Abstract
A 41-year-old woman presents to the emergency department complaining of severe and continuous epigastric pain for the past 24 hours. The pain radiates straight through to her back. She has had progressive nausea with vomiting. The vomit is bile-stained and without blood. She has had similar but less severe episodes of abdominal pain in the past, usually after eating heavy meals, but they always resolved within a few hours. She is gravida two and para two, with last menses 2 weeks ago, and does not consume any alcohol. On exam, she is afebrile, heart rate is 115 beats/min, blood pressure of 128/86 mmHg, and respiratory rate is 18/min. Her abdomen is not distended. She has no surgical scars on her abdomen and no obvious masses visible. She has no bruising around her umbilicus or along her flank. Bowel sounds are hypoactive. She has marked tenderness to palpation in her epigastrium, without guarding or rebound. The remainder of her abdomen is soft and non-tender to palpation. No masses or organomegaly are appreciated. Laboratory examination reveals a white blood cell count of 17.2 × 103cells/μL (normal 4.1–10.9 × 103 cells/uL), amylase of 1545 u/L (30–110 u/L), lipase of 1134 u/L (7–60 u/L), ALT of 245 u/L (7–56 u/L), AST of 263 u/L (5–35 u/L), serum glucose of 156 mg/dl (65–110 mg/dL), and LDH 180 u/L (0–250 u/L). An abdominal series demonstrates gas throughout the small and large bowel and a focal dilated loop of proximal small bowel without air fluid levels. There is no free air under the diaphragm.
Keywords: Pancreatitis, Cholelithiasis, Alcohol, Amylase, Lipase, Atlanta criteria, Grey Turner’s sign, Cullen’s sign, Gallstone, Ranson criteria, ERCP
Case Study
A 41-year-old woman presents to the emergency department complaining of severe and continuous epigastric pain for the past 24-hours. The pain radiates straight through to her back. She has had progressive nausea with vomiting. The vomit is bile-stained and without blood. She has had similar but less severe episodes of abdominal pain in the past, usually after eating heavy meals, but they always resolved within a few hours. She is gravida two, para two, with last menses 2 weeks ago, and does not consume any alcohol. On exam, she is afebrile, heart rate is 115 beats/min, blood pressure of 128/86 mmHg, and respiratory rate is 18/min. Her abdomen is not distended. She has no surgical scars on her abdomen and no obvious masses visible. She has no bruising around her umbilicus or along her flank. Bowel sounds are hypoactive. She has marked tenderness to palpation in her epigastrium, without guarding or rebound. The remainder of her abdomen is soft and non-tender to palpation. No masses or organomegaly are appreciated. Laboratory examination reveals a white blood cell count of 17.2 × 103 cells/μL (normal 4.1–10.9 × 103 cells/uL), amylase of 1545 u/L (30–110 u/L), lipase of 1134 u/L (7–60 u/L), ALT of 245 u/L (7–56 u/L), AST of 263 u/L (5–35 u/L), serum glucose of 156 mg/dl (65–110 mg/dL), and LDH 180 u/L (0–250 u/L). An abdominal series demonstrates gas throughout the small and large bowel and a focal dilated loop of proximal small bowel without air fluid levels. There is no free air under the diaphragm.
Diagnosis
What Is the Differential Diagnosis for Epigastric Abdominal Pain?
