Abstract
Respiratory immunity is accomplished using multiple mechanisms including structure/anatomy of the respiratory tract, mucosal defense in the form of the mucociliary apparatus, innate immunity using cells and molecules and acquired immunity. There are species differences of the respiratory immune system that influence the response to environmental challenges and pharmaceutical, industrial and agricultural compounds assessed in nonclinical safety testing and hazard identification. These differences influence the interpretation of respiratory system changes after exposure to these challenges and compounds in nonclinical safety assessment and hazard identification and their relevance to humans.
Keywords: Respiratory, Nasal, Larynx, Trachea, Lung, Cilia, Mucin, Alveoli, Macrophage, Inhalation, Mucus, Ciliated epithelium, Alveolar macrophage, Dendritic cell, Asthma
Introduction
Immunity in the respiratory system is similar to that of other organ systems with innate and acquired systems working in concert to recognize and eliminate foreign substances from the respiratory tract while maintaining homeostasis and normal function. The majority of the respiratory tract is exposed to the external environment with its myriad of pathogens, particulates, gases and toxins. This constant exposure to the environment requires initial protection of mucosal surfaces of the nose, larynx and tracheobronchial tree to allow innate and acquired immunity to eliminate challenges and maintain oxygen exchange in the lung.
The anatomical structure of the upper respiratory tract along with mucociliary apparatus and components of the innate immune system are the initial protection against environmental threats which in turn signal and prime the acquired immune system for final elimination of foreign substances and protection against future threats. These protective mechanisms have a hierarchy with robust structural and mechanical mechanisms in the nose followed by the larynx and tracheobronchial tree that are designed to protect the lower respiratory tract (bronchioles and alveoli) from injury
Even though the goal of respiratory immunity is to eliminate threats and maintain homeostasis, pathogens, environmental toxins and pharmaceutical and industrial compounds can perturb the innate and acquired immune systems causing injury to the respiratory tract. Species differences in mucosal defense and innate and acquired immunity also play a role in the response of the respiratory immune system and these differences play a role during nonclinical safety assessment of pharmaceutic, agricultural and industrial compounds.
Anatomical Structures
Nose
The primary purpose of the nose is to warm, humidify and filter the air prior to its arrival in the lung. Filtration takes place via structural, mechanical and immunologic means.
Nasal cavity complexity results from the turbinate shape and varies between species with regards to the complexity and location of turbinates. Humans and monkeys are similar with the least complex turbinate structure. The human has three turbinates (superior, middle, inferior) and the nonhuman primate has two turbinates (maxilloturbinates, ethmoid turbinates) that extend throughout the nasal cavity and have a simple shape. Dogs and rodents (rats and mice) have more complex turbinate structure with dorsal nasal and maxilloturbinates in the rostral portion of the nasal cavity and multiscrolled ethmoid turbinates in the caudal portion of the nasal cavity (Fig. 8.1) (Harkema et al. 2006).
Fig. 8.1.

Diagrammatic representation of the exposed mucosal surface of the lateral wall and turbinates in the nasal airway of the human, monkey, dog, rabbit and rat. HP hard palate, n naris, NP nasopharynx, et ethmoturbinates, nt nasoturbinates, mx maxilloturbinates, mt middle turbinate, it inferior turbinate, st superior turbinate. Figure and caption from Harkema J (2006) The nose revisited: a brief review of the comparative structure, function and toxicologic pathology of the nasal epithelium, Toxicol Pathol 34 (3) (Harkema et al. 2006)
Turbinate complexity influences how air flows through the nasal cavity. Air flow through the nose influences the exposure of turbinate epithelium to inhaled particles and gases and subsequent innate and acquired immune responses in the nasal cavity as well as potential exposure of the larynx, trachea and lung to inhaled gases and particulates. Maxilloturbinates in rodents and dogs (Figs. 8.2 and 8.3) are more complex than in nonhuman primates and are better suited, especially in the rodent, for filtration, absorption and clearance of particulate matter and gases (Harkema et al. 2006). Ethmoid turbinates, observed in rodents, dogs and nonhuman primates are associated with the more extensive olfactory capabilities of these species. These turbinates are not involved in filtration but are susceptible to particulate and gas exposure.
Fig. 8.2.

Nasal cavity from a Sprague–Dawley rat showing the turbinate pattern.. Nasoturbinate (nt) and maxilloturbinates (mx) in the rostral section (A1, A2) are lined by transitional epithelium. Ethmoid turbinates (et) with more complex scrolls in the caudal nasal cavity (B1, B2) are lined by olfactory epithelium. I incisor, S nasal septum, np nasopharynx with nasal associated lymphoid tissue (H&E, 1.25× objective magnification)
Fig. 8.3.

Nasal cavity from a beagle dog highlighting the turbinate pattern. Nasal levels taken at level of incisors (a), at level of canine teeth (b), at level of second premolar tooth (c) and at level of the molar teeth (d). S nasal septum, nt nasoturbinate, mx maxilloturbinate, et ethmoid turbinate (H&E, 2× objective magnification)
Larynx
The larynx is a conduit for airflow from the nose to trachea; it diverts ingested material from the airways using the epiglottis; it is part of the mucociliary apparatus for expelling of mucus into the pharynx and gastrointestinal tract and is used for vocalization. The lining epithelium varies by region in the larynx along with the various folds, pouches and cartilages (Renne and Gideon 2006). Stratified squamous epithelium of the epiglottis is thicker in dogs and nonhuman primates, extends more caudally and potentially allows more protection against inhaled materials. Lateral ventricles are more lateral in dogs and monkeys but extend ventrally in rodents. Transitions from squamous to respiratory epithelium are at the arytenoid cartilages in dogs and monkeys (Renne and Gideon 2006).
Trachea
The main function of the trachea is to move air from the upper respiratory system (nose, larynx) to the lung. It is relatively uncomplicated with respect to structure (straight tube) and microscopic appearance (respiratory epithelium and submucosal glands). The main species differences in tracheal morphology involve submucosal glands: their number and their location along the trachea. The histology of the rat, dog and monkey is shown in Fig. 8.4 (Choi et al. 2000). Tracheal submucosal glands are typically more numerous in the ventral trachea (except for the pig in which the dorsal trachea has more glands). Submucosal glands are found throughout the trachea in all species but are in higher numbers in association with the first three cartilage rings in the rat and are only found at the junction of the larynx and trachea in the mouse. Submucosal gland position in relationship to cartilage rings varies between species. Glands are more often between tracheal rings in rats and are found between and about cartilage rings in the nonhuman primate and dog (Choi et al. 2000). Tracheal length influences particle deposition in the respiratory tract. Tracheal length in relationship to its diameter is longer in the dog, rat and mouse when compared to the human and results in less particle deposition in the large airways of these animals (Lippmann and Schlesinger 1984).
Fig. 8.4.

Trachea histology in the Sprague-Dawley rat (a), Beagle dog (b) and cynomolgus macaque (c). (H&E, 10× objective magnification)
Lung
The main function of the lung is oxygen exchange at the level of the alveolus. All structures in the respiratory tract that eventually lead to the alveolus are designed to deliver air that is warm, humidified and free of particulate matter, microorganisms (viruses, bacteria, fungi, etc.) and toxins. Structural protection in the lung consists of dichotomously branching airways which trap materials to allow clearance by the mucociliary apparatus. Airway branching can be symmetric (daughter airways of similar diameter) or asymmetric (major and minor daughter airways). Airway branching varies in species being symmetric in primate species (human, monkey) and asymmetric in dogs and rodents (Fig. 8.5). Airway branching affects distribution of inhaled material with humans and monkeys having greater upper bronchial particle deposition and deposition at bifurcations (which is also influence by oral breathing in humans) (Lippmann and Schlesinger 1984).
Fig. 8.5.

Detail of airway branching found in the lungs of humans and nonhuman primates (symmetric) and dogs and rodents (asymmetric). Figure adapted from Treatise on Pulmonary Toxicology, Volume 1: Comparative Biology of the Normal Lung (McBride 1992)
Mucociliary Apparatus
Normal Mucociliary Apparatus
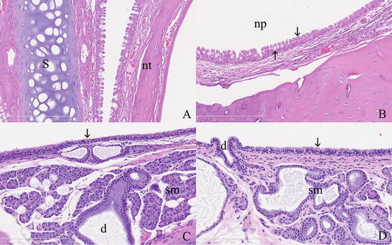
The first line of defense in the respiratory tract is the mucociliary apparatus which is composed of pseudostratified columnar respiratory epithelium (which includes ciliated cells, mucus (goblet) cells and club cells) and mucus (produced by mucus (goblet) cells and submucosal glands). Components of the mucociliary apparatus vary along the respiratory tract (Figs. 8.6 and 8.7). Mucus (goblet) cells are observed in the respiratory epithelium of the nose and larger airways of the lungs and in lower numbers in the trachea. Respiratory epithelium in the rat larynx does not contain mucus (goblet) cells.
Fig. 8.6.

Respiratory epithelium in the nose (a, b), larynx (c), and trachea (d). Ciliated cells (↓) are observed throughout the respiratory tract. Mucus (goblet) cells (↑) in the upper respiratory tract are most prevalent in the nose. S nasal septum, nt nasoturbinate, np nasopharynx, sm submucosal glands, d submucosal gland duct (Sprague-Dawley rat, H&E, 20× objective magnification)
Fig. 8.7.

Respiratory epithelium in the lung of a Sprague-Dawley rat. Bronchi (a), large diameter bronchiole (b) and terminal bronchiole (c) show that mucus (goblet) cells (↑) are most numerous in the bronchus. As the airways branch into bronchioles, the number of mucus (goblet) cells and ciliated cells (↓) decrease and the number of nonciliated cells (club cells, ∇) increase (H&E, 20× objective magnification)
Respiratory epithelium is more extensive in the rostral portion of the nose and the nasopharynx (Harkema et al. 2006). When examining the six levels of the rat nasal cavity (Mery et al. 1994), respiratory epithelium lines the nasal septum (Fig. 8.6) and the dorsal meatus in the most rostral section caudal to the nares (section between the upper incisor and incisive papilla); it lines the nasoturbinates and dorsal septum in the section at the level of the incisive papilla; it then lines the most ventral aspect of the nasal cavity (ventral aspect of most ventral ethmoturbinates, nasopharyngeal duct and nasopharynx) in the sections of the caudal nose (Fig. 8.6) at the level of the second palatal ridge and molars (Mery et al. 1994). Respiratory epithelium is present in the larynx (base of epiglottis in rodents, diverticula of monkeys and caudal aspect of larynx surrounded by cricoid cartilage in rodents, dogs and monkeys) but generally does not contain mucus (goblet) cells. (Renne and Gideon 2006). Ciliated cells are abundant in the respiratory epithelium but with decreasing airway size in the lung, the proportion of ciliated cells decreases along with the cilia height (Stannard and O'Callaghan 2006). The most abundant type of cilia in respiratory tract epithelium are motile cilia which are found in clusters of 100 to 300 on the apical cell surface (Jain et al. 2010). Motile cilia have a basal foot process which results in cilia pointing in the same direction and allows them to have a coordinated beat to clear mucus from the respiratory tract (Stannard and O'Callaghan 2006). Motile cilia have a 9 + 2 microtubular structure composed of 9 doublets on the periphery with dynein arms and a central microtubular pair (Fig. 8.8). The central pair is attached to the peripheral doublets via radial spokes and the tubular structures are linked by nexin (A and B tubule doublets) or surrounded by an inner sheath (central microtubules) (Fig. 8.8). In addition to motile cilia, primary cilia have been identified in the respiratory tract and have a 9 + 0 tubule arrangement devoid of a central microtubule pair, dynein arms or radial spokes. Primary cilia have a sensory role and are observed in the retina, nasal cavity, biliary ducts and endothelium (Jain et al. 2010).
Fig. 8.8.

Cross section of motile ciliiary axoneme detailing the 9 + 2 arrangement with dynein arms and radial spokes. Figure adapted from (Stannard and O'Callaghan 2006)
The mucociliary apparatus in the nose of the rat has two regions—anterior and posterior. Nasoturbinates and maxilloturbinates are in the anterior region; the mucus is transparent and drains into the ventral meatus. The maxillary recess and ethmoturbinates are located in the posterior region, the mucus is more opaque and drains just anterior to the entrance of the nasopharynx (Morgan et al. 1984). Mucus turnover time in the rostral nose of the rat is much faster (10 min) than the caudal nose (several days) (Harkema et al. 2006). The mucociliary apparatus in the larynx and trachea of the dog shows a velocity gradient with greater flow in the upper trachea and cricoid regions which extends into the interarytenoid region and eventually slows in the epiglottis regions where the mucus can be swallowed (Bridger and Proctor 1972). The transition from squamous to respiratory epithelium in the larynx occurs at the base of the epiglottis in rats but squamous epithelium extends more caudally in the dog and monkey (Renne et al. 2007, Renne and Gideon 2006). Ciliated epithelium in the larynx is more abundant in the dorsal larynx (Renne and Gideon 2006). In the lung, decrease in mucus transport velocity occurs as airways branch most likely due to lower numbers of ciliated cells as well as the smaller airway diameter.
