Abstract
Older adults are at increased risk of developing opportunistic fungal infections because organ transplantation, intensive cancer chemotherapy regimens, and anti-tumor necrosis factor agents are now used more commonly, and because admission to an intensive care unit, which carries many risk factors for fungal infection, has become commonplace in this group.
Candida species are the most common cause of opportunistic fungal infections, and bloodstream infections are usually treated with fluconazole or an echinocandin antifungal agent.
Invasive mold infections are mostly caused by Aspergillus species; in older adults, they cause primarily pulmonary and sinus infections, and they are associated with a high mortality rate.
The endemic fungi, Histoplasma capsulatum, Coccidioides species, and Blastomyces dermatitidis, cause infection when the mold form is dispersed and inhaled from the environment in those specific areas of the country in which these organisms flourish.
Amphotericin B is used for initial treatment of severe histoplasmosis, coccidioidomycosis, and blastomycosis; itraconazole is the therapy of choice for most mild to moderate infections due to these endemic mycoses.
Keywords: Candida Species, Invasive Aspergillosis, Cryptococcal Meningitis, Mold Infection, Oropharyngeal Candidiasis
Key Points
Older adults are at increased risk of developing opportunistic fungal infections because organ transplantation, intensive cancer chemotherapy regimens, and anti-tumor necrosis factor agents are now used more commonly, and because admission to an intensive care unit, which carries many risk factors for fungal infection, has become commonplace in this group.
Candida species are the most common cause of opportunistic fungal infections, and bloodstream infections are usually treated with fluconazole or an echinocandin antifungal agent.
Invasive mold infections are mostly caused by Aspergillus species; in older adults, they cause primarily pulmonary and sinus infections, and they are associated with a high mortality rate.
The endemic fungi, Histoplasma capsulatum, Coccidioides species, and Blastomyces dermatitidis, cause infection when the mold form is dispersed and inhaled from the environment in those specific areas of the country in which these organisms flourish.
Amphotericin B is used for initial treatment of severe histoplasmosis, coccidioidomycosis, and blastomycosis; itraconazole is the therapy of choice for most mild to moderate infections due to these endemic mycoses.
Introduction
Serious fungal infections can be separated into two major categories: The opportunistic mycoses that include candidiasis, cryptococcosis, and invasive mold infections such as aspergillosis and zygomycosis, and the endemic mycoses, which in the United States, includes histoplasmosis, blastomycosis, and coccidioidomycosis. The fungal infections represented in these broad categories differ with respect to the characteristics of the organisms causing infection, their epidemiology, the clinical manifestations, the approach to diagnosis, and the principles guiding therapy.
In response to these different groups of fungi, host defense mechanisms also differ. Except in immunocompromised hosts, serious infection with the opportunistic mycoses is rare. In contrast, the endemic mycoses are true pathogens that cause disease in both healthy and compromised hosts. However, the severity of infection with the endemic mycoses is determined in part by the host’s response.
Opportunistic Fungal Infections
Epidemiology and Clinical Relevance
As the number of immunocompromised patients has risen, opportunistic fungal infections have increased dramatically in recent years. In the last decade, the elderly appear to be at increasing risk for infections with the opportunistic fungi. There are several reasons for this enhanced risk. First, with increasing realization that older adults with cancer should not be excluded because of age from intensive chemotherapeutic treatment regimens, there are more immunosuppressed older cancer patients. Second, as evidence for the efficacy and safety of transplantation in this population has accrued, solid organ transplantation is now more common in patients over the age of 60. Third, immunosuppressive regimens, including the use of anti-tumor necrosis factor agents, are now routine in the management of rheumatologic and dermatologic conditions often found in older adults. Fourth, and possibly the most important risk factor for older adults, is the increasing role of treatment in intensive care units with the use of life-support systems, catheters, and broad-spectrum antibiotics.
Candidiasis
The increase in opportunistic infections in elderly patients is primarily due to an increase in infections with Candida species. The spectrum of disease varies from localized infections such as oropharyngeal candidiasis to candidemia and disseminated candidiasis.
Factors that predispose older patients to the development of oropharyngeal candidiasis include xerostomia, broad-spectrum antibiotics, inhaled corticosteroids, and dentures (1). Age alone does not appear to be an independent risk factor for the development of oropharyngeal candidiasis. In older adults, the presence of systemic diseases and a multiplicity of medications frequently lead to xerostomia, which then enhances Candida colonization of the mucosa. Denture stomatitis due to Candida species is very common (see also chapter “Orofacial and Odontogenic Infections in the Elderly”). Patients who do not remove their dentures at night, and those who have poor oral hygiene, are more likely to have this manifestation of candidiasis.
In contrast to other Candida infections, Candida vulvovaginitis is unusual in older women (2). Without estrogen stimulation, the vaginal epithelium becomes thin and atrophic, glycogen production decreases, vaginal pH rises, and colonization by Candida decreases.
Candiduria is seen more often in older adults than in younger persons (3). The risk factors for candiduria include diabetes mellitus, obstructive uropathy, neurogenic bladder, indwelling urinary catheters, prior surgical procedures, intensive care stay, and antibiotic therapy (3). In older adults, many of these factors occur with increasing frequency.
Candida species are the fourth most common cause of nosocomial bloodstream infections. Several studies have found that those over 60 constitute the majority of patients with candidemia and also have the highest mortality rates (4). Elderly patients at the highest risk are those in an intensive care unit who are on broad-spectrum antibiotics, have an indwelling central venous catheter in place, are receiving parental nutrition, require renal replacement therapy, and have had a surgical procedure. C. albicans is the species most commonly found to cause candidemia, but other species, especially C. glabrata, are an increasing problem. Several studies have found that C. glabrata occurs disproportionately in older adults (5, 6) but the reasons for this have not been elucidated.
