Abstract
Objective
Gossypol has been reported to have anti-inflammatory properties. The purpose of this study was to evaluate the effect of gossypol on acute lung injury (ALI) induced by lipopolysaccharide (LPS) in mice.
Methods
Male BALB/c mice were pretreated with gossypol 1 h before intranasal instillation of LPS. Then, 7 h after LPS administration, the myeloperoxidase in histology of lungs, lung wet/dry ratio and inflammatory cells in the bronchoalveolar lavage fluid (BALF) were determined. The levels of tumor necrosis factor-α (TNF-α), interleukin-6 (IL-6) and interleukin-1β (IL-1β) in the BALF were measured by ELISA. The extent of phosphorylation of IκB-α, p65 NF-κB, p46–p54 JNK, p42–p44 ERK, and p38 were detected by western blot.
Results
Gossypol markedly attenuated the LPS-induced histological alterations in the lung and inhibited the production of TNF-α, IL-1β and IL-6. Additionally, gossypol reduced the inflammatory cells in BALF, decreased the wet/dry ratio of lungs and inhibited the phosphorylation of IκB-α, p65 NF-κB, p46–p54 JNK, p42–p44 ERK, and p38 caused by LPS.
Conclusion
The data suggest that anti-inflammatory effects of gossypol against the LPS-induced ALI may be due to its ability of inhibition of the NF-κB and MAPKs signaling pathways. Gossypol may be a promising potential therapeutic reagent for ALI treatment.
Keywords: Gossypol, Lipopolysaccharide (LPS), Acute lung injury (ALI), Nuclear factor-kappa B (NF-κB), Mitogen-activated protein kinases (MAPKs)
Introduction
Acute lung injury (ALI), the basis of acute respiratory distress syndrome (ARDS), is characterized by severe hypoxemia, pulmonary edema and neutrophil accumulation in the lung [1, 2]. Lipopolysaccharide (LPS), a main component of outer membrane of Gram-negative bacteria, has been referred to be an important risk factor of ALI [3, 4]. Intratracheal administration of LPS has gained wide acceptance as a clinically relevant model of severe lung injury. In the clinical cases, ALI is a major problem that has a high mortality rate of 30–40 % and there are still few effective measures or specific medicines to treat it [5, 6]. Therefore, the development of novel therapies for ALI is urgently needed.
Gossypol, a yellow polyphenolic compound extracted from cottonseed (Fig. 1), has long been used as a male contraceptive drug [7, 8]. In recent years, gossypol has been shown to exhibit a variety of other pharmacological activities, including anti-tumor, anti-oxidant, anti-virus and anti-inflammatory activities [9–11]. Gossypol was found to inhibit the activation of human T-lymphocytes stimulated with polyclonal activators, to suppress NF-κB activity and NF-κB-related genes expression in human leukemia U937 cells [12]. Although a number of studies have addressed the therapeutic potential of gossypol, its ability to protect against bacterial endotoxin-induced ALI remains poorly understood. In this study, we sought to assess the preventive effects of gossypol in a LPS-induced mouse ALI model and elucidated the potential anti-inflammatory mechanism.
Fig. 1.

Chemical structure of gossypol
Materials and methods
Animals
Male BALB/c mice, weighing approximately 18–22 g, were purchased from the Center of Experimental Animals of Jilin University (Changchun, China). And this study was approved by the Ethical Committee on Animal Research at the University of Jilin (Approval ID: 20111106-2). The mice were housed in a room maintained at 24 ± 1 °C with 40–80 % humidity. All animals received food and water ad libitum. All animal experiments were performed in accordance with the guide for the Care and Use of Laboratory Animals established by the US National Institutes of Health.
