Abstract
This study investigated the hepatoprotective effects of Morchella esculenta fruit body (ME) and the underlying mechanisms in mice with alcohol-induced acute liver injury. Systematic analysis revealed that ME contained 21 types of fatty acid, 17 types of amino acid, and 12 types of mineral. Subsequently, a mouse model of acute alcohol-induced liver injury was established by oral administration of alcohol for 14 days. Fourteen-day administration of ME prevented alcohol-induced increases in alanine aminotransferase and aspartate aminotransferase levels and reduced the activity of acetaldehyde dehydrogenase in blood serum and liver tissue. ME appears to regulate lipid metabolism by suppressing triglycerides, total cholesterol, and high-density lipoprotein in the liver. ME inhibited the production of inflammatory factors including chitinase-3-like protein 1 (YKL 40), interleukin-7 (IL-7), plasminogen activator inhibitor type 1 (PAI-1), and retinol-binding protein 4 (RBP4) in blood serum and/or liver tissue. ME treatment relieved the alcohol-induced imbalance in prooxidative and antioxidative signaling via nuclear factor-erythroid 2-related factor 2 (Nrf-2), as indicated by upregulation of superoxide dismutase-1, superoxide dismutase-2, catalase, heme oxygenase-1, and heme oxygenase-2 expression and downregulation of kelch-like ECH-associated protein 1 (Keap-1) in the liver. Moreover, ME reduced the levels of phosphorylated nuclear factor kappa-B kinase α/β, inhibitor of nuclear factor kappa-B α and nuclear factor kappa-B p65 (NF-κB p65) in the liver. The hepatoprotective effects of ME against alcohol-induced acute liver injury were thus confirmed. The mechanism of action may be related to modulation of antioxidative and anti-inflammatory signaling pathways, partially via regulation of Nrf-2 and NF-κB signaling.
1. Introduction
Alcoholic liver disease caused by alcohol abuse is a risk factor for chronic liver disease, leading to significant mortality worldwide [1]. Most patients are initially diagnosed with alcoholic fatty liver (AFL), which then develops further into alcoholic steatohepatitis (ASH). Chronic ASH eventually leads to liver fibrosis and cirrhosis and, in some cases, even acute hepatic failure (AHF) or death [2].
Much of the damage inflicted by alcohol abuse occurs in the liver. Approximately 90% of alcohol is oxidized in the liver, with only a small proportion being metabolized by alcohol dehydrogenase (ADH) and acetaldehyde dehydrogenase (ALDH) to form carbon dioxide and water for excretion [3]. Large amounts of alcohol can induce high activity of cytochrome P450 enzymes in the liver, leading to the overaccumulation of reactive oxygen species (ROS), resulting in lipid peroxidation [4]. Acetaldehyde, an intermediate of alcohol metabolism, is converted into superoxide and oxygen free radicals by xanthine oxidase, which destroys the structure and function of hepatocytes [5, 6]. During this process, oxidative stress-related liver damage occurs rapidly.
Nuclear factor-erythroid 2-related factor-2 (Nrf-2), one of the key intracellular antioxidant factors, regulates oxidative stress [7]. Nuclear factor-kappa B (NF-κB), a transcription factor, is a crucial regulator of inflammation, immunity, and cell survival [8]. During ROS-mediated oxidative stress, activated NF-κB is responsible for the transcription of various genes that mediate inflammatory cell recruitment, triggering a series of inflammatory reactions [9]. Promoting the activation of Nrf-2 signaling can regulate the redox balance in the body, inhibiting the activation of NF-κB signaling and alleviating the oxidative stress-mediated inflammatory response.
Naltrexone, an opioid receptor antagonist commonly used for alcohol abuse treatment, has been shown to reduce hepatocellular damage in fibrotic animal models [10]; however, adverse effects, including anxiety, irritability, abdominal pain, nausea, and/or vomiting, have been reported [11]. Some edible mushrooms have a demonstrated ability to scavenge free radicals and mediate anti-inflammatory effects, making them candidates for the prevention and/or treatment of alcoholic liver disease [12]. Morchella esculenta, which contains various nutrients, has a variety of pharmacological activities including antioxidative, anti-inflammatory, and antitumor effects [13, 14]. A heteropolysaccharide isolated from the fruiting bodies of M. esculenta can effectively scavenge hydroxyl and superoxide radicals [15] and exert anti-inflammatory effects via blocking the activation of NF-κB signaling [16]. Meanwhile, the total flavones of a fermentation broth resulting from coculture of M. esculenta and Coprinus comatus showed an anti-inflammatory effect on lipopolysaccharide-stimulated RAW264.7 macrophages via the mitogen-activated protein kinase (MAPK) signaling pathway [17]. Although the hepatoprotective effects of cultured M. esculenta mycelium against CCl4 and alcohol-induced chronic hepatotoxicity have been reported previously [18], protection engendered by its fruit body and the possible mechanism of action against alcohol-induced acute liver injury have not previously been investigated.
In this study, we systematically analyzed the components of the M. esculenta fruit body and verified its hepatoprotective effects in mice with alcohol-induced acute liver injury and then investigated the possible mechanisms related to the activation of Nrf-2 and NF-κB signaling pathways.
2. Materials and Methods
2.1. M. esculenta Composition Analysis
The M. esculenta fruit bodies (ME) were collected from Dali, Yunnan, China, from April to June 2017. ME was dried at 60°C, crushed with a pulverizer, sieved through a 60-mesh sieve, and stored in a dryer for subsequent experiments.
2.1.1. Main Component Analysis
The main components of ME including total sugar, reducing sugar, protein, total ash, crude fat, total flavonoids, total triterpenes, mannitol, and crude fiber were determined by the phenol sulfuric acid method [19], 3,5-dinitrosalicylic acid (DNS) reducing sugar assay [20], Kjeldahl method [21], combustion method [22], Soxhlet extraction [23], UV spectrophotometric detection, vanillin-glacial acetic acid and perchloric acid colorimetric method [24], high-performance liquid chromatography (HPLC) [25], and acid-base treatment, respectively.
2.1.2. Fatty Acid Analysis
A 5% KOH-methanol solution was added to the ME powder, placed in a 60°C water bath for 30 min, and then mixed with 14% BF3-methanol solution at 60°C for 3 min. The samples were then mixed with hexane, and the levels of fatty acids were analyzed using a gas chromatography-mass spectrometer (QP2010, Shimadzu, Japan).
2.1.3. Amino Acid Analysis
The ME was hydrolyzed using 6 mol/L HCl at 110°C ± 1°C for 22 h. After vacuum drying, the sample was dissolved in 1 mL of a pH 2.2 buffer. The amino acid content was quantified using an automatic amino acid analyzer (L-8900, Hitachi, Japan).
2.1.4. Mineral Analysis
The ME was pretreated with hydrogen nitrate at a temperature of 110°C and an atmospheric pressure of 30 atm for 30 min. The levels of mercury (Hg), lead (Pb), selenium (Se), arsenic (As), cadmium (Cd), zinc (Zn), iron (Fe), manganese (Mn), chromium (Cr), calcium (Ca), copper (Cu), sodium (Na), and potassium (K) were detected by inductively coupled plasma optical emission spectrometry [26].
2.2. Animal Models and Treatment
Sixty healthy male C57BL/6 mice (8 weeks old, 18–22 g) (SCXK (LIAO) 2015-0001) were purchased from Liaoning Changsheng Biotechnology Co. Ltd. (Liaoning, China). Animal care and experimental protocols were approved by the Institutional Animal Ethics Committee of Jilin University (20170106). The mice were acclimatized for 7 days before the experiments under a controlled environment at a temperature of 23°C ± 1°C with 50% ± 10% humidity and a 12 h light-dark cycle and ad libitum access to water and food.
