Zusammenfassung
Bei der akuten Pankreatitis handelt es sich um eine potenziell tödlich verlaufende Erkrankung mit individuell unterschiedlich ausgeprägter systemischer Beteiligung. Aus diesem Grund kommen der frühzeitigen Diagnose und nachfolgenden Risikostratifikation im klinischen Management dieser häufigen gastroenterologischen Erkrankung entscheidende Rollen zu. Schwere Verlaufsformen treten in etwa 20 % der Fälle auf und bedürfen zumeist intensivmedizinischer Überwachung und interdisziplinärer Behandlung. Therapeutisch stehen in der Akutphase die adäquate Flüssigkeitssubstitution und suffiziente Schmerztherapie im Vordergrund. Im Hinblick auf den Einsatz von Antibiotika und die Anpassung der Ernährung hat sich in den letzten Jahren ein Paradigmenwechsel vollzogen. Je nach Schwere der Erkrankung und möglichen Komplikationen können auch endoskopisch-/radiologisch-interventionelle Maßnahmen oder eine operative Versorgung notwendig werden.
Schlüsselwörter: Analgetika, Enterale Ernährung, Antibiotika, Nekrose, Cholangiopankreatographie
Abstract
Acute pancreatitis is a potentially fatal disease with individually differing expression of systemic involvement. For this reason early diagnosis with subsequent risk stratification is essential in the clinical management of this frequent gastroenterological disorder. Severe forms of acute pancreatitis occur in approximately 20 % of cases often requiring intensive care monitoring and interdisciplinary therapeutic approaches. In the acute phase adequate fluid replacement and sufficient analgesic therapy is of major therapeutic importance. Concerning the administration of antibiotics and the nutritional support of patients with acute pancreatitis a change in paradigms could be observed in recent years. Furthermore, endoscopic, radiological or surgical interventions can be necessary depending on the severity of the disease and potential complications.
Keywords: Analgesics, Enteral nutrition, Antibiotics, Necrosis, Cholangiopancreatography
Lernziele
Nach der Lektüre dieses Beitrags
– kennen Sie Definition, Ätiologie und Einteilung der akuten Pankreatitis.
– sind Sie über rationale Wege zur Diagnostik informiert.
– haben Sie Einblick in die aktuellen Therapiestandards gewonnen.
– sind Sie im Umgang mit Komplikationen vertraut.
Einleitung
Die akute Pankreatitis
Die akute Pankreatitis ist ein potenziell lebensbedrohliches Krankheitsbild
ist ein häufiges und potenziell lebensbedrohliches Krankheitsbild, das oftmals intensivmedizinische Maßnahmen erfordert. Frühzeitige Diagnose und suffiziente interdisziplinäre Therapie sind somit von entscheidender prognostischer Bedeutung. Der vorliegende Weiterbildungsbeitrag stellt aktuelle Strategien zu rationaler Diagnostik und Behandlung vor und fokussiert insbesondere auf therapeutische Aspekte, die in den letzten Jahren eine Neubewertung erfahren haben. In Ermangelung einer aktuellen deutschen Leitlinie basieren die hier präsentierten Strategien überwiegend auf aktuellen Studiendaten und teilweise den in diesem Jahr veröffentlichten Leitlinien der amerikanischen Fachgesellschaft (American College of Gastroenterology , [1]).
American College of Gastroenterology
Definition, Ätiologie und Einteilung
Bei der akuten Pankreatitis handelt es sich um eine akute, primär vom Pankreas ausgehende inflammatorische Erkrankung , die in unterschiedlicher Ausprägung benachbarte Organe oder den gesamte Organismus beeinflussen kann. Die Krankheitsverläufe sind sehr variabel und reichen von milden/moderaten Schweregraden (etwa 80 % der Fälle) bis hin zu
Schwere Formen sind mit einer Letalität von 10–25 % behaftet
schweren Formen (etwa 20 % der Fälle), die dann mit einer Letalität von 10–25 % behaftet sind [1, 2].
Inflammatorische Erkrankung
Die akute Pankreatitis ist eine relativ häufige Erkrankung –
Angaben zur weltweiten Inzidenz schwanken zwischen 5 und 70 Neuerkrankungen/100.000 Einwohner/Jahr
Angaben zur weltweiten Inzidenz schwanken zwischen 5 und 70 Neuerkrankungen/100.000 Einwohner/Jahr [3, 4]. Die große Schwankungsbreite lässt durch Unterschiede in Definition und diagnostischen Standards erklären.
Die wichtigsten Ursachen der akuten Pankreatitis sind in Mitteleuropa mit etwa gleicher Häufigkeit (je 35 %):
Gallensteinleiden und
Alkoholmissbrauch.
Neben einer Vielzahl eher seltenerer Auslöser (Tab. 1) ist im klinischen Alltag die Post-ERCP-Pankreatitis von Relevanz, die als Folge einer endoskopisch retrograden Cholangiopankreatographie (ERCP) in 3–5 % der Eingriffe auftritt. In rund 10–15 % der Fälle bleibt die Ursache allerdings unbekannt (idiopathische Pankreatitis). Aufgrund der fehlenden Möglichkeit, humanes Pankreasgewebe während der akuten Pankreatitis zu untersuchen, sind die genauen pathophysiologischen Mechanismen weitgehend unbekannt und beruhen zumeist auf tierexperimentellen Modellen. Wahrscheinlich kommt es zu Beginn der Erkrankung zu einer unkontrollierten Aktivierung von pankreatischen Proteasen mit nachfolgender Autodigestion des Organs.
