Abstract
The indication for a small intestinal biopsy is usually the work-up of malabsorption, a clinicopathologic picture caused by a number of infectious and noninfectious inflammatory conditions. The biopsy is generally taken through an endoscope, by either forceps or suction, from the duodenum or proximal jejunum. Depending upon the underlying condition, morphological abnormalities are seen in malabsorption range from normal mucosa with increased intraepithelial lymphocytes (gluten-sensitive enteropathy, viral gastroenteritis, food allergies, etc.), villous shortening with crypt hyperplasia (celiac disease (CD), treated CD, tropical sprue, and bacterial overgrowth), to completely flat mucosa (CD, refractory sprue, enteropathy-induced T-cell lymphoma, and autoimmune enteropathy). Infectious agents that affect gastrointestinal tract can be grouped as food-borne and water-borne bacteria, opportunistic infections (bacterial, fungal, and viral), viral infections (extremely rarely biopsied), and parasitic and helminthic infections. The majority of these infections are, however, self-limited. Although biopsy is more invasive, the use of this procedure allows detection of other causes, including Whipple's disease, other protozoan forms of diarrhea (e.g., cryptosporidiosis, isosporiasis, or cyclosporiasis), Crohn's disease, or lymphoma that may also present as diarrhea and malabsorption.
Keywords: Bacterial overgrowth, Celiac disease, Collagenous sprue, Flat mucosa, Graft-versus-host disease, Immunodeficiency, Infections, Intraepithelial lymphocytosis, Malabsorption, Neonatal enteropathy, Opportunistic infections, Refractory sprue, Small intestine, Tropical sprue, Whipple's disease
Malabsorption
Small intestine is the part of the gastrointestinal tract where much of the absorption takes place due to its large surface area provided by the numerous microvilli covering intestinal villi and the digestive enzymes on its surface actively secreted to optimize uptake of dietary substances. Adequate absorption takes place when there are mechanically intact digestive organs to produce the necessary enzymes as well as an adequate blood supply, motility, and microflora. Malabsorption develops when malfunction in any of these components leads to failure of absorption of nutrients resulting from a wide variety of causes (Figure 1 and Table 1 ), the mechanisms of which can be classified into three groups: (i) maldigestion, which is related to mixing and digestive mediators; (ii) mucosal or mural causes including celiac disease (CD); and (iii) microbial causes (Table 2 ). Physiologically, there are three phases of absorption, luminal digestion, mucosal digestion, and mucosal absorption. The luminal phase consists of the breakdown of proteins, carbohydrates, and fats by digestive enzymes and bile, while mucosal phase involves hydrolysis of carbohydrates and peptides by enzymes of enterocyte membrane (disaccharidases and peptidases), and absorption phase comprises transepithelial transport of nutrients, fluid, and electrolytes to the blood vessels through enterocytes. Malabsorption can, therefore, result from defects in either of these phases. In the succeeding text, the mechanisms of malabsorption are further discussed for each of these phases:
-
1.The luminal phase is where dietary fats, proteins, and carbohydrates are hydrolyzed and stabilized by digestive enzymes and bile. Diseases often associated with this phase include
-
−enterokinase and trypsinogen deficiencies that can lead to protein malabsorption,
-
−impaired micelle formation that can cause problems in fat stabilization and the resulting fat malabsorption due to deconjugation of bile salts,
-
−stasis of intestinal content due to a variety of factors (motor and anatomical abnormalities and small bowel contamination from enterocolonic fistulas) that can cause bacterial overgrowth.
-
−
-
2.Bacterial overgrowth can cause decreased luminal availability of substrates (carbohydrates, protein, and vitamins).
-
−The mucosal phase relies on the integrity of the brush border membrane of intestinal epithelial cells to transport digested products from the lumen into the cells.
-
−Impaired brush border enzyme activity may lead to lactose intolerance and sucrase–isomaltase deficiency.
-
−Impaired nutrient absorption can be inherited or acquired deficits. Inherited defects include glucose–galactose malabsorption and abetalipoproteinemia.
-
−Acquired defects that are more common may be caused by decreased absorptive surface area (intestinal resection) or damaged mucosa (celiac sprue, tropical sprue, giardiasis, and Crohn's disease).
-
−
-
3.
Transport abnormalities may be caused by lymphatic obstruction or vascular insufficiency. These include conditions like defective chylomicron synthesis in abetalipoproteinemia, submucosal infiltration in the intestinal wall due to lymphoma or amyloidosis, and lymphatic obstruction in intestinal lymphangiectasia. Figure 2 summarizes the phases of malabsorption.
Figure 1.

Malabsorption develops when components of the mucosa are disrupted or damaged by a wide variety of injuries or stimuli including infectious, immunologic and inflammatory, and toxic or chemical causes.
Table 1.
Causes of malabsorption
| Autoimmune GSE Autoimmune enteropathy |
Hypersensitivity Protein allergy (milk and soy) Eosinophilic gastroenteritis |
|
Inherited/metabolic MVID Abetalipoproteinemia Primary lymphangiectasia Chronic granulomatous disease |
Nutritional deficiencies B12/folate deficiency Zinc deficiency Protein–calorie deficiency |
|
Immune disorders GVHD AIDS and congenital immune deficiencies |
Neoplastic/infiltrative diseases Waldenström's macroglobulinemia Amyloidosis Lymphoma |
|
Infections Tropical sprue Whipple's disease Bacterial overgrowth Giardiasis H. pylori – duodenitis |
Systemic diseases Lipid storage disease Histiocytosis X Inflammatory bowel diseases Crohn's disease Ulcerative colitis |
Table 2.
Mechanisms of malabsorption
| Abnormality | Underlying pathology |
|---|---|
| Defective intraluminal digestion |
Pancreatic dysfunction Pancreatic insufficiency (pancreatitis or cystic fibrosis) Inactivation of pancreatic enzymes by excess gastric acid secretion (Zollinger–Ellison syndrome) Deficient or ineffective bile salts Decreased bile salt uptake (ileal resection or dysfunction) Impaired excretion of bile – (liver disease) After rerouting surgery (gastrectomy and bypass) Disaccharidase deficiency (primary disaccharidase deficiency) or secondary (damage to villi due to celiac disease) |
| Mucosal or mural abnormalities | Gluten-sensitive enteropathy (celiac disease) Short gut syndrome Crohn's disease Allergic and eosinophilic gastroenteritis Neonatal enteropathies Abetalipoproteinemia Muscular or neurogenic defect of intestinal wall (amyloidosis and scleroderma) Intestinal lymphangiectasia |
| Infections | Bacterial overgrowth Whipple's disease Parasitic infestation Tropical sprue Giardiasis Cryptosporidiosis and isosporidiosis |
Figure 2.

Mechanisms of malabsorption with respect to luminal, mucosal, and mural/transport phases.
Regardless of the cause, malabsorption syndrome refers to the clinical picture comprising diarrhea, steatorrhea, malnutrition, weight loss, abdominal pain, and anemia. Undigested food produces diarrhea, due to its voluminous effect in the bowel lumen. Although all three major nutrients (fat, carbohydrate, and protein) may be malabsorbed, clinical symptoms usually only develop with carbohydrate and fat malabsorption.
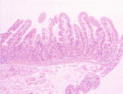
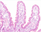
Small intestinal biopsy is an indispensable component of the diagnostic work-up of patients with malabsorption and/or chronic diarrhea secondary to mucosal damage. Though complete villous flattening usually indicates CD when coexisting crypt hyperplasia is present, there are entities that may cause villous flattening and crypt hyperplasia other than CD. The majority of disorders causing malabsorption, on the other hand, produce mild to moderate villus blunting and crypt hyperplasia without any specific diagnostic feature. Pathologists can also be faced with a patient with malabsorption or chronic diarrhea and a biopsy that appears normal or near-normal architecturally on microscopy. Table 3 highlights mucosal pathology of malabsorption.
Table 3.
Mucosal pathology in malabsorption
| Normal mucosa | IELosis | Villous shortening and crypt hyperplasia | Flat mucosa |
|---|---|---|---|
![]() |
![]() |
![]() |
![]() |
Diseases Associated with Luminal Maldigestion
Digestion begins in the mouth with mechanical disruption of food by chewing and mixing it with enzymes in the saliva. Further mechanical digestion continues in the stomach until the semiliquid food or chyme is formed. Digestion is completed when chyme is delivered into the duodenum and treated with pancreatic enzymes and bile salts. When normal gastric function is lost due to surgical procedures such as partial or total gastrectomy, the partially digested food rapidly passes into the duodenum causing osmotic pressure and diarrhea. Enzymatic activity is equally crucial for absorption of nutrients. Pancreatic enzymes and intestinal brush border hydrolases act in harmony for chemical modification of complex carbohydrates, proteins, and lipids. Therefore, any disorder causing defective nutrient hydrolysis as in Zollinger–Ellison syndrome (ZES) where excess HCl (acid) production may inactivate gastric lipase and proteolytic pancreatic exocrine enzymes, pancreatic enzyme deficiency due to chronic pancreatitis, or a malignancy obstructing the outflow of pancreatic juices into the duodenum may all lead to malabsorption. There are reduced bile salt synthesis due to severe liver disease (cirrhosis) and impaired bile salt secretion due to chronic cholestasis (intrinsic liver disease that causes bile duct damage or extrahepatic bile duct obstruction): bile salts are thus not available to form micelles to aid in fat solubilization for absorption. Bile salts may be inactivated in the intestinal lumen by overgrowth of bacteria in small intestinal bacterial overgrowth syndrome (SIBO). In patients with conditions that predispose to intestinal stasis, either by anatomical or motility abnormalities bacteria may overgrow in the proximal small intestine (Figure 3 ). These excess bacteria deconjugate bile salts leaving them unconjugated and unable to participate in micelle formation. This leads to malabsorption of fat and fat-soluble vitamins A, D, E, and K.
Figure 3.

Diseases associated with luminal maldigestion.
Diseases Associated with Mucosal Maldigestion
Disaccharidase deficiency including lactase, sucrase, and maltase deficiencies may be either primary or secondary that may be differentiated by histology. Low levels with normal histology may suggest primary deficiency, while the preceding disorder such as celiac disease may also be diagnosed by histology in secondary deficiency.
Lactase deficiency: Among the disaccharidase deficiencies, lactase deficiency is by far the most common form worldwide. Lactase is a disaccharidase located on the surface of intestinal microvilli, which cleaves lactose to glucose and galactose. Lactase deficiency or hypolactasia in adulthood causes fermentation of lactose by intestinal microflora resulting in abdominal discomfort and diarrhea. The diarrhea is caused by the osmotic effects of lactose, glucose, and galactose in the colonic lumen, while short-chain fatty acids produced by fermentation of lactose cause flatulence (Figure 4). Rare primary congenital deficiency may occur in infants, while secondary deficiency may result from disorders causing mucosal injury including celiac disease, tropical sprue, and inflammatory bowel disease (IBD). Intermittent distribution of lactase on the brush border is revealed by immunohistochemistry, hydrogen breath tests and response to an exclusion diet are the diagnostic procedures for lactase deficiency.
Figure 4.