The methodology for establishing the mice model with alcohol-induced acute liver injury was modified according to previous studies [27, 28]. The mice were randomly divided into six groups (n = 10/group). Ten control mice were administered 0.9% physiological saline intragastrically twice per day. The other 50 mice were administered alcohol intragastrically at a dose of 13 g/kg (Beijing Shunxin Agricultural Co. Ltd., China) at 09:00 once per day for 14 days. On the same days, at 16:00, the alcohol only treated mice (the model group) were administered physiological saline intragastrically at a dose of 0.1 mL/10 g. The positive control mice were administered silybin (Sil), a clinical used liver protectant, which can reduce oxidative stress in patients with alcoholic liver disease and prevent the lipid peroxidation [29], intragastrically at a dose of 60 mg/kg (Tianjin Tasly Sants Pharmaceutical Co. Ltd., China).The ME-treated mice were administered ME orally at a dose of 200 mg/kg, 400 mg/kg, or 800 mg/kg, respectively. The ME was pulverized using an ultrafine grinder (XDW-6A, Jinan Tatsu Micro Machinery Co. Ltd., Jinan, China) and suspended in physiological saline. Before administration, the mixture was shaken. During the experimental period, the mice were weighed daily. Following the last administration, all mice were fasted overnight, and blood samples were collected from the caudal vein of each mouse. All mice were then euthanized by CO2 inhalation, and their livers, kidneys, and spleens were removed for further analysis.
2.3. Biochemical Parameter Assays
The collected liver and spleen samples from experimental mice were homogenized in physiological saline on ice using a hand-held homogenizer (LEOPARD Scientific Instruments Co. Ltd., Beijing, China), and then the supernatant was taken by centrifugation at 3500 rpm for 10 minutes. The levels of gamma-glutamyl transferase (GGT) (MM-43976M1), 8-hydroxydeoxyguanosine (8-OHdG) (MM-0221M1) (Jiangsu FEIYA Biotechnology Co. Ltd., Jiangsu, China), aspartate aminotransferase (AST) (CK-E90386M), alanine aminotransferase (ALT) (CK-E90314M), aldehyde dehydrogenase (ALDH) (CK-E92649M), chitinase-3-like 1 protein 1 (YKL 40) (CK-E95772M), interleukin-7 (IL-7) (CK-E20125M), plasminogen activator inhibitor type 1 (PAI-1) (CK-E93562M), and retinol-binding protein 4 (RBP4) (CK-E20170M) in the serum and liver; the levels of reactive oxygen species (ROS) (CK-E91516M), malondialdehyde (MDA) (CK-E20347M), nitric oxide (NO) (CK-E20293M), superoxide dismutase (SOD) (CK-E20348M), glutathione peroxidase (GSH-Px) (CK-E92669M), and catalase (CAT) (CK-E92636M) in the serum, liver, and spleen; and the levels of high-density lipoprotein (HDL) (CK-E91912M), total cholesterol (TC) (CK-E91839M), and triglyceride (TG) (CK-E91733) (Shanghai Yuanye Biological Technology Co. Ltd., Shanghai, China) in the liver were detected using the enzyme-linked immunosorbent assay (ELISA) kits according to the manufacturers' instructions.
2.4. Histopathological Analysis
Liver and kidney tissue samples were fixed in 10% (v/v) formalin buffer and embedded in paraffin. The paraffin sections were sliced into thicknesses of 4 μm to 6 μm, and each section was stained with hematoxylin and eosin (H&E) for histological evaluation. The pathological sections were observed under a light microscope (Olympus, Japan) and photographed.
2.5. Western Blot Analysis
Samples of liver tissue collected from each mouse were homogenized in radioimmunoprecipitation assay (RIPA) buffer (Sigma-Aldrich, USA) containing 2% phenylmethanesulfonyl fluoride (PMSF) (Sigma-Aldrich, USA) and 1% protease inhibitor cocktail (Sigma-Aldrich, USA). The protein concentration of the homogenate was determined using a bicinchoninic acid (BCA) protein assay kit (Merck Millipore, Germany). 40 μg of protein was electrophoretically separated in a 12% polyacrylamide gel and transferred to 0.45 μm polyvinylidene fluoride (PVDF) membranes (Millipore, Germany). The membranes were blocked with 5% bovine serum albumin (BSA) blocking solution (Sigma, USA) at 4°C for 4 h. The blocked membranes were incubated with primary antibodies at a dilution of 1 : 1000 against phosphor- (P-) inhibitor of nuclear factor kappa-B kinase α/β (IKKα/β, ab195907), total- (T-) IKKα/β (ab178870), P-inhibitor of nuclear factor kappa-B kinase α (IκBα) (ab12135), T-IκBα (ab32518), P-NF-κB p65 (ab86299), T-NF-κB p65 (ab7970), manganese superoxide dismutase 2 (SOD-2) (ab13533), heme oxygenase-1 (HO-1) (ab137749), heme oxygenase-2 (HO-2) (ab90492), Nrf-2 (ab137550), kelch-like ECH-associated protein 1 (Keap-1) (ab66620), CAT (ab16731) (Abcam, Cambridge, USA), SOD-1 (bs-10216R) (Bioss, China), and glyceraldehyde-3-phosphate dehydrogenase (GAPDH) (ABS16) (Millipore, Germany) at 4°C overnight. After incubation, the membranes were washed five times with 1x TBS containing 0.1% Tween 20 for 5 minutes each time. The membranes were then incubated with anti-mouse (IH-0031) and anti-rabbit (IH-0011) (Dingguo, Beijing, China) horseradish peroxidase-conjugated secondary antibodies for 4 h at 4°C. The target proteins were visualized using Immobilon Western Chemiluminescent HRP Substrate (WBKLS0500, Millipore, Germany) and a gel imaging system (UVP, USA). Images were quantified with ImageJ analysis software version 1.46 (National Institutes of Health, Bethesda, MD).
2.6. Statistical Analysis
All data were expressed as the mean ± standard error of the mean (S.E.M.). Differences were determined by one-way analysis of variance followed by post hoc multiple comparisons (Holm-Sidak test) using SPSS 23.0 software (IBM Corporation, Armonk, USA). Statistical significance was declared for p values under 0.05.
3. Results
3.1. Composition of ME
Table 1 shows the details of the components of the ME. It was found to contain 8.1% total sugar, 2.8% reducing sugar, 34.8% protein, 8.0% total ash, 9.0% crude fat, 1.3% total triterpenes, 1.8% mannitol, 0.4‰ crude fiber, and 0.5‱ total flavonoids. Twenty-one fatty acids and 17 amino acids were detected, with the content of aspartic acid, glutamic acid, and arginine being higher than that of other amino acids. Thirteen minerals were detected, with the levels of Hg, Pb, As, and Cd falling below the detection limit.
Table 1.
Composition of Morchella esculenta (ME).
