
Lameness is the cardinal clinical sign associated with disease of the musculoskeletal system. Other signs include stiffness, ataxia, weakness, pain, fever, limb and joint swelling, and deformity. Depending on the type of disorder, other organ systems may also be involved, including neurologic, endocrine, urologic, hemolymphatic, digestive, respiratory, and cardiovascular systems; thus an animal with musculoskeletal disease may present with a variety of problems and signs.
Cytology may be a component of the workup in an animal with a suspected musculoskeletal disorder. Materials that may be sampled include synovial fluid as well as fine-needle aspirates of soft tissue masses involving muscle or proliferative/lytic lesions of the bone. Cytologic evaluation alone is rarely the sole diagnostic test necessary to completely define a musculoskeletal problem. Other important information includes signalment, history, physical examination, radiographs, complete blood count, and biochemistry. In addition, many lesions will require histopathology for definitive characterization. Some types of muscle, bone, and joint disease cause changes that cannot be detected by cytologic methods.
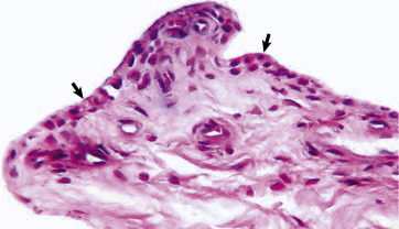
Normal Joint Anatomy and Synovial Fluid Production
The articular joints have outer fibrous tissue that attaches to bone enclosing and stabilizing the joint. The innermost tissue is called the synovial membrane (Fig. 13-1 ). Except for the articular cartilage surface, this thin discontinuous villous membrane covers the inner surface of the joint. It is composed of histiocytes (A cells), which remove debris or hemorrhage, and synoviocytes (B cells), which are secretory, stromal cells that produce synovial fluid. Normal synovial fluid is composed of hyaluronic acid, lubricin (a water-soluble glycoprotein), proteinases, and collagenase. Along with lubrication of joint surfaces, the synovial fluid provides oxygen and nutrients to chondrocytes in the articular cartilage and removes their wastes. Below the surface of the membrane are blood and lymph vessels along with variable amounts of adipose tissue.
Figure 13-1.

Synovial membrane, joint, dog.
The normal synovial membrane (arrows) consists of an incomplete layer of histiocytes (phagocytic cells) and fibrocytes with subjacent loose fibrous and/or fibrofatty tissue. The joint lumen is at the top of the figure. (H&E; IP.)
(From Zachary JF. Pathologic basis of veterinary disease, 5th ed, Elsevier Health Sciences, 2012.)
Synovial Fluid Evaluation
Synovial fluid analysis is a part of the minimum database when assessing an animal for joint disease. It is important to recognize that evaluation of the synovial fluid is only a component of the workup, and the findings must be integrated with other clinical and laboratory findings, including appropriate ancillary diagnostic tests (e.g., culture, serology, antinuclear antibody [ANA] titer, rheumatoid factor [RF] titer, imaging). Nevertheless, when an animal has suspected joint disease, synovial fluid evaluation is a critical component in determining the cause.
As with other body cavity effusions, a complete fluid analysis is helpful when evaluating a synovial fluid. Routine synovial fluid analysis should include evaluation of color, transparency, protein concentration, viscosity, mucin clot test, nucleated cell count, differential, and cytologic evaluation. These tests are discussed in further detail below. Reference values for synovial fluid from healthy dogs and cats are shown in Box 13-1 . If the sample volume is limited, the most important component of analysis is the cytology. In that case, a direct smear of a drop of fluid is spread onto a slide and stained for evaluation. Typical results for different kinds of joint disease are shown in Table 13-1 .
Box 13-1. Normal Synovial Fluid Characteristics.
| Appearance | Clear to straw colored |
| Protein | <2.5 g/dL (also cited 1.5-3.0 g/dL) |
| pH | 7.0-7.8 |
| Viscosity | 2 cm in string test |
| Mucin clot | Good (tight dot formation) |
| Cell count (/μL) | <3000 (dogs); <1000 (cats) |
| Neutrophils | <5% |
| Mononuclear cells | >95% (small: lymphocytes; large: macrophages and synoviocytes) |
| Quantity | Only a small amount should be present (<0.5 mL in most joints) |
Table 13-1.
Classification of Abnormal Synovial Fluid
| Hemarthrosis | Nonsuppurative Arthropathy | Suppurative Arthropathy | |
|---|---|---|---|
| Appearance | Red, cloudy, or xanthochromic | Clear | Cloudy |
| Protein | Increased | Normal to decreased | Normal to increased |
| Viscosity | Decreased | Normal to decreased | Normal to decreased |
| Mucin clot | Normal to poor | Normal to poor | Fair to poor |
| Cell count (/μL) | Increased nucleated cells; red blood cells | 1000 to 10,000 | 5000 to >100,000 |
| Neutrophils | Relative to blood | <10% | >10 to 100% |
| Mononuclear cells | Relative to blood | >90% (both lymphocytes and large mononuclear cells) | 10 to <90% |
| Comments | Erythrophagia helps confirm previous hemorrhage. | Synoviocytes are typically seen along with macrophages in thick sheets. | Septic and nonseptic etiologies. Bacteria are rarely observed in infected joints. |
Sample Collection and Handling
Collection of synovial fluid varies to some degree depending on the joint sampled. Descriptions of approaches to various joints have been described. In general, collection of synovial fluid requires the following materials: 3- to 6-mL syringe, 18- to 22-gauge 1-inch needles, and red-top and/or lavender-top tubes. The amount of restraint and necessary levels of sedation and anesthesia will vary from animal to animal. Enough restraint should be used to minimize struggling during collection. In general, many animals will require at least some degree of sedation or anesthesia. Sterile technique is critical when preparing the site and during aspiration. The fur should be clipped and the area of aspiration scrubbed. Care should be taken not to scratch the articular surface during needle insertion. Palpation and slight flexion or hyperextension of the joint will help to identify insertion points of the needle. The location of aspiration varies with the joint aspirated. The coxofemoral joint can be aspirated cranioproximal to the trochanter major and slightly ventral and caudal. The stifle should be flexed when aspirated. Aspiration can occur medial or lateral to the patellar ligament, midway between the tibia and femur. The tarsocrural joint can be aspirated by hyperextending the joint and inserting the needle lateral or medial to the fibular tarsal bone. To aspirate the shoulder, insert the needle 1 cm distal and slightly caudal to the acromion process. The elbow should be hyperextended and the needle inserted lateral and alongside the olecranon. The carpal joints can be simply aspirated by flexing the joint and palpating the joint space. The needle should be advanced slowly through the joint capsule into the joint cavity. The amount of fluid withdrawn depends on the size of animal and joint as well as the amount of effusion present. Synovial fluid will be aspirated easily if there is a significant effusion but a few drops may be obtained from joints without an increase in synovial fluid volume. Before removing the needle from the synovial cavity, the plunger should be released to remove any negative pressure. Normal synovial fluid has a gel-like consistency that should not be mistaken for a clot. The gel-like consistency will become less viscous when shaken and return to the original viscosity upon standing; this property is referred to as thixotropy. Clotting is likely to occur if there is significant blood contamination and inflamed joints may form fibrin precipitates or clots. For these reasons, some joint fluid should be put into an ethylenediaminetetraacetic acid (EDTA) tube (lavender-top tube). EDTA will interfere with tests such as the mucin clot test and culturing. The synovial fluid should be refrigerated if not being immediately evaluated. For samples that may be cultured based on the cytologic findings, the fluid should be put into a red-top tube, left in the sterile syringe, and/or placed in an aerobic culturette. There are advocates of putting fluid in blood culture media to improve the chances for bacterial growth. The laboratory should be contacted for their recommendations. In many smaller animals, only one or two drops of joint fluid can be obtained. In these cases, immediate preparation of direct smears is the critical component of sample management (refer to Chapter 1). Regardless of the amount of fluid collected, it usually is advantageous to make direct smears immediately to best preserve cell morphology. These slides should not be refrigerated before staining.
Appearance and Viscosity
Normal joint fluid is typically present in small amounts (less than 0.5 mL) and is clear to straw-colored (Fig. 13-2A ). Red-tinged fluid indicates hemorrhage or peripheral blood contamination. True hemorrhage will be uniformly discolored throughout aspiration, whereas peripheral blood contamination often occurs at the end of aspiration. This may appear as a red tail or wisp in the fluid. The fluid should be viscous as evidenced by stringiness when suspended between fingertips, touched by an applicator stick, or expelled from the syringe (Fig. 13-2A). The fluid viscosity is related to the concentration and quality of hyaluronic acid. Normal synovial fluid has good viscosity and demonstrates thixotropy (see the earlier section).
Figure 13-2.