(1) Normal absorption of carbohydrates with intact brush border hydrolase activity. Lactase acts upon luminal lactose and cleaves it to glucose and galactose that can then be absorbed by the intestines. (2) In lactase deficiency, this cleavage cannot take place leaving lactose intact until it reaches the colon where fermentation by intestinal microflora occurs resulting in gas formation. The intact lactose causes osmotic diarrhea due to its voluminous effect in the lumen. In case of hypolactasemia, little cleavage of glucose and galactose occurs. SCFA, Short chain fatty acids.
Diseases Associated with Mucosal Malabsorption
Conditions leading to a decrease in surface area of the small intestine are among the leading causes of malabsorption as they also cause shortened transit time and defective exposure to digestive enzymes. This may be in the form of either decreased intestinal mucosal mass as in surgically resected small bowel or short bowel syndrome or may result from functional loss of the mucosa as in CD, tropical sprue, autoimmune enteropathy, and intestinal lymphangiectasia.
Celiac Disease: CD, also known as celiac sprue, nontropical sprue, gluten-induced enteropathy, or gluten-sensitive enteropathy (GSE), is a chronic inflammatory disorder of the small intestine characterized by malabsorption after ingestion of wheat gluten or related proteins in rye (secalins) and barley (hordeins) in individuals with a certain genetic background. The pathogenesis involves a T-cell-mediated immune response and autoreactive B lymphocytes that produce autoantibodies directed against gliadin, endomysium, or tissue transglutaminase (tTG) in individuals with a genetic susceptibility related to human leukocyte antigen (HLA)-DQ2 and HLA-DQ8.
The mechanism(s) by which gluten injures the epithelium has not been fully established. However, immunologic, genetic, and environmental factors all seem to be important.
-
a.Immune mechanisms. Multiple observations favor the conclusion that celiac disease is an autoimmune disorder occurring in the context of a combination of genetic and environmental factors, including the following:
-
i.Serum antibodies to gluten and its gliadin fraction are virtually always present in active celiac disease. A recent study showed subepithelial deposition of activated complement IgG and IgM in proportion to circulating antigliadin levels, suggesting humoral epithelial injury.Antireticulin antibodies, antiendomysium antibodies, and anti-tTG antibodies also correlate with disease activity and have diagnostic specificity.
-
ii.There is presence of numerous intraepithelial lymphocytes (IELs), chiefly in the injured surface epithelium (these are mostly T cells, but with a high proportion gamma/delta types). This is highly consistent with cell-mediated injury that is somehow facilitated by gluten.
-
iii.Steroids can cause patient improvement comparable to that with a gluten-free diet (GFD).
-
iv.Patients with celiac diseases show a highly significant excess of other autoimmune diseases (e.g., insulin-dependent diabetes mellitus).
-
i.
-
b.Genetic factors. Genetic factors include the following:
-
i.There are a strong tendency for celiac disease to run in families (11–22% occurrence in first degree relatives) and also a high (70%) concordance for celiac diseases in identical twin pairs.
-
ii.There is a high correlation between celiac disease and presence of HLA-B8, DR3(DR17), DR7, and DQ2 histocompatibility loci. The strongest association (95%) is with a specific HLA DQ2 molecule that is seen in only 20–30% of the general population. The genetics seem to be ‘complex’ and a multigenic HLA-associated susceptibility is favored.
-
iii.There are overlap with the blistering skin condition dermatitis herpetiformis, including similar mucosal alterations, and overlap in HLA markers and improvement in the skin lesions on a GFD.
-
i.
-
c.Environmental factor(s). It seems likely that an environmental factor is a necessary precondition, along with appropriate genetic makeup and gluten ingestion, for an individual to develop celiac disease. Support for this conclusion comes from the following:
-
i.The fact that only one member of an identical twin pair is sometimes affected by celiac disease.
-
ii.There is evidence of a possible role for viral infection: in one study, serological findings of prior exposure to an adenovirus (type 12) were unusually common. In addition, a type 12 adenovirus antigen shares an amino acid sequence with gliadin. Although more recent studies have not confirmed a direct correlation between celiac diseases and adenovirus 12, the concept remains an attractive paradigm.
-
i.
Mucosal pathology in CD may be summarized as follows:
Following uptake of gluten by the enterocytes, tTG deamidates gluten molecules that facilitate their binding to HLA-DQ2 and DQ8-bearing antigen-presenting cells. When gluten is presented to lamina propria CD4 + helper T cells, they become activated to secrete INF gamma and induce upregulation of IL15 that in turn boosts IEL-mediated cytotoxicity. IELs, under the influence of IL15, gain NK-cell-like properties and cause enterocyte damage (Figure 5 ). Tissue damage leads to tTG secretion and deamidation of more gluten peptides. Because of the immunopathologic basis of the disease, there is a complex and heterogeneous population of inflammatory cells in the lamina propria comprising plasma cells that locally produce antigliadin antibodies and antiendomysial antibodies, T cells that include predominantly helper T cells as well as few cytotoxic cells. Also, neutrophils, eosinophils, and mast cells may be found in varying numbers, though grading this inflammatory reaction is difficult and impractical. Since none of these changes is specific to CD, intraepithelial lymphocytosis (IELosis) and architectural changes effecting villous to crypt ratio remain as the main diagnostic parameters of pathological evaluation. Gluten sensitivity has also been known to affect other parts of the gastrointestinal tract, including esophagus, stomach, and large intestine, and interestingly enough, IELs are also increased in these areas in the form of lymphocytic esophagitis, gastritis, and colitis.
Figure 5.

Pathogenesis of celiac disease (CD). Following uptake of gluten by the enterocytes, tissue transglutaminase deamidates gluten molecules, which facilitates their binding to HLA-DQ2 and DQ8-bearing antigen presenting cells. When gluten is presented to lamina propria CD4 + helper T cells, they become activated to secrete certain cytokines including INF gamma and IL15. The latter induces CD8 + T-cell influx to the surface epithelium, thus causing intraepithelial lymphocytosis (IELosis). Intraepithelial lymphocytes (IELs) under the influence of IL15 gain NK-cell-like properties and cause enterocyte damage.
Clinical presentation varies from full-blown malabsorption with weight loss, diarrhea, and steatorrhea to more subtle symptoms such as folate or iron deficiency anemia, flatulence, episodic diarrhea, loose stools, neurological problems, osteoporosis, and vitamins K and D deficiencies in as many as 50% of patients. In children, usually within a few months of introducing the child to wheat-based foods, the classical syndrome of chronic diarrhea, steatorrhea, abdominal distension, and failure to thrive appears between 6 months and 2 years of age. Both weight (40% below 10th centile), though more often, and growth (25% below 10th centile) are affected in these children. Current estimates show that the incidence is at 1:100 in wheat-eating populations such as Western Europe and North America, while the incidence continues to rise in Eastern societies, possibly, as a result of ‘Western style’ eating habits.
The diagnosis of CD currently relies on clinicopathologic studies including HLA subtyping, serological tests, mucosal biopsy, and the effects of a diet free of gluten on the symptoms.
Based on a substantial amount of clinical research including a sequence of dynamic studies, the morphological continuum of gluten sensitivity was first introduced by Marsh. Marsh classification is comprised of three consecutive states of mucosal damage (types 1–3), including infiltrative lesion (Marsh type 1) characterized by increased IELs in the villus epithelium in an otherwise normal mucosa with normal villous–crypt ratio, hyperplastic lesion (Marsh type 2) characterized by crypt hyperplasia with normal villi showing increased IELs, and destructive lesion (Marsh type 3) characterized by flat mucosa with crypt hyperplasia and increased IEL (Figure 6 ). In its classical form, CD results in shortened, widened villi or even totally flat mucosa with hyperplastic crypts (Figure 7(a) and 7(b)). These architectural changes are preceded by an increase in the number of IELs over the normal numbers (Figure 8(a) and 8(b)), corresponding to the cell-mediated immune nature of the disorder, and it is this group of cases that cause difficulty in the differential diagnosis.
Figure 6.

Marsh classification is comprised of three consecutive states of mucosal damage (types 1–3), including infiltrative lesion (Marsh type 1) characterized by increased IELs in the villus epithelium in an otherwise normal mucosa with normal villous/crypt ratio, hyperplastic lesion (Marsh type 2) characterized by crypt hyperplasia with normal villi showing increased IELs, and destructive lesion (Marsh type 3) characterized by flat mucosa with crypt hyperplasia and increased IEL.
Figure 7.


(a) Normal duodenal mucosa with normal villous/crypt ratio (H&E; 200 ×). (b) Characteristic flat mucosa with increased IELs of CD (H&E; 200 ×).
Figure 8.


(a) Increased IELs in villous epithelium (H&E; 200 ×). (b) Increased IELs in villous epithelium (immunohistochemistry with anti-CD3 ab; 200 ×).
IELs have been considered to be responsible for the epithelial damage observed in CD, although the exact mechanism is still not known. The vast majority of IELs are T cells, which are mostly cytotoxic T cells expressing αβ TCR on their surface. The population specifically expanded in GSE is the CD3 +/CD4 −/CD8 −, γδ TCR-bearing IELs, which is only 5% of the total in normal mucosa (Figure 9(a) and 9(b)).
Figure 9.


