Abstract
We report a rare case of a newborn male affected by incontinentia pigmenti, Klinefelter syndrome, and aplasia cutis congenita, who developed severe cutaneous, neurological, and ophthalmological manifestations. Genetic analysis showed the presence of the common mutation of NEMO (exon 4–10 deletion), Klinefelter syndrome karyotype (47 XXY), and random X inactivation. This is in accordance with the severity of involvement of the affected tissues (skin, central nervous system, and retina). Indeed, the patient developed typical skin lesions all over the body, except the head. Equally, multiple lesions diffusely involving both the cortical grey matter and subcortical white matter of the cerebellum and cerebral hemispheres were observed. Discussing current knowledge about the etiopathogenesis of skin and brain lesions in incontinentia pigmenti, our case seems to support the proapoptotic origin of central nervous system involvement. Possibly, incontinentia pigmenti patients suffer an impaired protection against apoptosis at the level of cerebral endothelial cells of small vessels, leading to vascular damage and subsequent ischemic brain lesions.
Keywords: Aplasia cutis, Incontinentia pigmenti, Klinefelter syndrome
Key Summary Points
| Why carry out this study? |
| Cutaneous involvement of incontinentia pigmenti is due to vulnerability of affected skin cells to apoptosis. |
| Etiopathogenesis of brain lesions in incontinentia pigmenti patients is only partial understood. |
| Skin and brain involvement may share the same proapoptotic pathogenesis. |
| What was learned from the study? |
| Our case seems to support the proapoptotic origin of brain lesions in incontinentia pigmenti patients. |
| Random X chromosome inactivation is associated with more severe forms of incontinentia pigmenti. |
Introduction
Incontinentia pigmenti (IP) or “Bloch-Sulzberger syndrome” is a rare X-linked dominant multisystemic ectodermal dysplasia affecting mostly females. Indeed, it is usually lethal in hemizygous males, though hypomorphic mutations, abnormal karyotypes, and mosaicism provide three mechanisms for survival of males carrying a mutation at the IP locus [1]. Birth prevalence is 1.2/100,000, with a female to male ratio of 10:1 [2, 3].
IP is caused by mutations of the IKBKG gene encoding the nuclear factor (NF)-κB essential modulator (NEMO), also known as the γ-subunit of the I-κB kinase (IKK-γ), mapped to Xq28 [4]. A recurrent exon 4–10 deletion of the gene underlies 75% of cases [2]. This mutation is usually associated with skewed X chromosome inactivation in females, but a few cases of random X inactivation have been also reported [5]. NEMO/IKK-γ is the regulatory subunit of the I-κB kinase (IKK) complex. I-κB is an inhibitor protein that inactivates NF-κB through cytoplasm sequestration. IKK activation permits the degradation of I-κB, leading to the release of NF-κB, which regulates the expression of genes involved in inflammatory, immune, and other pathways. Particularly, one function of NF-κB activity is the protection of cells against programmed cell death (apoptosis) induced by tumor necrosis factor [6]. Due to the lack of NEMO inhibition, affected cells are highly sensitive to tumor necrosis factor-induced apoptosis. This could explain the development of cutaneous, retinal, and neurological lesions in patients with IP.
In this paper, we report a rare case of a newborn male affected by IP, Klinefelter syndrome, and aplasia cutis congenita (ACC), who developed severe cutaneous, neurological, and ophthalmological manifestations. Moreover, we propose a correlation between the severity of skin and brain involvement, supporting the theory that both organs share the same proapoptotic pathogenesis.
Case Report
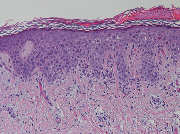
The boy was born by full-term normal spontaneous vaginal delivery with Apgar scores of nine at 1 and 5 min, after an uneventful pregnancy. He was the first-born of non-consanguineous Chinese parents, with unremarkable familiar medical history. At birth, the child presented erythematous vesicular lesions on the trunk, which spread to involve the upper and lower limbs during the first days of life. At day 10, vesicles and plaque-like crusty lesions on an erythematous base were present all over the body, except the head; their distribution, following the lines of Blaschko, suggested a clinical diagnosis of IP (Fig. 1). A punch biopsy specimen of a skin lesion showed epidermal hyperplasia with hyperkeratosis, hypergranulosis and necrotic keratinocytes. At the dermo-epidermal junction an inflammatory infiltration composed mainly of lymphocytes and few eosinophils was present (Fig. 2). The diagnosis of IP was made based on clinical presentation and histological data, although there was an absence of affected individuals in the family.
