Abstract
Forensic histopathology is the application of histological techniques and examination to forensic pathology practice. It is a unique and specialised aspect of pathology practice. This chapter highlights several differences in forensic histopathology practice compared to clinical and surgical histopathology practice. The various roles of microscopic tissue examination in forensic pathology practice are categorised and discussed. These are in relation to definitive pathological diagnosis, confirmation of equivocal and occult pathology, serving as a form of permanent record, and providing invaluable material for education and research. Case examples are included to illustrate the impact of routine histological examinations, special stain techniques, as well as immunohistochemistry where appropriate, towards relevant pathological diagnoses, which may or may not be directly relevant to the establishment of the cause of death. Lastly, the chapter also aims to highlight some recent advances as well as the challenges ahead in this field.
Keywords: Forensic histopathology, Surgical pathology, Immunohistochemistry, Sudden death, Iatrogenic death
Introduction
The application of histological techniques and examination in forensic pathology is an unique and specialised aspect of pathology practice. Compared to clinical histopathology practice, in which similar techniques are applied, there are several notable differences. First, the nature of specimens varies significantly between forensic pathology practice and clinical histopathology practice. In clinical histopathology practice, specimens and biopsies generally comprise parts, fragments, or segments of various organs, and diagnoses are made from histological sections of tissues obtained through targeted sampling of the specimens, usually after adequate fixation. In contrast, the forensic pathologist routinely examines organs in their entirety and, in the first instance, in their unfixed state. The organs are quite often already in varying stages of autolysis and putrefaction. The starting point of histological sampling and examination is different from the outset. Second, the spectrum of organ and tissue examination varies between clinical histopathology practice and forensic pathology practice. In histopathology practice, small biopsies of the breasts, the aerodigestive tract, the female genital tract, etc. form an integral part of the workload. Biopsies of the many organs such as the heart, lungs, liver, brain, and kidneys often fall into areas of sub-specialised histopathology practice. In contrast, the forensic pathologist routinely examines entire hearts, lungs, livers, brain, and kidneys albeit with slightly a different focus and emphasis. While the breasts, intestines, and lymph nodes are also examined, less attention would be given to those compared to the major organs that are more often associated with the cause of death. The ability to identify macroscopic pathology in unfixed whole organs is an essential prerequisite in forensic pathology practice. Having said that, it is, naturally and nevertheless, necessary for the forensic pathologist to be able to recognise pathology in all organs, properly examine and report on them. Third, the emphasis of histological examination of surgical and clinical specimens is on diagnosis and prognostication. Marginal clearance in surgical specimens for neoplastic lesions is of vital importance in planning further and subsequent management. Specific grading, refined typing and classification of various neoplasms are also of primary significance in treatment and prognosis. In contrast, the main aim in the forensic postmortem examination is to properly determine the cause of death. Often the cause of death is obvious after macroscopic examination without any histological input. In these cases, all other factors, including incidental pathologies, may be considered to be of secondary or academic significance.
Therefore, in forensic pathology practice, it is often unnecessary to undertake comprehensive tissue sampling of the major parenchymatous organs for histology in order to arrive at a precise cause of death. However, histological examination does have significant impact in several instances.
The Roles of Histology in Forensic Pathology Practice
The major roles of histology in forensic practice are as follows:
As a primary ancillary investigation in cases where macroscopic examinations fail to yield a specific or diagnostic pathology that accounts for death
To confirm and refine macroscopic diagnoses including incidental pathologies identified at autopsy
To confirm or refute antemortem diagnosis and clinical suspicions
To evaluate medical and surgical interventions as a means of medical audit
As a form of permanent documentation of pathologies identified at autopsy
As an essential source of material for medical undergraduate and postgraduate teaching
As a source of research
The authors recommend the practice of routine sampling of major parenchymatous organs such as the heart, lungs, liver, and kidneys for histological examination. At the very least, this could sharpen the forensic pathologist’s approach in correlating macroscopic pathology, observed or suspected, with microscopic pathology.
In the following sections, the roles of histological analysis in routine forensic pathology practice are illustrated.
To Establish the Cause of Death
The determination of the definitive cause of death may depend on elucidating the histological features of inapparent or equivocal macroscopic lesions. In these cases, the lack of definitive pathology or the presence of borderline pathology requires ancillary confirmation for diagnosis. Examples include sudden deaths due to viral myocarditis, where the cellular response may be focal or patchy, rather than diffuse.
In cases of maternal deaths, amniotic fluid embolism is confirmed by the demonstration of the components of amniotic fluid within the pulmonary microvasculature and occasionally in other organs, such as the kidneys and liver. Epithelial squames, mucin, vernix caseosa (appearing as fat) and occasionally, lanugo hair can be most profitably identified by means of the Attwood’s stain (for squames and mucin) or, if necessary, by immunohistochemical epithelial markers (e.g., AE1/3, Cam 5.2, LP34, CK 7, CK 20).
In disseminated intravascular coagulation, the detection of microscopic fibrin thrombi (aided by use of Martius Scarlet Blue or phosphotungstic acid hematoxylin [PTAH]), primarily within the pulmonary microvasculature and the renal glomeruli, is essential to establish the diagnosis.
In the recent epidemic of severe acute respiratory distress syndrome (SARS), histological examination contributed to the final diagnosis of a severe infectious disease caused by a novel coronavirus.
Histological examination of the lungs of SARS cases showed diffuse alveolar damage with varying degrees of organisation. There were associated cytopathological changes such as cytological atypia of pneumocytes, syncytial change, and giant cell formation. These were noted in deceased patients who had spent a longer period in intensive care units and there undergone mechanical ventilation (Fig. 13.1).
Fig. 13.1.

