Abstract
The severe acute respiratory syndrome coronavirus (SARS-CoV) nucleocapsid protein (NP) is one of the predominant antigenic protein and the most abundant shed antigen throughout the SARS-CoV infection. This feature makes it a suitable molecular target for diagnostic applications. In this study the full length codon optimized NP gene and its subfragment gene segment was cloned in a bacterial expression vector. The full length NP could be expressed in E. coli at very high level within inclusion bodies. The inclusion bodies were successfully solubilized, purified under denaturing conditions employing IMAC column and refolded. The non-glycosylated NP was used to immunize mice for hybridoma development. The polyclonal antiserum from animals immunized with this recombinant NP protein was found to specifically recognize the NP and its subfragments, thus demonstrating the immunogenic nature of the recombinant protein. The NP antigen or a subfragment could be useful for developing a sensitive serum diagnostic assay to monitor SARS-CoV outbreaks by detecting the early human anti-SARS antibodies. In addition, the availability of the NP fragments could facilitate epitope mapping of anti-NP monoclonals for identifying suitable sandwich pairs.
Keywords: SARS-CoV, Nucleocapsid, E. coli expression, IMAC, Refolding
Severe acute respiratory syndrome (SARS), a new infectious disease caused by SARS-CoV, was first recognized in China in 2002–2003. Similar outbreaks occurred in Hong Kong, Singapore and Toronto making them the initial hot zone of SARS. According to World Health Organization, the outbreak of SARS epidemic in 2002–2003 infected over 8400 people globally resulting in deaths of over 900 individuals. Coronaviruses are the RNA viruses containing positive-sense single stranded RNA genome of 27–32 kb. Analysis of the nucleotide sequences of the novel SARS-CoV showed that the viral genome is nearly 30 kb in length and contains 14 potential open reading frames flanked by 5′ and 3′ untranslational region. SARS-CoV contains four major structural gene open reading frames including spike (S), membrane (M), envelope (E) and nucleocapsid protein (NP) and a set of accessory proteins whose number and sequence vary among different coronaviruses. The continual lack of a rapid sensitive antigen test to assist in the diagnosis of suspected cases and in turn of probable cases of SARS makes this area a priority for further research efforts to develop inexpensive point of care rapid diagnostics. The three major diagnostic methods that are currently available include viral RNA detection using RT-PCR (Jiang et al., 2004), detection of antibody by indirect fluorescence assay (Chan et al., 2004) and NP or culture extract of SARS-CoV-based enzyme linked immunosorbent assay (Shi et al., 2003).
The NP is the most predominant virus derived protein throughout the infection, because the NP mRNA levels are amplified 3–10 times higher at 12 h post-infection (Hiscox et al., 1995) compared to other structural genes. This feature makes it a suitable candidate for developing monoclonal antibodies for SARS NP antigen diagnostics as well as detection of patient anti-NP antibodies. In the literature many recombinant viral proteins have been expressed with immunodominant epitopes and successfully used as antigens for diagnostics of infection (Konishi et al., 1996, Sohn et al., 1994, Zoller et al., 1993).