Table 20.1
| Condition | History and physical |
|---|---|
| Gastroenteritis | Nausea, extensive vomiting, diarrhea, myalgia, fever, mild abdominal tenderness |
| Acute gastritis | Burning/gnawing epigastric pain, NSAID use, mild abdominal tenderness |
| Acute cholecystitis | Right upper quadrant/epigastric pain radiating to around the right back, nausea, vomiting, fever, Murphy’s sign |
| Peptic ulcer disease (PUD) | Intermittent burning epigastric pain that is better (duodenal ulcer) or worse (gastric ulcer) with food intake, nausea, Helicobacter pylori infection, NSAID use, steroids |
| Perforated ulcer | Initial epigastric pain, followed by diffuse tenderness, abdominal rigidity, rebound tenderness |
| Pancreatitis | Epigastric pain radiating to the back, nausea, vomiting, anorexia, fever, tachycardia, cholelithiasis, alcohol abuse |
| Appendicitis | Periumbilical pain migrating toward the right lower quadrant (McBurney’s point), associated with nausea, vomiting, anorexia, fever, Rovsing’s sign, psoas sign |
| Small bowel obstruction | Adhesions, hernia, neoplasms, dilated loops of bowel with air fluid levels, absence of distal colonic gas on plain radiograph |
| Mesenteric ischemia | “Severe abdominal pain out of proportion to physical exam,” nausea, most often cardiac embolus to superior mesenteric artery from atrial fibrillation, bloody diarrhea in severe cases |
| Ruptured AAA | Severe abdominal/back/left flank pain, pulsatile abdominal mass, hypotension, elderly male smoker |
| Referred pain from myocardial infarction | Atypical presentation more common in women and diabetics, cardiovascular disease, obesity, hypercholesterolemia |
NSAID nonsteroidal anti-inflammatory drugs
What Is the Diagnosis for This Patient?
Acute pancreatitis , most likely secondary to cholelithiasis. This patient has the classic presentation which consists of epigastric abdominal pain radiating straight through to the back with nausea and vomiting. She has had prior episodes of pain, which have resolved within a few hours, after eating heavy meals, which is characteristic of symptomatic gallstones. Since the vast majority of pancreatitis cases are due to gallstones or alcohol use and this patient does not consume alcohol, we can conclude that her symptoms are most likely related to gallstones. Finally, the amylase and lipase are elevated.
How Do You Diagnose Acute Pancreatitis?
Acute pancreatitis is considered a clinical diagnosis . The Atlanta criteria were created for the diagnosis of acute pancreatitis. They require two of the following three:
Sudden, severe, persistent epigastric pain radiating to the back
Elevated lipase or amylase to three times greater than the upper limit of normal
Characteristic findings of acute pancreatitis on imaging (i.e., enlarged pancreas, sentinel loops [dilated small bowel], colon cutoff sign, etc.)
History and Physical
What Nonsurgical Conditions Can Mimic an Acute Abdomen?
Gastroenteritis, acute adrenal insufficiency, sickle cell crisis, diabetic ketoacidosis, acute porphyria, pelvic inflammatory disease, kidney stones, and pyelonephritis.
What Is the Significance of Bruising Around the Umbilicus, Flank, and Inguinal Ligament?
They are all signs of retroperitoneal hemorrhage in association with acute hemorrhagic pancreatitis where methemalbumin formed from digested blood tracks subcutaneously to different parts of the abdominal wall. refers to a blue-black discoloration in the flanks. is a blue-red discoloration at the umbilicus, and is bruising over the inguinal ligament.
Watch Out
Only about 10% of gallstones are radiopaque (visible on plain radiographs) versus 90% of kidney stones. An abdominal ultrasound is the first step in the evaluation for gallstones.
What Are the Signs, Symptoms, and Findings of Acute Pancreatitis ?
Epigastric pain radiating to the back, worsened with food, nausea/vomiting (90% of cases), anorexia, or decreased oral intake. Physical exam frequently reveals fever, tachycardia, epigastric tenderness with localized guarding, and hypoactive bowel sounds secondary to reactive ileus.
What Structures Are in the Retroperitoneum?
One can remember these structures with the following mnemonic, “SAD PUCKER”: suprarenal (adrenal) glands, aorta/IVC, duodenum (2nd and 3rd part), pancreas (except tail), ureters, colon (ascending and descending), kidneys, esophagus, and rectum.
Pathophysiology
What Is the Pathophysiology of Pancreatitis?
It initially occurs as a result of inappropriate activation of pancreatic enzymes leading to peripancreatic inflammation. Intraparenchymal extravasation of enzymes causes autodigestion of pancreatic parenchyma but primarily damages the peripancreatic tissues and vasculature. The inflammatory response is out of proportion to the insult and, with time, potentiates further damage leading to fluid sequestration, fat necrosis, vasculitis, and hemorrhage.
