Watch a video presentation of this article
El hígado tiene una estructura tridimensional compleja formada por elementos epiteliales y mesenquimales que se organizan en unidades microscópicas repetitivas. Se trata de una organización estructural y funcional que permite evaluar los procesos patológicos difusos en pequeñas muestras de biopsia representativas. En esta revisión se describe la microanatomía normal del hígado con el objetivo de establecer unas bases de comprensión que ayuden a identificar los patrones de lesión de las enfermedades hepáticas.
Unidades funcionales: acino y lóbulo
La estructura microscópica puede conceptualizarse de varias maneras, pero las más comunes son el acino y el lóbulo. El acino es una unidad que contiene un pequeño espacio porta en el centro y vénulas hepáticas terminales en la periferia. Se trata de la unidad funcional más pequeña y se divide en tres zonas; la zona 1 rodea el espacio porta y la zona 3 rodea a la vénula hepática. La sangre del espacio porta fluye por estas zonas hasta llegar a la vénula, con un gradiente decreciente de oxígeno y nutrientes. Como alternativa, también puede utilizarse el concepto tradicional de lóbulo, en el que la estructura central es la vénula hepática terminal (“vena central”) y la periferia está definida por los espacios porta. Las zonas acinares 1, 2 y 3 corresponden, respectivamente, a las zonas periportal, media y pericentral del lóbulo1, 2 (Figura 1).
Figure 1.

Esta fotomicrografía muestra la arquitectura microscópica básica, las relaciones estructurales y la terminología que se utiliza para describir la microanatomía del hígado. La mayoría de los cordones hepatocelulares tienen un grosor de una o dos capas y se dividen en tres zonas: zonas 1, 2 y 3 del acino, y zonas periportal (PP), media (MZ) y centrilobular (CL) del lóbulo. La sangre fluye desde el espacio porta (PT) hasta la vena central, también denominada vénula hepática terminal (CV/THV) (tinción con hematoxilina y eosina, ampliación x100).
Espacios porta
Los espacios porta son canales que se originan en el hilio y atraviesan el hígado con un patrón de ramificación. En su interior hay conductos y conductillos biliares, ramas de la arteria hepática, ramas de la vena porta, vasos linfáticos, fibras nerviosas y algunas células inflamatorias (Figura 2). El tejido conectivo de soporte normal contiene principalmente colágeno de tipo 1, que se tiñe de azul con la tinción tricrómica.
Figure 2.

Espacio porta normal con conducto biliar (BD), arteria hepática (HA), vena porta (PV) y conductillos biliares localizados en la periferia (puntas de flecha). La placa limitante de hepatocitos rodea al espacio porta (flechas) (tinción con hematoxilina y eosina, ampliación x400).
Hepatocitos
Los hepatocitos suelen aparecer organizados en forma de cordones de una o dos células de grosor, separados por sinusoides. La presencia de cordones más gruesos sugiere actividad regenerativa, pero en el marco de una lesión también puede indicar neoplasia. Los hepatocitos que limitan con los espacios porta forman una capa semejante a una cubierta que se llama “placa limitante” (Figura 2). En situaciones inflamatorias, la alteración de esta capa indica hepatitis activa. Los hepatocitos son de forma poligonal, miden de 25 a 40 µm, y tienen un citoplasma eosinofílico abundante y un núcleo central. Su núcleo es redondo u ovalado y puede contener glucógeno, lo que es más frecuente entre las personas jóvenes y en otras situaciones específicas, como la diabetes o la enfermedad de Wilson. La membrana celular, que está parcialmente expuesta a los sinusoides (superficie basolateral), forma los canalículos biliares con el hepatocito adyacente (superficie canalicular) y presenta una porción adyacente al canalículo que se une al hepatocito vecino mediante uniones especializadas (superficie lateral). El citoplasma contiene abundante retículo endoplasmático y glucógeno, y este último puede observarse con la tinción del ácido periódico de Schiff. No es raro que haya una cantidad mínima de hierro, que normalmente solo se identifica utilizando una tinción de hierro. Cuando esta cantidad aumenta, el hierro aparece en forma de gránulos refráctiles marrones, similares al cobre (Figura 3). En la hemocromatosis, el depósito de hierro aparece inicialmente en los hepatocitos de la zona 1 y después se va extendiendo progresivamente hacia la zona 3. En la sobrecarga secundaria de hierro la distribución afecta principalmente a las células de Kupffer. Por el contrario, la lipofuscina (o “pigmento de desgaste”) se acumula fundamentalmente en la zona 3 bajo la forma de un pigmento granular de color pardo‐amarillento (Figura 4). Normalmente la bilis no se ve, pero cuando se encuentra en el citoplasma presenta un color verde‐amarillento y tiene un aspecto menos granular que el hierro o la lipofuscina. En situaciones colestásicas es más fácil observar la bilis en el canalículo biliar en la zona 3 y en los ductos y dúctulos portales (Figuras 3 y 4). Los canalículos drenan en los dúctulos del espacio porta a través de los canales de Hering, que no pueden observarse mediante microscopía rutinaria1, 2, 3.
Figure 3.