Cryptococcosis
In older persons, cryptococcosis is increased modestly. Approximately 25% of cases of cryptococcal meningitis not associated with human immunodeficiency virus (HIV) infection are in persons over age 60. The underlying conditions most often noted are hematologic malignancy, organ transplantation, corticosteroids, and cirrhosis. However, 25–30% of patients have no overt underlying immunosuppressive condition, and many of these patients are older adults. In older patients who have cryptococcal meningitis, mortality appears to be increased (7).
Mold Infections
Although many different types of molds have been described as occasional pathogens in immnuosuppressed patients, only aspergillosis and zygomycosis will be discussed. There are hundreds of Aspergillus species that are ubiquitous in the environment, but very few cause infection in humans. The most common pathogenic species are A. fumigatus and A. flavus. Infection ensues when conidia (spores) are inhaled into the respiratory tract of a susceptible host. Nosocomial Aspergillus infections are often traced to hospital construction. Depending almost entirely on the immune response of the host, a wide spectrum of infections can occur. Although less common than candidiasis, Aspergillus infections are life threatening in immunosuppressed patients. Several forms of aspergillosis, specifically chronic necrotizing pulmonary aspergillosis and sino-orbital aspergillosis, appear to occur more often in older adults (8, 9).
Zygomycosis, also known as mucormycosis, is an uncommon, but often, lethal infection; there is no age predilection. The major genera identified are Rhizopus and Mucor. The risk factors for zygomycosis include diabetes, hematologic malignancies with neutropenia, organ transplantation, and deferoxamine chelation therapy for iron overload (10). Because of the increased risk of myelodysplastic syndrome and subsequent need for repeated transfusions with increasing age, the latter circumstance is likely the only one in which older adults may be over-represented.
Clinical Manifestations
Candidiasis
White plaques on the buccal, palatal, or oropharyngeal mucosa that can easily be removed are typical of oropharyngeal candidiasis. Angular cheilitis and diffuse erythema, which is often present beneath upper dentures, are also manifestations of oropharyngeal candidiasis. Because typical plaques are absent, the diagnosis may be overlooked (1).
Candida vaginitis usually presents with pruritus and vaginal discharge that may range from “cottage cheese-like” to thin and watery (2). When cheesy material is absent, Candida vulvovaginitis must be differentiated from atrophic vaginitis.
Most patients with candiduria are asymptomatic and are merely colonized (3). Fewer than 5% of patients have dysuria and frequency, and even fewer have symptoms of upper tract infection. Rarely, obstructive symptoms and renal failure have been noted secondary to fungus balls composed of masses of fungi.
The manifestations of systemic infection with Candida species are quite varied (see Table 1). After entering the bloodstream, either from an intravenous catheter or the gastrointestinal (GI tract), the organism disseminates widely, causing microabscesses in many organs, including eye, kidney, liver, spleen, myocardium, and brain. Patients with candidemia have symptoms that are indistinguishable from those associated with bacteremia (6, 11). Some are quite ill with a sepsis picture, but others may have only unexplained fever. Skin lesions occurring during the course of candidemia appear as tiny pustular lesions on an erythematous base and provide a clue to the presence of candidemia (see Fig. 1).
Table 1.
Systemic opportunistic fungal infections in older adults
| Fungal infection | Risk factors | Usual clinical manifestations |
|---|---|---|
| Candidiasis | Neutropenia, hematologic malignancy, corticosteroids, transplant, ICU, antibiotics, IV catheters, parenteral nutrition, GI surgical procedure | Fever, pustular skin rash, hypotension; may have specific organ involvement |
| Cryptococcosis | Hematologic malignancy, transplant, cirrhosis, corticosteroids; ∼25% have no risk factor identified | Headache, fever, cranial nerve palsy, confusion; cough, dyspnea, sputum production for pulmonary infection |
| Aspergillosis | Neutropenia, hematologic malignancy, corticosteroids, transplant | Fever, pleuritic chest pain, cough; eye/sinus pain, proptosis. ophthalmoplegia, visual loss |
| Zygomycosis | Diabetes mellitus, hematologic malignancy, neutropenia, transplant, deferoxamine chelation therapy | Eye/sinus pain, necrotic eschar (palate, nares) cavernous sinus thrombosis; fever, pleuritic chest pain, cough |
ICU intensive care unit, IV intravenous, GI gastrointestinal
Fig. 1.

Typical skin lesions seen in patients with disseminated candidiasis
Cryptococcosis
Although the major manifestation of infection with C. neoformans is meningitis, the pathogenesis of infection begins with inhalation of the organism from the environment and subsequent pulmonary infection. The chest radiograph may show nodular infiltrates, a pleural-based mass, cavitary lesions, or diffuse infiltrates (12) (see Fig. 2). However, most often, the pulmonary infection is asymptomatic, and clinical manifestations of cryptococcosis occur only after the organism has spread to the central nervous system. Elderly patients may not have the usual symptoms of fever, headache, and cranial nerve palsies but instead can present solely with confusion without fever, nuchal rigidity, or focal neurologic findings (see Table 1).
Fig. 2.

Right lower lobe infiltrate due to cryptococcosis in a 67-year-old man who was on corticosteroids and who had confusion, headache, and fever. Sputum and cerebrospinal fluid yielded C. neoformans
Mold Infections
Aspergillus invasion of the upper respiratory tract leads to sinusitis and may proceed to invasion of the orbit. In patients with neutropenia, the acute onset of pain, erythema, fever, serosanguinous drainage, and proptosis is seen. In older patients who are not immunosuppressed, but who may have been on corticosteroids or are diabetic, Aspergillus causes a subacute sino-orbital infection with pain, proptosis, ophthalmoplegia, and loss of vision due to invasion of the apex of the orbit (8). Most patients are thought to have a retro-orbital tumor until biopsy reveals hyphae and inflammatory debris.