Mucus is a viscoelastic gel composed of mucin glycoproteins, water, ions, proteins (e.g., lysozymes and immunoglobulins) and lipids. Mucus lining the respiratory tract is produced by mucus (goblet) cells and/or submucosal glands in the nose, larynx, trachea and bronchi (Fig. 8.9) (Spicer and Martinez 1984, Kim et al. 1997). Mucus has thixotropic properties, acting as a fluid when stirred and semisolid when standing (Lai et al. 2009) which is accomplished through the varied properties of the mucus associated with the epithelium. Periciliary mucus is liquid while that overlying cilia is a gel allowing cilia to beat rhythmically and propel mucus rostrally. Mucus act as a first responder to inhaled particulate matter (inorganic, bacteria, viruses), gases and toxins through a variety of mechanisms (Lai et al. 2009). Mucus not only traps particulate matter and gases but also has antimicrobial and clearance properties. Stored mucus (intraepithelial mucus) is more abundant in the rostral nasal cavity and this is consistent with abundant mucus (goblet) cells in nasal respiratory epithelium (Fig. 8.6).
Fig. 8.9.

Bronchi in the lung of Sprague-Dawley rat (a), dog (b) and cynomolgus macaque (c) showing the respiratory epithelium lining the airway of all three species and submucosal glands (sm) in the dog and cynomolgus macaque (H&E, 5× objective magnification)
Mucin glycoproteins are a major constituent of mucus with mucin gene and protein expressed in the upper and lower upper respiratory tract of the human, nonhuman primate, rat, mouse and dog. Mucins are glycosylated macromolecules with a protein core and sugar chains that vary in size and composition that give mucus its viscous and elastic nature and the ability to trap foreign substances in the respiratory tract (Thornton et al. 2008). Mucins in the respiratory tract are divided into two categories, secreted (Table 8.1) and tethered (Table 8.2) which form a raft overlying the epithelium (secreted and tethered) or are associated with the cell membrane (tethered) (Fig. 8.10). Secreted (gel-forming) mucins are the most abundant and make up about 90 % of the respiratory mucin content in the human, are the gel portion of mucus and are stored in mucus (goblet) cells of the respiratory epithelium and the mucus cells or serous cells of the submucosal glands. Secreted mucins are released in response to secretagogues (e.g., eicosanoids, inflammatory mediators, bacterial products, inhaled toxins) (Rose and Voynow 2006, Hattrup and Gendler 2008, Thornton et al. 2008, Adler and Li 2001). Tethered mucins make up approximately 10 % of the total respiratory mucin content in humans and are produced by ciliated cells. Tethered mucins are on the cell surface, associated with cilia and microvilli with a membrane-spanning domain and a cytoplasmic tail and make up the periciliary layer of mucus. Tethered mucins participate in the barrier funciton of mucus with secreted mucins but may also trigger signaling pathways (Williams et al. 2001, Hattrup and Gendler 2008). MUC1 and MUC16 have epitopes to allow adhesion of various molecules while MUC4 does not and may allow cells to evade immune recognition (Hattrup and Gendler 2008, Kesimer et al. 2013). There are species differences in types of mucin expression in the respiratory tract (Tables 8.1 and 8.2), with the more thorough investigations of mucins reported in the trachea and lung, especially of the human and to a lesser degree in the nonhuman primate, rat and mouse. Little has been published on mucin types in the dog and in the nasal cavity of all species but there has been limited examination in the human nose (Aust et al. 1997). Mucins from respiratory mucus (goblet) cells are typically nonsulfated in the rat (sialomucin) and sulfated in the dog (sulfomucin) (Spicer and Martinez 1984).
Table 8.1.
Expression of secreted mucin genes/protein in the normal respiratory tract
| Human | Non-human primate | Rat | Mouse | |
|---|---|---|---|---|
| MUC2 |
Lung (mucus (goblet) cells)., Nose (mRNA in serous and mucous cells of submucosal glands, ciliated and basal cells, occasional mononuclear inflammatory cells) (Jeffery and Li 1997) Inferior turbinates of nose (mucus (goblet) cells) (Aust et al. 1997) |
Trachea (after infection) (Sharma et al. 1998) Lung airway epithelium (mRNA) (Rose and Voynow 2006) |
||
| MUC5AC |
Lung (mucus (goblet) cells) (Jeffery and Li 1997); Inferior turbinates of nose (mucus (goblet) cells and occasional submucosal glands) (Aust et al. 1997) |
Mucus (goblet) cells (trachea and lung) (Wiede et al. 1999) Nasal mucus (goblet) cells |
Trachea (Borchers et al. 1998) Nasal mucus (goblet) cells (Harkema et al. 1994); metaplastic mucus (goblet) cells after ozone exposure (Cho et al. 2000) Lung mucus (goblet) cells (Rose and Voynow 2006) |
Rare in lungs in naïve animals (increases with allergen sensitization) (Zuhdi Alimam et al. 2000) |
| MUC5B |
Mucous cells in submucosal glands (bronchus) (Voynow et al. 1998, Sharma et al. 1998) Inferior turbinates of nose (submucosal glands) (Aust et al. 1997) |
Submucosal glands (trachea and lung) (Wiede et al. 1999) | Proximal trachea (mRNA) (Rose and Voynow 2006) | |
| MUC7 |
Serous cells in submucosal glands (bronchus) (Sharma et al. 1998) Inferior turbinates of nose (submucosal glands) (Aust et al. 1997) |
|||
| MUC8 | Mucous cells of submucosal glands (lung, trachea) (Voynow et al. 1998) | |||
| MUC19 |
Mucous cells of submucosal glands (lung, trachea) (Voynow et al. 1998) Trachea (ISH) (Chen et al. 2004) |
Trachea (submucosal glands via ISH) (Chen et al. 2001) Proximal trachea (mRNA) (Rose and Voynow 2006) |
Table 8.2.
Expression of tethered mucin genes/protein in the normal respiratory tract
| Human | Rat | Mouse | Dog | |
|---|---|---|---|---|
| MUC1 |
Lung (apical respiratory epithelium) (Voynow et al. 1998) Inferior turbinates of nose (respiratory epithelium, submucosal glands) (Aust et al. 1997) |
Lung airway epithelium (protein) (Rose and Voynow 2006) | Lungs (Zuhdi Alimam et al. 2000) | Trachea (apical epithelium and soluble) (Mcneer et al. 1998) |
| MUC4 |
Lung (respiratory epithelium, on surface of cilia) (Voynow et al. 1998, Hattrup and Gendler 2008) Inferior turbinates of nose (mucosal surface and occasional submucosal gland) (Aust et al. 1997) |
Lung airway epithelium (protein, rose) | ||
| MUC13 | Trachea (ISH) (Williams et al. 2001) | Lung (pneumocytes), Trachea and Bronchial epithelium (low levels) (Williams et al. 2001) | ||
| MUC16 | Respiratory epithelium (ciliated cells) (Hattrup and Gendler 2008) | |||
| Others | mRNA expression of MUC11*, MUC15*, MUC20* (sublocation unknown) (Rose and Voynow 2006) | CTM-A, CTM-B (from canine tracheal mucus secretions) (Shankar et al. 1991) |
Fig. 8.10.

Mucin types in the respiratory tract. Tethered mucins (e.g., MUC1, MUC4 and MUC16) are produced by ciliated cells, observed in close associated with the cilia (MUC4, MUC16) and microvilli (MUC1) and to a lesser extent in the mucin raft overlying the epithelium. Secreted mucins (MUC2, MUC5AC and MUC5B) are found primarlily in the mucin raft and originate from mucus (goblet) cells (MUC2, MUC5AC) or submucosal glands (MUC5B). Figure adapted from (Hattrup and Gendler 2008)
Mucociliary Apparatus and Toxicity
Impairment of the mucociliary apparatus can result from changes to the mucus layer (amount, viscosity, and pH) and/or changes to the ciliated cells (loss of ciliated cells, loss of cilia, impairment of ciliary function). Changes to the apparatus decrease its ability to function and increase the susceptibility to bacterial/viral infections and other environmental toxins, and/or allow particulate matter into the pulmonary alveoli with subsequent pulmonary pathology. For example, changes to the mucociliary apparatus can lead to chronic respiratory disease in rats caused by Mycoplasma pulmonis, once a significant colony health problem in laboratory rodents. M. pulmonis is ubiquitous in the nasal passages and opportunistic infection of the respiratory tract occured after exposure to increased ammonia in the bedding (urease in intestinal flora converts urine 2 μ globulin into ammonia). Ammonia exposure allows M. pulmonis to multiply in the nose, larynx, trachea and lung with subsequent chronic inflammation/infection (Lindsey et al. 1971, Schoeb et al. 1982).
Increased mucus production is a common lesion associated with respiratory tract toxicity and results from increased production of mucus and/or increased numbers of mucus (goblet) cells. Increased mucus production due to hypersecretion by mucus (goblet) cells and/or submucosal glands can be induced by ozone, cigarette smoke, cytokines [TNFα, IL-1β, IL-13, IL-17], neutrophil elastase, allergens and microbial pathogens (Ganesan et al. 2013, Adler and Li 2001). Increased mucus will also occur due to increased numbers of mucus (goblet) cells as a result of hyperplasia or metaplasia (Samet and Cheng 1994). Mucus (goblet) cell metaplasia and hyperplasia are induced by EGFR and IL-13 (Ganesan et al. 2013). Increased EGFR expression can result from oxidants derived from neutrophil elastase, cigarette smoke and diesel emissions (Casalino-Matsuda et al. 2006). In addition to greater amounts of mucus, increased expression of specific mucins is observed with toxin exposure. Acrolein, an aldehyde found in smog and tobacco smoke, will induce mucus hypersecretion and increased expression of Muc5ac (trachea and lung) (Borchers et al. 1998). Muc5ac expression is also elevated after ozone exposure in the nose and lung (Samet and Cheng 1994, Fanucchi et al. 1998). Occasionally, mucin production is decreased, as was noted in a murine asbestos inhalation model using osteopontin null mice in which the amount of mucin observed on Periodic Acid Schiff stained lungs was decreased in distal bronchioles (Sabo-Attwood et al. 2011). Mucus composition can be altered after exposure to air pollutants. For example, pH alteration after sulfur dioxide exposure reduces mucus viscosity while increased mucus viscosity can result from protein cross-linking after formaldehyde exposure (Samet and Cheng 1994) and mucus acidification.
Loss of ciliated cells/cilia is observed with direct cell injury, which may be noted with exposure to ozone, sulfur dioxide and cigarette smoke. This loss may be temporary, followed by regeneration of ciliated cells, but with sustained injury and repair, hyperplasia and/or metaplasia may occur. The latter changes may or may not be reversible and there may be permanent mucociliary impairment. Exposure to aged and diluted sidestream cigarette smoke followed by naphthalene exposure in mice results in impaired respiratory epithelial repair in terminal bronchioles resulting in loss of normal club and ciliated epithelium (Van Winkle et al. 2001). Impairment of ciliary function can be noted with exposure to sulfuric acid, sulfur dioxide, ammonia, cigarette smoke and formaldehyde. However, other respiratory pathology with these compounds has a more pronounced effect and the ciliary impairment may not be a major factor in the overall pathologic process (Samet and Cheng 1994). Ciliary dysfunction can also occur in association with increased amounts and viscosity of mucus (Ganesan et al. 2013). Impairment of ciliary function without loss of numbers of ciliated cells or cilia can occur during anesthesia or with cold temparatures (Christopher et al. 2014).
Inflammatory Cells and Molecules of Innate Immunity
The main inflammatory cell populations associated with innate immunity in the respiratory tract are granulocytes (neutrophils and eosinophils), mast cells, macrophages, dendritic cells and natural killer cells. These cells and their associated inflammatory mediators (cytokines, chemokines, complement) are involved in phagocytosis, neutralization and killing of infectious agents and interact with the acquired immune system. Innate inflammatory cells are also recruited/induced after exposure to certain chemicals, particulate matter and pharmaceutical compounds.
Neutrophils, the main immune cell in the peripheral blood, are vital in control of bacterial and fungal infections with proteases, reactive oxygen species and antimicrobial peptides (Kruger et al. 2015). Neutrophils are primed after exposure to proinflammtory cytokines during acute inflammation and these primed neutrophils can be retained in the lung as a protective mechanism (Kruger et al. 2015, Summers et al. 2014). Retained, primed neutrophils are eventually deprimed and sent back into circulation but this depriming may be impaired in patients with Acute Respiratory Distress Syndrome (ARDS) (Summers et al. 2014). Neutrophil recruitment occurs after chemokines such as IL-8, MIP-2 (macrophage inflammatory protein-2) and KC are released. MIP-2 and KC are produced by tissue macrophages after exposure to bacterial lipopolysaccharide (LPS) (DE Filippo et al. 2008). LPS binds to lipopolysaccharide binding protein (LBP) which is an acute phase protein produced in the liver as well as the lung. LBP is important for bacterial clearance in the lung (Fan et al. 2002). IL-8 is produced by monkey airway epithelium (ciliated cells) very soon after ozone exposure and has been associated with neutrophil influx in the lung. IL-8 production declines 24 h after ozone exposure (Chang et al. 1998). Neutrophil influx in the nose after ozone exposure upregulates mucin (MUC5AC) mRNA and mucus cell metaplasia in nasal transitional epithelium in the rat (Cho et al. 2000). Cytokine production (TNF and IL-8) after zinc oxide (welders) or lead oxide (experimental) exposure also results in neutrophil recruitment in the lung. Neutrophil recruitment with subsequent degranulation leads to elevated concentrations of free radicals and hydrolytic enzymes with associated tissue damage (Albright and Goldstein 1996). Neutrophils in the trachea of mice following influenza infection attracts CD8+ T cells via the CXCL12 chemokine that is primarily produced by neutrophils and forms a trail for the T cells to follow (Lim et al. 2015).