Rapid diagnosis of any disease can lead to early therapeutic intervention. In many viral diseases, virus shedding is greatest during the early symptomatic phase. The detection of viral RNA by RT-PCR is very sensitive and expensive. The whole process of extraction of mRNA from different specimens can be labor intensive and relies on the special technical expertise (Tan et al., 2004). In addition, false positive results may also result from cross-contamination. ELISA based sandwich antigen detection test by dual monoclonal antibodies are known to have high specificity and reproducibility. The results of RT-PCR can be complemented and improved by using antigen detection capture ELISA method. An early capture ELISA was achieved with a polyclonal antibody and a mouse monoclonal antibody which detects at least two spatially separated epitopes on the NP antigen (Shi et al., 2003). Polyclonal antibody has inherent specificity limitations and hence the availability of suitable monoclonal antibodies is essential for the development of an immunological diagnostic tool. Such antigen capture assays by ELISA has demonstrated that 52% patients have detectable levels of NP from nasopharyngeal samples and 55% patients showed NP positive in their stool samples (Lau et al., 2004). In addition NP can be detected from nasal, urinary and fecal samples. It has been shown that nearly 89% of SARS patients have anti-NP antibodies during infection using both native and bacterially produced NP antigen in an immunoassay (Leung et al., 2004). It has also been reported that anti-NP monoclonal antibodies has been used to establish a sensitive antigen capture ELISA for the detection of shed antigen from the SARS infected patients serum samples (Che et al., 2004). Several other groups (Chang et al., 2004, He et al., 2004, Lin et al., 2003) have also reported the detection of anti-NP antibodies in SARS patients using NP or its fragments as a capture antigen. However, detection of pathogen specific antigens is desirable since it provides information's on current infective states unlike detection of anti-pathogen antibodies which can persist in the body long after clearance of any infection. Our initial objective was cloning and expression of codon optimized NP gene and its subfragments in E. coli to develop monoclonal and bispecific antibodies by hybridoma technology together with epitope mapping with the NP fragments. Here we report the successful cloning and abundant expression of the full length NP and its subfragment domains employing a prokaryotic codon optimized synthetic NP gene.
We exploited the common E. coli bacterial expression system for the production of NP. However, since it is a prokaryotic based system, heterologously expressed eukaryotic proteins are not post-translationally modified properly. Further, it is often difficult to facilitate the secretion of large amounts of expressed protein into the culture medium. In addition, proteins expressed in large amounts tend to aggregate, forming inclusion bodies which present an advantage for the purification of expressed protein. To enhance the expression level of a foreign gene in a particular expression system it is very important to adjust the usage of codon frequency of the gene to match that of the host expression platform. Appropriate codon usage has a significant impact on heterologous gene expression since codon preference among different species could be widely different. Rarely used codons in a foreign gene can lead to poorly translated mRNA, decreased mRNA stability, premature translation and even misincorporation of amino acids. This can be mitigated by supplementing the gene expression host with the rare codon tRNAs that are otherwise infrequent in the host organism. Alternatively, foreign genes can be optimized for codon usage appropriate to the host translational machinery. Different bioinformatics tools are available for the optimization of codon usage considering many factors such as RNA secondary structure, GC content, repetitive codons and rare codons manifested in commonly used prokaryotic and eukaryotic hosts (Grote et al., 2005).
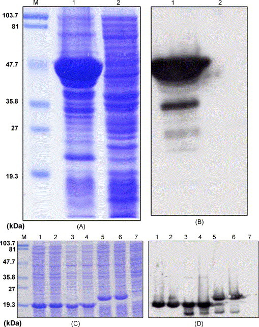
The NP nucleotide sequences of SARS-CoV were codon optimized for E. coli expression and chemically synthesized from GENEART, Germany. The codon optimized NP gene and fragments (NP1.1, aa 1–140; NP1.2, aa 141–280; NP1.3, aa 281–422) were PCR amplified and cloned in the correct reading frame in pBM802 vector with the His6 tag at the C-terminal for high level expression of proteins within inclusion bodies of E. coli. The recombinant clones upon analysis by restriction digestion fragment mapping showed the right size clones and were selected for protein expression. Similarly, the plasmids containing NP subfragments were also isolated for expression. Results showed that all the selected NP full length clones expressed the target protein of approximately 46 kDa at different levels when analysed by SDS-PAGE and one clone with the best expression is shown in Fig. 1A along with the Western blot when probed with anti-His6 MAb (Fig. 1B). All the NP subfragments were also expressing the right size protein when analysed by SDS-PAGE (Fig. 1C) and confirmed by Western blot when probed with anti-His6 MAb (Fig. 1D). The expression of the recombinant NP and its three subfragments appeared almost exclusively within the inclusion bodies thus facilitating the purification.
