions dans lesquelles l’ETO pourrait être utile. L’examen d’ETO permet non seulement d’évaluer la volémie et la fonction ventriculaire, de poser un diagnostic préliminaire de pathologie valvulaire et de tamponnade péricardique, mais aussi d’executer un monitorage precis du debit cardiaque, de la réponse au traitement, et de l’impact des manipulations chirurgicales en cours. Chez les patients manifestant une instabilité: hemodynamique inexpliquee et inattendue, une « ETO de sauvetage » peut etre utilisee pour aider le medecin a en trouver la cause sous-jacente.
Conclusion
L’ETO périopératoire émerge en tant qu’outil de choix pour prendre en charge l’hémodynamie en cas d’interventions á risque élevé ainsi que les patients présentant des risques élevés et subissant une chirurgie non cardiaque. Un protocole d’examen d’ETO ciblé de sauvetage peut être utile pour identifier rapidement l’étiologie d’une instability; hemodynamique.
A 53-yr-old male presents to the operating room for urgent exploratory laparotomy after experiencing 24 hr of nausea, vomiting, and severe abdominal pain. Abdominal radiographs show free air under the diaphragm with a suspected bowel perforation. His medical history reveals daily intravenous cocaine use. After induction with propofol, cisatracurium, and fentanyl, his blood pressure is 60/40 mmHg, and his heart rhythm demonstrates sinus tachycardia with a rate of 130 beats-min–1. Despite several boluses of phenylephrine and epinephrine and intravenous fluid resuscitation, there is no change in his hemodynamic status. Urgent intraoperative transesophageal echocardiography (TEE) examination reveals severe concentric left ventricular hypertrophy with left ventricular cavity obliteration, severe mitral regurgitation, and systolic anterior motion of the anterior mitral valve leaflet consistent with left ventricular outflow tract obstruction. After two litres of fluid, cessation of inotrope therapy, and a phenylephrine infusion, the patient’s heart rate normalizes to 82 beats-min–1and his blood pressure increases to 130/76 mmHg (video as Electronic Supplementary Material).
Perioperative TEE has been used in non-cardiac surgery for over two decades.1,2 Its use has expanded to assist in resuscitation by diagnosing life-threatening perioperative conditions such as myocardial ischemia, pulmonary embolism, cardiac tamponade, and hypovolemia.3,4 As our case vignette shows, the use of TEE is a relatively noninvasive diagnostic approach that can be used in real time to guide perioperative management in a variety of non-cardiac surgical procedures.5–9
In this paper, we aim to review the indications for the use of TEE in non-cardiac surgery, TEE exam views, technical aspects of image acquisition, clinical applications, and the use of rescue TEE in non-cardiac surgery.
Perioperative TEE examination
Equipment orientation
As with any ultrasound technology, TEE imaging is based on the piezoelectric effect principle. Knowledge of the echo machine is crucial for obtaining high-quality images. Anesthesiologists should be familiar with ultrasound knobology, probe selection, and the various echocardiography modalities (e.g., two-dimensional [2D], colour flow Doppler, spectral Doppler, and M-Mode) in order to provide accurate hemodynamic assessments. The wave depth should be adjusted for specific views of interest. Higher or lower depth settings result in low-quality images and misdiagnosis. Optimization of 2D gain should be set at the beginning of the exam by ensuring that blood or cardiac chambers are black. Use of colour Doppler imaging requires the smallest possible adjustment of the colour sector to view the relevant structures at higher frame rates, while setting the colour scale to a Nyquist limit of 50–60 cm-sec–1 for detecting valvular pathologies. A lower colour scale of 20–30 cm-sec–1 should be used for lower-flow areas such the interatrial septum. Utilization of Doppler should also be adjusted for both the scale and baseline. Once the TEE exam is completed and the machine is not in use, the equipment should be put in freeze mode or powered down to sleep mode until reuse.
Insertion of the TEE probe
After reviewing the patient’s history for TEE indications/contraindications and obtaining consent, insertion of the probe under general anesthesia is facilitated using a jaw lift and gently directing a well-lubricated probe towards the posterior pharynx and the esophagus.10 A bite block should be used to prevent damage to the probe or dentition, and force should not be used on encountering resistance. Slight flexing or turning the patient’s head to the left, redirecting the probe, or inserting the probe under direct vision using video or conventional laryngoscopy can aid in probe insertion.
Manipulation of the TEE probe
Echocardiographers should be familiar with terminology related to TEE probe manipulation (Fig. 1A), including advancement, withdrawal, turning, and angle rotation. Axial rotation of the transducer is controlled through an electronic switch at the handle with ranges from 0–180°. Anteflexion and retroflexion (i.e., movement in the plane of the probe shaft) are achieved by moving the larger of the two control knobs on the probe handle. The smaller knob moves the probe tip up to 30° to the right or left.
Fig. 1.

Transesophageal echocardiographic (TEE) probe manipulation and terminology used during image acquisition. (A) Terminology used for the manipulation of the TEE probe. (B) Four standard TEE positions within the esophagus and stomach and the associated imaging planes. Reproduced with permission from the Journal of the American Society of Echocardiography10
Suggested views
A comprehensive perioperative TEE exam for patients undergoing cardiac surgery previously consisted of 20 standard views, but it has now been extended to 28 views.10–12 The American Society of Anesthesiologists/American Society of Echocardiography (ASA/ASE) consensus statement for a basic perioperative TEE examination limits the exam to 11 views.13 In our opinion, however, 16 views are required to provide a thorough examination for both basic anatomy and hemodynamic assessment (Fig. 2). A “rescue’’ or focused TEE exam performed in a hemodynamically unstable patient may be limited initially to a fewer number of views to allow for a more rapid assessment (Table 1). Once the patient is stabilized, a full TEE exam may follow. Echocardiographers should be familiar with acquiring TEE views and understanding their relevant echocardiographic nomenclature.10
Fig. 2.

Cross-sectional images of the suggested 16 views (approximate angle is indicated top right) of the transesophageal echocardiography. AMVL = anterior mitral valve leaflet; Ao = Aorta; AV = aortic valve; IAS = intra-atrial septum; IVC = inferior vena cava; L = left coronary cusp; LA = left atrium; LAX = long axis; LPA = left pulmonary artery; LV = left ventricle; ME = mid-esophageal; MPA = main pulmonary artery; MV = mitral valve; N = non-coronary cusp; PM & AL = posteromedial and anterolateral papillary muscles; PMVL = posterior mitral valve leaflet; R = right coronary cusp; RA = right atrium; RPA = right pulmonary artery; RV = right ventricle; SAX = short axis; SVC = superior vena cava; TG = transgastric; TV = tricuspid valve
Table 1.
Recommended TEE exam sequence in patients undergoing non-cardiac surgery and limited views for rescue TEE
| View | TEE | Rescue TEE |
|---|---|---|
| Mid-esophageal aortic valve short-axis | √ | |
| Mid-esophageal aortic valve long-axis | √ | |
| Mid-esophageal bicaval | √ | √ |
| Modified bicaval | √ | √ |
| Mid-esophageal right ventricular inflow-outflow | √ | √ |
| Mid-esophageal bicaval | √ | √ |
| Modified bicaval | √ | √ |
| Mid-esophageal four-chamber | √ | √ |
| Mid-esophageal mitral commissural | √ | |
| Mid-esophageal two-chamber | √ | |
| Mid-esophageal long-axis | √ | √ |
| Mid-esophageal ascending aorta | √ | √ |
| Transgastric mid-papillary short-axis | √ | √ |
| Transgastric basal short-axis | √ | |
| Transgastric two-chamber long-axis | √ | |
| Deep transgastric five-chamber | √ | |
| Descending aorta short-axis | √ | |
| Descending aorta long-axis | √ | |
| Additional views (as required) | √ | √ |
TEE = transesophageal echocardiography
Acquisition of the views
Transesophageal echocardiography views are obtained through esophageal and gastric windows (Fig. 1B). A TEE exam may begin with mid-esophageal (ME) views followed by transgastric (TG) views. The exact sequence of acquiring views, while often left to the discretion of the individual, should be repeated in the same order regardless of the clinical scenario. This approach will facilitate consistency and efficiency through experience. Table 2 suggests steps for acquiring the 16 proposed views and imaging the relevant structures in the suggested sequence. We acknowledge that certain views might be difficult to obtain in some patients because of variabilities in patient position, anatomy, pathology, and comorbidities, while in others, additional probe maneuvers may be required to optimize the view.
Table 2.
