Abstract
Introduction
To explore the potential link between macular atrophy (MA) of the retinal pigment epithelium (RPE) in patients with neovascular age-related macular degeneration (nAMD) and anti-vascular endothelial growth factor (anti-VEGF) treatment.
Methods
Through a balanced overview of the field from a largely clinical perspective, we looked at available evidence on the topic of MA correlation with anti-VEGF therapy and examined possible risk factors for MA development in the context of nAMD treatment with anti-VEGF.
Results
Links have been reported to connect both MA incidence and progression to treatment frequency and to the anti-VEGF drug type.
Conclusions
All reports agree on the fact that de novo development of MA in anti-VEGF-treated eyes is frequent and multifactorial. Research data shows an expansion of atrophy during anti-VEGF treatment. There are mixed conclusions about the correlation of MA incidence or progression with treatment-related risk factors. It mostly appears that there is no straightforward link. More clinical research is still needed to further understand this association.
Keywords: Aflibercept, Anti-VEGF, Bevacizumab, Macular atrophy, Macular atrophy incidence, Macular atrophy progression, Neovascular age-related macular degeneration, Ranibizumab, Subfoveal choroidal thickness, Subretinal hyperreflective material
Key Summary Points
| De novo development of macular atrophy in anti-VEGF-treated eyes is frequent and multifactorial. |
| Research data shows an expansion of macular atrophy area during anti-VEGF treatment. |
| Links have been reported to connect both macular atrophy incidence and progression to treatment frequency and to the anti-VEGF drug type. |
| There are mixed conclusions about the correlation of macular atrophy incidence or progression with treatment-related risk factors. It mostly appears that there is no straightforward link. |
Introduction
Anti-vascular endothelial growth factor (anti-VEGF) therapy has revolutionized the treatment of neovascular age-related macular degeneration (nAMD), proving both effective and safe in improving visual and anatomic outcomes in patients with nAMD [1–9]. In current practice, almost all patients diagnosed with nAMD are treated with anti-VEGF therapy.
VEGFA is a key factor in the pathogenesis of nAMD, yet plays an important role also in maintaining a healthy retina.
Several retinal cell types produce VEGF, with the retinal pigment epithelium (RPE) being one of the major sources. VEGFA is considered a survival factor for retinal neurons and a critical neuroprotectant during the adaptive response to ischaemic injury [10]. VEGF is released by the retina and RPE in response to tissue hypoxia, and this leads to choroidal neovascularization (CNV) in nAMD [11, 12].
Milestone clinical trials have demonstrated efficacy in terms of improving visual acuity (VA) with regular intravitreal injections of bevacizumab, ranibizumab or aflibercept [1–9]. Aflibercept and ranibizumab were even found to protect the RPE against peroxidation through the modulation of NO release, apoptosis and autophagy [13].
The occurrence of macular atrophy (MA) in eyes treated for nAMD is a common cause of poor long-term visual function following initial short-term visual gains [14–16]. Although the actual cause of vision decline in eyes on long-term treatment with VEGF inhibitors is not known, data showed that atrophy in the macula was the most prominent chronic factor determining long-term vision [15, 17]. Both the presence of subfoveal atrophy and increased area of macular atrophy were associated with decreased best corrected visual acuity (BCVA), with the latter being the factor correlating most strongly with poor visual outcome [17].
There has been a growing concern that anti-VEGF therapy itself in eyes with nAMD may contribute to the development of new MA, and hence that excessive VEGF suppression could risk trading the consequences of neovascularization for the development of new MA. The hypothesized mechanisms are through counteracting physiological levels of VEGF which also has a neuroprotectant effect and/or excessive drying of the retina. Atrophic macular changes have been noted in the eyes of mice with genetically downregulated RPE-derived VEGF [18] and the deleterious effect of anti-VEGF drugs on VEGF production by RPE has been suspected in humans.
In this paper, we are offering a balanced overview of the field from a largely clinical perspective, aiming to provide an overview of available evidence on the topic of MA correlation with anti-VEGF therapy. The number of studies, clinical trials and papers exploring and investigating the potential correlation between anti-VEGF and MA is increasing. We have previously examined the possible risk factors reported for MA development in the context of nAMD treated with anti-VEGF, as well as possible potential protective factors [19]. In this paper, we examine again the data available about MA development in the context of nAMD treated with anti-VEGF, focusing, however, on the particular potential relation between anti-VEGF agents and MA.
The pathogenesis of atrophic areas developing in the macula in treated nAMD is unclear and may or may not be clinically distinguishable from geographic atrophy (GA) that develops in the setting of purely non-neovascular AMD (non-nAMD). We have hence adopted the term ‘macular atrophy’ (MA) in this article to refer to areas of atrophy within the macula of eyes with nAMD, as it serves the intended purpose without claiming that these lesions are similar to or different from GA of non-nAMD.
This article is based on previously conducted studies and does not contain any studies with human participants or animals performed by any of the authors.
Summary of Clinical Studies Reporting on MA
In a previous paper [19], we had reviewed the work of many clinical studies of significance that aimed to reach a better understanding of the possible aetiology and risk factors for developing de novo MA, and also for progression of MA. All reports agree on the fact that new MA development in anti-VEGF-treated eyes is frequent and multifactorial. We had previously described the methodology for the studies included in the review, and summarized their results. Table 1 similarly lists the main studies referred to in this paper.
Table 1.
Relevant studies of macular atrophy in nAMD eyes treated with anti-VEGF
| Treated, followed up eyes assessed for MA | Mean follow-up duration (months) | Study eyes naivety to treatment | Drug received in study eye during the study | Study design | Treatment protocol | Exclusions/limitations of relevance | Compared to control fellow eyes | All CNV types included? | Other considerations | ||
|---|---|---|---|---|---|---|---|---|---|---|---|
| Comparison of Age-related Macular Degeneration Treatments Trials | CATT (2 years) 2012 [20] | 1012 | 24 | Tx naive | B, R | Px | Study eyes randomized to (a) monthly treatment always, (b) 3 monthly treatments followed by PRN always, (c) monthly treatments for a year followed by PRN for 1 year | – | No | Yes | – |
| Grunwald et al. 2014 (for CATT 2 years) [14] | 1024 | 24 | Tx naive | Eyes with baseline MA were excluded | No | Yes | – | ||||
| Grunwald et al. 2015 (for CATT 2 years) [21] | 194 | 24 | Tx naive | Eyes with baseline subfoveal GA were excluded | No | Yes | – | ||||
| CATT (5 years) 2016 [22] | 515 | 66 | Tx naive | B, R, A, any other | Same 2-year protocol, followed by any protocol at clinician’s discretion for 3 years | – | No | Yes | – | ||
| Grunwald et al. 2016 (for CATT 5 years) [23] | 763 | 66 | Tx naive | B, R, A, any other | Same 2-year protocol, followed by any protocol at clinician’s discretion for 3 years | – | No | Yes | 763 eyes analysed for GA incidence, 214 eyes analysed for GA growth | ||
| The SEVEN Year Observational Update of Macular Degeneration Patients Post-MARINA/ANCHOR and HORIZON Trials | SEVEN-UP [15–17] | 58 | 88 | Mixed (non-naive eyes included) | B, R, PDT, steroid, laser | Px | Variable (monthly R for 2 years followed by PRN R for 2 years, followed by any treatment type/regimen deemed appropriate by treating clinician) | – | No | No RAP | – |
| Alternative treatments to Inhibit VEGF in Age-related choroidal Neovascularisation | IVAN [24, 25] | 596 | 24 | Tx naive | B, R | Px | Study eyes randomized to monthly treatments or PRN(3 monthly treatments followed by PRN) | – | No | Yes | – |
|
Bailey et al. 2019 (for IVAN) [26] |
594 | 24 | Tx naive | B, R | – | Yes, fellow eyes with nAMD | Yes | Intralesional MA | |||
| pHase III, double-masked, multicentre, randomized, Active treatment-controlled study of the efficacy and safety of 0.5 mg and 2.0 mg Ranibizumab administered monthly or on an as-needed Basis (PRN) in patients with subfoveal neOvasculaR age-related macular degeneration | Sadda et al. 2018 (for HARBOR) [27] | 893 | 24 | Tx naive | R | Px | Study eyes randomized to 0.5 mg or 2 mg, monthly treatments or PRN (3 monthly treatments followed by PRN) | Excluded eyes with subfoveal atrophy | Yes, fellow eyes with nAMD/non-nAMD | No RAP | Atrophy immediately within, adjacent and nonadjacent to CNV lesions (active or regressed) was included |
|
Rebhun et al. 2018 (for HARBOR) [28] |
28 | 24 | Tx naive | R | – | Fellow eyes with nAMD/non-nAMD | No RAP | All eyes had PED at baseline | |||
| Lois et al. 2013 [29] | 72 | 16 | § | R | Rx | Monthly-treatments till VA stable, then PRN | Eyes with RAP or PCV were excluded | No | No RAP | – | |
| Kumar et al. 2013 [30] | 124 | 35 | Non-naive | PDT, P, B, R, T, D | Rx | § | – | No | § | – | |
| Young et al. 2014 [31] | 258 | 26 | § | B, R | Rx | 3 monthly treatments then T&E | – | Yes, fellow eyes with non-nAMD | § | – | |
| Gillies et al. 2015 [32] | 131 | 78 | Tx naive | B, R, A | Rx | Mostly T&E | – | No | Yes | Among 42 eyes that lost ≥ 10 letters: 13 eyes were found to show central GA | |
| Schütze et al. 2015 [33] | 31 | 24 | Tx naive | R | Px | Monthly treatments in first year, then PRN | – | Yes, fellow eyes with non-nAMD | § | ||
| Tanaka et al. 2015 [34] | 81 | 59 | Tx naive | B, R | Rx | Monthly treatments till stable followed by PRN | – | Yes, fellow eyes with non-nAMD | § | – | |
| Cho et al. 2015 [35] | 43 | 24 | Tx naive | R | Rx | 3 monthly treatments followed by PRN | Excluded: eyes with type 1 & 2 CNV, eyes with baseline GA | No | No, RAP only | – | |
| Xu et al. 2015 [36] | 94 | 29 | Tx naive | B, R, A | Rx | T&E | Excluded central GA at baseline | No | Yes | PCV included | |
| Kuroda et al. 2016 [37] | 195 | 27 | Tx naive | R | Rx | 3 monthly treatments followed by PRN | RAP excluded | No | No RAP | PCV included | |
| Kuroda et al. 2017 [38] | 123 | 12 | Tx naive | A | Rx | 3 monthly treatments then bimonthly | RAP excluded | No | No RAP | PCV included | |
| Pan-American COllaborative REtina Study Group |
Arevalo et al. 2016 (for PACORES) [39] |
292 | 60 | Tx naive | B | Rx | Monthly treatment till stable followed by PRN | – | No | No RAP | – |
| Thavikulwat et al. 2016 [40] | 63 | 40 | Non-naive eyes included | R | Px | 4 monthly treatments followed by PRN | Excluded eyes with subfoveal GA | Yes, fellow non-nAMD & nAMD eyes | Yes | – | |
| Munk et al. 2016 [41] | 49 | 74 | § | R, A | Rx |
R 3 monthly treatments then PRN with mandatory quarterly injections, followed by R T&E and/or A T&E |
– | No | No | Sub- & juxtafoveal CNV, intra- & extralesional MA | |
| The phase IIIb, multicentre randomized controlled study of the safety, tolerability and efficacy of IVT 0.5 mg ranibizumab monthly compared to a TReat & EXtend Protocol in Patients with Wet Age-related Macular Degeneration |
Abdelfattah et al. 2017 (for TREX-AMD) [42] |
49 | 18 | Tx naive | R | Px | Study eyes randomized to monthly or 3 monthly treatments followed by T&E | – | Yes, fellow non-nAMD eyes | Yes | – |
|
Fan et al. 2018 (for TREX-AMD) [43] |
55 | 18 | Tx naive | R | – | Yes, non-nAMD fellow eyes | Yes | – | |||
| Wons et al. 2017 [44] | 118 | 36 | Non-naive eyes included | R, A | Rx | 3 monthly treatments then T&E: R or switched to A (from B/R) | – | No | No RAP |
CNV lesions were not included in the atrophy measurements Eyes treated with R all had CNV-independent RPE loss at baseline |
|
| Hata et al. 2017 [45] | 46 | 12 | Tx naive | R, A | Rx | R 3 monthly treatments then PRN, or A 3 monthly treatments then bimonthly | – | No | No, type 1 & type 2 CNV not included | RAP only | |
| Zarubina et al. 2017 [46] | 74 | 56 | Tx naive | B, R, A | Rx | T&E | Eyes with baseline MA/GA were excluded | No | Yes | ||
| Li et al. 2017 [47] | 79 | 48 | Tx naive | B, R, A | Rx | Inconsistent/variable | – | No | No RAP | No PCV | |
| Sitnilska et al. 2018 [48] | 52 | 64 | Tx naive | B, R, A | Px | R 3 monthly treatments then PRN for 2 years, then R/A/B PRN | Eyes with baseline MA were excluded | § | § | ||
| Age-Related Eye Disease Study 2 Report Number 15 |
Domalpally et al. 2018 (for the AREDS2) [49] |
334 | 48 | Tx naive | § | Rx | § | – | No | § | – |
| Mantel et al. 2018 [50] | 101 | 24 | Tx naive | R, A | Px | 2 identical separate studies for R & A: 3 monthly treatments followed by observe & plan (monthly observation, upon recurrence: treat and calculate the future treatment interval to be half a month shorter) | Eyes with no MA by end of study were excluded | Yes, fellow eyes with non-nAMD | Yes | No PCV | |
| Mantel et al. 2019 [51] | 149 | 24 | Tx naive | R, A | Px | 2 identical separate studies for R & A: 3 monthly treatments followed by observe & plan (monthly observation, upon recurrence: treat and calculate the future treatment interval to be half a month shorter) | Eyes with baseline MA were excluded | Yes, fellow eyes with non-nAMD | Yes | No PCV | |
| Wada et al. 2019 [52] | 150 | 60 | Tx naive | R, A | Rx | R 3 monthly treatments then PRN, some switched to A 3 monthly treatments followed by PRN | – | No | Yes | PCV included |
§ no data, A aflibercept, B bevacizumab, CNV choroidal neovascularization, D dexamethasone, GA geographic atrophy, IVT intravitreal, MA macular atrophy, nAMD neovascular age-related macular degeneration, P pegaptanib, PCV polypoidal choroidal vasculopathy, PDT photodynamic therapy, PED pigment epithelial detachment, PRN pro re nata (as needed), Px prospective, R ranibizumab, RAP retinal angiomatous proliferation, Rx retrospective, T triamcinolone, T&E treat and extend, Tx treatment
MA Detection and Assessment
The reviewed clinical studies have utilized quite varied imaging to detect and quantify MA. A recent proposition suggested Fourier-domain optic coherence tomography (OCT) as the reference standard imaging modality to diagnose and grade atrophy in the macula [53]. Other imaging modalities, including fundus autofluorescence (FAF), near-infrared reflectance (NIR), and colour fundus photography (CFP), amongst other modalities, were considered to provide complementary and confirmatory information, especially in cases where OCT alone may not be sufficient for diagnostic purposes.