Fig. 1.

SDS-PAGE (A) lane 1: NP induced culture (B) analysis of the best NP clone. Lane M: standard prestained molecular weight markers; lane 1: NP; lane 2: uninduced culture. SDS-PAGE (C) lanes 5 and 6: NP1.3 fragments (D) analysis of NP subfragment clones. Lane M: standard prestained molecular weight markers; lanes 1 and 2: NP1.1 fragments; lanes 3 and 4: NP1.2 fragments; lanes 5 and 6: NP1.3 fragment; lane 7: uninduced culture.
The best NP clone was selected for medium scale bacterial expression (2–4 L) and purification. The final yield of purified full length NP antigen was estimated by Bradford protein assay to be approximately 30–55 mg/L of culture which is a log fold higher than a previous report using the native viral NP gene sequence which provided a yield of 3 mg/L (Lau et al., 2004). Isolation and purification of inclusion bodies in this study involved four different steps which includes isolation of inclusion bodies from E. coli cells, solubilization, affinity purification and refolding of the purified protein. The final purification exploited immobilized metal-affinity chromatography (IMAC) under denaturing conditions to adsorb the His-tagged protein and subsequently elute the pure NP. Most recombinant proteins are expressed in E. coli within inclusion bodies and different refolding methods have been reported to renature proteins from inclusion bodies (Das et al., 2004). The protein concentration plays a crucial role in refolding conditions and it was observed that when the concentration was 100 μg/mL or above, aggregation was evident. We observed that during extraction of inclusion bodies, IMAC purification and upon storage at 4 °C, NP exhibited some degradation which was also reported previously (Tang et al., 2005). This is due to the low stability of NP of SARS-CoV (Wang et al., 2004) since it is the only SARS-CoV protein which contains no Cys residues (Cao et al., 2005). It is also reported that SARS virus looses its infectious capacity at 56 °C and the low stability of the NP may be at least one of the important determinants for the thermosensitivity of SARS virus (Duan et al., 2003).
The refolded NP antigen was used to immunize mice to develop several monoclonal antibodies. The polyclonal antibodies from mouse serum were strongly reacting with the NP recombinant antigen and its three subfragments in Western blot. The three different NP subfragments were also expressed in high levels and could be useful for epitope mapping of different monoclonals currently under development. These NP fragments will be useful to select a pair of monoclonal antibodies with non-overlapping specificities for efficient sandwich formation. In addition, the NP antigen or a subfragment based ELISA could be the basis of developing a sensitive assay to monitor SARS-CoV outbreaks by detecting the early human anti-SARS antibodies. In conclusion, we have successfully generated significant amounts of the recombinant NP antigen and this method could provide a safe and valuable inexpensive resource for early SARS diagnostics.
Acknowledgements
This work was supported by the NIH grant # 5U01AI061233-02. Thanks to Dr. Sandra Marcus for providing the French press facility, Department of Chemistry, University of Alberta, Edmonton, Alta., Canada.