Synovial fluid viscosity.
A, Viscosity test. A string of viscous material from normal synovial fluid should measure about 2 cm in length when touched with an applicator stick before it snaps apart. B, Mucin clot test. This sample is from a normal joint. The mucin clot is thick and ropy (arrow), indicating good mucin content and quality. C, Windrowing. The cells in this figure are found in rows. This is referred to as “windrowing” and is commonly seen in fluids with increased viscosity or increased protein concentration. Inflamed joints may have decreased viscosity by gross visual examination but prominent windrowing of cells microscopically. (Wright; HP oil.) D, Granular background. Normal synovial fluid has low nucleated cell numbers with a thick, granular to ropy background material separating the cells. The granular background is related to the mucin content of the fluid. The low cellularity generally means that fewer than 1 to 2 small to medium-sized mononuclear cells are seen on high-power examination (arrow). (Wright; IP.) E, Synoviocyte against granular background. Dog. A single synovial cavity–lining cell is present against the normal granular eosinophilic mucin material that is typical of normal synovial fluid. This dog had a degenerative joint condition with normal viscosity. (Wright; HP oil.)
(A, Courtesy of Rose Raskin, Purdue University. B, Courtesy of Dr. Sonjia Shelly. E, Courtesy of Rose Raskin, Purdue University.)
Healthy synovial fluid should be viscous due to the production of mucin. The mucin clot test semiquantitatively assesses the amount and/or degree of polymerization of hyaluronic acid in the joint fluid. Because EDTA interferes with this test, heparin can be used if an anticoagulant is required before performing this test. One to two drops of undiluted joint fluid are added to four to eight drops of 2% acetic acid. In a sample with normal hyaluronic acid concentration and quality, a thick, ropy clot will form (Fig. 13-2B). As the amount and/or quality of hyaluronic acid decreases in various forms of joint disease, the mucin clot is less well formed. This test is typically interpreted as good, fair, or poor. Normal joints have good mucin clot results.
The direct smear of the synovial fluid should also be evaluated for the presence of windrowing. In a viscous sample, the cells will often line up in rows (Fig. 13-2C) or windrows that describes the arrangement of cut hay. Mucinous material can be identified in the background of the direct smears as eosinophilic granular material (Fig. 13-2D&E) or sometimes as proteinaceous crescents.
Cell Counts and Differential
Cell counts and the differential count are done by routine methods. If enough fluid is present, cell counts can be made using a hemocytometer. Some reference laboratories use automated cell counters for cell enumeration. Automated cell counters tend to give a higher cell count than the hemocytometer; however, the difference is not usually great enough to affect the clinical interpretation. The cells may occur in clumps and accurate assessment of cell numbers may be difficult. In an effort to minimize cell clumping, hyaluronidase can be added to the synovial fluid. Various methods have been described. The easiest procedure is to add a small amount of hyaluronidase powder (amount adherent to an applicator stick) directly into the sample tube, which may result in more accurate cell counts. If only slides are prepared, cell numbers can be roughly estimated by counting the number of cells per low-power field (10×) and multiplying the count by 100 to give an approximate number per microliter. However, estimates from smears are less accurate and tend to be higher than counts from automated counters. Normal joints will have low nucleated cell numbers, usually fewer than 3000 cells/μL in the dog and 1000 cells/μL in the cat (Pacchiana et al., 2004), although more typically the count is fewer than 500 cells/μL in both species. These counts may vary slightly based on breed, age, body weight, and joint sampled. Consequently, only 1 to 2 cells per high-power field (40×) will be observed depending on the thickness of the direct smear (Fig. 13-2D). Gibson et al (1999) demonstrated the variability in performing these estimates by a group of clinicians on synovial fluid. Cells commonly observed in synovial fluid include lymphocytes, macrophages (clasmatocytes), neutrophils, and occasionally synovial lining cells that produce glycosaminoglycans. Neutrophils typically account for less than 5% to 10% of nucleated cells in normal joints. If fluid is obtained, both direct smears and concentrated preparations can be evaluated. If available, a cytocentrifuge is useful in preparing concentrated preparations. Concentrated preparations can also be prepared by centrifuging the fluid, pouring of the supernatant, and resuspending the fluid in one or two drops of supernatant. Smears can then be prepared from this concentrated preparation. Concentrated preparations are useful in synovial fluid particularly if the cell count is low (less than 500 cells/μL).
Protein Concentration
Protein concentration is often measured by refractometry, which usually provides a value that is useful for routine clinical classification and interpretation of the synovial fluid. The most accurate measurement of protein requires chemical methods. Normal synovial fluid generally has a low protein concentration (less than 2.5 g/dL), commonly between 1.5 and 3.0 g/dL (MacWilliams and Friedrichs, 2003), but can be as high as 4.8 g/dL (Fernandez et al., 1983). Protein concentration will increase with inflammatory disease. False increases in protein can occur with EDTA, especially if a short sample is submitted or if the patient has received an intra-articular injection.
Classification of Joint Disease
The primary goal in synovial fluid evaluation is to distinguish suppurative joint disease from nonsuppurative joint disease (Table 13-1). Other types of joint disease that may be distinguished include hemarthrosis and neoplastic disease. Further defining the disease process, as noted above, requires integrating the synovial fluid findings with other historical, physical, and laboratory findings, including imaging techniques. It is important to note that synovial fluid analysis alone rarely differentiates or identifies the specific cause from among the multiple etiologic factors involved in suppurative and nonsuppurative joint diseases.
Suppurative Joint Disease
Suppurative joint disease is characterized by increased numbers of white blood cells, particularly neutrophils (Fig. 13-3 ), in the joint fluid. Absolute numbers of segmented neutrophils are often moderately to markedly increased. However, the inflammatory process appears to cytologically wax and wane with time and, if polyarticular, involve other joints with varying intensity. Consequently, repeating joint sampling and, more importantly, sampling multiple joints, even if not clinically affected, has diagnostic value. A key point is that suppurative joint disease has both infectious and noninfectious causes.
Figure 13-3.

