Abstract
Osteonecrosis, although commonly occurring in the hip, can also affect the leg and foot. In the foot, it most commonly occurs in the talus. The incidence of osteonecrosis occurring in the tibia is relatively rare. We report a case of a woman who presented to our clinic with ankle pain that was idiopathic in nature. Subsequent magnetic resonance imaging showed findings consistent with osteonecrosis of the bilateral distal tibias and several other lesions located in the shoulder, hip, and calcaneus. The present report also serves as a review of both etiology and treatment of osteonecrosis as it relates to the lower extremity.
Keywords: alcohol, ankle, avascular necrosis, corticosteroids, diaphyseal metaphyseal bone
Osteonecrosis (ON), also commonly referred to as avascular necrosis (AVN), can be a devastating pathology, especially in the weightbearing lower extremity. ON is most commonly found in the femoral head or hip, and most reports have stated that the subsequent order of affected areas after the hip are the knee, shoulder, femur, tibia, foot and ankle, wrist, and, finally, the humerus. A paucity of data is available, including case reports, of it manifesting in the tibia, especially the distal portion. Several causes have been linked to ON, including trauma, its association with certain medications, alcohol abuse, vascular disease, and so forth. In many cases, the exact mechanism of ON is unknown; however, in nontraumatic ON, the pathogenesis is believed to involve vascular compromise, bone and cell death, or defective bone repair (1). Corticosteroid use has often been indicated as a cause of ON 2, 3, 4, 5, 6, 7, 8, 9, 10, 11, 12, 13, 14, 15, 16; however, again this has most commonly affected the femoral head. Bisphosphonates have also been implicated as a cause of ON, with most published data pointing to its manifestation in the jaw 7, 17.
ON of the foot most commonly occurs in either the talus or the navicular and is often cited as occurring as a result of their blood supply being very intricate and vulnerable to injury owing their relatively large articular surface area (18). In that regard, they are similar to the femoral head in that its blood supply is tenuous and can be easily compromised. Babu and Shuberth (18) performed a retrospective case review of 7 patients with partial AVN of the talus after experiencing Hawkins type II or III fracture dislocations. They found that the predominant location of the avascular segment was the anterior lateral and superior portion of the talar body that corresponded to the regional damage of the blood supply of the talus.
Krishnamurthy and Finn (19) described a case of ON in the proximal tibia of a patient with systemic erythematous lupus. Kamath et al (20) reported on 3 patients who developed ON of the proximal tibia after undergoing total knee arthroplasty. Very few case reports have described ON affecting the ankle, and the talus is the more common site of injury than the distal tibia. Two cases of idiopathic AVN of the distal tibial epiphysis were reported by Gascó et al (21) in a 4-year-old female and an 8-month-old male. In a cohort of 15 childhood cancer survivor patients with corticosteroid-induced ON, Chollet et al (22) found that 67% (20 of 30) of ankles were involved. Older children had the greatest incidence of the disease, and the tibial metaphysis, epiphysis, and talus were the most frequent sites of the osteonecrotic lesions. Rajagopalan (23) described a case of ON of the posterior malleolus of the distal tibia in a 55-year-old male who had experienced a Weber C ankle fracture subluxation. The patient developed ON 4 months after undergoing 2 separate syndesmotic stabilization surgeries, the first using two 3.5-mm cortical screws and the second, 2 endobutton sutures.
To the best of our knowledge, no case reports have been published of nontraumatic ON of the distal tibia in adults. Furthermore, no reported studies have described ON of the tibia occurring in the diaphyseal–metaphyseal border. We present a case of ON occurring in the bilateral distal tibias at the diaphyseal–metaphyseal junction that did not violate the ankle joints.
Case Report
A 59-year-old female presented to our clinic in November 2011 for a second opinion regarding complaints of right foot and ankle pain. She stated that the pain had started approximately 1 year earlier and denied any trauma preceding the event. The patient described the pain as both aching and sharp, rating it as 8 of 10 on a visual analog scale, and that it was aggravated with standing and walking. Temporary immobilization in a below-the-knee boot and nonsteroidal anti-inflammatory drugs did not alleviate her symptoms. Physical examination revealed pain on palpation of the right anterior tibia just proximal to the ankle joint. She denied any pain with passive range of motion to her right ankle joint. Her neurovascular status was fully intact, with no signs of vascular disease to her lower extremities.
The patient had a remote history of ulcerative colitis that had been in remission for nearly 20 years. During the acute stage of the condition, she had been taking high doses of oral corticosteroids. The rest of her medical history and family history were unremarkable. She did not use any tobacco products, although she reported drinking alcohol occasionally. She took iron and vitamin D supplements. She also reported allergies to gluten and sulfa medications.