Cordones de hepatocitos con acumulación de gránulos de hierro de color marrón (puntas de flecha) y bilis de color marrón‐verdoso dentro de los canalículos biliares (flechas). Los canalículos se encuentran entre los hepatocitos (tinción de hematoxilina y eosina, ampliación x500).
Figure 4.

Cordones de hepatocitos con acumulación de pigmento de lipofuscina (LF) finamente granular y de color pardo‐amarillento. Hay bilis en un canalículo (flecha) (tinción con hematoxilina y eosina, ampliación x400).
Células de revestimiento sinusoidal
Los sinusoides son canales a través de los cuales fluye la sangre desde los espacios porta hasta la vénula hepática. Están revestidos por células endoteliales y células de Kupffer, que son una población especializada que pertenece al sistema fagocítico; las células de Kupffer descansan sobre una capa de reticulina que puede localizarse fácilmente con una tinción de reticulina. El revestimiento endotelial es una especie de lámina fenestrada que permite un fácil intercambio entre la sangre y los hepatocitos a través del espacio de Disse. Por el contrario, las células de Kupffer son irregulares y presentan extensiones citoplasmáticas que facilitan su función fagocítica (Figura 5). Además, recubriendo a los sinusoides hay linfocitos asociados al hígado (pit cells), que están en contacto con las células endoteliales o las células de Kupffer4, 5. Estas células también se encuentran en el espacio de Disse y presentan un fenotipo de linfocito T o fenotipo de célula tipo “natural killer”.
Figure 5.

Los sinusoides están revestidos de células endoteliales (EC) y células de Kupffer (puntas de flecha). En el espacio de Disse hay células estrelladas (o células de Ito) (flechas gruesas). También hay núcleos glucogenados claros (flechas finas) y pigmento de lipofuscina (LF). Los hepatocitos muestran esteatosis, con acumulación de gotitas de grasa pequeñas y grandes (tinción con hematoxilina y eosina, ampliación x500).
Espacio de Disse
El espacio de Disse es un compartimento situado entre las células endoteliales y los hepatocitos en el que se encuentra el microentorno en el que se produce el intercambio entre la sangre y los hepatocitos. Contiene plasma, tejido conectivo (colágeno de tipo 3) que forma el marco de reticulina y células estrelladas hepáticas (también llamadas “células de Ito”) (Figuras 5 y 6). Las células estrelladas, que pertenecen a la familia de los miofibroblastos y están íntimamente relacionadas con las terminaciones nerviosas pequeñas, desempeñan un importante papel en el control del flujo sanguíneo sinusoidal, la fibrogénesis y el almacenamiento de vitamina A3, 4, 5.
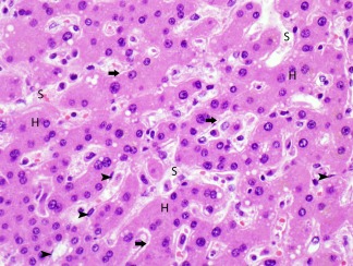
Figure 6.

