Abstract
Traumatic pericarditis (TP) remains a serious problem facing bovine producers; particularly in the developing countries; causing severe economic losses. This study was carried out on 47 buffaloes including; control buffaloes (n = 20) and buffaloes with TP (n = 27) at Assiut governorate, Egypt. All animals were subjected to thorough clinical examination, whole blood profiling, blood serum biochemical assays, and radiographic and ultrasonographic examinations. The recorded ultrasonographic findings included; the contractility, contour and shape of the reticulum, shape and size of the heart and spleen involvement. All data were statistically analysed. Buffaloes with TP showed lymphocytic leucocytosis, increase in serum activities of AST, hyperproteinaemia, hypoalbuminaemia and hyperglobulinaemia. Radio-opaque metal foreign bodies, cardiomegaly and loss of the normal cardiac shape and contour were the most common radiographic findings in the diseased buffaloes. Ultrasonographically, the diseased buffaloes showed either acute pericarditis (n = 10) or chronic suppurative pericarditis (n = 17). Complete cessation of reticular contractions (0/3 min) and displacement of the reticulum from the diaphragm by a distance about 2.6–4.5 cm were the most common ultrasonographic findings of both types of pericarditis. In addition, the reticulum had uneven contour and the heart showed characteristic changes in its size, shape and contractility that was either accelerated or reduced. Reticular abscesses and peritoneal effusions were also imaged in all diseased buffaloes. In acute TP; the affected heart was enlarged with strong and clear cardiac contractions. Accumulation of hypoechoic fluids interspersed with echogenic deposits of fibrin within heart tissue and pericardium was observed. In chronic suppurative pericarditis, cardiomegaly, thickening of the cardiac wall and loss of the characteristic recognisable heart shape were the common ultrasonographic findings. Accumulation of hypoechoic fluids (usually pus) interspersing with echogenic deposits of fibrin within the pericardium, ventricles, atria and valves was also observed. In conclusion, ultrasonography with the aids of other diagnostic tools such as clinical findings, laboratory analysis and radiography has a high efficacy in evaluation of diseased buffaloes with TP.
Keywords: Cardiomegaly, Peritoneal effusions, Reticular abscess, Splenic abscess, Suppurative pericarditis, Traumatic reticuloperitonitis
1. Introduction
Reticular foreign bodies are common in buffaloes causing several complications. One of the most important complications is traumatic pericarditis. The most commonly collected foreign bodies are nails, wire pieces, ropes, plastic bags and rugs. Unfortunately, ingestion of sharp or blunt foreign bodies remains a serious problem facing bovine producers throughout Egypt which exerts bad effect on the national economy [1], [2]. Ingestion of metallic and non-metallic foreign bodies by cattle and buffaloes is a devastating problem not only because of mortality and morbidity, but also because of the markedly detrimental effects on animal production [3].
Traumatic reticuloperitonitis (TRP) is one of the most important diseases in buffaloes; particularly in developing countries resulted from perforation of the reticulum with sharp foreign bodies. Most veterinarians who encounter buffaloes with traumatic reticuloperitonitis (TRP) base their diagnosis on reports in cattle, due to lack of numerous scientific researches described TRP in buffaloes [4], [5], [6], [7], [8].
Buffaloes commonly ingest foreign objects, due to a poor ability to identify metal objects in their feed and incomplete mastication of feed before swallowing. The swallowed metallic objects drop into the reticulum and become trapped within the reticular honeycomb-like mucosa. Contractions of the reticulum facilitate penetration of the wall by the foreign objects and consequently allow leakage of ingesta and bacteria into the peritoneal cavity resulting in TRP or thoracic cavity resulting in traumatic pericarditis. The occurrence of these complications depends upon the length and direction of the sharp foreign body [5], [9].
The use of ultrasound is now well-established as a diagnostic tool for different diseases across a range of animal species. Ultrasound examinations are now routinely applied for the diagnosis of cardiac, thoracic, abdominal, reproductive, ocular and musculoskeletal abnormalities in buffaloes [4].
Radiography is an efficient technique for identifying metal foreign bodies, whereas ultrasonography rarely identifies metallic objects, including magnets either in cows [10], [11] or in buffaloes [12]. Radiography is best-suited for the detection of metallic foreign bodies in and outside the reticulum, and the position of the foreign body is the most reliable indicator for diagnosing TRP by radiography. In contrast, ultrasonography is the method of choice for detecting fibrinous deposits and abscesses that are rarely detected using radiography. Although neither radiography nor ultrasonography alone can achieve a complete definitive diagnosis of TRP, the two tools complement each other [10], [11], [12].
Several studies have been conducted on acute TRP [7], [13], [14] and complicated TRP [15], [16], [17] in buffaloes; however, there is a lack of studies concerned with traumatic pericarditis (TP) in buffaloes. Therefore, this study aims to describe the characteristic ultrasonographic findings associated with TP in buffaloes.