The previous surgeon she had consulted had ordered a magnetic resonance imaging study and diagnosed AVN of the bilateral distal tibias (Fig. 1 ). Subsequent magnetic resonance imaging studies showed ON in the left calcaneus and right humerus. Only her right tibia was symptomatic. For preoperative planning and to rule out any pathologic fractures, a computed tomography scan was ordered (Fig. 2 ).
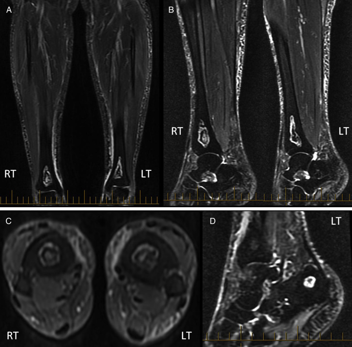
Fig. 1.
Magnetic resonance imaging study showing relatively symmetrical lesions of avascular necrosis in the coronal (A), sagittal (B), and transverse (C) slices of the bilateral diaphyseal–metaphyseal junctions of the tibias. (D) Note the osteonecrotic lesion in the tubercle of the left calcaneus. LT, left; RT, right.
Fig. 2.
Computed tomography study showing lesions of avascular necrosis in the coronal (A), sagittal (B), and transverse (C) slices of the diaphyseal–metaphyseal junctions of the right tibia.
Surgical Technique
The patient was placed on the operating room table in a supine position with a tourniquet on the right proximal thigh and the right leg placed in a thigh holder. After induction of general anesthesia, the patient's right foot was inserted into an ankle distractor, and the ankle was accessed through standard anteromedial and anterolateral portals. Arthroscopy revealed abundant hypertrophied synovitis in the lateral aspect of the ankle joint. On debridement of the synovitis, an osteochondral defect measuring approximately 5 mm in diameter was noted on the anteromedial shoulder (Fig. 3 ). This was subsequently micro-fractured in standard fashion until active bleeding was noted from the subchondral bone of the lesion. On extensive examination using arthroscopy, it was also noted that the tibial articular surface showed no signs of fracture or penetration into the ankle joint. The portal incisions were then closed with 4-0 monofilament suture (Prolene™, Johnson & Johnson Medical Ltd, Livingston, UK).
Fig. 3.
Arthroscopic views of the right ankle showing synovitis (A and B); medial shoulder osteochondritis dissecans (C and D); and subsequent curettage and micro-fracture of the lesion (E and F). Note that the tibial cortex is intact with no signs of communication with the osteonecrotic cyst.
An 8-cm liner incision was made along the anterior aspect of the distal tibia just lateral to the course of the anterior tibial tendon (Fig. 4 ). Dissection was carried down to expose the anterior aspect of the distal tibia, and the periosteum was reflected in a medial and lateral direction. A cortical window measuring approximately 3 cm in length and 2 cm in width was then carefully reflected using a sagittal saw (Fig. 5 ). Care was taken to bevel the cut so as to stabilize the cortical window. Once the cortical window was removed, a combination of rongeurs and curettes was used to remove all the necrotic bone. Once all the necrotic bone had been removed, which was noted to be quite spongy in consistency, an approximately 10-cm3 deficit was left to fill (Fig. 6 ). Specimens of the necrotic bone were sent for both culture and histopathologic examination for further evaluation.
Fig. 4.

View of 8-cm linear incision along the anterior aspect of the distal tibia just lateral to the course of the anterior tibial tendon. Note the incision sites from the anterior medial and lateral portals from the ankle arthroscopy.
Fig. 5.

The cortical window measuring approximately 3 × 2 cm was carefully resected using a sagittal saw.
Fig. 6.

An approximately 10-cm3 deficit with intact cortical bone posteriorly.
The defect was filled with AlloStem® Stem Cell Bone Growth Substitute (AlloSource, Centennial, CO), and geneX® bone putty (Biocomposites Inc., Wilmington, NC; Fig. 7 ). Once this composite was dry, the cortical window was placed back into its original location and secured with a Synthes/Depuy Mesh Plate (Synthes, Inc., West Chester, PA) to act as a buttress plate. The advantage of this plate was that it can be easily cut and contoured to fit the size of the defect. The plate was secured with a combination of 2.7-mm unicortical and bicortical locking screws, with only 1 screw going directly through the cortical window (Fig. 8 ). Excellent stability was noted before the wound was closed. The wound was then copiously flushed and closed in standard fashion. The patient was placed into a non-weightbearing posterior splint and subsequently discharged home the next day after staying in the hospital for a 23-hour observation period.