Die gesteigerte Leukozytenaktivierung scheint für die Schwere der Pankreatitis ausschlaggebend zu sein
Ausschlaggebend für die Schwere der Pankreatitis scheinen allerdings v. a. die gesteigerte Leukozytenaktivierung und die exzessive Produktion proinflammatorischer Zytokine zu sein [v. a. Interleukin(IL)-1 und IL-6; [5]].
| – Gallensteine (35–40 % der Fälle) |
| – Alkoholmissbrauch (35–40 % der Fälle) |
| – Obstruktion der Papilla Vateri oder des Pankreasgangs (v. a. Tumor) |
| – Postinterventionell (ERCP) |
| – Hypertriglyzeridämie (Serumtriglyzeridkonzentrationen meist > 1000 mg/dl) |
| – Hyperkalzämie (z. B. im Rahmen eines Hyperparathyreoidismus) |
| – Trauma |
| – Infektionen (z. B. CMV, HIV, Mumps, Coxsackie-Virus) |
| – Medikamente (u. a. Azathioprin, Furosemid, Östrogene, Metronidazol, Tetrazykline) |
| – Autoimmunpankreatitis |
| – Pancreas divisum |
| – Idiopathisch (etwa 10–15 % der Fälle) |
CMV Zytomegalievirus, ERCP endoskopisch retrograde Cholangiopankreatographie, HIV humanes Immundefizienzvirus.
Post-ERCP-Pankreatitis
Autodigestion
Zytokine
Im Hinblick auf die Einteilung der akuten Pankreatitis ist
Die Differenzierung zwischen interstitiell-ödematöser und nekrotisierender Pankreatitis ist in Deutschland gebräuchlich
in Deutschland die Differenzierung zwischen der „milderen“ interstitiell-ödematösen und der prognostisch ungünstigen nekrotisierenden Pankreatitis immer noch gebräuchlich. International hat sich zur Definition klinischer Schweregrade die Atlanta-Klassifikation aus 1992 etabliert (letzte Revision 2013, [6]; Tab. 2).
Klinische Schweregrade
| Zur Diagnose der akuten Pankreatitis (nach amerikanischen Leitlinien) müssen ≥ 2 der folgenden 3 Kriterien erfüllt sein | |
| – Charakteristischer abdominaler Schmerz | |
| – Mindestens 3-fache Erhöhung der Serumkonzentrationen von Amylase und/oder Lipase | |
| – Typische Zeichen in der Bildgebung (Sonographie, Computertomographie, Magnetresonanztomographie) | |
| Definition von Schweregraden | |
| Leichte akute Pankreatitis | Milder Verlauf mit Fehlen von lokalen Komplikationen oder Organversagen |
| Moderate akute Pankreatitis | Lokale Komplikationen und/oder passageres Organversagen (< 48 h) |
| Schwere akute Pankreatitis | Persistierendes Organversagen (> 48 h) |
Diagnostik
Klinische Symptome und Anamnese
Der klinische Verdacht auf das Vorliegen einer akuten Pankreatitis ergibt sich aus der Angabe von
Plötzlich einsetzende starke Oberbauchschmerzen strahlen in den Rücken oder breiten sich gürtelförmig aus
plötzlich einsetzenden starken Oberbauchschmerzen mit Ausstrahlung in den Rücken oder gürtelförmiger Ausbreitung. Übelkeit und Erbrechen treten meist rasch nach Beginn der Schmerzen auf. Kolikartige Schmerzen oder ikterisches Hautkolorit deuten auf eine biliäre Genese hin.
Charakteristisch ist der „Gummibauch“ mit elastischem Widerstand bei der Palpation
Charakteristisch ist neben einem geblähten Abdomen mit spärlichen/fehlenden Darmgeräuschen der „Gummibauch“ mit elastischem Widerstand bei der Palpation (im Gegensatz zum „brettharten Abdomen“ einer Peritonitis). Selten werden die folgenden prognostisch ungünstigen, pathognomonischen Hautzeichen der akuten Pankreatitis beobachtet:
Grey-Turner-Zeichen (Einblutungen in die Seitenflanken) und
Cullen-Zeichen (periumbilikale Einblutung).
Ikterisches Hautkolorit
Anamnestisch bedeutsam sind v. a. Angaben zu Alkoholkonsum, Gallensteinleiden, Medikamenten, Stoffwechselerkrankungen und vorausgegangenen Interventionen (ERCP).
Labordiagnostik
Neben der klinischen Untersuchung ist die Bestimmung von Pankreasenzymen im Serum ein weiterer wichtiger Schritt zur Diagnosestellung. Aufgrund seiner Spezifität und Halbwertszeit ist hierzu die diagnostische Wertigkeit der Lipase anderen Enzymen (Amylase, Elastase) deutlich überlegen.
Eine mindestens 3-fache Erhöhung der Lipasekonzentration über dem Normwert wird gefordert
Aus Spezifitätsgründen wird eine mindestens 3-fache Erhöhung der Lipasekonzentration über dem Normwert gefordert; die Lipasekonzentration sollte generell nur bei klinischem Verdacht auf eine akute Pankreatitis bestimmt werden [6, 7]. Ferner muss immer wieder darauf hingewiesen werden, dass die Serumlipasekonzentration keinerlei Aussagekraft über den Verlauf und den Schweregrad der Pankreatitis besitzt. Wenn also die Diagnosesicherung mithilfe der Lipasebestimmung gelungen ist, besteht keine Notwendigkeit zur täglichen Messung im Verlauf, zumal sich auch bei schwerer protrahierter Pankreatitis die Lipasewerte nach wenigen Tagen wieder normalisieren können.
