Abstract
The quantity, identity, and distribution of biomass in indoor and outdoor aerosols are poorly described. This is not consistent with the current understanding of atmospheric chemistry or the microbiological characterization of aquatic and terrestrial environments. This knowledge gap is due to both difficulties in applying contemporary microbiological techniques to the low biomass concentrations present in aerosols, and the traditional reliance of aerosol researchers on culture-based techniques—the quantitative limitations and ecological biases of which have been well-documented and are now avoided in other environmental matrices. This article reviews the emergence of the polymerase chain reaction (PCR) as a nonculture-based method to determine the identity, distribution, and abundance of airborne microorganisms. To encourage the use of PCR-based techniques by a broad spectrum of aerosol researchers, emphasis is given to the critical, aerosol specific method issues of sample processing, DNA extraction, and PCR inhibition removal. These methods are synthesized into a generalized procedure for the PCR-based study of microbial aerosols—equally applicable to both indoor and outdoor aerosol environments.
Keywords: PCR, Bioaerosol, DNA, Methods, Aerosol
1. Introduction
The microbial fraction of aerosols present in the atmosphere and in indoor air is of fundamental environmental and public health importance. This fraction is commonly termed “bioaerosols” and is a mixture of viable and nonviable microorganisms (e.g. pollen, algae, bacteria, fungi, yeasts) as well as other types of biomass, including a wide range of antigenic compounds, dander, plant and insect debris, microbial toxins, and viruses. Bioaerosols are ubiquitous. Estimates of the biomass content in atmospheric PM2.5 range from 3% to 11% by weight; these values are much greater as a percentage of the organic carbon fraction of particulate matter (Womiloju et al., 2003; Boreson et al., 2004). Others have estimated that up to 25% of particulate matter suspended over land surfaces is comprised of biological material (Jones and Harrison, 2003; Matthais-Maser et al., 2000). Biomass is a reactive fraction of aerosol particulate matter. From an environmental processes perspective, bioaerosols in the troposphere may act as ice nuclei and cloud condensation nuclei (Bauer et al., 2003; Fuzzi et al., 1997; Maki et al., 1974; Vali et al., 1976). Viable bacteria have been identified in super-cooled cloud droplets, and their ability to grow in this environment has been confirmed (Sattler et al., 2001). Airborne bacteria and fungi have also been implicated in transforming dicarboxylic acids in the atmosphere and may therefore play a previously unknown role in catalyzing aerosol chemical reactions (Ariya et al., 2002).
The most profound impact of bioaerosols is as the causative agent of disease. A small percentage of viable bioaerosols causes well-known infectious human diseases, such as tuberculosis (Riley et al., 1962), Legionnaire's disease and various forms of bacterial pneumonia (Fraser, 1980; Ketchum, 1988), coccidioidomycosis (Valley Fever) (Stevens, 1995), influenza (Moser et al., 1979), measles (Riley, 1974), and gastrointestinal illness (Sawyer et al., 1988). Recent evidence suggests that the airborne route may be an important mode of transmission for the SARS-associated coronavirus (Yu et al., 2004). The intentional release of these pathogens and others into the air is also a large contemporary concern (Eickhoff, 1996; Stetzenbach et al., 2004). Finally, some airborne fungi, bacteria, and viruses are the causative agents of plant and animal diseases, which can have large economic and ecological consequences (Alexandersen et al., 2003; Gloster and Alexandersen, 2004; McCartney et al., 2003).
Bioaerosols have also been associated with noninfectious diseases, such as hypersensitivity pneumonitis, organic dust toxic syndrome (ODTS), allergies, and asthma (Burge, 1990; Heederik and Douwes, 1997; Olenchock, 1994; Su et al., 1992). The great majority of all allergens is biological material, such as fungi or fragments of plants, insects, or animals. Fungal-induced allergy constitutes between 25% and 30% of all allergenic asthma cases in the industrialized world and affects approximately 6% of the general population (Horner et al., 1995; Kurup, 2003).
1.1. Limitations associated with traditional culture methods
Despite these environmental implications and the substantial public health concerns, biomass identity, distribution, and abundance in the atmosphere and in indoor air have been poorly described. Certainly, this is not consistent with analytical perspectives of aerosol chemistry or the understanding of microorganisms in aquatic environments and potable water supplies. There are three reasons contributing to this knowledge gap. First, atmospheric sciences have traditionally been paired with the analytical chemistry efforts needed to investigate the air pollution of the industrial age. A consequence of this tradition is that extensive chemical rather than biological characterization of the atmosphere exists and that few scientists or engineers have complementary aerosol and biotechnology skill sets. The second reason is the difficulty in detecting airborne microorganisms due to their dilute nature (Roy and Milton, 2004). For microorganisms, the atmosphere is an extreme and oligotrophic environment, and compared with sampling practices for food, aquatic, and terrestrial environments, microorganism collection from ambient air presents a significant technological challenge. Bioaerosol sampling equipment has collection efficiencies less than 100%, and these efficiencies vary significantly with the aerodynamic diameter of airborne particulate matter. Further, conventional collection devices that harvest particulate matter from air introduce significant sampling stresses, which can substantially reduce the viability and/or culturability of a broad range of airborne microorganisms (Buttner et al., 1997; Stewart et al., 1995).
The final reason for the relatively limited understanding of aerosol microbial ecology is a direct result of the poor integration of biotechnology with aerosol science. Conventional culturing methods, such as plate counts, continue to be the most widely used method in aerobiology investigations (ACGIH, 1999). While culturing still fills an important role in aerosol studies, particularly with pure culture investigations that isolate intrinsic responses of airborne microorganisms and determine the viability or infectivity potential, the ecological bias introduced by culture-based microbiological assays has been well documented (Woese, 1987). Less than 1% of bacteria from terrestrial and aquatic environments can be recovered by enrichment culture (Amann et al., 1995; Pace, 1997). In many of these environments, the majority of the cells are believed to be viable but do not form colonies on agar plates. Based on bioaerosol studies that have measured both total and culturable microorganisms, this low recovery of culturable microorganisms also extends into the atmospheric environment (Table 1 ). The strong reliance on culturing has also limited the types of bioaerosols that can be studied. The etiological agents of many infectious airborne diseases have never been detected in the environment, and there is still uncertainty in the transmission modes for many airborne diseases (Samet, 2004). For example, common infectious airborne agents such as Pneumocystis carinii cannot be cultured (Wakefield, 1996). Even though more than one million people die of tuberculosis each year, and one third of the world's population has been exposed to the causative agent Mycobacterium tuberculosis (WHO, 2004), we are aware of no studies in the peer reviewed literature to confirm the culture-based detection of viable M. tuberculosis from an ambient air sample. Further, culture-based techniques do not apply for assaying allergenic fractions of plants and insects, and recent application of quantitative PCR allergenic fungi in house dust suggested that culturing may underestimate concentrations by 2–3 orders of magnitude (Meklin et al., 2004). Finally, the number of environmental bioaerosol studies reporting on the analysis of airborne viruses is markedly less than those targeting other microorganisms. Classical cell culture assays are the most common type of virus enumeration technique. However, many virus particles do not yet have cell culture assays, and the low efficiencies associated with recovering submicron viral particles in liquid impingers (Willeke et al., 1998) result in the necessity to sample for viruses on filters. Filter recovery has limitations, since dessication incurred during collection may strongly contribute to significant infectivity losses and the consequent inability to detect viruses by cell culture analysis (Agranovski et al., 2004). In their extensive review of viral aerosols, Sattar and Ijaz (1997) strongly state that proper studies on the airborne spread of many human viruses have not been possible because many viruses cannot be readily cultured using standard laboratory techniques.
Table 1.
Culturabilty of airborne bacteria and fungi
| Environment | Organism (media) | Culturability percentagea | Reference |
|---|---|---|---|
| Indoor-sick buildings | Bacteria (Tryptic Soy Agar (TSA)) | <100 | (Moschandreas et al., 1996) |
| Agricultural-swine confinement | Bacteria (TSA) | 1 | (Lange et al., 1997) |
| Agricultural –swine confinement | Bacteria and actinomycetous spores (nutrient agar) | 1–10 | (Palmgren et al., 1986) |
| Industrial-wood chip handling | Fungal spores (Malt Extract Agar (MEA)) | 10–40 | |
| Rural agriculture | Bacteria (Luria Bertani Agar (LB )) | 0.5–4 | (Tong and Lighthart, 1999) |
| Wastewater flood irrigation site | Bacteria (R2A Agar) | 0.1–1 | (Paez-Rubio et al., 2004) |
| Indoor-therapeutic pool | Bacteria (TSA) | 0.1–0.2 | (Angenent et al., 2005) |
| Outdoor urban air | Bacteria (TSA) | 0.02 | |
| Indoor-flooded houses | Bacteria (TSA) and fungi (MEA) | 0.001–30 | (Fabian et al., 2005) |
| Outdoor air | Bacteria (TSA) and fungi (MEA) | 0.1–0.001 |
Culturability percentage is calculated as 100 times the plate count concentration on nonselective growth media divided by total microorganisms concentration determined by direct microscopy.
1.2. PCR-based methods are culture-independent
In the last 15 years, techniques used to study microorganisms in the environment have dramatically expanded due to the ability to detect and identify microorganisms and viruses by DNA or RNA sequence comparison (Pace, 1997). This advance has been made possible by polymerase chain reaction (PCR), an enzymatic reaction in which a sequence of DNA (usually a specific gene or portion of a gene) is selected and multiple copies produced. Using carefully designed DNA primers, a genetic sequence representing a specific microorganism, a group of microorganisms, or a microbial function can be targeted, amplified, quantified, and sequenced. The resulting sequences can then be analyzed directly and compared with existing public databases for identification, or processed for population fingerprinting, microarray analysis, or clone library analysis. PCR can only be performed on DNA sequences. RNA amplification is achieved by first converting RNA to DNA through a reverse transcriptase process and then PCR amplifying the resultant DNA. The advantages of PCR-based techniques for aerosols include the remarkable sensitivity and the unambiguous bioaerosol detection and identification that can be made independent of culturing, thus circumventing the sampling and aerosol-type limitations previously described. The PCR method is general, as it can be applied to any biological matter that contains nucleic acids, such as fungi, viruses, bacteria, and many types of allergens. The elimination of culturing pathogens removes the need for specialized labs to perform cell cultures that require extensive biosafety infrastructure not common in aerosol laboratories. Finally, PCR-based methods also have the potential to provide results more rapidly than culturing techniques—on the order of hours as compared to days or weeks.
The literature contains a very limited number of PCR-based aerosol studies. These studies, however, have already resulted in an increased understanding of aerosol biomass. PCR application has led to advances in environmental and health sciences, such as reconsidering airborne transmission as a way of catching the common cold (Myatt et al., 2004; Samet, 2004), identifying pathogens in aerosols where culture analysis failed to do so (Angenent et al., 2005; Schafer et al., 2003; Wakefield, 1996), developing an increased understanding of the background populations of bacteria, fungi, and allergenic biomass in urban air (Boreson et al., 2004; Wilson et al., 2002), and providing previously unknown quantitative aerosol concentration information that can be used for epidemiology and risk analysis (Schweigkofler et al., 2004; Zeng et al., 2004). These studies have also yielded valuable practical knowledge on sampling and sample processing for PCR-based aerosol studies. Based on the results from extensive application in aquatic environments, PCR-based methods hold tremendous promise to revolutionize the study of the infectious and allergenic biological fraction of indoor and outdoor aerosols.