Fig. 7.
The defect was filled with AlloStem® and geneX® (A), and the cortical window was placed back into its original orientation (B).
Fig. 8.

The defect and cortical window were secured with a Synthes/Depuy mesh plate. Note the 1 screw going directly through the cortical window.
Postoperative Management
The patient was maintained non-weightbearing in the posterior splint for 2 weeks and then transitioned to a removable cast boot for an additional 5 weeks. While in the removable cast boot, the patient was instructed to begin range of motion exercises of her ankle. At 7 weeks, the patient began protective weightbearing in the removable cast boot and started physical therapy. At 9 weeks, the patient began to wean herself out of the removable cast boot into normal shoe gear. Radiographs and computed tomography scanning showed excellent consolidation of the defect with native bone incorporation (Fig. 9 ). The patient began light exercise activity at 11 weeks and returned to work. The cultures and pathology specimens confirmed the diagnosis of ON with no infection present (Fig. 10 ). The patient was subsequently discharged from care at 16 weeks postoperatively, with minimal swelling and no pain. She was instructed to continue with physical therapy to improve her ankle range of motion. The patient was interviewed by telephone at 24 months postoperatively and reported she was doing well with no pain in the right leg or ankle. Final radiographs were also taken at that time and showed excellent deficit incorporation with native bone visible (Fig. 11 ).
Fig. 9.
Radiographs (A) and computed tomography images (B) at 9 weeks postoperatively showing the hardware in good alignment, with no residual avascular necrosis. Incorporation of the bone substitutes into native bone can also be observed.
Fig. 10.

Histopathologic slide showing nonviable trabecular bone with empty cellular lacunae indicative of osteonecrosis.
Fig. 11.
Final radiographs taken 24 months postoperatively showing native bone incorporation with all hardware intact.
Discussion
ON has numerous etiologies, with the main contributing factors cited as trauma, the habitual use of steroid drugs and alcohol, and medical conditions such as diabetes mellitus and hyperlipidemia (Table ). However, the pathogenesis of ON has triggered considerable debate, with no widely held consensus among experts. It has generally been agreed that the final common pathway of bone destruction is interruption of the blood supply and the subsequent failure to deliver necessary nutrients to the bone (7).
Table.
Conditions associated with osteonecrosis
| Hematologic/oncologic |
| Renal transplant (with or without corticosteroids) |
| Sickle cell anemia |
| Thalassemia |
| Hemoglobinopathy |
| Thrombophilia |
| Marrow infiltrative disorders |
| Thrombophlebitis |
| Hypofibrinolysis |
| Disseminated intravascular coagulation |
| Hemophilia |
| Acute lymphoblastic leukemia |
| Anatomic |
| Trauma |
| Slipped capital femoral epiphyses |
| Legg-Calvé-Perthes disease |
| Congenital hip dislocation |
| Metabolic |
| Gaucher's disease |
| Fat embolism |
| Pancreatitis |
| Fabry's disease |
| Pregnancy |
| Chronic liver disease |
| Hypercholesterolemia |
| Diabetes |
| Hyperlipidemia |
| Gout |
| Rheumatologic |
| Systemic lupus erythematosus (with or without corticosteroids) |
| Antiphospholipid syndrome |
| Rheumatoid arthritis |
| Necrotizing arteritis |
| Mucocutaneous lymph node syndrome |
| Mixed connective tissue disease |
| Infectious disease |
| Osteomyelitis |
| Human immunodeficiency virus infection |
| Meningococcemia |
| Iatrogenic |
| Corticosteroids |
| Alcoholism |
| Cigarette smoking |
| Dysbaric osteonecrosis |
| Bisphosphonate use |
| Radiation therapy |
| Regional deep hyperthermia (in cancer treatment) |
From Powell C, Chang C, Gershwin ME. Current concepts on the pathogenesis and natural history of steroid-induced osteonecrosis. Clin Rev Allergy Immunol 41:102–113, 2011.
Glucocorticoid receptors have been found in cartilage, osteoblasts, osteoclasts, and osteocytes. Binding of glucocorticoids to these receptors has been shown to induce an anti-inflammatory response through apoptotic pathways within the immunogenic cells (7). Thus, osteoclasts and osteoblasts can undergo apoptosis after prolonged treatment with glucocorticoids. Weinstein et al (11) found that when mice were given prednisolone for 27 days, the metaphyseal apoptotic activity of both osteoblasts and osteoclasts was increased. This was associated with decreased bone turnover, density, and formation and decreased trabecular width and increased formation of cancellous bone.