2. Material and methods
2.1. Animals
Total of 47 buffaloes were enrolled in this study. All animals were treated in accordance with guidelines established by the Faculty of Veterinary Medicine, Assiut University Committee on Animal Care, Egypt. Legal and ethical requirements have been met with regards to the humane treatment of animals described in the study. The control group (n = 20) was selected from healthy non-pregnant female buffaloes belonging to a herd kept for teaching purposes at the Veterinary Teaching Hospital and from the neighbouring villages around Assiut city. Fifteen animals aged between five and seven years and five heifers aged between 1 and 2.5 years. Traumatic pericarditis diseased buffaloes (n = 27) were submitted to the Veterinary Teaching Hospital, Faculty of Veterinary Medicine, Assiut University. The age of the diseased buffaloes ranged from 3 to 9 years.
2.2. Clinical examination
All buffaloes underwent a thorough clinical examination described before [18]. Pain tests and electronic metal detector were applied in all diseased buffaloes.
2.3. Blood sampling
Whole blood and serum samples were collected and all precautions of samples collection and preparation for accurate evaluation of haematological and biochemical indices were taken into consideration as reported before [19].
2.4. Complete blood count (CBC) assessment
A fully automated blood cell counter machine, the Medonic CA620 Vet haematology analyser (Boule Diagnostics, Sweden), was used to determine various haematological parameters. Differential leukocyte count (DLC) was determined using the four-field meander method [20].
2.5. Biochemical assays
The Optizen32220 UV/Visible Spectrophotometer (UV, Korea) was used to determine serum concentrations of aspartate aminotransferase (AST), γ-glutamyltransferase (GGT), alkaline phosphatase (ALK), total protein, albumin, cholesterol and triglycerides (TG). Serum globulin was determined by subtracting albumin from total protein. All kits and reagents were obtained from Spectrum Reagents (Egypt).
2.6. Radiographical examination
The cranial abdominal region and caudal thorax were examined radiographically according to Braun et al. [21] and Nägeli [22] using a ceiling-suspended X-ray apparatus (40–60 kV and 45–55 mA/s). The following parameters were recorded upon radiographic examination: nature and location of foreign body (reticular, diaphragmatic, pericardial position), status of diaphragm (intact versus broken) and visualisation of the cardiac area (good versus bad line of demarcation).
2.7. Ultrasonographic examination
Diseased and healthy buffaloes were examined ultrasonographically according to previous studies [23], [24], [25], [26], [27], [28], [29], [30], [31], [32] in cattle and buffaloes by using a 3.5 MHz sector transducer connected with ultrasound apparatus (model UF-4000, FF Sonic, Tokyo, Japan). The ultrasonographic examination was performed on standing, non-sedated buffaloes after clipping of hair and application of coupling ultrasound gel. The examined organs included the heart, reticulum, rumen, abomasum, omasum, spleen, liver, gall bladder, right kidney, small intestine (SI) and large intestine (LI).
2.8. Statistical analysis
Data were analysed using SPSS statistical software packaged program for windows version 10.0.1 (SPSS Inc., Chicago, IL). All data were presented as mean ± standard deviation (SD). Analysis of variance of (One way ANOVA) the obtained data was performed and significance level was set at P ≤ 0.05. The significance of differences between the means of the control group and the diseased group (TP) was evaluated [33].
3. Results
3.1. History and clinical findings
The history and clinical findings of the TP cases were mainly concerned with the following parameters: appetite, milk yield, animal gait and posture, rectal temperature, heart rate and sounds, respiratory rate, rumen movement, jugular pulsation and filling, metal detection and results of pain tests (Table 1 and Fig. 1).
Table 1.
History and clinical findings in buffaloes with traumatic pericarditis.
| History and clinical findings | Traumatic pericarditis cases |
|---|---|
| Appetite | Variable degree of anorexia (n = 27) |
| Milk yield | Drop in milk yield (n = 27) |
| Body temperature | Variable, i.e., elevated in early stage (n = 10) and decreased in late stage (n = 17) |
| Heart rate | Variable, i.e., elevated in early stage (n = 10) and decreased in late stage (n = 17) |
| Abnormal heart sounds | Frictional (n = 6), machinery (n = 4), tinkling (n = 5), Muffled sounds (n = 12) |
| Respiration | Shallow rapid respiration (n = 27) |
| Rumen movement | 0/2 min (n = 27) |
| Body condition | Emaciated (n = 17) |
| Posture | Abduction of the forelimbs (n = 27) |
| Pain tests and metal detector | Positive (n = 27) |
| Conjunctiva | Congested (n = 10) or severely congested with continuous lacrimation |
| Episcleral capillaries | Engorged (n = 10) or severely engorged (n = 17) |
| Brisket oedema | Observed in chronic long standing cases ((n = 17) |
| Abdomen | Tensed (n = 27) |
| Gait | Ranging between reluctance (n = 20) to move up to recumbency(n = 7) |
| Jugular pulse | True (n = 27) |
Fig. 1.
