Abstract
Polyacrylamide gel electrophoresis (PAGE) and immunoblotting (Western blotting) are the most common methods in life science. In conjunction with these methods, the polyhistidine-tag has proven to be a superb fusion tag for protein purification as well as specific protein detection by immunoblotting, which led to a vast amount of commercially available antibodies. Nevertheless, antibody batch-to-batch variations and nonspecific binding complicate the laborious procedure. The interaction principle applied for His-tagged protein purification by metal-affinity chromatography using N-nitrilotriacetic acid (NTA) was employed to develop small high-affinity lock-and-key molecules coupled to a fluorophore. These multivalent NTA probes allow specific detection of His-tagged proteins by fluorescence. Here, we report on HisQuick-PAGE as a fast and versatile immunoblot alternative, using such high-affinity fluorescent super-chelator probes. The procedure allows direct, fast, and ultra-sensitive in-gel detection and analysis of soluble proteins as well as intact membrane protein complexes and macromolecular ribonucleoprotein particles.
Subject terms: Protein-protein interaction networks, Biochemical assays, Chemical modification, Fluorescent dyes, High-throughput screening
Brüchert et al. describe the application of high-affinity super-chelator probes that are linked to a fluorophore for the detection of His-tagged proteins using PAGE. Their system has the advantage over conventional antibody staining in the ease of application and ultra-sensitive detection.
Introduction
Fluorescent probes based on Ni(II)-loaded super-chelator hexavalent N-nitriloacetic acid (hexaNTAfluorophore) are versatile, reversible, and nondisturbing tools for fluorescent live-cell labeling of intracellular histidine-tagged proteins and in-situ imaging by super-resolution microscopy (Fig. 1). The super-chelator and a His-tag constitute a small-molecule interaction pair with (sub)nanomolar affinities and high kinetic stability (koff ≈ 10−6 s−1)1. Commercially available monovalent N-nitriloacetic acid (monoNTA) probes lack these properties (KD ≈ 14 µM; koff ≈ 1 s−1), and thus cannot be used as antibody-like probes for His-tagged proteins2,3. The trivalent N-nitriloacetic acid (trisNTA) exhibits a nanomolar affinity (KD = 9.5 ± 0.1 nM) (Fig. 1)4,5 as well as a low intracellular background in living systems5–7. Different dissociation rates for hexaNTA and trisNTA enable kinetic tracing of fusion proteins with commonly used His-tags1. Fluorescent multivalent chelator probes may also offer specific and stable labeling for convenient ultrafast protein detection in polyacrylamide gel electrophoresis (PAGE). Here, we report on various in-gel fluorescence methods summarized as HisQuick-PAGE (Quick His-tag detection). We elaborate that the super-chelator hexaNTAfluorophore allows nearly background-free in-gel detection of His10- or His12-tagged proteins in sodium dodecyl sulfate (SDS)-PAGE. Moreover, we show specific and robust visualization of His6- to His12-tagged proteins by either tris- or hexaNTAfluorophore in native PAGE. Representing a method for the rapid and generic detection of various targets, ranging from soluble proteins to membrane-associated multi-protein complexes and macromolecular assemblies, HisQuick-PAGE offers a versatile and robust alternative to immunoblotting.
Fig. 1. Chemical structures of the multivalent chelator probes trisNTA and hexaNTA.
The interaction towards His-tagged proteins is based on an octahedral complex of the NTA moiety and the ligand histidine side chains (X) chelating a Ni(II) ion. Due to six individual complex formations, a single super-chelator hexaNTA probe forms kinetically highly stable interactions. As probes for in-gel protein detection during HisQuick-PAGE, the multivalent chelators are covalently coupled to the fluorophore Alexa647 via a carboxy (trisNTA) or thiol modification (hexaNTA).