Fig. 1.

Vesicles and plaque-like crusty lesions on an erythematous base, following the lines of Blaschko, hinting at a clinical diagnosis of IP
Fig. 2.

Histology of one of the skin lesions: epidermal hyperplasia with hyperkeratosis, hypergranulosis and necrotic keratinocytes; inflammatory infiltration composed mainly of lymphocytes and few eosinophils at the dermo-epidermal junction (H&E, 10 ×)
At 2 months of age, he presented with acute hyporeactivity, irritability and refusal to feed, initially managed with steroid (0.25 mg/kg/die), anti-viral and antibiotics on the suspicion of meningoencephalitis. Electroencephalography (EEG) showed a non-convulsive status epilepticus, which was treated with endovenous phenytoin and phenobarbital in the pediatric intensive care unit. On physical examination, hyperpigmented streaks with linear and reticular distribution were present in the same areas previously involved in the vesicular lesions (Fig. 3). Furthermore, a well-demarcated alopecic area of about 1 × 1.5 cm was noticed at the left parasagittal parietal scalp, and diagnosis of ACC, confirmed by ultrasound, was made (Fig. 4). A computed tomography brain scan showed diffuse cerebral edema, particularly involving the cerebral white matter, and no associated bone or dura defect in the area affected by ACC. Subsequent magnetic resonance imaging (MRI) revealed multiple spotty high-intensity areas on diffusion weighted imaging (DWI), diffusely involving both the cortical grey matter and subcortical white matter of the cerebellum and cerebral hemispheres bilaterally, with some sparing of middle cerebral arteries territories; cerebral magnetic resonance angiography was normal (Fig. 5). Brain findings were consistent with multiple acute cerebral infarctions due to small vessels disease (cardiogenic embolization was excluded by normal echocardiogram). EEG showed background disorganization and multifocal abnormalities with paroxysmal episodes not understood. Oral phenobarbital (6 mg/kg/die) was continued, with good seizure control for 2 months, when he developed recurrent clusters of brief seizures characterized by eye twitching and extensor spasms of the arms lasting a few seconds. At this time, he presented low reactivity to auditory and visual stimuli and motor delay. The EEG showed epileptiform abnormalities in the anterior temporal and right occipital regions with focal clinical seizures, so that a diagnosis of symptomatic focal epilepsy was made. Carbamazepine was started (20 mg/kg/die) with a mild reduction in the frequency of seizures. At 8 months of age recurrent clusters of asymmetric spasms appeared. Vigabatrin therapy (130 mg/kg/die) was added, but seemed to be ineffective (the baby was still suffering clusters of daily spasms), and the dose was increased to 170 mg/kg/die. The last EEG recording showed background disorganization and multifocal epileptiform abnormalities in the medium posterior regions. Meanwhile, ophthalmological examination showed microphthalmia and bilateral retinal detachment, leading to total vision loss. Due to the severe involvement, a surgical intervention was excluded. Consequently, he was referred to a blind center for supportive care. So far, no other hair, nail or teeth abnormalities have been detected, although he is still affected by partial epilepsy associated with severe developmental delay, poor spontaneous motility, generalized hypertonia, severe visual deficit due to bilateral retinal detachment and poor feeding with persistent difficulty in swallowing.
Fig. 3.

At 2 months of age, the patient presented hyperpigmented streaks with linear and reticular distribution in the same areas previously involved by the vesicular lesions
Fig. 4.

Well-demarcated alopecic area of about 1 × 1.5 cm at the left parasagittal parietal scalp, suggestive of ACC
Fig. 5.

