Abstract
Autopsies are important in the investigation of childhood deaths. Most natural deaths are unlikely to come to the attention of the forensic pathologist, particularly in cases where death occurs in hospital. During the neonatal period (up to 28 days of age), deaths most commonly occur as a result of prematurity and related conditions, chromosomal abnormalities, or congenital malformations. Beyond the neonatal period, trauma-related deaths and sudden infant death syndrome are more common. In terms of natural acquired diseases of childhood, certain conditions are prevalent based on age and may be encountered at autopsy. Common acquired diseases that cause death in infants and children up to 5 years of age include pneumonia and other respiratory diseases, other infectious diseases, and malignancies. In older children, mortality due to natural disease declines substantially with trauma being the major cause of death, and malignancies the major cause of acquired disease. Sudden and/or unexpected deaths in which a natural disease state was previously unknown are most likely to come under the jurisdiction of the medical examiner or coroner and may be related to an underlying natural disease. Depending on the underlying disease process, the approach can differ, and therefore familiarity with common causes of death during childhood is important in order to focus the autopsy so that special techniques can be used along with obtaining proper ancillary testing to arrive at an accurate diagnosis and cause of death.
Keywords: Cystic Fibrosis, Acute Myeloid Leukemia, Disseminate Intravascular Coagulation, Febrile Seizure, Ewing Sarcoma
Introduction
Worldwide, the leading causes of death in neonates (birth to 28 days of age) are preterm birth complications, intrapartum-related complications, sepsis or meningitis, pneumonia, congenital abnormalities, other disorders, tetanus, and diarrhea. Globally, 7.6 million children died before the age of 5 years in 2010 with 64 % dying from infections. The major infections causing death in children include pneumonia, diarrhea, and malaria (Liu et al. 2010). Cancer is listed as the fourth most common cause of death in the industrialized world in children less than 15 years of age (American Academy of Pediatrics Committee on Environmental Heat 2003). In the United States (USA), from data obtained from the Center for Disease Control (CDC) National Center for Health Statistics (NCHS) mortality data for 1999–2009, the leading cause of death (all causes) in childhood (excluding neonates) was attributed to external causes (Centers for Disease Control and Prevention and National Center for Health Statistics 1999). In the neonatal period (up to 28 days following birth), the leading cause of death involved conditions that originated in the neonatal period, followed by congenital malformations, deformations, and chromosomal abnormalities, and diseases of the circulatory system with primary pulmonary hypertension being number one. Beyond the neonatal period, congenital malformations including chromosomal abnormalities, trauma including child abuse, and sudden infant death syndrome (SIDS) are some of the most common causes of death and will be covered elsewhere in the text. Table 30.1 depicts the five most common childhood-acquired diseases categorized by pediatric age groups in the USA. This chapter will focus on acquired childhood diseases that cause death outside the neonatal period that are likely to be encountered by the forensic pathologist, and approaches to autopsy examination. The topics are not intended to be exhaustive but instead to include common natural diseases and their features that are likely to be encountered at autopsy.
Table 30.1.
Most common causes of death in the USA 1999–2009 (by age and disease categories) (Centers for Disease Control and Prevention and National Center for Health Statistics 1999)
| Age group | Cause of death (ICD-10 codes) |
|---|---|
| 28 days to <1 year |
1. Respiratory system diseases (J00–J99) a. Respiratory infections (J00.0–J18.9, J20.0–J22.9, J85.0–J86.9) b. Other disorders of lung including cystic lung disease (J98.4) 2. Certain infectious and parasitic diseases (A00–B99) a. Septicemia (A40.0–A41.9, B37.7) b. Diarrheal disease (A04.7–A09.9) c. Meningitis (A39.0–A39.4, A87.2–A87.9, B00.4) 3. Digestive system diseases (K00–K93) a. Noninfectious gastroenteritis and colitis b. Acute vascular disorders of intestine 4. Circulatory system diseases (I00–I99) a. Cerebrovascular diseases (I60.0–I79.9) b. Primary (I27.0) and secondary pulmonary hypertension (I27.2) 5. Nervous system diseases (G00–G99) a. Systemic CNS atrophies/demyelinating diseases (G10.0–G14.9,G35.0–G37.9) b. Meningitis/encephalitis (G00.0–G00.9, G03.0–G03.9, G04.0–G04.9) |
| 1–4 years |
1. Malignant neoplasms (C00–C97) a. Lymphomas and leukemias (C81.0–C96.9) b. Nervous system tumors (C69.0–C72.9) c. Adrenal tumors (C74.9) 2. Respiratory system diseases (J00–J99) a. Respiratory infections (J00.0–J18.9, J20.0–J22.9, J85.0–J86.9) b. Asthma (J45–J46) 3. Nervous system diseases (G00–G99) a. Meningitis/encephalitis (G00.0–G00.9, G03-0–G03.9, G04.0–G04.9) b. Seizures (G40.0–G41.9) c. Cerebral palsy (G80.0–G80.9) 4. Circulatory system diseases (I00–I99) a. Cerebrovascular diseases (I60.0–I79.9) b. Endocarditis/myocarditis (I33.0, I40.0–I40.9, I51.4) c. Cardiomyopathy (I42.0–I42.9) 5. Certain infectious and parasitic diseases (A00–B99) a. Septicemia (A40.0–A41.9, B34.0–B34.9, B37.7) b. Diarrheal disease (A02.0–A09.9) c. Meningitis (A39.0–A39.4, A87.2–A87.9, B00.4) |
| 5–9 years |
1. Malignant neoplasms (C00–C97) a. Nervous system tumors (C69.0–C72.9) b. Lymphomas and leukemias (C81.0–C96.9) c. Bone and soft tissue (C40.0–C49.9) 2. Nervous system diseases (G00–G99) a. Cerebral palsy (G80.–G80.9) b. Seizures (G40.0–G41.9) c. Meningitis/encephalitis (G00.0–G00.9, G03.0–G03.9, G04.0–G04.9) 3. Respiratory system diseases (K00–J99) a. Respiratory infections (J00.0–J18.9, J20.0–J22.9, J85.0–J86.9) b. Asthma (J45–J46) 4. Circulatory system diseases (I00–I99) a. Cerebrovascular diseases (I60.0–I79.9) b. Endocarditis/myocarditis (I33.0, I40.0–I40.9, I51.4) c. Cardiomyopathy (I42.0–I42.9) 5. Endocrine, nutritional, and metabolic diseases (E00–E90) a. Metabolic diseases (inborn errors of metabolism) (E70.0–E83.9,E85.0–E90.0) b. Cystic fibrosis (E84.0–E84.9) c. Diabetes mellitus (E10.0–E14.9) |
| 10–14 years |
1. Malignant neoplasms (C00–C97) a. Lymphomas and leukemias (C81.0–C96.9) b. Nervous system tumors (C69.0–C72.9) c. Bone and soft tissue (C40.0–C49.9) 2. Nervous system diseases (G00–G99) a. Cerebral palsy (G80.–G80.9) b. Seizures (G40.0–G41.9) c. Meningitis/encephalitis (G00.0–G00.9, G03.0–G03.9, G04.0–G04.9) 3. Circulatory system diseases (I00–I99) a. Cerebrovascular diseases (I60.0–I79.9) b. Cardiomyopathy (I42.0–I42.9) c. Conduction disorders and arrhythmias (I44.0–I49.9) 4. Respiratory system diseases (J00–J99) a. Asthma (J45–J46) b. Respiratory infections (J00.0–J18.9, J20.0–J22.9, J85.0–J86.9) 5. Endocrine, nutritional, and metabolic diseases (E00–E90) a. Metabolic diseases (inborn errors of metabolism) (E70.0–E83.9,E85.0–E90.0) b. Cystic fibrosis (E84.0–E84.9) c. Diabetes mellitus (E10.0–E14.9) |
| 15–19 years |
1. Malignant neoplasms (C00–C97) a. Lymphomas and leukemias (C81.0–C96.9) b. Bone and soft tissue (C40.0–C49.9) c. Nervous system tumors (C69.0–C72.9) 2. Circulatory system diseases (I00–I99) a. Cardiomyopathy (I42.0–I42.9) b. Conduction disorders and arrhythmias (I44.0–I49.9) c. Cerebrovascular diseases (I60.0–I79.9) 3. Nervous system diseases (G0–G99) a. Cerebral palsy (G80.–G80.9) b. Seizures (G40.0–G41.9) c. Meningitis/encephalitis (G00.0–G00.9, G03.0–G03.9, G04.0–G04.9) 4. Respiratory system diseases (J00–J99) a. Asthma (J45–J46) b. Respiratory infections (J00.0–J18.9, J20.0–J22.9, J85.0–J86.9) 5. Endocrine, nutritional, and metabolic diseases (E00–E90) a. Cystic fibrosis (E84.0–E84.9) b. Metabolic diseases (inborn errors of metabolism) (E70.0–E83.9,E85.0–E90.0) c. Diabetes mellitus (E10.0–E14.9) |
Childhood Infections
Acquired diseases that are commonly encountered in infants up to 1 year of age include sequelae of conditions that originate in the perinatal period. Acquired diseases of the respiratory system (ICD-10 disease codes J00–J99), of which the majority include pneumonia and other respiratory infections followed by all other infectious diseases (ICD-10 codes A00–B99), are the most prevalent causes of death in infants up to the age of 1 year in the USA. Aside from respiratory infections, other types of infectious diseases that cause death appear to predominate in infants less than 1 year of age and continue to be a leading cause of morbidity and mortality in young children. Of the infectious causes of death, globally, diarrhea and malaria follow pneumonia in children less than 5 years of age. Other infectious diseases with increased mortality in children worldwide include meningitis, AIDS, and measles (Liu et al. 2010). In a recent US autopsy study evaluating causes of death in previously healthy or near-healthy children presenting to a children’s hospital, more than half of the deaths occurred in children less than 1 year old, and infectious causes were the leading cause of death. In this study, the greatest number of deaths was attributed to bacterial infections with an almost equal distribution of sepsis and meningitis (Taggart and Craver 2006).
Septicemia
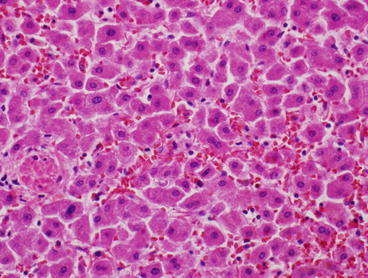
Sepsis is associated with high mortality rates in children. Sepsis, severe sepsis, and septic shock represent a continuum that reflects the inflammatory response to infection. In addition to a response to infection, systemic inflammatory response syndrome (SIRS) can occur from noninfectious life-threatening conditions (e.g., burns, trauma). Sepsis produces a biphasic inflammatory response in which the acute phase is marked by a rise in stress hormones that causes an increase in mitochondrial and metabolic activity followed by an altered hormonal profile that results in a decrease in energy production, metabolic rate, and normal cellular responses (Singer et al. 2004). SIRS involves the release of pro-inflammatory mediators in response to infection or injury and/or ischemia. The pro-inflammatory response is often followed by a compensatory anti-inflammatory mediator release. An imbalance between the pro- and anti-inflammatory mediators results in an immunologic imbalance with systemic inflammation. Most children who die from sepsis generally have the most severe form – septic shock with evidence of multiple-organ failure that can include acute respiratory distress syndrome, disseminated intravascular coagulation, and ischemic injury to multiple organs. When sepsis is suspected, it is important to consider obtaining cultures of blood, cerebrospinal fluid (CSF), and tissues. More recently, some have advocated obtaining blood for the determination of biochemical sepsis markers such as procalcitonin, although reliable postmortem reference values are lacking (Tsokos 2007; Riedel et al. 2011). Autopsy findings in some cases of sepsis are often nonspecific (Tsokos 2007). In a majority of cases, there should be some nidus of infection (e.g., pneumonia) identifiable on postmortem examination. An example is Neisseria meningitides sepsis. In such cases, typically there are skin changes (e.g., petechial or purpuric rash), cloudy or purulent meninges, and bilateral hemorrhagic adrenal necrosis (Waterhouse-Friderichsen syndrome), although Waterhouse-Friderichsen syndrome is not specific for Neisseria sepsis. In cases of treated or partially treated sepsis, there may not be a clear-cut nidus of infection; however, there typically is evidence of end-organ damage with varying changes throughout the body (Torgersen et al. 2009). Cultures from the blood, cerebrospinal fluid (CSF), and/or tissues should be considered particularly when the etiologic agent is unknown. The culture results often may be the only evidence of sepsis found on postmortem examination. The yield of other postmortem testing for infectious organisms has improved with detection of infectious agents by polymerase chain reaction (PCR), immunofluorescence, and detection of early antigen-fluorescent foci using postmortem tissue samples as has been shown in evaluating sudden unexpected deaths in infancy with consistent use of ancillary investigations (Weber et al. 2008, 2010).
Postmortem Macroscopic and Microscopic Examination
In general, skin changes can include ulcerations, cellulitis, erythema, petechial hemorrhages, purpura, ecchymoses, bullae (both intact and ruptured), and skin desquamation. Typically there is peripheral, dependent, or diffuse edema. On internal examination, pleural, pericardial, and peritoneal effusions may be present. On examination of the organs, there may be little to no abnormal changes, or marked changes resulting from the dissemination of infection, or changes related to hypotension and septic shock. It is not uncommon to see petechiae or hemorrhages on the organ surfaces, particularly the pleura, heart, and thymus. The liver and spleen may be enlarged, softened, and have wrinkled capsules. On sectioning, the spleen may show deliquescence (liquefaction). The liver parenchyma may have accentuation of the lobular architecture, centrilobular hemorrhage, and necrosis. In severe cases of sepsis, there may also be evidence of cholestasis or steatosis. The lungs, heart, liver, spleen, and kidneys may contain infarcts. In the lungs, there may be evidence of edema and congestion, pneumonia, abscess, or diffuse alveolar damage. Diffuse adrenal hemorrhage can be seen in some cases of bacterial sepsis, most notably in association with Neisseria meningitidis sepsis (Fig. 30.1). The kidneys may have scattered infective foci in the cortex with sparing of the medulla indicating hematogenous spread of infection. The heart may be dilated and contain diffuse or localized red-blue lesions or valvular vegetations (Fig. 30.2). The esophagus, stomach, and bowel walls may be thickened, edematous, and congested. There may be bloody material in the intestinal lumen. There may be fat necrosis or hemorrhage in, or surrounding, the pancreas. The brain may have evidence of edema or hemorrhage within the parenchyma (Fig. 30.3).
Fig. 30.1.

Bilateral adrenal glands with diffuse hemorrhage (Waterhouse-Friderichsen syndrome)
Fig. 30.2.