Indeed, the evaluation of atrophic changes in an eye with nAMD, particularly within the boundaries of the nAMD lesion, can be challenging especially on CFP, and to some extent also on fundus fluorescein angiography (FFA), where the intraretinal and subretinal fluid, CNV and fibrosis can potentially alter the retinal morphological features. In the same sense, fibrosis, pigment epithelial detachments (PED) and pigmentary changes could interfere with the visibility of choroidal vessels and the clear determination of the boundaries of atrophy both within and outside the lesion.
Grading and quantifying atrophy on OCT also can be especially difficult in the presence of concurrent exudative disease process because intraretinal and subretinal fluid renders the new macular atrophy borders quite challenging to identify.
Moreover, image quality can also be an issue in such a cohort of older patients with poor vision.
Table 2 lists the imaging modalities and diagnostic criteria used in assessing macular atrophy in relevant studies of MA in nAMD eyes treated with anti-VEGF. Figures 1 and 2 illustrate MA on multimodal imaging.
Table 2.
Imaging modalities and criteria used in assessing macular atrophy in relevant studies of MA in nAMD eyes treated with anti-VEGF
| Study | Term used for atrophy in the macula | Atrophy detection criteria | MA assessing imaging modality | |||
|---|---|---|---|---|---|---|
| CFP/FFA | FAF | OCT | NIR/NIA | |||
| CATT [14, 20–23, 57, 58] | GA |
Presence of ≥ 1 patches, within the macular vascular arcades, ≥ 250 µm in maximum linear dimension, of partial/complete depigmentation on CFP that had ≥ 1 of these additional characteristics: sharply demarcated borders on CFP and/or FFA, visibility of underlying choroidal vessels, excavated or punched out appearance on stereoscopic CFP or FFA, or uniform hyperfluorescence bounded by sharp borders on late-phase FFA Areas meeting this definition surrounding a scar were not considered GA |
++ | − | − | − |
| SEVEN-UP [15–17] | MA | Definite decreased autofluorescence on FAF | − | ++ | − | − |
| IVAN [24, 25, 59] | GA | Area ≥ 175 µm in maximum linear dimension with ≥ 2 features on CFP (well-defined margins; visibility of underlying choroidal vessels; scalloped edges) and consistent finding on FFA (early hyperfluorescence persisting through the FFA sequence and fading in late images) | ++ | − | + | − |
|
Bailey et al. 2019 (for IVAN) [26] |
Intralesional MA, extralesional MA |
(A) For intralesional MA, presence of any of the following features: (1) CFP: an area of pallor ≥ 175 µm in maximum linear dimension with ≥ 2 relevant features: well-defined margins; visibility of underlying choroidal vessels; scalloped edges (2) FFA: early hyperfluorescence persisting through the FFA sequence sometimes fading in the late phase, with identifiable large choroidal vessels (3) OCT: choroidal hypertransmission and thinning/absence of the outer retinal layers. On higher-quality or higher-resolution scans, the following additional features of MA could be used: dipping of the photoreceptor nuclear layer toward the RPE–Bruch’s membrane complex, absence of photoreceptor inner and outer segments, thinning of RPE–Bruch’s membrane complex, and absence of the choriocapillaris profile (B) For extralesional MA: An area of pallor on CFP ≥ 175 µm in maximum linear dimension with ≥ 2 relevant features: well-defined margins; visibility of underlying choroidal vessels; scalloped edges |
++ | − | ++ | − |
| HARBOR [1, 27, 60–62] | MA | Sharply demarcated areas of RPE depigmentation with visibility of underlying choroidal vessels on CFP/FFA, ≥ 250 µm in diameter, corresponding to flat areas of well-demarcated staining on FFA | ++ | − | − | − |
| Rebhun et al. 2018 (for HARBOR) [28] | MA and Nascent MA (nMA) |
MA: An area > 250 µm of loss of the outer nuclear layer, ellipsoid zone, and RPE, with choroidal hypertransmission nMA: In the presence of an intact RPE, outer retinal changes of subsidence of both the outer plexiform layer and inner nuclear layer and/or a hyporeflective wedge-shaped band seen within the limits of the outer plexiform layer |
− | − | ++ | − |
| Lois et al. 2013 [29] | RPE atrophy | Reduced signal in both FAF and NIA of ≥ 0.05 mm2 not related to haemorrhage, exudation or thought to be caused by blockage of the FAF/NIA signal related to the CNV itself | − | ++ | − | ++ |
| Kumar et al. 2013 [30] | RPE loss | Areas of confluent absent autofluorescence ≥ 0.5 mm in greatest linear diameter. Only areas of abnormal autofluorescence within a circle centred on the macula defined by the superior and inferior temporal arcades were analysed; areas of peripapillary atrophy were not included | − | ++ | − | − |
| Young et al. 2014 [31] | RPE atrophy | RPE atrophy on OCT (without any minimum requirement) in areas within a 5-mm circle where RPE is absent or has lost integrity, along with choroidal hypertransmission | − | − | ++ | − |
| Gillies et al. 2015 [32] | GA | § | § | § | ++ | § |
| Schütze et al. 2015 [33] | Focal RPE atrophy and GA |
Using polarization-sensitive OCT-related algorithm, both GA and RPE atrophy other than GA (i.e. depigmented RPE without clearly defined boundaries) were defined Focal RPE atrophy: isolated atrophic regions in the RPE, not quantifiable as advanced GA by the segmentation algorithm GA: atrophic RPE lesions ≥ 0.1 mm2 |
− | + | ++ | − |
| Tanaka et al. 2015 [34] | GA of the RPE | An area of partial/complete RPE depigmentation, with thinning of the overlying neurosensory retina with the addition of ≥ 2 of the following (on CFP, and when available, red-free fundus photographs & FFA): roughly round/oval shape, sharp margins and visibility of underlying choroidal vessels | ++ | − | + | − |
| Cho et al. 2015 [35] | GA |
An area of hypopigmentation/hyperfluorescence of ≥ 250 µm at its minimum linear dimensions within the macular vascular arcades, which has ≥ 2 of the following: (1) circular shape, (2) sharply demarcated borders seen using CFP and/or FFA, and (3) visibility of underlying choroidal vessels with an “excavated or punched out” appearance on CFP stereoscopy and/or FFA Any GA lesions detected were confirmed by SD OCT findings of choroidal hypertransmission and RPE atrophic changes |
++ | − | ++ | − |
| Xu et al. 2015 [36] | GA | A brighter area on NIR of ≥ 250 µm in its maximum linear dimension, of variable shapes but sharp borders, with choroidal hypertransmission on OCT. FAF was used as an adjunct when available | − | + | ++ | ++ |
| Kuroda et al. 2016 & 2017 [37, 38] | RPE atrophy/MA | (1) Within the macular vascular arcade; (2) a roughly round/oval area of partial/complete RPE depigmentation, with thinning of the overlying neurosensory retina; (3) ≥ 250 µm in maximum linear dimension; (4) atrophic changes of RPE and photoreceptor layer with choroidal hypertransmission on OCT; and (5) ≥ 1 of the following additional characteristics: sharply demarcated borders, visibility of underlying choroidal vessels, or uniformly reduced autofluorescence with sharp borders on FAF | ++ | ++ | ++ | − |
|
Arevalo et al. 2016 (for PACORES) [39] |
GA | An area of hypopigmentation/hyperfluorescence of ≥ 200 µm in its minimum linear dimension and has the following characteristics: circular shape, sharp borders and visibility of choroidal vessels | ++ | − | − | − |
| Thavikulwat et al. 2016 [40] | GA | On FAF: a region of hypoautofluorescence ≥ 0.05 mm2 in an area located within the vascular arcades that remained present across subsequent images and corresponded to ≥ 1 of the following criteria: (1) sharp margins and visible large choroidal vessels on CFP; (2) sharp margins and uniform hyperfluorescence on FFA; (3) RPE and outer retinal loss on OCT | + | ++ | + | − |
| Munk et al. 2016 [41] | MA | Confluent hyperreflectivity with sharp margins on NIR together with corresponding choroidal hypertransmission, RPE absence, subsidence of the outer plexiform/Henle layer and loss of the ELM on SD-OCT | + | + | ++ | ++ |
|
Abdelfattah et al. 2017 (for TREX-AMD) [42] |
MA/RPE atrophy |
FAF: graded using Region Finder software NIR: used to aid in the assessment of the foveal centre OCT: presence of ≥ 2 criteria in an area ≥ 125 µm: choroidal hypertransmission, attenuation of the RPE band and collapse/loss of the outer retinal layers All imaging modalities were used to detect MA Quantification of atrophy was performed on the FAF image |
+ | ++ | + | + |
|
Fan et al. 2017 (for TREX-AMD) [43] |
MA |
Three criteria to be met on OCT: (1) a contiguous region of ≥ 125 µm of RPE attenuation(especially with an abrupt sharp step-down in thickness) (2) Loss of the overlying ellipsoid zone and external limiting membrane with thinning of the outer nuclear layer (3) Choroidal hypertransmission |
− | − | ++ | − |
| Wons et al. 2017 [44] | CNV-independent RPE loss | Area of choroidal hypertransmission on OCT of > 300 µm diameter in lesions without signs of suspected CNV on OCT, within the 20° × 15° scan frame. CNV lesions were not included in the atrophy measurements | − | − | ++ | − |
| Hata et al. 2017 [45] | RPE atrophy | (1) Within the macular vascular arcade; (2) a roughly round/oval area of partial/complete RPE depigmentation, with thinning of the overlying neurosensory retina; (3) > 250 µm in maximum linear dimension; (4) atrophic changes of RPE and photoreceptor layer with choroidal hypertransmission on OCT; and (5) ≥ 1 of the following additional characteristics: sharply demarcated borders, visibility of underlying choroidal vessels, or uniformly reduced autofluorescence with sharp borders on FAF | ++ | ++ | ++ | − |
| Zarubina et al. 2017 [46] | MA |
(1) NIR: A hyperreflective area with a sharp border ≥ 250 μm in maximum linear dimension, and (2) OCT: corresponding degeneration of RPE and outer retina with choroidal hypertransmission |
− | − | ++ | ++ |
| Li et al. 2017 [47] | MA | RPE subillumination analysis on OCT was used to automate identification of atrophy by segmenting regions of increased reflectivity in the choroidal layer on the B-scans and quantifying this area on the en face fundus images. Segmentation errors were manually corrected by trained graders. Three graders at first independently provided manual measurements of macular atrophy on OCT using stringent criteria that included disruption of the outer retina (RPE or ellipsoid zone loss) and choroidal hypertransmission | − | − | ++ | − |
| Sitnilska et al. 2018 [48] | MA/RPE atrophy |
On CFP: a sharply demarcated area of RPE depigmentation ≥ 175 μm with increased visibility of choroidal vessels On OCT: an area ≥ 175 μm of thinning of the RPE band with abrupt/sharp thickness loss and/or loss of overlying ellipsoid zone and external limiting membrane, accompanied by thinning or atrophy of the outer nuclear layer |
++ | − | ++ | + |
| Domalpally et al. 2018 [49] | RPE atrophy/GA |
On CFP: a minimum size of drusen 0.15 mm2 and ≥ 2 of the following criteria: roughly round or oval shape, sharp margins and visibility of underlying large choroidal vessels On FAF: a uniform region of well-defined homogeneous darkness with a minimum size of drusen 0.15 mm2 Hypoautofluorescence on FAF was designated as atrophy only if the CFP had atrophy in the corresponding area and there was an absence of pathologic changes that could cause blocked autofluorescence, such as blood, fibrosis, hard exudates and new CNV |
++ | ++ | − | − |
| Mantel et al. 2018 & 2019 [50, 51] | MA |
Dark zone ≥ 250 µm on FAF, with ≥ 1 of the following: increased visibility of the choroid on FFA/CFP, or sharply demarcated increased choroidal hypertransmission on OCT with absence of the RPE line Only FAF was use for area quantification |
++ | ++ | ++ | − |
| Wada et al. 2019 [52] | MA/GA | § | + | − | ++ | − |
++ used as main imaging modality, + used as auxiliary imaging modality, − imaging modality not used, § no data, CFP colour fundus photograph, CNV choroidal neovascularization, ELM external limiting membrane, FAF fundus autofluorescence, FFA fundus fluorescein angiography, GA geographic atrophy, MA macular atrophy, NIA near-infrared autofluorescence, NIR near-infrared reflectance, nMA nascent MA, OCT optical coherence tomography, RPE retinal pigment epithelium
Fig. 1.
Macula of right eye with nAMD at 17 months after starting treatment with anti-VEGF, when a total of 14 injections were received. a CFP showing MA areas of depigmentation with sharply demarcated curved borders and visibility of underlying choroidal vessels. b FAF showing areas of confluent reduced/absent autofluorescence, with sharp borders, corresponding to areas of MA on CFP. c OCT scan at level of corresponding horizontal green line on CFP image, showing loss of RPE band, ellipsoid zone and external limiting membrane, accompanied by thinning of the outer nuclear layer (yellow oval), and choroidal hypertransmission (thick yellow arrows) caused by RPE band loss. External limiting membrane (thin blue arrow) and ellipsoid zone (thin yellow arrow) end abruptly at the border of the area of complete RPE loss and outer retinal thinning
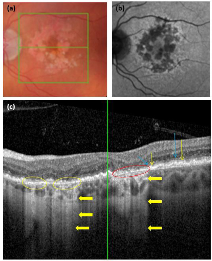
Fig. 2.