The application of PCR-based methods towards bioaerosol characterization is currently undergoing a broad expansion. Approximately 30% of all peer-reviewed aerosol research papers that included PCR as a main analytical tool were published after 2004, and greater than 80% of these papers have been published since the year 2000. This progress on PCR-based application and the resulting understanding of biomass in the atmosphere will continue only if these molecular tools become more approachable to the aerosol science community. Accordingly, the goal of this review is to identify practical protocols and the previous barriers associated with the application of PCR technology to characterize atmospheric and indoor aerosols. The intention here is not to focus on the details of the polymerase chain reaction or the population analysis methods, as these methods are the same for water, soil, or clinical samples and robust protocols are published elsewhere and referenced here. The focus of the review is to provide an overview of the sampling and sample processing methods that are specifically tailored to efficient DNA recovery and nucleic acid amplification of microorganisms retained in aerosol samples, with consideration given to the most recent literature examples. Further, the aerosol scientist not familiar with these molecular biology techniques, and the molecular biologist not familiar with aerosol sampling, may find enabling information here that is currently retained by only a few specialized labs involved with both aerobiology and PCR. Finally, a generalized procedure is provided to aid in making this technique more approachable, successful, and common in aerosol arenas.
2. Aerosol sampling and sample processing
Fig. 1 is a flow chart that generically outlines single microbe detection and microbial community analysis of aerosols using PCR-based methods. The significant steps for aerosol assessment include aerosol sampling, sample concentration, nucleic acid extraction, and PCR for either single agents or community analysis. These steps are presented in more detail in the following sections. Table 2 is a description of detection limits, sampling methods, and sample processing protocols and refers to previous PCR-based aerosol studies that have been published in archival journals. This table will be referenced throughout. Table 2 is comprehensive, with the exception that out of the various studies that have used identical sampling and sample processing methods, only one is represented.
Fig. 1.

Flow chart illustrating the pathways to PCR-based analysis of aerosols. The quantities of target bioaerosols required for successful analysis are listed within the chart.
Table 2.
Study description, limits of detection, aerosol sampling method, and sample processing protocols used in previous PCR-based aerosol studies
| Study and limit of detection | Aerosol collection | Sample processing comments |
|---|---|---|
| Indoor healthcare setting, varicella-zoster virus, limit of detection was 102–103 copies (Sawyer et al., 1994) | 0.45 μm cellulose filter at 2.5–9.4 L min−1 for 0.25 h–2 h | Filters were extracted in pure water and dialysis used to concentrate samples. Freeze-thaw method used for cell lysis. No purification |
| Indoor healthcare setting, cytomegalovirus, no detection limit provided (McCluskey et al., 1996) | 0.1 μm polycarbonate membrane at 1.9 L min−1 for 6 h | Filters were minced and then extracted in a tris buffer solution. Lysis conducted by detergents, proteinase K, and heating at 60 °C for 1 h and reheating at 95 °C for 0.25 h. No purification |
| Outdoor rural ambient aerosols, Pneumocystis carinii, no detection limit provided (Wakefield, 1996) |
|
Samples on solid supports were eluted with 0.1% Triton X-100 solution and ground in liquid nitrogen to lyse spores. DNA was purified by phenol:chloroform extraction and DNA concentrated and cleaned by a spin column |
| Aerosols sampled from pig rooms on seven commercial farms, Mycoplasma hyponeumoniae, nested PCR increased sensitivity by 104 times (Stark et al., 1998) | 0.2 μm polyethersulfone filters at 8.3–20 L min−1 | Filters were dissolved in chloroform, shaken, and then DNA was extracted from the solution by phenol:chloroform extraction, followed by ethanol precipitation and centrifugation of DNA |
| Outdoor wastewater treatment plant, chemical plant, and indoor office building, Legionella spp., PCR more sensitive than plate counts (Pascual et al., 2001) | Impacted onto a petri dish containing 20 mL of phosphate buffered saline, flow at 100 L min−1 | Cells concentrated by centrifugation and lysed by freeze-thaw process. No purification |
| Indoor and outdoor urban aerosols, Pneumocystis carinii, limit of detection was 102 cells without inhibition (Maher et al., 2001) | 0.45 μm polyvinylidene difluoride filters at 0.4 L min−1 for 24 h | Cells were lysed directly on the filter using extraction buffer and DNA was purified by phenol:chloroform followed by ethanol precipitation. Magnetic bead capture was used after DNA extraction and purification to remove inhibiting compounds |
| Outdoor and indoor industrial sites, selected fungi, PCR detection limit for total fungal spores was 9–73 spores or 1.3–9.3 CFU (Wu et al., 2002a) | 0.4 μm polycarbonate membrane at 1.2 L min−1 for 2–4 h | Filters were eluted in a DNA extraction buffer containing 1% Triton-100. DNA was lysed by bead beating and purified by spin column |
| Ambient air samples in Mexico City, Penicillium roqueforti and all fungi. Limit of detection was 10 spores in wind tunnel samples and 200 spores in Mexico City samples (Calderon et al., 2002) | Rotating-arm spore trap onto tape at 150 L min−1 and a Hirst-type spore trap at 10 L min−1. Sampling times varied from 20 min to 14 days | Spores were extracted from spore trap tape in a 0.1% solution of Nonident P-40. Lysis was performed by bead beating, followed by phenol:chloroform purification and ethanol precipitation with glycogen |
| Outdoor ambient aerosols, all bacteria, no detection limit provided (Wilson et al., 2002) | Collected onto 8′×10′, 1 μm pore-size track-etched polyester filter at 1000 L min−1 for 24 h | Filters were eluted in a phosphate buffered saline with 0.003% Tween 20. A soil extraction DNA kit was used and cell lysis was augmented with bead beating |
| Indoor aerosols above whirlpools, Mycobacteria spp., limit of detection was 1 gene copy (Schafer et al., 2003) | 1 μm PTFE filters at 3 L min−1 for 7 h and an 8 stage (0.2–9.9 μm) MOUDI sampler, flow at 30 L min−1 for 30 h | Filters were eluted in tris buffer containing 1% Triton X-100 detergent. Cells were lysed by kit lysis agent and by heating at 60 °C for 45 min. No purification |
| Indoor office setting, rhinovirus, no detection limit provided (Myatt et al., 2004) | 2.0 μm PTFE filter at 4 L min−1 for 8 h | Filters were extracted in a mixture of phosphate buffered saline and kit lysis buffer containing carrier RNA. Extracted RNA was purified using kit spin columns and reverse transcriptase was used to convert RNA to DNA for PCR |
| Indoor aerosols from agricultural settings, limit of detection was 1–10 fungal spores with either conventional PCR or real-time PCR (Zeng et al., 2004) | 0.4 μm polycarbonate membrane at 1.2 L min−1 for 1.5 h | Filters were eluted in a DNA extraction buffer containing 1% Triton-100. DNA was lysed by bead beating and purified by spin column |
| Outdoor aerosols, Fusarium circinatum, 102 gene copies for real time PCR and 1 copy for conventional PCR (Schweigkofler et al., 2004) | Deposition onto wetted filter paper | Filters were eluted in 65°C tris-EDTA buffer. Spores lysed by bead beating, chemical lysis, and freeze-thaw cycling and DNA purified by phenol:chloroform extraction with DNA capture by spin columns |
| Urban and rural outdoor ambient aerosols, all Eukaryotes, no detection limit provided (Boreson et al., 2004) | MicroVic bioaerosol concentrator fitted with an SKC biosampler at 400 L min−1 for 3 h | Cells were concentrated by filtration onto a 0.20 μm pore-size polycarbonate membrane and eluted using a DNA extraction buffer amended with 0.05% Tween 80. Lysis was performed by bead beating and freeze-thaw cycling and DNA purification was performed by phenol:chloroform extraction followed by ethanol precipitation and DNA capture on spin columns |
| Indoor therapeutic pool, all microorganisms, no detection limited provided (Angenent et al., 2005) | SKC biosamplers at 12.5 L min−1 for greater than 1 h | Cells were concentrated by filtration onto a 0.20 μm pore size hydrophilic polyethersulfone membrane and eluted by tris buffer with Igepal CA-630 (nonionic detergent). Lysis using bead beating with phenol:chloriform purification and ethanol precipitation |
| Indoor health care setting, M. tuberculosis, limit of detection was less than 10 genomes (Chen and Li, 2005) | 0.4 μm polycarbonate filters at 22 L min−1 for 8 h | Cells were extracted from filters using deionized water. DNA was extracted using a proprietary kit and cell lysis was enhanced with a bead-vortexing and boiling protocol. No DNA purification |
| Outdoor ambient aerosols, all bacteria, no detection limit provided (Maron et al., 2005) | Wetted-wall cyclone aerosol sampler used at 800 L min−1 for 3 h | Cells were lysed by bead beating, chemicals, and freeze-thaw cycling, and DNA was purified by ethanol precipitation and a final DNA cleanup prior to PCR using a genomic DNA purification kit |
2.1. Integrated sampling
On the same volumetric basis, quantities of airborne microorganisms are typically several orders of magnitude (104–106) less than quantities of waterborne microorganisms (Stetzenbach, 2002). Consequently, an inherent requirement for performing PCR on aerosol samples is to concentrate the dilute biological aerosol. As with all aerosol samples, quantity, capture efficiency, and size resolution are also important considerations. An additional unique and critical consideration for bioaerosol monitoring is the ability to remove all biological matter from the sampler before reusing, as PCR is highly sensitive and a small amount of contamination—1 target cell or 1 fg of DNA—can result in a false positive response. PCR-based methods do not provide information independent from bioaerosol culturability or infectivity; thus, ensuring that a collection process does not compromise viability is of less concern. The three most common methods for sampling bioaerosols for both culturable and PCR-based studies are impaction onto solid media, impaction into a liquid (impingement), and filtration (Table 2). The distribution of sampling methods in previous aerosol PCR-based studies is 20%, 24%, and 56% for impaction, liquid impingement, and filtration, respectively.
Bioaerosols collected for subsequent PCR analysis can be impaction onto nonagar surfaces such as tape, foam, or glass slides. Flow rates for the common impactors used in bioaerosol sampling range from 10 to 90 L min−1 (Buttner et al., 1997). Because impaction is based on particle inertia, some impactors have the advantage of performing particle-size distribution of the aerosols collected (Li et al., 1999). Spore traps, cascade impactors with glass plates, and MOUDI impactors have all been successfully used to collect fungi and bacteria for subsequent PCR analysis (Calderon et al., 2002; Schafer et al., 2003; Wakefield, 1996).