The immune response of corticosteroids commonly acts through the Fas pathway, a well-characterized apoptotic pathway. The receptor binding of Fas ligand leads to receptor changes and recruitments of certain proteins such as Fas-associated protein with death domain that can interact with caspase-8 and, in turn, leading to a caspase cascade and apoptosis (7). Glucocorticoids have also been shown to increase the lifespan and survival of osteoclasts by their receptor activation of nuclear factor–κB ligand, a member of the tumor necrosis factor ligand super-family (12). These findings provide further evidence that steroid-induced bone disease arises from intricate changes to a number of bone and immune cells, thus promoting bone loss.
The overall effect of glucocorticoids on bone is likely multifactorial, including suppression of osteoblast/osteoclast generation in the bone marrow, increased apoptotic activity of the cells, and prolongation of the lifespan of some osteoclasts and decreasing the survival of others.
In rabbits and chickens, Wang et al (10) found that glucocorticoid administration leads to increased adipocyte size with a proportionate decrease in intraosseous blood flow. Subsequent studies have shown that hypertrophy of fat cells can contribute to this mechanism, resulting in an increase in intraosseous or intracortical pressure and, thus, compromising the endosteal arterial supply. In humans, the hyperlipidemia induced by corticosteroids causes increased deposition of fat within the intramedullary tissue (by steroid-induced differentiation of osteogenic marrow cells into adipocytes), thereby causing elevation of intracortical pressure, which can lead to restriction of blood flow, ischemia, and sinusoidal collapse. Given the inelastic, nonexpandable cortical shell of bone, increased intraosseous pressure can result in “compartment syndrome” and subsequent disruption of blood flow. Compression of the sinusoidal system leads to venous stasis and eventually to arterial obstruction and subsequent bone injury.
Another potential effect described in the published data is the implication of fat emboli in disruption of blood flow. Glucocorticoid therapy and dyslipidemia can promote fat embolus formation. Theoretically, a shower of microscopic fat emboli can lead to critical ischemia, either directly or by triggering intravascular coagulation. The result is ischemic necrosis of vulnerable regions such as the epiphyses (4). Generally, altered lipid metabolism by increased adipogenesis, fat hypertrophy, and fat emboli can cause ischemic ON through elevation of intraosseous pressure.
Zhang et al (16) studied the relationship of the dose of corticosteroids with the onset of ON in 114 patients treated with methylprednisolone for severe acute respiratory syndrome. Of the 114 patients treated, 43 developed ON and had received a significantly greater cumulative and peak methylprednisolone-equivalent dose than the 71 patients with no ON identified by magnetic resonance imaging. They confirmed that the number of osteonecrotic lesions was directly related to the dosage of steroids and that a very high dose, a peak dose of >200 mg, or a cumulative methylprednisolone-equivalent dose of >4000 mg is a significant risk factor for multifocal ON with both epiphyseal and diaphyseal lesions.
Patients with diaphyseal ON had received a significantly greater cumulative methylprednisolone-equivalent dose than those with epiphyseal ON. Multifocal ON should be suspected in a patient with a diagnosis of ON in the shaft of a long bone (16).
Our patient had a remote history of ulcerative colitis and had been treated briefly with prednisone. A retrospective review of 23 patients diagnosed with ON with a history of inflammatory bowel disease was performed by Klingenstein et al (24). They found that inflammatory bowel disease predisposes patients to corticosteroid-induced ON. Although they did not find an exact threshold dose associated with ON, their data suggested that either long-term therapy or short-term high-dose treatment increased the risk of ON. Their review also showed that the hips were the most frequently affected joints in inflammatory bowel disease, followed by the shoulders and then the knees, consistent with other reports (16). The hips were typically involved bilaterally, and the shoulders and knees were usually affected unilaterally.
ON has shown an increased incidence in human immunodeficiency virus-infected patients during the past few years. Calza et al (25) reported on 5 cases of ON in patients with human immunodeficiency virus, which is believed to a possible side effect of highly active antiretroviral therapy.
Chang (26) undertook a study to evaluate the relationship between ON of the femoral head and alcohol abuse. He confirmed a direct relationship between alcohol abuse and the occurrence of ON of the femoral head and found that the amount of alcohol intake was more significant than the duration of alcohol intake for the risk of the development of ON of the femoral head. Along the same lines, ON is frequently seen in association with pancreatitis complicated by alcohol abuse; however, Koseki et al (27) published a case report of a 10-year old child in whom multifocal ON developed after traumatic pancreatitis.