Fellow non-nAMD eye (left eye) of same patient in figure [1]. a CFP shows MA areas of depigmentation with sharply demarcated curved borders and visibility of underlying choroidal vessels. b FAF shows areas of confluent reduced/absent autofluorescence, with sharp borders, corresponding to areas of MA on CFP. c OCT scan at the level of the corresponding horizontal green line on CFP image, showing loss of RPE band, ellipsoid zone and external limiting membrane, accompanied by thinning of the outer nuclear layer (yellow ovals). Loss of RPE band, ellipsoid zone, external limiting membrane and outer nuclear layer are shown as well (red oval), in addition to choroidal hypertransmission (thick yellow arrows) caused by RPE band loss. External limiting membrane (long thin blue arrow) and ellipsoid zone (long thin yellow arrow) end abruptly at the border of the area of complete RPE loss and complete outer retinal atrophy (short thin blue and yellow arrows)
As displayed in Table 2, these studies have used various terms to label areas of atrophy within the macula of eyes with nAMD. The term ‘geographic atrophy’ (GA) has been applied inconsistently, especially in papers that are recording changes in atrophy related to nAMD and potentially its treatment as well. Other terminology included GA of the RPE, macular atrophy (MA), RPE atrophy and RPE loss.
Interestingly, the use of the new term ‘nascent macular atrophy’ (nMA) is arising. Nascent MA has been defined on the basis of the same OCT parameters for nascent GA (nGA) introduced previously [54, 55] as a series of structural changes in the outer retina on OCT B-scan in a patient with dry AMD that—in the presence of an apparently intact RPE—includes subsidence of both the outer plexiform layer (OPL) and inner nuclear layer (INL) and/or a hyporeflective wedge-shaped band within the OPL limits [28]. Nascent MA can be thought of as the potential precursor of MA, hence the emergence of such studies expanding their focus to include nMA in addition to MA.
The use of OCT as a main diagnostic tool for MA assessment is becoming increasingly significant with time. OCT allows not only detection of subtle and subclinical signs of MA and its potential precursors but also a better understanding of its extent. A good example of that is the finding that RPE atrophy and photoreceptor layer thinning are common not only in areas of macular atrophy but also in areas of fibrotic scarring in the macula. Furthermore, photoreceptor loss appears to extend beyond the boundaries of clinically detectable atrophy and fibrotic scars [56].
MA Incidence
A wide range of MA incidence rates have been reported (Table 3). Amongst a long list, discrepancies in protocols, inclusion/exclusion criteria, cohort sizes and diagnostic tools and criteria would render any direct comparison between these studies inadvisable. For some studies the expressed percentage was out of the group of study eyes that had no atrophy at the start of the study, whilst for others it was out of the whole cohort of study eyes. For some studies, eyes with baseline MA were excluded from either the analysis or from the whole study [14, 21, 27, 35, 36, 40, 46, 48, 51], others excluded eyes that did not develop MA by the end of the study [50], while the majority of the remaining reports included eyes with and without MA at baseline and also with and without MA at end of study.
Table 3.
MA incidence as reported by various clinical studies of macular atrophy in nAMD eyes treated with anti-VEGF
| Treated, followed up eyes assessed for MA | Percentage of total number of studied and followed up eyes | Notes | |||
|---|---|---|---|---|---|
| Eyes with no baseline MA (%) | Eyes developing new MA (%) | Total eyes showing MA (baseline & new) (%) | |||
| CATT (2 years) 2012 [20] | 1012 | 93 | 15 | 22 | |
| Grunwald et al. 2014 (for CATT 2 years) [14] | 1024 | 100 | 18 | 18 | |
| Grunwald et al. 2015 (for CATT 2 years) [21] | 194 | 93 | 13 | 20 | |
| CATT (5 years) 2016 [22] | 515 | § | § | 41 | |
| Grunwald et al. 2016 (for CATT 5 years) [23] | 763 | 89 | 34 | 45 | Study reported MA incidence rate of 39% out of analysed eyes with no baseline atrophy |
| SEVEN-UP [17] | 58 | § | § | 98 | |
| IVAN [24, 25] | 596 | ~ 93 | 30 | ~ 37 | |
| Bailey et al. 2019 (for IVAN) [26] | 594 | 90.4 | 21 | 31.5 | Percentages are of MA within the CNV lesion area (intralesional MA) |
| Sadda et al. 2018 (for HARBOR) [27] | 893 | 88 | 29 | 41 | Excluded eyes with subfoveal atrophy. Atrophy immediately within, adjacent and nonadjacent to CNV lesions was included |
| Rebhun et al. 2018 (for HARBOR) [28] | 28 | 96 | 46 | 50 | |
| Lois et al. 2013 [29] | 72 | 53 | 29 | 76 | |
| Kumar et al. 2013 [30] | 124 | 41 | 20 | 79 | |
| Young et al. 2014 [31] | 258 | 33 | 18 | 85 | |
| Gillies et al. 2015 [32] | 131 | § | § | 10 | Among 42 eyes that lost ≥ 10 letters: 13 eyes were found to show central GA |
| Schütze et al. 2015 [33] | 31 | 45 | 42 | 97 | Only considering focal RPE atrophy |
| Schütze et al. 2015 [33] | 31 | 100 | 61 | 61 | GA |
| Tanaka et al. 2015 [34] | 81 | 85 | 6 | 21 | |
| Cho et al. 2015 [35] | 43 | 100 | 37 | 37 | |
| Xu et al. 2015 [36] | 94 | 82 | 37 | 55 | |
| Kuroda et al. 2016 [37] | 195 | 95 | 5 | 10 | |
| Kuroda et al. 2017 [38] | 123 | 100 | 11 | 11 | |
|
Arevalo et al. 2016 (for PACORES) [39] |
292 | 84 | 26.5 | 42.5 | |
| Thavikulwat et al. 2016 [40] | 63 | 65 | 11 | 46 | |
| Munk et al. 2016 [41] | 49 | 55 | 29 | 74 | |
|
Abdelfattah et al. 2017 (for TREX-AMD) [42] |
49 | 57 | 12 | 55 | |
|
Fan et al. 2017 (for TREX-AMD) [43] |
55 | 58 | 11 | 53 | |
| Wons et al. 2017 [44] | 118 | § | § | 68 | CNV lesions were not included in the atrophy measurements. Eyes treated with R all had CNV-independent RPE loss at baseline |
| Hata et al. 2017 [45] | 46 | 89 | 33 | 43 | |
| Zarubina et al. 2017 [46] | 74 | 100 | 51 | 51 | |
| Li et al. 2017 [47] | 79 | 87 | 47 | 60 | |
| Sitnilska et al. 2018 [48] | 52 | 100 | 58 | 58 | |
| Domalpally et al. 2018 [49] | 334 | 59 | 15 | 56 | |
| Mantel et al. 2018 [50] | 101 | 62 | 62 | 100 | |
| Mantel et al. 2019 [51] | 149 | 100 | 42 | 42 | |
| Wada et al. 2019 [52] | 150 | 100 | 43 | 43 | |
§ insufficient/missing data or not reported, ~ approximately, MA macular atrophy, CNV choroidal neovascularization, GA geographic atrophy, RPE retinal pigment epithelium
CATT excluded eyes with baseline MA from the analysis [14], and so did others [35, 46, 48, 51], and in another report CATT excluded eyes with subfoveal GA at baseline [21], and others have followed as well [36, 40]. Again, Sadda et al. also excluded eyes with subfoveal atrophy at baseline, yet atrophy immediately within, adjacent and nonadjacent to CNV lesions (active or regressed) was included [27]. Some studies excluded eyes with RAP from analysis [17, 27–29, 37–39, 44, 47], whilst others only recruited eyes with RAP [35, 45]. Few studies included eyes with PCV in their analysis [36–38, 52]. Rebhun et al. purely looked into nAMD eyes with PED at baseline [28]. When measuring the area of MA, Wons et al. excluded the CNV lesion area from the calculations [44]. Bailey et al. only included eyes with MA within the CNV lesion area [26].
Among the original cohort of 1212 eyes, a group of 131 eyes finished the study, as reported by Gillies et al. Out of those, 42 eyes lost at least 10 letters, 13 eyes of which were found to show central GA. This figure has been misquoted as being an MA incidence of 37% [32].
SEVEN-UP [15–17], Kumar et al. [30], Thavikulwat et al. [40] and Wons et al. [44] all included treatment non-naive eyes. Also, SEVEN-UP [15–17] and Kumar et al. [30] included eyes that received photodynamic therapy, laser photocoagulation or steroid intravitreal treatments during the follow-up period.
The highest incidence of MA was reported by many to be early in the course of the study follow-up. The reported figures show that the highest MA incidence was within the first year of the study. Thavikulwat et al. [40], Sadda et al. [27], Li et al. [47] and Sitnilska et al. [48] reported percentages of MA incidence within the first year of 85%, 75%, 65% and 50%, respectively. Over a follow-up period of 4 years, Domalpally also noted that most new occurrences of MA were within the initial 2 years [49]. Furthermore, Abdelfattah et al. reported that MA enlargement rate was higher in year 1 compared to year 2 [63]. Contrary to these observations, only Cho et al. reported a mere 25% of new MA to occur within the first year while the remaining majority of 75% occurred in the second year [35].
Amidst the plethora of figures and rates reported on MA, and given the above, the reports can appear contradictory or at least create confusion. To facilitate a better understanding of the reported figures, and by using the relevant information in each published report whenever specified in sufficient detail, we have determined the percentages out of the total number of study eyes that have been assessed up till the mean follow-up duration specified, displayed in Table 3 as follows: eyes with no baseline MA, eyes developing new MA and the total number of eyes showing MA, both baseline and new.
Taking figures and results from all relevant studies into consideration, while expressing the percentages out of the total number of study eyes that have been assessed up till the mean follow-up duration, the mean percentage of eyes with no baseline MA was 80%, with a median of 89%. The mean percentage of MA incidence is 29%, which was also the median. The mean prevalence of MA by the end of the study was 50%, the median was 46%. For the studies included, the number of studied eyes that were treated and continuously followed up till the end of the mean follow-up period ranged between 28 and 1024 eyes, with a median of 118 eyes, and a mean cohort size of 242 eyes.
MA Progression
The change in total MA lesion area over time (mm2/year) is the most frequently used and accepted endpoint for assessing MA progression, yet this figure is sometimes presented after square-root transformation (mm/year). Square-root transformation reduces the influence of baseline atrophy area size on calculated growth rates as it particularly adjusts for baseline area and allows for linearization of growth rate [64], because areas grow exponentially and are proportionally related to their lesion radius. An MA area analysis without square-root transformation would therefore implicate a greater enlargement rate. Table 4 displays reported rates of MA progression.
CATT: At 2 years, MA growth rate was 0.43 mm/year. Despite the fact that most participants did not stay with their original treatment assignment during the 3 years after the end of the clinical trial, ranibizumab was still associated with a significantly higher MA growth rate than bevacizumab at 5 years. Growth rate did not differ between eyes treated monthly and PRN. Poor baseline VA, epiretinal membrane (ERM) and an extrafoveal location of CNV were each associated with a higher MA growth rate, as was the presence of a classic CNV. Atrophy progression was also correlated with progression of GA in the fellow eye [21]. Most of the aforementioned appeared again as risk factors by 5 years, where the reported atrophy growth rate decreased slightly to become 0.33 mm/year [23]. Occult CNV appeared to significantly reduce the progression of atrophy at 2 years, yet this did not have a persistently strong independent effect at 5 years. GA that develops away from the CNV had approximately half of the growth rate, suggesting that there may be significant differences between these two types of GA [23].
Young et al.: Progression of MA was higher in eyes with nAMD when compared to that of their fellow non-nAMD eyes. Older age, higher number of injections and treatment with bevacizumab were each correlated with a higher MA progression rate [31].
Thavikulwat et al.: Similar growth rates were demonstrated between study nAMD eyes and fellow non-nAMD eyes. Progression rate in study eyes with baseline GA was 0.34 ± 0.26 mm/year, and in study eyes with incident new GA was 0.19 ± 0.12 mm/year [40].
Schütze et al. reported that early RPE loss and GA progression was most significant during the initial intensive monthly treatment, and remained stable during PRN treatment that followed [33].
Lois et al: The number of injections received was statistically significantly associated with the progression of atrophy at follow-up. In 84% of the eyes in which there was progression of atrophy, no atrophy was detected at baseline [29].
Kuroda et al.: The mean overall progression rate of atrophy was 0.47 mm/year, ranging between 0.43 mm/year for pre-existing MA and 0.50 mm/year for newly developed cases [37].
Munk et al.: Mean MA growth was 0.30–0.40 mm2/year, and after square-root transformation it was 0.10–0.12 mm/year. A higher MA growth was observed in the presence of intraretinal cysts (IRCs), posterior vitreous detachment (PVD) and reticular pseudodrusen (RPD). The growth rate of the MA outside the CNV border was greater when administering aflibercept than ranibizumab [41].
Abdelfattah et al.: A higher growth rate of MA in the treat-and-extend (TREX) group was evident at all time points, compared to the monthly group [42]. The final analysis cohort included three groups: monthly, TREX and control fellow non-nAMD eyes. Mean progression rate of MA over 18 months was 0.39 mm2 (monthly group), 1.1 mm2 (TREX group) and 0.49 mm2 (control group). Mean growth rate per group among the patients with baseline MA was 0.9 mm2, 1.9 mm2, and 1 mm2, respectively [42].
Wons et al: Mean progression rate before switch to aflibercept was 0.30 mm2/year and 0.39 mm2/year after switch [44], which is similar to the average rate of progression in the work by Bhisitkul et al. in SEVEN-UP [17].
Hata et al.: Using square-root transformation, the RPE atrophy progression rate was 1.17 mm/year for eyes with newly developed RPE atrophy. The RPE atrophy growth rate was 1.11 mm/year for eyes treated with ranibizumab and 1.20 mm/year for eyes treated with aflibercept. Among baseline clinical factors, the progression rate of RPE atrophy was negatively correlated with subfoveal choroidal thickness (SCT) at baseline [45].
Mantel et al.: Mean atrophy surface area was 0.68 mm2 at baseline and increased to 3.01 mm2 by year 2. The mean square-root-transformed MA growth rate was 0.54 mm/year. This was 0.42 mm/year in eyes with baseline MA and 0.60 mm/year in eyes with incident MA. MA growth rate showed as significantly correlated with lower baseline visual acuities, PED (higher than 200 µm), MA growth rates in non-nAMD fellow eyes, and near-significantly with thicker subretinal tissue complexes (SHRM) and thinner subfoveal choroidal thickness. MA growth rate was not correlated with its location (intralesional/extralesional), the drug or the number of injections [50].