Die Analyse der Cholostaseparameter kann Rückschlüsse auf die Genese der Pankreatitis liefern
Rückschlüsse auf die (biliäre) Genese der Pankreatitis kann ferner die Analyse der Cholostaseparameter liefern [Bilirubin, alkalische Phosphatase, γ-Glutamyltransferase (γ-GT); [7]].
Pankreasenzyme
Zur Beurteilung des Schweregrads und der Erfassung von Komplikationen stehen diverse Laborparameter mit unterschiedlicher Validität zur Verfügung. In der klinischen Routine hat sich die Bestimmung des C-reaktiven Proteins (CRP) vielerorts durchgesetzt. Im Allgemeinen gilt ein CRP-Wert über 150 mg/l (15 mg/dl) als Prädiktor für das Vorliegen einer schweren (nekrotisierenden) Pankreatitis [6, 8]. Zur Interpretation des CRP muss jedoch unbedingt berücksichtigt werden, dass der maximale Serumwert erst 48–72 h nach Erkrankungsbeginn (Frage nach Schmerzbeginn!) erreicht wird, sodass auch bei schwerer Pankreatitis in der laborchemischen Untersuchung bei Krankenhausaufnahme noch niedrige CRP-Werte gemessen werden können. Als alternative/additive Laborparameter
Zur Prognoseabschätzung können HKT und BZ herangezogen werden
zur Prognoseabschätzung können der Hämatokrit (HKT) und der Blutzucker (BZ) herangezogen werden, deren Erhöhung (HKT > 44 %; BZ > 200 mg/dl, > 11,1 mmol/l) jeweils Indikatoren für einen komplizierten Verlauf sein können [9]. Weitere Prädiktoren für einen ungünstigen Verlauf sind in Tab. 3 aufgeführt. Multifaktorielle Score-Systeme zur Prognoseabschätzung [u. a. Ranson-Score, Acute Physiology And Chronic Health Evaluation (APACHE)-II, Glasgow Coma Scale] spielen im klinischen Alltag aufgrund ihres teilweise geringen prädiktiven Werts (v. a. in der Initialphase) und der zeitaufwendigen Kalkulation eine eher untergeordnete Rolle.
C-reaktives Protein
| Initial | Im Verlauf (nach 48–72 h) |
|---|---|
| Alter > 55 Jahre | CRP > 150 mg/dl |
| BMI > 30 kg/m2 | Serumkalzium < 2 mmol/l |
| Leukozyten > 16.000/µl | Volumendefizit > 6 l |
| LDH > 350 U/l | pO2, arteriell < 60 mmHg |
| Hämatokrit > 44 % | Prokalzitonin > 3,8 ng/l |
| Blutzucker > 200 mg/dl, > 11,1 mmol/l | Anurie |
| Fieber > 38,5 °C | Kreatinin > 1,7 mg/dl, > 150 μmol/l |
BMI Body-Mass-Index, CRP C-reaktives Protein, LDH Laktatdehydrogenase, pO 2 Sauerstoffpartialdruck.
Bildgebende Verfahren
Abdominelle Sonographie
Die abdominelle Sonographie stellt einen integralen Bestandteil der Primärdiagnostik bei Verdacht auf akute Pankreatitis dar. Obwohl die Untersuchungsbedingungen durch Darmgasüberlagerung bei sekundärem Subileus oder Schmerzen oft eingeschränkt sind, findet sich
In der Frühphase stellt sich ein diffus vergrößertes, echoarmes Pankreas mit umgebendem Flüssigkeitssaum dar
in der Frühphase meist ein diffus vergrößertes, echoarmes Pankreas mit umgebendem Flüssigkeitssaum. Neben der Untersuchung relevanter Differenzialdiagnosen (z. B. akute Cholezystitis, Milzinfarkte, Nierensteine) ist der Nachweis einer biliären Genese der akuten Pankreatitis (Erweiterung des Gallengangs , evtl. Konkrementdarstellung) eine Hauptdomäne des Ultraschalls.
Erweiterung des Gallengangs
Kontrastmittelverstärkte Computertomographie
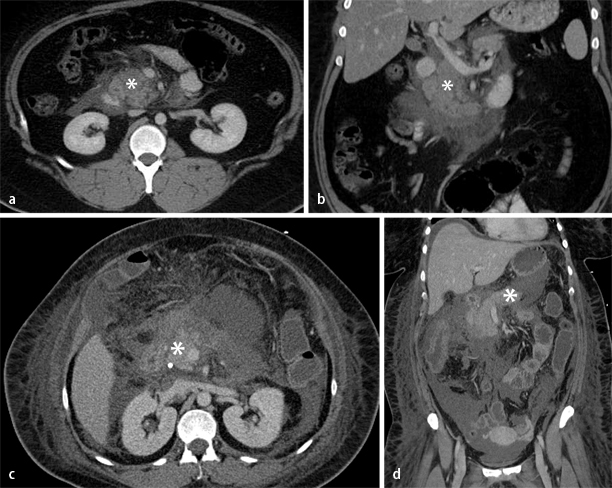
Obwohl die kontrastmittelverstärkte Computertomographie (KM-CT) eine der sensitivsten Methoden zur Detektion von Pankreasnekrosen ist (Abb. 1), ist von dem unkritischen Einsatz in der Frühphase der akuten Pankreatitis dringend abzuraten. Zum einen ist diese Methode für die eigentliche Diagnosestellung (klinische Symptome plus Lipaseerhöhung plus ggf. Sonographie) nicht nötig; zum anderen lassen sich Nekrosen in den frühen Krankheitsstadien auch in der KM-CT noch nicht abgrenzen (frühester sicherer Nachweis nach 48–72 h). Auch vor dem Hintergrund einer potenziellen Verschlechterung der Nierenfunktion bei schwerer Pankreatitis durch die Kontrastmittelgabe muss bei
Bei der Indikationsstellung muss die klinisch-therapeutische Konsequenz diskutiert werden
der Indikationsstellung für eine KM-CT immer die klinisch-therapeutische Konsequenz diskutiert werden. Mögliche Indikationen für die Durchführung einer KM-CT ergeben sich somit in erster Linie zur Darstellung von Komplikationen mit ggf. therapeutischer Konsequenz. Hierzu gehören superinfizierte Pseudozysten , die einer Drainageanlage bedürfen, aus differenzialdiagnostischen Erwägungen bei unsicherem klinischem Bild, fehlender Besserung, neu aufgetretenem/progredientem Organversagen oder Entwicklung einer Sepsis .