Cytological atypia of the bronchial epithelium in the lungs of a SARS case (H&E ×1000). Reprinted with permission from Archives of Pathology & Laboratory Medicine. Copyright 2006. College of American Pathologists
The SARS coronavirus was identified in the cytoplasm of alveolar lining cells by in-situ hybridisation using the oligonucleotide probe for the nuclear capsid region of the virus (Fig. 13.2).
Fig. 13.2.

Marking of coronavirus infected cells in the lungs by in-situ hybridisation using oligonucleotide probe for the nuclear capsid antigen of the virus. Reprinted with permission from Archives of Pathology & Laboratory Medicine. Copyright 2006. College of American Pathologists
Case #1: Sudden death due to acute viral myocarditis in a previously healthy 12-year-old girl A 12-year-old girl was brought to the emergency department in a state of collapse. Resuscitation was unsuccessful. The deceased’s parents volunteered that she was previously healthy, but had apparently suffered from fever and headache for the past few days.
At autopsy, there were no obvious macroscopic pathological findings that could account for death. The main finding was non-specific acute pulmonary edema. The cause of death was left unascertained, pending further investigations. Histological examination of the heart, however, revealed a dense and florid inflammatory infiltrate comprising mainly lymphocytes within the myocardium. This was associated with necrosis of the myocardial fibres. The features were diagnostic of acute viral (lymphocytic) myocarditis (Fig. 13.3); histologically, the heart showed moderate and diffuse lymphocytic infiltration of the myocardium associated with myonecrolysis.
Fig. 13.3.

Case #1: Viral myocarditis with marked lymphocytic infiltrate within the myocardium, accompanied by necrosis of the myocardial fibres (H&E ×400)
To Confirm and Refine the Diagnosis of Macroscopic Pathological Lesions
Confirmation of Macroscopic Pathological Lesions
At autopsy, pathology could present in several ways other than being quite occult as in the cases illustrated earlier. Lesions could be identified, suspected, or incidental. Not uncommonly, the macroscopic features of lesions such as bronchopneumonia, myocardial infarction, tuberculosis, pneumoconiosis (e.g., asbestosis, silicosis berylliosis, siderosis) or malignant tumours (e.g., mesothelioma, lymphoma) may be either equivocal or insufficiently specific for their comprehensive characterisation. In such instances, postmortem histopathology may contribute substantially to their evaluation.
Figures 13.4 and 13.5 illustrate the macroscopic and microscopic features of a suspicious electrical burn.
Fig. 13.4.

Small, almost innocuous, dry blister on the finger
Fig. 13.5.

The edges and floor of the blister shown in Fig. 13.4 expressed typical features of electrothermal damage (H&E × 40)
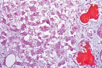
Case #2: Sudden death due to acute pulmonary embolism by right atrial myxoma A 27-year-old female was admitted to hospital because of a three week history of fever. Investigations revealed elevated erythrocyte sedimentation rate (ESR) of 93 mm/h. The level of C-reactive protein (CRP) was also markedly elevated at 40.4 mg/L. However, there was no leukocytosis and differential counts were within reference ranges. Microbiological and serological investigations aiming at identifying a specific microorganism were consistently negative. She was discharged after a few days with a diagnosis of viral fever. Approximately one week later, she was found dead at home.
Autopsy revealed multiple jelly-like tumour fragments choked within the main pulmonary artery, the right and left pulmonary arteries, as well as the lobar pulmonary arterial tree of both lungs. The main tumour was a polypoid jelly-like red fleshy mass that was attached to the right atrial wall, measuring 4.0 × 3.5 × 3.0 cm (Fig. 13.6).
Fig. 13.6.

Case #2: Friable, fleshy and jelly-like polypoid tumour attached to the medial wall of the right atrium
Microscopic examination of the tumour showed two components. The first was stellate or spindle myxoma cells containing moderate amounts of eosinophilic cytoplasm, occasionally forming perivascular aggregates. The second component was glandular elements lined by cuboidal epithelium containing cytoplasm that stained positive with mucicarmine, PAS-diastase and Alcian blue. The epithelial elements were surrounded by an expansive myxoid stroma showing large areas of hemorrhage. There were areas of fibrin and haemosiderin deposition within the stroma (Fig. 13.7).
Fig. 13.7.

Case #2: Microscopic examination of the tumour revealed scattered myxoma cells and glandular elements present within an expansive myxoid stroma. Areas of fibrin and hemosiderin deposition were noted in some areas (H&E ×100)
The features were those of a right atrial myxoma that had fragmented and embolised into the pulmonary arterial tree, causing death from fatal acute pulmonary tumour embolism.
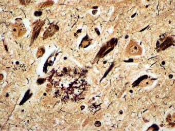
Case #3: Confirmation of Alzheimer’s disease The deceased was a 77-year-old lady with a medical history of Alzheimer’s disease. She was found collapsed at home in the bathroom and was conveyed to the emergency department in a state of collapse. Resuscitative attempts were unsuccessful.
Autopsy revealed the cause of death to be due to bronchopneumonia. The brain weight was 1210 g. Microscopic examination showed neuronal loss and gliosis associated with many neuritic plaques and intraneuronal fibrillary tangles. These were noted using standard haematoxylin and eosin (H&E) staining, but were better demonstrated with the use of the Bielchowski technique (Figs. 13.8 and 13.9). The lesions were found in many areas of the brain including the hippocampi and cerebral cortices. The histological features supported the clinical antemortem diagnosis of Alzheimer’s disease.
Fig. 13.8.

