Abstract
Background
Gain-of-function mutations in KIT are driver events of oncogenesis in mast cell tumours (MCTs) affecting companion animals. Somatic mutations of KIT determine the constitutive activation of the tyrosine kinase receptor leading to a worse prognosis and a shorter survival time than MCTs harbouring wild-type KIT. However, canine MCTs carrying KIT somatic mutations generally respond well to tyrosine kinase inhibitors; hence their presence represents a predictor of treatment effectiveness, and its detection allows implementing a stratified medical approach. Despite this, veterinary oncologists experience treatment failures, even with targeted therapies whose cause cannot be elucidated. The first case of an MCT-affected dog caused by a secondary mutation in the tyrosine kinase domain responsible for resistance has recently been reported. The knowledge of this and all the other mutations responsible for resistance would allow the effective bedside implementation of a deeply stratified and more effective medical approach.
Case presentation
The second case of a canine MCT carrying a different resistance mutation is herein described. The case was characterised by aggressive behaviour and early metastasis unresponsive to both vinblastine- and masitinib-based treatments. Molecular profiling of the tumoural masses revealed two different mutations; other than the already known activating mutation p.Asn508Ile in KIT exon 9, which is tyrosine kinase inhibitor-sensitive, a nearly adjacent secondary missense mutation, p.Ala510Val, which had never before been described, was detected. In vitro transfection experiments showed that the secondary mutation did not cause the constitutive activation by itself but played a role in conferring resistance to masitinib.
Conclusions
This study highlighted the importance of the accurate molecular profiling of an MCT in order to improve understanding of the molecular mechanism underlying tumourigenesis and reveal chemoresistance in MCTs for more effective therapies. The detection of the somatic mutations responsible for resistance should be included in the molecular screening of MCTs, and a systematic analysis of all the cases characterised by unexpected refractoriness to therapies should be investigated in depth at both the genetic and the phenotypic level.
Keywords: Dogs, KIT, Mast cell tumours, Resistance, Somatic mutation
Background
Gain-of-function mutations in KIT are driver events of oncogenesis in mast cell tumours (MCTs) and gastrointestinal stromal tumours (GISTs) affecting companion animals [1–8]. Evidence has been accumulating which has demonstrated that acquired somatic mutations of KIT determine the constitutive activation of the tyrosine kinase receptor, causing a worse prognosis and a shorter survival time than MCTs harbouring wild-type KIT [9–14]. Activating mutations in canine MCTs have been reported in exons 8 and 9 (encompassing the outer immunoglobulin-like domains which interact with the stem cell factor [SCF] ligand), in exon 11 (encompassing the juxtamembrane domain involved in the signal transduction) and in exon 17 (which codes a tyrosine kinase domain) [1, 2, 5, 7, 12].
Imatinib mesylate is the archetypal molecule of class III tyrosine kinase inhibitors (TKIs), receiving market approval for the treatment of certain types of haematological malignancies carrying KIT mutations in humans. Since its approval, imatinib has changed the paradigm of cancer treatment due to its outstanding efficacy and relative safety. However, after a few years of worldwide use, it became increasingly evident that the use of imatinib over time was associated with the occurrence of secondary resistance [15]. The mechanisms of secondary resistance against TKIs encompass point mutations in the kinase domains, gene amplification and/or overexpression, overproduction of P-glycoprotein, inhibition of the transporter responsible for the uptake of imatinib into cells, and constitutive activation of the downstream signal transduction of receptor tyrosine kinases [16–21]. Of these, point mutations occurring in the kinase domains are the most frequently reported in humans; the latter evidence, i.e. mutations in exons 14 and 17, has also been described in cell lines derived from canine MCTs and, recently, in an MCT-affected dog [22–24].
The case of a French bulldog affected by an aggressive and unresponsive form of MCT carrying the activating mutation of exon 9, p.Asn508Ile (c.1523A > T), and a secondary mutation very close to the previous one, KIT p.Ala510Val (c.1529C > T) which conferred resistance to masitinib is herein reported for the first time.
Case presentation
Ethical statement
This study did not require official or institutional ethical approval as it was not experimental. The animals were handled according to good ethical standards and European Union legislation. The dog in this study was examined with the written consent of their owner. The aim was to identify the cause of the disease and thereby improve the animal welfare.
Case description
A 6 year-old, intact male French bulldog was examined by its veterinary practitioner for the presence of two rapidly growing subcutaneous masses in the lumbar region. During the clinical examination, abdominal palpation revealed a large abdominal mass. Ultrasound imaging confirmed the presence of a large mass arising from the left kidney. The two cutaneous masses were surgically removed by conventional surgery. The renal mass was biopsied with an 18 Gauge sheathed needle (Tru-Cut) / automatic biopsy gun under real-time ultrasound guidance. A high-grade mast cell tumour with renal metastasis was diagnosed, and treatment with vinblastine and cortisone was promptly instituted. In the meantime, the cutaneous samples also underwent KIT mutation analysis. Eventually, the findings of the activating mutation p.Asn508Ile supported the decision to abandon the current treatment with vinblastine, which had not shown any improvement, and to start treatment with masitinib (Masivet, [AB Science] 150 mg, 12.5 mg/kg, once daily). Regrettably, no effective reduction in the masses was noted. One month later, the dog’s clinical condition worsened and the owners elected for humane euthanasia. Necropsy was declined by the owners.