Pankreasnekrosen

Superinfizierte Pseudozysten
Sepsis
Therapie
Allgemeine Therapiegrundsätze
Die Behandlung der akuten Pankreatitis basiert primär auf einem konservativen Vorgehen ; hierbei stellen folgende Maßnahmen weiterhin die wichtigsten Therapiesäulen dar:
adäquate Flüssigkeitssubstitution und
Schmerztherapie.
Konservatives Vorgehen
Neben diesen Basismaßnahmen liegt ein weiterer Fokus auf einem schweregradadaptierten Monitoring , das, mit evtl. Unterstützung der Herz-/Kreislauf-, Atem- und Nierenfunktion, intensivmedizinisch ausgerichtet ist. Prognostisch bedeutsam sind ferner das rasche Erkennen und ggf. interdisziplinäre Behandeln möglicher Komplikationen.
Schweregradadaptiertes Monitoring
Volumentherapie
Je nach Schweregrad
Patienten mit akuter Pankreatitis weisen einen intravaskulären Volumenmangel auf
weisen Patienten mit akuter Pankreatitis einen teils erheblichen intravaskulären Volumenmangel auf. Ursächlich ist oftmals ein im Rahmen des „systemic inflammatory response syndrome“ (SIRS) vermitteltes Kapillarleck , das im Zusammenspiel mit diversen Mediatoren zu einem massiven Flüssigkeitsaustritt u. a. ins peripankreatische/retroperitoneale Gewebe oder den Pleuraraum führen kann. Konsekutive systemische Hypotension und Entwicklung eines akuten prärenalen Nierenversagens können die Folgen sein. Zur Steigerung der Organperfusion und zur Prävention des akuten Nierenversagens wird eine umgehende zielgerichtete Flüssigkeitszufuhr, in der Regel mit kristalloiden Lösungen , empfohlen.
Bei ansonsten gesunden Patienten werden 3–6 l/Tag substituiert
Bei ansonsten gesunden Patienten werden üblicherweise 3–6 l/Tag, in Einzelfällen bis zu 10 l/Tag substituiert. Allerdings besteht bei exzessiver Flüssigkeitszufuhr in Kombination mit dem SIRS-assoziierten Kapillarschaden v. a. die Gefahr eines respiratorischen Versagens („acute respiratory distress syndrome“, ARDS; [10]). Bei der Erfassung des Volumenbedarfs und der Steuerung der Infusionstherapie konkurrieren verschiedene Verfahren: Zwar ist ein auf dem zentralen Venendruck basierter Algorithmus (Ziel-ZVD: 4–8 mmHg) wohl immer noch am gebräuchlichsten, eine Vergleichsstudie 2008 konnte jedoch die Überlegenheit einer PiCCO®-gesteuerten Volumenzufuhr (über Messung des intrathorakalen Blutvolumens und des extravasalem Lungenwassers) gegenüber der ZVD getriggerten Methode eindeutig nachweisen [11], sodass
Das PiCCO®-gesteuerte Monitoring des Volumenhaushalts ist auf vielen Intensivstationen als Standard etabliert
auf vielen Intensivstationen bereits das PiCCO®-gesteuerte Monitoring des Volumenhaushalts als Standard etabliert ist. Weitere Indikatoren für eine adäquate Substitutionstherapie sind eine Normalisierung des Hämatokrits und eine etwaige Erholung der Urinausscheidung.
Kapillarleck
Kristalloide Lösungen
Zentraler Venendruck
Schmerztherapie
Eine ausgeprägte Schmerzsymptomatik ist charakteristisch für die akute Pankreatitis und
Die ausgeprägte Schmerzsymptomatik bedarf rascher Analgesie
bedarf rascher und wirksamer Analgesie. Für eine adäquate Schmerztherapie ist in der Regel der Einsatz hochpotenter Opioidanalgetika (z. B. Piritramid, Buprenorphin) unumgänglich. Die in der Vergangenheit geäußerte Befürchtung, dass einige Präparate dieser Gruppe (u. a. Morphium) Tonuserhöhungen des M. sphincter Oddii induzieren könnten, basiert lediglich auf tierexperimentellen Daten. In moderaten Dosierungen können diese Substanzen komplikationsarm beim Menschen eingesetzt werden, da klinisch relevante Papillenspasmen in der Regel nicht zu beobachten sind [12]. Die früher fast ausschließlich im deutschsprachigen Raum verbreitete Schmerztherapie mithilfe
Die i.v.-Dauerinfusion von Procainhydrochlorid gilt heute als obsolet
der i.v.-Dauerinfusion von Procainhydrochlorid (Novocain) gilt als obsolet und kann wegen der Verfügbarkeit überlegenerer Analgetika nicht mehr empfohlen werden [13]. Da systemische Opioide einen oftmals bestehenden pankreatitisassoziierten paralytischen Ileus verstärken können, setzen einige Zentren erfolgreich eine Peridualanästhesie (z. B. Ropivacain, Bupivacain) als Alternative oder bei Therapieversagern ein. Für dieses durchaus erfolgreiche Vorgehen liegen allerdings noch keine ausreichend kontrollierten Daten bei der akuten Pankreatitis vor.