Brain MRI, axial infratentorial (a) and supratentorial (b), DWI. Countless high signal lesions in both the gray and the white matter (“starry sky pattern”), suggesting diffusion restriction in acute ischemic damage. c, d Cerebral magnetic resonance angiography with antero-posterior maximum intensity projection reconstructions of vertebrobasilar (c) and carotid (d) circulation. There is no evidence of large vessel occlusion
Genetic Analysis
At 3 months of age, we performed two skin biopsies, one from affected (hyperpigmented) and one from non-affected skin, for fibroblast cultivation.
Polymerase chain reaction showed the presence of the common exon 4–10 deletion band in peripheral blood, saliva, and in both affected and non-affected skin. These findings ruled out somatic mosaicism. Indeed, karyotype analysis of peripheral blood mononuclear cells revealed 47 XXY chromosomes, diagnostic for Klinefelter syndrome. Moreover, the blood sample analysis demonstrated random X inactivation.
Compliance with Ethics Guidelines
This case report was conducted according to the principles of good clinical practice guidelines ICH GCP and according to the ethical principles of the Declaration of Helsinki.
The parents of the patient gave written permission to consent to the publication of the information and images contained in this article.
Discussion
IP cutaneous findings present in the early neonatal period with an erythematous vesicular rash (bullous stage I) following Blaschko’s lines. Uncommonly, the stage I rash can recur during febrile illness, infections (i.e., Coxsackievirus) and vaccinations [7, 8]. Stage I evolves within a few months to a verrucous stage II, occurring mainly on the limbs. In stage III hyperpigmented streaks and whorls along Blaschko’s lines begin within months and fade in adolescence. In stage IV, patients have pale, hairless, atrophic linear streaks or patches mostly on the lower extremities. According to Landy and Donnai, these skin defects are always present in IP and are therefore considered the main diagnostic criteria [9]. Our case presented with an extended skin involvement and until now has developed skin lesions typical of stages I, II, and III.
Teeth defects are the most commonly observed extracutaneous abnormality associated with IP (34%), but our patient did not develop teeth anomalies [10].
Central nervous system (CNS) abnormalities, including seizures, motor impairment, microcephaly, mental retardation, and occasionally encephalopathy-like symptoms, such as coma or disturbed consciousness, have been reported in approximately 25–30% of patients and have a significant impact on the long-term prognosis [10, 11]. Seizures are reported in 13–42% of patients starting between 12 h of life to 10 years with different patterns, including tonic and clonic seizures, as well as apnea, and are usually considered a manifestation of cerebrovascular damage [12]. Our case showed a severe form of epilepsy that has been only partially controlled by anti-epileptic therapy. The pathogenesis of CNS anomalies in IP is only partially understood; vascular occlusive phenomena probably play a role. Ischemic cerebrovascular accidents in the neonatal period are recognized as a complication of IP. Brain changes in IP are often bilateral and involve the anterior circulation, but occlusion of large arteries is exceptional. Venous lesions could be mixed together with lesions of small- or middle-sized arteries, and ischemia as well as brain inflammation may co-occur [13]. Ischemic stroke can trigger epileptic seizures. However, the frequency of seizures in IP is higher than would be expected based on this well-known association. Several mechanisms could underlie the striking susceptibility of IP patients to seizures, with the disruption of the blood–brain barrier (BBB) being first in line [14].