| Compounds | Contents | Compounds | Contents | Compounds | Contents | |
|---|---|---|---|---|---|---|
| Main components | Total sugar (%) | 8.10 | Reducing sugar (g/100 g) | 2.80 | Protein (g/100 g) | 34.80 |
| Total ash (%) | 7.96 | Crude fat (g/100 g) | 9.02 | Total flavonoids (mg/kg) | 53.64 | |
| Total triterpenes (g/100 g) | 1.28 | Mannitol (g/100 g) | 1.82 | Crude fiber (%) | 0.04 | |
|
| ||||||
| Fatty acid (g/100 g) | Capric acid (C10:0) | ND | Stearic acid (C18:0) | 0.12 | Arachidonic acid (C20:4n6) | 0.002 |
| Undecanoic acid (C11:0) | ND | Oleic acid (C18:1n9) | 1.36 | Eicosapentaenoic acid (C20:5n3) | ND | |
| Lauric acid (C12:0) | ND | Elaidic acid (C18:1n9t) | 0.002 | Heneicosanoic acid (C21:0) | 0.004 | |
| Tridecanoic acid (C13:0) | ND | Linoleic acid (C18:2n6c) | 4.73 | Docosanoic acid (C22:0) | 0.004 | |
| Myristic acid (C14:0) | 0.005 | Translinoleic acid (C18:2n6t) | ND | Erucic acid (C22:1n9) | ND | |
| Myristoleic acid (C14:1n5) | ND | α-Linolenic acid (C18:3n3) | 0.098 | cis-13,16-Docosadienoic acid methyl ester (C22:2) | ND | |
| Pentadecanoic acid (C15:0) | 0.003 | γ-Linolenic acid (C18:3n6) | 0.024 | Docosahexaenoic acid (C22:6n3) | 0.005 | |
| Pentadecenoic acid (C15:1n5) | ND | Arachidic acid (C20:0) | 0.021 | Tricosanoic acid (C23:0) | ND | |
| Hexadecanoic acid (C16:0) | 0.74 | Paullinic acid (C20:1) | ND | Tetracosanoic acid (C24:0) | 0.04 | |
| Palmitoleic acid (C16:1n7) | 0.028 | Eicosadienoic acid (C20:2) | 0.023 | Nervonic acid (C24:1n9) | 0.041 | |
| Heptadecanoic acid (C17:0) | 0.005 | Eicosatrienoic acid (C20:3n3) | 0.015 | Octanoic acid (C8:0) | ND | |
| Heptadecenoic acid (C17:1n7) | 0.003 | Dihomo-gamma-linolenic acid (C20:3n6) | ND | |||
|
| ||||||
| Amino acid (g/kg) | Aspartic acid (Asp) | 101.33 | Cystine (Cys) | 5.25 | Phenylalanine (Phe) | 8.41 |
| L-Threonine (Thr) | 10.41 | Valine (Val) | 9.94 | Lysine (Lys) | 11.01 | |
| Serine (Ser) | 9.66 | Methionine (Met) | 3.62 | Histidine (His) | 4.83 | |
| Glutamic acid (Glu) | 55.98 | Isoleucine (Iso) | 9.00 | Arginine (Arg) | 16.39 | |
| Glycine (Gly) | 9.22 | Leucine (Leu) | 14.79 | Proline (Pro) | 9.17 | |
| Alanine (Ala) | 10.58 | Tyrosine (Tyr) | 6.45 | |||
|
| ||||||
| Minerals | Mercury (Hg) | ND | Zinc (Zn) (mg/kg) | 128.3 | Copper (Cu) (mg/kg) | 33.93 |
| Lead (Pb) (μg/kg) | 2404 | Iron (Fe) (mg/kg) | 1019 | Sodium (Na) (mg/kg) | 308.4 | |
| Selenium (Se) (μg/kg) | 159.8 | Manganese (Mn) (μg/kg) | 27010 | Potassium (K) (μg/kg) | 24240 | |
| Arsenic (As) (μg/kg) | 613.3 | Chromium (Cr) (μg/kg) | 3616 | |||
| Cadmium (Cd) (μg/kg) | 2674 | Calcium (Ca) (mg/kg) | 1206 | |||
ND: nondetected.
3.2. The Hepatoprotective Effects and Regulation of Lipid Metabolism by ME in Mice with Alcohol-Induced Acute Liver Injury
The reduction in body weight seen in the mice treated with alcohol was strongly prevented by ME but not by Sil (p < 0.05, Table 1S). ME-only treatment had no effects on the body weight of healthy mice (Fig. 1S A).
The serum and liver tissue levels of AST, ALT, and GGT, which are important indexes of injury, were increased by alcohol treatment, and ME treatment prevented these increases (p < 0.05, Table 2). Sil reduced the levels of GGT in the serum and liver (p < 0.05, Table 2). ME alone had no effect on the serum levels of AST (Fig. 1S B) and ALT (Fig. 1S C).
Table 2.
The effects of ME and Sil on the serum and liver levels of AST, ALT, GGT, and ALDH in alcohol-treated mice.
| CTRL | Alcohol | Alcohol + Sil (60 mg/kg) |
Alcohol + ME (200 mg/kg) |
Alcohol + ME (400 mg/kg) |
Alcohol + ME (800 mg/kg) |
||
|---|---|---|---|---|---|---|---|
| Serum | AST (U/L) | 128.6 ± 1.6 | 146.2 ± 2.8# | 134.2 ± 2.7 | 130.8 ± 7.1 | 127.5 ± 4.9∗ | 125.0 ± 3.9∗ |
| ALT (U/L) | 47.8 ± 0.7 | 52.8 ± 0.4# | 48.7 ± 0.7 | 52.0 ± 1.9 | 45.4 ± 2.1∗ | 44.0 ± 2.2∗ | |
| GGT (ng/L) | 67.6 ± 14.9 | 96.4 ± 8.1## | 79.2 ± 12.2∗ | 54.0±9.9∗∗ | 71.9 ± 10.6∗ | 63.3 ± 6.7 | |
| ALDH (U/mL) | 8.5 ± 0.2 | 7.7 ± 0.2 | 8.7 ± 0.1∗ | 8.6 ± 0.4∗ | 8.9 ± 0.3∗ | 8.8 ± 0.4∗ | |
|
| |||||||
| Liver | AST (U/g) | 56.2 ± 0.6 | 64.4 ± 1.7# | 57.3 ± 1.0 | 61.7 ± 4.9 | 49.4 ± 2.2∗ | 51.7 ± 2.7∗ |
| ALT (U/g) | 17.3 ± 0.3 | 20.0 ± 0.5# | 18.2 ± 0.4 | 21.3 ± 1.4 | 15.1 ± 1.7∗ | 16.4 ± 1.0∗ | |
| GGT (ng/g) | 256.9 ± 33.4 | 397.8 ± 34.3### | 254.2±43.3∗∗ | 257.2±16.7∗∗ | 303.1 ± 54.3 | 308.1 ± 17.6 | |
| ALDH (μmol/g) | 4.8 ± 0.1 | 3.5 ± 0.1## | 5.0±0.1∗∗ | 3.2 ± 0.2 | 3.8 ± 0.1∗ | 4.0 ± 0.2∗ | |
All data are presented as mean ± S.E.M. (n = 10). # p < 0.05, ## p < 0.01, and ### p < 0.001 compared to the control group, ∗ p < 0.05 and ∗∗ p < 0.01 compared with the alcohol-treated group.
In alcohol metabolism, ALDH helps to convert harmful acetaldehyde into harmless acetic acid [30]. Both ME and Sil prevented the decline in levels of ALDH in the serum and liver of acute alcohol-exposed mice (p < 0.05, Table 2). ME alone had no effect on the serum levels of ALDH (Fig. 1S D).
ME and Sil strongly alleviated the loose arrangement of hepatocytes and prevented inflammatory cell infiltration and the formation of fat droplets in liver tissues of acute alcohol-exposed mice (Figure 1(a)). In the kidney, the inflammation infiltration and swelling of the glomerulus caused by alcohol were significantly relieved by ME and Sil treatment (Figure 1(b)).
Figure 1.
The hepatoprotective effects of ME in mice with acute alcohol injury. Mice were treated with 13 g/kg of alcohol and/or cotreated with 60 mg/kg of Sil or 200, 400, or 800 mg/kg of ME for 14 days. Histopathological analysis of (a) liver and (b) kidney analyzed with H&E staining (40x). In livers, arrows showed the inflammation infiltration and the fat droplet. In kidneys, arrows showed the inflammation infiltration and the swelling glomerulus. ME and Sil reduced the levels of (c) TG and (d) TC and (e) increased the levels of HDL in the livers of mice with alcohol-induced acute liver injury. Data are expressed as mean ± S.E.M. (n = 10). # p < 0.05 vs. control mice, ∗ p < 0.05, ∗∗ p < 0.01, and ∗∗∗ p < 0.001 vs. alcohol only treated mice. ME: M. esculenta, Sil: silybin.
Lipid metabolism, especially the levels of TG, TC, and HDL, can serve as a metric indicating the extent of liver injury [31]. Alcohol caused extremely high levels of TG and TC and low levels of HDL in the livers of the mice (p < 0.05, Figures 1(c)–1(e)). Compared with alcohol only treated mice, ME reduced the levels of TG and TC by 51.9% (p < 0.001, Figure 1(c)) and >15% (p < 0.01, Figure 1(d)), respectively, and enhanced the levels of HDL by >11.1% (p < 0.05, Figure 1(e)). Sil only enhanced the hepatic levels of HDL (p < 0.001, Figure 1(e)) but not TG or TC (Figures 1(c) and 1(d)).