Traumatic pericarditis in a female buffalo showing brisket oedema (1), abduction of the forelimb (2), congestion of conjunctiva, engorged eye capillaries and lacrimation (3&4).
3.2. Blood profile and serum biochemical analysis
The blood profiles in buffaloes with TP revealed lymphocytic leucocytosis (Table 2). Serum biochemical analysis showed a significant increase in serum activities of AST (P < 0.008) with significant hyperproteinaemia (P = 0.02), hypoalbuminaemia (P = 0.03) and hyperglobulinaemia (P = 0.02). The serum levels of GGT, ALK, triglycerides and cholesterol showed non-significant changes (Table 2).
Table 2.
Mean values ± standard deviation of blood picture and serum biochemical indices in both control and diseased buffaloes.
| Parameters | Control buffaloes (n = 20) | TP diseased buffaloes (n = 27) | P-value |
|---|---|---|---|
| T-RBC (T/L) (×106) | 7.54 ± 2.98 | 7.12 ± 1.32 | P = 0.71 |
| PCV (%) | 38 ± 3.24 | 25.81 ± 2.61 | P = 0.9 |
| Hb (g/L) | 118 ± 4.5 | 101.5 ± 10.6 | P = 0.62 |
| T-WBC (G/L) (×103) | 6.71 ± 1.63 | 12.50 ± 2.51 | P = 0.02 |
| Neutrophils (%) | 26.4 ± 9.13 | 21.67 ± 3.01 | P = 0.64 |
| Lymphocytes (%) | 60.80 ± 7.73 | 72.33 ± 8.58 | P = 0.04 |
| Monocytes (%) | 7.80 ± 4.63 | 4.34 ± 1.86 | P = 0.45 |
| Eosinophils (%) | 3.60 ± 2.07 | 0.33 ± 0.58 | P = 0.21 |
| Band cells (%) | 1.40 ± 0.52 | 1.33 ± 0.65 | P = 0.68 |
| Total protein (g/L) | 94.7 ± 10.7 | 121.2 ± 9.3 | P = 0.02 |
| Albumin (g/L) | 55 ± 8.4 | 35.8 ± 6.6 | P = 0.03 |
| Globulin (g/L) | 45.7 ± 4.6 | 75.5 ± 8.2 | P = 0.02 |
| GGT (U/L) | 14.95 ± 5.23 | 23.45 ± 1.43 | P = 0.56 |
| ALK (U/L) | 36.11 ± 8.40 | 49.54 ± 5.90 | P = 0.32 |
| AST (U/L) | 32.92 ± 4.77 | 88.32 ± 10.81 | P = 0.008 |
| Cholesterol (mmol/L) | 106.77 ± 10.96 | 91.48 ± 9.41 | P = 0.23 |
| TG (mmol/L) | 3.62 ± 0.2 | 3.79 ± 0.43 | P = 0.55 |
Significant (P < 0.05); highly significant (P < 0.01).
TP: traumatic pericarditis. T-RBC: total red blood cell count. PCV: packed cell volume. Hb: haemoglobin concentration. T-WBC: total white blood cell count. A/G ratio: albumin/Globulin ratio. AST: aspartate aminotransferase. ALK: alkaline phosphatase. GGT: gamma-glutamyl transferase. TG: triglycerides.
3.3. Radiographic findings
Radiographic findings from the reticula of control buffaloes showed them free from any metal objects. The heart appeared as radio-opaque, with clear margins, and was of normal size and characteristic shape. In 13 buffaloes, metal foreign bodies and cardiomegaly were imaged (Fig. 2). Nine buffaloes showed cardiomegaly with deformities in the cardiac contour and absence of any foreign metal objects (Fig. 3). Radiography also revealed free reticula and slight cardiomegaly in five buffaloes (Fig. 4).
Fig. 2.
Lateral radiographic views of the cranial abdomen (a) and the thorax (b) of a 6-year-old non-pregnant female buffalo with traumatic reticuloperitonitis and pericarditis showing cardiomegaly with adhesions between heart and reticulum. Notice the heart lost its characteristic shape. 1: Nails; 2: Reticulum; 3: Sternum; 4: Adhesions; 5: Heart.
Fig. 3.
Lateral radiographic views of the cranial abdomen (a) and the thorax (b) of a 4-year-old non-pregnant female buffalo with traumatic pericarditis showing free reticulum, adhesions around the heart and unclear cardiac margins. 1: Heart; 2: Lungs; 3: Reticulum; 4: Sternum.
Fig. 4.
Lateral radiographic views of the cranial abdomen (a) and the thorax (b) of a 5-year-old pregnant female buffalo with traumatic reticuloperitonitis and pericarditis showing free reticulum and slight cardiac enlargement. 1: Reticulum; 2: Lungs; 3: Sternum; 4: Heart.