Results
His-tag labeling by fluorescent NTA probes in SDS-PAGE
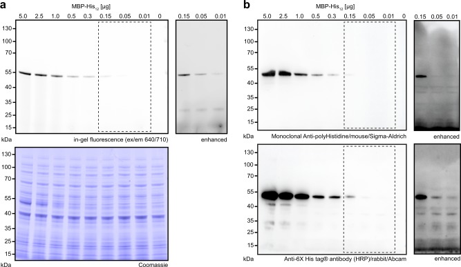
To demonstrate the possibilities of multivalent chelator probes for gel electrophoresis analyses combined with in-gel detection while bypassing any further washing and staining procedures, we used the maltose-binding protein (MBP) harboring a C-terminal His6-, His10-, or His12-tag as reference. His-tagged proteins were incubated with trisNTAfluorophore or hexaNTAfluorophore (Fig. 2). We first analyzed specific labeling by discontinuous SDS-PAGE (non-reducing) and in-gel fluorescence utilizing the bright, photostable organic fluorophore Alexa647 for sensitive detection8. Immediately after electrophoresis and without any additional washing or staining procedures, we recorded the fluorescence of the labeled proteins. In stark contrast to trisNTAAlexa647, high signal-to-background labeling of His10- and His12-tagged proteins was visible by hexaNTAAlexa647 (Fig. 3a). A slight upshift of the labeled protein was observed by Coomassie staining (Supplementary Fig. 1). To investigate the detection limit of our in-gel labeling method, we titrated various concentrations of the His12-tagged protein preincubated with hexaNTAAlexa647 (450 nM). In non-reducing SDS-PAGE, 10 ng (230 fmol) of MBP-His12 were detected by in-gel fluorescence (Fig. 3b, Table 1). In contrast, only 0.3 µg (7 pmol) of protein were visualized by Coomassie staining. We next examined protein labeling under reducing conditions (Fig. 3c). Prior to the addition of hexaNTAAlexa647, His12-tagged proteins were incubated at 95 °C in SDS-loading buffer containing various concentrations of dithiothreitol (DTT). Labeling of His12-tagged proteins was not affected by reducing agent, owing to the high kinetic stability of the super-chelator/His-tag complex. In the presence of 250 mM DTT, which is a concentration commonly used in SDS-PAGE loading buffers, we observed no decrease in the labeling efficiency (Fig. 3c).
Fig. 2. HisQuick-PAGE for selective and ultrafast in-gel fluorescence detection.
a Scheme of the labeling procedure under native (1) or denaturating (2) conditions. For native HisQuick-PAGE detection, samples containing His6–12-tagged target proteins are labeled either by trisNTAAlexa647 or hexaNTAAlexa647 and immediately detected after electrophoresis. For denaturating HisQuick-PAGE, samples containing His10–12-tagged target proteins are incubated with loading dye containing a reducing reagent at 95 °C, labeled by hexaNTAAlexa647, and immediately detected after SDS-PAGE. b Quick identification of His-tagged proteins under denaturating conditions or protein-protein interactions, complex formation, or reconstituted membrane proteins under native conditions by in-gel fluorescence. Subsequently, standard Coomassie stains can be applied.
Fig. 3. Sensitivity of fluorescent chelator probes for HisQuick-PAGE detection.
a Detection of different histidine tags (Hisn) fused to the maltose-binding protein (MBP) (2 µg, 45 pmol) using trisNTAAlexa647 or hexaNTAAlexa647 (0.45 µM, 7 pmol) by non-reducing SDS-PAGE analysis. b Non-reducing SDS-PAGE detection limit of MBP-His12 by Coomassie or hexaNTAAlexa647 and shift of labeled protein. c HisQuick-PAGE of MBP-His12 (2.5 µg, 60 pmol) incubated at 95 °C (10 min) in the presence of increasing concentrations of reducing agent (DTT, 0–250 mM) prior to hexaNTAAlexa647 (0.45 µM, 7 pmol) labeling.
Table 1.
Detection limits of reference protein MBP-His12.