Many different approaches are available for the treatment of ON; however, most of the published data have focused on the femoral head, with relatively little published regarding the treatment of ON in the lower leg. A meta-analysis of hip ON conducted by Mont et al (28) suggested that asymptomatic ON has a high prevalence of progression to symptomatic disease and subsequent femoral head collapse. The high morbidity rate associated with hip ON most often leads to the eventual need for total hip arthroplasty, despite conservative treatment. However, treatment is currently determined by the end-stage changes of the bone rather than on the pathogenesis and disease prevention (29). Conservative medical management is the first line of treatment and historically involves rest/activity modification, analgesics, and anti-inflammatory agents (30), all of which have provided relatively poor results. The largest numbers of published studies have investigated the use of bisphosphonates, which have been shown to be effective in numerous animal models. Their proposed mode of action is inhibition of osteoclast activity, which reduces edema and the rate of remodeling in the femoral head, which then increases bone mineral density and, hence, delays the progression of bone collapse (31). Iloprost, a vasoactive compound, acts on the terminal vascular bed by inducing vasodilation, reducing capillary permeability, and inhibiting platelet aggregation and has been shown to be effective in treating ON of the femur and the foot (29). Low-molecular-weight heparin products have also been used in patients with ON caused by thrombophilia or hypofibrinolysis (31).
Several studies have considered the protective properties of statins in reversing the effects of corticosteroid-induced ON. Statins have also been shown to have pro-osteoblastic and anti-adipogenic effects on bone marrow stromal cells by increasing bone morphogenetic protein-2 expression and reducing adipocyte-specific gene expression 3, 31. Chang et al (3) found that lovastatin stimulated osteogenesis and reversed the steroid suppressive effect in bone marrow stromal cells in non-ON cases but had only a mild effect in ON cases. Pritchett et al (8) retrospectively reviewed the data from 284 patients who had received high-dose steroids and were also taking statin therapy. They noted a 1% rate of ON, a significantly lower rate than the generally reported 3% to 20% rate of ON for patients receiving high-dose steroids. However, no studies to date have been reported on the use of statins in patients with established/pre-existing ON. Other conservative treatments include hyperbaric oxygen therapy, shock wave therapy, pulsed electromagnetic field therapy, and physical therapy 31, 32, 33.
Surgical correction typically starts with joint-preserving measures for early-stage ON, such as core decompression; however, the technique has varied and still considered controversial (34). More recent reports have attempted to show the validity of using vascularized fibular grafts, tantalum pegs, autologous bone marrow cell implantation, and bone marrow-derived and cultured mesenchymal stem cells 29, 34, 35, 36, all with the goal of being able to either support or replace a large region of necrotic bone. All these reports have been level IV evidence and, therefore, have not been accepted as a time-tested treatment option.
Just as with the hip, initial surgical correction of ankle ON is aimed at sparing the joint, at least during the early stages of the disease. The reported operative treatments for atraumatic ON of the ankle have included core decompression, vascularized and nonvascularized bone grafting, tibiotalar fusion, and talectomy with tibiocalcaneal fusion 37, 38. Core decompression has historically been used during the early stages of ON of the ankle as a treatment method to decrease pain and defer the eventual collapse of the joint (38). The multiple locations of the lesions, including the distal tibia and fibula, talar dome, and calcaneus, and the relatively small affected bones (compared with the femoral head and distal femur), make this procedure technically difficult, especially considering that large-diameter trocars were initially the instruments used. Marulanda et al (38) investigated the treatment of ankle ON with a new technique using multiple small percutaneous 3-mm perforations in a total of 44 ankles. At a mean follow-up duration of 45 months, 40 ankles (91%) had achieved a successful clinical outcome and a statistically significant improvement of the mean American Orthopaedic Foot and Ankle Society ankle and hindfoot scale score, which increased from 42 points preoperatively to 88 points postoperatively (38). No perioperative complications developed, although 3 ankles subsequently collapsed and required arthrodesis. However, ankle arthrodesis was avoided in 93% of the cases at a mean follow-up period of 3.6 years.
In the ankle, the typical end-stage of the disease ultimately leads to ankle arthrodesis, much as end-stage ON of the hip will lead to total hip arthroplasty. Kitaoka and Patzer (37) reported on a series of 19 patients with either ankle arthrodesis (3 patients) or tibiotalocalcaneal arthrodesis (16 patients). Clinically, they had good to excellent results for only 13 patients (68%), fewer than that reported for patients without ON. As early as 1977, total ankle arthroplasty has been described in published studies as being used for the treatment of ON of the talus (39). To our knowledge, no case reports have illustrated the use of implantable total ankle arthroplasty to treat ankle ON.