Tricuspid valve with vegetations on the flow side of the valve leaflets
Fig. 30.3.

Coronal section from the brain of a patient with endocarditis showing an acute parenchymal hemorrhage resulting from a septic embolus in the left middle cerebral artery territory. The hemorrhage extends into the lateral ventricle
In bacterial sepsis, microscopically, seeding of the bacteria in one or multiple organs can be present. Fibrin microthrombi may be seen within the microvasculature of various organs. Increased numbers of segmented neutrophils may be present within the microvasculature, in particular the lungs and hepatic sinusoids. The bone marrow may show an increase in myeloid precursors (so-called left shift). Edema and mixed inflammation can sometimes be seen in the myocardium or there may be valvular endocarditis (Fig. 30.4a, b). Cellular injury and evidence of apoptosis may be seen in multiple organs.
Fig. 30.4.

(a) Vegetation with acute bacterial endocarditis (Hematoxylin and Eosin, H&E × 4) showing acute inflammatory cells and fibrin (b) vegetation, high-magnification Gram stain showing Gram-positive bacteria consistent with acute bacterial endocarditis (×4)
Ancillary Testing
Because the histopathologic features and morphology of infectious organisms are often nonspecific, in order to identify the etiologic agent, cultures, serological tests, immunohistochemistry studies, in situ hybridization assays, molecular studies, and electron microscopy may be warranted. For the best results, the autopsy should be performed as soon as possible following death, and stringent precautions (sterile technique) should be used for obtaining specimens for ancillary studies (Centers for Disease Control and Prevention and National Center for Health Statistics 1999). Refrigeration shortly after death at 4–10 oC helps slow the postmortem migration of endogenous microorganisms.
Appropriate culture media, collection containers, and equipment should be available prior to starting the case, and samples should be transported to the appropriate laboratory for testing as quickly as possible. If the sample can be transported quickly to the laboratory, a sterile container can often be used for many of the tissue-culture samples. When fungi are suspected, sealing the sterile container with parafilm or a tight screw top is desirable to avoid bacterial overgrowth.
Percutaneous samples can be obtained after antiseptically cleaning the skin. Upon opening the chest, blood for cultures or other studies can generally be obtained from the inferior vena cava, ascending aorta, subclavian vessels, or right atrium after carefully opening the pericardium without contaminating the underlying structures. If blood is to be used for toxicology, samples from both a peripheral site and central site are desired as some drugs undergo postmortem redistribution. Using aseptic technique a needle can be introduced and blood aspirated into a sterile syringe. If serum samples are desired and will be stored for any length of time, it is useful to centrifuge the blood.
Swab cultures from grossly purulent tissues can be collected with the use of cotton-tipped applicators. If possible, tissue samples for microbiology studies should be obtained in situ after the surface of the organ is wiped dry and cleaned with an iodine-containing disinfectant or seared with a hot spatula (note that this technique is more likely to aerosolize infectious organisms). A sterile scalpel and forceps should be used to cut the surface of the organ and obtain the tissue samples from beneath the surface. The tissue can then be placed in the appropriate collection container for transport to the laboratory.
CSF can be obtained with an appropriately long needle by standard percutaneous posterior lumbar puncture, aspiration through the spinal foramina between the first and second lumbar vertebrae following organ evisceration, or aspirating from the lateral ventricle after separating the cerebral hemispheres. Alternatively, the body can be placed in a prone position with a block under the chest to flex the neck and a needle inserted into the skin at the junction of the occiput and atlas (C-1) at the atlantooccipital joint. The needle is angled toward the bridge of the nose, and once there is a loss of resistance indicating entry into the cisterna magnum, CSF can be aspirated.
Fresh tissue samples obtained with aseptic technique at autopsy and frozen can be stored and later used as a source for multiple studies in particular PCR for infectious diseases, especially when a small number of organisms are present, or when the particular microorganism is difficult to culture or takes a long time to grow in culture. Frozen tissue samples can also be later used for electrophoresis, Western blot, Southern blot, DNA studies, high-pressure liquid chromatography (HPLC), gas chromatography–mass spectrometry (GC-MS), and enzyme assays (Kapur 2001).
Both immunohistochemistry (IHC) and in situ hybridization (ISH) using paraffin-embedded tissue can be used to diagnose and study infectious diseases. The sensitivity of IHC is greater than ISH because IHC detects specific antigens which are more abundant in infectious organisms, while ISH uses specific probes that detect nucleic acids which are less abundant than antigens. Formalin fixation can decrease the sensitivity of IHC due to cross-linking of proteins; therefore fixation should not exceed 2 weeks before embedding.
Diarrheal Infections
Acute gastroenteritis is a leading cause of morbidity and mortality worldwide. Most cases can be linked to contaminated water and food supplies. Although improvements in the management and prevention of infectious gastroenteritis have reduced the number of deaths over the past several decades, the number of hospitalizations remains high even in developed countries. The causative agents of diarrhea in developing countries include rotaviruses, Norwalk-like viruses, enteric adenoviruses, enterotoxigenic Escherichia coli, Campylobacter species, cytotoxigenic Clostridium difficile, and Cryptosporidium. Viral diarrhea tends to occur in the winter or dry seasons. In tropical areas in developing countries, the mortality from diarrheal infections is estimated at 4.6 million deaths per year (12,600 deaths per day in children), and in some areas the mortality exceeds 25 % in children less than 5 years of age. Outbreaks of diarrheal disease occur in child-care centers with rotavirus infections occurring in children under 2 years of age and Giardia lamblia infection in older children (Guerrant et al. 1990). Rotavirus infection accounts for approximately 1.2 million deaths worldwide in children less than 5 years of age (Tate et al. 2012). Rotavirus selectively infects small-intestinal mature enterocytes without disrupting crypt cells which results in repopulation of the surface epithelium by immature secretory cells. The loss of absorption and increase in secretory cells result in a net secretion of water and electrolytes that combines with an osmotic diarrhea from poor absorption of nutrients. Acute diarrheal infections in children can quickly result in severe dehydration and metabolic acidosis that can result in death. In some cases, the child may appear to be adequately hydrated and therefore an acute gastroenteritis may not be suspected. In such cases, dehydration may be overlooked (Staat et al. 2005). Various body fluids can be used for biochemical testing; however, vitreous fluid is the most stable and can be used for many metabolic tests. In suspected cases of infectious gastroenteritis, consideration to evaluate electrolytes in vitreous fluid should be entertained along with the possibility of obtaining gastric or intestinal contents for ancillary studies to determine the etiologic agent. Rotavirus infection can be made by rapid antigen testing of stool by enzyme immunoassay (EIA) or latex agglutination tests. Rapid latex and Dot-ELISA tests can be utilized and are both sensitive and specific for rotavirus. More recently, the ImmunoCard STAT® Rotavirus kit has become available. The ImmunoCard STAT® Rotavirus kit is an easy, rapid, cost-effective test that detects monoclonal antibodies to rotavirus in stool samples. RT-PCR is useful for investigating genotype prevalence (Goodgame 2001).
Postmortem Macroscopic and Microscopic Examination
On macroscopic examination, the findings in the gastrointestinal tract may be nonspecific or quite variable. Although the gastrointestinal tract rapidly autolyzes postmortem, in cases of suspected gastroenteritis, it is important to obtain fecal samples if ancillary testing is sought and to fix sections of the gastrointestinal tract as quickly as possible. With acute viral enterocolitis, the bowel may appear dilated and filled with flocculent fluid. After emptying the intestines and stomach and for better preservation, it is helpful to rinse the samples in formalin rather than water. Most infections show a nonspecific pattern of damage to the surface epithelium. Acute enterocolitis appears as diffusely red with a thickened mucosa. Alternatively, in cases of Clostridium difficile or amoebic enterocolitis, multiple discrete plaques (pseudomembranes) or mucosal ulcerations may be present.
In acute infective enterocolitis, there is a predominance of acute over chronic inflammation with neutrophils in the crypt epithelium rather than crypt lumen, a lack of crypt architectural abnormalities, and edema (Shepherd 1999). The small intestine may exhibit modest blunting of the villous architecture with associated acute inflammation and edema. Well-formed granulomas are a feature of some infectious enterocolitides. In particular yersiniosis, chlamydia, and tuberculosis can cause granulomatous disease, often with necrosis which is not usually seen in other noninfectious enterocolitides such as Crohn disease. Infection by clostridial species can show epithelial characteristics similar to cholera with mucus depletion of the crypts but with epithelial damage that can be necrotizing.
Ancillary Testing
When determination of the pathogenic organism is desired, samples for cultures or other tests should be obtained. Because most children with acute infectious enterocolitis die from dehydration and/or acidosis, consideration should be made to determine postmortem vitreous electrolyte values. For studies of electrolytes, vitreous fluid can be easily drawn from the posterior chambers of the eyes. Vitreous is the specimen for analysis and is preferred over blood samples because of the postmortem breakdown and autolysis that occurs in serum. Although potassium is unstable in vitreous, sodium, chloride, creatinine, and urea nitrogen can remain stable for up to 120 h following death. Because vitreous glucose levels decrease postmortem, the vitreous is not useful for identifying hypoglycemia. Variables such as postmortem interval, temperature, and patient age can affect vitreous components. Analysis for glucose, ketones, alcohols, and certain drugs can also be performed on vitreous. Table 30.2 shows some typical dehydration patterns that can be interpreted from vitreous analysis.
Table 30.2.
Common postmortem vitreous electrolyte patterns with dehydration
| Type of dehydration | Sodium (mmol/L)a | Chloride (mmol/L)a | Creatinine (mg/dL)a | Urea nitrogen (md/dL)a |
|---|---|---|---|---|
| Hypernatremic | >155 | >135 | Elevated | >40 |
| Isonatremic | Normal | Normal | Elevated | Elevated |
| Hyponatremic | <135 | <105 | Maybe elevated | Elevated |
aVitreous reference range for sodium is 135–150 mmol/L, for chloride is 105–135 mmolL, for creatinine is 0.6–1.3 mg/dL, and for urea nitrogen is 8–20 mg/dL (Collins 2011)
Meningitis
Infectious organisms can enter the central nervous system (CNS) by hematogenous spread, direct implantation, or local extension or through the peripheral nervous system (PNS). The most common portal of entry is by hematogenous spread. Meningitis is an inflammatory process of the leptomeninges and CSF. When the inflammation extends to involve the brain parenchyma, it is referred to as meningoencephalitis. Infectious meningitis/meningoencephalitis can be divided broadly into three categories on the basis of the inflammatory infiltrate. In acute pyogenic or bacterial meningitis, Escherichia coli and group B streptococci are the most common bacterial etiologic agents in neonates; Hemophilus, Streptococcus pneumoniae, influenza (particularly in developing countries with no access to the vaccines for pneumococcus and Hemophilus influenza type b), and Neisseria meningitidis are most common in infants and children; and Neisseria meningitidis is the most common bacterial pathogen in adolescents and young adults. Acute aseptic meningitis is most often caused by viruses and is generally a benign disease with seasonal variation. In most instances, children who die with aseptic meningitis have concurrent systemic illness (e.g., enteroviral infection with concurrent myocarditis and hepatic necrosis with coagulopathy. The most common viral etiologic agents of aseptic meningitis include echoviruses, Coxsackie A and B viruses, herpes simplex viruses, mumps and measles viruses, adenoviruses, arboviruses, and more recently lymphocytic choriomeningitis virus. Viral meningitis is most prevalent in children less than 5 years of age, and the most common etiologic agents in this age group are enteroviruses. The third major category encompasses the chronic bacterial meningoencephalitides including tuberculosis, neurosyphilis, and Lyme disease. The morbidity and mortality depend on a number of factors including infectious agent, age, health state, and how quickly the diagnosis and treatment occur. Pediatric meningitis is most common in children under the age of 4 years and peaks between 3 and 8 months of age. The overall mortality for bacterial meningitis is 5–10 %. In neonates, the death rate is 15–20 %, and in older children it is 3–10 %. The highest mortality rates are with Streptococcus pneumoniae, Hemophilus influenza type b, and Neisseria meningitidis (Muller 2012). Although the worldwide prevalence of tuberculosis in children is difficult to assess, it is estimated that 40,000 tuberculosis-related deaths occur annually, and 1 of every 300 untreated primary cases of tuberculosis develops tuberculous meningitis. The prevalence of tuberculous meningitis is highest in children less than 5 years of age (Ramachandran 2011). If an etiologic agent is sought at the time of autopsy, CSF and tissue for culture and other ancillary studies should be obtained as soon as possible following death.
Postmortem Macroscopic and Microscopic Examination
In cases of acute bacterial meningitis, in the very early stages, there may be little or no discernable exudate. Typically in fulminant cases, there may be edema, the CSF is generally cloudy, and the leptomeninges can be cloudy, thickened, or contain a purulent exudate. The meningeal vessels are often prominent and engorged. On sectioning, there may be purulent fluid or an exudate in the ventricles, and in cases of meningococcemia, there can be hemorrhage in the ventricles and small thrombotic infarcts. The location of the exudate can be a hint to the underlying etiology. In cases of Hemophilus, the exudate is located at the base of the brain, whereas with pneumococcal meningitis, the exudate tends to be most prominent over the cerebral convexities near the sagittal sinus. There are no distinct findings seen in aseptic meningitis, often consisting of only edema. With chronic bacterial meningoencephalitis, there may be a gelatinous or fibrinous exudate present most commonly at the base of the brain and white granules scattered over the leptomeninges.
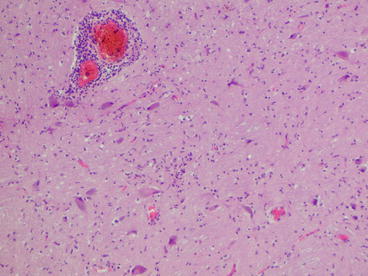
Microscopically in acute bacterial meningitis, large numbers of neutrophils can be seen within the subarachnoid space and sometimes the ventricles that are associated with necrotic debris. Purulent material may be seen in the choroid plexus. Inflammatory cells are often seen surrounding the leptomeningeal blood vessels and periventricular white matter (Fig. 30.5a, b). There may also be fibrinoid necrosis of small vessels in the periventricular white matter. Intracellular and extracellular bacteria can usually be seen or demonstrated by special stains. Cases of aseptic meningitis microscopically can range from no microscopic abnormalities, to a mild to moderate lymphocytic infiltrate within the leptomeninges and a scant perivascular lymphocytic infiltrate, microglial nodules, and neuronophagia; to acute necrotizing encephalitis (Fig. 30.6).
Fig. 30.5.