NEMO is involved in regulating the nuclear factor kappa-B activation, which in turn regulates the expression of genes involved in immune and stress response, inflammatory reaction, cell adhesion, and protection against apoptosis [15]. The skin lesions seen in IP are the result of loss of NEMO activity, which makes the affected skin cells more vulnerable to apoptosis, having therefore a selective survival disadvantage. The apoptosis results in an upregulation of cytokines like eotaxin. The apoptotic keratinocytes lead to inflammatory responses inducing synthesis and release of different chemokines which cause vaso-occlusion due to eosinophilic degranulation [16]. This could support the hypothesis that in IP cerebral lesions result from the same pathogenesis as cutaneous lesions, because brain and skin are both of ectodermal origin. However, unexpectedly, NEMO deficiency in neurons or glial cells does not compromise the survival of these cells. Quite the opposite seems to be true: a deficiency of IκB kinase protects against neuronal cell death and neuroinflammation. This apparent contradiction was dissolved when it turned out that NEMO deficiency leads to the loss of brain endothelial cells and compromises the BBB [14]. The fact that string vessels are often found in IP patients supports the vascular origin of the CNS symptoms over a proapoptotic hypothesis. A relation is postulated between the severity of the skin involvement and the neurological phenotype. Hypothetically, the pattern of arterial involvement could follow an analogy of the Blaschko lines in the brain. On the other hand, the proapoptotic hypothesis is supported by the possible relation between severity of IP presentation and the grade of X skewed inactivation. Dangouloff-Ros et al. studied the X inactivation on 18 female patients showing that severe brain MRI anomalies were usually associated with random X inactivation and severe neurological symptoms, while skewed X inactivation was not [5]. These results suggest that skewed chromosome X inactivation may protect the brain from damage [14]. An explanation for this phenomenon could come from a study of Wu et al. Brain vasculature derives from a few progenitor cells reaching the CNS after X chromosome inactivation. The number of endothelial progenitor cells harboring the NEMO mutation in the inactivated X chromosome varies between individuals, explaining the variability in neurological symptoms among IP patients. After CNS invasion, the founder cells clonally expand, leading to patchy areas of the brain with different specific X chromosomes inactivated [17]. Soon after birth, when the antiapoptotic function of NEMO is required, brain endothelial cells will die in areas in which the intact NEMO gene has been inactivated, leading to patchy cerebral ischemia. According to this concept, the surviving brain endothelial cells are the ones with an intact NEMO gene, providing a possible explanation for the low recurrency rate of strokes in IP patients [18]. Therefore, late X-chromosome inactivation and consecutive endothelial cell death may explain severe neurological lesions in “random” patients, while “skewed” patients, whose endothelial cell death may have occurred earlier during embryogenesis, are more likely to have normal MRIs [5].
Furthermore, the detected mutation (exon 4–10 deletion) is associated with skewed X inactivation in most of the female patients, while other hypomorphic mutations, determining mild or random X inactivation in females, allow even hemizygous male fetuses to be viable [19]. Indeed, our child presented random X inactivation.
Ophthalmological issues in IP are as common as CNS anomalies. They include visual defects, retinopathy and retinal detachment [10]. Our case showed bilateral retinal detachment with consequent nearly complete blindness. The severity of ocular involvement blends well with the grievous cutaneous and neurological picture, once again supporting the hypothesis that random X inactivation could lead to a more severe form of IP.
Finally, other manifestations of IP embrace alopecia, hypertrichosis, onychodystrophy, recurrent infections, and syndactyly of fingers or toes [3]. Our patient presented an area of ACC along the scalp, initially mimicking alopecia. ACC is a heterogeneous group of disorders that show localized or widespread areas of complete absence of all skin layers, occasionally extending to the bone or dura. The disorder is seen most frequently on the scalp, often as a solitary lesion without other anomalies but it may occur in the presence of chromosomal abnormalities, ectodermal dysplasia, or other syndromes [20]. ACC occurring in a patient affected by IP has never been documented before, probably due to the rarity of both conditions. ACC could represent another disease manifestation involving a tissue with neuroectodermal origin, like teeth, eyes and CNS. It is possible that some of the scalp lesions reported in the literature could be areas of ACC misdiagnosed as late stage alopecia. Indeed, Nagai et al. recently reported a Japanese female infant affected by IP with an area of alopecia clinically resembling ACC [21].
Conclusions
We described a male patient affected by IP, Klinefelter syndrome, and ACC, whose X chromosome had become randomly inactivated, similarly to what might be expected in a non-skewed female patient and according to the severity of involvement of the affected tissues (skin, CNS, and retina). Indeed, when discussing current knowledge about the etiopathogenesis of incontinentia pigmenti skin and brain lesions, our case seems to support the proapoptotic origin of CNS involvement. Possibly, incontinentia pigmenti patients suffer an impaired protection against apoptosis at the level of the cerebral endothelial cells of the small vessels, leading to vascular damage and subsequent ischemic brain lesions. Further studies involving the role of inflammation and apoptosis in the skin and neurological phenotype in these patients are needed to elucidate the precise pathophysiological mechanism linking skin with CNS manifestations.