| Detection system | Detection limit (µg) | Detection limit (pmol) |
|---|---|---|
| InstantBlueTM | 0.3–0.5 | 7–12 |
| Anti-polyHistidine mAb/mouse/Sigma-Aldrich | 0.10–0.15 | 2–3 |
| Anti-6X His tag® antibody (HRP)/rabbit/Abcam | ∼0.01 | ∼0.2 |
| HisQuick-PAGE | ∼0.01 | ∼0.2 |
Specific protein labeling in cell lysates by HisQuick-PAGE
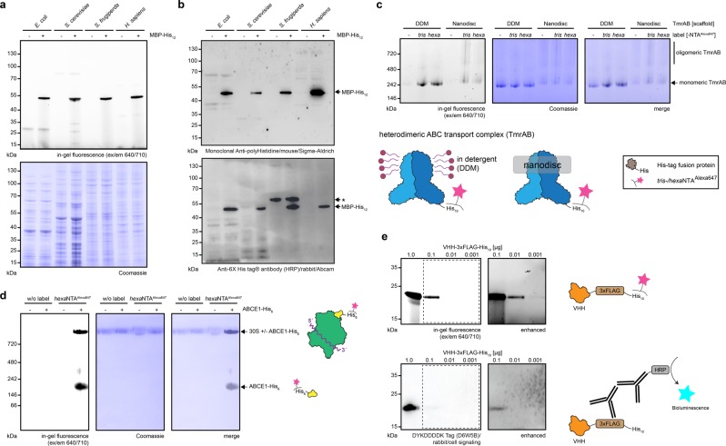
Impelled by the observation that His6-tagged proteins were not detected by hexaNTAAlexa647 in SDS-PAGE, we rationalized that HisQuick-PAGE (Fig. 2) is less prone to endogenous histidine-rich proteins causing background labeling. Accordingly, we investigated the labeling efficiency and specificity in cell lysates by in-gel fluorescence using hexaNTAAlexa647 (Fig. 4a) and by conventional immunoblotting (Fig. 4b). E. coli lysates containing various amounts of His12-tagged proteins were denaturated by reducing SDS-PAGE loading buffer at 95 °C, subsequently incubated with hexaNTAAlexa647 at room temperature, and analyzed by SDS-PAGE. Remarkably, hexaNTAAlexa647 labeling of His-tagged proteins in cell lysate under reducing conditions exhibited a similar sensitivity compared with isolated proteins. Only high amounts were visible within the lysate by Coomassie staining (Fig. 4a). We did not observe nonspecific hexaNTA labeling, demonstrating the high selectivity of HisQuick-PAGE. Hence, this method enables a robust protein detection equivalent to the most common immunoblotting methods (Fig. 2, Table 1)9,10. Since background labeling might occur when using different expression hosts, we analyzed bacterial, yeast, insect, and human cell lysates containing 300 ng (7 pmol) of His12-tagged proteins by immunoblotting and with an equimolar amount of hexaNTAAlexa647 (7 pmol). We detected a high signal-to-background labeling, independent of the commonly used expression hosts (Fig. 5a, b).
Fig. 4. Specific and sensitive detection of recombinant proteins in cell lysates by HisQuick-PAGE.
a Different amounts of His-tagged MBP-His12 10 ng–5 µg (0.23–115 pmol) in E. coli lysate (2.5 µg of total protein) revealed the detection limit of hexaNTAAlexa647 (0.45 µM, 7 pmol). Prolonged exposure visualized 10 ng (230 fmol) of MBP-His12. b Detection of MBP-His12 using the same SDS-PAGE conditions by immunoblot and two different anti-His antibodies.
Fig. 5. Selective protein detection in SDS-PAGE and native PAGE by fluorescent chelator probes.
a, b Detection of His12-tagged reference proteins (300 ng, 7 pmol) in cell lysates of bacterial and various eukaryotic origins (2.5 µg total protein) by hexaNTAAlexa647 (a) or immunoblotting using two different primary antibodies (b). *, nonspecific band. c Detection of a purified His10-tagged membrane protein complex (TmrAB, 1.3 µg, 500 nM) in two different commonly used membrane mimetics (DDM and MSP1D1 nanodiscs) were tested on a blue native PAGE by tris- and hexaNTAAlexa647 (450 nM). d Visualization of protein complexes containing a His6-tagged component on native PAGE. Non-tagged 30S ribosomal subunit (8 pmol) with fourfold molar equivalence of ABCE1-His6 (32 pmol, 2.3 µg) was used to verify the formation of the 30S·ABCE1-His6 post-splitting complex. Due to the low amount of ABCE1-His6, the His-tagged recycling factor was not visualized by Coomassie staining15. e Direct contrast of denaturating HisQuick-PAGE using hexaNTAAlexa647 (450 nM) and 3xFLAG immunoblot detection using various amounts of purified 3xFLAG- and His10-tagged reference protein (nanobody C-terminally fused to 3xFLAG- and His10-tag).