Table 4.
Mean MA progression rate
| Study | Eyes assessed | Mean MA progression rate | Mean MA progression rate after square-root transformation | Special notes | |
|---|---|---|---|---|---|
| Grunwald et al. 2015 (for CATT, 2-year results) [21] | nAMD (study eyes) | § | 0.43 mm/year | ||
| Grunwald et al. 2016 (for CATT, 5-year results) [23] | nAMD (study eyes) | 1.52 mm2/year | 0.33 mm/year | ||
| Kumar et al. 2013 [30] | nAMD (study eyes) | 0.94 mm2/year | § | ||
| Xu et al. 2015 [36] | nAMD (study eyes) | 0.58 mm2/year | 0.54–1.43 mm/year | ||
| Kuroda et al. 2016 [37] | nAMD (study eyes) | § | 0.47 (0.43–0.50) mm/year | ||
| Thavikulwat et al. 2016 [40] | nAMD (study eyes) | § | 0.19–0.34 mm/year | ||
| Munk et al. 2016 [41] | nAMD (study eyes) | 0.3–0.4 mm2/year | 0.1–0.12 mm/year | ||
| Abdelfattah et al. 2017 (for TREX-AMD) [42] | nAMD (study eyes) | 0.26–0.72 mm2/year | § | ||
| Non-nAMD (control eyes) | 0.33 mm2/year | § | |||
| Wons et al. 2017 [44] | nAMD (study eyes) | 0.30–0.39 mm2/year | 0.12–0.14 mm/year | Study eyes switched to aflibercept | CNV lesions were not included in the atrophy measurements |
| § | 0.14–0.25 mm/year | ‘Ranibizumab-only’ eyes and ‘switched to aflibercept’ eyes | |||
| Hata et al. 2017 [45] | nAMD (study eyes) | § | 1.11–1.20 mm/year | Study eyes developing new MA | |
| Li et al. 2017 [47] | nAMD (study eyes) | 0.2–0.7 mm2/year | § | ||
| Domalpally et al. 2018 [49] | nAMD (study eyes) | 1.23–1.86 mm2/year | 0.35–0.39 mm/year | ||
| Mantel et al. 2018 [50] | nAMD (study eyes) | 1.17 mm2/year | 0.54 (0.42–0.6) mm/year | ||
| Sunness et al. 2007 [65] | Non-nAMD (study eyes) | 2.6 mm2/year | § | ||
| Holz et al. 2007 [66] | Non-nAMD (study eyes) | 0.38–1.81 mm2/year | § | ||
| Yehoshua et al. 2015 [67] | Non-nAMD (study eyes) | 1.2 mm2/year | § | ||
| Beaver Dam Eye Study [68] | Non-nAMD (study eyes) | 1.28 mm2/year | § | ||
§ insufficient/missing data, CNV choroidal neovascularization, MA macular atrophy, nAMD neovascular age-related macular degeneration, Non-nAMD non-neovascular age-related macular degeneration
Anti-VEGF Type and Treatment Frequency
Several studies have identified particular links between MA and certain risk factors, or alternatively noted particular factors that appeared as protective from MA. Tables 5 and 6 sum up the aforementioned assessed factors that have been previously covered [19]. However, of particular interest are papers assessing the potential links (both direct and indirect) with anti-VEGF drug type and total number of injections because of the growing concern that anti-VEGF therapy itself in eyes with nAMD may contribute to the development and/or the enlargement of MA.
Table 5.
Risk factors for developing MA identified by relevant studies of macular atrophy in nAMD eyes treated with anti-VEGF
| Risk factors for MA incidence/progression | |||||||||||||||||||||
|---|---|---|---|---|---|---|---|---|---|---|---|---|---|---|---|---|---|---|---|---|---|
| CNV location | Duration of nAMD | CNV size | Central IRC | PED presence | PED height | SCT thinning | SHRM | Hb | SDD (RPD) | RAP | Refractile drusen | Contralateral MA | Poor baseline VA | Depigmentation | PDT | Higher number of injections | Lower number of injections | Type of drug | Age | Hypercholesterolaemia | |
| Grunwald et al. 2014 (for CATT 2 years) [14] | ++ | § | § | ++ | − | − | § | − | § | § | ++ | § | ++ | + | § | § | + | − | + | ++ | § |
| Grunwald et al. 2015 (for CATT 2 years) [21] | ++ | § | − | − | § | − | § | − | − | § | − | § | ++ | + | § | § | − | − | + | − | § |
| Grunwald et al. 2016 (for CATT 5 years) [23] | ++ | § | + | ++ | − | − | § | § | ++ | § | ++ | § | ++ | ++ | § | § | + | − | ++ | ++ | ++ |
| IVAN [24, 25, 59] | ++ | § | § | § | ++ | § | § | § | § | § | § | § | § | § | § | § | ++ | − | − | § | § |
| Bailey et al. 2019 (for IVAN) [26] | + | § | § | § | − | § | § | § | − | § | § | § | ++ | § | § | § | − | − | − | − | § |
| HARBOR [1, 27, 60–62] | § | § | § | ++ | − | − | § | § | § | § | § | § | + | § | § | § | + | − | § | + | § |
| Rebhun et al. 2018 (for HARBOR) [28] | § | § | § | ++ | −− | − | § | § | § | § | § | § | ++ | − | § | § | § | § | § | − | § |
| Lois et al. 2013 [29] | § | − | § | § | § | § | § | § | § | § | § | § | § | § | § | § | ++ | −− | § | § | § |
| Kumar et al. 2013 [30] | § | ++ | § | § | § | § | § | § | § | § | § | § | § | § | § | ++ | § | § | § | § | § |
| Young et al. 2014 [31] | § | § | § | § | § | § | ++ | § | § | § | § | § | § | § | § | § | ++ | − | + | ++ | § |
| Schütze et al. 2015 [33] | § | § | § | + | § | § | § | § | § | § | § | § | § | § | § | § | + | − | § | § | § |
| Tanaka et al. 2015 [34] | ++ | § | § | § | § | § | § | § | § | § | § | § | § | § | § | § | § | § | § | § | § |
| Cho et al. 2015 [35] | + | § | § | § | + | § | ++ | § | § | ++ | + | § | ++ | − | § | § | − | − | § | § | § |
| Xu et al. 2015 [36] | § | § | § | § | § | § | § | § | § | § | § | § | § | § | § | § | + | − | § | § | § |
| Kuroda et al. 2016 [37] | + | § | § | § | § | § | − | § | § | § | § | § | § | + | § | § | − | + | § | § | § |
| Kuroda et al. 2017 [38] | § | § | + | ++ | § | § | ++ | + | § | § | § | § | § | + | § | § | − | − | § | + | § |
| Thavikulwat et al. 2016 [40] | § | § | § | § | § | § | § | § | § | § | § | § | + | + | § | § | − | ++ | § | + | § |
| Munk et al. 2016 [41] | + | − | § | ++ | § | § | § | § | § | ++ | § | § | § | § | § | § | − | − | + | § | § |
| Abdelfattah et al. 2017 (for TREX-AMD) [42] | § | § | § | § | − | ++ | ++ | ++ | ++ | § | § | § | § | § | § | § | − | + | § | § | § |
| Fan et al. 2017 (for TREX-AMD) [43] | § | § | § | § | § | § | ++ | § | § | − | § | § | § | § | § | § | § | § | § | − | § |
| Wons et al. 2017 [44] | § | § | § | § | § | § | § | § | § | § | § | § | § | § | § | § | § | § | − | § | § |
| Hata et al. 2017 [45] | + | § | § | § | § | § | ++ | § | § | § | + | ++ | § | § | § | § | − | § | + | − | § |
| Zarubina et al. 2017 [46] | § | § | § | § | § | § | § | § | § | ++ | § | § | § | § | § | § | § | § | § | § | § |
| Li et al. 2017 [47] | § | § | § | § | § | § | § | § | § | § | § | § | § | − | § | § | − | − | − | ++ | § |
| Sitnilska et al. 2018 [48] | + | ++ | § | + | § | § | § | § | − | § | § | § | − | § | § | § | − | − | − | − | § |
| Mantel et al. 2018 [50] | − | § | § | − | + | ++ | + | ++ | § | − | + | § | + | ++ | − | § | − | − | − | − | § |
| Mantel et al. 2019 [51] | ++ | § | − | ++ | − | − | ++ | − | § | ++ | ++ | § | ++ | ++ | ++ | § | − | + | − | − | § |
| Wada et al. 2019 [52] | − | § | − | § | § | § | § | § | § | § | § | § | § | ++ | § | § | − | + | − | − | § |
§ insufficient/missing data, or not reported, + risk factor, ++ significant risk factor, − not a risk factor, −− significantly not a risk factor, CNV choroidal neovascularization, Hb haemorrhage, IRC intraretinal cysts, IRF intraretinal fluid, MA macular atrophy, nAMD neovascular age-related macular degeneration, PCV polypoidal choroidal vasculopathy, PDT photodynamic therapy, PED pigment epithelial detachment, RAP retinal angiomatous proliferation, RPD reticular pseudodrusen, SCT subfoveal choroidal thickness, SDD subretinal drusenoid deposits, SHRM subretinal hyperreflective material, SRF subretinal fluid, VA visual acuity
Table 6.
Protective factors against developing MA identified by relevant studies of macular atrophy in nAMD eyes treated with anti-VEGF
| Type 1 CNV | Blocked fluorescence | SRF | PCV | PED | Subretinal complex thickness | Vitromacular attachment | |
|---|---|---|---|---|---|---|---|
| Grunwald et al. 2014 (for CATT 2 years) [14] | −− | + | ++ | § | + | ++ | ++ |
| Grunwald et al. 2015 (for CATT 2 years) [21] | ++ | § | − | § | − | − | § |
| Grunwald et al. 2016 (for CATT 5 years) [23] | ++ | +/− | ++ | § | + | ++ | +/− |
| Bailey et al. 2019 (for IVAN) [26] | −− | § | ++ | § | ++ | § | § |
| HARBOR [1, 27, 60–62] | − | § | ++ | § | ++ | § | § |
| Rebhun et al. 2018 (for HARBOR) [28] | § | § | § | § | ++ | § | § |
| Xu et al. 2015 [36] | ++ | § | § | § | § | § | § |
| Kuroda et al. 2016 [37] | § | § | § | ++ | § | § | § |
| Kuroda et al. 2017 [38] | − | § | § | + | § | § | § |
| Thavikulwat et al. 2016 [40] | + | § | § | § | § | § | § |
| Munk et al. 2016 [41] | − | § | § | § | § | § | ++ |
| Abdelfattah et al. 2017 (for TREX-AMD) [42] | − | § | − | § | −− | −− | § |
| Li et al. 2017 [47] | − | § | § | § | § | § | § |
| Mantel et al. 2018 [50] | − | § | − | § | − | − | − |
| Mantel et al. 2019 [51] | § | § | ++ | § | − | − | − |
| Wada et al. 2019 [52] | + | § | § | § | § | § | § |
§ no data/not assessed, − non-protective, −− significantly non-protective, + protective, ++ significantly protective, CNV choroidal neovascularization, MA macular atrophy, PCV polypoidal choroidal vasculopathy, PED pigment epithelial detachment, SRF SubRetinal fluid
The conclusions that have been reported should only be interpreted with caution though. Lois [29], Young [31] and Munk [41] did not state treatment naivety status of study eyes, while SEVEN-UP [15–17], Kumar [30], Thavikulwat [40] and Wons [44] had included non-naive eyes in their cohorts. More importantly, only the minority of the listed reports were based on prospective studies [1, 14, 20–25, 27, 33, 40, 42, 43, 48, 50, 51, 60, 61], and of those only CATT [14, 20–23], IVAN [24, 25], HARBOR [1, 27, 60, 61] and TREX-AMD [42, 43] had the study eyes randomized into groups according to treatment type, dose or regimen. Tables 7, 8, 9 and 10 summarize the relevant conclusions to date.
The 2-year report of CATT concluded that the development of geographic atrophy (GA) was higher in groups treated monthly than in the as-needed groups, with the monthly ranibizumab-treated group showing the highest proportion. Among studied eyes, 18% showed new GA by the end of 2 years, ranging among eyes with no baseline atrophy from 25.8% in the monthly ranibizumab group to 12.9% in the bevacizumab-PRN group [20]. At 2 years of follow-up, the growth rate of GA was higher for eyes treated with ranibizumab [14]. CATT results at 5 years reported the percentage of eyes with new incident GA rising further to 39%. Several risk factors identified at 2 years of follow-up appeared again to be significant at 5 years of follow-up. There was still a higher proportion of eyes originally assigned to ranibizumab with new GA than eyes assigned to bevacizumab, and also a higher proportion of eyes originally assigned to monthly treatment for 2 years with GA than eyes originally assigned to PRN treatment. However, these differences were less statistically significant [21, 22]. Despite the fact that most participants did not continue with the same original treatment assignment during the 3 years after the end of the clinical trial, ranibizumab was still associated with a significantly higher GA growth rate than bevacizumab at 5 years. Treatment frequency, on the other hand, did not impact the progression rate of atrophy [21].
In IVAN, the percentage of new macular atrophy (MA) did not differ between drug groups, but was significantly lower in participants on discontinuous regimens than on continuous ones. At 2 years, GA incidence was similar in eyes treated with ranibizumab and those treated with bevacizumab, decreasing the possibility of a true effect of ranibizumab on MA occurrence. The association of monthly treatment with an increased rate of development of MA was more consistent [24].
Bailey et al. reanalysed the IVAN cohort, yet with a revised MA definition and with OCT contributing more significantly in atrophy assessment. Bailey found no significant correlation of the incidence nor progression of the MA within the area of the CNV lesion (i.e. ‘intralesional MA’) with the drug used nor with the number of injections delivered over 2 years. The previous IVAN finding of more frequent treatment causing more MA has thus not been replicated [26].
At 2 years, HARBOR concluded that eyes receiving monthly ranibizumab had a higher incidence of GA when compared with PRN-treated ones [1, 60]. The dose of ranibizumab was not associated with MA. In the PRN arms, MA incidence did not appear to be associated with injection frequency [61].