Suggested transesophageal echocardiography views and acquisition
| TEE Windows and Views | Acquisition and Probe Manipulation (Home Base: ME 4C View) | Structures imaged |
|---|---|---|
| ME AV SAX | From the ME 4C with slight probe withdrawal and rotating the angle (40–60°). Slight anteflexion may be required to optimize the view. The wave depth may be reduced to 10–12cm | AV (trileaflet, right coronary cusp being anterior, left cusp posterior, and non-coronary cusp near intra-atrial septum), RA, LA, IAS |
| ME AV LAX | From ME AV SAX view, further angle rotation (120–140°) with focus on AV, LV outflow tract and proximal aorta. Slight withdrawal with right turn may be required and wave depth of 10 cm | LA, LV (basal part), MV, LV outflow tract, AV (right coronary cusp adjacent to the RV, non-coronary or left cusp is posterior), sinuses of Valsalva, sinotubular junction, and proximal ascending aorta. LVOT diameter is often measured in this view |
| ME bicaval | From ME AV LAX view, right turn of the probe to position the atria in the centre, and angle rotation (80–110_) is required to obtain the bicaval view. Wave depth may need to be reduced focus is on the IAS (shunt, motion) | LA, RA, IAS, SVC and IVC (Eustachian valve seen in some patients adjacent to the IVC/RA junction). Slight turning of the probe to the right may bring the RUPV in view |
| ME modified bicaval | Right turn from standard bicaval and angle rotation adjustment be required to bring the TV in view for Doppler alignment | LA, RA, IAS, TV, and IVC. Slight turning of the probe to the right may bring the RUPV into view. Depends on the angle rotation, right atrial appendage and SVC may be visualized |
| ME RV inflow-outflow | From ME modified bicaval view, slight left turn and angle adjustment (50–70°) is required. The wave depth is adjusted to 14–16 cm to include all the intended structures imaged | RA, TV (anterior leaflet adjacent to AV, posterior leaflet adjacent to annulus/free wall), RV (inferior free wall), RVOT, PV, and proximal PA. The AV, IAS and LA are also visualized |
| ME 4C | From the ME RV inflow-outflow view, the ME 4C comes in view with an angle adjustment to 0° and a slight left turn. The wave depth is set between 12 −16 cm. Slight retroflexion, angle rotation (0–20°), or slight withdrawal/advancement may be required for view optimization | LA, LV (septal/inferoseptal/ and lateral / anterolateral walls), MV (anterior leaflet adjacent to the septum, posterior leaflet adjacent to the lateral wall), RA, RV (free wall), and TV (septal leaflet and posterior leaflet adjacent to the free wall). Note: A slight withdrawal of the probe brings LVOT and AV into view (five-chamber), while slight advancement of the probe may bring the RV outflow and coronary sinus (CS) into view |
| ME mitral commissural | From ME 4C view, angle rotation to 60°. Left or right turning may be required to examine the annulus | LA, LV (anterolateral and inferolateral walls), MV (posterior leaflet in both sides of the annulus, anterior leaflet in the middle), papillary muscles (posteromedial and anterolateral), and their chordae |
| ME two-chamber | From ME mitral commissural view, at the same depth, angle rotation to 90°. Slight left turn may be required to optimize the view | LA, LV (inferior and anterior walls), MV, CS (SAX), and Coumadin ridge separating LAA, and LUPV |
| ME AV LAX | From ME two-chamber view, further angle rotation to 110–140°. Slight right turn and withdrawal may be required to optimize the view | LA, LV (inferolateral and anteroseptal), MV, LV outflow tract, AV, and proximal ascending aorta |
| ME ascending aorta (SAX) | From ME AV LAX view, probe withdrawal and angle adjustment (0–30°). Turning the probe to the left allows examination of the PA bifurcation, while right turn allows right PA to come in view. Lower depth may be required to examine the structures | Pulmonary artery (main) and PV (seen in some patients), right pulmonary artery, ascending aorta (SAX), and SVC (SAX) |
| TG mid-Papillary SAX | From ME 4C, advance the probe into the stomach (40–45cm), and anteflex at the level of papillary muscles. Wave depth is adjusted to 12 cm at angle rotation 0° | LV (inferior, inferoseptal, anteroseptal, anterior, anterolateral, inferolateral) mid walls, Papillary muscles (posteromedial and anterolateral), RV (mid) with slight turning of the probe |
| TG basal SAX | Advance into stomach and increase anteflex from TG mid-papillary SAX | LV (inferior, inferoseptal, anteroseptal, anterior, anterolateral, inferolateral) basal walls, MV (anterior leaflet near the septum and posterior leaflet adjacent to lateral wall), RV, TV SAX |
| TG two-chamber | From TG mid-papillary SAX, the angle is rotated 90°. Slight turning and lessening anteflexion may be required | LV (anterior and inferior walls), MV, papillary muscles, chordae, LA, LAA |
| Deep TG five-chamber | From TG SAX view, the probe is advanced ~2 cm, anteflex and slight turning of the probe may be required to optimize the view | LV, LV outflow tract (best for Doppler alignment), AV, proximal ascending, MV |
| Descending aorta SAX | From ME 4C, the probe is turned to the left to position the descending Ao in the centre. The wave depth is adjusted to 4–6 cm. The probe could then be advanced to examine the entire thoracic descending aorta (depth 25–45 cm) | SAX of the descending thoracic aorta (until the level of the diaphragm). Celiac artery may be visible as well |
| Descending aorta LAX | From descending aorta SAX, multiplane angle is rotated to 90° to obtain LAX | LAX of the descending thoracic aorta (until the level of the diaphragm) |
NOTE: Zoom option or lower depth may be used for a closer view
AMVL= anterior mitral valve leaflet; Ao = aorta; AV = aortic valve; CS = coronary sinus; IAS = intra-atrial septum; IVC= inferior vena cava; L = left coronary cusp; LA = left atrium; LAA = left atrial appendage; LAX = long axis; LPA= left pulmonary artery; LUPV = left upper pulmonary vein; LV = left ventricle; LVOT = left ventricular outflow tract; ME = mid-esophageal; MPA= main pulmonary artery; MV = mitral valve; N = non-coronary cusp; PA = pulmonary artery; PM & AL= posteromedial and anterolateral papillary muscles; PMVL = posterior mitral valve leaflet; R = right coronary cusp; RA= right atrium; RPA= right pulmonary artery; RUPV = right upper pulmonary vein; RV= right ventricle; SAX = short axis; SVC= superior vena cava; TG = transgastric; TV= tricuspid valve; 4C = four chamber
Indications for perioperative TEE in non-cardiac surgery
Knowledge of the potential indications for the use of TEE in non-cardiac surgery is helpful in understanding where elective use of TEE may provide for rapid assessment of anticipated hemodynamic changes and where its benefits are likely to outweigh the various perioperative risks (Table 3). Nevertheless, the final decision for a TEE examination is guided by the patient’s medical status, the nature of the surgical procedure, and the specific circumstances as judged by the treating physician.10,14
Table 3.
Indications for perioperative transesophageal echocardiography (elective & rescue) exam
| Preoperative identification |
|
| Intraoperative Indications |
|
| Postoperative Indications |
|
IVC = inferior vena cava; SVC = superior vena cava
In contrast, rescue TEE is indicated in patients with unexpected or unexplained hemodynamic instability regardless of the surgical procedure or the patient’s medical condition. A rescue TEE may be performed intraoperatively, postoperatively in recovery, or in other critical care areas.12–14 Awareness of the intraoperative and postoperative indications for a rescue TEE can guide patient management in real time and minimize adverse outcomes of high-risk surgeries4 (Table 3).
While TEE is considered the preferred imaging modality for hemodynamic assessment intraoperatively, transthoracic echocardiography (TTE) is the modality of choice for cardiovascular evaluation in awake patients prior to induction of anesthesia or during postanesthesia recovery. It is important to understand that TEE provides high-resolution images of the posterior cardiac structures, whereas TTE offers generally very good visualization of the anterior cardiac structures, the left ventricular (LV) apex, and most of the aortic arch. Both modalities complement each other in the perioperative period.15
Contraindications to TEE
In trained hands, the TEE examination is generally a safe and minimally invasive procedure. The overall rate of TEE-related morbidity ranges from 0.2–1.2%.16 Contraindications to TEE insertion are well described in the literature14 (Table 4). Before TEE probe placement, clinical assessment is warranted to rule out contraindications, unless assessment is not feasible such as in emergencies or unconscious patients. When TEE is anticipated, the risks and benefits should be explained to the patient preoperatively and consent should be obtained.
Table 4.
Contraindications for perioperative transesophageal echocardiography
| Medical conditions |
|
| Trauma-related |
|
Clinical applications for TEE
Perioperative TEE is generally reserved for surgical patients with high-risk medical conditions and patients undergoing high-risk surgical procedures. The proposed TEE exam provides anesthesiologists with an adequate representation of the following structures and functions:
Ventricular structure and function
Hemodynamic parameters of volume status, cardiac output, and other related conditions
Valvular structure and function
Intracardiac masses
Cardiac shunts
Pericardial and cardiac tamponade
Aortic atheroma and acute aortic syndromes (e.g., dissection)
Assessment of ventricular structure and function
Echocardiography can be used as a real-time monitor of both the left ventricle and the right ventricle. The morphology of both ventricles needs to be assessed in terms of shape, size, wall thickness, and function (including regional wall motion and diastology).17,18
Left ventricular systolic function
Hemodynamic instability due to LV systolic dysfunction occurs in a significant proportion of patients undergoing non-cardiac surgery.2,19,20 A quick visual exam can rapidly ascertain LV function by qualitatively estimating the LV ejection fraction.21 This is best achieved in the TG mid-papillary short-axis (SAX) view.22,23 Quantitative surrogates of ejection fraction may be obtained through traditional approaches, such as using the 2D Simpson’s biplane method (echocardiographic gold standard)24 and fractional area change. These quantitative approaches should be employed along with a dynamic qualitative estimation of the ejection fraction, as loading conditions commonly change in the perioperative period and may lead to erroneous assessments. Importantly, ejection fraction should be interpreted with caution in patients with specific cardiac pathologies, for example, in patients with mitral regurgitation or ventricular septal defect.