Liquid impingement is the impaction of aerosols into a liquid and is a common method used for the collection of viable bacteria and virus particles. All glass liquid impingers avoid desiccation artifacts and impart the lowest sampling stress of currently marketed bioaerosol samplers so that culturing can be concurrent with PCR-based analyses. The flow rate for common impingers is 12.5 L min−1—the approximate breathing rate of humans, and cells are impinged into a 15–20 mL volume of collection fluid. While the size ranges of both bacteria and fungi suggest efficient collection via impingement (collection efficiency is near 100% above 0.6 μm aerodynamic diameter; Willeke et al., 1998), liquid impingers are more commonly used for bacteria, since many fungal spores are hydrophobic and may impinge with low efficiency (Eduard and Heederik, 1998). Individual or agglomerated virus particle collection (diameters between 0.01 and 0.3 μm) via liquid impingent is possible, but collection efficiency declines rapidly with aerodynamic diameters less than 0.5 μm (Willeke et al., 1998). The disadvantages of common liquid impingers include the low flow rate, the limited amount of time that impingers can be operated before the collection fluid is changed (although this may be extended with the use of a more viscous, nonevaporative collection fluid; Lin et al., 2000), and their inability to discriminate between such relevant respirable size ranges as PM10 and PM2.5.
Using filtration for bioaerosol collection generally entails mounting a membrane of a nominal pore size (0.01–2 μm) onto either a permanent or disposable filter cassette and providing airflow in the range between 1 and 50 L min−1 (Buttner et al., 1997). Size discrimination can be achieved by the addition of a cyclone with a specific aerodynamic diameter cut point in front of the filter apparatus. Material type is selected to optimize collection, and elution/analysis and commonly includes polycarbonate, polytetrafluoroethyline (PTFE), polyvinylchloride, or mixed cellulose ester. Collected bioaerosols can be eluted from membranes and used in culture-independent methods, such as microscopic direct counts or PCR-based analysis (Alvarez et al., 1995; Palmgren et al., 1986). The loss in viability of vegetative bacteria during filter collection has been well documented, although bacterial and fungal spores show a much higher survival rate than vegetative bacteria and viruses (Agranovski et al., 2004; Jensen et al., 1992; Palmgren et al., 1986). Filter collection efficiency for a variety of materials and pore sizes is typically greater than 95% for particles as small as 0.035 μm in diameter (Lee and Mukund, 2001), and therefore, filters allow for the efficient collection of a wide variety of bioaerosols ranging from large fungi and pollens to airborne viruses and particulate biotoxins. Pore sizes used in fungi and bacteria collection have ranged from 0.2 to 1 μm (Mastorides et al., 1997; Wilson et al., 2002; Zeng et al., 2004) while pore sizes for filters used for virus collection have ranged from 0.1 to 2.0 μm (Bej et al., 1991; McCluskey et al., 1996; Méndez et al., 2004; Myatt et al., 2004; Sawyer et al., 1994). While environmental airborne viruses and bacteriophages have been detected by cell culture in air via liquid impingers (Pillai et al., 1996) and impactors filled with fluid (Carducci et al., 1999), the successful PCR detection of viruses from air has been most commonly from the collection of samples on filters (McCluskey et al., 1996; Myatt et al., 2004; Sawyer et al., 1994).
An emerging class of aerosol samplers that may be well suited for PCR-based measurements of bioaerosols is high-volume samplers (greater than 100 L min−1). The development of high-volume samplers designed specifically for bioaerosols is undergoing a dramatic expansion in response to biological warfare and bioterrorism concerns. High-volume biosamplers, such as the Spincon® (Sceptor Industries, Inc., Kansas City, MO), the BioCapture® 650 Air Sampler (Meso Systems, Inc., Kennewick, WA), and volumetric aerosol concentrators such as the Microvic® (Meso Systems), are commercially available and operate at greater than 500 L min−1 in a liquid impingement format (although their cost may be 10–200 times that of glass liquid impingers). The ASAP sampler (Rupprect and Patashnick Co., Inc., East Greenbush, NY) collects by impaction onto foam, and like high-volume impingers, it is also marketed to allow for both culturable analysis and the collection of cells for DNA extraction and subsequent PCR-based analysis. Beyond cost, the key limitation to these samplers is a lack of performance data. In contrast to the conventional impingers and impactors (An et al., 2004; Juozaitis et al., 1994; Lin et al., 2000), there is a paucity of collection efficiency performance data and limited peer-reviewed reports available for the new generation of high-volume samplers. One exception is the collection efficiency for particles of mean aerodynamic diameters of 0.5, 1, and 2.5 μm reported for the Reuter Centrifugal agar strip samplers (RCS High Flow, Biotest Diagnostics Corp., Denville, NJ) (An et al., 2004).
The fact that aerosols need not be viable or culturable for PCR-based analysis is of tremendous benefit to biomass sampling, as it allows for collection using the full variety of particulate matter and chemical aerosol samplers. Compared to traditional bioaerosol samplers, these samplers have larger size ranges, a better ability to fractionate aerosols into specific size ranges, the ability to sample large volumes of air, and are generally better characterized for sampling efficiency. The PM10 and PM2.5 high-volume aerosol samplers now widely used to collect particulate matter for gravimetric and chemical analysis have been used for PCR-based studies and represent a dramatic increase in sample collection rate (typically near 1 m3 min−1) (Radosevich et al., 2002). In addition, the PCR-based bioaerosol studies using MOUDI impactors (Schafer et al., 2003) and personal aerosol monitors (Nugent et al., 1997) have shown the potential to provide new relevant information as a result of the particle size information and the personal exposure information afforded by these nontraditional bioaerosol samplers.
2.2. Filter elution and sample concentration
A common first step in processing aerosol samples for PCR-based analysis is to elute the collected biomass from filters. To maximize sensitivity and provide for accurate quantification, elution of biomass must be efficient, and the process must be completed in a small volume of liquid to ensure that either a large fraction or the entire sample can be used in the nucleic acid extraction and subsequent PCR. Filter elution may apply to both aerosol samples collected on filters and aerosol samples collected in liquid impingers, since the volume of liquid in common impingers (20 ml) is too large to easily and economically extract DNA (Alvarez et al., 1995; Angenent et al., 2005; Méndez et al., 2004; Paez-Rubio et al., 2005).
Filter materials that have been successfully used for cell concentration and elution in aerosol PCR-based studies include nucleopore polycarbonate filters (Paez-Rubio et al., 2005; Palmgren et al., 1986), PTFE (Bej et al., 1991; Myatt et al., 2004), polyethersulfone (Angenent et al., 2005; Stark et al., 1998), and mixed cellulose ester filters (Alvarez et al., 1995) (Table 2). Polycarbonate is the most common type and has been used in greater than 50% of previous PCR-based aerosol studies. A previous side-by-side comparison of polycarbonate and PTFE filters for the collection and identification of airborne M. tuberculosis in healthcare settings demonstrated no differences in recovery from the two materials (Wan et al., 2004). Track-etched polyester filters have also been used successfully for bioaerosol collection and elution (Wilson et al., 2002).
The elution process is performed by placing whole or cut filters into a solution of sterile, DNA-free deionized water, Tris buffer, or phosphate-buffered saline that has been amended with 0.01–1% nonionic detergent, such as sodium dodecyl sulfate (SDS), Triton 100X, or Tween 20 (Wakefield, 1996; Wilson et al., 2002; Zeng et al., 2004) (Table 2). In some previous studies, viral particles or cells have been eluted directly in a mild lysis buffer (Myatt et al., 2004; Paez-Rubio et al., 2005). The agitation methods of eluting fungal or bacterial cells or viral particles from filters include rapid vortexing, placement on an orbital shaker table, or sonication (McCullough et al., 1998; Méndez et al., 2004; Palmgren et al., 1986). Elution times depend upon mechanical agitation methods and are typically on the order of minutes for vortexing and hours for placement on orbital shaker tables. It is critical that filters are removed after elution and not subjected to DNA extraction reagents. This important observation was reported in a PCR optimization study that systematically compared the level of detection associated with common filter materials, including PFTE, polycarbonate, or mixed cellulose ester filters (Bej et al., 1991). The comparisons in this case were made for samples in which the filter was not eluted; rather, it was placed in the DNA extraction buffer and carried all the way through to the PCR reaction. Only PTFE filters (hydrophobic were better than hydrophilic) allowed for detectable PCR amplification of samples containing 1–10 cells. Other studies have demonstrated that when polycarbonate filters were eluted and removed before the cell lysis step, DNA detection limits of 1–10 cells result (Wan et al., 2004; Wu et al., 2002a; Zeng et al., 2004).
Although many filter types, elution solutions, and agitation methods have been used, filter elution recovery efficiencies have not been reported for aerosol studies and a generally accepted protocol does not yet exists. In cases where quantitative aerosol studies were performed, high efficiencies may be inferred from the fact that between 1 and 10 cells seeded onto a filter produced a detectable amount of PCR amplicons (Wu et al., 2002a; Zeng et al., 2004). Given the current research trend to quantify by PCR, the efficiency of filter elution is becoming more critical and this step should be given substantially more treatment in the literature.
2.3. Lysis and nucleic acid purification
Due to the low number of microorganisms in most aerosols and the desire for quantitative results, the extraction of DNA or RNA from environmental samples must also be efficient, not damage the DNA or RNA target, and provide nucleic acid that is free of PCR-inhibiting compounds. Nucleic acid extraction consists of cell lysis and nucleic acid purification. Lysis is the disruption of a cell or spore wall or virus coating and the corresponding release of genomic DNA or RNA. Enzymatic, chemical, or physical methods or a combination of these methods are used to disrupt cell walls and virus coatings, and are typically accompanied by a detergent such as SDS to aid in releasing the nucleic acid from disrupted cells. The lysis protocol may be tailored to the target microorganism. If a single microorganism is targeted and possesses a weak cell wall, such as the Gram-negative Neisseria meningitides or Haemophilus influenzae, then a strong surfactant coupled with enzymatic disruption of protein and polysaccharides may be a suitable lysis method. Many commercially available kits, which typically use less stringent chemical lysis procedures, can be useful for this purpose. More typically in aerosols, the stronger Gram- positive bacterial and fungal spore cell walls necessitate a more robust lysis method. This involves incubation with lysozyme to hydrolyze the polysaccharide components of cell walls and incubation with protein lytic enzymes, such as Proteinase K, to cleave peptide bonds in cell wall proteins. These enzymatic preparations are often followed by the use of surfactants such as hexacetyltrimethylammonium bromide (CTAB) or SDS (3–5%) to break up and dissolve cell wall lipids. For most environmental bacteria and fungi, an additional step such as high-energy agitation with micron-sized beads (bead beating) or rapid freeze-thaw cycling is necessary for complete cell wall disruption. Indeed, the use of these physical disruption steps has been associated with 99% cell disruption in environmental samples (Freeman et al., 2002) and large increases in DNA yields from soils and aerosol samples (Haugland et al., 2002, Zhou et al., 1996, Miller et al., 1999). Other researchers, however, have cautioned that methods such as bead beating and sonication can shear genomic DNA into fragments (Miller et al., 1999; Picard et al., 1992) and that these fragments may lead to either incomplete PCR amplification or chimera (PCR amplicon composed of DNA from different, multiple microorganisms) production. Miller and coworkers describe speeds and times for bead beating that reduce this fragmentation (Miller et al., 1999), and extraction by sonication is not recommended. Clearly described protocols exist for thorough cell wall lysis for small quantities of fungi (Haugland et al., 2002; Schabereiter-Gurtner et al., 2001) and all bacteria (Frank et al., 2003), and both have been employed successfully in aerosol studies.