Reagents
Gossypol (purity: >98 %) was purchased from the National Institute for the Control of Pharmaceutical and Biological Products (Beijing, China), Dexamethasone (DEX, Purity: >99.6 %) was purchased from Changle Pharmaceutical Co. (Xinxiang, Henan, China). Mouse TNF-α, IL-6 and IL-1β enzyme-linked immunosorbent assay (ELISA) kits were purchased from Biolegend (CA, USA). The myeloperoxidase (MPO) determination kit was provided by the Jiancheng Bioengineering Institute of Nanjing (Nanjing, Jiangsu, China). Mouse monoclonal phospho-specific p38 antibody, mouse monoclonal phospho-specific p42–p44 ERK antibody, mouse monoclonal phospho-specific p46–p54 JNK antibody, mouse mAb Phospho-NF-κB p65, mouse mAb Phospho-IκB-α and rabbit mAb IκB-α were purchased from Cell Signaling Technology Inc (Beverly, MA). HRP-conjugated goat anti-rabbit and goat-mouse antibodies were provided by GE Healthcare (Buckinghamshire, UK). All other chemicals were of reagent grade.
Experimental design
Mice were randomly divided into eight groups: blank control group, LPS group, gossypol (2.5, 5, 10, 20 and 40 mg/kg) + LPS group, DEX + LPS group. Before inducing acute lung inflammation, gossypol (2.5, 5, 10, 20 and 40 mg/kg) was given by intraperitoneal injection (i.p.), while DEX, 0.5 mg/kg, was administrated intra-gastrically as a positive control. Blank control and LPS group mice were given an equal volume of distilled water by i.p. 1 h later, mice were slightly anesthetized with an inhalation of diethyl ether, 10 μg of LPS in 50 μl PBS was instilled intranasal (i.n.) to induce lung injury. Blank control group mice were given a 50 μl PBS by i.n. without LPS. All the mice were alive after 7 h LPS treatment. The mice were killed by exsanguination at 7 h after the administration of LPS. Collection of bronchoalveolar lavage fluid (BALF) was performed three times through a tracheal cannula with autoclaved PBS, instilled up to a total volume of 1.3 ml.
Hematology analysis
Mice were randomly divided into six groups: blank control group, gossypol (2.5, 5, 10, 20 and 40 mg/kg). Gossypol (2.5, 5, 10, 20 and 40 mg/kg) was given by intraperitoneal injection (i.p.). 8 h after injection of gossypol, 20 μl of peripheral blood was collected and mixed with the anticoagulant Na2-EDTA. Automated hematological analysis was performed using a MEK-7222K automated hematology analyzer (Nihon Kohden, Japan). The following blood components were determined: white blood cell (WBC) count, the number of neutrophils and lymphocytes.
Lung wet-to-dry weight (W/D) ratio
After the mice were euthanized, the lungs were removed and the wet weight recorded. The lungs were then placed in an incubator at 80 °C for 48 h to obtain the ‘dry’ weight. The ratio of wet lung to dry lung was calculated to assess tissue edema.
Inflammatory cell counts of BALF
The BALF samples were centrifuged (4 °C, 3,000 rpm, 10 min) to pellet the cells. The cell pellets were resuspended in PBS for the total cell counts using a hemacytometer, and cytospins were prepared for differential cell counts by staining with the Wright–Giemsa staining method.
Determination of TNF-α, IL-1β and IL-6 levels
Inflammatory cytokines of TNF-α, IL-1β and IL-6 in BALF were measured using specific ELISA kits according to the instruction recommended by the manufactures (BioLegend, CA, USA). The optical density (OD) of the microplates were read at 450 nm.
Pulmonary myeloperoxidase activity in ALI mice
The accumulation of neutrophils in the lung tissue was assessed by MPO activity. Briefly, 7 h after LPS administration, mice under diethyl ether anesthesia were killed, and the right lungs were excised. One hundred milligrams of lung were homogenized and fluidized in extraction buffer to obtain 5 % of homogenate. The sample including 0.9 ml homogenate and 0.1 ml of reaction buffer was heated to 37 °C in water for 15 min, on which occasion, the enzymatic activity was determined by measuring the change in absorbance at 460 nm using a 96-well plate reader.