When LV dysfunction is diagnosed, initiation of inotropes may be required. The left ventricle can then be closely monitored with the inotropic requirement titrated to a desired response. An increase in blood pressure alone should be interpreted with caution, because an increase in afterload following vasopressor therapy can significantly reduce LV contractility and unmask LV dysfunction.25
Assessment of regional wall motion abnormalities (RWMAs)
As part of the evaluation of LV systolic function, the left ventricle is examined for RWMAs. The left ventricle is visualized in 17 segments: six anatomical segments at the base of the heart, six corresponding segments at the mid-papillary level, four segments at the apical level, and an apical cap. This approach allows accurate examination of the LV walls and documentation of any abnormal wall motion at baseline.26 It also allows identification of ischemia within specific coronary artery territories. The right coronary artery provides perfusion to the right ventricle, inferior wall, and posterior one-third of the basal septum of the left ventricle. The left anterior descending artery perfuses the anterior and anteroseptal segments and the apical cap, and the left circumflex artery perfuses the lateral wall segments.
Echocardiography is a sensitive monitor for detection of perioperative myocardial ischemia.27,28 Analysis of LV segmental function is gleaned from ventricular wall motion and thickening during systole. The TG mid-papillary SAX view of the left ventricle is frequently employed to detect RWMAs, but basal and apical TG views must also be examined before RWMAs can be excluded. Once a new RWMA is detected and appropriate therapy instituted, continued monitoring for response is indicated.
Persistent and treatment-resistant RWMAs may indicate acute coronary syndrome, including myocardial infarction. New-onset mitral regurgitation or deterioration in preexisting regurgitation could also be early echocardiographic features of myocardial ischemia.29,30 Regional wall motion is commonly classified as 1) normal or hyperkinetic, 2) hypokinetic (reduced thickening), 3) akinetic (absence of thickening), and 4) dyskinetic (systolic thinning or aneurysmal changes).18
Left ventricular diastolic function
When surgical patients become hemodynamically unstable without changes in preload or contractility, diastolic dysfunction should be considered a differential etiology.31 Patients with LV diastolic dysfunction undergoing non-cardiac surgery sustain a higher risk of major adverse cardiac events.32 Left ventricular diastolic function should be assessed in high-risk patients and in patients with shortness of breath despite normal systolic function. Anesthesiologists with advanced echocardiographic skills may be consulted to determine the severity of the diastolic dysfunction based on mitral inflow, pulmonary venous flow, and tissue Doppler parameters.33 Change in diastolic function and development of acute diastolic dysfunction with hemodynamic instability have been reported in patients undergoing aortic surgery. Early recognition and treatment of acute diastolic dysfunction may be crucial in mitigating adverse outcomes of surgery.34
Right ventricular function
Acute and chronic RV dysfunction can lead to significant hemodynamic instability.35,36 Chronic RV dysfunction often includes RV hypertrophy or dilation and an enlarged right atrium (RA).37 Specific echocardiographic signs of RV failure include hypokinesis/akinesis of the ventricular free wall, abnormal septal shape and motion, loss of the triangular/crescentic RV morphology, and reduced tricuspid annular plane systolic excursion (TAPSE). A qualitative assessment of the motion of the free wall and the septum is often adequate.38
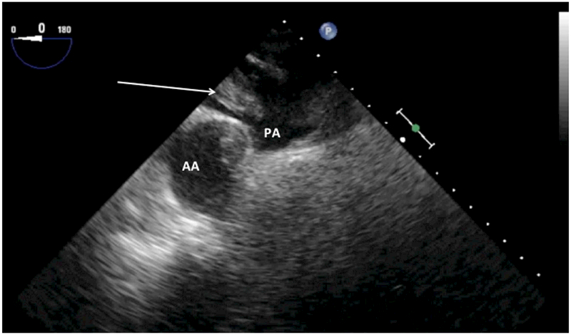
Acute RV failure may raise the suspicion of pulmonary embolism (PE). The proximal pulmonary artery can be visualized for the presence of a thromboembolus (Fig. 3). The development of acute pulmonary hypertension (from both PE and other pathologies) from a sudden increase in the pulmonary vascular resistance may lead to RV failure. The systolic pulmonary arterial pressure or RV systolic pressure can be estimated through Doppler measurement of the tricuspid regurgitation and the right atrial pressure.39 The latter can be estimated from inferior vena cava (IVC) size and change in diameter associated with respiration.38,40 The IVC can be imaged in the transgastric view at the level of the mitral valve (MV) by turning the probe clockwise (to the right) to find the liver. Slight probe withdrawal and transducer angle rotation (30–50°) may be required to optimize the view. M-mode imaging is recommended to measure the IVC size and changes in diameter. In spontaneously breathing patients, IVC diameter is measured and collapsibility (due to a decrease in intrathoracic pressure during inspiration) is assessed. In patients whose lungs are mechanically ventilated, however, distensibility (in response to the increase in intrathoracic pressure during ventilation) rather than collapsibility is assessed.41,42 Patients with an IVC diameter > 2.0 cm with no or minimal respiratory variations (< 50% collapsibility or distensibility) are deemed to have elevated right atrial pressure (>15 mmHg).38
Fig. 3.

Mid-esophageal ascending aorta transesophageal echocardiographic view shows pulmonary embolism in the right pulmonary artery (arrow). AA = ascending aorta; PA = pulmonary artery
For the best Doppler angle, alignment with the tricuspid regurgitant jet is obtained with the modified bicaval view. Right ventricular systolic pressure ≥ 35 mmHg is indicative of pulmonary hypertension, especially when it is associated with signs of RV failure. Further, when treatment is administered to reduce RV afterload, echocardiography is considered an ideal tool to monitor its dose titration and effectiveness.43,44
Assessment of preload
Administration of either inadequate or excessive intravenous fluids is associated with morbidity in surgical patients.45–47 There is emerging evidence of the benefits of goal-directed fluid therapy or a zero-balance approach during major surgeries.48–51
Many invasive and noninvasive monitors are used to guide intravenous fluid administration in high-risk patients and procedures. Amongst these, echocardiography appears to be an ideal tool for goal-directed fluid therapy.52,53 It can rapidly estimate the LV volume by examining changes in the LV size.13,33 The LV TG SAX mid-papillary view is the most commonly used view to estimate LV volume.53,54
Reduction in the LV cavity (changes in end systole and diastole LV dimension) from baseline or obliteration of the LV cavity during systole may indicate hypovolemia.53,55 Alternatively, the LV TG long-axis (LAX) one centimetre below the mitral annulus is also a reliable view to monitor and assess volume status by LV dimension.33 Further, accounting for respiratory variations, IVC diameter measured in the TG view is another indicator of the volume status in both spontaneously breathing (collapsibility) patients and patients whose lungs are mechanically ventilated (distensibility).41,42,56,57 Other indicators of volume overload include distension of the IVC, distension of the right ventricle, flattening of the septum (D-shaped left ventricle), increase in tricuspid regurgitation, and response to passive leg raise.
Assessment of cardiac output and hemodynamic monitoring
Monitoring the changes in cardiac output remains a key component of hemodynamic management in critically ill patients.58 Echocardiography is becoming the monitor of choice to measure (and monitor) changes in cardiac output, particularly with the decline in the use of the pulmonary artery catheter.59,60 The goal of hemodynamic management in patients with significant cardiac disease is to maintain optimal tissue perfusion during the perioperative period.
Technically, stroke volume and cardiac output can be estimated at any cardiac valve by measuring the velocity time integral at the valve multiplied by the valvular cross-sectional area. It can also be estimated through the difference in 2D volume between the end-diastolic and the end-systolic ventricular volume. Most ultrasound systems are equipped with software packages to enable automatic calculation of the cardiac output from the stroke volume and heart rate.13
One of the more popular approaches for measuring left-sided cardiac output is estimating the combined 2D LV outflow tract diameter from the ME LAX view and the velocity time integral of the LV outflow tract from the deep TG view (Fig. 4).61,62 To achieve continuous monitoring of cardiac output, the TEE probe can be left at the deep TG view for frequent measurement of the velocity time integral. The right-sided cardiac output can similarly be estimated by measuring the velocity time integral of the pulmonic valve from the ME ascending aorta SAX view and the 2D RV outflow diameter from the RV inflow-outflow view.63,64 Measurement of cardiac output in patients with arrhythmias, such as atrial fibrillation, may require multiple measurements of the LV outflow tract velocity time integral.