The second step in nucleic acid extraction is purification, the process of separating DNA from cell lysates (proteins, carbohydrates, and lipids) and other environmental contaminants. This step is necessary to avoid interferences in nucleic acid measurement and enzymatic inhibition of the PCR reaction (Alvarez et al., 1995; Dean et al., 2005; Haugland et al., 2005). DNA or RNA purification is a two-stage process in which nucleic acid is first separated from protein typically using a phenol:chloroform extraction. During this first step, cell lysate is mixed with a 1:1 phenol:chloroform mixture. Proteins partition into the organic (chloriform) phase while nucleic acids are extracted into the top aqueous (phenol) phase and removed. DNA or RNA is recovered from the phenol by cold precipitation in ethanol. The precipitated nucleic acid is then collected by centrifugation. Difficulties can arise in precipitating and collecting very small amounts of nucleic acid, although precipitation can be improved by the addition of tRNA or glycogen to samples (Williams et al., 2001). Alternatively, purification of nucleic acid can be achieved through the use of microcentrifuge spin columns that take advantage of silica–nucleic acid binding. Many column manufactures exist (Qiagen, Inc., Freemont, CA; Sephadex® Products, Sigma Chemical Co., St. Louis, MO; Mo Bio Laboratories, Inc., Carlsbad, CA; Promega, Inc., Madison, WI). During column purification, cell lysate, usually with a high ethanol content, is loaded onto columns with high affinity for nucleic acids. The column is cleaned by several rinses in ethanol, and then DNA and RNA is eluted using a small volume (50 μL or less) of water or buffer. Recovery of DNA or RNA by filter column is at least as efficient as the phenol:chloroform/ethanol precipitation method.
Many environmental studies and approximately 30% of the previous PCR-based aerosol studies extracted nucleic acid with the aid of a commercially available kit. Kits are commonly available for DNA and RNA extraction from soil communities as well as extraction from clinical samples. Most researchers who have used these kits have substituted a more rigorous cell lysis method and then simply used the kit spin columns for purification of nucleic acid (Table 2) (Maron et al., 2005; Wakefield, 1996; Wu et al., 2002a; Zeng et al., 2004).
The appropriate application of nucleic acid extraction methods has commonly led to reported recoveries of greater than 90% in environmental soil and spiked aerosol samples (Haugland et al., 2002; Zhou et al., 1996). There is strong evidence that both lysis and nucleic acid purification steps are necessary in processing aerosol samples for PCR. Recent aerosol studies independently concluded that inhibitory compounds produced by either fungal cell lysates or by the environmental matrix (dust or particulate matter) can significantly inhibit PCR, and that these compounds and their associated inhibition can be removed by nucleic acid purification techniques such as phenol:chloroform extraction with ethanol precipitation (Dean et al., 2005; Williams et al., 2001) or by using spin columns with cleanup and elution (Haugland et al., 2002). The literature contains a limited amount of nucleic acid extraction optimization studies that provide very useful information for PCR-based aerosol studies (Dean et al., 2005; Haugland et al., 2002; Miller et al., 1999; Porteous et al., 1997; Zhou et al., 1996). Details of DNA extraction protocols used in previous aerosol studies are presented in Table 2.
2.4. Effective PCR detection levels and inhibition
The theoretical minimum amount of template nucleic acid required for PCR amplification is a single gene copy (Burke, 1996) or approximately 1–3 fg of genomic DNA (Schafer et al., 1999). By extracting genomic DNA from a pure culture, assuming a mass for 1 genome, and diluting the sample to the equivalent of 1–10 copies, researchers have verified this detection limit in clean laboratory samples for relevant airborne microorganisms (Bialek et al., 2004; Williams et al., 2001). The process of nesting—performing two consecutive PCR reactions on the same gene where a second set of primers amplifies a fragment inside the fragment circumscribed by a first set of primers—can also be used to increase detection levels. Although not exclusively practiced in aerosol samples, nested PCR is common, especially when applied to the detection of single viral, bacterial, or fungal pathogens where concentrations may be very low (Mastorides et al., 1997; McCluskey et al., 1996; Wakefield, 1996). The process of nesting almost always decreases the detection level. Stark et al. (1998) observed a 104 increase in sensitivity by using nested primers, although the increase is usually approximately 1–2 orders of magnitude.
A more practical detection limit guideline for environmental samples is somewhat greater than a single gene copy. The limit is increased due to losses during filter elution, inefficient DNA extraction, and PCR inhibition from aerosol contaminants. Maher et al. (2001) demonstrated PCR inhibition effects on detection limits by noting positive PCR reactions for as few as 102 P. carinii spores spiked onto clean filters, while the detection limit increased to 103 cells and greater than 104 cells when spiked onto filters exposed to indoor and outdoor air, respectively. In a related study, PCR was compromised by significant inhibition, which correlated with aerosol biological concentrations (Alvarez et al., 1995). In liquid impinger samples that were seeded with Escherichia coli DH1 cells, as few as 10 cells were detected using nested PCR when samplers were operated outdoors, and 2.1×102 CFU m−3 environmental bacteria were collected. In cases where a greater number of environmental microorganisms were collected (4×103 CFU m−3), PCR was inhibited when 10–102 CFU were purposely spiked into the collection device. Successful PCR amplification was restored to “pre-spike” levels in this sample by serial dilution (greater than 10 times) of the impinger collection fluid to remove most of the inhibition. Indeed, in many cases, inhibition of PCR amplification can be significantly reduced by simply diluting the purified DNA extract.
Useful data on aerosol PCR detection limits also comes from studies where PCR detection is compared to other measurement methods, such as culturable plate counts or direct microscopic counts. Pascual et al. (2001) measured airborne Legionella pneumophilia with concurrent culture plate counts and PCR detection. Of 12 positive samples, 3 samples were positive for both culture plate counts and nested PCR, and 9 samples were positive for nested PCR only, indicating that the L. pneumophilia detected by PCR and not plate counts may have been nonviable or nonculturable. Using direct microscopic counting of total fungal spores in conjunction with PCR that utilized primers that recognize all fungi, Calderon et al. (2002) estimated a detection level in Mexico City outdoor air of 200 total fungal spores (not nested); this value is approximately 20 times greater than the detection level determined by the same researchers in clean spiked laboratory samples. In another study in which PCR with primers universal to all fungi was paired with both direct microscopic counts and culturable plate counts for fungi to investigate aerosols in outdoor and indoor industrial sites, the limits of detection for PCR amplification were 9–73 total cells or 1.3–19.3 CFU fungi m−3 (Wu et al., 2002a).
Review of PCR application in aerosols suggests that, detection levels of 10–102 gene copies can be achieved provided that appropriate steps to mitigate inhibition have been taken and the cell lysis and DNA purification steps in sample processing are efficient (Table 2).
2.5. The PCR step
PCR is a common analytical technique in medical diagnostics and biotechnology laboratories, as well as in environmental laboratories that study the aquatic and terrestrial biospheres. Several books and laboratory manuals exist as references for PCR operation and optimization (Burke, 1996; Weissensteiner et al., 2004). The fundamentals of PCR are not covered here, since the unique aspects of PCR-based aerosol studies are sampling, sample preparation and nucleic acid extraction—the actual polymerase chain reaction is standard protocol regardless of the source of target DNA. Most of these primers are based on the sequence of the ribosomal RNA encoding gene. The use of the ribosomal RNA encoding gene (rDNA) as a phylogenetic basis for microorganism identification and primer selection is beyond the scope of this review. Ribosomal RNA phylogenetics are exhaustively described elsewhere (Amann et al., 1995; Lane et al., 1985; Pace, 1997; Woese, 1987). Wu et al. (2002b) provided a list of PCR primers useful in aerosol studies for fungi.
While quality assurance is covered extensively in PCR manuals referenced above, it deserves brief treatment here, as one purpose of this review is to encourage those not trained in microbial ecology and genetics to apply nucleic acid techniques to aerosols. Given the sensitive nature of PCR, issues relating to contamination are common. Equipment and reagents must be free of any contaminant cells or nucleic acids. Because the viability of a cell is not required for PCR, the common sterilization measure of autoclaving is not useful in decontaminating reagents, equipment, and samplers. Common quality assurance practice for PCR laboratories includes the following: a dedicated set of pipettors to be used only for PCR reagents, the use of aerosol filter pipette tips, use and frequent changing of powder-free gloves during all PCR steps, and the use of PCR grade reagents, water, and tubes. Finally, preparation of PCR samples in a positive pressure facility or clean room or in a laminar flow cabinet is recommended.
3. Post PCR analysis
Obtaining PCR amplicons is always an intermediate step in the analysis of an aerosol sample. Depending on the primers used, analysis can be extended toward microorganism identification, population analysis, or quantification. The most common analysis in aerosol studies has involved identifying a specific pathogenic virus or species of bacteria or fungi (Calderon et al., 2002; Maher et al., 2001; Mastorides et al., 1997; Myatt et al., 2004; Pascual et al., 2001; Sawyer et al., 1994; Stark et al., 1998; Wakefield, 1996; Wan et al., 2004). For these types of studies, single agents can be chosen and their DNA amplified from an environmental sample by using a specific set of primers. While a cursory identification can be performed by size discrimination through gel electrophoresis, DNA sequencing and database comparison is a necessity for confirmation. In addition to single microorganism identification, the common methods of population studies include DNA fingerprinting, clone library analysis, DNA microarray hybridization, and quantitative PCR. These methods are described in Table 3 , and their frequency of use in PCR aerosol studies is described in Fig. 2a . For each technique, a method reference is provided along with a list of studies in which that method was applied to aerosol studies. The aerosol environments where past PCR-based aerosol studies have been applied are described in Fig. 2b. Reviews of these and other molecular biology methods have been published since 1993, and they describe the potential application of PCR-based molecular biology methods for the analysis of airborne microorganisms (ACGIH, 1999; Griffiths and DeCosemo, 1994; MacNeil et al., 1995; Mukoda et al., 1994).
Table 3.