References
- Cao S., Wang H., Luhur A., Wong S.M. Yeast expression and characterization of SARS-CoV N protein. J. Virol. Meth. 2005;130(1/2):83–88. doi: 10.1016/j.jviromet.2005.06.010. [DOI] [PMC free article] [PubMed] [Google Scholar]
- Chan P.K., Ng K.C., Chan R.C., Lam R.K., Chow V.C., Hui M., Wu A., Lee N., Yap F.H., Cheng F.W., Sung J.J., Tam J.S. Immunofluorescence assay for serologic diagnosis of SARS. Emerg. Infect. Dis. 2004;10(3):530–532. doi: 10.3201/eid1003.030493. [DOI] [PMC free article] [PubMed] [Google Scholar]
- Chang M.S., Lu Y.T., Ho S.T., Wu C.C., Wei T.Y., Chen C.J., Hsu Y.T., Chu P.C., Chen C.H., Chu J.M., Jan Y.L., Hung C.C., Fan C.C., Yang Y.C. Antibody detection of SARS-CoV spike and nucleocapsid protein. Biochem. Biophys. Res. Commun. 2004;314(4):931–936. doi: 10.1016/j.bbrc.2003.12.195. [DOI] [PMC free article] [PubMed] [Google Scholar]
- Che X.Y., Qiu L.W., Pan Y.X., Wen K., Hao W., Zhang L.Y., Wang Y.D., Liao Z.Y., Hua X., Cheng V.C., Yuen K.Y. Sensitive and specific monoclonal antibody-based capture enzyme immunoassay for detection of nucleocapsid antigen in sera from patients with severe acute respiratory syndrome. J. Clin. Microbiol. 2004;42(6):2629–2635. doi: 10.1128/JCM.42.6.2629-2635.2004. [DOI] [PMC free article] [PubMed] [Google Scholar]
- Das D., Kriangkum J., Nagata L.P., Fulton R.E., Suresh M.R. Development of a biotin mimic tagged ScFv antibody against western equine encephalitis virus: bacterial expression and refolding. J. Virol. Meth. 2004;117(2):169–177. doi: 10.1016/j.jviromet.2004.01.008. [DOI] [PubMed] [Google Scholar]
- Duan S.M., Zhao X.S., Wen R.F., Huang J.J., Pi G.H., Zhang S.X., Han J., Bi S.L., Ruan L., Dong X.P. Stability of SARS coronavirus in human specimens and environment and its sensitivity to heating and UV irradiation. Biomed. Environ. Sci. 2003;16(3):246–255. [PubMed] [Google Scholar]
- Grote A., Hiller K., Scheer M., Munch R., Nortemann B., Hempel D.C., Jahn D. JCat: a novel tool to adapt codon usage of a target gene to its potential expression host. Nucleic Acids Res. 2005;33:W526-31. doi: 10.1093/nar/gki376. (Web Server issue) [DOI] [PMC free article] [PubMed] [Google Scholar]
- He Q., Chong K.H., Chng H.H., Leung B., Ling A.E., Wei T., Chan S.W., Ooi E.E., Kwang J. Development of a Western blot assay for detection of antibodies against coronavirus causing severe acute respiratory syndrome. Clin. Diagn. Lab. Immunol. 2004;11(2):417–422. doi: 10.1128/CDLI.11.2.417-422.2004. [DOI] [PMC free article] [PubMed] [Google Scholar]
- Hiscox J.A., Cavanagh D., Britton P. Quantification of individual subgenomic mRNA species during replication of the coronavirus transmissible gastroenteritis virus. Virus Res. 1995;36(2/3):119–130. doi: 10.1016/0168-1702(94)00108-O. [DOI] [PMC free article] [PubMed] [Google Scholar]
- Jiang S.S., Chen T.C., Yang J.Y., Hsiung C.A., Su I.J., Liu Y.L., Chen P.C., Juang J.L. Sensitive and quantitative detection of severe acute respiratory syndrome coronavirus infection by real-time nested polymerase chain reaction. Clin. Infect. Dis. 2004;38(2):293–296. doi: 10.1086/380841. [DOI] [PMC free article] [PubMed] [Google Scholar]
