Abstract
A reverse transcriptase polymerase chain reaction (RT-PCR) based restriction fragment length polymorphism (RFLP) analysis based on the nucleocapsid (N) gene was developed to differentiate between field isolates of porcine epidemic diarrhoea virus (PEDV) and a vaccine strain, J-vac. Thirteen field isolates of PEDV from Korea were distinguishable from the vaccine strain and the prototype PEDV strain CV777 by RFLP using Tru9I. RFLP patterns in 11 of 13 field PEDV isolates were different from the vaccine strain using AspLEI, HgaI and MspR9I. Sequence analysis of the PEDV N gene revealed that Korean field PEDV isolates had 93.6% and 89.6% identity with the vaccine virus at nucleotide and amino acid sequence levels, respectively, suggesting progressive point mutations of the PEDV genome in the field. RFLP analysis of the PEDV N gene is a promising tool for distinguishing field strains from the vaccine-derived virus.
Keywords: Porcine epidemic diarrhoea virus, Nucleocapsid, RT-PCR, RFLP
Porcine epidemic diarrhoea (PED) is a devastating infectious enteric disease of swine characterised by acute enteritis and diarrhoea in pigs, particularly in neonates (Debouck and Pensaert, 1980, Pijpers et al., 1993). Infection with PED virus (PEDV), which belongs to the family Coronaviridae, was first observed in Korea in 1992 (Kweon et al., 1993). However, a retrospective study indicated that infection was present in Korea as early as 1987 (Park and Lee, 1997).
The Japanese attenuated-live vaccine, J-vac (Nisseiken), derived from the cell-culture adapted Japanese strain 83P-5, has been used in Korea to prevent PEDV outbreaks (Kusanagi et al., 1992). However, the live vaccine has potential for reversion to virulence. To date, there has not been an effective diagnostic test to differentiate field virus isolates from vaccine-derived virus. In this study, a reverse transcriptase polymerase chain reaction (RT-PCR) based restriction fragment length polymorphism (RFLP) analysis was developed to detect PEDV in clinical specimens and differentiate between field PEDV isolates and a vaccine strain.
Total RNA was extracted using Trizol (Invitrogen) from 13 clinical samples from pigs in Korea diagnosed as positive for PEDV by direct immunofluorescence. Forward (N gene-Fwd: 5′-ACAAGTCTCGTAACCAGTCC-3′) and reverse (N gene-Rev: 5′-GTATCACCACCATCAACAGC-3′) primers were designed from the N gene sequence of the prototype PEDV strain CV777 (GenBank Z14976; Bridgen et al., 1993). First strand cDNA synthesis was performed using N gene-Rev with Moloney murine leukaemia virus reverse transcriptase (Invitrogen). The partial N gene was amplified using N gene-Fwd and N-gene Rev under the following conditions: initial denaturation at 95 °C for 5 min; 30 cycles of denaturation at 95 °C for 45 s, annealing at 52 °C for 45 s and extension at 72 °C for 1 min; followed by final extension at 72 °C for 10 min. PCR products were separated by 1% agarose gel electrophoresis and visualised using a gel documentation system (Bio-Rad).
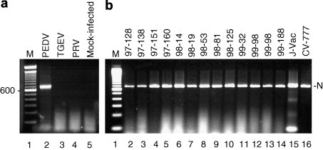
A specific DNA band of 691 base pairs (bp) was amplified by RT-PCR from PEDV-infected cells (Fig. 1 a, lane 2). The same PCR product could be detected when RT-PCR was applied to field clinical samples, a Japanese vaccine strain and PEDV CV777 (Fig. 1b). No PCR products were amplified from cells infected with another porcine coronavirus (transmissible gastroenteritis virus), cells infected with porcine rotavirus, uninfected cells (Fig. 1a, lanes 3–5) or clinical samples diagnosed with other viral infections (data not shown).
Fig. 1.