(a) Increased IELs in flat mucosa (H&E; 400 ×). (b) Increased IELs in flat mucosa (immunohistochemistry with anti-CD3 ab; 400 ×).
Currently, the normal upper limit of IELs is accepted as 20 lymphocytes/100 enterocytes (a ratio of 1 IEL per 5 enterocytes) in H&E sections, whereas 25 IELs/100 enterocytes (or a ratio of 1:4) in CD3 immunostained slides are considered as the upper limit of normal. IELs are active components of the mucosal immune system that is under ongoing threat from luminal antigens such as gluten, microorganisms, drugs, and other toxic molecules, all of which can cause an increase in IELs. Though IELosis in a normal mucosa is an increasingly reported pathological feature in CD, it is by no means diagnostic, since overlap in the IEL counts occurs between CD and non-CD patients. Various pathological processes, including food allergies other than CD, Helicobacter pylori-associated duodenitis, giardiasis, graft-versus-host disease (GVHD), tropical sprue, viral enteritis, nonsteroidal anti-inflammatory drug (NSAID) injury, chemoradiotherapy-induced enteritis, autoimmune enteropathy, immunodeficiencies, and Crohn's disease, can induce IELosis with or without associated architectural changes. Entities causing IELosis and flat mucosa are listed in Table 4 .
Table 4.
Conditions that are included in the differential diagnosis of GSE
| IELosis | Villous shortening/flattening |
|---|---|
| HP-associated gastroduodenitis | Microvillus inclusion disease (MVID) |
| Nongluten food hypersensitivity | Autoimmune enteropathy |
| Infections | Tropical sprue |
| Bacterial overgrowth | Refractory sprue |
| Drugs (primarily NSAIDs) | Collagenous sprue |
| IgA deficiency | Chemoradiotherapy |
| Common variable immunodeficiency | Graft-versus-host disease (GVHD) |
| Crohn's disease | Nutritional deficiencies |
| Small bowel allograft rejection | EITCL |
Complications of CD
Refractory sprue comprises patients with incomplete or no response to GFD for at least 6 months. Histopathologically, most cases with refractory sprue show flat or near flat mucosa with a dense mononuclear infiltrate of mainly plasma cells and lymphocytes in the lamina propria and a massive increase in IELs. The lymphocytes in the villous, crypt epithelium, and lamina propria are normal to medium in size with a normal cytological appearance. However, refractory sprue can be divided into two subtypes by means of T-cell clonality: type 1 refers to cases with no clonality on TCR gene rearrangements and CD3 + CD8 + phenotype, while type 2 comprises cases with CD3 + CD8 − phenotype and showing clonal expansions proved by monoclonal rearrangements of the TCRγδ gene. These features have led to the idea that these cases represent a form of in situ or ‘cryptic’ T-cell lymphoma.
Collagenous sprue refers to a variant entity having a thick collagen table beneath the surface epithelium of a mucosa that also has other typical features of CD, including IELosis and flat mucosa.
Enteropathy-induced T-cell lymphoma (EITCL) is the most fearsome complication of CD in patients with long-standing malabsorption. They usually suffer from severe malabsorption refractory to GFD, causing weight loss and complications such as perforations and bleeding due to ulcerative lesions. Histopathologically, the mucosa is flat with ulcerations and crypt hypoplasia together with an atypical population of neoplastic lymphocytes infiltrates the mucosa. Lymphoma cells are pleomorphic large cells that are double-negative (CD8 − and CD4 −) with cell surface markers but are almost always positive with CD30 that is also associated with poor prognosis.
Tropical (Postinfectious) Sprue
This is a rare disorder of unknown etiology, mainly occurring among the individuals living in or visiting the tropical countries. Tropical sprue results from a nutritional deficiency or a transmissible microorganism and/or a toxin. Malabsorption is usually initiated by an infection followed by colonization of the small bowel by enterotoxigenic bacteria.
Despite the fact that a single etiologic agent has not been identified, there is much evidence that an infection initiates and sustains tropical sprue:
-
(a)
It occurs in certain specific geographic areas (e.g., West Indies and Indian subcontinent) and enteric infections are common in these locations.
-
(b)
In some areas, it is epidemic.
-
(c)
Aerobic enterobacteria colonize the patient's small intestine and these may be toxin-producing (note that this differs from the stasis syndrome in which anaerobic bacterial overgrowth is central (see in the succeeding text)).
-
(d)
Recovery after treating tropical sprue with broad-spectrum antibiotics is usually rapid and dramatic.
-
(e)
Some have postulated that a protozoan infection such as Cyclospora may play a role.
The entire small intestine including the ileum is involved with equal severity in tropical sprue, causing vitamin B12 and folate deficiencies resulting in megaloblastic change in the crypt epithelial cells. The mucosal lesion is similar to CD with varying degree of villous blunting, though completely flat mucosa is rare. Increase in lamina propria lymphocytes, plasma cells, neutrophils, and eosinophils as well as IELs that are more prominent in the crypts than the surface epithelium is usually present.
Inflammatory Bowel Disease
Upper GI involvement in IBD has been increasingly reported in the past years. Both Crohn's disease and ulcerative colitis may indeed affect the upper GI, including the duodenum.
Crohn's disease
Though the exact frequency of upper gastrointestinal involvement in Crohn's disease is not known, it can reach up to 30–50% of cases in some centers. Most patients with involvement of the duodenal bulb have concomitant gastric antral involvement in the form of focal active inflammation. However, distal duodenal disease is usually associated with ileal and colonic involvement. Symptoms of upper GI involvement are epigastric pain, nausea and vomiting, and rarely diarrhea. Endoscopically, aphthous ulcers and granularity of the duodenal mucosa are seen. Mild to moderate villous blunting can be found in the duodenum together with patchy or segmental chronic inflammation in the lamina propria and gastric mucin cell metaplasia (Figure 10(a) and 10(b)). Granulomas are uncommon, but when found, they are usually more often in the stomach than the duodenum and can be helpful in the differential diagnosis.
Figure 10.


(a) A small discrete non-necrotizing granuloma in the lamina propria of otherwise normal-looking duodenal mucosa in Crohn's disease (H&E; 40 ×). (b) Closer view of the epithelioid granuloma (H&E; 200 ×).
Ulcerative colitis
There is a group of patients with ulcerative colitis that presents with diffuse duodenal involvement. This has been reported particularly in patients with pancolitic presentation of ulcerative colitis who do not respond to steroids. Histologically, duodenal mucosa may show active duodenitis with distortion of the crypts, cryptitis, and even crypt abscesses.
Regardless of the type of IBD, mucosal involvement of the small bowel may lead to a decrease in mucosal surface area and malabsorption. Moreover, scarring following ulceration, particularly in Crohn's disease, may result in secondary lymphatic obstruction. Fistulous tracts also cause diminished mucosal area, stasis, and bacterial overgrowth.
There are conditions causing malabsorption through mechanisms involving not only the mucosa but also the intestinal wall such as scleroderma, amyloidosis, eosinophilic gastroenteritis, and neuromuscular disorders like intestinal familial neuro/myopathies. The pathology common to all the aforementioned conditions is the resultant defective peristaltism leading to luminal stasis and bacterial overgrowth that cause malabsorption.
Amyloidosis
GI involvement is very common in systemic amyloidosis. GI symptoms comprise malabsorption, hemorrhage, nausea, and vomiting. Endoscopic findings are nonspecific and biopsies from the rectum and stomach with sufficient submucosal tissue aid a correct diagnosis as deposition of amyloid protein may be present in vessel walls, muscularis mucosae, and nerves and rarely as extracellular globules in the lamina propria. Appropriate histochemical stains such as Congo red or Sirius red are necessary for diagnosis, while immunohistochemistry can be used to classify the type of amyloid fibril protein. Deposition of amyloid in the vessels causes them to become leaky and fragile leading to hemorrhage. Deposits in the wall, in either the muscle or nerve bundles, cause impaired motility, while mucosal deposits lead to malabsorption and diarrhea due to diminished mucosal surface area by obliteration of the villi.
Eosinophilic gastroenteritis
Is a spectrum of diseases characterized by eosinophilic infiltration of various segments of the GI tract together with peripheral eosinophilia and coexisting allergies. Disorders causing gastrointestinal mucosal eosinophilia are presented in Table 5 . The disease may be patchy and may involve either only the mucosa or mural and serosal involvement may also be found. The mechanism is believed to be mediated through activation of Th2 lymphocytes leading to an increased production of proallergenic interleukins, especially, IL-4, IL-5, and IL13. While IL-5 promotes maturation of eosinophils and migration from the bone marrow into the circulating bloodstream, IL-4 and IL-13 upregulate the production of eotaxin-3 by the epithelium, a chemokine responsible for attracting the eosinophils into the mucosa (Figure 11 ). As a result, mature eosinophils accumulate in the intestine, are activated, and degranulate releasing multiple cytotoxic agents. Though the mechanism of fibrogenesis is still unclear, IL-5, by inducing fibroblast–myofibroblast transdifferentiation, may be the critical molecule for tissue fibrosis as well as smooth muscle hyperplasia that leads to defective peristaltism and malabsorption in this condition. Histological abnormalities consist of mild to severe eosinophilic infiltrates in the lamina propria and intraepithelial eosinophils both in the surface and crypt epithelium, forming eosinophilic crypt abscesses, and in the muscularis mucosae together with mildly increased IELs (Figure 12(a) and 12(b)).
Table 5.
Causes of gastrointestinal mucosal eosinophilia
| Food allergy |
| Primary eosinophilic gastroenteritis |
| Irritable bowel syndrome |
| Inflammatory bowel disease |
| Helminthic infections |
| Drugs |
Figure 11.

Mechanism of eosinophilic enteritis is mediated through activation of Th2 lymphocytes leading to an increased production of proallergenic interleukins, especially, IL-4, IL-5, and IL13. While IL-5 promotes maturation of eosinophils and migration from the bone marrow into the circulating blood stream, IL-4 and IL-13 upregulate the production of eotaxin-3 by the epithelium, a chemokine responsible for attracting the eosinophils into the mucosa.
Figure 12.


(a) Eosinophilic enteritis showing numerous eosinophils in the lamina propria (H&E; 400 ×). (b) Eosinophilic infiltration of the crypt epithelium (H&E; 400 ×).
NSAID injury
Due to the frequent use of NSAIDs, particularly in the elderly, they are among the common causes of small intestinal mucosal injury. NSAIDs cause nonspecific erosions and ulcerations in the mucosa that may eventually lead to formation of strictures in as high as 50–70% in patients using these drugs. A rare but special form of strictures is known as the ‘diaphragm disease.’ It involves numerous weblike mucosal septa projecting into the lumen causing obstruction and mucosal stasis. The diaphragms are commonly located in the terminal ileum, leading to protein-losing enteropathy. Histology of these diaphragms comprises reactive epithelium and prominent submucosal fibrosis lying perpendicular to the surface.
Autoimmune enteropathy
This is the most common enteropathy of childhood. It is a rare condition caused by autoantibodies to intestinal mucosa primarily affecting children who suffer from severe chronic diarrhea within the first months of life. The patients may have a variety of autoantibodies to self-antigens in different organs including the pancreas, thyroid, and small intestine and may suffer from other autoimmune disorders such as rheumatoid arthritis, myasthenia gravis, psoriatic arthritis, hypoparathyroidism, idiopathic thrombocytopenic purpura, and atrophic gastritis. The hallmark of the disease is the presence of autoantibodies to goblet cells, enterocytes, parietal cells, or islet cells. There are two variants of the disease, namely, IPEX (immune dysregulation, polyendocrinopathy, enteropathy, X-linked) and APECED (autoimmune polyendocrinopathy, candidiasis, ectodermal dystrophy) syndromes. IPEX is an X-linked fatal condition causing prolonged diarrhea. APECED or autoimmune polyglandular syndrome 1 (APS-1) is an autosomal recessive disease characterized by severe enteropathy. Histological findings of villous flattening and crypt hyperplasia are similar to GSE, but the resultant secretory diarrhea is unresponsive to GFD or total parenteral nutrition (TPN). There are lymphoplasmacytic infiltration in the lamina propria and IELosis, though not as intense as in CD, and they are mainly located in the deeper crypts together with crypt epithelial cell apoptosis. There may be absence of goblet cells, Paneth cells, or endocrine cells depending on the autoantibodies.
Primary enteropathies of infancy
Primary enteropathies of infancy are composed of epithelial defects including microvillus inclusion disease (MVID), tufting enteropathy (TE), and enteroendocrine cell dysgenesis.
Microvillus inclusion disease
MVID (‘microvillus atrophy’) is an uncommon congenital enteropathy characterized by severe, intractable diarrhea within the first week of life. The disease was first described by Davidson et al. in 1978 as severe secretory diarrhea occurring during the first week of life with villous atrophy in the intestinal biopsy. It has been demonstrated that MYO5B gene located on 18q21 encoding myosin Vb that regulates the organization of intracellular transport and cell surface polarity in epithelial cells. Myosin Vb-deficient enterocytes display disruption of cell polarity as reflected by mislocalized apical and basolateral transporter proteins including CD36, altered distribution of certain endosomal/lysosomal constituents including Rab GTPases, and disorganization in the distribution of actin myofilaments (Figure 13 ). Although described as a disease of the small intestine, there are few reports of colonic involvement. Successful outcomes of small intestinal transplantation have been reported, and evidence suggests that an early transplant might be beneficial. Diagnosis rests on light and electron microscopic examination of small intestinal biopsy. Duodenal biopsies show moderate villous blunting, with no active inflammation in the lamina propria or IELosis. Changes in the enterocytes are typically found at the villous tips rather than villous bases and crypts. Light microscopy shows an irregular vacuolated appearance in the apical cytoplasm of the enterocytes with extensive or patchy absence of the brush border (Figure 14(a) and 14(b)). The surface epithelial brush border shows an abnormal pattern of staining by periodic acid–Schiff (PAS) and CD10 instead of its normal linear staining pattern. Ultrastructural examination revealing intracytoplasmic inclusions that are lined by intact microvilli is the diagnostic hallmark of the disease (Figure 14(c)). These inclusions are present in the absorptive surface epithelial cells of the small intestine and are associated with poorly developed surface brush border microvilli.
Figure 13.