Description of post-PCR population analysis method relevant to environmental aerosols
| Method | Description | Method references | Aerosol studies references |
|---|---|---|---|
| DNA fingerprinting of microbial populations | DNA fingerprinting is a process where individual members of a microbial community are separated to form a pattern or fingerprint. First, PCR is performed with group specific or universal primers. Separation of the community PCR amplicons is most commonly accomplished by denaturing gradient gel electrophoresis (DGGE) resulting in a pattern of bands in a gel, or by terminal restriction length polymorphism (T-RFLP) to form a fingerprint consisting a chromatographic spectra. The fingerprints produced from different samples can be compared to determine the differences or similarities in two or more microbial populations | (Muyzer, 1999) (Marsh, 1999) | (Maron et al., 2005) |
| Cloning | Cloning is the processes of isolating and sequencing a single DNA amplicon from a mixture of amplicons. Cloning is performed on environmental samples that have been PCR-amplified using group specific or universal primers. The method provides definitive information on the identity of the community members and is useful in detecting the most predominant members of the community. Cloning is most useful in identifying the presence of previously unidentified microorganisms in a sample | (Amann et al., 1995; Frank et al., 2003; Sambrook and Russell, 2001) | (Angenent et al., 2005; Boreson et al., 2004; Maron et al., 2005; Paez-Rubio et al., 2005; Schafer et al., 2003; Wilson et al., 2002) |
| DNA microarrays | DNA microarrays are arrays of DNA probes that are species or group specific and are fixed on to small glass slides. Fluorescently labeled PCR amplicons can then be hybridized to the arrays, washed to remove nonspecifically bound background and then read using sensitive fluorometric detectors. Microarrays provide a method for high throughput community analysis. The array can be designed to include a specific group of microorganisms, such as bacterial airborne pathogens with 10–100s of probes, or a broad group of microorganisms such as all bacteria using thousands of probes. Microarray analysis describes the present or absence of a predetermined group of microorganisms | (Bodrossy et al., 2003; Loy et al., 2002) | (Wilson et al., 2002) |
| Quantitative PCR | Quantitative PCR provides estimates of the numbers of target genes or target organisms in an environmental sample. The process requires equipment that can determine the PCR cycle number in which an increase in amplified target can be detected. This cycle number is called the concentration threshold (Ct). Quantification is typically made by comparing the Ct of an environmental sample to a standard Ct curve versus gene copy or whole cell number. The method can be used to quantify single agents, or groups of microorganisms such as all bacteria or all fungi | (Arya et al., 2005; Heid et al., 1996) | (Chen and Li, 2005; Schweigkofler et al., 2004; Zeng et al., 2004) |
Fig. 2.

Distribution of post-PCR analysis performed in previous aerosol studies (a), and aerosol environments in which PCR-based aerosol experiments have studied (b).
3.1. Quantitative PCR analysis
Because human health and environmental processes are related to both the bioaerosol type and quantity, the need for quantitative PCR data is evident, and the recent developments in applying this technique warrant more thorough treatment. The number of copies of a target gene in an environmental sample can be determined through PCR by monitoring the increase in amplicon concentration during DNA amplification then regressing to the original concentration. In practice, a quantifiable signal that is proportional to the amplicon concentration is produced at the end of each PCR cycle by a labeled probe that fluoresces when bound to the target DNA amplicon. Because fluorescent data is reported for each cycle, this type of PCR is often termed real-time PCR. The real-time PCR measurement that is critical for quantification is achieved by tracking fluorescence intensity as it progresses through successive PCR cycles up to a cycle threshold (Ct)—the cycle number where a statistically relevant increase in fluorescent signal from a background is first observed (Fig. 3 ). The number of target gene copies in an environmental sample can then be determined from a calibration curve of standardized DNA solutions versus the corresponding Ct value. In all cases, a gene copy quantity can be determined. This may or may not be the same as a whole cell or virus quantity since whole genomes often contain either multiple copies of the same gene or multiple genome copies per cell. In cases where a pure culture of microorganisms is available, a calibration curve of whole cells versus Ct can be produced to circumvent this issue (Zeng et al., 2004).
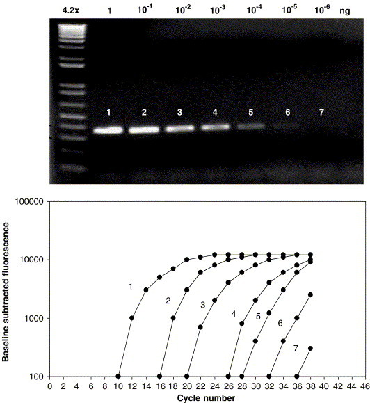
Fig. 3.

A dilution series demonstrating detection sensitivity and the quantitative PCR method. The electrophoresis gel represents conventional PCR while the graph below represents log10 fluorescence versus time for real-time PCR. Figure adapted from Zeng et al. (2004).
Real-time PCR thermal cyclers are available from a number of manufacturers at approximately 5–10 times the cost of conventional thermal cyclers. This equipment is also commonly available for use on a contract basis in biotechnology core facilities in many universities and in federal research agencies. The quantitative PCR technique has emerged in the literature since the year 2000, and applications to environmental sample analyses have been reported steadily since 2003. Several reviews are available on the specific techniques, protocols, and available equipment (Ivnitski et al., 2003; Levin, 2004; Makino and Cheun, 2003; Wilhelm and Pingoud, 2003).
Quantitative PCR studies in environmental fields have been conducted almost exclusively in aqueous or soil/sediment environments (Haugland et al., 2005; Ibekwe et al., 2004). Recent studies have shown this technique to be comparable to culturing for the quantitative monitoring of Enterococcus spp. fecal indicator microorganisms in lakes (Haugland et al., 2005). As few as 27 gene copies could be reliably detected from lake samples, and a positive linear correlation was observed between quantitative PCR results and the traditional membrane plate count culture method. Quantitative real-time PCR has been extended to virus quantification in drinking water and sewage and has revealed similar advances in detection and quantification over culturing (He and Jiang, 2005). Recently, quantitative PCR has also been successfully applied to study airborne microorganisms collected from the environment. Schweigkofler and coworkers measured aerosol concentrations of the Monterey pine fungal pathogen Fusarium circinatum (Schweigkofler et al., 2004). Here, the use of PCR for quantification allowed for the selection of primers that were specific to only the relevant pathogenic Fusarium species, in contrast to the many nonpathogenic species within the genus Fusarium that may grow on a specific media and are difficult to morphologically differentiate from the pathogenic strains. Quantitative PCR has also been used to describe aerosols associated with human disease. Chen and Li (2005) measured the quantities of airborne M. tuburculosis pathogens in hospital isolation rooms. Moderate correlations of airborne M. tuberculosis concentrations and patient sputum culture or sputum smear results were observed. In cow barns and farms that handle hay and grain, quantitative real-time PCR was also used to study the aerosol concentration of the slow growing fungi Wallemia sebi, the suspected causative agent of farmer's lung (Zeng et al., 2004). In all three cases, Ct values were calibrated to a known number of fungal spores or bacteria cells. Detection levels were below 100 cells. In each bioaerosol study listed above, researchers reported an enhanced ability to detect the fungal spores and bacteria by using quantitative PCR compared with conventional culturing. This enhancement came through either a more rapid or accurate quantification or qualitatively by the ability to control detection to target a very specific phylogenetic grouping.
The major advantage of using real-time PCR is that quantitative information can be rapidly obtained on a specific or a general group of microorganisms. This is precisely the type of information needed in exposure–response epidemiological studies. Thus, PCR holds promise in moving bioaerosol study away from indicator microorgansisms such as total fungi or heterotrophic plate counts and toward analysis of microorganisms with specifically known health effects. In cases where infectivity or viability information is necessary, parallel cell culture or infectivity studies must also be performed. Issues such as DNA extraction efficiency, PCR inhibition, and gene copy number in specific microorganisms diminish the ability to make precise quantification with this technique in environmental samples and must be controlled or accounted for where possible. The strong need for quantitative information is driving improvements in quantitative PCR methodology and data analysis. While quantitative PCR can be precise, between ±6%–21% (Rutledge, 2003) the accuracy and can be limited by reagent and operator variability and a lack of standardization in data analysis (Burns et al., 2005; Bustin, 2002). Commonly the accuracy has been questioned when using the cycle threshold method due to different amplification efficiencies between the clean samples used to construct standard curves and the environmental samples to which they are compared (Meijerink et al., 2001). A recently suggested improvement to this problem is the use of a sigmoidal curve-fitting method to first calculate an original fluorescence value from the real-time amplification data and then convert fluorescence to DNA copy number using standard curves of copy number versus fluorescence. This sigmoidal method removes issues associated with differing amplification efficiencies between standards and samples, and its simplicity makes possible increased throughput of samples (Rutledge, 2004).
4. A Generalized procedure
A generalized procedure for sampling aerosols, extracting DNA, and the PCR amplification step is described for an environmental aerosol in Table 4 . This procedure is written for the amplification of all microorganisms (primers universal to all three domains of life are described) from a sample collected on a common 47 mm, 0.45 μm pore-size polycarbonate or PTFE filters. The protocol represents a synthesis of the methods discussed here. Provided that different primers are used, this method is equally applicable to detection of a specific bacterial or fungal pathogen, or analysis of communities of bacteria and other eukaryotic aerosols. Viruses typically require a less rigorous DNA extraction method than described in this protocol, and the reader is directed to Table 2 and Section 2.3 for information on viral DNA extraction.
Table 4.
A generalized protocol
| Reagents | Apparatus and equipment | Procedure |
|---|---|---|
|
|
|
5. Concluding remarks
PCR-based analysis holds an enormous potential for describing the biological fraction of atmospheric and indoor aerosols. Following the experience of aquatic and soil microbial investigations, the application of these nonculture-based techniques in air can broadly expand the diversity of microorganisms and other biological material that can be detected, identified, and now quantified. Such data can advance aerosol science and engineering by adding detailed biomass information to the descriptions of PM10 and PM2.5 organic fractions, tracking infectious and allergenic materials in public health studies, and in understanding the microbial ecology of the atmosphere. Using patented methods licensed from the US EPA, quantitative PCR analysis of 120–130 fungi and bacteria collected from air is already available in selected commercial analytical laboratories. The future directions in environmental biotechnology such as improving quantification and sensitivity, making techniques high throughput, and creating robust nucleic acid and protein-based sensors (Rittmann et al., 2006) should only serve to expand our understanding of the complex role airborne microorganisms play in the environment and human disease.
While the aerosol peer reviewed literature includes only a limited number of studies that use PCR-based techniques, applications are growing. The critical issues needed to encourage and enable this expansion have been reviewed. For this technique to reach its fully describe potential and acceptance in aerosol science and engineering, applications must take advantage of the advances in real-time PCR to ensure that information produced is quantitative. Quantitative PCR will require the efficiency and size ranges of bioaerosol high-volume samplers to be more completely characterized. In addition, ensuring the efficiency of sample preparation steps such as filter elution/concentration and nucleic acid extraction, and removing inhibitory PCR compounds from samples requires a less empirical and more systematic approached to ensure accurate aerosol quantification.
Acknowledgments
This work was supported by funding from the National Science Foundation, Grant # BES 0348455 awarded to Peccia.