Suppurative joint disease.
Inflamed joints have an absolute increase in the numbers of neutrophils and often exceed 50,000/μL, as in this specimen. The total cell number occasionally may be within normal limits (i.e., less than 3000/μL in dogs) in a septic joint, but the neutrophil number will represent more than 70% of the total cell number, emphasizing the need for microscopic examination. (Wright; IP.)
Infectious Arthritis
Some cases of joint disease are caused by bacterial (Fig. 13-4 ) or fungal infection (Fig. 13-5 ). In general, septic joints have very high cell counts. In most cases, the cells are primarily segmented neutrophils. It is important to evaluate the condition of the neutrophils. Degenerative or karyolytic neutrophils are more commonly observed with septic joints. Degenerate neutrophils have a pale, swollen nucleus with some loss of nuclear segmentation. However, often the majority of the neutrophils will appear nondegenerative in septic arthritis. In one study, Staphylococcus sp. was the most common bacterial agent isolated in septic joints (Marchevsky and Read, 1999). Organisms may gain access to joints either hematogenously or via direct inoculation. In addition, there may be infection elsewhere in the body (e.g., endocarditis) with immune complex deposition in the synovial tissue and resultant nonseptic inflammation in the fluid. Bacterial and fungal arthritis most commonly present with solitary joint involvement but on occasion may involve multiple joints, especially in young animals. Because infectious and noninfectious arthritis can have a similar presentation, it may be advisable to culture inflamed joints, keeping in mind that a negative culture does not rule out infection as the microorganisms are sometimes limited to the synovial lining tissue. Other organisms that have been implicated as causative agents of joint disease include mycoplasma; bacterial L-forms; spirochetes (Borrelia burgdorferi); protozoa (Leishmania donovani); viruses (calicivirus, coronavirus); and rickettsia/anaplasma such as Ehrlichia canis, Ehrlichia ewingii (Fig. 13-6A&B ), Anaplasma phagocytophilum, formerly Ehrlichia equi, and Rickettsia rickettsii (Santos et al., 2006, Harvey and Raskin, 2004). In one study of E. ewingii joint infection cases in which the diagnosis was confirmed by polymerase chain reaction testing of peripheral blood, nucleated cell counts ranged from 16,000 to 125,000/μL with 63% to 95% neutrophils (Goodman et al., 2003).
Figure 13-4.

Bacterial arthritis.
Bacterial arthritis may be caused by direct inoculation or hematogenous spread. Infected joints typically have high neutrophil counts (higher than 50,000/μL). In this example, the neutrophils display degenerative changes, including nuclear swelling (short arrows), and cytoplasmic vacuolization. The presence of degenerative changes strongly supports infection; however, the lack of degenerative changes or observable microorganisms does not rule out the possibility of infection. The bacteria may be located in the joint tissue and not present in the synovial fluid. Rare bacteria were observed after prolonged searching (long arrow). (Wright; HP oil.).
Figure 13-5.

Blastomycosis. Synovial fluid.
In addition to bacteria, other types of infectious agents may also involve the joint. This photomicrograph contains numerous neutrophils that are “rounded up” and almost appear like mononuclear cells owing to the thickness of the smear. In the center of the photo, broad-based budding yeasts are found that are consistent with Blastomyces dermatitidis (arrow). Fungal organisms may be present infrequently and are best found on low-power examination. As with bacteria, the lack of observable organisms does not rule out infection. Fungal culture is advisable in suspected cases. (Wright; HP oil.).
Figure 13-6.

A, Granulocytic ehrlichiosis. Synovial fluid. Dog.
The neutrophil in the center (arrows) contains an ehrlichial morula in the cytoplasm. Granulocytic ehrlichiosis may be caused by A. phagocytophilum or E. ewingii. These organisms may cause joint inflammation as well as a variety of other clinical signs and laboratory problems. It is unusual to find the organisms in clinical samples except for acute infections. Diagnosis is usually based on recognition of clinical signs with appropriate serologic testing. (Wright; HP oil.) B, Ehrlichia ewingii joint infection. Dog. Pictured are three neutrophils with intracytoplasmic morulae (arrows). This stifle synovial fluid had an estimated white cell count of higher than 50,000/μL and a predominance mildly karyolytic neutrophils against an eosinophilic granular background. Diagnosis was confirmed by PCR testing to amplify genus-and species-specific products. (Wright; HP oil.)
(B, Courtesy of Rose Raskin, University of Florida.)
Noninfectious Arthritis
Many animals with inflamed joints have nonerosive disease (Michels and Carr, 1997). Causes of nonerosive polyarthritis include inflammation secondary to infection or neoplasia elsewhere, breed-specific polyarthritis (e.g., Beagle, Chinese Shar Pei), drug-induced disease, immune-mediated polyarthritis, and systemic lupus erythematosus. In addition to Doberman Pinschers, Miniature Schnauzers and Samoyeds are at increased risk of hypersensitivity to sulfonamides with drug-induced suppurative arthritis (Trepanier et al., 2003). Although crystal-induced arthritis (e.g., gout or pseudogout) has been described in animals, it is infrequent in dogs and cats (deHaan JJ, 1992, Forsyth et al., 2007) (Fig. 13-7A&B ). As the name implies, polyarthritis typically affects multiple joints but on occasion may present with only a solitary affected joint.
Figure 13-7.

Mixed cell inflammation with calcium deposition. Synovial Fluid. Dog.
Same case A-B. A, Neutrophils, mononuclear cells, and several erythrocytes are present within a background containing coarse and fine irregular refractile yellow-green crystalline material. Etiology for the crystal-induced arthropathy is uncertain but may relate to an earlier condition of systemic histoplasmosis. (Wright; HP oil.) B, Large collections are present of brown, positive-stained granules confirming calcium composition. Also noted are several inflammatory cells indicated by a nuclear counterstain that is associated with the mineral (Von Kossa; HP oil.)
(A and B, Courtesy of Rose Raskin, Purdue University.)
Joints affected by immune-mediated disease often have increased numbers of nondegenerate neutrophils. In some cases, increased numbers of lymphocytes and plasma cells may be found. Smaller distal joints are most commonly affected. Diagnosis of immune-mediated disease depends not only on demonstrating joint inflammation but also on ruling out infection via culture, serology, and/or empiric therapy. Some cases of immune-mediated disease will have ragocytes (Fig. 13-8A-C ) or lupus erythematosus (LE) cells (Fig. 13-8D). These are infrequent findings and should not be relied on to diagnose immune-mediated disease.
Figure 13-8.