Acute pulmonary aspergillosis in immunosuppressed patients presents with fever, pleuritic chest pain, and dyspnea and has a rapidly progressive downhill course if not treated promptly (see Table 1). Chronic necrotizing pulmonary aspergillosis, occurring mostly in middle-aged to elderly men with chronic obstructive pulmonary disease, is a subacute illness. Low-dose corticosteroids and broad-spectrum antibiotics are predisposing factors for this form of aspergillosis. Patients have fever, cough, purulent sputum, weight loss, and pleuritic chest pain. Multilobar involvement is common, cavity formation is the rule, and extension to the pleura is frequent (see Fig. 3). Progressive pneumonia is the rule unless the diagnosis is made and appropriate therapy given.
Fig. 3.

Chronic necrotizing pulmonary aspergillosis in a middle-aged man with no known risk factors other than chronic obstructive pulmonary disease
Patients with zygomycosis are usually quite ill. Diabetics most often have the rhinocerebral form (10) (see also chapter “Infections in Diabetics”). A black eschar can be seen on the palate or around the orbit, and serosanguinous material is found on endoscopic examination of the sinuses (see Table 1). Orbital invasion progresses rapidly to cavernous sinus thrombosis and can culminate with cerebral infarction. In patients with pulmonary zygomycosis, the chest radiograph shows wedge-shaped or nodular infiltrates, which cavitate as necrosis progresses (see Fig. 4). Localized cutaneous forms occur and generally carry a better prognosis than rhinocerebral or pulmonary zygomycosis.
Fig. 4.

Right upper lobe zygomycosis in an elderly man who had myelodysplasia leading to dependence on transfusions and treatment with deferoxamine chelation
Diagnostic Tests
Because of the life-threatening nature of these infections, the diagnosis of a systemic opportunistic fungal infection must be made promptly. Growth in culture of opportunistic fungi is rarely difficult; cultures are usually positive within a few days. The major complicating issue is that organisms as ubiquitous in the environment as Aspergillus or Rhizopus can easily contaminate specimens. Therefore, growth in culture must be carefully assessed as to whether it truly reflects infection (13). Confounding the diagnosis of candidiasis is the fact that Candida are normal flora in the GI and genitourinary (GU) tracts and on skin, and thus, growth from samples taken from non-sterile body sites often means only colonization. However, growth of Candida from blood or normally sterile body fluids is obviously significant. In contrast to the other opportunists, C. neoformans is neither common in the environment nor part of the normal flora, and thus growth of this organism in culture always reflects infection.
Especially in immunocompromised patients who are acutely ill, histopathologic demonstration of fungi in tissues is a very important diagnostic tool. Unfortunately, the invasive procedures necessary to obtain lung or other tissue are often precluded in extremely ill immunosuppressed patients. For cryptococcosis, examination of cerebrospinal fluid (CSF) with an India ink preparation that highlights the large capsule of C. neoformans is a quick and reliable test.
Antibody tests have not proved to be useful for the diagnosis of opportunistic fungal infections. Detection of fungal cell wall antigens is preferred. The latex agglutination test for cryptococcal polysaccharide antigen has excellent sensitivity and specificity and is routinely performed in both serum and CSF (14). The galactomannan enzyme immunoassay detects an Aspergillus-specific cell wall antigen and has proven most useful in the highest risk patients, such as stem cell transplant recipients (15). The galactomannan assay has not been studied in patients with chronic necrotizing pulmonary aspergillosis, and it is likely that it will not be useful for sino-orbital aspergillosis. Other non-culture-based systems for invasive mold infections have not proved useful thus far.
Treatment
Candidiasis
Treatment of oropharyngeal candidiasis with a topical agent, such as clotrimazole troches, is appropriate first-line therapy. Fluconazole, 100 mg daily, should be reserved for patients with severe disease or denture stomatitis that is often difficult to treat (1).
Vaginal candidiasis is easily treated with topical antifungal agents such as miconazole or clotrimazole creams. However, fluconazole, 150 mg orally as a single dose, is an attractive alternative, especially for those patients who have underlying illnesses that make topical therapy difficult to use (2, 16).
Candiduria often disappears with removal of the predisposing factors, especially indwelling urethral catheters and antimicrobial agents (3). When candiduria is persistent and shown to be causing symptoms, the most appropriate treatment is fluconazole, 200 mg daily for 14 days (16, 17). The use of amphotericin B bladder irrigation is discouraged.
Amphotericin B, previously the mainstay of treatment for serious Candida infections, is now rarely used this indication. Currently, candidemia is treated most often with fluconazole, 400 mg/day after an initial 800 mg loading dose, or with an echinocandin (16). Three echinocandin agents are available, caspofungin, micafungin, and anidulafungin, and all three appear to have equivalent efficacy for candidemia (16). The echinocandins are extremely safe, and they have activity against those species of Candida, especially C. glabrata, that are often resistant to fluconazole (18). All intravascular lines should be removed or replaced, and treatment should be continued for 2 weeks beyond the time that blood cultures no longer yield Candida unless a focal infection is discovered that will require longer therapy.
Cryptococcosis
The most appropriate therapy for cryptococcal meningitis in older adults has not been specifically studied, but trials in acquired immunodeficiency syndrome (AIDS) patients with cryptococcal meningitis have shown that the best results are obtained when induction therapy is carried out with the combination of amphotericin B (0.7 mg/kg/day) and flucytosine (100 mg/kg/day) for at least 2 weeks, followed by consolidation therapy with fluconazole, 400 mg/day for a minimum of 10 weeks (19). Initial therapy with fluconazole alone is not adequate for patients with meningitis but has been effective for patients with isolated pulmonary cryptococcal infection (20). In spite of appropriate therapy for meningitis, symptoms of dementia may not improve in older patients.