In SEVEN-UP, the progression of MA was observed even in the context of very low anti-VEGF injection frequency [15, 17].
Lois et al. upon their retrospective review found that the number of injections received was statistically significantly associated with an increased incidence of new MA and with greater progression of atrophy at follow-up. In 84% of the eyes in which there was progression of atrophy, no atrophy was detected at baseline [29].
Kumar et al. reported factors they found retrospectively to be correlated with RPE loss, and noted that no significant interaction with the type of drug used was found [30].
Young et al. claimed that eyes with nAMD had greater progression of RPE atrophy and choroidal atrophy compared to those with non-nAMD. Progression of RPE atrophy and choroidal atrophy was independently associated with the total number of injections (of bevacizumab/ranibizumab). Choroidal atrophy was also independently associated with the number of anti-VEGF injections regardless of the drug used, and it was more pronounced in eyes treated with anti-VEGF therapy for nAMD than in controls. In the subgroup of 84 eyes with nAMD and without RPE atrophy at baseline, only bevacizumab was associated with the progression of RPE atrophy [31].
Through their retrospective analysis, Gillies et al. reported that no correlation was found between GA and the frequency of injections [32].
On analysing data from a prospective interventional case series of treatment-naive nAMD eyes, Schütze et al. [33] reported that early RPE loss and expansion of GA was most pronounced during initial intensive monthly treatment, consistent with findings from the CATT study [20], and remained stable during subsequent PRN-based therapy [33].
Cho et al. looked at RAP cases treated with ranibizumab over 2 years: there was no significance found between injection number and GA development [35].
Xu et al. stated that no other variables except for the number of anti-VEGF injections and the choroidal neovascularization type were related to GA development [36].
Kuroda et al. reported in 2016 on MA in nAMD eyes treated with ranibizumab, where eyes receiving fewer injections appeared under a higher risk of developing new MA [37]. In their 2017 paper, where they used a fixed treatment regimen of aflibercept (per drug label), they could not find a difference in the number of injections between the newly developed macular atrophy eyes and the eyes with no new MA [38].
In their post hoc analysis, Thavikulwat et al. reported that of the treatment-naive study eyes without GA at baseline, those who developed new GA had received fewer study injections on average compared with those who did not develop new GA [40].
Over 6.2 years, Munk et al. assessed growth rate of MA both outside and within the CNV border. They found a higher growth rate for MA outside the CNV border with aflibercept, while growth rate was similar for aflibercept and ranibizumab for MA within the CNV. Notably, the number of administered injections did not seem to have an impact on the size of MA [41].
TREX-AMD reported that ranibizumab did not statistically significantly influence new MA development in eyes with nAMD, whether dosed monthly or per a treat and extend regimen. However, a higher growth rate of MA in the TREX group was evident at all time points, compared to the monthly group [42, 43].
As per Wons et al., a linear progression rate of RPE loss was found in patients treated with ranibizumab as well as in patients treated with aflibercept; however, no significant increase of progression rate was found after the switch from ranibizumab to aflibercept [44].
Hata et al.’s results at 12 months showed that the percentage of eyes developing RPE atrophy among RAP eyes treated with aflibercept without baseline RPE atrophy was twice that for eyes treated with ranibizumab [45].
Li et al. found that the highest incidence of MA was within the first year of treatment. Age was the significant predictor of MA development and progression, whereas all the other factors, including drug type and number of injections, did not correlate with macular atrophy [47].
Sitnilska et al. correlated the onset of RPE atrophy mainly with the duration of the nAMD disease. No correlation was found with the total number of received anti-VEGF injections or the drug type. Through at least 3 years of follow-up for all studied eyes, 50% of new MA incidence occurred within the first year of treatment [48].
Domalpally et al. demonstrated that most cases of new MA appeared within the initial 2 years of treatment. The drug type and treatment protocol were not stated in the report [49].
Mantel et al. found that the number of injections was inversely correlated with the incidence of new MA, suggesting that a higher number of treatments is not a risk factor for MA development, and that MA may co-occur thus with low activity nAMD. No correlation was found between MA incidence and drug type. Furthermore, MA growth rate was not correlated with its location compared to the CNV lesion, the drug or the number of injections [51].
The 5-year results from Wada et al. showed that undertreatment correlated with a higher MA incidence, and that a higher number of injections did not increase the risk for MA development. They reported also that treatment switching from ranibizumab to aflibercept was not associated with a higher MA occurrence [52].
Table 7.
Studies concluding that the number of anti-VEGF injections correlated with MA incidence/progression
| Study design | Study eyes naivety to treatment | Treatment protocol | |
|---|---|---|---|
| Grunwald et al. 2014 (for CATT 2 years) [14] | Px | Tx naive | Study eyes randomized to (a) monthly treatment always, (b) 3 monthly treatments followed by PRN always, (c) monthly treatments for a year followed by PRN for 1 year |
| Grunwald et al. 2016 (for CATT 5 years) [23] | Px | Tx naive | Same 2-year protocol, followed by any protocol at clinician’s discretion for 3 years |
| IVAN [24, 25] | Px | Tx naive | Study eyes randomized to monthly treatments or PRN (3 monthly treatments followed by PRN) |
| HARBOR [1, 27, 60, 61] | Px | Tx naive | Study eyes randomized to 0.5 mg or 2 mg monthly treatments or PRN (3 monthly treatments followed by PRN) |
| Schütze et al. 2015 [33] | Px | Tx naive | Monthly treatments in first year, then PRN |
| Xu et al. 2015 [36] | Rx | Tx naive | T&E |
| Lois et al. 2013 [29] | Rx | § | Monthly treatments till VA stable, then PRN |
| Young et al. 2014 [31] | Rx | § | 3 monthly treatments then T&E |
§ no data, MA macular atrophy, PRN pro re nata (as needed), Px prospective, Rx retrospective, T&E treat and extend, Tx treatment
Table 8.
Studies concluding that the number of anti-VEGF injections correlated inversely with MA incidence/progression
| Study design | Study eyes naivety to treatment | Treatment protocol | |
|---|---|---|---|
| Abdelfattah et al. 2017 (for TREX-AMD) [42] | Px | Tx naive | Study eyes randomized to monthly or 3 monthly treatments followed by T&E |
| Mantel et al. 2019 [51] | Px | Tx naive | 2 identical separate studies for R & A: 3 monthly treatments followed by observe & plan |
| Thavikulwat et al. 2016 [40] | Px | Non-naive eyes included | 4 monthly treatments followed by PRN |
| Wada et al. 2019 [52] | Rx | Tx naive | R 3 monthly treatments then PRN, some switched to A 3 monthly treatments followed by PRN |
| Kuroda et al. 2016 [37] | Rx | Tx naive | 3 monthly treatments followed by PRN |
A aflibercept, MA macular atrophy, PRN pro re nata (as needed), Px prospective, R ranibizumab, Rx retrospective, T&E treat and extend, Tx treatment
Table 9.
Studies concluding that the number of anti-VEGF injections has no significant correlation with MA incidence/progression
| Study design | Study eyes naivety to treatment | Treatment protocol | |
|---|---|---|---|
| Bailey et al. 2019 (for IVAN) [26] | Px | Tx naive | Monthly treatments or PRN (3 monthly treatments followed by PRN) |
| Sitnilska et al. 2018 [48] | Px | Tx naive | R 3 monthly treatments then PRN for 2 years, then R/A/B PRN |
| Mantel et al. 2018 [50] | Px | Tx naive | 2 identical separate studies for R & A: 3 monthly treatments followed by observe & plan |
| Cho et al. 2015 [35] | Rx | Tx naive | 3 monthly treatments followed by PRN |
| Kuroda et al. 2017 [38] | Rx | Tx naive | 3 monthly treatments then bimonthly |
| Munk et al. 2016 [41] | Rx | § | R 3 monthly treatments then PRN, followed by R T&E and/or A T&E |
| Li et al. 2017 [47] | Rx | Tx naive | Inconsistent/variable |
§ no data, A aflibercept, B bevacizumab, MA macular atrophy, PRN pro re nata (as needed), Px prospective, R ranibizumab, Rx retrospective, T&E treat and extend, Tx treatment
Table 10.
Studies assessing the correlation of MA incidence/progression with the type of anti-VEGF drug injected
| Higher risk of MA incidence/progression according to type of drug | Drugs used to treat study eyes | Drug correlated with higher MA incidence/progression | Study design | Study eyes naivety to treatment | Treatment protocol | |
|---|---|---|---|---|---|---|
| CATT (2 years) [14, 20, 21] | Yes | B, R | R | Px | Tx naive | Study eyes randomized to (a) monthly treatment always, (b) 3 monthly treatments followed by PRN always, (c) monthly treatments for a year followed by PRN for 1 year |
| CATT (5 years) [22, 23] | Yes | B, R, A, any other | R | Same 2-year protocol, followed by any protocol at clinician’s discretion for 3 years | ||
| Hata et al. 2017 [45] | Yes | R, A | A | Rx | Tx naive | R 3 monthly treatments then PRN, or A 3 monthly treatments then bimonthly |
| Young et al. 2014 [31] | Yes | B, R | B | Rx | § | 3 monthly treatments then T&E |
| Munk et al. 2016 [41] | Yes | R, A | A | Rx | § | R 3 monthly treatments then PRN, followed by R T&E and/or A T&E |
| IVAN [24, 25] | No | B, R | N/A | Px | Tx naive | Study eyes randomized to monthly treatments or PRN (3 monthly treatments followed by PRN) |
| Bailey et al. 2019 (for IVAN) [26] | No | B, R | N/A | |||
| Sitnilska et al. 2018 [48] | No | B, R, A | N/A | Px | Tx naive | R 3 monthly treatments then PRN for 2 years, then R/A/B PRN |
| Mantel et al. 2018 [50] | No | R, A | N/A | Px | Tx naive | 2 identical separate studies for R & A: 3 monthly treatments followed by observe & plan |
| Mantel et al. 2019 [51] | No | R, A | N/A | Px | Tx naive | 2 identical separate studies for R & A: 3 monthly treatments followed by observe & plan |
| Wada et al. 2019 [52] | No | R, A | N/A | Rx | Tx naive | R 3 monthly treatments then PRN, some switched to A 3 monthly treatments followed by PRN |
| Wons et al. 2017 [44] | No | R, A | N/A | Rx | Non-naive eyes included | 3 monthly treatments then T&E: R or switched to A (from B/R) |
| Li et al. 2017 [47] | No | B, R, A | N/A | Rx | Tx naive | Inconsistent/variable |
§ no data, A aflibercept, B bevacizumab, MA macular atrophy, PRN pro re nata (as needed), Px prospective, R ranibizumab, Rx retrospective, T&E treat and extend, Tx treatment
Anti-VEGF and Other Relevant MA Risk Factors
Subfoveal Choroidal Thickness
A reduced subfoveal choroidal thickness (SCT) has been shown to increase not only the risk for MA incidence [31, 35, 37, 38, 42, 43, 45, 51] but also for MA area growth rate [45, 50].
At 12 months, Hata et al. reported that the growth rate of RPE atrophy area was negatively correlated with baseline SCT [45]. In the reports on TREX-AMD, eyes with a thinner SCT at baseline also tended to have more MA at month 18 and vice versa [42, 43]. Kuroda et al. denied such a correlation in nAMD eyes treated with ranibizumab [37], yet 1 year later they reported results from a different group treated with aflibercept, and a thinner SCT at baseline was found to be associated with the development of MA [38]. Both Cho et al. and Mantel et al. also reported the same correlation between a reduced SCT and a higher incidence of MA [35, 51].
A potential causative connection between choroidal thickness and anti-VEGF treatments was also reported in several studies. Subfoveal choroidal thinning is thought to potentially be caused or aggravated by anti-VEGF treatment, and could therefore serve as a factor that increases the risk for MA. Progression of choroidal atrophy was found by Young et al. to be independently associated with the total number of injections of bevacizumab and ranibizumab, similar to their findings that a higher injection number increases the risk of MA incidence and progression [31]. Choroidal atrophy was also independently associated with the number of anti-VEGF injections regardless of the drug used, and it was more pronounced in eyes treated with anti-VEGF therapy for nAMD than in the non-nAMD control eyes [31]. Similarly, Kaya found that SCT decreased significantly in eyes treated with ranibizumab or aflibercept at 1, 3 and 6 months, yet aflibercept-treated eyes showed a significant further reduction in SCT when compared to ranibizumab [69]. Kim et al. noted a greater decrease in SCT in eyes treated with aflibercept than in eyes treated with ranibizumab. This difference was more marked in PCV than in other subtypes of nAMD [70]. Mazaraki et al. noted that aflibercept induced a reduction in SCT in both treatment-naive and pretreated eyes with nAMD [71].
Choroidal perfusion and vasculature affects the choroidal thickness. Takasago et al. found that the choriocapillaris (CC) nonperfusion area and MA area were significantly correlated as these areas markedly overlapped. They concluded that choroidal ischaemia might be thus involved in the pathogenesis of MA in treated nAMD, and that CC nonperfusion after anti-VEGF might be associated with the development of MA [72]. Mastropasqua et al. reported intravitreal administration of aflibercept to be associated with a significant reduction of flow in both native retinal and choroidal vasculature in patients’ treated eyes [73]. An in vivo study in primates by Julien et al., reported that the area of the choriocapillaris was significantly reduced after both ranibizumab and aflibercept compared to controls, but the relevant vascular and intravascular changes were more pronounced and more frequent after aflibercept, which caused hypertrophy and death of individual RPE cells [74].
Subretinal Hyperreflective Material
Subretinal hyperreflective material (SHRM) is a morphological feature seen on OCT as hyperreflective material located external to the retina, and internal to the RPE in nAMD. At baseline, SHRM was present in 76.3% of CATT study eyes, decreasing to 54% at 104 weeks. With time, anti-VEGF treatments appear to reduce the presence of SHRM. A strong connection was found between presence of SHRM and scar formation [57]. Unlike scar formation, GA developed more in eyes with resolved SHRM compared to eyes with persistent SHRM at week 52. CATT found the difference to become non-significant at week 104 though [57].
Kuroda et al. reported SHRM as a risk factor for MA development [38]. Abdelfattah et al. correlated the presence of SHRM at baseline in addition to the SHRM thickness at baseline with a higher incidence of MA [42]. Mantel et al. correlated a thicker SHRM at baseline to higher MA growth rate [50], yet not to an increased MA incidence [51].