Case #3: Numerous neuritic plaques are present in the brain (Bielchowski ×200)
Fig. 13.9.

Case #3: A neuritic plaque and intraneuronal fibrillary tangles at higher magnification (Bielchowski ×400)
Histological Ageing of Lesions
The histological ageing of lesions permits the pathologist to ascertain whether a particular lesion or injury is consistent with been inflicted or sustained within an alleged time frame. Common examples include the following.
Ageing of Wounds
The ageing of wounds (determination of wound age – e.g., incised wounds and lacerations) can be problematic as there may be much variation in the appearance of the inflammatory and histochemical changes which attend these injuries. Generally, polymorphonuclear and mononuclear infiltrates may be seen after 8 and 16 h, respectively. Earlier lesions may be aged by means of enzyme histochemistry on fresh frozen tissue specimens stained for histamine and serotonin (within the first hour of wounding), followed by adenosine triphosphatase and esterase (later than 1 h of wounding), aminopeptidase (2 h), acid phosphatase (4 h) and alkaline phosphatase (8 h) [1].
Subdural Hematoma
The wound age of recent and chronic subdural hemorrhage can be determined by a variety of histological criteria, namely those established by Munro and Merritt [2]. Much like the ageing of cerebral contusions, this is seldom a straightforward matter, but these criteria, although not absolute, may serve as useful guidelines particularly with respect to the temporal relation between the injury and alleged battery, homicide, or accident.
Pulmonary Thromboembolism
The forensic importance of estimating the age of pulmonary thromboembolism in relation to traumatic injury of the lower limbs, as well as significant or severe trauma to other parts of the body (as in the aftermath of a road accident), is evident. In this respect, it is essential that the residual or remaining deep venous thrombi, which are usually lodged within the deep veins of the lower limbs or the iliac veins, rather than the embolus per se, are examined as it is the evaluation of the thrombo-endothelial junction that provides useful chronological information (Fig. 13.10) [1].
Fig. 13.10.

Section through calf muscles revealing a deep vein thrombosis (H&E ×100)
Myocardial Infarction
Myocardial infarcts may supervene in instances of alleged battery or homicide, or may complicate injuries sustained in an accident. The ageing of myocardial infarction involves the use of routine histology with H&E, as well as special stains to render these lesions more prominent (e.g., Masson-Trichrome, acid fuchsin, PTAH). Early infarcts occurring within a few hours before death may be demonstrated by the use of histochemistry to detect the presence of the enzymes malate, succinic or lactic dehydrogenase; basement membrane components (e.g., fibronectin, laminin); cytoskeletal proteins (e.g., actin, desmin, α- and β-tubulin); cell-matrix adhesion molecules (e.g., vinculin, talin); fatty acid binding protein, and other molecules [1].
Corroborating and Refuting Antemortem Diagnosis and Clinical Suspicions
Histological Evidence of Drug Dependency
Foreign body granuloma, formed around talc, starch, and other adulterants that are ingredients in various recreational and street drugs (e.g., heroin, cocaine, amphetamine derivatives, and their analogues), may be found at the sites of injection, or systemically, in the lungs and, occasionally, the liver and kidneys.
In addition, cocaine abuse may be associated with catecholamine-induced contraction band necrosis of the myocardium, eosinophilic myocarditis, or infective endocarditis. Heroin abuse may cause renal amyloidosis and focal segmental glomeruloslcerosis. These drugs of abuse may also result in potentially lethal rhabdomyolysis and subsequent renal failure.
Case #4: Drug abuse A 27-year-old man was found unconscious in the kitchen of a relative’s house. He was pronounced dead on arrival at hospital. Police reported that the deceased had a past history of drug abuse.
Autopsy revealed nonspecific features of acute pulmonary edema. Microscopically, both lungs showed multiple foreign-body granuloma, highlighted under polarised light, scattered throughout the lung parenchyma. The granuloma were typically situated in perivascular locations. Occasional multinucleated giant cells were also present. Other common causes of granulomatous inflammation of the lungs were excluded. The features were typical of a “junkie’s lung” that correlated with the history of intravenous drug abuse (Fig. 13.11).
Fig. 13.11.