Histopathologic evaluation of the lung tissue
Histopathologic examination was performed on mice that were not subjected to BALF collection. Lungs were fixed with 10 % buffered formalin, imbedded in paraffin and sliced. After hematoxylin and eosin (H&E) stain, pathological changes of lung tissues were observed under a light microscope. The lung injury score was quantificated by a scoring system as described elsewhere [13]. The lung injury score was assessed as follows: 0 no oedema, 1 mild oedema, 2 moderate oedema, 3 severe oedema. For leucocyte or other cell infiltration, the grading system was that used to determine the extend of oedema: 0 no cellular infiltration, 1 mild cellular infiltration, 2 moderate cellular infiltration, and 3 severe cellular infiltration. Each one gave a score for each from 0 to 6.
Western blot analysis
At 7 h after the injection of LPS, lung tissues were harvested and frozen in liquid nitrogen immediately until homogenization. Proteins were extracted from the lungs using T-PER Tissue Protein Extraction Reagent Kit (Thermo) according to the manufacturer’s instructions. Protein concentrations were determined by BCA protein assay kit and equal amounts of protein were loaded per well on a 10 % sodium dodecyl sulphate polyacrylamide gel. Subsequently, proteins were transferred onto polyvinylidene difluoride membrane. The resulting membrane was blocked with Tris-buffered saline containing 0.05 % Tween-20 (TBS-T), supplemented with 5 % skim milk (Sigma) at room temperature for 2 h on a rotary shaker, and followed by TBS-T washing. The specific primary antibody, diluted in TBS-T, was incubated with the membrane at 4 °C overnight. Subsequently, the membrane was washed with TBS-T followed by incubation with the peroxidase-conjugated secondary antibody at room temperature for 1 h. The immunoactive proteins were detected by using an enhanced chemiluminescence (ECL) western blotting detection kit.
Statistical analysis
All values are expressed as mean ± SEM. Differences between mean values of normally distributed data were analyzed using one-way ANOVA (Dunnett’s t test) and two-tailed Student’s t test. Statistical significance was accepted at p < 0.05.
Results
Gossypol treatment did not effect the blood leukocytes
To test if gossypol treatment effected the blood leukocytes of mice, we detected the blood leukocytes by routine blood test. The results showed gossypol treatment did not effect the blood leukocytes (Table 1).
Table 1.
Hematological values in rats treated with LPS and different concentrations of gossypol
| WBC (×109/L) | NE (×109/L) | LY (×109/L) | |
|---|---|---|---|
| Control | 9.74 ± 0.3 | 1.43 ± 0.15 | 8.32 ± 0.26 |
| LPS (0.5 mg/kg) | 9.81 ± 0.25 | 1.47 ± 0.18 | 8.34 ± 0.32 |
| LPS + gossypol (2.5 mg/kg) | 9.77 ± 0.11 | 1.41 ± 0.11 | 8.38 ± 0.21 |
| LPS + gossypol (5 mg/kg) | 9.84 ± 0.37 | 1.49 ± 0.18 | 8.34 ± 0.18 |
| LPS + gossypol (10 mg/kg) | 9.76 ± 0.19 | 1.44 ± 0.21 | 8.33 ± 0.22 |
| LPS + gossypol (20 mg/kg) | 9.79 ± 0.26 | 1.47 ± 0.19 | 8.31 ± 0.27 |
| LPS + gossypol (40 mg/kg) | 9.77 ± 0.28 | 1.44 ± 0.26 | 8.34 ± 0.23 |
| LPS + dex (0.5 mg/kg) | 9.78 ± 0.18 | 1.41 ± 0.23 | 8.36 ± 0.24 |
Gossypol inhibited LPS-induced lung W/D ratio
LPS caused a significant increase in lung W/D ratio (p # < 0.05) compared to the control group (Fig. 2). Gossypol (20 and 40 mg/kg) and DEX significantly decreased the lung W/D ratio (p* < 0.05) compared to those in the LPS group (Fig. 2).
Fig. 2.