Although the use of corticosteroids has proved to be one of the most common causes of ON in published studies, the vast majority of these reports speaks to the development of ON acutely after their use. Our patient had a remote history of using prednisone 20 years before her presentation with ON. Fortunately for our patient, the tibial involvement of the ON did not extend distally to the ankle joint. Numerous studies have pointed to ankle synovitis and osteochondral defects as a cause of ankle pain, and our patient had both of these pathologic entities present, along with the ON. However, it is difficult to determine with any certainty whether tibial ON and talar osteochondritis dissecans were isolated events or linked pathologically. From her symptoms and physical examination findings, we are confident that her pain was primarily due to the ON of her tibia; however, we acknowledge that it could be directly associated with her ankle pathologic features.
In conclusion, ON can be a devastating pathologic entity in the lower extremity, especially when it involves the articular aspects of weightbearing bones. Although ON is often secondary to trauma, several other etiologies exist, with much of the current research pointing to it being multifactorial 40, 41. The present patient displayed a rare case of ON occurring in the bilateral distal tibias at the diaphyseal–metaphyseal junction that did not violate her ankle joints and, thus, provided a good platform for a review of ON. The present report examined the relevant causes of ON and a review of different treatment protocols. Ideally, our report stresses the importance of the clinician in recognizing the different causes of ON and highlighting different treatment approaches, including our own in this unique case.
Acknowledgments
We would like to thank Diane Tobin, MLIS, from the Dorsey Medical Library for her assistance in procuring several of the articles listed in our references.
Footnotes
Financial Disclosure: Alan Ng is a consultant for AlloSource, Centennial, CO.
Conflict of Interest: None reported.
References
- 1.Assouline-Dayan Y., Chang C., Greenspan A., Shoenfeld Y., Gershwin M.E. Pathogenesis and natural history of osteonecrosis. Semin Arthritis Rheum. 2002;32:94–124. [PubMed] [Google Scholar]
- 2.Anderton J.M., Helm R. Multiple joint osteonecrosis following short-term steroid therapy. J Bone Joint Surg. 1982;64:139–141. [PubMed] [Google Scholar]
- 3.Chang J.K., Ho M.L., Yeh C.H., Wang G.J. Effects of dexamethasone and lovastatin on the expression of BMP2 in bone marrow stroma cells cultured from patients with osteonecrosis. J Bone Joint Surg Br. 2004;86-B(Suppl II) [Google Scholar]
- 4.Cruess R.L. Steroid induced osteonecrosis: a review. Can J Surg. 1981;24:567–571. [PubMed] [Google Scholar]
- 5.Felson D.T., Anderson J.J. Across-study evaluation of association between steroid dose and bolus steroids and avascular necrosis of bone. Lancet. 1987;1:902–906. doi: 10.1016/s0140-6736(87)92870-4. [DOI] [PubMed] [Google Scholar]
- 6.Kelmanm G.J., Williams G.W., Colwell C.W., Jr., Walker R.H. Steroid-related osteonecrosis of the knee: two case reports and a literature review. Clin Orthop Relat Res. 1990;257:171–179. [PubMed] [Google Scholar]
- 7.Powell C., Chang C., Gershwin M.E. Current concepts on the pathogenesis and natural history of steroid-induced osteonecrosis. Clin Rev Allergy Immunol. 2011;41:102–113. doi: 10.1007/s12016-010-8217-z. [DOI] [PubMed] [Google Scholar]
- 8.Pritchett J.W. Statin therapy decreases the risk of osteonecrosis in patients receiving steroids. Clin Orthop Relat Res. 2001;386:173–178. doi: 10.1097/00003086-200105000-00022. [DOI] [PubMed] [Google Scholar]