Opioidanalgetika
Peridualanästhesie
Antibiotikagabe
Zeitpunkt und Indikation zur Antibiotikagabe bei akuter Pankreatitis sind immer wieder Gegenstand kontroverser Diskussionen. Gerechtfertigt ist ein Einsatz geeigneter Antibiotika bei:
Cholangitis,
nachgewiesener Infektion (extra-)pankreatischer Nekrosen und
Auftreten einer Sepsis.
Aufgrund des zu erwartenden gemischten Keimspektrums und unter Berücksichtigung der Gewebegängigkeit erscheinen Carbapeneme (z. B. Imipenem), alternativ Metronidazol plus Chinolone, mit einer Therapiedauer von 10 bis 14 Tagen vorteilhaft. Weitgehend akzeptiert ist ferner ein Verzicht auf Antibiokabehandlung bei milder ödematöser Pankreatitis ohne Nachweis einer Cholangitis.
Carbapeneme
Unsicherheiten aufgrund einer nichtkonklusiven Datenlage herrschen v. a. beim Thema „Antibiotikaprophylaxe bei nekrotisierender Pankreatitis“ vor. Die Rationale für ein solches Vorgehen liegt in der Verhinderung einer Infektion steriler Nekrosen, verursacht typischerweise durch Darmkeime (u. a. Escherichia coli, Enterokokken), die durch Störungen der intestinalen Integrität aus dem Darm in die Nekrosen translozieren. Die Gefahr einer solchen Superinfektion nimmt etwa ab der 2. Krankheitswoche rapide zu. Eine Cochrane-Analyse nahm sich 2010 dieser wichtigen Fragestellung an und analysierte 7 Studien mit insgesamt 404 Patienten. Es zeigte sich ein starker Trend im Hinblick auf die Reduktion von Letalität (8,4 vs. 14,4 %) und Nekroseinfektionen (19,7 vs. 24,4 %) in der Prophylaxegruppe, der letztlich aber nicht das Signifikanzniveau erreichte [14]. Aufgrund dieser Daten und genereller Komplikationen einer Antibiotikatherapie (Resistenzbildung, sekundäre Pilzinfektionen, Kosten) kann
Der breite Einsatz einer Antibiotikaprophylaxe bei Pankreasnekrosen wird nicht empfohlen
der breite Einsatz einer Antibiotikaprophylaxe bei Pankreasnekrosen nicht empfohlen werden. Nach Meinung der Autoren ist allerdings bei ausgedehnten Nekrosen und voraussichtlich kompliziertem Verlauf die antibiotische Prophylaxe im Einzelfall zu diskutieren.
Superinfektion
Ernährung
Bezüglich der Ernährung von Patienten mit akuter Pankreatitis hat sich in den letzten Jahren ein Paradigmenwechsel vollzogen: Galt jahrzehntelang die totale parenterale Ernährung zur „Ruhigstellung des Pankreas“ als Goldstandard, muss vor dem Hintergrund neuer Studienergebnisse dieses Vorgehen als obsolet bezeichnet werden. Vielfach konnte bislang gezeigt werden, dass
Die enterale Ernährung ist auch bei schwerer Pankreatitis zu favorisieren
eine enterale Ernährung sogar bei schwerer Pankreatitis nicht nur möglich, sondern auch zu favorisieren ist. So konnte eine systematische Cochrane-Analyse 2010 eindrucksvoll die Überlegenheit einer frühzeitigen enteralen Ernährung hinsichtlich Organversagen, Letalität und septischer Komplikationen im Vergleich zu parenteralem Vorgehen nachweisen [15]. Pathophysiologisch scheinen für die positiven Effekte der enteralen Ernährung der Erhalt der Darmintegrität und somit die Reduktion einer bakteriellen Translokation ursächlich zu sein. Ein Vorteil einer Ernährung bei schwerer Pankreatitis über eine Jejunalsonde gegenüber einer einfachen Magensonde scheint nicht zu bestehen [16]. In Analogie zum kritisch Kranken scheint die frühenterale, in den ersten 24 h mit noch niedrigen Energiemengen beginnende Ernährung vorteilhaft, die am besten nach festgeschriebenen Algorithmen gesteigert werden sollte [17, 18]. Falls die volle enterale Ernährung nicht sofort möglich ist, sollte zur Vermeidung von Malnutrition eine supplementierende parenterale Kalorienzufuhr erwogen werden. Aufgrund der Probiotics in Pancreatitis Trial (PROPATRIA) muss ferner von einer Probiotikagabe zur Therapie der akuten Pankreatitis abgeraten werden [19].