Fig. 4.

Transesophageal echocardiography (TEE) estimation of left-sided cardiac output utilizing pulsed wave (PW) Doppler of the left ventricular outflow tract (LVOT) and LVOT diameter (LVOTd). Left ventricular outflow tract diameter is best measured at the mid-esophageal long-axis view just adjacent to the aortic annulus during systole (A). The deep transgastric (TG) view is then obtained, and the PW cursor is positioned in the LVOT close to the aortic valve (AV) leaflets (B). The velocity time integral (VTI) is traced and the stroke volume (SV) is obtained (C). Heart rate (HR) is shown and cardiac output (CO) is calculated
In rescue TEE, a rapid assessment of LV systolic function and volume status can be achieved by “eyeballing” the left ventricle at the transgastric short-axis view, as this allows simultaneous visualization of three coronary territories and correlates well with global function.53
Other related conditions
Ventricular outflow tract obstruction
Left ventricular or RV outflow tract obstruction can also cause hemodynamic instability in perioperative atients.65,66 Systolic anterior motion of the anterior mitral leaflet is the most frequent cause of LV outflow tract obstruction in patients with hypertrophic cardiomyopathy (Fig. 5).67 Echocardiography is the only tool available for anesthesiologists to diagnose and assess the severity of the LV outflow tract obstruction, optimize the preload, and assess response to therapy.68–71 Right ventricular outflow obstruction is rare but has been described with hemodynamic instability during lung transplant surgery and post-cardiac surgery in the intensive care unit.36,72
Fig. 5.

A mid-esophageal five-chamber animation showing the left ventricular outflow tract (LVOT) in a normal heart (A) compared with a patient with dynamic LVOT obstruction (B). The obstruction is caused by systolic anterior motion of the anterior leaflet of the mitral valve. Ao = aorta; LA = left atrium; LV = left ventricle; MR = mitral regurgitation; 1 = anterior leaflet; 2 = posterior leaflet
Takotsubo cardiomyopathy
Takotsubo cardiomyopathy (broken heart syndrome) is a more common pathology than initially thought and may lead to significant hemodynamic instability.73 It may be triggered by surgical stress response and excessive sympathetic stimulation during the perioperative period. Echocardiography features include apical ballooning of the left ventricle with a normal to hyperdynamic base.74
Valvular lesions
Preoperative echocardiography is helpful in excluding suspected valvular pathology as well as in managing patients with significant valvular lesions undergoing non-cardiac surgical procedures. Details identifying and assessing the severity of valvular lesions have previously been reported.75,76 Transesophageal echocardiography is used for hemodynamic monitoring in these patients to ensure adequate cardiac output and to assess for changes in the regurgitant volume or in the volume passing through a stenotic lesion. Perioperative management should aim to minimize volume changes through the regurgitant/stenotic lesion and maximize cardiac output. Acute hemodynamic instability may occur in patients with significant valvular lesions.77–80 In these situations, by monitoring end-diastolic filling and ventricular contractility, TEE-guided management of the surgical patient ensures adequate cardiac output.81
Intracardiac masses
Valvular vegetation in septic patients may represent a challenge for perioperative hemodynamic management. Typically, vegetation is seen on the low-pressure and upstream side of the leaflets and on the coaptation lines. Intracardiac masses (primary or secondary), depending on their size and location, could adversely impact hemodynamics in the perioperative period. Often seen in the left atrium, an intracardiac myxoma is considered the most common primary cardiac tumour.82 Nevertheless, metastatic cardiac tumours are seen more frequently than primary tumours.83 Intracardiac thrombi are also a major finding and can be a surrogate finding on unstable patients after acute anterior wall myocardial infarction or in situations of low cardiac output. Intracardiac thrombi are commonly found on pacemakers, indwelling catheters, and cannulas.
Hypoxia
Hypoxia is a repeatedly encountered problem during the perioperative period. Unexplained hypoxia that cannot be attributed to a respiratory cause should be investigated for cardiac sources – e.g., cardiac shunts.
Intracardiac and intrapulmonary shunting
In the perioperative setting, right-to-left shunting may result in hemodynamic instability, refractory hypoxemia, or both. Colour flow Doppler and agitated saline contrast can aid in the diagnosis of a shunt. Right-to-left shunting through an atrial septal defect or a patent foramen ovale are the two most common causes of unexplained hypoxemia.84–86 The presence of a patent foramen ovale or other intracardiac shunting may increase the risk of paradoxical embolization or hypoxemia, particularly in orthopedic, neurosurgical, trauma, and laparoscopic procedures.87–89 The risk of hypoxemia is higher in the presence of increased right-sided pressures, as would occur with pulmonary hypertension, RV dysfunction, pulmonary embolism, and lung resection surgery.90 In the presence of normal blood pressure, steps to reduce right-sided pressure should be initiated. Occasionally, right-to-left shunting may also occur in the presence of pulmonary arteriovenous fistulas. The agitated saline contrast study may demonstrate a delay in the bubbles reaching the left atrium.91
Pulmonary emboli, air and fat emboli monitoring
Pulmonary embolism may lead to significant hemodynamic instability and hypoxia. When compared with other perioperative monitors, echocardiography is a specific and reliable monitor for diagnosing intraoperative pulmonary emboli.92,93 Intraoperative TEE may allow direct visualization of the embolus in the pulmonary artery or in its most proximal divisions. Nevertheless, findings are commonly those of acute RV overload, particularly with more distal emboli that cannot be visualized – e.g., RV enlargement and RV dysfunction with preservation of the apical contractility (McConnell’s sign).94 Secondary signs of high RV afterload, such as flattening of the interventricular septum during systole and significant tricuspid regurgitation, may also be observed in some patients. The usefulness of intraoperative TEE to detect thromboembolic air and fat embolism has been shown across a number of surgical procedures.95–98
Pleural effusion
Significant pleural effusion can lead to intraoperative hypoxia. Echocardiographic appearance of the pleural effusion may differ by etiology and chronicity. A loculated hemothorax or hematoma may give similar echogenic appearance of lung consolidation. In the TEE image, a left pleural effusion appears as a dark echo-free space posterior to the descending thoracic aorta (Fig. 6). A right pleural effusion can be seen by rotating the probe to the right from the ME four-chamber view and advancing it until the liver is seen.99 Compared with a chest x-ray, echocardiography detects volumes of 20 mL vs 200 mL.100 It is not uncommon to visualize pleural effusion, B-lines, and atelectasis in a patient suffering from hypoxia.101
Fig. 6.

Transesophageal echocardiographic view showing left pleural effusion. Notice the location of the effusion in relation to the descending aorta
Pericardial effusion and cardiac tamponade
A pericardial effusion is easily visualized as an echo-free space in the pericardial sac (Fig. 7). The diagnostic value of echocardiography in cardiac tamponade is well established.102,103 Transesophageal echocardiography may show compression of the heart chambers and impaired ventricular filling. The amount of fluid in the pericardium does not always correlate with tamponade, especially with chronic accumulation of pericardial fluid. Early recognition of this life-threatening condition, especially in trauma patients, allows for prompt intervention before impending cardiovascular collapse.104 Echocardiographic features include pericardial effusion, right atrial collapse with a pericardial effusion, or RV collapse and hemodynamic instability.105,106 Nevertheless, cardiac tamponade is a clinical rather than an echocardiographic diagnosis. Significant pericardial effusion alone may also result in inadequate ventilation and perioperative hemodynamic instability.
Fig. 7.

Transgastric mid-papillary view in a patient with pericardial effusion (arrow)
Aortic pathology
Examination of the aorta for atherosclerosis, atheroma, aneurysm, and dissection is an important component of the TEE exam. The sensitivity of TEE for pathologies in the ascending and descending thoracic aorta approaches 100%.107–109 Due to the air-filled trachea (and left mainstem bronchus) impeding ultrasound transmission, the distal ascending aorta may not be visible on TEE, which leaves the potential for false negatives on routine scanning. Using the ME and TG views, the examination should systematically proceed from the ascending aorta distally until the proximal end of the abdominal aorta.