(a) Leptomeninges, medium-magnification H&E stain with acute bacterial meningitis (Hematoxylin and Eosin, H&E ×10) (b) leptomeninges, high-magnification H&E stain showing a dense acute inflammatory infiltrate (Hematoxylin and Eosin, H&E ×20)
Fig. 30.6.

Photomicrograph of brain in a child with acute viral encephalitis, high-magnification H&E stain showing perivascular lymphocytic infiltrate and microglial nodules (Hematoxylin and Eosin, H&E ×20)
Ancillary Studies
If CSF can be collected early in the postmortem interval, the yield may be better. Studies have shown that mononuclear cell counts increase in relation to the postmortem interval, and the cells can become vacuolated after about 12 h postmortem. Cisternal and ventricular CSF typically have none to only a few cells, compared to lumbar CSF (Morris and Harrison 2006). Although assessment of mononuclear cell counts may be variable, the existence of neutrophils in postmortem CSF may be helpful in determining the presence of infection, and therefore cell counts should be considered; however, obtaining CSF samples for culture and/or DNA and RNA extraction for PCR may prove more beneficial in helping to determine the infectious etiology.
Fresh tissue for snap freezing should also be considered in cases of suspected meningoencephalitis. This can allow for further testing using molecular techniques.
Malaria
The estimates of disease burden from malaria vary widely. For 2008, the World Health Organization estimated that 80 % of deaths from malaria occurred in children younger than 5 years of age with the majority of deaths in sub-Saharan Africa (Crawley et al. 2010). Substantial overlap with HIV infection exists and is associated with fatality. The symptoms of severe malaria caused by all species are the same symptoms recognized in sepsis. Headache, chills, muscle aches, vomiting, and anorexia are common. Impaired consciousness, seizures, respiratory distress, severe anemia, hypoglycemia, metabolic acidosis, and hyperlactatemia are the most frequently reported clinical and laboratory features reported in children with severe falciparum malaria.
Postmortem Macroscopic and Microscopic Examination
Most autopsy series addressing malaria as a cause of death are in adult populations, and the macroscopic findings have been found to be nonspecific. The method of diagnosis consists of histopathologic findings of malarial pigment-laden red blood cells in the capillaries of multiple organs and visualization of the parasites on Giemsa-stained peripheral smears (Menezes et al. 2012). Nested PCR can be used to identify the parasite in paraffin-embedded tissue samples, and immunofluorescence can also be used to identify the parasites in infected red blood cells.
Respiratory Infections
Of the diseases that cause death in children, the most common are respiratory infections and in particular lower respiratory-tract infections (i.e., pneumonia). Pneumonia is one of the most common infections worldwide with a high morbidity and high mortality, particularly in developing countries. Streptococcus pneumoniae is the most common bacterial cause of pneumonia. Viruses cause approximately 95 % of pneumonias in infancy and are the most common cause of pneumonia in all age groups. Influenza A, influenza B, respiratory syncytial virus, adenovirus, and parainfluenza virus 1, 2, and 3 are the most common respiratory viruses causing pneumonia. In industrialized countries upper and lower respiratory viral infections have a mortality of 1–3 % among children less than 5 years of age, and in developing countries the mortality reaches 10–15 % (Alter et al. 2011).
In children aged from 3 weeks to 15 years, lower respiratory-tract viruses and Streptococcus pneumoniae are common pathogens that cause community-acquired pneumonia. Chlamydia is also common in these age groups, although pneumonia is caused by Chlamydia trachomatis in infants less than 3 months of age, whereas Chlamydia pneumoniae is more common in children older than 3 months. Bordetella pertussis is also responsible for causing pneumonia in infants less than 3 months of age, and in children aged from 4 months to 15 years, Staphylococcus aureus and Mycoplasma pneumoniae are common pathogens (Alter et al. 2011). In older adolescents, Mycoplasma pneumoniae, Chlamydia pneumoniae, and Streptococcus pneumoniae are also common causes of pneumonia, with Mycoplasma pneumoniae being the most common cause (Alter et al. 2011).
In cases of clinically diagnosed or suspected pneumonia, it is important to review the clinical record and in particular imaging and laboratory studies. Sections from the lungs should be aseptically sampled, placed in a sterile container, and sent for microbial evaluation. Samples have the best yield if they are collected as early as possible in the postmortem interval. In collecting the sample, cleansing or searing the lung surface and sampling deep areas will also give the best results. Samples for viral evaluation should be collected into appropriate containers and media.
Postmortem Macroscopic and Microscopic Examination
Bacterial pneumonias can either have patchy consolidation (bronchopneumonia) or involvement of large areas or an entire lobe (lobar pneumonia), or both patterns can overlap. Bronchopneumonia is often multilobed and bilateral, and lobar pneumonia can be boggy and intensely congested, densely red, firm and airless (red hepatization), or with a confluent grayish-brown dry appearance (gray hepatization). Bacterial pneumonias can progress and cause abscess formation, empyema, and bacteremic dissemination with endocarditis, meningitis, or suppurative arthritis.
Atypical (viral and mycoplasma) pneumonias may be patchy or involve entire lobes. The lung often appears intensely congested (dark red/blue) and subcrepitant. Pleuritis, empyema, and pleural effusions are not typically associated with viral or mycoplasma pneumonias. With atypical pneumonias, there may be superimposed bacterial infection showing either patchy consolidation, lobar consolidation, or both, as in primary bacterial pneumonias. With influenza respiratory infections, mucosal edema and hyperemia, tonsillitis, vocal-cord edema, and abundant mucus may be present.
Histologically, in bacterial bronchopneumonias there is suppurative inflammation consisting of neutrophils that fill the bronchi, bronchioles, and alveoli (Fig. 30.7). In the early stage of lobar pneumonia, vascular engorgement and fluid, sparse neutrophils, and abundant bacteria can be seen in the alveoli. In the red-hepatization stage of lobar pneumonia, there is a confluent acute inflammatory infiltrate with red blood cells, neutrophils, and fibrin filling the alveoli. Resolution with a lack of the red cells and a persistent fibrinopurulent exudate is seen in the stage of gray hepatization.
Fig. 30.7.

Lungs with acute bacterial bronchopneumonia, medium-power H&E stain showing acute multifocal areas of acute inflammatory cells within the alveoli and bronchioles. There is also associated edema and congestion (Hematoxylin and Eosin, H&E ×10)
The histological pattern of most viral and mycoplasma pneumonias depends on the severity of the infection. The trachea and bronchi are often inflamed. Atypical pneumonias characteristically involve the interstitium with a mononuclear infiltrate consisting of lymphocytes, histiocytes, and occasional plasma cells. In acute infection, neutrophils may also be present, and there can be proteinaceous material within the alveoli and hyaline membranes similar to those seen in hyaline-membrane disease. Certain viruses may cause epithelial necrosis (e.g., herpes simplex, varicella, and adenovirus), epithelial giant cells with nuclear or cytoplasmic inclusions (e.g., cytomegalovirus, measles), or cytopathic effects (Chong et al. 2009). Infection with respiratory syncytial virus shows acute inflammation involving medium and small bronchioles and most cartilaginous airways. The lumens can be occluded by epithelial cellular debris, macrophages, fibrin, and mucin, and intrabronchiolar syncytia can be seen adjacent to the cellular debris (Johnson et al. 2007).
Cystic Fibrosis
Cystic fibrosis is a multisystem genetic disease caused by mutations in a gene that encodes the cystic fibrosis transmembrane-conductance regulator (CFTR) protein that functions mainly as a chloride channel. The sweat test is the most readily available way of establishing a diagnosis, although newborn screening is currently done by measuring immunoreactive trypsinogen (IRT) in blood spots. A high IRT is suggestive of pancreatic injury which may be indicative of cystic fibrosis. Cystic fibrosis affects fluid secretions in exocrine glands and the epithelial lining of the respiratory, gastrointestinal, and male reproductive tracts. Histologically, it does not affect the sweat glands. In this disease, there is abnormal viscid mucus secretion that obstructs passages in the lungs, pancreas, liver, intestines, and gonads. Although survival has improved over time, at least 80 % of cystic fibrosis–related deaths are due to respiratory insufficiency (O’Sullivan and Freedman 2009). Cystic-fibrosis pulmonary disease is characterized by chronic pulmonary infection, progressive bronchiectasis, gas trapping, hypoxemia, and hypercarbia. At birth, the lungs in cystic fibrosis are normal; however, early on, the lungs become inflamed. Patients with cystic fibrosis commonly get Pseudomonas aeruginosa respiratory infections that initially grow as a non mucoid strain. Eventually the organism synthesizes biofilms and becomes difficult to eradicate with conventional antibiotics. These patients can also become infected with other microbes including Burkholderia cepacia, Stenotrophomonas maltophilia, methicillin-resistant Staphylococcus aureus (MRSA), and atypical mycobacteria. During the neonatal period other signs and symptoms of cystic fibrosis include meconium ileus, jaundice, intestinal atresia, abdominal or scrotal calcifications, and pancreatic insufficiency. Pancreatic insufficiency often leads to protein and fat malabsorption manifested by diarrhea, abdominal distention, poor weight gain, and significant failure to thrive. Malnutrition and dehydration can result in death. Meconium ileus is a common cause of death in neonates with cystic fibrosis (Oppenheimer 1981). During infancy, persistent infiltrates are commonly present on chest x-ray, and commonly these infants have Staphylococcus aureus or Hemophilus influenza pneumonia. In early infancy, acute respiratory infections commonly are the cause of death, and in late infancy into childhood, chronic pulmonary changes are usual, with or without superimposed acute pneumonia. In addition, infants may have abdominal distention, chronic diarrhea, cholestasis, and failure to thrive. During childhood into adolescence, chronic pansinusitis or nasal polyps, steatorrhea, rectal prolapse, intussusception or intestinal obstruction, pancreatitis, liver disease, bronchiectasis, hemoptysis, bronchopulmonary aspergillosis, and delayed puberty may be present (O’Sullivan and Freedman 2009). Sudden death can occur from a volvulus with intestinal ischemia in patients with cystic fibrosis. In addition, mucus plugging, duct dilation, and fibrosis affect the pancreas in up to 90 % of patients with cystic fibrosis. A significant proportion of patients with cystic fibrosis may also develop diabetes mellitus (most commonly type 2 diabetes) that is characterized by a progressive decline in pancreatic β-cell function and β-cell mass.
Postmortem Macroscopic and Microscopic Examination
In patients dying from the pulmonary complications of cystic fibrosis, the lungs typically contain extensive mucus plugging of the tracheobronchial tree and dilated, fusiform, vascular bronchi (bronchiectasis). There may be consolidation due to both secretions and pneumonia. A green discoloration is usually indicative of Pseudomonas infection. With pneumonia, abscesses are commonly present. Examination of the pancreas can show accumulation of mucus in the small ducts (mild cases) to complete mucus plugging of the ducts with atrophy of the exocrine glands and fibrosis. In neonates and infants, mucus plugs can also occur in the small intestine causing small-bowel obstruction, also known as meconium ileus. Rarely, infarcted bowel may be seen associated with intussusception as a result of inspissated material in the bowel (Fig. 30.8). In approximately 5 % of cases, there is mucus plugging of the bile ducts that can result in biliary cirrhosis.
Fig. 30.8.

Small intestines with necrosis due to intussusception in a case of cystic fibrosis
Early microscopic structural changes in the lungs that can be seen in neonates and infants with cystic fibrosis include hyperplasia and squamous metaplasia of the epithelium, hypertrophy, and hyperplasia of the bronchial submucosal mucus glands, thickening of the epithelial reticular basement membrane, and an increase in airway smooth muscle (Regamey et al. 2011). Chronic respiratory changes commonly seen in cystic fibrosis include atelectasis, mucus obstruction with distention of the bronchioles, acute and chronic inflammation, bronchiectasis, cyst formation, and fibrosis. Pulmonary hypertensive vascular changes are also common. Superimposed infection is common in both early and late stages with Staphylococcus aureus and/or Pseudomonas aeruginosa (Hamutcu et al. 2002). Microscopic changes in the pancreas include mild-to-moderate dilation of the pancreatic ducts with mucus plugging and fibrosis of the exocrine pancreas with sparing of the islets. There may also be amyloidosis of the islets which can be a feature of diabetes in patients with cystic fibrosis.
Immune-Related Disease
Immune dysfunction affects approximately 25 % of children in some countries and is linked to asthma and allergies, type 1 diabetes mellitus, juvenile arthritis, otitis media, recurrent infections, celiac disease, Kawasaki disease, and childhood acute leukemia. Pediatric immune and inflammatory diseases associated with misdirected, exaggerated, or dysfunctional immune responses pose an increased risk of other conditions and diseases that impact health later in life (Dietert and Zelikoff 2010). In addition to increasing the risk of chronic disease, infections, asthma and allergies, diabetes, and acute leukemia also increase the risk of mortality in the pediatric population and are some of the diseases likely to be encountered at autopsy.
Asthma
Asthma is a chronic disease characterized by episodic wheezing, dyspnea, chest tightness, and cough due to inflammation of the airways causing bronchoconstriction and airflow limitation. Most asthmatics have a genetic predisposition to type I hypersensitivity (atopy) which begins during childhood. Wheezing episodes in asthmatics can be triggered by environmental antigens (although any antigen can be implicated) or triggered by respiratory infections. Although asthma is an uncommon cause of death, estimates reported in 2001 in the USA showed nearly 4,000 deaths occur annually (Centers for Disease Control and Prevention). Mortality data from 1999 to 2009 show that approximately 14 % of childhood deaths attributed to respiratory diseases were due to asthma. Viral respiratory infections appear to effect aspects of asthma. In infancy, viral infections, including RSV, rhinovirus, metapneumovirus, parainfluenza, and coronavirus, are associated with wheezing episodes, and certain viral infections, particularly RSV, are believed to be important in initiating the development of asthma. Respiratory viruses have also been shown to be associated with acute exacerbations in children with established asthma. In addition, allergy and viral infections appear to synergistically increase the risk of acute exacerbations of asthma by damaging airway epithelium (Busse et al. 2010). Asthma deaths have been reported in patients in association with food allergy, anaphylaxis (Shen et al. 2009), sickle-cell disease, illicit drug use (Greenberger et al. 1993), and in patients participating in sports activities (Becker et al. 2004).
Postmortem Macroscopic and Microscopic Examination
In situ examination shows hyperinflation of the lungs that appear to overfill the chest and obscure the heart. Further examination of the lungs typically shows both hyperinflation and areas of atelectasis. Examination of the airways shows thick tenacious mucus plugs within the bronchi and bronchioles.
On histology, there is typically thickening of the basement membrane of the bronchial epithelium, hypertrophy of the bronchial-wall muscle, enlarged submucosal glands, edema, and inflammation consisting of predominantly eosinophils and mast cells within the bronchial epithelium. Mucus plugs are not unusual (Fig. 30.9). Curschmann spirals and Charcot-Leyden crystals may be present.