What Are the Etiologies for Pancreatitis?
- “GET SMASHED” will help you remember the causes of acute pancreatitis
- G – gallstones (40%)
- E – ethanol (30%)
- T – tumors
- S – scorpion stings
- M – mycoplasma or mumps
- A – autoimmune (Lupus or polyarteritis nodosa)
- S – surgery or trauma
- H – hyperlipidemia/hypercalcemia
- E – ERCP or embolic/ischemic
- D – drugs or toxins
Watch Out
The 4 “F’s” for gallbladder disease are female, fat, forty, and fertile. Almost 40% of acute pancreatitis cases are caused by gallstones. However, only about 3–7% of patients with gallstones develop acute pancreatitis.
What Medications Can Cause Pancreatitis?
Table 20.2
| Disease treated | Medications |
|---|---|
| Cardiovascular disease | Furosemide, thiazides |
| Inflammatory bowel disease | Sulfasalazine, 5-ASA |
| Immunosuppression | Azathioprine |
| Seizures | Valproic acid |
| Diabetes | Exenatide |
| Human immunodeficiency virus (HIV) | Didanosine, pentamidine |
How Do Gallstones Cause Acute Pancreatitis?
The most prevailing theory is that as a gallstone passes from the gallbladder down into the common bile duct, it causes transient impaction at the ampulla which causes a sudden rise in pancreatic duct pressure.
In Patients with Gallstone Pancreatitis, How Often Does the Gallstone Remain Impacted in the Distal Common Duct?
The gallstones that cause pancreatitis are usually small, and as such, in the majority of cases, the stone remains impacted very briefly, only transiently obstructing the ampulla of Vater, and soon after passes into the duodenum. As such, persistence of a common bile duct (CBD) stone is uncommon, and therefore ERCP is not usually needed. This differs from gallstones that cause acute cholangitis, where the stones are usually large and usually need ERCP for removal.
What Are the Differences Between Acute and Chronic Pancreatitis ?
Table 20.3
| Acute pancreatitis | Chronic pancreatitis | |
|---|---|---|
| Onset | Severe and sudden | Recurrent episodes |
| Etiology | Gallstone (40%), alcohol (30%) | Alcohol (90%), anatomic defects (pancreas divisum), hereditary |
| Presentation | Epigastric pain radiating to the back, nausea, vomiting anorexia | Recurrent epigastric pain, weight loss, diabetes, steatorrhea |
| Labs | High amylase and lipase (more sensitive) | Low fecal elastase levels |
| Radiology | Dilated loops of bowel near pancreas (sentinel loop) on plain films | Pancreatic calcifications on plain films |
Watch Out
The first stage of pancreatitis involves the premature activation of trypsin within the pancreatic acinar cells.
How Is the Severity of Pancreatitis Classified?
The severity o f pancreatitis is classified as mild, moderately severe, and severe. Most patients (80–90%) have mild pancreatitis, which is characterized by the absence of multiorgan failure and local/systemic complications. It usually resolves in 2–5 days. Moderately severe includes transient organ failure lasting less than 48 hours and/or local or systemic complications. Severe pancreatitis is defined by organ failure that persists for more than 48 hours (worst prognosis).
What Organ Systems Can Be Affected by Acute Pancreatitis?
Cardiac, pulmonary, renal, and gastrointestinal.
How Is Organ Failure Defined?
Organ failure , as defined by the Atlanta Symposium, includes:
Systolic blood pressure < 90 mmHg
PaO2 ≤ 60 mmHg
Creatinine >2.0 mg/L after rehydration
Gastrointestinal bleeding > 500 cc/24 hours
Disseminated intravascular coagulation
Metabolic disturbances (calcium < 7.5 mg/dl)
What Is the Mechanism of Hypotension in Pancreatitis?