Ragocytes. Synovial fluid. Dog.
Same case A-C. A, Ragocytes are neutrophils with multiple small, variably sized, purple cytoplasmic inclusions (arrows). They are thought to represent nuclear remnants or phagocytosed immune complexes. They should be distinguished from bacteria. Observations suggest that these cells are seen more commonly in association with immune-mediated polyarthropathies but are not considered diagnostic. Serologic evaluation for immune-mediated disease and extraarticular nonbacterial infections such as ehrlichiosis and borreliosis is recommended when polyarthritis is identified. (Wright; HP oil) B, Neutrophils frequently contain several variably sized, dark, cytoplasmic granules in a case of immune-mediated polyarthropathy. Stifle fluid had WBC 7,400/μL, protein 3.6 g/dL, good mucin clot, 21% nondegenerate neutrophils, 45% small lymphocytes, 34% large mononuclear cells, positive ANA titer, and negative rickettsial titers. (Wright; HP oil.) C, Close-up of affected neutrophils containing fragments of nuclear material. (Wright; HP oil.) D, Lupus erythematosus cell. Dog. Synovial fluid from a dog with shifting leg lameness. The total cell number is moderately increased and composed of predominantly nondegenerate neutrophils with lesser numbers of lymphocytes and monocytes. The neutrophil in the center contains a large, round, homogeneous eosinophilic inclusion in the cytoplasm that displaces the nucleus to the periphery of the cell membrane (arrow). This is an LE cell. The phagocytized material is thought to be nuclear material that has been structurally altered by antinuclear antibody. The homogeneous, light-staining appearance of the material distinguishes it from normal nuclear material. LE cells are rare, but when found, support the diagnosis of systemic lupus erythematosus. Inset: Close-up of another LE cell. (Wright; HP oil.)
(B and C, Courtesy of Rose Raskin, Purdue University. D, Courtesy of Linda L. Werner. Inset, Courtesy of Rose Raskin.)
Erosive arthritis is suggested when there are lucent cyst-like areas in the subchondral bone with narrowing or widening of the joint spaces found on joint radiographs. Types of erosive arthritis described in animals include rheumatoid arthritis, polyarthritis of Greyhounds, and feline chronic progressive polyarthritis (Carr and Michels, 1997, Oohashi et al., 2010). The classic finding is progressive loss of subchondral bone with deformation and destruction of affected joints. Infection or neoplasia may also cause erosive joint disease. Erosive arthritis, as with other types of suppurative joint disease, is characterized by increased numbers of neutrophils in the synovial fluid. Synovial fluid analysis alone cannot distinguish erosive disease from nonerosive disease; therefore, radiographs should be done on animals with inflammatory joint disease. Other clinical features of noninfectious erosive arthritis include morning stiffness, swelling of the same or multiple joints within a 3-month period, symmetric swelling of joints, mononuclear infiltrates observed microscopically in a synovial membrane biopsy, and positive RF titer.
Nonsuppurative Joint Disease
Degenerative joint disease (osteoarthritis, osteoarthropathy) is characterized by degeneration of articular cartilage with secondary changes in associated joint structures. The disorder usually occurs secondary to conditions such as osteochondrosis, hip dysplasia, joint instability, chronic bicipital tenosynovitis, and trauma. Changes in the synovial fluid are not as remarkable as seen with suppurative disease (Fig. 13-9A&B ). A mild increase in the number of mononuclear cells is the predominant finding (Stobie et al., 1995). These cells are likely a mixture of macrophages, lymphocytes, and synovial lining cells (Fig. 13-9C-E). Cranial cruciate ligament rupture of the stifle (Fig. 13-9F) is associated with nonsuppurative joint disease with synovial fluid composed predominantly of mononuclear cells (large mononuclear cells with increased numbers of lymphocytes and plasma cells) along with few neutrophils (Erne et al., 2009). Occasionally, osteoclasts can be observed, which may suggest erosion of cartilage and exposure of underlying subchondral bone (Fig. 13-10A&B ).
Figure 13-9.

Degenerative joint disease.
A-B. A, Dog. This sample is from the stifle joint of a large dog with chronic hind limb lameness. Cell numbers appear to be slightly increased although difficult to estimate because of clumping and thickness of the smear. The granular background that includes clumps of mucin (asterisks), resembling erythrocytes, is suggestive of good mucin content. The majority of the cells are mononuclear with some having a macrophage appearance consistent with a cytologic interpretation of nonsuppurative inflammation. Further evaluation for underlying disease such as osteochondrosis or meniscal disease is warranted. (Wright; IP.) B, Joints with degenerative disease typically have increased numbers of macrophages (clasmatocytes) or secreting synoviocytes. The cells are usually large and vacuolated, and contain numerous pink-staining, cytoplasmic granules. Mucin content may remain good as is evident in this Figure by the thick, pink background. (Wright; HP oil.) Chronic bicipital tenosynovitis. Dog. Same case C-D. C, Windrowing of large mononuclear cells is noted in this shoulder joint fluid specimen with chronic degenerative disease involving the biceps brachii tendon and synovial sheath. It is a common cause for forelimb lameness in adult dogs. (Wright; HP oil.) D, A single synoviocyte is shown against the granular background, which contains eosinophilic aggregates of mucin materials likely released from damaged articular surfaces. (Wright, HP oil) E, Osteoarthritis. Dog. Three individual large, mononuclear cells are shown from a direct smear of synovial fluid from a joint with a nonsuppurative degenerative disease. These are consistent with macrophages. (Wright; HP oil.) F, Cranial cruciate tear. Dog. Synovial fluid had an estimated cell count of 5,000 WBC/μL, protein 4.5 g/dL with normal viscosity in which the cell differential indicated 76% lymphocytes, 15% neutrophils, and 9% large mononuclear cells. Note the plasmacytoid lymphocyte in the inset with identical magnification to the other lymphoid cells. (Wright-Giemsa; HP oil.)
(C-F, Courtesy of Rose Raskin, Purdue University.)
Figure 13-10.

Osteoclast. Synovial fluid.
A, In patients with degenerative joint disease or erosion of cartilage, osteoclasts can be observed (arrows). (Wright; HP oil.) B, Dog. Same case as in Fig. 13-9E. The arrow indicates a multinucleated osteoclast among the numerous mononuclear cells and erythrocytes. (Wright; HP oil.)
(B, Courtesy of Rose Raskin, Purdue University.)
Canine rheumatoid arthritis may present with a small mononuclear cell predominance and mildly increased synovial cell counts as well as increased neutrophils particularly with moderately to markedly increased cell counts over 10,000/μl (MacWilliams and Friedrichs, 2003).
Hemarthrosis
If recent trauma has occurred, joint hemorrhage may be appreciated (Fig. 13-11A&B ). True hemorrhage must be distinguished from the much more common artifact of blood contamination. This is best done at the time of sample collection. If previous hemorrhage has occurred, the withdrawn fluid will appear xanthochromic (yellowish color due to old hemorrhage) to homogeneously red and cloudy. Besides trauma, other causes of hemorrhagic joint fluid include coagulation defects and neoplasia. A congenital coagulation factor deficiency should be considered in a puppy or kitten that presents with repeated episodes of hemarthrosis or with hemarthrosis and a history of minimal trauma. Low numbers of red blood cells can be observed in normal synovial fluid but should not be present in high enough numbers to discolor the fluid. Cytologically, hemorrhage can be distinguished from peripheral blood contamination by identification of erythrophagia, hemosiderin-laden macrophages, and other red blood cell pigments such as hematoidin. Occasionally, platelets will be observed in samples with severe peripheral blood contamination. Care must be taken not to overinterpret erythrophagia because this can occur ex vivo if the sample is not evaluated quickly.
Figure 13-11.