Fig. 30.9.

Bronchus with mucus plugging in a patient with asthma, low-magnification H&E stain (Hematoxylin and Eosin, H&E ×10)
Allergies and Anaphylaxis
Anaphylaxis is a serious allergic reaction with a rapid onset that involves both nonimmune activation and immune activation in previously sensitized individuals. Anaphylaxis commonly involves the synthesis of IgE in response to allergen exposure. The allergen becomes fixed to IgE high-affinity receptors on the surface membranes of mast cells and basophils and leads to the release of inflammatory mediators including histamine, tryptase, carboxypeptidase A, proteoglycans, leukotrienes, prostaglandins, cytokines (Il-6, IL-33, TNr-α), and platelet-activating factors. Mainly mast-cell degranulation leads to systemic vasodilation that is associated with a sudden fall in blood pressure, bronchial mucosal edema, bronchoconstriction, and dyspnea (Unkrig et al. 2010). Triggers for anaphylaxis include certain types of food, medications, venoms, latex, occupational allergens, seminal fluid, and inhaled allergens. Food allergies are the most common trigger of anaphylaxis seen in hospital emergency room visits. Although most persons can be adequately treated, when death occurs, the symptom onset is most commonly within 0–30 min. Death occurs within the first hour of onset and is usually due to asphyxiation from laryngeal or oropharyngeal swelling, collapse from hypotensive shock, cardiac arrest, or acute severe bronchoconstriction causing respiratory failure and arrest (Greenberger et al. 2007). Peanut and tree-nut ingestions account for >85 % of all food-related anaphylactic deaths in the USA. Food allergy–induced anaphylaxis can occur without skin manifestations. Risk factors for fatal food allergy–induced anaphylaxis include asthma, failure to use epinephrine auto-injections promptly, a prior history of severe reactions, known food allergy, denial of symptoms, and adolescent or young-adult age (Greenberger and Ditto 2012). The relationship between asthma and severe anaphylactic reactions, in particularly food, is well established. A high percentage of fatal and near-fatal anaphylactic reactions have been reported in children, adolescents, and young adults with known asthma in which the mechanism of death was most commonly attributed to severe bronchospasm and respiratory arrest (Sampson et al. 1992). In examining deaths from possible anaphylaxis, it is important to elicit a history of known allergies and/or asthma, possible witnessed or documented exposures to allergic triggers, as well as circumstances, timing, and symptoms prior to death. Consideration should be made in obtaining postmortem samples for toxicology, chemistry, and other ancillary tests prior to beginning the autopsy. In suspected anaphylactic deaths, measuring serum tryptase, histamine, diamine oxidase, and trigger-specific IgE antibody levels should be considered.
Postmortem Macroscopic and Microscopic Examination
Macroscopic findings may be nonspecific or absent. Pulmonary congestion with or without edema, intra-alveolar hemorrhage, increased tracheal and bronchial secretions, visceral congestion, or cutaneous edema may be present (Low and Stables 2006). There may also be mucus plugging, hyperinflated lungs, pharyngeal or laryngeal edema, and tracheal and vocal cord petechial hemorrhages (Greenberger et al. 2007; Pumphrey and Roberts 2000). In cases of venom-related anaphylaxis, there may be evidence of a sting present on the skin.
There may be increased numbers of mast cells present with degranulation seen microscopically in the tracheal or laryngeal mucosa. Mucus plugging may be seen in the bronchial airways as well as evidence of chronic asthmatic changes (see above). Pulmonary edema may also be seen in some cases (Fig. 30.10).
Fig. 30.10.

Lungs with intense pulmonary edema in an anaphylactic reaction (Hematoxylin and Eosin, H&E ×10)
Ancillary Testing
Blood can be drawn from the iliac vein or inferior vena cava for serum tryptase levels. Tryptase levels in living patients can be used as a marker for mast cell number (α-tryptase) and mast cell activation (β-tryptase). Tryptase is highly stable and can be assessed several days postmortem (Edston and van Hage-Hamsten 1998). Although there is variability in the interpretation of postmortem tryptase levels, several studies have shown that values above 11.4 μg/L (the upper normal limit in living subjects) are suggestive of anaphylactic deaths, though increased levels are not specific and have been shown to be elevated in other non anaphylactic deaths (Mayer et al. 2011). There have been mixed reports as to whether or not tryptase levels increase with increasing postmortem intervals. When the suspected allergen trigger is known, trigger-specific IgE antibody levels are also possible. Although elevated IgE antibody levels do not prove anaphylaxis, they can help determine the type of allergen responsible for the anaphylaxis (Prahlow and Barnard 1998).
Diabetes Mellitus
Diabetes affects an estimated 16 million people in the USA and 171 million worldwide (Wild et al. 2004). Although all forms of diabetes share the common feature of hyperglycemia, the pathogenic process resulting in hyperglycemia differs. Type 1 diabetes mellitus accounts for approximately 10 % of all diabetes cases. The incidence of type 1 diabetes in children increases with age and is highest among children 10–14 years old (Karvonen et al. 2000). In type 1 diabetes there is an absolute deficiency of insulin caused by destruction of the β-cells of the pancreas that is usually either immune-related or idiopathic. The onset of type 1 diabetes can occur at any age, but usually occurs in children beginning at around the age of 4 years, peaking in adolescence. Type 1 diabetes has genetic associations that have been mapped to at least 20 loci. By far, the most important linkage is to class-II MHC (HLA) genes with T-cell and humoral-mediated (TNF, IL1, NO) destruction of pancreatic β-cells resulting in absolute insulin deficiency. Type 2 diabetes is characterized by a peripheral resistance to insulin action and inadequate secretory response by the β-cells of the pancreas.
Diabetes is the leading cause of blindness and end-stage kidney disease in the Western hemisphere. Diabetes also contributes to the high incidence of cardiovascular disease. Diabetic children are also prone to infections. Within the first 10 years after a diagnosis of diabetes, acute complications are a leading cause of death (Secrest et al. 2010). Acute complications include diabetic ketoacidosis (DKA), hyperosmolar hyperglycemic state (HHS), hypoglycemia, and sudden death (including “dead in bed” syndrome). Diabetic ketoacidosis is predominantly seen in type 1 diabetics and is commonly the presenting symptom for the diagnosis of new-onset type 1 diabetes mellitus, particularly in children under the age of 4 years (Liu et al. 2010). Although most cases of DKA are adequately treated if diagnosed quickly, because it evolves within a short time frame, the mortality rate is around 2–5 %. In hospitalized children treated for DKA, death is often attributed to cerebral edema (Edge et al. 1999).
HHS is a hyperosmolar hyperglycemic state without significant ketosis or acidosis. HHS occurs most commonly in type 2 diabetics with other simultaneous illnesses. In such cases, there is sufficient endogenous insulin release to suppress counter regulatory secretion of other hormones but inadequate insulin release to suppress hyperglycemia. Clinically, the onset of HHS can occur over several weeks, and hyperglycemia is more pronounced than in DKA which results in greater osmotic diuresis and dehydration. The mortality rate is approximately 15 %. The findings of a high glucose concentration with no significant ketone bodies are consistent with HHS (Hockenhull et al. 2012).
Type 1 diabetes mellitus increases the risk of sudden death in children. Multiple studies have reported sudden unexplained deaths in which the deceased was found dead in bed with no evidence of sweating or terminal struggle and no clear-cut cause of death found at autopsy, coined “dead in bed” syndrome. Since the first reports describing the characteristics of dead in bed syndrome, this syndrome has been reported in 22–45 % of all sudden unexplained death in young type 1 diabetics. These deaths have been theorized to result from hypoglycemia, malignant cardiac arrhythmias, cardiac autonomic neuropathy, hypoglycemia-associated autonomic failure, or a combination of these (Secrest et al. 2011). Current evidence suggests that those at risk for dead in bed syndrome may have reduced parasympathetic activity due to long-standing diabetes and early stages of cardiac autonomic neuropathy that result in ventricular arrhythmias or that hypoglycemia may result in abnormal cardiac repolarization as evidenced by long QT intervals and subsequent ventricular tachyarrhythmias (Secrest et al. 2011; Gill et al. 2009). As part of the investigation of deaths in diabetic children including sudden unexplained deaths, ancillary testing is important in ruling out other nonnatural causes. In particular, vitreous chemical analysis for determining electrolytes, glucose, and ketones may be the only positive finding. Consideration should also be made to obtain samples for possible molecular testing to help better determine the cause of death.
Postmortem Macroscopic and Microscopic Examination
In the absence of other natural disease (e.g., infection, malignancy), often there are no macroscopic abnormalities in the pancreas and other organs of diabetic children. In children with long-standing poorly controlled diabetes, there may be renal changes consisting of granular and thinned cortices or sequelae of macro- and microvascular disease.
On histological examination of the pancreas, leukocyte infiltration of the islets may be present, most commonly in recent-onset type 1 diabetes. In rapidly advancing disease, the islets may be small to inconspicuous. The kidneys typically show thickening of the basement membranes in the renal medullas and glomeruli, hyaline arteriosclerosis, diffuse mesangial sclerosis, and nodular glomerulosclerosis in long-standing disease. Acute pyelonephritis and necrotizing papillitis are also commonly seen in association with diabetes.
Ancillary Testing
Samples for microbiology studies are advised and in particular may be helpful when macroscopic examination reveals a potential source of infection. Postmortem blood samples and tissue samples should be obtained and held for possible future molecular studies. Vitreous should be obtained and tested for electrolytes (see diarrheal infections, ancillary studies), glucose, and ketones. Acetone and β-hydroxy butyrate (βHB) levels can be determined from postmortem blood or vitreous samples. Blood βHB levels of >250 μg/mL and acetone levels >90 mg/L (9 mg/dL) are considered significant although as this may indicate an extrinsic source, it should not be used in isolation without vitreous glucose levels to diagnose ketoacidosis. Postmortem blood samples are not suitable for glucose levels due to rapid decrease (Palmiere and Mangin 2012). Vitreous glucose levels are generally lower than that in the blood (85 % of plasma levels) but are less affected by postmortem changes and are the preferred sample for testing glucose levels (Palmiere and Mangin 2012).
Table 30.3 shows typical vitreous-chemical findings in diabetes, diabetic ketoacidosis, and hyperosmolar hyperglycemic state.
Table 30.3.
Postmortem vitreous findings in diabetes, diabetic ketoacidosis, and hyperosmolar hyperglycemic state
| Glucose | Keto acids | |
|---|---|---|
| Diabetes | ++ | – |
| DKA | +++ | + |
| HHS | +++++ | – |
DKA - Diabetic ketoacidosis
HHS - Hyperosmoler hyperglycemic state
Sudden Unexplained Death in Childhood and Seizure Disorders
Generalized seizures in children can be caused by a number of conditions including infections, metabolic or toxic disorders, vascular malformations, space-occupying lesions such as neoplasms, or structural central nervous system lesions. Lafora body disease and Unverricht-Lundborg disease are two well-defined autosomal recessive genetic disorders that cause progressive myoclonic epilepsy. The onset of seizures is earlier in Unverricht-Lundborg (6–13 years of age) than in Lafora body disease (15 years of age). In both diseases, there are intractable seizures, psychosis/emotional lability, and intellectual decline. Another cause of intractable seizures is Rasmussen encephalitis. This is an inflammatory disorder of possible immune etiology with features that are histologically consistent with chronic viral encephalitis. Although these types of cases are less likely to be encountered in forensic practice, specific histological changes seen in these conditions can help differentiate them from other causes of seizure disorders in children.
Sudden unexpected death in childhood (SUDC) is defined as death in a child older than 1 year of age in which the death remains unexplained following a thorough review of the history and circumstances of death and a complete autopsy with ancillary testing (Krous et al. 2005). Although rare, SUDC occurs most commonly between the ages of 1 and 4 years with an annual incidence of 1.2/100,000. Such cases are likely to be investigated by a forensic pathologist. SUDC most commonly is due to occult cardiac anomalies, intracranial hemorrhage, or infections (Somers et al. 2006). In evaluation of SUDC cases from a registry, 24 % of children were found to have a history of febrile seizures that reportedly correlated with a fivefold increase in incidence compared to the general pediatric population (Kinney et al. 2009). An association has been shown between sudden death in children with a history of, or family history of, febrile seizures and hippocampal and temporal-lobe abnormalities. In these cases, the children were found dead in bed in a prone position, and the mechanism of death appeared analogous with that of sudden death in epilepsy. Febrile seizures involve the development of seizure activity that is associated with a febrile illness with no associated underlying central nervous system infection. These can either be simple seizures (e.g., tonic–clonic seizures lasting less than 10 min and occurring only once within 24 h) or complex seizure (e.g., prolonged focal or multiple seizures lasting greater than 10–15 min and with multiple seizures within a 24-h period). Most febrile seizures are simple and occur between 6 months and 36 months of age. In 30–50 % of cases, there is recurrence of the seizures, especially if the onset is before 1 year of age (Jones and Jacobsen 2007). The occurrence of an initial febrile seizure has been shown to be associated with a history of seizures in first- or second-degree relatives, day-care attendance, developmental delay, viral infections (e.g., influenza A, human herpesvirus 6, metapneumovirus), iron-deficiency anemia, and vaccinations (e.g., diphtheria-tetanus-whole cell pertussis [DTP] and measles, mumps and rubella [MMR] vaccines) (Jones and Jacobsen 2007).