3.4. Ultrasonographic findings
All TP cases (n = 27) were characterised ultrasonographically by deformity in the reticular wall and loss of both contour and half-moon-shaped appearance. Reticular abscesses and peritoneal effusions were visualised in all diseased buffaloes (n = 27). The reticulum was displaced from the diaphragm by a distance of 2.6–4.5 cm with either a fibrinous echogenic mass between the reticulum and the abdominal wall (caudoventral to the reticulum, Fig. 5a) or with echogenic fibrinous deposits interspersed with hypoechoic pockets of fluids (Fig. 5b) compared to those in healthy buffaloes (The reticulum-diaphragm distance = 0.5–1.4 cm). Reticular contractions were reduced to 0/3 min compared to those in healthy buffaloes (3/3 min). Peritoneal effusions were imaged as an accumulation of hypoechoic fluids without echogenic margins caudal to the reticulum and contained echogenic fibrinous deposits. The reticular abscesses were imaged as distinct echogenic capsules with anechoic, hypoechoic or echoic contents (Figs. 5a, c, d).
Fig. 5.
Ultrasonograms in a 7-year-old female buffalo with traumatic reticuloperitonitis and pericarditis. Images were taken from the left ventral thorax showing reticular abscesses cranioventral to the reticulum (An echogenic capsule with hypoechoic (a), anechoic (c) or echoic contents (d), peritoneal effusions and accumulation of fibrinous echogenic mass caudoventral to the reticulum and ventral to the craniodorsal sac of the rumen. Peritoneal effusions appear as an accumulation of hypoechoic fluids without echogenic margins caudal to the reticulum and contained echogenic fibrinous deposits (a, c, d). The reticulum was displaced from the diaphragm by a fibrinous echogenic mass between the reticulum and abdominal wall (b). Vt: Ventral; Cr: cranial; Cd: caudal; 1: Abdominal wall; 2: Reticulum; 3: Peritoneal effusions; 4: Reticular abscess; 5: Diaphragm; 6: Fibrinous echogenic mass.
Buffaloes with acute TP (n = 10) showed cardiomegaly with strong and clear cardiac contractions and thickened ventricular wall. Accumulation of hypoechoic fluids was interspersed with echogenic deposits of fibrin within the heart tissue and the pericardium (Fig. 6, Video 1).
Buffaloes with chronic suppurative TP (n = 17) had either abdominal findings or thoracic findings.
Fig. 6.
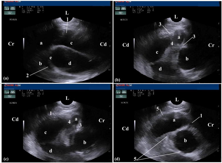
Ultrasonograms in a 3-year-old female buffalo with traumatic pericarditis. Imaging was performed from the left 4th. intercostal space (ICS) at the midway point between the elbow and shoulder points and showing hypoechoic exudates in the pericardium, accumulation of echogenic fibrinous deposits within the myocardium and around the atrioventricular valves and thickening in the wall of atria. ICS: Intercostal space; L: left; Cr: Cranial; Cd: Caudal; A: Right atrium; B: Left atrium; C: Right ventricle; D: Left ventricle; E: Atrioventricular valve [AV valve]; 1: hypoechoic exudates; 2: thickening of AV valve; 3, 4: echogenic fibrinous deposits; 5: thickening of atria walls with echogenic fibrinous deposits.
Abdominal findings included splenic involvement, complete absence of reticular contractions, uneven and thickened reticular wall and fibrinous echogenic networks with aggregates of fibrinous echogenic deposits interspersed with hypoechoic fluids caudoventral to the reticulum and/or the craniodorsal blind sac of the rumen. Formation of an echogenic fibrinous mass between the reticulum and the diaphragm was also visualised. The reticulum was displaced away from the diaphragm by a distance about 3 ± 0.2 cm (Fig. 7a). The affected spleen was completely covered with fibrinous echogenic deposits and surrounded with hypoechoic fluids associated with echogenic fibrinous deposits. These fibrinous deposits led to adhesions between the spleen and the surrounding structures (abdominal wall, reticulum and craniodorsal blind sac of the rumen; Fig. 7b).
Fig. 7.
Ultrasonograms in a 5-year-old female buffalo with traumatic reticuloperitonitis, pericarditis and spleen involvement. Images were taken from the left ventral aspect of the thorax and revealed an echogenic fibrinous network including aggregation of echogenic fibrinous deposits interspersed with hypoechoic fluids caudoventral to the reticulum and/or the craniodorsal sac of the rumen (a). The spleen was imaged from the distal part of the left 7th ICS. Images showing echogenic fibrinous deposits surrounding the spleen and separating it from the reticulum and/or craniodorsal blind sac of the rumen (b). ICS: Intercostal space. Vt: Ventral; Cr: cranial; Cd: caudal; L: left; 1: Abdominal wall; 2: Reticulum; 3: Craniodorsal sac of the rumen; 4: Network of echogenic fibrinous mass; 5: Spleen involvement.