Effects of gossypol on the lung W/D ratio of LPS-induced ALI mice. Mice were given a intraperitoneal injection of gossypol (2.5, 5, 10, 20 and 40 mg/kg) 1 h prior to an i.n. administration of LPS (0.5 mg/kg). The lung W/D ratio was determined at 7 h after LPS challenge. The values presented are the mean ± SEM (n = 4–6 in each group). p # < 0.05 vs. control group, p* < 0.05 vs. LPS group
Gossypol inhibited the inflammatory cell count in the BALF of LPS-induced ALI mice
The number of inflammatory cells, such as neutrophils and macrophages, in BALF were analyzed at 7 h after LPS challenge. As shown in Fig. 3, LPS challenge significantly increased the number of total cells, neutrophils and macrophages compared with the control group (p # < 0.05). Meanwhile, pretreatment with gossypol (2.5, 5, 10, 20 and 40 mg/kg) and DEX (0.5 mg/kg) was found to significantly decrease the number of total cells (p < 0.05), neutrophils (p < 0.05), and macrophages (p < 0.05).
Fig. 3.

Effects of gossypol on the number of total cells, neutrophils, and macrophages in the BALF of LPS-induced ALI mice. Mice were given an intraperitoneal injection of gossypol (2.5, 5, 10, 20 and 40 mg/kg) 1 h prior to an i.n. administration of LPS (0.5 mg/kg). BALF was collected at 7 h after LPS administration to measure the number of total cells (a), neutrophils (b), and macrophage (c). The values presented are the mean ± SEM (n = 4–6 in each group). p # < 0.01 vs. control group, p* < 0.05, p** < 0.01 vs. LPS group
Gossypol suppressed the production of cytokines in the BALF of LPS-treated ALI mice
The effect of gossypol on TNF-α, IL-1β and IL-6 production was analyzed at 7 h after LPS challenge by ELISA. As shown in Fig. 4, the concentrations of TNF-α, IL-6, and IL-1β in BALF were significantly increased after LPS administration. Gossypol (2.5, 5, 10, 20 and 40 mg/kg) and DEX significantly reduced TNF-α (p* < 0.05), IL-6 (p* < 0.05), and IL-1β (p* < 0.05) production compared to those in the LPS group.
Fig. 4.

Effects of gossypol on the production of inflammatory cytokine TNF-α, IL-1β, and IL-6 in the BALF of LPS-induced ALI mice. Mice were given an intraperitoneal injection of gossypol (2.5, 5, 10, 20 and 40 mg/kg) 1 h prior to an i.n. administration of LPS (0.5 mg/kg). BALF was collected at 7 h following LPS challenge to analyze the inflammatory cytokines TNF-α (a), IL-1β (b), and IL-6 (c). The values presented are mean ± SEM (n = 6 in each group). p # < 0.01 vs. control group, p* < 0.05, p** < 0.01 vs. LPS group
Effects of gossypol on the MPO activity in ALI mice induced by LPS
The MPO activity (Fig. 5) was determined to assess the neutrophil accumulation within pulmonary tissues. LPS challenge resulted in significantly increased lung MPO activity compared with the control group (p < 0.05). However, this increase was apparently reduced by gossypol (2.5, 5, 10, 20 and 40 mg/kg) (p < 0.05) or DEX (p < 0.05).
Fig. 5.

Effects of gossypol on MPO activity in lung tissues of LPS-induced ALI. Mice were given an intraperitoneal injection of gossypol (2.5, 5, 10, 20 and 40 mg/kg) 1 h prior to an i.n. administration of LPS (0.5 mg/kg). MPO activity was determined at 7 h after LPS administration. The values presented are the mean ± SEM (n = 4–6 in each group). p # < 0.01 vs. control group, p* < 0.05, p** < 0.01 vs. LPS group
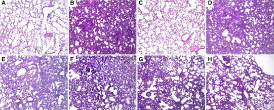
Effects of gossypol on LPS-mediated lung histopathologic changes
Lung tissues, harvested at 7 h after injection of LPS, were subjected to HE staining. As shown in Fig. 6, lung tissues from the control showed a normal structure and no histopathologic changes under a light microscope (Fig. 6a). Lung sections obtained from mice in LPS group showed characteristic histological changes, including areas of inflammatory infiltration, focal areas of fibrosis with collapse of air alveoli and emphysematous, as well as thickening of the alveolar wall and pulmonary congestion (Fig. 6b). However, LPS-induced pathological changes were significantly attenuated by gossypol (5, 10, 20 and 40 mg/kg) (Fig. 6e–h) and DEX (0.5 mg/kg) treatment (Fig. 6c). Evaluation of the lung injury score revealed that gossypol significantly attenuated LPS-induced ALI (Table 2).