Mold Infections
The antifungal agent of choice for treating all forms of aspergillosis is voriconazole, an extended-spectrum azole that has been shown to be superior to amphotericin B for invasive aspergillosis (21). This agent, which can be given either intravenously or orally, has many drug–drug interactions and is best given with the help of a clinical pharmacist or infectious diseases consultant. The echinocandins also have activity against Aspergillus species, but are considered second-line therapy, available if the patient cannot tolerate voriconazole (18). Finally, amphotericin B, previously the agent of choice, can also be used for invasive aspergillosis, but toxicity is much greater than that of the azoles or the echinocandins, and it cannot be recommended for older adults.
The treatment of zygomycosis involves correction of the underlying immune defect, aggressive debridement of all necrotic tissue, and antifungal treatment with a lipid formulation of amphotericin B, 5–10 mg/kg daily (22). A new azole agent, posaconazole, has been used as salvage therapy in patients who initially had been treated with amphotericin B and offers a new option for step-down oral therapy for this devastating infection (23).
Endemic Mycoses
Epidemiology and Clinical Relevance
As the population of the United States ages, and as older adults remain in better health for a longer period of time, they travel more extensively, visit more exotic places, and experience different outdoor activities such as those arranged on eco-tours that increase their exposure to endemic mycoses. These fungi are found in soil or vegetation; each has its own ecological niche from which it is aerosolized and subsequently inhaled (see Table 2). Older persons may become infected while traveling in an area endemic for a certain fungus, but symptoms often appear only after they return home. Older adults who spend the winter months in the desert southwest may develop symptoms of coccidioidomycosis only after returning home. A patient who consults a physician in Minnesota with symptoms related to coccidioidomycosis that was acquired in southern California may be the first patient with this infection ever seen by the Minnesota physician, and the correct diagnosis may not be made.
Table 2.
Endemic mycoses in older adults
| Fungal infection | Geographic distribution | Common clinical syndromes |
|---|---|---|
| Histoplasmosis | Ohio and Mississippi river valleys | Acute pneumonia, chronic cavitary pulmonary infection, chronic progressive disseminated infection |
| Blastomycosis | Southeastern, south central, and north central states; Ontario and Manitoba | Pneumonia, mass-like or cavitary pulmonary lesions, verrucous skin lesions, prostatitis |
| Coccidioidomycosis | Arizona, southern California, New Mexico, western Texas | Acute pneumonia, cavitary pulmonary lesions, ulcerated skin lesions, lytic bone lesions, meningitis |
Several endemic mycoses have the propensity to reactivate as immunity wanes with increasing age or because of immunosuppressive medications or diseases. This reactivation event might occur in a person who retired to an area of the country outside of the endemic area for a particular fungal infection. Thus, although physicians in the southwestern United States are very familiar with coccidioidomycosis, histoplasmosis or blastomycosis might be overlooked in a patient from Kentucky who has retired to Arizona and only then develops signs of an endemic mycosis acquired years before in Kentucky.
The increasing use of the anti-tumor necrosis factor agents, etanercept (Enbrel), infliximab (Remicade), and adalimumab (Humira), for rheumatoid arthritis, inflammatory bowel disease, and several dermatological conditions in older adults has increased the risk for development of histoplasmosis and coccidioidomycosis (24, 25). These mycoses require cell-mediated immunity to eradicate the organism, and severe disseminated infections have occurred in patients who have either become newly infected or have experienced reactivation of a prior focus of infection.
HIV infection is an increasingly reported problem in the older population and constitutes another risk factor for development of either newly acquired or reactivation infection with H. capsulatum or Coccidioides species (see also chapter “Human Immunodeficiency Virus/Acquired Immunodeficiency Syndrome”). Not only is the risk higher for development of these infections, but the severity of the infection is also increased.
Histoplasmosis
H. capsulatum is endemic in the Mississippi and Ohio River valleys and throughout much of Central America. It is estimated that hundreds of thousands of people are infected each year, but usually the illness is self-limited with minimal flu-like symptoms. However, severe life-threatening pneumonia and disseminated infection also occur. Histoplasmosis is the only endemic mycosis in which certain manifestations are age-specific; chronic cavitary pulmonary infection and chronic progressive disseminated histoplasmosis occur predominantly in older individuals (26).
Blastomycosis
B. dermatitidis, the causative agent of blastomycosis, is found most frequently in the southeastern, south central, north central United States, and the Canadian provinces of Ontario and Manitoba. Outbreaks have occurred in groups involved in outdoor activities, but most cases are sporadic and a specific point source of infection cannot be found. For blastomycosis, there is no evidence that older individuals are at more risk for developing infection than younger persons, but the mortality does appear to be greater in those age 65 years and older (27).
Coccidioidomycosis
As the exodus of retirees to the southwestern United States continues, first-time exposure to Coccidioides species has increased in older adults. This organism proliferates in the deserts of Arizona and California that are typified by flora such as the saguaro cactus. There are now known to be two species of Coccidioides, C. immitis in southern California, and C. posadasii in the other areas of the southwestern United States, Central America, and South America. The conidia are widely dispersed during windstorms and are highly contagious.
Several recent epidemics of coccidioidomycosis have occurred in Arizona and southern California, and thousands more individuals have been infected (28). Two important trends have been noted recently. There has been a shift in the age of patients with symptomatic coccidioidomycosis so that the annual incidence rate for coccidioidomycosis is now highest in those age 65 years and older (29). Also, older individuals and those with diabetes are more likely to develop severe pulmonary coccidioidomycosis (30). For reasons that have never been clarified, dark-skinned races, especially African American and Filipino, are more likely to experience disseminated infection than white-skinned races.