Thoracic ultrasonographic findings included cardiomegaly, thickened cardiac wall with deformity in the characteristic recognisable cardiac shape. Accumulation of hypoechoic fluids (usually pus) was interspersed with echogenic deposits of fibrin within the pericardium. Thickening in the myocardium and deposition of echogenic fibrinous aggregations with hypoechoic fluids on the ventricles, atria and valves were also detected. Echogenic bands were imaged within the heart with severe reduction in its contractility (Figs. 8a, b). The characteristic ultrasonographic findings of TP in buffaloes were summarized in Table3.
Fig. 8.
Ultrasonograms in a 5-year-old female buffalo with traumatic reticuloperitonitis and pericarditis. Images were taken from the left 4th ICS at the midway point between the elbow and shoulder points showing cardiomegaly, deformity of its characteristic recognisable shape and thickened cardiac wall. ICS: Intercostal space; L: left; D: dorsal; Vt: Ventral; Cr: Cranial; Cd: Caudal; 1: thoracic wall; 2: Heart; 3: Echogenic bands; 4: Hypoechoic exudates within the pericardium and fibrinous echoic deposits within atria and ventricles; 5: Thickening in cardiac wall; 6: Atria; 7: Ventricles.
Table 3.
The common ultrasonographic findings associated with traumatic pericarditis (TP) in buffaloes.
| Parameters | Ultrasonographical findings |
|---|---|
| Half-moon-shaped reticulum | Lost |
| Even contour of reticulum | Lost |
| Reticular contraction | 0/3 min |
| Reticulum-diaphragm distance | 2.6–4.5 cm |
| Reticular abscess | Imaged |
| Peritoneal effusions | Imaged |
| Heart | Affected |
| Spleen | Involved |
| Rumen, omasum, abomasum, liver, intestine and kidney | Not involved |
4. Discussion
Recent advances in the management of foreign body syndrome in cattle and buffaloes have been developed [2]. Therefore the aim of this study was to describe the characteristic ultrasonographic findings in buffaloes with TP. A tentative diagnosis of foreign body syndrome can be made on the basis of clinical findings, but in difficult cases additional diagnostic aids are required.
The clinical findings of the TP cases described in the present study match those reported by Abu-Seida and Al-Abbadi [2], Radostits et al. [11] and Abu-Seida [34].
Blood analysis in buffaloes with TP revealed lymphocytic leucocytosis. Hawkins [35] and Latimer et al. [36] reported that leucocytosis with left shift was suggestive of TP and localised TRP. Neutrophilia in the absence of leucocytosis was indicative of diffuse TRP. The whole blood picture in cattle with TRP can vary depending on whether the peritonitis is acute or chronic and whether it is localised or diffused. On the other hand, blood pictures showed marked leucocytosis associated with neutrophilia and a shift to the left in buffaloes with acute TRP [14]. Buffaloes with complicated TRP exhibited monocytic leucocytosis [17].
The diseased buffaloes showed a significant increase in the serum activities of AST with significant hyperproteinaemia, hypoalbuminaemia and hyperglobulinaemia. Similar findings were reported by Khalphallah et al. [17] in buffaloes with complicated TRP. In contrast, buffaloes with acute TRP showed only a significant increase in the serum level of AST [14]. Smith and Slenning [37] found that blood levels of total plasma protein (TPP) and plasma fibrinogen (PF) increased in cattle suffering from TRP and other gastrointestinal diseases. Changes in haematological values and biochemical parameters, such as elevation of blood fibrinogen, AST and ALK, were indicative of inflammatory changes in the body such as TRP and TP [38].
In this study, radiographic examination of buffaloes with TP was efficient for identifying foreign objects, e.g., nails, needles and other metallic objects. It also gave indications about the nature of the cause of the trauma and the changes affecting heart shape and opacity. Radiography failed to identify inflammatory changes that occurred on the reticular serosa, reticular abscesses and non-metallic objects like rags and bags. Similar radiographic findings were reported before in buffaloes with acute TRP and complicated TRP [14], [17].
Ultrasound was capable of identifying the inflammatory changes that occurred on the reticular serosa as well as reductions of reticular contractility. Ultrasonography failed to visualise the foreign objects inside the reticulum [21], [39]. On the other hand, previous reports used ultrasonography for imaging of non-metallic objects (ropes and plastic tubes) outside the reticulum (within the rumen), especially in cases of severe ruminal distension [16]. In cases of TP, detection of radiographic details and radio-opaque foreign bodies at the level of the heart in the thorax may reflect an early stage of TP and the absence of pericardial fibrinous exudates [40]. At the same time, loss of radiographic details may be attributed to the presence of purulent and fibrinous exudates in the pericardial sac, and may also be due to the presence of pleural effusions in the form of hydrothorax [41]. The cardiophrenic angle was obscured and the cardiac silhouette and ventral diaphragm completely obliterated from view because of extensive fibrinopurulent lesions. The exudates mask thoracic details and bring the thoracic density and abdominal density closer together [1], [41].