Fig. 6.

Effects of gossypol on histopathological changes in lung tissues in LPS-induced ALI mice. Mice were given a intraperitoneal injection of gossypol (2.5, 5, 10, 20 and 40 mg/kg) 1 h prior to an i.n. administration of LPS (0.5 mg/kg). Lungs (n = 4–6) from each experimental group were processed for histological evaluation at 7 h after LPS challenge. Representative histological changes of lung obtained from mice of different groups. a Control group, b LPS group, c LPS + DEX group, d–h LPS + Gossypol (2.5, 5, 10, 20 and 40 mg/kg) group (Hematoxylin and eosin staining, magnification ×200)
Table 2.
Lung injury score in rats (n = 6 in each group) treated with LPS (0.5 mg/kg) and different concentrations of gossypol
| Lung injury score | |
|---|---|
| Control | 0.41 ± 0.06 |
| LPS (0.5 mg/kg) | 4.46 ± 0.87 |
| LPS + gossypol (2.5 mg/kg) | 4.27 ± 0.91 |
| LPS + gossypol (5 mg/kg) | 3.97 ± 0.67 |
| LPS + gossypol (10 mg/kg) | 3.51 ± 0.69 |
| LPS + gossypol (20 mg/kg) | 2.73 ± 0.56 |
| LPS + gossypol (40 mg/kg) | 1.77 ± 0.58 |
| LPS + dex (0.5 mg/kg) | 1.18 ± 0.38 |
Effect of gossypol on NF-κB and MAPKs activation in ALI mice induced by LPS
Western blot analysis showed that NF-κB and mitogen-activated protein kinase (MAPK) signaling pathways were activated 7 h after LPS treatment. Pretreatment with gossypol (40 mg/kg) inhibited the phosphorylation of IκB-α, p65 NF-κB (Fig. 7), p38, JNK and ERK (Fig. 8) In all, these results showed that gossypol (40 mg/kg) could simultaneously inhibit NF-κB and MAPK signaling pathways efficiently in a mouse model of ALI.
Fig. 7.

Gossypol pretreatment inhibited LPS (0.5 mg/kg)–induced activation of NF-κB with western blot. Lane 1 lung tissues from control group, lane 2 from LPS group, lanes 3 and 4 from treatment group with Gossypol (40 mg/kg) and DEX, β-Actin was sued as a control. The values presented are mean ± SEM (n = 6 in each group). p # < 0.01 vs. control group, p* < 0.05, p** < 0.01 vs. LPS group
Fig. 8.

Gossypol pretreatment inhibited LPS (0.5 mg/kg)-induced activation of MAPKs with western blot. Lane 1 lung tissues from control group, lane 2 from LPS group, lanes 3 and 4 from treatment group with gossypol (40 mg/kg) and DEX, β-actin was sued as a control. The values presented are mean ± SEM (n = 6 in each group). p # < 0.01 vs. control group, p* < 0.05, p** < 0.01 vs. LPS group
Discussion
LPS-induced ALI was characterized by the disruption of endothelial and epithelial integrity, lung edema, the release of inflammatory mediators, and extensive neutrophil infiltration [14]. Though several candidate therapies have been applied to reduce lung injury, there are still few effective measures or specific medicines to treat it. Gossypol is a yellow polyphenolic compound isolated from cottonseed and has been shown to exhibit anti-inflammatory effects recently. In the present study, we observed the effect of gossypol on ALI induced by LPS in mice. The results showed that pretreatment with gossypol attenuated lung damage induced by LPS and decreased the W/D ratio, pro-inflammatory cytokine production, inflammatory cell migration into the lung, protein leakage, the activation of NF-κB and MAPK. This suggests that gossypol may be a promising potential therapeutic reagent for ALI treatment.