Inflammation and cytokine storm cause endothelial injury and increased permeability in the peripancreatic vasculature, leading to fluid leaking into the retroperitoneal space (known as third spacing). The cytokine storm also causes massive vasodilation, which along with a shrunken intravascular volume can cause severe hypotension.
What Are the Main Pulmonary Complications of Acute Pancreatitis?
Pleural effusions (the majority on the left side) and acute respiratory distress syndrome (ARDS) (◘ Fig. 20.1). These complications are thought to be due to cytokine-mediated vasodilation and pancreatic enzyme (e.g., phospholipase-A2)-mediated lung injury.
Fig. 20.1.

Chest X-ray showing diffuse bilateral pulmonary infiltrates characteristic of ARDS
What Are the Different Histopathologic Types of Acute Pancreatitis? What Are the Important Differences?
The majority of patients (>80%) develop , characterized by an enlargement of the pancreas due to inflammatory edema. Such patients have no inflammation or destruction of pancreatic cells. Less than 20% develop characterized by necrotic pancreatic parenchyma which can lead to sepsis in over half the cases. is a type of necrotizing pancreatitis in which there is extensive bleeding into the pancreatic parenchyma and surrounding tissues. The type of pancreatitis is important because it determines both prognosis and management.
Prognosis
How Is the Severity of Pancreatitis Determined?
Severity is determined by using one of various scoring systems: Ranson (◘ Fig. 20.2), APACHE II, or based on clinical evidence of local or systemic complications. Recently, the BISAP (bedside index of severity of acute pancreatitis) score has been found to be simpler than and as accurate as APACHE II. BISAP score is determined by adding one point for each of the following: BUN >25 mg/dL, impaired mental status, systemic inflammatory response syndrome (SIRS), age >60 years, and pleural effusion. The Ranson criteria are the most commonly used tool and include five admission variables and six criteria that are assessed after 48 hours. Use “GA (Georgia) LAW” to remember the parameters used in determining prognosis on admission. Use “CHOBBS” to remember the latter parameters. Each variable gets one point.
Fig. 20.2.

Ranson criteria
Watch Out
The degree of amylase and lipase elevation does not correlate with the severity of acute pancreatitis and should not be used to influence management (i.e., timing of surgery).
What Is the Main Drawback of Ranson Criteria ?
It takes 48 hours to measure all variables, and by then, the majority of patients have already declared themselves as to whether their course will be mild or severe and whether they need to be in a monitored bed. In addition, the variables cannot be repeatedly measured on an hourly or daily basis to monitor improvement or deterioration.
Why Does One Get Hypocalcemia with Severe Pancreatitis?
With severe pancreatitis, free fatty acids are generated by the action of pancreatic lipase. The free fatty acids chelate calcium salts that are present in the pancreas, leading to saponification (the deposition of calcium soaps in the retroperitoneum).
What Is the Natural Disease Course of Acute Pancreatitis?
The majority of patients with acute pancreatitis recover in less than 5 days without any complications. Close to 20% of patients have a severe presentation with local or systemic complications (including organ failure).
What Is the Most Common Cause of Mortality in the First Week of Acute Pancreatitis? Beyond the First Week?
In the first week, death is most often due to multiorgan failure as a result of severe systemic inflammatory response. After the first week, mortality is most commonly due to sepsis secondary to pancreatic necrosis and peripancreatic abscesses (these most often develop in the third and fourth week of hospitalization). If a pancreatic abscess is not drained, mortality approaches 100%.
Workup
What Are the Most Important Laboratory Tests to Order when Suspecting Acute Pancreatitis?
Serum amylase, lipase, liver function tests (AST, ALT, AP), electrolytes, complete blood count, and a lipid panel. Amylase and lipase are typically elevated. Amylase levels tend to be much higher (often >1000 u/L) in patients with gallstone pancreatitis as compared to other etiologies. Similarly, elevated ALT greater than three times the upper limit of normal is highly suggestive of gallstone pancreatitis. However, close to 20% of patients will have normal LFTs. A lipid panel is important to rule out hyperlipidemic pancreatitis; usually due to hypertriglyceridemia (must be >1000 mg/dl).