Área de cambio regenerativo, caracterizada por la presencia de hepatocitos (H), mayoritariamente de pequeño tamaño, dispuestos en cordones de dos o más células de grueso, separados por sinusoides (S). El espacio de Disse está ampliado (flechas). También se observan algunas células endoteliales (puntas de flecha) (tinción con hematoxilina y eosina, ampliación x500).
Ductos y dúctulos biliares
Los ductos biliares se encuentran en los espacios porta, revestidos por un epitelio cuboideo o columnar unido a una membrana basal. El espacio porta más pequeño contiene uno o más ductos biliares, normalmente junto a una arteria y una vena. El diámetro del ducto es casi igual al de la arteria. Los dúctulos se encuentran en la periferia de los espacios porta y transportan la bilis desde los canales de Hering hasta el ducto (Figura 2). A menudo proliferan como respuesta a un daño hepático, especialmente en condiciones de alteración del flujo biliar. Los ductos biliares del espacio porta se anastomosan para formar ductos mayores, que terminan derivando en el hilio en forma de ductos hepáticos derecho e izquierdo. Los ductos derivan el suministro de sangre desde un plexo circundante procedente de la arteria hepática2, 6.
Vasculatura
El suministro de la arteria hepática termina en los pequeños espacios porta en forma de arteriolas hepáticas terminales, que crean plexos alrededor de la vena porta y el ducto biliar. La vena porta, a su vez, termina en forma de vénulas portales terminales. La sangre arterial y venosa de los espacios porta fluye a través de la placa limitante y los sinusoides y drena en la vénula hepática terminal. Estas vénulas, revestidas de endotelio, están rodeadas por una fina capa de colágeno y fibras elásticas, y se combinan para formar venas hepáticas segmentarias y lobares de mayor tamaño que acaban en la vena cava inferior. En el hígado, el drenaje linfático sigue varias vías diferentes. La linfa se forma en el espacio de Disse y desemboca en los vasos linfáticos portales. Estos vasos forman plexos que acompa‐ñan a la arteria, la vena y los conductos biliares y salen a nivel del hilio hepático para drenar en los ganglios linfáticos de la arteria hepática y el tronco celíaco. El drenaje linfático también se produce en forma de plexo alrededor de las venas hepáticas y en la cápsula del hígado. Los plexos están interconectados en el interior del hígado y siguen múltiples vías de drenaje, lo que convierte al hígado en el principal origen de la linfa en el organismo.
Variaciones normales
Es frecuente que debajo de la cápsula hepática haya bandas fibrosas y espacios porta ampliados que pueden confundirse con un proceso más difuso. Por lo tanto, las biopsias para tinción del tejido hepático deben obtenerse en una localización más profunda, preferiblemente mediante una biopsia con aguja gruesa (Figura 7). El hígado es un importante sitio de la hematopoyesis durante los 6 primeros meses de desarrollo intrauterino, y en las primeras semanas de vida pueden observarse remanentes de este proceso. Durante la infancia, los cordones hepáticos son más gruesos, la glucogenización nuclear más frecuente y los núcleos de los hepatocitos más uniformes, en comparación con la edad adulta.
Figure 7.

Cápsula (C) y tejido subcapsular subyacente. Si estas áreas se incluyen en la muestra para la biopsia (tinción de hematoxilina y eosina, ampliación x40), la presencia de espacios porta (P) ampliados y las bandas de fibrosis (F) pueden hacer pensar erróneamente en una enfermedad hepática en estadio avanzado.
Posibles conflictos de intereses: nada que declarar.
Referencias bibliográficas
- 1. Suriawinata AA, Thung SN. Liver In: Mills SE, ed. Histology for Pathologists. 3rd ed Philadelphia, PA: Lippincott Williams & Wilkins; 2007: 685‐703. [Google Scholar]
- 2. Crawford AR, Lin X‐Z, Crawford JM. The normal adult human liver biopsy: a quantitative reference standard. Hepatology 1998;28:323‐331. [DOI] [PubMed] [Google Scholar]
- 3. Roskams T, Desmet VJ, Verslype C. Development, structure and function of the liver In: Burt AD, Portmann BC, Ferrell LD, eds. MacSween's Pathology of the Liver. 5th ed Edingurgh,UK: Churchill Livingstone/Elsevier; 2007:1‐74. [Google Scholar]
- 4. Saxena R, Theise ND, Crawford JM. Microanatomy of the human liver‐exploring the hidden interfaces. Hepatology 1999;30:1339‐1346. [DOI] [PubMed] [Google Scholar]
- 5. Wisse E, Braet F, Luo D, De Zanger R, Jans D, Crabb_e E, et al. Structure and function of sinusoidal lining cells in the liver. Toxicol Pathol 1996;24:100‐111. [DOI] [PubMed] [Google Scholar]
- 6. Strazzabosco M, Fabris L. Functional anatomy of normal bile ducts. Anat Rec 2008;291:653‐660. [DOI] [PMC free article] [PubMed] [Google Scholar]