Comparison of nAMD-Related and Non-nAMD-Related MA
Like typical GA occurring in advanced non-nAMD, MA associated with anti-VEGF therapy for nAMD is characterized by the irreversible loss of the outer retina, RPE and choriocapillaris [21, 33, 75–77]. However, some authors have noted that, compared with typical GA, MA occurring in the setting of anti-VEGF therapy is often smaller in size and of a more diffuse distribution [33]. Zanzottera et al. showed histologic differences in RPE morphology, basal laminar deposit and the descent of the external limiting membrane toward Bruch’s membrane at the atrophy border in eyes with non-nAMD versus those with nAMD [78, 79].
Compared to GA in non-nAMD, presenting with larger RPE atrophy lesion [80–83], RPE atrophy in nAMD shows multiple smaller and more diffusely distributed focal atrophic RPE lesions. The multilobular MA structure frequently observed in eyes with CNV in the study by Schütze et al. [33] may represent an underlying disease substrate, for example, of the choroidal vasculature, recently reported by Xu et al. [83]. Patients with CNV undergoing therapy frequently developed these discrete RPE discontinuities increasing in size and distribution during follow-up. Kumar et al. demonstrated that the RPE loss in nAMD was different from that typically seen with GA in that it involved the centre of the macula from the start, in distinction from GA, which usually develops in a perifoveal location. Also, RPE loss expanded outward from the centre [30].
In non-nAMD, although atrophic lesions typically appear first in the perifoveal macula, sparing the foveal centre, over time these lesions often expand and coalesce to include the fovea [84]. In non-nAMD, progression from non-central to central GA occurs in 45% of eyes over 5 years [85]. Of those without central involvement at first detection, the median time to foveal atrophy is approximately 2 years [86].
The primary insult in GA in non-nAMD appears to be at the level of the RPE and there is an intimate relationship between RPE atrophy and secondary choriocapillaris degeneration. In nAMD, choriocapillaris degeneration can occur in the presence of viable RPE. The RPE in regions of vascular dropout are presumably hypoxic, which may result in an increase in VEGF production by the RPE and stimulation of CNV [87]. Nonetheless, the photoreceptors, RPE, Bruch’s membrane and choriocapillaris have together been described as a functionally integrated complex with a “mutualistic symbiotic relationship” [88]. These layers are so interdependent anatomically and functionally that there can be no damage to one layer without corresponding dysfunction and disruption of the other layers. Consequently, there may be no primary insult leading to atrophy but rather a concerted deterioration affecting the entire complex [89].
Baseline SCT in eyes with MA is statistically significantly less than in those without MA in both the non-nAMD and nAMD. Eyes with AMD and MA had less baseline SCT than those without MA. Eyes with less baseline SCT also appeared to be at higher risk to develop MA within 18 months [43].
In non-nAMD, lesion characteristics that were prognostic for either a higher MA progression rate or future MA development included a larger baseline lesion size, non-foveal location/progression toward periphery, vitreoretinal traction, GA in the fellow eye, outer retinal tubulations (ORT) and reticular pseudodrusen [84]. All these characteristics have also been reported to be of a similar prognosis in nAMD studies [14, 19–21, 30, 46, 58].
Recently, it has been shown that MA progression rates in non-nAMD—after square-root transformation—have a linear progression using different imaging modalities [14]. Overall, GA progression rates reported in the literature for total study populations in non-nAMD GA natural history studies range from 0.53 to 2.6 mm2/year. Holz et al. reported a median growth rate of 1.52 mm2/year using FAF imaging [66]. Sunness et al. reported a median growth rate of 2.6 mm2/year using CFP imaging [65]. By using the en face OCT projection image, estimated GA growth rate was 1.2 mm2/year in a relatively small cohort [67]. In the Beaver Dam Eye Study, the mean enlargement of area of GA was 6.4 mm2 over 5 years, equivalent to 1.28 mm2/year [68]. Of note, it has been reported that eyes with nAMD had greater progression of RPE atrophy and choroidal atrophy compared with those with non-nAMD, upon comparing eyes with nAMD with their fellow eyes with non-nAMD [31]. Table 4 lists the reported MA progression rates.
Several variations in FAF pattern in the junctional zone of GA of eyes with non-nAMD have been reported: none, focal, banded, patchy and diffuse (reticular, branching and fine granular) [90]. Atrophy in each of these categories shows a different growth rate, ranging between a minimum of 0.38 mm2/year in the ‘none’ type and a maximum of 1.81 mm2/year in the ‘banded’ type, as reported by Holz et al. [66]. Wons et al. have additionally described the RPE loss in nAMD eyes to show patterns comparable to the aforementioned patterns known in GA [44].
Fellow Non-nAMD Eyes
In nAMD eyes, Young et al. noted a macular atrophy progression rate and choroidal atrophy, both of which were significantly higher, in comparison to their non-nAMD fellow eyes [31].
In non-nAMD fellow control eyes analysed by Thavikulwat et al., none of the eyes that had no baseline GA developed any new GA by the end of the study [40].
Highly significant inter-eye concordance regarding MA prevalence by the final visit was reported by Mantel et al. In 92% of the fellow eyes analysed, there was no baseline MA in either the fellow non-nAMD eyes or their study nAMD eyes. Moreover, Mantel et al. pointed out additionally the high inter-eye symmetry in MA distributions and high inter-eye correlation in the MA area growth rates [50, 51].
In addition to reporting on their study of 81 nAMD eyes, Tanaka et al. analysed data from their 35 non-nAMD fellow control eyes. Compared to the study eyes, the fellow non-nAMD eyes showed a close figure for the percentage of eyes with baseline GA [34].
Discussion
Neovascular AMD (nAMD) and associated oedema can be controlled today with regular anti-VEGF treatments; however, macular atrophy (MA)—once it occurs—appears irreversible. MA is associated with photoreceptor loss; therefore, a central location of MA would lead to central vision impairment.
All reports agree on the fact that de novo development of MA in anti-VEGF-treated eyes is frequent and multifactorial. To date, most of the identified risk factors are ocular, with little evidence for influence of the treatment type and no evidence for systemic risk factors.
Research data shows an expansion of atrophy during anti-VEGF treatment. This could be consistent with the natural evolution of AMD or possibly as collateral damage related to the CNV lesion. Alternatively, this can potentially be related to a direct toxicity of the anti-VEGF or to an anti-VEGF blocking the neurotrophic effect of VEGF [91]. Another explanation could be that the progression of atrophic changes may be furthered by decreased perfusion and resulting ischaemia, as the regression of CNV with anti-VEGF may eliminate the only remaining blood supply for the outer retina [92]. Published reports demonstrate a potential protective effect of sub-RPE choroidal neovascularization (type 1 CNV) in slowing macular atrophy in eyes with nAMD [21, 23, 36, 40, 52, 93–95].
A direct comparison between untreated and treated eyes with nAMD would provide significant clues towards the cause of MA; however, such a comparison is impossible for ethical reasons.
Comparisons have been made between the nAMD eyes and their fellow non-nAMD ones.
On comparing the reports of research studies, mixed and rather contradictory conclusions are reached regarding correlation of MA development or progression with drug type, treatment frequency and other factors, as detailed above and also summarized in Tables 5 and 6. It mostly appears that there is no straightforward link.
Despite their significant weight, the studies of CATT, IVAN and HARBOR do have a limitation in common: they all lacked FAF which represents a gold standard for evaluation of MA [96, 97]. Also, even in the studies that have relied on FAF, to our knowledge, a classification of the junctional zone FAF pattern in the nAMD-related MA has not been reported. This is an important MA potential characteristic that might affect its growth rate. Had such information been available, it would have helped define the meaningfulness of the results reported by the nAMD studies above. OCT, which now represents the reference standard imaging modality to diagnose and grade MA, was not utilized in either CATT or HARBOR to assess MA.
As summarized in Tables 1 and 2, not all the studies were of the same size or design, and hence they were not of the same strength. The studies had relatively different inclusion criteria, and for MA detection and follow-up they relied on different imaging modalities. The criteria used to define MA also varied throughout the studies.
In patients with diabetic macular oedema or retinal vein occlusion on anti-VEGF treatment, frequent injections of anti-VEGF agents have not—to date—been reported to cause MA in such patients in whom MA is not part of the natural history of their disease. The question as to whether anti-VEGF accelerates nAMD-related MA development therefore requires additional clarification. It would be premature to conclude that anti-VEGF agents cause MA and that clinicians and patients should feel that it is critical to minimize use of anti-VEGF agents to avoid MA. On the basis of the currently available data, undertreatment rather than overtreatment probably would be a greater risk for visual loss in patients with CNV. However, data highlights the need for agents that can prevent or minimize MA. There are currently more clinical studies looking at the association of MA and anti-VEGF therapy, but more clinical research is still needed to further understand this association.
Acknowledgments
Funding
No funding or sponsorship was received for this overview nor for the publication of this article.
Authorship
All named authors meet the International Committee of Medical Journal Editors (ICMJE) criteria for authorship for this article, take responsibility for the integrity of the work as a whole, and have given their approval for this version to be published.
Disclosures
Sajjid Mahmood declares consultancy, personal fees and research for Novartis and Bayer. Tariq M Aslam declares consultancy, personal fees and research for Novartis, Bayer, Bausch and Lomb, Allergan. Tariq M Aslam is also the Editor in Chief for this journal. Mania Horani has nothing to disclose.
Compliance with Ethics Guidelines
This article is based on previously conducted studies and does not contain any studies with human participants or animals performed by any of the authors.
Data Availability
Data sharing is not applicable to this article as no datasets were generated or analysed during the current study.
Footnotes
Topical collection: Macular Atrophy of the Retinal Pigment Epithelium in Patients with Neovascular Age-Related Macular Degeneration: What is the link?.
Enhanced digital features
To view enhanced digital features for this article go to 10.6084/m9.figshare.10647137.
Change history
12/22/2021
The license text was incorrectly structured. The article has been corrected.
References
- 1.Ho AC, Busbee BG, Regillo CD, et al. Twenty-four-month efficacy and safety of 0.5 mg or 2.0 mg ranibizumab in patients with subfoveal neovascular age-related macular degeneration. Ophthalmology. 2014;121(11):2181–2192. doi: 10.1016/j.ophtha.2014.05.009. [DOI] [PubMed] [Google Scholar]
- 2.Schmidt-Erfurth U, et al. Intravitreal aflibercept injection for neovascular age-related macular degeneration. Ninety-six week results of the VIEW studies. Ophthalmology. 2014;121:193–201. doi: 10.1016/j.ophtha.2013.08.011. [DOI] [PubMed] [Google Scholar]
- 3.Brown DM, Michels M, et al. Ranibizumab versus verteporfin photodynamic therapy for neovascular age-related macular degeneration: two-year results of the ANCHOR study. Ophthalmology. 2009;116(1):57-65.e5. doi: 10.1016/j.ophtha.2008.10.018. [DOI] [PubMed] [Google Scholar]
- 4.Rosenfeld PJ, Brown DM, Heier JS, et al. Ranibizumab for neovascular age-related macular degeneration. N Engl J Med. 2006;335:1419–1431. doi: 10.1056/NEJMoa054481. [DOI] [PubMed] [Google Scholar]
- 5.Lalwani GA, Rosenfeld PJ, Fung AE, et al. A variable-dosing regimen with intravitreal ranibizumab for neovascular age-related macular degeneration: year 2 of the PrONTO study. Am J Ophthalmol. 2009;148:43–58. doi: 10.1016/j.ajo.2009.01.024. [DOI] [PubMed] [Google Scholar]
- 6.Prema A, Yue H, et al. Randomized, double-masked, sham-controlled trial of ranibizumab for neovascular age-related macular degeneration: PIER study year 2. Am J Ophthalmol. 2010;150(3):315-324.e1. doi: 10.1016/j.ajo.2010.04.011. [DOI] [PubMed] [Google Scholar]