Histology and immunohistochemical staining
Formalin-fixed samples underwent histological and immunohistochemical examination. Paraffin sections of each sample were stained with hematoxylin and eosin (HE) and toluidine blue (tolonium chloride), and were immunolabeled using antibodies specific for the detection of the CD117 antigen coded by the KIT gene according to standard protocols. Immunolabeling was carried out retrospectively and was monitored by an external control represented by a normal dog skin sample.
Mutational analysis
Genomic DNA purification
The genomic DNA (gDNA) was purified from formalin-fixed paraffin-embedded (FFPE) tissue specimens of both cutaneous samples and renal masses using a Maxwell® FFPE Plus DNA Kit run on the Maxwell® RSC 48 Instrument (Promega, Milan, Italy) according to the manufacturer’s instructions. The renal sample was examined retrospectively.
PCR
Briefly, the polymerase chain reaction (PCR) protocols for amplifying exon 9 consisted of Phusion polymerase (Thermo Scientific) 0.4u, HF buffer 1X, deoxyribonucleotide triphosphates (dNTPs) 200 μM each, additional Mg 0.25 mM, 500 nM each forward (5′ ACTCGTCTCTGTCACCGTCTGGAA 3′) and reverse (5’ATGGCAGGCAGAGCCTAAACATCC 3′) primers, 1 μL of template DNA and water molecular grade reagent up to 25 μL. The amplification program consisted of 98 °C for 30 s, followed by 40 cycles involving denaturation at 98 °C for 10 s, annealing at 69 °C for 10s and extension at 72 °C for 10 s.
DHPLC and sequencing
The KIT Exon 9 PCR amplicon was run on an automated denaturing high-performance liquid chromotography (DHPLC) apparatus (WAVE DHPLC system, ADS Biotec Limited) equipped with a proprietary column (DNASep, Transgenenomic). Elutions were carried out with a mixture of Buffer A (0.1 mol/L triethylammonium acetate–TEAA) and Buffer B (0.1 mol/L TEAA, 25% acetonitrile). The amplicons were run at two different partially-denaturing temperatures of 56.3 °C and 57.8 °C used for the DHPLC screening of the entire exon 9, including the p.Asp508Ile mutation as previously reported [25]. The data analysis was carried out using Navigator software, (ADS Biotec Limited). The PCR products were then purified using ExoSAP-IT PCR Product Clean-Up kit, and forward and reverse direct sequenced using Big-Dye terminator chemistry, additionally purified with Centri-Sep columns (Life Technologies, Monza, Italy) and electrophoresed on an ABI Prism 310 automated sequencer.
Cell line
The cell line, HEK293 cells which are human embryonic kidney cells which are easy to transfect, was kindly provided by Dr. Tanaka, Nippon Veterinary and Life Science University, Japan. The HEK293 cells were maintained in complete Dulbecco’s modified Eagle’s medium (cDMEM) (Life Technologies, Monza, Italy) supplemented with 10% fetal calf serum (Nippon Bio-Supply), 50 U/mL penicillin (Life Technologies, Monza, Italy), and 50 μg/mL streptomycin (Life Technologies, Monza, Italy) in a humidified incubator at 37 °C under 5% CO2.
Analysis of the phosphorylation status of KIT and mutant KIT in HEK293 cells
The phosphorylation status of both KIT and mutant KIT were analysed as described previously [24].
Briefly, using mammalian expression vector pcDNA3.1 containing wild-type KIT derived from normal canine peripheral blood mononuclear cells, the variations c.1523A > T and/or c.1529C > T were inserted using a site-directed mutagenesis kit (PrimeSTAR Mutagenesis Basal Kit, Takara). The HEK293 cells suspended in cDMEM were plated in a six-well plate and cultured for 24 h. The KIT expression vectors encoding KIT carrying c.1523A > T, c.1529C > T or c.1523A > T plus c.1529C > T mutations were then transiently transfected into the HEK293 cells using polyethylenimine MAX (Polyscienses) according to the manufacturer’s protocol. After transfection, the HEK293 cells were cultured for another 8 h and were then serum starved for 16 h. The HEK293 cells were then additionally cultured with masitinib in order to study the tyrosine kinase inhibition (ChemScene; 0–10 μM) for 90 min. The cells were then lysed, and the aliquots underwent Western blotting using the following antibodies: polyclonal rabbit anti-human CD117 antibody (Dako) or monoclonal rabbit anti-human phosho-c-Kit (Tyr703) antibody (Cell Signaling), followed by horseradish peroxidase-conjugated donkey anti-rabbit immunoglobulin G whole antibody (GE Healthcare). The immunoreactive bands were visualised using an enhanced chemiluminescence system (GE Healthcare) and the LAS-4000 (Fujifilm). The band intensities were semi-quantified using ImageQuant TL software (Fujifilm), and signal levels for phosphorylated KIT were normalised to the levels of KIT expression.