Intact protein complexes analyzed by HisQuick-PAGE
For further implementations, we adapted the HisQuick-PAGE method toward native PAGE and in-gel fluorescence analysis (Fig. 2). We concluded that less harsh conditions enable the detection of recombinant proteins with shorter His-tags and allow labeling by trisNTA. The analysis of solubilized or reconstituted membrane proteins in their physiological assembled state is a key feature of the blue native PAGE (BN-PAGE)11. However, Coomassie might mask small amounts of diffusely migrating or solubilized proteins. Therefore, we labeled a purified His10-tagged heterodimeric ABC transporter (Thermus thermophilus multidrug-resistance proteins A and B, TmrAB) using either trisNTAAlexa647 or hexaNTAAlexa647 in a detergent solubilized state (n-dodecyl-β-D-maltoside, DDM) or reconstituted in lipid nanodiscs (membrane scaffold protein MSP1D1)12,13. Strikingly, HisQuick-PAGE revealed a background-free labeling of the His10-tagged reference with both the trisNTA- and the hexaNTA probe. The two detections are not affected by Coomassie, detergent, or lipid nanodiscs (Fig. 5c). Specific His6- and His12-tagged reference detection by both fluorescent chelator probes was robustly unaffected in BN-PAGE (Supplementary Fig. 2). As native PAGE allows the visualization of even very fragile complexes14, we finally combined the sensitive and stable hexaNTAfluorophore detection with a clear native PAGE (CN-PAGE) of ribonucleoprotein (RNP) complexes. We utilized the ribosome recycling factor ABCE1-His6 forming the post-splitting complex with the 30S ribosome. Conditions that trigger the formation of the post-splitting complex 30S·ABCE1 were previously established15. ABCE1 and 30S subunits migrated as distinct bands while the formation of the post-splitting complex showed a fluorescent signal at high molecular weight of ~1 MDa (Fig. 5d). Owing to the protein amount used for this HisQuick-PAGE assay, non-complexed ABCE1-His6 was only visualized by hexaNTAAlexa647. These results demonstrate that trisNTAAlexa647 and hexaNTAAlexa647 label His6–12-tagged proteins in native PAGE, in contrast to the denaturating SDS-PAGE displaying a distinct preference for His10- or His12-tags. Moreover, due to a larger range of separation on the native PAGE with around 20 kDa to 2 MDa, a slight upshift caused by the label, as seen for MBP-His12 on the SDS-PAGE, was not observed. Thus, the applicability of the labeling procedure on native PAGE (Fig. 4) proves that HisQuick-PAGE is a better alternative than the corresponding, more tedious native PAGE blotting procedure14,16.
HisQuick-PAGE versus epitope-based immunodetection
In addition, we analyzed the detection limit of denaturating HisQuick-PAGE in contrast to an established fusion tag commonly used for immunodetection. For this purpose, we provided a double-tagged anti-GFP nanobody with a C-terminal 3xFLAG-tag followed by a His10-tag as a reference protein. Side-by-side, we detected various amounts of reference levels using HisQuick-PAGE that tracks the His10-tag or immunoblotting, which targets the 3xFLAG-tag by an appropriate FLAG-epitope antibody. We observed a detection limit of our reference using denaturing HisQuick-PAGE around 10 ng, whereas the detection limit of the anti-FLAG immunoblot was around 100 ng (Fig. 5e). The results show that HisQuick-PAGE is not only comparable with other currently used tags for immunodetection but can also detect even lower amounts of target proteins.
Discussion
We demonstrated that HisQuick-PAGE enables a direct, fast, and versatile detection for His-tagged proteins and protein complexes. Even the reducing environment by the addition of thiol reagents in SDS-PAGE did not affect the high affinity and kinetic stability of the small interaction pair. Furthermore, we did not detect background staining caused by nonspecific binding in the cell lysate. Hence, this fast and generic method circumvents blot membrane transfer issues and well-known cross-reactivity problems with His-tag-specific antibodies in immunoblotting. Finally, soluble and membrane proteins either solubilized in detergents or reconstituted in lipid nanodiscs as well as ribonucleoprotein complexes were detected at a high signal-to-background ratio in blue or clear native PAGE by trisNTAfluorophore or hexaNTAfluorophore. Given the dominant use of His-tagged proteins in life science, we anticipate that this set of HisQuick-PAGE applications will extend the range of established methods in the field17,18.
