Abstract
Squamous cell carcinoma (SCC) is the most common primary malignancy to affect the temporal bone, including primary cutaneous SCC of the pinna, external auditory canal, middle and inner ear. This anatomically complex region generates complicated three-dimensional specimens that can be a challenge for macroscopic and microscopic pathologic assessment. A universally accepted staging classification for these malignancies is still to be established. A brief summary of the regional anatomy, etiology and epidemiology, presentation and diagnosis, radiologic assessment and treatment follows with a review of the pathologic assessment of the different types of specimens generated and an update on staging for SCC of the temporal bone.
Keywords: External auditory canal, Middle ear, Macroscopic examination, Squamous cell carcinoma, Staging systems, Temporal bone
Introduction
Malignant neoplasms of the external auditory canal (EAC), the middle and inner ear are rare. Squamous cell carcinoma (SCC) is the most common neoplasm of these sites, followed by basal cell carcinoma (BCC), adenoid cystic carcinoma (ACC), ceruminous adenocarcinoma and middle ear adenocarcinoma. While primary neoplasms of the EAC and the temporal bone are uncommon, these structures are more frequently involved by cutaneous squamous cell carcinomas (cSCC) of the pinna, or metastatic cSCC involving the parotid or post auricular lymph nodes, particularly in countries with a fair skinned population and high ultraviolet index.
Surgery with or without post operative radiotherapy form the mainstay of treatment for these neoplasms. The surgical treatment of this anatomically complex region generates complicated three-dimensional specimens that can be challenging to handle at the macroscopic examination. This is further compounded by the rarity of these specimens as well as the use of terminology that pathologists encounter infrequently. The histologic diagnosis of the more common entities such as SCC, BCC and adenoid cystic carcinoma is straightforward; however, the precise identification of the epicentre of the tumor and its extent can be extremely challenging in an unoriented or otherwise compromised specimen. This information is of prognostic significance [1] and thus clear communication between the surgical and diagnostic teams is essential to obtain optimum orientation and anatomical landmarks. Until recently, guidelines for macroscopic and microscopic examination of these specimens were lacking. Furthermore, an internationally accepted staging system entrenched in a strong evidence base is not available. The International Consortium on Cancer Reporting (ICCR) has recently developed comprehensive pathology reporting guidelines for these specimens, due for publication in 2018 [2]. These guidelines should enable uniform multi-institutional data collection and thus assist with development of a staging system for EAC and temporal bone lesions.
A brief summary of the regional anatomy, etiology and epidemiology, presentation and diagnosis, radiologic assessment and treatment follows with a review of the pathologic assessment of the different types of specimens generated and an update on the current staging proposals.
Regional Anatomy
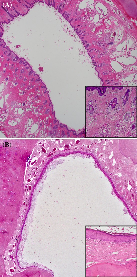
The EAC is a curved tube, approximately 25 mm in length in adults [3], leading from the pinna to the tympanic membrane. The framework of the outer third of the canal is cartilage and the inner two-thirds is formed by tympanic part of the temporal bone (Fig. 1). The canal is lined by skin, including keratinised squamous epithelium, hair, sebaceous and ceruminous glands (Fig. 2). Anterior to the EAC is the parotid gland, the zygomatic process of the temporal bone, and the temporomandibular joint (TMJ). The lymphatic drainage of the EAC is to the superficial parotid, mastoid and cervical lymph nodes.
Fig. 1.
Schematic diagram of the external auditory canal, middle and inner ear
Fig. 2.

Normal hematoxylin and eosin stained histology of a cartilaginous lateral one-third (inset: high power view of squamous epithelium, hair follicles and distinctive ceruminous glands) and b bony medial two-thirds of external auditory canal (inset: high power view of squamous epithelium to underlying bone)
The middle ear (Fig. 1) is a cavity of approximately 1.5 mL volume in normal adult ears [4] and is closely related to the internal jugular vein, the internal carotid artery and the middle cranial fossa. The middle ear is situated within the petrous part of the temporal bone and contains the auditory ossicles. The tympanic membrane forms the lateral wall of the middle ear cavity and separates it from the EAC. Superiorly, a thin plate of bone called the tegmen tympani separates the middle ear from the meninges and the temporal lobe of the brain in the middle cranial fossa. The floor of the middle ear is formed by a thin plate of bone, which may be partly replaced by fibrous tissue, separating the middle ear from the superior bulb of the internal jugular vein. The anterior wall is a thin plate of bone separating the middle ear from the internal carotid artery, with the opening of Eustachian tube lateral to it. Posteriorly, the middle ear cavity gives way to the mastoid antrum superiorly, and facial nerve more inferiorly. The medial wall comprised of the oval window, the promontory and the round window separates the middle ear from the inner ear labyrinth.