Discussion and conclusions
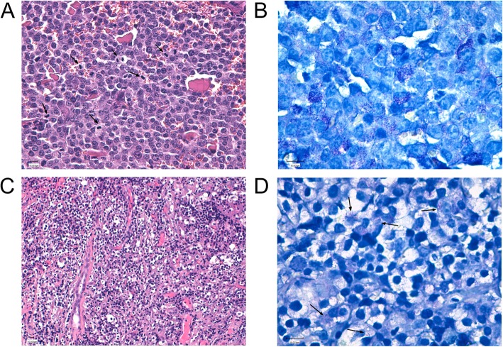
In stratified (also referred to as individualised or precision) medicine, a precise tailored characterisation of tumours is essential for accurate patient management. A case of aggressive and rapidly fatal cutaneous MCTs with renal metastasis was herein reported. Indeed, histological examination of the cutaneous masses revealed that they were composed of infiltrating dermo-hypodermal sheets of neoplastic cells mixed with eosinophils. The cells were well-delineated round cells with moderately abundant and slightly granular cytoplasm. The nuclei were round and central with one or two small nucleoli. Anisocytosis and anisocaryosis were notable, and the mitotic index was greater than 8 mitoses in 10 high power fields (Fig. 1a). Using toluidine blue staining, the neoplastic cell cytoplasm revealed large number of metachromatic granules (Fig. 1b). All these findings supported a diagnosis of two high-grade cutaneous mast cell tumours according to the Kiupel grading system [11]. Both cutaneous tumours showed similar profiles with cytoplasmic paranuclear staining and increased membranous staining in the majority of the neoplastic cells as compared to normal mast cells. In particular, the cytoplasmic localisation was rarely diffused and was most often in the form of a large paranuclear granular marking spot of reinforced intensity [4, 26, 27]. In the biopsies of the kidney mass, the tubules were atrophic, and the interstitium was markedly enlarged by fibrosis, and a mixed neutrophilic and lymphoplasmacytic infiltrate. In one sample, the interstitium was infiltrated by sheets of poorly defined round cells with pale slightly granular cytoplasm, marked cytonuclear atypia and some mitotic figures (Fig. 1c). Toluidine blue staining revealed inconspicuous but regular metachromatic granules in the cytoplasm of these cells, supporting the diagnosis of a metastatic mast cell tumour (Fig. 1d). Renal biopsy did not show mast cell infiltration significant enough to be evaluated with immunohistochemistry.
Fig. 1.
a Cutaneous mass HE × 200 Neoplastic round cells with numerous mitoses (arrows); b) Cutaneous mass Toluidine Blue × 400: numerous metachromatic granules in the cell cytoplasm; c) Renal biopsy: HEx200: Neoplastic round cells replacing the renal parenchyma (one residual tubule still visible); d) Renal biopsy: Toluidine Blue × 400: Regular inconspicuous metachromatic granulations (arrows)
High-grade MCTs respond variably to therapy, even if overall survival and progression-free survival are shorter than in low-grade MCTs [9, 11–14]. Furthermore, high-grade MCTs or those with KIT protein aberrant localisation (aberrant KIT protein localisation; KIT staining pattern II or III) are more likely to carry KIT mutations with respect to low-grade mutations [27]. As for humans, KIT mutation-driven MCTs have a worse prognosis, although they respond to TKIs better than wild-type MCT [4, 7, 11, 28, 29].
To refine the prognosis and to support TKI therapy, the MCT was investigated for KIT somatic mutations in exons 8,9,11, 14 and 17 using high sensitivity DHPLC mutational screening and a Genescanning assay followed by direct sanger sequencing [24]. To date, almost all activating somatic mutations in dogs have been described in these exons. Furthermore, the mutation responsible for resistance to the TKIs reported up to now [23] was also included in the analysis. The DHPLC screening detected mutations in exon 9 (Fig. 2a). The amplicon was sequenced using Sanger sequencing. Two mutations, i.e. p.Asn508Ile (c.1523A > T) and/or p.Ala510Val (c.1529C > T), were identified, the former being highly prevalent and the latter less prevalent than the previous one, based on the height of the corresponding peaks in sequencing chromatograms (Fig. 2b; Supp. Figure S1). The same finding was also identified in the renal sample demonstrating the clonal origin of the distant masses [30], interestingly signifying that the metastasis had occurred after the primary mass had already acquired the secondary mutation. Thereafter, the p.Asn508Ile (c.1523A > T) will be referred to as the primary mutation and p.Ala510Val (c.1529C > T) as the secondary mutation. The p.Asn508Ile has already been demonstrated to be an activating mutation, and MCTs carrying this mutation respond well to TKIs (imatinib) [10, 22, 31]. In this case, its presence clearly conflicted with the course of the disease and treatment response. An ongoing inherent resistance mechanism was hypothesised and investigated. Conversely, the missense mutation p.Ala510Val (c.1529C > T) has never been described until now. Thus the secondary mutation was additinally investigated, transfecting cell lines with expression vectors containing the wild-type or the variants [22].
Fig. 2.
a Denaturing high-performance liquid chromotography (DHPLC) chromatograms: the peak profile of the case presented herein; the peak with a retention time of 1.53 min. (black arrow) indicates the presence of a heteroduplex caused by the presence of the mutation (c.1529C > T). the x-axis indicates DHPLC elution time in minutes and the y-axis the DNA concentration as measured by optical density at 260 nm in arbitrary units. A: b) Sanger sequencing chromatogram from the reverse primer of the renal sample and c) of the cutaneous samples, both indicating the presence of the primary (c.1523A > T; empty arrow) and secondary (c.1529C > T; plain arrowhead) mutations. The different heights of the peaks are evident. Likewise, the same pattern of mutations indicates the clonal origin of the primary lesion and distant metastasis
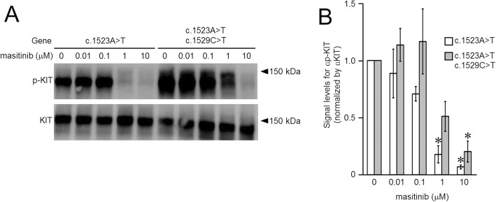
The KIT protein bearing the c.1523A > T mutation alone or along with the c.1529C > T mutation was found to display kinase activity, independent of ligand binding, as indicated by the phospho-KIT bands in Fig. 3. In addition, while phosphorylation of the mutant KIT with the primary mutation (c.1523A > T) was progressively suppressed with increasing concentrations of masitinib, and strong inhibition was observed at masitinib concentrations of 1 and 10 μM, the kinase activity of the double mutant was only suppressed at a masitinib concentration of 10 μM (Fig. 3). These findings revealed that the secondary mutation (c.1529C > T) conferred masitinib insensitivity to KIT. In fact, the maximum concentration (Cmax) of masitinib in dogs is 1.3–1.5 μM when given at an oral dose of 10 mg/kg, which is close to a clinical dose of 12.5 mg/kg [32]. The dose range setting (0, 0.1, 1, and 10 μM) used in this study covered plasma-achievable concentrations of masitinib in dogs. It is unlikely that a higher dose could have overcome the resistance but worth investigating further. Unfortunately, the dog in this study did not respond at all, when using either vinblastine or masitinib.