HisQuick-PAGE requires minimal amounts of tris- or hexaNTA probes at nanomolar concentrations. Possibly the concentrations may be lowered depending on the protein of interest, especially if His10- or His12-tagged proteins are detected in native PAGE. However, the optimal design of scaffold, linker, and chelator head is crucial to the high affinity and kinetic stability of the chelator probes5. In addition, the exchange of Ni(II) toward Co(III) might further enhance the labeling stability of the His-tag super-chelator complex19,20. This study exhibits the useful combination of multivalent NTA probes coupled to the fluorophore Alexa647, while coupling offers multiple customization possibilities, including the unlimited range of organic fluorophores, nanoparticles, or quantum dots. Especially hexaNTAfluorophore labeling is unaffected by batch-to-batch variations and more sensitive than commercially available stains, providing a versatile alternative to immunoblotting. In addition, this very fast and simplified protocol with a minimum number of steps facilitates reproducibility while still allowing a highly specific detection of His-tagged proteins. HisQuick-PAGE will help to expedite the everyday lab load in general, and it will facilitate the rapid expression analysis of recombinant targets and their complexes in particular.
Methods
Synthesis of fluorescent multivalent chelator probes
To label cyclam-Glu-trisNTA, the amine functionalized variant of cyclam-Glu-trisNTA was coupled to Alexa647 by NHS-labeling, purified by reversed phase C18-HPLC, verified by MALDI-TOF-MS and finally Ni(II) loaded, followed by anion exchange chromatography, according to previous studies1,5. The hexavalent NTA was synthesized by Fmoc-based SPPS, coupled to Alexa647 by maleimide-labeling, verified by MALDI-TOF-MS and purified by anion exchange chromatography after Ni(II) loading, as previously elaborated1.
Purification of proteins
MBP-His6–12 was expressed in E. coli BL21(DE3) and purified via IMAC, as previously described1. Clear native PAGE references ABCE1 and ribosomal subunit 30S were acquired using established protocols15. The heterodimeric integral membrane protein TmrAB was produced in E. coli BL21(DE3), solubilized with DDM, and purified by metal-affinity purification via the C-terminal His10-tag fused to TmrA and by size-exclusion chromatography. The MSP1D1 scaffold protein was produced in E. coli BL21(DE3) and purified by metal-affinity chromatography via an N-terminal His7-tag. Purified, DDM solubilized TmrAB was reconstituted with bovine brain lipid extract in MSP1D1 nanodiscs, as previously described13. The GFP-enhancer nanobody (PDB: 3K1K)21 decorated with a triple FLAG- and His10 tag was kindly provided by Dr. Eric Geertsma.
Cell lysate preparation
Escherichia coli BL21(DE3), Spodoptera frugiperda Sf9, and HeLa Kyoto were pelleted, and resuspended in Dulbecco’s phosphate-buffered saline (DPBS, Gibco, pH 7.3) containing phenylmethylsulfonyl fluoride (PMSF) (1 mM) and DNase I (~0.1 mg ml−1). Cells were disrupted by sonication, and lysates were cleared by centrifugation (15,000 × g). Saccharomyces cerevisiae were pelleted and resuspended in ice-cold lysis buffer (50 mM potassium acetate, 5 mM magnesium acetate, 20 mM HEPES-KOH, pH 7.6) and lysed by vigorous shaking with one cell volume of glass beads for 2 min at 4 °C. Final lysates were obtained by clearing at 4000 × g for 5 min. Sources of cell lines. Escherichia coli: One Shot BL21 (DE3), ThermoFisher Scientific, Invitrogen. Saccharomyces cerevisiae: Gift by Dr. Peter Koetter (EUROSCARF). Spodoptera frugiperda: TriEx Sf9 Cells, Merck, Novagen. Homo sapiens: HeLa Kyoto, DSMZ, Leibniz-Institut.