The ascending aorta is examined at the ME LAX view and the ME SAX view. The descending aorta is examined in SAX and LAX views. When atherosclerosis or atheroma is detected, its location and severity need to be reported. For reporting, we recommend the use of the five-point severity scale: Grade I = normal aorta; Grade II = intima thickness > 2 mm; Grade III = atheroma thickness (i.e., lumen protrusion) < 5 mm; Grade IV= atheroma thickness > 5mm; and Grade V= mobile atheroma irrespective of the magnitude of thickness.107,110 The shape and size of the aortic segments should also be examined for the presence of any aneurysm. Detection of an intimal flap that divides the aorta into false and true lumens indicates aortic dissection.109 Colour flow Doppler can be used to identify fenestrated communication points (i.e., entry and exit sites) between the two lumens. Transesophageal echocardiography can also detect aortic insufficiency (AI) and involvement of the coronary artery ostia associated with aortic dissection. Clinical presentation of significant blunt trauma to the chest associated with back pain is suggestive of aortic dissection and should prompt the initiation of a TEE exam in hemodynamically unstable patients. Careful inspection of the aorta in multiple planes allows the echocardiographer to evaluate hematomas, intimal disruptions, transections, dissections, or artifacts. Colour flow Doppler is also helpful in identifying flow in false lumens and points of entry.107
Further, TEE is a valuable tool to guide endovascular repair of aneurysmal disease. Imaging of the thoracic aorta during stent deployment can identify atheroma at the landing zone, confirm the guidewire in the true lumen, and reveal the presence of endoleaks.111,112
Rescue TEE
When performing a rescue TEE, the physician should first evaluate ventricular contractility, adequacy of ventricular diastolic volume, and presence of pericardial effusion to direct further examination (Table 5 and Fig. 8). When no immediate etiology of hemodynamic instability is identified, a more elaborate 16-view exam proposed above should be considered. Additional views for extracardiac pathologies and other conditions mentioned above should be considered. When all else fails, consultations with a more experienced colleague should be sought while aggressive hemodynamic management continues.
Table 5.
Questions that need to be answered when performing a rescue transesophageal echocardiography
|
LV = left ventricle; RV = right ventricle; RWMAs = regional wall motion abnormalities
Fig. 8.

Recommended approach and views for rescue transesophageal echocardiography (TEE) exam.4,33 LA = left atrium; LAX = long axis; ME = mid-esophageal; PI = pulmonary insufficiency; RA = right atrium; Rt = right; RV = right ventricle; RWMA = regional wall motion abnormality; TG = transgastric; TR = tricuspid regurgitation; 4/5 = four & five chamber
Conclusions and future steps
Perioperative TEE in non-cardiac surgery provides a unique means for detailed real-time cardiovascular assessment with a wide variety of clinical applications. Transesophageal echocardiography may be considered the hemodynamic monitor of choice in high-risk surgical procedures and in high-risk patients undergoing non-cardiac surgery. It should be readily available in the perioperative area to provide evaluation of unexplained hemodynamic instability and cardiac emergencies.
As shown in the various clinical applications, echo-guided hemodynamic monitoring is a relatively novel approach to provide goal-directed therapy in perioperative patients. The use of echocardiography to optimize high-risk patients undergoing non-cardiac surgery is being studied and is anticipated to expand.113 The concept of monitoring patients’ cardiac output in a relatively noninvasive way compared with pulmonary artery catheters has led to changes in the role that TEE plays in the overall perioperative care of non-cardiac surgical patients.
Future studies evaluating the effectiveness of TEE are anticipated. As the use of TEE continues to expand outside the cardiac suite, appropriateness criteria will need to be continually defined. As technology has outpaced education with the invention of smaller and less expensive ultrasound devices, we anticipate that formal echocardiography training programs for anesthesiologists will adapt to the changes and become part of their postgraduate curricula. Additionally, there is no argument that the use of TEE in urgent or emergent situations (rescue TEE) and in non-cardiac surgery has its place; however, defining best practice guidance and developing high-quality training programs and optimal credentialing standards are key challenges that lie ahead.
Supplementary Material
Acknowledgments
Disclosures
Dr. Fayad is an author for UpToDate®. Dr. Shillcutt is an author for E-echocardiography.com, received funding from the National Institute on Aging (1R03 AG045103–01A1), and is owner of Brave Enough, LLC.
Footnotes
Conflicts of interest
None declared.
Electronic supplementary material The online version of this article (https://doi.org/10.1007/s12630-017-1017-7) contains supplementary material, which is available to authorized users.
Editorial responsibility
This submission was handled by Dr. Hilary P. Grocott, Editor-in-Chief, Canadian Journal of Anesthesia.
Contributor Information
Ashraf Fayad, Department of Anesthesiology and Pain Medicine, The Ottawa Hospital, University of Ottawa, 1053 Carling Avenue, Ottawa, ON K1Y 4E9, Canada.
Sasha K. Shillcutt, Department of Anesthesiology, University of Nebraska Medical Center, Omaha, NE, USA.
References
- 1.Oka Y. The evolution of intraoperative transesophageal echocardiography. Mt Sinai J Med 2002; 69: 18–20. [PubMed] [Google Scholar]
- 2.Suriani RJ, Neustein S, Shore-Lesserson L, Konstadt S. Intraoperative transesophageal echocardiography during noncardiac surgery. J Cardiothorac Vasc Anesth 1998; 12: 274–80. [DOI] [PubMed] [Google Scholar]
- 3.Markin NW, Gmelch BS, Griffee MJ, Holmberg TJ, Morgan DE, Zimmerman JM. A review of 364 perioperative rescue echocardiograms: findings of an anesthesiologist-staffed perioperative echocardiography service. J Cardiothorac Vasc Anesth 2015; 29: 82–8. [DOI] [PubMed] [Google Scholar]
- 4.Shillcutt SK, Markin NW, Montzingo CR, Brakke TR. Use of rapid ‘‘rescue’’ perioperative echocardiography to improve outcomes after hemodynamic instability in noncardiac surgical patients. J Cardiothorac Vasc Anesth 2012; 26: 362–70. [DOI] [PubMed] [Google Scholar]
- 5.Mahmood F, Christie A, Matyal R. Transesophageal echocardiography and noncardiac surgery. Semin Cardiothorac Vasc Anesth 2008; 12: 265–89. [DOI] [PubMed] [Google Scholar]
- 6.Mahmood F, Shernan SK. Perioperative transoesophageal echocardiography: current status and future directions. Heart 2016; 102: 1159–67. [DOI] [PubMed] [Google Scholar]
- 7.Dalia AA, Khan H, Flores AS. Intraoperative Diagnosis of intracardiac thrombus during orthotopic liver transplantation with transesophageal echocardiography: a case series and literature review. Semin Cardiothorac Vasc Anesth 2016; 21: 245–51. [DOI] [PubMed] [Google Scholar]
- 8.Gajewski M, Hillel Z. Anesthesia management of patients with hypertrophic obstructive cardiomyopathy. Prog Cardiovasc Dis 2012; 54: 503–11. [DOI] [PubMed] [Google Scholar]
- 9.Mahmood F, Swaminathan M. Transesophageal echocardiography and noncardiac surgery: how far does the nondiagnostic use go? J Cardiothorac Vasc Anesth 2012; 26: 356–7. [DOI] [PubMed] [Google Scholar]
- 10.Hahn RT, Abraham T, Adams MS, et al. Guidelines for performing a comprehensive transesophageal echocardiographic examination: recommendations from the American Society of Echocardiography and the Society of Cardiovascular Anesthesiologists. J Am Soc Echocardiogr 2013; 26: 921–64. [DOI] [PubMed] [Google Scholar]
- 11.Anonymous. Practice guidelines for perioperative transesophageal echocardiography. A report by the American Society of Anesthesiologists and the Society of Cardiovascular Anesthesiologists Task Force on Transesophageal Echocardiography. Anesthesiology 1996; 84: 986–1006. [PubMed] [Google Scholar]