Fig. 3.
Western blot analysis: a) western blot appearance and b) semi-quantified data graphs of A (n = 3; three independent experiments). Phosphorylation of the dual mutant KIT was only suppressed at a masitinib concentration of 10 μM. * indicates significant difference (P < 0.01; Student t-test)
In humans, the majority of the kinase inhibitor-resistant mutations in receptor tyrosine kinases are located at the intracellular domain (e.g., KIT Asp816, PDGFR Asp842 or gate-keeper mutations). However, mutations in the extracellular domain may also cause resistance to kinase inhibitors (e.g., PDGFRA Tyr288Cys) [33]. In canine MCTs, the occurrence of secondary mutations responsible for TKI resistance following continuous exposure to TKIs has also been documented as a proof of concept in vitro and then also in vivo in a case of an MCT [22–24]. In particular, two studies have evaluated an MCT-derived cell line carrying the p.Asn508Ile mutation (c.1523A > T) which gave rise to an imatinib-resistant or toceranib-resistant subline carrying a secondary mutation in exon 14 (tyrosine kinase domain 1) at position Asn679Leu and in exon 17 (tyrosine kinase domain 2) at positions Asp815 (p.Asp815His, c.2443G > C), Asp819 (p. Asp819Val, c.2456A > T; p. Asp819Gly, c.2456A > G) of the protein [22, 24]. Furthermore, the first reported clinical case of resistance to imatinib carried an activating mutation in exon 11 and a secondary mutation c.2006C > T (p.Thr669Ile) in exon 14 which codes for tyrosine kinase domain 1 [23].
Toceranib is an alternative TKI approved for the treatment of MCT in dogs. Usually, MCTs with a KIT gene mutation respond well with an objective response rate of 60.0% [34] and it has recently been demonstrated that c.1523A > T mutation-driven constitutively activated MCTs are sensitive to toceranib [24]. Unfortunately, the dog was not treated with this TKI and the assessment of the full resistance pattern conferred by the secondary mutation herein described was beyond the aim of the study. However, the possibility that KIT resistance mutations might have a different rersistance pattern in different TKIs should be addressed in further studies. In this respect, addressing this issue could be of great aid in implementing strategies for targeting pre-existing resistant mutants or for preventing the development of resistance via genetic evolution.
In this study, it has additionally been confirmed that the existence of secondary somatic mutations of KIT in canine MCTs, is an ongoing mechanism of resistance to TKIs and that, more broadly, the mutations responsible for resistance could also occur in the extracellular domains of KIT. The mutations in the extracellular domains of KIT are driver- and kinase inhibitor-sensitive; however, this report demonstrated that this is not always true, and that, when using TKIs, the need to focus on the property of individual mutations rather than on the position of the mutation is warranted.
Unfortunately, the course of the disease was so rapid and the MCT so unresponsive that paired samples pre and post treatment could not be examined. In fact, the two mutations were found in the pre-therapy samples. Thus, it seemed that the somatic mutations were both pre-existing and not induced by the treatments, In fact, there may be several mechanisms for acquiring resistance by means of somatic mutations. It is a matter of controversy whether secondary mutations responsible for resistance pre-exist at very low levels and emerge as a consequence of the treatment [35–37] or whether they are induced by the treatment itself [38]. In veterinary medicine, Kobayasi et al. [22] and Kurita et al. [24] have demonstrated that prolonged exposure to TKIs induced the emergence of resistance by means of somatic mutations. Notably, it was herein shown that, in advanced highy aggressive tumours, somatic mutations responsible for resistance may already be present and have emerged before treatment.
Somatic mutations in KIT are usually found in a heterozygous state characterised by overlapping mixed peaks at a 1:1 ratio or less, depending on the frequency of the mutation or the number of normal cells infiltrating the tumour, among other factors. On the contrary, it is very rare to find somatic mutations almost entirely depicting the peak in the chromatogram which could only be interpreted as a homozygous or hemizygous variation [39, 40]. Notably, the p.Asn508Ile (c.1523A > T) variation had previously been demonstrated to ensue as a single allele [22] whereas, in the case herein reported, the almost complete substitution shown by the features of the c.1523A > T chromatogram peak supported the hypothesis that the variation occurred in homozygosis (two mutated alleles) or in hemizygosis (one mutated allele and one lost allele). These findings could be interpreted as secondary genetic instability events associated with the derangement of the DNA maintenance machinery in advanced neoplasia. In canine MCTs, very scarce information is available regarding zygosity in KIT mutations. However, in human GISTs, the topic of KIT zygosity has been investigated [39–44]. The hemizygous and homozygous KIT mutations were found to represent the minority of tumours, although the homo/hemizygosity was strongly associated with a malignant course and with metastatic disease [39–42]. In this case, the malignant course and metastatic disease could be explained by the presence of p.Asn508Ile in a homo- or a hemizygous state. A main drawback was that Sanger sequencing could not be used to ascertain the zygosity in cancer, and more accurate and reliable methods are warranted to aditionally confirm the prognostic importance of zygosity assessment in canine MCTs.