Case #4: Pulmonary granulomatous inflammation surrounding birefringent foreign bodies in the perivascular space of the lung parenchyma in a case of intravenous drug abuse (H&E ×400)
Toxicological analyses of postmortem blood samples revealed higher than therapeutic levels of midazolam, therapeutic levels of ephedrine and orphenadrine, as well as the presence of several other medications such as paracetamol, codeine, and promethazine. Notably buprenorphine was also detected in a postmortem blood sample. A similar profile was obtained from the postmortem urine sample.
The dangers of diversion buprenorphine abuse and its coabuse with benzodiazepines have seen several reports over the last decade [3]. Having excluded other causes of death in this case, the final cause of death was certified to be due to a mixed drug reaction.
Evaluation of Adverse Drug Reactions and Poisoning
Certain histological features may provide corroborative evidence in instances of suspected fatal adverse drug reaction, manifesting as mucocutaneous eruptions, hepatotoxicity, nephrotoxicity, cardiotoxicity , and neurotoxicity [4]. Some examples are as follows: centrilobular fatty change in the liver and hepatocellular necrosis in chloroform poisoning; perivenular, mid-zonal or massive hepatocellular necrosis in paracetamol poisoning; acute pulmonary hemorrhage followed by massive fibrosis and type II pneumocyte hyperplasia induced by paraquat poisoning, which may also result in toxic myocarditis as well as hepatic and renal tubular necrosis.
Chemical meningoencephalitis, renal tubular degeneration, myocardial degeneration with cardiac dilatation and bronchopneumonia, associated with the deposition of calcium oxalate crystals in the respective tissues, are characteristic of ethylene glycol poisoning (Fig. 13.12).
Fig. 13.12.

Oxalate crystals within the renal tubules of a victim of ethylene glycol poisoning (H&E ×400)
Case #5: Massive hepatocellular necrosis, possibly induced by orlistat A 62-year-old-man developed deepening jaundice after having consumed orlistat at a dosage of 120 mg tid over a period of 10 days, in an attempt to lose weight. His drug history included the occasional ingestion of paracetamol (apparently not exceeding two to four tablets on any one day). He also had no history of taking herbal preparations. There was also no record of any drug allergy or recent travel overseas. Apart from mild systemic hypertension and occasional alcohol ingestion, he had no other significant medical history.
The results of the initial post-admission liver function tests indicated severe deranged hepatic functions. Subsequent investigations for markers of a range of hepatitic viruses (anti-HAV IgM, anti-HBs, anti-HBc IgM, anti-HBe, HBsAg, anti-HCV, HCV RNA (Chiron), anti-HEV IgM, anti-EBV IgM, anti-CMV IgM and anti-leptospiral antibodies), HIV-1 and -2, and autoimmune disease (anti-mitochondrial and anti-nuclear antibodies) yielded largely negative results, with the exception of anti-smooth muscle antibodies, which were present at a low titre (1:100). Investigations for malarial parasites and Clostridium difficile toxin (stool sample) were also negative. A clinical drug screen, performed on a blood sample on the second post-admission day, yielded a non-toxic level of orlistat 33 mg/L (µg/mL). Concurrent clinical investigations excluded Wilson's disease, Budd-Chiari syndrome, and biliary disease.
A diagnosis of fulminant liver failure was made, presumably attributable to an adverse reaction to orlistat. Although the patient was considered as a candidate for liver transplantation, he died little more than three weeks after hospitalisation, having a nosocomial infection and developed renal failure in the process.
Postmortem histological examination of the liver showed complete loss of the normal hepatic architecture and massive hepatocellular necrosis, associated with marked portal and periportal cholestasis (Fig. 13.13), accompanied by collapse of the reticulin framework (Fig. 13.14). There was moderate, chronic portal inflammation, with occasional, relative preservation of a few periportal hepatocytes in some areas. Perivenular fibrosis was noted, but veno-occlusive disease and hepatic cirrhosis were absent. No Mallory bodies, giant mitochondria, or steatosis were observed in the residual hepatocytes. Toxicological analysis was negative.
Fig. 13.13.

Case #5: Massive hepatocellular necrosis with marked periportal cholestasis (PAS ×200)
Fig. 13.14.

Case #5: Collapse of the hepatic reticulin framework (Gordon & Sweet’s ×200)
Comprehensive clinico-pathological correlation led to the almost inevitable conclusion that this was likely to have been a case of drug-induced massive hepatocellular necrosis, possibly related to the use of orlistat, which was implicated in a previously reported instance of non-fatal hepatitis [5].
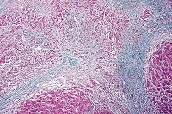
Case #6: Adulteration of a slimming herbal combination by nitrosofenfluramine A 42-year-old female succumbed to fulminant hepatic failure and eventual multiple organ failure, after having ingested an undetermined quantity of a herbal product over a period of approximately four months prior to the onset of her illness. The product contained extracts of Herba Gynostemmae, Folium Camelliae Sinensis, Succus Aloes Folii Siccatus, Semen Raphani, and Fructus Crataegi and purportedly had slimming, “energising” and “cleansing” properties. She eventually underwent total hepatectomy, with porto-caval shunting, in anticipation of an allogenic liver transplant. Unfortunately, her condition deteriorated and she died within 48 h of the operation, approximately three weeks post-admission.
Autopsy showed that the deceased had severe jaundice and was severely obese (BMI: 47.1), with evidence of diffuse hemorrhage, including the presence of 1350 mL of blood in the peritoneal cavity (which was likely to be iatrogenic in nature). The liver had been removed and was later recovered as a formalin-fixed specimen. It was markedly contracted, comprising multiple micronodules interspersed with extensive areas of dense fibrotic tissue.
Microscopy showed the complete loss of the normal hepatic architecture, with massive parenchymal destruction and collapse of the reticulin framework (Fig. 13.15). The residual hepatocytes were disposed as nodules, displaying variable cellular regeneration and ballooning degeneration, within extensive areas of densely fibrous stroma (Fig. 13.16). There was florid ductal proliferation and mild to moderate, mixed inflammatory infiltrates, containing T-lymphocytes (CD3+, CD20−). Prominent focal cholestasis, mostly intracannalicular and intraductal in distribution, was present (Fig. 13.17). Excessive copper or iron deposition was not seen. These features were deemed to be consistent with repair and limited parenchymal regeneration following upon massive hepatocellular necrosis.
Fig. 13.15.