Epilepsy is a chronic brain disorder characterized by recurrent seizures as a result of excessive discharge of neurons. In childhood, epilepsy can be symptomatic with a known cause, cryptogenic when an underlying condition is suggested, or idiopathic when there is no associated neurological condition or history of developmental delay (Donner et al. 2001). The mortality rate of individuals with epilepsy is two to three times higher than the general population. In children, the mortality rate may be 90 times higher than children without epilepsy, and while most cases of epilepsy can be explained by an underlying condition, there is a proportion of these cases in which the circumstances and autopsy fail to explain the death (Donner 2011). Such cases are classified as sudden unexpected death in epilepsy (SUDEP). Risk factors for SUDEP include early onset of seizures, refractory generalized tonic–clonic seizures, and polytherapy. A single mechanism is unlikely to explain all cases of SUDEP. Impaired brainstem function and heritable arrhythmogenic syndromes and channelopathies may help explain the mechanisms of SUDEP (Donner 2011). SUDEP refers to a witnessed or unwitnessed, nontraumatic, and non drowning death in a patient with epilepsy with or without evidence of a seizure, excluding documented status epilepticus, in which postmortem examination reveals no toxicological or anatomical cause of death (Nashef et al. 2012). It has been proposed that if investigation of the circumstances surrounding death indicates status epilepticus, for SUDEP to be excluded as the cause of death, the duration of the seizure activity should be more than 30 min (Nashef et al. 2012). Moreover, asphyxia or suffocation has been implicated as a cause of sudden death in persons with epilepsy particularly when the body position is such that the airway could be obstructed. As a high percentage of SUDEP deaths occur at night with the decedent found dead prone in bed, asphyxia or suffocation may at least contribute to death. Ascribing SUDEP solely to asphyxia or suffocation may be simplistic as studies have shown that cerebral mechanisms also lead to respiratory compromise in the peri-ictal state. Additionally, when death occurs in water without circumstantial or autopsy evidence of submersion, a proposed classification is “possible SUDEP.” These instances and further categorization of SUDEP cases have been proposed with examples of scenarios that may help in subclassifying cases (Nashef et al. 2012). In evaluating pediatric sudden deaths, it is imperative to investigate the circumstances surrounding the death, any known medical history including the character of the seizures (e.g., presence of intractable seizure and history of generalized tonic–clonic seizures) (Lathers et al. 2011), along with full postmortem examination and ancillary testing. Toxicology and other biochemical tests may prove to be useful at autopsy, but only a full investigation with negative results can permit a classification of SUDC or SUDEP.
Postmortem Macroscopic and Microscopic Examination
Fresh hemorrhage or bite marks on the lips, tongue, or buccal mucosa, evidence of urine incontinence, or signs of asphyxia (the latter are signs of venous engorgement and not asphyxia) may be indicative of a terminal seizure. Macroscopic examination in most instances of primary seizure disorders appears normal or may show only minimal changes in the brain. Changes may include asymmetry of the hippocampus. Neoplasms (mostly primary CNS) and vascular malformation have been described most commonly in the temporal lobes of patients who have undergone surgical biopsy or resections. With long-standing Rasmussen encephalitis, there may be extensive unilateral atrophy and dilated ventricles. Long-standing febrile seizures or prolonged status epilepticus can lead to post-convulsive hemiplegia in which unilateral hemispheric edema may be present. In chronic cases widespread atrophy can be seen.
Aside from neoplasms and vascular malformations, the most consistent histological finding is gliosis/sclerosis of Ammon’s horn. In some cases, there may be focal accumulations of dysplastic neuroglial cells commonly with perinuclear halos of the glial cells (e.g., hamartoma) in the hippocampus or temporal lobes. With post convulsive hemiplegia, large areas of cystic cortex with subjacent gliotic white matter are often seen along with the typical Ammon’s-horn sclerosis.
The typical finding seen in Lafora-body disease is round inclusion bodies with deep hematoxyphilic, PAS-positive central core. These are similar in appearance to corpora amylacea (Lafora bodies) in the cytoplasm of neurons and astrocytes in the cerebral cortex, basal ganglia, thalamus, substantia nigra, cerebellar cortex, and dentate nucleus. Swelling, vacuolation, and loss of Purkinje cells with Bergmann gliosis are the typical microscopic findings seen in Unverricht-Lundborg disease.
Ancillary Testing
Blood, urine, bile, vitreous, and gastric-content samples should be obtained to allow for quantification of antiepileptic-medication levels, alcohol, and drugs of abuse. These samples can prove particularly helpful in those cases where there are no significant postmortem findings.
Childhood Malignancies
Although cancer is a leading cause of death in childhood, most children are diagnosed and treated; those who die usually die within the hospital or in hospice care. Such cases are unlikely to come to the attention of the forensic pathologist. Table 30.4 depicts the most common types of childhood cancers by age groups.
Table 30.4.
Most common childhood cancers among both genders and all races. Based on SEER Cancer Incidence Rates from 2005 to 2009
| <1 | 1–4 | 5–9 | 10–14 | 15–19 |
|---|---|---|---|---|
| Leukemias | Leukemias | CNS neoplasms | CNS neoplasms | Lymphomas |
| Neuroblastoma | CNS neoplasms | Leukemias | Leukemias | Malignant epithelial neoplasms and melanomas |
| CNS neoplasms | Neuroblastoma | Lymphomas | Lymphomas | CNS neoplasms |
| Retinoblastoma | Renal tumors | Soft tissue tumors | Malignant epithelial neoplasms and melanomas | Leukemias |
| Germ cell neoplasms | Soft tissue sarcomas | Malignant bone tumors | Malignant bone tumors | Germ cell and gonadal tumors |
| Soft tissue sarcomas | Lymphomas | Soft tissue sarcomas | ||
| Renal tumors | Retinoblastoma | Malignant bone tumors |
Although mortality rates for all childhood cancers have decreased substantially for most cancers (with the exception of nervous-system cancers, which have risen from 17.8 % in 1975 to 25.7 % in 2006), leukemia (AML and ALL) remains the leading cause of cancer death in children followed by brain cancer and other nervous system tumors (Smith et al. 2010). In infants less than 1 year of age in the USA, death from malignancies falls markedly below other causes of death, ranking well below all other systemic diseases. Neuroblastoma is the most common non-CNS tumor diagnosed in infants and accounted for up to 12 % of all childhood cancer deaths in 2006 (Smith et al. 2010). Neuroblastomas most commonly arise in the adrenal medulla and typically are hemorrhagic.
In children from 1 to 19 years of age, malignancies are the leading cause of natural death in the USA (see Table 30.1). Although sudden unexpected death in children due to malignancies is exceedingly rare, it does occur, and those cases are likely to come to the attention of the forensic pathologist. In such cases, sudden death generally occurs due to direct involvement of vital structures including primary-cardiac or central nervous system tumors or sequelae such as hemorrhage secondary to leukemia or lymphoma (Somers et al. 2006). A number of case studies have been published documenting sudden death in children with undiagnosed brain tumors (primarily glioblastomas) (Matschke and Tsokos 2005; Manousaki et al. 2011; Sutton et al. 2010) and leukemia and lymphoma (Somers et al. 2006). Sudden deaths in children have also resulted from tumor emboli, pulmonary emboli, and hemorrhage due to underlying malignancies (Van den Heuval-Eibrink et al. 2008; Zakowski et al. 1990; Park and Prahlow 2011).
Childhood Tumors and Malignancies of the Nervous System
Cancer deaths due to brain and other nervous-system tumors have proportionally increased compared to other common childhood cancers (Smith et al. 2010). In the USA, the overall incidence from 2004 to 2008 for primary-brain and CNS tumors in the 0–19 age group was 5.05 per 100,000, with a predominance of malignant tumors. Additionally, the incidence of malignancy was more prevalent infratentorially, among males and whites. CNS tumors in general had the highest incidence from infancy to 7 years of age and have the second highest rate of childhood cancer. Childhood brain tumors are associated with a number of genetic syndromes that include neurofibromatosis type I (associated with low-grade optic tract gliomas and other brain tumors) and type 2 (associated with acoustic neuromas), tuberous sclerosis (associated with CNS tubers and subependymal giant-cell astrocytomas), von Hippel-Lindau disease (associated with hemangioglioblastomas), and familial cancer predisposition syndromes (e.g., Li-Fraumeni syndrome associated with choroid plexus carcinomas) (Fleming and Chi 2012). Presenting symptoms in children with primary brain tumors include headaches, increased intracranial pressure, vomiting, and seizures. Most children with brain tumors who present with headaches also commonly experience vomiting and will have increased intracranial pressure and obstructive hydrocephalus (Fleming and Chi 2012). Low-grade tumors of the cerebral cortex may cause seizures, and as previously discussed, seizures can be a cause of sudden death in children.
Gliomas comprise approximately half of all primary CNS tumors occurring in children from 0 to 19 years of age (CBTRUS 2011). Gliomas encompass all tumors that arise from glial derivatives which include oligodendrogliomas, ependymomas, and astrocytomas, the latter of which accounts for 52 % of CNS malignancies in children under 20 years of age. Oligodendrogliomas typically do not present in childhood. Ependymomas generally present in young children with a mean age of 4 years. Classic ependymomas generally occur as an intracranial neoplasm in children with 60 % occurring infratentorially and the other 40 % occurring supratentorially. Medulloblastoma (PNET) is one of the embryonal neuroepithelial tumors and is a common CNS tumor accounting for 20 % of all pediatric CNS tumors and comprising almost 40 % of all cerebellar tumors. The peak age for medulloblastoma is 4 years (CBTRUS 2011).
Astrocytomas
Low-grade astrocytomas (WHO grade I and II tumors) are the most common type of brain tumors in children and most often occur in the posterior fossa or optic pathway. Low-grade astrocytomas are amenable to treatment, and the prognosis is generally favorable with 5-year survival rates ranging from 84.7% to 96.6 % (CBTRUS 2011). High-grade astrocytomas (WHO grade III and IV tumors) are more common in adults but account for 10–20 % of pediatric tumors. In children with high-grade astrocytomas, the tumor generally grows quickly compressing or displacing surrounding structures with common presentations including seizures, cranial neuropathies, hemiparesis (Fleming and Chi 2012), and, less commonly, sudden death (Matschke and Tsokos 2005; Manousaki et al. 2011; Sutton et al. 2010). High-grade astrocytomas also have a tendency to recur.
Postmortem Macroscopic and Microscopic Examination
The gross and histological characteristics of astrocytomas are presented in Table 30.5.
Table 30.5.
WHO grading and characteristics of astrocytomas
| WHO Grade | Tumor name | Histologic characteristics | Gross characteristics |
|---|---|---|---|
| I | Pilocytic astrocytoma | Hair-like processes, Rosenthal fibers | Well-circumscribed, cystic with mural nodule |
| II | Fibrillary astrocytoma | Increase in number of nuclei with atypia | Ill-defined, gray, firm or soft to gelatinous, possible cystic component |
| III | Anaplastic astrocytoma | Dense cellularity, greater nuclear pleomorphism, mitotically active | Ill-defined, soft to gelatinous, microcysts |
| IV | Glioblastoma | Pseudopalisades surrounding necrotic foci, vascular or endothelial cell proliferation | Diffusely infiltrating with distortion of anatomy; foci of firm to soft and necrotic, cystic components mixed with mucoid gray neoplastic tissue, possible hemorrhage; can appear well-defined with necrotic center (ring enhancing on CT) |
Immunohistochemical stains show positive staining with GFAP in astrocytes, though high-grade tumors may not stain. Astrocytes may or may not stain with S-100. Labeling with MIB-1 (Ki-67) is used as an indicator of the proliferative index which correlates with survival.
Ancillary Testing
Sampling of tumor tissue and blood should be considered for possible cytogenetic and molecular studies. Malignant gliomas are associated with loss of heterozygosity on chromosomes 10 and 19q and deletion of chromosome 16p. Malignant gliomas are also associated with p53 gene mutations and EGFR gene amplifications on molecular analysis.
Childhood Leukemias
Leukemia is the most common childhood cancer with acute lymphoblastic leukemia (ALL) and acute myeloid leukemia (AML) predominating. Although AML comprises only 15–20 % of childhood leukemias, it accounts for approximately 30 % of the deaths (Rubnitz et al. 2010). Age at diagnosis is inversely proportional to outcome, with a younger age at diagnosis associated with a better outcome (Rubnitz et al. 2010). Most cases of AML develop de novo although environmental exposures and inherited and acquired conditions (e.g., Down syndrome, Fanconi anemia, Shwachman-Diamond syndrome, neurofibromatosis type 1) are also associated with AML. From genetic analyses, t(9;11), t(8;21), and inv(16) mutations have been shown to be associated with a more favorable outcome, while -5, del(5q), -7, and abnormalities with 3q are associated with a poor outcome. New molecular markers (c-kit and FLT3) are also associated with a negative prognosis (Rubnitz et al. 2010). Children can present with pancytopenia, fever, fatigue, pallor, bleeding, bone pain, and infections. Disseminated intravascular coagulation (DIC) can occur with all AML subtypes but is most frequent in acute promyelocytic leukemia. In 15 % of cases, the CNS is involved and it can be mistaken for a primary CNS tumor. Children with AML may present with life-threatening complications including bleeding, leukostasis, tumor lysis syndrome, and infection.
Acute lymphoblastic leukemia is the most common malignancy in children and accounts for one-third of all pediatric cancers. The peak incidence is between 2 and 5 years of age. Acute lymphoblastic leukemia can be subdivided into precursor B-cell and precursor T-cell based on phenotype. B-cell precursor ALL is associated with a favorable outcome. ALL in infants is rare, and when it occurs it is usually of an immature B-cell phenotype (pro-B-ALL). Adolescents with ALL have a worse outcome compared to younger children. Children with Down syndrome have an increased risk of developing ALL (as well as AML). In T-cell ALL, translocations involving the T-cell receptor loci are present in approximately 35 % of cases, although T-ALL genetic studies have not been used to guide therapy (Harrison 2011).
Within the categories of follicular lymphomas and mantle-cell lymphomas, there are distinct variants that are exclusive to children and differ from those in adults. Pediatric follicular lymphoma presents with high-grade localized disease at both nodal (Waldeyer ring) and extranodal (e.g., testis, gastrointestinal tract) sites and does not express BCL-2 protein. Nodal mantle-zone lymphomas in children appear to have a low risk of progression and recurrence. They typically are associated with marked follicular hyperplasia and changes resembling progressive transformation of germinal centers that are often difficult to differentiate from follicular lymphoma. Systemic Epstein Barr Virus (EBV) T-cell lymphoproliferative disease of childhood and hydroa vacciniforme-like lymphoma are two EBV-associated T-cell diseases that occur nearly exclusively in children of Asian and Central American descent. Systemic EBV T-cell lymphoproliferative disease is a highly aggressive disease with survival of only weeks to months and is usually associated with hemophagocytic syndrome. The diagnosis of leukemia or lymphoma is one based on presentation and sites of involvement (Jaffe 2009).
Postmortem Macroscopic and Microscopic Findings
On macroscopic examination there may be nonspecific findings. There may be evidence of blood within the gastrointestinal tract particularly in cases of AML with disseminated intravascular coagulation (DIC). Occasionally, when there is soft tissue extension (e.g., granulocytic/myeloid sarcoma, chloroma), there may be extramedullary spread seen in any organ including the skin, which may sometimes have a green hue. It is important to perform histological and immunohistochemical studies to confirm a suspected leukemia or lymphoma and to adequately profile them, especially since malignant pre-B- and pre-T-cell lymphoblasts appear morphologically similar. In addition, while precursor B-cell involvement is primarily that of leukemia, it can occasionally present with nodal and extranodal involvement. The same can be said of precursor T-cell leukemia. In terms of immunophenotype, lymphoblasts (B-ALL and T-ALL) may demonstrate considerable heterogeneity, aberrantly expressing opposite lymphoid lineage or myeloid markers. Table 30.6 illustrates an immunohistochemistry panel to help distinguish types of acute leukemias (Olsen et al. 2008).