Which Laboratory Test Is Most Specific for Acute Pancreatitis?
Lipase is most specific (and sensitive). Numerous other diseases can cause hyperamylasemia (◘ Table 20.4).
Table 20.4.
Hyperamylasemia
| Conditions | Specific diseases |
|---|---|
| Pancreatic disease | Pancreatitis, pancreatic pseudocyst, trauma, ERCP, pancreatic carcinoma, cystic fibrosis |
| Salivary disease | Parotitis, radiation, ductal obstruction |
| Gastrointestinal disease | Peptic ulcer disease, perforated bowel, mesenteric ischemia, appendicitis, cholecystitis, celiac disease |
| Other | Alcohol abuse, renal failure (amylase is renally cleared) |
Watch Out
In patients with hemorrhagic pancreatitis, the initial hematocrit is not a good indicator of blood loss. The hematocrit may take 1–2 days to equilibrate. In addition, if the patient is severely volume depleted, it may lead to hemoconcentration, giving a falsely elevated or normal hematocrit.
What Is the Diagnostic Imaging of Choice on Admission for Acute Pancreatitis?
Right upper quadrant ultrasound. Since the most common cause of acute pancreatitis is gallstones, this is the first etiology that should be ruled out.
What Are the Classic Abdominal X-Ray Findings in Acute Pancreatitis?
A sentinel loop (dilated loops of proximal small bowel in the left upper quadrant near the pancreas) and colon cutoff sign (distended proximal colon with abrupt collapse in the left upper quadrant at the splenic flexure). Both are due to local ileus (paralyzed, nonmotile bowel) as a result of the pancreatic inflammation.
Watch Out
The delayed development of an ileus in a patient with pancreatitis or following trauma may indicate retroperitoneal bleeding.
What Is the Classic Chest X-Ray Finding in Acute Pancreatitis? How Does This Finding Influence Prognosis?
A pleural effusion, classically on the left side. In patients with severe pancreatitis, nearly 85% have evidence of pleural effusion on admission. In contrast, only 15% of patients with mild pancreatitis have a pleural effusion on plain films upon admission. This finding is strongly associated with severe pancreatitis.
What Is the Role of Abdominal CT Scan on Admission?
CT scan should not be routinely ordered on admission, as it does not change management in the vast majority of cases. Though CT scan can help distinguish between mild and severe pancreatitis, clinical criteria are equally useful in making this distinction. Severe pancreatitis can cause a diffuse peritonitis-like exam, so a CT is useful when the diagnosis is in doubt.
What Is the Role of Abdominal CT Scan During Subsequent Hospitalization?
If the patient is not clinically improving after several days of conservative management, CT scan is helpful as it may explain the lack of improvement (such as whether there is pancreatic necrosis). Beyond the first week, CT scan is helpful in the situation where a patient develops worsening abdominal pain, fever, and sepsis, as it may demonstrate a pseudocyst or a pancreatic abscess (these local complications do not manifest on admission) (◘ Figs. 20.3, 20.4, and 20.5).
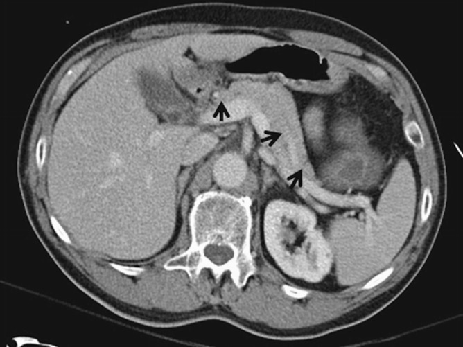
Fig. 20.3.

Axial CT with a normal-appearing pancreas. (Black arrows: normal pancreas)
Fig. 20.4.

Axial CT scan with peripancreatic fluid collections exhibiting thick irregular walls and marked fat stranding, consistent with abscesses
Fig. 20.5.

Axial CT scan showing a thin-walled peripancreatic fluid collection consistent with pancreatic pseudocyst
What Is the Role of Urgent ERCP in Gallstone Pancreatitis?