Case #6: The liver microarchitecture showing collapse of the reticulin framework (Gordon & Sweet’s ×100)
Fig. 13.16.

Case 6: Massive hepatocellular necrosis with marked architectural distortion and dense stromal fibrosis (Masson Trichrome ×100)
Fig. 13.17.

Case #6: N-Nitrosofenfluramine-induced liver pathology: ductal proliferation, mixed inflammatory infiltrates and prominent cholestasis (PAS ×200)
Analysis of a postmortem blood sample showed therapeutic and subtherapeutic concentrations of a variety of therapeutic agents administered to the patient during her last illness. Subsequent analysis of a sample of residual herbal capsules revealed that it was adulterated by fenfluramine, N-nitrosofenfluramine, nicotinamide, and thyroid extract. None of the herbal ingredients is currently known to be hepatotoxic (in contrast, Succus Aloes Folii Siccatus is apparently considered liver-protective) and much the same applies to fenfluramine, nicotinamide (except when taken in mega-doses), and thyroid extract. As nitrosamines are known to be variably hepatotoxic, and in the absence of a more plausible cause of liver damage, N-nitrosofenfluramine was deemed to be the likely cause of massive hepatocellular necrosis in this instance [6].
As an Audit Tool for Medical Treatment and Interventions
Last but not least, the authors wish to highlight the role of forensic histopathology as a tool for medical audit and forensic evaluation of iatrogenic injuries. This is essential for proper clinico-pathological correlation, although the investigated pathological entity may or may not be related to the final cause of death.
This subject was discussed briefly by Lau recently [4]. Here, a more expansive consideration of the place of forensic histopathology in the evaluation of suspected or actual iatrogenic injuries is provided by means of a series of case studies.
Case #7: Clinically undiagnosed mediastinal large B-cell malignant lymphoma causing postanaesthetic respiratory distress in a patient with an ectopic pregnancy A 32-year-old female was diagnosed as having an ectopic pregnancy at six weeks’ amenorrhoea and underwent laparoscopic salpingectomy. During a preoperative anaesthetic review, she presented with a month-long history of a mild, persistent productive cough, which was attributed to an upper respiratory tract infection. She developed severe respiratory distress after extubation and died on the second postoperative day.
Autopsy revealed the presence of a large mediastinal tumour, the existence of which was apparently unsuspected preoperatively, but suggested by a postresuscitative chest radiograph. The fleshy, hard lesion encased the ascending thoracic aorta, aortic arch, and the proximal segments of the brachiocephalic and subclavian arteries (Fig. 13.18), and also caused partial extrinsic airway compression.
Fig. 13.18.

Case #7: A large fleshy mediastinal tumour is encasing the aortic arch and the proximal segments of the brachiocephalic and subclavian arteries
Histologically, the tumour consisted of sheets of malignant, large lymphoid cells (CD1a−, CD3−, CD20+, CD30−, CD45+, CD68−) with pleomorphic, vesicular nuclei containing prominent nucleoli, as well as fairly abundant cytoplasm (Fig. 13.19A,B). Reed-Sternberg cells were absent. Immunohistochemistry for AE1/3, EMA and PLAP yielded negative results. There were areas of infarction as well as extensive perineural and vascular invasion. Malignant infiltration of the vascular adventitia and the superficial layers of the media were noted (Fig. 13.20). These features supported the diagnosis of a mediastinal diffuse large B-cell lymphoma, while largely excluding a thymoma or a germ cell tumour. Further examination also showed micrometastases to the tracheo-bronchial lymph nodes and the right adrenal gland (Fig. 13.21), but not to the bone marrow.
Fig. 13.19.

A Case #7: Malignant, large lymphoid cells with pleomorphic vesicular nuclei, prominent nucleoli, abnormal mitoses and abundant cytoplasm (H&E ×400). B Case #7: Intense positive staining for CD20 (×200)
Fig. 13.20.

Case #7: Malignant lymphoid cells infiltrating the aortic adventitia and the superficial layers of the media (Masson-Trichrome ×200)
Fig. 13.21.

Case #7: Right adrenal metastatic malignant lymphoma (H&E ×4)
In all probability, the mechanical effects exerted by the advanced mediastinal tumour upon the airways and the thoracic cage, coupled with the pathophysiological effects of general anaesthesia on respiratory movement and airway patency, had led to the patient’s sudden and unexpected demise in early pregnancy [7].
Case #8: Cerebral infarction complicating therapeutic embolisation of a facial cavernous hemangioma in an 8-year-old girl Approximately 2 h after undergoing elective angiographic embolisation of a large right facial hemangioma under general anaesthesia, an 8-year-old girl developed left-sided hemiparaesis. Computerised tomography revealed right fronto-parietal cerebral infarction, severe cerebral edema, and features of hypoxic-ischemic encephalopathy. Her subsequent clinical course was dominated by neurogenic ventricular arrhythmia and pulmonary edema, recurrent episodes of cardiorespiratory arrest, diabetes insipidus and progressive neurological deterioration culminating in brain death two weeks later.
Microscopy of the facial soft tissues demonstrated presence of a cavernous hemangioma (Fig. 13.22) with occasional foci of thrombosis and acute hemorrhage, but no evidence of malignancy. There were foreign body emboli, comprising strongly birefringent reticulated material (probably representing polyvinyl-alcohol particles denatured by heat) which stained intensely black with Verhoeff van-Gieson stain (Fig. 13.23).
Fig. 13.22.