In this study, ultrasonography, with the aid of radiography, was successfully used for diagnosis of TP in buffaloes. These findings are in agreement with those reported in buffaloes with complicated TRP either with or without an affected heart [17].
Also, in the current work, none of the cases exhibited positive radiography and negative ultrasonography. In contrast, there were many cases with positive ultrasonography and negative radiography. The foreign bodies in these cases were either located within the suppurative tract between the diaphragm and heart or displaced posteriorly in the reticulum. The same results were reported in buffaloes with acute TRP [14].
The reticulum was displaced from the diaphragm in the TP cases by a distance of 2.6–4.5 cm. This displacement was either due to the presence of a fibrinous echogenic mass between the reticulum and abdominal wall (caudoventral to the reticulum), or because of echogenic fibrinous deposits interspersed with hypoechoic pockets of fluids.
In TP cases, reticular contraction was reduced to 0/3 min compared to a rate of reticular contraction of 3/3 min in healthy buffaloes. The same findings were reported before [6], [29], [38]. Furthermore, Braun et al. [37] found that the changes in the contour of the reticulum in TRP cases depend on the severity of the inflammatory changes.
Reticular abscesses and peritoneal effusions were clearly imaged in all the cases described here. The cavity of an abscess are frequently partitioned by echogenic septa [10], [42]. In buffaloes with complicated TRP, the reticular abscesses and peritoneal effusions were imaged in all animals [17]; in buffaloes with acute TRP, no reticular abscesses were observed, but peritoneal effusions were imaged in the majority of animals [14].
In the present study, spleen was usually involved in buffaloes with TP, particularly in advanced stages. The same results were reported in buffaloes with complicated TRP [17]. Conversely, Khalphallah et al. [14] reported that the spleen was not involved in buffaloes with acute TRP.
In the present work, the affected heart in buffaloes with acute TP was enlarged with strong and clear cardiac contraction and thickened ventricular wall. Accumulation of hypoechoic fluids was interspersed with echogenic deposits of fibrin within the heart tissue and the pericardium. Similar findings in cows with suppurative pericarditis as a sequel of TRP were recorded [16].
Here, our obtained results showed that reduced myocardial contractility was usually imaged in the suppurative stage of pericarditis, which is clinically associated with the presence of brisket oedema and true jugular pulse. These findings are in agreement with Schweizer et al. [43].
5. Conclusions
Ultrasonography with the aid of other diagnostic tools such as clinical findings, laboratory analysis and radiography is a useful tool for evaluation of buffaloes with TP and helps in the differential diagnosis of TP, acute TRP and complicated TRP in buffaloes.
Acknowledgments
Competing interests
The authors declare that they have no competing interests.
Acknowledgement
The authors are grateful to the Director of Veterinary Teaching Hospital and Head Department of Animal Surgery at Assiut University – Egypt for their kind support during conducting this study.
Footnotes
Peer review under responsibility of Faculty of Veterinary Medicine, Cairo University.
Contributor Information
Arafat Khalphallah, Email: arafatvet2003@yahoo.com.
Enas Elmeligy, Email: enaselmeligy@yahoo.com.
Hanan K. Elsayed, Email: hanankamal726@yahoo.com.
Bahaa Eldeen A. Abedellaah, Email: bahaa212121@yahoo.com.
Doaa Salman, Email: abassdoaa@yahoo.com.
Al-lethie A. Al-lethie, Email: Lithy@aswu.edu.eg.
Sara A. Bayoumi, Email: sabdellateef@gmail.com.