The inner ear or the labyrinth is situated within the petrous part of the temporal bone, medial to the middle ear. Briefly, it consists of the bony labyrinth that is comprised of the vestibule, semicircular canals and cochlea and it contains within it the membranous labyrinth. The inner ear communicates with the posterior cranial fossa via the internal auditory canal (IAC).
The facial nerve (Cranial Nerve VII) (Fig. 3) is closely related to the middle ear and inner ear. The facial nerve runs from the posterior cranial fossa, through the internal acoustic meatus within the petrous part of temporal bone. The facial nerve then enters the ‘Z’ shaped facial canal, running laterally above the vestibule of the internal ear until it reaches the medial wall of the middle ear. After passing through the labyrinthine portion, the facial nerve changes direction (the first genu). Here sensory and parasympathetic fibres form the geniculate ganglion. The tympanic segment extends from the geniculate ganglion to the horizontal semicircular canal. The nerve lies above and posterior to the oval window where the facial canal wall can be very thin or dehiscent with the middle ear mucosa lying in direct contact with the nerve. The distal portion of the facial nerve emerges from the middle ear and makes a second turn (the second genu) marking the beginning of the mastoid segment. Before the facial nerve exits the cranium, the chorda tympani is given off and crosses the inner aspect of the tympanic membrane. The chorda tympani provides taste to the anterior tongue and secretomotor fibres to the submandibular and sublingual salivary glands via the lingual nerve and submandibular ganglion. After exiting through the stylomastoid foramen, the facial nerve passes lateral to the styloid process and enters the parotid gland before dividing at the pes anserinus into multiple terminal (five principal) branches that supply more than 20 muscles of facial expression.
Fig. 3.
Schematic diagram of the medial wall of the middle ear; representing the pathway of the facial nerve
SCC of the EAC frequently erodes the cartilaginous and bony canal to invade the middle ear, facial nerve, parotid gland, and TMJ, and may also extend intracranially [5, 6]. Thus it has the potential to affect the middle ear containing the structures essential for hearing, the facial nerve affecting the muscles of facial expression, eye closure, sense of taste and salivary gland secretions. There are limited reports of primary SCC arising within the middle ear; however, the disease typically extends intracranially via the thin bony walls of the mastoid air spaces, and via the internal acoustic meatus. Primary squamous cell carcinoma of the internal auditory canal has been reported and has minimal barriers to intracranial extension [7].
Intracranial extension with septic complications or haemorrhage are frequent mechanisms of death from these neoplasms [8]. Penetration of the carotid canal, with perineural invasion of the associated sympathetic plexus also appears frequent. In contrast, the bony labyrinth is relatively resistant to invasion [9, 10].
There are varying reports on the frequency of lymph node involvement by metastatic SCC of the EAC [1, 11, 12]. The pre-auricular (intraparotid), infra-auricular (external jugular) and post-auricular lymph nodes appear to be most commonly involved, followed by upper jugular and submandibular lymph nodes. The posterior triangle neck lymph nodes are at risk of involvement when the disease involves the mastoid, and the pinna. Distant, haematogenous metastasis have been reported in the liver, brain, lungs, bones and skin [12].
Etiology and Epidemiology
The most common cause of malignancy involving the external ear canal and temporal bone is extension of a cutaneous malignancy of the pinna such as BCC and SCC, followed by primary SCC of the EAC and middle ear and less commonly other tumours such as neoplasms arising from the ceruminous glands.
The principal risk factors for SCC of the pinna are fair skin and solar ultra violet light exposure. Immunosuppression is another important risk factor. The rare occurrences of primary SCC of the EAC and middle ear are described in association with patients that have long standing chronic supperative otitis media (CSOM). While the association of CSOM is well known, the mechanism of progression to SCC is not clear [8]. It is unclear whether acquired cholesteotomas, a well-documented complication of CSOM is a risk factor for the development of SCC of the middle ear. Oncogenic human papillomavirus (HPV) genotypes 16 and 18 have been anecdotally reported in SCCs of the middle ear though the role of HPV in carcinogenesis at this site is not known [13]. There are also sporadic reports of primary ear malignancies arising within fields previously irradiated for the treatment of other head and neck tumors [14, 15]. The only reported case of primary SCC of the inner ear was presumed to represent malignant transformation of an epidermoid cyst within the internal auditory canal [7].
Presentation and Diagnosis
Chronic discharge, bleeding, otalgia and hearing loss, with or without facial palsy are common presenting symptoms of malignancies affecting the EAC and temporal bone. This is frequently accompanied by concurrent otitis externa or otitis media [16, 17] (Fig. 4). It is difficult to correctly diagnose primary malignancies of the EAC in the absence of a detectable mass or facial palsy given the non-specific nature of clinical presentation. It is often treated as persistent/non-responsive infection for some time before a neoplastic process is suspected and a diagnostic biopsy is performed [18].
Fig. 4.