Eosinophils, peripheral blood granulocytes that contain granules with major basic protein, eosinophil cationic protein and peroxidase among others, are the primary granulocyte response to parasites. Eosinophil development, differentiation and maturation require GM-CSF, IL-3 and IL-5. Eosinophils produce cytokines during rest but these are upregulated during inflammation and include many pro-inflammatory cytokines, chemokines and lipid mediators (Blanchard and Rothenberg 2009). Eosinophils can be found normally in many tissues but not the lung. Eosinophil recruitment occurs with chemokines such as MIP-1α and -1β, RANTES, eotaxin, and MCP (monocyte chemoattractant protein) among others (Oliveira and Lukacs 2003).
Mast cells originate from the bone marrow prior to terminal differentiation and migrate to tissues with their final differentiation relying on the local environment. Mast cells (mucosal and connective tissue types) reside in mucosal and epithelial tissues in many species and the thoracic and peritoneal cavities of rodents (Amin 2012, Krystel-Whittemore et al. 2015). Mucosal mast cells are found in the respiratory tract of rats and mast cell progenitors here are typically found in low numbers but will increase in number after antigen-induced inflammation and express chymase and tryptase (Amin 2012, Krystel-Whittemore et al. 2015). Mucosal mast cells are T-cell dependent and will increase in number during T cell immune responses in contrast to connective tissue mast cells (Metcalfe et al. 1997). Mouse lung mast cells are rare and noted primarily around the mainstem bronchi while primate lung mast cells are more numerous around bronchioles (Miller and Pemberton 2002). In contrast to this observation, tryptase and chymase positive mast cells in infant rhesus macaques are most numerous in the trachea and least numerous in terminal bronchioles (Van Winkle et al. 2010).. Canine lung mast cells are most numerous in bronchial lamina propria with tryptase the predominate granule protease (Kube et al. 1998). Mast cell granules contain tryptase, chymase, histamine (more abundant in connective tissue mast cells) and serotonin with tryptase predominating in human mast cells (Beil et al. 2000, Welle 1997). Mast cell degranulation in the respiratory tract results in smooth muscle contraction with airway constriction, increased mucus production, increased vascular permeability with edema and coughing (Krystel-Whittemore et al. 2015). Mast cells are involved in innate and adaptive immunity by recognizing pathogens via toll like receptors with recruitment of other inflammatory cells such as neutrophils, natural killer cells and eosinophils; processing antigens via MHCI and MHCII and activating dendritic cells (Krystel-Whittemore et al. 2015). Eosinophils and mast cells both increase in number in allergic airway disease and influence airway remodeling through changes in airway collagen and smooth muscle (Van Winkle et al. 2010, Amin 2012, Humbles et al. 2004).
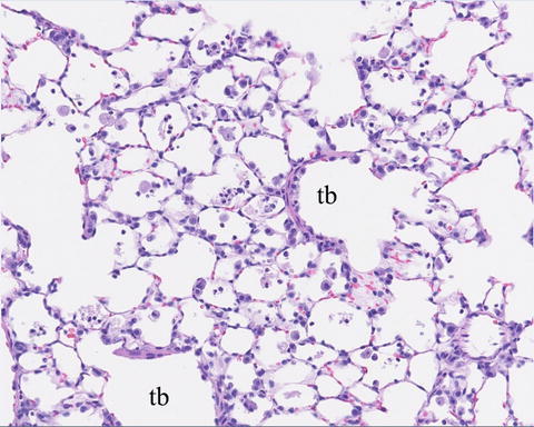
Macrophages are the first and main line of defense for the lower respiratory tract (Fig. 8.11). Macrophages are found in the bronchi, interstitium and alveolar spaces. Macrophages are also found in the capillaries (pulmonary intravascular macrophages, PIMs) of humans, cats, dog and sheep but not rodents or macaques (Kopf et al. 2015, Balhara and Gounni 2012). PIMs are attached to the capillary endothelium on the thicker side of the alveolar septum and are found constituatively in the lung and can be induced in the species mentioned. While not normally found in the lung, PIMs can be induced in rats and mice after LPS exposure (Schneberger et al. 2012). PIMs are phagocytic and can influence lung inflammation (Schneberger et al. 2012). Alveolar macrophages are derived from blood monocytes, reside in the interstitium and migrate into alveolar spaces when needed where they mediate pulmonary responses after toxin exposure (Landsman and Jung 2007, Harkema et al. 2013). In addition, the lung is populated by alveolar macrophage progenitors which mature locally and are able to proliferate and self-renew (Kopf et al. 2015). Alveolar macrophages, which do not stimulate T-cells, can divide and are distinct from dendritic cells in the interstitium (which can stimulate T-cells) (Landsman and Jung 2007). There are two subpopulations of lung macrophages, M1 and M2. M1 macrophages are important in resistance to intracellular pathogens and are driven by interferon-γ and lipopolysaccharide. M2 macrophages deal with foreign material and apoptotic debris and are driven by IL-4 and IL-13 (Balhara and Gounni 2012). Macrophages are recruited from the interstitium of the lung via signals from pneumocytes (e.g., MCP-1) (O'Brien et al. 1998, Kannan et al. 2009).
Fig. 8.11.

Sprague-Dawley rat lung with alveolar macrophages and fewer neutrophils in alveolar spaces. tb terminal bronchiole (H&E, 20× objective magnification)
Alveolar macrophages respond to particulate matter by phagocytosing and digesting material (if possible) in the alveolar space, releasing cytokines (TNFα) which then cause increases in chemokines (MIP-2 and IL-8) followed by recruitument of inflammatory cells (Driscoll et al. 1997). Alveolar macrophage response to particulate matter can vary based on paritcle type. Chrysotile, crocidolite asbestos, silica and coal mine dust are associated with increased alveolar macrophage TNFα while short asbestos fibers and diesel dust do not result in increased TNFα production (Dorger and Krombach 2002). Alveolar macrophage function can also be affected by toxin exposure. For example, phagocytic activity of alveolar macrophages can be impaired by ozone (Van Loveren et al. 1990, Oosting et al. 1991) and phagocytosis of ultrafine particles (Lundborg et al. 2001, Renwick et al. 2001). Alveolar macrophages contribute to pulmonary fibrosis and progressive lung lesions through production of platelet derived growth factor, fibroblast growth factor and fibronectin after particle exposure (Dorger and Krombach 2002). Alveolar macrophages respond to reactive oxygen species resulting from neutrophil degranulation (e.g., observed with ozone ) (Chang et al. 1998, Albright and Goldstein 1996). Activated alveolar macrophages have increased inducible nitric oxide synthase (iNOS) expression and produce nitric oxide. This has been reported in rat alveolar macrophages in vitro after stimulation with IFN-γ., but was not observed in nonhuman primate and human alveolar macrophages (Jesch et al. 1997). Nitric oxide has antimicrobial, anti-inflammatory and antioxidant properties, but may also be involved in promoting further lung injury through production of reactive oxygen species such as peroxynitrite and nitrogen dioxide (Van Der Vliet et al. 2000). Alveolar macrophages play a role in asthma, having both pro-inflammatory and immunosuppressive roles. The pro-inflammatory role of alveolar macrophages in asthma results from release of IL-17, reactive oxygen species, TNF, IL-1β, IL-8, etc. The immunosuppressive action of macrophages in asthma is due to IL-10, IL-12 and nitric oxide release (Balhara and Gounni 2012. Nikander 1991). Alveolar macrophages produce TGF-β which in turn induces Treg cells resulting in tolerance to inhaled antigen and inhibition of TH2 inflammation (Kopf et al. 2015). This tolerance mechanism is overrided when inhaled antigens bind to Toll-like receptor 4 and tolerogenic alveolar macrophages become inflammatory (Kopf et al. 2015).
Lung dendritic cells (DC) are found along the length of the respiratory tract (nose to pulmonary alveolus) and decrease in density moving from the mucosa of the nose to the lung (Condon et al. 2011). Dendritic cells are found in the mucosa of the nose, larynx, trachea and conducting airways and in the alveolar wall (Lambrecht et al. 2001). Dendritic cells residing in the mucosa migrate to regional lymph nodes for routine antigen sampling. Mucosal and alveolar dendritic cells extend cytoplasmic projections into airway or alveolar lumens to sample inhaled antigens (Lambrecht et al. 2001, Condon et al. 2011, Kopf et al. 2015). Alveolar dendritic cells have a low turnover time and do not appear to migrate to lymph nodes unlike those found in the respiratory mucosa (Lambrecht et al. 2001). Dendritic cells of the respiratory tract originate in the bone marrow, first as a monocyte and DC precursor (MDP) which gives rise to peripheral blood monocytes and the common dendritic cell precursor. As with other inflammatory cells, differentiation is partial in the bone marrow with full maturation occuring in the final tissue destination (Kopf et al. 2015). Peripheral blood monocytes also replenish resident lung dendritic cells (Condon et al. 2011, Kopf et al. 2015). Dendritic cells residing in the respiratory stroma are immature and unable to activate naïve T-cells and this immaturity is maintained by alveolar macrophages (Lambrecht et al. 2001, Kopf et al. 2015). The dampening or suppression of inappropriate inflammation by alveolar macrophages and epithelium in alveoli and terminal bronchioles by suppression of alveolar dendritic cells is vital in maintaining adequate gas exchange (Kopf et al. 2015, Lambrecht et al. 2001).
Natural killer (NK) cells are lymphocytes of the innate immune system that identify resident cells affected by pathogens or those that have become neoplastic. NK cells originate in the bone marrow from a common lymphoid progenitor but do not have active recombination activation genes unlike T and B lymphocytes. Natural killer cells produce interferon-γ, cytokines (e.g., IL-5 and IL-13 ), are cytolytic (cytoplasmic granules contain perforins and granzymes) and regulate immunity (Ivanova et al. 2014, Okada et al. 2015, Culley 2009, Campbell and Hasegawa 2013). Up to 10 % of lymphocytes in the lung are NK cells and they are found as mature and immature phenotypes which can be influenced by the lung environment (Ivanova et al. 2014). Bronchial epithelium produces IL-15, which promotes NK cell survival (Culley 2009). NK cells are more numerous in the mouse lung when compared to the human lung (Haley 2003). NK cells in the mouse nose are similar to those in the lung with mature and immature phenotypes and are more numerous in the lamina propria of the nasal septum (Okada et al. 2015). More NK cells in the mouse nose have Ly49 receptors, which recognize MHC class Ia molecules and regulate cell mediated cytotoxicity, than those in the mouse lung (Okada et al. 2015). Additionally, NK cells in the mouse lung and nose have less upregulation of CD107a (LAMP-1) than those in the spleen after stimulation, indicating weaker degranulation (Okada et al. 2015). NK cells at mucosal surfaces have little CD56 expression (CD56dim) in contrast to those in the lymph node which have high levels of CD56 (CD56bright). CD56 expression is associated with greater cytokine production while cells with less expression have greater cytotoxic capabilities which is more important at mucosal surfaces that are more likely to be exposed to pathogens (Culley 2009). NK cells are important in defense against respiratory viruses such respiratory vaccinia virus, respiratory syncytial virus and influenza virus and their activation and eventual regulation are controlled by interferons and IL-12 (Biron 1997). NK cells are activated by IL-1, IL-6, TNF-α and IL-12 (produced by macrophages), produce IFN-γ which primes T helper 1 cells and lyse cells with virus (Tamura and Kurata 2004, Waldhauer and Steinle 2008). NK cells eliminate tumor cells directly through cytolysis but also stimulates dendritic cells (through IFN-γ) and eventually an antitumor CD8 T-cell response (Waldhauer and Steinle 2008). Circulating NK cell numbers and activity have been shown to be suppressed in cigarette smokers and this suppression can last even after cessation of smoking which may increase the risk of lung cancer (Tollerud et al. 1989). Ozone exposure was shown to either increase or decrease NK activity in the rat lung, depending on exposure concentration. Lower exposure increased NK activity; higher doses decreased NK activity (Van Loveren et al. 1990). Short term exposure of mice to JP-8 jet fuel for 1 hour a day for 7 days resulted in loss of NK cell and helper T cell funciton as well as altering cytotoxic T cell function (Harris et al. 2000).
Molecules
Many secretions found in the respiratory tract are produced by a variety of cells including mucus (goblet) cells, secretory cells (non-ciliated epithelium), phagocytic cells or lymphocytes that have protective qualities. These include trefoil factors, defensins, inflammatory mediators (cytokines, chemokines, complement), immunoglobulins, lactoferrin, lysozyme and transferrin, some of which have already been discussed (Nelson and Summer 1998).