Agarose gel electrophoresis of RT-PCR products of the N gene of PEDV. (a) Specificity of RT-PCR for detection of PEDV. Lane 1, 100 bp DNA marker; lane 2, PEDV; lane 3, transmissible gastroenteritis virus (TGEV); lane 4, porcine rotavirus (PRV); lane 5, Uninfected cells. (b) RT-PCR amplification of PEDV N gene from clinical samples. Lane 1, 100 bp DNA marker; lanes 2–14, field PEDV isolates; lane 15, Japanese vaccine virus; lane 16, PEDV CV777. 1% agarose gel electrophoresis.
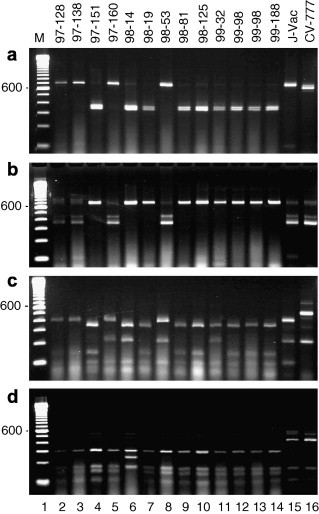
To evaluate the genetic characteristics of field PEDV isolates, PCR products were further analysed by RFLP. After preliminary examination of a number of candidate restriction enzymes (REs) selected on the basis of the N gene sequence of CV777, AspLEI, HgaI, MspR9I and Tru9I (New England Biolabs) were studied further. PCR products were purified, digested with each RE for 1 h at 37 °C and separated by electrophoresis on a 1.5% agarose gel. Band sizes generated by RE digestion were predicted from the nucleotide sequence of the amplified 691 bp N gene (Table 1 ).
Table 1.
RFLP patterns of N gene PCR products of 13 field isolates, vaccine virus and reference strain (CV777) of PEDV
| PEDV isolate | DNA fragment sizes (bp) digested with restriction enzymea |
|||
|---|---|---|---|---|
| AspLEI | HgaI | MspR9I | Tru9I | |
| 97-128 | NCb | 343, 348 | 72, 93, 134, 392 | 97, 135, 162, 297 |
| 97-138 | NC | 343, 348 | 72, 93, 134, 392 | 97, 135, 162, 297 |
| 97-151 | 335, 356 | NC | 59, 72, 93, 134, 152, 333 | 97, 135, 162, 297 |
| 97-160 | NC | 343, 348 | 93, 206, 392 | 97, 135, 162, 297 |
| 98-14 | 335, 356 | NC | 59, 93, 206, 333 | 162, 232, 297 |
| 98-19 | 335, 356 | NC | 59, 72, 93, 134, 152, 333 | 97, 135, 162, 297 |
| 98-53 | NC | 343, 348 | 93, 206, 392 | 97, 135, 162, 297 |
| 98-81 | 335, 356 | NC | 59, 72, 93, 134, 152, 333 | 97, 135, 162, 297 |
| 98-125 | 335, 356 | NC | 59, 72, 93, 134, 152, 333 | 97, 135, 162, 297 |
| 99-32 | 335, 356 | NC | 59, 93, 206, 333 | 97, 135, 162, 297 |
| 99-98 | 335, 356 | NC | 59, 72, 93, 134, 152, 333 | 97, 135, 162, 297 |
| 99-158 | 335, 356 | NC | 59, 72, 93, 134, 152, 333 | 97, 135, 162, 297 |
| 99-188 | 335, 356 | NC | 59, 72, 93, 134, 152, 333 | 97, 135, 162, 297 |
| Vaccine | NC | 343, 348 | 93, 206, 392 | 97, 162, 432 |
| CV777 | 59, 632 | 343, 348 | 206, 485 | 97, 162, 432 |
Digested fragment sizes (bp) were predicted on the basis of nucleotide sequencing data.
Not cleaved (691 bp).
When digested with AspLEI, PCR products from CV777 produced two fragments of 59 and 632 bp and nine Korean field isolates produced two fragments of 335 and 356 bp, whereas the 691 bp fragment was not digested in four field isolates or the vaccine strain (Fig. 2 a). PCR products of four field isolates digested with HgaI generated the same RFLP pattern as that of CV777 and the vaccine virus, whereas nine other field isolates were not digested with HgaI (Fig. 2b). Digestion with MspR9I generated five different RFLP patterns (Fig. 2c). The PCR products of all 13 field isolates digested with Tru9I generated a distinct RFLP pattern compared to that of CV777 and the vaccine strain (Fig. 2d). The data indicate that RFLP analysis with restriction enzyme Tru9I differentiates field PEDV isolates from the vaccine virus.
