Abstract
Adenoid cystic carcinomas (ACCs) are malignant tumors that most often occur in the salivary glands and bronchi, with occurrence in the breast being rare. ACCs of the breast reportedly give rise to few lymph node metastases or distant metastases and have a favorable prognosis. A 56-year-old woman with a left breast mass identified by mammographic screening was examined at our institute. Breast ultrasound revealed a sharply marginated, hypoechoic mass 12.7 × 9.4 × 8.7 mm in size in the upper outer quadrant of the left breast, and a vacuum-assisted biopsy (VAB) was performed at the mass site. Pathological examination of the VAB specimen revealed atypical cells with a cribriform growth pattern, and mucosal fluid surrounding tumor nests and within tumor ducts. The area around the tumor nests and inside of tumor ducts were also positively stained with alcian blue. These findings, we reached a pathological diagnosis of ACC. The preoperative diagnosis was stage I (cT1N0M0) triple-negative left breast cancer. Surgery consisted of breast-conserving surgery and sentinel node biopsy. The excised specimen was a 15.0 × 12.1 × 9.7 mm mass with a greyish white cut surface. Pathological examination of the excised specimen revealed a so-called adenoid cystic pattern. Results from immunohistochemical staining were identical to those from a VAB specimen, as they were estrogen receptor-negative, progesterone receptors-negative, and human epidermal growth factor receptor 2-negative, with low Ki67 expression. The final diagnosis, given the above findings, was left breast cancer (ACC) pT1N0M0 stage I triple-negative subtype.
Keywords: Adenoid cystic carcinoma, Breast cancer, Mammary tumor, Triple-negative, Favorable prognosis
Background
In the World Health Organization (WHO) Classification of Tumours of the Breast (2012), primary adenoid cystic carcinomas (ACCs) of the breast are defined as low-grade tumors with a histologic pattern that resembles that of primary ACCs of the salivary gland [1]. ACCs are malignant tumors that most often occur in the salivary glands and bronchi, with occurrence in the breast being rare [2, 3]. ACCs of the breast reportedly give rise to few lymph node metastases or distant metastases and have a favorable prognosis [4, 5, 6]; immunohistochemically, they are classified as triple-negative breast cancer as they test negative for estrogen receptors (ERs), progesterone receptors (PgRs), and human epidermal growth factor receptor 2 (HER2) [7, 8]. However, from the standpoint of gene expression, ACCs of the breast are considered different from basal-like subtypes of triple-negative breast cancer [9]. Here we report on a case of ACC of the breast alongside a discussion of the literature.
Case Presentation
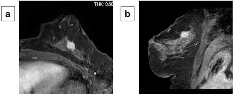
A 56-year-old woman with a left breast mass identified by mammographic screening was examined at our institute. She had no prior medical history or family history. During physical examination, palpation revealed an elastic hard mass of approx. 1.5 cm in the upper outer quadrant of the left breast in the vicinity of the areola. Breast ultrasound revealed a sharply marginated, hypoechoic mass 12.7 × 9.4 × 8.7 mm in size in the upper outer quadrant of the left breast (Fig. 1a), and a vacuum-assisted biopsy (VAB) was performed at the mass site. Pathological examination of the VAB specimen by hematoxylin and eosin (H&E) staining revealed atypical cells with a cribriform growth pattern, and mucosal fluid surrounding tumor nests and within tumor ducts (Fig. 1b). The area around the tumor nests and inside of tumor ducts were also positively stained with alcian blue (Fig. 1c). Tumor ducts contained a mixture of areas positive and negative for p63 and CK5/6 expression. Together with these immunohistochemical findings, we reached a pathological diagnosis of ACC. The tumor was ER-negative, PgR-negative, and HER2-negative, with low Ki67 expression. Computed tomography (CT) findings also did not reveal lymph node metastases or distant metastases. Contrast-enhanced magnetic resonance imaging (MRI) revealed the primary tumor to be a mass 15 mm in size with spicules, which exhibited early phase enhancement (Fig. 2a, b). The preoperative diagnosis was stage I (cT1N0M0) triple-negative left breast cancer (ACC). Surgery consisted of breast-conserving surgery and sentinel node biopsy. The excised specimen was a 15.0 × 12.1 × 9.7 mm mass with a greyish white cut surface (Fig. 3a). Pathological examination of the excised specimen by H&E staining revealed a so-called adenoid cystic pattern, with various large and small cribriform mucinous tumor nests around the tumor stroma, and both true and false lumen within the tumor nests (nuclear atypia: score 3, mitotic count: score1, nuclear grade: grade 1, ly0, v0, stump margin positive) (Fig. 3b). Results from immunohistochemical staining were identical to those from a VAB specimen, as they were ER-negative, PgR-negative, and HER2-negative, with low Ki67 expression. No lymph node metastases were found in the sentinel node biopsy specimen. The final diagnosis, given the above findings, was left breast cancer (ACC) pT1N0M0 stage I triple-negative subtype. No systemic adjuvant therapy was performed after surgery due to the low risk of recurrence based on an absence of lymph node metastases and a favorable prognosis for ACC. After 6 months of observation without treatment, there has been no recurrence or metastatic onset.