This case illustrated an archetypal situation for genotype driven targeted therapy. In fact, not all TKIs are equivalent or overseeded by the same resistance mutation and there is much evidence that different TKI molecules have a specific effectiveness profile [29, 31, 45, 46]. The tumour response to masitinib depends on the mutational profile of the individual tumour which may affect other TKIs differently [7, 29] e.g., the primary and secondary resistance profile may differ. In vitro toceranib was shown to favour the occurrence of resistance throughout the acquisition of secondary mutations involving the KIT tyrosine kinase domains [24]; no evidence exists that mutations in the extracellular domains may confer resistance to toceranib. Unfortunately, with few exceptions, these traits are not well defined in veterinary medicine. An unrivalled effort to better understand the peculiar features of each MCT in order to tailor individualised therapy represents the challenge for the future.
Supplementary information
Additional file 1. Schematic representation of the KIT exon 9 mutations p.Asn508Ile (c.1523A>T) and p.Ala510Val (c.1529C>T). Both wild type (upper) and mutated (bottom) nucleotide and amino-acidic sequences are indicated.
Acknowledgements
Not Applicable.
Abbreviations
- cDMEM
Complete Dulbecco’s modified Eagle’s medium
- DHPLC
Denaturing high-performance liquid chromotography
- dNTPs
Deoxyribonucleotide triphosphates
- GISTs
Gastrointestinal stromal tumours
- HE
Hematoxylin and eosin
- MCT
Mast cell tumours
- PCR
Polymerase chain reaction
- SCF
Stem cell factor
- TKI
Tyrosine kinase inhibitors
Authors’ contributions
FG: conceptualisation, contributed resources, supervision, methodology, and writing– original draft and has approved the submitted version and has agreed to be personally accountable for any part of the study. MET: contributed resources, acquisition, analysis and interpretation of data, and writing– original draft and has approved the submitted version and has agreed to be personally accountable for any part of the study. CD: acquisition, analysis and interpretation of data, and substantively revised the work and have approved the submitted version and have agreed to be personally accountable for any part of the study. MT: conceptualization, methodology, interpretation of data and substantively revised the study and has approved the submitted version and has agreed to be personally accountable for any part of the study. SK: acquisition, analysis and interpretation of data, and substantively revised the study and has approved the submitted version and has agreed to be personally accountable for any part of the study. MB: conceptualisation, contributed resources, supervision, methodology and interpretation of data, and writing– original draft and has approved the submitted version and has agreed to be personally accountable for any part of the study.
Funding
The study was supported by RFO grants from the University of Bologna.
MET and CD are affiliated at commercial laboratories carrying out veterinary testing. As such, these laboratories provided indirect financial support in the form of authors’ salaries and/or research materials. The funders had no role in study design, data collection and analysis, decision to publish, or preparation of the manuscript. The specific roles of these authors are articulated in the ‘author contributions’ section.
Availability of data and materials
The datasets used and/or analysed during the current study are available from the corresponding author by reasonable request.
Ethics approval and consent to participate
This study did not require official or institutional ethical approval as it was not experimental. The dog in this study was examined with the written consent of their owner who paid for the histological and molecular analysis. The aim was to identify the cause of the acquired disorder and thereby improve the animal welfare.
Consent for publication
The owner signed an informed consent form including the authorization to publish the data arising from this study.
Competing interests
MET and CD are affiliated with commercial laboratories carrying out veterinary testing. This does not alter our adherence to BMC vet res policies on sharing data and materials. There are no patent products in development or marketed products to declare.
Footnotes
Publisher’s Note
Springer Nature remains neutral with regard to jurisdictional claims in published maps and institutional affiliations.
Supplementary information
Supplementary information accompanies this paper at 10.1186/s12917-020-02284-9.