Acknowledgements
The authors would like to thank Simone Caravello for his contribution.
Funding
No funding or sponsorship was received for this case report or publication of this article.
Authorship
All named authors meet the International Committee of Medical Journal Editors (ICMJE) criteria for authorship for this article, take responsibility for the integrity of the work as a whole, and have given their approval for this version to be published.
The figures contained in this article are original and have been produced by the authors for this particular publication. All the authors consent for publication.
Disclosures
Ruggero Moro, Antonella Fabiano, Jacopo Cardinale, Giovanni Palumbo, Silvia Giliani, Gaetana Lanzi, Francesca Antonelli, Micaela De Simone, Paola Martelli, Elisa Fazzi, Lorenzo Pinelli and Giulio Gualdi have nothing to disclose. Piergiacomo Calzavara-Pinton is a member of the journal’s Editorial Board.
Compliance with Ethics Guidelines
This case report was conducted according to the principles of good clinical practice guidelines ICH GCP and according to the ethical principles of the Declaration of Helsinki. The parents of the patient gave written permission to consent to publication of the information and images contained in this article.
Footnotes
Enhanced Digital Features
To view enhanced digital features for this article go to 10.6084/m9.figshare.9959900.
References
- 1.Kenwrick S, Woffendin H, Jakins T, et al. International IP Consortium: survival of male patients with incontinentia pigmenti carrying a lethal mutation can be explained by somatic mosaicism or Klinefelter syndrome. Am J Hum Genet. 2001;69:1210–1217. doi: 10.1086/324591. [DOI] [PMC free article] [PubMed] [Google Scholar]
- 2.Prevalence of rare diseases: Bibliographic data Orphanet Report Series, Rare Diseases collection, January 2019, Number 1: Diseases listed in alphabetical order. http://www.orpha.net/orphacom/cahiers/docs/GB/Prevalence_of_rare_diseases_by_diseases.pdf
- 3.Fusco, et al. Incontinentia pigmenti: report on data from 2000 to 2013. Orphanet J Rare Dis. 2014;9:93. doi: 10.1186/1750-1172-9-93. [DOI] [PMC free article] [PubMed] [Google Scholar]
- 4.Smahi A, Courtois G, Vabres P, et al. Genomic rearrangement in NEMO impairs NF-kappaB activation and is a cause of incontinentia pigmenti. International Incontinentia Pigmenti (IP) Consortium. Nature. 2000;405:466–472. doi: 10.1038/35013114. [DOI] [PubMed] [Google Scholar]
- 5.Dangouloff-Ros V, Hadj-Rabia S, Oliveira Santos J, et al. Severe neuroimaging anomalies are usually associated with random X inactivation in leucocytes circulating DNA in X-linked dominant incontinentia pigmenti. Mol Genet Metab. 2017;122(3):140–144. doi: 10.1016/j.ymgme.2017.07.001. [DOI] [PubMed] [Google Scholar]
- 6.Van Antwerp DJ, Martin SJ, Kafri T, et al. Suppression of TNF-alpha-induced apoptosis by NF-kappaB. Science. 1996;274(5288):787–789. doi: 10.1126/science.274.5288.787. [DOI] [PubMed] [Google Scholar]
- 7.Jefferson J, Grossberg A. Incontinentia pigmenti coxsackium. Pediatr Dermatol. 2016;33(5):e280–e281. doi: 10.1111/pde.12926. [DOI] [PubMed] [Google Scholar]