Case #8: Dilated, thin-walled blood vessels interspersed with mature adipose tissue (H&E ×100)
Fig. 13.23.

A Case #8: Foreign body emboli within the cavernous hemangioma (H&E ×100). B Case #8: Marked birefringence (polarised ×100). C Case #8: Reticulated appearance (Verhoeff van-Gieson ×200)
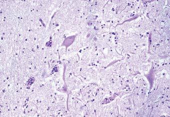
Histologically, the brain showed an autolysed, pale-staining appearance, accompanied by congestion and focal thrombosis of the cortical vessels. There was cortical infarction (Fig. 13.24) mainly of both temporal lobes, with neuronal liquefactive necrosis (mainly of the outer layers), accompanied by inflammatory infiltrates of polymorph leukocytes and some foamy macrophages, together with early astrocytosis. Foreign body emboli, with features similar to those detected in the facial cavernous hemangioma (Fig. 13.25), were found in these areas, as well as in the occipital cortex and the basal ganglia. The cerebellar cortex showed diffuse liquefactive necrosis of the Purkinje cells, consistent with hypoxic-ischemic encephalopathy while the hippocampus was largely autolysed.
Fig. 13.24.

Case #8: Cerebral infarction (H&E ×100)
Fig. 13.25.

Case #8: Foreign body emboli, virtually identical to those found within the cavernous hemangioma, in the cerebral microvasculature. A H&E ×200. B Polarised ×400. C Verhoeff van-Gieson ×200
It appears that the angiographic embolisation of the facial hemangioma involved the selective and sequential catherisation of the right internal maxillary and facial arteries via the right external carotid artery, through a femoral approach. This was to enable a mixture of polyvinyl-alcohol particles (of sizes in the range of 150–250 µm) and gelfoam, suspended in radiocontrast medium, to be introduced into the main arterial feeders of the hemangioma, in order to achieve therapeutic occlusion of the relevant vessels. From a pathological perspective, it is entirely plausible that some of these particles might have entered the cerebral circulation through anastomoses between the right external and internal carotid arteries (e.g., the middle meningeal and ophthalmic arteries), and subsequently crossed over from the ipsilateral to the contralateral cerebral vasculature via the Arterial Circle of Willis, with fatal consequences.
Case #9: Accidental intraventricular administration of vincristine A 27-year-old female with acute lymphoblastic leukemia complicated by central nervous system (CNS) involvement was to receive an intensified course of chemotherapy, which included the administration of intrathecal methotrexate and intravenous vincristine, when the first course failed to bring about a remission.
A right frontal Ommaya reservoir which affords access to the cerebral ventricles was successfully implanted for this purpose. Unfortunately, a junior doctor who was assigned to administer these cytotoxic agents injected vincristine (2 mg) intrathecally, through the Ommaya reservoir. The mistake was realised the following day, whereupon a CNS washout was performed, but to no avail. The patient developed progressive ascending paralysis, complicated by a persistent respiratory infection, eventually lapsing into coma to die approximately ten days after the lethal injection.
At autopsy, the brain was edematous, and showed diffuse discoloration of the cortical surface, with marked, generalised softening. The spinal cord was necrotic almost throughout its entire length, and particularly along the cervical, thoracic and upper lumbar segments, where necrotic brain tissue was present within the spinal subdural space (Fig. 13.26). The cerebellar tonsils were necrotic, too. Histologically, there was evidence of cerebral meningoencephalitis with extensive neuronal damage and astrocytosis (Fig. 13.27). The cerebellum showed leptomeningitis with focal loss of Purkinje cells. Sections of the brainstem showed a wide range of neuronal injury, ranging from ischemic-hypoxic changes to necrosis, accompanied by astrocytosis and focal perivascular hemorrhage, particularly in the pons and medulla. The spinal cord showed leptomeningitis with florid myelitis accompanied by widespread neuronal necrosis, particularly of the anterior horn cells (Fig. 13.28). Fragments of necrotic cerebellar tissue were present along the cervical and thoracic segments and around the nerve roots. There was no evidence of demyelination. There was also histological evidence of bronchopneumonia with heavy leukemic infiltrates within the myocardium, spleen, bone marrow, kidneys, and the portal tracts of the liver.
Fig. 13.26.

Case #9: Necrotic cervical spinal cord with fragments of cerebellar tissue alongside it
Fig. 13.27.

Case #9: Cerebral meningoencephalitis with perivascular lymphocytic cuffing (H&E ×200)
Fig. 13.28.