References
- 1.Misk N.A., Semieka M.A. The radiographic appearance of reticular diaphragmatic herniation and traumatic pericarditis in buffaloes and cattle. Vet Radiol Ultrasound. 2001;42:426–430. doi: 10.1111/j.1740-8261.2001.tb00964.x. [DOI] [PubMed] [Google Scholar]
- 2.Abu-Seida A.M., Al-Abbadi O.S. Recent advances in the management of foreign body syndrome in cattle and buffaloes: a review. Pak Vet J. 2016;36(4):385–393. [Google Scholar]
- 3.Tesfaye D., Chanie M. Study on rumen and reticulum foreign bodies in cattle slaughtered at Jimma Municipal Abattoir, South West Ethiopia American-Eurasian. J Sci Res. 2012;7:160–167. [Google Scholar]
- 4.Nyland T. 2nd ed. Saunders; Philadelphia: 2002. Small animal diagnostic ultrasound; pp. 46–266. [Google Scholar]
- 5.Abdelaal A., Floeck M., El Maghawry S., Baumgartner W. Clinical and ultrasonographic differences between cattle and buffalo with various sequelae of traumatic reticuloperitonitis. Vet Med. 2009;9:399–406. [Google Scholar]
- 6.Abdelaal A., Mostafa M.B., Abu-Seida A.M., Al-Abbadi O.S., Abbas S.F. Ultrasonographic findings in hardware diseased buffaloes (Babulus babilus) Res J Pharm Biol Chem Sci. 2016;7:1644–1649. [Google Scholar]
- 7.Abu-Seida A.M., Al-Abbadi O.S. Studies on sharp foreign body syndrome in Iraqi buffaloes and its impact on milk production. Asian J Anim Vet Adv. 2015;9:128–133. [Google Scholar]
- 8.Mostafa M.B., Abu-Seida A.M., Abdelaal A.M., Al-Abbadi O.S., Abbas S.F. Ultrasonographic features of the reticulum in normal and hardware diseased buffaloes. Res Opin Anim Vet Sci. 2015;5:165–171. [Google Scholar]
- 9.Al-Abbadi O.S., Abu-Seida A.M., Al-Hussainy S.M. Studies on rumen magnet usage to prevent hardware disease in buffaloes. Vet World. 2014;7:408–411. [Google Scholar]
- 10.Braun U., Flückiger M., Götz M. Comparison of ultrasonographic and radiographic findings in cows with traumatic reticuloperitonitis. Vet Rec. 1994;135:470–478. doi: 10.1136/vr.135.20.470. [DOI] [PubMed] [Google Scholar]
- 11.Radostits O.M., Gay C.C., Hinchcliff K.W., Constable P.D. Diseases of the alimentary tract. In: Radostits O.M., Gay C.C., Hinchcliff K.W., Constable P.D., editors. Veterinary medicine. A textbook of the diseases of cattle, horses, sheep, pigs and goats. 10th ed. Saunders Elsevier; Philadelphia: 2007. pp. 189–382. [Google Scholar]
- 12.Sharma M.C., Kumar P. Foreign body syndrome in buffaloes (Bubalus bubalis): an emerging threat. Asian J Anim Vet Adv. 2006;1:89–98. [Google Scholar]
- 13.Aref N.M., Abdel- Hakiem M.H. Clinical and diagnostic methods for evaluation of sharp foreign body syndrome in buffaloes. Vet World. 2013;6(9):586–591. [Google Scholar]
- 14.Khalphallah A., Abu-Seida A.M., Abdelhakiem M., Elmeligy E., Mahmoud U.T. Laboratory, radiographic and ultrasonographic findings of acute traumatic reticuloperitonitis in buffaloes (Bubalus bubalis) Asian J Anim Vet Adv. 2016;11:675–683. [Google Scholar]
- 15.Abouelnasr K.S., Mosbah E., Karrouf G.I., Zaghloul A.E. Comparative ultrasonographic findings of traumatic reticulitis, perireticular abscess and diaphragmatic hernia in buffalo (Bubalus bubalis) J Am Sci. 2016;12:590–595. [Google Scholar]
- 16.Khalphallah A., El-Sebaie A.H., Raghib M.F. Approach for diagnosis of complicated traumatic reticuloperitonitis in cattle using ultrasonography. J Adv Vet Res. 2015;5:157–164. [Google Scholar]
- 17.Khalphallah A., Elmeligy E., Elsayed H.K., El-Hawari S.F., Elrashidy M.H. Diagnostic significance of ultrasonography in complicated traumatic reticuloperitonitis in Egyptian buffaloes (Bubalus bubalis) Asian J Anim Vet Adv. 2016;11:319–330. [Google Scholar]
- 18.Cockcroft P. Bovine medicine. 3rd ed. John Wiley & Sons Ltd; 2015. Diagnosis and clinical reasoning in cattle practice; pp. 124–132. [Google Scholar]
- 19.Coles E.H. Veterinary clinical pathology. 4th ed. W.B. Saunders Company; Philadelphia: 1986. Collection of blood samples; pp. 46–47. [Google Scholar]
- 20.Kelly W.G. 3rd ed. Bailliere Tindall; London: 1984. Veterinary clinical diagnosis; pp. 236–240. [Google Scholar]
- 21.Braun U., Flückiger M., Nägeli F. Radiography as an aid in the diagnosis of traumatic reticuloperitonitis in cattle. Vet Rec. 1993;132:103–109. doi: 10.1136/vr.132.5.103. [DOI] [PubMed] [Google Scholar]