It is rarely needed – only if there is a suspected concomitant acute cholangitis. ERCP itself may cause pancreatitis. If ERCP is necessary, indomethacin rectal suppository reduces risk of pancreatitis.
Management
What Is the Initial Treatment for Acute Pancreatitis?
Treatment is supportive, and patients are managed conservatively with vigorous intravenous fluid resuscitation, NPO, and analgesics. Routine nasogastric tube decompression is not recommended (only if there is ongoing vomiting). Similarly, routine use of antibiotics is not recommended. The majority of patients’ symptoms resolve within 3–5 days with this management.
Watch Out
Although not applied clinically, some test questions prefer meperidine over morphine for pain control in acute pancreatitis because in theory, meperidine does not cause contraction of the sphincter of Oddi (whereas morphine does) and may allow for quicker resolution of symptoms. However, meperidine increases the risk of seizures.
What Is the Subsequent Management Plan? And How Does This Differ Between Gallstone and Alcoholic Pancreatitis?
If gallstones were found on presentation (and there is no history of alcohol abuse), a cholecystectomy should be performed during the same hospitalization because recurrent gallstone pancreatitis risk is high within 30 days. The timing of surgery depends on pancreatitis severity. Amylase and lipase levels should not influence timing of surgery. If alcohol is the etiology, counsel the patient on alcohol cessation, and provide referral for support groups.
How Does the Severity of Acute Pancreatitis Affect Management?
Pancreatitis severity assists in triage to a ward (mild pancreatitis) or monitored step-down or ICU bed (moderately severe or severe pancreatitis). If severe pancreatitis is predicted, it raises awareness to monitor the patient closely for local and/or systemic complications. For gallstone pancreatitis, it assists in determining timing of cholecystectomy: early (within 48–72 hours) for mild pancreatitis versus delayed (weeks later after complete resolution) for moderately severe or severe pancreatitis.
What Is the Management Algorithm for Acute Pancreatitis? ◘ Fig. 20.6
Fig. 20.6.
Management algorithm for acute pancreatitis. (Based on the practice guidelines from the American College of Gastroenterology)
Special Situations
What Should You Suspect if a Patient with Severe Acute Pancreatitis Develops a Fever and Leukocytosis 4 Weeks into the Hospitalization?
This presentation is concerning for a pancreatic abscess . The first step is to order a CT scan with contrast looking for necrotic tissue (i.e., areas that do not enhance) or a pancreatic abscess. If you find evidence of either, a CT or ultrasound-guided aspiration should be performed and sent for culture. If infection is present, antibiotics are administered. Infected pancreatic necrosis and pancreatic abscesses require surgical debridement using a step-up approach (sequential additional steps if needed): (1) percutaneous or endoscopic drainage, (2) video-assisted retroperitoneal debridement (VARD), and (3) open necrosectomy. These procedures are termed external drainage.
What Should You Suspect If a Patient with a Recent Hospitalization for Pancreatitis Comes in 6 Weeks Later with Vague Abdominal Pain, a Palpable Epigastric Mass, and Persistently Elevated Serum Amylase?
A pancreatic pseudocyst, a collection of pancreatic fluid surrounded by a wall without epithelium. It results from pancreatic injury such as pancreatitis or trauma, which essentially disrupts a pancreatic duct. The pancreatic enzymatic fluid that leaks out is contained by surrounding fibrotic tissue. Although this most commonly appears in patients with chronic pancreatitis, it can also occur in the weeks following resolution of an acute pancreatitis. Patients often present with vague abdominal pain , elevated serum amylase, and possibly a palpable epigastric mass . The diagnostic test of choice is a CT scan, and most can be managed conservatively. Predictors of failure for conservative management include pseudocysts larger than 6 cm or those that have persisted for more than 6 weeks. Treatment of a symptomatic, non-infected pseudocyst that fails to resolve is usually via internal drainage, by creating a connection between the cyst and the adjacent intestinal organ, usually the stomach (endoscopic cystogastrostomy). External drainage is not recommended as this may create a pancreatico-cutaneous fistula. A pseudocyst can erode into arteries, leading to a pseudoaneurysm and upper GI bleed (managed with angiographic embolization).