Pulmonary edema is one of the major characteristics of ALI [2]. In this study, we evaluated the W/D ratio of the lung to quantify the magnitude of pulmonary edema. Our experiments showed that gossypol significantly inhibits edema of the lung, as shown by a W/D ratio in the gossypol group that was significantly lower than the LPS group. MPO activity, reflecting the parenchymal infiltration of neutrophils and macrophages, LPS-induced ALI is characterized by the infiltration of neutrophils in the lung, exhibiting increased MPO activity [6, 15]. In this study, we found that LPS administration significantly increased the MPO activity and pretreatment with gossypol decreased LPS-induced increases in MPO activity in the lungs. This indicated that the protective effect of gossypol in ALI is related to attenuation of neutrophil influx into the lung tissue.
Pro-inflammatory cytokines including TNF-α, IL-1β and IL-6 participated in the development of ALI [16–18]. Some reports have shown that LPS-induced ALI can lead to the overproduction of these cytokines. TNF-α is the earliest and primary pro-inflammatory factor produced when infection [19]. IL-1β is a crucial mediator in ALI. It plays an important role in the progression multiple organ failure in LPS-induced endotoxic shock [20, 21]. IL-6 is also a marker of the acute inflammatory response in LPS-induced ALI mode [14, 22]. In the present study, gossypol significantly inhibited the production of TNF-α, IL-1β and IL-6 induced by LPS. These results indicate that the protective effects of gossypol on ALI induced by LPS may be attributed to the compound’s inhibition of inflammatory factors.
LPS induces its inflammatory reaction through the activation of both NF-κB and MAPKs signaling pathways to regulate the release of pro-inflammatory cytokines [23]. NF-κB is normally present in the cytoplasm as a heterodimer and is linked to the inhibitory proteins IκBs. Once activated, NF-κB units p65 dissociates from its inhibitory protein IκB-α and translocates from the cytoplasm to the nucleus where they may trigger the transcription of specific target genes such as TNF-α, IL-1β and IL-6 [24]. In this study, we tested the effects of gossypol on NF-κB activation and IκB-α degradation. The results showed that LPS stimulation dramatically increased the phosphorylation of IκB-α and NF-κB p65 protein. However, LPS-induced IκB-α degradation and NF-κB p65 activation were significantly blocked by pretreatment with gossypol. MAPKs also play an important role in inducing cytokine production [25, 26]. The LPS stimulation of murine macrophages has been known to induce phosphorylation and activation of ERK1/2, JNK, and p38 MAPKs [27]. Therefore, we investigated the effect of gossypol on activation (phosphorylation) of three MAPKs induced by LPS in the mice of ALI. The results showed that gossypol (2.5, 10, 20 and 40 mg/kg) inhibited the phosphorylation of p42–p44 ERK, p38, and p46–p54 JNK in LPS-stimulated mice. Taken together, these results indicate that gossypol may exert its anti-inflammatory action by inhibition of the NF-κB and MAPKs signaling pathways activation.
In conclusion, the present study demonstrated that gossypol has a protective effect against LPS-induced ALI, which may be related to its suppression of NF-κB and MAPKs activation, and subsequently leads to the reduction the inflammatory cell infiltration and proinflammatory cytokine expression in lung tissues. These findings suggest that gossypol may be an agent for preventing and treating LPS induced ALI.
Acknowledgments
This work was supported by a grant from the National Natural Science Foundation of China (No. 30972225, 30771596) and the Research Fund for the Doctoral Program of Higher Education of China (No. 20110061130010).