Hemarthrosis.
Because of the small size of canine and feline joints, it is common to get some degree of blood contamination in most joint aspirates. To help distinguish true hemorrhage from blood contamination, the smears should be routinely examined for erythrophagia, hematoidin crystals, hemosiderin, and platelet clumps. In (A), the macrophage contains a small, golden hematoidin crystal (arrow), while the smaller of two macrophages in (B) contains a phagocytosed erythrocyte in the lower left area of its cytoplasm (arrow). These findings indicate that there has been previous hemorrhage in the joint. Potential causes of hemarthrosis include trauma, coagulopathy, and neoplasia. Coagulopathies may have evidence of multiple joint involvement and bleeding elsewhere. Abnormal hemostasis is documented by coagulation testing. (Wright; HP oil.)
Neoplasia
Normal synovium consists of loose connective tissue containing blood vessels, fibroblasts, adipocytes, and histiocytes lined by a layer of synoviocytes (Fig. 13-1). In a study of 35 dogs, the most common neoplasm was canine synovium (51%) of histiocytic origin (Craig et al., 2002), followed by synovial myxomas (17%), synovial sarcomas (14%), and other mixed sarcomas (17%), including anaplastic sarcoma with giant cells (malignant fibrous histiocytoma), fibrosarcoma, chondrosarcoma, and undifferentiated sarcoma. Immunohistochemical staining was necessary to distinguish between the histologic types of synovial tumors as prognosis varied greatly among them. A recommended panel of antibodies is suggested to include cytokeratin (AE1/AE3) for synovial cell sarcoma and CD18 for histiocytic sarcoma. Synovial cell sarcomas may appear most commonly as the spindle cell form (Fig. 13-12A ) or alternatively as a mixed spindle and epithelioid variant. Histiocytic sarcomas arise from the antigen-presenting dendritic cells of the synovium layer. These neoplasms are frequently associated with Rottweilers, Bernese Mountain Dogs, and Retrievers (Affolter and Moore, 2002, Moore, 2014). Cytologically, histiocytic sarcoma displays a round cell appearance with anaplastic characteristics, including cellular pleomorphism, multinucleation, anisokaryosis, coarse chromatin, and prominent nucleoli with abundant basophilic cytoplasm (Fig. 13-12B&C). Another neoplasm occasionally encountered in the joint is metastatic carcinoma. Cases with metastatic neoplastic cells in synovial fluid have been documented arising from the lung and mammary gland (Meinkoth et al., 1997). Recently, the presence of transitional cell carcinoma from the prostate gland was diagnosed in synovial fluid as the cause of lameness in a dog (Colledge et al., 2013). Cells in the primary site and metastatic sites (carpus and stifle) were immunoreactive to uroplakin-III, a urothelial tissue marker (Fig. 13-12D).
Figure 13-12.

Joint neoplasia.
A, Synovial sarcoma. Synovial fluid aspirated from a dog with lameness localized to a solitary joint. The sample is predominated by large sheets of pleomorphic spindle cells that are sometimes separated by a fine, pink, streaming stroma. The cells display moderate pleomorphism. This joint had an associated soft tissue mass that was ultimately diagnosed as synovial sarcoma. The cells in this photograph display some cytologic features of malignancy and may be neoplastic but could potentially be reactive synovial cells. As with many mesenchymal tumors, it is difficult to definitely diagnose malignancy based solely on cytologic detail. (Wright; HP oil.) Histiocytic sarcoma. Dog. Same case B-C. B, An aspirate from a localized soft tissue mass that arose around the joint and infiltrated the muscle revealed a pleomorphic population of round cells. These cells display malignant features of anisokaryosis, variable nuclear-to-cytoplasmic ratio, coarse chromatin, and prominent nucleoli. The abundant basophilic cytoplasm suggests histiocytic origin, which was confirmed by immunohistochemistry. (Wright; HP oil.) C, Pleomorphic round cell neoplasm that was negative for CD3, CD79, and MUM1 (lymphoid) antigens and positive for CD45, CD18, E-cadherin (leukocyte, histiocytic, and dendritic cell antigens, respectively). (H&E; IP.) D, Metastatic prostatic carcinoma. Dog. Carpal synovial fluid aspirate. Confirmation of cellular origin as urothelial with positive immunoreactivity. (Uroplakin III/AEC; HP oil.)
(B and C, Courtesy of Rose Raskin, Purdue University; D, courtesy of Sarah Colledge, Purdue University.)
Musculoskeletal Disorders
Aspiration of muscle, connective tissue, or bone lesions is much the same as aspiration of other lesions. Generally there is a mass, evidence of lysis, or swelling that warrants aspiration. Fine-needle aspiration, fenestration, or impression smears of tissue taken for biopsy are common methods of obtaining a sample. Components of the musculoskeletal system that will be reviewed in this section of the chapter include skeletal muscle and bone.
Skeletal Muscle
Normal cytology of skeletal muscle has a characteristic appearance. Usually a tissue fragment is aspirated, and the cytoplasm of the cells stains deeply basophilic (see Figs. 2-1 and 2-46Fig 2.1Fig 2.46). Often, striations can be visualized by focusing up and down on the cell aggregate. The nuclei are round with a condensed chromatin pattern. Myositis is difficult to diagnose with cytology because it is difficult to associate the inflammatory cells with the myocytes (Fig. 13-13 ). Therefore, cytology is of limited use in diagnosing myositis. Diagnosis of myositis typically requires consideration of history, signalment, and chemistry findings (increased creatine kinase and aspartate transaminase), as well as electromyographic, immunologic, and serologic tests. Histopathology is necessary as well for definitive characterization of inflammatory and degenerative muscle lesions.
Figure 13-13.

Mixed cell myositis with fibrosis.
Aspirate from a submandibular mass. The background consists of blood and bare nuclei from ruptured cells. The large dark blue structures present are consistent with skeletal muscle fragments. Additionally, scattered inflammatory cells and several spindle-shaped cells are identified. (Wright; HP oil.)
Tumors arising from skeletal muscle include rhabdomyoma and rhabdomyosarcoma (Fig. 13-14A&B ). These neoplasms are uncommon. Cytologically, these tumors may appear similar to other mesenchymal tumors. Rhabdomyomas in particular often exfoliate poorly; however, rhabdomyosarcomas can be cellular enough to diagnose as a sarcoma. Usually these cells are round to spindle-shaped with abundant amounts of basophilic cytoplasm and oval nuclei. Occasionally, multinucleated cells are observed, with the nuclei arranged in a row consistent with a strap-like cell (Fig. 13-14B). This feature has been reported in cytology of rhabdomyosarcomas (Fallin et al., 1995). Rarely, striations are visible within the cytoplasm. Specific diagnosis of a rhabdomyoma or rhabdomyosarcoma on cytology is difficult; however, presence of striations and strap cells can assist with the diagnosis. Histopathology with immunohistochemistry is often necessary for a definitive diagnosis (refer to Chapter 17). Tumors arising from skeletal muscle include rhabdomyoma and rhabdomyosarcoma (Fig. 13-14A-C). These neoplasms are uncommon. Cytologically, these tumors may appear similar to other mesenchymal tumors.
Figure 13-14.