- 7.Schmidt-Erfurth U, Eldem B, et al. Efficacy and safety of monthly versus quarterly ranibizumab treatment in neovascular age-related macular degeneration: the EXCITE study. Ophthalmology. 2011;118(5):831–839. doi: 10.1016/j.ophtha.2010.09.004. [DOI] [PubMed] [Google Scholar]
- 8.Rich RM, Rosenfeld PJ, Puliafito CA, et al. Short-term safety and efficacy of intravitreal bevacizumab (Avastin) for neovascular agerelated macular degeneration. Retina. 2006;26:495–511. doi: 10.1097/01.iae.0000225766.75009.3a. [DOI] [PubMed] [Google Scholar]
- 9.Singer MA, Awh CC, Sadda S, et al. HORIZON: an open-label extension trial of ranibizumab for choroidal neovascularization secondary to age-related macular degeneration. Ophthalmology. 2012;119(6):1175–1183. doi: 10.1016/j.ophtha.2011.12.016. [DOI] [PubMed] [Google Scholar]
- 10.Nishijima K, Ng YS, Zhong L, et al. Vascular endothelial growth factor-A is a survival factor for retinal neurons and a critical neuroprotectant during the adaptive response to ischemic injury. Am J Pathol. 2007;171(1):53–67. doi: 10.2353/ajpath.2007.061237. [DOI] [PMC free article] [PubMed] [Google Scholar]
- 11.Shima DT, Adamis AP, Ferrara N, et al. Hypoxic induction of endothelial cell growth factors in retinal cells: identification and characterization of vascular endothelial growth factor (VEGF) as the mitogen. Mol Med. 1995;1(2):182–193. doi: 10.1007/BF03401566. [DOI] [PMC free article] [PubMed] [Google Scholar]
- 12.Spilsbury K, Garrett KL, Shen WY, et al. Overexpression of vascular endothelial growth factor (VEGF) in the retinal pigment epithelium leads to the development of choroidal neoascularization. Am J Pathol. 2000;157(1):135–144. doi: 10.1016/S0002-9440(10)64525-7. [DOI] [PMC free article] [PubMed] [Google Scholar]
- 13.De Cillà S, Farruggio S, Vujosevic S, et al. Anti-vascular endothelial growth factors protect retinal pigment epithelium cells against oxidation by modulating nitric oxide release and autophagy. Cell Physiol Biochem. 2017;42:1725–1738. doi: 10.1159/000479441. [DOI] [PubMed] [Google Scholar]
- 14.Grunwald JE, Daniel E, Huang J, et al. Risk of geographic atrophy in the comparison of age-related macular degeneration treatments trials. Ophthalmology. 2014;121:150–161. doi: 10.1016/j.ophtha.2013.08.015. [DOI] [PMC free article] [PubMed] [Google Scholar]
- 15.Rofagha S, Bhisitkul RB, Boyer DS, Sadda SR, Zhang K. Seven-year outcomes in ranibizumab-treated patients in ANCHOR, MARINA and HORIZON: a multicenter cohort study (SEVEN-UP) Ophthalmology. 2013;120(11):2292–2299. doi: 10.1016/j.ophtha.2013.03.046. [DOI] [PubMed] [Google Scholar]
- 16.Bhisitkul RB, Desai SJ, Boyer DS, Sadda SR, Zhang K. Fellow eye comparisons for 7-year outcomes in ranibizumab-treated AMD subjects from ANCHOR, MARINA, and HORIZON (SEVEN-UP Study) Ophthalmology. 2016;123:1269–1277. doi: 10.1016/j.ophtha.2016.01.033. [DOI] [PubMed] [Google Scholar]
- 17.Bhisitkul RB, Mendes TS, Rofagha S, et al. Macular atrophy progression and 7-year vision outcomes in subjects from the ANCHOR, MARINA, and HORIZON studies: the SEVEN-UP study. Am J Ophthalmol. 2015;159(5):915–924. doi: 10.1016/j.ajo.2015.01.032. [DOI] [PubMed] [Google Scholar]
- 18.Saint-Geniez M, Kurihara T, Sekiyama E, Maldonado AE, D’Amore PA. An essential role for RPE-derived soluble VEGF in the maintenance of the choriocapillaris. Proc Natl Acad Sci USA. 2009;106:18751–18756. doi: 10.1073/pnas.0905010106. [DOI] [PMC free article] [PubMed] [Google Scholar]
- 19.Horani M, Mahmood S, Aslam TM. Macular atrophy of the retinal pigment epithelium in patients with neovascular age-related macular degeneration: what is the link? Part I: a review of disease characterization and morphological associations. Ophthalmol Ther. 2019;8:235–249. doi: 10.1007/s40123-019-0177-7. [DOI] [PMC free article] [PubMed] [Google Scholar]
- 20.Comparison of Age-related Macular Degeneration Treatments Trials (CATT) Research Group. Martin DF, Maguire MG, et al. Ranibizumab and bevacizumab for treatment of neovascular age-related macular degeneration: two-year results. Ophthalmology. 2012;119(7):1388–1398. doi: 10.1016/j.ophtha.2012.03.053. [DOI] [PMC free article] [PubMed] [Google Scholar]
- 21.Grunwald JE, Pistilli M, Ying GS, et al. Growth of geographic atrophy in the comparison of age-related macular degeneration treatments trials. Ophthalmology. 2015;122:809–816. doi: 10.1016/j.ophtha.2014.11.007. [DOI] [PMC free article] [PubMed] [Google Scholar]
- 22.Comparison of Age-related Macular Degeneration Treatments Trials (CATT) Research Group. Maguire MG, Martin DF, et al. Five-year outcomes with anti-vascular endothelial growth factor treatment of neovascular age-related macular degeneration: the comparison of age-related macular degeneration treatments trials. Ophthalmology. 2016;123(8):1751–1761. doi: 10.1016/j.ophtha.2016.03.045. [DOI] [PMC free article] [PubMed] [Google Scholar]
- 23.Grunwald J, Pistilli M, Daniel E, The Comparison of Age-Related Macular Degeneration Treatments Trials Research Group et al. Incidence and growth of geographic atrophy during 5 years of comparison of age-related macular degeneration treatments trial. Ophthalmology. 2017;124(1):97–104. doi: 10.1016/j.ophtha.2016.09.012. [DOI] [PMC free article] [PubMed] [Google Scholar]
- 24.Chakravarthy U, Harding SP, Rogers CA, et al. Alternative treatments to inhibit VEGF in age-related choroidal neovascularisation: 2-year findings of the IVAN randomised controlled trial. Lancet. 2013;382:1258–1267. doi: 10.1016/S0140-6736(13)61501-9. [DOI] [PubMed] [Google Scholar]
- 25.Chakravarthy U, Harding SP, Rogers CA, et al. A randomised controlled trial to assess the clinical effectiveness and cost-effectiveness of alternative treatments to Inhibit VEGF in Age-related choroidal Neovascularisation (IVAN) Health Technol Assess. 2015;19(78):1. doi: 10.3310/hta19780. [DOI] [PMC free article] [PubMed] [Google Scholar]
- 26.Bailey C, Scott LJ, Rogers CA, et al. Intralesional macular atrophy in anti-vascular endothelial growth factor therapy for age-related macular degeneration in the IVAN trial. Ophthalmology. 2019;126:75–86. doi: 10.1016/j.ophtha.2018.07.013. [DOI] [PubMed] [Google Scholar]
- 27.Sadda SR, Tuomi L, Ding B, et al. Macular atrophy in the HARBOR study for neovascular age related macular degeneration. Ophthalmology. 2018;125(6):878–886. doi: 10.1016/j.ophtha.2017.12.026. [DOI] [PubMed] [Google Scholar]
- 28.Rebhun C, Moreira-Neto C, Gune S, et al. Macular atrophy in neovascular age-related macular degeneration. A pilot post hoc analysis of patients with pigment epithelial detachments. Retina. 10.1097/IAE.0000000000002402. [DOI] [PubMed]
- 29.Lois N, McBain V, Abdelkader E, Scott NW, Kumari R. Retinal pigment epithelial atrophy in patients with exudative age-related macular degeneration undergoing anti-vascular endothelial growth factor therapy. Retina. 2013;33:13–22. doi: 10.1097/IAE.0b013e3182657fff. [DOI] [PubMed] [Google Scholar]
- 30.Kumar M, Mrejen S, Fung AT, Marsiglia M, Loh BK, Spaide RF. Retinal pigment epithelial cell loss assessed by fundus autofluorescence imaging in neovascular age-related macular degeneration. Ophthalmology. 2013;120(2):334–341. doi: 10.1016/j.ophtha.2012.07.076. [DOI] [PubMed] [Google Scholar]
- 31.Young M, Chui L, Fallah N, et al. Exacerbation of choroidal and retinal pigment epithelial atrophy after anti-vascular endothelial growth factor treatment in neovascular age-related macular degeneration. Retina. 2014;34:1308–1315. doi: 10.1097/IAE.0000000000000081. [DOI] [PubMed] [Google Scholar]
- 32.Gillies MC, Campain A, Barthelmes D, et al. Long-term outcomes of treatment of neovascular age-related macular degeneration-data from an observational study. Ophthalmology. 2015;122:1837–1845. doi: 10.1016/j.ophtha.2015.05.010. [DOI] [PubMed] [Google Scholar]
- 33.Schütze C, Wedl M, Baumann B, Pircher M, Hitzenberger CK, Schmidt-Erfurth U. Progression of retinal pigment epithelial atrophy in antiangiogenic therapy of neovascular age-related macular degeneration. Am J Ophthalmol. 2015;159(6):1100–1114. doi: 10.1016/j.ajo.2015.02.020. [DOI] [PMC free article] [PubMed] [Google Scholar]
- 34.Tanaka E, Chaikitmongkol V, Bressler SB, Bressler NM. Vision-threatening lesions developing with longer-term follow-up after treatment of neovascular age-related macular degeneration. Ophthalmology. 2015;122:153–161. doi: 10.1016/j.ophtha.2014.07.046. [DOI] [PubMed] [Google Scholar]
- 35.Cho HJ, et al. Risk factors for geographic atrophy after intravitreal ranibizumab injections for retinal angiomatous proliferation. Am J Ophthalmol. 2015;159:285–292. doi: 10.1016/j.ajo.2014.10.035. [DOI] [PubMed] [Google Scholar]
- 36.Xu L, Mrejen S, Jung JJ, et al. Geographic atrophy in patients receiving anti-vascular endothelial growth factor for neovascular age-related macular degeneration. Retina. 2015;35:176–186. doi: 10.1097/IAE.0000000000000374. [DOI] [PubMed] [Google Scholar]
- 37.Kuroda Y, Yamashiro K, Tsujikawa A, et al. Retinal pigment epithelial atrophy in neovascular age-related macular degeneration after ranibizumab treatment. Am J Ophthalmol. 2016;161:94–103. doi: 10.1016/j.ajo.2015.09.032. [DOI] [PubMed] [Google Scholar]
- 38.Kuroda Y, Yamashiro K, Ooto S, et al. Macular atrophy and macular morphology in aflibercept-treated neovascular age-related macular degeneration. Retina. 2017;38:1743–1750. doi: 10.1097/IAE.0000000000001765. [DOI] [PubMed] [Google Scholar]
- 39.Arevalo JF, Lasave AF, Wu L, et al. Intravitreal bevacizumab for choroidal neovascularization in age-related macular degeneration: 55-year results of the Pan-American Collaborative Retina Study Group. Retina. 2016;36(5):859–867. doi: 10.1097/IAE.0000000000000827. [DOI] [PubMed] [Google Scholar]
- 40.Thavikulwat AT, Jacobs-El N, Kim JS, et al. Evolution of geographic atrophy in participants treated with ranibizumab for neovascular age related macular degeneration. Ophthalmol Retina. 2017;1(1):34–41. doi: 10.1016/j.oret.2016.09.005. [DOI] [PMC free article] [PubMed] [Google Scholar]
- 41.Munk M, Ceklic L, Ebneter A, et al. Macular atrophy in patients with long-term anti-VEGF treatment for neovascular age-related macular degeneration. Acta Ophthalmol. 2016;94:e757–e764. doi: 10.1111/aos.13157. [DOI] [PubMed] [Google Scholar]
- 42.Abdelfattah NS, Al-Sheikh M, Pitetta S, et al. Macular atrophy in neovascular age-related macular degeneration with monthly versus treat-and-extend ranibizumab: findings from the TREX-AMD trial. Ophthalmology. 2017;124:215–223. doi: 10.1016/j.ophtha.2016.10.002. [DOI] [PubMed] [Google Scholar]
- 43.Fan W, Abdelfattah NS, Uji A, et al. Subfoveal choroidal thickness predicts macular atrophy in age-related macular degeneration: results from the TREX-AMD trial. Graefes Arch Clin Exp Ophthalmol. 2018;256(3):511–8. [DOI] [PubMed]
- 44.Wons J, Wirth MA, Graf N, Becker MD, Michels S. Comparison of progression rate of retinal pigment epithelium loss in patients with neovascular age-related macular degeneration treated with ranibizumab and aflibercept. J Ophthalmol. 2017;2017:7432739. [DOI] [PMC free article] [PubMed]
- 45.Hata M, Yamashiro K, Oishi A, et al. Retinal pigment epithelial atrophy after anti-vascular endothelial growth factor injections for retinal angiomatous proliferation. Retina. 2017;37(11):2069–2077. doi: 10.1097/IAE.0000000000001457. [DOI] [PubMed] [Google Scholar]
- 46.Zarubina AV, Gal-Or O, Huisingh CE, Owsley C. Macular atrophy development and subretinal drusenoid deposits in anti-vascular endothelial growth factor treated age-related macular degeneration. Invest Ophthalmol Vis Sci. 2017;58(14):6038–6045. doi: 10.1167/iovs.17-22378. [DOI] [PMC free article] [PubMed] [Google Scholar]
- 47.Li A, Rieveschl NB, Conti FF, et al. Long-term assessment of macular atrophy in patients with age-related macular degeneration receiving anti–vascular endothelial growth factor. Ophthalmol Retina. 2017;2(6):550–557. doi: 10.1016/j.oret.2017.10.010. [DOI] [PubMed] [Google Scholar]
- 48.Sitnilska V, Altay L, Enders P, et al. Onset of retinal pigment epithelium atrophy subsequent to anti-VEGF therapy in patients with neovascular age-related macular degeneration. Ophthalmologica. 2019;241:154–160. doi: 10.1159/000492924. [DOI] [PubMed] [Google Scholar]
- 49.Domalpally A, Danis RP, Trane R, Blodi BA, Clemons TE, Chew EY. Atrophy in neovascular age-related macular degeneration: age-related eye disease study 2 report number 15. Ophthalmol Retina. 2018;2(10):1021–1027. doi: 10.1016/j.oret.2018.04.009. [DOI] [PMC free article] [PubMed] [Google Scholar]
- 50.Mantel I, Zola M, De Massougnes S, et al. Factors influencing macular atrophy growth rates in neovascular age-related macular degeneration treated with ranibizumab or aflibercept according to an observe-and-plan regimen. Br J Ophthalmol. 2019;103:900–905. doi: 10.1136/bjophthalmol-2018-312430. [DOI] [PubMed] [Google Scholar]
- 51.Mantel I, Dirani A, Zola A, et al. Macular atrophy incidence in anti-vascular endothelial growth factor-treated neovascular age-related macular degeneration. Risk factor evaluation for individualized treatment need of ranibizumab or aflibercept according to an observe-and-plan regimen. Retina. 2019;39:906–917. doi: 10.1097/IAE.0000000000002054. [DOI] [PMC free article] [PubMed] [Google Scholar]