Darmintegrität
Endoskopische Therapieverfahren
Einen herausragenden Stellenwert
Einen herausragenden Stellenwert hat die ERC/ERCP im Therapiealgorithmus der akuten Pankreatitis biliärer Genese
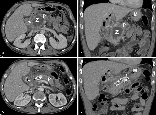
hat die endoskopisch retrograde Cholangiographie (ERC)/ERCP (+Pankreatographie) im Therapiealgorithmus der akuten Pankreatitis biliärer Genese (deutlicher Anstieg der Cholostaseparameter). Indikationen zur sofortigen ERC (innerhalb von 24 h) ggf. mit Steinextraktion und Stent-Implantation bestehen bei Cholangitis oder Cholangiosepsis [1]. Bei den übrigen Fällen einer biliären Pankreatitis mit Konkrementnachweis und Gallenaufstau sollte eine ERC/ERCP innerhalb von 72 h stattfinden. Bei unklaren Situationen kann die Endosonographie wertvolle Dienste leisten. Ein weiteres Einsatzgebiet der Endoskopie besteht in der Therapie von Pseudozysten, die transpapillär oder transgastral drainiert werden können (Abb. 2). Ebenfalls ein innovatives Verfahren stellt die endoskopische transgastrische oder transduodenale Nekrosektomie zur Behandlung infizierter Nekrosen oder Abszesse dar [20].
Konkrementnachweis

Nekrosektomie
Radiologisch-interventionelle Verfahren
Die Hauptdomäne der interventionellen Radiologie in der Behandlung der akuten Pankreatitis liegt in der Versorgung drainagewürdiger Flüssigkeitsverhalte oder relevanter Pseudozysten.
Die radiologisch-gesteuerte transkutane Drainageanlage kann wichtiger Bestandteil der Therapie infizierter Nekrosen sein
Eine radiologisch-gesteuerte transkutane Drainageanlage ggf. mit nachfolgender Spülbehandlung kann beispielsweise einen wichtigen Bestandteil einer minimal-invasiven Therapie infizierter Nekrosen (s. unten) darstellen.
Chirurgische Therapie
Neben der elektiven Cholezystektomie bei biliärer Pankreatitis mit Nachweis von Cholezystolithiasis zur Senkung des Rezidivrisikos ist die chirurgische Nekrosektomie (Abb. 3) eine mögliche Therapieoption bei komplizierten Verlaufsformen. Jedoch hat sich vor dem Hintergrund potenter Breitbandantibiotika und immer innovativerer interventioneller Verfahren auch in der Therapie superinfizierter Nekrosen ein Paradigmenwechsel vollzogen: Seit rund 20 Jahren verdichtet sich die Studienlage, die mit dem alten Dogma bricht, dass infizierte Nekroseareale per se eine Operationsindikation darstellen. So untersuchte die hochkarätig publizierte niederländische Studie Minimally Invasive Step-up Approach versus Maximal Necrosectomy in Patients with Acute Necrotizing Pancreatitis (PANTER; [21]) aus 2010 die „Step-up“-Strategie , also eine schrittweise Eskalation mit breiter Antibiokagabe, perkutaner Drainage, ggf. gefolgt von minimal-invasiver retroperitonealer Nekrosektomie, im Vergleich zu primär offener chirurgischer Nekrosektomie bei 88 Patienten mit schwerer nekrotisierender Pankreatitis. Bezüglich des primären Endpunkts (Letalität oder schwere Komplikationen, Organversagen und Spätkomplikationen stellte sich in dieser Studie der „Step-up“-Ansatz als überlegen heraus [21]. Die gleiche Arbeitsgruppe konnte in einer Nachfolgestudie 2011 belegen, dass
Bei infizierten Nekrosen führte eine späte minimal-invasive Intervention zum besseren Überleben
bei infizierten Nekrosen eine späte (nach > 29 Tagen) minimal-invasive Intervention zu einem besseren Überleben führt [22]. Eine große retrospektive Studie aus Indien konnte ferner kürzlich zeigen, dass eine maximale primär konservative Therapie (ohne Drainagen) einem interventionellen Vorgehen zumindest ebenbürtig ist (Spüldrainagen plus ggf. offene Nekrosektomie; [23]), wenngleich aufgrund des retrospektiven Designs eine Verallgemeinerung nicht empfohlen werden kann.
Elektive Cholezystektomie

„Step-up“-Strategie
Zusammenfassend scheint zum derzeitigen Zeitpunkt ein schrittweises interdisziplinäres Vorgehen zur Behandlung infizierter Pankreasnekrosen, beginnend mit maximaler konservativer Therapie (Breitbandantibiotikabehandlung, „best-supportive care“), bei Versagen interventionelle/endoskopische Verfahren (z. B. Drainage), ggf. gefolgt von minimal-invasiven chirurgischen Techniken, zielführend zu sein.
Das eskalierte chirurgische Vorgehen bleibt konservativ nichtbeherrschbaren Komplikationen vorbehalten
Ein eskaliertes (offenes) chirurgisches Vorgehen bleibt weiterhin konservativ nichtbeherrschbaren Komplikationen (z. B. schwere Arrosionsblutung, Perforationen) vorbehalten. Ein operativer Eingriff ist zudem gerechtfertigt, wenn aufgrund klinischer Verschlechterung des Patienten transkutan nichtdrainierbare, infizierte Nekrosen oder Abszesse eine organerhaltende Ausräumung erzwingen.
Organerhaltende Ausräumung
Fazit für die Praxis
Die akute Pankreatitis ist eine häufige Diagnose bei Patienten mit akutem Abdomen.
Die Diagnose kann in Zusammenschau von Anamnese, klinischen Symptomen und Lipasekonzentrationserhöhung, sinnvoll ergänzt durch rationale Bildgebung, meist rasch gestellt werden.