References
- Agranovski I.E., Safatov A.S., Borodulin A.I., Pyankov O.V., Petrischchenko V.A., Sergeev V.A., Agafonov A.P., Ignatiev G.M., Sergeeev A.A., Agranovski . Inactivation of viruses in bubbling processes utilized for personal bioaerosol monitoring. Applied and Environmental Microbiology. 2004;70:6963–6967. doi: 10.1128/AEM.70.12.6963-6967.2004. [DOI] [PMC free article] [PubMed] [Google Scholar]
- Alexandersen S., Zhang Z., Donaldson A.I., Garland A.J. The pathogenesis and diagnosis of foot-and-mouth disease. Journal of Comparative Pathology. 2003;129:1–36. doi: 10.1016/s0021-9975(03)00041-0. [DOI] [PubMed] [Google Scholar]
- Alvarez A.J., Buttner M.P., Stetzenbach L.D. PCR for bioaerosol monitoring: sensitivity and environmental interference. Applied and Environmental Microbiology. 1995;61:3639–3644. doi: 10.1128/aem.61.10.3639-3644.1995. [DOI] [PMC free article] [PubMed] [Google Scholar]
- Amann R., Ludwig W., Schleifer K.-H. Phylogenetic identification and in situ detection of individual microbial cells without cultivation. Microbial Reviews. 1995;59:143–169. doi: 10.1128/mr.59.1.143-169.1995. [DOI] [PMC free article] [PubMed] [Google Scholar]
- American Conference of Governmental and Industrial Hygienists (ACGIH) American Conference of Governmental Industrial Hygienists; Cincinnati: 1999. Bioaerosols: assessment and control. [Google Scholar]
- An H.R., Mainelis G., Yao M. Evaluation of a high-volume portable bioaerosol sampler in laboratory and field environments. Indoor Air. 2004;14:385–393. doi: 10.1111/j.1600-0668.2004.00257.x. [DOI] [PubMed] [Google Scholar]
- Angenent L., Kelley S., Amand A.S., Pace N.R., Hernandez M. Molecular identification of potential pathogens in water and air of a hospital therapy pool. Proceedings of the National Academy of Science. 2005;102:4860–4865. doi: 10.1073/pnas.0501235102. [DOI] [PMC free article] [PubMed] [Google Scholar]
- Ariya P.A., Nepotchatykh O., Ignatova O., Amyot M. Microbiological degradation of atmospheric organic compounds. Geophysical Research Letters. 2002;29:2077. [Google Scholar]
- Arya M. Basic principles of real-time quantitative PCR. Expert Review of Molecular Diagnostics. 2005;5:202–219. doi: 10.1586/14737159.5.2.209. [DOI] [PubMed] [Google Scholar]
- Bauer H., Giebl H., Hitzenberger R., Kasper-Giebl A., Reischl G., Zibuschka F., Puxbaum H. Airborne bacteria as cloud condensation nuclei. Journal of Geophysical Research-Atmospheres. 2003;108:4658. [Google Scholar]
- Bej A.K., Mahbubani M.H., Discesare J.L., Atlas R.M. Polymerase chain reaction-gene probe detection of microorganisms by using filter-concentrated samples. Applied and Environmental Microbiology. 1991;57:3529–3534. doi: 10.1128/aem.57.12.3529-3534.1991. [DOI] [PMC free article] [PubMed] [Google Scholar]
- Bialek R. PCR Assays for identification of Coccidioides posadasii based on the nucleotide sequence of the antigen 2/proline-rich antigen. Journal of Clinical Microbiology. 2004;42:778–783. doi: 10.1128/JCM.42.2.778-783.2004. [DOI] [PMC free article] [PubMed] [Google Scholar]
- Bodrossy L., Stralis-Pavese N., Murrel J.C., Radajewski S., Weilharter A., Sessitsch A. Development and validation of a diagnostic microbial microarray for methanotrophs. Environmental Microbiology. 2003;5:566–582. doi: 10.1046/j.1462-2920.2003.00450.x. [DOI] [PubMed] [Google Scholar]
- Boreson J., Dillner A.M., Peccia J. Correlation bioaerosol load with PM2.5 and PM10cf concentrations: a comparison between natural desert and urban fringe aerosols. Atmospheric Environment. 2004;38:6029–6041. [Google Scholar]
- Burge H.A. Bioaerosols: prevalence and health effects in the indoor environment. Journal of Allergy and Clinical Immunology. 1990;85:687–701. doi: 10.1016/s0091-6749(05)80170-8. [DOI] [PubMed] [Google Scholar]
- Burke J.F. Wiley; Chichester, England: 1996. PCR: Essential Techniques. [Google Scholar]
- Burns M.J., Nixon G.J., Foy C.A., Harris N. Standardization of data from real-time quantitative PCR methods—evaluation of outliers and comparison of calibration curves. BMC Biotechnology. 2005;5:31. doi: 10.1186/1472-6750-5-31. [DOI] [PMC free article] [PubMed] [Google Scholar]
- Bustin S.A. Quantification of mRNA using real-time reverse transcription PCR (RT-PCR): trends and problems. Journal of Molecular Endocrinology. 2002;23-39 doi: 10.1677/jme.0.0290023. [DOI] [PubMed] [Google Scholar]
- Buttner M.P., Willeke K., Grinshpun S.A. Sampling and analysis of airborne microorganisms. In: Hurst C.J., Knudsen G.R., McInerney M.J., Stetzenbach L.D., Walter M.V., editors. Manual of Environmental Microbiology. ASM Press; Washington DC: 1997. pp. 629–640. [Google Scholar]
- Calderon C., Ward E., Freeman J., McCartney H.A. Detection of airborne fungal spores sampled by rotating-arm and Hirst-type spore traps using polymerase chain reaction assays. Journal of Aerosol Science. 2002;33:283–296. [Google Scholar]
- Carducci A., Gemelli C., Cantiani L., Casini B., Rovini E. Assessment of microbial parameters as indicators of viral contamination of aerosol from urban sewage treatment plants. Letters in Applied Microbiology. 1999;28:207–210. doi: 10.1046/j.1365-2672.1999.00503.x. [DOI] [PubMed] [Google Scholar]
- Chen P.-S., Li C.-S. Quantification of airborne Mycobacterium tuberculosis in health care setting using real-time qPCR coupled to an air-sampling filter method. Aerosol Science and Technology. 2005;39:371–376. [Google Scholar]
- Dean T.R., Betancourt D., Menetrez M.Y. A rapid DNA extraction method for PCR identification of fungal indoor air contaminants. Journal of Microbiological Methods. 2005;56:431–434. doi: 10.1016/j.mimet.2003.11.015. [DOI] [PubMed] [Google Scholar]
- Eduard W., Heederik D. Methods for quantitative assessment of airborne levels of noninfectious microorganisms in highly contaminated work environments. American Industrial Hygiene Association Journal. 1998;59:113–127. doi: 10.1080/15428119891010370. [DOI] [PubMed] [Google Scholar]
- Eickhoff T.C. Airborne disease: including chemical and biological warfare. American Journal of Epidemiology. 1996;144:S39–S46. doi: 10.1093/aje/144.supplement_8.s39. [DOI] [PubMed] [Google Scholar]
- Fabian M.P., Miller S.L., Reponen T., Hernanadez M. Ambient bioaerosol indices for indoor air quality assessments in flood reclamation. Aerosol Science and Technology. 2005;36:263–283. [Google Scholar]
- Frank D.N., Spiegelma G.B., Davis W., Wagner E., Lyons E., Pace N. Culture-independent molecular analysis of microbial constituents of the healthy human outer ear. Journal of Clinical Microbiology. 2003;41:295–303. doi: 10.1128/JCM.41.1.295-303.2003. [DOI] [PMC free article] [PubMed] [Google Scholar]
- Fraser D.W. Legionellosis: evidence of airborne transmission. In: Knudsen R.B., editor. Airborne Contagion. Annals of New York Academy of Sciences; New York: 1980. p. 353. [DOI] [PubMed] [Google Scholar]
- Freeman J., Ward E., Calderon C., McCartney H.A. A polymerase chain reaction (PCR) assay for the detection of inoculum of Sclerotinia sclerotiorum. European Journal of Plant Pathology. 2002;108:877–886. [Google Scholar]
- Fuzzi S., Mandrioli P., Perfetto A. Fog droplets—An atmospheric source of secondary biological aerosol particles. Atmospheric Environment. 1997;31:278–290. [Google Scholar]
- Gloster J., Alexandersen S. New directions: airborne transmission of foot-and-mouth disease. Atmospheric Environment. 2004;38:503–505. [Google Scholar]
- Griffiths W.D., DeCosemo G.A. The assessment of bioaerosols: a critical review. Journal of Aerosol Science. 1994;24:1425–1428. [Google Scholar]
- Haugland R., Brinkman N., Vesper S.J. Evaluation of rapid DNA extraction methods for the quantitative detection of fungi using real-time PCR analysis. Journal of Microbiological Methods. 2002;50:319–323. doi: 10.1016/s0167-7012(02)00037-4. [DOI] [PubMed] [Google Scholar]
- Haugland R., Siefring S.C., Wymer L.J., Brenner K., Dufour A.P. Comparison of Enterococcus measurements in freshwater at two recreational beaches by quantitative polymerase chain reaction and membrane filter culture analysis. Water Research. 2005;39:559–568. doi: 10.1016/j.watres.2004.11.011. [DOI] [PubMed] [Google Scholar]
- He J.-W., Jiang S. Quantification of Enterococci and human adenoviruses in environmental samples by real-time PCR. Applied and Environmental Microbiology. 2005;71:2250–2255. doi: 10.1128/AEM.71.5.2250-2255.2005. [DOI] [PMC free article] [PubMed] [Google Scholar]
- Heederik D., Douwes J. Towards and occupational exposure limit for endotoxins. Annals of Agricultural and Environmental Medicine. 1997;4:17–19. [Google Scholar]
- Heid C., Stevens A.J., Livak K.J., Williams P.M. Real-time quantitative PCR. Genomic Research. 1996;6:986–994. doi: 10.1101/gr.6.10.986. [DOI] [PubMed] [Google Scholar]
- Horner W.W., Helbling A., Salvaggio J.E., Lehrer S.B. Fungal allergens. Clinical Microbiology Reviews. 1995;8:161–179. doi: 10.1128/cmr.8.2.161. [DOI] [PMC free article] [PubMed] [Google Scholar]
- Ibekwe A.M., Watt P.M., Shouse P.J., Grieve C.M. Fate of Escherichia coli 0157:H7 in irrigation water on soils and plants as validated by culture method and real-time PCR. Canadian Journal of Microbiology. 2004;50:1007–1014. doi: 10.1139/w04-097. [DOI] [PubMed] [Google Scholar]
- Ivnitski D. Nucleic acid approaches for detection and identification of biological warfare and infectious disease agents. Biotechniques. 2003;35:862–869. doi: 10.2144/03354ss03. [DOI] [PubMed] [Google Scholar]