- 9.Sinclair V., Shepard G. Symptomatic, steroid-induced, multifocal diaphyseal osteonecrosis in a patient with multiple sclerosis. Mult Scler. 2010;16:370–372. doi: 10.1177/1352458509358091. [DOI] [PubMed] [Google Scholar]
- 10.Wang G.J., Cui Q., Balian G. The pathogenesis and prevention of steroid induced osteonecrosis. Clin Orthop Relat Res. 2000;370:295–310. doi: 10.1097/00003086-200001000-00030. [DOI] [PubMed] [Google Scholar]
- 11.Weinstein R.S., Nicholas R.W., Manolagas S.C. Apoptosis of osteocytes in glucocorticoid-induced osteonecrosis of the hip. J Clin Endocrinol Metab. 2000;85:2907–2912. doi: 10.1210/jcem.85.8.6714. [DOI] [PubMed] [Google Scholar]
- 12.Weinstein R.S. Glucocorticoid-induced osteonecrosis. Endocrine. 2012;41:183–190. doi: 10.1007/s12020-011-9580-0. [DOI] [PMC free article] [PubMed] [Google Scholar]
- 13.Yamaguchi H., Masuda T., Sasaki T., Nojima T. Steroid induced osteonecrosis of the patella. Clin Orthop Relat Res. 1998;229:201–204. [PubMed] [Google Scholar]
- 14.Yıldırım Z.K., Büyükavci M., Eren S., Orbak Z., Sahin A., Karakelleoğlu C. Late side effects of high-dose steroid therapy on skeletal system in children with idiopathic thrombocytopenic purpura. J Pediatr Hematol Oncol. 2008;30:749–753. doi: 10.1097/MPH.0b013e318180bbc9. [DOI] [PubMed] [Google Scholar]
- 15.Yildiz N., Ardic F., Deniz S. Very early onset steroid-induced avascular necrosis of the hip and knee in a patient with idiopathic thrombocytopenic purpura. Intern Med. 2008;47:1989–1992. doi: 10.2169/internalmedicine.47.1038. [DOI] [PubMed] [Google Scholar]
- 16.Zhang N.F., Li Z.R., Wei H.Y., Liu Z.H., Hernigou P. Steroid-induced osteonecrosis—the number of lesions is related to the dosage. J Bone Joint Surg. 2008;90-B:1239–1243. doi: 10.1302/0301-620X.90B9.20056. [DOI] [PubMed] [Google Scholar]
- 17.Woo S.B., Hellstein W., Kalmar J.R. Systematic review: bisphosphonates and osteonecrosis of the jaws. Ann Intern Med. 2006;144:753–761. doi: 10.7326/0003-4819-144-10-200605160-00009. [DOI] [PubMed] [Google Scholar]
- 18.Babu N., Schuberth J.M. Partial avascular necrosis after talar neck fracture. Foot Ankle Int. 2010;31:777–780. doi: 10.3113/FAI.2010.0777. [DOI] [PubMed] [Google Scholar]
- 19.Krishnamurthy A.B., Finn H.A. Osteonecrosis of the proximal tibia. Orthopedics. 2008;21:478–481. doi: 10.3928/0147-7447-19980401-21. [DOI] [PubMed] [Google Scholar]
- 20.Kamath A.F., John T., Sheth N.P., Lonner J.H., Kalmey J.K., Lotke P.A. Tibial avascular necrosis after conversion from high tibial osteotomy to total knee arthroplasty. Am J Orthop. 2011;40:E130–E134. [PubMed] [Google Scholar]
- 21.Gascó J., González-Herranz P., Minguez M.F., Gil-Albarova R. Avascular necrosis of distal tibial epiphysis: report of two cases. J Pediatr Orthop B. 2010;19:361–365. doi: 10.1097/BPB.0b013e3283395f5a. [DOI] [PubMed] [Google Scholar]
- 22.Chollet C.T., Britton L., Neel M.D., Hudson M.M., Kaste S.C. Childhood cancer survivors: an at-risk cohort for ankle osteonecrosis. Clin Orthop Relat Res. 2005;430:149–155. [PubMed] [Google Scholar]
- 23.Rajagopalan S. Osteonecrosis of the distal tibia after a pronation external rotation ankle fracture: literature review and management. J Foot Ankle Surg. 2011;50:445–448. doi: 10.1053/j.jfas.2011.03.017. [DOI] [PubMed] [Google Scholar]
- 24.Klingenstein G., Levy R.N., Kornbluth A., Shah A.K., Present D.H. Inflammatory bowel disease related osteonecrosis: report of a large series with a review of the literature. Aliment Pharmacol Ther. 2005;21:243–249. doi: 10.1111/j.1365-2036.2005.02231.x. [DOI] [PubMed] [Google Scholar]
- 25.Calza L., Manfredi R., Chiodo F. Arterial occlusive disease and osteonecrosis in HIV infection: a common etiologic and pathogenetic mechanism? Infect Dis Clin Pract. 2002;11:23–24. [Google Scholar]
- 26.Chang J.D. The relationship between osteonecrosis of the femoral head and alcohol abuse. J Bone Joint Surg Br. 2004;86-B(Suppl II) [Google Scholar]