HisQuick-PAGE labeling
For non-reducing SDS-PAGE labeling, His6–12-tagged proteins were mixed with the multivalent NTAAlexa647 probe (450 nM) and incubated for 1 h at room temperature. After labeling, a corresponding amount of SDS-loading buffer was added, the sample was subsequently loaded and electrophoresis performed. For reducing SDS-PAGE labeling, His10–12-tagged proteins were mixed with reducing SDS-PAGE buffer containing DTT, denaturated at 95 °C for 10 min, cooled down on ice, and incubated with hexaNTAAlexa647 (450 nM) for 1 h at room temperature. Finally, labeling was detected by in-gel fluorescence. Samples were analyzed using NuPAGETM 4–12% Bis-Tris protein gels (1.0 mm, 10-well) and the corresponding NuPAGE MOPS SDS running buffer (20×) from Thermo Scientific. The SDS-loading buffer was provided as a fivefold concentrate containing the following components: 0.02% (w/v) bromophenol blue, 30% (v/v) glycerol, 10% (w/v) SDS, 250 mM Tris-HCl, pH 6.8. For reducing conditions, a corresponding amount of DTT was added, in general 250 mM.
Native HisQuick-PAGE labeling
His6–12-tagged proteins were incubated with hexaNTAAlexa647 (450 nM) for 1 h at room temperature, before being mixed with native PAGE loading buffer. For clear native PAGE electrophoresis, samples were transferred into glycerol (50%, final). After electrophoresis, labeling was visualized by in-gel fluorescence. Samples were separated using NativePAGETM 3–12% Bis-Tris protein gels (1.0 mm, 10-well) from Thermo Scientific. Clear native PAGE buffer components. Cathode buffer contained 50 mM Tricine, 15 mM Bis-Tris HCl, pH 7.0 at 4 °C. The anode buffer consisted of 50 mM Bis-Tris HCl, pH 7.0 at 4 °C. Blue native PAGE buffer components. Cathode buffer contained 50 mM Tricine, 0.004% (w/v) Coomassie G-250 and 15 mM Bis-Tris HCl, pH 7.0 at 4 °C. The anode buffer consisted of 50 mM Bis-Tris HCl, pH 7.0 at 4 °C.
Gel imaging
Gels were imaged with a Fusion FX imaging system (Vilber). The Alexa647 signal was detected with an excitation wavelength of 640 nm and a narrow band pass filter at 710 nm to filter the emission fluorescence signal. Coomassie stained gels were imaged by exposure to visible light.
Immunoblotting
After running SDS-PAGE, the gel was blotted on a nitrocellulose membrane via semi-dry blotting. The transfer buffer contained 25 mM Tris, 100 mM glycine, 0.1% (w/v) SDS, and 20% (v/v) methanol. The protein was efficiently transferred at a constant voltage of 12 V for 30 min. After transfer, the membrane was blocked for 1 h at room temperature in DPBS (supplemented with Bovine Serum Albumin Fraction V (BSA, 2.5% (w/v)) for Sigma-Aldrich primary antibody (monoclonal anti-polyhistidine antibody produced in mouse) and 5% (w/v) for Abcam primary antibody (Anti-6X His-tag antibody (HRP)). For Cell Signaling Technology primary antibody (DYKDDDDK Tag (D6W5B) rabbit monoclonal antibody), the membrane was blocked for 1 h at room temperature in Tris-buffered saline with TWEEN 20 (TBS-T, pH 7.4) supplemented with skimmed milk powder (5% (w/v)). Blocking was followed by three consecutive washing steps with DPBS buffer (Sigma-Aldrich and Abcam primary antibody) or TBS-T (Cell Signaling Technology primary antibody). Subsequently, the membrane was incubated with primary anti-polyhistidine antibody (Sigma-Aldrich: 1:3000 dilution in DPBS supplemented with 1% (w/v) BSA, Abcam: 1:2000 dilution in DPBS supplemented with 2% (w/v) BSA) or anti-FLAG antibody (Cell Signaling Technology (CST): 1:1000 dilution in TBS-T supplemented with 2% (w/v) skimmed milk powder) over night at 8 °C. Incubation with the primary antibody was followed by three consecutive washing steps with DPBS-T buffer (Sigma-Aldrich and Abcam primary antibody) or TBS-T buffer (Cell Signaling Technology primary antibody). Afterward, the membrane was incubated with a secondary antibody horseradish peroxidase (HRP) conjugate for 1 h at room temperature. Sigma-Aldrich primary antibody was followed by Anti-Mouse IgG (Fc specific)–Peroxidase antibody produced in goat (Sigma-Aldrich): 1:20,000 dilution in DPBS. Abcam primary antibody was followed by anti-Rabbit IgG antibody, (H + L) HRP conjugate produced in goat (Sigma-Aldrich): 1:10,000 dilution in DPBS. Cell Signaling Technology primary antibody was followed by anti-Rabbit IgG antibody, (H + L) HRP conjugate produced in goat (Sigma-Aldrich): 1:10,000 dilution in TBS-T). Subsequently, antibody incubation was followed by three consecutive washing steps with DPBS-T buffer (Sigma-Aldrich and Abcam primary antibody) or TBS-T buffer (Cell Signaling Technology primary antibody) before imaging. In order to detect the chemiluminescence of HRP coupled antibodies, a commercial ECL solution (Clarity Western ECL Substrate, Bio-Rad) was used, and for detection the Fusion FX imaging system (Vilber) was utilized.