- Jensen P.A., Todd W.F., Davis G.N., Scarpino P.V. Evaluation of eight bioaerosol samplers challenged with aerosols of free bacteria. American Industrial Hygiene Association Journal. 1992;53:660–667. doi: 10.1080/15298669291360319. [DOI] [PubMed] [Google Scholar]
- Jones, A.M., Harrison, R.M., 2003. The effects of meteorological factors on atmospheric bioaerosol concentrations—a review. Science of the Total Environment: 151–180. [DOI] [PubMed]
- Juozaitis A., Willeke K., Grinshpun S.A., Donnelly J. Impaction onto a glass slide or agar versus impingement into a liquid for the collection and recovery of airborne microorganisms. Applied and Environmental Microbiology. 1994;60:861–870. doi: 10.1128/aem.60.3.861-870.1994. [DOI] [PMC free article] [PubMed] [Google Scholar]
- Ketchum P.M. Wiley; New York: 1988. Microbiology: Concepts and Applications. [Google Scholar]
- Kreader C.A. Relief of amplification inhibition in PCR with bovine serum albumin or T4 gene 32 protein. Applied and Environmental Microbiology. 1996;62:1102–1106. doi: 10.1128/aem.62.3.1102-1106.1996. [DOI] [PMC free article] [PubMed] [Google Scholar]
- Kurup V.P. Fungal allergens. Current Allergy and Asthma Reports. 2003;3:416–423. doi: 10.1007/s11882-003-0078-6. [DOI] [PubMed] [Google Scholar]
- Lane D.J., Pace B., Olsen G.J., Stahl D.A., Sogin M.L., Pace N.R. Rapid determination of 16S ribosomal RNA sequences for phylogenetic analysis. Proceedings of the National Academy of Science. 1985;82:6955–6959. doi: 10.1073/pnas.82.20.6955. [DOI] [PMC free article] [PubMed] [Google Scholar]
- Lange J.L., Thorne P.S., Lynch N. Application of flow cytometry and fluorescent in situ hybridization for assessment of exposures to airborne bacteria. Applied and Environmental Microbiology. 1997;63:1557–1563. doi: 10.1128/aem.63.4.1557-1563.1997. [DOI] [PMC free article] [PubMed] [Google Scholar]
- Lee K.W., Mukund R. Filter collection. In: Baron P.A., Willeke K., editors. Aerosol Measurement, Principles, Technologies, and Applications. Wiley-Interscience; New York: 2001. [Google Scholar]
- Levin R. The application of real-time PCR to food and agricultural systems. Food Biotechnology. 2004;18:97–133. [Google Scholar]
- Li C.-S., Hao M.-L., Chang C.-W., Wang C.-S. Evaluation of microbial samplers for bacterial microorganisms. Aerosol Science and Technology. 1999;30:100–108. [Google Scholar]
- Lin X. Survival of airborne microorganisms during swirling aerosol collection. Aerosol Science and Technology. 2000;32:184–197. [Google Scholar]
- Loy A., Lehner A., Lee N., Adamczyk J., Meier H., Ernst J., Schleifer K.H., Wagner M. Oligonucleotide microarray for 16S rRNA gene-based detection of all recognized lineages of sulfate-reducing prokaryotes in the environment. Applied and Environmental Microbiology. 2002;68:5064–5081. doi: 10.1128/AEM.68.10.5064-5081.2002. [DOI] [PMC free article] [PubMed] [Google Scholar]
- MacNeil L., Kauri T., Robertson W. Molecular techniques and their potential application in monitoring the microbiological quality of indoor air. Canadian Journal of Microbiology. 1995;41:657–665. doi: 10.1139/m95-091. [DOI] [PubMed] [Google Scholar]
- Maher N., Dillon H.K., Vermund S.H., Unnasch T.R. Magnetic bead capture eliminates PCR inhibitors in samples collected form the airborne environment permitting detection of Pneumoncystis carinii DNA. Applied and Environmental Microbiology. 2001;67:449–452. doi: 10.1128/AEM.67.1.449-452.2001. [DOI] [PMC free article] [PubMed] [Google Scholar]
- Maki L., Gaylan E.L., Chien M.C., Caldwell D.R. Ice nucleation induced by Pseudomonas syringae. Applied Microbiology. 1974;28:456–459. doi: 10.1128/am.28.3.456-459.1974. [DOI] [PMC free article] [PubMed] [Google Scholar]
- Makino S., Cheun H. Application of the real-time PCR for the detection of airborne microbial pathogens in reference to the anthrax spores. Journal of Microbiological Methods. 2003;53:141–147. doi: 10.1016/s0167-7012(03)00019-8. [DOI] [PubMed] [Google Scholar]
- Maron P.-A., Lejon D.P.H., Carhalho E., Bizet K., Lemanceau P., Ranjard L., Mougel C. Assessing genetic structure and diversity of airborne bacterial communities by DNA fingerprinting. Atmospheric Environment. 2005;39:3687–3695. [Google Scholar]
- Marsh T. Terminal restriction fragment length polymorphism (t-RFLP): an emerging method for characterizing diversity among homologous populations of amplification products. Current Opinion in Microbiology. 1999;2:323–327. doi: 10.1016/S1369-5274(99)80056-3. [DOI] [PubMed] [Google Scholar]
- Mastorides S.M., Oehler R.L., Greene J., Sinnott J.T., Sandin R.L. Detection of airborne Mycobacterium tuberculosis by air filtration and polymerase chain reaction. Clinical and Infectious Disease. 1997;25:756. doi: 10.1086/516953. [DOI] [PubMed] [Google Scholar]
- Matthais-Maser S., Obolkin V., Khodzer T., Jaenicke R. Seasonal variation of primary biological aerosol particles in the remote continental region of Lake Baikal Siberia. Atmospheric Environment. 2000;34:3805–3811. [Google Scholar]
- McCartney H.A., Foster S.J., Fraaije B.A., Ward E. Molecular diagnostics for fungal plant pathogen. Pest Management Science. 2003;59:129–142. doi: 10.1002/ps.575. [DOI] [PubMed] [Google Scholar]
- McCluskey R., Sandin R., Greene J. Detection of airborne cytomegalovirus in hospital rooms of immuncompromised patients. Journal of Virological Methods. 1996;56(115–118) doi: 10.1016/0166-0934(95)01955-3. [DOI] [PubMed] [Google Scholar]
- McCullough N.V., Brosseau L.M., Vesley D., Vincent J.H. Improved methods for generation, sampling, and recovery of biological aerosols in filter challenge tests. American Industrial Hygeine Association Journal. 1998;59:234–241. doi: 10.1080/15428119891010497. [DOI] [PubMed] [Google Scholar]
- Meijerink J. A novel method to compensate for different amplification efficiencies between patient DNA samples in quantitative real-time PCR. Journal of Molecular Diagnostics. 2001;3:55–61. doi: 10.1016/S1525-1578(10)60652-6. [DOI] [PMC free article] [PubMed] [Google Scholar]
- Meklin T., Haugland R.A., Reponen T., Varma M., Lummus Z., Bernstein D., Wymer L.J., Vesper S.J. Quantitative PCR analysis of house dust can reveal abnormal mold conditions. Journal of Environmental Monitoring. 2004;6:615–620. doi: 10.1039/b400250d. [DOI] [PMC free article] [PubMed] [Google Scholar]
- Méndez J., Audicana A., Isern A., Llaneza J., Moreno B., Tarancon M.L., Jofre J., Lucena F. Standardized evaluation of the performance of a simple membrane filtration–elution method to concentrate bacteriophages. Journal of Virological Methods. 2004;117:19–25. doi: 10.1016/j.jviromet.2003.11.013. [DOI] [PubMed] [Google Scholar]
- Miller D.N., Bryant J.E., Madsen E.L., Ghiorse W.C. Evaluation and optimization of DNA extraction and purification procedures for soil and sediment samples. Applied and Environmental Microbiology. 1999;65:4715–4724. doi: 10.1128/aem.65.11.4715-4724.1999. [DOI] [PMC free article] [PubMed] [Google Scholar]
- Moschandreas D.J., Cha D.K., Qian J. Measurement of indoor bioaerosol levels by a direct counting method. Journal of Environmental Engineering. 1996;122:374–378. [Google Scholar]
- Moser M.R., Bender T.R., Margolis H.S., Noble G.R., Kendal A.P., Ritter D.G. An outbreak of influenza aboard a commercial airliner. American Journal of Epidemiology. 1979;110:1–6. doi: 10.1093/oxfordjournals.aje.a112781. [DOI] [PubMed] [Google Scholar]
- Mukoda T.J., Todd L.A., Sobsey M.D. PCR and gene probes for detecting bioaerosols. Journal of Aerosol Science. 1994;25:1523–1532. [Google Scholar]
- Muyzer G. DGGE/TGGE, a method for identifying genes from natural ecosystems. Current Opinion in Microbiology. 1999;2:317–322. doi: 10.1016/S1369-5274(99)80055-1. [DOI] [PubMed] [Google Scholar]
- Myatt T., Johnston S.L., Zuo Z.W.M., Kebadze T., Rudnick S., Milton D.K. Detection of airborne rhinovirus and its relation to outdoor air supply in office environments. American Journal of Respiratory and Critical Care Medicine. 2004;169:1187–1190. doi: 10.1164/rccm.200306-760OC. [DOI] [PubMed] [Google Scholar]
- Nugent P.G., Cornett J., Stewart I.W., Parkes H.C. Personal monitoring of exposure to genetically modified microorganisms in bioaerosols: rapid and sensitive detection using PCR. Journal of Aerosol Science. 1997;28:525–538. [Google Scholar]
- Olenchock S. Health effects of biological agents: the role of endotoxins. Applied Occupational Environmental Hygiene. 1994;9(1):62–64. [Google Scholar]
- Pace N.R. A molecular view of microbial diversity and the biosphere. Science. 1997;276:734–740. doi: 10.1126/science.276.5313.734. [DOI] [PubMed] [Google Scholar]
- Paez-Rubio T., Viau E., Romero-Hernandez S., Peccia J. Source bioaerosol concentration and rDNA-based identification of microorganisms aerosolized at a flood irrigation wastewater reuse site. Applied and Environmental Microbiology. 2005;71:804–810. doi: 10.1128/AEM.71.2.804-810.2005. [DOI] [PMC free article] [PubMed] [Google Scholar]
- Palmgren U., Strom G., Blomquist G., Malmberg P. Collection of airborne microorganisms on nucleopore filters, estimation and analysis—CAMNEA method. Journal of Applied Bacteriology. 1986;61:401–406. doi: 10.1111/j.1365-2672.1986.tb04303.x. [DOI] [PubMed] [Google Scholar]
- Pascual L., Perez-Luz S., Moreno C., Apraiz D., Catalan V. Detection of Legionella pneumophila in bioaerosols by polymerase chain reaction. Canadian Journal of Microbiology. 2001;47:341–347. [PubMed] [Google Scholar]