- 27.Koseki H., Tsurumoto T., Osaki M., Shindo H. Multifocal osteonecrosis caused by traumatic pancreatitis in a child: a case report. J Bone Joint Surg Am. 2009;91-A:2229–2231. doi: 10.2106/JBJS.H.01394. [DOI] [PubMed] [Google Scholar]
- 28.Mont M.A., Zywiel M.G., Marker Dr, McGrath M.S., Delanois R.E. The natural history of untreated asymptomatic osteonecrosis of the femoral head: a systematic literature review. J Bone Joint Surg Am. 2010;92-A:2165–2170. doi: 10.2106/JBJS.I.00575. [DOI] [PubMed] [Google Scholar]
- 29.Korompilias A.V., Lykissas M.G., Beris A.E., Urbaniak J.R., Soucacos P.N. Vascularised fibular graft in the management of femoral head osteonecrosis: twenty years later. J Bone Joint Surg Br. 2009;91-B:287–293. doi: 10.1302/0301-620X.91B3.21846. [DOI] [PubMed] [Google Scholar]
- 30.Musso E.S., Mitchell S.N., Schink-Ascani M., Bassett C.A. Results of conservative management of osteonecrosis of the femoral head: a retrospective study. Clin Orthop Relat Res. 1986;207:209–215. [PubMed] [Google Scholar]
- 31.Rajpura A., Wright A.C., Board T.N. Medical management of osteonecrosis of the hip: a review. Hip Int. 2011;21:385–392. doi: 10.5301/HIP.2011.8538. [DOI] [PubMed] [Google Scholar]
- 32.Marker D.R., Seyler T.M., McGrath M.S., Delanois R.E., Ulrich S.D., Mont M.A. Treatment of early stage osteonecrosis of the femoral head. J Bone Joint Surg Am. 2008;90-A(Suppl 4):175–187. doi: 10.2106/JBJS.H.00671. [DOI] [PubMed] [Google Scholar]
- 33.Vulpiani M.C., Vetrano M., Trischitta D., Scarcello L., Chizzi F., Argento G., Saraceni V.M., Maffulli N., Ferretti A. Extracorporeal shock wave therapy in early osteonecrosis of the femoral head: prospective clinical study with long-term follow-up. Arch Orthop Trauma Surg. 2012;132:499–508. doi: 10.1007/s00402-011-1444-9. [DOI] [PubMed] [Google Scholar]
- 34.Gangji V., Maertelaer V.D., Hauzeur J.P. Autologous bone marrow cell implantation in the treatment of non-traumatic osteonecrosis of the femoral head: five year follow-up of a prospective controlled study. Bone. 2011;49:1005–1009. doi: 10.1016/j.bone.2011.07.032. [DOI] [PubMed] [Google Scholar]
- 35.Malizos K.N. Early results of a novel technique using multiple small tantalum pegs for the treatment of osteonecrosis of the femoral head: a case series involving 26 hips. J Bone Joint Surg Br. 2012;94-B:173–178. doi: 10.1302/0301-620X.94B2.27287. [DOI] [PubMed] [Google Scholar]
- 36.Zhao D., Cui D., Wang B., Tian F., Guo L., Yang L., Lui B., Yu B. Treatment of early stage osteonecrosis of the femoral head with autologous implantation of bone marrow-derived and cultured mesenchymal stem cells. Bone. 2012;50:325–330. doi: 10.1016/j.bone.2011.11.002. [DOI] [PubMed] [Google Scholar]
- 37.Kitaoka H.B., Patzer G.L. Arthrodesis for the treatment of arthrosis of the ankle and osteonecrosis of the talus. J Bone Joint Surg. 1998;80-A:370–379. [PubMed] [Google Scholar]
- 38.Marulanda G.A., McGrath M.S., Ulrich S.D., Seyler T.M., Delanois R.E., Mont M.A. Percutaneous drilling for the treatment of atraumatic osteonecrosis of the ankle. J Foot Ankle Surg. 2010;49:20–24. doi: 10.1053/j.jfas.2009.07.004. [DOI] [PubMed] [Google Scholar]
- 39.Manes H.A., Alvarez E., Levine L.S. Preliminary report of total ankle arthroplasty for osteonecrosis of the talus. Clin Orthop Relat Res. 1977;127:209–215. [PubMed] [Google Scholar]
- 40.Mankin H.J. Nontraumatic necrosis of bone (osteonecrosis) N Engl J Med. 1992;326:1473–1479. doi: 10.1056/NEJM199205283262206. [DOI] [PubMed] [Google Scholar]
- 41.Nicoletti S., Salama A., Stanley D. Idiopathic osteonecrosis of the humeral capitellum. J Bone Joint Surg Br. 2008;90-B:512–514. doi: 10.1302/0301-620X.90B4.20060. [DOI] [PubMed] [Google Scholar]