References
- 1.London CA, Galli SJ, Yuuki T, Hu ZQ, Helfand SC, Geissler EN. Spontaneous canine mast cell tumors express tandem duplications in the proto-oncogene c-kit. Exp Hematol. 1999;27:689–697. doi: 10.1016/S0301-472X(98)00075-7. [DOI] [PubMed] [Google Scholar]
- 2.Ma Y, Longley BJ, Wang X, Blount JL, Langley K, Caughey GH. Clustering of activating mutations in c-KIT’s juxtamembrane coding region in canine mast cell neoplasms. J Invest Dermatol. 1999;112:165–170. doi: 10.1046/j.1523-1747.1999.00488.x. [DOI] [PubMed] [Google Scholar]
- 3.Frost D, Lasota J, Miettinen M. Gastrointestinal stromal tumors and leiomyomas in the dog: a histopathologic immunohistochemical and molecular genetic study of 50 cases. Vet Pathol. 2003;40(1):42–54. doi: 10.1354/vp.40-1-42. [DOI] [PubMed] [Google Scholar]
- 4.Webster JD, Yuzbasiyan-Gurkan V, Kaneene JB, Miller R, Resau JH, Kiupel M. The role of c-KIT in tumorigenesis: evaluation in canine cutaneous mast cell tumors. Neoplasia. 2006;8:104–111. doi: 10.1593/neo.05622. [DOI] [PMC free article] [PubMed] [Google Scholar]
- 5.Letard S, Yang Y, Hanssens K, Moussy A, Kinet JP, Hermine O, et al. Gain-of-function mutations in the extracellular domain of KIT are common in canine mast cell tumors. Mol Cancer Res. 2008;6:1137–1145. doi: 10.1158/1541-7786.MCR-08-0067. [DOI] [PubMed] [Google Scholar]
- 6.Hayes S, Yuzbasiyan-Gurkan V, Gregory-Bryson E, Kiupel M. Classification of canine nonangiogenic nonlymphogenic gastrointestinal sarcomas based on microscopic immunohistochemical and molecular characteristics. Vet Pathol. 2013;50:779–788. doi: 10.1177/0300985813478211. [DOI] [PubMed] [Google Scholar]
- 7.Bonkobara M. Dysregulation of tyrosine kinases and use of imatinib in small animal practice. Vet J. 2015;205:180–188. doi: 10.1016/j.tvjl.2014.12.015. [DOI] [PubMed] [Google Scholar]
- 8.Takanosu M, Amano S, Kagawa Y. Analysis of c-KIT exon 11 mutations in canine gastrointestinal stromal tumours. Vet J. 2016;207:118–123. doi: 10.1016/j.tvjl.2015.10.051. [DOI] [PubMed] [Google Scholar]
- 9.Webster JD, Yuzbasiyan-Gurkan V, Thamm DH, Hamilton E, Kiupel M. Evaluation of prognostic markers for canine mast cell tumors treated with vinblastine and prednisone. BMC Vet Res. 2008;4:32. doi: 10.1186/1746-6148-4-32. [DOI] [PMC free article] [PubMed] [Google Scholar]
- 10.Takeuchi Y, Fujino Y, Watanabe M, Nakagawa T, Ohno K, Sasaki N, et al. Aberrant autophosphorylation of c-kit receptor in canine mast cell tumor cell lines. Vet Immunol Immunopathol. 2010;137:208–216. doi: 10.1016/j.vetimm.2010.05.009. [DOI] [PubMed] [Google Scholar]
- 11.Kiupel M, Webster JD, Bailey KL, Best S, DeLay J, Detrisac CJ, et al. Proposal of a 2-tier histologic grading system for canine cutaneous mast cell tumors to more accurately predict biological behavior. Vet Pathol. 2011;48:147–155. doi: 10.1177/0300985810386469. [DOI] [PMC free article] [PubMed] [Google Scholar]
- 12.Takeuchi Y, Fujino Y, Watanabe M, Takahashi M, Nakagawa T, Takeuchi A, et al. Validation of the prognostic value of histopathological grading or c-kit mutation in canine cutaneous mast cell tumours: a retrospective cohort study. Vet J. 2013;196:492–498. doi: 10.1016/j.tvjl.2012.11.018. [DOI] [PubMed] [Google Scholar]
- 13.Stefanello D, Buracco P, Sabattini S, Finotello R, Giudice C, Grieco V, et al. Comparison of 2- and 3-category histologic grading systems for predicting the presence of metastasis at the time of initial evaluation in dogs with cutaneous mast cell tumors: 386 cases (2009-2014) J Am Vet Med Assoc. 2015;246:765–769. doi: 10.2460/javma.246.7.765. [DOI] [PubMed] [Google Scholar]
- 14.Smith J, Kiupel M, Farrelly J, Cohen R, Olmsted G, Kirpensteijn J, et al. Recurrence rates and clinical outcome for dogs with grade II mast cell tumours with a low AgNOR count and Ki67 index treated with surgery alone. Vet Comp Oncol. 2017;15:36–45. doi: 10.1111/vco.12140. [DOI] [PubMed] [Google Scholar]
- 15.Ma Y, Zeng S, Metcalfe DD, Akin C, Dimitrijevic S, Butterfield JH, et al. The c-KIT mutation causing human mastocytosis is resistant to STI571 and other KIT kinase inhibitors; kinases with enzymatic site mutations show different inhibitor sensitivity profiles than wild-type kinases and those with regulatory-type mutations. Blood. 2002;99:1741–1744. doi: 10.1182/blood.V99.5.1741. [DOI] [PubMed] [Google Scholar]
- 16.Chen LL, Trent JC, Wu EF, Fuller GN, Ramdas L, Zhang W, et al. A missense mutation in KIT kinase domain 1 correlates with imatinib resistance in gastrointestinal stromal tumors. Cancer Res. 2004;64:5913–5919. doi: 10.1158/0008-5472.CAN-04-0085. [DOI] [PubMed] [Google Scholar]