Footnotes
Z. Liu and Z. Yang are contributed equally to this work.
References
- 1.Rubenfeld GD. Epidemiology of acute lung injury. Crit Care Med. 2003;31:S276–S284. doi: 10.1097/01.CCM.0000057904.62683.2B. [DOI] [PubMed] [Google Scholar]
- 2.Zhang X, Song K, Xiong H, Li H, Chu X, Deng X. Protective effect of florfenicol on acute lung injury induced by lipopolysaccharide in mice. Int Immunopharmacol. 2009;9:1525–1529. doi: 10.1016/j.intimp.2009.09.007. [DOI] [PubMed] [Google Scholar]
- 3.Atabai K, Matthay MA. The pulmonary physician in critical care. 5: acute lung injury and the acute respiratory distress syndrome: definitions and epidemiology. Thorax. 2002;57:452–458. doi: 10.1136/thorax.57.5.452. [DOI] [PMC free article] [PubMed] [Google Scholar]
- 4.Rubenfeld GD, Caldwell E, Peabody E, Weaver J, Martin DP, Neff M, et al. Incidence and outcomes of acute lung injury. N Engl J Med. 2005;353:1685–1693. doi: 10.1056/NEJMoa050333. [DOI] [PubMed] [Google Scholar]
- 5.Ware LB, Matthay MA. The acute respiratory distress syndrome. N Engl J Med. 2000;342:1334–1349. doi: 10.1056/NEJM200005043421806. [DOI] [PubMed] [Google Scholar]
- 6.Lee WL, Downey GP. Neutrophil activation and acute lung injury. Curr Opin Crit Care. 2001;7:1–7. doi: 10.1097/00075198-200102000-00001. [DOI] [PubMed] [Google Scholar]
- 7.Coutinho EM. Gossypol: a contraceptive for men. Contraception. 2002;65:259–263. doi: 10.1016/S0010-7824(02)00294-9. [DOI] [PubMed] [Google Scholar]
- 8.Cui GH, Xu ZL, Yang ZJ, Xu YY, Xue SP. A combined regimen of gossypol plus methyltestosterone and ethinylestradiol as a contraceptive induces germ cell apoptosis and expression of its related genes in rats. Contraception. 2004;70:335–342. doi: 10.1016/j.contraception.2004.02.020. [DOI] [PubMed] [Google Scholar]
- 9.Ye W, Chang HL, Wang LS, Huang YW, Shu S, Sugimoto Y, et al. Induction of apoptosis by (−)-gossypol-enriched cottonseed oil in human breast cancer cells. Int J Mol Med. 2010;26:113–119. [PubMed] [Google Scholar]
- 10.Huang LH, Hu JQ, Tao WQ, Li YH, Li GM, Xie PY, et al. Gossypol inhibits phosphorylation of Bcl-2 in human leukemia HL-60 cells. Eur J Pharmacol. 2010;645:9–13. doi: 10.1016/j.ejphar.2010.06.070. [DOI] [PubMed] [Google Scholar]
- 11.Benhaim P, Mathes SJ, Hunt TK, Scheuenstuhl H, Benz CC. Induction of neutrophil Mac-1 integrin expression and superoxide production by the medicinal plant extract gossypol. Inflammation. 1994;18:443–458. doi: 10.1007/BF01560692. [DOI] [PubMed] [Google Scholar]
- 12.Moon DO, Kim MO, Lee JD, Kim GY. Gossypol suppresses NF-kappaB activity and NF-kappaB-related gene expression in human leukemia U937 cells. Cancer Lett. 2008;264:192–200. doi: 10.1016/j.canlet.2008.01.030. [DOI] [PubMed] [Google Scholar]
- 13.Su CF, Yang FL, Chen HI. Inhibition of inducible nitric oxide synthase attenuates acute endotoxin-induced lung injury in rats. Clin Exp Pharmacol Physiol. 2007;34:339–346. doi: 10.1111/j.1440-1681.2007.04553.x. [DOI] [PubMed] [Google Scholar]