Otoscopic views; a and b squamous cell carcinoma of the external auditory canal is associated with ulceration and inflammation. The edema and tissue friability makes examination painful and visibility poor
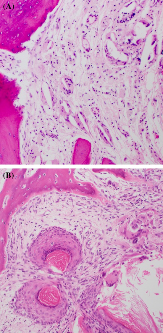
The histopathological diagnosis of SCC of the ear on biopsy is usually straightforward. The tumor cells show typical features of squamous cell carcinoma such as infiltrating nests and cords or nests of polygonal cells with moderate amounts of eosinophilic cytoplasm and intercellular bridging (Fig. 5). Morphologic variants such as spindle-cell carcinoma and acantholytic SCC may be seen [19]. Presence of keratin, nuclear pleomorphism, mitoses and necrosis depend upon the grade of the carcinoma. Stains for CK5/6 and high molecular weight cytokeratin (34βE12) are the most sensitive stains to confirm squamous differentiation. Nuclear stains such as p40 may be helpful in poorly differentiated tumors and those with spindle cell morphology [20].
Fig. 5.
Hematoxylin and eosin stained histopathology of selected external ear canal malignancies; a external auditory canal with moderately differentiated squamous cell carcinoma, b poorly differentiated squamous cell carcinoma, c basal cell carcinoma (inset: high power view of nested, haphazardly arranged basaloid tumor cells with peripheral palisading), d adenoid cystic carcinoma showing a typical tubular pattern, with pseudoglandular spaces containing excess basement membrane material lined by luminal cells with dark, angular nuclei and surrounded by bland myoepithelial cells
The differential diagnoses may include BCC; however, BCC usually shows architectural features such as peripheral palisading, mucinous stroma and retraction artefact. Cytologically, BCC has smaller cells and more hyperchromatic nuclei. Immunohistochemistry for BerEp4 and epithelial membrane antigen (EMA) may be useful in cases with morphologic overlap [20]; BerEp4 is usually positive in BCC and EMA is usually positive in SCC. Adenoid cystic carcinoma may also have a similar clinical presentation but demonstrates the typical cribriform, tubular or solid architecture and cytomorphologic features of adenoid cystic carcinoma (Fig. 5).
The most critical differential diagnoses are benign entities such as pseudoepitheliomatous hyperplasia, cholesterol granuloma, cholesteatoma and middle ear corpuscles (Fig. 6). Pseudoepitheliomatous hyperplasia lacks pleomorphism. Mitoses may be present but are limited to the basal zone and are never atypical. History of injury at the site or an underlying pathology should alert one to the possibility of pseudoepitheliomatous hyperplasia. Middle ear corpuscles are concentrically laminated structures of collagen that can resemble keratinised pearls of SCC particularly on frozen sections [21].
Fig. 6.

Hematoxylin and eosin stained histopathology of selected benign destructive processes; a cholesterol granuloma, b cholesteotoma
Radiologic Assessment
Once the tissue diagnosis is established, high resolution computed tomography (HRCT) of the petrous temporal bone and contrast enhanced magnetic resonance imaging (MRI) are useful modalities to assess the extent of disease for surgical planning [22, 23]. HRCT and MRI offer complementary diagnostic information in the assessment of temporal bone carcinomas.
HRCT with slices 1 mm or less in thickness is the most sensitive modality for the detection of erosion of the temporal bone. This is important in surgical planning for cases that require a temporal bone resection or exposure of the facial nerve [24]. Whilst HRCT is good in delineating bony invasion, it cannot differentiate a carcinoma from the more common benign pathologies, such as a cholesteatoma or granulation tissue [23].
MRI is the best modality for defining the extent of soft tissue involvement. Loss of signal on T1 weighted images (T1WI) and contrast enhancement are typical findings [23, 25, 26]. Increased signal along the facial nerve may also be observed. MRI may help distinguish malignancy from benign processes, with mastoiditis, middle ear effusions and cholesteatomas typically showing hyperintensity on T2WI and diffusion weighted imaging in contrast to SCC. In addition, cholesteotomas are heterogeneous on T1WI [23].
The role of positron emission tomography (PET)-CT has not been well evaluated but may be useful for surveillance and the detection of nodal or distant metastatic disease. PET is unable to distinguish between inflammatory and malignant processes and has poor spatial resolution for EAC neoplasms. Any new presentation should include assessment of the neck to evaluate nodal metastases.
Pathologic Assessment
Macroscopic Examination of the Specimens
The complexity of the surgical interventions and anatomy of the ear and temporal bone are such that excellent communication must be maintained between surgical and diagnostic teams. In particular, the exact anatomic site of involvement, specific operative procedures and associated landmarks need to be understood to enable the most accurate histopathologic information. While the basic surgical and cut up principles remain the same, there is great variability in the structures included in the specimens depending upon the extent of the patients’ malignancy and the number of previous resections and radiotherapy. Thus the surgical team should be encouraged to provide specimen laterality and pin the specimens on a cork board with anatomical annotations for optimum orientation. Suture/clips can also be used to indicate orientation with at least three margins indicated.