Fig. 1.
Ultrasonography findings and pathological diagnosis of vacuum-assisted biopsy specimen: Breast ultrasound revealed a sharply marginated, hypoechoic mass 12.7 × 9.4 × 8.7 mm in size in the upper outer quadrant of the left breast (a). Pathological examination of the vacuum-assisted biopsy specimen by hematoxylin and eosin (H&E) staining revealed atypical cells with a cribriform growth pattern, and mucosal fluid surrounding tumor nests and within tumor ducts (×200) (b). The area around the tumor nests and inside of tumor ducts were also positively stained with alcian blue (×200) (c).
Fig. 2.
Magnetic resonance imaging findings: Contrast-enhanced magnetic resonance imaging (MRI) revealed the primary tumor to be a mass 15 mm in size with spicules, which exhibited early phase enhancement (a: transverse plane) (b: sagittal plane).
Fig. 3.
Macro- and micro-scopic examinations of the resected specimen: The excised specimen was a 15.0 × 12.1 × 9.7 mm mass with a greyish white cut surface (a). Pathological examination of the excised specimen by H&E staining revealed a so-called adenoid cystic pattern, with various large and small cribriform mucinous tumor nests around the tumor stroma, and both true and false lumen within the tumor nests (×200) (b).
Discussion/Conclusion
ACCs most often occur in salivary glands and bronchi, with occasional reports of occurrence in the esophagus or endocervix. Primary ACC of the breast occurs rarely, accounting for 0.058′ of ACC cases [1, 2, 3]. In past reports, ACC of the breast has occurred in patients between the ages of 25 and 86 years, with a disproportionate number occurring in comparatively elderly women [4, 5, 6]. The most common area of onset is subareolar and in the vicinity of the areola (approx. 50′), and the tumor often appears as a spherical, mobile mass under palpation. ACC of the breast does not favor the left or right side, tends not to occur bilaterally, and breast pain at the tumor site is a characteristic clinical symptom in approximately 14′ of cases. This breast pain is speculated to involve perineural infiltration of tumor cells and contraction of myoepithelial cells. ACC of the breast has no characteristic imaging findings, and often appears as a sharply marginated shadow on mammography and ultrasonography. In our patient, a palpable mass without pain was found in the vicinity of the areola.
The histological pattern of ACCs is of mixed growth of tumor cells that differentiate into glandular epithelial cells, basal cells, and myoepithelial cells, while producing abundant basement membrane-like material. The WHO classification identifies 2 subtypes of primary ACC of the salivary gland: a tubular/cribriform histological subtype in which tumor cells mainly form cribriform or tubular patterns, and a solid histological subtype mainly formed of solid tumor nests and cord-like patterns [1]. The solid type is considered to be associated with greater malignancy than the tubular/cribriform type. ACC of the salivary gland is also classified based on the solid component percentage of the whole tumor. Grade I tumors have almost no solid component, grade II tumors have <30′ solid component, and grade III tumors have ≥30′ [10]. Grade III tumors reportedly have a poorer prognosis than grade I or II tumors [10]. In our patient, tumors cells had a cribriform growth pattern, so the cancer was classified as a tubular/cribriform subtype, and a grade II classification was reached based on the proportion of solid component. Almost all cases of primary ACC of the breast are described as triple-negative based on immunohistochemical analysis, as they are ER-negative, PgR-negative, and HER2-negative. However, the gene expression pattern of primary ACC of the breast is considered different to that of the basal-like subtype, which is determined by intrinsic subtype classification using a microarray multigene assay [7, 8].
ACCs of the breast are classified as low-grade malignant tumors, and a cure can be achieved by simple resection [4, 11, 12]. As lymph node metastases are rare, ACCs of the breast are considered well-indicated for sentinel node biopsy. Our patient also underwent a breast conserving partial mastectomy and sentinel node biopsy. As for postoperative adjuvant therapy, being hormone receptor-negative suggests that ACCs are also suitable for chemotherapy treatment. However, due to the favorable prognosis of this histological type, past reports have indicated that postoperative adjuvant therapy is often not undertaken. Our patient also only received radiation treatment of the residual breast after surgery and did not receive systemic adjuvant therapy. Nevertheless, there are reports of prognosis differing by subtype of ACC, and due consideration must be given to indication for postoperative therapy.
Statement of Ethics
Written ethical approval for the publication on the present case report was obtained from the patient.