3.3. The Anti-inflammatory Effects of ME in Mice with Alcohol-Induced Acute Liver Injury
In comparison with the alcohol only treated mice, ME prevented the increase in the serum and liver tissue levels of IL-7, YKL 40, and PAI-1 (p < 0.05, Table 3) and prevented the reduction in the levels of RBP4 in the liver (p < 0.01, Table 3), but had no effect on the levels of RBP4 in the serum (Table 3). Sil increased the levels of RBP4 and reduced the levels of IL-7, YKL 40, and PAI-1 in the liver (p < 0.05, Table 3), but only reduced the levels of YKL 40 and PAI-1 in the serum of mice with alcohol-induced acute liver injury (p < 0.05, Table 3).
Table 3.
The effects of ME and Sil on the serum and liver cytokine levels in alcohol-treated mice.
| CTRL | Alcohol | Alcohol + Sil (60 mg/kg) |
Alcohol + ME (200 mg/kg) |
Alcohol + ME (400 mg/kg) |
Alcohol + ME (800 mg/kg) |
||
|---|---|---|---|---|---|---|---|
| Serum | IL-7 (pg/mL) | 88.4 ± 2.0 | 100.7 ± 2.3# | 95.2 ± 3.0 | 89.6 ± 2.7∗ | 95.1 ± 3.8 | 97.4 ± 2.5 |
| YKL 40 (ng/mL) | 52.8 ± 1.3 | 60.4 ± 2.4# | 52.9 ± 2.3∗ | 61.9 ± 1.8 | 50.2 ± 2.0∗ | 55.3 ± 1.6 | |
| PAI-1 (pg/mL) | 924.8 ± 14.5 | 974.5 ± 13.6# | 915.0 ± 25.7∗ | 730.0 ± 6.0∗ | 843.2 ± 17.0∗ | 860.1 ± 34.0∗ | |
| RBP4 (μg/mL) | 37.7 ± 0.4 | 34.4 ± 0.5 | 36.8 ± 0.8 | 33.4 ± 1.0 | 36.3 ± 1.4 | 37.2 ± 1.7 | |
|
| |||||||
| Liver | IL-7 (pg/mg) | 36.7 ± 0.8 | 41.4 ± 1.3# | 34.6 ± 1.2∗ | 36.4 ± 1.2∗ | 33.2 ± 1.1∗ | 32.0 ± 1.4∗ |
| YKL 40 (ng/mg) | 22.8 ± 0.4 | 27.1 ± 0.8# | 23.2 ± 0.7∗ | 21.6 ± 0.8∗ | 20.4 ± 0.6∗ | 21.8 ± 0.8∗ | |
| PAI-1 (pg/mg) | 295.0 ± 7.3 | 332.9 ± 9.9# | 294.8 ± 7.9∗ | 324.0 ± 11.0 | 291.4 ± 7.0∗ | 299.4 ± 9.6∗ | |
| RBP4 (μg/mg) | 14.2 ± 0.3 | 11.3 ± 0.3## | 15.1±0.3∗∗ | 13.9±0.5∗∗ | 11.2 ± 0.3 | 12.2 ± 0.3 | |
All data are presented as mean ± S.E.M. (n = 10). # p < 0.05 and ## p < 0.01 compared with the control group, ∗ p < 0.05 and ∗∗ p < 0.01 compared with the alcohol-treated group.
3.4. Antioxidative Effects Are Involved in ME-Mediated Hepatoprotection
Oxidative stress is central to the development and progression of liver disease resulting from alcohol consumption. Excessive ROS can oxidize carbohydrates, proteins, and DNA molecules, resulting in damage to hepatocytes [32]. ME prevented an elevation in the levels of ROS, MDA, NO, and 8-OHdG and prevented a reduction in the SOD, GSH-Px, and CAT levels in the serum (p < 0.05, Table 4), livers (p < 0.05, Table 4), and spleens (p < 0.05, Table 2S) of mice with alcohol-induced acute liver injury. However, Sil failed to influence the levels of ROS, MDA, and NO in the serum and livers of alcohol-exposed mice (Table 4). In the spleen, Sil suppressed the levels of ROS and MDA and enhanced the levels of SOD and GSH-Px (p < 0.05, Table 2S).
Table 4.
The effects of ME and Sil on oxidative stress-related factors in the serum and liver tissue of mice.
| CTRL | Alcohol | Alcohol + Sil (60 mg/kg) |
Alcohol + ME (200 mg/kg) |
Alcohol + ME (400 mg/kg) |
Alcohol + ME (800 mg/kg) |
||
|---|---|---|---|---|---|---|---|
| Serum | ROS (U/mL) | 342.2 ± 5.7 | 351.3 ± 3.6 | 330.7 ± 3.4 | 321.8 ± 10.0 | 302.5 ± 9.7 | 301.1 ± 3.8∗ |
| MDA (nmol/mL) | 18.5 ± 0.2 | 20.4 ± 0.5# | 19.0 ± 0.4 | 17.7 ± 0.6∗ | 18.0 ± 0.3∗ | 18.2 ± 0.6∗ | |
| NO (μmol/L) | 28.7 ± 0.8 | 32.4 ± 0.9# | 29.6 ± 0.8 | 35.4 ± 0.7 | 28.9 ± 0.9∗ | 31.6 ± 0.9 | |
| 8-OHdG (ng/L) | 40.8 ± 0.9 | 59.5 ± 1.2# | 28.8±0.8∗∗ | 38.6 ± 2.1∗ | 55.4 ± 0.5 | 40.9 ± 1.8∗ | |
| SOD (U/mL) | 214.7 ± 7.4 | 167.0 ± 4.7## | 196.8 ± 5.1∗ | 204.2 ± 6.8∗ | 182.1 ± 3.3∗ | 188.9 ± 5.4∗ | |
| GSH-Px (U/mL) | 264.6 ± 5.7 | 239.6 ± 4.7# | 268.7 ± 5.7∗ | 234.1 ± 7.9 | 226.3 ± 3.4 | 268.6 ± 6.5∗ | |
| CAT (U/mL) | 43.6 ± 0.7 | 37.9 ± 1.0# | 44.2 ± 0.5∗ | 53.8 ± 1.2∗ | 42.3 ± 1.5∗ | 42.8 ± 1.0∗ | |
|
| |||||||
| Liver | ROS (U/mg) | 162.7 ± 2.7 | 205.4 ± 6.2## | 184.3 ± 3.2 | 196.1 ± 12.0 | 152.7±5.2∗∗ | 151.2±4.0∗∗ |
| MDA (nmol/mg) | 5.1 ± 0.1 | 5.7 ± 0.2# | 5.5 ± 0.1 | 6.3 ± 0.3 | 5.0 ± 0.3∗ | 5.7 ± 0.3 | |
| NO (μmol/g) | 14.2 ± 0.2 | 16.1 ± 0.7# | 14.5 ± 0.2 | 16.3 ± 1.5 | 12.7±0.6∗∗ | 12.1±0.6∗∗ | |
| 8-OHdG (ng/g) | 30.7 ± 2.1 | 47.9 ± 0.5# | 27.4 ± 1.1∗ | 30.6 ± 0.6 | 23.3±1.8∗∗ | 24.7 ± 0.8∗ | |
| SOD (U/mg) | 91.6 ± 2.0 | 72.1 ± 2.6## | 112.5±3.4∗∗∗ | 94.7±5.4∗∗ | 88.6±3.8∗∗ | 109.8±7.4∗∗∗ | |
| GSH-Px (U/mg) | 101.6 ± 1.3 | 83.4 ± 1.9# | 114.8±2.4∗∗ | 124.4±7.8∗∗ | 113.6±4.2∗∗ | 130.7±10.2∗∗∗ | |
| CAT (U/mg) | 25.0 ± 0.4 | 20.5 ± 0.5# | 24.9±0.6∗∗ | 27.7 ± 1.6∗ | 24.6 ± 1.1∗ | 24.1 ± 0.8∗ | |
All data are presented as mean ± S.E.M. (n = 10). # p < 0.05 and ## p < 0.01 compared with the control group, ∗ p < 0.05, ∗∗ p < 0.01, and ∗∗∗ p < 0.001 compared with the alcohol-treated group.