Pathogenesis of MVID. Mutations in MYO5B gene encoding myosin Vb that is implicated in the organization of intracellular transport and cell surface polarity in epithelial cells seem to be responsible in the development of mucosal pathology in MVID. Myosin Vb-deficient enterocytes display disruption of cell polarity as reflected by mislocalized apical and basolateral transporter proteins including CD36, altered distribution of certain endosomal/lysosomal constituents including Rab GTPases (colored circles), and disorganization in the distribution of actin myofilaments.
Figure 14.



(a) Duodenal mucosa of a new born showing villous shortening and surface irregularity (H&E; 200 ×). (b) Apical vacuoles within the enterocyte cytoplasm (H&E; 400 ×). (c) An inclusion of microvilli in the apical cytoplasm of the enterocyte on TEM (12 400 ×).
Tufting enteropathy
Also known as epithelial dysplasia, congenital TE also causes severe diarrhea in the first week of life together with various dysmorphic features including choanal atresia and esophageal/rectal atresia in some of the affected infants. Though the exact genetic abnormality is not yet known, EpCAM mutations on chromosome 2p21 have recently been suggested as the responsible genetic abnormalities. It has been speculated that there is abnormal epithelial basement membrane adhesion in the intestinal mucosa. In general, infants with TE develop watery diarrhea within the first days after birth. Stool volumes may be as high as 100–200 ml kg− 1 body weight per day, with electrolyte concentrations similar to those seen in small intestinal fluid. The growth is impaired. Histology is in harmony with the term ‘tufting’ as the surface enterocytes display focal crowding resembling tufts, buds, or small papillae, some of which seem to drop off into the lumen on sections (Figure 15(a) –15(c)). Colonic mucosa may also be involved. Deposition of laminin and heparin sulfate in the basement membrane, increased desmoglein expression, abnormalities in the desmosomes, and abnormal distribution of α2β1 integrin molecules are the other features that have been reported.
Figure 15.



(a) Small intestinal mucosa with villous shortening and irregular surface (H&E; 100 ×). (b) Typical epithelial tufts dropping off into the lumen (H&E; 200 ×). (c) Groups of epithelial cells forming tufts and buds on the surface (H&E; 400 ×).
Enteroendocrine cell dysgenesis
This disorder is associated with neurogenin 3 mutation, which is a protein involved in gut and pancreatic endocrine cell development, located on chromosome 10q21.3. Patients present with congenital diarrhea and eventually develop type I diabetes. They are TPN-dependent and may require bowel transplantation. The intestinal mucosa demonstrates nonspecific features of villous abnormalities, whereas chromogranine immunostaining reveals lack of enteroendocrine cells in the mucosa.
Immunodeficiency states
Immunodeficiency states are commonly associated with malabsorption often resulting from opportunistic infections. They may be either primary such as selective IgA deficiency and common variable immunodeficiency (CVID) or secondary including iatrogenic, immunoglobulin loss due to protein-losing enteropathy and acquired immunodeficiency syndrome (AIDS).
Selective IgA deficiency
Selective IgA deficiency is the most common immunodeficiency in the general population. It is characterized by lack of IgA production, major mucosal immunoglobulin. Patients have no or very low levels of IgA or selective IgA in their serum but IgM and IgG secretion are present. The disease may be congenital or induced by infection or drugs. Due to the absence of IgA, B-cell maturation is defective, while some patients may also have T-cell abnormalities. Accordingly, IgA-containing plasma cells, but not others, are absent in the mucosa. Most common clinical features are diarrhea, malabsorption, and bacterial infections. Mucosa is usually normal, though completely flat mucosa can be found in some patients.
Common variable immunodeficiency
CVID is the second most common immunodeficiency syndrome after selective IgA deficiency. This is not a single entity but a group of conditions. With various underlying abnormalities, many of them are immune regulatory, including hyperactive T-cell suppression or reduced T-helper function. CVI appears after infancy and often is first discovered in adulthood. There is variable deficiency of IgA, lgM, and IgG, but IgA production and IgM production are typically reduced or absent. It is primarily a dysfunction of B-cell differentiation resulting in hypogammaglobulinemia and diminished ability to produce antibodies. Patients present with diarrhea and recurrent chronic infections. It is characterized by a paucity or absence of plasma cells in the lamina propria despite its normal lymphocytic content usually in the form of lymphoid aggregates and IELosis in the surface epithelium. Increased apoptosis is also a common feature, while in a small percentage of the cases, granulomas may be present in the lamina propria. The mucosa may also harbor infectious agents such as Giardia, Cryptosporidium, and microsporidia resulting from the immunodeficient state.
Graft-versus-host disease
Gastrointestinal complications are common in bone marrow transplant recipients rather than solid organ transplantation. The main cause of these complications comprises GVHD, infections, toxicity of medication, and preexisting GI disease. Patients suffering from acute GVHD are at higher risk for gastrointestinal infections. Donor T cells of cytotoxic subtype incite an immunologic reaction to certain host cells resulting in injury to GI mucosa. Patients with GVHD present with secretory diarrhea and abdominal pain and at times hemorrhage. Upper GI involvement is more common in children, while colonic involvement is usually more severe than small intestinal disease. Malabsorption may develop when small intestinal mucosa is severely damaged. Microscopic findings vary from damage to individual epithelial cell in the form of apoptosis to total mucosal ulceration and are graded according to Snover's criteria (Table 6 ).
Table 6.
Grading of mucosal changes in GVHD (Snover)
| Grade 1 | Grade 2 | Grade 3 | Grade 4 |
|---|---|---|---|
Crypt epithelial cell apoptosis
|
Apoptosis with crypt abscess
|
Individual crypt loss
|
Total mucosal denudation
|
A/hypobetalipoproteinemia
Deficiencies associated with carbohydrates, amino acids, electrolytes, and vitamins are rarely biopsied as the intestinal mucosa is either normal or only slightly abnormal, while deficiencies of lipid transport cause abnormalities in the intestinal mucosa. Among the latter, abeta/hypobetalipoproteinemia and chylomicron retention disease are the most commonly encountered disorders in infants with malabsorption. The patients suffer from diarrhea and fat malabsorption with low serum cholesterol and triglycerides and peripheral acanthocytosis. Duodenal mucosa shows lipid vacuolization of surface enterocytes with preserved villous architecture (Figure 16(a) –16(c)). It is an autosomal recessive disease characterized by the absence of apolipoprotein B (apoB), the transport protein of dietary fat from the small intestinal mucosa into the bloodstream. Mutations in microsomal triglyceride transfer protein (MTP) located in 4q22–q24 result in defective lipid transfer from endoplasmic reticulum to apoB (Figure 17 ). SAR1B gene encoding protein carrier GTPase located in 5q31 is mutated in chylomicron retention disease. Lipid assembly is disorganized in both of these disorders resulting in low levels of serum lipids accompanied by various neurological manifestations due to malabsorption of fat-soluble vitamins, particularly vitamins E and A.
Figure 16.



A hypobetalipoproteinemia. (a) Normal-looking duodenal mucosa with surface epithelial vacuolation (H&E; 40 ×). (b) Vacuolated appearance of surface enterocytes (H&E; 200 ×). (c) Lipid droplets in the enterocyte cytoplasm (Oil Red O; 200 ×).
Figure 17.

(Left) Normal lipid absorption by the enterocytes: micelles and fatty acids are taken up by the enterocytes from the intestinal lumen by passive diffusion and transported to the ER by fatty acid-binding protein (FABP) where they are incorporated into triglycerides by binding to microsomal triglyceride transfer protein and ApoB48. From the ER, the prechylomicrons are transferred to the golgi where final glycosylation and synthesis of chylomicrons (CM) take place. (Right) Abetalipoproteinemia: the mutated microsomal triglyceride transfer protein interferes with the synthesis of ApoB48 and lack of ApoB48 causes defective chylomicron assembly.
Intestinal lymphangiectasia
Intestinal lymphangiectasia is defined as the presence of dilated lymphatics within the intestinal mucosa. The form, known as secondary intestinal lymphangiectasia, is associated with a local neoplastic or inflammatory condition causing lymphatic obstruction. Conditions associated with secondary intestinal lymphangiectasia include lymphoma, carcinoma, Crohn's disease, systemic lupus erythematosus, Behçet's disease, trauma, cardiac disorders, and complications after liver transplantation and radiation therapy. Secondary form affects one side of the body resulting in unilateral edema but not protein-losing enteropathy. Primary intestinal lymphangiectasia, on the other hand, is a rare congenital disorder characterized by severe protein-losing enteropathy, peripheral edema, steatorrhea, chylous effusion and lymphocytopenia, growth retardation, and severe hypoalbuminemia. There is a major structural abnormality of the lymphatic system consisting of dilatation and tortuosity of lymphatic vessels resulting in lymphatic stasis in the intestinal wall. The resultant lymph leakage causes loss of proteins, vitamins, and other nutrients. Protein loss also causes immunoglobulin deficiency resulting in an immunodeficient state. Primary form is usually diagnosed before the age of 3 years. Though entire small intestine can be involved, duodenum is the most commonly affected part of small intestine. The mucosa shows features of lymphangiectasia on endoscopy as numerous white spots or nodules that correspond to the dilated lymphatics in superficial mucosa involving the villus tips with formation of ‘lacteals’ (Figure 18(a) and 18(b)). These are dilated lymphatic vessels with endothelial lining and pale basophilic material of lymph fluid in their lumen.
Figure 18.