Trefoil factors are 7–12 kDa, protease resistant proteins and include trefoil factor 1 (TFF1), trefoil factor 2 (TFF2) and trefoil factor 3 (TFF3). Trefoil factors are highly expressed at mucosal surfaces where they are intimately associated with mucins and participate in the health and maintenance of the mucosa (Goke and Podolsky 1996). The function of these molecules has been most extensively studied in the gastrointestinal tract. Trefoil factors are involved in mucosal restitution after epithelial injury; they maintain viscosity of the mucus layer and can modulate the immune system by controlling lymphocyte migration. Trefoil factors are most often found in conjunction with mucins in mucus (goblet) cells and in submucosal glands. In the respiratory system, they have been found in mucus (goblet) cells, submucosal glands and club cells in the trachea and lung. Species differences in trefoil expression are presented in Table 8.3. TFF2 has the highest expression in the mouse lung but is undetectable in humans. In contrast, TFF3 has the highest expression in human lungs. TFF1 and TFF3, with normal low expression in mice, show elevations after epithelial injury using a naphthalene model of club cell injury and repair (Greeley et al. 2010). After experimental allergen exposure using OVA and albumin, increased TFF2 expression in mice is regulated by a Th2 response (Nikolaidis et al. 2003). TFF2 may be involved in neutrophil and eosinophil recruitment after house dust mite antigen exposure and in goblet cell metaplasia and eosinophil recruitment after IL-13 administration in the mouse lung (Wills-Karp et al. 2012). TFF1, which normally has low expression in club cells, is induced in the mouse lung after experimental allergen exposure using Aspergillus fumigatus antigen, and this expression is noted largely in transdifferentiating club cells (Kouznetsova et al. 2007). Rhesus macaques (6 and 12 months old) exposed to ozone for 11 cycles (cycle = 0.5 ppm for 8 h for 5 days) had no change in TFF1 expression, but TFF3 expression increased and was noted in both mucus cells and ciliated cells in the proximal airways of the lung (Greeley 2008).
Table 8.3.
Expression of trefoil factors in lungs of different species
| TFF1 | TFF2 | TFF3 | |
|---|---|---|---|
| Human (adult) |
Hardly detectable (Wiede et al. 1999) In Club and ciliated cells (Dos Santos Silva et al. 2000) |
Not detectable (Dos Santos Silva et al. 2000) |
In SM glands (w/ MUC5B) and mucous cells (w/ MUC5AC) (Wiede et al. 1999) In airway epithelium (Club, ciliated cells) & submucosal glands (Wiede et al. 1999, Dos Santos Silva et al. 2000) |
| Rhesus macaque (adult) | Low to moderate expression in mucous cells (cytoplasm and nuclei) that increases with age during postnatal development and ciliated cell/Club cell nuclei (Greeley 2008) | Not detectable (Greeley 2008) | Highest expression and is expressed throughout postnatal development – mucous cells and submucosal glands (Greeley 2008) |
| Balb/c mice (adult) | Not examined | Induced by allergen exposure (OVA and A. fumigatus) and regulated by Th2 and STAT6 (Nikolaidis et al. 2003) | Not examined |
| C57Bl/6 mice (adult) |
Low expression normal (club cells) (Kouznetsova et al. 2007, (Hertel et al. 2004) Increased expression after allergen exposure (Kouznetsova et al. 2007) |
Highest expression (Kouznetsova et al. 2007, Hertel et al. 2004) | Not detectable (Kouznetsova et al. 2007, Hertel et al. 2004) |
| NIH Swiss mice (adult) | Low to moderate expression – Club and ciliated cells, attenuated fibroblasts (Greeley 2008) | Highest expression (sublocation could not be determined) (Greeley 2008) | Lowest expression—club cells, ciliated cells (Greeley 2008) |
Defensins have been observed in many mammalian species as well as birds and even fish. There are two types of defensins, α and β, which have a similar β sheet structure but differing cysteine disulfide bonds (Ganz 2002). Defensins are constituitively expressed in neutrophils and epithelium but can also be induced by cytokines and endotoxin in monocytes and CD8 lymphocytes (Oppenheim et al. 2003). α-defensins are primarily found in leukocyte (neutrophil) granules in humans, rats and monkeys, in alveolar macrophages of rabbits and are also noted in epithelia (rabbit kidney, human female reproductive tract and Paneth cells) (Selsted and Ouellette 2005). Only the mouse lacks neutrophil α-defensins (Ganz 2002). α-defensins have antimicrobial and antiviral activity, can regulate complement activation, degranulate mast cells, are chemotactic for T-cells and immature dendritic cells, block endotoxin binding and can block ACTH receptors (Oppenheim et al. 2003). Rhesus macaques, baboons and orangutans also have ϴ-defensin in their neutrophil granules. ϴ-defensin mRNA has been found in human bone marrow but this mRNA is not translated into protein. β-defensins are observed in epithelia of humans, monkeys, rats and mice, including the respiratory tract (Ganz 2002). β-defensins also have antimicrobial activity, can induce prostaglandin D2 production, degranulate mast cells and are chemotactic for CCR6 dendritic cells (Oppenheim et al. 2003). Three human defensins (HBD-1, -2 and -3) are found in the respiratory tract (Ganz 2002). HBD-1 and -2 RNA and protein were expressed in cell cultures of human trachea and bronchi (localized to surface epithelium and submucosal glands). HBD-2 expression increased with IL-1β exposure (Singh et al. 1998) whereas HBD-1 expression did not change, even with exposure to lipopolysaccharide or other cytokines (Singh et al. 1998). Mouse β-defensins 1 and 3 are found in respiratory epithelium of the nose, trachea, large proximal airways and distal airways. The expression of β-defensin 1 is greater than β-defensin 3 in the mouse respiratory tract. β-defensin 3 is upregulated after infection with Pseudomonas aeruginosa (Bals et al. 1998, Bals et al. 1999). A novel β-defensin (β-defensin 4) has also been found in the trachea of mice (Jia et al. 2000). Rat β-defensins are found in the respiratory epithelium of the trachea (β-defensin 1) and in type II pneumocytes of the lung (β-defensin 2) (Jia et al. 1999).
Inflammatory mediators such as cytokines, chemokines and complement, some of which have already been discussed, are typically produced by macrophages, monocytes, epithelial cells and fibroblasts (Thacker 2006). After exposure to bacterial LPS, TNFα and IL-1 levels are elevated in bronchoalveolar lavage fluid 30–90 min after exposure (Thacker 2006). These elevations are observed even when alveolar macrophages are depleted, suggesting other cells in the lung, such as interstitial macrophages or type II pneumoncytes, can produce these inflammtory mediators (Elder et al. 2005). IL-22 is produced by Th22, Th1, CD8+ T cells, NK cells and γδ T cells with pro-inflammatory and protective effects in the lung and these effects are mediated by IL-17A (Besnard et al. 2011, Sonnenberg et al. 2010). IL-22 transcript is elevated in the lung of mice after experimental asthma (ovalbumin exposure) and is needed for allergic airway inflammation through increased Th2 cytokines during the antigen sensitization phase of asthma. IL-22 can upregulate MUC1, β-defensins and neutrophil chemokines in respiratory epithelium (Besnard et al. 2011). Inflammation and associated epithelial injury with production of IL-22 and IL-17A by CD4+ TH17 cells is observed in mice after bleomycin administration. IL17 null mice have higher IL-22 expression but less bleomycin-induced inflammation and reduced apoptosis of airway epithelium (Sonnenberg et al. 2010).
Acquired Immunity
Normal Respiratory Tract
The acquired immune system in the respiratory tract is composed of mucosal assoicated lymphoid tissue in the nose (NALT, Fig. 8.12), larynx (LALT) and the lung (BALT, Fig. 8.13) and associated draining lymph nodes. Rats have the most BALT and humans have the least, where it is typically found in healthy children and adolescents but is induced in adult humans (Haley 2003, Tschernig and Pabst 2000). NALT is only observed on the ventral aspect of the lateral walls at the opening of the nasopharyngeal duct of rats but NALT is observed on the lateral and septal walls in nonhuman primates (Haley 2003). NALT in humans is composed of the lymphoid tissue of Waldeyer’s pharyngeal ring (adenoids and palatine tonsils) (Brandtzaeg et al. 2008). Mucosal associated lymphoid tissue in the respiratory system is also discussed in Chap. 10.1007/978-3-319-47385-7_16.
Fig. 8.12.

Nasal associated lymphoid tissue (*, NALT) with germinal centers in the nasal cavity of the Sprague-Dawley rat (a) and beagle dog (b). npd nasopharyngeal duct (H&E, 10× objective magnification)
Fig 8.13.

Bronchus associated lymphoid tissue (*, BALT) in the bronchus propria-submucosa of Sprague-Dawley rat (a) and cynomolgus macque (b). L lymphatic, sm submucosal glands (H&E, 10× objective magnification)
Lymphocyte populations in the respiratory tract and draining lymph nodes include T cells (CD4, CD8, and Treg cells) and B cells which rely on the innate immune system for their activation and regulation. Antigen-specific B- and T-cells are produced after dendritic cells in the respiratory tract interact with inhaled antigen and are transported to draining lymph nodes. Memory CD8 and CD4 T cells that are specific for the pathogens like influenza virus can reside in lung long after infection, are found near the airways and bronchovascular bundles, and can migrate throughout the lung and distant tissues after reexposure to influenza virus for protection (Turner et al. 2014, Cauley and Lefrancois 2013).
The upper respiratory tract (nose, larynx, trachea) is drained by cervical lymph nodes. The lung in the rat and mouse is drained by two mediastinal lymph nodes while the dog has three to five tracheobronchial lymph nodes and the human has 35 or more tracheobronchial lymph nodes divided into tracheal, bronchial, bronchopulmonary and pulmonary nodes (Haley 2003). Bronchial lymph nodes in the rodent also drain the lung and pleural space. Rodent lymph nodes are organized in simple chains while human lymph nodes form complex chains with anastamoses of lymphatic vessels (Haley 2013). The lack of extensive lymphatic anastamoses in the rat results in translocation of particulate matter or antigen from the lung to portions of the lymph node instead of the entire node as in the human (Haley 2013).
Acquired Immunity and Toxicology
Examples of acquired immune responses in the lung include hypersensitivity (asthma and beryllium) and changes to acquired immunity after exposure to environmental and occupational metal. Asthma is an ongoing type I hypersensitivity in the lung that begins with initial exposure to antigen and involvement of the innate immune system (neutrophils, lung macrophages) and subsequent involvement of the acquired immune system (T-helper 2 cells and IgE), which results in airway hyperreactivity, chronic eosinophilic airway inflammation, mucus cell hyperplasia and airway muscle changes. Asthma in juveniles can be induced by exposure to oxidant air pollutants (including ozone) in early childhood during postnatal lung development, resulting in alterations in alveolar morphogenesis, airway branching and development, and airway innervation (Tran et al. 2004, Plopper et al. 2007, Plopper and Fanucchi 2000, Miller et al. 2003). Conversely, asthma may be prevented by exposure to endotoxin and antigens during childhood and this has been noted in children growing up on farms (Kaiser 2015). Exposing mice to endotoxin prior to exposure to house dust mite antigen blunts the initial innate immune response to that antigen (Schuijs et al. 2015). A potential similar benefit has been noted with early exposure to household pets (cats and dogs) but the results have been contradictory in the multiple cohort studies conducted (Lau et al. 2000, Remes et al. 2001, Chen et al. 2010).
Exposure to metal cations in the lung can result in hypersensitivity. Exposure to beryllium itself does not induce hypersensitivity in the lung. Initially, it was thought that beryllium bound to an unspecifed protein in the lung resulted in antigenicity of beryllium and CD4+ T cells reactive to the beryllium hapten with eventual granuloma formation in the lung (Albright and Goldstein 1996). More recent research has shown that reaction to inhaled beryllium shows both hypersensitivity and autoimmunity (Clayton et al. 2014). Beryllium is buried in a complex composed of HLA-DP2 (MHC II allele) and a self peptide, thus altering the MHC II molecule’s recognition by the T cell receptor and subsequent hypersensitivity. Exposure to other metals such as aluminum (smelters, miners), arsenic and cadmium (tobacco smoke and/or fungicides), chromium (manufacturing), nickel (fossil fuel combustion, mining) and vanadium (coal burning) may result in lung pathology but the extent of the pathology is dependent on metal solubility (Cohen 2004). Exposure to aluminum may result in alveolar macrophage activation and neutrophil influx. Arsenic inhalation may cause an initial influx of neutrophils and alveolar macrophages and eventual suppression of lymphocyte IL-2 secretion, decreased complement levels and production of acute phase proteins (Cohen 2004). Cadmium exposure also results in suppression of cell-mediated immunity. Chromium can enhance T-lymphocyte proliferation at low concentrations but suppress it at higher concentrations given that it may be clastogenic (Cohen 2004). Nickel exposure suppresses humoral immune responses in mice (inhalation exposure) and rats (drinking water exposure), but immune suppression has not been readily documented in human exposure. Human exposure to nickel can result in asthma and may result from Ni-albumin conjugates (Cohen 2004). Inhalation of vanadium is followed by systemic exposure and formation of pentavalent vanadates and oxides with alterations in pulmonary immunity (e.g., decreased alveolar macrophage phagocytosis, reduced cytokine levels ) and subsequent bacterial pneumonia, bronchitis, asthma, rhinitis and pharyngitis (Cohen et al. 2007, Cohen 2004).