3.5. ME Regulates the Activation of Nrf-2 and NF-κB Signaling in the Livers of Alcohol-Treated Mice
High expression levels of Keap-1 and low expression levels of Nrf-2 and the downstream antioxidative stress factors were found in the livers of alcohol only treated mice (p < 0.05, Figure 2). Comparatively, ME administration strongly prevented these reactions to alcohol treatment, as indicated by the reduced expression levels of Keap-1 and increased levels of Nrf-2, SOD-1, SOD-2, CAT, HO-1, and HO-2 (p < 0.05, Figure 2). Sil exerted similar effects on the expression levels of Nrf-2 and its downstream proteins (p < 0.05, Figure 2) except for SOD-2 (Figure 2).
Figure 2.
Nrf-2 signaling is involved in ME-mediated hepatoprotection against alcohol-induced acute liver injury. Fourteen-day ME and Sil administration reduced the expression levels of Keap-1 and enhanced the expression levels of Nrf-2 and its downstream proteins including CAT, HO-1, HO-2, SOD-1, and SOD-2 in the livers of alcohol-damaged mice. Protein expression levels were normalized to that of GAPDH. Data are expressed as mean ± S.E.M. (n = 6). # p < 0.05, ## p < 0.01, and ### p < 0.001 vs. control mice, ∗ p < 0.05, ∗∗ p < 0.01, and ∗∗∗ p < 0.001 vs. alcohol only treated mice. ME: M. esculenta, Sil: silybin.
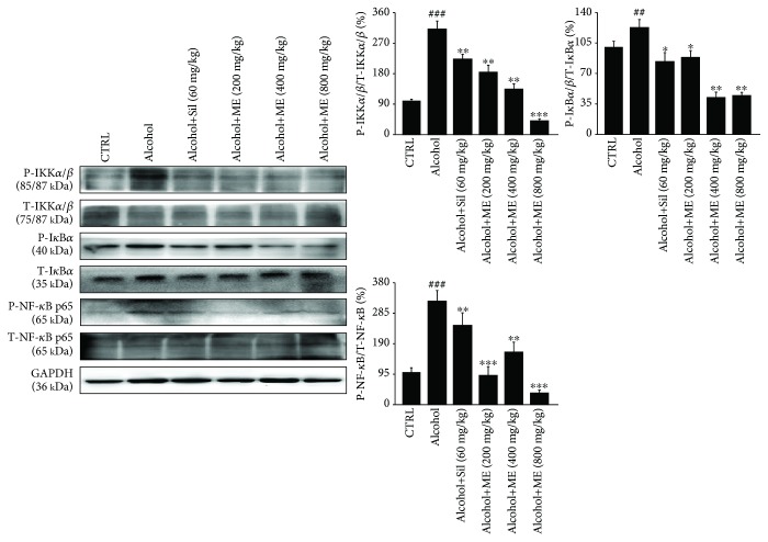
NF-κB, a key regulator involved in inflammation, controls the expression of proinflammatory genes and regulates the production of inflammatory factors, processes which are closely related to the pathogenesis of alcoholic liver disease [33]. Compared with the alcohol-treated mice, Sil and ME significantly reduced the phosphorylated levels of downstream factors IKKα/β, IκBα, and NF-κB p65 in liver tissues (p < 0.05, Figure 3).
Figure 3.
NF-κB signaling is involved in ME-mediated hepatoprotection against alcohol-induced acute liver injury. Fourteen-day ME and Sil administration reduced the expression levels of P-IKKα/β, P-IκBα, and P-NF-κB p65 in the livers of alcohol-damaged mice. Phosphorylated protein expression levels were normalized to corresponding total protein expression levels. Data are expressed as mean ± S.E.M. (n = 6). ## p < 0.01 and ### p < 0.001 vs. control mice, ∗ p < 0.05, ∗∗ p < 0.01, and ∗∗∗ p < 0.001 vs. alcohol only treated mice. ME: M. esculenta, Sil: silybin.
4. Discussion
M. esculenta fruit bodies were found to contain 21 fatty acids, 17 amino acids, and 13 minerals, indicating the nutritive value of this fungus. The trace levels of heavy metals found suggest that it is safe for consumption. As previously reported, ME polysaccharides and proteins can increase antioxidant enzyme activity and improve immune system function [14, 34]. M. esculenta polysaccharide protects NR8383 cells from PM2.5-induced inflammation by inhibiting NF-κB activation [16], and total flavonoids of M. esculenta have anti-inflammatory effects through lipopolysaccharide-stimulated RAW264.7 macrophages [17]. These nutritional components provide a foundation for understanding the hepatoprotective effects of ME in the treatment of alcohol-induced acute liver injury. The multieffective components may target many key molecules in the signaling pathways of inflammation and oxidative stress. This “systemic targeting” might eliminate inflammation and oxidative stress in a natural way, meaning less adverse side effects would be expected. Additionally, it helps to explain the non-dose-dependent activities of ME observed in most of our experiments, which is in fact a common feature of pharmaceutically active natural products [35].
AST and ALT are frequently elevated after excessive alcohol intake. When liver cells are damaged, cell membrane permeability increases and AST and ALT are released into the blood, increasing serum transaminase content, which is the essential enzyme in metabolic processes [36]. A high level of GGT can be detected in patients with liver disease and has been used as a sensitive indicator of liver injury [37]. Excessive alcohol consumption can result in overaccumulation of acetaldehyde in the liver, which promotes the formation of protein adducts through reactions with various macromolecules in the body, leading to functional impairment of key proteins [38]. ALDH, a key enzyme in the metabolism of alcohol, can catalyze acetaldehyde into acetic acid, allowing its excretion in the form of CO2 and H2O [39]. ME strongly prevented the pathologic changes in the levels of AST, ALT, GGT, and ALDH in alcohol-injured mice. However, it failed to influence the ratio of AST/ALT [40], providing a basis for further experiments.
Inflammation in the liver due to excessive alcohol consumption ultimately leads to fibrosis and impaired liver function [41]. RBP4, which possesses a nuclear transcription factor activator protein sequence [42], is mainly synthesized in the liver, and its expression can be reduced in acute liver disease, chronic hepatitis, and cirrhosis [43]. Increased expression of YKL-40 has been reported in fibrotic regions of the liver [44], and inhibitors of PAI-1 can alleviate this fibrosis [45]. The pathological alterations to the expression of these cytokines in mice chronically exposed to alcohol were prevented following 14-day ME administration, suggesting its hepatoprotective and anti-inflammatory properties. Furthermore, NF-κB, serving as a key inflammatory response mediator, regulates multiple aspects of innate and adaptive immune function [46]. Typically, NF-κB binds to the IκB protein to form a complex that blocks the nuclear localization signal of NF-κB. However, when the cells are stimulated by alcohol, the IκB protein is phosphorylated by activated IKK, leading to the nuclear localization signal of NF-κB being exposed, allowing transportation to the nucleus [47]. Nuclear NF-κB mediates transcription of the IL-7 receptor α-subunit (CD127) [48] and YKL-40 [49] and regulates the expression of PAI-1 and RBP4 [42, 50].
Oxidative stress is one of the most important processes in the pathogenesis of alcoholic liver disease [51]. In this study, ME exerted a strong antioxidant effect through increasing the expression levels of antioxidative enzymes and reducing the levels of ROS, MDA, and 8-OHdG in alcohol-exposed mice. ME may regulate aspects of the immune system through modulation of oxidative stress-related factors in the spleen, an important immune organ. ROS, a strong oxidant, can damage cellular macromolecules such as DNA, lipids, and proteins and can also promote lipid peroxidation [52]. MDA, the end product of lipid peroxidation, can reflect the degree of lipid peroxidation, thus reflecting the extent of the damage of liver cells [53]. 8-OHdG is a widely accepted biomarker for reflecting the oxidative DNA damages [54]. Alcohol significantly destroys the antioxidant defense enzyme activity in the body. Under normal circumstances, SOD can convert superoxide into H2O2, while CAT can convert H2O2 into H2O [55]. When redox is imbalanced, the activity levels of the antioxidant enzymes are impaired. The transcription factor Nrf-2 is a major player in the control and expression of a panel of defense genes encoding antioxidant enzymes [56]. Under normal conditions, Nrf-2 binds to Keap-1 in the cytoplasm in an inactive form. When exposed to oxidative stress caused by alcohol, Nrf-2 dissociates from Keap-1 and transfers to the nucleus, where it interacts with antioxidant response elements (AREs). Subsequently, Nrf-2 mediates the expression of the downstream genes HO-1 and SOD-1, suggesting that the cytoprotective effect of Nrf-2 may be attributable to the induction of these enzymes [57]. As previously reported, oxidative stress can initiate or amplify inflammation by upregulating the genes involved in the inflammatory response through activation of NF-κB signaling [58], and Nrf-2 can directly inhibit the expression of NF-κB [59]. Our present data suggest that the protective effects of ME on hepatocytes may be related to its regulation of Nrf-2 signaling.