Rhabdomyosarcoma.
A, Cytologic preparation of a fine-needle aspirate of a cutaneous mass in a young mixed breed dog. A population of neoplastic mesenchymal cells is observed with striations evident within the cytoplasm. The mass was confirmed with histopathology as a rhabdomyosarcoma. (Wright; HP oil.) B, Cytologic preparation of a fine-needle aspirate of a submandibular mass from a 12-month-old dog with multiple oral and facial masses. Large, multinucleated cells and arrangement of nuclei in rows are present in this confirmed case of rhabdomyosarcoma by histopathology. (Wright-Giemsa; HP oil.) C, Histologic section from a dog with rhabdomyosarcoma demonstrating the many multinucleated cells, some with nuclei in a row. (H&E; IP.)
(B, From Fallin CW, et al. What is your diagnosis? A 12-month-old dog with multiple soft tissue masses, Vet Clin Pathol 24:80, 100-101, 1995.)
Bone
Fine-needle aspiration of bone is becoming a more commonly used technique (Britt et al., 2007). Aspiration of bone is indicated if an osteolytic or osteoproliferative lesion is observed, which may involve cortical lysis or periosteal bone proliferation. Healthy bone does not exfoliate well; however, inflamed or neoplastic bone exfoliates much more readily. Bone aspiration can be performed with an 18-gauge needle; if there is considerable lysis, a smaller gauge needle may be used. Both aspiration and fenestration techniques can be used to obtain a specimen for cytology. Additionally, imprints of tissue obtained for a biopsy can be used for cytology. Care must be taken to blot as much blood off the biopsy specimen as possible before making the imprints. The bone should be sampled in the center of the lesion rather than on the periphery of the lesion, where there may be a transition between normal and abnormal bone.
Histology of normal bone consists of osteocytes housed in lacunae with low numbers of osteoblasts and osteoclasts. Osteoblasts make osteoid, which appears on cytology and histology as a pink, amorphous, proteinaceous material. On the outer surface of the bone is the periosteum, which consists of fibrous connective tissue. Cytology of normal bone is usually of very low cellularity and may consist of 1 to 2 cells per slide or less. Usually, only the spindle-shaped mesenchymal cells of the periosteum will exfoliate. However, when bone remodeling occurs secondary to trauma, inflammation, or neoplasia, reactive osteoblasts can be observed on cytology. These cells are round with an eccentrically placed nucleus with prominent nucleoli and occasionally prominent Golgi apparatus (Fig. 13-15 ). It is important not to mistake reactive osteoblasts for neoplastic osteoblasts and sometimes this is quite difficult. The presence of osteoblasts in the absence of inflammation and minimal criteria of malignancy should be interpreted with caution.
Figure 13-15.

Osteoblasts. Bone mass. Dog.
Aspirate from a lytic and proliferative lesion in the distal radius. The sample overall is of low cellularity. Pictured are three reactive osteoblasts. These cells commonly have an eccentrically placed nucleus with prominent Golgi apparatus and prominent nucleoli. Care must be taken not to overinterpret reactive osteoblasts for neoplastic cells; contrast with Fig. 13-20. (Wright; HP oil.)
Cytology of lytic bone exfoliates more readily. Processes associated with bone lysis include inflammation, neoplasia, hypertrophic osteopathy, and aneurysmal bone cyst. Osteomyelitis usually consists of suppurative to pyogranulomatous inflammation with varying numbers of neutrophils, macrophages, and multinucleated giant cells depending on the cause of inflammation. Reactive osteoblasts and other mesenchymal cells may also be observed. Osteomyelitis can be caused by bacteria or fungus. Bacterial osteomyelitis can occur uncommonly via hematogenous spread but more commonly secondary to bite wounds, trauma, postsurgical infections, or foreign body. There are many causes of bacterial osteomyelitis; however, organisms commonly associated with osteomyelitis include Actinomyces and Nocardia. The inflammatory process associated with bacterial osteomyelitis is suppurative rather than pyogranulomatous. It is important to remember when aspirating bone that there is often peripheral blood contamination and some white blood cells will be observed secondary to the hemodilution. It may be necessary to evaluate a hemogram or peripheral blood smear on the patient to determine if there are truly increased numbers of neutrophils within the sample. Observation of intracellular bacteria is diagnostic for bacterial osteomyelitis; however, culture is recommended for all inflammatory bone aspirates.
Fungal osteomyelitis consists of a pyogranulomatous to suppurative inflammatory process and often consists of neutrophils, macrophages, and multinucleated giant cells. Organisms are not always observed in the aspirate, so it is important to aspirate more than once and examine all of the slides. Fungal organisms known to cause osteomyelitis include Blastomyces dermatitidis (Fig. 13-16A&B ), Cryptococcus spp., Coccidioides immitis (Fig. 13-17A&B ), Histoplasma capsulatum, and, less commonly, Candida spp., Aspergillus spp., Geomyces spp. (Erne et al., 2007), and Sporothrix spp. Blastomyces is a round yeast organism with a double-contoured wall and broad-based bud. Coccidioides organisms are large (10 to 100 μm) blue or clear spheres with finely granular protoplasm. Histoplasma organisms by comparison are quite small (2 to 4 μm) and are easily phagocytized by macrophages and can be observed within the cytoplasm of macrophages. The organisms are round with a thin capsule and crescent-shaped, eccentrically placed, eosinophilic nuclei. Cryptococcal organisms are round with a narrow-based bud and thick, nonstaining with Wright stain, mucoid capsule.
Figure 13-16.

Blastomycosis. Bone lesion.
A, Radiograph from a 3-year-old dog with a history of left hind leg lameness. A lytic lesion is noted in the patella. B, Fine-needle aspirate of the lytic lesion from A. The sample is cellular and consists of a mixed inflammatory population predominated by neutrophils. Several fungal yeast organisms, consistent with Blastomyces dermatitidis, are observed. (Wright; HP oil.)
(A, Courtesy of Kristen Odell-Anderson.)
Figure 13-17.

Coccidioidomycosis. Bone lesion. Dog.
A, Aspirate from a lytic lesion in the scapula of a middle-aged dog with pain and lameness of the foreleg. This aspirate contains blood with a mixture of inflammatory cells and smudged nuclei (short arrow). There are two large, blue, spherical structures in this field (long arrow) that are Coccidioides immitis spherules. The size of the spherules prevents sharp focusing on both spherules and background cells. When focusing up and down on these spherules, variable numbers of endospores may be seen within. Aspiration of fungal myelitis lesions does not always yield observable organisms (particularly Coccidioides), and if infection is suspected, culture and appropriate serology is indicated. Because of the zoonotic potential of some fungal organisms, extreme care should be taken when culturing these lesions. (Wright; HP oil.) B, Aspirate from a lytic lesion in the proximal humerus of a 4-year-old dog with a history of lameness of the left front leg. The cellularity is low and is markedly hemodiluted, with many red blood cells observed in the background. Few inflammatory cells and one Coccidioides immitis spherule are observed. The spherule is filled with many endospores, and occasionally a spherule will rupture, allowing the much smaller endospores to be visualized. It is not uncommon to find low numbers of spherules in a bone aspirate. (Wright; HP oil.)
Bone tumors often cause lysis or proliferation of the bone. They can be categorized as primary bone tumors, tumors of bone marrow, tumors that invade bone, or tumors that are metastatic to bone (Rosol et al., 2003). Primary bone tumors include osteosarcoma, chondrosarcoma, fibrosarcoma, hemangiosarcoma, and synovial cell sarcoma (Chun, 2005). Cytologically, these tumors can be difficult to differentiate from one another. General cytologic features include round to spindle-shaped cells with basophilic cytoplasm and an eccentrically placed nucleus, with prominent nucleoli (Fig. 13-18A ) (Reinhardt et al., 2005). Fibrosarcoma and hemangiosarcoma are less likely to have round cells, and the majority of the cells are spindle-shaped. Osteosarcoma, hemangiosarcoma, and hemophagocytic histiocytic sarcoma have all been reported to exhibit erythrophagia (Barger et al., 2012). Within the background, osteosarcoma, chondrosarcoma, fibrosarcoma, and synovial cell sarcomas can have varying amounts of eosinophilic proteinaceous material (Fig. 13-18B). This material can also be observed within the cytoplasm. Chondrosarcomas can have a large amount of matrix in the background, which results in understaining of the cells (Fig. 13-19A-D ). In spite of these subtle differences, these tumors can be difficult to differentiate cytologically, and biopsy with histopathology is an important diagnostic tool. Additional cytochemical testing can be done to improve the sensitivity of cytologic diagnosis of osteosarcoma. Staining of the neoplastic cells for alkaline phosphatase (ALP) activity with nitroblue tetrazolium chloride/5-bromo-4-chloro-3-indolyl phosphate toluidine salt (NBT/BCIP) increases the sensitivity and specificity of differentiating osteosarcoma from other mesenchymal tumors (Barger et al., 2005). One limitation of this staining technique is that reactive osteoblasts will stain positive as well, so obvious criteria of malignancy must be observed before this test is performed (Fig. 13-20A ). Positive staining is indicated by grayish-black staining of the cytoplasm (Fig. 13-20B). Previously unstained slides must be used; however, a recent study showed that previously stained slides can be destained and subsequently stained for ALP activity (Ryseff and Bohn, 2012). After staining for ALP activity, cells can be lightly counterstained with a Romanowsky stain to examine the positive cells for the appropriate criteria of malignancy.
Figure 13-18.