Disclosure Statement
The authors declare that they have no conflicts of interest to disclose.
Funding Sources
No funding was received for this article and the authors have no conflicts of interest directly relevant to this report.
Author Contributions
All authors were involved in the preparation of this manuscript. S.K. collected the data, and wrote the manuscript. S.K., Y.A., S.I., T.M., and T.T. performed the operation and designed the study. S.T. and M. Ohsawa performed pathological diagnosis. S.K., R.A., and K.H. summarized the data and revised the manuscript. K.H. and M. Ohira made substantial contribution to the study design, performed the operation, and revised the manuscript. All authors read and approved the final manuscript.
Acknowledgements
We thank Yayoi Matsukiyo and Tomomi Okawa (Department of Breast and Endocrine Surgery, Osaka City University Graduate School of Medicine) for helpful advice regarding data management.
References
- 1.Lakhani SR, Ellis IO, Schnitt SJ. World Health Organization classification of tumours. 4th ed. Lyon: IARC press; 2012. WHO classification of tumours of the breast. [Google Scholar]
- 2.Rosen PP. Adenoid cystic carcinoma of the breast. A morphologically heterogeneous neoplasm. Pathol Annu. 1989;24((Pt 2)):237–54. [PubMed] [Google Scholar]
- 3.Glazebrook KN, Reynolds C, Smith RL, Gimenez EI, Boughey JC. Adenoid cystic carcinoma of the breast. AJR Am J Roentgenol. 2010 May;194((5)):1391–6. doi: 10.2214/AJR.09.3545. [DOI] [PubMed] [Google Scholar]
- 4.Ghabach B, Anderson WF, Curtis RE, Huycke MM, Lavigne JA, Dores GM. Adenoid cystic carcinoma of the breast in the United States (1977 to 2006): a population-based cohort study. Breast Cancer Res. 2010;12((4)):R54. doi: 10.1186/bcr2613. [DOI] [PMC free article] [PubMed] [Google Scholar]
- 5.Kulkarni N, Pezzi CM, Greif JM, Suzanne Klimberg V, Bailey L, Korourian S, et al. Rare breast cancer: 933 adenoid cystic carcinomas from the National Cancer Data Base. Ann Surg Oncol. 2013 Jul;20((7)):2236–41. doi: 10.1245/s10434-013-2911-z. [DOI] [PubMed] [Google Scholar]
- 6.Coates JM, Martinez SR, Bold RJ, Chen SL. Adjuvant radiation therapy is associated with improved survival for adenoid cystic carcinoma of the breast. J Surg Oncol. 2010 Sep;102((4)):342–7. doi: 10.1002/jso.21638. [DOI] [PubMed] [Google Scholar]
- 7.Perou CM, Sørlie T, Eisen MB, van de Rijn M, Jeffrey SS, Rees CA, et al. Molecular portraits of human breast tumours. Nature. 2000 Aug;406((6797)):747–52. doi: 10.1038/35021093. [DOI] [PubMed] [Google Scholar]
- 8.Sørlie T, Perou CM, Tibshirani R, Aas T, Geisler S, Johnsen H, et al. Gene expression patterns of breast carcinomas distinguish tumor subclasses with clinical implications. Proc Natl Acad Sci USA. 2001 Sep;98((19)):10869–74. doi: 10.1073/pnas.191367098. [DOI] [PMC free article] [PubMed] [Google Scholar]
- 9.Rakha EA, Elsheikh SE, Aleskandarany MA, Habashi HO, Green AR, Powe DG, et al. Triple-negative breast cancer: distinguishing between basal and nonbasal subtypes. Clin Cancer Res. 2009 Apr;15((7)):2302–10. doi: 10.1158/1078-0432.CCR-08-2132. [DOI] [PubMed] [Google Scholar]
- 10.Ro JY, Silva EG, Gallager HS. Adenoid cystic carcinoma of the breast. Hum Pathol. 1987 Dec;18((12)):1276–81. doi: 10.1016/s0046-8177(87)80413-6. [DOI] [PubMed] [Google Scholar]
- 11.Khanfir K, Kallel A, Villette S, Belkacémi Y, Vautravers C, Nguyen T, et al. Management of adenoid cystic carcinoma of the breast: a Rare Cancer Network study. Int J Radiat Oncol Biol Phys. 2012 Apr;82((5)):2118–24. doi: 10.1016/j.ijrobp.2010.12.008. [DOI] [PubMed] [Google Scholar]
- 12.Xue Y, Liu X, Poplack S, Memoli VA. Adenoid cystic carcinoma of the breast in reduction mammoplasty. Breast J. 2012 Nov-Dec;18((6)):611–3. doi: 10.1111/tbj.12029. [DOI] [PubMed] [Google Scholar]