This study had some limitations. Although we found that ME can regulate the activation of Nrf-2 and NF-κB signaling, the specific siRNA and/or related inhibitors were not used in the experimental model. The relationship between Nrf-2 and NF-κB signaling remains to be elucidated. As previously reported, chronic severe alcohol consumption can increase intestinal permeability, promoting the activation of Kupffer cells, future triggering inflammation in the liver [60], which were failed to investigate in the present study. Furthermore, although ME and Sil displayed similar liver protection against acute alcohol damage in mice, it is hard to conclude which one shows better effects based on our present data. All of these issues, especially the mechanisms of ME-mediated hepatoprotection against alcohol-induced damage, will be further investigated by our group.
We have successfully confirmed the hepatoprotective effects of ME in alcohol-induced acute liver injury and found that this effect may be partially related to its ability to favorably modulate antioxidative anti-inflammatory signaling pathways through regulation of Nrf-2 and NF-κB.
Acknowledgments
This study is supported by the National Key Research & Development Program of China (No. 2018YFE0107800), Projects from Tianjin Municipal Science and Technology Commission (Nos. 16JCQNJC09100 and 17PTSYJC0080), and the Open Project Program of State Key Laboratory of Food Nutrition and Safety, Tianjin University of Science & Technology (No. SKLFNS-KF-201808).
Contributor Information
Jia Song, Email: tjsongjia@tust.edu.cn.
Di Wang, Email: jluwangdi@outlook.com.
Data Availability
All generated and analyzed data used to support the findings of this study are included within the article.
Conflicts of Interest
The authors have declared that there is no conflict of interest.
Authors' Contributions
Bo Meng and Yuanzhu Zhang contributed equally to this work.
Supplementary Materials
For comprehensive analysis, see Tables 1S and 2S and Figure 1S. Table 1S: the effects of ME and Sil on the bodyweight of experimental mice. Table 2S: the effects of ME and Sil on cytokines related to oxidative stress in the spleens of mice with alcohol-induced acute liver injury. Figure 1S: ME alone (800 mg/kg) showed no significant effects on bodyweight or biochemical indexes in serum of healthy mice after 14-day administration. (A) ME alone failed to influence the bodyweight of healthy mice. ME alone showed no effects on the serum levels of (B) AST, (C) ALT, and (D) ALDH in healthy mice. Data expressed as mean ± S.E.M. (n = 10) were analyzed using a one-way ANOVA. ME: M. esculenta.
References
- 1.Gallegos-Orozco J. F., Charlton M. R. Alcoholic liver disease and liver transplantation. Clinics in Liver Disease. 2016;20(3):521–534. doi: 10.1016/j.cld.2016.02.009. [DOI] [PubMed] [Google Scholar]
- 2.Seitz H. K., Bataller R., Cortez-Pinto H., et al. Alcoholic liver disease. Nature Reviews Disease Primers. 2018;4(1):p. 16. doi: 10.1038/s41572-018-0014-7. [DOI] [PubMed] [Google Scholar]
- 3.Lyu Y., Zhong L., Liu Y., et al. Protective effects of Lactococcus lactis expressing alcohol dehydrogenase and acetaldehyde dehydrogenase on acute alcoholic liver injury in mice. Journal of Chemical Technology & Biotechnology. 2018;93(5):1502–1510. doi: 10.1002/jctb.5521. [DOI] [Google Scholar]
- 4.Song B. J., Akbar M., Jo I., Hardwick J. P., Abdelmegeed M. A. Translational implications of the alcohol-metabolizing enzymes, including cytochrome P450-2E1, in alcoholic and nonalcoholic liver disease. Advances in Pharmacology. 2015;74:303–372. doi: 10.1016/bs.apha.2015.04.002. [DOI] [PubMed] [Google Scholar]
- 5.Younes M., Strubelt O. Alcohol-induced hepatotoxicity: a role for oxygen free radicals. Free Radical Research Communications. 1987;3(1-5):19–26. doi: 10.3109/10715768709069765. [DOI] [PubMed] [Google Scholar]
- 6.Khan S., O'Brien P. J. Modulating hypoxia-induced hepatocyte injury by affecting intracellular redox state. Biochimica et Biophysica Acta. 1995;1269(2):153–161. doi: 10.1016/0167-4889(95)00112-6. [DOI] [PubMed] [Google Scholar]
- 7.Sajadimajd S., Khazaei M. Oxidative stress and cancer: the role of Nrf2. Current Cancer Drug Targets. 2018;18(6):538–557. doi: 10.2174/1568009617666171002144228. [DOI] [PubMed] [Google Scholar]
- 8.Puar Y. R., Shanmugam M. K., Fan L., Arfuso F., Sethi G., Tergaonkar V. Evidence for the involvement of the master transcription factor NF-κB in cancer initiation and progression. Biomedicine. 2018;6(3):p. 82. doi: 10.3390/biomedicines6030082. [DOI] [PMC free article] [PubMed] [Google Scholar]
- 9.Yu W., Tao M., Zhao Y., Hu X., Wang M. 4′-Methoxyresveratrol alleviated AGE-induced inflammation via RAGE-mediated NF-κB and NLRP3 inflammasome pathway. Molecules. 2018;23(6, article 1447) doi: 10.3390/molecules23061447. [DOI] [PMC free article] [PubMed] [Google Scholar]
- 10.Day S. A., Lakner A. M., Moore C. C., et al. Opioid-like compound exerts anti-fibrotic activity via decreased hepatic stellate cell activation and inflammation. Biochemical Pharmacology. 2011;81(8):996–1003. doi: 10.1016/j.bcp.2011.01.015. [DOI] [PubMed] [Google Scholar]
- 11.Yeo M., Campbell V., Bonomo Y. Accidental injection of naltrexone by adolescent heroin users. Brown University Child & Adolescent Psychopharmacology Update. 2003;5(7):p. 8. [Google Scholar]
- 12.Acharya K., Ghosh S., Khatua S., Mitra P. Pharmacognostic standardization and antioxidant capacity of an edible mushroom Laetiporus sulphureus. Journal für Verbraucherschutz und Lebensmittelsicherheit. 2016;11(1):33–42. doi: 10.1007/s00003-015-0977-1. [DOI] [Google Scholar]
- 13.Liu C., Sun Y., Mao Q., et al. Characteristics and antitumor activity of Morchella esculenta polysaccharide extracted by pulsed electric field. International Journal of Molecular Sciences. 2016;17(6):p. 986. doi: 10.3390/ijms17060986. [DOI] [PMC free article] [PubMed] [Google Scholar]
- 14.Fu L., Wang Y. P., Wang J. J., Yang Y. R., Hao L. M. Evaluation of the antioxidant activity of extracellular polysaccharides from Morchella esculenta. Food & Function. 2013;4(6):871–879. doi: 10.1039/c3fo60033e. [DOI] [PubMed] [Google Scholar]
- 15.Cai Z. N., Li W., Mehmood S., et al. Structural characterization, in vitro and in vivo antioxidant activities of a heteropolysaccharide from the fruiting bodies of Morchella esculenta. Carbohydrate Polymers. 2018;195:29–38. doi: 10.1016/j.carbpol.2018.04.069. [DOI] [PubMed] [Google Scholar]
- 16.Li W., Cai Z. N., Mehmood S., et al. Anti-inflammatory effects of Morchella esculenta polysaccharide and its derivatives in fine particulate matter-treated NR8383 cells. International Journal of Biological Macromolecules. 2019;129:904–915. doi: 10.1016/j.ijbiomac.2019.02.088. [DOI] [PubMed] [Google Scholar]