Reporting summary
Further information on research design is available in the Nature Research Reporting Summary linked to this article.
Supplementary information
Acknowledgements
We thank Holger Heinemann for providing the ABCE1 and ribosome post-splitting complexes, Erich Stefan for providing TmrAB reconstituted in MSP1D1 nanodiscs, Dr. Peter Kötter for providing the yeast lysate, and the entire lab for helpful discussions. We gratefully acknowledge Julian Bruckert and Dr. Jenifer Cuesta-Bernal for the generation and preparation of the dual-tagged nanobody. The German Research Foundation (GRK 1986, SFB 902, and SFB 807 to R.T.) and the Volkswagen Foundation (Az. 91 067 to R.T.) supported this work.
Author contributions
S.B. and E.J. performed the presented PAGE experiments. S.B. and E.J. produced and purified the detergent solubilized TmrAB sample. Chemical synthesis of tris- and hexaNTAAlexa647 and protein purification of the MBP variants were performed by K.G. The research was supervised by R.T. S.B., E.J., and R.T. analyzed the data and wrote the paper.
Data availability
The authors declare that all data supporting the findings of this study are available from the corresponding author upon request.
Competing interests
The authors declare no competing interests.
Footnotes
Publisher’s note Springer Nature remains neutral with regard to jurisdictional claims in published maps and institutional affiliations.
These authors contributed equally: Stefan Brüchert, Eike F. Joest.
Supplementary information
Supplementary information is available for this paper at 10.1038/s42003-020-0852-1.
References
- 1.Gatterdam K, Joest EF, Dietz MS, Heilemann M, Tampé R. Super-chelators for advanced protein labeling in living cells. Angew. Chem. Int. Ed. Engl. 2018;57:5620–5625. doi: 10.1002/anie.201800827. [DOI] [PubMed] [Google Scholar]
- 2.Kapanidis, A. N., Ebright, Y. W. & Ebright, R. H. Site-specific incorporation of fluorescent probes intoprotein: hexahistidine-tag-mediated fluorescent labeling with Ni(2+):nitrilotriacetic acid (n)-fluorochrome conjugates. J. Am. Chem. Soc.123,12123–12125 (2001). [DOI] [PubMed]
- 3.Guignet EG, Hovius R, Vogel H. Reversible site-selective labeling of membrane proteins in live cells. Nat. Biotechnol. 2004;22:440–444. doi: 10.1038/nbt954. [DOI] [PubMed] [Google Scholar]
- 4.Lata S, Reichel A, Brock R, Tampé R, Piehler J. High-affinity adaptors for switchable recognition of histidine-tagged proteins. J. Am. Chem. Soc. 2005;127:10205–10215. doi: 10.1021/ja050690c. [DOI] [PubMed] [Google Scholar]
- 5.Gatterdam K, Joest EF, Gatterdam V, Tampé R. The scaffold design of trivalent chelator heads dictates affinity and stability for labeling His-tagged proteins in vitro and in cells. Angew. Chem. Int. Ed. Engl. 2018;57:12395–12399. doi: 10.1002/anie.201802746. [DOI] [PubMed] [Google Scholar]
- 6.Wieneke R, Raulf A, Kollmannsperger A, Heilemann M, Tampé R. SLAP: small labeling pair for single-molecule super-resolution imaging. Angew. Chem. Int. Ed. Engl. 2015;54:10216–10219. doi: 10.1002/anie.201503215. [DOI] [PubMed] [Google Scholar]
- 7.Kollmannsperger A, et al. Live-cell protein labelling with nanometre precision by cell squeezing. Nat. Commun. 2016;7:10372. doi: 10.1038/ncomms10372. [DOI] [PMC free article] [PubMed] [Google Scholar]
- 8.Laemmli UK. Cleavage of structural proteins during the assembly of the head of bacteriophage T4. Nature. 1970;227:680–685. doi: 10.1038/227680a0. [DOI] [PubMed] [Google Scholar]