Clinical Manifestations
The pathogenesis of the endemic mycoses is similar in that infection starts almost always with inhalation of conidia from the mold phase of the organism in the environment. Thus, pulmonary manifestations are prominent in many patients. These fungi have the propensity to silently disseminate through the bloodstream to many different organs and then cause a variety of different manifestations either at the time of the initial infection or months to years later.
Histoplasmosis
Two forms of histoplasmosis are seen most often in older adults (see Table 2). Chronic cavitary pulmonary histoplasmosis affects mostly middle-aged and elderly men who have emphysema (31). Patients with this form of histoplasmosis have constitutional symptoms of fatigue, weakness, fever, night sweats, and weight loss. Pulmonary symptoms include dyspnea, cough, sputum production, and hemoptysis. The disease is subacute to chronic in its course. Upper lobe cavitary disease with extensive lower lobe fibrosis is the usual chest radiographic finding (see Fig. 5). Progressive pulmonary insufficiency and death occur unless treatment is given.
Fig. 5.

Chronic cavitary pulmonary histoplasmosis in an elderly man with severe emphysema
Another form of histoplasmosis that occurs mostly in middle-aged to elderly men is progressive disseminated disease (31). In this form of histoplasmosis, the host is unable to eradicate the organism from parasitized macrophages, and the disease is fatal if untreated. The clinical manifestations of progressive disseminated histoplasmosis include fever, fatigue, anorexia, and weight loss. Dyspnea and cough are often present, lesions on the buccal mucosa, tongue, palate, or oropharynx are common, and hepatosplenomegaly is usual. Because of adrenal infiltration and destruction, the patient may also present with symptoms of Addison’s disease. Pancytopenia and increased alkaline phosphatase are frequent, and diffuse pulmonary infiltrates are often present on chest radiograph.
Blastomycosis
In older patients, pulmonary blastomycosis can mimic tuberculosis with dyspnea, cough, sputum production, fever, weight loss, and fatigue (see Table 2). The pulmonary lesions can be mass-like and mistaken for lung cancer, cavitary, or nodular in appearance (32) (see Fig. 6). Rarely, patients develop acute overwhelming pneumonia and acute respiratory distress syndrome (ARDS) (33).
Fig. 6.

Pulmonary blastomycosis initially thought to be lung cancer. Bronchoscopy with biopsy showed granulomas and thick-walled budding yeasts typical of B. dermatitidis
Although blastomycosis begins in the lungs, subsequent dissemination to other organs is common. Frequently, the only clinical symptom is the development of one or multiple skin lesions that are usually slowly enlarging, verrucous, and have discrete punctate areas of purulence (see Fig. 7). Osteoarticular structures are frequently involved, as is the GU tract, in which the most frequently targeted organ is the prostate.
Fig. 7.

Typical indolent verrucous skin lesions of blastomycosis on the hands and legs of an elderly gentleman (photo courtesy of Dr. Gunner Deery)
Coccidioidomycosis
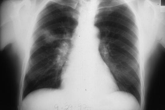
Coccidioidomycosis presents in many different ways (see Table 2). Patients experiencing primary disease usually have a self-limited flu-like illness consisting of fever, cough, headache, and fatigue. Patchy pneumonitis is seen on chest radiograph (see Fig. 8). Complications include the development of persistent thin-walled cavities and less commonly, chronic pulmonary disease (34). The latter occurs predominantly in patients with underlying emphysema and/or diabetes mellitus (30). Diffuse pulmonary infiltrates have been noted primarily in patients who have disseminated infection and are more common in those who are immunsuppressed (35).
Fig. 8.

Right upper lobe pneumonia due to Coccidioides species in a 52 year-old African American marine sent to southern California
The organs most frequently involved with disseminated coccidioidomycosis are skin, bone, and meninges. Meningitis, the most feared complication, presents with chronic headache months after the initial infection and can be especially difficult to diagnose in an elderly patient returning from the southwest to other areas of the country. The course of coccidioidal meningitis is protracted, and a successful outcome is not assured, especially in older adults.
Diagnostic Methods
The approach to diagnosis is similar for all of the endemic mycoses. Cultures obtained from the infected tissue; histopathologic or cytologic examination of tissue, body fluids, or purulent material; antibody tests; and antigen detection are variably useful for each infection.
The most definitive method of diagnosis is growth of the organism, but for histoplasmosis and blastomycosis growth may take 4–6 weeks. Coccidioides species usually grow on fungal or regular media within several days. Coccidioides is highly contagious and is classified as a bioterrorism agent. In the laboratory setting, it must be handled under a hood using biosafety level 3 precautions. Clinicians must inform the laboratory that coccidioidomycosis is a possibility to avoid transmission to technicians.
Histopathologic or cytologic demonstration of the organism in tissues or body fluids is extremely helpful for diagnosis, especially for those patients who are acutely ill. The typical thick-walled yeasts of B. dermatitidis, showing single broad-based buds are readily identified in cytological or calcofluor white preparations of sputum and tissue biopsies. The tiny intracellular yeast forms of H. capsulatum are best visualized in tissues using methenamine silver stains. Coccidioides species are quite distinctive in tissues; the large spherules (80–100 μm) are readily identified in tissue and also in purulent drainage.
Serology plays an important role in the diagnosis of histoplasmosis and coccidioidomycosis (31, 36). A positive test prompts the clinician to consider more invasive procedures such as bronchoscopy, bone marrow aspiration, or liver biopsy in order to establish a diagnosis. There are occasions when the only evidence for infection is the presence of antibodies; this is especially true of meningitis, in which both fungi are exceedingly difficult to grow but CSF serology is positive. For blastomycosis, specific and sensitive antibody assays are not available.