- 12.American Society of Anesthesiologists; Society of Cardiovascular Anesthesiologists. Task Force on Transesophageal Echocardiography Practice guidelines for perioperative transesophageal echocardiography. An updated report by the American Society of Anesthesiologists and the Society of Cardiovascular Anesthesiologists Task Force on Transesophageal Echocardiography. Anesthesiology 2010; 112: 1084–96. [DOI] [PubMed] [Google Scholar]
- 13.Reeves ST, Finley AC, Skubas NJ, et al. Basic perioperative transesophageal echocardiography examination: a consensus statement of the American Society of Echocardiography and the Society of Cardiovascular Anesthesiologists. J Am Soc Echocardiogr 2013; 26: 443–56. [DOI] [PubMed] [Google Scholar]
- 14.Shanewise JS, Cheung AT, Aronson S, et al. ASE/SCA guidelines for performing a comprehensive intraoperative multiplane transesophageal echocardiography examination: recommendations of the American Society of Echocardiography Council for Intraoperative Echocardiography and the Society of Cardiovascular Anesthesiologists Task Force for Certification in Perioperative Transesophageal Echocardiography. Anesth Analg 1999; 89: 870–84. [DOI] [PubMed] [Google Scholar]
- 15.Shillcutt SK, Bick JS. Echo didactics: a comparison of basic transthoracic and transesophageal echocardiography views in the perioperative setting. Anesth Analg 2013; 116: 1231–6. [DOI] [PubMed] [Google Scholar]
- 16.Purza R, Ghosh S, Walker C, et al. Transesophageal echocardiography complications in adult cardiac surgery: a retrospective cohort study. Ann Thorac Surg 2017; 103: 795–802. [DOI] [PubMed] [Google Scholar]
- 17.Schiller NB, Shah PM, Crawford M, et al. Recommendations for quantitation of the left ventricle by two-dimensional echocardiography. American Society of Echocardiography Committee on Standards, Subcommittee on Quantitation of Two-Dimensional Echocardiograms. J Am Soc Echocardiogr 1989; 2: 358–67. [DOI] [PubMed] [Google Scholar]
- 18.Lang RM, Badano LP, Mor-Avi V, et al. Recommendations for cardiac chamber quantification by echocardiography in adults: an update from the American Society of Echocardiography and the European Association of Cardiovascular Imaging. J Am Soc Echocardiogr 2015; 28: 1.39.e14. [DOI] [PubMed] [Google Scholar]
- 19.Brederlau J, Kredel M, Wurmb T, et al. Transesophageal echocardiography for non-cardiac surgery patients: superfluous luxury or essential diagnostic tool? (German). Anaesthesist 2006; 55(937–40): 942–3. [DOI] [PubMed] [Google Scholar]
- 20.Hofer CK, Zollinger A, Rak M, et al. Therapeutic impact of intra-operative transoesophageal echocardiography during noncardiac surgery. Anaesthesia 2004; 59: 3–9. [DOI] [PubMed] [Google Scholar]
- 21.Mueller X, Stauffer JC, Jaussi A, Goy JJ, Kappenberger L. Subjective visual echocardiographic estimate of left ventricular ejection fraction as an alternative to conventional echocardiographic methods: comparison with contrast angiography. Clin Cardiol 1991; 14: 898–902. [DOI] [PubMed] [Google Scholar]
- 22.Shahgaldi K, Gudmundsson P, Manouras A, Brodin LA, Winter R. Visually estimated ejection fraction by two dimensional and triplane echocardiography is closely correlated with quantitative ejection fraction by real-time three dimensional echocardiography. Cardiovasc Ultrasound 2009; 7: 41. [DOI] [PMC free article] [PubMed] [Google Scholar]
- 23.Gudmundsson P, Rydberg E, Winter R, Willenheimer R. Visually estimated left ventricular ejection fraction by echocardiography is closely correlated with formal quantitative methods. Int J Cardiol 2005; 101: 209–12. [DOI] [PubMed] [Google Scholar]
- 24.Parisi AF, Moynihan PF, Feldman CL, Folland ED. Approaches to determination of left ventricular volume and ejection fraction by real-time two-dimensional echocardiography. Clin Cardiol 1979; 2: 257–63. [DOI] [PubMed] [Google Scholar]
- 25.Vieillard-Baron A, Caille V, Charron C, Belliard G, Page B, Jardin F. Actual incidence of global left ventricular hypokinesia in adult septic shock. Crit Care Med 2008; 36: 1701–6. [DOI] [PubMed] [Google Scholar]
- 26.Cerqueira MD, Weissman NJ, Dilsizian V, et al. Standardized myocardial segmentation and nomenclature for tomographic imaging of the heart. A statement for healthcare professionals from the Cardiac Imaging Committee of the Council on Clinical Cardiology of the American Heart Association. Circulation 2002; 105: 539–42. [DOI] [PubMed] [Google Scholar]
- 27.Harris SN, Gordon MA, Urban MK, O’Connor TZ, Barash PG. The pressure rate quotient is not an indicator of myocardial ischemia in humans. An echocardiographic evaluation. Anesthesiology 1993; 78: 242–50. [DOI] [PubMed] [Google Scholar]
- 28.Corda DM, Caruso LJ, Mangano D. Myocardial ischemia detected by transesophageal echocardiography in a patient undergoing peripheral vascular surgery. J Clin Anesth 2000; 12: 491–7. [DOI] [PubMed] [Google Scholar]
- 29.Lunghetti S, D’Asaro MG, Guerrieri G, et al. Massive mitral regurgitation secondary to acute ischemic papillary muscle rupture: the role of echocardiography. Cardiol J 2010; 17: 397–400. [PubMed] [Google Scholar]
- 30.Kapoor PM, Chowdhury U, Mandal B, Kiran U, Karnatak R. Trans-esophageal echocardiography in off-pump coronary artery bypass grafting. Ann Card Anaesth 2009; 12: 167. [DOI] [PubMed] [Google Scholar]
- 31.Cabrera SM, Schmied PS, Vega SR, Semertzakis PI, De La Maza CJ. Intraoperative diastolic dysfunction as a risk factor for hemodynamic instability (Spanish). Rev Med Chil 2007; 135: 1276–81. [PubMed] [Google Scholar]
- 32.Fayad A, Ansari MT, Yang H, Ruddy T, Wells GA. Perioperative Diastolic Dysfunction in Patients Undergoing Noncardiac Surgery Is an Independent Risk Factor for Cardiovascular Events: A Systematic Review and Meta-analysis. Anesthesiology 2016; 125: 72–91. [DOI] [PubMed] [Google Scholar]
- 33.Porter TR, Shillcutt SK, Adams MS, et al. Guidelines for the use of echocardiography as a monitor for therapeutic intervention in adults: a report from the American Society of Echocardiography. J Am Soc Echocardiogr 2015; 28: 40–56. [DOI] [PubMed] [Google Scholar]
- 34.Fayad A, Yang H, Nathan H, Bryson GL, Cina CS. Acute diastolic dysfunction in thoracoabdominal aortic aneurysm surgery. Can J Anesth 2006; 53: 168–73. [DOI] [PubMed] [Google Scholar]
- 35.Denault AY, Couture P, Buithieu J, et al. Left and right ventricular diastolic dysfunction as predictors of difficult separation from cardiopulmonary bypass. Can J Anesth 2006; 53: 1020–9. [DOI] [PubMed] [Google Scholar]
- 36.Denault AY, Chaput M, Couture P, Hebert Y, Haddad F, Tardif JC. Dynamic right ventricular outflow tract obstruction in cardiac surgery. J Thorac Cardiovasc Surg 2006; 132: 43–9. [DOI] [PubMed] [Google Scholar]
- 37.Voelkel NF, Quaife RA, Leinwand LA, et al. Right ventricular function and failure: report of a National Heart, Lung, and Blood Institute working group on cellular and molecular mechanisms of right heart failure. Circulation 2006; 114: 1883–91. [DOI] [PubMed] [Google Scholar]
- 38.Rudski LG, Lai WW, Afilalo J, et al. Guidelines for the echocardiographic assessment of the right heart in adults: a report from the American Society of Echocardiography endorsed by the European Association of Echocardiography, a registered branch of the European Society of Cardiology, and the Canadian Society of Echocardiography. J Am Soc Echocardiogr 2010; 23: 685–713. [DOI] [PubMed] [Google Scholar]
- 39.Yock PG, Popp RL. Noninvasive estimation of right ventricular systolic pressure by Doppler ultrasound in patients with tricuspid regurgitation. Circulation 1984; 70: 657–62. [DOI] [PubMed] [Google Scholar]
- 40.Arthur ME, Landolfo C, Wade M, Castresana MR. Inferior vena cava diameter (IVCD) measured with transesophageal echocardiography (TEE) can be used to derive the central venous pressure (CVP) in anesthetized mechanically ventilated patients. Echocardiography 2009; 26: 140–9. [DOI] [PubMed] [Google Scholar]
- 41.Muller L, Bobbia X, Toumi M, et al. Respiratory variations of inferior vena cava diameter to predict fluid responsiveness in spontaneously breathing patients with acute circulatory failure: need for a cautious use. Crit Care 2012; 16: R188. [DOI] [PMC free article] [PubMed] [Google Scholar]