(a) Intestinal lymphangiectasia with numerous dilated lymphatics within duodenal mucosa (H&E; 100 ×). (b) Typical ‘lacteals’ in the villous tips (H&E; 200 ×).
Infections
Infectious agents that affect the gastrointestinal tract can be grouped as food-borne and water-borne bacteria, opportunistic infections (bacterial, fungal, and viral), viral infections (extremely rarely biopsied), and parasitic and helminthic infections. The majority of these infections are, however, self-limited. Those patients that undergo endoscopic biopsy often have chronic or debilitating diarrhea, or malabsorption leading to systemic symptoms, or a history of immunocompromise or other significant clinical scenarios. Clinicopathologic information regarding exact symptomatology and colonoscopic findings, as well as facts including travel history, food intake (such as sushi or poorly cooked beef), sexual practices, and immune status, can greatly aid in the diagnosis. Ancillary techniques including histochemistry, immunohistochemistry, and molecular methods like in situ hybridization and PCR can increase diagnostic accuracy.
Gastrointestinal infections can cause mucosal inflammation that represents various patterns of tissue response. Histological patterns of gastrointestinal infections are summarized in Table 7 . Though these patterns can be observed in any part of the gastrointestinal system, there are some organ-/site-specific findings of infectious diseases.
Table 7.
Histological patterns of gastrointestinal infections
| Histological feature | Infection |
|---|---|
| Minimal or no histological changes | Vibrio species |
| Nonspecific inflammation | Campylobacter jejuni |
| Suggestive/diagnostic features | Granulomas and pseudomembranes (mycobacteria and Clostridium difficile) |
| Microorganism present on tissue sections | Giardiasis and cryptosporidiosis |
A wide variety of infectious agents including, viruses, parasites, and bacteria can affect small intestinal mucosa. Endoscopic picture may vary between erythema and granularity to erosions and ulcerations. The majority of infections cause only mild and nonspecific alterations in the intestinal mucosa including, IELosis, lamina propria inflammation, and rarely architectural changes, while some can be diagnosed by identifying the microorganism in biopsy specimens such as giardiasis, Whipple's disease (WD), and opportunistic infections including microsporidiosis, cryptosporidiosis, and cytomegalovirus (CMV) infection. The general pathogenetic mechanism shared by many small intestinal infections depends on the interaction of the infectious agent with the mucosal components including the enterocytes and the immune modulators and effector cells in the lamina propria. This interaction requires an intact mucosa with intact enterocytes as well as an intact innate and adaptive intestinal immune system. The way that intestinal immune system recognizes pathogens from nutrients and microflora residents is via the recognition of pathogen-associated molecular patterns (PAMPs). These pattern recognition receptors include Toll-like receptors and NOD-like receptors that sense extracellular and intracellular PAMPs, respectively. They are specifically expressed in response to certain microbial stimuli, especially to invasive microorganisms. The immune effectors or modulators, on the other hand, are products of distinct genes, which may be either constitutively expressed (i.e., alpha defensins) or inducible (i.e., beta defensins) molecules by infectious stimuli.
Bacterial Infections
Bacterial enteropathogens have a variety of virulence properties that determine the pattern of interaction with the intestinal mucosa and the clinical presentation. Bacterial adherence and bacterial translocation are the two major mechanisms by which intestinal damage occurs. Enterocyte adherence results from interaction between bacteria and its receptor on the epithelial cell surface. Bacterial translocation, on the other hand, refers to the transportation of bacteria from the lumen through the mucosa to distant sites such as the mesenteric lymph nodes, spleen, and liver. Bacterial overgrowth, impaired host defenses, and disruption of mucosal barrier are the main causes of bacterial translocation (Figure 19 ). Though numerous bacteria may cause small intestinal infection, they usually involve the colonic mucosa as well, in the form of enterocolitis. Therefore, those that mainly affect the small intestine will be discussed here.
Figure 19.

Mechanisms of intestinal damage in bacterial infections. Bacterial adhesion results from the interaction between bacteria and its receptor on the epithelial cell surface, whereas bacterial translocation refers to the transportation of bacteria from the lumen through the mucosa to distant sites like mesenteric lymph nodes.
Small intestinal bacterial overgrowth (SIBO)
All causes of bacterial overgrowth including motor/neural disorders such as diabetes and scleroderma, diverticula, and surgical anastomoses are related to stasis. Bacterial overgrowth syndrome is more prevalent in elderly populations because of diminished gastric acid secretion and consumption of a large number of medications that can cause hypomotility. In addition, many patients with irritable bowel syndrome may suffer from this condition. Normally, small intestinal lumen is colonized by facultative anaerobe or obligate bacteria, particularly bacteroides species, which are most abundant in the distal ileum. Any disbalance of this complex intestinal microbiome, both qualitative and quantitative, might have serious health consequences resulting in SIBO. The diagnosis of bacterial overgrowth relies on the presence of increased intestinal volume and bacterial concentrations, hydrogen breath tests, and response to antibiotics. Small bowel aspirate and quantitative cultures with more than 105 CFU ml− 1 considered the cutoff are the diagnostic procedures. The resultant picture involves deconjugation of bile acids by bacterial enzymes causing loss of deconjugated bile acids in stool and decreased bile acid pool that is not enough for lipid digestion/absorption. Moreover, intraluminal consumption of nutrients such as carbohydrates and amino acids, vitamin B12, and iron by bacteria via competition and damage to small bowel enterocytes by bacteria causes a sprue-like histological and clinical picture. Proposed mechanisms for bacterial overgrowth are presented in Table 8 . The mucosal biopsy may be normal or histopathologic picture may vary between mild to moderate villous shortening and blunting with increased chronic inflammatory cells in the lamina propria and IELs and/or neutrophils. As these features are usually patchy in nature, multiple biopsies should be taken. The diagnosis is difficult for the pathologist without clinical correlation.
Table 8.
Mechanisms of bacterial overgrowth
| Mechanism | Cause |
|---|---|
| Defective clearance in the upper GI tract | Achlorhydria |
| Seeding of small bowel with colonic contents | Jejuno–colic fistulae Defective ileocecal valve |
| Defective peristalsis | Motility disorders Neuromuscular disorders |
Whipple's disease
WD is a rare, relapsing chronic, and systemic bacterial infection caused by an actinomycete, Tropheryma whipplei. There is evidence of a host-related and possibly genetically determined increased susceptibility to Whipple's disease related to innate defects in T cells and mononuclear cells. Persistent macrophage dysfunction may predispose to the infection since macrophages are unable to degrade the phagocytosed bacteria. Patients present with malabsorptive diarrhea, arthralgia, lymphadenopathy, and cardiac and central nervous system symptoms. Malabsorption in Whipple's disease is due predominantly to blockage of nutrient movement in the lamina propria and in the mesenteric lymphatic drainage system by PAS-positive macrophages. Lipid accumulation in the mucosa and mesenteric lymph nodes is a prominent feature in the small intestine and led to Whipple's name for the disorder – ‘intestinal lipodystrophy.’ The characteristic feature in the small intestinal biopsy consists of blunted villi with distended lamina propria resulting from the accumulation of foamy histiocytes containing PAS-positive rod-shaped, rounded, or sickle-shaped bacilli.
Mycobacterium avium–intracellulare complex
Mycobacterium avium–intracellulare complex (MAI) is a significant cause of opportunistic infection in immunocompromised individuals, particularly those with AIDS, particularly in the pre-HAART (highly active antiretroviral treatment) era. The organism is acquired through exposure to aerosols, food, water, and soil. The GI tract is affected twice as frequently as the lungs, the small intestine being the preferred site. Healthy people do not develop active disease after exposure, while those with a low CD4 + T-cell count are at risk. Patients suffer from malabsorption, abdominal pain, fever, and weight loss. Small intestinal biopsy reveals villous blunting and distension of the lamina propria by histiocytes loaded with acid-fast bacilli without well-formed granulomas that may be present in immunocompetent hosts.
Fungal Infections
Fungal infections of the GI tract have become more common over the years as numbers of patients with organ transplants, AIDS, and other immunodeficiencies have increased. GI fungal pathogens predominantly affect the immunocompromised individuals as opportunistic infections. Almost all fungi may involve the small intestine during the disseminated GI involvement but Histoplasma and Cryptococcus have particular predilection for the small intestine and colon. Histoplasma capsulatum commonly involves the ileum causing ulcers and obstructive masses in the lumen. Histologically, lymphohistiocytic infiltration usually involving the mucosa and submucosa with ulceration, resembling WD, is observed. Granulomas are only present in a small percentage of cases. Histoplasma organisms are present in the cytoplasm of histiocytes as ovoid yeast forms. Cryptococcus neoformans may involve the GI tract in patients with disseminated disease. Histological features include round to oval yeast forms with budding and occasional hyphae or pseudohyphae. There may be necrotizing, suppurative inflammation and granuloma formation in many cases.
Protozoan Infections
Giardiasis is the leading GI protozoan disease worldwide with an increase in summer and autumn. Infection occurs by fecal–oral transmission, contaminated food and water, and person-to-person transmission. A number of studies have found that children and patients with hypogammaglobulinemia, agammaglobulinemia, IgA deficiency, and/or achlorhydria have a higher incidence of infection with Giardia. However, a humoral immunodeficiency state is not necessary for infection. Immunosuppressed patients are more likely to have long-term infections with chronic diarrhea and malabsorption, while immunocompetent patients are more likely to have an acute self-limited diarrheal illness or become asymptomatic carriers. In its classical picture, diarrhea, abdominal pain, boating, nausea and vomiting, malabsorption, and weight loss are the main presenting symptoms. Giardia exists in two forms: the motile trophozoite and the infective cyst. Following ingestion, the cyst forms two trophozoites in the duodenum. These are pear-shaped with two nuclei or sickle-shaped in sagittal plane appearing faintly basophilic on H&E sections. Trophozoites are typically found in the lumen near the surface or as attached to the enterocytes (Figure 20(a) and 20(b)). Giardiasis is a typical example of enteric infection that presents with normal or near-normal mucosa, although more severe change in the villous morphology resembling CD may rarely be seen. In children, giardiasis can cause lymphoid hyperplasia in the small intestinal mucosa.
Figure 20.


(a) Giardia lamblia trophozoites near the surface epithelium (H&E; 200 ×). (b) Pear-shaped and sickle-shaped trophozoites (H&E; 400 ×).
Coccidial infections are commonly observed in immunocompromised patients, particularly those with AIDS. However, all except microsporidia may also infect healthy individual and cause diarrhea accompanied by fever, weight loss, and abdominal pain. The immunocompromised patients may suffer from malabsorption. Among the most common coccidial organisms infecting the small bowel are Cryptosporidium parvum, Cyclospora cayetanensis, Isospora belli, Microsporidium, cryptosporidia, microsporidia, and I. belli are often missed, because of their small size, intracellular location, and poor staining with usual tissue stains thereby require special stains. Cryptosporidiosis is usually associated with normal duodenal histology in mild infections, whereas severe inflammation and villous atrophy may complicate serious infections. The diagnosis relies on the detection of tiny acid-fast oocytes in fresh stools. Its characteristic appearance is a tiny spherical or ovoid basophilic organism attached to the apical aspect of the enterocyte both in the surface and crypt epithelium (Figure 21 ). They are best seen with modified Kinyoun stain. Cyclospora is similar to Cryptosporidium but it is larger and is usually found in the enterocyte cytoplasm. They stain with modified acid-fast stains. Isospora infection may lead to more morphological abnormalities in the form of villous blunting, crypt hyperplasia, and a mixed inflammatory infiltrate in the lamina propria, predominantly rich in eosinophils. The parasite is banana-shaped and can be found in the cytoplasm of the enterocyte (Figure 22 ) highlighted by a Giemsa stain.
Figure 21.

Cryptosporidia as basophilic spherical organisms attached to the crypt epithelium (H&E; 400 ×).
Figure 22.