An enzyme immunoassay that detects a cell wall antigen of H. capsulatum has proved to be extremely useful for the diagnosis of disseminated histoplasmosis (37). The sensitivity is approximately 90% in patients who have a large burden of organisms; this includes patients who have AIDS and those who are immunosuppressed. It is not specific, however, showing cross-reactivity with blastomycosis and coccidioidomycosis. A similar assay has been developed for B. dermatitidis. It is too early to know how useful this development will be, but it is known that false positives occur in patients with histoplasmosis (38).
Treatment
Treatment of the endemic mycoses is similar in regard to the antifungal agents that are used. For severe infections with any of the endemic mycoses and for those who have central nervous system involvement, amphotericin B is the agent of choice. Increasingly lipid formulations of amphotericin B are used, especially in older adults who often have reduced renal function. The lipid formulations are less toxic than standard amphotericin B, but are not free of toxicity, usually require hospitalization to administer, and can be associated with severe infusion reactions. Most patients will require amphotericin B therapy until they have shown clinical improvement and then step-down therapy to an azole is recommended (39, 40).
The azole antifungal agents have revolutionized the treatment of the endemic mycoses; they are much less toxic than amphotericin B, and oral administration is a benefit when treating chronic infections. Ketoconazole was the first oral azole agent, but because of its toxicity and lesser efficacy, it has been supplanted by itraconazole. Itraconazole is the drug of choice for histoplasmosis and blastomycosis of mild to moderate severity and for step-down therapy following amphotericin B. For coccidioidomycosis, either fluconazole or itraconazole appear to be equally efficacious (41). The usual dosage of itraconazole is 200 mg twice daily (after a loading dose of 200 mg 3 times daily for 3 days), and the dosage for fluconazole is 400 mg daily (after a single loading dose of 800 mg). Therapy generally is given for 6–12 months and sometimes longer. For those patients who have coccidioidal meningitis, fluconazole is the preferred agent because of its superior CSF penetration. The dosage is 800 mg daily, and therapy must be given for life as the organism is rarely eradicated from the central nervous system (34).
Absorption of itraconazole capsules is dependent on gastric acidity and the presence of food in the stomach. Because older adults are more likely to be achlorhydric, absorption may be decreased. Histamine (H2) receptor antagonists, proton pump inhibitors, and antacids should not be used when itraconazole capsules are prescribed. However, itraconazole oral suspension does not require food or acid for absorption and is preferred for this reason. Fluconazole requires neither gastric acidity nor food for absorption.
Drug interactions, many of which have serious implications for older adults, are frequently encountered with the azole antifungal drugs (42). Interactions with warfarin, phenytoin, and carbamazepine occur in varying degrees with all of the azole drugs in current use. Itraconazole can increase serum digoxin levels with subsequent toxicity, and fluconazole can increase the effect of oral hypoglycemics. If possible, the azoles should be avoided in patients with QT prolongation on electrocardiogram and those on other medications that prolong the QT interval. In a small percentage of mostly elderly patients, itraconazole has caused the triad of edema, hypokalemia, and hypertension. All of the azole agents have been noted to cause hepatitis, and liver enzymes tests should be followed in patients taking azole agents.
In spite of these issues, the azoles are exceedingly useful in older adults with endemic mycoses. Most therapy is now given in the outpatient setting, and results for most patients with infection with an endemic mycosis are excellent.
Contributor Information
Dean Norman, Email: dean.norman@med.va.gov.
Thomas Yoshikawa, Phone: +1310268-4658, Email: thomas.yoshikawa@va.gov.
Carol A. Kauffman, Email: ckauff@umich.edu
References
- 1.Shay K, Truhlar MR, Renner RP. Oropharyngeal candidosis in the older patient. Journal of the American Geriatrics Society. 1997;45:863–870. doi: 10.1111/j.1532-5415.1997.tb01517.x. [DOI] [PubMed] [Google Scholar]
- 2.Sobel JD. Treatment of vaginal Candida infections. Expert Opinion on Pharmacotherapy. 2002;3:1059–1065. doi: 10.1517/14656566.3.8.1059. [DOI] [PubMed] [Google Scholar]
- 3.Kauffman CA, Vazquez JA, Sobel JD, et al. A prospective multicenter surveillance study of funguria in hospitalized patients. Clinical Infectious Diseases. 2000;30:14–18. doi: 10.1086/313583. [DOI] [PubMed] [Google Scholar]
- 4.Wisplinghoff H, Bischoff T, Tallent SM, et al. Nosocomial bloodstream infections in US hospitals: Analysis of 24,179 cases from a prospective nationwide surveillance study. Clinical Infectious Diseases. 2004;9:309–317. doi: 10.1086/421946. [DOI] [PubMed] [Google Scholar]