- 42.Feissel M, Michard F, Faller JP, Teboul JL. The respiratory variation in inferior vena cava diameter as a guide to fluid therapy. Intensive Care Med 2004; 30: 1834–7. [DOI] [PubMed] [Google Scholar]
- 43.Inglessis I, Shin JT, Lepore JJ, et al. Hemodynamic effects of inhaled nitric oxide in right ventricular myocardial infarction and cardiogenic shock. J Am Coll Cardiol 2004; 44: 793–8. [DOI] [PubMed] [Google Scholar]
- 44.Fattouch K, Sbraga F, Bianco G, et al. Inhaled prostacyclin, nitric oxide, and nitroprusside in pulmonary hypertension after mitral valve replacement. J Card Surg 2005; 20: 171–6. [DOI] [PubMed] [Google Scholar]
- 45.Nisanevich V, Felsenstein I, Almogy G, Weissman C, Einav S, Matot I. Effect of intraoperative fluid management on outcome after intraabdominal surgery. Anesthesiology 2005; 103: 25–32. [DOI] [PubMed] [Google Scholar]
- 46.Bundgaard-Nielsen M, Holte K, Secher NH, Kehlet H. Monitoring of peri-operative fluid administration by individualized goal-directed therapy. Acta Anaesthesiol Scand 2007; 51: 331–40. [DOI] [PubMed] [Google Scholar]
- 47.Brandstrup B, Tonnesen H, Beier-Holgersen R, et al. Effects of intravenous fluid restriction on postoperative complications: comparison of two perioperative fluid regimens: a randomized assessor-blinded multicenter trial. Ann Surg 2003; 238: 641–8. [DOI] [PMC free article] [PubMed] [Google Scholar]
- 48.Gan TJ, Soppitt A, Maroof M, et al. Goal-directed intraoperative fluid administration reduces length of hospital stay after major surgery. Anesthesiology 2002; 97: 820–6. [DOI] [PubMed] [Google Scholar]
- 49.Pearse RM, Dawson D, Fawcett J, Rhodes A, Grounds RM, Bennett D. The incidence of myocardial injury following postoperative Goal Directed Therapy. BMC Cardiovasc Disord 2007; 7: 10. [DOI] [PMC free article] [PubMed] [Google Scholar]
- 50.Neal JM, Wilcox RT, Allen HW, Low DE. Near-total esophagectomy: the influence of standardized multimodal management and intraoperative fluid restriction. Reg Anesth Pain Med 2003; 28: 328–34. [DOI] [PubMed] [Google Scholar]
- 51.Lobo DN, Bostock KA, Neal KR, Perkins AC, Rowlands BJ, Allison SP. Effect of salt and water balance on recovery of gastrointestinal function after elective colonic resection: a randomised controlled trial. Lancet 2002; 359: 1812–8. [DOI] [PubMed] [Google Scholar]
- 52.Clements FM, Harpole DH, Quill T, Jones RH, McCann RL. Estimation of left ventricular volume and ejection fraction by two-dimensional transoesophageal echocardiography: comparison of short axis imaging and simultaneous radionuclide angiography. Br J Anaesth 1990; 64: 331–6. [DOI] [PubMed] [Google Scholar]
- 53.Leung JM, Levine EH. Left ventricular end-systolic cavity obliteration as an estimate of intraoperative hypovolemia. Anesthesiology 1994; 81: 1102–9. [DOI] [PubMed] [Google Scholar]
- 54.Cheung AT, Savino JS, Weiss SJ, Aukburg SJ, Berlin JA. Echocardiographic and hemodynamic indexes of left ventricular preload in patients with normal and abnormal ventricular function. Anesthesiology 1994; 81: 376–87. [DOI] [PubMed] [Google Scholar]
- 55.Lang RM, Bierig M, Devereux RB, et al. Recommendations for chamber quantification: a report from the American Society of Echocardiography’s Guidelines and Standards Committee and the Chamber Quantification Writing Group, developed in conjunction with the European Association of Echocardiography, a branch of the European Society of Cardiology. J Am Soc Echocardiogr 2005; 18: 1440–63. [DOI] [PubMed] [Google Scholar]
- 56.Guiotto G, Masarone M, Paladino F, et al. Inferior vena cava collapsibility to guide fluid removal in slow continuous ultrafiltration: a pilot study. Intensive Care Med 2010; 36: 692–6. [DOI] [PubMed] [Google Scholar]
- 57.Jardin F, Vieillard-Baron A. Ultrasonographic examination of the venae cavae. Intensive Care Med 2006; 32: 203–6. [DOI] [PubMed] [Google Scholar]
- 58.Price S, Nicol E, Gibson DG, Evans TW. Echocardiography in the critically ill: current and potential roles. Intensive Care Med 2006; 32: 48–59. [DOI] [PubMed] [Google Scholar]
- 59.Richard C, Warszawski J, Anguel N, et al. Early use of the pulmonary artery catheter and outcomes in patients with shock and acute respiratory distress syndrome: a randomized controlled trial. JAMA 2003; 290: 2713–20. [DOI] [PubMed] [Google Scholar]
- 60.Harvey S, Harrison DA, Singer M, et al. Assessment of the clinical effectiveness of pulmonary artery catheters in management of patients in intensive care (PAC-Man): a randomised controlled trial. Lancet 2005; 366: 472–7. [DOI] [PubMed] [Google Scholar]
- 61.Axler O, Tousignant C, Thompson CR, et al. Comparison of transesophageal echocardiographic, fick, and thermodilution cardiac output in critically ill patients. J Crit Care 1996; 11: 109–16. [DOI] [PubMed] [Google Scholar]
- 62.Bernardin G, Tiger F, Fouche R, Mattei M. Continuous noninvasive measurement of aortic blood flow in critically ill patients with a new esophageal echo-Doppler system. J Crit Care 1998; 13: 177–83. [DOI] [PubMed] [Google Scholar]
- 63.Savino JS, Troianos CA, Aukburg S, Weiss R, Reichek N. Measurement of pulmonary blood flow with transesophageal two-dimensional and Doppler echocardiography. Anesthesiology 1991; 75: 445–51. [DOI] [PubMed] [Google Scholar]
- 64.Roewer N, Bednarz F, Schulte am Esch J. Continuous measurement of intracardiac and pulmonary blood flow velocities with transesophageal pulsed Doppler echocardiography: technique and initial clinical experience. J Cardiothorac Anesth 1987; 1: 418–28. [DOI] [PubMed] [Google Scholar]
- 65.Butz T, Horstkotte D, Langer C, et al. Significant obstruction of the right and left ventricular outflow tract in a patient with biventricular hypertrophic cardiomyopathy. Eur J Echocardiogr 2008; 9: 344–5. [DOI] [PubMed] [Google Scholar]
- 66.Rochon AG, L’Allier PL, Denault AY. Always consider left ventricular outflow tract obstruction in hemodynamically unstable patients. Can J Anesth 2009; 56: 962–8. [DOI] [PubMed] [Google Scholar]
- 67.Cecchi F, Olivotto I, Nistri S, Antoniucci D, Yacoub MH. Midventricular obstruction and clinical decision-making in obstructive hypertrophic cardiomyopathy. Herz 2006; 31: 871–6. [DOI] [PubMed] [Google Scholar]
- 68.Sohn DW, Shin GJ, Oh JK, et al. Role of transesophageal echocardiography in hemodynamically unstable patients. Mayo Clin Proc 1995; 70: 925–31. [DOI] [PubMed] [Google Scholar]
- 69.Madu EC, Brown R, Geraci SA. Dynamic left ventricular outflow tract obstruction in critically ill patients: role of transesophageal echocardiography in therapeutic decision making. Cardiology 1997; 88: 292–5. [DOI] [PubMed] [Google Scholar]
- 70.Fayad A Left ventricular outflow obstruction in a patient with undiagnosed hypertrophic obstructive cardiomyopathy. Can J Anesth 2007; 54: 1019–20. [DOI] [PubMed] [Google Scholar]
- 71.Rietman GW, van der Maaten JM, Douglas YL, Boonstra PW. Echocardiographic diagnosis of left ventricular outflow tract obstruction after mitral valve replacement with subvalvular preservation. Eur J Cardiothorac Surg 2002; 22: 825–7. [DOI] [PubMed] [Google Scholar]
- 72.Ritchie ME, Davila-Roman VG, Barzilai B. Dynamic right ventricular outflow obstruction after single-lung transplantation. Biplane transesophageal echocardiographic findings. Chest 1994; 105: 610–1. [DOI] [PubMed] [Google Scholar]
- 73.Hessel EA 2nd. Takotsubo cardiomyopathy and its relevance to anesthesiology: a narrative review. Can J Anesth 2016; 63: 1059–74. [DOI] [PubMed] [Google Scholar]
- 74.Donohue D, Ahsan C, Sanaei-Ardekani M, Movahed MR. Early diagnosis of stress-induced apical ballooning syndrome based on classic echocardiographic findings and correlation with cardiac catheterization. J Am Soc Echocardiogr 2005; 18: 1423. [DOI] [PubMed] [Google Scholar]
- 75.Zoghbi WA, Enriquez-Sarano M, Foster E, et al. Recommendations for evaluation of the severity of native valvular regurgitation with two-dimensional and Doppler echocardiography. J Am Soc Echocardiogr 2003; 16: 777–802. [DOI] [PubMed] [Google Scholar]
- 76.Baumgartner H, Hung J, Bermejo J, et al. Echocardiographic assessment of valve stenosis: EAE/ASE recommendations for clinical practice. J Am Soc Echocardiogr 2009; 22: 1–23. [DOI] [PubMed] [Google Scholar]
- 77.Colreavy FB, Donovan K, Lee KY, Weekes J. Transesophageal echocardiography in critically ill patients. Crit Care Med 2002; 30: 989–96. [DOI] [PubMed] [Google Scholar]