Pharmaceuticals and Immunopathology
Many pharmaceutical compounds and components of those compounds can induce lung immunopathology. Noteworthy examples include nanoparticles, drugs that induce phospholipidosis and drugs that induce lung eosinophilia.
Nanotubes are being designed for many applications including delivery of pharmaceutical compounds and as antimicrobials. Nanotubes typically range in size from 1 to 100 μm and can be composed of carbon, gold, boron, zinc oxide, titanium dioxide, cerium oxide and silver (Hubbs et al. 2011, Thompson et al. 2014). Composition and deposition location of nanotubes will affect the immune response (Thompson et al. 2014). As smaller nanotubes are constructed, their toxicity increases because they can penetrate many organs, including the lung (Thompson et al. 2014). Nanotubes can have immunostimulatory or immunosuppressive effects (Thompson et al. 2014). After inhalation of single-walled carbon nanotubes, pulmonary granulomas were noted in rats that had either inhaled or aspirated the nanotubes (Hubbs et al. 2011). Granuloma formation with nanotubes occurs after aggregation of nanotubes, which is more likely with intratracheal instillation or oropharyngeal aspiration. Interstitial fibrosis occurs when nanotubes are more dispersed in the lung, which may occur after inhalation of dry aerosolized or nebulized suspensions (Thompson et al. 2014). Inhalation of single-walled carbon nanotubes by mice or cerium dioxide nanoparticles in rats was associated with neutrophil influx in the lung (Hubbs et al. 2011, Morimoto et al. 2015). In another study with highly dispersed single-walled carbon nanotubes, neutrophil inflammation did not persist but interstitial fibrosis was observed after only 4 days of exposure (Hubbs et al. 2011). Exposure of mice to low concentrations of multi-walled carbon nanotubes for 14 days resulted in suppression of T-cell dependent immune functions but exposing mice at higher concentrations for up to 13 weeks resulted in granulomatous inflammation and pleural thickening (Hubbs et al. 2011). Inhalation of silver nanoparticles by rats for 28 days resulted in increased size and number of goblet cells that contained neutral mucins with no change in sulfo- or sialomucins (Hyun et al. 2008) Inhalation of silver nanoparticles by rats for 90 days resulted in alveolar inflammation, perivascular infiltrate and alveolar macrophage accumulation in the lungs (Sung et al. 2009). Inhalation of carbon black nanoparticles followed by ovalbumin challenge will result in enhanced inflammatory response to the ovalbumin due to enhancement of IL-4, IL-5 and IL-13 by carbon black nanoparticles (Hubbs et al. 2011).
Many drugs (e.g., amiodarone, antidepressants, antibacterials) have been shown to cause accumulation of phospholipids in cells of the monocyte/macrophage family, including alveolar macrophages forming lamellar bodies. Cationic amphophilic drugs cause accumulation/retention of the cell membrane component, phospholipid, in cell lysosomes in many tissues. This accumulation results from the affinity of the basic cationic amphophilic drugs to the acidic environment of the lysozome, with ionization of the drug and subsequent inability to leave the lysozome, as well as the direct interaction with the drug and phospholipid of the membrane (Anderson and Borlak 2006). In the lung, the alveolar macrophage and type II pneumocyte are susceptible to phospholipid accumulation. There is accumulation of large, foamy alveolar macrophages and amorphous material in alveolar spaces. This accumulation is reversible after cessation of the compound (Halliwell 1997). Macrophage accumulation of lamellar bodies may inhibit cellular phospholipases and prevent cytotoxicity of phagocytosed silica (Reasor and Kacew 2001, Anderson and Borlak 2006) and may also enhance phagocytic activity of macrophages (Anderson and Borlak 2006).
Lung eosinophilia with associated clinical signs of dyspnea and radiographic infiltrates have been observed with anti-convulsants such as phenytoin sodium (Michael and Rudin 1981, Dixit et al. 2009) and carbamazepine (Lewis and Rosenbloom 1982) which are both members of the arene oxide-producing anticonvulsants. These hypersensitivity reactions are relatively uncommon and likely have a genetic determination (Vittorio and Muglia 1995). Other pharmaceutical and over-the-counter compounds that have been associated with hypersensitivity reactions and eosinophils in the lung include acetylsalicylic acid (i.e., aspirin), bleomycin, captopril, hydrochlorothiazide, mesalamine, minocycline, nitrofurantoin, penicillamine, sulfasalazine and sulfonamides (Campos and Pereira 2009). Information on these compounds and many others can be found on www.pneumotox.com.
Alveolar macrophages are also commonly induced during nonclinical safety assessment of pharmaceutical compounds. Increases in numbers of alveolar macrophages were a common finding in rats when pharmaceutical compounds, typically for asthma and allergic rhinitis therapy or other pulmonary inflammatory conditions, were given via inhalation (Nikula et al. 2014). Some of these compounds include Budesonide, Ciclesonide, Mometasone, Tilade and Advair amongst others (Nikula et al. 2014). The assessment of alveolar macrophage increases for adversity during nonclinical safety assessment should take into consideration the presence or absence of other adverse lung findings, the progression of macrophage accumulation in longer duration studies with the same compound and resolution of alveolar macrophage accumulation with recovery (Nikula et al. 2014).
Development and Immunopathology
The development of innate and acquired immunity during post-natal development involves the presence of alveolar macrophages in airway and alveolar lumens and the maturation and increased number of T and B lymphocytes in BALT and regional lymph nodes (bronchial, mediastinal) (Miller 2004). Neonatal rodents have a lower level of lymphocyte trafficking from regional lymph nodes and have fewer antigen presenting cells (MHC II) that function poorly when compared to adults (Miller 2004). Alveolar macrophage numbers are greater in human infants when compared to teenagers and adults, and a similar trend is noted in nonhuman primates (Miller 2004). However, alveolar macrophages in newborn monkeys have poor phagocytic and killing capabilities. In contrast, alveolar macrophages of neonatal rats have greater phagocytic and killing ability for certain pathogens such as gram negative and positive bacteria (Miller 2004). Dendritic cells in the respiratory tract are first observed at the base of the nasal turbinates in newborn rats and then increase in number with age along the respiratory tract (Condon et al. 2011). Mucosal and connective tissue mast cells are in very low numbers in the rat at birth but increase with age (Wilkes et al. 1992).
Mucin-containing cells in rats are first noted in the most proximal portion of the trachea adjacent to the larynx after the third postnatal week (Smolich et al. 1967). Mucous cells containing PAS-positive material were noted in the bronchi in developing mouse lungs starting at embryonic day 15.5 and postnatal day 28 (Roy et al. 2011). Mucous cell morphology in developing mouse lungs was further confirmed by the presence of Muc5b, Muc1 and Muc4 transcripts in the lung starting at embryonic day 14.5 as well as protein expression (confirmed by immunohistochemistry) of Muc5b in tracheobronchial epithelium from embryonic day 15.5 to postnatal day 28. Muc5ac and Muc16 are expressed at much lower levels during mouse lung development (pre- and postnatal development). Muc5ac, which has increased expression in asthma models, is not detectable in the developing mouse lung until postnatal day 14 (Roy et al. 2011). In the human fetus, MUC4 is the earliest expressed gene in the foregut (gestation week 6.5) with MUC1 and MUC2 following at gestation week 9.5 in the trachea, bronchi and developing lung (Buisine et al. 1999). MUC5AC and MUC5B and are expressed starting at gestation week 13 while MUC7 starts to be expressed at gestation week 23 (Buisine et al. 1999).
The development of innate and acquired immune protection in the developing lung can influence the response of the developing lung to toxic insults. As compared to adult rodents, neonatal rats have higher expression of CINC-1 and MIP-2 (correlates of IL-8 and GRO-β) and neonatal mice have increased expression of TNFα, IL-1β and IL-6 when exposed to hyperoxic conditions. Higher expression of these factors occur prior to airway inflammation during hyperoxic conditions which is thought to be protective against the toxic effects of high oxygen concentrations in the lung (Miller 2004).
Contributor Information
George A. Parker, Email: george.parker@crl.com
Melanie A. Greeley, Email: melanie.greeley@crl.com
References
- Adler KB, Li Y. Airway epithelium and mucus: intracellular signaling pathways for gene expression and secretion. Am J Respir Cell Mol Biol. 2001;25:397–400. doi: 10.1165/ajrcmb.25.4.f214. [DOI] [PubMed] [Google Scholar]
- Albright JF, Goldstein RA. Airborne pollutants and the immune system. Otolaryngol Head Neck Surg. 1996;114:232–238. doi: 10.1016/S0194-5998(96)70173-0. [DOI] [PubMed] [Google Scholar]
- Amin K. The role of mast cells in allergic inflammation. Respir Med. 2012;106:9–14. doi: 10.1016/j.rmed.2011.09.007. [DOI] [PubMed] [Google Scholar]
- Anderson N, Borlak J. Drug-induced phospholipidosis. FEBS Lett. 2006;580:5533–5540. doi: 10.1016/j.febslet.2006.08.061. [DOI] [PubMed] [Google Scholar]
- Aust MR, Madsen CS, Jennings A, Kasperbauer JL, Gendler SJ. Mucin mRNA expression in normal and vasomotor inferior turbinates. Am J Rhinol. 1997;11:293–302. doi: 10.2500/105065897781446685. [DOI] [PubMed] [Google Scholar]
- Balhara J, Gounni AS. The alveolar macrophages in asthma: a double-edged sword. Mucosal Immunol. 2012;5:605–609. doi: 10.1038/mi.2012.74. [DOI] [PubMed] [Google Scholar]
- Bals R, Goldman MJ, Wilson JM. Mouse beta-defensin 1 is a salt-sensitive antimicrobial peptide present in epithelia of the lung and urogenital tract. Infect Immun. 1998;66:1225–1232. doi: 10.1128/iai.66.3.1225-1232.1998. [DOI] [PMC free article] [PubMed] [Google Scholar]
- Bals R, Wang X, Meegalla RL, Wattler S, Weiner DJ, Nehls MC, Wilson JM. Mouse beta-defensin 3 is an inducible antimicrobial peptide expressed in the epithelia of multiple organs. Infect Immun. 1999;67:3542–3547. doi: 10.1128/iai.67.7.3542-3547.1999. [DOI] [PMC free article] [PubMed] [Google Scholar]
- Beil WJ, Schulz M, Wefelmeyer U. Mast cell granule composition and tissue location--a close correlation. Histol Histopathol. 2000;15:937–946. doi: 10.14670/HH-15.937. [DOI] [PubMed] [Google Scholar]
- Besnard AG, Sabat R, Dumoutier L, Renauld JC, Willart M, Lambrecht B, Teixeira MM, Charron S, Fick L, Erard F, Warszawska K, Wolk K, Quesniaux V, Ryffel B, Togbe D. Dual Role of IL-22 in allergic airway inflammation and its cross-talk with IL-17A. Am J Respir Crit Care Med. 2011;183:1153–1163. doi: 10.1164/rccm.201008-1383OC. [DOI] [PubMed] [Google Scholar]