Case #9: Neuronal necrosis and degeneration of the anterior horn cells of the spinal cord (H&E ×200)
This case is but one of a good number of similar, if not identical, examples of an entirely avoidable medication error – that of administrating the right drug through the wrong route, as it were – which carries irreversibly tragic and lethal consequences [8].
As a Permanent Record of Lesions
It should be remembered that, even in instances where neither the cause of death nor any of the autopsy findings is in doubt, histological sampling of the major parenchymatous organs may yet provide permanent documentation of the presence or absence of any lesion deemed to be material to ascertaining the cause of death. This is particularly important for states and countries where cremation is the routine and preferred final procedure to put the deceased person to rest.
As an Invaluable Resource for Teaching, Training, and Research
Last but not least, histological sections and material are an invaluable resource for teaching, training, and education. However, the extent to which this final advantage could be applied naturally varies from one jurisdiction to another.
Looking Ahead – The Future of Forensic and Autopsy Histopathology
Looking ahead, the role of immunohistochemistry and other molecular diagnostic techniques could be certainly expanded in forensic pathology practice. Although tissue quality is often the limiting factor in the application of these techniques, much could still be achieved in cases where autolysis is not advanced. The identification of the SARS coronavirus by in-situ hybridisation illustrated above is an excellent example.
There are currently many areas of research interest, as colleagues from many parts of the world continue to advance methods to refine post-mortem and forensic diagnosis. The following section is a brief, and by no means exhaustive or comprehensive, illustration of some of the research in this area.
Immunohistochemistry and Forensic Neuropathology
In recent years, the application of immunohistochemistry for ß-APP in the brain has spearheaded new understanding in the pathology of axonal injury, traumatic in origin or otherwise [9, 10]. Immunohistochemistry for ß-APP showed that traumatic axonal injury is much more common than previously recognised. It became clear also that axonal injury was a phenomenon that was not just restricted to trauma. For instance, ischaemia have also been shown to be associated with axonal injury.
Immunohistochemical Diagnosis in Cardiac Pathology
Sensitive and specific methods for diagnosing acute myocardial damage are particularly useful in forensic practice since cardiac disease is a very common cause of sudden death. Several applications of histochemistry have already been alluded to dating of myocardial infarcts above.
Recently, the significance of increased expression of complement C9 within myocardium damaged by ischaemia has been investigated. The authors reported increased but gradated differential expression of complement C9 in cases with histological evidence of acute myocardial infarctions, in cases with only electrocardiographic evidence of acute myocardial infarctions, and in cases with severe coronary artery disease but without evidence of acute myocardial ischaemia [11].
The detection of apoptosis within the myocardium by the TUNEL method has been investigated in cases of sudden cardiac death compared with controls. However, there was no significant difference in the proportion of apoptotic myocardial nuclei between the cases of myocardial infarction due to coronary artery disease and cases of sudden cardiac death without coronary artery disease. The authors suggested the application of the technique as a screening tool for the postmortem diagnosis of sudden death due to cardiac causes [12].
The immunohistochemical detection of cardiac troponin-C (cTnC) and cardiac troponin-T (cTnT) could serve as a tool for the detection of acute myocardial damage. The expression of cTnC was reported to be strongly positive, diffuse and more frequent than cTnT in cases of myocardial infarction [13].
Dettmeyer et al. [14] attempted to describe and differentiate dilated cardiomyopathy of an inflammatory aetiology from idiopathic/alcoholic dilated cardiomyopathy through the application of immunohistochemistry for markers of T-lymphocytes (LCA, CD3), macrophages (CD68) and tenascin. The criteria for inflammatory cardiomyopathy was suggested to be based on the visual quantification of >2 CD3 positive lymphocytes per high power field and >7 CD3 lymphocytes per square millimetre.
Immunohistochemical Diagnosis of Sepsis
The diagnosis of sepsis is important in forensic practice especially in sudden deaths and some cases of hospital deaths. The enhanced expressions of various cellular adhesion molecules, growth factors, and proteins in lungs of patients who had died with or from sepsis has been investigated [15]. E-selectin, which was not expressed in unstimulated endothelium of the pulmonary microvasculature, was found to be up-regulated in sepsis. ICAM-1 was up-regulated in endothelium and in leucocytes within the lungs, while lactoferrin and VLA-4 and were similarly up-regulated in pulmonary leucocytes. In contrast, vascular endothelial growth factor (VEGF), which is normally strongly expressed in normal alveolar and bronchial epithelium of healthy individuals, is down-regulated in sepsis-induced lung injury.
Wound Pathology
