Abstract
Preaxial polydactyly, which refers to the duplication of the first digital ray, sporadically occurs in 8 per 100,000 births among African and Caucasian populations. It develops as the result of the failure of the hand plate differentiation in the radial-ulnar axis, and is mostly unilateral. Preaxial polydactyly is only a cosmetic disturbance rather than being a functional deficiency in most cases, and in general, good outcomes which are maintained over time are obtained from surgical treatment. Wassel described seven types of preaxial polydactyly according to the level of the bifurcation. The most common type is reported to be Wassel type IV, followed by types II and VII. Here in, a rather rare case of Wassel type III polydactyly which was detected in an asymptomatic young man is presented.
Keywords: Wassel classification, Thumb duplication, Preaxial polydactyly
Introduction
Polydactyly is the most prevalent congenital anomaly of the hand. Preaxial polydactyly, which refers to the duplication of the first digital ray, sporadically occurs in 8 per 100,000 births among African and Caucasian populations [1]. It develops as the result of the failure of the hand plate differentiation in the radial-ulnar axis, and is mostly unilateral [2]. Preaxial polydactyly may appear in different forms depending on the level of the bifurcation. Among a number of classifications, Wassel's is the most practical and widely used system for classifying preaxial poldactyly. According to this system: type I describes a bifid distal phalanx; type II, duplicated distal phalanx; type III, bifid proximal phalanx; type IV, duplicated proximal phalanx; type V, bifid metacarpal; type VI, duplicated metacarpal; and type VII, triphalangism (Fig. 1) [3]. The most common type of preaxial polydactyly is reported to be type IV, followed by types II and VII [1], [4]. Herein, a rather rare case of Wassel type III polydactyly which was detected in an asymptomatic young man is presented.
Fig. 1.
Illustrative figure demonstrating Wassel classification of preaxial polydactyly.
Case report
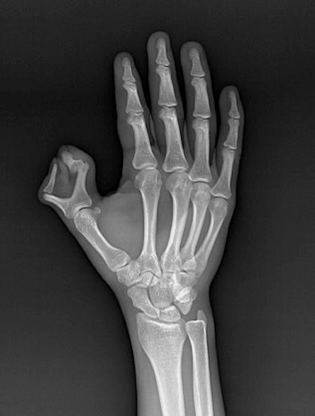
A 20-year-old man with no health complaints admitted to our hospital for mandatory health screening before military service. On physical examination, an extra finger on his right hand was observed. The angulation of the duplicated thumbs towards each other was notable (Fig. 2). There were fixed flexion of interphalangeal joints of both thumbs, more pronounced on the ulnar sided one. The range of motion of the interphalangeal joints of the duplicated thumbs were limited, whereas, matacarpophalangeal joint was normal in function. The patient had no relevant family history. Anteroposterior radiographs of the right hand (Fig. 3) and the right thumb (Fig. 4) revealed bifid proximal phalanx and duplicated distal phalanx of the thumb consistent with Wassel type III polydactyly. The patient refused to be referred to the Department of Plastic Surgery.
Fig. 2.
Clinical photograph of the right hand of the patient. There is duplication of the thumb with the 2 thumbs angulating towards each other.
Fig. 3.
Anteroposterior radiograph of the right hand depicts bifid proximal phalanx and duplication of the distal phalanx of the thumb consistent with Wassel type III polydactyly.
Fig. 4.
Anteroposterior radiograph of the right thumb demonstrates bifid proximal phalanx and duplication of the distal phalanx of the thumb consistent with Wassel type III polydactyly.
Discussion
Three categories of hand polydactyly have been described; preaxial (thumb), central (index, long, and ring fingers), and postaxial (small finger) polydactyly [5]. Preaxial polydactyly is reported to be the most common category among white and Asian populations [6]. Because all of the sensory and motor units which are necessary for functioning are present in the extra thumb, preaxial polydactyly is only a cosmetic disturbance rather than being a functional deficiency in most cases [1]. However, cases with functional difficulties such as inability to move the thumb independently, have also been reported [2]. Our patient stated neither a functional deficiency, nor a cosmetic discomfort. And he refused surgical consultation.
Radiography is the method of choice in the diagnosis and the classification of preaxial polydactyly [1]. For preoperative imaging, computarized tomography with multiplanar reconstructions and 3D reformations can be used in order to obtain detailed information about not only the bony structures, but also the soft tissues including tendons and muscles of the thumb [2].
The most commonly used surgical method for the treatment of preaxial polydactyly is ablation of the radial thumb and reconstruction of the joint. The surgical outcomes vary depending on numerous factors including the hypoplasticity and the degree of angulation of the thumbs. The term “balanced” is used for the duplicated thumbs which lie srtaight and parallel. But the ones which are angulated towards each other, as they do in the current case, are termed as “inbalanced”. This subdivision is important in surgical prognostication of the cases. The outcomes of the balanced thumbs are reported to be better than those of the inbalanced ones. The type of the polydactyly, and selected surgical method are the other important factors determining the surgical results. In general, good outcomes which are maintained over time are obtained from surgical treatment of preaxial polydactyly [1].
Footnotes
Informed consent for publication: applicable.
Declarations of interests: none.
References
- 1.Van Wyhe R.D., Trost J.G., Koshy J.C., Pederson W.C. The duplicated thumb: a review. Semin Plast Surg. 2016;30:181–188. doi: 10.1055/s-0036-1593736. [DOI] [PMC free article] [PubMed] [Google Scholar]
- 2.Mete B.D., Altay C., Gursoy M., Oyar O. Wassel's type V polydactyly with plain radiographic and CT findings. J Clin Imaging Sci. 2015;5:16. doi: 10.4103/2156-7514.153974. [DOI] [PMC free article] [PubMed] [Google Scholar]
- 3.Mumoli N., Gandini D., Wamala E.K., Cei1 M. Left hand polydactyly: a case report. Cases J. 2008;1:346. doi: 10.1186/1757-1626-1-346. [DOI] [PMC free article] [PubMed] [Google Scholar]
- 4.Patel A.U., Tonkin M.A., Smith B.J., Alshehri A.H., Lawson R.D. Factors affecting surgical results of Wassel type IV thumb duplications. J Hand Surg Eur Vol. 2014;39(9):934–943. doi: 10.1177/1753193413514650. [DOI] [PubMed] [Google Scholar]
- 5.Jafari D., Shariatzade H., Mazhar F.N., Abbasgholizadeh B., Dashtebozorgh A. An unusual case of preaxial polydactyly of the hand (triplication of the thumbs) Med J Islam Repub Iran. 2013;27(2):91–94. [PMC free article] [PubMed] [Google Scholar]
- 6.Giele H., Giele C., Bower C., Allison M. The incidence and epidemiology of congenital upper limb anomalies: a total population study. J Hand Surg. 2001;26A:628–634. doi: 10.1053/jhsu.2001.26121. [DOI] [PubMed] [Google Scholar]