- Konishi E., Mason P.W., Shope R.E. Enzyme-linked immunosorbent assay using recombinant antigens for serodiagnosis of Japanese encephalitis. J. Med. Virol. 1996;48(1):76–79. doi: 10.1002/(SICI)1096-9071(199601)48:1<76::AID-JMV12>3.0.CO;2-4. [DOI] [PubMed] [Google Scholar]
- Lau S.K., Woo P.C., Wong B.H., Tsoi H.W., Woo G.K., Poon R.W., Chan K.H., Wei W.I., Peiris J.S., Yuen K.Y. Detection of severe acute respiratory syndrome (SARS) coronavirus nucleocapsid protein in sars patients by enzyme-linked immunosorbent assay. J. Clin. Microbiol. 2004;42(7):2884–2889. doi: 10.1128/JCM.42.7.2884-2889.2004. [DOI] [PMC free article] [PubMed] [Google Scholar]
- Leung D.T., Tam F.C., Ma C.H., Chan P.K., Cheung J.L., Niu H., Tam J.S., Lim P.L. Antibody response of patients with severe acute respiratory syndrome (SARS) targets the viral nucleocapsid. J. Infect. Dis. 2004;190(2):379–386. doi: 10.1086/422040. [DOI] [PMC free article] [PubMed] [Google Scholar]
- Lin Y., Shen X., Yang R.F., Li Y.X., Ji Y.Y., He Y.Y., Shi M.D., Lu W., Shi T.L., Wang J., Wang H.X., Jiang H.L., Shen J.H., Xie Y.H., Wang Y., Pei G., Shen B.F., Wu J.R., Sun B. Identification of an epitope of SARS-coronavirus nucleocapsid protein. Cell Res. 2003;13(3):141–145. doi: 10.1038/sj.cr.7290158. [DOI] [PMC free article] [PubMed] [Google Scholar]
- Shi Y., Yi Y., Li P., Kuang T., Li L., Dong M., Ma Q., Cao C. Diagnosis of severe acute respiratory syndrome (SARS) by detection of SARS coronavirus nucleocapsid antibodies in an antigen-capturing enzyme-linked immunosorbent assay. J. Clin. Microbiol. 2003;41(12):5781–5782. doi: 10.1128/JCM.41.12.5781-5782.2003. [DOI] [PMC free article] [PubMed] [Google Scholar]
- Sohn M.J., Chong Y.H., Chang J.E., Lee Y.I. Overexpression and simple purification of human immunodeficiency virus-1 gag epitope derived from a recombinant antigen in E. coli and its use in ELISA. J. Biotechnol. 1994;34(2):149–155. doi: 10.1016/0168-1656(94)90084-1. [DOI] [PubMed] [Google Scholar]
- Tan Y.J., Goh P.Y., Fielding B.C., Shen S., Chou C.F., Fu J.L., Leong H.N., Leo Y.S., Ooi E.E., Ling A.E., Lim S.G., Hong W. Profiles of antibody responses against severe acute respiratory syndrome coronavirus recombinant proteins and their potential use as diagnostic markers. Clin. Diagn. Lab. Immunol. 2004;11(2):362–371. doi: 10.1128/CDLI.11.2.362-371.2004. [DOI] [PMC free article] [PubMed] [Google Scholar]
- Tang T.K., Wu M.P., Chen S.T., Hou M.H., Hong M.H., Pan F.M., Yu H.M., Chen J.H., Yao C.W., Wang A.H. Biochemical and immunological studies of nucleocapsid proteins of severe acute respiratory syndrome and 229E human coronaviruses. Proteomics. 2005;5(4):925–937. doi: 10.1002/pmic.200401204. [DOI] [PMC free article] [PubMed] [Google Scholar]
- Wang Y., Wu X., Li B., Zhou H., Yuan G., Fu Y., Luo Y. Low stability of nucleocapsid protein in SARS virus. Biochemistry. 2004;43(34):11103–11108. doi: 10.1021/bi049194b. [DOI] [PubMed] [Google Scholar]
- Zoller L.G., Yang S., Gott P., Bautz E.K., Darai G. A novel mu-capture enzyme-linked immunosorbent assay based on recombinant proteins for sensitive and specific diagnosis of hemorrhagic fever with renal syndrome. J. Clin. Microbiol. 1993;31(5):1194–1199. doi: 10.1128/jcm.31.5.1194-1199.1993. [DOI] [PMC free article] [PubMed] [Google Scholar]