- 17.Zhao X., Zou X., Li Q., et al. Total flavones of fermentation broth by co-culture of Coprinus comatus and Morchella esculenta induces an anti-inflammatory effect on LPS-stimulated RAW264.7 macrophages cells via the MAPK signaling pathway. Microbial Pathogenesis. 2018;125:431–437. doi: 10.1016/j.micpath.2018.10.008. [DOI] [PubMed] [Google Scholar]
- 18.Nitha B., Fijesh P. V., Janardhanan K. K. Hepatoprotective activity of cultured mycelium of morel mushroom, Morchella esculenta. Experimental and Toxicologic Pathology. 2013;65(1-2):105–112. doi: 10.1016/j.etp.2011.06.007. [DOI] [PubMed] [Google Scholar]
- 19.Jain V. M., Karibasappa G. N., Dodamani A. S., Mali G. V. Estimating the carbohydrate content of various forms of tobacco by phenol-sulfuric acid method. Journal of Education Health Promotion. 2017;6(1):p. 90. doi: 10.4103/jehp.jehp_41_17. [DOI] [PMC free article] [PubMed] [Google Scholar]
- 20.Zohri A. N. A., Abdelazim M., Ibrahim S. 2-Aminoethanaminium 2-(ethoxycarbonyl)-4,6-dinitrophenolate as a greener route in reducing sugar quantification. MethodsX. 2018;5:609–612. doi: 10.1016/j.mex.2018.05.017. [DOI] [PMC free article] [PubMed] [Google Scholar]
- 21.Mádlíková M., Krausová I., Mizera J., Táborský J., Faměra O., Chvátil D. Nitrogen assay in winter wheat by short-time instrumental photon activation analysis and its comparison with the Kjeldahl method. Journal of Radioanalytical and Nuclear Chemistry. 2018;317(1):479–486. doi: 10.1007/s10967-018-5881-6. [DOI] [Google Scholar]
- 22.Jurak E., Punt A. M., Arts W., Kabel M. A., Gruppen H. Fate of carbohydrates and lignin during composting and mycelium growth of Agaricus bisporus on wheat straw based compost. PLoS One. 2015;10(10, article e0138909) doi: 10.1371/journal.pone.0138909. [DOI] [PMC free article] [PubMed] [Google Scholar]
- 23.Zhang C. W., Wang C. Z., Tao R. Analysis on the physicochemical properties of Ginkgo biloba leaves after enzymolysis based ultrasound extraction and Soxhlet extraction. Molecules. 2016;21(1):p. 97. doi: 10.3390/molecules21010097. [DOI] [PMC free article] [PubMed] [Google Scholar]
- 24.Li J. J., Hu X. Q., Zhang X. F., Liu J. J., Cao L. S. Study on variation of main ingredients from spores and fruiting bodies of Ganoderma lucidum. Zhongguo Zhong Yao Za Zhi. 2014;39(21):4246–4251. [PubMed] [Google Scholar]
- 25.Syed Idrus S. I., Latiff A. A., Ismail M. N. Determination of triacylglycerols in food by high-performance liquid chromatography. Instrumentation Science & Technology. 2017;45(5):577–591. doi: 10.1080/10739149.2017.1285786. [DOI] [Google Scholar]
- 26.Mendes T. M. F. F., Baccan S. N., Cadore S. Sample treatment procedures for the determination of mineral constituents in honey by inductively coupled plasma optical emission spectrometry. Journal of the Brazilian Chemical Society. 2006;17(1):168–176. doi: 10.1590/S0103-50532006000100024. [DOI] [Google Scholar]
- 27.Dong Q., Chu F., Wu C., et al. Scutellaria baicalensis Georgi extract protects against alcohol-induced acute liver injury in mice and affects the mechanism of ER stress. Molecular Medicine Reports. 2016;13(4):3052–3062. doi: 10.3892/mmr.2016.4941. [DOI] [PMC free article] [PubMed] [Google Scholar]
- 28.Feng R., Chen J. H., Liu C. H., et al. A combination of Pueraria lobata and Silybum marianum protects against alcoholic liver disease in mice. Phytomedicine. 2019;58, article 152824 doi: 10.1016/j.phymed.2019.152824. [DOI] [PubMed] [Google Scholar]
- 29.Lirussi F., Beccarello A., Zanette G., et al. Silybin-beta-cyclodextrin in the treatment of patients with diabetes mellitus and alcoholic liver disease. Efficacy study of a new preparation of an anti-oxidant agent. Diabetes, Nutrition & Metabolism. 2002;15(4):222–231. [PubMed] [Google Scholar]
- 30.Robinson S. S. The Role of Disulfiram in Alcohol Metabolism and the Treatment of Alcoholism. In: Barth R., Benvenuto M. A., editors. Ethanol and Education: Alcohol as a Theme for Teaching Chemistry. Washington: Amer Chemical Soc; 2015. pp. 191–206. (ACS Symposium Series). [DOI] [Google Scholar]
- 31.Wu J. K., Yang Q. Effect of leech on lipid metabolism and liver in hyperlipidemia rats. Zhongguo Zhong Yao Za Zhi. 2018;43(4):794–799. doi: 10.19540/j.cnki.cjcmm.20171123.001. [DOI] [PubMed] [Google Scholar]
- 32.Galicia-Moreno M., Gutiérrez-Reyes G. The role of oxidative stress in the development of alcoholic liver disease. Revista de Gastroenterología de México. 2014;79(2):135–144. doi: 10.1016/j.rgmx.2014.03.001. [DOI] [PubMed] [Google Scholar]
- 33.Nanji A. A., Jokelainen K., Tipoe G. L., Rahemtulla A., Thomas P., Dannenberg A. J. Curcumin prevents alcohol-induced liver disease in rats by inhibiting the expression of NF-κB-dependent genes. American Journal of Physiology-Gastrointestinal and Liver Physiology. 2003;284(2):G321–G327. doi: 10.1152/ajpgi.00230.2002. [DOI] [PubMed] [Google Scholar]
- 34.Zhang Q., Wu C., Fan G., Li T., Wen X. Characteristics and enhanced antioxidant activity of glycated Morchella esculenta protein isolate. Food Science and Technology. 2017;38(1):126–133. doi: 10.1590/1678-457x.01917. [DOI] [Google Scholar]
- 35.Ma L., Zhang S., Du M. Cordycepin from Cordyceps militaris prevents hyperglycemia in alloxan-induced diabetic mice. Nutrition Research. 2015;35(5):431–439. doi: 10.1016/j.nutres.2015.04.011. [DOI] [PubMed] [Google Scholar]
- 36.Kobayashi A., Yokoyama H., Kataoka J., et al. Effects of spaced feeding on gene expression of hepatic transaminase and gluconeogenic enzymes in rats. The Journal of Toxicological Sciences. 2011;36(3):325–337. doi: 10.2131/jts.36.325. [DOI] [PubMed] [Google Scholar]
- 37.Kessenich C. R., Cronin K. GGT and alcohol consumption. The Nurse Practitioner. 2012;37(8):9–11. doi: 10.1097/01.NPR.0000415876.46596.02. [DOI] [PubMed] [Google Scholar]
- 38.Van Vleet T. R., Philip B. K. Acetaldehyde. In: Wexler P., editor. Encyclopedia of Toxicology (Third Edition) Oxford: Academic Press; 2014. pp. 22–23. [DOI] [Google Scholar]
- 39.Tsuji K., Yoon K. S., Ogo S. Biochemical characterization of a bifunctional acetaldehyde-alcohol dehydrogenase purified from a facultative anaerobic bacterium Citrobacter sp. S-77. Journal of Bioscience and Bioengineering. 2016;121(3):253–258. doi: 10.1016/j.jbiosc.2015.06.019. [DOI] [PubMed] [Google Scholar]
- 40.Eminler A. T., Ayyildiz T., Irak K., et al. AST/ALT ratio is not useful in predicting the degree of fibrosis in chronic viral hepatitis patients. European Journal of Gastroenterology & Hepatology. 2015;27(12):1361–1366. doi: 10.1097/MEG.0000000000000468. [DOI] [PubMed] [Google Scholar]