Table 30.6.
Basic immunohistochemistry findings in childhood acute leukemias
| Marker | Interpretation | Comments |
|---|---|---|
| CD45 | wk+ | Indicates hematopoietic |
| TdT/CD34 | + | Indicates blasts |
| CD117 | + | Indicates myeloblasts |
| MPO | + | Indicates myeloid lineage |
| PAX-5/CD79a/CD22 | + | Indicates B-cell lineage |
| CD3 | + | Indicates T-cell lineage |
| HLA-DR | – | Indicates promyelocytic, erythroid, megakaryoblastic |
| CD68 | + | Indicates monocytic |
| HgbA | + | Indicates erythroid |
| CD61 | + | Indicates megakaryoblastic |
Ancillary Testing
Peripheral blood and bone marrow smears can be obtained postmortem, but the yield can depend on the postmortem interval. The bone marrow sample can most easily be taken from a rib squeeze and smears made. The smears can be air-dried and then stained with a Wrights stain. Postmortem blood clots can also serve as a sample. Although cytogenetic and flow-cytometry studies are critical in clinical leukemia diagnoses, they are generally not useful postmortem.
Pediatric Bone and Soft Tissue Tumors
Soft tissue tumors are primarily of primitive mesenchymal origin. During development, the mesenchyme matures into skeletal and smooth muscle, fat, fibrous tissue, bone, and cartilage. The malignant counterparts of muscle include leiomyosarcomas and rhabdomyosarcomas. Liposarcomas are the malignant tumors of fat, fibrosarcomas of fibrous tissue, osteosarcomas of bone, and chondrosarcomas of cartilage. Liposarcomas and leiomyosarcomas are more common in adults but do occur in children. Because such tumors are rare in children, the focus will be on bone and soft tissue malignancies that more commonly occur in children. Although bone and soft tissue tumors almost never cause sudden death in children, the forensic pathologist should be familiar with common types of tumors in children that may be encountered at autopsy.
Soft tissue sarcomas represent 7.4 % of all cancers in children and adolescents (Ries et al. 1975). Rhabdomyosarcomas are the most common soft tissue sarcoma in children below 15 years of age and make up half of all soft tissue sarcomas. The 5-year mortality for rhabdomyosarcoma is approximately 36 % (Ries et al. 1975). Older children, adolescents, and children with alveolar rhabdomyosarcoma have the worst prognosis. The most frequent site for rhabdomyosarcomas is the head and neck followed by the genitourinary tract, extremities, trunk, and retroperitoneum. A wide range of symptoms can occur based on the anatomical site of the tumor, although typically afflicted children do not present with bone pain in the absence of bone metastasis. Tumors of the orbit often produce proptosis, and tumors of the limbs often present as a painless mass. Bladder and prostate tumors may present as an abdominal mass or with obstructive symptoms or hematuria (Arndt and Crist 1999). The two most common subtypes are embryonal and alveolar rhabdomyosarcoma. Embryonal rhabdomyosarcomas account for more than half of the rhabdomyosarcomas in children and are most common before the age of 10 years. Embryonal rhabdomyosarcomas are associated with the cytogenetic abnormality t(8:11) or abnormalities of chromosome 11 (trisomy 11 or del 11). The alveolar subtype of rhabdomyosarcoma more frequently occurs in adolescents and accounts for the majority of rhabdomyosarcomas of the extremities and trunk. The cytogenetics of the alveolar subtype is associated with translocation of t(2;13)(q35:q14) or t(1;13) (p36;q14) chromosomal aberration (Jain et al. 2010).
Bone pain is a common presenting symptom in children with acute leukemia (acute lymphocytic leukemia), osteosarcoma, and Ewing sarcoma. The pain is often mistaken for other disorders including juvenile arthritis, trauma, tendonitis, or inflammation. Less commonly, children with bone tumors may also present with pathological fractures. Malignant bone tumors comprise approximately 6 % of childhood cancers, of which 56 % are osteosarcomas and 34 % Ewing sarcomas. Deaths due to bone and joint malignancies represent 8.9 % of all childhood cancer deaths (Ottaviani and Jaffe 2009). Survival is greater in children with osteosarcoma. The peak incidence of bone cancers is at 15 years coinciding with pubertal bone growth (Ries et al. 1975). Osteosarcomas have a bimodal age distribution with the first peak in adolescence between 10 and 14 years of age and the second in older adulthood. Osteosarcoma most often occurs near the metaphyseal portion of the long bones. The most common sites are the distal femur, tibia, and humerus. Ewing sarcomas fall within the classification of small-cell neoplasms (e.g., Ewing sarcoma, primitive neuroectodermal tumor [PNET]) and typically arise from the diaphysis and occur in the extremities or the axial skeleton. Metastases commonly involve the lungs. Ewing sarcoma is also associated with t(11;22)(q24;q12) EWSR1-FL11 translocation (Potratz et al. 2012). MIC2 overexpression may be demonstrated by in situ hybridization.
Postmortem Macroscopic and Microscopic Examination
Embryonal rhabdomyosarcomas appear as a soft, gray, infiltrative mass most commonly in the nasal cavity, orbit, middle ear, prostate, or paratesticular region. The cut sections can appear fleshy with areas of cystic degeneration and necrosis. Histologically, the tumor is characterized by rhabdomyoblasts that are large round cells with abundant eosinophilic cytoplasm, eccentric nuclei, and fusiform outlines. The typical pattern is that of sheets of malignant round or spindled cells in a myxoid stroma with areas of loose and dense appearance and a subepithelial zone of condensation (e.g., cambium layer) (Parham et al. 2012). Alveolar rhabdomyosarcoma appears as a muscle mass usually in the deep musculature of the extremities in adolescent children. Histologically, the tumor resembles pulmonary alveolae with nests of small round cells, with peripheral condensation of nests of discohesive cells that line a network of fibrous septae. There may also be sheets of patternless small round cells with no intervening septae resembling lymphoma or Ewing sarcoma (Parham et al. 2012). Immunohistochemical stains show positive staining of the tumor cells with vimentin, muscle-specific actin, desmin, myogenin, and MyoD1 (Jain et al. 2010).
Osteosarcomas typically can be seen grossly as a mass within the intramedullary metaphysis with invasion through the bony cortex into soft tissue. It can appear heterogeneous depending on the extent of stromal component. Ossified and osteoblastic areas are generally hard and yellow to white and may be gritty, while chondroid areas are usually white-gray, translucent, and lobulated. Fibroblastic areas can be soft and fleshy. There may be areas of cystic change, necrosis, or hemorrhage. Histologically, there is usually tumor production of fibrillary, lace-like osteoid or woven bone between a spindle-shaped sarcomatous stroma that can be arranged in a “herring bone” or storiform pattern. Multinucleated giant cells can also be seen (Yaw 1999).
Ewing sarcoma macroscopically consists of a soft, glistening, gray-white intramedullary mass with areas of cystic change, hemorrhage, and areas resembling pus. Histologically, Ewing sarcoma consists of undifferentiated small round blue cells with low mitotic activity arranged in broad sheets or rosettes with a lobular architecture composed of spindle cells, metaplastic bone, or cartilage. If the tumor contains greater than 20 % rosettes, then PNET should be considered. Previously treated cases may result in more pleomorphic tumor cells with large, folded, and multinucleated forms having prominent nucleoli. CD99 is positive in the tumor cells in over 90 % of cases, and tumor cells typically stain positive with periodic acid-Schiff (PAS). Vimentin and cytokeratin can show variable expression.
Cerebral Palsy
Cerebral palsy is one of the most common causes of severe physical disability in childhood. It is a nonprogressive neurological deficit characterized by spasticity, dystonia, ataxia, and paresis that occurs as a result of some type of insult to the developing brain. The specific etiology is, however, uncertain. The most common underlying cause of perinatal brain injury is premature birth, and of those infants that survive, 5–10 % will have spastic motor deficits (e.g., cerebral palsy). Full-term infants with congenital heart or respiratory disease are also susceptible to perinatal brain damage from hypoxic–ischemic insults to the developing brain. Other risk factors for cerebral palsy include birth asphyxia, multiple gestation, prematurity, low birth weight, maternal intrauterine infection, and fever. Thrombophilic disorders have also been identified as a risk factor for cerebral palsy (Gibson et al. 2003). Cerebral palsy is a chronic condition with complications that can affect multiple systems. Feeding and swallowing difficulties often lead to failure to thrive and increased susceptibility to aspiration pneumonia. Significant neurological sequelae include epilepsy and neurocognitive disorders.
Postmortem Macroscopic and Microscopic Examination
If the insult occurs during the first half of gestation, no glial repair occurs resulting in a smooth-walled defect with surrounding disorganization of the cerebral cortex that can be mistaken for a primary CNS malformation. Insults occurring in the last half of development and into the first year of life generally produce chronic multicystic lesions with a meshwork of thin gliovascular septa within the cerebral white matter and deep cortical layer. These chronic lesions can be posthemorrhagic (e.g., germinal matrix hemorrhages) forming periventricular cysts, post-white matter necrosis with unilocular or multilocular cysts, sclerotic atrophy or post–gray matter necrosis with microcephaly, cerebral atrophy producing mushroom-shaped gyri (e.g., ulegyria), scarring, and cysts. Posthemorrhagic lesions commonly involve the subependymal germinal matrix and ventricles and are often associated with other lesions including periventricular leukomalacia, brainstem necrosis, hydrocephalus, and cerebellar necrosis. White-matter lesions are most commonly periventricular and produce periventricular leukomalacia (e.g., focal necrosis, axonal and glial injury, and diffuse white-matter gliosis). Gray-matter lesions generally involve the cortex, basal ganglia, thalamus, hippocampus, cerebellum, and brainstem and more often affect term infants (Folkerth 2005).
Sickle-Cell Disorders
Although sickle-cell disorders are not a leading cause of death in children, such deaths are likely to be encountered by the forensic pathologist particularly with cases of sudden death in sickle-cell trait (SCT) and sudden death in athletes. Sickle-cell disease (SCD) is one of the most common childhood single-gene disorders. Sickle-cell disease results from the presence of a mutation in the hemoglobin gene that causes substitution of valine for glutamic acid in the sixth position of the β-globin chain. Sickle-cell disease occurs when a person is homozygous for HbS, and the hallmark of the disease is vaso-occlusion and hemolysis which leads to sickle-cell crisis. Sickle-cell trait is the heterozygote form (HbAS) which occurs when a person has one normal Hb gene and one for HbS. Sickle-cell trait is most frequently found in areas where malaria is endemic (e.g., sub-Saharan Africa, parts of Sicily, Greece, Turkey, and India). It is the most common inherited hematologic disorder in the USA with approximately 1 in 12 African Americans having SCT. Under low-oxygen tension, sickling of red blood cells occurs. Clinical manifestations or complications associated with SCT include exercise-related sudden death, exertional rhabdomyolysis, renal failure, high anion gap, metabolic acidosis, and splenic sequestration and/or infarcts (Thogmartin et al. 2011; Goldsmith et al. 2012). Causes of death in sickle-cell disorders based on autopsy studies include infection, stroke, complications of therapy, pulmonary thromboemboli and fat/bone-marrow emboli, pulmonary hypertension, pulmonary edema, splenic sequestration, and chronic organ failure (Graham et al. 2007; Manci et al. 2003). Splenic-sequestration crisis is characterized by sudden enlargement of the spleen due to trapping of a significant volume of the blood and hypovolemia with a rapid drop in hematocrit and platelet count. Splenic-sequestration crisis is a leading cause of death in children with sickle-cell disease.
A number of deaths have been reported in NCAA Division I athletes in which the deaths occurred during conditioning (e.g., sprinting, speed drills, or weight lifting). It is postulated that during intense exercise a syndrome of rhabdomyolysis occurs as a result of exercise-induced sickling that triggers vaso-occlusion in muscles. This occurs particularly during intense exercise in suboptimally conditioned individuals, at high altitudes, or when an individual is dehydrated or hyperthermic (Key and Derebail 2010). The estimated risk of exertional death in African American Division I football athletes with sickle-cell trait is 37 times greater than athletes without SCT. Because of the increased risk, screening for SCT and simple precautions for college-level athletes have been advocated (NCAA 2010). For cases in which death was delayed long enough for athletes to receive medical intervention, it has been demonstrated that the athletes had exerted effort beyond their conditioning level, and all had evidence of metabolic acidosis, rhabdomyolysis, renal failure, and DIC (Thogmartin et al. 2009). In athletes who experienced sudden death or in those who experienced cardiac arrest before medical intervention, postmortem examination should include sampling for toxicology, hemoglobin determination by electrophoresis or high-pressure liquid chromatography (HPLC) if sickle cell status has not previously been determined, microbial cultures, and fat staining.
Postmortem Macroscopic and Microscopic Examination
Macroscopic examination of the heart may reveal a benign increase in cardiac mass (so-called athlete’s heart) characterized by mild to moderate eccentric or concentric left-ventricular hypertrophy, possible right-ventricular dilation, and biatrial enlargement. Right-ventricular hypertrophy may be evident in individuals dying with SCT particularly in association with pulmonary hypertension which has been demonstrated in children (Colombatti et al. 2010). Pulmonary edema and thromboemboli are common findings in individuals with SCT. There may be evidence of splenomegaly in cases of SCD, splenic sequestration, or evidence of splenic rupture. Alternatively in adolescents and young adults with SCD, the spleen may be small, scarred, and infarcted or consist only of fibrous tissue (e.g., autosplenectomy).
Typically, sickle-shaped (pointed or tapered ends) red blood cells can be seen in the microvasculature of multiple organs; however this is a common postmortem finding in sickle-cell disease (Fig. 30.11). Careful evaluation for fat or bone marrow emboli within the microvasculature should be undertaken as fat emboli can result from bone marrow infarction which is typical of pain crisis (Fig. 30.12). Fat emboli demonstrated in multiple organs (e.g., lungs, brain, and kidney) may indicate fat emboli syndrome which can be a cause of sudden death (Fig. 30.13a–c). Fibrin microthrombi may also be present within multiple organs. In children during the early phase of SCD, there may be congestion of the spleen with evidence of extramedullary hematopoiesis. Extramedullary hematopoiesis may also be present in the liver. The bone marrow in SCD is often hyperplastic due to compensatory expansion of normoblasts. New bone formation may occur due to resorption following compensatory expansion. In cases of sudden death or rhabdomyolysis, pigmented casts may be present in the distal tubules of the kidneys suggesting myoglobin. Immunohistochemistry stains using anti myoglobin antibody may help to confirm myoglobin casts in the distal tubules. Microscopic examination of skeletal muscle may reveal myocytolysis.