Bone tumor.
Same case A-B. A, Cellularity. Aspirate from a lytic and proliferative lesion of the proximal tibia. The specimen is bloody with high cellularity with a mixture of ellipsoid and multinucleated cells (short arrows). In some areas there are thick accumulations of cells (long arrow). (Wright; HP oil.) B, Eosinophilic background matrix. Shown is a closer view of the background demonstrating a group of individualized cells that are presumptively osteoblasts with swirls of a fine, pink extracellular material around them. Note the large cell size by contrasting them to the greenish-stained erythrocytes. This appearance is most consistent with a sarcoma. It is difficult to cytologically distinguish different types of sarcoma, and additional tests such as radiography and biopsy are necessary for definitive morphologic diagnosis. Histopathology of this lesion indicated osteosarcoma. (Wright; HP oil.)
Figure 13-19.

Chondrosarcoma. Bone lesion. Dog.
A, Aspirate from a lytic bone lesion in the distal radius of a 10-year-old Labrador Retriever. The sample is highly cellular. Neoplastic cells (arrows) are not stained well because of the abundant amounts of deeply eosinophilic matrix filling the background. The presence of this material is common in bone tumors, particularly chondroma and chondrosarcoma. The cytologic diagnosis of this sample is sarcoma, likely chondrosarcoma. A biopsy with histopathology confirmed the diagnosis of chondrosarcoma. (Wright; HP oil.) B, Tissue aspirate. The foamy cytoplasm of the chondrocytes gives the appearance of lacunae within dense, eosinophilic, mucinous material. (Wright; HP oil.) C, Tissue aspirate. A composite of two neoplastic chondrocytes is shown. Note the prominent multiple nucleoli, coarse chromatin clumping, and fine eosinophilic-cytoplasmic granularity in the mononuclear cell. (Wright; HP oil.). D, Tissue aspirate. The binucleated cell cytoplasm contains dark purple cytoplasmic granularity, and the two nuclei have slightly different sizes. (Wright; HP oil.)
(B, Courtesy of Rick Alleman, University of Florida. C, Courtesy of Rose Raskin, Purdue University.)
Figure 13-20.

Osteosarcoma. Bone mass. Dog.
Same case A-B. A, This sample is from a proliferative and lytic lesion in the proximal humerus of a mixed breed dog. The sample is cellular and consists of a population of round and spindle-shaped neoplastic cells. Multiple criteria of malignancy are observed, including prominent and multiple nucleoli, anisocytosis and anisokaryosis, and marked variability in the nuclear-to-cytoplasmic ratio. Small pools of eosinophilic proteinaceous matrix are identified. Cytologic diagnosis is sarcoma. (Wright; HP oil.) B, Alkaline phosphatase staining of a previously unstained slide demonstrates a strong positive reaction for alkaline phosphatase activity, as indicated by the black staining of the cytoplasm. Combination of Figs. 12-16A&B is consistent with osteosarcoma. This diagnosis was confirmed with histopathology. (Alkaline phosphatase; HP oil.)
Lymphoma and plasma cell tumors are considered tumors of bone marrow that can result in bone lysis. The morphology of these cells appears similar to that in other tissues (Fig. 13-21 ). Plasma cell tumors produce a characteristic punched-out radiographic appearance. A combination of diagnostic tests is necessary to diagnose the plasma cell tumor as multiple myeloma. In addition to radiographs and cytology, protein electrophoresis of serum and urine are recommended.
Figure 13-21.

Multiple myeloma. Bone lesion. Dog.
Aspirate from a lytic, “punched-out” lesion in a vertebral spinous process of an 8-year-old dog. The aspirate is predominated by mildly pleomorphic plasma cells. This finding in combination with the presence of lytic bony lesions is diagnostic for multiple myeloma. (Wright; HP oil.)
Squamous cell carcinoma is the most common tumor that can invade bone. Usually the cytology reveals neoplastic squamous cells with rare or no osteoblasts. Cytologic features of this tumor are similar to those in other locations. Many tumors can metastasize to bone, the common ones being prostatic, lung, and mammary carcinomas. Identification of metastatic neoplasms can be difficult because cytology is often accompanied by reactive osteoblasts and osteoclasts. However, a second population of cells can often be differentiated from the reactive population. Epithelial neoplasms are usually clustered, but when they metastasize, they may appear more poorly differentiated (Fig. 13-22A&B ). Additional stains are very helpful for diagnosis.
Figure 13-22.