- Picard C., Ponsonnet C., Paget E., Nesme X., Simonet P. Detection and enumeration of bacteria in soil by direct DNA extraction and polymerase chain reaction. Applied and Environmental Microbiology. 1992;58:2717–2722. doi: 10.1128/aem.58.9.2717-2722.1992. [DOI] [PMC free article] [PubMed] [Google Scholar]
- Pillai S., Widmer K., Dowd S., Ricke S. Occurrence of airborne bacteria and pathogen indicators during land application of sewage sludge. Applied and Environmental Microbiology. 1996;62:296–299. doi: 10.1128/aem.62.1.296-299.1996. [DOI] [PMC free article] [PubMed] [Google Scholar]
- Porteous L.A., Seidler R.J., Watrud L.S. An improved method for purifying DNA from soil for polymerase chain reaction amplification and molecular ecology. Molecular Ecology. 1997;6:787–791. [Google Scholar]
- Radosevich J.L., Wilson W.J., Shinn J.H., DeSantis T.Z., Andersen G.L. Development of a high-volume aerosol collecting system. Letters in Applied Microbiology. 2002;34:162–167. doi: 10.1046/j.1472-765x.2002.01048.x. [DOI] [PubMed] [Google Scholar]
- Riley R.L. Airborne infection. The American Journal of Medicine. 1974;57:466–475. doi: 10.1016/0002-9343(74)90140-5. [DOI] [PubMed] [Google Scholar]
- Riley R.L., Mills C.C., O’Grady F., Sultan L.U., Wittstadt F., Shivpuri D.N. Infectiousness of air from a tuberculosis ward-ultraviolet irradiation of infected air: comparative infectiousness of different patients. American Review of Respiratory Diseases. 1962;85:511–525. doi: 10.1164/arrd.1962.85.4.511. [DOI] [PubMed] [Google Scholar]
- Rittmann B.E. A vista for microbial ecology and environmental biotechnology. Environmental Science and Technology. 2006;40:1096–1103. doi: 10.1021/es062631k. [DOI] [PubMed] [Google Scholar]
- Roy C.J., Milton D.K. Airborne transmission of communicable infection—the elusive pathway. New England Journal of Medicine. 2004;350:1710–1712. doi: 10.1056/NEJMp048051. [DOI] [PubMed] [Google Scholar]
- Rutledge R.G. Mathematics of quantitative kinetic PCR and the application of standard curves. Nucleic Acids Research. 2003;31:e93. doi: 10.1093/nar/gng093. [DOI] [PMC free article] [PubMed] [Google Scholar]
- Rutledge R.G. Sigmoidal curve-fitting redefines quantitative real-time PCR with the prospective of developing automated high-throughput applications. Nucleic Acids Research. 2004;32:e178. doi: 10.1093/nar/gnh177. [DOI] [PMC free article] [PubMed] [Google Scholar]
- Sambrook J., Russell D. Cold Spring Harbor Laboratory Press; Cold Spring Harbor, NY: 2001. Molecular Cloning: a Laboratory Manual. [Google Scholar]
- Samet J. How do we catch colds? American Journal of Respiratory and Critical Care Medicine. 2004;169:203–204. doi: 10.1164/rccm.2403002. [DOI] [PubMed] [Google Scholar]
- Sattar S.A., Ijaz M.K. Airborne viruses. In: Stetzenbach L., editor. Manual of Environmental Microbiology. ASM Press; Washington, USA: 1997. pp. 682–692. [Google Scholar]
- Sattler B., Puxbaum H., Psenner R. Bacterial growth in supercooled cloud droplets. Geophysical Research Letters. 2001;28:239–242. [Google Scholar]
- Sawyer L.A., Murphy J.J., Kaplan J.E., Pinsky P.F., Chacon D., Walmsley S., Schonberger L.B., Phillips A., Forward K., Goldman C. 25- to 30-nm virus particle associated with a hospital outbreak of acute gastroenteritis with evidence for airborne transmission. American Journal of Epidemiology. 1988;127:1261–1271. doi: 10.1093/oxfordjournals.aje.a114918. [DOI] [PubMed] [Google Scholar]
- Sawyer M.H., Chamberlain C.J., Wu Y.N., Aintablian N., Wallace W.R. Detection of varicella-zoster virus DNA in air samples from hospital rooms. Journal of Infectious Disease. 1994;169:91–94. doi: 10.1093/infdis/169.1.91. [DOI] [PubMed] [Google Scholar]
- Schabereiter-Gurtner C., Pinar G., Lubitz W., Rolleke S. Analysis of fungal communities on historical church window glass by denaturing gradient gel electrophoresis and phylogenetic 18S rDNA sequence Analysis. Journal of Microbiological Methods. 2001;47:345–354. doi: 10.1016/s0167-7012(01)00344-x. [DOI] [PubMed] [Google Scholar]
- Schafer M.P., Martinez K.F., Mathews E.S. Rapid detection and determination of the aerodynamic size range of airborne Mycobacteria associated with whirlpools. Applied Occupational and Environmental Hygiene. 2003;18:41050. doi: 10.1080/10473220301387. [DOI] [PubMed] [Google Scholar]
- Schweigkofler W., O’Donnell K., Garbelotto M. Detection and quantification of airborne conidia of Fusarium circinatum, the causal agent of pine pitch canker, from two California sites by using a real-time PCR approach combined with a simple spore trapping method. Applied and Environmental Microbiology. 2004;70:3512–3520. doi: 10.1128/AEM.70.6.3512-3520.2004. [DOI] [PMC free article] [PubMed] [Google Scholar]
- Stark K.D.C., Nicolet J., Frey J. Detection of Mycoplasma hyopneumoniae by air sampling with a nested PCR assay. Applied and Environmental Microbiology. 1998;64:543–548. doi: 10.1128/aem.64.2.543-548.1998. [DOI] [PMC free article] [PubMed] [Google Scholar]
- Stetzenbach L.D. Introduction to aerobiology. In: Hurst C.J., Crawford R., Knudsen G., McInerney M., Stetzenbach L.D., editors. Manual of Environmental Microbiology. ASM Press; Washington, DC: 2002. [Google Scholar]
- Stetzenbach L.D., Buttner M.P., Cruz P. Detection and enumeration of airborne biocontaminants. Current Opinion in Biotechnology. 2004;15:170–174. doi: 10.1016/j.copbio.2004.04.009. [DOI] [PubMed] [Google Scholar]
- Stevens D.A. Coccidioidomycosis. New England Journal of Medicine. 1995;332:1077–1082. doi: 10.1056/NEJM199504203321607. [DOI] [PubMed] [Google Scholar]
- Stewart S.L., Grinshpun S.A., Willeke K., Terzieva S., Ulevicius V., Donnelly J. Effect of impact stress on microbial recovery on an agar surface. Applied and Environmental Microbiology. 1995;62:1232–1239. doi: 10.1128/aem.61.4.1232-1239.1995. [DOI] [PMC free article] [PubMed] [Google Scholar]
- Su, H.J., Burge, H.A., Spengler, J.D., 1992. Association of airborne fungi and wheeze/cough symptoms in school-age children. Journal of Clinical Immunology (Part 2) 89.
- Tong Y., Lighthart B. Diurnal distribution of total and culturable atmospheric bacteria at a rural site. Aerosol Science and Technology. 1999;30:246–254. [Google Scholar]
- Vali G., Christensen M., Fresh R.W., Galyan E.L., Maki L.R., Schnell R.C. Biogenic ice nuclei. Part II, Bacterial source . Journal of Atmospheric Science, 1976;33:1565–1570. [Google Scholar]
- Wakefield A.E. DNA sequences identical to Pneumocytis carinii f. sp. carinii and Pneumocytis carinii f. sp. hominis in samples of air spora. Journal of Clinical Microbiology. 1996;34:1754–1759. doi: 10.1128/jcm.34.7.1754-1759.1996. [DOI] [PMC free article] [PubMed] [Google Scholar]
- Wan G.-H., Lu S.-C., Tsai Y.-H. Polymerase chain reaction used for the detection of airborne Mycobacterium tuberculosis in health care settings. American Journal of Infection Control. 2004;32:17–21. doi: 10.1016/s0196-6553(03)00090-7. [DOI] [PubMed] [Google Scholar]
- Weissensteiner T., Griffin H.G., Griffin A. CRC Press; Boca Raton: 2004. PCR Technology: Current Innovations. [Google Scholar]
- WHO, 2004. TB Fact Sheet. World Health Organization.
- Wilhelm J., Pingoud A. Real-time polymerase chain reaction. ChemBiochem. 2003;4:1120–1128. doi: 10.1002/cbic.200300662. [DOI] [PubMed] [Google Scholar]
- Willeke K., Lin X.J., Grinshpun S.A. Improved aerosol collection by combined impaction and centrifugal motion. Aerosol Science and Technology. 1998;28:439–456. [Google Scholar]
- Williams R.H., Ward E., McCartney H.A. Methods for integrated air sampling and DNA analysis for detection of airborne fungal spores. Applied and Environmental Microbiology. 2001;67:2453–2459. doi: 10.1128/AEM.67.6.2453-2459.2001. [DOI] [PMC free article] [PubMed] [Google Scholar]
- Wilson K.H. High-density microarray of small-subunit ribosomal DNA probes. Applied and Environmental Microbiology. 2002;68:2535–2541. doi: 10.1128/AEM.68.5.2535-2541.2002. [DOI] [PMC free article] [PubMed] [Google Scholar]
- Woese C.R. Bacterial evolution. Microbiological Reviews. 1987;51:221–271. doi: 10.1128/mr.51.2.221-271.1987. [DOI] [PMC free article] [PubMed] [Google Scholar]
- Womiloju T.O., Miller D., Mayer P.M., Brook J.R. Methods to determine the biological composition of particulate matter collected from outdoor air. Atmospheric Evironment. 2003;31:4335–4344. [Google Scholar]
- Wu Z., Blomquist G., Westermark S., Wang X.-R. Application of PCR and probe hybridization techniques in detection of airborne fungal spores in environmental samples. Journal of Environmental Monitoring. 2002;4:673–678. doi: 10.1039/b203048a. [DOI] [PubMed] [Google Scholar]
- Wu Z., Wang X.-R., Blomquist G. Evaluation of PCR primers and PCR conditions for specific detection of common airborne fungi. Journal of Environmental Monitoring. 2002;4:377–382. doi: 10.1039/b200490a. [DOI] [PubMed] [Google Scholar]
- Yu I.T.S., Li Y., Wong T.W., Tam W., Chen A.T., Lee J.H.W., Leung D.Y.C., Ho T. Evidence of airborne transmission of the Severe Acute Respiratory Syndrome virus. New England Journal of Medicine. 2004;350:1731–1739. doi: 10.1056/NEJMoa032867. [DOI] [PubMed] [Google Scholar]
- Zeng Q., Westermark S., Rasmuson-Lestander A., Wang X. Detection and quantification of Wallemia sebi in aerosols by real-time PCR, conventional PCR, and cultivation. Applied and Environmental Microbiology. 2004;70:7295–7302. doi: 10.1128/AEM.70.12.7295-7302.2004. [DOI] [PMC free article] [PubMed] [Google Scholar]
- Zhou J., Bruns M.A., Tiedje J.M. DNA recovery from soils of diverse composition. Applied and Environmental Microbiology. 1996;62:316–322. doi: 10.1128/aem.62.2.316-322.1996. [DOI] [PMC free article] [PubMed] [Google Scholar]