Fig. 30.11.

Photomicrograph of liver, high-magnification H&E stain, in a sickle-cell disease adolescent showing sickle-shaped red blood cells within the liver sinusoids (Hematoxylin and Eosin, H&E ×40)
Fig. 30.12.

Photomicrograph of bone marrow with infarction in a sickle-cell disease adolescent (Hematoxylin and Eosin, H&E ×4)
Fig. 30.13.

Photomicrographs from an adolescent with sickle-cell disease beta thalassemia (a) lung, high-magnification H&E stain, showing multiple fat globules within the small arterioles (black arrows) and distention of the alveolar wall capillaries by fat globules (white arrows) (Hematoxylin and Eosin, H&E ×10) (b) brain, high-power H&E stain showing distention of a capillary with a single fat globule (arrow) and surrounding infarct with macrophage infiltration (Hematoxylin and Eosin, H&E ×10) (c) kidney, high-magnification H&E stain showing distention of the glomerular capillaries with fat globules (arrows) (Hematoxylin and Eosin, H&E ×20)
Ancillary Testing
Vitreous fluid should be obtained and tested for electrolytes in cases of suspected dehydration.
If fat emboli are suspected, Oil Red O stains can be performed on frozen-tissue sections (Fig. 30.14). Osmium stains can also be performed on formalin-fixed tissue before processing the tissue and counterstained with hematoxylin Masson trichrome. The fat will stain black.
Fig. 30.14.

Photomicrograph lung from an adolescent with sickle-cell disease beta thalassemia, high-magnification Oil Red O stain showing accentuation of fat globules within arterioles and alveolar capillaries (×20)
Conclusion
As mentioned, the autopsy is important in the investigation of childhood deaths. In infants, commonly encountered conditions include sequelae from perinatal diseases, isolated malformations, trauma and child abuse, SIDS/SUDI, metabolic and genetic diseases, infections, and neoplasms. In older children, trauma is a leading cause of death with natural disease much less common. Although most naturally occurring childhood diseases are less likely to come to the attention of the forensic pathologist, such cases will be referred and therefore are important to consider. In children of all ages, infections and cancers are frequent causes of mortality. In cases of suspected infection, ancillary testing is particularly important when the responsible agent is previously unknown. For malignancies, establishing the extent of tumor involvement as well as evaluating effects and complications of therapy is important. Likewise, the investigation of sudden unexpected death in childhood warrants careful consideration. In all cases, the clinical information, circumstances surrounding the death, and postmortem findings (including ancillary testing) will help to accurately determine the cause and manner of death.
Contributor Information
Kim A. Collins, Email: kimcollinsmd@gmail.com
Roger W. Byard, Email: roger.byard@sa.gov.au
Elizabeth C. Burton, Phone: 410.955.3765, FAX: 410.955.3016, Email: eburton3@jhmi.edu
Nicole A. Singer, Phone: 410.955.3510, Email: nsinger3@jhmi.edu
Bibliography
- Alter SJ, Vidwan NK, Sobande PO, Omoloia A, Bennett JS. Common childhood bacterial infections. Curr Probl Pediatr Adolesc Health Care. 2011;41:256–83. doi: 10.1016/j.cppeds.2011.06.001. [DOI] [PubMed] [Google Scholar]
- American Academy of Pediatrics Committee on Environmental Health. Special topics: cancer. In: Etzel RA, Balk S, editors. Pediatric environmental health. 2nd ed. Elk Grove Village: American Academy of Pediatrics; 2003. p. 663–88.
- Arndt CAS, Crist WM. Common musculoskeletal tumor of childhood and adolescence. N Engl J Med. 1999;341(5):342–52. doi: 10.1056/NEJM199907293410507. [DOI] [PubMed] [Google Scholar]
- Becker JM, Rogers J, Rossini G, Mirchandani H, D’Alonzo GE., Jr Asthma death during sports: report of a 7-year experience. J Allergy Clin Immunol. 2004;113:264–7. doi: 10.1016/j.jaci.2003.10.052. [DOI] [PubMed] [Google Scholar]
- Busse WW, Lemanske RF, Gern JE. The role of viral respiratory infections in asthma and asthma exacerbations. Lancet. 2010;375(9743):826–34. doi: 10.1016/S0140-6736(10)61380-3. [DOI] [PMC free article] [PubMed] [Google Scholar]
- CBTRUS (2011). CBTRUS Statistical report: primary brain and central nervous system tumors diagnosed in the United States in 2004-2007. Hinsdale: Central Brain Tumor Registry of the United Sates. Available from: www.cbtrus.org.
- Centers for Disease Control and Prevention, National Center for Health Statistics. Compressed Mortality File 1999-2009. CDC WONDER Online Database, compiled from Compressed Mortality File 1999-2009 Series 20 No. 2O, 2012. Accessed at http://wonder.cdc.gov/cmf-icd10.html on 7 Sep 2012.
- Centers for Disease Control and Prevention. New asthma estimates: tracking prevalence, health care and mortality. Atlanta: Centers for Disease Control and Prevention; 2001.
- Chong DC, Raboni SM, Abujamra KB, Marani DM, Nogueira MB, Tsuchiya LR, Neto HJ, Flizikowski FB, de Noronha L. Respiratory viruses in pediatric necropsies: an immunohistochemical study. Ped Develop Pathol. 2009;12:211–6. doi: 10.2350/07-02-0229.1. [DOI] [PubMed] [Google Scholar]
- Collins KA. Postmortem vitreous analyses. eMedicine. 2011. Available at: http://emedicine.medscape.com/article/1966150-overview#a1 Last accessed: 25 Sep 2012.
- Colombatti R, Maschietto N, Varotto E, Grison A, Grazzina N, Meneghello L, Teso S, Carli M, Milanesi O, Sainati L. Pulmonary hypertension in sickle cell disease children under 10 years of age. Br J Haematol. 2010;150:601–9. doi: 10.1111/j.1365-2141.2010.08269.x. [DOI] [PubMed] [Google Scholar]
- Crawley J, Chu C, Mtove G, Nosten F. Malaria in children. Lancet. 2010;375(9724):1468–81. doi: 10.1016/S0140-6736(10)60447-3. [DOI] [PubMed] [Google Scholar]
- Dietert RR, Zelikoff JT. Identifying patters of immune-related disease: us in disease prevention and management. World J Pediatr. 2010;6(2):111–8. doi: 10.1007/s12519-010-0026-1. [DOI] [PubMed] [Google Scholar]
- Donner EJ. Explaining the unexplained; expecting the unexpected: where are we with sudden unexpected death in epilepsy? Epilepsy Curr. 2011;11(2):45–9. doi: 10.5698/1535-7511-11.2.45. [DOI] [PMC free article] [PubMed] [Google Scholar]
- Donner EJ, Smith CR, Snead OC. Sudden unexplained death in children with epilepsy. Neurology. 2001;57:430–4. doi: 10.1212/WNL.57.3.430. [DOI] [PubMed] [Google Scholar]
- Edge JA, Ford-Adams ME, Dunger DB. Causes of death in children with insulin dependent diabetes 1990-1996. Arch Dis Child. 1999;81:318–23. doi: 10.1136/adc.81.4.318. [DOI] [PMC free article] [PubMed] [Google Scholar]
- Edston E, van Hage-Hamsten M. Beta-Tryptase measurements post-mortem in anaphylactic deaths and in controls. Forensic Sci Int. 1998;93(2–3):135–42. doi: 10.1016/S0379-0738(98)00040-1. [DOI] [PubMed] [Google Scholar]
- Fleming AJ, Chi SN. Brain tumors in children. Curr Probl Pediatr Adolesc Health Care. 2012;42:80–103. doi: 10.1016/j.cppeds.2011.12.002. [DOI] [PubMed] [Google Scholar]
- Folkerth RD. Neuropathologic substrate of cerebral palsy. J Child Neurol. 2005;20:940–9. doi: 10.1177/08830738050200120301. [DOI] [PubMed] [Google Scholar]
- Gibson CS, MacLennan AH, Goldwater PN, Dekker GA. Antenatal causes of cerebral palsy: associations between inherited thrombophilias, viral and bacterial infection, and inherited susceptibility to infection. Obstet Gynecol Surv. 2003;58(3):209–20. doi: 10.1097/01.OGX.0000055205.21611.6E. [DOI] [PubMed] [Google Scholar]
- Gill GV, Woodward A, Casson IF, Weston PJ. Cardiac arrhythmia and nocturnal hypoglycemia in type 1 diabetes-the “dead in bed” syndrome revisited. Diabetologia. 2009;52(1):42–5. doi: 10.1007/s00125-008-1177-7. [DOI] [PubMed] [Google Scholar]
- Goldsmith JC, Bonham VL, Joiner CH, Kato GJ, Noonan AS, Steinberg MH. Framing the research agenda for sickle cell trait: building on the current understanding of clinical events and their potential implications. Am J Hematol. 2012;87(3):340–6. doi: 10.1002/ajh.22271. [DOI] [PMC free article] [PubMed] [Google Scholar]
- Goodgame RW. Viral causes of diarrhea. Gastroenterol Clin. 2001;30(3):779–95. doi: 10.1016/S0889-8553(05)70210-7. [DOI] [PubMed] [Google Scholar]
- Graham JK, Mosunjac M, Hanslick RL, Mosunjac M. Sickle cell lung disease and sudden death A retrospective/prospective study of 21 autopsy cases and literature review. Am J Forensic Med Pathol. 2007;28:168–72. doi: 10.1097/01.paf.0000257397.92466.50. [DOI] [PubMed] [Google Scholar]
- Greenberger PA, Ditto AM. Anaphylaxis. Allergy Asthma Proc. 2012;33:S80–3. doi: 10.2500/aap.2012.33.3557. [DOI] [PubMed] [Google Scholar]
- Greenberger PA, Miller TP, Lifschultz B. Circumstances surrounding deaths from asthma in Cook County (Chicago) Illinois. Allergy Proc. 1993;14:321–5. doi: 10.2500/108854193778773994. [DOI] [PubMed] [Google Scholar]
- Greenberger PA, Rotskoff BD, Lifschultz B. Fatal anaphylaxis: postmortem findings and associated cormorbid diseases. Ann Allergy Asthm Immunol. 2007;98:252–7. doi: 10.1016/S1081-1206(10)60714-4. [DOI] [PubMed] [Google Scholar]
- Guerrant RL, Hughes JM, Lima NL, Crane J. Diarrhea in developed and developing countries: magnitude, special settings, and etiologies. Rev Infect Dis. 1990;12(1):4150. doi: 10.1093/clinids/12.Supplement_1.S41. [DOI] [PMC free article] [PubMed] [Google Scholar]
- Hamutcu R, Rowland JM, Horn MV, Kaminsky C, MacLaughlin EF, Starnes VA, Woo MS. Clinical findings and lung pathology in children with cystic fibrosis. Am J Respir Crit Care Med. 2002;165(8):1172–5. doi: 10.1164/ajrccm.165.8.2104090. [DOI] [PubMed] [Google Scholar]
- Harrison CJ. Acute lymphoblastic leukemia. Clin Lab Med. 2011;31(4):631–47. doi: 10.1016/j.cll.2011.08.016. [DOI] [PubMed] [Google Scholar]
- Hockenhull J, Dhillo W, Andrews R, Paterson S. Investigation of markers to indicate and distinguish death due to alcoholic ketoacidosis, diabetic ketoacidosis and hyperosmolar hyperglycemic state using post-mortem samples. Foresic Sci Int. 2012;214(103):142–7. doi: 10.1016/j.forsciint.2011.07.040. [DOI] [PubMed] [Google Scholar]
- Jain S, Xu R, Prieto G, Lee P. Molecular classification of soft tissue sarcomas it its clinical applications. Int J Clin Exp Pathol. 2010;3(4):416–29. [PMC free article] [PubMed] [Google Scholar]
- Johnson JE, Gonzales RA, Olson SJ, Wright PF, Graham BS. The histopathology of fatal untreated human respiratory syncytial virus infection. Modern Pathol. 2007;20:108–19. doi: 10.1038/modpathol.3800725. [DOI] [PubMed] [Google Scholar]
- Jones T, Jacobsen SJ. Childhood febrile seizures: overview and implications. Int J Med Sci. 2007;4:110–4. doi: 10.7150/ijms.4.110. [DOI] [PMC free article] [PubMed] [Google Scholar]
- Kapur RP. Practicing pediatric pathology without a microscope. Mod Pathol. 2001;14:229–35. doi: 10.1038/modpathol.3880290. [DOI] [PubMed] [Google Scholar]
- Karvonen M, Viik-Kajander M, MoltchAnova E, Libman I, LaPorte R, Tuomilehto J. Incidence of childhood type 1 diabetes worldwide. Diabetes Care. 2000;23:1516–26. doi: 10.2337/diacare.23.10.1516. [DOI] [PubMed] [Google Scholar]
- Key NS, Derebail VK. Sickle-cell trait: novel clinical significance. Hematol Am Soc Hematol Educ Prog. 2010;2010:418–22. doi: 10.1182/asheducation-2010.1.418. [DOI] [PMC free article] [PubMed] [Google Scholar]
- Kinney HC, Chadwick AE, Crandall LA, Grafe M, Armstrong DL, Kupsky WJ, Trachtenberg FL, Krous HF. Sudden death, febrile seizures, and hippocampal and temporal maldevelopment in toddlers: a new entity. Pediatr Dev Pathol. 2009;12(6):455–63. doi: 10.2350/08-09-0542.1. [DOI] [PMC free article] [PubMed] [Google Scholar]
- Krous HF, Chadwick AE, Crandall L, Nadeau-Manning JM. Sudden unexpected death in childhood: a report of 50 cases. Pediatr Dev Pathol. 2005;8:307–19. doi: 10.1007/s10024-005-1155-8. [DOI] [PubMed] [Google Scholar]
- Lathers CM, Koehler SA, Wecht CH, Schraeder PL. Forensic antiepileptic drug levels in autopsy cases of epilepsy. Epilepsy Behav. 2011;22(4):778–85. doi: 10.1016/j.yebeh.2011.10.011. [DOI] [PubMed] [Google Scholar]
- Liu L, Johnson HL, Cousens S, Perin J, Scott S, Lawn JE, Rudan I, Campbell H, Cibulskis R, Li M, Mathers C, Black RE. Child-Health Epidemiology Reference Group of WHO and UNICEF. Global, regional, and national causes of child mortality: an updated systematic analysis for 2010 with time trends since 2000. Lancet 2012;379:2151–61. Epub 2012 May 11. [DOI] [PubMed]
- Low I, Stables S. Anaphylactic deaths in Auckland, New Zealand: a review of coronial autopsies from 1985 to 2005. Pathology. 2006;38(4):328–32. doi: 10.1080/00313020600820831. [DOI] [PubMed] [Google Scholar]
- Manci EA, Culberson DE, Yang Y, Gardner TM, Powell R, Haynes J, Shah AK, Mankad VN. Investigators of the CooperAtive Study of Sickle Cell Disease. Causes of death in sickle cell disease: an autopsy study. Br J Haematol. 2003;123(2):359–65. doi: 10.1046/j.1365-2141.2003.04594.x. [DOI] [PubMed] [Google Scholar]
- Manousaki M, Papadaki H, Papavdi A, Kranioti EF, Mylonakis P, Varakis J, Michalodimitrakis M. Sudden unexpected death from oligdendroglioma: a case report and review of the literature. Am J Forensic Med Pathol. 2011;32(4):336–40. doi: 10.1097/PAF.0b013e3181d3dc86. [DOI] [PubMed] [Google Scholar]
- Matschke J, Tsokos M. Sudden unexpected death due to undiagnosed glioblastoma: report of three cases and review of the literature. Int J Legal Med. 2005;119(5):280–4. doi: 10.1007/s00414-005-0551-y. [DOI] [PubMed] [Google Scholar]
- Mayer DE, Krauskopf A, Hemmer W, Moritz K, Jarisch R, Reiter C. Usefulness of post mortem determination of serum tryptase, histamine and diamine oxidase in the diagnosis of fatal anaphylaxis. Forensic Sci Int. 2011;212:96–101. doi: 10.1016/j.forsciint.2011.05.020. [DOI] [PubMed] [Google Scholar]
- Menezes RG, Pant S, Haroshah MA, Senthikumaran S, Arun M, Nagesh KR, Bhat NB, Mahadeshwara Prasad DR, Karki RK, Subba SH, Fazil A. Autopsy discoveries of death from malaria. Legal Med. 2012;14:111–5. doi: 10.1016/j.legalmed.2012.01.007. [DOI] [PubMed] [Google Scholar]
- Morris JA, Harrison LM. Partridge. Postmortem bacteriology: a re-evaluation. J Clin Pathol. 2006;59:1–9. doi: 10.1136/jcp.2005.028183. [DOI] [PMC free article] [PubMed] [Google Scholar]
- Muller ML. Pediatric bacterial meningitis. eMedicine. 2012. Available at: http://emedicine.medscape.com/article/961497-overview Last accessed: 25 Sep 2012.