The aim of the macroscopic assessment is to record the dimensions of the specimens, physical characteristics of the lesion, its dimensions and extent of involvement of the adjacent structures, assessment of margins and to allow selection of tissues for histologic examination similar to other organ systems. This should include photographic documentation of the external surfaces, with identification of orienting markings and additional photographs of cut surfaces with blocking diagrams. A brief review of specific typical surgical specimens is presented, including sleeve resection, lateral temporal bone resection, subtotal temporal bone resection and total temporal bone resection.
Sleeve resection refers to resection of the EAC skin lateral to the tympanic membrane, as well as the underlying cartilaginous canal without removal of the bony tympanic canal (Fig. 7). These specimens are relatively rare as this procedure is only indicated for very early tumors. Ideally the surgical team should mark the medial (internal) or lateral (external) margin in addition to one of the superior or anterior surfaces of this cylindrical specimen. The superior, inferior, anterior and posterior soft tissue surface should be differentially inked, ideally using one colour for each surface. The specimen is serially sliced in the sagittal plane, perpendicular to the long axis of the EAC at a thickness of 3 mm. The dimensions of the lesion on the surface of the skin should be recorded along with its thickness and depth of infiltration. Generally, these are small specimens that can be submitted entirely. If this is not possible the blocks should be taken to demonstrate the greatest thickness of the tumor and its proximity to the anterior, posterior, superior and inferior margins. The lateral and medial margins should be submitted in separate blocks.
Fig. 7.
a Schematic diagram demonstrating the anatomic structure included in a sleeve resection and b specimen photo of sleeve resection
Lateral temporal bone resection refers to en bloc resection of the bony EAC with its soft tissue content and associated tympanic membrane, malleus and incus (Fig. 8). This procedure is indicated for tumor confined to the EAC, with no involvement of the middle ear space. A portion of the pinna may also be present making orientation relatively simple. If not, the orientation information should identify the lateral skin margin of the EAC. Alternatively the medial tympanic membrane and soft tissue/bone radial margins of the EAC can be marked. In addition, the superior and posterior soft tissue margins should also be indicated. Usually, the ossicles will be received separately. The soft tissue surfaces of the EAC should be differentially inked similar to that of a sleeve resection. The lateral cartilaginous part of the EAC may then be amputated and handled as per a sleeve resection specimen described above. The bony part of the specimen should be decalcified prior to slicing and also serially sliced in the sagittal plane perpendicular to the long axis of the EAC. It is our practice to block the medial margin en face. Weak organic acid or strong inorganic acid based decalcification regimens are acceptable; however the specimen should be checked regularly to ensure it is not left in decalcification for longer than necessary. A standard rule of thumb is that if the bone can be cut with a scalpel, it is suitable for microtomy. Alternatively, the specimen can also be X-rayed to check for decalcification. Over decalcification can cause loss of nuclear morphology and can compromise immunohistochemistry.
Fig. 8.
a Schematic diagram demonstrating the anatomic structures included in a lateral temporal bone resection and b specimen photograph of oriented right lateral temporal bone resection with the external component (left) and excision of bony external auditory canal (right)
The two most complex specimens include the subtotal temporal bone resection and the total temporal bone resection. The subtotal temporal bone resection refers to en bloc resection of temporal bone lateral to the petrous carotid artery (Fig. 9a, b). This includes the cochlear and the vestibular structures. Other associated structures, such as the parotid gland and mandibular ramus can also be resected en bloc with the temporal bone. This procedure is indicated for tumor extending into the middle ear space. Total temporal bone resection, or radical temporal bone resection refers to removal of the entire petrous temporal bone, including the petrous apex and its contents, with or without removal of the petrous carotid. This procedure is indicated for very extensive tumors that extend intracranially or into the infratemporal fossae. The extent of the orientation provided by the surgical team generally depends upon the number of structures included in the en bloc resection. The pinna, the preauricular and post auricular skin and the parotid gland are landmarks for orientation if present. The anterior and posterior aspects of both the superficial and deep soft tissues should be differentially inked. A 3 mm thick slice of the medial (internal) ear canal margin is amputated and submitted en face for histologic examination. The rest of the specimen is then serially sliced at 3 mm thickness from superior to inferior aspect in a horizontal (transverse) plane (Fig. 9c). This provides good visualisation of the extent of infiltration of the carcinoma and the structures involved. Sections should be taken to demonstrate the distances to the superior, inferior, anterior, posterior and deep margins of resection, histologic characteristics of the tumor and to identify the presence of lymphovascular and perineural involvement. In most instances, the temporal bone is either burred or drilled intra-operatively and is thus not available for histologic examination. The burring/drilling of the bone can result in false margins. It is not possible to identify these areas during macroscopic examination unless the surgical team has marked these with a suture or clips. If marked, these areas should be inked using a different color and also described as ‘false margins’ in the block key so that they can be readily identified during microscopic examination and during clinicopathologic correlation at the multidisciplinary team meetings. Also, several critical margins such as the mastoid and the tissues around the styloid are resected and sent for pathologic evaluation separately (Fig. 9d i and ii). The separately received mastoid and styloid are submitted entirely for histologic examination.