- 14.Suda K, Tsuruta M, Eom J, Or C, Mui T, Jaw JE, et al. Acute lung injury induces cardiovascular dysfunction: effects of IL-6 and budesonide/formoterol. Am J Respir Cell Mol Biol. 2011;45:510–516. doi: 10.1165/rcmb.2010-0169OC. [DOI] [PubMed] [Google Scholar]
- 15.Zmijewski JW, Lorne E, Zhao X, Tsuruta Y, Sha Y, Liu G, et al. Antiinflammatory effects of hydrogen peroxide in neutrophil activation and acute lung injury. Am J Respir Crit Care Med. 2009;179:694–704. doi: 10.1164/rccm.200806-851OC. [DOI] [PMC free article] [PubMed] [Google Scholar]
- 16.Bhatia M, Moochhala S. Role of inflammatory mediators in the pathophysiology of acute respiratory distress syndrome. J Pathol. 2004;202:145–156. doi: 10.1002/path.1491. [DOI] [PubMed] [Google Scholar]
- 17.Cribbs SK, Matthay MA, Martin GS. Stem cells in sepsis and acute lung injury. Crit Care Med. 2010;38:2379–2385. doi: 10.1097/CCM.0b013e3181f96f5f. [DOI] [PMC free article] [PubMed] [Google Scholar]
- 18.Goodman RB, Pugin J, Lee JS, Matthay MA. Cytokine-mediated inflammation in acute lung injury. Cytokine Growth Factor Rev. 2003;14:523–535. doi: 10.1016/S1359-6101(03)00059-5. [DOI] [PubMed] [Google Scholar]
- 19.Giebelen IA, van Westerloo DJ, LaRosa GJ, de Vos AF, van der Poll T. Local stimulation of alpha7 cholinergic receptors inhibits LPS-induced TNF-alpha release in the mouse lung. Shock. 2007;28:700–703. doi: 10.1097/shk.0b013e318054dd89. [DOI] [PubMed] [Google Scholar]
- 20.Christman JW, Sadikot RT, Blackwell TS. The role of nuclear factor-kappa B in pulmonary diseases. Chest. 2000;117:1482–1487. doi: 10.1378/chest.117.5.1482. [DOI] [PubMed] [Google Scholar]
- 21.McCoy MK, Ruhn KA, Blesch A, Tansey MG. TNF: a key neuroinflammatory mediator of neurotoxicity and neurodegeneration in models of Parkinson’s disease. Adv Exp Med Biol. 2011;691:539–540. doi: 10.1007/978-1-4419-6612-4_56. [DOI] [PMC free article] [PubMed] [Google Scholar]
- 22.Kolliputi N, Waxman AB. IL-6 cytoprotection in hyperoxic acute lung injury occurs via PI3K/Akt-mediated Bax phosphorylation. Am J Physiol Lung Cell Mol Physiol. 2009;297:L6–L16. doi: 10.1152/ajplung.90381.2008. [DOI] [PMC free article] [PubMed] [Google Scholar]
- 23.Medzhitov R, Kagan JC. Phosphoinositide-mediated adaptor recruitment controls toll-like receptor signaling. Cell. 2006;125:943–955. doi: 10.1016/j.cell.2006.03.047. [DOI] [PubMed] [Google Scholar]
- 24.Gilmore TD. Introduction to NF-kappaB: players, pathways, perspectives. Oncogene. 2006;25:6680–6684. doi: 10.1038/sj.onc.1209954. [DOI] [PubMed] [Google Scholar]
- 25.Rao KM. MAP kinase activation in macrophages. J Leukoc Biol. 2001;69:3–10. [PubMed] [Google Scholar]
- 26.Jiang JX, Zhang Y, Ji SH, Zhu P, Wang ZG. Kinetics of mitogen-activated protein kinase family in lipopolysaccharide-stimulated mouse Kupffer cells and their role in cytokine production. Shock. 2002;18:336–341. doi: 10.1097/00024382-200210000-00008. [DOI] [PubMed] [Google Scholar]
- 27.Choi CY, Park KR, Lee JH, Jeon YJ, Liu KH, Oh S, et al. Isoeugenol suppression of inducible nitric oxide synthase expression is mediated by down-regulation of NF-kappaB, ERK1/2, and p38 kinase. Eur J Pharmacol. 2007;576:151–159. doi: 10.1016/j.ejphar.2007.07.034. [DOI] [PubMed] [Google Scholar]