- 5.Diekema DJ, Messer SA, Brueggemann AB, et al. Epidemiology of candidemia: 3-year results from the emerging infections and the epidemiology of Iowa organisms study. Journal of Clinical Microbiology. 2002;40:1298–1302. doi: 10.1128/JCM.40.4.1298-1302.2002. [DOI] [PMC free article] [PubMed] [Google Scholar]
- 6.Malani A, Hmoud J, Chiu L, et al. Candida glabrata fungemia: experience in a tertiary care center. Clinical Infectious Diseases. 2005;41:975–981. doi: 10.1086/432939. [DOI] [PubMed] [Google Scholar]
- 7.Pappas PG, Perfect JR, Cloud GA, et al. Cryptococcosis in human immunodeficiency virus-negative patients in the era of effective azole therapy. Clinical Infectious Diseases. 2001;33:690–699. doi: 10.1086/322597. [DOI] [PubMed] [Google Scholar]
- 8.Malani PN, Kauffman CA. Invasive and allergic fungal sinusitis. Current Infectious Disease Report. 2002;4:225–232. doi: 10.1007/s11908-002-0083-2. [DOI] [PubMed] [Google Scholar]
- 9.Denning DW, Riniotis K, Dobrashian R, Sambatakou H. Chronic cavitary and fibrosing pulmonary and pleural aspergillosis: case series, proposed nomenclature change, and review. Clinical Infectious Diseases. 2003;37(Supp. 3):S265–S280. doi: 10.1086/376526. [DOI] [PubMed] [Google Scholar]
- 10.Roden MM, Zaoutis TE, Buchanan WL, et al. Epidemiology and outcome of zygomycosis: a review of 929 reported cases. Clinical Infectious Diseases. 2005;41:634–653. doi: 10.1086/432579. [DOI] [PubMed] [Google Scholar]
- 11.Pappas PG, Rex JH, Lee J, et al. NIAID Mycoses Study Group. A prospective observational study of candidemia: epidemiology, therapy, and influences on mortality in hospitalized adult and pediatric patients. Clinical Infectious Diseases. 2003;37:634–643. doi: 10.1086/376906. [DOI] [PubMed] [Google Scholar]
- 12.Nadrous HF, Antonios VS, Terrell CL, Ryu JH. Pulmonary cryptococcosis in nonimmunocompromised patients. Chest. 2003;124:2143–2147. doi: 10.1378/chest.124.6.2143. [DOI] [PubMed] [Google Scholar]
- 13.Perfect JR, Cox GM, Lee JY, et al. The impact of culture isolation of Aspergilllus species: a hospital-based survey of aspergillosis. Clinical Infectious Diseases. 2001;33:1824–1833. doi: 10.1086/323900. [DOI] [PubMed] [Google Scholar]
- 14.Lu H, Zhou Y, Yin Y, Pan X, Wang X. Cryptococcal antigen test revisited: significance for cryptococcal meningitis therapy monitoring in a tertiary Chinese hospital. Journal of Clinical Microbiology. 2005;43:2989–2990. doi: 10.1128/JCM.43.6.2989-2990.2005. [DOI] [PMC free article] [PubMed] [Google Scholar]
- 15.Mennink-Kersten M.A, Donnelly JP, Verweij PE. Detection of circulating galactomannan for the diagnosis and management of invasive aspergillosis. Lancet Infectious Diseases. 2004;4:349–357. doi: 10.1016/S1473-3099(04)01045-X. [DOI] [PubMed] [Google Scholar]
- 16.Pappas PG, Kauffman CA, Andes D, et al. Clinical practice guidelines for the management of candidiasis: 2009 update by the Infectious Diseases Society of America. Clinical Infectious Diseases. 2009;48:503–535. doi: 10.1086/596757. [DOI] [PMC free article] [PubMed] [Google Scholar]
- 17.Sobel JD, Kauffman CA, McKinsey D, Zervox M, Vazquez JA, et al. Candiduria: A randomized, double-blind study of treatment with fluconazole and placebo. Clinical Infectious Diseases. 2000;30:19–24. doi: 10.1086/313580. [DOI] [PubMed] [Google Scholar]
- 18.Denning DW. Echinocandin antifungal drugs. Lancet. 2003;362:1142–1151. doi: 10.1016/S0140-6736(03)14472-8. [DOI] [PubMed] [Google Scholar]
- 19.Van der Horst CM, Saag MS, Cloud GA, et al. Treatment of cryptococcal meningitis associated with the acquired immunodeficiency syndrome. New England Journal of Medicine. 1997;337:15–21. doi: 10.1056/NEJM199707033370103. [DOI] [PubMed] [Google Scholar]
- 20.Nunez M, Peacock JE, Jr, Chin R., Jr Pulmonary cryptococcosis in the immunocompetent host. Therapy with oral fluconazole: a report of four cases and a review of the literature. Chest. 2000;228:527–534. doi: 10.1378/chest.118.2.527. [DOI] [PubMed] [Google Scholar]
- 21.Herbrecht R, Denning DW, Patterson TF, et al. Voriconazole versus amphotericin B for primary therapy of invasive aspergillosis. New England Journal of Medicine. 2002;347:408–415. doi: 10.1056/NEJMoa020191. [DOI] [PubMed] [Google Scholar]
- 22.Kauffman CA, Malani AN. Zygomycosis: an emerging fungal pathogen with new options for management. Current Infectious Disease Reports. 2007;9:435–440. doi: 10.1007/s11908-007-0066-4. [DOI] [PubMed] [Google Scholar]
- 23.van Burik JA, Hare RS, Solomon HF, et al. Posaconazole is effective as salvage therapy in zygomycosis: a retrospective summary of 91 cases. Clinical Infectious Diseases. 2006;42:e61–e65. doi: 10.1086/500212. [DOI] [PubMed] [Google Scholar]
- 24.Wood KL, Hage CA, Knox KS, et al. Histoplasmosis after treatment with anti-TNF-(alpha) therapy. American Journal of Respiratory Critical Care Medicine. 2003;167:1279–1282. doi: 10.1164/rccm.200206-563OC. [DOI] [PubMed] [Google Scholar]