- 8.Alikhan A, Lee AD, Swing D, et al. Vaccination as a probable cause of incontinentia pigmenti reactivation. Pediatr Dermatol. 2010;27:62–64. doi: 10.1111/j.1525-1470.2009.01047.x. [DOI] [PubMed] [Google Scholar]
- 9.Landy SJ, Donnai D. Incontinentia pigmenti (Bloch-Sulzberger syndrome) J Med Genet. 1993;30:53–59. doi: 10.1136/jmg.30.1.53. [DOI] [PMC free article] [PubMed] [Google Scholar]
- 10.Goldberg MF. The skin is not the predominant problem in incontinentia pigmenti. Arch Dermatol. 2004;140:748–750. doi: 10.1001/archderm.140.6.748. [DOI] [PubMed] [Google Scholar]
- 11.Tomotaki S, Shibasaki J, Yunoki Y, et al. Effectiveness of corticosteroid therapy for acute neurological symptoms in incontinentia pigmenti. Pediatr Neurol. 2016;56:55–58. doi: 10.1016/j.pediatrneurol.2015.12.002. [DOI] [PubMed] [Google Scholar]
- 12.Meuwissen ME, Mancini GM. Neurological findings in incontinentia pigmenti; a review. Eur J Med Genet. 2012;55:323–331. doi: 10.1016/j.ejmg.2012.04.007. [DOI] [PubMed] [Google Scholar]
- 13.Shuper A, Bryan RN, Singer HS. Destructive encephalopathy in incontinentia pigmenti: a primary disorder? Pediatr Neurol. 1990;6(2):137–140. doi: 10.1016/0887-8994(90)90049-7. [DOI] [PubMed] [Google Scholar]
- 14.Müller K, Courtois G, Ursini MV, et al. New insight into the pathogenesis of cerebral small-vessel diseases. Stroke. 2017;48(2):520–527. doi: 10.1161/STROKEAHA.116.012888. [DOI] [PubMed] [Google Scholar]
- 15.Smahi A, Courtois G, Rabia SH, et al. The NF-kappaB signalling pathway in human diseases: from incontinentia pigmenti to ectodermal dysplasias and immune-deficiency syndromes. Hum Mol Genet. 2002;11(20):2371–2375. doi: 10.1093/hmg/11.20.2371. [DOI] [PubMed] [Google Scholar]
- 16.Jean-Baptiste S, O’Toole EA, Chen M, et al. Expression of eotaxin, an eosinophil-selective chemokine, parallels eosinophil accumulation in the vesiculobullous stage of incontinentia pigmenti. Clin Exp Immunol. 2002;127(3):470–478. doi: 10.1046/j.1365-2249.2002.01755.x. [DOI] [PMC free article] [PubMed] [Google Scholar]
- 17.Wu H, Luo J, Yu H, Rattner A, et al. Cellular resolution maps of X chromosome inactivation: implications for neural development, function, and disease. Neuron. 2014;81:103–119. doi: 10.1016/j.neuron.2013.10.051. [DOI] [PMC free article] [PubMed] [Google Scholar]
- 18.Cartwright MS, White DL, Miller LM, 3rd, et al. Recurrent stroke in a child with incontinentia pigmenti. J Child Neurol. 2009;24:603–605. doi: 10.1177/0883073808327835. [DOI] [PubMed] [Google Scholar]
- 19.Aradhya S, Courtois G, Rajkovic A, et al. Atypical forms of incontinentia pigmenti in male individuals result from mutations of a cytosine tract in exon 10 of NEMO (IKK-gamma) Am J Hum Genet. 2001;68(3):765–771. doi: 10.1086/318806. [DOI] [PMC free article] [PubMed] [Google Scholar]
- 20.Frieden IJ. Aplasia cutis congenita: a clinical review and proposal for classification. J Am Acad Dermatol. 1986;14(4):646–660. doi: 10.1016/S0190-9622(86)70082-0. [DOI] [PubMed] [Google Scholar]
- 21.Li M, Higashi N, Nakano H, et al. Incontinentia pigmenti in a Japanese female infant with a novel frame-shift mutation in the IKBKG gene. J Dermatol. 2019;46(1):e26–e28. doi: 10.1111/1346-8138.14519. [DOI] [PubMed] [Google Scholar]