As previously alluded to, the histological ageing of wounds remains a problematic area. The ageing of wounds as well as establishing the vitality of wounds has been the focus of research for many years. Grellner et al. [16] reported that transforming growth factors (TGF)-alpha and beta1 were up-regulated in injured skin, reaching maximal intensity in 30–60 min after the injury. It was observed that both factors, especially TGF-beta1, remained detectable in elevated levels within wounded tissues after days to weeks. The authors suggested that the patterns of expression of the two factors could serve as a tool to aid the evaluation of wound age [16].
ICAM-1 was also found to be useful in correlation with the degree of skin wound inflammation as well as an early evidence of the vitality of the wound [17]. In addition, the degree of expression of VEGF in wound ageing has also been described but appeared to be useful only to indicate wounds aged seven days or more [18]. The value of the detection of p53, however, remained inconclusive in this field [19].
The Challenges Ahead
These adjunctive techniques mentioned above show great potential in forensic practice. Nevertheless, more research is required to reproduce and replicate some of the observations in order to refine them for application. In the future, perhaps more sophisticated molecular diagnostic techniques can also be applied to forensic diagnosis.
Conclusions
The authors believe that the practice of forensic pathology is entering a new era. While reliance on macroscopic observations and keen sense of acumen were the mainstay of the practice of yesteryears, the application of histological and molecular diagnostic techniques is finding new ground and being established as an essential part of the armamentarium in forensic pathology practice.
Acknowledgement
The authors wish to thank Dr Angela Chong for contributing the photomicrographs reproduced in Figs. 13.1 and 13.2.
References
- 1.Saukko P, Knight B. Knight&–s forensic pathology. 3. London: Arnold; 2004. [Google Scholar]
- 2.Munro D, Merritt HH. Surgical pathology of subdural haematoma. Based on a study of 105 cases. Arch Neurol Psych. 1936;35:64–78. [Google Scholar]
- 3.Kintz P. Deaths involving buprenorphine: a compendium of French cases. Forensic Sci Int. 2001;121:65–69. doi: 10.1016/S0379-0738(01)00454-6. [DOI] [PubMed] [Google Scholar]
- 4.Lau G. Iatrogenic injury: a forensic perspective. In: Tsokos M, editor. Forensic pathology reviews. Totowa, NJ: Humana; 2005. pp. 351–439. [Google Scholar]
- 5.Lau G, Chan CL. A case of massive hepatocellular necrosis: was it caused by Orlistat? A case report. Med Sci Law. 2002;42:309–312. doi: 10.1177/002580240204200405. [DOI] [PubMed] [Google Scholar]
- 6.Lau G, Lo D, Yao YJ, Leong HT, Chan CL, Chu SS. “Slim 10” – slim chance. A fatal case of hepatic failure possibly induced by N-nitrosofenfluramine. Med Sci Law. 2004;44:252–263. doi: 10.1258/rsmmsl.44.3.252. [DOI] [PubMed] [Google Scholar]
- 7.Prakash UB, Abel MD, Hubmayr RD. Mediastinal mass and tracheal obstruction during general anaesthesia. Mayo Clin Proc. 1988;63:1004–1011. doi: 10.1016/s0025-6196(12)64915-5. [DOI] [PubMed] [Google Scholar]
- 8.Lau G. Accidental intrathecal vincristine administration: an avoidable iatrogenic death. Med Sci Law. 1996;36:263–265. doi: 10.1177/002580249603600314. [DOI] [PubMed] [Google Scholar]
- 9.Geddes JF, Whitwell HL, Graham DI. Traumatic axonal injury: practical issues for diagnosis in medicolegal cases. Neuropathol Appl Neurobiol. 2000;26:105–116. doi: 10.1046/j.1365-2990.2000.026002105.x. [DOI] [PubMed] [Google Scholar]
- 10.Reichard RR, Smith C, Graham DI. The significance of beta-APP immunoreactivity in forensic practice. Neuropathol Appl Neurobiol. 2005;31:304–313. doi: 10.1111/j.1365-2990.2005.00645.x. [DOI] [PubMed] [Google Scholar]
- 11.Piercecchi-Marti MD, Lepidi H, Leonetti G, Vire O, Cianfarani F, Pellissier JF. Immunostaining by complement C9: a tool for early diagnosis of myocardial infarction and application in forensic medicine. J Forensic Sci. 2001;46:328–334. [PubMed] [Google Scholar]
- 12.Edston E, Grontoft L, Johnsson J. TUNEL: a useful screening method in sudden cardiac death. Int J Legal Med. 2002;116:22–26. doi: 10.1007/s004140100254. [DOI] [PubMed] [Google Scholar]
- 13.Martinez DF, Rodriguez-Morlensin M, Perez-Carceles MD, Noguera J, Luna A, Osuna E. Biochemical analysis and immunohistochemical determination of cardiac troponin for the post-mortem diagnosis of myocardial damage. Histol Histopathol. 2005;20:475–481. doi: 10.14670/HH-20.475. [DOI] [PubMed] [Google Scholar]
- 14.Dettmeyer R, Reith K, Madea B. Alcoholic cardiomyopathy versus chronic myocarditis – immunohistological investigations with LCA, CD3, CD68 and tenascin. Forensic Sci Int. 2002;126:57–62. doi: 10.1016/S0379-0738(02)00036-1. [DOI] [PubMed] [Google Scholar]
- 15.Tsokos M. Immunohistochemical detection of sepsis-induced lung injury in human autopsy material. Legal Med (Tokyo) 2003;5:73–86. doi: 10.1016/s1344-6223(03)00010-5. [DOI] [PubMed] [Google Scholar]
- 16.Grellner W, Vieler S, Madea B. Transforming growth factors (TGF-alpha and TGF-beta1) in the determination of vitality and wound age: immunohistochemical study on human skin wounds. Forensic Sci Int. 2005;153:174–180. doi: 10.1016/j.forsciint.2004.08.021. [DOI] [PubMed] [Google Scholar]
- 17.Dressler J, Bachmann L, Muller E. Enhanced expression of ICAM-1 (CD54) in human skin wounds: a diagnostic value in legal medicine. Inflamm Res. 1997;46:434–435. doi: 10.1007/s000110050220. [DOI] [PubMed] [Google Scholar]
- 18.Hayashi T, Ishida Y, Kimura A, Takayasu T, Eisenmenger W, Kondo T. Forensic application of VEGF expression to skin wound age determination. Int J Legal Med. 2004;118:320–325. doi: 10.1007/s00414-004-0468-x. [DOI] [PubMed] [Google Scholar]
- 19.Tarran S, Dziewulski P, Sztynda T, Langlois NE. A study of p53 expression in thermal burns of human skin for determination of wound age. Med Sci Law. 2004;44:222–226. doi: 10.1258/rsmmsl.44.3.222. [DOI] [PubMed] [Google Scholar]