- 25.Bergstrom L, Yocum DE, Ampel NM, et al. Increased risk of coccidioidomycosis in patients treated with tumor necrosis factor alpha antagonists. Arthritis and Rheumatism. 2004;50:1959–1966. doi: 10.1002/art.20454. [DOI] [PubMed] [Google Scholar]
- 26.Kauffman CA. Fungal infections in older adults. Clinical Infectious Diseases. 2001;33:550–555. doi: 10.1086/322685. [DOI] [PubMed] [Google Scholar]
- 27.Dworkin MS, Duckro AN, Proia L, et al. The epidemiology of blastomycosis in Illinois and factors associated with death. Clinical Infectious Diseases. 2005;41:e107–e111. doi: 10.1086/498152. [DOI] [PubMed] [Google Scholar]
- 28.Park BJ, Sigel K, Vaz V, Komatsu K, et al. An epidemic of coccidioidomycosis in Arizona associated with climatic changes, 1998–2001. Journal of Infectious Diseases. 2005;191:1981–1987. doi: 10.1086/430092. [DOI] [PubMed] [Google Scholar]
- 29.Leake JA, Mosley DG, Engl B, et al. Risk factors for acute symptomatic coccidioidomycosis among elderly persons in Arizona, 1996–1997. Journal of Infectious Diseases. 2000;181:1435–1440. doi: 10.1086/315400. [DOI] [PubMed] [Google Scholar]
- 30.Rosenstein NE, Emery KW, Werner SB, et al. Risk factors for severe pulmonary and disseminated coccidioidomycosis: Kern County, California, 1995–1996. Clinical Infectious Diseases. 2001;32:708–715. doi: 10.1086/319203. [DOI] [PubMed] [Google Scholar]
- 31.Kauffman CA. Histoplasmosis: a clinical and laboratory update. Clinical Microbiology Reviews. 2007;20:115–132. doi: 10.1128/CMR.00027-06. [DOI] [PMC free article] [PubMed] [Google Scholar]
- 32.Sheflin JR, Campbell JA, Thompson GP. Pulmonary blastomycosis: Findings on chest radiographs in 63 patients. American Journal of Roentgenology. 1990;154:1177–1180. doi: 10.2214/ajr.154.6.2110723. [DOI] [PubMed] [Google Scholar]
- 33.Lemos LB, Baliga M, Guo M. Acute respiratory distress syndrome and blastomycosis: presentation of nine cases and review of the literature. Annals of Diagnostic Pathology. 2001;5:1–9. doi: 10.1053/adpa.2001.21473. [DOI] [PubMed] [Google Scholar]
- 34.Galgiani JN, Ampel NM, Blair JE, et al. Coccidioidomycosis. Clinical Infectious Diseases. 2005;41:1217–1223. doi: 10.1086/496991. [DOI] [PubMed] [Google Scholar]
- 35.Ampel NM. Coccidioidomycosis in persons infected with HIV type 1. Clinical Infectious Diseases. 2005;41:1174–1178. doi: 10.1086/444502. [DOI] [PubMed] [Google Scholar]
- 36.Pappagianis D. Current status of serologic studies in coccidioidomycosis. Current Fungal Infection Reports. 2007;1:129–134. [Google Scholar]
- 37.Wheat LJ. Improvements in diagnosis of histoplasmosis. Expert Opinion on Biological Therapy. 2006;6:1207–1221. doi: 10.1517/14712598.6.11.1207. [DOI] [PubMed] [Google Scholar]
- 38.Durkin M, Witt J, Lemonte A, Wheat B, Connolly P. Antigen assay with the potential to aid in diagnosis of blastomycosis. Journal of Clinical Microbiology. 2004;42:4873–4875. doi: 10.1128/JCM.42.10.4873-4875.2004. [DOI] [PMC free article] [PubMed] [Google Scholar]
- 39.Wheat LJ, Freifeld AG, Kleiman MB, et al. Clinical practice guidelines for the management of patients with histoplasmosis: 2007 update by the Infectious Diseases Society of America. Clinical Infectious Diseases. 2007;45:807–825. doi: 10.1086/521259. [DOI] [PubMed] [Google Scholar]
- 40.Chapman SW, Dismukes WE, Proia LA, et al. Clinical practice guidelines for the management of blastomycosis: 2007 update by the Infectious Diseases Society of America. Clinical Infectious Diseases. 2008;46:1801–1812. doi: 10.1086/588300. [DOI] [PubMed] [Google Scholar]
- 41.Galgiani JN, Catanzaro A, Cloud GA, et al. Comparison of oral fluconazole and itraconazole for progressive, nonmeningeal coccidioidomycosis – a randomized, double-blind trial. Annals of Internal Medicine. 2000;133:676–686. doi: 10.7326/0003-4819-133-9-200011070-00009. [DOI] [PubMed] [Google Scholar]
- Kauffman CA. Antifungal agents. In: Yoshikawa T, Rajagopalan S, editors. Antibiotic Therapy for Geriatric Patients. New York: Marcel Dekker; 2006. [Google Scholar]
Suggested Reading
- Chapman SW, Dismukes WE, Proia LA, et al. Clinical practice guidelines for the management of blastomycosis: 2007 update by the Infectious Diseases Society of America. Clinical Infectious Diseases. 2008;46:1801–1812. doi: 10.1086/588300. [DOI] [PubMed] [Google Scholar]
- Galgiani JN, Ampel NM, Blair JE, et al. Coccidioidomycosis. Clinical Infectious Diseases. 2005;41:1217–1223. doi: 10.1086/496991. [DOI] [PubMed] [Google Scholar]
- Kauffman CA. Histoplasmosis: a clinical and laboratory update. Clinical Microbiology Reviews. 2007;20:115–132. doi: 10.1128/CMR.00027-06. [DOI] [PMC free article] [PubMed] [Google Scholar]
- Kauffman CA, Malani AN. Zygomycosis: an emerging fungal pathogen with new options for management. Current Infectious Disease Reports. 2007;9:435–440. doi: 10.1007/s11908-007-0066-4. [DOI] [PubMed] [Google Scholar]
- Pappas PG, Kauffman CA, Andes D, et al. Clinical practice guidelines for the management of candidiasis: 2009 update by the Infectious Diseases Society of America. Clinical Infectious Diseases. 2009;48:503–535. doi: 10.1086/596757. [DOI] [PMC free article] [PubMed] [Google Scholar]