- 78.Bruch C, Comber M, Schmermund A, Eggebrecht H, Bartel T, Erbel R. Diagnostic usefulness and impact on management of transesophageal echocardiography in surgical intensive care units. Am J Cardiol 2003; 91: 510–3. [DOI] [PubMed] [Google Scholar]
- 79.Thompson CR, Buller CE, Sleeper LA, et al. Cardiogenic shock due to acute severe mitral regurgitation complicating acute myocardial infarction: a report from the SHOCK Trial Registry. SHould we use emergently revascularize Occluded Coronaries in cardiogenic shocK? J Am Coll Cardiol 2000; 36(3 Suppl A): 1104–9. [DOI] [PubMed] [Google Scholar]
- 80.Jamet B, Chabert JP, Metz D, Elaerts J. Acute aortic insufficiency (French). Ann Cardiol Angeiol (Paris) 2000; 49: 183–6. [PubMed] [Google Scholar]
- 81.Christ M, Sharkova Y, Geldner G, Maisch B. Preoperative and perioperative care for patients with suspected or established aortic stenosis facing noncardiac surgery. Chest 2005; 128: 2944–53. [DOI] [PubMed] [Google Scholar]
- 82.Meng Q, Lai H, Lima J, Tong W, Qian Y, Lai S. Echocardiographic and pathologic characteristics of primary cardiac tumors: a study of 149 cases. Int J Cardiol 2002; 84: 69–75. [DOI] [PubMed] [Google Scholar]
- 83.Paraskevaidis IA, Michalakeas CA, Papadopoulos CH, Anastasiou-Nana M. Cardiac tumors. ISRN. Oncol 2011; 2011: 208929. [DOI] [PMC free article] [PubMed] [Google Scholar]
- 84.Brandt RR, Oh JK, Abel MD, Click RL, Orszulak TA, Seward JB.Role of emergency intraoperative transesophageal echocardiography. J Am Soc Echocardiogr 1998; 11: 972–7. [DOI] [PubMed] [Google Scholar]
- 85.Krumsdorf U, Ostermayer S, Billinger K, et al. Incidence and clinical course of thrombus formation on atrial septal defect and patient foramen ovale closure devices in 1,000 consecutive patients. J Am Coll Cardiol 2004; 43: 302–9. [DOI] [PubMed] [Google Scholar]
- 86.Hijazi Z, Wang Z, Cao Q, Koenig P, Waight D, Lang R. Transcatheter closure of atrial septal defects and patent foramen ovale under intracardiac echocardiographic guidance: feasibility and comparison with transesophageal echocardiography. Catheter Cardiovasc Interv 2001; 52: 194–9. [DOI] [PubMed] [Google Scholar]
- 87.Reeves ST, Bevis LA, Bailey BN. Positioning a right atrial air aspiration catheter using transesophageal echocardiography. J Neurosurg Anesthesiol 1996; 8: 123–5. [DOI] [PubMed] [Google Scholar]
- 88.Della Valle CJ, Jazrawi LM, Di Cesare PE, Steiger DJ. Paradoxical cerebral embolism complicating a major orthopaedic operation. A report of two cases. J Bone Joint Surg Am 1999; 81: 108–10. [DOI] [PubMed] [Google Scholar]
- 89.Kim SH, Park KS, Shin HY, Yi JH, Kim DK. Paradoxical carbon dioxide embolism during endoscopic thyroidectomy confirmed by transesophageal echocardiography. J Anesth 2010; 24: 774–7. [DOI] [PubMed] [Google Scholar]
- 90.Yalonetsky S, Nun AB, Shwartz Y, Lorber A. Transcatheter closure of a patent foramen ovale prior to a pneumonectomy to prevent platypnea syndrome. Eur J Cardiothorac Surg 2006; 29: 622–4. [DOI] [PubMed] [Google Scholar]
- 91.Pick A, Deschamps C, Stanson AW. Pulmonary arteriovenous fistula: presentation, diagnosis, and treatment. World J Surg 1999; 23: 1118–22. [DOI] [PubMed] [Google Scholar]
- 92.Palmon SC, Moore LE, Lundberg J, Toung T. Venous air embolism: a review. J Clin Anesth 1997; 9: 251–7. [DOI] [PubMed] [Google Scholar]
- 93.Rosenberger P, Shernan SK, Mihaljevic T, Eltzschig HK. Transesophageal echocardiography for detecting extrapulmonary thrombi during pulmonary embolectomy. Ann Thorac Surg 2004; 78: 862,6; discussion 866. [DOI] [PubMed] [Google Scholar]
- 94.Mookadam F, Jiamsripong P, Goel R, Warsame TA, Emani UR, Khandheria BK. Critical appraisal on the utility of echocardiography in the management of acute pulmonary embolism. Cardiol Rev 2010; 18: 29–37. [DOI] [PubMed] [Google Scholar]
- 95.Fayad A Echocardiography images of inferior vena cava tumour thrombus in patient with renal cell carcinoma. Can J Anesth 2008; 55: 557–8. [DOI] [PubMed] [Google Scholar]
- 96.Schmitt HJ, Hemmerling TM. Venous air emboli occur during release of positive end-expiratory pressure and repositioning after sitting position surgery. Anesth Analg 2002; 94: 400–3. [DOI] [PubMed] [Google Scholar]
- 97.Bulger EM, Smith DG, Maier RV, Jurkovich GJ. Fat embolism syndrome. A 10-year review. Arch Surg 1997; 132: 435–9. [DOI] [PubMed] [Google Scholar]
- 98.Rosenberger P, Shernan SK, Body SC, Eltzschig HK. Utility of intraoperative transesophageal echocardiography for diagnosis of pulmonary embolism. Anesth Analg 2004; 99: 12–6. [DOI] [PubMed] [Google Scholar]
- 99.Swenson JD, Bull DA. Intraoperative diagnosis and treatment of pleural effusion based on transesophageal echocardiographic findings. Anesth Analg 1999; 89: 309–10. [DOI] [PubMed] [Google Scholar]
- 100.Eibenberger KL, Dock WI, Ammann ME, Dorffner R, Hormann MF, Grabenwoger F. Quantification of pleural effusions: sonography versus radiography. Radiology 1994; 191: 681–4. [DOI] [PubMed] [Google Scholar]
- 101.Lichtenstein DA, Meziere GA. Relevance of lung ultrasound in the diagnosis of acute respiratory failure: the BLUE protocol. Chest 2008; 134: 117–25. [DOI] [PMC free article] [PubMed] [Google Scholar]
- 102.Tsang TS, Oh JK, Seward JB, Tajik AJ. Diagnostic value of echocardiography in cardiac tamponade. Herz 2000; 25: 734–40. [DOI] [PubMed] [Google Scholar]
- 103.Mager A, Birnbaum Y, Adler Y, Imbar S, Strasberg B, Battler A. The anteroposterior pericardial sac diameter measured by echocardiography correlates with the volume of pericardial effusion and with effort dyspnea. Eur J Echocardiogr 2005; 6: 358–62. [DOI] [PubMed] [Google Scholar]
- 104.Weekes AJ, Quirke DP. Emergency echocardiography. Emerg Med Clin North Am 2011; 29: 759–87, vi–vii. [DOI] [PubMed] [Google Scholar]
- 105.Tsang TS, Barnes ME, Hayes SN, et al. Clinical and echocardiographic characteristics of significant pericardial effusions following cardiothoracic surgery and outcomes of echo-guided pericardiocentesis for management: Mayo Clinic experience, 1979–1998. Chest 1999; 116: 322–31. [DOI] [PubMed] [Google Scholar]
- 106.Grocott HP, Gulati H, Srinathan S, Mackensen GB. Anesthesia and the patient with pericardial disease. Can J Anesth 2011; 58: 952–66. [DOI] [PubMed] [Google Scholar]
- 107.Goldstein SA, Evangelista A, Abbara S, et al. Multimodality imaging of diseases of the thoracic aorta in adults: from the American Society of Echocardiography and the European Association of Cardiovascular Imaging: endorsed by the Society of Cardiovascular Computed Tomography and Society for Cardiovascular Magnetic Resonance. J Am Soc Echocardiogr 2015; 28: 119–82. [DOI] [PubMed] [Google Scholar]
- 108.Evangelista A, Flachskampf FA, Erbel R, et al. Echocardiography in aortic diseases: EAE recommendations for clinical practice. Eur J Echocardiogr 2010; 11: 645–58. [DOI] [PubMed] [Google Scholar]
- 109.Penco M, Paparoni S, Dagianti A, et al. Usefulness of transesophageal echocardiography in the assessment of aortic dissection. Am J Cardiol 2000; 86: 53G–6G. [DOI] [PubMed] [Google Scholar]
- 110.Katz ES, Tunick PA, Rusinek H, Ribakove G, Spencer FC, Kronzon I. Protruding aortic atheromas predict stroke in elderly patients undergoing cardiopulmonary bypass: experience with intraoperative transesophageal echocardiography. J Am Coll Cardiol 1992; 20: 70–7. [DOI] [PubMed] [Google Scholar]
- 111.Fayad A A misplaced guide wire in the false lumen during endovascular repair of a type B aortic dissection. Can J Anesth 2007; 54: 947–8. [DOI] [PubMed] [Google Scholar]
- 112.Fattori R, Caldarera I, Rapezzi C, et al. Primary endoleakage in endovascular treatment of the thoracic aorta: importance of intraoperative transesophageal echocardiography. J Thorac Cardiovasc Surg 2000; 120: 490–5. [DOI] [PubMed] [Google Scholar]
- 113.Shillcutt SK, Montzingo CR, Agrawal A, et al. Echocardiography-based hemodynamic management of left ventricular diastolic dysfunction: a feasibility and safety study. Echocardiography 2014; 31: 1189–98. [DOI] [PubMed] [Google Scholar]
Associated Data
This section collects any data citations, data availability statements, or supplementary materials included in this article.
