Correction to: Scientific Reports 10.1038/s41598-019-51537-7, published online 22 October 2019
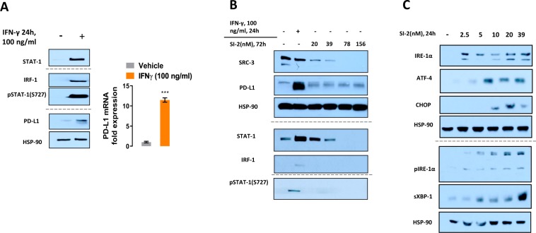
In Figure 2A, IFN is incorrectly spelt as INF. The correct Figure 2 appears below as Figure 1.
Figure 1.
.
Contributor Information
Bert W. O’Malley, Email: berto@bcm.edu
David M. Lonard, Email: dlonard@bcm.edu