- 17.Antonescu CR, Besmer P, Guo T, Arkun K, Hom G, Koryotowski B, et al. Acquired resistance to imatinib in gastrointestinal stromal tumor occurs through secondary gene mutation. Clin Cancer Res. 2005;11:4182–4190. doi: 10.1158/1078-0432.CCR-04-2245. [DOI] [PubMed] [Google Scholar]
- 18.Theou N, Gil S, Devocelle A, Julie C, Lavergne-Slove A, Beauchet A, et al. Multidrug resistance proteins in gastrointestinal stromal tumors: site-dependent expression and initial response to imatinib. Clin Cancer Res. 2005;11:7593–7598. doi: 10.1158/1078-0432.CCR-05-0710. [DOI] [PubMed] [Google Scholar]
- 19.Apperley JF. Part I: mechanisms of resistance to imatinib in chronic myeloid leukaemia. Lancet Oncol. 2007;8:1018–1029. doi: 10.1016/S1470-2045(07)70342-X. [DOI] [PubMed] [Google Scholar]
- 20.Mahadevan D, Cooke L, Riley C, Swart R, Simons B, Della Croce K, et al. A novel tyrosine kinase switch is a mechanism of imatinib resistance in gastrointestinal stromal tumors. Oncogene. 2007;26:3909–3919. doi: 10.1038/sj.onc.1210173. [DOI] [PubMed] [Google Scholar]
- 21.Nishida T, Kanda T, Nishitani A, Takahashi T, Nakajima K, Ishikawa T, et al. Secondary mutations in the kinase domain of the KIT gene are predominant in imatinib-resistant gastrointestinal stromal tumor. Cancer Sci. 2008;99:799–804. doi: 10.1111/j.1349-7006.2008.00727.x. [DOI] [PMC free article] [PubMed] [Google Scholar]
- 22.Kobayashi M, Kuroki S, Tanaka Y, Moriya Y, Kozutumi Y, Uehara Y, et al. Molecular changes associated with the development of resistance to imatinib in an imatinib-sensitive canine neoplastic mast cell line carrying a KIT c1523A>T mutation. Eur J Haematol. 2015;95:524–531. doi: 10.1111/ejh.12526. [DOI] [PubMed] [Google Scholar]
- 23.Nakano Y, Kobayashi M, Bonkobara M, Takanosu M. Identification of a secondary mutation in the KIT kinase domain correlated with imatinib-resistance in a canine mast cell tumor. Vet Immunol Immunopathol. 2017;188:84–88. doi: 10.1016/j.vetimm.2017.05.004. [DOI] [PubMed] [Google Scholar]
- 24.Kurita S, Miyamoto R, Tani H, Kobayashi M, Sasaki T, Tamura K, et al. Genetic alterations of KIT during clonal expansion and subsequent acquisition of resistance to toceranib in a canine mast cell tumor cell line. J Vet Pharmacol Ther. 2019;42:673–681. doi: 10.1111/jvp.12816. [DOI] [PubMed] [Google Scholar]
- 25.Gentilini F, Mantovani V, Turba ME. The use of COLD-PCR DHPLC and GeneScanning for the highly sensitive detection of c-KIT somatic mutations in canine mast cell tumours. Vet Comp Oncol. 2015;13:218–228. doi: 10.1111/vco.12039. [DOI] [PubMed] [Google Scholar]
- 26.Preziosi R, Morini M, Sarli G. Expression of the KIT protein (CD117) in primary cutaneous mast cell tumors of the dog. J Vet Diagn Investig. 2004;16:554–561. doi: 10.1177/104063870401600610. [DOI] [PubMed] [Google Scholar]
- 27.Webster JD, Yuzbasiyan-Gurkan V, Miller RA, Kaneene JB, Kiupel M. Cellular proliferation in canine cutaneous mast cell tumors: associations with c-KIT and its role in prognostication. Vet Pathol. 2007;44:298–308. doi: 10.1354/vp.44-3-298. [DOI] [PubMed] [Google Scholar]
- 28.Isotani M, Ishida N, Tominaga M, Tamura K, Yagihara H, Ochi S, et al. Effect of tyrosine kinase inhibition by imatinib mesylate on mast cell tumors in dogs. J Vet Intern Med. 2008;22:985–988. doi: 10.1111/j.1939-1676.2008.00132.x. [DOI] [PubMed] [Google Scholar]
- 29.Takeuchi Y, Fujino Y, Fukushima K, Watanabe M, Nakagawa T, Ohno K, et al. Biological effect of tyrosine kinase inhibitors on three canine mast cell tumor cell lines with various KIT statuses. J Vet Pharmacol Ther. 2012;35:97–104. doi: 10.1111/j.1365-2885.2011.01296.x. [DOI] [PubMed] [Google Scholar]
- 30.Zavodovskaya R, Chien MB, London CA. Use of kit internal tandem duplications to establish mast cell tumor clonality in 2 dogs. J Vet Intern Med. 2004;18:915–917. doi: 10.1111/j.1939-1676.2004.tb02644.x. [DOI] [PubMed] [Google Scholar]
- 31.Yamada O, Kobayashi M, Sugisaki O, Ishii N, Ito K, Kuroki S, et al. Imatinib elicited a favorable response in a dog with a mast cell tumor carrying a c-KIT c1523A>T mutation via suppression of constitutive KIT activation. Vet Immunol Immunopathol. 2011;142:101–106. doi: 10.1016/j.vetimm.2011.04.002. [DOI] [PubMed] [Google Scholar]
- 32.Hahn KA, Ogilvie G, Rusk T, Devauchelle P, Leblanc A, Legendre A, et al. Masitinib is safe and effective for the treatment of canine mast cell tumors. J Vet Intern Med. 2008;22:1301–1309. doi: 10.1111/j.1939-1676.2008.0190.x. [DOI] [PubMed] [Google Scholar]
- 33.Ip CK, Ng PK, Jeong KJ, Shao SH, Ju Z, Leonard PG, et al. Neomorphic PDGFRA extracellular domain driver mutations are resistant to PDGFRA targeted therapies. Nat Commun. 2018;9(1):4583. doi: 10.1038/s41467-018-06949-w. [DOI] [PMC free article] [PubMed] [Google Scholar]