- 9.Towbin H, Staehelin T, Gordon J. Electrophoretic transfer of proteins from polyacrylamide gels to nitrocellulose sheets: procedure and some applications. Proc. Natl Acad. Sci. USA. 1979;76:4350–4354. doi: 10.1073/pnas.76.9.4350. [DOI] [PMC free article] [PubMed] [Google Scholar]
- 10.Burnette WN. “Western Blotting”: electrophoretic transfer of proteins from sodium dodecyl sulfate-polyacrylamide gels to unmodified nitrocellulose and radiographic detection with antibody and radioiodinated protein A. Anal. Biochem. 1981;112:195–203. doi: 10.1016/0003-2697(81)90281-5. [DOI] [PubMed] [Google Scholar]
- 11.Schägger H, von Jagow G. Blue native electrophoresis for isolation of membrane protein complexes in enzymatically active form. Anal. Biochem. 1991;199:223–231. doi: 10.1016/0003-2697(91)90094-A. [DOI] [PubMed] [Google Scholar]
- 12.Nöll A, et al. Crystal structure and mechanistic basis of a functional homolog of the antigen transporter TAP. Proc. Natl Acad. Sci. USA. 2017;114:E438–E447. doi: 10.1073/pnas.1620009114. [DOI] [PMC free article] [PubMed] [Google Scholar]
- 13.Hofmann S, et al. Conformation space of a heterodimeric ABC exporter under turnover conditions. Nature. 2019;571:580–583. doi: 10.1038/s41586-019-1391-0. [DOI] [PMC free article] [PubMed] [Google Scholar]
- 14.Wittig I, Braun HP, Schägger H. Blue native PAGE. Nat. Protoc. 2006;1:418–428. doi: 10.1038/nprot.2006.62. [DOI] [PubMed] [Google Scholar]
- 15.Nürenberg-Goloub E, Heinemann H, Gerovac M, Tampé R. Ribosome recycling is coordinated by processive events in two asymmetric ATP sites of ABCE1. Life Sci. Alliance. 2018;1:12. doi: 10.26508/lsa.201800095. [DOI] [PMC free article] [PubMed] [Google Scholar]
- 16.Blees A, et al. Structure of the human MHC-I peptide-loading complex. Nature. 2017;551:525–528. doi: 10.1038/nature24627. [DOI] [PubMed] [Google Scholar]
- 17.Porath J, Carlsson J, Olsson I, Belfrage G. Metal chelate affinity chromatography, a new approach to protein fractionation. Nature. 1975;258:598–599. doi: 10.1038/258598a0. [DOI] [PubMed] [Google Scholar]
- 18.Hochuli E, Döbeli H, Schacher A. New metal chelate adsorbent selective for proteins and peptides containing neighbouring histidine residues. J. Chromatogr. A. 1987;411:177–184. doi: 10.1016/S0021-9673(00)93969-4. [DOI] [PubMed] [Google Scholar]
- 19.Wegner SV, Schenk FC, Spatz JP. Cobalt(III)-mediated permanent and stable immobilization of histidine-tagged proteins on NTA-functionalized surfaces. Chemistry. 2016;22:3156–3162. doi: 10.1002/chem.201504465. [DOI] [PubMed] [Google Scholar]
- 20.Wegner SV, Spatz JP. Cobalt(III) as a stable and inert mediator ion between NTA and His6-tagged proteins. Angew. Chem. Int. Ed. Engl. 2013;52:7593–7596. doi: 10.1002/anie.201210317. [DOI] [PMC free article] [PubMed] [Google Scholar]
- 21.Kirchhofer A, et al. Modulation of protein properties in living cells using nanobodies. Nat. Struct. Mol. Biol. 2010;17:133–138. doi: 10.1038/nsmb.1727. [DOI] [PubMed] [Google Scholar]
Associated Data
This section collects any data citations, data availability statements, or supplementary materials included in this article.
Supplementary Materials
Data Availability Statement
The authors declare that all data supporting the findings of this study are available from the corresponding author upon request.