Watch Out
Pancreatic cysts in the absence of a history of pancreatitis should raise suspicion for a neoplasm; biopsy should be considered.
What Are the Complications from Chronic Pancreatitis?
Patients may develop diabetes mellitus secondary to the destruction of beta-islet insulin-producing cells in the pancreas caused by chronic inflammation. This type of diabetes is termed type-3 diabetes and is very difficult to treat, and most patients require insulin. Patients may also develop steatorrhea due to poor absorption (particularly of fats and fat-soluble vitamins) from the digestive tract. These patients require pancreatic enzyme supplementation. Most patients also complain of severe and persistent chronic pain.
Acute Pancreatitis After a Vascular Procedure
Although rare, patients who undergo an endovascular procedure are at risk of atheroemboli (cholesterol embolism) dislodged by wires or stents. Cholesterol atheroemboli can lead to skin changes (e.g., blue toe, livedo reticularis) and/or gastrointestinal complications (e.g., acute pancreatitis, mesenteric ischemia). Pancreatitis can also result from ischemia (such as after being on heart bypass). Acute pancreatitis that results from uncorrectable causes such as atheroembolism and ischemia should be managed with supportive treatment (e.g., IV fluids, analgesia).
What Is the Most Common Indication for Surgical Management in Chronic Pancreatitis?
The most common indication for surgical intervention is persistent and severe pain. The reason why chronic inflammation leads to constant pain is not fully understood, but the mechanism proposed includes nerve injury in the pancreatic head. Nonoperative management, providing temporary pain relief, includes placement of a stent in the pancreatic duct, allowing for improved anterograde flow of pancreatic juices. For definitive treatment, the Puestow procedure (lateral pancreaticojejunostomy) is performed, in which the pancreatic duct is opened all the way from the head to the tail and sutured into the jejunum, allowing the free flow of pancreatic juices into the small intestine.
Areas of Controversy
Is Urgent ERCP Beneficial for Severe Pancreatitis?
Only if there is suspicion of concomitant cholangitis. In the absence of cholangitis, the theoretical benefit of urgent ERCP is to remove a gallstone impacted in the distal common duct that might cause ongoing pancreatic inflammation. However, studies have failed to consistently show benefit in using urgent ERCP in the absence of cholangitis. This may be a result of ERCP having a 5% risk of causing pancreatitis, related to over-injection of contrast medium into pancreatic ducts, and due to the fact that the majority of gallstones pass into the duodenum spontaneously. There is evidence to support endoscopic removal of common bile duct stones with ERCP and papillotomy if cholangitis is also present. Some clinicians also choose to use ERCP in the setting of obstructive jaundice as suggested by persistent and marked bilirubin elevation.
Should Prophylactic Antibiotics Be Administered for Severe Acute Pancreatitis?
There is no role for antibiotics for mild pancreatitis, as the disease is due to inflammation, not infection. Patients with severe pancreatitis have increased mortality as a result of subsequent infections, justifying a possible role for prophylactic antibiotics, anecdotally supported by its use in clinical practice over the past several decades. However, its role has been scrutinized by multiple studies in recent years, with most concluding that there is no decrease in mortality with prophylactic antibiotics.
Areas Where You Can Get in Trouble
Missing Hypercalcemia as the Cause of Pancreatitis
In the absence of gallstones and alcohol abuse, the etiology of acute pancreatitis may be elusive. In a patient with hyperparathyroidism or hypertension controlled with hydrochlorothiazide, consider hypercalcemia as the etiology. Hydrochlorothiazide increases calcium reabsorption in the distal convoluted tubule. Hypercalcemia leads to a secretory block in the pancreatic duct. While hypercalcemia can cause pancreatitis, pancreatitis can cause hypocalcemia. Inflammation generates free fatty acids that avidly chelate insoluble calcium salts in the pancreatic bed, resulting in hypocalcemia. Thus, the predisposing hypercalcemia may be missed.