- Biron CA. Activation and function of natural killer cell responses during viral infections. Curr Opin Immunol. 1997;9:24–34. doi: 10.1016/S0952-7915(97)80155-0. [DOI] [PubMed] [Google Scholar]
- Blanchard C, Rothenberg ME. Biology of the eosinophil. Adv Immunol. 2009;101:81–121. doi: 10.1016/S0065-2776(08)01003-1. [DOI] [PMC free article] [PubMed] [Google Scholar]
- Borchers MT, Wert SE, Leikauf GD. Acrolein-induced MUC5ac expression in rat airways. Am J Physiol. 1998;274:L573–L581. doi: 10.1152/ajplung.1998.274.4.L573. [DOI] [PubMed] [Google Scholar]
- Brandtzaeg P, Kiyono H, Pabst R, Russell MW. Terminology: nomenclature of mucosa-associated lymphoid tissue. Mucosal Immunol. 2008;1:31–37. doi: 10.1038/mi.2007.9. [DOI] [PubMed] [Google Scholar]
- Bridger GP, Proctor DF. Mucociliary function in the dog's larynx and trachea. Laryngoscope. 1972;82:218–224. doi: 10.1288/00005537-197202000-00009. [DOI] [PubMed] [Google Scholar]
- Buisine MP, Devisme L, Copin MC, Durand-Reville M, Gosselin B, Aubert JP, Porchet N. Developmental mucin gene expression in the human respiratory tract. Am J Respir Cell Mol Biol. 1999;20:209–218. doi: 10.1165/ajrcmb.20.2.3259. [DOI] [PubMed] [Google Scholar]
- Campbell KS, Hasegawa J. Natural killer cell biology: an update and future directions. J Allergy Clin Immunol. 2013;132:536–544. doi: 10.1016/j.jaci.2013.07.006. [DOI] [PMC free article] [PubMed] [Google Scholar]
- Campos LE, Pereira LF. Pulmonary eosinophilia. J Bras Pneumol. 2009;35:561–573. doi: 10.1590/S1806-37132009000600010. [DOI] [PubMed] [Google Scholar]
- Casalino-Matsuda SM, Monzon ME, Forteza RM. Epidermal growth factor receptor activation by epidermal growth factor mediates oxidant-induced goblet cell metaplasia in human airway epithelium. Am J Respir Cell Mol Biol. 2006;34:581–591. doi: 10.1165/rcmb.2005-0386OC. [DOI] [PMC free article] [PubMed] [Google Scholar]
- Cauley LS, Lefrancois L. Guarding the perimeter: protection of the mucosa by tissue-resident memory T cells. Mucosal Immunol. 2013;6:14–23. doi: 10.1038/mi.2012.96. [DOI] [PMC free article] [PubMed] [Google Scholar]
- Chang MM, Wu R, Plopper CG, Hyde DM. IL-8 is one of the major chemokines produced by monkey airway epithelium after ozone-induced injury. Am J Physiol. 1998;275:L524–L532. doi: 10.1152/ajplung.1998.275.3.L524. [DOI] [PubMed] [Google Scholar]
- Chen CM, Tischer C, Schnappinger M, Heinrich J. The role of cats and dogs in asthma and allergy--a systematic review. Int J Hyg Environ Health. 2010;213:1–31. doi: 10.1016/j.ijheh.2009.12.003. [DOI] [PubMed] [Google Scholar]
- Chen Y, Zhao YH, Kalaslavadi TB, Hamati E, Nehrke K, Le AD, Ann DK, Wu R. Genome-wide search and identification of a novel gel-forming mucin MUC19/Muc19 in glandular tissues. Am J Respir Cell Mol Biol. 2004;30:155–165. doi: 10.1165/rcmb.2003-0103OC. [DOI] [PubMed] [Google Scholar]
- Chen Y, Zhao YH, Wu R. In silico cloning of mouse Muc5b gene and upregulation of its expression in mouse asthma model. Am J Respir Crit Care Med. 2001;164:1059–1066. doi: 10.1164/ajrccm.164.6.2012114. [DOI] [PubMed] [Google Scholar]
- Cho HY, Hotchkiss JA, Bennett CB, Harkema JR. Neutrophil-dependent and neutrophil-independent alterations in the nasal epithelium of ozone-exposed rats. Am J Respir Crit Care Med. 2000;162:629–636. doi: 10.1164/ajrccm.162.2.9811078. [DOI] [PubMed] [Google Scholar]
- Choi HK, Finkbeiner WE, Widdicombe JH. A comparative study of mammalian tracheal mucous glands. J Anat. 2000;197(Pt 3):361–372. doi: 10.1046/j.1469-7580.2000.19730361.x. [DOI] [PMC free article] [PubMed] [Google Scholar]
- Christopher AB, Ochoa S, Krushansky E, Francis R, Tian X, Zahid M, Munoz R, Lo CW. The effects of temperature and anesthetic agents on ciliary function in murine respiratory epithelia. Front Pediatr. 2014;2:111. doi: 10.3389/fped.2014.00111. [DOI] [PMC free article] [PubMed] [Google Scholar]
- Clayton GM, Wang Y, Crawford F, Novikov A, Wimberly BT, Kieft JS, Falta MT, Bowerman NA, Marrack P, Fontenot AP, Dai S, Kappler JW. Structural basis of chronic beryllium disease: linking allergic hypersensitivity and autoimmunity. Cell. 2014;158:132–142. doi: 10.1016/j.cell.2014.04.048. [DOI] [PMC free article] [PubMed] [Google Scholar]
- Cohen MD. Pulmonary immunotoxicology of select metals: aluminum, arsenic, cadmium, chromium, copper, manganese, nickel, vanadium, and zinc. J Immunotoxicol. 2004;1:39–69. doi: 10.1080/15476910490438360. [DOI] [PubMed] [Google Scholar]
- Cohen MD, Sisco M, Prophete C, Chen LC, Zelikoff JT, Ghio AJ, Stonehuerner JD, Smee JJ, Holder AA, Crans DC. Pulmonary immunotoxic potentials of metals are governed by select physicochemical properties: vanadium agents. J Immunotoxicol. 2007;4:49–60. doi: 10.1080/15476910601119350. [DOI] [PubMed] [Google Scholar]
- Condon TV, Sawyer RT, Fenton MJ, Riches DW. Lung dendritic cells at the innate-adaptive immune interface. J Leukoc Biol. 2011;90:883–895. doi: 10.1189/jlb.0311134. [DOI] [PMC free article] [PubMed] [Google Scholar]
- Culley FJ. Natural killer cells in infection and inflammation of the lung. Immunology. 2009;128:151–163. doi: 10.1111/j.1365-2567.2009.03167.x. [DOI] [PMC free article] [PubMed] [Google Scholar]
- DE Filippo K, Henderson RB, Laschinger M, Hogg N. Neutrophil chemokines KC and macrophage-inflammatory protein-2 are newly synthesized by tissue macrophages using distinct TLR signaling pathways. J Immunol. 2008;180:4308–4315. doi: 10.4049/jimmunol.180.6.4308. [DOI] [PubMed] [Google Scholar]
- Dixit R, Dixit K, Nuwal P, Banerjee A, Sharma S, Dave L. Diphenylhydantoin (phenytoin)-induced chronic pulmonary disease. Lung India. 2009;26:155–158. doi: 10.4103/0970-2113.56356. [DOI] [PMC free article] [PubMed] [Google Scholar]
- Dorger M, Krombach F. Response of alveolar macrophages to inhaled particulates. Eur Surg Res. 2002;34:47–52. doi: 10.1159/000048887. [DOI] [PubMed] [Google Scholar]
- Dos Santos Silva E, Ulrich M, Doring G, Botzenhart K, Gott P. Trefoil factor family domain peptides in the human respiratory tract. J Pathol. 2000;190:133–142. doi: 10.1002/(SICI)1096-9896(200002)190:2<133::AID-PATH518>3.0.CO;2-B. [DOI] [PubMed] [Google Scholar]
- Driscoll KE, Carter JM, Hassenbein DG, Howard B. Cytokines and particle-induced inflammatory cell recruitment. Environ Health Perspect. 1997;105(Suppl 5):1159–1164. doi: 10.1289/ehp.97105s51159. [DOI] [PMC free article] [PubMed] [Google Scholar]
- Elder A, Johnston C, Gelein R, Finkelstein J, Wang Z, Notter R, Oberdorster G. Lung inflammation induced by endotoxin is enhanced in rats depleted of alveolar macrophages with aerosolized clodronate. Exp Lung Res. 2005;31:527–546. doi: 10.1080/019021490944223. [DOI] [PubMed] [Google Scholar]
- Fan MH, Klein RD, Steinstraesser L, Merry AC, Nemzek JA, Remick DG, Wang SC, Su GL. An essential role for lipopolysaccharide-binding protein in pulmonary innate immune responses. Shock. 2002;18:248–254. doi: 10.1097/00024382-200209000-00008. [DOI] [PubMed] [Google Scholar]
- Fanucchi MV, Hotchkiss JA, Harkema JR. Endotoxin potentiates ozone-induced mucous cell metaplasia in rat nasal epithelium. Toxicol Appl Pharmacol. 1998;152:1–9. doi: 10.1006/taap.1998.8484. [DOI] [PubMed] [Google Scholar]
- Ganesan S, Comstock AT, Sajjan US. Barrier function of airway tract epithelium. Tissue Barriers. 2013;1:e24997. doi: 10.4161/tisb.24997. [DOI] [PMC free article] [PubMed] [Google Scholar]
- Ganz T. Antimicrobial polypeptides in host defense of the respiratory tract. J Clin Invest. 2002;109:693–697. doi: 10.1172/JCI0215218. [DOI] [PMC free article] [PubMed] [Google Scholar]
- Goke M, Podolsky DK. Regulation of the mucosal epithelial barrier. Baillieres Clin Gastroenterol. 1996;10:393–405. doi: 10.1016/S0950-3528(96)90049-4. [DOI] [PubMed] [Google Scholar]
- Greeley MA (2008) Trefoil factor expression profile in the airways of NIH Swiss mice and Rhesus macaques during epithelial injury and postnatal lung development. PhD Dissertation, University of California, Davis
- Greeley MA, Van Winkle LS, Edwards PC, Plopper CG. Airway trefoil factor expression during naphthalene injury and repair. Toxicol Sci. 2010;113:453–467. doi: 10.1093/toxsci/kfp268. [DOI] [PMC free article] [PubMed] [Google Scholar]
- Haley PJ. Species differences in the structure and function of the immune system. Toxicology. 2003;188:49–71. doi: 10.1016/S0300-483X(03)00043-X. [DOI] [PubMed] [Google Scholar]
- Haley PJ. Lymphoid system. In: Sahota PS, Popp JA, Hardisty JF, Gopinath C, editors. Toxicologic pathology nonclinical safety assessment. Boca Raton, FL: CRC; 2013. [Google Scholar]
- Halliwell WH. Cationic amphiphilic drug-induced phospholipidosis. Toxicol Pathol. 1997;25:53–60. doi: 10.1177/019262339702500111. [DOI] [PubMed] [Google Scholar]
- Harkema J, Nikula K, Haschek WM. Respiratory System. In: Haschek WM, Rousseaux CG, Wallig MA, editors. Haschek and Rousseaux’s Handbook of toxicologic pathology. Amsterdam: Academic; 2013. [Google Scholar]
- Harkema JR, Carey SA, Wagner JG. The nose revisited: a brief review of the comparative structure, function, and toxicologic pathology of the nasal epithelium. Toxicol Pathol. 2006;34:252–269. doi: 10.1080/01926230600713475. [DOI] [PubMed] [Google Scholar]
- Harkema JR, Morgan KT, Gross EA, Catalano PJ Griffith WC (1994) Consequences of prolonged inhalation of ozone on F344/N rats: collaborative studies. Part VII: Effects on the nasal mucociliary apparatus. Res Rep Health Eff Inst pp 3–26; discussion 27–34 [PubMed]
- Harris DT, Sakiestewa D, Robledo RF, Young RS, Witten M. Effects of short-term JP-8 jet fuel exposure on cell-mediated immunity. Toxicol Ind Health. 2000;16:78–84. doi: 10.1177/074823370001600204. [DOI] [PubMed] [Google Scholar]
- Hattrup CL, Gendler SJ. Structure and function of the cell surface (tethered) mucins. Annu Rev Physiol. 2008;70:431–457. doi: 10.1146/annurev.physiol.70.113006.100659. [DOI] [PubMed] [Google Scholar]
- Hertel SC, Chwieralski CE, Hinz M, Rio MC, Tomasetto C, Hoffmann W. Profiling trefoil factor family (TFF) expression in the mouse: identification of an antisense TFF1-related transcript in the kidney and liver. Peptides. 2004;25:755–762. doi: 10.1016/j.peptides.2003.11.021. [DOI] [PubMed] [Google Scholar]
- Hubbs AF, Mercer RR, Benkovic SA, Harkema J, Sriram K, Schwegler-Berry D, Goravanahally MP, Nurkiewicz TR, Castranova V, Sargent LM. Nanotoxicology – a pathologist's perspective. Toxicol Pathol. 2011;39:301–324. doi: 10.1177/0192623310390705. [DOI] [PMC free article] [PubMed] [Google Scholar]
- Humbles AA, Lloyd CM, Mcmillan SJ, Friend DS, Xanthou G, McKenna EE, Ghiran S, Gerard NP, Yu C, Orkin SH, Gerard C. A critical role for eosinophils in allergic airways remodeling. Science. 2004;305:1776–1779. doi: 10.1126/science.1100283. [DOI] [PubMed] [Google Scholar]