- 52.Wada I, Oshima Y, Shiose S, et al. Five-year treatment outcomes following intravitreal ranibizumab injections for neovascular age-related macular degeneration in Japanese patients. Graefes Arch Clin Exp Ophthalmol. 2019;257:1411. doi: 10.1007/s00417-019-04361-8. [DOI] [PubMed] [Google Scholar]
- 53.Sadda SR, Guymer R, Holz FG, et al. Consensus definition for atrophy associated with age-related macular degeneration on OCT: classification of atrophy report 3. Ophthalmology. 2017;125:537–548. doi: 10.1016/j.ophtha.2017.09.028. [DOI] [PMC free article] [PubMed] [Google Scholar]
- 54.Wu Z, Luu CD, Ayton LN, et al. Optical coherence tomography-defined changes preceding the development of drusen-associated atrophy in age-related macular degeneration. Ophthalmology. 2014;121:2415–2422. doi: 10.1016/j.ophtha.2014.06.034. [DOI] [PubMed] [Google Scholar]
- 55.Schaal KB, Gregori G, Rosenfeld PJ. En face optical coherence tomography imaging for the detection of nascent geographic atrophy. Am J Ophthalmol. 2017;174:145–154. doi: 10.1016/j.ajo.2016.11.002. [DOI] [PubMed] [Google Scholar]
- 56.Toth CA, Tai V, Pistilli M, et al. Distribution of OCT features within areas of macular atrophy or scar after 2 years of anti-VEGF treatment for neovascular AMD in CATT. Ophthalmol Retina. 2019;3(4):316–325. doi: 10.1016/j.oret.2018.11.011. [DOI] [PMC free article] [PubMed] [Google Scholar]
- 57.Willoughby AS, Ying GS, Toth CA, et al. Comparison of age-related macular degeneration treatments trials research group. Subretinal hyperreflective material in the comparison of age-related macular degeneration treatments trials. Ophthalmology. 2015;122(9):1846–1853.e5. doi: 10.1016/j.ophtha.2015.05.042. [DOI] [PMC free article] [PubMed] [Google Scholar]
- 58.Lee JY, Folgar FA, Maguire MG, et al. Outer retinal tubulation in the comparison of age-related macular degeneration treatments trials (CATT) Ophthalmology. 2014;121(12):2423–2431. doi: 10.1016/j.ophtha.2014.06.013. [DOI] [PMC free article] [PubMed] [Google Scholar]
- 59.Picton F, Muldrew KA, Reeves B, et al. Morphological features and determinants of new geographic atrophy developing in participants in the IVAN trial. Invest Ophthalmol Vis Sci. 2014;55:4977. [Google Scholar]
- 60.Busbee BG, Ho AC, Brown DM, et al. Twelve-month efficacy and safety of 0.5 mg or 2.0 mg ranibizumab in patients with subfoveal neovascular age-related macular degeneration. Ophthalmology. 2013;120(5):1046–1056. doi: 10.1016/j.ophtha.2012.10.014. [DOI] [PubMed] [Google Scholar]
- 61.Holz FG, Tuomi L, Ding B, Hopkins JJ. Development of atrophy in neovascular AMD treated with ranibizumab in the HARBOR study. Invest Ophthalmol Vis Sci. 2015;56(7):890. [Google Scholar]
- 62.Sarraf D, London NJS, Khurana RN, et al. Ranibizumab treatment for pigment epithelial detachment secondary to neovascular age-related macular degeneration post hoc analysis of the HARBOR study. Ophthalmology. 2016;123:2213–2224. doi: 10.1016/j.ophtha.2016.07.007. [DOI] [PubMed] [Google Scholar]
- 63.Abdelfattah NS, Zhang H, Boyer DS, Sadda SR. Progression of macular atrophy in patients with neovascular age-related macular degeneration undergoing antivascular endothelial growth factor therapy. Retina. 2016;36:1843–1850. doi: 10.1097/IAE.0000000000001059. [DOI] [PubMed] [Google Scholar]
- 64.Yehoshua Z, Rosenfeld PJ, Gregori G, et al. Progression of geographic atrophy in age-related macular degeneration imaged with spectral domain optical coherence tomography. Ophthalmology. 2011;118:679–686. doi: 10.1016/j.ophtha.2010.08.018. [DOI] [PMC free article] [PubMed] [Google Scholar]
- 65.Sunness JS, Margalit E, Srikumaran D, et al. The long-term natural history of geographic atrophy from age-related macular degeneration. Enlargement of atrophy and implications for interventional clinical trials. Ophthalmology. 2007;114:271–277. doi: 10.1016/j.ophtha.2006.09.016. [DOI] [PMC free article] [PubMed] [Google Scholar]
- 66.Holz FG, Bindewald-Wittich A, Fleckenstein M, et al. Progression of geographic atrophy and impact of fundus autofluorescence patterns in age-related macular degeneration. Am J Ophthalmol. 2007;143:463–472. doi: 10.1016/j.ajo.2006.11.041. [DOI] [PubMed] [Google Scholar]
- 67.Yehoshua Z, de Amorim Garcia Filho CA, Nunes RP, et al. Comparison of geographic atrophy growth rates using different imaging modalities in the COMPLETE study. Ophthalmic Surg Lasers Imaging Retina. 2015;46(4):413–422. doi: 10.3928/23258160-20150422-03. [DOI] [PubMed] [Google Scholar]
- 68.Klein R, Meuer SM, Knudtson MD, Klein BE. The epidemiology of progression of pure geographic atrophy: the Beaver Dam Eye Study. Am J Ophthalmol. 2008;146(5):692–699. doi: 10.1016/j.ajo.2008.05.050. [DOI] [PMC free article] [PubMed] [Google Scholar]
- 69.Kaya F. Change in choroidal thickness after intravitreal injection for treatment of neovascular age-related macular degeneration: ranibizumab versus aflibercept. J Fr Ophtalmol. 2017;40(10):832–838. doi: 10.1016/j.jfo.2017.04.014. [DOI] [PubMed] [Google Scholar]
- 70.Kim JH, Lee TG, Chang YS, Kim CG, Cho SW. Short-term choroidal thickness changes in patients treated with either ranibizumab or aflibercept: a comparative study. Br J Ophthalmol. 2016;100(12):1634–1639. doi: 10.1136/bjophthalmol-2015-308074. [DOI] [PubMed] [Google Scholar]
- 71.Mazaraki K, Fassnacht-Riederle H, Blum R, et al. Change in choroidal thickness after intravitreal aflibercept in pretreated and treatment-naive eyes for neovascular age-related macular degeneration. Br J Ophthalmol. 2015;99:1341–1344. doi: 10.1136/bjophthalmol-2015-306636. [DOI] [PMC free article] [PubMed] [Google Scholar]
- 72.Takasago Y, Shiragami C, Kobayashi M, et al. Macular atrophy findings by optical coherence tomography angiography compared with fundus autofluorescence in treated exudative age-related macular degeneration. Retina. 2019;39:296–302. doi: 10.1097/IAE.0000000000001980. [DOI] [PMC free article] [PubMed] [Google Scholar]
- 73.Mastropasqua L, Toto L, Borrelli E, Carpineto P, Di Antonio L, Mastropasqua R. Optical coherence tomography angiography assessment of vascular effects occurring after aflibercept intravitreal injections in treatment-naive patients with wet age-related macular degeneration. Retina. 2017;37:247–256. doi: 10.1097/IAE.0000000000001145. [DOI] [PubMed] [Google Scholar]
- 74.Julien S, Biesemeier A, Taubitz T, et al. Different effects of intravitreally injected ranibizumab and aflibercept on retinal and choroidal tissues of monkey eyes. Br J Ophthalmol. 2014;98:813–825. doi: 10.1136/bjophthalmol-2013-304019. [DOI] [PubMed] [Google Scholar]
- 75.Sarks J, Tang K, Killingsworth M, Arnold J, Sarks S. Development of atrophy of the retinal pigment epithelium around disciform scars. Br J Ophthalmol. 2006;90:442–446. doi: 10.1136/bjo.2005.083022. [DOI] [PMC free article] [PubMed] [Google Scholar]
- 76.Rosenfeld PJ, Shapiro H, Tuomi L, et al. Characteristics of patients losing vision after 2 years of monthly dosing in the phase III ranibizumab clinical trials. Ophthalmology. 2011;118:523–530. doi: 10.1016/j.ophtha.2010.07.011. [DOI] [PubMed] [Google Scholar]
- 77.Sarks JP, Sarks SH, Killingsworth MC. Evolution of geographic atrophy of the retinal pigment epithelium. Eye (Lond) 1988;2:552–577. doi: 10.1038/eye.1988.106. [DOI] [PubMed] [Google Scholar]
- 78.Zanzottera EC, Ach T, Huisingh C, Messinger JD, Spaide RF, Curcio CA. Visualizing retinal pigment epithelium phenotypes in the transition to geographic atrophy in age-related macular degeneration. Retina. 2016;36(suppl 1):S12–S25. doi: 10.1097/IAE.0000000000001276. [DOI] [PMC free article] [PubMed] [Google Scholar]
- 79.Zanzottera EC, Ach T, Huisingh C, Messinger JD, Freund KB, Curcio CA. Visualizing retinal pigment epithelium phenotypes in the transition to atrophy in neovascular age-related macular degeneration. Retina. 2016;36(suppl 1):S26–S39. doi: 10.1097/IAE.0000000000001330. [DOI] [PMC free article] [PubMed] [Google Scholar]
- 80.Schmitz-Valckenberg S, Fleckenstein M, Göbel AP, Hohman TC, Holz FG. Optical coherence tomography and autofluorescence findings in areas with geographic atrophy due to age-related macular degeneration. Invest Ophthalmol Vis Sci. 2011;52(1):1–6. doi: 10.1167/iovs.10-5619. [DOI] [PubMed] [Google Scholar]
- 81.Bird AC, Phillips RL, Hageman GS. Geographic atrophy: a histopathological assessment. JAMA Ophthalmol. 2014;132(3):338–345. doi: 10.1001/jamaophthalmol.2013.5799. [DOI] [PMC free article] [PubMed] [Google Scholar]
- 82.Joachim N, Mitchell P, Kifley A, Rochtchina E, Hong T, Wang J. Incidence and progression of geographic atrophy: observations from a population-based cohort. Ophthalmology. 2013;120(10):2042–2050. doi: 10.1016/j.ophtha.2013.03.029. [DOI] [PubMed] [Google Scholar]
- 83.Xu L, Blonska AM, Pumariega NM. Reticular macular disease is associated with multilobular geographic atrophy in age-related macular degeneration. Retina. 2013;33(9):1850–1862. doi: 10.1097/IAE.0b013e31828991b2. [DOI] [PMC free article] [PubMed] [Google Scholar]
- 84.Fleckenstein M, Mitchell P, Freund KB, et al. The progression of geographic atrophy secondary to age-related macular degeneration. Ophthalmology. 2018;125(3):369–390. doi: 10.1016/j.ophtha.2017.08.038. [DOI] [PubMed] [Google Scholar]
- 85.Davis MD, Gangnon RE, Lee LY, et al. The Age-Related Eye Disease Study severity scale for age-related macular degeneration: AREDS report no. 17. Arch Ophthalmol. 2005;123(11):1484–1498. doi: 10.1001/archopht.123.11.1484. [DOI] [PMC free article] [PubMed] [Google Scholar]
- 86.Lindblad AS, Lloyd PC, Clemons TE, et al. Change in area of geographic atrophy in the Age-Related Eye Disease Study: AREDS report number 26. Arch Ophthalmol. 2009;127(9):1168–1174. doi: 10.1001/archophthalmol.2009.198. [DOI] [PMC free article] [PubMed] [Google Scholar]
- 87.McLeod DS, Grebe R, Bhutto I, Merges C, Baba T, Lutty GA. Relationship between RPE and choriocapillaris in age-related macular degeneration. Invest Ophthalmol Vis Sci. 2009;50(10):4982–4991. doi: 10.1167/iovs.09-3639. [DOI] [PMC free article] [PubMed] [Google Scholar]
- 88.Bhutto I, Lutty G. Understanding age-related macular degeneration (AMD): relationships between the photoreceptor/retinal pigment epithelium/Bruch’s membrane/choriocapillaris complex. Mol Aspects Med. 2012;33(4):295–317. doi: 10.1016/j.mam.2012.04.005. [DOI] [PMC free article] [PubMed] [Google Scholar]
- 89.Danis RP, Lavine JA, Domalpally A. Geographic atrophy in patients with advanced dry age-related macular degeneration: current challenges and future prospects. Clin Ophthalmol. 2015;9:2159–2174. doi: 10.2147/OPTH.S92359. [DOI] [PMC free article] [PubMed] [Google Scholar]
- 90.Bindewald A, Schmitz-Valckenberg S, Jorzik JJ, et al. Classification of abnormal fundus autofluorescence patterns in the junctional zone of geographic atrophy in patients with age related macular degeneration. Br J Ophthalmol. 2005;89(7):874–878. doi: 10.1136/bjo.2004.057794. [DOI] [PMC free article] [PubMed] [Google Scholar]
- 91.McLeod DS, Taomoto M, Otsuji T, Green WR, Sunness JS, Lutty GA. Quantifying changes in RPE and choroidal vasculature in eyes with age-related macular degeneration. Invest Ophthalmol Vis Sci. 2002;43(6):1986–1993. [PubMed] [Google Scholar]
- 92.Channa R, Sophie R, Bagheri S, et al. Regression of choroidal neovascularization results in macular atrophy in anti-vascular endothelial growth factor-treated eyes. Am J Ophthalmol. 2015;159(1):9–19.e1-2. doi: 10.1016/j.ajo.2014.09.012. [DOI] [PMC free article] [PubMed] [Google Scholar]
- 93.Pfau M, Möller PT, Künzel SH, et al. Type 1 choroidal neovascularisation is associated with reduced localized progression of atrophy in age-related macular degeneration. Ophthalmol Retina. 10.1016/j.oret.2019.09.016. [DOI] [PubMed]
- 94.Dhrami-Gavazi E, Balaratnasingam C, Lee W, et al. Type 1 neovascularization may confer resistance to geographic atrophy amongst eyes treated for neovascular age-related macular degeneration. Int J Retina Vitreous. 2015;1:15. doi: 10.1186/s40942-015-0015-6. [DOI] [PMC free article] [PubMed] [Google Scholar]
- 95.Monés J, Rodríguez-Bocanegra E, Biarnés M. Asymetric growth of macular atrophy associated with underlying mature, nonexudative choroidal neovascularisation. Retin Cases Brief Rep. 2019. 10.1097/ICB.0000000000000888. [DOI] [PubMed]
- 96.Fleckenstein M, Wolf-Schnurrbusch U, Wolf S, von Strachwitz C, Holz FG, Schmitz-Valckenberg S. Imaging diagostics of geographic atrophy. Ophthalmologe. 2010;107(11):1007–1015. doi: 10.1007/s00347-010-2159-y. [DOI] [PubMed] [Google Scholar]
- 97.Göbel AP, Fleckenstein M, Schmitz-Valckenberg S, Brinkmann CK, Holz FG. Imaging geographic atrophy in age-related macular degeneration. Ophthalmologica. 2011;226(4):182–190. doi: 10.1159/000330420. [DOI] [PubMed] [Google Scholar]
Associated Data
This section collects any data citations, data availability statements, or supplementary materials included in this article.
Data Availability Statement
Data sharing is not applicable to this article as no datasets were generated or analysed during the current study.