Fig. 9.
a Schematic diagram demonstrating the anatomic structures included in a subtotal temporal bone resection, b specimen photograph of contiguous pinnectomy and neck dissection oriented on a cork board (left) and posterior view of pinnectomy with underlying temporal bone (right) for metastatic squamous cell carcinoma involving a post auricular lymph node (arrow), c axial slices from superior to inferior demonstrating metastatic squamous cell carcinoma in post auricular lymph node (28 mm in maximum dimension). d (i) The styloid process, (ii) the mastoid tip, D (iii) facial nerve with suture indicating the point of exit from the stylomastoid foramen
These resections are often accompanied by intra-operative frozen section consultation for the facial nerve margins and resection of facial nerve (Fig. 9d iii). The final margin should either be clearly annotated or sent in a separate jar in these instances by the clinical team and submitted for histologic examination in a separate block labelled as the final facial nerve margin.
The parotid gland should be carefully examined for intra and periparotid lymph nodes for detection of metastatic carcinoma. A neck dissection may also be performed depending upon the size and the extent of the EAC SCC.
Microscopic Examination of the Specimens
The histological diagnosis of SCC is discussed under the “Presentation and Diagnosis” section. The same principles apply to confirm the diagnosis rendered on biopsy. In addition, the microscopic assessment of the formal resection specimen establishes key prognostic factors, such as completeness of resection, microscopic extent of the tumor, histologic grade, perineural and lymphovascular invasions and stage of disease.
Staging
There is at present no universally accepted staging system for carcinoma of the temporal bone. There are two systems, each with a modification, available in the literature. The most commonly used system for carcinoma of the EAC is the Pittsburgh classification, proposed by Arriaga et al. [27], with modifications proposed by Moody et al. [28]. The 2nd system is the one proposed by Stell and McCormick [1] with subsequent modifications put forward by Clark et al. [29, 30]. Both of these systems are based on clinical and radiologic findings and neither includes nodal involvement. Cutaneous SCC is the most common malignancy involving the EAC. Thus it is reasonable to consider using the American Joint Committee on Cancer (AJCC) staging system for head and neck cutaneous squamous cell carcinoma as it takes histopathologic parameters into consideration and also provides for nodal involvement [29].
Arriga et al. proposed the first iteration of the Pittsburgh classification for SCC of the EAC in 1990 based on 32 patients with primary SCC of the EAC treated at a single institution, with subsequent modifications by Moody et al. [28] in 2000 (Table 1).
Table 1.
Comparison of staging systems used for SCC of the ear and temporal bone
| Stage | Arriaga et al. [27] ‘original Pittsburgh’ | Moody et al. [28] ‘modified Pittsburgh’ | Stell and McCormic [1] | Clark et al.[29] ‘modified stell’ | AJCC 8th edition |
|---|---|---|---|---|---|
| Tumours addressed | SCC of the EAC | SCC of the EAC | SCC, BCC or ACC of EAC or middle ear | SCC, BCC or ACC of EAC or middle ear | Cutaneous SCC of the head and neck |
| T1 | Tumour limited to the EAC without bony erosion or evidence of soft tissue involvement | Tumour limited to the EAC without bony erosion or evidence of soft tissue involvement | Tumour limited to site of origin, i.e. with no facial nerve paralysis and no bone destruction on radiology | Tumour limited to site of origin, i.e. with no facial nerve paralysis and no bone destruction on radiology | Tumour smaller than 2 cm in greatest dimension |
| T2 | Tumour with limited EAC bone erosion (not full thickness) or limited (< 0.5 cm) soft tissue involvement | Tumour with limited EAC bone erosion (not full thickness) or limited (< 0.5 cm) soft tissue involvement | Tumour extending beyond the site of origin indicated by facial paralysis or radiological evidence of bone destruction, but no extension beyond the organ of origin | Tumour extending beyond the site of origin indicated by facial paralysis or radiological evidence of bone destruction, but no extension beyond the organ of origin | Tumour 2 cm or larger, but smaller than 4 cm in greatest dimension |
| T3 | Tumour eroding the osseous EAC (full thickness) with limited (< 0.5 cm) soft tissue involvement or tumour involving the middle ear and/or mastoid, or evidence of facial paresis | Tumour eroding the osseous EAC (full thickness) with limited (< 0.5 cm) soft tissue involvement or tumour involving the middle ear and/or mastoid | Clinical or radiological evidence of extension to surrounding structures (dura, base of skull, parotid gland, TMJ, etc) | Clinical or radiological evidence of extratemporal extension into extracranial structures; i.e. parotid/TMJ/skin | Tumour 4 cm or larger in maximum dimension or minor bone erosion, or perineural invasion or deep invasion |