- 34.London CA, Malpas PB, Wood-Follis SL, Boucher JF, Rusk AW, Rosenberg MP, et al. Multi-center, placebo-controlled, double-blind, randomized study of oral toceranib phosphate (SU11654), a receptor tyrosine kinase inhibitor, for the treatment of dogs with recurrent (either local or distant) mast cell tumor following surgical excision. Clin Cancer Res. 2009;15:3856–3865. doi: 10.1158/1078-0432.CCR-08-1860. [DOI] [PubMed] [Google Scholar]
- 35.Roche-Lestienne C, Soenen-Cornu V, Grardel-Duflos N, Laï JL, Philippe N, Facon T, et al. Several types of mutations of the Abl gene can be found in chronic myeloid leukemia patients resistant to STI571 and they can pre-exist to the onset of treatment. Blood. 2002;100:1014–1018. doi: 10.1182/blood.V100.3.1014. [DOI] [PubMed] [Google Scholar]
- 36.Kreuzer KA, Le Coutre P, Landt O, Na IK, Schwarz M, Schultheis K, et al. Preexistence and evolution of imatinib mesylate-resistant clones in chronic myelogenous leukemia detected by a PNA-based PCR clamping technique. Ann Hematol. 2003;82:284–289. doi: 10.1007/s00277-003-0644-y. [DOI] [PubMed] [Google Scholar]
- 37.Turke AB, Zejnullahu K, Wu YL, Song Y, Dias-Santagata D, Lifshits E, et al. Preexistence and clonal selection of MET amplification in EGFR mutant NSCLC. Cancer Cell. 2010;17:77–88. doi: 10.1016/j.ccr.2009.11.022. [DOI] [PMC free article] [PubMed] [Google Scholar]
- 38.Ricci C, Scappini B, Divoky V, Gatto S, Onida F, Verstovsek S, et al. Mutation in the ATP-binding pocket of the ABL kinase domain in an STI571-resistant BCR/ABL-positive cell line. Cancer Res. 2002;62:5995–5998. [PubMed] [Google Scholar]
- 39.Lasota J, vel Dobosz AJ, Wasag B, Wozniak A, Kraszewska E, Michej W, et al. Presence of homozygous KIT exon 11 mutations is strongly associated with malignant clinical behavior in gastrointestinal stromal tumors. Lab Investig. 2007;87:1029–1041. doi: 10.1038/labinvest.3700628. [DOI] [PubMed] [Google Scholar]
- 40.Chen LL, Holden JA, Choi H, Zhu J, Wu EF, Jones KA, et al. Evolution from heterozygous to homozygous KIT mutation in gastrointestinal stromal tumor correlates with the mechanism of mitotic nondisjunction and significant tumor progression. Mod Pathol. 2008;21:826–836. doi: 10.1038/modpathol.2008.46. [DOI] [PubMed] [Google Scholar]
- 41.Emile JF, Bachet JB, Tabone-Eglinger S, Terrier P, Vignault JM. GIST with homozygous KIT exon 11 mutations. Lab Investig. 2008;88:456–457. doi: 10.1038/labinvest.2008.13. [DOI] [PubMed] [Google Scholar]
- 42.Wallander ML, Willmore-Payne C, Layfield LJ. C-KIT and PDGFRA zygosity in gastrointestinal stromal tumors: correlation with tumor site tumor size exon and CD117 immunohistochemistry. Appl Immunohistochem Mol Morphol. 2011;19(1):21–27. doi: 10.1097/PAI.0b013e3181ec4f95. [DOI] [PubMed] [Google Scholar]
- 43.Bachet JB, Tabone-Eglinger S, Dessaux S, Besse A, Brahimi-Adouane S, Emile JF, et al. Gene expression patterns of hemizygous and heterozygous KIT mutations suggest distinct oncogenic pathways: a study in NIH3T3 cell lines and GIST samples. PLoS One. 2013;8:e61103. doi: 10.1371/journal.pone.0061103. [DOI] [PMC free article] [PubMed] [Google Scholar]
- 44.Xu CW, Lin S, Wang WL, Gao WB, Lv JY, Gao JS, et al. Analysis of mutation of the c-kit gene and PDGFRA in gastrointestinal stromal tumors. Exp Ther Med. 2015;10:1045–1051. doi: 10.3892/etm.2015.2613. [DOI] [PMC free article] [PubMed] [Google Scholar]
- 45.Heinrich MC, Maki RG, Corless CL, Antonescu CR, Harlow A, Griffith D, et al. Primary and secondary kinase genotypes correlate with the biological and clinical activity of sunitinib in imatinib-resistant gastrointestinal stromal tumor. J Clin Oncol. 2008;26:5352–5359. doi: 10.1200/JCO.2007.15.7461. [DOI] [PMC free article] [PubMed] [Google Scholar]
- 46.Peter B, Hadzijusufovic E, Blatt K, Gleixner KV, Pickl WF, Thaiwong T, et al. KIT polymorphisms and mutations determine responses of neoplastic mast cells to bafetinib (INNO-406) Exp Hematol. 2010;38:782–791. doi: 10.1016/j.exphem.2010.05.004. [DOI] [PubMed] [Google Scholar]
Associated Data
This section collects any data citations, data availability statements, or supplementary materials included in this article.
Supplementary Materials
Additional file 1. Schematic representation of the KIT exon 9 mutations p.Asn508Ile (c.1523A>T) and p.Ala510Val (c.1529C>T). Both wild type (upper) and mutated (bottom) nucleotide and amino-acidic sequences are indicated.
Data Availability Statement
The datasets used and/or analysed during the current study are available from the corresponding author by reasonable request.