Therapeutisch stehen initial Basismaßnahmen wie Flüssigkeitssubstitution und effiziente Schmerztherapie im Vordergrund.
Eine akute biliäre Pankreatitis sollte umgehend interventionell behandelt werden (ERCP).
Der Stellenwert der Antibiotika- und Ernährungstherapie hat sich in den letzten Jahren deutlich gewandelt.
Besonders komplizierte, schwere Verlaufsformen erfordern ein interdisziplinäres Vorgehen.
CME-Fragebogen
Wie lauten die beiden häufigsten Ursachen für eine akute Pankreatitis?
Pankreas divisum und postinterventionell (ERCP)
Hypertriglyzeridämie und Trauma
Gallensteine und Alkoholmissbrauch
Medikamente und Tumor
Idiopathisch und Infektionen
Ein 42-jähriger, adipöser Patient (BMI 38,2 kg/m 2 ) stellt sich mit starken, gürtelförmigen Oberbauchschmerzen und Übelkeit in der Notaufnahme vor. Die Symptome begannen vor etwa 7 h. Im Labor fallen eine Leukozytose mit 15.800/µl, eine Lipase mit 44,8 µkat/l (Normwert 1,59–6,36 µkat/l) und ein CRP von 110 mg/l auf. Eine Oberbauchsonographie gibt bei prall-elastischem Abdomen und begleitender Ileussymptomatik artefaktbedingt wenig Aufschluss. Welche weiteren Schritte favorisieren Sie?
Vor der Aufnahme auf die Intensivstation wird eine ERCP durchgeführt, um eine biliäre Pankreatitis auszuschließen.
Zur Diagnosesicherung einer akuten Pankreatitis veranlassen Sie eine KM-CT.
Aufgrund der starken Lipaseerhöhung gehen Sie von einer Pankreatitis mit schwerem Verlauf aus und stellen den Patienten zur dringlichen Operation vor.
Sie verlegen den Patienten auf eine „intermediate care station“ und verordnen kristalline Infusionen und Opioidanalgetika.
Sie verlegen den Patienten auf eine Intensivstation und verordnen eine Breitspektrumantibiotikatherapie.
Welchen Stellenwert hat die Labordiagnostik bei einer akuten Pankreatitis?
Die begleitende Leukozytose gibt keinen Aufschluss über die Erkrankungsschwere.
Der Verlauf der Serum-Lipase-Konzentration korreliert gut mit dem klinischen Bild.
Der maximale CRP-Wert ist etwa 12 h nach Schmerzbeginn zu messen.
Die Diagnosekriterien beinhalten eine mindestens 3-fache Erhöhung der Lipasewerte.
Die alkalische Phosphatase hat bei der akuten Pankreatitis keinen diagnostischen Wert.
Welcher der folgenden Befunde einer Patientin mit akuter Pankreatitis weist auf einen schweren Krankheitsverlauf hin?
BMI 32,4 kg/m2
Leukozytenzahl 14.500/µl
Blutzucker 8,6 mmol/l (155 mg/dl)
Hämatokrit 0,42
Alter 47 Jahre
Wann oder mit welcher Fragestellung ist die bildgebende Diagnostik bei einer akuten Pankreatitis indiziert?
Pankreasnekrosen sollten möglichst in den ersten Stunden nach Symptombeginn bilddiagnostisch ausgeschlossen werden.
Zur differenzialdiagnostischen Abgrenzung der Erkrankung ist bei fast allen Patienten die Anfertigung einer KM-CT des Abdomens erforderlich.
Die Fragestellung nach der biliären Genese einer akuten Pankreatitis kann häufig sonographisch beurteilt werden.
Eine ERCP sollte frühestens ca. 7 Tage nach Erkrankungsbeginn durchgeführt werden.
Nach initialer Diagnosesicherung sind weitere KM-CT-Untersuchungen nicht mehr notwendig.
Welche Aussage zur Volumentherapie bei akuter Pankreatitis ist zutreffend?
Die maximal empfohlene Infusionsmenge beträgt 3–6 l/Tag.
Ein retroperitoneales Ödem kann zu einer erheblichen intravasalen Hypovolämie führen.
Zur Überwachung der Volumentherapie ist der ZVD der Messung des intrathorakalen Blutvolumens überlegen.
Hilfreiches Kriterium für eine adäquate Volumentherapie ist ein Anstieg des Hämatokritwerts.
Wegen der Gefahr eines ARDS sollte in der Frühphase der Erkrankung volumenrestriktiv therapiert werden.
Welches Analgetikum wird bei der akuten Pankreatitis nicht mehr empfohlen?
Morphin
Procain
Dipidolor
Bupivacain (peridural)
Buprenorphin
Eine 58-jährige, kachektische Patientin wird seit 4 Tagen wegen einer akuten Pankreatitis intensivmedizinisch behandelt. Sie ist katecholaminfrei und hat eine suffiziente Diurese. Der Kreatininwert beträgt 124 µmol/l, das CRP 160 mg/l, das Prokalzitonin 0,78 µg/l, die Leukozytenzahl 14.888/µl. Momentan hat sie eine wieder zunehmende Schmerzsymptomatik. Welche Maßnahmen ergreifen Sie?
Der vor 2 Tagen begonnene orale Kostaufbau wird gestoppt.
Die Patientin erhält eine hochdosierte Procaininfusion.
Sie führen eine Abdomensonographie mit der Frage nach Pseudozysten durch.
Sie treffen Operationsvorbereitungen für eine chirurgische Nekrosektomie.
Sie setzen die am Vortag begonnene Antibiotikatherapie kalkuliert um.