| T4 | Tumour eroding the cochlea, petrous apex, medial wall of the middle ear, carotid canal, jugular foramen, or dura or with extensive soft tissue involvement (> 0.5 cm), such as involvement of TMJ or styloid process | Tumour eroding the cochlea, petrous apex, medial wall of the middle ear, carotid canal, jugular foramen, or dura or with extensive soft tissue involvement (> 0.5 cm), such as involvement of TMJ or styloid process or evidence of facial paresis | Clinical or radiological evidence of extratemporal extension into cranial structures; i.e. Dura/base of skull | Tumour with gross cortical bone/marrow invasion and/or skull base foramen invasion |
SCC squamous cell carcinoma, EA external auditory canal, BCC basal cell carcinoma, AC Adenoid cystic carcinoma
The staging system proposed by Stell and McCormick in 1985 is based on retrospective clinical and radiologic analysis of 47 patients. The carcinoma subtypes included were SCC, BCC, ACC and adenocarcinoma (Table 1). Multivariate analysis found histological subtype, stage, general condition of the patient and lymph node status were all independent predictors of survival. Clark et al. [29] described their experience of ten cases of T3 SCC using the Stell and McCormick system in 1991, with two cases only surviving beyond 24 months. Both of these cases involved TMJ but had no intracranial involvement. Based on this they suggested that T3 extratemporal spread be subdivided into new categories according to whether it is cranial or extra cranial (Table 1). Higgins et al. [31] performed a systematic review that identified 348 subjects from 21 published articles. 110 subjects included facial nerve function data. A key finding of the pooled analysis was that the original Pittsburgh classification does not demonstrate a survival difference between T3 and T4 and in the Stell staging system between T2 and T3; whereas survival for patients with facial paresis more closely parallel that of advanced T4 disease [30], validating the modifications of Moody et al. The AJCC staging system for cutaneous squamous cell carcinoma of the head and neck considers extent of invasion, perineural involvement and lymph node metastasis (Table 2) as adverse prognostic factors. Perineural invasion and lymph node metastases are common phenomenon in SCC of the EAC; however, the use of the AJCC staging system for the EAC SCC needs further validation [29].
Table 2.
AJCC pathological staging of lymph nodes for cutaneous squamous cell carcinoma of the head and neck
| N category | N criteria |
|---|---|
| NX | Regional lymph nodes cannot be assessed |
| N0 | No regional lymph node metastasis |
| N1 | Metastasis in a single ipsilateral lymph node, 3 cm or smaller in greatest dimension and ENE (−) |
| N2a | Metastasis in a single ipsilateral or contralateral lymph node, 3 cm or smaller in greatest dimension and ENE (+); or A single ipsilateral lymph node larger than 3 cm but not larger than 6 cm in greatest dimension and ENE (−) |
| N2b | Metastasis in multiple ipsilateral lymph nodes, none larger than 6 cm in greatest dimension and ENE (−) |
| N2c | Metastasis in bilateral or contralateral lymph nodes, non larger than 6 cm in maximum dimension and ENE (−) |
| N3a | Metastasis in a lymph node larger than 6 cm in greatest dimension and ENE (−) |
| N3b | Metastasis in a single ipsilateral node larger than 3 cm in greatest dimension and ENE (+); or Multiple ipsilateral, contralateral, or bilateral nodes, any with ENE (+) |
ENE extra nodal extension
In general, the prognosis for SCC confined to the EAC without bone erosion (T1) is good, with a 94.8% disease specific survival. The pooled data analysis of Higgins and Moody demonstrates that pre-operative facial nerve weakness alone predicts a dire outcome, similar to cases staged as T4 using the Modified Pittsburgh system (19.1 vs. 22.9% 5 year disease specific survival) [30].
Treatment
Surgery remains the main form of therapy for cancers of the EAC and temporal bone. The complex anatomical relationships make the en bloc removal of many cancers difficult. Whilst there is limited data to support the role of elective neck dissection, it is common practice to include lymph nodes of the parotid and upper neck as part of the specimen. Frequently this is performed as an access procedure for a flap reconstruction, which may be used in many cases to reconstruct a cutaneous defect, obliterate the dead space or provide a watertight dural closure [12, 31].
Radiotherapy is commonly used as a post-operative adjuvant treatment for indications such as advanced primary tumor stage (T3/T4), close or involved tumor margins, perineural invasion, and lymph node metastases. There is no comparative data to support the routine use of adjuvant chemotherapy; however, this is used in some units to intensify adjuvant radiotherapy or in selected (inoperable) cases where definitive radiotherapy is being used [32].