Metastatic carcinoma. Bone lesion. Dog.
A, Aspirate from a lytic lesion in a vertebral body from a dog with a history of prostatic carcinoma. The cohesive nature of these cells is consistent with carcinoma, and in this case the most likely diagnosis is metastatic prostatic carcinoma. (Wright; HP oil.) B, This sample is from the stifle joint of a 12-year-old Golden Retriever. The joint was swollen and painful with evidence of bony lysis. Numerous clusters of pleomorphic cells are present. These cells display marked anisocytosis and anisokaryosis with prominent, irregularly shaped nucleoli. The atypia of the cells is consistent with the diagnosis of metastatic carcinoma. (Wright; HP oil.)
References
- Affolter V.K., Moore P.F. Localized and disseminated histiocytic sarcoma of dendritic cell origin in dogs. Vet Pathol. 2002;39:74–83. doi: 10.1354/vp.39-1-74. [DOI] [PubMed] [Google Scholar]
- Barger A., Graca R., Bailey K. Utilization of alkaline phosphatase staining to differentiate osteosarcoma from other vimentin positive tumors. Vet Pathol. 2005;42:161–165. doi: 10.1354/vp.42-2-161. [DOI] [PubMed] [Google Scholar]
- Barger A.M., Skowronski M.C., MacNeill A.L. Cytologic identification of erythrophagocytic neoplasms in the dog. Vet Clin Pathol. 2012;41:587–589. doi: 10.1111/j.1939-165x.2012.00472.x. [DOI] [PubMed] [Google Scholar]
- Britt T., Clifford C., Barger A. Diagnosing appendicular osteosarcoma with ultrasound-guided fine-needle aspiration: 36 cases. J Small Anim Pract. 2007;48:145–150. doi: 10.1111/j.1748-5827.2006.00243.x. [DOI] [PubMed] [Google Scholar]
- Carr A.P., Michels G. Identifying noninfectious erosive arthritis in dogs and cats. Vet Med. 1997;92:804–810. [Google Scholar]
- Chun R. Common malignant musculoskeletal neoplasms of dogs and cats. Vet Clin Sm Anim. 2005;35:1155–1167. doi: 10.1016/j.cvsm.2005.05.004. [DOI] [PubMed] [Google Scholar]
- Colledge S.L., Raskin R.E., Messick J.B. Multiple joint metastasis of a transitional cell carcinoma in a dog. Vet Clin Pathol. 2013;42:216–220. doi: 10.1111/vcp.12045. [DOI] [PubMed] [Google Scholar]
- Craig L.E., Julian M.E., Ferracone J.D. The diagnosis and prognosis of synovial tumors in dogs: 35 cases. Vet Pathol. 2002;39:66–73. doi: 10.1354/vp.39-1-66. [DOI] [PubMed] [Google Scholar]
- deHaan JJ Andreasen CB: Calcium crystal-associated arthropathy (pseudogout) in a dog. J Am Anim Hosp Assoc. 1992;200:943–946. [PubMed] [Google Scholar]
- Erne J.B., Goring R.L., Kennedy F.A. Prevalence of lymphoplasmacytic synovitis in dogs with naturally occurring cranial cruciate ligament rupture. J Am Vet Med Assoc. 2009;235:386–390. doi: 10.2460/javma.235.4.386. [DOI] [PubMed] [Google Scholar]
- Erne J.B., Walker M.C., Strik N. Systemic infection with Geomyces organisms in a dog with lytic bone lesions. J Am Vet Med Assoc. 2007;230:537–540. doi: 10.2460/javma.230.4.537. [DOI] [PubMed] [Google Scholar]
- Fallin C.W., Fox L.E., Papendick R.E. What is your diagnosis? A 12-month-old dog with multiple soft tissue masses. Vet Clin Pathol. 1995;24(80):100–101. doi: 10.1111/j.1939-165x.1995.tb00944.x. [DOI] [PubMed] [Google Scholar]
- Fernandez F.R., Grindem C.B., Lipowitz A.J. Synovial fluid analysis: preparation of smears for cytologic examination of canine synovial fluid. J Am Anim Hosp Assoc. 1983;19:727–734. [Google Scholar]
- Forsyth S.F., Thompson K.G., Donald J.J. Possible pseudogout in two dogs. J Sm An Pract. 2007;48:174–176. doi: 10.1111/j.1748-5827.2006.00206.x. [DOI] [PubMed] [Google Scholar]
- Gibson N.R., Carmichael S., Li A. Value of direct smears of synovial fluid in the diagnosis of canine joint disease. Vet Rec. 1999;144:463–465. doi: 10.1136/vr.144.17.463. [DOI] [PubMed] [Google Scholar]
- Goodman R.A., Hawkins E.C., Olby N.J. Molecular identification of Ehrlichia ewingii infection in dogs: 15 cases (1997-2001), J Am Vet Med Assoc. 2003;222:1102–1107. doi: 10.2460/javma.2003.222.1102. [DOI] [PubMed] [Google Scholar]
- Harvey J.W., Raskin R.E. Polyarthritis in a dog. NAVC Clinician’s Brief. 2004;2:37–38. [Google Scholar]
- MacWilliams P.S., Friedrichs K.R. Laboratory evaluation and interpretation of synovial fluid. Vet Clin North Am Small Anim. 2003;33:153–178. doi: 10.1016/S0195-5616(02)00083-9. [DOI] [PMC free article] [PubMed] [Google Scholar]
- Marchevsky A.M., Read R.A. Bacterial septic arthritis in 19 dogs. Aust Vet J. 1999;77:233–237. doi: 10.1111/j.1751-0813.1999.tb11708.x. [DOI] [PubMed] [Google Scholar]
- Meinkoth J.H., Rochat M.C., Cowell R.L. Metastatic carcinoma presenting as hind-limb lameness: diagnosis by synovial fluid cytology. J Am An Hosp Assoc. 1997;33:325–328. doi: 10.5326/15473317-33-4-325. [DOI] [PubMed] [Google Scholar]
- Michels G.M., Carr A.P. Noninfectious nonerosive arthritis in dogs. Vet Med. 1997;92:798–803. [Google Scholar]
- Moore P.F. A review of histiocytic diseases of dogs and cats. Vet Pathol. 2014;51:167–184. doi: 10.1177/0300985813510413. [DOI] [PubMed] [Google Scholar]
- Oohashi E., Yamada K., Oohashi M. Chronic progressive polyarthritis in a female cat. J Vet Med Sci. 2010;72:511–514. doi: 10.1292/jvms.09-0261. [DOI] [PubMed] [Google Scholar]
- Pacchiana P.D., Gilley R.S., Wallace L.J. Absolute and relative cell counts for synovial fluid from clinically normal shoulder and stifle joints in cats. J Am Vet Med Assoc. 2004;225:1866–1870. doi: 10.2460/javma.2004.225.1866. [DOI] [PubMed] [Google Scholar]
- Reinhardt S., Stockhaus C., Teske E. Assessment of cytological criteria for diagnosing osteosarcoma in dogs. J Small Anim Pract. 2005;46:65–70. doi: 10.1111/j.1748-5827.2005.tb00294.x. [DOI] [PubMed] [Google Scholar]
- Rosol T.J., Tannehill-Gregg LeRoy B.E. Animal models of bone metastasis. Cancer. 2003;97(3 suppl):748–757. doi: 10.1002/cncr.11150. [DOI] [PubMed] [Google Scholar]
- Ryseff J.K., Bohn A.A. Detection of alkaline phosphatase in canine cells previously stained with Wright-Giemsa and its utility in differentiating osteosarcoma from other mesenchymal tumors. Vet Clin Pathol. 2012;41:391–395. doi: 10.1111/j.1939-165X.2012.00445.x. [DOI] [PubMed] [Google Scholar]
- Santos M., Marcos R., Assuncao M. Polyarthritis associated with visceral leishmaniasis in a juvenile dog. Vet Parasit. 2006;141:340–344. doi: 10.1016/j.vetpar.2006.05.028. [DOI] [PubMed] [Google Scholar]
- Stobie D., Wallace L.J., Lipowitz A.J. Chronic bicipital tenosynovitis in dogs: 29 cases (1985-1992), J Am Vet Med Assoc. 1995;207:201–207. [PubMed] [Google Scholar]
- Trepanier L.A., Danhof R., Toll J. Clinical findings in 40 dogs with hypersensitivity associated with administration of potentiated sulfonamides. J Vet Intern Med. 2003;17:647–652. doi: 10.1111/j.1939-1676.2003.tb02495.x. [DOI] [PubMed] [Google Scholar]