- Hyun JS, Lee BS, Ryu HY, Sung JH, Chung KH, Yu IJ. Effects of repeated silver nanoparticles exposure on the histological structure and mucins of nasal respiratory mucosa in rats. Toxicol Lett. 2008;182:24–28. doi: 10.1016/j.toxlet.2008.08.003. [DOI] [PubMed] [Google Scholar]
- Ivanova D, Krempels R, Ryfe J, Weitzman K, Stephenson D, Gigley JP. NK cells in mucosal defense against infection. Biomed Res Int. 2014;2014:413982. doi: 10.1155/2014/413982. [DOI] [PMC free article] [PubMed] [Google Scholar]
- Jain R, Pan J, Driscoll JA, Wisner JW, Huang T, Gunsten SP, You Y, Brody SL. Temporal relationship between primary and motile ciliogenesis in airway epithelial cells. Am J Respir Cell Mol Biol. 2010;43:731–739. doi: 10.1165/rcmb.2009-0328OC. [DOI] [PMC free article] [PubMed] [Google Scholar]
- Jeffery PK, Li D. Airway mucosa: secretory cells, mucus and mucin genes. Eur Respir J. 1997;10:1655–1662. doi: 10.1183/09031936.97.10071655. [DOI] [PubMed] [Google Scholar]
- Jesch NK, Dorger M, Enders G, Rieder G, Vogelmeier C, Messmer K, Krombach F. Expression of inducible nitric oxide synthase and formation of nitric oxide by alveolar macrophages: an interspecies comparison. Environ Health Perspect. 1997;105(Suppl 5):1297–1300. doi: 10.1289/ehp.97105s51297. [DOI] [PMC free article] [PubMed] [Google Scholar]
- Jia HP, Mills JN, Barahmand-Pour F, Nishimura D, Mallampali RK, Wang G, Wiles K, Tack BF, Bevins CL, McCray PB., Jr Molecular cloning and characterization of rat genes encoding homologues of human beta-defensins. Infect Immun. 1999;67:4827–4833. doi: 10.1128/iai.67.9.4827-4833.1999. [DOI] [PMC free article] [PubMed] [Google Scholar]
- Jia HP, Wowk SA, Schutte BC, Lee SK, Vivado A, Tack BF, Bevins CL, McCray PB., Jr A novel murine beta -defensin expressed in tongue, esophagus, and trachea. J Biol Chem. 2000;275:33314–33320. doi: 10.1074/jbc.M006603200. [DOI] [PubMed] [Google Scholar]
- Kaiser J. IMMUNOLOGY. How farm life prevents asthma. Science. 2015;349:1034. doi: 10.1126/science.349.6252.1034. [DOI] [PubMed] [Google Scholar]
- Kannan S, Huang H, Seeger D, Audet A, Chen Y, Huang C, Gao H, Li S, Wu M. Alveolar epithelial type II cells activate alveolar macrophages and mitigate P. Aeruginosa infection. PLoS One. 2009;4:e4891. doi: 10.1371/journal.pone.0004891. [DOI] [PMC free article] [PubMed] [Google Scholar]
- Kesimer M, Ehre C, Burns KA, Davis CW, Sheehan JK, Pickles RJ. Molecular organization of the mucins and glycocalyx underlying mucus transport over mucosal surfaces of the airways. Mucosal Immunol. 2013;6:379–392. doi: 10.1038/mi.2012.81. [DOI] [PMC free article] [PubMed] [Google Scholar]
- Kim KC, McCracken K, Lee BC, Shin CY, Jo MJ, Lee CJ, Ko KH. Airway goblet cell mucin: its structure and regulation of secretion. Eur Respir J. 1997;10:2644–2649. doi: 10.1183/09031936.97.10112644. [DOI] [PubMed] [Google Scholar]
- Kopf M, Schneider C, Nobs SP. The development and function of lung-resident macrophages and dendritic cells. Nat Immunol. 2015;16:36–44. doi: 10.1038/ni.3052. [DOI] [PubMed] [Google Scholar]
- Kouznetsova I, Chwieralski CE, Balder R, Hinz M, Braun A, Krug N, Hoffmann W. Induced trefoil factor family 1 expression by trans-differentiating Clara cells in a murine asthma model. Am J Respir Cell Mol Biol. 2007;36:286–295. doi: 10.1165/rcmb.2006-0008OC. [DOI] [PubMed] [Google Scholar]
- Kruger P, Saffarzadeh M, Weber AN, Rieber N, Radsak M, Von Bernuth H, Benarafa C, Roos D, Skokowa J, Hartl D. Neutrophils: between host defence, immune modulation, and tissue injury. PLoS Pathog. 2015;11:e1004651. doi: 10.1371/journal.ppat.1004651. [DOI] [PMC free article] [PubMed] [Google Scholar]
- Krystel-Whittemore M, Dileepan KN, Wood JG. Mast cell: a multi-functional master cell. Front Immunol. 2015;6:620. doi: 10.3389/fimmu.2015.00620. [DOI] [PMC free article] [PubMed] [Google Scholar]
- Kube P, Audige L, Kuther K, Welle M. Distribution, density and heterogeneity of canine mast cells and influence of fixation techniques. Histochem Cell Biol. 1998;110:129–135. doi: 10.1007/s004180050274. [DOI] [PubMed] [Google Scholar]
- Lai SK, Wang YY, Wirtz D, Hanes J. Micro- and macrorheology of mucus. Adv Drug Deliv Rev. 2009;61:86–100. doi: 10.1016/j.addr.2008.09.012. [DOI] [PMC free article] [PubMed] [Google Scholar]
- Lambrecht BN, Prins JB, Hoogsteden HC. Lung dendritic cells and host immunity to infection. Eur Respir J. 2001;18:692–704. [PubMed] [Google Scholar]
- Landsman L, Jung S. Lung macrophages serve as obligatory intermediate between blood monocytes and alveolar macrophages. J Immunol. 2007;179:3488–3494. doi: 10.4049/jimmunol.179.6.3488. [DOI] [PubMed] [Google Scholar]
- Lau S, Illi S, Sommerfeld C, Niggemann B, Bergmann R, Von Mutius E, Wahn U. Early exposure to house-dust mite and cat allergens and development of childhood asthma: a cohort study. Multicentre Allergy Study Group. Lancet. 2000;356:1392–1397. doi: 10.1016/S0140-6736(00)02842-7. [DOI] [PubMed] [Google Scholar]
- Lewis IJ, Rosenbloom L. Glandular fever-like syndrome, pulmonary eosinophilia and asthma associated with carbamazepine. Postgrad Med J. 1982;58:100–101. doi: 10.1136/pgmj.58.676.100. [DOI] [PMC free article] [PubMed] [Google Scholar]
- Lim K, Hyun YM, Lambert-Emo K, Capece T, Bae S, Miller R, Topham DJ, Kim M. Neutrophil trails guide influenza-specific CD8(+) T cells in the airways. Science. 2015;349:aaa4352. doi: 10.1126/science.aaa4352. [DOI] [PMC free article] [PubMed] [Google Scholar]
- Lindsey JR, Baker HJ, Overcash RG, Cassell GH, Hunt CE. Murine chronic respiratory disease. Significance as a research complication and experimental production with Mycoplasma pulmonis. Am J Pathol. 1971;64:675–708. [PMC free article] [PubMed] [Google Scholar]
- Lippmann M, Schlesinger RB. Interspecies comparisons of particle deposition and mucociliary clearance in tracheobronchial airways. J Toxicol Environ Health. 1984;13:441–469. doi: 10.1080/15287398409530509. [DOI] [PubMed] [Google Scholar]
- Lundborg M, Johard U, Lastbom L, Gerde P, Camner P. Human alveolar macrophage phagocytic function is impaired by aggregates of ultrafine carbon particles. Environ Res. 2001;86:244–253. doi: 10.1006/enrs.2001.4269. [DOI] [PubMed] [Google Scholar]
- McBride JT. Architecture of the tracheobronchial tree. In: Parent RA, editor. Comparative Biology of the Normal Lung. Boca Raton: CRC Press; 1992. [Google Scholar]
- Mcneer RR, Huang D, Fregien NL, Carraway KL. Sialomucin complex in the rat respiratory tract: a model for its role in epithelial protection. Biochem J. 1998;330(Pt 2):737–744. doi: 10.1042/bj3300737. [DOI] [PMC free article] [PubMed] [Google Scholar]
- Mery S, Gross EA, Joyner DR, Godo M, Morgan KT. Nasal diagrams: a tool for recording the distribution of nasal lesions in rats and mice. Toxicol Pathol. 1994;22:353–372. doi: 10.1177/019262339402200402. [DOI] [PubMed] [Google Scholar]
- Metcalfe DD, Baram D, Mekori YA. Mast cells. Physiol Rev. 1997;77:1033–1079. doi: 10.1152/physrev.1997.77.4.1033. [DOI] [PubMed] [Google Scholar]
- Michael JR, Rudin ML. Acute pulmonary disease caused by phenytoin. Ann Intern Med. 1981;95:452–454. doi: 10.7326/0003-4819-95-4-452. [DOI] [PubMed] [Google Scholar]
- Miller HR, Pemberton AD. Tissue-specific expression of mast cell granule serine proteinases and their role in inflammation in the lung and gut. Immunology. 2002;105:375–390. doi: 10.1046/j.1365-2567.2002.01375.x. [DOI] [PMC free article] [PubMed] [Google Scholar]
- Miller LA. Development of the pulmonary immune system. Amsterdam: Elsevier; 2004. [Google Scholar]
- Miller LA, Hyde DM, Gershwin LJ, Schelegle ES, Fanucchi MV, Evans MJ, Gerriets JE, Putney LF, Stovall MY, Tyler NK, Usachenko JL, Plopper CG. The effect of house dust mite aeroallergen and air pollutant exposures during infancy. Chest. 2003;123:434S. doi: 10.1378/chest.123.3_suppl.434S. [DOI] [PubMed] [Google Scholar]
- Morgan KT, Jiang XZ, Patterson DL, Gross EA. The nasal mucociliary apparatus. Correlation of structure and function in the rat. Am Rev Respir Dis. 1984;130:275–281. doi: 10.1164/arrd.1984.130.2.275. [DOI] [PubMed] [Google Scholar]
- Morimoto Y, Izumi H, Yoshiura Y, Tomonaga T, Oyabu T, Myojo T, Kawai K, Yatera K, Shimada M, Kubo M, Yamamoto K, Kitajima S, Kuroda E, Kawaguchi K, Sasaki T. Pulmonary toxicity of well-dispersed cerium oxide nanoparticles following intratracheal instillation and inhalation. J Nanopart Res. 2015;17:442. doi: 10.1007/s11051-015-3249-1. [DOI] [PMC free article] [PubMed] [Google Scholar]
- Nelson S, Summer WR. Innate immunity, cytokines, and pulmonary host defense. Infect Dis Clin North Am. 1998;12(555–67):vii. doi: 10.1016/s0891-5520(05)70198-7. [DOI] [PubMed] [Google Scholar]
- Nikander S. Origin, morphology, histochemistry and function of the mucosal mast cell and globule leukocyte. A review. Rangifer. 1991;11:9. [Google Scholar]
- Nikolaidis NM, Zimmermann N, King NE, Mishra A, Pope SM, Finkelman FD, Rothenberg ME. Trefoil factor-2 is an allergen-induced gene regulated by Th2 cytokines and STAT6 in the lung. Am J Respir Cell Mol Biol. 2003;29:458–464. doi: 10.1165/rcmb.2002-0309OC. [DOI] [PubMed] [Google Scholar]
- Nikula KJ, McCartney JE, Mcgovern T, Miller GK, Odin M, Pino MV, Reed MD. STP position paper: interpreting the significance of increased alveolar macrophages in rodents following inhalation of pharmaceutical materials. Toxicol Pathol. 2014;42:472–486. doi: 10.1177/0192623313507003. [DOI] [PubMed] [Google Scholar]
- O'Brien AD, Standiford TJ, Christensen PJ, Wilcoxen SE, Paine R, 3RD Chemotaxis of alveolar macrophages in response to signals derived from alveolar epithelial cells. J Lab Clin Med. 1998;131:417–424. doi: 10.1016/S0022-2143(98)90142-1. [DOI] [PubMed] [Google Scholar]
- Okada K, Sato S, Sato A, Mandelboim O, Yamasoba T, Kiyono H. Identification and analysis of natural killer cells in murine nasal passages. PLoS One. 2015;10:e0142920. doi: 10.1371/journal.pone.0142920. [DOI] [PMC free article] [PubMed] [Google Scholar]
- Oliveira SH, Lukacs NW. The role of chemokines and chemokine receptors in eosinophil activation during inflammatory allergic reactions. Braz J Med Biol Res. 2003;36:1455–1463. doi: 10.1590/s0100-879x2003001100002. [DOI] [PubMed] [Google Scholar]
- Oosting RS, Van Golde LM, Verhoef J, Van Bree L. Species differences in impairment and recovery of alveolar macrophage functions following single and repeated ozone exposures. Toxicol Appl Pharmacol. 1991;110:170–178. doi: 10.1016/0041-008X(91)90299-T. [DOI] [PubMed] [Google Scholar]
- Oppenheim JJ, Biragyn A, Kwak LW, Yang D. Roles of antimicrobial peptides such as defensins in innate and adaptive immunity. Ann Rheum Dis. 2003;62(Suppl 2):17–21. doi: 10.1136/ard.62.suppl_2.ii17. [DOI] [PMC free article] [PubMed] [Google Scholar]
- Plopper CG, Fanucchi MV. Do urban environmental pollutants exacerbate childhood lung diseases? Environ Health Perspect. 2000;108:A252–A253. doi: 10.1289/ehp.108-a252. [DOI] [PMC free article] [PubMed] [Google Scholar]