Pseudohyponatremia in Pancreatitis
Be aware of pseudohyponatremia in patients with hyperlipidemic pancreatitis. This is due to lipids displacing water, creating a measuring error. True sodium levels are normal.
Nutritional Support
If patients require being NPO greater than 7 days, nutritional support is needed. Enteral nutrition (not parenteral) is preferred, with the feeding tube placed past the ligament of Treitz to avoid activation of the pancreas.
Summary of Essentials
History and Physical
Nonsurgical conditions that mimic an acute abdomen: gastroenteritis, acute adrenal insufficiency, sickle cell crisis, diabetic ketoacidosis, acute porphyria, pelvic inflammatory disease, kidney stones, and pyelonephritis.
Patients with pancreatitis typically present with epigastric pain radiating to the back, nausea, vomiting, anorexia, fever, and tachycardia.
Pathophysiology
The initial event in pancreatitis is the inappropriate activation of pancreatic enzymes.
Gallstones and alcohol are the most common causes of acute pancreatitis.
Diagnosis
Most cases can be diagnosed with just a history, physical, and abnormal amylase/lipase.
Ranson criteria are used to predict severity based on parameters during initial admission and at 48 hours after.
Workup
Amylase/lipase levels do not correlate with severity of pancreatitis.
In the absence of a history of alcohol abuse, start with a RUQ ultrasound to look for gallstones.
Management
Patients should initially be managed conservatively with IV fluids, NPO, and narcotic analgesia.
- Gallstones.
- Urgent ERCP rarely needed:
- Early cholecystectomy if mild pancreatitis.
- Late cholecystectomy if moderately severe or severe pancreatitis.
If patients do not clinically improve after 3 days of conservative management, get a CT scan with contrast to look for any underlying complications (i.e., necrosis).
Begin enteral nutrition in patients with prolonged NPO status or in severe acute pancreatitis.
Refractory persistent abdominal pain is the main indication for surgery in chronic pancreatitis.
Complications
- Systemic
- Early (first week)
- Multi-organ failure
- Local
- Late (3 weeks)
- Pancreatic abscess
- Pancreatic pseudocyst
- Pancreatic necrosis
Contributor Information
Christian de Virgilio, Phone: +113102225101, Email: cdevirgilio@labiomed.org.
Areg Grigorian, Phone: +118184389093, Email: agrigori@uci.edu.
Areg Grigorian, Email: agrigori@uci.edu.
Matthew Y. C. Lin, Email: matthew.lin@ucsf.edu
Christian de Virgilio, Email: cdevirgilio@lundquist.org.
Suggested Reading
- Aboulian A, Chan T, Yaghoubian A, Kaji AH, Putnam B, Neville A, de Virgilio C. Early cholecystectomy safely decreases hospital stay in patients with mild gallstone pancreatitis: a randomized prospective study. Ann Surg. 2010;251(4):615–619. doi: 10.1097/SLA.0b013e3181c38f1f. [DOI] [PubMed] [Google Scholar]
- Banks PA, Bollen TL, Dervenis C, Gooszen HG, et al. Classification of acute pancreatitis—2012: revision of the Atlanta classification and definitions by international consensus. Gut. 2013;62(1):102–111. doi: 10.1136/gutjnl-2012-302779. [DOI] [PubMed] [Google Scholar]
- Chang L, Lo S, Stabile BE, Lewis RJ, Toosie K, et al. Preoperative versus postoperative endoscopic retrograde cholangiopancreatography in mild to moderate gallstone pancreatitis: a prospective randomized trial. Ann Surg. 2000;231(1):82. doi: 10.1097/00000658-200001000-00012. [DOI] [PMC free article] [PubMed] [Google Scholar]
- Uhl W, Warshaw A, Imrie C, Bassi C, et al. IAP guidelines for the surgical management of acute pancreatitis. Pancreatology. 2003;3(2):565–573. doi: 10.1159/000071181. [DOI] [PubMed] [Google Scholar]