Banana-shaped Isospora belli in the surface epithelium (H&E; 200 ×).
Helminthic Infections
Although helminthic infections affect the entire GI tract, those that predominantly infect the small bowel will be discussed here. Infection with Ancylostoma duodenale, a hookworm, causes chronic blood loss and malabsorption and bloody diarrhea leading to iron deficiency anemia. Patients often have peripheral eosinophilia with mucosal eosinophilic infiltrates. Mucosal ulcerations are common when there is heavy parasitic infection. Strongyloides stercoralis also causes malabsorption, diarrhea, and eosinophilia. The intestinal surface is hemorrhagic and eroded covered with a pseudomembrane of exudate and fibrin. Larvae, adult forms, and eggs may all be present within the crypts (Figure 23 ). Fasciolopsis buski inhabits the upper small intestine. The infection is usually asymptomatic unless there is heavy parasitic infection. Symptoms include nausea, diarrhea, and GI hemorrhage. Large adult parasites attach to the intestinal mucosa inciting an inflammatory reaction.
Figure 23.

Eggs and larvae of Strongyloides stercoralis within the epithelium and lumen of the crypts (H&E; 200 ×).
Viral Infections
Biopsies from patients with enteric viral infections seldom if ever cross the stage of the surgical pathologist, as they are detected in stool samples rather than biopsy specimens. Some common enteric viruses known to cause diarrhea include, adenovirus, rotavirus, coronavirus, echovirus, enterovirus, astrovirus, and Norwalk virus. Rotavirus is the most common cause of severe childhood diarrhea and diarrheal mortality worldwide, particularly in children under the age of 2 years. Patients develop fever, severe watery diarrhea, and vomiting leading to dehydration and acidosis. Biopsy changes are very nonspecific and include increased inflammatory cells in the lamina propria, degenerative epithelial changes, and widening of villous tips. The diagnosis of rotavirus is generally made by stool immunoassay and/or culture, and the disease is rarely biopsied. Adenovirus infection is also frequent as a cause of childhood diarrhea. However, it may also cause diarrhea in immunocompromised patients, especially those with human immunodeficiency virus (HIV) and AIDS. Histological features of adenovirus infection include epithelial cellular changes such as loss of maturation, disorganization, and degeneration. Characteristic inclusions usually crescent-shaped may be seen, especially in immunocompromised patients, within the nuclei of surface epithelium (particularly goblet cells). Useful aids to diagnosis of adenovirus infection include immunohistochemistry, stool examination by electron microscopy, and viral culture. Pathologists usually get a specimen from adenovirus-infected patients when the patient develops intussusception.
CMV infection may be diagnosed in patients with immunosuppression or IBD even when the patients have not been treated with steroids. It is particularly important to consider this diagnosis in patients with steroid-resistant disease as treating the CMV may prevent the need for other medical therapy or surgery. Symptoms may vary with the immune status of the patients and the site of the infection. Most commonly abdominal pain, diarrhea, fever, and weight loss are observed, while isolated CMV infection of the duodenum may lead to severe GI bleeding. It usually causes ulceration of the mucosa and the viral inclusions are frequently found at the ulcer base. The characteristic owl's eye inclusions are preferentially found in endothelial cells and stromal cells but only rarely in enterocytes (Figure 24(a) –24(c)). Though H&E sections are diagnostic, immunohistochemistry may be applied when in doubt. CMV infection may mimic IBD both clinically and histologically.
Figure 24.



(a) Cytomegalic inclusions in the endothelial cells in a case with Crohn's disease (H&E; 200 ×). (b) Characteristic owl's eye inclusions of cytomegalovirus (CMV) (H&E; 400 ×). (c) Positive staining of the inclusions with anti-CMV ab (IHC with anti-CMV ab; 200 ×).
Diarrhea in the setting of HIV infection may be related either to the infection itself, to the treatment, or to the opportunistic infections. Gastrointestinal complications of HIV infection have dramatically decreased after the introduction of HAART protocols. However, the effects of antiviral drugs on the GI tract together with superimposed infections are still commonly seen in these patients, especially in those with sustained low levels of CD4 + T-cell counts. Also, these patients may have atypical presentations of opportunistic infections that occur during or after therapy. Hence, a CD4 count <200 cells mm− 3 is the marker for those patients who should be searched for opportunistic infections for their GI symptoms. Histological features of ‘HIV enteropathy’ include crypt hypertrophy, increased apoptosis in the enterocytes, and villous atrophy that are reminiscent of GVHD. HIV-associated pathology of the small intestinal mucosa is summarized in Table 9 .
Table 9.
Causes of HIV-associated mucosal pathology
| Inflammatory/ulcerative | Viral infection | Bacterial infection | Protozoal infection | Helminthic infection | Fungal infection |
|---|---|---|---|---|---|
| HIV enteropathy | CMV | MAI | Giardiasis Cryptosporidia Microsporidia Isospora |
Strongyloides stercoralis | Histoplasma capsulatum |
Biography