Die Ernährung bei akuter Pankreatitis …
wird parenteral verordnet.
beinhaltet nach aktueller Studienlage die Ergänzung von Probiotika.
sollte bevorzugt enteral erfolgen.
kann bei enteralem Applikationsweg nach 72 h begonnen werden.
führt bei enteralem Applikationsweg zu einer bakteriellen Translokation.
Sie diskutieren mit den chirurgischen Kollegen auf Ihrer interdisziplinären Intensivstation Behandlungsstrategien bei akuter Pankreatitis. Welchen Standpunkt vertreten Sie?
Bei älteren Patienten mit schwerem Verlauf und erhöhten Infektionsparametern wird eine chirurgische Nekrektomie innerhalb der ersten 7 Tage angestrebt.
Bei schwerer nekrotisierender Pankreatitis sind interventionelle Therapieverfahren (z. B. radiologisch oder endoskopisch gestützte Drainageanlage) kaum erfolgversprechend.
Eine dringliche (innerhalb 24 h) endoskopische Intervention kann unter bestimmten Voraussetzungen indiziert sein.
Sie überprüfen die Indikation zur CT gestützten Drainage von Nekrosen innerhalb der ersten 24 h nach Symptombeginn.
Abgesehen von infizierten Nekrosen gibt es bei der akuten Pankreatitis keine chirurgischen Therapieoptionen.
Acknowledgments
Einhaltung ethischer Richtlinien
Interessenkonflikt. M. Hecker, K. Mayer, I. Askevold, P. Collet, M.A. Weigand, G.A. Krombach, W. Padberg und A. Hecker geben an, dass kein Interessenkonflikt besteht. Der Beitrag enthält keine Studien an Menschen oder Tieren.
Literatur
- 1.Tenner Am J Gastroenterol. 2013;108:1400. doi: 10.1038/ajg.2013.218. [DOI] [PubMed] [Google Scholar]
- 2.Banks Am J Gastroenterol. 2006;101:2379. doi: 10.1111/j.1572-0241.2006.00856.x. [DOI] [PubMed] [Google Scholar]
- 3.Yadav Pancreas. 2006;33:323. doi: 10.1097/01.mpa.0000236733.31617.52. [DOI] [PubMed] [Google Scholar]
- 4.Bittinger Med Klin Intensivmed Notfmed. 2011;106:221. doi: 10.1007/s00063-011-0019-4. [DOI] [PubMed] [Google Scholar]
- 5.Pandol Gastroenterology. 2007;132:1127. doi: 10.1053/j.gastro.2007.01.055. [DOI] [PubMed] [Google Scholar]
- 6.Banks Gut. 2013;62:102. doi: 10.1136/gutjnl-2012-302779. [DOI] [PubMed] [Google Scholar]
- 7.Runzi Z Gastroenterol. 2000;38:571. doi: 10.1055/s-2000-7447. [DOI] [PubMed] [Google Scholar]
- 8.Dervenis Int J Pancreatol. 1999;25:195. doi: 10.1007/BF02925968. [DOI] [PubMed] [Google Scholar]
- 9.Brown Pancreas. 2000;20:367. doi: 10.1097/00006676-200005000-00005. [DOI] [PubMed] [Google Scholar]
- 10.Hecker M, Weigand MA, Mayer K. Acute respiratory distress syndrome. Internist (Berl) 2012;53:557–566. doi: 10.1007/s00108-012-3018-5. [DOI] [PubMed] [Google Scholar]
- 11.Huber Crit Care Med. 2008;36:2348. doi: 10.1097/CCM.0b013e3181809928. [DOI] [PubMed] [Google Scholar]
- 12.Thompson Am J Gastroenterol. 2001;96:1266. doi: 10.1111/j.1572-0241.2001.03536.x. [DOI] [PubMed] [Google Scholar]
- 13.Kahl Digestion. 2004;69:5. doi: 10.1159/000076541. [DOI] [PubMed] [Google Scholar]
- 14.Villatoro Cochrane Database Syst. 2010;Rev:CD002941. [Google Scholar]
- 15.Al-Omran Cochrane Database Syst. 2010;Rev:CD002837. doi: 10.1002/14651858.CD002837.pub2. [DOI] [PMC free article] [PubMed] [Google Scholar]
- 16.Eatock Am J Gastroenterol. 2005;100:432. doi: 10.1111/j.1572-0241.2005.40587.x. [DOI] [PubMed] [Google Scholar]
- 17.Hecker Anaesthesist. 2012;61:553. doi: 10.1007/s00101-012-2034-0. [DOI] [PubMed] [Google Scholar]
- 18.Hecker Anaesthesist. 2013;62:233. doi: 10.1007/s00101-012-2011-7. [DOI] [PubMed] [Google Scholar]
- 19.Besselink Lancet. 2008;371:651. doi: 10.1016/S0140-6736(08)60207-X. [DOI] [PubMed] [Google Scholar]
- 20.Seifert Gut. 2009;58:1260. doi: 10.1136/gut.2008.163733. [DOI] [PubMed] [Google Scholar]
- 21.Santvoort N Engl J Med. 2010;362:1491. doi: 10.1056/NEJMoa0908821. [DOI] [PubMed] [Google Scholar]
- 22.Santvoort Gastroenterology. 2011;141:1254. doi: 10.1053/j.gastro.2011.06.073. [DOI] [PubMed] [Google Scholar]
- 23.Garg Clin Gastroenterol Hepatol. 2010;8:1089. doi: 10.1016/j.cgh.2010.04.011. [DOI] [PubMed] [Google Scholar]