- Plopper CG, Smiley-Jewell SM, Miller LA, Fanucchi MV, Evans MJ, Buckpitt AR, Avdalovic M, Gershwin LJ, Joad JP, Kajekar R, Larson S, Pinkerton KE, Van Winkle LS, Schelegle ES, Pieczarka EM, Wu R, Hyde DM. Asthma/allergic airways disease: does postnatal exposure to environmental toxicants promote airway pathobiology? Toxicol Pathol. 2007;35:97–110. doi: 10.1080/01926230601132030. [DOI] [PubMed] [Google Scholar]
- Reasor MJ, Kacew S. Drug-induced phospholipidosis: are there functional consequences? Exp Biol Med (Maywood) 2001;226:825–830. doi: 10.1177/153537020122600903. [DOI] [PubMed] [Google Scholar]
- Remes ST, Castro-Rodriguez JA, Holberg CJ, Martinez FD, Wright AL. Dog exposure in infancy decreases the subsequent risk of frequent wheeze but not of atopy. J Allergy Clin Immunol. 2001;108:509–515. doi: 10.1067/mai.2001.117797. [DOI] [PubMed] [Google Scholar]
- Renne RA, Gideon KM. Types and patterns of response in the larynx following inhalation. Toxicol Pathol. 2006;34:281–285. doi: 10.1080/01926230600695631. [DOI] [PubMed] [Google Scholar]
- Renne RA, Gideon KM, Harbo SJ, Staska LM, Grumbein SL. Upper respiratory tract lesions in inhalation toxicology. Toxicol Pathol. 2007;35:163–169. doi: 10.1080/01926230601052667. [DOI] [PubMed] [Google Scholar]
- Renwick LC, Donaldson K, Clouter A. Impairment of alveolar macrophage phagocytosis by ultrafine particles. Toxicol Appl Pharmacol. 2001;172:119–127. doi: 10.1006/taap.2001.9128. [DOI] [PubMed] [Google Scholar]
- Rose MC, Voynow JA. Respiratory tract mucin genes and mucin glycoproteins in health and disease. Physiol Rev. 2006;86:245–278. doi: 10.1152/physrev.00010.2005. [DOI] [PubMed] [Google Scholar]
- Roy MG, Rahmani M, Hernandez JR, Alexander SN, Ehre C, Ho S,B, Evans CM. Mucin production during prenatal and postnatal murine lung development. Am J Respir Cell Mol Biol. 2011;44:755–760. doi: 10.1165/rcmb.2010-0020RC. [DOI] [PMC free article] [PubMed] [Google Scholar]
- Sabo-Attwood T, Ramos-Nino ME, Eugenia-Ariza M, Macpherson MB, Butnor KJ, Vacek PC, Mcgee SP, Clark JC, Steele C, Mossman BT. Osteopontin modulates inflammation, mucin production, and gene expression signatures after inhalation of asbestos in a murine model of fibrosis. Am J Pathol. 2011;178:1975–1985. doi: 10.1016/j.ajpath.2011.01.048. [DOI] [PMC free article] [PubMed] [Google Scholar]
- Samet JM, Cheng PW. The role of airway mucus in pulmonary toxicology. Environ Health Perspect. 1994;102(Suppl 2):89–103. doi: 10.1289/ehp.9410289. [DOI] [PMC free article] [PubMed] [Google Scholar]
- Schneberger D, Aharonson-Raz K, Singh B. Pulmonary intravascular macrophages and lung health: what are we missing? Am J Physiol Lung Cell Mol Physiol. 2012;302:L498–L503. doi: 10.1152/ajplung.00322.2011. [DOI] [PubMed] [Google Scholar]
- Schoeb TR, Davidson MK, Lindsey JR. Intracage ammonia promotes growth of Mycoplasma pulmonis in the respiratory tract of rats. Infect Immun. 1982;38:212–217. doi: 10.1128/iai.38.1.212-217.1982. [DOI] [PMC free article] [PubMed] [Google Scholar]
- Schuijs MJ, Willart MA, Vergote K, Gras D, Deswarte K, Ege MJ, Madeira FB, Beyaert R, Van Loo G, Bracher F, Von Mutius E, Chanez P, Lambrecht BN, Hammad H. Farm dust and endotoxin protect against allergy through A20 induction in lung epithelial cells. Science. 2015;349:1106–1110. doi: 10.1126/science.aac6623. [DOI] [PubMed] [Google Scholar]
- Selsted ME, Ouellette AJ. Mammalian defensins in the antimicrobial immune response. Nat Immunol. 2005;6:551–557. doi: 10.1038/ni1206. [DOI] [PubMed] [Google Scholar]
- Shankar V, Virmani AK, Naziruddin B, Sachdev GP. Macromolecular properties and polymeric structure of canine tracheal mucins. Biochem J. 1991;276(Pt 2):525–532. doi: 10.1042/bj2760525. [DOI] [PMC free article] [PubMed] [Google Scholar]
- Sharma P, Dudus L, Nielsen PA, Clausen H, Yankaskas JR, Hollingsworth MA, Engelhardt JF. MUC5B and MUC7 are differentially expressed in mucous and serous cells of submucosal glands in human bronchial airways. Am J Respir Cell Mol Biol. 1998;19:30–37. doi: 10.1165/ajrcmb.19.1.3054. [DOI] [PubMed] [Google Scholar]
- Singh PK, Jia HP, Wiles K, Hesselberth J, Liu L, Conway BA, Greenberg EP, Valore EV, Welsh MJ, Ganz T, Tack BF, McCray PB., Jr Production of beta-defensins by human airway epithelia. Proc Natl Acad Sci U S A. 1998;95:14961–14966. doi: 10.1073/pnas.95.25.14961. [DOI] [PMC free article] [PubMed] [Google Scholar]
- Smolich JJ, Stratford BF, Maloney JE, Ritchie BC. Postnatal development of the epithelium of the larynx and trachea in the rat: scanning electron microscopy. J Anat. 1967;124:17. [PMC free article] [PubMed] [Google Scholar]
- Sonnenberg GF, Nair MG, Kirn TJ, Zaph C, Fouser LA, Artis D. Pathological versus protective functions of IL-22 in airway inflammation are regulated by IL-17A. J Exp Med. 2010;207:1293–1305. doi: 10.1084/jem.20092054. [DOI] [PMC free article] [PubMed] [Google Scholar]
- Spicer SS, Martinez JR. Mucin biosynthesis and secretion in the respiratory tract. Environ Health Perspect. 1984;55:193–204. doi: 10.1289/ehp.8455193. [DOI] [PMC free article] [PubMed] [Google Scholar]
- Stannard W, O'Callaghan C. Ciliary function and the role of cilia in clearance. J Aerosol Med. 2006;19:110–115. doi: 10.1089/jam.2006.19.110. [DOI] [PubMed] [Google Scholar]
- Summers C, Singh NR, White JF, Mackenzie IM, Johnston A, Solanki C, Balan KK, Peters AM, Chilvers ER. Pulmonary retention of primed neutrophils: a novel protective host response, which is impaired in the acute respiratory distress syndrome. Thorax. 2014;69:623–629. doi: 10.1136/thoraxjnl-2013-204742. [DOI] [PMC free article] [PubMed] [Google Scholar]
- Sung JH, Jino JH, Park JD, Yoon JU, Kim DS, Jeon KS, Song MY, Jeong J, Han BS, Han JH, Chung YH, Chang HK, Lee JH, Cho MH, Kelman BJ, Yu IJ. Subchronic inhalation toxicity of silver nanoparticles. Toxicol Sci. 2009;108:452–461. doi: 10.1093/toxsci/kfn246. [DOI] [PubMed] [Google Scholar]
- Tamura S, Kurata T. Defense mechanisms against influenza virus infection in the respiratory tract mucosa. Jpn J Infect Dis. 2004;57:236–247. [PubMed] [Google Scholar]
- Thacker EL. Lung inflammatory responses. Vet Res. 2006;37:469–486. doi: 10.1051/vetres:2006011. [DOI] [PubMed] [Google Scholar]
- Thompson EA, Sayers BC, Glista-Baker EE, Shipkowski KA, Taylor AJ, Bonner JC. Innate immune responses to nanoparticle exposure in the lung. J Environ Immunol Toxicol. 2014;1:150–156. doi: 10.7178/jeit.23. [DOI] [PMC free article] [PubMed] [Google Scholar]
- Thornton DJ, Rousseau K, Mcguckin MA. Structure and function of the polymeric mucins in airways mucus. Annu Rev Physiol. 2008;70:459–486. doi: 10.1146/annurev.physiol.70.113006.100702. [DOI] [PubMed] [Google Scholar]
- Tollerud DJ, Clark JW, Brown LM, Neuland CY, Mann DL, Pankiw-Trost LK, Blattner WA, Hoover RN. Association of cigarette smoking with decreased numbers of circulating natural killer cells. Am Rev Respir Dis. 1989;139:194–198. doi: 10.1164/ajrccm/139.1.194. [DOI] [PubMed] [Google Scholar]
- Tran MU, Weir AJ, Fanucchi MV, Rodriguez AE, Pantle LM, Smiley-Jewell SM, Van Winkle LS, Evans MJ, Miller LA, Schelegle ES, Gershwin LJ, Hyde DM, Plopper CG. Smooth muscle hypertrophy in distal airways of sensitized infant rhesus monkeys exposed to house dust mite allergen. Clin Exp Allergy. 2004;34:1627–1633. doi: 10.1111/j.1365-2222.2004.02057.x. [DOI] [PubMed] [Google Scholar]
- Tschernig T, Pabst R. Bronchus-associated lymphoid tissue (BALT) is not present in the normal adult lung but in different diseases. Pathobiology. 2000;68:1–8. doi: 10.1159/000028109. [DOI] [PubMed] [Google Scholar]
- Turner DL, Bickham KL, Thome JJ, Kim CY, D'Ovidio F, Wherry EJ, Farber DL. Lung niches for the generation and maintenance of tissue-resident memory T cells. Mucosal Immunol. 2014;7:501–510. doi: 10.1038/mi.2013.67. [DOI] [PMC free article] [PubMed] [Google Scholar]
- Van Der Vliet A, Eiserich JP, Cross CE. Nitric oxide: a pro-inflammatory mediator in lung disease? Respir Res. 2000;1:67–72. doi: 10.1186/rr14. [DOI] [PMC free article] [PubMed] [Google Scholar]
- Van Loveren H, Krajnc EI, Rombout PJ, Blommaert FA, Vos JG. Effects of ozone, hexachlorobenzene, and bis(tri-n-butyltin)oxide on natural killer activity in the rat lung. Toxicol Appl Pharmacol. 1990;102:21–33. doi: 10.1016/0041-008X(90)90080-E. [DOI] [PubMed] [Google Scholar]
- Van Winkle LS, Baker GL, Chan JK, Schelegle ES, Plopper CG. Airway mast cells in a rhesus model of childhood allergic airways disease. Toxicol Sci. 2010;116:313–322. doi: 10.1093/toxsci/kfq119. [DOI] [PMC free article] [PubMed] [Google Scholar]
- Van Winkle LS, Evans MJ, Brown CD, Willits NH, Pinkerton KE, Plopper CG. Prior exposure to aged and diluted sidestream cigarette smoke impairs bronchiolar injury and repair. Toxicol Sci. 2001;60:152–164. doi: 10.1093/toxsci/60.1.152. [DOI] [PubMed] [Google Scholar]
- Vittorio CC, Muglia JJ. Anticonvulsant hypersensitivity syndrome. Arch Intern Med. 1995;155:2285–2290. doi: 10.1001/archinte.1995.00430210033005. [DOI] [PubMed] [Google Scholar]
- Voynow JA, Selby DM, Rose MC. Mucin gene expression (MUC1, MUC2, and MUC5/5 AC) in nasal epithelial cells of cystic fibrosis, allergic rhinitis, and normal individuals. Lung. 1998;176:345–354. doi: 10.1007/PL00007616. [DOI] [PubMed] [Google Scholar]
- Waldhauer I, Steinle A. NK cells and cancer immunosurveillance. Oncogene. 2008;27:5932–5943. doi: 10.1038/onc.2008.267. [DOI] [PubMed] [Google Scholar]
- Welle M. Development, significance, and heterogeneity of mast cells with particular regard to the mast cell-specific proteases chymase and tryptase. J Leukoc Biol. 1997;61:233–245. doi: 10.1002/jlb.61.3.233. [DOI] [PubMed] [Google Scholar]
- Wiede A, Jagla W, Welte T, Kohnlein T, Busk H, Hoffmann W. Localization of TFF3, a new mucus-associated peptide of the human respiratory tract. Am J Respir Crit Care Med. 1999;159:1330–1335. doi: 10.1164/ajrccm.159.4.9804149. [DOI] [PubMed] [Google Scholar]
- Wilkes LK, Mcmenamin C, Holt PG. Postnatal maturation of mast cell subpopulations in the rat respiratory tract. Immunology. 1992;75:535–541. [PMC free article] [PubMed] [Google Scholar]
- Williams SJ, Wreschner DH, Tran M, Eyre HJ, Sutherland GR, Mcguckin MA. Muc13, a novel human cell surface mucin expressed by epithelial and hemopoietic cells. J Biol Chem. 2001;276:18327–18336. doi: 10.1074/jbc.M008850200. [DOI] [PubMed] [Google Scholar]
- Wills-Karp M, Rani R, Dienger K, Lewkowich I, Fox JG, Perkins C, Lewis L, Finkelman FD, Smith DE, Bryce PJ, Kurt-Jones EA, Wang TC, Sivaprasad U, Hershey GK, Herbert DR. Trefoil factor 2 rapidly induces interleukin 33 to promote type 2 immunity during allergic asthma and hookworm infection. J Exp Med. 2012;209:607–622. doi: 10.1084/jem.20110079. [DOI] [PMC free article] [PubMed] [Google Scholar]
- Zuhdi Alimam M, Piazza FM, Selby DM, Letwin N, Huang L, Rose MC. Muc-5/5ac mucin messenger RNA and protein expression is a marker of goblet cell metaplasia in murine airways. Am J Respir Cell Mol Biol. 2000;22:253–260. doi: 10.1165/ajrcmb.22.3.3768. [DOI] [PubMed] [Google Scholar]