Arzu Ensari finished her training in pathology in Ankara and went to the United Kingdom for a PhD on ‘cellular and molecular pathology of gluten sensitivity’ under the supervision of Dr. Michael N. Marsh. She worked with Prof. Yo Kato (Japan) and Prof. Robert Riddell (Canada) on GI cancers and IBD. She was the former chair of the GI pathology working group of ESP. She is a faculty member of EScoP GI pathology working team. She is currently working as a full-time professor in the Department of Pathology, Ankara University Medical School. She has published many articles and book chapters, particularly on malabsorption and celiac disease.
Abbreviations
- AIDS
Acquired immunodeficiency syndrome
- CD
Celiac disease
- CMV
Cytomegalovirus
- CVID
Common variable immunodeficiency
- EITCL
Enteropathy-induced T-cell lymphoma
- GFD
Gluten-free diet
- GSE
Gluten-sensitive enteropathy
- GVHD
Graft-versus-host disease
- HIV
Human immunodeficiency virus
- HLA
Human leukocyte antigen
- IEL
Intraepithelial lymphocyte
- IELosis
Intraepithelial lymphocytosis
- MAI
Mycobacterium avium–intracellulare complex
- MVID
Microvillus inclusion disease
- NSAID
Nonsteroidal anti-inflammatory drug
- PAS
Periodic acid–Schiff
- SIBO
Small intestinal bacterial overgrowth
- TPN
Total parenteral nutrition
- tTG
Tissue transglutaminase
Further Reading
Malabsorption
- Babbin B.A., Crawford K., Sitaraman S.V. Malabsorption work-up: utility of small bowel biopsy. Clin. Gastroenterol. Hepatol. 2006;4:1193–1198. doi: 10.1016/j.cgh.2006.07.022. [DOI] [PubMed] [Google Scholar]
- Corazziari E.S. Pathophysiological approach to chronic diarrhoea. Intern. Emerg. Med. 2012;7(Suppl. 3):S151–S154. doi: 10.1007/s11739-012-0820-y. [DOI] [PubMed] [Google Scholar]
- Fenoglio-Preiser C.M., Noffsinger A.E., Stemmermann G.N., Lantz P.E., Isaacson P.G. In: Gastrointestinal Pathology. An Atlas and Text. third ed. Fenoglio-Preiser C.M., editor. Walters Kluwer-Lippincott-Williams and Wilkins; Philadelphia: 2008. The nonneoplastic small intestine; pp. 275–470. [Google Scholar]
- Murray J.A., Rubio-Tapia A. Diarrhoea due to small bowel diseases. Best Pract. Res. Clin. Gastroenterol. 2012;26:581–600. doi: 10.1016/j.bpg.2012.11.013. [DOI] [PMC free article] [PubMed] [Google Scholar]
- Owens S.R., Greenson J.K. The pathology of malabsorption: current concepts. Histopathology. 2007;50:64–82. doi: 10.1111/j.1365-2559.2006.02547.x. [DOI] [PubMed] [Google Scholar]
- Serra S., Jani P.A. An approach to duodenal biopsies. J. Clin. Pathol. 2006;59:1133–1150. doi: 10.1136/jcp.2005.031260. [DOI] [PMC free article] [PubMed] [Google Scholar]
- Thompson A.B.R, Keelan M., Thiesen A., Clandinin M.T., Ropeleski M., Wild G.E. Small bowel review: disease of the small intestine. Dig. Dis. Sci. 2001;46:2555–2566. doi: 10.1023/a:1012782321827. [DOI] [PubMed] [Google Scholar]
- Walker M.M., Talley N.J. Clinical value of duodenal biopsies – beyond the diagnosis of coeliac disease. Pathol. Res. Pract. 2011;207:538–544. doi: 10.1016/j.prp.2011.08.001. [DOI] [PubMed] [Google Scholar]
Coeliac Disease
- Alsaigh N., Odze R., Goldman H., Antonioli D., Ott M.J., Leichtner A. Gastric and oesophageal intraepithelial lymphocytes in paediatric coeliac disease. Am. J. Surg. Pathol. 1996;20:865–870. doi: 10.1097/00000478-199607000-00010. [DOI] [PubMed] [Google Scholar]
- Biagi F., Luinetti O., Campanella J., et al. Intraepithelial lymphocytes in the villous tip: do they indicate potential coeliac disease? J. Clin. Pathol. 2004;57:835–839. doi: 10.1136/jcp.2003.013607. [DOI] [PMC free article] [PubMed] [Google Scholar]
- Brown I., Mino-Kenudson M., Deshpande V., Lauwers G.Y. Intraepithelial lymphocytosis in architecturally preserved proximal small intestinal mucosa. Arch. Pathol. Lab. Med. 2006;130:1020–1025. doi: 10.5858/2006-130-1020-ILIAPP. [DOI] [PubMed] [Google Scholar]
- Bonamico M., Mariani P., Thanasi E., et al. Patchy villous atrophy of the duodenum in childhood coeliac disease. J. Paediatr. Nutr. 2004;38:204–207. doi: 10.1097/00005176-200402000-00019. [DOI] [PubMed] [Google Scholar]
- Corazza G.R., Villanaci V. Coeliac disease. J. Clin. Pathol. 2005;58:573–574. doi: 10.1136/jcp.2004.023978. [DOI] [PMC free article] [PubMed] [Google Scholar]
- Daum S., Hummel M., Weiss D., Peters M., Wiedenmann B., Schäper F., et al. Refractory sprue syndrome with clonal intraepithelial lymphocytes evolving into overt enteropathy-type intestinal T-cell lymphoma. Digestion. 2000;62:60–65. doi: 10.1159/000007779. [DOI] [PubMed] [Google Scholar]
- Daum S., Cellier C., Mulder C. Refractory coeliac disease. Best Pract. Res. Clin. Gastroenterol. 2005;19:413–424. doi: 10.1016/j.bpg.2005.02.001. [DOI] [PubMed] [Google Scholar]
- Dickson B.C., Streutker C.J., Chetty R. Coeliac disease: an update for pathologists. J. Clin. Pathol. 2006;59:1008–1016. doi: 10.1136/jcp.2005.035345. [DOI] [PMC free article] [PubMed] [Google Scholar]
- Ensari A. Gluten-sensitive enteropathy (celiac disease): controversies in diagnosis and classification. Arch. Pathol. Lab. Med. 2010;134:826–836. doi: 10.5858/134.6.826. [DOI] [PubMed] [Google Scholar]
- Ensari A., Marsh M.N., Loft D.E., Morgan S., Moriarty K. Morphometric analysis of intestinal mucosa V. Quantitative histological and immunohistochemical studies of rectal mucosae in gluten sensitivity. Gut. 1993;34:1225–1229. doi: 10.1136/gut.34.9.1225. [DOI] [PMC free article] [PubMed] [Google Scholar]
- Goldstein N.S., Underhill J. Morphologic features suggestive of gluten sensitivity in architecturally normal duodenal biopsy specimens. Am. J. Clin. Pathol. 2001;116:63–71. doi: 10.1309/5PRJ-CM0U-6KLD-6KCM. [DOI] [PubMed] [Google Scholar]
- Goldstein N.S. Proximal small bowel mucosal villous intraepithelial lymphocytes. Histopathology. 2004;44:199–205. doi: 10.1111/j.1365-2559.2004.01775.x. [DOI] [PubMed] [Google Scholar]
- Gonzalez S., Gupta A., Cheng J., Tennyson C., Lewis S.K., Bhagat G., et al. Prospective study of the role of duodenal bulb biopsies in the diagnosis of celiac disease. Gastrointest. Endosc. 2010;72:758–765. doi: 10.1016/j.gie.2010.06.026. [DOI] [PubMed] [Google Scholar]
- Marsh M.N. Gluten, major histocompatibility complex and the small intestine: a molecular and immunobiologic approach to the spectrum of gluten sensitivity (“coeliac sprue”) Gastroenterology. 1992;102:330–354. [PubMed] [Google Scholar]
- Marsh M.N., Crowe P.T. Morphology of the mucosal lesion in gluten sensitivity. Baillieres Clin. Gastroenterol. 1995;9:273–293. doi: 10.1016/0950-3528(95)90032-2. [DOI] [PubMed] [Google Scholar]
- Meijer J.W., Wahab P.J., Mulder C.J. Small intestinal biopsies in celiac disease: duodenal or jejunal? Virchows Arch. 2003;442:124–128. doi: 10.1007/s00428-002-0709-7. [DOI] [PubMed] [Google Scholar]
- Kurppa K., Ashorn M., Iltanen S., Koskinen L.L.E, Saavalainen P., Koskinen O., et al. Celiac disease without villous atrophy in children: a prospective study. J. Pediatr. 2010;157:373–380. doi: 10.1016/j.jpeds.2010.02.070. [DOI] [PubMed] [Google Scholar]
- Oberhuber G., Granditsch G., Vogelsang H. The histopathology of coeliac disease: time for a standardized report scheme for pathologists. Eur. J. Gastroenterol. Hepatol. 1999;11:1185–1194. doi: 10.1097/00042737-199910000-00019. [DOI] [PubMed] [Google Scholar]
- Pais W.P., Duerksen D.R., Pettigrew N.M., Bernstein C.N. How many duodenal biopsy specimens are required to make a diagnosis of celiac disease? Gastrointest. Endosc. 2008;67:1082–1087. doi: 10.1016/j.gie.2007.10.015. [DOI] [PubMed] [Google Scholar]
- Ravelli A., Bolognini S., Gambarotti M., Villanaci V. Variability of histologic lesions in relation to biopsy site in gluten sensitive enteropathy. Am. J. Gastroenterol. 2005;100:177–185. doi: 10.1111/j.1572-0241.2005.40669.x. [DOI] [PubMed] [Google Scholar]
- Salmi T.T., Collin P., Jarvinen O., Haimila K., Partanen J., Laurila K., et al. Immunoglobulin A autoantibodies against transglutaminase 2 in the small intestinal mucosa predict forthcoming coeliac disease. Aliment. Pharmacol. Ther. 2010;24:541–552. doi: 10.1111/j.1365-2036.2006.02997.x. [DOI] [PubMed] [Google Scholar]
- Weinstein W.M., Saunders D.R., Tytgat G.N., Rubin C.E. Collagenous sprue – an unrecognized type of malabsorption. N. Engl. J. Med. 1970;283:1297–1301. doi: 10.1056/NEJM197012102832401. [DOI] [PubMed] [Google Scholar]
Other Causes of Malabsorption
- Abdullah B.A., Gupta S.K., Croffie J.M., Pfefferkorn M.D., Molleston J.P., Corkins M.R., et al. The role of esophagogastroduodenoscopy in the initial evaluation of childhood inflammatory bowel disease. J. Pediatr. Gastroenterol. Nutr. 2002;35:636–640. doi: 10.1097/00005176-200211000-00009. [DOI] [PubMed] [Google Scholar]
- Batheja M.J., Leighton J., Azueta A., Heigh R. The face of tropical sprue in 2010. Case Rep. Gastroenterol. 2010;19:168–172. doi: 10.1159/000314231. [DOI] [PMC free article] [PubMed] [Google Scholar]
- Biagi F., Bianchi P.I., Zilli A., Marchese A., Luinetti O., Lougaris V., et al. The significance of duodenal mucosal atrophy in patients with common variable immunodeficiency: a clinical and histopathologic study. Am. J. Clin. Pathol. 2012;138:185–189. doi: 10.1309/AJCPEIILH2C0WFYE. [DOI] [PubMed] [Google Scholar]
- Bohm M., Siwiec R.M., Wo J.M. Diagnosis and management of small intestinal bacterial overgrowth. Nutr. Clin. Pract. 2013;28:289–299. doi: 10.1177/0884533613485882. [DOI] [PubMed] [Google Scholar]
- Cowan A.J., Skinner M., Seldin D.C., Berk J.L., Lichtenstein D.R., O'Hara C.J., et al. Amyloidosis of the gastrointestinal tract: a 13-year, single-center, referral experience. Haematologica. 2013;98:141–146. doi: 10.3324/haematol.2012.068155. [DOI] [PMC free article] [PubMed] [Google Scholar]
- Gentile N.M., Murray J.A., Pardi D.S. Autoimmune enteropathy: a review and update of clinical management. Curr. Gastroenterol. Rep. 2012;14:380–385. doi: 10.1007/s11894-012-0276-2. [DOI] [PMC free article] [PubMed] [Google Scholar]
- Ghoshal U.C., Ranjan P. Post-infectious irritable bowel syndrome: the past, the present and the future. J. Gastroenterol. Hepatol. 2011;26(Suppl. 3):94–101. doi: 10.1111/j.1440-1746.2011.06643.x. [DOI] [PubMed] [Google Scholar]
- Iqbal N., Salzman D., Lazenby A.J., Wilcox C.M. Diagnosis of gastrointestinal graft-versus-host disease. Am. J. Gastroenterol. 2000;95:3034–3038. doi: 10.1111/j.1572-0241.2000.03250.x. [DOI] [PubMed] [Google Scholar]
- Justinich C.J. Update in gastrointestinal allergic diseases. Curr. Opin. Pediatr. 2000;12:456–459. doi: 10.1097/00008480-200010000-00006. [DOI] [PubMed] [Google Scholar]
- Khatun I., Walsh M.T., Hussain M.M. Loss of both phospholipid and triglyceride transfer activities of microsomal triglyceride transfer protein in abetalipoproteinemia. J. Lipid Res. 2013;54:1541–1549. doi: 10.1194/jlr.M031658. [DOI] [PMC free article] [PubMed] [Google Scholar]
- Khubchandani S.R., Vohra P., Chitale A.R., Sidana P. Microvillous inclusion disease-an ultrastructural diagnosis: with a review of the literature. Ultrastruct. Pathol. 2011;35:87–91. doi: 10.3109/01913123.2010.537438. [DOI] [PubMed] [Google Scholar]
- Lemale J., Coulomb A., Dubern B., Boudjemaa S., Viola S., Josset P., et al. Intractable diarrhea with tufting enteropathy: a favorable outcome is possible. J. Pediatr. Gastroenterol. Nutr. 2011;52:734–739. doi: 10.1097/MPG.0b013e31820731db. [DOI] [PubMed] [Google Scholar]
- Pautler D., Easley D., Pohl J.F. Abetalipoproteinemia. J. Pediatr. Gastroenterol. Nutr. 2008;46:355–360. doi: 10.1097/MPG.0b013e3181677082. [DOI] [PubMed] [Google Scholar]
- Piątosa B., Pac M., Siewiera K., Pietrucha B., Klaudel-Dreszler M., Heropolitańska-Pliszka E., et al. Common variable immune deficiency in children–clinical characteristics varies depending on defect in peripheral B cell maturation. J. Clin. Immunol. 2013;33:731–741. doi: 10.1007/s10875-013-9875-4. [DOI] [PMC free article] [PubMed] [Google Scholar]
- Ponec R.J., Hackman R.C., McDonald G.B. Endoscopic and histologic diagnosis of intestinal graft-versus-host disease after marrow transplantation. Gastrointest. Endosc. 1999;49:612–621. doi: 10.1016/s0016-5107(99)70390-1. [DOI] [PubMed] [Google Scholar]