- 22.Nägeli F. University of Zurich, Switzerland; Faculty of Veterinary Medicine: 1991. X-ray diagnostics in the traumatic reticuloperitonitis of cattle: technique, findings, interpretation and diagnostic significance. [Dr Med Vet thesis] [Google Scholar]
- 23.Braun U. Ultrasonographic examination of the liver in cows. Am J Vet Res. 1990;51:1522–1526. [PubMed] [Google Scholar]
- 24.Braun U. Ultrasonographic examination of the right kidney in cows. Am J Vet Res. 1991;52:1933–1939. [PubMed] [Google Scholar]
- 25.Braun U., Amrein E. Ultrasonographic examination of the caecum and proximal and spiral loop of the colon of cattle. Vet Rec. 2001;149:45–48. doi: 10.1136/vr.149.2.45. [DOI] [PubMed] [Google Scholar]
- 26.Braun U., Götz M. Ultrasonography of the reticulum in cows. Am J Vet Res. 1994;55:325–332. [PubMed] [Google Scholar]
- 27.Braun U., Marmier O. Ultrasonographic examination of the small intestine of cows. Vet Rec. 1995;136:239–242. doi: 10.1136/vr.136.10.239. [DOI] [PubMed] [Google Scholar]
- 28.Marmier O. University of Zurich, Switzerland; Faculty of Veterinary Medicine: 1993. Sonographic examination of the gut of the cattle. [Dr Med Vet thesis] [Google Scholar]
- 29.Braun U., Schweizer T., Pusterla N. Echocardiography of the normal bovine heart: technique and ultrasonographic appearance. Vet Rec. 2001;148:47–51. doi: 10.1136/vr.148.2.47. [DOI] [PubMed] [Google Scholar]
- 30.Braun U., Schweizer G., Flückiger M. Radiographic and ultrasonographic findings in three cows with reticulo-omasal obstruction due to a foreign body. Vet Rec. 2002;150:580–581. doi: 10.1136/vr.150.18.580. [DOI] [PubMed] [Google Scholar]
- 31.Khalphallah A., Elsayed H.K., Elmeligy E., El-hawari S.F. The ultrasonographic findings of the gastrointestinal tract and spleen in healthy Egyptian Buffaloes (Bubalus bubalis) Assiut Vet Med J. 2016;62:39–47. [Google Scholar]
- 32.Khalphallah A., Abdelhakiem M., Elmeligy E. The ultrasonographic findings of the liver, gall bladder and their related vasculatures in healthy Egyptian buffaloes (Bubalus bubalis) Assiut Vet Med J. 2016;62:156–162. [Google Scholar]
- 33.SPSS win. Statistical package for social sciences. Software program for statistical analysis under Windows, USA; 1997.
- 34.Abu-Seida A.M. Current status and prospect of ultrasonographic application in buffaloes. A review article. Asian J Anim Vet Adv. 2016;11:144–157. [Google Scholar]
- 35.Hawkins L.L. vol. 5350. LAMS; 2002. Bovine digestive diseases; pp. 22–24. (Large animal digestive diseases notes). [Google Scholar]
- 36.Latimer K.S., Mahaffey E.A., Prasse K.W. 4th ed. Iowa State Press; Ames: 2003. Duncan & Prasse’s veterinary laboratory medicine: clinical pathology. P. 68–77, 152–60, 166–7. [Google Scholar]
- 37.Smith R.D., Slenning B.D. Decision analysis: dealing with uncertainty in diagnostic testing. Prev Vet Med. 2000;45:139–162. doi: 10.1016/s0167-5877(00)00121-5. [DOI] [PubMed] [Google Scholar]
- 38.Benjamin M.M. 3rd ed. Kalyan publishers; New Delhi: 1985. Outline of veterinary clinical pathology; p. 291. [Google Scholar]
- 39.Braun U., Götz M., Marmier O. Ultrasonographic findings in cows with traumatic reticuloperitonitis. Vet Rec. 1993;133:416–422. doi: 10.1136/vr.133.17.416. [DOI] [PubMed] [Google Scholar]
- 40.Braun U., Lejeune B., Schweizer G., Puorger M. Clinical findings in 28 cattle with traumatic pericarditis. Vet Res. 2007;161:558–563. doi: 10.1136/vr.161.16.558. [DOI] [PubMed] [Google Scholar]
- 41.Misk N.A. Proceedings of XXXVII international congress of the world association of the history of veterinary medicine. XII congress of the spanish history association. 2006. History of diagnosis of squelae of swallowed foreign bodies in cattle and buffaloes; pp. 637–641. [Google Scholar]
- 42.Braun U., Iselin U., Lischer C., Fluri E. Ultrasonographic findings in five cows before and after treatment of reticular abscesses. Vet Rec. 1998;142:184–189. doi: 10.1136/vr.142.8.184. [DOI] [PubMed] [Google Scholar]
- 43.Schweizer T., Sydler T., Braun U. Cardiomyopathy, valvular endocarditis and traumatic pericarditis in cattle – clinical and echocardiographic findings on three case reports. Switzerland Arch Vet Med. 2003;145:425–430. doi: 10.1024/0036-7281.145.9.425. [DOI] [PubMed] [Google Scholar]
Associated Data
This section collects any data citations, data availability statements, or supplementary materials included in this article.