Conclusions
Squamous cell carcinoma of the external ear canal and middle ear are rare malignancies, often presenting in the setting of long standing chronic otitis media and often at an advanced stage. The tissue diagnosis is relatively straightforward; however, staging the disease is a complex task that is best approached with consideration of clinical, radiological and pathological findings. The evidence base for the management of these uncommon tumors is not well established and as such standardisation of surgical and adjuvant treatment, as well as pathological reporting, will contribute to more clear management pathways in the future.
Compliance with Ethical Standards
Conflict of interest
Benjamin M. Allanson, Tsu-Hui (Hubert) Low, Jonathan R Clark, Ruta Gupta declares that they have no conflict of interest.
Research Involving Animal and Human Participants
This article does not contain any studies with human participants or animals performed by any of the authors.
References
- 1.Stell P, McCormick M. Carcinoma of the external auditory meatus and middle ear; prognostic factors and a suggested staging system. J Laryngol Otol. 1985;99:847–850. doi: 10.1017/S0022215100097796. [DOI] [PubMed] [Google Scholar]
- 2.The International Collaboration on Cancer Reporting. http://www.iccr-cancer.org.
- 3.Snell R. Clinical anatomy by regions. 9. Philadelphia: Lippincott Williams & Wilkins; 2012. [Google Scholar]
- 4.Ahn J, Park HJ, Park G, Jeong Y, Kwak H. Tympanometry and CT measurement of middle ear volumes in patients with unilateral chronic otitis media. Clin Exp Otolrhinolaryngol. 2008;1:139–142. doi: 10.3342/ceo.2008.1.3.139. [DOI] [PMC free article] [PubMed] [Google Scholar]
- 5.Thompson L. Update from the 4th Edition of the World Health Organization classification of head and neck tumours: tumours of the ear. Head Neck Pathol. 2017;11:78–87. doi: 10.1007/s12105-017-0790-5. [DOI] [PMC free article] [PubMed] [Google Scholar]
- 6.Ouaz K, Robier A, Lescanne E, Bobillier C, Morinière S, Bakhos D. Cancer of the external auditory canal. Eur Ann Otorhinolaryngol Head Neck Dis. 2013;130:175–182. doi: 10.1016/j.anorl.2012.08.003. [DOI] [PubMed] [Google Scholar]
- 7.Mcmonagle BA, Turner J, Zhong C, Luo Q, Fagan P. Squamous cell carcinoma of the internal auditory canal. Otol Neurotol. 2006;27:903–904. doi: 10.1097/01.mao.0000224079.77849.5b. [DOI] [PubMed] [Google Scholar]
- 8.Michaels L, Wells M. Squamous cell carcinoma of the middle ear. Clin Otolaryngol. 1980;5:235–248. doi: 10.1111/j.1365-2273.1980.tb01653.x. [DOI] [PubMed] [Google Scholar]
- 9.Ussmüller J, Sanchez-Hanke M. Histopathological studies of intratemporal growth behavior of middle ear carcinoma. Laryngorhinootologie. 2000;79:21–25. doi: 10.1055/s-2000-8779. [DOI] [PubMed] [Google Scholar]
- 10.Hiraide F, Inouye T, Ishii Y. Primary squamous cell carcinoma of the middle ear invading the cochlea. A histopathological case report. Ann Otol Rhinol Laryngol. 1983;92:290–294. doi: 10.1177/000348948309200315. [DOI] [PubMed] [Google Scholar]
- 11.Moffat DA, Wagstaff SA, Hardy DG. The Outcome of radical surgery and postoperative radiotherapy for squamous carcinoma of the temporal bone. Laryngoscope. 2005;115:341–347. doi: 10.1097/01.mlg.0000154744.71184.c7. [DOI] [PubMed] [Google Scholar]
- 12.Luiz P, Rinaldo A, Ferlito A, Sua C. Nodal disease in temporal bone squamous carcinoma. Acta Otolaryngol. 2005;125:5–9. doi: 10.1080/00016480410018287. [DOI] [PubMed] [Google Scholar]
- 13.Tsai ST, Ching LI, In YJ, Hao WC. High prevalence of human papillomavirus types 16 and 18 in middle ear carcinomas. Int J Cancer. 1997;71:208–212. doi: 10.1002/(SICI)1097-0215(19970410)71:2<208::AID-IJC14>3.0.CO;2-D. [DOI] [PubMed] [Google Scholar]
- 14.Lo W, Ting L, Ko J, Lou P, Yang T. Malignancies of the ear in irradiated patients of nasopharyngeal carcinoma. Laryngoscope. 2008;118:2151–2155. doi: 10.1097/MLG.0b013e3181839b8c. [DOI] [PubMed] [Google Scholar]