- Reifen R.M., Cutz E., Griffiths A.M., Ngan B.Y., Sherman P.M. Tufting enteropathy: a newly recognized clinicopathological entity associated with refractory diarrhea in infants. J. Pediatr. Gastroenterol. Nutr. 1994;18:379–385. [PubMed] [Google Scholar]
- Rothenberg M.E. Eosinophilic gastrointestinal disorders (EGID) J. Allergy Clin. Immunol. 2004;113:11–28. doi: 10.1016/j.jaci.2003.10.047. [DOI] [PubMed] [Google Scholar]
- Sachdeva S., Rawat A.K., Reddy R.S., Puri A.S. Small intestinal bacterial overgrowth (SIBO) in irritable bowel syndrome: frequency and predictors. J. Gastroenterol. Hepatol. 2011;26(Suppl. 3):135–138. doi: 10.1111/j.1440-1746.2011.06654.x. [DOI] [PubMed] [Google Scholar]
- Schnell U., Kuipers J., Mueller J.L., Veenstra-Algra A., Sivagnanam M., Giepmans B.N. Absence of cell-surface EpCAM in congenital tufting enteropathy. Hum. Mol. Genet. 2013;22:2566–2571. doi: 10.1093/hmg/ddt105. [DOI] [PMC free article] [PubMed] [Google Scholar]
- Shaila R.K., Pankaj V., Arun R.C., Poonam S. Microvillous inclusion disease-an ultrastructural diagnosis: with a review of the literature. Ultrastruct. Pathol. 2011;35:87–91. doi: 10.3109/01913123.2010.537438. [DOI] [PubMed] [Google Scholar]
- Snover D.C. Graft-versus-host disease of the gastrointestinal tract. Am. J. Surg. Pathol. 1990;14(Suppl. 1):101–108. [PubMed] [Google Scholar]
- Szperl A.M., Golachowska M.R., Bruinenberg M., Prekeris R., Thunnissen A.M., Karrenbeld A., et al. Functional characterization of mutations in the myosin Vb gene associated with microvillus inclusion disease. J. Pediatr. Gastroenterol. Nutr. 2011;52:307–313. doi: 10.1097/MPG.0b013e3181eea177. [DOI] [PMC free article] [PubMed] [Google Scholar]
- Tobin J.M., Sinha B., Ramani P., Saleh A.R.H, Murphy M.S. Upper gastrointestinal mucosal disease in pediatric Crohn’s disease and ulcerative colitis: a blinded, controlled study. J. Pediatr. Gastroenterol. Nutr. 2001;32:443–448. doi: 10.1097/00005176-200104000-00010. [DOI] [PubMed] [Google Scholar]
- Valdez R., Appelman H.D., Bronner M.P., Greenson J.K. Diffuse duodenitis associated with ulcerative colitis. Am. J. Surg. Pathol. 2000;24:1407–1413. doi: 10.1097/00000478-200010000-00011. [DOI] [PubMed] [Google Scholar]
- Vignes S., Bellanger J. Primary intestinal lymphangiectasia (Waldmann's disease) Orphanet J. Rare Dis. 2008;22(3):5. doi: 10.1186/1750-1172-3-5. [DOI] [PMC free article] [PubMed] [Google Scholar]
- Voutilainen M., Juhola M., Farkkila M., Sipponen P. Gastric metaplasia and chronic inflammation at the duodenal bulb mucosa. Dig. Liver Dis. 2003;35:94–98. doi: 10.1016/s1590-8658(03)00003-3. [DOI] [PubMed] [Google Scholar]
- Walker M.M., Dixon M.F. Gastric metaplasia: its role in duodenal ulceration. Aliment. Pharmacol. Ther. 1996;10:119–128. doi: 10.1046/j.1365-2036.1996.22164012.x. [DOI] [PubMed] [Google Scholar]
- Wang C., Li Y., Jin Y., Zhou W., Zhu Y., Yao F., et al. Chronic diarrhea as the presenting feature of primary systemic AL amyloidosis: serendipity or delayed diagnosis? BMC Gastroenterol. 2013;24(13):71. doi: 10.1186/1471-230X-13-71. [DOI] [PMC free article] [PubMed] [Google Scholar]
- Wright C.L., Riddell R.H. Histology of stomach and duodenum in Crohn’s disease. Am. J. Surg. Pathol. 1998;22:383–390. doi: 10.1097/00000478-199804000-00001. [DOI] [PubMed] [Google Scholar]
- Wyatt J.I., Rathbone B.J., Sobala G.M., Shallcross T., Heatley R.V., Axon A.T.R, et al. Gastric epithelium in the duodenum: its association with H. pylori and inflammation. J. Clin. Pathol. 1990;43:981–986. doi: 10.1136/jcp.43.12.981. [DOI] [PMC free article] [PubMed] [Google Scholar]
- Xinias I., Mavroudi A., Sapountzi E., Thomaidou A., Fotoulaki M., Kalambakas A., et al. Primary intestinal lymphangiectasia: is it always bad? Two cases with different outcome. Case Rep. Gastroenterol. 2013;20:153–163. doi: 10.1159/000348763. [DOI] [PMC free article] [PubMed] [Google Scholar]
Infections the Small İntestine
- Bhaijee F., Subramony C., Tang S.J., Pepper D.J. Human immunodeficiency virus-associated gastrointestinal disease: common endoscopic biopsy diagnoses. Patholog. Res. Int. 2011:8. doi: 10.4061/2011/247923. ID 247923. [DOI] [PMC free article] [PubMed] [Google Scholar]
- Durand D.V., Lecomte C., Cathebras P., Rousset H., Godeau P. Whipple disease. Clinical review of 52 cases. Medicine (Baltimore) 1997;76:170–184. doi: 10.1097/00005792-199705000-00003. [DOI] [PubMed] [Google Scholar]
- Fantry L. Gastrointestinal infections in the immunocompromised host. Curr. Opin. Gastroenterol. 2001;17:40–45. doi: 10.1097/00001574-200101000-00008. [DOI] [PubMed] [Google Scholar]
- Gerard A., Sarrot-Reynauld F., Liozon E., Cathebras P., Besson G., Robin C., et al. Neurologic presentation of Whipple disease: report of 12 cases and review of the literature. Medicine. 2002;81:443–457. doi: 10.1097/00005792-200211000-00005. [DOI] [PubMed] [Google Scholar]
- Kambham N., Vij R., Cartwright C.A., Longacre T. Cytomegalovirus infection in steroid-refractory ulcerative colitis: a case–control study. Am. J. Surg. Pathol. 2004;28:365–373. doi: 10.1097/00000478-200403000-00009. [DOI] [PubMed] [Google Scholar]
- Lamps L.W. Pathology of food-borne infectious diseases of the gastrointestinal tract: an update. Adv Anat Pathol. 2003;10:319–327. doi: 10.1097/00125480-200311000-00002. [DOI] [PubMed] [Google Scholar]
- Lamps L.W. Infective disorders of the gastrointestinal tract. Histopathology. 2007;50:55–63. doi: 10.1111/j.1365-2559.2006.02544.x. [DOI] [PMC free article] [PubMed] [Google Scholar]
- Oberhuber G., Kastner N., Stolte M. Giardiasis: a histologic analysis of 567 cases. Scand. J. Gastroenterol. 1997;32:48–51. doi: 10.3109/00365529709025062. [DOI] [PubMed] [Google Scholar]
- Ortega Y.N., Adam R.D. Giardia: overview and update. Clin. Infect. Dis. 1997;25:545–550. doi: 10.1086/513745. [DOI] [PubMed] [Google Scholar]
- Razonable R.R., Pulido J.S., Deziel P.J., Dev S., Saloma D.R., Walker R.C. Chorioretinitis and vitreitis due to Tropheryma whipplei after transplantation: case report and review. Transpl. Infect. Dis. 2008;10:413–418. doi: 10.1111/j.1399-3062.2008.00322.x. [DOI] [PubMed] [Google Scholar]
- Xia H.X. Role of upper endoscopy in diagnosing opportunistic infections in human immunodeficiency virus-infected patients. World J. Gastroenterol. 2009;15:1050–1056. doi: 10.3748/wjg.15.1050. [DOI] [PMC free article] [PubMed] [Google Scholar]
- Zarrinpar A., Lin G.Y., Lonergan J.T. A rare cause of an ileocecal fistula in an AIDS patient. Gastrointestinal infection by Histoplasma capsulatum infection identified with internal transcribed spacer primer sets. Gastroenterology. 2013;144:857–858. doi: 10.1053/j.gastro.2012.11.030. [DOI] [PMC free article] [PubMed] [Google Scholar]
Glossary
- Autoimmune enteropathy
This is a rare condition caused by autoantibodies to intestinal mucosa primarily affecting children who suffer from severe chronic diarrhea within the first months of life.
- Celiac disease
Celiac disease (CD), also known as celiac sprue, nontropical sprue, gluten-induced enteropathy, or gluten-sensitive enteropathy (GSE), is a chronic inflammatory disorder of the small intestine induced by a T-cell-mediated immune response and characterized by malabsorption after ingestion of wheat gluten or related proteins in rye (secalins) and barley (hordeins) in individuals with a certain genetic background.
- Common variable immunodeficiency (CVID)
CVID is primarily a dysfunction of B-cell differentiation resulting in hypogammaglobulinemia and diminished ability to produce antibodies.
- Deamidation
Detachment of an amino group by tissue transglutaminase from gliadin that becomes negatively charged.
- Enteroendocrine cell dysgenesis
This disorder is associated with neurogenin 3 mutation that is a protein involved in gut and pancreatic endocrine cell development, located on chromosome 10q21.3.
- Enteropathy-induced T-cell lymphoma (EITCL)
This high-grade T-cell lymphoma is the most fearsome complication of CD in patients with long-standing malabsorption.
- Eosinophilic gastroenteritis
This is a spectrum of diseases characterized by eosinophilic infiltration of various segments of the GI tract together with peripheral eosinophilia and coexisting allergies.
- Graft-versus-host disease (GVHD)
Donor T cells of cytotoxic subtype incite an immunologic reaction to certain host cells resulting in injury to GI mucosa. Gastrointestinal complications are common in bone marrow transplant recipients rather than solid organ transplantation.
- Intestinal lymphangiectasia
Intestinal lymphangiectasia is defined as the presence of dilated lymphatics within the intestinal mucosa. It can be either primary due to a structural abnormality of the lymphatic system or secondary due to a local neoplastic or inflammatory condition causing lymphatic obstruction.
- Intraepithelial lymphocyte
T cell residing in the surface epithelium bearing T-cell receptors. The majority of IELs are T cells, which are mostly cytotoxic T cells expressing αβ TCR on their surface. The population specifically expanded in GSE is the CD3 +/CD4 −/CD8 −, γδ TCR-bearing IELs, which is only 5% of the total in normal mucosa.
- Intraepithelial lymphocytosis
Less than 20 intraepithelial lymphocytes/100 enterocytes. Characteristic finding in celiac disease but may also be found in a variety of intestinal disorders causing malabsorption.
- Malabsorption
Malabsorption syndrome refers to the clinical picture comprising diarrhea, steatorrhea, malnutrition, weight loss, abdominal pain, and anemia due to maldigestion, mucosal/mural problems, or infections.
- Microvillus inclusion disease (MVID)
MVID is an uncommon congenital enteropathy characterized by severe, intractable diarrhea within the first week of life due to defective MYO5B gene located on 18q21 encoding myosin Vb that regulates distribution of endosomes. It is characterized by loss of microvilli and numerous microvillus inclusions in the apical cytoplasm of the enterocytes.
- Neonatal enteropathy
Severe intractable chronic (> 2–3 weeks) diarrhea starting immediately after birth and resulting in failure to thrive of the infant.
- Peptic duodenal disease
This represents a continuum of the same disease process of acute and chronic inflammation of the duodenal mucosa resulting from the toxic effects of excess gastric acid. Chronic H. pylori infection is highly associated with peptic disease of the duodenum in more than 80% of the cases.
- Refractory sprue
Refractory sprue is defined as incomplete or no response to GFD for at least 6 months. It can be either primary, as lack of initial response to diet, or secondary, as unresponsiveness to diet in the form of a relapse. Primary refractory sprue can include many different pathological conditions mimicking CD, comprising collagenous sprue, ulcerative jejunitis, lymphocytic colitis, collagenous colitis, and EITCL.
- Small intestinal bacterial overgrowth (SIBO)
Stasis caused by motor/neural disorders such as diabetes and scleroderma, diverticula, and surgical anastomoses results in abnormal proliferation of facultative aerobe bacteria normally colonized in the intestinal lumen.
- Tissue transglutaminase
The enzyme found in the lamina propria beneath the surface epithelium of small intestinal mucosa that removes an amino group from gliadin (deamidation) and adds the remainder of the peptide to the existing protein.
- Tropical (postinfectious) sprue
This is a rare disorder of unknown etiology, mainly occurring among residents or visitors to the tropical countries. Malabsorption is usually initiated by an infection followed by colonization of the small bowel by enterotoxigenic bacteria.
- Tufting enteropathy (TE)
TE causes severe diarrhea in the first week of life together with various dysmorphic features including choanal atresia and esophageal/rectal atresia in some of the affected infants. EpCAM mutations on chromosome 2p21 have recently been suggested as the responsible genetic abnormalities. It is characterized by epithelial tufts or buds along the luminal aspect of the enterocytes.