- Nashef L, So EL, Ryvlin P, Tomson T. Unifying the definitions of sudden unexpected death in epilepsy. Epilepsia. 2012;53(2):227–33. doi: 10.1111/j.1528-1167.2011.03358.x. [DOI] [PubMed] [Google Scholar]
- NCAA News/Division I. Background on sickle cell trait and the NCAA Sep 9, 2010. Available at: http://www.ncaa.org/wps/wcm/connect/public/NCAA/Resources/Latest+News/2010+news+stories/September+latest+news/Background+on+sickle+cell+trait+and+the+NCAA. Last accessed: 1 Oct 2012.
- O’Sullivan BP, Freedman SD. Cystic fibrosis. Lancet. 2009;373:1891–904. doi: 10.1016/S0140-6736(09)60327-5. [DOI] [PubMed] [Google Scholar]
- Olsen RJ, Chang CC, Herrick JL, Zu Y, Ehsan A. Acute leukemia immunohistochemistry: a systemic diagnostic approach. Arch Pathol Lab Med. 2008;132(3):462–75. doi: 10.5858/2008-132-462-ALIASD. [DOI] [PubMed] [Google Scholar]
- Oppenheimer EH. Similarity of the tracheobronchial mucous glands and epithelium in infants with and without cystic fibrosis. Human Pathol. 1981;12(1):36–48. doi: 10.1016/S0046-8177(81)80240-7. [DOI] [PubMed] [Google Scholar]
- Ottaviani G, Jaffe N. The epidemiology of osteosarcoma. Cancer Treat Res. 2009;152:3013. doi: 10.1007/978-1-4419-0284-9_1. [DOI] [PubMed] [Google Scholar]
- Palmiere C, Mangin P. Postmortem chemistry update part I. Int J Legal Med. 2012;126:187–98. doi: 10.1007/s00414-011-0625-y. [DOI] [PubMed] [Google Scholar]
- Parham DM, Alaggio R, Coffin CM. Myogenic tumors in children and adolescents. Pediatr Develop Pathol. 2012;15(1):211–38. doi: 10.2350/10-12-0953-PB.1. [DOI] [PubMed] [Google Scholar]
- Park KU, Prahlow JA. Sudden death due to adrenal neuroblastoma: child abuse mimic. Forensic Sci Med Pathol. 2011;7(1):47–52. doi: 10.1007/s12024-010-9193-6. [DOI] [PubMed] [Google Scholar]
- Penttila A, Laiho K. Autolytic changes in blood cells of human cadavers. II. Morphological studies. Forensic Sci Int. 1981;17(2):121–32. doi: 10.1016/0379-0738(81)90004-9. [DOI] [PubMed] [Google Scholar]
- Potratz J, Dirdsen U, Jurgens H, Craft A. Ewing sarcoma: clinical state-of-the-art. Pediatr Hematol Oncol. 2012;29(1):1–11. doi: 10.3109/08880018.2011.622034. [DOI] [PubMed] [Google Scholar]
- Prahlow JA, Barnard JJ. Fatal anaphylaxis due to fire ant stings. Am J Forensic Med Pathol. 1998;19(2):137–42. doi: 10.1097/00000433-199806000-00007. [DOI] [PubMed] [Google Scholar]
- Pumphrey RS, Roberts IS. Postmortem findings after fatal anaphylactic reactions. J Clin Pathol. 2000;53(4):273–6. doi: 10.1136/jcp.53.4.273. [DOI] [PMC free article] [PubMed] [Google Scholar]
- Ramachandran TS. Tuberculous meningitis. eMedicine. 2011. Available at: http://emedicine.medscape.com/article/1166190-overview Last accessed: 25 Sep 2012.
- Regamey N, Jeffery PK, Alton EW, Fuchs O, Tan HL, Zhu J, Qiu YS, Alton EW, Jeffery PK, Bush A, Davies JC. Airway remodeling and its relationship to inflammation in cystic fibrosis. Thorax. 2011;66(7):624–9. doi: 10.1136/thx.2009.134106. [DOI] [PubMed] [Google Scholar]
- Riedel S, Melendez JH, An AT, Rosenbaum JE, Zenilman JM. Procalcitonin as a marker for the detection of bacteremia and sepsis in the emergency department. Am J Clin Pathol. 2011;135(2):182–9. doi: 10.1309/AJCP1MFYINQLECV2. [DOI] [PubMed] [Google Scholar]
- Ries LAG, Smith MA, Gurney JG, Linet M, Tamra T, Young JL, Bunin GR (eds). Cancer incidence and survival among children and adolescents: United States SEER Program 1975–1995, National Cancer Institute, SEER Program. NIH Pub. No. 99-4649. Bethesda, MD; 1999. http://seer.cancer.gov/publications/childhood/
- Rubnitz JE, Gibson B, Smith FO. Acute myeloid leukemia. Hematol Oncol Clin North Am. 2010;24(1):35–63. doi: 10.1016/j.hoc.2009.11.008. [DOI] [PubMed] [Google Scholar]
- Sampson HA, Mendelson L, Rosen JP. Fatal and near-fatal anaphylactic reactions to food in children and adolescents. N Engl J Med. 1992;327(6):380–4. doi: 10.1056/NEJM199208063270603. [DOI] [PubMed] [Google Scholar]
- Secrest AM, Becker DJ, Kelsey SF, Kelsey SF, Laporte RE, Orchard TJ. Cause-specific mortality trends in a large population-based cohort with long-standing childhood-onset type 1 diabetes. Diabetes. 2010;59:3216–22. doi: 10.2337/db10-0862. [DOI] [PMC free article] [PubMed] [Google Scholar]
- Secrest AM, Becker DJ, Kelsey SF, Laporte RE, Orchard TJ. Characterizing sudden death and dead-in-bed syndrome in type 1 diabetes: analysis from 2 childhood-onset type 1 diabetes registries. Diabet Med. 2011;28(3):293–300. doi: 10.1111/j.1464-5491.2010.03154.x. [DOI] [PMC free article] [PubMed] [Google Scholar]
- Shen Y, Li L, Grant J, Rubio A, Zhao Z, Zhang X, Zhou L, Fowler D. Anaphylactic deaths in Maryland (United States) and Shanghai (China): a review of forensic autopsy cases from 2004 to 2006. Forensic Sci Int. 2009;186:105. doi: 10.1016/j.forsciint.2008.12.007. [DOI] [PubMed] [Google Scholar]
- Shepherd NA. Pathological mimics of chronic inflammatory bowel disease. J Clin Pathol. 1999;44:726–33. doi: 10.1136/jcp.44.9.726. [DOI] [PMC free article] [PubMed] [Google Scholar]
- Singer M, De Santis V, Vitale D, Jeffcoate W. Multiorgan failure as an adaptive, endocrine-mediated, metabolic response to overwhelming system inflammation. Lancet. 2004;364:545–8. doi: 10.1016/S0140-6736(04)16815-3. [DOI] [PubMed] [Google Scholar]
- Smith MA, Seibel NL, Altedruse SF, Ries LA, Melbert DL, O’Leary M, Smith FO, Reaman GH. Outcomes for children and adolescents with cancer: challenges for the twenty-first century. J Clin Oncol. 2010;28(5):2625–34. doi: 10.1200/JCO.2009.27.0421. [DOI] [PMC free article] [PubMed] [Google Scholar]
- Somers GR, Smith CR, Perrin DG, Wilson GJ, Taylor GP. Sudden unexpected death in infancy and childhood due to undiagnosed neoplasia. An autopsy study. Am J Forensic Med Pathol. 2006;27:64–9. doi: 10.1097/01.paf.0000203267.91806.ed. [DOI] [PubMed] [Google Scholar]
- Staat MA, Roberts NE, Ward RL, Bove KE, Pfalzgraf R, Berke T, Matson DO, Bernstein DI. Rotavirus deaths: rare or unrecognized? Clin Pediatr. 2005;44:535–7. doi: 10.1177/000992280504400611. [DOI] [PubMed] [Google Scholar]
- Sutton JT, Cummings PM, Ross GW, Lopes MB. Sudden death of a 7-year-old boy due to undiagnosed glioblastoma. Am J Forensic Med Pathol. 2010;31(3):278–80. doi: 10.1097/PAF.0b013e3181e8d0ef. [DOI] [PubMed] [Google Scholar]
- Taggart MW, Craver R. Causes of death, determined by autopsy, in previously health (or near-healthy) children presenting to a children’s hospital. Arch Pathol Lab Med. 2006;130(12):1780–5. doi: 10.5858/2006-130-1780-CODDBA. [DOI] [PubMed] [Google Scholar]
- Tate JE, Burton AH, Boschi-Pinto C, Steele AD, Dugue J, Parashar UD; WHO-coordinated Global Rotaviurs Surveillance Network. Lancet Infect Dis. 2012;12(2):136–41. [DOI] [PubMed]
- The JES. WHO classification of lymphomas: implications for clinical practice and translational research. Hematology Am Soc Hematol Educ Program. 2008;2009:523–31. doi: 10.1182/asheducation-2009.1.523. [DOI] [PMC free article] [PubMed] [Google Scholar]
- Thogmartin JR, Wilson CI, Palma NA, Ignacio SS, Pellan WA. Histological diagnosis of sickle cell trait. A blinded analysis. Am J Forensic Med Pathol. 2009;30:36–9. doi: 10.1097/PAF.0b013e3181873835. [DOI] [PubMed] [Google Scholar]
- Thogmartin JR, Wilson CI, Palma NA, Ignacio SS, Shuman MJ, Flannagan LM. Sickle cell trait-associated deaths: a case series with as review of the literature. J Forensic Sci. 2011;56(5):1352–60. doi: 10.1111/j.1556-4029.2011.01774.x. [DOI] [PubMed] [Google Scholar]
- Torgersen C, Moser P, Luckner G, Mayr V, Jochberger S, Hasibeder WR, Dunser MW. Macroscopic postmortem findings in 235 surgical intensive care patients with sepsis. Anesth Analg. 2009;108:1841–7. doi: 10.1213/ane.0b013e318195e11d. [DOI] [PubMed] [Google Scholar]
- Tsokos M. Postmortem diagnosis of sepsis. Forensic Sci Int. 2007;165(2–3):155–64. doi: 10.1016/j.forsciint.2006.05.015. [DOI] [PubMed] [Google Scholar]
- Unkrig S, Hagemeier L, Madea B. Postmortem diagnostics of assumed food anaphylaxis in an unexpected death. Forensic Sci Int. 2010;198:e1–4. doi: 10.1016/j.forsciint.2010.01.007. [DOI] [PubMed] [Google Scholar]
- Van den Heuval-Eibrink MM, Lankhorst B, Egeler RM, Corel LJA, Kollen WJW. Sudden death due to pulmonary embolism as presenting symptom of renal tumors. Pediatr Blood Cancer. 2008;50:1062–4. doi: 10.1002/pbc.21429. [DOI] [PubMed] [Google Scholar]
- Weber MA, Ashworth MT, Risdon RA, Risdon RA, Hartley JC, Malone M, Sebire NJ. The role of post-mortem investigations in determining the cause of sudden unexpected death in infancy. Arch Dis Child. 2008;93:1048–53. doi: 10.1136/adc.2007.136739. [DOI] [PubMed] [Google Scholar]
- Weber MA, Hartley JC, Ashworth MT, Malone M, Sebire NJ. Virological investigations in sudden unexpected deaths in infancy. Forensic Sci Med Pathol. 2010;6:261–7. doi: 10.1007/s12024-010-9181-x. [DOI] [PubMed] [Google Scholar]
- Wild S, Roglic G, Green A, Sicree R, King H. Global prevalence of diabetes estimates for the year 2000 and projections for 2030. Diabetes Care. 2004;27:1047–53. doi: 10.2337/diacare.27.5.1047. [DOI] [PubMed] [Google Scholar]
- Yaw KM. Pediatric bone tumors. Semin Surg Oncol. 1999;16(2):173–83. doi: 10.1002/(SICI)1098-2388(199903)16:2<173::AID-SSU8>3.0.CO;2-G. [DOI] [PubMed] [Google Scholar]
- Zakowski MF, Edwards RH, McDonough ET. Wilms’ tumor presenting as sudden death due to tumor embolism. Arch Pathol Lab Med. 1990;114(6):605–8. [PubMed] [Google Scholar]