- 15.Shu M, Lin H, Lee J, Chen B. Induced squamous cell carcinoma of the external auditory canal. Otol Neurotol. 2011;32:24–25. doi: 10.1097/MAO.0b013e3181e711a0. [DOI] [PubMed] [Google Scholar]
- 16.Breau RL, Gardner EK, Dornhoffer JL. Cancer of the external auditory canal and temporal bone. Curr Oncol Rep. 2002;4:76–80. doi: 10.1007/s11912-002-0051-x. [DOI] [PubMed] [Google Scholar]
- 17.Golding-Wood D, Quiney R, Cheesman A. Carcinoma of the ear: retrospective analysis of 61 patients. J Laryngol Otol. 1989;103:653–656. doi: 10.1017/S0022215100109624. [DOI] [PubMed] [Google Scholar]
- 18.Zhang T, Dai C, Wang Z. The misdiagnosis of external auditory canal carcinoma. Eur Arch Otorhinolaryngol. 2013;270:1607–1613. doi: 10.1007/s00405-012-2159-4. [DOI] [PubMed] [Google Scholar]
- 19.El-Naggar A, Chan J, Grandis J, Takata T, Slootweg P, editors. WHO classification of head and neck tumours. Lyon: International Agency for Research on Cancer; 2017. pp. 263–264. [Google Scholar]
- 20.Fletcher C. Diagnostic histopathology of tumours. 4. Philadelphia: Elsevier Saunders; 2013. pp. 2127–2128. [Google Scholar]
- 21.Michaels L, Liang J. Structure and origin of middle ear corpuscles. Clin Otolaryngol. 1993;18:257–262. doi: 10.1111/j.1365-2273.1993.tb00843.x. [DOI] [PubMed] [Google Scholar]
- 22.Mazzoni A, Danesi G, Zanoletti E. Primary squamous cell carcinoma of the external auditory canal: surgical treatment and long-term outcomes. Acta Otorhinolaryngol Ital. 2014;34:129–137. [PMC free article] [PubMed] [Google Scholar]
- 23.Wang Z, Zheng M, Xia S. The contribution of CT and MRI in staging, treatment planning and prognosis prediction of malignant tumors of external auditory canal. J Clin Imaging. 2016;40:1262–1268. doi: 10.1016/j.clinimag.2016.08.020. [DOI] [PubMed] [Google Scholar]
- 24.Chao Y-K, Kawada K, Kumagai Y, Takubo K, Wang HH. On endocytoscopy and posttherapy pathologic staging in esophageal cancers, and on evidence-based methodology. Ann NY Acad Sci. 2014;1325:1–7. doi: 10.1111/nyas.12516. [DOI] [PubMed] [Google Scholar]
- 25.Gillespie M, Francis H, Chee N, Eisele D. Squamous cell carcinoma of the temporal bone: a radiographic-pathologic correlation. Arch Otolaryngol Head Neck Surg. 2001;127:803–807. [PubMed] [Google Scholar]
- 26.Ong CK, Pua U, Chong VFH. Imaging of carcinoma of the external auditory canal: a pictorial essay. Cancer Imaging. 2008;8:191–198. doi: 10.1102/1470-7330.2008.0031. [DOI] [PMC free article] [PubMed] [Google Scholar]
- 27.Arriaga M, Curtin H, Takahashi H, Hirsh B, Kamerer D. Staging proposal for external auditory meatus carcinoma based on preoperative clinical examination and computed tomography findings. Ann Otol Rhinol Laryngol. 1990;99:714–721. doi: 10.1177/000348949009900909. [DOI] [PubMed] [Google Scholar]
- 28.Moody SA, Hirsch BE, Myers EN. Squamous cell carcinoma of the external auditory canal: an evaluation of a staging system. Am J Otol. 2000;21:582–588. [PubMed] [Google Scholar]
- 29.Califano J, Lydiatt W, Nehal K, O’Sullivan B, Schmults C, Seethala R, et al. et al. Cutaneous squamous cell carcinoma of the head and neck. In: Amin M, Edge S, Greene F, Byrd D, Brookland R, Washington M, et al.et al., editors. AJCC cancer staging manual. 8. Berlin: Springer; 2017. pp. 171–181. [Google Scholar]
- 30.Higgins TS, Antonio SAM. The role of facial palsy in staging squamous cell carcinoma of the temporal bone and external auditory canal: a comparative survival analysis. Otol Neurotol. 2010;31:1473–1479. doi: 10.1097/MAO.0b013e3181f7ab85. [DOI] [PubMed] [Google Scholar]
- 31.Zanoletti E, Danesi G. The problem of nodal disease in squamous cell carcinoma of the temporal bone. Acta Otolaryngol. 2010;130:913–916. doi: 10.3109/00016480903390152. [DOI] [PubMed] [Google Scholar]
- 32.Brant J, Eliades S, Chen J, Newman J, Ruckenstein M. Carcinoma of the middle ear: a review of the National Cancer Database. Otol Neurotol. 2017;38:1153–1157. doi: 10.1097/MAO.0000000000001491. [DOI] [PubMed] [Google Scholar]