Fig. 2.

RFLP analysis of PEDV N gene PCR products. The 691 bp PCR products were digested with AspLEI (a), HgaI (b), MspR9I (c) or Tru9I (d) and analysed in 1.5% agarose gel. Lane 1, 100 bp DNA marker; lanes 2–14, field PEDV isolates; lane 15, Japanese vaccine virus; lane 16, PEDV CV777. 1.5% agarose gel electrophoresis.
The amplified partial N genes of J-vac (EF628251) and two field isolates, 97-138 (EF628248) and 97-160 (EF628250), which showed distinct RFLP patterns relative to other field isolates, were sequenced. One isolate, 97-151 (EF628249), which had an identical RFLP pattern to most of the remaining isolates, was also sequenced. The partial N gene of field PEDV isolates had 95.3% and 93.6% nucleotide identity with CV777 and the vaccine strain, respectively. The deduced amino acid sequence of field isolates had 91.6% and 89.6% amino acid identity with CV777 and the vaccine strain, respectively.
In contrast, the nucleotide and deduced amino acid sequence identities among field isolates were 96–99% and 94–98%, respectively, suggesting that these field isolates are more closely related to each other than the cell-adapted CV777 or the vaccine virus. Interestingly, the partial N gene of field isolate 97-138 showed a higher nucleotide identity with 97-151, which had a similar RFLP pattern, than that of 97-160, even though the latter had a similar RFLP pattern (Table 1). This result indicates that there is no correlation between RFLP patterns and sequence homology.
RFLP and sequence analysis of field isolates in Korea suggest that PEDV is undergoing genetic variation at the genome level. The current study was confined to analysis of the partial N gene of PEDV. Further studies should be extended to the PEDV S gene, the product of which plays a critical role in replication and pathogenesis of PEDV.
Acknowledgement
This research was supported by Kyungpook National University Research Fund, 2007.
References
- Bridgen A., Duarte M., Tobler K., Laude H., Ackermann M. Sequence determination of the nucleocapsid protein gene of the porcine epidemic diarrhoea virus confirms that this virus is a coronavirus related to human coronavirus 229E and porcine transmissible gastroenteritis virus. Journal of General Virology. 1993;74:1795–1804. doi: 10.1099/0022-1317-74-9-1795. [DOI] [PubMed] [Google Scholar]
- Debouck P., Pensaert M. Experimental infection of pigs with a new porcine enteric coronavirus CV777. American Journal of Veterinary Research. 1980;41:219–223. [PubMed] [Google Scholar]
- Kusanagi K., Kuwahara H., Katoh T., Nunoya T., Ishikawa Y., Samejima T., Tajima M. Isolation and serial propagation of porcine epidemic diarrhea virus infection in cell cultures and partial characterization of the isolate. Journal of Veterinary Medical Science. 1992;54:303–318. doi: 10.1292/jvms.54.313. [DOI] [PubMed] [Google Scholar]
- Kweon C.H., Kwon B.J., Jung T.S., Kee Y.J., Huh D.H., Hwang I.K., Lee J.G., An S.H. Isolation of porcine epidemic diarrhea virus (PEDV) in Korea. Korean Journal of Veterinary Research. 1993;33:249–253. [Google Scholar]
- Park N.Y., Lee S.Y. Retrospective study of porcine epidemic diarrhea virus (PEDV) in Korea by in situ hybridization. Korean Journal of Veterinary Research. 1997;37:809–816. [Google Scholar]
- Pijpers A., van Nieuwstadt A.P., Terpstra C., Verheijden J.H.M. Porcine epidemic diarrhea virus as a cause of persistent diarrhea in a herd of breeding and finishing pigs. Veterinary Record. 1993;132:129–131. doi: 10.1136/vr.132.6.129. [DOI] [PubMed] [Google Scholar]