- 41.Xu M. J., Zhou Z., Parker R., Gao B. Targeting inflammation for the treatment of alcoholic liver disease. Pharmacology & Therapeutics. 2017;180:77–89. doi: 10.1016/j.pharmthera.2017.06.007. [DOI] [PMC free article] [PubMed] [Google Scholar]
- 42.Zhou W., Ye S., Li J. Expression of retinol binding protein 4 and nuclear factor-κB in diabetic rats with atherosclerosis and the intervention effect of pioglitazone. Experimental and Therapeutic Medicine. 2016;12(2):1000–1006. doi: 10.3892/etm.2016.3340. [DOI] [PMC free article] [PubMed] [Google Scholar]
- 43.Cavanna A., Giovine G., Tappero R., Torchio M., Avagnina P., Molino G. Diagnostic value of prealbumin and retinol-binding protein in acute and chronic liver diseases. La Ricerca in Clinica e in Laboratorio. 1985;15(1):71–77. doi: 10.1007/BF03029164. [DOI] [PubMed] [Google Scholar]
- 44.Tiriveedhi V., Upadhya G. A., Busch R. A., et al. Protective role of bortezomib in steatotic liver ischemia/reperfusion injury through abrogation of MMP activation and YKL-40 expression. Transplant Immunology. 2014;30(2-3):93–98. doi: 10.1016/j.trim.2013.12.003. [DOI] [PMC free article] [PubMed] [Google Scholar]
- 45.Iwasaki Y., Asai M., Yoshida M., et al. Nilvadipine inhibits nuclear factor-κB-dependent transcription in hepatic cells. Clinica Chimica Acta. 2004;350(1-2):151–157. doi: 10.1016/j.cccn.2004.07.012. [DOI] [PubMed] [Google Scholar]
- 46.Liu T., Zhang L., Joo D., Sun S. C. NF-κB signaling in inflammation. Signal Transduction and Targeted Therapy. 2017;2, article 17023(1) doi: 10.1038/sigtrans.2017.23. [DOI] [PMC free article] [PubMed] [Google Scholar]
- 47.Wu J., Xue X., Wu Z., et al. Anti-tumor effect of paeonol via regulating NF-κB, AKT and MAPKs activation: a quick review. Biomedicine & Preventive Nutrition. 2014;4(1):9–14. doi: 10.1016/j.bionut.2013.08.002. [DOI] [Google Scholar]
- 48.Miller M. L., Mashayekhi M., Chen L., et al. Basal NF-κB controls IL-7 responsiveness of quiescent naive T cells. Proceedings of the National Academy of Sciences of the United States of America. 2014;111(20):7397–7402. doi: 10.1073/pnas.1315398111. [DOI] [PMC free article] [PubMed] [Google Scholar]
- 49.Bhat K. P., Pelloski C. E., Zhang Y., et al. Selective repression of YKL-40 by NF-kappaB in glioma cell lines involves recruitment of histone deacetylase-1 and -2. FEBS Letters. 2008;582(21-22):3193–3200. doi: 10.1016/j.febslet.2008.08.010. [DOI] [PubMed] [Google Scholar]
- 50.Swiatkowska M., Szemraj J., al-Nedawi K. N., Pawłowska Z. Reactive oxygen species upregulate expression of PAI-1 in endothelial cells. Cellular & Molecular Biology Letters. 2002;7(4):1065–1071. [PubMed] [Google Scholar]
- 51.Peiyuan H., Zhiping H., Chengjun S., Chunqing W., Bingqing L., Imam M. U. Resveratrol ameliorates experimental alcoholic liver disease by modulating oxidative stress. Evidence-Based Complementary and Alternative Medicine. 2017;2017:10. doi: 10.1155/2017/4287890.4287890 [DOI] [PMC free article] [PubMed] [Google Scholar]
- 52.Li H. D., Chen X., Yang Y., et al. Wogonin attenuates inflammation by activating PPAR-γ in alcoholic liver disease. International Immunopharmacology. 2017;50:95–106. doi: 10.1016/j.intimp.2017.06.013. [DOI] [PubMed] [Google Scholar]
- 53.Mishra S., Mishra B. B. Study of lipid peroxidation, nitric oxide end product, and trace element status in type 2 diabetes mellitus with and without complications. International Journal of Applied & Basic Medical Research. 2017;7(2):88–93. doi: 10.4103/2229-516X.205813. [DOI] [PMC free article] [PubMed] [Google Scholar]
- 54.Wu D., Liu B., Yin J., et al. Detection of 8-hydroxydeoxyguanosine (8-OHdG) as a biomarker of oxidative damage in peripheral leukocyte DNA by UHPLC-MS/MS. Journal of Chromatography. B, Analytical Technologies in the Biomedical and Life Sciences. 2017;1064:1–6. doi: 10.1016/j.jchromb.2017.08.033. [DOI] [PubMed] [Google Scholar]
- 55.Nordberg J., Arner E. S. J. Reactive oxygen species, antioxidants, and the mammalian thioredoxin system. Free Radical Biology & Medicine. 2001;31(11):1287–1312. doi: 10.1016/s0891-5849(01)00724-9. [DOI] [PubMed] [Google Scholar]
- 56.Cui Z. G., Ogawa R., Tsuneyama K., et al. Insight into the molecular mechanism of heme oxygenase-1 induction by docosahexaenoic acid in U937 cells. Chemico-Biological Interactions. 2015;238:180–188. doi: 10.1016/j.cbi.2015.07.005. [DOI] [PubMed] [Google Scholar]
- 57.Mohammadzadeh M., Halabian R., Gharehbaghian A., et al. Nrf-2 overexpression in mesenchymal stem cells reduces oxidative stress-induced apoptosis and cytotoxicity. Cell Stress & Chaperones. 2012;17(5):553–565. doi: 10.1007/s12192-012-0331-9. [DOI] [PMC free article] [PubMed] [Google Scholar]
- 58.Samuhasaneeto S., Thong-Ngam D., Kulaputana O., Suyasunanont D., Klaikeaw N. Curcumin decreased oxidative stress, inhibited NF-κB activation, and improved liver pathology in ethanol-induced liver injury in rats. Journal of Biomedicine & Biotechnology. 2009;2009:8. doi: 10.1155/2009/981963.981963 [DOI] [PMC free article] [PubMed] [Google Scholar]
- 59.Ryu J., Kwon M. J., Nam T. J. Nrf2 and NF-κB signaling pathways contribute to porphyra-334-mediated inhibition of UVA-induced inflammation in skin fibroblasts. Marine Drugs. 2015;13(8):4721–4732. doi: 10.3390/md13084721. [DOI] [PMC free article] [PubMed] [Google Scholar]
- 60.Swanson G. R., Gorenz A., Shaikh M., et al. Decreased melatonin secretion is associated with increased intestinal permeability and marker of endotoxemia in alcoholics. American Journal of Physiology. Gastrointestinal and Liver Physiology. 2015;308(12):G1004–G1011. doi: 10.1152/ajpgi.00002.2015. [DOI] [PMC free article] [PubMed] [Google Scholar]
Associated Data
This section collects any data citations, data availability statements, or supplementary materials included in this article.
Supplementary Materials
For comprehensive analysis, see Tables 1S and 2S and Figure 1S. Table 1S: the effects of ME and Sil on the bodyweight of experimental mice. Table 2S: the effects of ME and Sil on cytokines related to oxidative stress in the spleens of mice with alcohol-induced acute liver injury. Figure 1S: ME alone (800 mg/kg) showed no significant effects on bodyweight or biochemical indexes in serum of healthy mice after 14-day administration. (A) ME alone failed to influence the bodyweight of healthy mice. ME alone showed no effects on the serum levels of (B) AST, (C) ALT, and (D) ALDH in healthy mice. Data expressed as mean ± S.E.M. (n = 10) were analyzed using a one-way ANOVA. ME: M. esculenta.
Data Availability Statement
All generated and analyzed data used to support the findings of this study are included within the article.



